Spandidos Publications Logo
  • About
    • About Spandidos
    • Aims and Scopes
    • Abstracting and Indexing
    • Editorial Policies
    • Reprints and Permissions
    • Job Opportunities
    • Terms and Conditions
    • Contact
  • Journals
    • All Journals
    • Oncology Letters
      • Oncology Letters
      • Information for Authors
      • Editorial Policies
      • Editorial Board
      • Aims and Scope
      • Abstracting and Indexing
      • Bibliographic Information
      • Archive
    • International Journal of Oncology
      • International Journal of Oncology
      • Information for Authors
      • Editorial Policies
      • Editorial Board
      • Aims and Scope
      • Abstracting and Indexing
      • Bibliographic Information
      • Archive
    • Molecular and Clinical Oncology
      • Molecular and Clinical Oncology
      • Information for Authors
      • Editorial Policies
      • Editorial Board
      • Aims and Scope
      • Abstracting and Indexing
      • Bibliographic Information
      • Archive
    • Experimental and Therapeutic Medicine
      • Experimental and Therapeutic Medicine
      • Information for Authors
      • Editorial Policies
      • Editorial Board
      • Aims and Scope
      • Abstracting and Indexing
      • Bibliographic Information
      • Archive
    • International Journal of Molecular Medicine
      • International Journal of Molecular Medicine
      • Information for Authors
      • Editorial Policies
      • Editorial Board
      • Aims and Scope
      • Abstracting and Indexing
      • Bibliographic Information
      • Archive
    • Biomedical Reports
      • Biomedical Reports
      • Information for Authors
      • Editorial Policies
      • Editorial Board
      • Aims and Scope
      • Abstracting and Indexing
      • Bibliographic Information
      • Archive
    • Oncology Reports
      • Oncology Reports
      • Information for Authors
      • Editorial Policies
      • Editorial Board
      • Aims and Scope
      • Abstracting and Indexing
      • Bibliographic Information
      • Archive
    • Molecular Medicine Reports
      • Molecular Medicine Reports
      • Information for Authors
      • Editorial Policies
      • Editorial Board
      • Aims and Scope
      • Abstracting and Indexing
      • Bibliographic Information
      • Archive
    • World Academy of Sciences Journal
      • World Academy of Sciences Journal
      • Information for Authors
      • Editorial Policies
      • Editorial Board
      • Aims and Scope
      • Abstracting and Indexing
      • Bibliographic Information
      • Archive
    • International Journal of Functional Nutrition
      • International Journal of Functional Nutrition
      • Information for Authors
      • Editorial Policies
      • Editorial Board
      • Aims and Scope
      • Abstracting and Indexing
      • Bibliographic Information
      • Archive
    • International Journal of Epigenetics
      • International Journal of Epigenetics
      • Information for Authors
      • Editorial Policies
      • Editorial Board
      • Aims and Scope
      • Abstracting and Indexing
      • Bibliographic Information
      • Archive
    • Medicine International
      • Medicine International
      • Information for Authors
      • Editorial Policies
      • Editorial Board
      • Aims and Scope
      • Abstracting and Indexing
      • Bibliographic Information
      • Archive
  • Articles
  • Information
    • Information for Authors
    • Information for Reviewers
    • Information for Librarians
    • Information for Advertisers
    • Conferences
  • Language Editing
Spandidos Publications Logo
  • About
    • About Spandidos
    • Aims and Scopes
    • Abstracting and Indexing
    • Editorial Policies
    • Reprints and Permissions
    • Job Opportunities
    • Terms and Conditions
    • Contact
  • Journals
    • All Journals
    • Biomedical Reports
      • Information for Authors
      • Editorial Policies
      • Editorial Board
      • Aims and Scope
      • Abstracting and Indexing
      • Bibliographic Information
      • Archive
    • Experimental and Therapeutic Medicine
      • Information for Authors
      • Editorial Policies
      • Editorial Board
      • Aims and Scope
      • Abstracting and Indexing
      • Bibliographic Information
      • Archive
    • International Journal of Epigenetics
      • Information for Authors
      • Editorial Policies
      • Editorial Board
      • Aims and Scope
      • Abstracting and Indexing
      • Bibliographic Information
      • Archive
    • International Journal of Functional Nutrition
      • Information for Authors
      • Editorial Policies
      • Editorial Board
      • Aims and Scope
      • Abstracting and Indexing
      • Bibliographic Information
      • Archive
    • International Journal of Molecular Medicine
      • Information for Authors
      • Editorial Policies
      • Editorial Board
      • Aims and Scope
      • Abstracting and Indexing
      • Bibliographic Information
      • Archive
    • International Journal of Oncology
      • Information for Authors
      • Editorial Policies
      • Editorial Board
      • Aims and Scope
      • Abstracting and Indexing
      • Bibliographic Information
      • Archive
    • Medicine International
      • Information for Authors
      • Editorial Policies
      • Editorial Board
      • Aims and Scope
      • Abstracting and Indexing
      • Bibliographic Information
      • Archive
    • Molecular and Clinical Oncology
      • Information for Authors
      • Editorial Policies
      • Editorial Board
      • Aims and Scope
      • Abstracting and Indexing
      • Bibliographic Information
      • Archive
    • Molecular Medicine Reports
      • Information for Authors
      • Editorial Policies
      • Editorial Board
      • Aims and Scope
      • Abstracting and Indexing
      • Bibliographic Information
      • Archive
    • Oncology Letters
      • Information for Authors
      • Editorial Policies
      • Editorial Board
      • Aims and Scope
      • Abstracting and Indexing
      • Bibliographic Information
      • Archive
    • Oncology Reports
      • Information for Authors
      • Editorial Policies
      • Editorial Board
      • Aims and Scope
      • Abstracting and Indexing
      • Bibliographic Information
      • Archive
    • World Academy of Sciences Journal
      • Information for Authors
      • Editorial Policies
      • Editorial Board
      • Aims and Scope
      • Abstracting and Indexing
      • Bibliographic Information
      • Archive
  • Articles
  • Information
    • For Authors
    • For Reviewers
    • For Librarians
    • For Advertisers
    • Conferences
  • Language Editing
Login Register Submit
  • This site uses cookies
  • You can change your cookie settings at any time by following the instructions in our Cookie Policy. To find out more, you may read our Privacy Policy.

