Spandidos Publications Logo
  • About
    • About Spandidos
    • Aims and Scopes
    • Abstracting and Indexing
    • Editorial Policies
    • Reprints and Permissions
    • Job Opportunities
    • Terms and Conditions
    • Contact
  • Journals
    • All Journals
    • Oncology Letters
      • Oncology Letters
      • Information for Authors
      • Editorial Policies
      • Editorial Board
      • Aims and Scope
      • Abstracting and Indexing
      • Bibliographic Information
      • Archive
    • International Journal of Oncology
      • International Journal of Oncology
      • Information for Authors
      • Editorial Policies
      • Editorial Board
      • Aims and Scope
      • Abstracting and Indexing
      • Bibliographic Information
      • Archive
    • Molecular and Clinical Oncology
      • Molecular and Clinical Oncology
      • Information for Authors
      • Editorial Policies
      • Editorial Board
      • Aims and Scope
      • Abstracting and Indexing
      • Bibliographic Information
      • Archive
    • Experimental and Therapeutic Medicine
      • Experimental and Therapeutic Medicine
      • Information for Authors
      • Editorial Policies
      • Editorial Board
      • Aims and Scope
      • Abstracting and Indexing
      • Bibliographic Information
      • Archive
    • International Journal of Molecular Medicine
      • International Journal of Molecular Medicine
      • Information for Authors
      • Editorial Policies
      • Editorial Board
      • Aims and Scope
      • Abstracting and Indexing
      • Bibliographic Information
      • Archive
    • Biomedical Reports
      • Biomedical Reports
      • Information for Authors
      • Editorial Policies
      • Editorial Board
      • Aims and Scope
      • Abstracting and Indexing
      • Bibliographic Information
      • Archive
    • Oncology Reports
      • Oncology Reports
      • Information for Authors
      • Editorial Policies
      • Editorial Board
      • Aims and Scope
      • Abstracting and Indexing
      • Bibliographic Information
      • Archive
    • Molecular Medicine Reports
      • Molecular Medicine Reports
      • Information for Authors
      • Editorial Policies
      • Editorial Board
      • Aims and Scope
      • Abstracting and Indexing
      • Bibliographic Information
      • Archive
    • World Academy of Sciences Journal
      • World Academy of Sciences Journal
      • Information for Authors
      • Editorial Policies
      • Editorial Board
      • Aims and Scope
      • Abstracting and Indexing
      • Bibliographic Information
      • Archive
    • International Journal of Functional Nutrition
      • International Journal of Functional Nutrition
      • Information for Authors
      • Editorial Policies
      • Editorial Board
      • Aims and Scope
      • Abstracting and Indexing
      • Bibliographic Information
      • Archive
    • International Journal of Epigenetics
      • International Journal of Epigenetics
      • Information for Authors
      • Editorial Policies
      • Editorial Board
      • Aims and Scope
      • Abstracting and Indexing
      • Bibliographic Information
      • Archive
    • Medicine International
      • Medicine International
      • Information for Authors
      • Editorial Policies
      • Editorial Board
      • Aims and Scope
      • Abstracting and Indexing
      • Bibliographic Information
      • Archive
  • Articles
  • Information
    • Information for Authors
    • Information for Reviewers
    • Information for Librarians
    • Information for Advertisers
    • Conferences
  • Language Editing
Spandidos Publications Logo
  • About
    • About Spandidos
    • Aims and Scopes
    • Abstracting and Indexing
    • Editorial Policies
    • Reprints and Permissions
    • Job Opportunities
    • Terms and Conditions
    • Contact
  • Journals
    • All Journals
    • Biomedical Reports
      • Information for Authors
      • Editorial Policies
      • Editorial Board
      • Aims and Scope
      • Abstracting and Indexing
      • Bibliographic Information
      • Archive
    • Experimental and Therapeutic Medicine
      • Information for Authors
      • Editorial Policies
      • Editorial Board
      • Aims and Scope
      • Abstracting and Indexing
      • Bibliographic Information
      • Archive
    • International Journal of Epigenetics
      • Information for Authors
      • Editorial Policies
      • Editorial Board
      • Aims and Scope
      • Abstracting and Indexing
      • Bibliographic Information
      • Archive
    • International Journal of Functional Nutrition
      • Information for Authors
      • Editorial Policies
      • Editorial Board
      • Aims and Scope
      • Abstracting and Indexing
      • Bibliographic Information
      • Archive
    • International Journal of Molecular Medicine
      • Information for Authors
      • Editorial Policies
      • Editorial Board
      • Aims and Scope
      • Abstracting and Indexing
      • Bibliographic Information
      • Archive
    • International Journal of Oncology
      • Information for Authors
      • Editorial Policies
      • Editorial Board
      • Aims and Scope
      • Abstracting and Indexing
      • Bibliographic Information
      • Archive
    • Medicine International
      • Information for Authors
      • Editorial Policies
      • Editorial Board
      • Aims and Scope
      • Abstracting and Indexing
      • Bibliographic Information
      • Archive
    • Molecular and Clinical Oncology
      • Information for Authors
      • Editorial Policies
      • Editorial Board
      • Aims and Scope
      • Abstracting and Indexing
      • Bibliographic Information
      • Archive
    • Molecular Medicine Reports
      • Information for Authors
      • Editorial Policies
      • Editorial Board
      • Aims and Scope
      • Abstracting and Indexing
      • Bibliographic Information
      • Archive
    • Oncology Letters
      • Information for Authors
      • Editorial Policies
      • Editorial Board
      • Aims and Scope
      • Abstracting and Indexing
      • Bibliographic Information
      • Archive
    • Oncology Reports
      • Information for Authors
      • Editorial Policies
      • Editorial Board
      • Aims and Scope
      • Abstracting and Indexing
      • Bibliographic Information
      • Archive
    • World Academy of Sciences Journal
      • Information for Authors
      • Editorial Policies
      • Editorial Board
      • Aims and Scope
      • Abstracting and Indexing
      • Bibliographic Information
      • Archive
  • Articles
  • Information
    • For Authors
    • For Reviewers
    • For Librarians
    • For Advertisers
    • Conferences
  • Language Editing
Login Register Submit
  • This site uses cookies
  • You can change your cookie settings at any time by following the instructions in our Cookie Policy. To find out more, you may read our Privacy Policy.

