Spandidos Publications Logo
  • About
    • About Spandidos
    • Aims and Scopes
    • Abstracting and Indexing
    • Editorial Policies
    • Reprints and Permissions
    • Job Opportunities
    • Terms and Conditions
    • Contact
  • Journals
    • All Journals
    • Oncology Letters
      • Oncology Letters
      • Information for Authors
      • Editorial Policies
      • Editorial Board
      • Aims and Scope
      • Abstracting and Indexing
      • Bibliographic Information
      • Archive
    • International Journal of Oncology
      • International Journal of Oncology
      • Information for Authors
      • Editorial Policies
      • Editorial Board
      • Aims and Scope
      • Abstracting and Indexing
      • Bibliographic Information
      • Archive
    • Molecular and Clinical Oncology
      • Molecular and Clinical Oncology
      • Information for Authors
      • Editorial Policies
      • Editorial Board
      • Aims and Scope
      • Abstracting and Indexing
      • Bibliographic Information
      • Archive
    • Experimental and Therapeutic Medicine
      • Experimental and Therapeutic Medicine
      • Information for Authors
      • Editorial Policies
      • Editorial Board
      • Aims and Scope
      • Abstracting and Indexing
      • Bibliographic Information
      • Archive
    • International Journal of Molecular Medicine
      • International Journal of Molecular Medicine
      • Information for Authors
      • Editorial Policies
      • Editorial Board
      • Aims and Scope
      • Abstracting and Indexing
      • Bibliographic Information
      • Archive
    • Biomedical Reports
      • Biomedical Reports
      • Information for Authors
      • Editorial Policies
      • Editorial Board
      • Aims and Scope
      • Abstracting and Indexing
      • Bibliographic Information
      • Archive
    • Oncology Reports
      • Oncology Reports
      • Information for Authors
      • Editorial Policies
      • Editorial Board
      • Aims and Scope
      • Abstracting and Indexing
      • Bibliographic Information
      • Archive
    • Molecular Medicine Reports
      • Molecular Medicine Reports
      • Information for Authors
      • Editorial Policies
      • Editorial Board
      • Aims and Scope
      • Abstracting and Indexing
      • Bibliographic Information
      • Archive
    • World Academy of Sciences Journal
      • World Academy of Sciences Journal
      • Information for Authors
      • Editorial Policies
      • Editorial Board
      • Aims and Scope
      • Abstracting and Indexing
      • Bibliographic Information
      • Archive
    • International Journal of Functional Nutrition
      • International Journal of Functional Nutrition
      • Information for Authors
      • Editorial Policies
      • Editorial Board
      • Aims and Scope
      • Abstracting and Indexing
      • Bibliographic Information
      • Archive
    • International Journal of Epigenetics
      • International Journal of Epigenetics
      • Information for Authors
      • Editorial Policies
      • Editorial Board
      • Aims and Scope
      • Abstracting and Indexing
      • Bibliographic Information
      • Archive
    • Medicine International
      • Medicine International
      • Information for Authors
      • Editorial Policies
      • Editorial Board
      • Aims and Scope
      • Abstracting and Indexing
      • Bibliographic Information
      • Archive
  • Articles
  • Information
    • Information for Authors
    • Information for Reviewers
    • Information for Librarians
    • Information for Advertisers
    • Conferences
  • Language Editing
Spandidos Publications Logo
  • About
    • About Spandidos
    • Aims and Scopes
    • Abstracting and Indexing
    • Editorial Policies
    • Reprints and Permissions
    • Job Opportunities
    • Terms and Conditions
    • Contact
  • Journals
    • All Journals
    • Biomedical Reports
      • Information for Authors
      • Editorial Policies
      • Editorial Board
      • Aims and Scope
      • Abstracting and Indexing
      • Bibliographic Information
      • Archive
    • Experimental and Therapeutic Medicine
      • Information for Authors
      • Editorial Policies
      • Editorial Board
      • Aims and Scope
      • Abstracting and Indexing
      • Bibliographic Information
      • Archive
    • International Journal of Epigenetics
      • Information for Authors
      • Editorial Policies
      • Editorial Board
      • Aims and Scope
      • Abstracting and Indexing
      • Bibliographic Information
      • Archive
    • International Journal of Functional Nutrition
      • Information for Authors
      • Editorial Policies
      • Editorial Board
      • Aims and Scope
      • Abstracting and Indexing
      • Bibliographic Information
      • Archive
    • International Journal of Molecular Medicine
      • Information for Authors
      • Editorial Policies
      • Editorial Board
      • Aims and Scope
      • Abstracting and Indexing
      • Bibliographic Information
      • Archive
    • International Journal of Oncology
      • Information for Authors
      • Editorial Policies
      • Editorial Board
      • Aims and Scope
      • Abstracting and Indexing
      • Bibliographic Information
      • Archive
    • Medicine International
      • Information for Authors
      • Editorial Policies
      • Editorial Board
      • Aims and Scope
      • Abstracting and Indexing
      • Bibliographic Information
      • Archive
    • Molecular and Clinical Oncology
      • Information for Authors
      • Editorial Policies
      • Editorial Board
      • Aims and Scope
      • Abstracting and Indexing
      • Bibliographic Information
      • Archive
    • Molecular Medicine Reports
      • Information for Authors
      • Editorial Policies
      • Editorial Board
      • Aims and Scope
      • Abstracting and Indexing
      • Bibliographic Information
      • Archive
    • Oncology Letters
      • Information for Authors
      • Editorial Policies
      • Editorial Board
      • Aims and Scope
      • Abstracting and Indexing
      • Bibliographic Information
      • Archive
    • Oncology Reports
      • Information for Authors
      • Editorial Policies
      • Editorial Board
      • Aims and Scope
      • Abstracting and Indexing
      • Bibliographic Information
      • Archive
    • World Academy of Sciences Journal
      • Information for Authors
      • Editorial Policies
      • Editorial Board
      • Aims and Scope
      • Abstracting and Indexing
      • Bibliographic Information
      • Archive
  • Articles
  • Information
    • For Authors
    • For Reviewers
    • For Librarians
    • For Advertisers
    • Conferences
  • Language Editing
Login Register Submit
  • This site uses cookies
  • You can change your cookie settings at any time by following the instructions in our Cookie Policy. To find out more, you may read our Privacy Policy.

