Spandidos Publications Logo
  • About
    • About Spandidos
    • Aims and Scopes
    • Abstracting and Indexing
    • Editorial Policies
    • Reprints and Permissions
    • Job Opportunities
    • Terms and Conditions
    • Contact
  • Journals
    • All Journals
    • Oncology Letters
      • Oncology Letters
      • Information for Authors
      • Editorial Policies
      • Editorial Board
      • Aims and Scope
      • Abstracting and Indexing
      • Bibliographic Information
      • Archive
    • International Journal of Oncology
      • International Journal of Oncology
      • Information for Authors
      • Editorial Policies
      • Editorial Board
      • Aims and Scope
      • Abstracting and Indexing
      • Bibliographic Information
      • Archive
    • Molecular and Clinical Oncology
      • Molecular and Clinical Oncology
      • Information for Authors
      • Editorial Policies
      • Editorial Board
      • Aims and Scope
      • Abstracting and Indexing
      • Bibliographic Information
      • Archive
    • Experimental and Therapeutic Medicine
      • Experimental and Therapeutic Medicine
      • Information for Authors
      • Editorial Policies
      • Editorial Board
      • Aims and Scope
      • Abstracting and Indexing
      • Bibliographic Information
      • Archive
    • International Journal of Molecular Medicine
      • International Journal of Molecular Medicine
      • Information for Authors
      • Editorial Policies
      • Editorial Board
      • Aims and Scope
      • Abstracting and Indexing
      • Bibliographic Information
      • Archive
    • Biomedical Reports
      • Biomedical Reports
      • Information for Authors
      • Editorial Policies
      • Editorial Board
      • Aims and Scope
      • Abstracting and Indexing
      • Bibliographic Information
      • Archive
    • Oncology Reports
      • Oncology Reports
      • Information for Authors
      • Editorial Policies
      • Editorial Board
      • Aims and Scope
      • Abstracting and Indexing
      • Bibliographic Information
      • Archive
    • Molecular Medicine Reports
      • Molecular Medicine Reports
      • Information for Authors
      • Editorial Policies
      • Editorial Board
      • Aims and Scope
      • Abstracting and Indexing
      • Bibliographic Information
      • Archive
    • World Academy of Sciences Journal
      • World Academy of Sciences Journal
      • Information for Authors
      • Editorial Policies
      • Editorial Board
      • Aims and Scope
      • Abstracting and Indexing
      • Bibliographic Information
      • Archive
    • International Journal of Functional Nutrition
      • International Journal of Functional Nutrition
      • Information for Authors
      • Editorial Policies
      • Editorial Board
      • Aims and Scope
      • Abstracting and Indexing
      • Bibliographic Information
      • Archive
    • International Journal of Epigenetics
      • International Journal of Epigenetics
      • Information for Authors
      • Editorial Policies
      • Editorial Board
      • Aims and Scope
      • Abstracting and Indexing
      • Bibliographic Information
      • Archive
    • Medicine International
      • Medicine International
      • Information for Authors
      • Editorial Policies
      • Editorial Board
      • Aims and Scope
      • Abstracting and Indexing
      • Bibliographic Information
      • Archive
  • Articles
  • Information
    • Information for Authors
    • Information for Reviewers
    • Information for Librarians
    • Information for Advertisers
    • Conferences
  • Language Editing
Spandidos Publications Logo
  • About
    • About Spandidos
    • Aims and Scopes
    • Abstracting and Indexing
    • Editorial Policies
    • Reprints and Permissions
    • Job Opportunities
    • Terms and Conditions
    • Contact
  • Journals
    • All Journals
    • Biomedical Reports
      • Information for Authors
      • Editorial Policies
      • Editorial Board
      • Aims and Scope
      • Abstracting and Indexing
      • Bibliographic Information
      • Archive
    • Experimental and Therapeutic Medicine
      • Information for Authors
      • Editorial Policies
      • Editorial Board
      • Aims and Scope
      • Abstracting and Indexing
      • Bibliographic Information
      • Archive
    • International Journal of Epigenetics
      • Information for Authors
      • Editorial Policies
      • Editorial Board
      • Aims and Scope
      • Abstracting and Indexing
      • Bibliographic Information
      • Archive
    • International Journal of Functional Nutrition
      • Information for Authors
      • Editorial Policies
      • Editorial Board
      • Aims and Scope
      • Abstracting and Indexing
      • Bibliographic Information
      • Archive
    • International Journal of Molecular Medicine
      • Information for Authors
      • Editorial Policies
      • Editorial Board
      • Aims and Scope
      • Abstracting and Indexing
      • Bibliographic Information
      • Archive
    • International Journal of Oncology
      • Information for Authors
      • Editorial Policies
      • Editorial Board
      • Aims and Scope
      • Abstracting and Indexing
      • Bibliographic Information
      • Archive
    • Medicine International
      • Information for Authors
      • Editorial Policies
      • Editorial Board
      • Aims and Scope
      • Abstracting and Indexing
      • Bibliographic Information
      • Archive
    • Molecular and Clinical Oncology
      • Information for Authors
      • Editorial Policies
      • Editorial Board
      • Aims and Scope
      • Abstracting and Indexing
      • Bibliographic Information
      • Archive
    • Molecular Medicine Reports
      • Information for Authors
      • Editorial Policies
      • Editorial Board
      • Aims and Scope
      • Abstracting and Indexing
      • Bibliographic Information
      • Archive
    • Oncology Letters
      • Information for Authors
      • Editorial Policies
      • Editorial Board
      • Aims and Scope
      • Abstracting and Indexing
      • Bibliographic Information
      • Archive
    • Oncology Reports
      • Information for Authors
      • Editorial Policies
      • Editorial Board
      • Aims and Scope
      • Abstracting and Indexing
      • Bibliographic Information
      • Archive
    • World Academy of Sciences Journal
      • Information for Authors
      • Editorial Policies
      • Editorial Board
      • Aims and Scope
      • Abstracting and Indexing
      • Bibliographic Information
      • Archive
  • Articles
  • Information
    • For Authors
    • For Reviewers
    • For Librarians
    • For Advertisers
    • Conferences
  • Language Editing
Login Register Submit
  • This site uses cookies
  • You can change your cookie settings at any time by following the instructions in our Cookie Policy. To find out more, you may read our Privacy Policy.