    I agree
Search articles by DOI, keyword, author or affiliation
Search
Advanced Search
presentation
International Journal of Molecular Medicine
Join Editorial Board Propose a Special Issue
Print ISSN: 1107-3756 Online ISSN: 1791-244X
Journal Cover
September-2015 Volume 36 Issue 3

Full Size Image

Sign up for eToc alerts
Recommend to Library

Journals

International Journal of Molecular Medicine

International Journal of Molecular Medicine

International Journal of Molecular Medicine is an international journal devoted to molecular mechanisms of human disease.

International Journal of Oncology

International Journal of Oncology

International Journal of Oncology is an international journal devoted to oncology research and cancer treatment.

Molecular Medicine Reports

Molecular Medicine Reports

Covers molecular medicine topics such as pharmacology, pathology, genetics, neuroscience, infectious diseases, molecular cardiology, and molecular surgery.

Oncology Reports

Oncology Reports

Oncology Reports is an international journal devoted to fundamental and applied research in Oncology.

Experimental and Therapeutic Medicine

Experimental and Therapeutic Medicine

Experimental and Therapeutic Medicine is an international journal devoted to laboratory and clinical medicine.

Oncology Letters

Oncology Letters

Oncology Letters is an international journal devoted to Experimental and Clinical Oncology.

Biomedical Reports

Biomedical Reports

Explores a wide range of biological and medical fields, including pharmacology, genetics, microbiology, neuroscience, and molecular cardiology.

Molecular and Clinical Oncology

Molecular and Clinical Oncology

International journal addressing all aspects of oncology research, from tumorigenesis and oncogenes to chemotherapy and metastasis.

World Academy of Sciences Journal

World Academy of Sciences Journal

Multidisciplinary open-access journal spanning biochemistry, genetics, neuroscience, environmental health, and synthetic biology.

International Journal of Functional Nutrition

International Journal of Functional Nutrition

Open-access journal combining biochemistry, pharmacology, immunology, and genetics to advance health through functional nutrition.

International Journal of Epigenetics

International Journal of Epigenetics

Publishes open-access research on using epigenetics to advance understanding and treatment of human disease.

Medicine International

Medicine International

An International Open Access Journal Devoted to General Medicine.

Journal Cover
September-2015 Volume 36 Issue 3

Full Size Image

Sign up for eToc alerts
Recommend to Library

  • Article
  • Citations
    • Cite This Article
    • Download Citation
    • Create Citation Alert
    • Remove Citation Alert
    • Cited By
  • Similar Articles
    • Related Articles (in Spandidos Publications)
    • Similar Articles (Google Scholar)
    • Similar Articles (PubMed)
  • Download PDF
  • Download XML
  • View XML
Article Open Access

Pathogenesis of glucocorticoid-induced avascular necrosis: A microarray analysis of gene expression in vitro

  • Authors:
    • Yanyan Bian
    • Wenwei Qian
    • Hongling Li
    • Robert Chunhua Zhao
    • Wang Xing Shan
    • Xisheng Weng
  • View Affiliations / Copyright

    Affiliations: Department of Orthopedics, Peking Union Medical College Hospital, Chinese Academy of Medical Sciences and Peking Union Medical College, Beijing 100730, P.R. China, Institute of Basic Medical Science, Chinese Academy of Medical Sciences, Beijing 100730, P.R. China
    Copyright: © Bian et al. This is an open access article distributed under the terms of Creative Commons Attribution License [CC BY_NC 3.0].
  • Pages: 678-684
    |
    Published online on: July 6, 2015
       https://doi.org/10.3892/ijmm.2015.2273
  • Expand metrics +
Metrics: Total Views: 0 (Spandidos Publications: | PMC Statistics: )
Metrics: Total PDF Downloads: 0 (Spandidos Publications: | PMC Statistics: )
Cited By (CrossRef): 0 citations Loading Articles...

This article is mentioned in:



Abstract

Avascular necrosis of the femoral head (ANFH) occurs following exposure to corticosteroids, and the proliferative capacity of the mesenchymal stem cells (MSCs) belonging to ANFH was reduced. The previous studies indicate that microRNA (miRNA) has an important regulatory role during proliferation and osteogenic differentiation of MSCs. Therefore, MSCs were obtained from healthy adults, and were cultured and osteogenically‑induced by different dexamethasone concentrations. The proliferation and osteogenic differentiation capacities were examined through observing cellular morphology, alkaline phosphatase and alizarin red; miRNA expression was investigated using an miRNA gene chip and miRNA of differential expressions were retrieved through a database to analyze its regulatory effect. Dexamethasone at a concentration of 10‑7 mol/l induced the proliferation and osteogenic differentiation of MSCs and resulted in evident miRNA expression profile changes. In total, 11 miRNAs were upregulated at 10‑7 mol/l while 6 were downregulated, and partial miRNA was identified to participate in the regulation of cell proliferation and cell apoptosis, MSC osteogenic differentiation, lipid metabolism and other processes.

Introduction

MicroRNAs (miRNAs or miRs) are small, single-stranded RNA that are 18–25 nucleotides in length. They regulate gene expression post-transcriptionally, by inhibiting translation or degrading mRNA, based on the complementarity base-pairing between the miRNA and the target mRNA. miRNAs contribute to a variety of biological processes, including proliferation, development, differentiation, apoptosis, metabolism and cancer development (1–4). The tissue specificity and temporal expression of miRNAs provide a basis for them as diagnostic and prognostic markers of disease, which has been confirmed in cancer research (5–7).

Previous studies have indicated that miRNAs have an important regulatory role during the osteogenic differentiation of mesenchymal stem cells (MSCs). Gao et al (8) analyzed the miRNA expression profile during the differentiation of human MSCs and identified that 4 miRNAs were downregulated and 3 were upregulated. Using a bioinformatics analysis, the investigators found that the corresponding target genes of the miRNAs downregulated during osteogenic differentiation, i.e., miRNA-31, miRNA-106a and miRNA-148a, were RUNX2, CBFB and BMP. Additionally, Zeng et al (9) identified that miRNA-100 affected the differentiation of stem cells towards osteogenesis by regulating its target gene, BMPR2. Eskildsen et al (10) reported that miRNA-138 prevented the osteogenic differentiation of MSCs.

During steroid-induced femoral head necrosis, the proliferative capacity (11) and osteogenic differentiation capacity of the MSCs of the femoral head are reduced (12). As observed in in vivo experiments, while low doses of glucocorticoids are required to induce the osteogenic differentiation of stem cells, high-doses of glucocorticoids prevented proliferation and osteogenic differentiation (13,14) through glucocorticoid receptor (GR) and AP-1; the ectopic expression of RUNX2 could partially reverse these effects (15).