    I agree
Search articles by DOI, keyword, author or affiliation
Search
Advanced Search
presentation
Oncology Reports
Join Editorial Board Propose a Special Issue
Print ISSN: 1021-335X Online ISSN: 1791-2431
Journal Cover
April-2018 Volume 39 Issue 4

Full Size Image

Sign up for eToc alerts
Recommend to Library

Journals

International Journal of Molecular Medicine

International Journal of Molecular Medicine

International Journal of Molecular Medicine is an international journal devoted to molecular mechanisms of human disease.

International Journal of Oncology

International Journal of Oncology

International Journal of Oncology is an international journal devoted to oncology research and cancer treatment.

Molecular Medicine Reports

Molecular Medicine Reports

Covers molecular medicine topics such as pharmacology, pathology, genetics, neuroscience, infectious diseases, molecular cardiology, and molecular surgery.

Oncology Reports

Oncology Reports

Oncology Reports is an international journal devoted to fundamental and applied research in Oncology.

Experimental and Therapeutic Medicine

Experimental and Therapeutic Medicine

Experimental and Therapeutic Medicine is an international journal devoted to laboratory and clinical medicine.

Oncology Letters

Oncology Letters

Oncology Letters is an international journal devoted to Experimental and Clinical Oncology.

Biomedical Reports

Biomedical Reports

Explores a wide range of biological and medical fields, including pharmacology, genetics, microbiology, neuroscience, and molecular cardiology.

Molecular and Clinical Oncology

Molecular and Clinical Oncology

International journal addressing all aspects of oncology research, from tumorigenesis and oncogenes to chemotherapy and metastasis.

World Academy of Sciences Journal

World Academy of Sciences Journal

Multidisciplinary open-access journal spanning biochemistry, genetics, neuroscience, environmental health, and synthetic biology.

International Journal of Functional Nutrition

International Journal of Functional Nutrition

Open-access journal combining biochemistry, pharmacology, immunology, and genetics to advance health through functional nutrition.

International Journal of Epigenetics

International Journal of Epigenetics

Publishes open-access research on using epigenetics to advance understanding and treatment of human disease.

Medicine International

Medicine International

An International Open Access Journal Devoted to General Medicine.

Journal Cover
April-2018 Volume 39 Issue 4

Full Size Image

Sign up for eToc alerts
Recommend to Library

  • Article
  • Citations
    • Cite This Article
    • Download Citation
    • Create Citation Alert
    • Remove Citation Alert
    • Cited By
  • Similar Articles
    • Related Articles (in Spandidos Publications)
    • Similar Articles (Google Scholar)
    • Similar Articles (PubMed)
  • Download PDF
  • Download XML
  • View XML
Article

Raf1 is a prognostic factor for progression in patients with non‑small cell lung cancer after radiotherapy

  • Authors:
    • Hao  Tian
    • Li  Yin
    • Kai  Ding
    • You‑You  Xia
    • Xiao‑Hong  Wang
    • Jian‑Zhong  Wu
    • Xia He
  • View Affiliations / Copyright

    Affiliations: Department of Radiation Oncology, The First People's Hospital of Xinyi, Xinyi, Jiangsu 221400, P.R. China, Department of Radiation Oncology, The Affiliated Jiangsu Cancer Hospital of Nanjing Medical University, Nanjing, Jiangsu 210000, P.R. China, Research Center of Clinical Oncology, The Affiliated Jiangsu Cancer Hospital of Nanjing Medical University, Nanjing, Jiangsu 210000, P.R. China
  • Pages: 1966-1974
    |
    Published online on: February 22, 2018
       https://doi.org/10.3892/or.2018.6277
  • Expand metrics +
Metrics: Total Views: 0 (Spandidos Publications: | PMC Statistics: )
Metrics: Total PDF Downloads: 0 (Spandidos Publications: | PMC Statistics: )
Cited By (CrossRef): 0 citations Loading Articles...

This article is mentioned in:



Abstract

Raf-1 proto-oncogene, serine/threonine kinase (Raf1) acts as a part of the RAS/RAF/MEK/ERK signaling pathway and regulates cell migration, apoptosis and differentiation. However, few studies are available on the expression and clinical significance of Raf1 in non‑small cell lung cancer (NSCLC). This study investigated the clinical value and prognostic significance of Raf1 in NSCLC patients, following radiotherapy. We evaluated the Raf1 expression using immunohistochemical analyses of samples from 110 NSCLC patients who received radiotherapy. The association between Raf1 expression and clinicopathological variables was also analyzed. The multivariate Cox proportional hazard model was used to determine the prognostic value of Raf1 in regards to progression and 3‑year survival. Significant associations between Raf1 expression and invasion and metastasis capability in lung cancer A549 and H1299 cell lines were identified. Results showed that 44.5% (49/110) of the NSCLC patient specimens demonstrated Raf1 expression, which was found to be positively correlated with lymph node metastasis (P=0.014), T stage (P=0.038) and poor histological differentiation (P=0.029). Later progression was observed in patients with negative or low Raf1 expression than in patients with high Raf1 expression (P=0.002). The multivariate analysis indicated that Raf1 is an independent prognostic factor for time to progression (TTP) (HR, 1.94; 95% CI, 1.16‑3.25; P=0.01). A high Raf1 expression was found to result in a poor 3‑year overall survival (OS)(HR, 1.64; 95% CI, 0.98‑2.75; P=0.06). Raf1 overexpression was correlated with early progression in NSCLC. Raf1 may serve as a novel prognostic factor and potential target for improving the long‑term outcome of NSCLC patients.

