International Journal of Molecular Medicine is an international journal devoted to molecular mechanisms of human disease.
International Journal of Oncology is an international journal devoted to oncology research and cancer treatment.
Covers molecular medicine topics such as pharmacology, pathology, genetics, neuroscience, infectious diseases, molecular cardiology, and molecular surgery.
Oncology Reports is an international journal devoted to fundamental and applied research in Oncology.
Experimental and Therapeutic Medicine is an international journal devoted to laboratory and clinical medicine.
Oncology Letters is an international journal devoted to Experimental and Clinical Oncology.
Explores a wide range of biological and medical fields, including pharmacology, genetics, microbiology, neuroscience, and molecular cardiology.
International journal addressing all aspects of oncology research, from tumorigenesis and oncogenes to chemotherapy and metastasis.
Multidisciplinary open-access journal spanning biochemistry, genetics, neuroscience, environmental health, and synthetic biology.
Open-access journal combining biochemistry, pharmacology, immunology, and genetics to advance health through functional nutrition.
Publishes open-access research on using epigenetics to advance understanding and treatment of human disease.
An International Open Access Journal Devoted to General Medicine.
In late 2019, a type of pneumonia of unknown origin was reported in Wuhan, China (1). The causative pathogen was then identified as a novel β-coronavirus, and was subsequently named severe acute respiratory syndrome coronavirus 2 (SARS-CoV2) (1,2). Since then, there has been a rapid spread of the virus worldwide, leading the World Health Organization (WHO) to declare SARS-CoV2 outbreak a global pandemic on March 11, 2020(3).
The majority of infected individuals who develop disease from SARS-CoV2 infection (COVID-19) exhibit a mild-to-moderate illness (80%); however, 14% suffer from serious disease and in 6% of cases, this evolves towards a severe acute respiratory distress syndrome (ARDS), requiring intensive care support (4).
Up to the May 23, 2020, >5 million cases of SARS-CoV2 infections were reported and 340,260 individuals succumbed to the disease worldwide. To date, a total of 228,658 cases have been reported in Italy, 35,616 of which have not survived (5).
There are no proven specific antiviral agents for the treatment of COVID-19; nevertheless, several new and old molecules have been used in the context of clinical trials, while waiting for solid evidences to render drug administration safer and more precise (6).
A role has been claimed for the monoclonal antibody, tocilizumab, that blocks the cellular receptor of interleukin (IL)-6, playing a crucial role in the development and maintenance of inflammation. In addition, oxygen support plays a key role in the management of severe cases of COVID-19(7). In that context, high-flow nasal cannula (HFNC) oxygenation may represent a promising therapeutic support option in the governance of these critically ill patients.
The present study reports the cases of 3 patients critically ill with COVID-19, confirmed by positive results of SARS-CoV2 RT-PCR on nasopharyngeal swab; the conditions of the patients markedly improved and they were successfully discharged following tocilizumab administration and HFNC treatment.
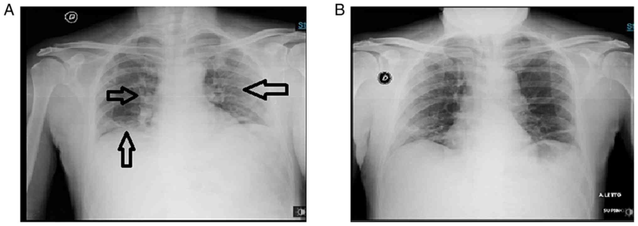
Upon admission, the patient was feverish (temperature, 37.5˚C), with a blood pressure of 110/70 mmHg, a heart rate (HR) of 92 bpm, oxygen saturation rate of 89% in room air and a respiratory rate (RR) of 23/min. Blood tests revealed elevated levels of inflammatory markers along with lymphopenia (Table I). Arterial blood analysis in room air revealed a partial pressure of oxygen (PO2) rate of 60 mmHg, a partial pressure of carbon dioxide (PCO2) rate of 36 mmHg, pH 7.46, and an arterial partial pressure of oxygen (PaO2)/fractional inspired oxygen (FiO2) ratio of 285. A chest X-ray revealed bilateral interstitial pneumonia (Fig. 1).
Table IDemographics, clinical characteristics at the time of admission, treatment and outcomes of the 3 patients with COVID-19. |
He was administered darunavir/cobicistat (800+150 mg/day), hydroxychloroquine (400 mg/day, after loading dose), azithromycin (500 mg/day), enoxaparin (6,000 UI/day). Moreover, he was administered oxygen with a Venturi mask at 14 l/min (FiO2 60%).