While the effects of glucocorticoids and miRNAs on MSCs have already been reported, to the best of our knowledge, there have been no definite reports on whether glucocorticoids can alter the expression of miRNAs during the differentiation of MSCs, thus regulating osteogenic differentiation at the post-transcriptional level.

Materials and methods

Ethics statement

All the procedures followed were in accordance with the ethical standards of the responsible committee on human experimentation (Peking Union Medical College Hospital Ethics Committee, Beijing, China) and with the Helsinki Declaration of 1975, as revised in 2000. Informed consent was obtained from all the patients included in the study.

Separation and culture of human MSCs

The marrow samples in the study were obtained from the 3 patients who underwent surgery for total hip arthroplasty due to hip osteoarthritis.

The separation of MSCs in the myeloid tissue was performed as described by Pittenger et al (16). A sterile marrow puncture needle and a 10-ml syringe were used to extract myeloid tissue from the side of the femur. The sample was transferred into a test tube with culture medium and heparin (4,000 U/ml) for anticoagulation, diluted with an equal volume of phosphate-buffered saline (PBS) and mixed. The mixture was allowed to stand for 30 sec, after which the sediment was discarded and an equal quantity of 1.077 g/ml lymphocyte-separating medium (Mediatech, Herndon, VA, USA) was added. The samples were centrifuged at 778 × g for 20 min, and the monocytes that were present at the white middle layer were carefully collected. The monocytes were washed with 10 ml D-Hank's solution and collected following centrifugation at 280 × g for 6 min. The cells were resuspended at a density of 2×106 cells/ml in nutrient solution containing 58% Dulbecco's modified Eagle's medium (DMEM)/F12, 40% MCDB-201, 2% fetal calf serum, 10 ng/ml EGF, 10 ng/ml PDGF, 1X insulin-transferrin-selenium, 1X linoleic acid-bovine serum albumin (BSA), 50 µM β-mercaptoethanol, 2 mM L-glutamine, 100 µg/ml penicillin and 100 U/ml streptomycin sulfate. After 2 days, the cells that were not attached were discarded and half the growth media was replaced every 3 days. When the cells reached 70–80% confluence, they were detached using 0.25% trypsin and 0.01% EDTA, and were reseeded at a ratio of 1:3.

Immunophenotyping of cells

Following the digestion of the MSCs with pancreatin, the cells were resuspended in PBS with 0.5% BSA. Primary antibodies were added and the samples were incubated at 4°C for 30 min. The following primary monoclonal mouse anti-human antibodies were used: Cluster of differentiation 29 (CD29, mouse, Cat. no. 555442; BD Biosciences), CD34 (mouse, Cat. no. 550760, BD Biosciences), CD44 (mouse, Cat. no. 550988; BD Biosciences), CD105 (mouse, Cat. no. M3527; DAKO), HLA-DR (mouse, Cat. no. 555810; BD Biosciences) and Flk-1 (mouse, Cat. no. sc-6251; Santa Cruz Biotechnologies). To detect the intracellular antigen Flk-1, the cells were fixed in 1% paraformaldehyde at 4°C for 15 min prior to incubation with the primary antibody and were dried with 0.1% escin at room temperature. An immunoglobulin G antibody of a similar isotype was used as the negative control. Subsequent to washing the cells with PBS, the secondary antibody conjugated with fluorescein isothiocyanate was added, and the samples were incubated at 4°C for 30 min. Finally, the cells were washed twice, resuspended in 500 µl PBS and analyzed by flow cytometry (FCM).

Induction of differentiation

Third-generation MSCs were seeded at a cellular density of 2×104 cells/cm2 in 25-cm2 (T25) culture flasks for RNA extraction or in 24-well plates for staining. The cells were allowed to adhere overnight. When they reached 70 or 80% confluence, the osteogenic induction culture solution (10% FBS, 10 nM dexamethasone, 0.2 mM ascorbic acid and 10 mM sodium β-glycerophosphate in H-DMEM culture medium) was replaced with 10−7 or 10−9 mol/l of dexamethasone, respectively. Half the solution was replaced every 2 days. The cells grown in the T25 culture flasks were collected 0, 6 and 12 days after the induction of differentiation. RNA was extracted from the cells, and the expression of osteogenic phenotype marker genes were measured by quantitative polymerase chain reaction (PCR). On days 6 and 12, the calcification and mineralization matrix of the differentiated cells in the 24-well plates were assessed by alkaline phosphatase and alizarin red.

Additionally, third-generation MSCs were seeded at a cellular density of 2×104 cells/cm2 in a T25 culture flask, allowed to adhere overnight and grown to 70 or 80% confluence. After 48 h of stimulation with 10−7 and 10−9 mol/l dexamethasone, respectively, the cells were lysed in TRIzol for RNA extraction. The extracted RNA was sequenced.

Cellular staining

For alkaline phosphatase staining (adopt kit; Tianjin Blood Research Institute, Chinese Academy of Medical Sciences), a droplet of no. 1 liquid was added to each sample in a 24-well plate and the samples were incubated at room temperature for 1 min. The samples were subsequently rinsed with running water for 2 min and dried. Action liquid was added, and the samples were incubated at 37°C for 2 h, following which they were washed under running water for 2 min. No. 5 liquid was added and the samples were incubated for 5 min, following which they were washed under running water for 2 min and dried. For alizarin red staining, the 24-well plates were washed twice in PBS, fixed with 95% ethanol, washed with double-distilled water three times, and subsequently, 0.1% alizarin red-Tris-HCl (pH 8.3) was added. The samples were incubated at 37°C for 30 min, following which they were washed with distilled water, dried and sealed.

RNA extraction

RNA was extracted from the cells according to the manufacturer's instructions for extracting total RNA using the TRIzol™ reagent nucleic acid separation kit (Gibco/BRL, Grand Island, NY, USA). The optical density values of the RNA sample were measured at 260 and 280 nm using a NanoDrop biological spectrophotometer to determine the concentration of the DNA sample and to assess the quality of the sample. The A260/A280 value of the purified RNA sample should be 1.8–2.0. A value >2.0 indicates that the RNA is contaminated; a value <1.8 indicates that the phenol or proteins were not completely eliminated from the sample.