    I agree
Search articles by DOI, keyword, author or affiliation
Search
Advanced Search
presentation
Experimental and Therapeutic Medicine
Join Editorial Board Propose a Special Issue
Print ISSN: 1792-0981 Online ISSN: 1792-1015
Journal Cover
September-2018 Volume 16 Issue 3

Full Size Image

Sign up for eToc alerts
Recommend to Library

Journals

International Journal of Molecular Medicine

International Journal of Molecular Medicine

International Journal of Molecular Medicine is an international journal devoted to molecular mechanisms of human disease.

International Journal of Oncology

International Journal of Oncology

International Journal of Oncology is an international journal devoted to oncology research and cancer treatment.

Molecular Medicine Reports

Molecular Medicine Reports

Covers molecular medicine topics such as pharmacology, pathology, genetics, neuroscience, infectious diseases, molecular cardiology, and molecular surgery.

Oncology Reports

Oncology Reports

Oncology Reports is an international journal devoted to fundamental and applied research in Oncology.

Experimental and Therapeutic Medicine

Experimental and Therapeutic Medicine

Experimental and Therapeutic Medicine is an international journal devoted to laboratory and clinical medicine.

Oncology Letters

Oncology Letters

Oncology Letters is an international journal devoted to Experimental and Clinical Oncology.

Biomedical Reports

Biomedical Reports

Explores a wide range of biological and medical fields, including pharmacology, genetics, microbiology, neuroscience, and molecular cardiology.

Molecular and Clinical Oncology

Molecular and Clinical Oncology

International journal addressing all aspects of oncology research, from tumorigenesis and oncogenes to chemotherapy and metastasis.

World Academy of Sciences Journal

World Academy of Sciences Journal

Multidisciplinary open-access journal spanning biochemistry, genetics, neuroscience, environmental health, and synthetic biology.

International Journal of Functional Nutrition

International Journal of Functional Nutrition

Open-access journal combining biochemistry, pharmacology, immunology, and genetics to advance health through functional nutrition.

International Journal of Epigenetics

International Journal of Epigenetics

Publishes open-access research on using epigenetics to advance understanding and treatment of human disease.

Medicine International

Medicine International

An International Open Access Journal Devoted to General Medicine.