On the 3rd day from the time of admission, due to the worsening of RR (32/min; PaO2 75 mmHg; PCO2 37 mmHg; pH 7.46; PaO2/FiO2 126), he was administered oxygen ventilation with HFNC (Optiflow™ Nasal High Flow Therapy delivered by AIRVO™ 2), 50 l/min, FiO2 50%. On the same day, the patient was administered tocilizumab 8 mg/kg i.v., at 2 consecutive doses within 12 h.
Within 2 days from tocilizumab administration, the clinical status and respiratory performances of the patient markedly improved. HFNC ventilation was continued for a further 6 days. Subsequently, HFNC treatment was slowly reduced by interchanging it with a Venturi mask for another 2 days, at which time high-flow ventilation was definitively terminated. Both arterial blood analysis and chest X-rays revealed progressive amelioration.
Upon admission, the patient was feverish (temperature, 38.5˚C), blood pressure was 140/80 mmHg, HR was 100 bpm, oxygen saturation was 91% in room air and the RR was 24/min. Blood tests revealed high levels of inflammatory markers along with lymphopenia (Table I). Arterial blood analysis in room air revealed PaO2 50 mmHg, PCO2 35 mmHg, and pH 7.44; the PaO2/FiO2 ratio was 238. Her chest X-ray revealed bilateral ground glass areas without consolidations (Fig. 2).
The patient was administered lopinavir/ritonavir (200 mg/50 mg 4 tabs/day per os), hydroxychloroquine (400 mg/day per os, after loading dose), azithromycin (500 mg/day per os), ceftriaxone (2 gr/day, i.v.) and enoxaparin (6,000 UI/day). Furthermore, she was administered oxygen support therapy with a Venturi mask (12 l/min, FiO2 60%).
On day 2 from the time of admission, her clinical conditions began to deteriorate, with chest X-ray results worsening. She became dyspneic (RR was 30/min) and arterial blood analysis during oxygen ventilation revealed a PaO2 of 80 mmHg, PCO2 of 33.4 mmHg, pH 7.38 (PaO2/FiO2 ratio was 133). She was administered HFNC ventilation (50 l/min, FiO2 60%) and tocilizumab was also administered intravenously, at 2 doses of 8 mg/kg, 12 h apart.
Within 24 h, her clinical condition began to improve with a marked improvement in the chest X-ray results. The levels of serum inflammatory markers also decreased. At 6 days following the administration of tocilizumab, HFNC treatment was slowly reduced, interchanging it with a Venturi mask every 6 h. After 11 days, HFNC was terminated and treatment with a Venturi mask was continued until discharge.
Upon admission, the patient was feverish (37.8˚C), with a blood pressure of 140/70 mmHg, HR of 100 bpm, RR of 25/min and an oxygen saturation of 90% in room air. Blood tests revealed high levels of inflammatory markers (Table I). Arterial blood analysis in room air revealed a PO2 of 53 mmHg, PCO2 of 37 mmHg, pH 7.45 and a PaO2/FiO2 of 250. A chest X-ray revealed bilateral interstitial pneumonia without consolidation (Fig. 3).
The patient was administered darunavir/cobicistat (800+150 mg/day), hydroxychloroquine (400 mg/day after loading dose), azithromycin (500 mg/day), ceftriaxone (2 g/day) and enoxaparin (6,000 UI/day). Furthermore, she was administered oxygen therapy with a Venturi mask at 14 l/min (FiO2 60%).
In spite of treatment, the clinical status of the patient deteriorated (on the 3rd day from the time of admission) together with a deterioration in the RR (34/min) and an extension of bilateral infiltrates on chest X-rays. Since the arterial gas analysis values worsened (PaO2 72 mmHg, PCO2 37 mmHg, pH 7.47, PaO2/FiO2 120), HFNC ventilation was commenced (50 l/min, FiO2 60%) and 2 doses of tocilizumab (8 mg/kg) were administered intravenously within 12 h.
At 36 h following the commencement of HFNC and tocilizumab administration, the clinical condition of the patient began to progressively improve. HFNC was terminated within 10 days, and a Venturi mask was used for 4 days. Two consecutive Chest X-rays revealed a clear-cut improvement of the bilateral interstitial infiltrative lesions.