Extraction of small RNA and construction of the cDNA library

Following mixing, 2 µl SRA Ladder and 2 µl SRA Gel Loading dye (Illumina, Inc., San Diego, CA, USA) were placed in a 200-µl centrifuge tube, heated for 65°C for 5 min, and centrifuged at 18,000 × g at room temperature for 10 sec after cooling on ice. The SRA ladder and the sample RNA were loaded onto the same gel and electrophoresed for 1 h at 200 V, following which the gel was placed into a sterile chamber and stained with TBE/ethidium bromide for 2 min. The gel was visualized using a UV transilluminator. According to the ladder markings, the portion of the gel corresponding to RNA with a length of 18–30 nucleotides was excised and placed into a microcentrifuge tube. The sample was centrifuged at 20,000 × g at roomtemperature for 2 min, mixed with 300 µl 0.3 mol/l sodium chloride solution and incubated at room temperature for 4 h to elute the RNA. The sample was subsequently transferred to a Spin X cellulose acetate filtration column and was centrifuged at 20,000 × g at room temperature for 2 min. Following this, l µl glycogen and 750 µl absolute ethyl alcohol at room temperature were added to the Spin X filtrate, and the RNA was allowed to precipitate at −80°C for 30 min. The sample was centrifuged at 20,000 × g at 4°C for 25 min, following which the supernatant was removed and the RNA pellet was washed with 750 µl 75% ethanol at room temperature. The RNA pellet was dried and resuspended in 5.7 µl RNase-free water.

The small RNA that was isolated was ligated at the 5′ and 3′ terminals and mixed with 0.5 µl SRA for reverse transcription. The sample was heated at 65°C for 10 min and cooled, and 2 µl 5X first-strand buffer solution, 0.5 µl 12.5 mM dNTP mix, 1 µl 100 mM dithiothreitol and 0.5 µl RNA enzyme inhibitor were added. The sample was heated at 48°C for 3 min in a thermal cycler, and 1 µl SuperScript II reverse transcriptase was added. The sample was incubated at 44°C for 1 h in a thermal cycler. Finally, 40 µl PCR Master mix was added to 10 µl single-stranded reverse transcription cDNA.

miRNA high-throughput sequencing

The standard procedures for the Illumina HiSeq 2000 sequencing platform were performed.

Bioinformatics analysis

The data from 6 samples were obtained through high-throughput sequencing and were subjected to further analysis. The Burros-Wheeler Aligner software was used to exclude rRNA, tRNA and other non-coding RNAs, and the remaining sequences were cross-referenced to the Blast database to identify known miRNA genes. The miRBase 18.0 database and PatScan were used to compare the data and generate statistics for the trusted platform module (TPM) values of the mature miRNAs. These data represent the relative expression of the miRNAs and are obtained by dividing the total sequencing number by an absolute expression quantity by 100,000 times.

The 6 samples were divided into 3 groups, representing the control MSCs and the cells treated with 10−7 and 10−9 mol/l dexamethasone. The TPM values of the 3 conditions were compared. P-values were calculated using the χ2 method, and P-values <0.05 were considered to indicate a statistically significant difference. As such, miRNA expression differences resulting from a high concentration of dexamethasone (10−7 mol/l) and a physiological concentration of dexamethasone (10−9 mol/l) were obtained. The miRNA expression pattern differed among the 3 groups, and candidate miRNAs that were differentially regulated among individuals were also excluded.

Differentially expressed candidate miRNA were screened using online software databases, miRBase, miRDB, TargetScan and PicTar, to analyze the possible target sites of the miRNAs and their possible regulatory effects.

Results

Characteristics and phenotype of MSCs

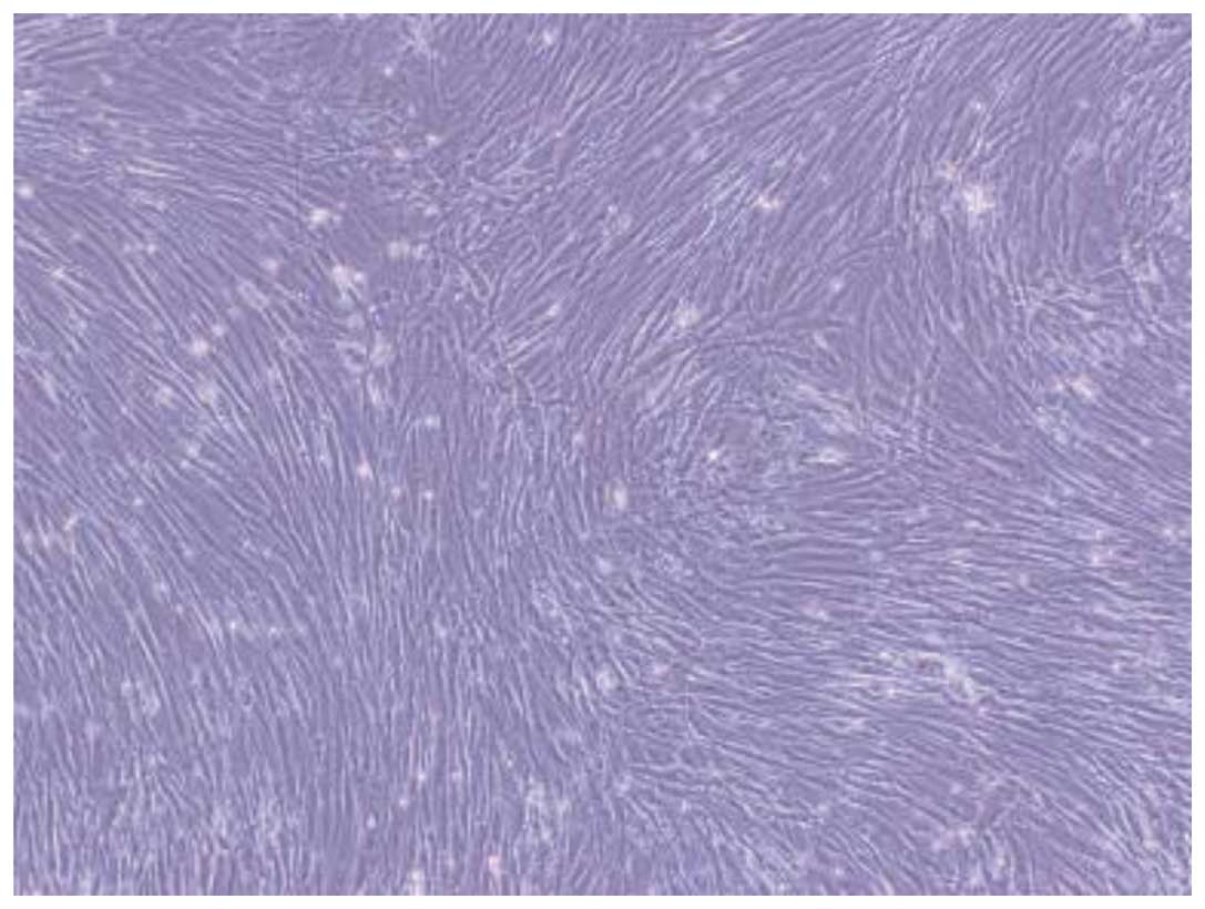
The cells obtained from lymphocyte separation medium were round. Half of the growth media was replaced every 72 h. Single fusiform adherent cells and a few red cells were observed. With increased duration of culture, the number of adherent cells with long, fusiform cellular morphology increased rapidly. A few colonies of cells showed typical fibroblast morphology. The cells grew rapidly, reaching 70–80% confluence after 8–12 days. To expand the cultures, the monolayers were digested by trypsin and reseeded. These cells grew well and preserved the primary morphology of the parent cells (Fig. 1).