    I agree
Search articles by DOI, keyword, author or affiliation
Search
Advanced Search
presentation
World Academy of Sciences Journal
Join Editorial Board Propose a Special Issue
Print ISSN: 2632-2900 Online ISSN: 2632-2919
Journal Cover
March-April 2023 Volume 5 Issue 2

Full Size Image

Sign up for eToc alerts
Recommend to Library

Journals

International Journal of Molecular Medicine

International Journal of Molecular Medicine

International Journal of Molecular Medicine is an international journal devoted to molecular mechanisms of human disease.

International Journal of Oncology

International Journal of Oncology

International Journal of Oncology is an international journal devoted to oncology research and cancer treatment.

Molecular Medicine Reports

Molecular Medicine Reports

Covers molecular medicine topics such as pharmacology, pathology, genetics, neuroscience, infectious diseases, molecular cardiology, and molecular surgery.

Oncology Reports

Oncology Reports

Oncology Reports is an international journal devoted to fundamental and applied research in Oncology.

Experimental and Therapeutic Medicine

Experimental and Therapeutic Medicine

Experimental and Therapeutic Medicine is an international journal devoted to laboratory and clinical medicine.

Oncology Letters

Oncology Letters

Oncology Letters is an international journal devoted to Experimental and Clinical Oncology.

Biomedical Reports

Biomedical Reports

Explores a wide range of biological and medical fields, including pharmacology, genetics, microbiology, neuroscience, and molecular cardiology.

Molecular and Clinical Oncology

Molecular and Clinical Oncology

International journal addressing all aspects of oncology research, from tumorigenesis and oncogenes to chemotherapy and metastasis.

World Academy of Sciences Journal

World Academy of Sciences Journal

Multidisciplinary open-access journal spanning biochemistry, genetics, neuroscience, environmental health, and synthetic biology.

International Journal of Functional Nutrition

International Journal of Functional Nutrition

Open-access journal combining biochemistry, pharmacology, immunology, and genetics to advance health through functional nutrition.

International Journal of Epigenetics

International Journal of Epigenetics

Publishes open-access research on using epigenetics to advance understanding and treatment of human disease.

Medicine International

Medicine International

An International Open Access Journal Devoted to General Medicine.

Journal Cover
March-April 2023 Volume 5 Issue 2

Full Size Image

Sign up for eToc alerts
Recommend to Library

  • Article
  • Citations
    • Cite This Article
    • Download Citation
    • Create Citation Alert
    • Remove Citation Alert
    • Cited By
  • Similar Articles
    • Related Articles (in Spandidos Publications)
    • Similar Articles (Google Scholar)
    • Similar Articles (PubMed)
  • Download PDF
  • Download XML
  • View XML
Case Report Open Access

Management of ventilator‑associated pneumonia due to Stenotrophomonas maltophilia infection: A case report and literature review

  • Authors:
    • Edoardo Campanella
    • Andrea Marino
    • Stefano Stracquadanio
    • Roberta Restivo
    • Cristina Micali
    • Giuseppe Nunnari
    • Bruno Cacopardo
    • Manuela Ceccarelli
  • View Affiliations / Copyright

    Affiliations: Department of Clinical and Experimental Medicine, Unit of Infectious Diseases, University of Messina, I‑98124 Messina, Italy, Department of Clinical and Experimental Medicine, Unit of Infectious Diseases, ARNAS Garibaldi Hospital, University of Catania, I‑95123 Catania, Italy, Department of Biomedical and Biotechnological Sciences, University of Catania, I‑95123 Catania, Italy, Department of Clinical and Experimental Medicine, Unit of Infectious Diseases, ARNAS Garibaldi Hospital, University of Catania, I‑95123 Catania, Italy
    Copyright: © Campanella et al. This is an open access article distributed under the terms of Creative Commons Attribution License.
  • Article Number: 16
    |
    Published online on: April 5, 2023
       https://doi.org/10.3892/wasj.2023.193
  • Expand metrics +
Metrics: Total Views: 0 (Spandidos Publications: | PMC Statistics: )
Metrics: Total PDF Downloads: 0 (Spandidos Publications: | PMC Statistics: )
Cited By (CrossRef): 0 citations Loading Articles...

This article is mentioned in:



Abstract

Stenotrophomonas maltophilia (S. maltophilia) is a difficult‑to‑treat bacteria. This glucose non‑fermenting, multidrug‑resistant Gram‑negative bacillus is known to cause a range of infections, such as skin manifestations and bacteraemia, with respiratory tract infections being the most common. Patients in intensive care units are often exposed to a higher risk of acquiring an infection caused by this pathogen. Although distinguishing between S. maltophilia infections and colonization can be challenging, pneumonia caused by S. maltophilia infection is becoming increasingly prevalent. Furthermore, S. maltophilia infections are often coupled with Pseudomonas aeruginosa infections, reinforcing the need to consider this bacterium as a potential cause of ventilator‑associated pneumonia (VAP). The present study describes the case of a 66‑year‑old male who was diagnosed with VAP due to S. maltophilia infection. This condition was effectively treated with trimethoprim/sulfamethoxazole. The case described herein underscores the importance of prompt recognition through heightened clinical suspicion, particularly in patients with VAP who are unresponsive to broad‑spectrum β‑lactam antibiotics. The early identification of S. maltophilia as the root cause of respiratory tract infections can make a significant difference to the outcomes of affected patients.

Introduction

Stenotrophomonas maltophilia (S. maltophilia) is a glucose non-fermenting, aerobic, Gram-negative bacillus that is ubiquitously found in aquatic environments and soil (1). Although it is considered a low virulence pathogen, it is increasingly recognised as a main cause of nosocomial infections (2,3).

S. maltophilia, due to his high virulence determinants, including biofilm production, can cause various type of infections, such as skin manifestations and bacteraemia (1), mainly those involving the respiratory tract (4). Major concerns particularly involve vulnerable hosts, such as patients in intensive care units (ICUs) or patients with cystic fibrosis, haematological malignancies, and other significant underlying illnesses (5,6). Moreover, its intrinsic multidrug resistance to several classes of antibiotics poses a major clinical and therapeutic challenge (7).