There are two main pathogenetic stages in the development of COVID-19. Namely, the ‘viral phase’ due to viral intracellular replication, including of mild symptoms (8); and an ‘inflammatory phase’ due to the host immune response, including severe respiratory symptoms and even ARDS with a marked increase in levels of serum inflammatory markers, known as the so-called ‘cytokine storm’ (8,9). In each of these phases, in the cases presented herein, successful treatment intervention was achieved with different treatments.
Treatment for the viral phase has been based on the uncertain antiviral activity of certain molecules, such as lopinavir/ritonavir or darunavir/cobicistat (10), hydroxychloroquine (11) and azithromycin (12), along with enoxaparin, in prophylactic or therapeutic dosage, to treat the ipercoagulative status (13).
The Infectious Diseases Society of America (IDSA) guidelines (6) recommend the use of antiviral drugs only in the context of clinical trials, with accurate caution to the collateral effects, which may be particularly pernicious (such as QT prolongation for azithromycin and hydroxychloroquine as well as important bleeding for enoxaparin or diarrhea with lopinavir/ritonavir).
According to the clinical conditions of the patients presented herein, it was decided that they should be administered a short course of antiviral drugs and a prophylactic dose of enoxaparin. They exhibited no adverse drug reactions. Moreover, QTc daily was assessed without any evidence of prolongation.
IL-6 is a relevant marker of inflammation implicated in the COVID-19 cytokine burst. The IL-6 level can assist clinicians in recognizing patients with a major risk of severe disease progression (14). Tocilizumab, which is a recombinant monoclonal antibody targeting the IL-6 receptor, has been already used in the treatment of rheumatoid arthritis and Crohn's disease (15). To date, only a small group of patients or simple studies have reported the use of tocilizumab in the treatment of patients with severe COVID-19 infection, achieving promising clinical results (15,16).
Tocilizumab can be used in patients with extensive bilateral lung involvements or in patients with severe/critical illness, with elevated levels of serum IL-6. The dose is 8 mg/kg i.v., diluted in 100 ml of 0.9% saline solution. For patients with a poor clinical response, a second dose could be administered after 8-12 h (17).
In the cases presented herein, two 8 mg/kg tocilizumab doses were administered intravenously, 12 h apart. The patients did not exhibit any adverse drug reactions. Prior to the tocilizumab administration, the hepatitis B virus (HBV) status of the patients was assessed and latent tuberculosis infection was excluded by specific interferon (IFN)-γ assay. Repeated chest X-rays revealed the progressive reabsorption of interstitial exudation in all cases.
High-flow oxygen systems (such as HFNC) provide heated, oxygen-rich, humidified gas to the patient at flow levels sufficient to deliver a constant, precisely set high FiO2 (7). HFNC flow rates reach up to 60 l/min, reducing the pulmonary dead space, providing low levels of positive end-expiratory pressure (PEEP), and decreasing breathing frequency and effort (18). The use of HFNC is associated with a lower mortality rate in hypoxemic respiratory failure (19). Compared to non-invasive ventilation (NIV) oxygen therapy, HFNC is associated with a decreased need of subsequent intubation and ICU admission (20,21), and with a lower risk of 30-day mortality in patients with pneumonia (22).
Moreover, patients have found HFNC to be more comfortable and better tolerated than NIV and the management of HFNC is relatively easier (23). In a retrospective study of 610 COVID19-positive patients from China, where 10% of the affected patients required critical care, an early use of HFNC was associated with a reduced necessity of mechanical ventilation and a lower mortality rate (24). Furthermore, HFNC has been shown to be associated with a significantly lower risk of bioaerosol dispersion, reducing the risk of hospital-acquired infections for health workers (25).
Following HFNC ventilation, the patients in the present study achieved a marked improvement in respiratory function, as well as lower respiratory fatigue, with better results on arterial gas analysis. Teh initial approach included 24-h HFNC, and this was then interchanged with a Venturi mask (every 6 h) to avoid sudden interruption.
It should be noted that it is probable that the cases presented herein were successfully influenced by the age of the patients (they were not that elderly) and as regards the first 2 patients, by the absence of comorbidities. Moreover, their admission occurred only a few days following the onset of symptoms and the level of lymphopenia was not so severe, whereas their IL-6 levels were considerably elevated. All patients were discharged with 2 negative results RT-PCR for SARS-CoV2 on a nasopharyngeal swab.
In conclusion, SARS-CoV2 infection arrived ‘out of the blue’ for the entire world, even in Italy. In Sicily, in South Italy, inhabitants were warned by what had already occurred in North Italy. Moreover, lockdown measures and therapeutic experiences coming from more affected areas greatly assisted the condition.