Figure 1

Human mesenchymal stem cells (MSCs) in monolayer culture. Inverted microscope images (magnification, ×100) showing MSCs in primary culture after 14 days.

As it is difficult to identify the MSCs using a simple cellular marker, the obtained cells were assessed by FCM (Fig. 2). The BMSCs uniformly expressed CD29, CD44 and Flk-1 and were negative for CD34 and HLA-DR.

Figure 2

Phenotype analysis of the human mesenchymal stem cells.

Effects of different dexamethasone concentrations on osteogenic capacity

The staining for alkaline phosphatase and alizarin red showed positive results. In particular, for the alkaline phosphatase staining, blue sediments were observed in the cells; for the alizarin red staining, mineralized nodules in the extracellular matrix were stained orange. The osteogenic capacity of 10−9 mol/l dexamethasone was stronger compared to that of 10−7 mol/l dexamethasone, as indicated by a significant increase in intracellular and extracellular mineralized nodules and more intense staining. The intensity of the staining increased with treatment time (Fig. 3).

Figure 3

Osteogenic staining of mesenchymal stem cells showing the effect of dexamethasone on the osteogenic calcification of cells.

Differences in the expression of relevant osteogenesis genes

The expression of the genes associated with osteogenesis, such as OC, OPN and Runx2, increased with time following dexamethasone induction. The expression of these genes was higher in the cells treated with 10−9 mol/l dexamethasone compared with the cells treated with 10−7 mol/l dexamethasone, reaching 2.73-, 4.34- and 2.36-fold higher expression, respectively. These results were statistically significant (P<0.05) (Figs. 4Figure 5–6).

Figure 4

Osteocalcin expression following treatment of mesenchymal stem cells with 10−7 or 10−9 mol/l dexamethasone.

Figure 5

Osteopontin expression following treatment of mesenchymal stem cells with 10−7 or 10−9 mol/l dexamethasone.

Figure 6

Runx2 expression following treatment of mesenchymal stem cells with 10−7 or 10−9 mol/l dexamethasone.

High-throughput sequencing result and analysis

Following the normalization of the sequencing data, the miRNA expression differences (P<0.05) between the control cells and cells treated with 10−7 mol/l or 10−9 mol/l dexamethasone were assessed. The statistical significance between the groups was obtained from the triplicates of each group (Fig. 7).

Figure 7

A heat map according to the statistical analysis. The green color represents the downregulation of microRNAs (miRNAs), and the red color represents the upregulation of miRNAs. The expression of miRNAs in the cells treated with 10−7 mol/l dexamethasone was different from that observed in the controls.

The miRNA expression profile of MSCs was altered by treatment with 10−9 and 10−7 mol/l dexamethasone. A total of 16 miRNAs were consistently changed in the triplicates of each condition. Compared to treatment with 10−9 mol/l dexamethasone, 11 miRNAs were upregulated and 6 were downregulated following treatment with 10−7 mol/l dexamethasone (Table I).

Table I

Changes in the miRNA expression profile of human mesenchymal stem cells following treatment with 10−7 or 10−9 mol/l dexamethasone.

Table I

Changes in the miRNA expression profile of human mesenchymal stem cells following treatment with 10−7 or 10−9 mol/l dexamethasone.

Change in expressionmiRNA
Upregulated hsa-miR-4289
hsa-miR-378g
hsa-miR-378f
hsa-miR-378d
hsa-miR-196b-5p
hsa-miR-196a-5p
hsa-miR-16-5p
hsa-miR-1268b
hsa-miR-1268a
hsa-miR-107
hsa-miR-103a-3p
Downregulated hsa-miR-4634
hsa-miR-4448
hsa-miR-378i
hsa-miR-378h
hsa-miR-378a-3p
hsa-miR-24-3p

Discussion

miRNAs are highly conserved, small, single-stranded RNA molecules of 19–25 nucleotides that have been identified in eukaryotes. miRNAs have important roles in various cell functions and biological processes by triggering translation repression or the degradation of the target mRNA.

Currently, the study of miRNAs has received the most interest in tumor-related fields. For example, in 2002, abnormal miRNA expression was identified among a group of patients with chronic lymphocytic leukemia (CLL) characterized by a lack of 13q14 (17). Following this, numerous studies have reported the differential expression of miRNAs in cancer tissues. For example, the expression of the miRNA let-7 family was reduced (18–20) in lung cancer. According to the study by Yu et al (21), the expression of let-7 was higher in breast stem cells compared with breast cancer cells. In an in vivo xenograft model using breast cancer SK-3rd cells, cells over-expressing let-7 grew more slowly and formed fewer tumors compared with the control cells. Using a miRNA microarray, Guo et al (22) identified that miRNA-126 was absent in colon cancer and that miRNA-126 had tumor-suppressive properties. The investigators also analyzed the miRNA expression profile of esophagus cancer tissues using the miRNA chip technique and identified 7 miRNAs (23) that could be used to distinguish normal and malignant tissues.

Recently, the number of studies on the role of miRNAs in MSC differentiation and regulation has been increasing. miRNA-208 (24), miRNA-141 and miRNA-200a (25) have been shown to contribute to the differentiation of osteogenic cells through the regulation of BMP-2, miRNA-125b and BMP-4 (26). PPARγ, Bambi and Criml are downregulated by the BMP/Runx2 signaling pathway, and miRNA-20 promotes the differentiation of MSCs towards the osteogenic fate (27) by inhibiting these genes. miRNA-210 facilitates the differentiation of osteogenic cells by inhibiting the TGF-β/activin signal pathway (28). miRNA-27 (29), miRNA-29a (30) and miRNA-29b (31) facilitate the differentiation of MSC to osteogenic cells through the Wnt signaling pathway. However, these studies have not explored the spontaneous regulatory pathways that are present in stem cells, and there are still no definite reports regarding miRNA expression changes in stem cells under pathological conditions, such as steroid-induced femoral head necrosis.