Historically, trimethoprim/sulfamethoxazole (TMP-SMX) has represented the drug of choice used in the treatment of S. maltophilia infections, playing a key role in antibiotic management. However, the emergence of TMP-SMX resistance has already been reported. Other treatment options may include minocycline, tigecycline, levofloxacin, cefiderocol and ceftazidime/avibactam plus aztreonam (8).

The differentiation between S. maltophilia infections and colonisation remains challenging, particularly in patients with ventilator devices (1,9). Over the past years, researchers have assessed S. maltophilia infections in ICUs, including bloodstream infections, skin and soft tissues infections, urinary tract infections and ventilator-associated pneumonia (VAP), reporting high mortality rates (5,10). Despite its undeniable clinical impact, solid data on S. maltophilia are limited compared with other Gram-negative bacteria (11). Moreover, S. maltophilia infections are often combined with other bacteria, rendering the clinical picture even more complex (1,11).

The present study, describes the case of a patient with VAP caused by S. maltophilia infection, highlighting the challenges in the management of this condition and the importance of prompt recognition and aggressive treatment. Furthermore, the present study highlights the need to consider alternative, effective antimicrobial agent in patients with VAP who are not responsive to broad-spectrum β-lactam antibiotics.

Case report

A 66-year-old male was admitted to the Emergency Department of ARNAS Garibaldi Hospital due to the onset of seizures along with a profoundly altered mental status and fever (maximum temperature, 38˚C). His medical history included type 2 diabetes mellitus, hypertension, benign prostatic hyperplasia, dyslipidaemia, and a history of smoking. The patient was taking ertugliflozin, ramipril, alfuzosin and atorvastatin.

Upon admission, the patient was transferred to the ICU and was intubated due to a severely impaired consciousness (Glasgow Coma Scale 8). A brain computed tomography (CT) scan did not reveal any abnormalities.

Lumbar puncture (LP) was performed and empirical antibiotic treatment with intravenous ceftriaxone, acyclovir, ampicillin, and dexamethasone was commenced. The examination of cerebrospinal fluid (CSF) revealed lymphocytic pleocytosis, normal glucose levels and a higher protein concentration. The analysis of CSF using the BIOFIRE® FILMARRAY® Meningitis/Encephalitis (ME) Panel (BioMérieux) yielded positive results for herpes simplex virus 1.

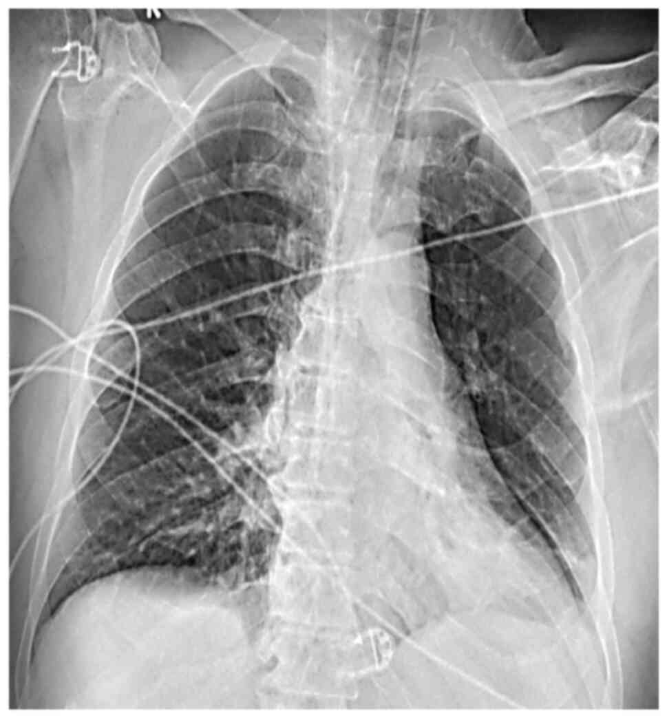
Therapy was continued only with acyclovir at 10 mg/kg three times. The CSF culture tested negative. His chest X-ray was negative (Fig. 1). The blood test results of the patient are presented in Table I.

Figure 1

X-ray image of the patient upon admission.

Table I

Laboratory findings at the time of admission, at the time of VAP diagnosis and following treatment.

Table I

Laboratory findings at the time of admission, at the time of VAP diagnosis and following treatment.

Laboratory parameters (reference range)At the time of admissionAt the time of VAP diagnosisFollowing treatment for VAP
WBC, cells/mmc (4,000-10,000)10,33015,1007,200
Neutrophils, % (40-75)7385.657.3
Lymphocytes, % (25-50)18.37.430.4
Monocytes, % (2-10)8.86.39.8
Platelets, cells/mmc x103 (150-400)150123309
Haemoglobin, g/dl (12-16)13.112.612.4
AST, UI/l (15-35)191723
ALT, UI/l (15-35)242032
Creatinine, mg/dl (0.8-1.2)0.590.440.47
Procalcitonin, ng/ml (<0.5)0.040.040.01
CRP, mg/dl (0-0.5)0.510.50.07

[i] VAP, ventilator-associated pneumonia; WBC, white blood cell count; AST, aspartate aminotransferase; ALT, alanine aminotransferase; CRP, C-reactive protein.

Despite an initial improvement, 3 days following ICU admission and endotracheal intubation, the patient's clinical condition began to deteriorate, along with worsened respiratory parameters and blood test results (Table I). A chest-CT scan (SOMATOM Definition Flash, Siemens) revealed bilateral basal consolidative opacities, along with bilateral pleural effusion (Fig. 2A).

Figure 2

(A) Chest CT scan of the patient at the time of the diagnosis of ventilator-associated pneumonia. Blue stars indicate bilateral basal opacities with pleural effusion. (B) Chest CT scan following treatment with antibiotics. CT, computed tomography.

Due to the diagnosis of VAP, antibiotic therapy was empirically switched to intravenous meropenem at 1 g three times daily plus intravenous linezolid at 600 mg twice daily. Legionella and pneumococcal urinary antigens tested negative, as well as a nasopharyngeal swab for severe acute respiratory syndrome-coronavirus 2 (SARS-CoV-2). The analysis of bronchoalveolar lavage (BAL) using the BIOFIRE® FILMARRAY® Pneumonia Panel (PN) (BioFire Diagnostics) tested positive for Pseudomonas aeruginosa (P. aeruginosa).