Introduction

Lung cancer is a malignancy with high morbidity and mortality; approximately 80–85% of all lung cancers are non-small cell lung cancer (NSCLC) (1). Significant progress has been observed in NSCLC treatment, yet the 5-year survival rate of NSCLC patients is <15% (2) and represents more than one-quarter (27%) of all cancer deaths due to lung cancer in the US (3). Currently, low- and middle-income countries account for >50% of lung cancer-related deaths annually (4). Many NSCLC patients are at an advanced stage at initial diagnosis due to its aggressive and early metastatic potential, thereby leading to a poor long-term prognosis. Thus, identification of effective strategies to predict and control NSCLC is essential.

Raf-1 proto-oncogene, serine/threonine kinase (Raf1) is an important part of the human RAS/RAF/MEK/ERK signaling pathway and is an important signaling molecule. Raf1 is closely associated with the regulation of cell proliferation and differentiation (5). Abnormal activation is found in many types of tumors and is mainly related to Raf1 expression. An association between Raf1 and tumor invasion is found in prostate (6), colorectal (7,8) and thyroid cancer (9).

We found that the prognosis of NSCLC after radiotherapy varies, even with the same stage and treatment. Raf1 plays a critical role in many types of tumors, but its expression and clinical significance remain to be reported in NSCLC primary tissues. Considering these findings, the present study aimed to determine the clinical value and prognostic significance of Raf1 in NSCLC patients following radiotherapy.

Materials and methods

Sample collection

In the present study, 110 samples of formalin-fixed paraffin-embedded NSCLC tissue were obtained between December 2011 and April 2014 from the Affiliated Jiangsu Cancer Hospital at the Nanjing Medical University in China. The tissue samples were collected from diagnosed patients by puncture or bronchoscopy biopsy. All cases were classified into the clinical types of NSCLC according to the American Joint Committee on Cancer (AJCC, 2010). All patients only received radiotherapy due to the financial concerns regarding targeted therapy and rejected other treatments.

Ethics statement

This study was approved by the Ethics Committee of Jiangsu Cancer Hospital. Written informed consent was obtained from all patients before treatment initiation.

Immunohistochemistry

Immunohistochemistry was performed using the standard streptavidin-peroxidase technique to determine Raf1 expression. Paraffin-embedded tissues were cut into 4-µm sections, dewaxed, and rehydrated using routine methods. All slides were subjected to heat-induced antigen retrieval using Tris buffer (0.01 mmol/l, pH, 6.0) in a pressure cooker. Then, the slides were placed in 3% hydrogen peroxide for 10 min to quench endogenous peroxidase. The sections were further incubated with anti-Raf1 (ab32025, GR176309-2; 1:1,000 dilution; Abcam, Hong Kong) overnight at 4°C after thoroughly rinsing thrice with phosphate-buffered saline (PBS) for 1 min each time. After washing in PBS, the sections were incubated with biotinylated secondary antibodies (Dako Denmark A/S, Glostrup, Denmark) for 30 min at room temperature and stained with freshly prepared 3,3′-diaminobenzidine and light hematoxylin as counterstain. Known positive controls were included in each staining procedure. PBS was used to replace primary antibodies in the negative control.

Immunohistochemical evaluation

Raf1 expression was quantified simultaneously by two independent observers who were blinded to the patient data. If the results of the two independent observers were different, then we would request for an additional pathology expert. In each case, four representative areas were selected, and ≥400 tumor cells were observed at ×400 magnification. The percentage of positive cells was evaluated according to the number of positive cells divided by all cancer cells under a microscope at four selected foci. The following scale was adopted: 0, no positive tumor cells; 1, 1–10% positive tumor cells; 2, 11–50%; and 3, 51–100%. The staining intensity was evaluated by the presence of yellow- or brown-colored end product at the target antigen site. Furthermore, the staining intensity (no staining, mild, moderate, and intense) was graded as 0, 1, 2, or 3 points, respectively (0, no detectable staining; 1, mild staining-light yellow; 2, moderate-yellow; and 3, intense-brown). Final scores were obtained by multiplying the positive tumor grade by the staining intensity score (0, 1, 2, 3, 4, 6 and 9). The final scores ≤4 and ≥6 were considered tumors with low and high expression levels, respectively.

Cell culture

Human pulmonary carcinoma cell lines H1299 and A549 and transfected cell lines A549-7/Pb and A549-7/Raf1 were obtained from the Research Center of Clinical Oncology of the Affiliated Jiangsu Cancer Hospital, Nanjing Medical University, Nanjing, China and maintained in Dulbecco's modified Eagle's medium (DMEM) (Corning, Manassas, VA, USA) containing 10% fetal bovine serum (FBS) (Gibco; Thermo Fisher Scientific, Inc., Waltham, MA, USA USA). Cultures were grown at 37°C in an atmosphere with 5% CO2. Cell lines A549-7/Pb and A549-7/Raf1 were established with transfected Pb-puro empty vector and Pb-puro-Raf1 plasmid using Lipofectamine 2000 reagent (Invitrogen; Thermo Fisher Scientific, Inc.), respectively.

Cell transfection

Raf1-siRNA and NC-siRNA were purchased from RiboBio (Guangzhou, China). The Lipofectamine 2000 transfection reagent was used to transfect the H1299 cell lines according to the manufacturer's instructions.

Western blot assay

Cells transfected after 48 h were extracted and prepared in RIPA buffer (Beyotime, Shanghai, China). BCA protein assay kit (Beyotime) was used to detect the protein concentration. The primary antibodies were purchased from Cell Signaling Technology, Inc. (Danvers, MA, USA USA). The anti-Raf1 was obtained from Abcam. β-actin was used as the loading control. Immunoreactive bands were measured with ECL detection reagent (Millipore, Billerica, MA, USA).