Journal Cover
September-2018 Volume 16 Issue 3

Full Size Image

Sign up for eToc alerts
Recommend to Library

  • Article
  • Citations
    • Cite This Article
    • Download Citation
    • Create Citation Alert
    • Remove Citation Alert
    • Cited By
  • Similar Articles
    • Related Articles (in Spandidos Publications)
    • Similar Articles (Google Scholar)
    • Similar Articles (PubMed)
  • Download PDF
  • Download XML
  • View XML
Article

Ultrasonic evaluation of congenital vaginal oblique septum syndrome: A study of 21 cases

  • Authors:
    • Yong‑Hao Gai
    • Hui‑Li Fan
    • Ye Yan
    • Shi‑Feng Cai
    • Yue‑Zhong Zhang
    • Ru‑Xin Song
    • Shu‑Liang Song
  • View Affiliations / Copyright

    Affiliations: Department of Ultrasound, Shandong Provincial Hospital Affiliated to Shandong University, Jinan, Shandong 250021, P.R. China, Department of Ultrasound, Heze Municipal Hospital, Heze, Shandong 274000, P.R. China, Department of Radiology, Shandong Provincial Hospital Affiliated to Shandong University, Jinan, Shandong 250021, P.R. China, Department of Ultrasound, Shanghai Dongfang Hospital Affiliated to Tongji University, Shanghai 200120, P.R. China
  • Pages: 2066-2070
    |
    Published online on: July 6, 2018
       https://doi.org/10.3892/etm.2018.6411
  • Expand metrics +
Metrics: Total Views: 0 (Spandidos Publications: | PMC Statistics: )
Metrics: Total PDF Downloads: 0 (Spandidos Publications: | PMC Statistics: )
Cited By (CrossRef): 0 citations Loading Articles...

This article is mentioned in:


Abstract

The aim of the present study was to investigate the ultrasound features and classify the lesion types of congenital vaginal oblique septum syndrome (CVOS) in 21 patients prior to surgery. Grey‑scale pelvic ultrasound was performed to evaluate the uterus, vagina and kidneys in 21 patients with suspected CVOS. Ultrasound features, including the presence of a double uterus, hematocolpos masses and renal absence, in CVOS types I, II and III were studied and compared with intra‑operative results and the results of surgery. Ultrasound identified the presence of double uteruses and cervices with ipsilateral renal agenesis on the oblique septum side in all 21 patients. There were 14 hematocolpos lesions on the right and 7 on the left of the vagina. Type I CVOS was diagnosed in 15 patients with a large hematocolpos mass (volume, 64‑268 ml) and these diagnoses were confirmed by surgery. Furthermore, there were 4 patients with type II and 2 patients with type III CVOS exhibiting small hematocolpos lesions (volume, 5‑36 ml) identified by ultrasound, which were all confirmed by surgery. Therefore, ultrasound imaging is useful tool to evaluate the abnormal features of CVOS and determine the type of CVOS in patients prior to surgical intervention.

Introduction

Various case reports have described congenital abnormalities of the unilateral hematocolpos and ipsilateral renal agenesis (1–3). In 1985, Bian named this condition congenital vaginal oblique septum syndrome (CVOS) (4) and it is also known as Herlyn-Werner-Wunderlich syndrome (3,5,6). CVOS is usually caused by congenital malformation in the vagina, which results in the development of a double uterus and cervix (6). There is also an oblique diaphragm from the cervical side to the bottom of unilateral vaginal wall, known as the vaginal oblique septum, which blocks lateral cervical pathways (7). The effusion lacuna caused by obstruction is known as behind-septum vaginal cavity (7). Renal agenesis usually occurs in patients with the malformation on the oblique septum side due to embryonal dysplasia (7). Clinically, there are three types of CVOS: Types I, II and III (4,6). Patients with type I CVOS do not possess a hole in the oblique septum and the attachment of the uterus to the vagina is normal (6,8). However, these patients have an additional uterus behind the septum that is entirely isolated from the contralateral uterus (6,8). Menstrual blood is retained behind the septum vaginal cavity and in certain cases, the uterine cavity. Patients with type II CVOS exhibit a hole several mm thick in the reclined septum through which menstrual blood can flow (6,8). Patients with type III CVOS possess no hole in the oblique septum, but exhibit a cervical fistula between the two lateral cervixes or between the cavity behind the septum and contralateral cervix (6,8). Menstrual blood on the oblique septum may drain through the contralateral cervix (4). As CVOS is a very rare syndrome, it is easily misdiagnosed and the treatment is often delayed (6). Early accurate diagnosis and resection of the oblique vaginal septum are therefore important, emphasizing the need to recognize the syndrome early (6). The purpose of the current study was to identify the features of CVOS detected by ultrasound, classify the lesion types of CVOS and to compare the results of the ultrasound with the intraoperative and pathology results.