At 2 days after switching the therapy, the BAL culture tested positive for S. maltophilia on a blood agar plate (Vacutest Kima S.R.L.) (Fig. 3) with a total bacterial count of 105 CFU/ml performed diluting the BAL sample at 1:100 in sterile saline and plating 100 µl on Muheller Hintong agar (Vacutest Kima S.R.L.). Species identification was assessed using the BD Phoenix system, selecting a colony from the blood agar, and the antibiotic susceptibility test performed using the MIC test strip (Liofilchem) revealed susceptibility to TMP-SMX at an increased exposure [MIC 2 mg/l; according to the European Committee on Antimicrobial Susceptibility Testing (EUCAST), breakpoints are expressed as the trimethoprim concentration]; hence intravenous TMP-SMX at 12 mg/kg (dosing was based on the TMP component) was commenced, while linezolid treatment was terminated.

Figure 3

Stenotrophomonas maltophilia colonies on a blood agar plate.

At 4 days after the addition of TMP-SMX to the treatment schedule, the patient was extubated due to an amelioration in respiratory function and improved blood tests (Table I). The patient's mental status also improved, with no evidence of neurological deficits. The restored consciousness, along with a follow-up brain magnetic resonance imaging (Magneton, Siemens) not revealing any abnormalities, allowed for the discontinuation of acyclovir administration after 17 days of therapy. Furthermore, due to the resolution of consolidative opacities on a follow-up chest CT scan (Fig. 2B) along with a good general state, the antibiotic therapy with meropenem (14 days of therapy) and TMP-SMX (11 days of therapy) was terminated. Finally, the patient was discharged 7 days after the end of therapy, with no evidence of respiratory or neurological sequelae (Fig. 4).

Figure 4

Clinical and therapeutic management timeline. Blue squares represent clinical assessment, pink squares represent microbiological results and green squares represent therapeutic management. LP, lumbar puncture; HSV, herpes simplex virus; VAP, ventilator-associated pneumonia; BAL, bronchoalveolar lavage; TMP, trimethoprim; STX, sulfamethoxazole.

Discussion

Gram-negative drug-resistant bacteria pose a major threat to physicians due to the increasing incidence of multi-drug resistant (MDR) infections worldwide (12-14), particularly among hospitalised patients (15,16). VAP is a type of pneumonia that occurs >48 h following intubation and is influenced by factors, such as immunosuppression, a long duration of hospitalisation, and prolonged ventilation (17,18).

The SARS-CoV-2 pandemic (19) may have contributed to an increase the number of cases with VAP, due to the large number of affected patients requiring ICU care and mechanical ventilation (20).

Gram-negative bacilli are the most commonly identified causative agents of VAP, with P. aeruginosa, Enterobacter spp. and Klebsiella spp. being the most prevalent (21,22). MDR Gram-negative infections result in poor outcomes of patients with hospital-acquired pneumonia/VAP and their increasing prevalence makes it crucial for management to consider the local ecology and patient risk factors (15,23). The identification of causative agents of VAP also needs to be a priority, due to the complexity of clinical and therapeutic management (17).

In the case described herein, the patient developed VAP due to S. maltophilia infection at 3 days after hospital admission. The categorisation of early- and late-onset VAP, of which late-onset VAP is more likely to be due to a MDR pathogen, is being challenged, as the timing of VAP development needs to be evaluated in the context of other risk factors (24,25).

Although often considered a colonizing pathogen, S. maltophilia, an ubiquitous, motile, free-living, aerobic, non-fermenting bacillus, multidrug-resistant Gram-negative bacterium (1), represents the causative agent of various infections, from skin manifestations to bacteraemia (26), particularly in patients with underlying illnesses (6). Recent research has reported that S. maltophilia-associated pneumonia is increasingly being isolated, describing this pathogen as one of the most common infectious agents in patients in ICUs, with a high morbidity and mortality rates. Risk factors for S. maltophilia-associated pulmonary diseases include ICU admission and mechanical ventilation, as well as prior broad-spectrum antibiotic therapy, prolonged hospitalization, and immunosuppression (27).

As patients with respiratory tract infections sustained by S. maltophilia are usually severely ill and hospitalised, and due to the drug-resistant profile of this bacteria, these conditions often lead to an increase in medical expenses, prolonged durations of hospitalisation and higher mortality rates. Therefore, identifying the right early targeted treatment is the key to reducing the mortality rates associated with S. maltophilia infection. A previously published meta-analysis demonstrated that previous carbapenem treatment was associated with lower respiratory tract infections by S. maltophilia with the highest odd ratio (OR, 3.69), followed by glycopeptide drugs (OR, 3.22), aminoglycoside drugs (OR, 2.57) and β-lactamase inhibitors (OR, 1.76) (28). That study suggested that when the clinical use of this type of drug is not effective, attention should be paid to the possibility of S. maltophilia infection; furthermore it was stated that more types of antibiotics, longer treatment durations and a greater number replacements can significantly increase the risk of respiratory tract infections caused by this bacterium (28).

These data may be explained by S. maltophilia features resulting in intrinsic or acquired resistance mechanisms to several antibiotics. Resistance to β-lactams is primarily mediated by L1 and L2, two chromosomal-mediated inducible β-lactamases. L1 is a molecular class B Zn2+-dependent metallo-β-lactamase, whilst L2 is a molecular class A clavulanic acid-sensitive cephalosporinase. The mrcA gene (encodes penicillin-binding protein 1α) and regulatory proteins AmpR (transcriptional regulator) and AmpN-AmpG (permease system) influence basal β-lactamase activity. mrcA inactivation causes L1/L2 β-lactamase hyperproduction (29,30). S. maltophilia has demonstrated resistance to aminoglycosides as well, through efflux pumps and aminoglycoside modifying enzyme, such as 6'-N-aminoglycoside acetyltransferases. Fortunately, the new generation cephalosporin, cefiderocol, appears to be able to evade the chromosomally encoded L1 and L2 β-lactamases, as demonstrated by the 100% susceptibility of S. maltophilia to this molecule (29,30), as well as an in vivo model promising efficacy (31). The resistance of S. maltophilia to quinolones is mainly caused by mutations in the gyrA and parC genes at the target site (QRDRs) of the DNA gyrase enzyme, which is also related to the outer membrane barrier and high-efficiency efflux pump (32,33). Additionally, S. maltophilia can accumulate multidrug efflux pumps that reduce tetracycline and fluoroquinolone activity. Increased fluoroquinolone MICs are also observed in isolates that harbour the chromosomal Smqnr gene, the determinants of which interfere through binding to gyrase and topoisomerase (1). Furthermore, S. maltophilia produces a wide variety of potential virulence factors, such as biofilm and extracellular enzymes, thus rendering treatment challenging (1,5,34).

