Spandidos Publications Logo
  • About
    • About Spandidos
    • Aims and Scopes
    • Abstracting and Indexing
    • Editorial Policies
    • Reprints and Permissions
    • Job Opportunities
    • Terms and Conditions
    • Contact
  • Journals
    • All Journals
    • Oncology Letters
      • Oncology Letters
      • Information for Authors
      • Editorial Policies
      • Editorial Board
      • Aims and Scope
      • Abstracting and Indexing
      • Bibliographic Information
      • Archive
    • International Journal of Oncology
      • International Journal of Oncology
      • Information for Authors
      • Editorial Policies
      • Editorial Board
      • Aims and Scope
      • Abstracting and Indexing
      • Bibliographic Information
      • Archive
    • Molecular and Clinical Oncology
      • Molecular and Clinical Oncology
      • Information for Authors
      • Editorial Policies
      • Editorial Board
      • Aims and Scope
      • Abstracting and Indexing
      • Bibliographic Information
      • Archive
    • Experimental and Therapeutic Medicine
      • Experimental and Therapeutic Medicine
      • Information for Authors
      • Editorial Policies
      • Editorial Board
      • Aims and Scope
      • Abstracting and Indexing
      • Bibliographic Information
      • Archive
    • International Journal of Molecular Medicine
      • International Journal of Molecular Medicine
      • Information for Authors
      • Editorial Policies
      • Editorial Board
      • Aims and Scope
      • Abstracting and Indexing
      • Bibliographic Information
      • Archive
    • Biomedical Reports
      • Biomedical Reports
      • Information for Authors
      • Editorial Policies
      • Editorial Board
      • Aims and Scope
      • Abstracting and Indexing
      • Bibliographic Information
      • Archive
    • Oncology Reports
      • Oncology Reports
      • Information for Authors
      • Editorial Policies
      • Editorial Board
      • Aims and Scope
      • Abstracting and Indexing
      • Bibliographic Information
      • Archive
    • Molecular Medicine Reports
      • Molecular Medicine Reports
      • Information for Authors
      • Editorial Policies
      • Editorial Board
      • Aims and Scope
      • Abstracting and Indexing
      • Bibliographic Information
      • Archive
    • World Academy of Sciences Journal
      • World Academy of Sciences Journal
      • Information for Authors
      • Editorial Policies
      • Editorial Board
      • Aims and Scope
      • Abstracting and Indexing
      • Bibliographic Information
      • Archive
    • International Journal of Functional Nutrition
      • International Journal of Functional Nutrition
      • Information for Authors
      • Editorial Policies
      • Editorial Board
      • Aims and Scope
      • Abstracting and Indexing
      • Bibliographic Information
      • Archive
    • International Journal of Epigenetics
      • International Journal of Epigenetics
      • Information for Authors
      • Editorial Policies
      • Editorial Board
      • Aims and Scope
      • Abstracting and Indexing
      • Bibliographic Information
      • Archive
    • Medicine International
      • Medicine International
      • Information for Authors
      • Editorial Policies
      • Editorial Board
      • Aims and Scope
      • Abstracting and Indexing
      • Bibliographic Information
      • Archive
  • Articles
  • Information
    • Information for Authors
    • Information for Reviewers
    • Information for Librarians
    • Information for Advertisers
    • Conferences
  • Language Editing
Spandidos Publications Logo
  • About
    • About Spandidos
    • Aims and Scopes
    • Abstracting and Indexing
    • Editorial Policies
    • Reprints and Permissions
    • Job Opportunities
    • Terms and Conditions
    • Contact
  • Journals
    • All Journals
    • Biomedical Reports
      • Information for Authors
      • Editorial Policies
      • Editorial Board
      • Aims and Scope
      • Abstracting and Indexing
      • Bibliographic Information
      • Archive
    • Experimental and Therapeutic Medicine
      • Information for Authors
      • Editorial Policies
      • Editorial Board
      • Aims and Scope
      • Abstracting and Indexing
      • Bibliographic Information
      • Archive
    • International Journal of Epigenetics
      • Information for Authors
      • Editorial Policies
      • Editorial Board
      • Aims and Scope
      • Abstracting and Indexing
      • Bibliographic Information
      • Archive
    • International Journal of Functional Nutrition
      • Information for Authors
      • Editorial Policies
      • Editorial Board
      • Aims and Scope
      • Abstracting and Indexing
      • Bibliographic Information
      • Archive
    • International Journal of Molecular Medicine
      • Information for Authors
      • Editorial Policies
      • Editorial Board
      • Aims and Scope
      • Abstracting and Indexing
      • Bibliographic Information
      • Archive
    • International Journal of Oncology
      • Information for Authors
      • Editorial Policies
      • Editorial Board
      • Aims and Scope
      • Abstracting and Indexing
      • Bibliographic Information
      • Archive
    • Medicine International
      • Information for Authors
      • Editorial Policies
      • Editorial Board
      • Aims and Scope
      • Abstracting and Indexing
      • Bibliographic Information
      • Archive
    • Molecular and Clinical Oncology
      • Information for Authors
      • Editorial Policies
      • Editorial Board
      • Aims and Scope
      • Abstracting and Indexing
      • Bibliographic Information
      • Archive
    • Molecular Medicine Reports
      • Information for Authors
      • Editorial Policies
      • Editorial Board
      • Aims and Scope
      • Abstracting and Indexing
      • Bibliographic Information
      • Archive
    • Oncology Letters
      • Information for Authors
      • Editorial Policies
      • Editorial Board
      • Aims and Scope
      • Abstracting and Indexing
      • Bibliographic Information
      • Archive
    • Oncology Reports
      • Information for Authors
      • Editorial Policies
      • Editorial Board
      • Aims and Scope
      • Abstracting and Indexing
      • Bibliographic Information
      • Archive
    • World Academy of Sciences Journal
      • Information for Authors
      • Editorial Policies
      • Editorial Board
      • Aims and Scope
      • Abstracting and Indexing
      • Bibliographic Information
      • Archive
  • Articles
  • Information
    • For Authors
    • For Reviewers
    • For Librarians
    • For Advertisers
    • Conferences
  • Language Editing
Login Register Submit
  • This site uses cookies
  • You can change your cookie settings at any time by following the instructions in our Cookie Policy. To find out more, you may read our Privacy Policy.