Patients and methods

Patients

Between December 1996 and September 2015, 21 female patients with suspected CVOS were included in the current retrospective study from the Provincial Hospital Affiliated to Shandong University (Jinan, Shandong), the People's Hospital of Linyi City (Linyi, Shandong) and Heze Municipal Hospital (Heze, Shandong). These patients included 15 already included in a previous study (8). For the present study, a further 6 patients were identified based on sonogram and one of them who underwent magnetic resonance imaging examination showed the same result. The mean age of the patients was 17.29±5.69 years old (range, 13–32 years). Patients without typical ultrasonic features were excluded. A grey-scale pelvic ultrasound was performed to evaluate the uterus, vagina and kidneys prior to surgery. A total of 15 patients with type I CVOS received surgery immediately following the confirmation of diagnosis. Excluding a patient with type III CVOS who received surgery whilst 17 weeks pregnant, the remainder of patients also underwent surgery once the diagnosis was confirmed. Transvaginal resection of the reclined septum was performed in all patients. All 15 patients with type I CVOS had both normal menstrual cycles and dysmenorrheal unilateral abdominal pain. Dysmenorrhea was preliminarily less severe, but increased in severity over time. The mean duration from the first menstruation to operation was 6.67±2.06 months in type I (mean duration of dysmenorrhea, 3.60±1.68 months), 27.00±13.60 months in type II (mean duration of symptoms, 23.2±12.42 months) and 134 months in type III (excluding the pregnant patient). Excluding dysmenorrhea, the remaining 6 patients with type II and type III also exhibited menstrual extension and vaginal purulent drainage. Vaginal or rectal examination revealed masses of various sizes beside the normal vagina in all patients.

Ultrasonic examination

Grey-scale ultrasound imaging was performed trans-abdominally with a LogiqE8 or LogiqE9 (GE Healthcare, Chicago, IL, USA), an HDI 3500 (ATL; Philips Healthcare, Andover, MA, USA) or an Envision HD system (Philips Healthcare), with multi-frequency (3–6 MHz) convex transducers. Pelvic organs were routinely scanned when the bladders of patients were moderately filled to provide an optimal imaging window. Following ultrasound, the appearance of the uterus, cervix, vagina and ovaries were assessed and documented. Any abnormal findings were also recorded. When a mass within the vagina was detected, the association between the mass and adjacent organs was investigated; the size of the mass was measured in three dimensions: d1, d2 and d3 [meaning length (longitudinal section), width (cross section) and thickness (anteroposterior section), respectively] using the scales on each ultrasound machine. The volume of the mass was calculated using the following formula: V=0.52 × d1 × d2 × d3. Ultrasound results were compared with intraoperative and pathological results. Furthermore, bilateral renal areas were scanned to identify each kidney due to CVOS often accompanying kidney absence according to theories of embryonic development. As computed tomography urography (CTU) and Intravenous pyelogram (IVP) are more sensitive and comprehensive methods for kidney examination than ultrasonography, CTU and IVP were performed in 10 and 5 patients, respectively when ultrasonic examination was unable to confirm kidney absence However, CTU was not routinely utilized at the beginning of this study, so most patients were only examined using IVP. In recent years, IVP has been substituted for CTU in the majority of hospitals and the patients who exhibited suspected renal dysplasia mostly underwent CTU. In the current study, CTU was performed using a 64-detector row CT scanner (Lightspeed VCT; GE Healthcare) by intravenously injecting 80 ml iopromide (Ultravist. 300; 740 mg/ml) at a rate of 4 ml/sec, following 20 ml normal sodium reinjection to make optimal use of diagnostic opacity. The data acquisition was initiated 30 min. IVP was performed using a Hitachi TU-130 (Hitachi, Ltd., Tokyo, Japan) and a Shimadzu NAX-500RF (Shimadzu Corporation, Kyoto, Japan) X-ray machine by intravenously injecting 40 ml meglumine diatrizoate (Hunan Hansen Pharmaceutical Co., Ltd., Yiyang, China). The renal area was photographed 7, 15 and 30 min following injection.

Results

Ultrasonic diagnosis consisting with surgery

Following ultrasound examination, all 21 patients underwent surgery to remove the oblique septum and drain any blood retained within the hematocolpos via a transvaginal approach. Based on the characteristics of ultrasound imaging, all 21 cases were diagnosed with CVOS prior to this surgery. All 21 patients exhibited a double uterus and cervix with ipsilateral renal agenesis on the oblique septum side and compensatory enlargement of the contralateral kidney. A total of 15 patients with ipsilateral renal agenesis were confirmed using IVP (n=10) and CTU (n=5) following ultrasound examination, the remaining 6 patients, confirmed using ultrasound, did not receive the first two examinations as a clear image had already been obtained. Sonograms indicated that the size and shape of bilateral ovaries of all patients were within normal limits. Oval cystic masses of various sizes with dense floating echogenic debris were identified on the ultrasound images taken from all patients. There were 14 hematocolpos lesions on the right and 7 on the left of the vagina. Type I CVOS was diagnosed in 15 patients with large hematocolpos masses (volume, 64–268 ml), which was confirmed by surgery. There were 4 cases of type II and 2 cases of type III CVOS with small hematocolpos lesions (volume, 5–36 ml), which were surgically confirmed. These three types of CVOSs are demonstrated in Fig. 1.