RNA isolation using quantitative RT-PC reaction (qRT-PCR)

Fold changes for Raf1/β-actin expression levels were calculated using the 2−ΔΔCt method. The total RNA from cells was extracted with TRIzol (Invitrogen; Thermo Fisher Scientific, Inc.). The PrimeScript First Strand cDNA Synthesis kit (Takara, Dalian, China) was used to synthesize first-strand cDNA. The SYBR-Green qRT-PCR was performed on an ABI7300 real-time PCR system (Applied Biosystems; Thermo Fisher Scientific, Inc.). The primer pairs were 5′-GGGAGCTTGGAAGACGATCAG-3′ and 5′-ACACGGATAGTGTTGCTTGTC-3′ for Raf1 and 5′-TTCTACAATGAGCTGCGTCTG-3′ and 5′-CAGCCTGGATAGCAACGTATC-3′ for β-actin. Each experiment was performed in triplicate.

Wound healing assay

Approximately 1.5×105 cells were plated in 6-well dishes and subsequently transfected with siRNA. An incision was created at the center of the cell monolayer as an artificial wound. Images of the wound area were captured using an optical microscope (Olympus Corp, Tokyo, Japan) with a magnification of ×100 36 h after injury.

Invasion assay

Cell invasion was measured using 24-well BD Matrigel Invasion Chambers (BD Biosciences, Franklin Lakes, NJ, USA) according to the manufacturer's instructions. The A549 and H1299 cells were seeded into the upper well of the invasion chamber resuspended (1.5×104 cells per well) in 200 µl serum-free medium after transfection. The lower chamber well containing 500 µl DMEM and 20% FBS was used to stimulate invasion. After 36 h of incubation, the invading cells were fixed with 4% paraformaldehyde and subsequently stained with crystal violet, whereas non-invading cells were removed. Cells were counted on optical microscope in ×40 magnification fields.

Statistical analysis

All statistical analyses were conducted using SPSS 17.0 software (SPSS, Inc., Chicago, IL, USA). Overall survival (OS) was defined as the interval between the date of definite diagnosis and the date of death or last follow-up. Progression-free survival was defined as the time between the date of first recurrence and the last follow-up. The relationships between Raf1 and clinicopathological parameters were analyzed using the Chi-square test. For survival data, Kaplan-Meier curves were generated, and analysis was performed using the log-rank test. A prognostic analysis was performed using the univariate and multivariate Cox regression models. P<0.05 was considered statistically significant.

Results

Protein expression of Raf1 in NSCLC

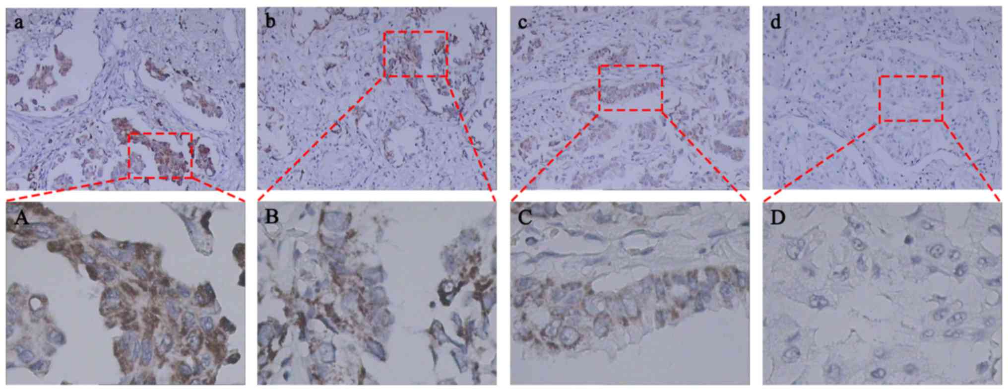
Immunohistochemical staining of Raf1 was performed in 110 samples of primary NSCLC. Raf1 immunoreactivity was predominantly detected in the membrane, although weak cytoplasmic staining was observed. A total of 21 (19.1%) and 28 (25.5%) of the 110 samples exhibited high and low Raf1 expression levels, correspondingly. In addition, 61 (54.6%) of the 110 specimens were assumed to have no staining (intensity score 0) (Table I and Fig. 1).

Figure 1.

Immunohistochemical expression of Raf1 in human primary non-small cell lung cancer tissues. Raf1 protein was mainly expressed in the membrane with high (a), moderate (b), mild (c), and negative (d) expression levels with brownish-yellow staining. Images (a, b, c, and d) show high-power fields of the boxed areas in (A, B, C and D), respectively. Significantly increased Raf1 expression was detected in lung adenocarcinoma cells. (a-d), magnification ×100; (A-D), magnification ×400.

Table I.

Clinicopathological characteristics of 110 non-small cell lung cancer patients.

Table I.

Clinicopathological characteristics of 110 non-small cell lung cancer patients.

Raf1

Clinical parameterNo. of casesNegativeLowHighP-value
Sex 0.995
  Male67371713
  Female432411  8
Age (years) 0.740
  ≤703119  7  5
  >7079422116
Smoking status 0.955
  Non-smoker69391713
  Smoker412211  8
Lesion 0.837
  Peripheral78422115
  Central3219  7  6
Histology 0.437
  SQCC78431613
  ADC321812  8
Differentiation 0.029
  Moderate71461411
  Poor39151410
N stage 0.014
  cN0684514  9
  cN1/N242161412
T stage 0.038
  T12216  4  2
  T2533311  9
  T3-435121310
Radiotherapy 0.074
  CR4531  9  4
  PR40201010
  SD2510  9  7

[i] SQCC, squamous cell carcinoma; ADC, adenocarcinoma; CR, complete response; PR, partial response; SD, stable disease.