    I agree
Search articles by DOI, keyword, author or affiliation
Search
Advanced Search
presentation
International Journal of Molecular Medicine
Join Editorial Board Propose a Special Issue
Print ISSN: 1107-3756 Online ISSN: 1791-244X
Journal Cover
October-2015 Volume 36 Issue 4

Full Size Image

Sign up for eToc alerts
Recommend to Library

Journals

International Journal of Molecular Medicine

International Journal of Molecular Medicine

International Journal of Molecular Medicine is an international journal devoted to molecular mechanisms of human disease.

International Journal of Oncology

International Journal of Oncology

International Journal of Oncology is an international journal devoted to oncology research and cancer treatment.

Molecular Medicine Reports

Molecular Medicine Reports

Covers molecular medicine topics such as pharmacology, pathology, genetics, neuroscience, infectious diseases, molecular cardiology, and molecular surgery.

Oncology Reports

Oncology Reports

Oncology Reports is an international journal devoted to fundamental and applied research in Oncology.

Experimental and Therapeutic Medicine

Experimental and Therapeutic Medicine

Experimental and Therapeutic Medicine is an international journal devoted to laboratory and clinical medicine.

Oncology Letters

Oncology Letters

Oncology Letters is an international journal devoted to Experimental and Clinical Oncology.

Biomedical Reports

Biomedical Reports

Explores a wide range of biological and medical fields, including pharmacology, genetics, microbiology, neuroscience, and molecular cardiology.

Molecular and Clinical Oncology

Molecular and Clinical Oncology

International journal addressing all aspects of oncology research, from tumorigenesis and oncogenes to chemotherapy and metastasis.

World Academy of Sciences Journal

World Academy of Sciences Journal

Multidisciplinary open-access journal spanning biochemistry, genetics, neuroscience, environmental health, and synthetic biology.