On the whole, as demonstrated herein, COVID-19-postitive patients progressing towards a more severe course may benefit from the synergistic effects of treatment with intravenously administered tocilizumab and oxygen ventilation with HFNC. Herein, 3 cases are reported, which progressed towards a marked amelioration and resolution of the disease following treatment with such a combination.
As far as was currently known up to the time of the preparation of this manuscript, to the best of our knowledge, the presently reported case series is the first to focus on the synergistic efficacy of the combined use of tocilizumab and HFNC. However, extensive randomized controlled trials (RCTs) are warranted in order to confirm the beneficial effects of such treatments and to standardize indications and timing.
The authors would like to thank Dr Pietro Leanza for his kind English revision of the manuscript.
No funding was received.
Data sharing is not applicable to this article as no datasets were generated or analyzed during the current study.
All authors (AM, AP, DS, FC, VM, MC, MG, BMC, RB, SB, GN and BC) contributed to the study conception and design. AM wrote the manuscript. AP, DS, FC, VM and SB revised the literature and references. MG, BMC and MC provided clinical assistance to the patients. RB was responsible for the laboratory tests and pharmacological treatments. GN and BC revised the manuscript. All authors read and approved the final manuscript.
Informed consent was obtained from all individual participants included in the present case series.
Written informed consent was obtained from the patient for publication of this case report and accompanying images.
The authors declare that they have no competing interests.
|
Zhu N, Zhang D, Wang W, Li X, Yang B, Song J, Zhao X, Huang B, Shi W, Lu R, et al: A novel coronavirus from patients with pneumonia in China, 2019. N Engl J Med. 382:727–733. 2020.PubMed/NCBI View Article : Google Scholar | |
|
WHO. Coronavirus (COVID-19) events as they happen. https://www.who.int/emergencies/diseases/novel-coronavirus-2019/events-as-they-happen. 2020. Access date, April 26, 2020. | |
|
WHO: Events as they happen. Rolling updates on coronavirus disease (COVID-19). WHO, 2020. | |
|
Wang D, Hu B, Hu C, Zhu F, Liu X, Zhang J, Wang B, Xiang H, Cheng Z, Xiong Y, et al: Clinical characteristics of 138 hospitalized patients with 2019 novel coronavirus-infected pneumonia in Wuhan, China. JAMA. 323:1061–1069. 2020.PubMed/NCBI View Article : Google Scholar | |
|
Riccardo F, Ajelli M, Andrianou X, Bella A, Del Manso M, Fabiani M, Bellino S, Boros S, Urdiales AM, et al: Epidemiological characteristics of COVID-19 cases in Italy and estimates of the reproductive numbers one month into the epidemic. medRxiv, 2020. doi: https://doi.org/10.1101/2020.04.08.20056861. | |
|
Bhimraj A, Morgan RL, Shumaker AH, Lavergne V, Baden L, Cheng VC, Edwards KM, Gandhi R, Muller WJ, O'Horo JC, et al: Infectious diseases society of America Guidelines on the Treatment and Management of Patients with COVID-19. Clin Infect Dis Apr: Apr 27 doi: 10.1093/cid/ciaa478 (Epub ahead of print). | |
|
Whittle JS, Pavlov I, Sacchetti AD, Atwood C and Rosenberg MS: Respiratory support for adult patients with COVID-19. J Am Coll Emerg Physicians Open: Apr 2020 doi: 10.1002/emp2.12071. | |
|
Shi Y, Wang Y, Shao C, Huang J, Gan J, Huang X, Bucci E, Piacentini M, Ippolito G and Melino G: COVID-19 infection: The perspectives on immune responses. Cell Death Differ. 27:1451–1454. 2020.PubMed/NCBI View Article : Google Scholar | |
|
Marino A, Cosentino F, Pampaloni A, Scuderi D, Moscatt V, Gussio M, Onorante A, Zagami A, Torrisi S, Grasso S, et al: Role of tocilizumab and high flow nasal cannula in the clinical management of severe Covid-19. J Clin Trials. 10(427)2020. | |
|