Correlations between Raf1 expression and clinicopathological parameters

The clinicopathological characteristics of the patients are summarized in Table I. The immunohistochemical analyses of NSCLC tissues showed that Raf1 protein expression was significantly correlated with lymph node metastasis and T stage and was associated with poor histological differentiation (P=0.014, 0.038 and 0.029, respectively). However, no significant correlations were observed between Raf1 expression and age, gender, smoking status, tumor location, and lesion (P>0.05).

Univariate and multivariate analyses of prognostic factors

We analyzed the effect of Raf1 expression on clinical outcomes in these patients. According to the univariate analysis (Table II), histological differentiation (P<0.05 and P<0.05), T stage (P<0.05 and P<0.05), lymph node metastasis (P<0.05 and P<0.05), and Raf1 expression (P<0.05 and P<0.05) were significantly associated with time to progression (TTP) and OS. The prognoses obtained were better in patients with Raf1-negative expression than in patients with positive expression. Abnormal Raf1 expression was associated with disease progression in patients with NSCLC. In the multivariate analysis (Table III), Raf1 expression was an independent risk factor for TTP (HR, 1.94, 95% CI 1.16–3.25, P=0.01) and OS (HR, 1.64, 95% CI 0.98–2.75, P=0.06). Survival curves showed that the TTP was earlier in the Raf1 low and negative group than in the high group (P=0.002). Moreover, the cumulative 3-year survival rate was higher in the Raf1 low and negative group than in the high group (P=0.034) (Fig. 2). These data showed that Raf1 overexpression may lead to early TTP in patients with NSCLC after radiotherapy.

Figure 2.

Survival curves of 110 patients with lung NSCLC after radiotherapy. (A) TTP and (B) 3-year survival time of patients with Raf1 high expression displayed a worse outcome compared with the patients with low or negative expression after radiotherapy (log-rank test, P=0.002 and P=0.034), respectively. P-value was analyzed by the log-rank test. TTP, time to progression.

Table II.

Univariate prognostic factor analyses for various clinical endpoints.

Table II.

Univariate prognostic factor analyses for various clinical endpoints.

TTPOS


FactorN(Median, M)P-value% (3-year)P-value
Sex 0.734 0.689
  Male6711 9.8
  Female4312 27.9
Age (years) 0.642 0.536
  ≤703114 10.1
  >707911 15.0
Smoking status 0.600 0.537
  Non-smoker6912 15.0
  Smoker4110 10.9
Lesion 0.194 0.655
  Peripheral7811 14.1
  Central3213 12.5
Histology 0.651 0.680
  SQCC7210 15.2
  ADC3811 13.7
Differentation 0.000 0.000
  Mederate7114 52.1
  Poor397 32.4
N stage 0.000 0.000
  cN06814 47.9
  cN1/N2429 22.7
T stage 0.000 0.000
  T12227 44.4
  T25313 35.1
  T3-4358 27.0
Radiotherapy 0.000 0.000
  CR4516 22.0
  PR4011 10.0
  SD257 0.3
Raf1 0.002 0.009
  Negative or low8913 10.9
  High218 0.1

[i] TTP, time to progression; OS, overall survival; M, months; Y, years; SQCC, squamous cell carcinoma; ADC, adenocarcinoma; CR, complete response; PR, partial response; SD, stable disease.

Table III.

Multivariable prognostic factor analyses for various clinical endpoints.

Table III.

Multivariable prognostic factor analyses for various clinical endpoints.

TTPOS


FactorHR95% CIP-valueHR95% CIP-value
Differentation4.022.35–6.850.002.831.70–4.720.00
N stage1.350.85–2.160.201.240.77–1.990.38
T stage2.631.78–3.870.002.191.52–3.160.00
Radiotherapy1.801.32–2.470.001.401.04–1.880.03
Raf1 expression1.941.16–3.250.011.640.98–2.750.06

[i] TTP, time to progression; OS, overall survival; HR, hazard ratio; CI, confidence interval.

We selected the poor and strong metastatic capabilities of lung cancer cell lines A549 and H1299 to further investigate the prognostic value of Raf1 in NSCLC after radiotherapy. The relationship between Raf1 expression and the proliferation and invasion of lung cancer cells was also studied by the following methods.

Raf1 expression in lung cancer A549 and H1299 cells

The qRT-PCR and western blot assay were conducted to determine the Raf1 expression in pulmonary carcinoma cell lines. The results showed that Raf1 was expressed in both cell lines and was higher in H1299 cells than in A549 cells (Fig. 3). The Raf1 expression in A549 and H1299 cells were upregulated and downregulated, respectively, after being transfected (Fig. 4).

Figure 3.

Raf1 expression in lung cancer cell lines with different metastatic potential. (A) Relative Raf1 mRNA expression in lung cell lines A549 and H1299. (B) Relative Raf1 protein levels in lung cell lines A549 and H1299. Data showed that Raf1 exhibited a relatively high expression in the highly metastatic potential lung cancer cell line H1299 but relatively low in the lower metastatic potential lung cancer cell line A549.

Figure 4.

Raf1 expression in lung cancer cell lines A549 and H1299 after transfection. (A and C) Raf1 expression was increased in the A549 cells compared with the vector control. (B and D) Raf1 expression was decreased in the H1299 cells compared with the negative control (NC). Error bars represent the mean ± SD of three independent experiments, **P<0.05.

Raf1 promotes pulmonary carcinoma cell invasion and migration

We performed a gain-of-function analysis in vitro to examine the effect of Raf1 on the invasion and migration of pulmonary carcinoma cells. The wound healing assay showed that the lateral migration capability was increased in the Raf1-overexpressing A549 cells and decreased in the Raf1-silenced H1299 cells (Fig. 5). Vertical migration capability with the same result was observed in the Transwell migration assay (Fig. 6). In the Transwell invasion assay, the invasion capability was enhanced in the Raf1-overexpressing A549 cells and decreased in the Raf1-silenced H1299 cells (Fig. 7). Collectively, these results suggest that Raf1 accelerated the migration and invasion of pulmonary carcinoma cells.