In the present study, MSCs were obtained from 3 different individuals, and were separated and cultured in vitro. The differential expression of miRNAs was assessed by high-throughput sequencing following stimulation with different concentrations of dexamethasone. Subsequent to comparing and eliminating the differences among individuals, a large dose of glucocorticoids not only had a clear impact on the osteogenic differentiation of cells but also, compared to a normal physiological dose of dexamethasone, led to changes in the miRNA expression profile of MSCs.

Taken together with the results obtained in previous studies, the present study suggests that altered miRNA expression may have a role in the pathology of steroid-induced femoral head necrosis. Xia et al (32) studied the regulatory action of miRNAs in gastric cancer cell multidrug resistance and identified that the expression levels of miRNAs were altered in the MDR gastric cancer cells SGC7901/VCR. Specifically, the expression of miR-15b and miR-16, which belong to the miR-15/16 family, were downregulated. However, in vitro, miR-15b and miR-16 increased the sensitivity and reduced the resistance of SGC7901/VCR cells to chemotherapeutic drugs. In SGC7901/VCR cells, the study also reported that the Gcl-2 protein was upregulated and that the upregulation of miR-15b and miR-16 reduced the luciferase activity of a reporter construct for B-cell lymphoma 2 (BCL-2), as well as the Bcl-2 levels. These findings indicate that BCL-2 is the direct target of miR-15b and miR-16. Additionally, the expression of miR-15b and miR-16 induced the apoptosis of SGC7901/VCR cells. This result indicates that miR-15 and miR-16 regulate BCL and its downstream signaling pathways. In the present study, miR-16 expression was upregulated by a high-dose of dexamethasone.

The present study shows that miRNA-103 and its homologous gene, miRNA-107, are highly conserved in vertebrates (33,34) and have a key role in fat metabolism. Xian-Zi et al (35) identified miRNAs that were associated with fatty acid metabolism and validated several target genes of miRNA that were involved in this process. Additionally, Joven et al (36) identified that polyphenols could prevent fatty liver disease induced by a high-fat diet in mice by modulating the expression of miR-103/107. Wilfred et al (37) reported the mechanism of miRNAs that regulate metabolism and suggested a possible action pathway of the miRNA-103/107 intron region that influences the phosphorylation of pantothenic acid, an important rate-limiting step for generating coenzyme A. This rate influences several biochemical reactions involved in fatty acid metabolism, the tricarboxylic acid cycle and amino acid metabolism. It has been suggested that steroid-induced femoral head necrosis arises from disorders in lipid metabolism, and animal experiments (38,39) have shown that femoral head necrosis can arise following the administration of hormones and lipid-lowering drugs. These findings further support our hypothesis.

Kahai et al (40) reported that miRNA-378 regulated the osteogenic differentiation of cells through nephronectin (NPNT), an extracellular matrix protein. The expression of NPNT is extremely high, and the stable transfection of MCST3-E1 primary mouse osteogenic cells with miRNA-378 altered the NPNT levels. Of note, the present study identified that the subfamily members of miRNA-378 are not only upregulated but are also downregulated following treatment with high concentrations of dexamethasone. This result may have been due to the sensitivity of the high-throughput sequencing methods. However, the specific mechanisms of action of miRNA-378 require elucidation in future studies.

miRNAs have an important regulatory role in the osteogenic differentiation of MSCs. The present study shows that high concentrations of glucocorticosteroids can result in changes in the miRNA expression profile of MSCs and this change may regulate the pathophysiological process of steroid-induced femoral head necrosis. The miRNA expression analysis provides a primary physiopathological mechanism that accounts for the steroid-induced ANFH. Additionally, this analysis offers novel treatment methods and the potential for the development of early intervention and stem cell therapy methods.

Acknowledgments

The present study was supported by the National Natural Science Foundation of China (grant no. 81041109).

References

1 

Bartel DP: MicroRNAs: Genomics, biogenesis, mechanism, and function. Cell. 116:281–297. 2004. View Article : Google Scholar : PubMed/NCBI

2 

Ramírez CM, Rotllan N, Vlassov AV, Dávalos A, Li M, Goedeke L, Aranda JF, Cirera-Salinas D, Araldi E, Salerno A, et al: Control of cholesterol metabolism and plasma high-density lipoprotein levels by microRNA-144. Circ Res. 112:1592–1601. 2013. View Article : Google Scholar : PubMed/NCBI

3 

Shapshak P: Molecule of the month: miRNA and proteins in Alzheimer's disease. Bioinformation. 9:222–223. 2013. View Article : Google Scholar : PubMed/NCBI

4 

Yang Y, Li YX, Yang X, Jiang L, Zhou ZJ and Zhu YQ: Progress risk assessment of oral premalignant lesions with saliva miRNA analysis. BMC Cancer. 13:1292013. View Article : Google Scholar : PubMed/NCBI

5 

Shi ZM, Wang XF, Qian X, Tao T, Wang L, Chen QD, Wang XR, Cao L, Wang YY, Zhang JX, et al: MiRNA-181b suppresses IGF-1R and functions as a tumor suppressor gene in gliomas. RNA. 19:552–560. 2013. View Article : Google Scholar : PubMed/NCBI

6 

Watson JA, Bryan K, Williams R, Popov S, Vujanic G, Coulomb A, Boccon-Gibod L, Graf N, Pritchard-Jones K and O'Sullivan M: miRNA profiles as a predictor of chemorespon-siveness in Wilms' tumor blastema. PLoS One. 8:e534172013. View Article : Google Scholar

7 

Perng DW, Yang DM, Hsiao YH, Lo T, Lee OK, Wu MT, Wu YC and Lee YC: miRNA-146a expression positively regulates tumor necrosis factor-α-induced interleukin-8 production in mesenchymal stem cells and differentiated lung epithelial-like cells. Tissue Eng Part A. 18:2259–2267. 2012. View Article : Google Scholar : PubMed/NCBI

8 

Gao J, Yang T, Han J, Yan K, Qiu X, Zhou Y, Fan Q and Ma B: MicroRNA expression during osteogenic differentiation of human multipotent mesenchymal stromal cells from bone marrow. J Cell Biochem. 112:1844–1856. 2011. View Article : Google Scholar : PubMed/NCBI

9 

Zeng Y, Qu X, Li H, Huang S, Wang S, Xu Q, Lin R, Han Q, Li J and Zhao RC: MicroRNA-100 regulates osteogenic differentiation of human adipose-derived mesenchymal stem cells by targeting BMPR2. FEBS Lett. 586:2375–2381. 2012. View Article : Google Scholar : PubMed/NCBI

10 

Eskildsen T, Taipaleenmäki H, Stenvang J, Abdallah BM, Ditzel N, Nossent AY, Bak M, Kauppinen S and Kassem M: MicroRNA-138 regulates osteogenic differentiation of human stromal (mesenchymal) stem cells in vivo. Proc Natl Acad Sci USA. 108:6139–6144. 2011. View Article : Google Scholar : PubMed/NCBI

11 

Wang BL, Sun W, Shi ZC, Lou JN, Zhang NF, Shi SH, Guo WS, Cheng LM, Ye LY, Zhang WJ, et al: Decreased proliferation of mesenchymal stem cells in corticosteroid-induced osteonecrosis of femoral head. Orthopedics. 31:4442008.