Figure 1.

Different types of CVOS. (A) Type I CVOS with a complete oblique septum and retained menstrual blood behind the septum vaginal and uterine cavities (B). Type II CVOS exhibiting an oblique septum containing holes. A small quantity of menstrual blood behind the septum vaginal cavity may drain through the holes (C). Type III CVOS demonstrating a complete oblique septum with cervical fistula. A quantity of menstrual blood behind the septum vaginal cavity may drain through the cervical fistula. 1, Retained menstrual blood behind the septum vaginal cavity; 2, oblique septum of the vagina; 3, holes in the oblique septum; and 4, the cervical fistula. CVOS, congenital vaginal oblique septum syndrome.

Ultrasonic features of CVOS

Out of the 15 patients with type I CVOS, there were 9 patients with right oblique septum and 6 patients with left oblique septum (Figs. 2–4). Among the 4 patients with type II CVOS, 3 patients had oblique septum on the right side and another on the left of the vagina (Fig. 5). In the 2 patients with type III CVOS, the septum was on the right side of the vagina (Fig. 6). Patients with types II (n=4) and III (n=2) CVOS exhibited an anechoic vaginal mass with an irregular shape and thickening wall, which was consistent with pathological findings.

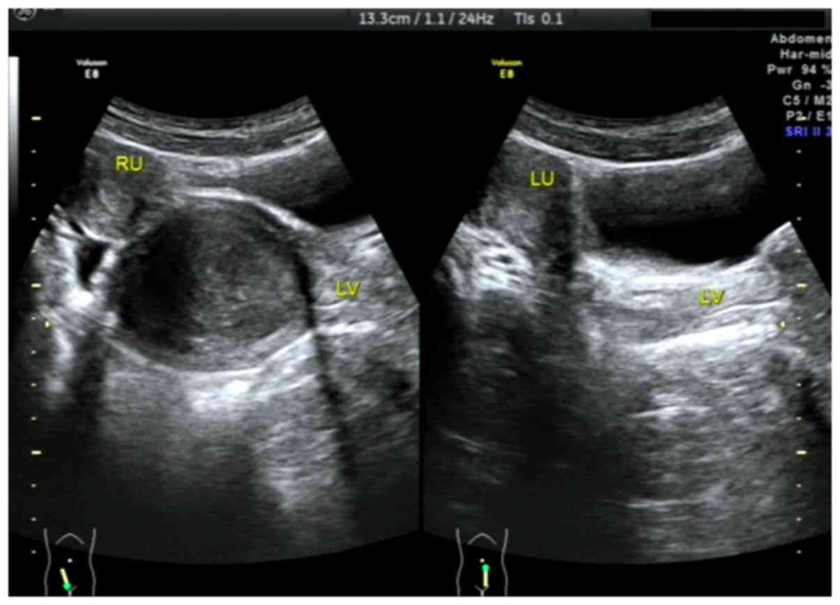
Figure 2.

Type I congenital vaginal oblique septum syndrome. Sonograms were obtained from a 14-year-old female patient in sagittal pelvic planes demonstrating a normal right uterus and an oval cystic mass with dense floating echogenic dots behind the right septum vaginal cavity (left side of the figure), normal left uterus and left vagina (right side of the figure). RU, right uterus; LU, left uterus; LV, left vagina.

Figure 4.

Sonogram obtained from double waist oblique coronal sections from a 14-year-old patient identifying the absence of the right kidney (white arrow; left side of the figure). The left kidney was normal (right side of the figure). LI, liver; SP, spleen; LK, left kidney.

Figure 5.

Type II congenital vaginal oblique septum syndrome. Sonograms obtained from a 19-year-old female patient in sagittal pelvic planes exhibiting a cystic mass with dense floating echogenic dots behind the left septum vaginal cavity. The right uterus and right vagina (right side of the figure) and left uterus were normal. R-U, right uterus; RV, right vagina; L-U, left uterus; C, left septum vaginal cavity.

Figure 6.