Figure 5.

Wound healing assay showed that Raf1 expression affects the lateral migration in lung cancer cells. (A) Lateral migration capability was enhanced after the Raf1 expression was upregulated in lung cancer cells A549. (B) Lateral migration capability was decreased after the Raf1 expression was downregulated in lung cancer cell H1299. h, hour; nc, negative control.

Figure 6.

Transwell migration assay demonstrated that Raf1 expression affects the vertical migration in lung cancer cells. (A) Vertical migration capability was enhanced after Raf1 expression was upregulated in lung cancer A549 cells. (B) Vertical migration capability was decreased after Raf1 expression was downregulated in lung cancer H1299 cells. (C) High expression of Raf1 increased the number of migrated cells in lung cancer H1299 and A549 cells. Error bars represent the mean ± SD of three independent experiments, **P<0.01.

Figure 7.

Transwell invasion assay shows that the Raf1 expression affects the invasion ability in lung cancer cells. (A) Invasion capability was enhanced after the Raf1 expression was upregulated in lung cancer A549 cells. (B) Invasion capability decreased after the Raf1 expression was downregulated in lung cancer H1299 cells. (C) High expression of Raf1 was increased the number of invaded cells in lung cancer H1299 and A549 cells. Error bars represent the mean ± SD of three independent experiments, **P<0.01.

Discussion

In the present study, we examined the Raf1 expression in NSCLC patients, analyzed the correlations between Raf1 expression and clinicopathological parameters and assessed the value of the Raf1 expression and predicted the prognosis in NSCLC patients with radiotherapy. The effect of Raf1 on the metastasis and invasion of lung cancer A549 and H1299 cells was also confirmed.

Raf1 is the main transmitter of cell growth and reproduction signal conversion (10). It guides the receptor signals from the cell membrane to the nucleus (11). Once activated, Raf1 phosphorylates and activates the RAF/MEK/ERK signaling pathway, which then regulates the cell cycle, proliferation, apoptosis, and migration (12–15). Extensive studies have shown that Raf1 is overexpressed in various types of cancers, and Raf1 plays important roles in conferring resistance to erlotinib in NSCLC cell lines (16), disease risk in oral squamous cell carcinoma (17) and osteosarcoma progression (18). Truncated Raf1 expression was found to confer resistance to mesenchymal-epithelial transition factor inhibition (19), and the Raf1/ERK tyrosine kinase pathway was found to be involved in regulating the gene expression of multidrug resistance protein in pancreatic cancer cells (20). The Raf1 gene is expressed in prostate cancer samples (6) and potential clinically actionable fusions in prostate cancer cases (21). Raf1 fusions have also been reported to stimulate a mitogen-activated kinase-like protein in pilocytic astrocytoma (22). Activated Raf1 can phosphorylate activated protein kinases MEK1 and MEK2, which consequently phosphorylate to activate the serine/threonine-specific protein kinases ERK1 and ERK2 (23); these protein kinases play an important role in controlling the gene expression involved in cell division, apoptosis, differentiation, and migration (24). In a transgenic mouse model, overexpression of Raf1 kinase was found to induce genetic events associated with dysplasia in a genetic model of lung cancer (25). These findings suggest that Raf1 may play a role in human malignancies.

Recent studies have shown that Raf1 is positively expressed in thyroid cancer compared with adjacent normal tissues (9). Raf1 signals were detected in 28 (15%) of 186 Chinese prostate cancer samples. High Raf1 genomic copy (>2 copies) was found to be correlated significantly with old age (>65 years) and high baseline PSA (>50 ng/ml) (6). In the present study, we determined the Raf1 expression in 110 NSCLC specimens. The percentage of Raf1-positive expression was 44.5% (49/110), and the rates of high and low expression were 19.1% (21/110) and 25.5% (28/110), respectively. The univariate analyses showed that Raf1 expression was significantly correlated with histological differentiation, lymph node metastasis, and T stage. The patients with Raf1 expression displayed early TTP and poor OS. The multivariate analyses showed that Raf1 was an independent risk factor for TTP in these patients, and Raf1 overexpression also played an important role in a poor 3-year OS compared with the patients with low and negative Raf1 expression. Yet, the difference was statistically insignificant (P=0.06). Significant results may have been obtained if the follow-up period was extended or the number of patients was increased. Furthermore, pcDNA3.1-Raf1 and Raf1-siRNA were used to transfect the A549 and H1299 cell lines, respectively, to further confirm the evidence linking Raf1 expression with metastasis or NSCLC recurrence. The wound healing and Transwell assays showed that Raf1 high-expressing cells showed strong invasion and migration capabilites when compared with the low expressing A549 and H1299 cells. These results agree partially with the findings that Raf1 is associated with cancer cell proliferation and invasion in pancreatic and colorectal cancer types (20,26). Studies have also shown that histone deacetylase inhibitors through transcriptional downregulation of Raf1 suppressed c-Jun/Fra-1-mediated proliferation in neuroblastoma cells (27). Blocking Raf1 expression with microRNAs was found to inhibit the proliferation and invasion of thyroid and colorectal cancer types (9,28). The molecular mechanisms related to the participation of Raf1 in the invasive process in NSCLC remain elusive. Therefore, further studies are required to clarify these mechanisms.

In conclusion, our results demonstrated that the high level of Raf1 expression in NSCLC tissue samples was associated with an early TTP and an adverse prognosis in patients with NSCLC. Raf1 expression was positively correlated with the invasion and migration capabilities of lung cancer A549 and H1299 cells.

Acknowledgements

The authors would like to thank the members of the Department of Pathology and the Research Center of Clinical Oncology, The Affiliated Jiangsu Cancer Hospital of Nanjing Medical University for providing the paraffin-embedded biopsies and technical assistance, respectively.

Funding

No funding was received.

Availability of data and materials

All data generated or analysed during this study are included in this published article.