International Journal of Functional Nutrition

International Journal of Functional Nutrition

Open-access journal combining biochemistry, pharmacology, immunology, and genetics to advance health through functional nutrition.

International Journal of Epigenetics

International Journal of Epigenetics

Publishes open-access research on using epigenetics to advance understanding and treatment of human disease.

Medicine International

Medicine International

An International Open Access Journal Devoted to General Medicine.

Journal Cover
October-2015 Volume 36 Issue 4

Full Size Image

Sign up for eToc alerts
Recommend to Library

  • Article
  • Citations
    • Cite This Article
    • Download Citation
    • Create Citation Alert
    • Remove Citation Alert
    • Cited By
  • Similar Articles
    • Related Articles (in Spandidos Publications)
    • Similar Articles (Google Scholar)
    • Similar Articles (PubMed)
  • Download PDF
  • Download XML
  • View XML
Article

Human placental extract exerts hair growth-promoting effects through the GSK-3β signaling pathway in human dermal papilla cells

  • Authors:
    • Tae‑Rin Kwon
    • Chang Taek Oh
    • Eun Ja Choi
    • Hye Min Park
    • Hae Jung Han
    • Hyi Jeong Ji
    • Beom Joon Kim
  • View Affiliations / Copyright

    Affiliations: Major in Biomedical Science, Department of Medicine, Graduate School, Chung‑Ang University, Seoul 156‑755, Republic of Korea, Green Cross Corporation, Giheung‑gu, Yongin-si, Gyeonggi-do 446-770, Republic of Korea
  • Pages: 1088-1096
    |
    Published online on: August 19, 2015
       https://doi.org/10.3892/ijmm.2015.2316
  • Expand metrics +
Metrics: Total Views: 0 (Spandidos Publications: | PMC Statistics: )
Metrics: Total PDF Downloads: 0 (Spandidos Publications: | PMC Statistics: )
Cited By (CrossRef): 0 citations Loading Articles...

This article is mentioned in:


Abstract

Human placental extract (HPE) is widely used in Korea to relieve fatigue. However, its effects on human dermal papilla cells (hDPCs) remain unknown. In the present study, in an effort to develop novel therapies to promote hair growth, we screened HPE. We demonstrate that HPE has hair growth‑promoting activities and induces β‑catenin expression through the inhibition of glycogen synthase kinase‑3β (GSK‑3β) by phosphorylation in hDPCs. Treatment with HPE significantly increased the viability of the hDPCs in a concentration‑dependent manner, as shown by bromodeoxyuridine (BrdU) assay. HPE also significantly increased the alkaline phosphatase (ALP) expression levels. The increased β‑catenin levels and the inhibition of GSK‑3β (Ser9) by phosphorylation suggested that HPE promoted the hair-inductive capacity of hDPCs. We compared the effects of treatment with HPE alone and treatment with HPE in conjunction with minoxidil (MXD). We found that HPE plus MXD effectively inhibited GSK‑3β by phosphorylation (Ser9) in the hDPCs. Moreover, we demonstrated that HPE was effective in inducing root hair elongation in rat vibrissa hair follicles, and that treatment with HPE led to a delay in catagen progression. Overall, our findings suggest that HPE promotes hair growth and may thus provide the basis of a novel therapeutic strategy for the clinical treatment of hair loss.

Introduction

The hair follicle is a skin organ that grows and undergoes cyclic morphological changes during its lifetime (1). It consists of complex structures, such as the outer root sheath (ORS) and the inner root sheath (IRS), the matrix, and the mesenchymal portions that include the connective tissue sheath (CTS) and dermal papilla (DP) (2). The DP plays a crucial role in hair formation, growth and cycling and can induce follicle neogenesis and encapsulation in overlying epithelial cells (3).