Type III congenital vaginal oblique septum syndrome. Sonograms obtained from a 17-week pregnant 32-year-old female patient with sagittal pelvic planes exhibiting the fetal head in the left uterus and the cystic mass with dense floating echogenic dots behind the right septum vaginal cavity. FH, fetal head; RV, dense floating echogenic dots behind the right septum vaginal cavity; RU, right uterus; RC, right cervix; LC, left cervix.

Discussion

In previous studies, patients with CVOS were divided into 3 types, namely types I, II and III (4,6). Patients with type I CVOS do not have a hole in the oblique septum and the attachment of the uterus to the vagina is normal; however, these patients have another uterus behind the septum that is completely isolated from the contralateral uterus and do not possess a normal vagina from which menstrual blood may flow. Menstrual blood is retained behind the septum vaginal cavity and in some cases the uterine cavity. Such patients experience a normal menstrual cycle but experience periodic abdominal pain. Patients with type II CVOS have a hole several mm thick in the reclined septum through which menstrual blood drips out. Patients with type III CVOS have no hole in the oblique septum; however, there is cervical fistula between the two lateral cervixes or between the cavity behind the septum and contralateral cervix. Menstrual blood on the oblique septum side may drain out through the contralateral cervix

CVOS diagnosis was previously conducted by conducting X-ray hysterosalpinography and IVP (4). However, due to the popularization and development of instruments to perform ultrasound, ultrasonography has been developed as an accurate, fast, real-time and non-invasive examination method that clearly identifies the uterus, cervix, vaginal hemorrhage, ovarian characteristics and the presence or absence of kidneys (8,9). Kidney absence, which is not easily identified by ultrasound, may be detected by IVP (10).

According to theories of embryonic development, the mullerian and Wolffian ducts originate in the urogenital ridge and the development of mullerian duct depends on the Wolffian duct (4). If there are developmental disorders of the Wolffian duct, the mullerian duct on the same side may also be affected and a series of genitourinary system malformations may occur (4). In patients with type I CVOS, the vaginal cavity behind the septum exhibits hemorrhage and is expanded due to obstruction of the vagina (6). There are specific changes that can be detected by ultrasonograms: The big cystic mass formed by hemorrhage in the vagina can be detected behind the filling bladder, with a clear margin (6). Furthermore, there are point echoes in the cystic mass due to old hemorrhages. The inside wall of the mass is the oblique septum and the upper part is the ipsilateral side of the uterine body connected with it and the contralateral uterine body connected with the ipsilateral normal vagina, which probably has normal endometrium (11). Along with prolonging of the menstrual cycle, the expanding mass and hemorrhage within the uterine cavity can be visualized dynamically. However, due to the extrusion of the hemorrhage to the vagina, it may be difficult to detect the contralateral normal vagina. In the current study, only 5 patients exhibited the normal vagina located in the front of the mass.

Based on the results of the current study and those of previous studies (8,12–14), it has been suggested that a diagnosis of type I CVOS may be made if the following features are identified in the ultrasonogram: i) There is a double uterus with or without uterine cavity hemorrhage on one side, the endometrium of the uterus on the other side is normal; ii) there is a cystic mass below the unilateral uterine body; iii) the contralateral normal vaginal and normal uterus connected with the vagina is identified from the images; iv) the kidney is absent on the side of the mass; and v) the patient undergoes a normal menstrual cycle. For patients with type II and III CVOS, the ultrasonogram is the same as type I apart from a smaller and lower tension of the mass, due to insufficient menstrual blood drainage. However, secondary infection often occurs due to obstruction of menstrual blood drainage.

Out of the patients included in the current study, one patient aged 32 years old was diagnosed with type III CVOS whilst pregnant. CVOS diagnosis during pregnancy is rare and the patient's abdominal pain was reduced due to the absence of menstruation following pregnancy. However, due to persistent purulent secretion, part of the reclined septum was removed transvaginally when the patient was 17 weeks pregnant. At 40 weeks pregnancy, the fetus was in the breech position and the umbilical cord was around the neck of the fetus; therefore, a cesarean section was performed. During surgery, two cervical fistulas located below the gorge and a double uterus with fallopian tubes and ovaries on their side were identified.

Compared to type I CVOS, the other 5 patients with type II and III CVOS demonstrated fewer small cystic masses with thick walls and slightly triangular irregular shapes next to the normal vagina Combined with the presence of a double uterus and ipsilateral renal agenesis, a diagnosis of CVOS was tentatively made. These diagnoses were confirmed by gynecological examination and following surgery. Therefore, ultrasound imaging may be important in aiding the diagnosis of types II and III CVOS. In the majority of patients (14/21) included in the current study, oblique septums were located on the right side, which is consistent with the results of previous studies (1,15,16). Accurate ultrasonic diagnoses may enable clinicians to perform transvaginal resection of the reclined septum and avoid unnecessary laparotomy to excise the uterus and fallopian tube (17).