Authors' contributions

XH and HT conceived and designed the experiments. HT performed the experiments. JZW and LY coordinated the research and analyzed the data. HT and LY wrote the manuscript. KD, XHW and YYX supported the experiments and helped to draft the manuscript. JZW provided the financial support and supervised laboratorial processes. All authors read and approved the final manuscript.

Ethics approval and consent to participate

This study was approved by the Ethics Committee of Jiangsu Cancer Hospital. Written informed consent was obtained from all patients before treatment initiation.

Consent for publication

Not applicable.

Competing interests

The authors declare that they have no competing interests.

References

1 

Jemal A, Bray F, Center MM, Ferlay J, Ward E and Forman D: Global cancer statistics. CA Cancer J Clin. 61:69–90. 2011. View Article : Google Scholar : PubMed/NCBI

2 

Ettinger DS, Akerley W, Borghaei H, Chang AC, Cheney RT, Chirieac LR, D'Amico TA, Demmy TL, Ganti AK, Govindan R, et al: Non-small cell lung cancer. J Natl Compr Canc Netw. 10:1236–1271. 2012. View Article : Google Scholar : PubMed/NCBI

3 

Siegel RL, Miller KD and Jemal A: Cancer statistics. CA Cancer J Clin. 66:7–30. 2016. View Article : Google Scholar : PubMed/NCBI

4 

Torre LA, Siegel RL and Jemal A: Lung Cancer statistics. Adv Exp Med Biol. 893:1–19. 2016. View Article : Google Scholar : PubMed/NCBI

5 

Cobb MH, Hepler JE, Cheng M and Robbins D: The mitogen-activated protein kinases, ERK1 and ERK2. Semin Cancer Biol. 5:261–268. 1994.PubMed/NCBI

6 

Ren G, Liu X, Mao X, Zhang Y, Stankiewicz E, Hylands L, Song R, Berney DM, Clark J, Cooper C and Lu YJ: Identification of frequent BRAF copy number gain and alterations of RAF genes in Chinese prostate cancer. Genes Chromosomes Cancer. 51:1014–1023. 2012. View Article : Google Scholar : PubMed/NCBI

7 

Slattery ML, Lundgreen A and Wolff RK: MAP kinase genes and colon and rectal cancer. Carcinogenesis. 33:2398–2408. 2012. View Article : Google Scholar : PubMed/NCBI

8 

Borovski T, Vellinga TT, Laoukili J, Santo EE, Fatrai S, van Schelven S, Verheem A, Marvin DL, Ubink I, Borel Rinkes IHM and Kranenburg O: Inhibition of RAF1 kinase activity restores apicobasal polarity and impairs tumour growth in human colorectal cancer. Gut. 66:1106–1115. 2017. View Article : Google Scholar : PubMed/NCBI

9 

Wang F, Jiang C, Sun Q, Yan F, Wang L, Fu Z, Liu T and Hu F: miR-195 is a key regulator of raf1 in thyroid cancer. Onco Targets Ther. 8:3021–3028. 2015. View Article : Google Scholar : PubMed/NCBI

10 

Wellbrock C, Karasarides M and Marais R: The RAF proteins take centre stage. Nat Rev Mol Cell Biol. 5:875–885. 2004. View Article : Google Scholar : PubMed/NCBI

11 

McKay MM and Morrison DK: Integrating signals from RTKs to ERK/MAPK. Oncogene. 26:3113–3121. 2007. View Article : Google Scholar : PubMed/NCBI

12 

McCubrey JA, Steelman LS, Chappell WH, Abrams SL, Wong EW, Chang F, Lehmann B, Terrian DM, Milella M, Tafuri A, et al: Roles of the Raf/MEK/ERK pathway in cell growth, malignant transformation and drug resistance. Biochim Biophys Acta. 1773:1263–1284. 2007. View Article : Google Scholar : PubMed/NCBI

13 

Steelman LS, Chappell WH, Abrams SL, Kempf RC, Long J, Laidler P, Mijatovic S, Maksimovic-Ivanic D, Stivala F, Mazzarino MC, et al: Roles of the Raf/MEK/ERK and PI3K/PTEN/Akt/mTOR pathways in controlling growth and sensitivity to therapy-implications for cancer and aging. Aging (Albany NY). 3:192–222. 2011. View Article : Google Scholar : PubMed/NCBI

14 

Hwang YH, Choi JY, Kim S, Chung ES, Kim T, Koh SS, Lee B, Bae SH, Kim J and Park YM: Over-expression of c-raf-1 proto-oncogene in liver cirrhosis and hepatocellular carcinoma. Hepatol Res. 29:113–121. 2004. View Article : Google Scholar : PubMed/NCBI

15 

Kyriakis JM, App H, Zhang XF, Banerjee P, Brautigan DL, Rapp UR and Avruch J: Raf-1 activates MAP kinase-kinase. Nature. 358:417–421. 1992. View Article : Google Scholar : PubMed/NCBI

16 

Xu ZH, Hang JB, Hu JA and Gao BL: RAF1-MEK1-ERK/AKT axis may confer NSCLC cell lines resistance to erlotinib. Int J Clin Exp Pathol. 6:1493–504. 2013.PubMed/NCBI

17 

Kordi-Tamandani DM, Saberi E, Jamali S and Ladiz MA: ERK and RAF1 gene: Analysis of methylation and expression profiles in patients with oral squamous cell carcinoma. Br J Biomed Sci. 71:100–103. 2014. View Article : Google Scholar : PubMed/NCBI

18 

Chen L, Wang Q, Wang GD, Wang HS, Huang Y, Liu XM and Cai XH: Mir-16 inhibits cell proliferation by targeting IGF1R and the Raf1-MEK1/2-ERK1/2 pathway in osteosarcoma. FEBS Lett. 587:1366–1372. 2013. View Article : Google Scholar : PubMed/NCBI