12 

Li X, Jin L, Cui Q, Wang GJ and Balian G: Steroid effects on osteogenesis through mesenchymal cell gene expression. Osteoporos Int. 16:101–108. 2005. View Article : Google Scholar

13 

Cárcamo-Orive I, Gaztelumendi A, Delgado J, Tejados N, Dorronsoro A, Fernández-Rueda J, Pennington DJ and Trigueros C: Regulation of human bone marrow stromal cell proliferation and differentiation capacity by glucocorticoid receptor and AP-1 crosstalk. J Bone Miner Res. 25:2115–2125. 2010. View Article : Google Scholar : PubMed/NCBI

14 

Rauch A, Seitz S, Baschant U, Schilling AF, Illing A, Stride B, Kirilov M, Mandic V, Takacz A, Schmidt-Ullrich R, et al: Glucocorticoids suppress bone formation by attenuating osteoblast differentiation via the monomeric glucocorticoid receptor. Cell Metab. 11:517–531. 2010. View Article : Google Scholar : PubMed/NCBI

15 

Lin L, Dai SD and Fan GY: Glucocorticoid-induced differentiation of primary cultured bone marrow mesenchymal cells into adipocytes is antagonized by exogenous Runx2. APMIS. 118:595–605. 2010.PubMed/NCBI

16 

Pittenger MF, Mackay AM, Beck SC, Jaiswal RK, Douglas R, Mosca JD, Moorman MA, Simonetti DW, Craig S and Marshak DR: Multilineage potential of adult human mesenchymal stem cells. Science. 284:143–147. 1999. View Article : Google Scholar : PubMed/NCBI

17 

Calin GA, Dumitru CD, Shimizu M, Bichi R, Zupo S, Noch E, Aldler H, Rattan S, Keating M, Rai K, et al: Frequent deletions and down-regulation of micro-RNA genes miR15 and miR16 at 13q14 in chronic lymphocytic leukemia. Proc Natl Acad Sci USA. 99:15524–15529. 2002. View Article : Google Scholar

18 

Tsang WP and Kwok TT: Let-7a microRNA suppresses therapeutics-induced cancer cell death by targeting caspase-3. Apoptosis. 13:1215–1222. 2008. View Article : Google Scholar : PubMed/NCBI

19 

Karube Y, Tanaka H, Osada H, Tomida S, Tatematsu Y, Yanagisawa K, Yatabe Y, Takamizawa J, Miyoshi S, Mitsudomi T, et al: Reduced expression of Dicer associated with poor prognosis in lung cancer patients. Cancer Sci. 96:111–115. 2005. View Article : Google Scholar : PubMed/NCBI

20 

Takamizawa J, Konishi H, Yanagisawa K, Tomida S, Osada H, Endoh H, Harano T, Yatabe Y, Nagino M, Nimura Y, et al: Reduced expression of the let-7 microRNAs in human lung cancers in association with shortened postoperative survival. Cancer Res. 64:3753–3756. 2004. View Article : Google Scholar : PubMed/NCBI

21 

Yu F, Yao H, Zhu P, Zhang X, Pan Q, Gong C, Huang Y, Hu X, Su F, Lieberman J, et al: let-7 regulates self renewal and tumorigenicity of breast cancer cells. Cell. 131:1109–1123. 2007. View Article : Google Scholar : PubMed/NCBI

22 

Guo C, Sah JF, Beard L, Willson JK, Markowitz SD and Guda K: The noncoding RNA, miR-126, suppresses the growth of neoplastic cells by targeting phosphatidylinositol 3-kinase signaling and is frequently lost in colon cancers. Genes Chromosomes Cancer. 47:939–946. 2008. View Article : Google Scholar : PubMed/NCBI

23 

Guo Y, Chen Z, Zhang L, Zhou F, Shi S, Feng X, Li B, Meng X, Ma X, Luo M, et al: Distinctive microRNA profiles relating to patient survival in esophageal squamous cell carcinoma. Cancer Res. 68:26–33. 2008. View Article : Google Scholar : PubMed/NCBI

24 

Itoh T, Takeda S and Akao Y: MicroRNA-208 modulates BMP-2-stimulated mouse preosteoblast differentiation by directly targeting V-ets erythroblastosis virus E26 oncogene homolog 1. J Biol Chem. 285:27745–27752. 2010. View Article : Google Scholar : PubMed/NCBI

25 

Itoh T, Nozawa Y and Akao Y: MicroRNA-141 and -200a are involved in bone morphogenetic protein-2-induced mouse pre-osteoblast differentiation by targeting distal-less homeobox 5. J Biol Chem. 284:19272–19279. 2009. View Article : Google Scholar : PubMed/NCBI

26 

Mizuno Y, Yagi K, Tokuzawa Y, Kanesaki-Yatsuka Y, Suda T, Katagiri T, Fukuda T, Maruyama M, Okuda A, Amemiya T, et al: miR-125b inhibits osteoblastic differentiation by down-regulation of cell proliferation. Biochem Biophys Res Commun. 368:267–272. 2008. View Article : Google Scholar : PubMed/NCBI

27 

Zhang JF, Fu WM, He ML, Xie WD, Lv Q, Wan G, Li G, Wang H, Lu G, Hu X, et al: MiRNA-20a promotes osteogenic differentiation of human mesenchymal stem cells by co-regulating BMP signaling. RNA Biol. 8:829–838. 2011. View Article : Google Scholar : PubMed/NCBI

28 

Mizuno Y, Tokuzawa Y, Ninomiya Y, Yagi K, Yatsuka-Kanesaki Y, Suda T, Fukuda T, Katagiri T, Kondoh Y, Amemiya T, et al: miR-210 promotes osteoblastic differentiation through inhibition of AcvR1b. FEBS Lett. 583:2263–2268. 2009. View Article : Google Scholar : PubMed/NCBI