Despite the lack of definitive evidence on the most effective available treatment, the current IDSA guidelines suggest TMP-SMX as the preferred treatment strategy for mild infections or in combination with another antibacterial agent for moderate to severe S. maltophilia infections. To date, combination therapy fails to exhibit evident superiority, with similar rates of clinical efficacy and resistance development compared with monotherapy (7,35), as reported by Shah et al (36) in a large retrospective cohort study.

As with other MDR Gram-negative bacteria, such as Acinetobacter spp., for which new antimicrobial agents are intensively being studied due to limited therapeutic options (37-39), S. maltophilia poses a major threat, particularly when resistant to TMP-SMX. When TMP-SMX is not a suitable treatment option, due to resistance or patients' intolerance, minocycline, tigecycline, other options include ticarcillin-clavulanate, cefiderocol, or ceftazidime/avibactam plus aztreonam (8).

While interpretive criteria for seven antibiotics have been established by the Clinical & Laboratory Standards Institute (CLSI), EUCAST has only provided breakpoints for TMP-SMX (40).

Of note, isolates resistant to this drug have already been reported (41,42). Previous studies have demonstrated that the sul1, sul2 and drfA genes may represent important determinants of TMP-SMX resistance in S. maltophilia isolates (1,43,44).

In the case described in the present study, the patient was diagnosed with VAP caused by a strain of S. maltophilia with a MIC for TMP-SMX equal to 2 mg/l, the same epidemiological cut-off value reported by the EUCAST. This value is close to the resistance breakpoint (>4 mg/l) and its treatment required an increased exposure to this antibiotic to assure the success of the therapy. This led to the addition of a higher dose of TMP-SMX. After only 11 days, the patient's condition improved, and the pneumonia had resolved according to a follow-up chest CT scan.

It is worth mentioning that while the IDSA guidelines do not provide specific recommendations on therapy duration, they suggest considering factors, such as the patient's immune status, source control, and treatment response when deciding when to terminate antibiotics (8).

However, the nationwide study by Guerci et al (7) found no benefit in prolonged antimicrobial therapy beyond 7 days for patients admitted to ICUs. Nonetheless, the persistence of the infection caused a mistreatment could lead to the development of resistance phenotypes, particularly due to the commonly reported co-infection rate of S. maltophilia with other species, and its capability to obtain new resistance genes, such as sul1 and sul2, through horizontal gene transfer (45).

Furthermore, according to previous studies, S. maltophilia is often part of polymicrobial infections, with other non-fermenting Gram-negative bacteria, such as P. aeruginosa, Acinetobacter spp. and Burkholderia cepacia complex (2,11). Interactions between these bacteria may play a key role in clinical outcomes, with higher morbidity and mortality rates (46). For example, co-infection with P. aeruginosa and S. maltophilia has been linked to a higher mortality rate in patients with pneumonia. These two pathogens can form a polymicrobial biofilm in the lungs, interact through quorum-sensing signals and create a favourable environment for each other (47). McDaniel et al (48) found that the presence of P. aeruginosa facilitated S. maltophilia persistence in the lungs during polymicrobial infections.

In the case described herein, the FILMARRAY® test of BAL was positive for P. aeruginosa, even though it was not recovered on BAL culture. Given the higher risk of mortality associated with VAP caused by these two pathogens, it was decided to continue treatment with both meropenem and TMP-SMX.

In conclusion, the present study aimed to emphasize the importance of recognizing S. maltophilia as a potential pathogen in hospital settings where MDR bacteria are prevalent. The case described herein highlights the common co-occurrence of S. maltophilia and P. aeruginosa infections, reinforcing the need for considering this bacterium as a potential cause of VAP.

However, inadequate initial antimicrobial treatment is often the norm for S. maltophilia infections due to its resistance to commonly used antibiotics such as β-lactams. Thus, the consideration of alternative, effective treatment options for patients with VAP who are not responding to broad-spectrum β-lactam antibiotics is crucial, as well as in patients with S. maltophilia identified through bronchoalveolar lavage culture.

Notably however, more research is required in order to better understand the risk factors of VAP caused by S. maltophilia and to develop effective prevention strategies and early antimicrobial treatments, ultimately improving the outcomes of patients.

Acknowledgements

Not applicable.

Funding

Funding: No funding was received.

Availability of data and materials

Data sharing is not applicable to this article as no datasets were generated or analysed during the current study.

Authors' contributions

All authors (EC, AM, SS, RR, CM, GN, BC and MC) contributed to the conception and design of the study. EC and AM wrote the manuscript. SS, CM and MC revised the literature and references. RR provided clinical assistance to the patient. BC was responsible for the laboratory tests and pharmacological treatments. GN and BC revised the manuscript. All authors have read and approved the final manuscript. EC and AM confirm the authenticity of all the raw data.

Ethics approval and consent to participate

Written informed consent was obtained from the patient included in the present case report.

Patient consent for publication

Written informed consent was obtained from the patient for the publication of his data in the present case report.

Competing interests

The authors declare that they have no competing interests.