19 

Petti C, Picco G, Martelli ML, Trisolini E, Bucci E, Perera T, Isella C and Medico E: Truncated RAF kinases drive resistance to MET inhibition in MET-addicted cancer cells. Oncotarget. 6:221–233. 2015. View Article : Google Scholar : PubMed/NCBI

20 

Xiao Z, Ding N, Xiao G, Wang S, Wu Y and Tang L: Reversal of multidrug resistance by gefitinib via RAF1/ERK pathway in pancreatic cancer cell line. Anat Rec (Hoboken). 295:2122–2128. 2012. View Article : Google Scholar : PubMed/NCBI

21 

Robinson D, Van Allen EM, Wu YM, Schultz N, Lonigro RJ, Mosquera JM, Montgomery B, Taplin ME, Pritchard CC and Attard G: Integrative clinical genomics of advanced prostate cancer. Cell. 161:1215–1228. 2015. View Article : Google Scholar : PubMed/NCBI

22 

Lawson AR, Tatevossian RG, Phipps KP, Picker SR, Michalski A, Sheer D, Jacques TS and Forshew T: RAF gene fusions are specific to pilocytic astrocytoma in a broad paediatric brain tumour cohort. Acta Neuropathol. 120:271–273. 2010. View Article : Google Scholar : PubMed/NCBI

23 

Brennan DF, Dar AC, Hertz NT, Chao WC, Burlingame AL, Shokat KM and Barford D: A Raf-induced allosteric transition of KSR stimulates phosphorylation of MEK. Nature. 472:366–369. 2011. View Article : Google Scholar : PubMed/NCBI

24 

Li P, Wood K, Mamon H, Haser W and Roberts T: Raf-1: A kinase currently without a cause but not lacking in effects. Cell. 64:479–482. 1991. View Article : Google Scholar : PubMed/NCBI

25 

Rohrbeck A, Müller VS and Borlak J: Molecular characterization of lung dysplasia induced by c-Raf-1. PLoS One. 4:e56372009. View Article : Google Scholar : PubMed/NCBI

26 

Li X, Stevens PD, Liu J, Yang H, Wang W, Wang C, Zeng Z, Schmidt MD, Yang M, Lee EY and Gao T: PHLPP is a negative regulator of RAF1, which reduces colorectal cancer cell motility and prevents tumor progression in mice. Gastroenterology. 146:1301–1312. 2014. View Article : Google Scholar : PubMed/NCBI

27 

He W, Wu Y, Tang X, Xia Y, He G, Min Z, Li C, Xiong S, Shi Z, Lu Y and Yuan Z: HDAC inhibitors suppress c-Jun/Fra-1-mediated proliferation through transcriptionally downregulating MKK7 and Raf1 in neuroblastoma cells. Oncotarget. 7:6727–6747. 2016.PubMed/NCBI

28 

Chai J, Wang S, Han D, Dong W, Xie C and Guo H: MicroRNA-455 inhibits proliferation and invasion of colorectal cancer by targeting RAF proto-oncogene serine/threonine-protein kinase. Tumour Biol. 36:1313–1321. 2015. View Article : Google Scholar : PubMed/NCBI

Related Articles

  • Abstract
  • View
  • Download
  • Twitter
Copy and paste a formatted citation
Spandidos Publications style
Tian H, Yin L, Ding K, Xia YY, Wang XH, Wu JZ and He X: Raf1 is a prognostic factor for progression in patients with non‑small cell lung cancer after radiotherapy. Oncol Rep 39: 1966-1974, 2018.
APA
Tian, H., Yin, L., Ding, K., Xia, Y., Wang, X., Wu, J., & He, X. (2018). Raf1 is a prognostic factor for progression in patients with non‑small cell lung cancer after radiotherapy. Oncology Reports, 39, 1966-1974. https://doi.org/10.3892/or.2018.6277
MLA
Tian, H., Yin, L., Ding, K., Xia, Y., Wang, X., Wu, J., He, X."Raf1 is a prognostic factor for progression in patients with non‑small cell lung cancer after radiotherapy". Oncology Reports 39.4 (2018): 1966-1974.
Chicago
Tian, H., Yin, L., Ding, K., Xia, Y., Wang, X., Wu, J., He, X."Raf1 is a prognostic factor for progression in patients with non‑small cell lung cancer after radiotherapy". Oncology Reports 39, no. 4 (2018): 1966-1974. https://doi.org/10.3892/or.2018.6277
Copy and paste a formatted citation
x
Spandidos Publications style
Tian H, Yin L, Ding K, Xia YY, Wang XH, Wu JZ and He X: Raf1 is a prognostic factor for progression in patients with non‑small cell lung cancer after radiotherapy. Oncol Rep 39: 1966-1974, 2018.
APA
Tian, H., Yin, L., Ding, K., Xia, Y., Wang, X., Wu, J., & He, X. (2018). Raf1 is a prognostic factor for progression in patients with non‑small cell lung cancer after radiotherapy. Oncology Reports, 39, 1966-1974. https://doi.org/10.3892/or.2018.6277
MLA
Tian, H., Yin, L., Ding, K., Xia, Y., Wang, X., Wu, J., He, X."Raf1 is a prognostic factor for progression in patients with non‑small cell lung cancer after radiotherapy". Oncology Reports 39.4 (2018): 1966-1974.
Chicago
Tian, H., Yin, L., Ding, K., Xia, Y., Wang, X., Wu, J., He, X."Raf1 is a prognostic factor for progression in patients with non‑small cell lung cancer after radiotherapy". Oncology Reports 39, no. 4 (2018): 1966-1974. https://doi.org/10.3892/or.2018.6277
Follow us
  • Twitter
  • LinkedIn
  • Facebook
About
  • Spandidos Publications
  • Careers
  • Cookie Policy
  • Privacy Policy
How can we help?
  • Help
  • Live Chat
  • Contact
  • Email to our Support Team