29 

Wang T and Xu Z: miR-27 promotes osteoblast differentiation by modulating Wnt signaling. Biochem Biophys Res Commun. 402:186–189. 2010. View Article : Google Scholar : PubMed/NCBI

30 

Kapinas K, Kessler C, Ricks T, Gronowicz G and Delany AM: miR-29 modulates Wnt signaling in human osteoblasts through a positive feedback loop. J Biol Chem. 285:25221–25231. 2010. View Article : Google Scholar : PubMed/NCBI

31 

Li Z, Hassan MQ, Jafferji M, Aqeilan RI, Garzon R, Croce CM, van Wijnen AJ, Stein JL, Stein GS and Lian JB: Biological functions of miR-29b contribute to positive regulation of osteoblast differentiation. J Biol Chem. 284:15676–15684. 2009. View Article : Google Scholar : PubMed/NCBI

32 

Xia L, Zhang D, Du R, Pan Y, Zhao L, Sun S, Hong L, Liu J and Fan D: miR-15b and miR-16 modulate multidrug resistance by targeting BCL2 in human gastric cancer cells. Int J Cancer. 123:372–379. 2008. View Article : Google Scholar : PubMed/NCBI

33 

Baskerville S and Bartel DP: Microarray profiling of microRNAs reveals frequent coexpression with neighboring miRNAs and host genes. RNA. 11:241–247. 2005. View Article : Google Scholar : PubMed/NCBI

34 

Babak T, Zhang W, Morris Q, Blencowe BJ and Hughes TR: Probing microRNAs with microarrays: Tissue specificity and functional inference. RNA. 10:1813–1819. 2004. View Article : Google Scholar : PubMed/NCBI

35 

Xian-Zi L, Jun L, Li-Ping Z, Wang-Sheng Z and Wei W: Screening miRNAs regulating fatty acid metabolism in goat (Capra hirus) mammary gland and cloning determination of related pri-miRNAs. J Agric Biotechnol. 20:589–598. 2012.

36 

Joven J, Espinel E, Rull A, Aragonès G, Rodríguez-Gallego E, Camps J, Micol V, Herranz-López M, Menéndez JA, Borrás I, et al: Plant-derived polyphenols regulate expression of miRNA paralogs miR-103/107 and miR-122 and prevent diet-induced fatty liver disease in hyperlipidemic mice. Biochim Biophys Acta. 1820:894–899. 2012. View Article : Google Scholar : PubMed/NCBI

37 

Wilfred BR, Wang WX and Nelson PT: Energizing miRNA research: A review of the role of miRNAs in lipid metabolism, with a prediction that miR-103/107 regulates human metabolic pathways. Mol Genet Metab. 91:209–217. 2007. View Article : Google Scholar : PubMed/NCBI

38 

Li W, Li J, Zheng D and Zhang X: Antilipemics and anticoagulants in prevention of necrosis and apoptosis of osteocytes in steroid-induced osteonecrosis of the femoral head. Chin J Orthop Trauma. 9:1078–1079. 2004.In Chinese.

39 

Wangxi WU and Mouwang Z: The experiment of simvastatin preventing the femoral head necrosis due to corticosteroid. Zhongguo Kang Fu Yi Xue Za Zhi. 22:28–30. 2007.In Chinese.

40 

Kahai S, Lee SC, Lee DY, Yang J, Li M, Wang CH, Jiang Z, Zhang Y, Peng C and Yang BB: MicroRNA miR-378 regulates nephronectin expression modulating osteoblast differentiation by targeting GalNT-7. PLoS One. 4:e75352009. View Article : Google Scholar : PubMed/NCBI

Related Articles

  • Abstract
  • View
  • Download
  • Twitter
Copy and paste a formatted citation
Spandidos Publications style
Bian Y, Qian W, Li H, Zhao RC, Shan WX and Weng X: Pathogenesis of glucocorticoid-induced avascular necrosis: A microarray analysis of gene expression in vitro. Int J Mol Med 36: 678-684, 2015.
APA
Bian, Y., Qian, W., Li, H., Zhao, R.C., Shan, W.X., & Weng, X. (2015). Pathogenesis of glucocorticoid-induced avascular necrosis: A microarray analysis of gene expression in vitro. International Journal of Molecular Medicine, 36, 678-684. https://doi.org/10.3892/ijmm.2015.2273
MLA
Bian, Y., Qian, W., Li, H., Zhao, R. C., Shan, W. X., Weng, X."Pathogenesis of glucocorticoid-induced avascular necrosis: A microarray analysis of gene expression in vitro". International Journal of Molecular Medicine 36.3 (2015): 678-684.
Chicago
Bian, Y., Qian, W., Li, H., Zhao, R. C., Shan, W. X., Weng, X."Pathogenesis of glucocorticoid-induced avascular necrosis: A microarray analysis of gene expression in vitro". International Journal of Molecular Medicine 36, no. 3 (2015): 678-684. https://doi.org/10.3892/ijmm.2015.2273
Copy and paste a formatted citation
x
Spandidos Publications style
Bian Y, Qian W, Li H, Zhao RC, Shan WX and Weng X: Pathogenesis of glucocorticoid-induced avascular necrosis: A microarray analysis of gene expression in vitro. Int J Mol Med 36: 678-684, 2015.
APA
Bian, Y., Qian, W., Li, H., Zhao, R.C., Shan, W.X., & Weng, X. (2015). Pathogenesis of glucocorticoid-induced avascular necrosis: A microarray analysis of gene expression in vitro. International Journal of Molecular Medicine, 36, 678-684. https://doi.org/10.3892/ijmm.2015.2273
MLA
Bian, Y., Qian, W., Li, H., Zhao, R. C., Shan, W. X., Weng, X."Pathogenesis of glucocorticoid-induced avascular necrosis: A microarray analysis of gene expression in vitro". International Journal of Molecular Medicine 36.3 (2015): 678-684.
Chicago
Bian, Y., Qian, W., Li, H., Zhao, R. C., Shan, W. X., Weng, X."Pathogenesis of glucocorticoid-induced avascular necrosis: A microarray analysis of gene expression in vitro". International Journal of Molecular Medicine 36, no. 3 (2015): 678-684. https://doi.org/10.3892/ijmm.2015.2273
Follow us
  • Twitter
  • LinkedIn
  • Facebook
About
  • Spandidos Publications
  • Careers
  • Cookie Policy
  • Privacy Policy
How can we help?
  • Help
  • Live Chat
  • Contact
  • Email to our Support Team