In conclusion, the results of the current study suggest that the key to diagnosing CVOS accurately lies in correctly assessing the ultrasonic images of patients with CVOS and determining the associated clinical manifestations. The results indicate that diagnoses of CVOS may be made by performing high-resolution ultrasound. Definite diagnoses of type I CVOS was performed in 15 patients using ultrasonograms and helpful patient information was provided from to aid in the timely diagnosis of the 6 patients with types II and III CVOS.

Acknowledgements

The authors of the present study would like to thank the patients and their families for their support and collaboration, and Dr Ji-Bin Liu (Thomas Jefferson University Hospital, Philadelphia, PA, USA) for guidance on manuscript preparation.

Funding

No funding was received.

Availability of data and materials

The datasets used and/or analyzed during the current study are available from the corresponding author on reasonable request.

Authors' contributions

All authors participated in the acquisition of data for this study. YHG and HLF were the major contributors in writing the manuscript. All authors have read and approved this manuscript.

Ethics approval and consent to participate

The protocol of the study was approved by the ethics committee of Shandong Provincial Hospital.

Patient consent for publication

Not applicable.

Competing interests

The authors declare that they have no competing interests.

References

1 

Yoder IC and Pfister RC: Unilateral hematocolpos and ipsilateral renal agenesis: Report of two cases and review of the literature. Am J Roentgenol. 127:303–308. 1976. View Article : Google Scholar

2 

Mehra S, Chamaria K, Garga UC, Kataria A and Ahuja A: Imaging diagnosis of herlyn-werner-wunderlich syndrome-an extremely rare urogenital anomaly. J Clin Diagn Res. 9:Td06–Td08. 2015.PubMed/NCBI

3 

Orazi C, Lucchetti MC, Schingo PM, Marchetti P and Ferro F: Herlyn-Werner-Wunderlich syndrome: Uterus didelphys, blind hemivagina and ipsilateral renal agenesis. Sonographic and MR findings in 11 cases. Pediatr Radiol. 37:657–665. 2007.(In Chinese). View Article : Google Scholar : PubMed/NCBI

4 

Bian ML: Oblique vaginal septum: Report of 15 cases. Zhonghua Fu Chan Ke Za Zhi. 20(85–88): 1261985.(In Chinese).

5 

Jindal G, Kachhawa S, Meena GL and Dhakar G: Uterus didelphys with unilateral obstructed hemivagina with hematometrocolpos and hematosalpinx with ipsilateral renal agenesis. J Hum Reprod Sci. 2:87–89. 2009. View Article : Google Scholar : PubMed/NCBI

6 

Wang J, Zhu L, Lang J, Liu Z, Sun D, Leng J and Fan Q: Clinical characteristics and treatment of Herlyn-Werner-Wunderlich syndrome. Arch Gynecol Obstet. 290:947–950. 2014. View Article : Google Scholar : PubMed/NCBI

7 

Tong J, Zhu L and Lang J: Clinical characteristics of 70 patients with Herlyn-Werner-Wunderlich syndrome. Int J Gynaecol Obstet. 121:173–175. 2013. View Article : Google Scholar : PubMed/NCBI

8 

Gai YH, Cai SF, Wu SH, Song SL, Ding JL, Xue Y and Zhao JZ: Ultrasonic diagnosis of congenital vaginal reclined septum syndrome. Chin J Ultrasonogr. 13:834–836, (In Chinese).

9 

Yavuz A, Bora A, Kurdoglu M, Goya C, Kurdoglu Z, Beyazal M and Akdemir Z: Herlyn-Werner-Wunderlich syndrome: Merits of sonographic and magnetic resonance imaging for accurate diagnosis and patient management in 13 cases. J Pediatr Adolesc Gynecol. 28:47–52. 2015. View Article : Google Scholar : PubMed/NCBI

10 

Costello CH and Cook CK: Intravenous urography and imaging of the urinary tract. Hosp Med. 65:426–430. 2004. View Article : Google Scholar : PubMed/NCBI

11 

Dias JL and Jogo R: Herlyn-Werner-Wunderlich syndrome: Pre- and post-surgical MRI and US findings. Abdom Imaging. 40:2667–2682. 2015. View Article : Google Scholar : PubMed/NCBI