References

1 

Brooke JS: Advances in the microbiology of Stenotrophomonas Maltophilia. Clin Microbiol Rev. 34(e0003019)2021.PubMed/NCBI View Article : Google Scholar

2 

Gajdács M and Urbán E: Epidemiological trends and resistance associated with Stenotrophomonas maltophilia Bacteremia: A 10-year retrospective cohort study in a tertiary-care hospital in Hungary. Diseases. 7(41)2019.PubMed/NCBI View Article : Google Scholar

3 

Gröschel MI, Meehan CJ, Barilar I, Diricks M, Gonzaga A, Steglich M, Conchillo-Solé O, Scherer IC, Mamat U, Luz CF, et al: The phylogenetic landscape and nosocomial spread of the multidrug-resistant opportunist Stenotrophomonas maltophilia. Nat Commun. 11(2044)2020.PubMed/NCBI View Article : Google Scholar

4 

Hafiz TA, Aldawood E, Albloshi A, Alghamdi SS, Mubaraki MA, Alyami AS and Aldriwesh MG: Stenotrophomonas maltophilia epidemiology, resistance characteristics, and clinical outcomes: Understanding of the recent three years's trends. Microorganisms. 10(2506)2022.PubMed/NCBI View Article : Google Scholar

5 

Saied WI, Merceron S, Schwebel C, Monnier AL, Oziel J, Garrouste-Orgeas M, Marcotte G, Ruckly S, Souweine B, Darmon M, et al: Ventilator-associated pneumonia due to Stenotrophomonas maltophilia: Risk factors and outcome. J Infect. 80:279–285. 2020.PubMed/NCBI View Article : Google Scholar

6 

Chang YT, Lin CY, Chen YH and Hsueh PR: Update on infections caused by Stenotrophomonas maltophilia with particular attention to resistance mechanisms and therapeutic options. Front Microbiol. 6(893)2015.PubMed/NCBI View Article : Google Scholar

7 

Guerci P, Bellut H, Mokhtari M, Gaudefroy J, Mongardon N, Charpentier C, Louis G, Tashk P, Dubost C, Ledochowski S, et al: Outcomes of Stenotrophomonas maltophilia hospital-acquired pneumonia in intensive care unit: A nationwide retrospective study. Crit Care. 23(371)2019.PubMed/NCBI View Article : Google Scholar

8 

Tamma PD, Aitken SL, Bonomo RA, Mathers AJ, van Duin D and Clancy CJ: Infectious diseases society of America guidance on the treatment of AmpC β-Lactamase-producing Enterobacterales, Carbapenem-Resistant Acinetobacter baumannii, and Stenotrophomonas maltophilia Infections. Clin Infect Dis. 74:2089–2114. 2022.PubMed/NCBI View Article : Google Scholar

9 

Baidya A, Kodan P, Fazal F, Tsering S, Menon PR, Jorwal P and Chowdhury UK: Stenotrophomonas maltophilia: More than just a colonizer! Indian J Crit Care Med. 23:434–436. 2019.PubMed/NCBI View Article : Google Scholar

10 

Singhal L, Kaur P and Gautam V: Stenotrophomonas maltophilia: From trivial to grievous. Indian J Med Microbiol. 35:469–479. 2017.PubMed/NCBI View Article : Google Scholar

11 

Mojica MF, Humphries R, Lipuma JJ, Mathers AJ, Rao GG, Shelburne SA, Fouts DE, Van Duin D and Bonomo RA: Clinical challenges treating Stenotrophomonas maltophilia infections: An update. JAC Antimicrob Resist. 4(dlac040)2022.PubMed/NCBI View Article : Google Scholar

12 

Morris S and Cerceo E: Trends, epidemiology, and management of multi-drug resistant gram-negative bacterial infections in the hospitalized setting. Antibiotics (Basel). 9(196)2020.PubMed/NCBI View Article : Google Scholar

13 

Marino A, Campanella E, Stracquadanio S, Ceccarelli M, Zagami A, Nunnari G and Cacopardo B: Corynebacterium striatum bacteremia during SARS-CoV2 Infection: Case report, literature review, and clinical considerations. Infect Dis Rep. 14:383–390. 2022.PubMed/NCBI View Article : Google Scholar

14 

Marino A, Munafò A, Zagami A, Ceccarelli M, Campanella E, Cosentino F, Moscatt V, Cantarella G, Di Mauro R, Bernardini R, et al: Ampicillin plus ceftriaxone therapy against Enterococcus faecalis endocarditis: A case report, guidelines considerations, and literature review. IDCases. 28(e01462)2022.PubMed/NCBI View Article : Google Scholar

15 

Cillóniz C, Dominedò C and Torres A: An overview of guidelines for the management of hospital-acquired and ventilator-associated pneumonia caused by multidrug-resistant Gram-negative bacteria. Curr Opin Infect Dis. 32:656–662. 2019.PubMed/NCBI View Article : Google Scholar

16 

El-Sokkary R, Uysal S, Erdem H, Kullar R, Pekok AU, Amer F, Grgić S, Carevic B, El-Kholy A, Liskova A, et al: Profiles of multidrug-resistant organisms among patients with bacteremia in intensive care units: An international ID-IRI survey. Eur J Clin Microbiol Infect Dis. 40:2323–2334. 2021.PubMed/NCBI View Article : Google Scholar

17 

Kalil AC, Metersky ML, Klompas M, Muscedere J, Sweeney DA, Palmer LB, Napolitano LM, O'Grady NP, Bartlett JG, Carratalà J, et al: Management of adults with hospital-acquired and ventilator-associated pneumonia: 2016 clinical practice guidelines by the infectious diseases society of America and the American thoracic society. Clin Infect Dis. 63:e61–e111. 2016.PubMed/NCBI View Article : Google Scholar

18 

Papazian L, Klompas M and Luyt CE: Ventilator-associated pneumonia in adults: A narrative review. Intensive Care Med. 46:888–906. 2020.PubMed/NCBI View Article : Google Scholar

19 

Marino A, Campanella E, Ceccarelli M, Larocca L, Bonomo C, Micali C, Munafò A, Celesia BM, Nunnari G and Cacopardo B: Sarilumab administration in patients with severe COVID-19: A report of four cases and a literature review. World Acad Sci J. 4(24)2022.