Cao B, Wang Y, Wen D, Liu W, Wang J, Fan G, Ruan L, Song B, Cai Y, Wei M, et al: A Trial of lopinavir-ritonavir in adults hospitalized with severe covid-19. N Engl J Med. 382:1787–1799. 2020.PubMed/NCBI View Article : Google Scholar | |
|
Taccone FS, Gorham J and Vincent JL: Hydroxychloroquine in the management of critically ill patients with COVID-19: The need for an evidence base. Lancet Respir Med. 8:539–541. 2020.PubMed/NCBI View Article : Google Scholar | |
|
Felsenstein S, Herbert JA, McNamara PS and Hedrich CM: COVID-19: Immunology and treatment options. Clin Immunol [Internet]. 2020/04/27. 2020 Jun; 215:108448. Available from: https://www.ncbi.nlm.nih.gov/pmc/articles/PMC7185015/. | |
|
Cattaneo M, Bertinato EM, Birocchi S, Brizio C, Malavolta D, Manzoni M, Muscarella G and Orlandi M: Pulmonary embolism or pulmonary thrombosis in COVID-19? Is the recommendation to use high-dose heparin for thromboprophylaxis justified? Thromb Haemost. 120:1230–1232. 2020.PubMed/NCBI View Article : Google Scholar | |
|
Aziz M, Aziz M, Fatima R and Assaly R: Elevated Interleukin-6 and Severe COVID-19: A meta-analysis. Med Virol: 28 April, 2020 https://doi.org/10.1002/jmv.25948. | |
|
Zhang C, Wu Z, Li JW, Zhao H and Wang GQ: The cytokine release syndrome (CRS) of severe COVID-19 and Interleukin-6 receptor (IL-6R) antagonist Tocilizumab may be the key to reduce the mortality. Int J Antimicrob Agents. 55(105954)2020.PubMed/NCBI View Article : Google Scholar | |
|
Luo P, Liu Y, Qiu L, Liu X, Liu D and Li J: Tocilizumab treatment in COVID-19: A single center experience. J Med Virol: 6 April, 2020 https://doi.org/10.1002/jmv.25801. | |
|
Fu B, Xu X and Wei H: Why tocilizumab could be an effective treatment for severe COVID-19? J Trans Med. 18(164)2020.PubMed/NCBI View Article : Google Scholar | |
|
Nishimura M: High-flow nasal cannula oxygen therapy in adults. J Intensive Care. 3(15)2015.PubMed/NCBI View Article : Google Scholar | |
|
Frat JP, Thille AW, Mercat A, Girault C, Ragot S, Perbet S, Prat G, Boulain T, Morawiec E, Cottereau A, et al: High-flow oxygen through nasal cannula in acute hypoxemic respiratory failure. N Engl J Med. 372:2185–2196. 2015.PubMed/NCBI View Article : Google Scholar | |
|
Rochwerg B, Granton D, Wang DX, Helviz Y, Einav S, Frat JP, Mekontso-Dessap A, Schreiber A, Azoulay E, Mercat A, et al: High flow nasal cannula compared with conventional oxygen therapy for acute hypoxemic respiratory failure: A systematic review and meta-analysis. Intensive Care Med. 45:563–572. 2019.PubMed/NCBI View Article : Google Scholar | |
|
Nagata K, Morimoto T, Fujimoto D, Otoshi T, Nakagawa A, Otsuka K, Seo R, Atsumi T and Tomii K: Efficacy of high-flow nasal Cannula therapy in acute hypoxemic respiratory failure: Decreased use of mechanical ventilation. Respir Care. 60:1390–1396. 2015.PubMed/NCBI View Article : Google Scholar | |
|
Koga Y, Kaneda K, Fujii N, Tanaka R, Miyauchi T, Fujita M, Hidaka K, Oda Y and Tsuruta R: Comparison of high-flow nasal cannula oxygen therapy and non-invasive ventilation as first-line therapy in respiratory failure: A multicenter retrospective study. Acute Med Surg. 7(e461)2019.PubMed/NCBI View Article : Google Scholar | |
|
Wang K, Zhao W, Li J, Shu W and Duan J: The experience of high-flow nasal cannula in hospitalized patients with 2019 novel coronavirus-infected pneumonia in two hospitals of Chongqing, China. Ann Intensive Care. 10(37)2020.PubMed/NCBI View Article : Google Scholar | |
|
Guan WJ, Ni ZY, Hu Y, Liang WH, Ou CQ, He JX, Liu L, Shan H, Lei CL, Hui DSC, et al: Clinical characteristics of coronavirus disease 2019 in China. N Engl J Med. 382:1708–1720. 2020.PubMed/NCBI View Article : Google Scholar | |
|
Li J, Fink JB and Ehrmann S: High-flow nasal cannula for COVID-19 patients: Low risk of bio-aerosol dispersion. Eur Respir J. 55(2000892)2020.PubMed/NCBI View Article : Google Scholar |