12 

Gholoum S, Puligandla PS, Hui T, Su W, Quiros E and Laberge JM: Management and outcome of patients with combined vaginal septum, bifid uterus, and ipsilateral renal agenesis (Herlyn-Werner-Wunderlich syndrome). J Pediatr Surg. 41:987–992. 2006. View Article : Google Scholar : PubMed/NCBI

13 

Moawad NS, Mahajan ST, Moawad SA and Greenfield M: Uterus didelphys and longitudinal vaginal septum coincident with an obstructive transverse vaginal septum. J Pediatr Adolesc Gynecol. 22:e163–165. 2009. View Article : Google Scholar : PubMed/NCBI

14 

van der Byl G, di Giacomo V and Miele V: Herlyn Werner Wunderlich syndrome (HWWS): An unusual presentation of acuteabdominal pain: Herlyn Werner Wunderlich syndrome (HWWS): An unusual presentation of acute abdominal pain. J Ultrasound. 17:171–174. 2014. View Article : Google Scholar : PubMed/NCBI

15 

Acién P and Acién M: Unilateral renal agenesis and female genital tract pathologies. Acta Obstet Gynecol Scand. 89:1424–1431. 2010. View Article : Google Scholar : PubMed/NCBI

16 

Rock JA and Jones HW Jr: The double uterus associated with an obstructed hemivagina and ipsilateral renal agenesis. Am J Obstet Gynecol. 138:339–342. 1980. View Article : Google Scholar : PubMed/NCBI

17 

Eisenberg E, Farber M, Mitchell GW Jr, Turksoy RN and Rule AH: Complete duplication of the uterus and cervix with a unilaterally imperforate vagina. Obstet Gynecol. 60:259–262. 1982.PubMed/NCBI

Related Articles

  • Abstract
  • View
  • Download
  • Twitter
Copy and paste a formatted citation
Spandidos Publications style
Gai YH, Fan HL, Yan Y, Cai SF, Zhang YZ, Song RX and Song SL: Ultrasonic evaluation of congenital vaginal oblique septum syndrome: A study of 21 cases. Exp Ther Med 16: 2066-2070, 2018.
APA
Gai, Y., Fan, H., Yan, Y., Cai, S., Zhang, Y., Song, R., & Song, S. (2018). Ultrasonic evaluation of congenital vaginal oblique septum syndrome: A study of 21 cases. Experimental and Therapeutic Medicine, 16, 2066-2070. https://doi.org/10.3892/etm.2018.6411
MLA
Gai, Y., Fan, H., Yan, Y., Cai, S., Zhang, Y., Song, R., Song, S."Ultrasonic evaluation of congenital vaginal oblique septum syndrome: A study of 21 cases". Experimental and Therapeutic Medicine 16.3 (2018): 2066-2070.
Chicago
Gai, Y., Fan, H., Yan, Y., Cai, S., Zhang, Y., Song, R., Song, S."Ultrasonic evaluation of congenital vaginal oblique septum syndrome: A study of 21 cases". Experimental and Therapeutic Medicine 16, no. 3 (2018): 2066-2070. https://doi.org/10.3892/etm.2018.6411
Copy and paste a formatted citation
x
Spandidos Publications style
Gai YH, Fan HL, Yan Y, Cai SF, Zhang YZ, Song RX and Song SL: Ultrasonic evaluation of congenital vaginal oblique septum syndrome: A study of 21 cases. Exp Ther Med 16: 2066-2070, 2018.
APA
Gai, Y., Fan, H., Yan, Y., Cai, S., Zhang, Y., Song, R., & Song, S. (2018). Ultrasonic evaluation of congenital vaginal oblique septum syndrome: A study of 21 cases. Experimental and Therapeutic Medicine, 16, 2066-2070. https://doi.org/10.3892/etm.2018.6411
MLA
Gai, Y., Fan, H., Yan, Y., Cai, S., Zhang, Y., Song, R., Song, S."Ultrasonic evaluation of congenital vaginal oblique septum syndrome: A study of 21 cases". Experimental and Therapeutic Medicine 16.3 (2018): 2066-2070.
Chicago
Gai, Y., Fan, H., Yan, Y., Cai, S., Zhang, Y., Song, R., Song, S."Ultrasonic evaluation of congenital vaginal oblique septum syndrome: A study of 21 cases". Experimental and Therapeutic Medicine 16, no. 3 (2018): 2066-2070. https://doi.org/10.3892/etm.2018.6411
Follow us
  • Twitter
  • LinkedIn
  • Facebook
About
  • Spandidos Publications
  • Careers
  • Cookie Policy
  • Privacy Policy
How can we help?
  • Help
  • Live Chat
  • Contact
  • Email to our Support Team