20 

Ippolito M, Misseri G, Catalisano G, Marino C, Ingoglia G, Alessi M, Consiglio E, Gregoretti C, Giarratano A and Cortegiani A: Ventilator-associated pneumonia in patients with covid-19: A systematic review and meta-analysis. Antibiotics (Basel). 10(545)2021.PubMed/NCBI View Article : Google Scholar

21 

Rouzé A, Martin-Loeches I, Povoa P, Makris D, Artigas A, Bouchereau M, Lambiotte F, Metzelard M, Cuchet P, Geronimi CB, et al: Relationship between SARS-CoV-2 infection and the incidence of ventilator-associated lower respiratory tract infections: A European multicenter cohort study. Intensive Care Med. 47:188–198. 2021.PubMed/NCBI View Article : Google Scholar

22 

Blonz G, Kouatchet A, Chudeau N, Pontis E, Lorber J, Lemeur A, Planche L, Lascarrou JB and Colin G: Epidemiology and microbiology of ventilator-associated pneumonia in COVID-19 patients: A multicenter retrospective study in 188 patients in an un-inundated French region. Crit Care. 25(72)2021.PubMed/NCBI View Article : Google Scholar

23 

Patro S, Sarangi G, Das P, Mahapatra A, Mohapatra D, Paty B and Chayani N: Bacteriological profile of ventilator-associated pneumonia in a tertiary care hospital. Indian J Pathol Microbiol. 61:375–379. 2018.PubMed/NCBI View Article : Google Scholar

24 

Ferrer M, Liapikou A, Valencia M, Esperatti M, Theessen A, Martinez JA, Mensa J and Torres A: Validation of the American Thoracic Society-Infectious Diseases Society of America guidelines for hospital-acquired pneumonia in the intensive care unit. Clin Infect Dis. 50:945–952. 2010.PubMed/NCBI View Article : Google Scholar

25 

Restrepo MI, Peterson J, Fernandez JF, Qin Z, Fisher AC and Nicholson SC: Comparison of the bacterial etiology of early-onset and late-onset ventilator-associated pneumonia in subjects enrolled in 2 large clinical studies. Respir Care. 58:1220–1225. 2013.PubMed/NCBI View Article : Google Scholar

26 

Looney WJ, Narita M and Mühlemann K: Stenotrophomonas maltophilia: An emerging opportunist human pathogen. Lancet Infect Dis. 9:312–323. 2009.PubMed/NCBI View Article : Google Scholar

27 

Wang N, Tang C and Wang L: Risk factors for acquired Stenotrophomonas maltophilia pneumonia in intensive care unit: A systematic review and meta-analysis. Front Med (Lausanne). 8(808391)2021.PubMed/NCBI View Article : Google Scholar

28 

Wang Y, Wang Y, Rong H, Guo Z, Xu J and Huang X: Risk factors of lower respiratory tract infection caused by Stenotrophomonas maltophilia: Systematic review and meta-analysis. Front Public Health. 10(5410)2023.PubMed/NCBI View Article : Google Scholar

29 

Nakamura R, Oota M, Matsumoto S, Sato T and Yamano Y: In vitro activity and in vivo efficacy of cefiderocol against Stenotrophomonas maltophilia. Antimicrob Agents Chemother. 65:e01436–e01420. 2021.PubMed/NCBI View Article : Google Scholar

30 

Stracquadanio S, Torti E, Longshaw C, Henriksen AS and Stefani S: In vitro activity of cefiderocol and comparators against isolates of gram-negative pathogens from a range of infection sources: SIDERO-WT-2014-2018 studies in Italy. J Glob Antimicrob Resist. 25:390–398. 2021.PubMed/NCBI View Article : Google Scholar

31 

Petraitis V, Petraitiene R, Kavaliauskas P, Naing E, Garcia A, Georgiades BN, Echols R, Bonomo RA, Yamano Y, Satlin MJ and Walsh TJ: Efficacy of cefiderocol in experimental Stenotrophomonas maltophilia pneumonia in persistently neutropenic rabbits. Antimicrob Agents Chemother. 66(e0061822)2022.PubMed/NCBI View Article : Google Scholar

32 

Hotta G, Matsumura Y, Kato K, Nakano S, Yunoki T, Yamamoto M, Nagao M, Ito Y, Takakura S and Ichiyama S: Risk factors and outcomes of Stenotrophomonas maltophilia bacteraemia: A comparison with bacteraemia caused by pseudomonas aeruginosa and acinetobacter species. PLoS One. 9(e112208)2014.PubMed/NCBI View Article : Google Scholar

33 

Ba BB, Feghali H, Arpin C, Saux MC and Quentin C: Activities of ciprofloxacin and moxifloxacin against Stenotrophomonas maltophilia and emergence of resistant mutants in an in vitro pharmacokinetic-pharmacodynamic model. Antimicrob Agents Chemother. 48:946–953. 2004.PubMed/NCBI View Article : Google Scholar

34 

Gil-Gil T, Martínez JL and Blanco P: Mechanisms of antimicrobial resistance in Stenotrophomonas maltophilia: A review of current knowledge. Expert Rev Anti Infect Ther. 18:335–347. 2020.PubMed/NCBI View Article : Google Scholar

35 

Prawang A, Chanjamlong N, Rungwara W, Santimaleeworagun W, Paiboonvong T, Manapattanasatein T, Pitirattanaworranat P, Kitseree P and Kanchanasurakit S: Combination therapy versus monotherapy in the treatment of Stenotrophomonas maltophilia infections: A systematic review and meta-analysis. Antibiotics (Basel). 11(1788)2022.PubMed/NCBI View Article : Google Scholar

36 

Shah MD, Coe KE, El Boghdadly Z, Wardlow LC, Dela-Pena JC, Stevenson KB and Reed EE: Efficacy of combination therapy versus monotherapy in the treatment of Stenotrophomonas maltophilia pneumonia. J Antimicrob Chemother. 74:2055–2059. 2019.PubMed/NCBI View Article : Google Scholar

37 

Bivona DA, Mirabile A, Bonomo C, Bonacci PG, Stracquadanio S, Marino A, Campanile F, Bonaccorso C, Fortuna CG, Stefani S, et al: Heteroaryl-ethylenes as new effective agents for high priority gram-positive and gram-negative bacterial clinical isolates. Antibiotics. 11(767)2022.PubMed/NCBI View Article : Google Scholar

38 

Stracquadanio S, Bonomo C, Marino A, Bongiorno D, Privitera GF, Bivona DA, Mirabile A, Bonacci PG and Stefani S: Acinetobacter baumannii and Cefiderocol, between Cidality and Adaptability. Microbiol Spectr. 10(e0234722)2022.PubMed/NCBI View Article : Google Scholar

39 

Marino A, Stracquadanio S, Campanella E, Munafò A, Gussio M, Ceccarelli M, Bernardini R, Nunnari G and Cacopardo B: Intravenous fosfomycin: A potential good partner for cefiderocol. Clinical experience and considerations. Antibiotics (Basel). 12(49)2022.PubMed/NCBI View Article : Google Scholar

40 

The European Committee on Antimicrobial Susceptibility Testing. Breakpoint tables for interpretation of MICs and zone diameters. Version 13.0, 2023. http://www.eucast.org.

41 

Biagi M, Tan X, Wu T, Jurkovic M, Vialichka A, Meyer K, Mendes RE and Wenzler E: Activity of potential alternative treatment agents for Stenotrophomonas maltophilia isolates nonsusceptible to levofloxacin and/or Trimethoprim-sulfamethoxazole. J Clin Microbiol. 58:e01603–e01619. 2020.PubMed/NCBI View Article : Google Scholar

42 

Wu RX, Yu CM, Hsu ST and Wang CH: Emergence of concurrent levofloxacin- and trimethoprim/sulfamethoxazole-resistant Stenotrophomonas maltophilia: Risk factors and antimicrobial sensitivity pattern analysis from a single medical center in Taiwan. J Microbiol Immunol Infection. 55:107–113. 2022.PubMed/NCBI View Article : Google Scholar

43 

Chung HS, Kim K, Hong SS, Hong SG, Lee K and Chong Y: The sul1 gene in Stenotrophomonas maltophilia with high-level resistance to trimethoprim/sulfamethoxazole. Ann Lab Med. 35:246–249. 2015.PubMed/NCBI View Article : Google Scholar

44 

Hu LF, Chen GS, Kong QX, Gao LP, Chen X, Ye Y and Li JB: Increase in the prevalence of resistance determinants to trimethoprim/sulfamethoxazole in clinical Stenotrophomonas maltophilia isolates in China. PLoS One. 11(157693)2016.PubMed/NCBI View Article : Google Scholar

45 

Toleman MA, Bennett PM, Bennett DMC, Jones RN and Walsh TR: Global emergence of trimethoprim/sulfamethoxazole resistance in Stenotrophomonas maltophilia mediated by acquisition of sul Genes. Emerg Infect Dis. 13:559–565. 2007.PubMed/NCBI View Article : Google Scholar

46 

Yin C, Yang W, Meng J, Lv Y, Wang J and Huang B: Co-infection of Pseudomonas aeruginosa and Stenotrophomonas maltophilia in hospitalised pneumonia patients has a synergic and significant impact on clinical outcomes. Eur J Clin Microbiol Infect Dis. 36:2231–2235. 2017.PubMed/NCBI View Article : Google Scholar

47 

McDaniel MS, Schoeb T and Swords WE: Cooperativity between Stenotrophomonas maltophilia and Pseudomonas aeruginosa during polymicrobial airway infections. Infect Immun. 88:e00855–e00819. 2020.PubMed/NCBI View Article : Google Scholar

48 

Mcdaniel MS, Lindgren NR, Billiot CE, Valladares KN, Sumpter NA and Swords WE: Pseudomonas aeruginosa promotes persistence of Stenotrophomonas maltophilia via increased adherence to depolarized respiratory epithelium. Microbiol Spectr. 11(e0384622)2022.PubMed/NCBI View Article : Google Scholar

Related Articles

  • Abstract
  • View
  • Download
Copy and paste a formatted citation
Spandidos Publications style
Campanella E, Marino A, Stracquadanio S, Restivo R, Micali C, Nunnari G, Cacopardo B and Ceccarelli M: Management of ventilator‑associated pneumonia due to <em>Stenotrophomonas maltophilia</em> infection: A case report and literature review. World Acad Sci J 5: 16, 2023.
APA
Campanella, E., Marino, A., Stracquadanio, S., Restivo, R., Micali, C., Nunnari, G. ... Ceccarelli, M. (2023). Management of ventilator‑associated pneumonia due to <em>Stenotrophomonas maltophilia</em> infection: A case report and literature review. World Academy of Sciences Journal, 5, 16. https://doi.org/10.3892/wasj.2023.193
MLA
Campanella, E., Marino, A., Stracquadanio, S., Restivo, R., Micali, C., Nunnari, G., Cacopardo, B., Ceccarelli, M."Management of ventilator‑associated pneumonia due to <em>Stenotrophomonas maltophilia</em> infection: A case report and literature review". World Academy of Sciences Journal 5.2 (2023): 16.
Chicago
Campanella, E., Marino, A., Stracquadanio, S., Restivo, R., Micali, C., Nunnari, G., Cacopardo, B., Ceccarelli, M."Management of ventilator‑associated pneumonia due to <em>Stenotrophomonas maltophilia</em> infection: A case report and literature review". World Academy of Sciences Journal 5, no. 2 (2023): 16. https://doi.org/10.3892/wasj.2023.193
Copy and paste a formatted citation
x
Spandidos Publications style
Campanella E, Marino A, Stracquadanio S, Restivo R, Micali C, Nunnari G, Cacopardo B and Ceccarelli M: Management of ventilator‑associated pneumonia due to <em>Stenotrophomonas maltophilia</em> infection: A case report and literature review. World Acad Sci J 5: 16, 2023.
APA
Campanella, E., Marino, A., Stracquadanio, S., Restivo, R., Micali, C., Nunnari, G. ... Ceccarelli, M. (2023). Management of ventilator‑associated pneumonia due to <em>Stenotrophomonas maltophilia</em> infection: A case report and literature review. World Academy of Sciences Journal, 5, 16. https://doi.org/10.3892/wasj.2023.193
MLA
Campanella, E., Marino, A., Stracquadanio, S., Restivo, R., Micali, C., Nunnari, G., Cacopardo, B., Ceccarelli, M."Management of ventilator‑associated pneumonia due to <em>Stenotrophomonas maltophilia</em> infection: A case report and literature review". World Academy of Sciences Journal 5.2 (2023): 16.
Chicago
Campanella, E., Marino, A., Stracquadanio, S., Restivo, R., Micali, C., Nunnari, G., Cacopardo, B., Ceccarelli, M."Management of ventilator‑associated pneumonia due to <em>Stenotrophomonas maltophilia</em> infection: A case report and literature review". World Academy of Sciences Journal 5, no. 2 (2023): 16. https://doi.org/10.3892/wasj.2023.193
Follow us
  • Twitter
  • LinkedIn
  • Facebook
About
  • Spandidos Publications
  • Careers
  • Cookie Policy
  • Privacy Policy
How can we help?
  • Help
  • Live Chat
  • Contact
  • Email to our Support Team