Human placental extract (HPE) contains a variety of growth factors, cytokines and other physiologically active substances (4). The many biological functions of HPE are a matter of increasing interest. Several studies using animal models have provided evidence demonstrating the corticotropin-releasing factor (CRF)-like action of HPE, its effects on the expression of interleukin-8 (a known mediator of inflammation) (5), its improvement of liver function (6,7), anti-platelet aggregation activity (8) and its ability to be suppressed by gluco-corticoids (9). In the present study, we focused on the biological effects of HPE on human dermal papilla cells (hDPCs). In particular, we aimed to determine whether HPE is effective in promoting the hair-inductive capacity of hDPCs in culture in order to develop novel treatment strategies for hair loss.

Minoxidil (MXD) has been approved by the US Food and Drug Administration (FDA) for the treatment of hair loss in males (10). However, drugs containing MXD have limited therapeutic applications due to their unsatisfactory results and side-effects, such as the resumption of hair loss after discontinuing the use of the product (11). To complement these drugs, some researchers have attempted to use a combination of agents, such as 5-aminolevulinic acid and iron ion (12), herbal extracts and platelet-rich plasma (13), and Trifolium pratense extract and a biomimetic peptide (14).

Wnt/β-catenin signaling promotes the development of new hair follicles and is required for the initiation of hair morphogenesis (15). Within the established hair follicle, Wnt cascade signals play a key role in the activation of bulge stem cells to progress toward hair formation, and these signals are mediated by β-catenin and lymphoid enhancer-binding factor 1 (Lef1) (16). In the absence of a Wnt signal, glycogen synthase kinase-3β (GSK-3β) phosphorylates β-catenin, as well as adenomatous polyposis coli (APC) and axin, leading to the degradation and ubiquitination of cytosolic β-catenin. However, in the presence of Wnt signaling, the phosphorylation of β-catenin by GSK-3β is suppressed, and β-catenin is dephosphorylated and stabilized, and then enters the nucleus to interact with the T-cell factor (Tcf)/LEF transcription factors to regulate the transcription of target genes (17). GSK-3β is a cytoplasmic serine/threonine protein kinase which is known to play central roles in a variety of biological processes (18). Importantly, the direct inhibition of the function of GSK-3β results in the cellular accumulation of β-catenin (19). For instance, valproic acid (VPA), which activates the Wnt/β-catenin pathway, has been shown to promote hair re-growth in vitro and in vivo (20).

In the present study, to elucidate the mechanisms underlying the regulation of hDPC proliferation, we focused on the β-catenin signaling pathway. Our results demonstrated that β-catenin mediated the proliferation of hDPCs through the inhibition of GSK-3β by phosphorylation (Ser9). Our findings demonstrated that HPE promoted hair growth and may thus have potential for use as an alternative therapeutic option in the treatment of hair loss.

Materials and methods

Isolation and culture of hDPCs

hDPCs were purchased from Cefobio (Seoul, Korea) as primary cells and were grown in Dulbecco's modified Eagle's medium (DMEM; Invitrogen/Gibco-BRL, Grand Island, NY, USA) supplemented with 5% fetal bovine serum (FBS; Invitrogen/Gibco-BRL) and 1% penicillin in a humidified environment. Human follicular DPCs in the third or fourth passage were used.

Isolation of nuclear and cytoplasmic proteins

Nuclear and cytoplasmic proteins were isolated using the NE-PER Nuclear and Cytoplasmic Extraction Reagents kit following the detailed instructions provided by the manufacturer (Pierce Biotechnology, Rockford, IL, USA). Protease inhibitor tablets (Roche Diagnostics, Basel, Switzerland) and the phosphatase inhibitors, 10 mM sodium pyrophosphate and 100 µM sodium orthovanadate, were added to cytoplasmic extraction reagent I (CERI; Pierce Biotechnology) and nuclear extraction reagent (NER; Pierce Biotechnology) prior to use.

Western blot analysis

hDPCs were prepared using lysis buffer [50 mM Tris-HCl (pH 8.0), 150 mM NaCl, 1 mM EDTA, 1% NP-40, 0.25% deoxycholic acid] containing a protease inhibitor cocktail (Roche Molecular Biochemicals, Indianapolis, IN, USA). Protein was quantified using a Bio-Rad DC protein assay kit II (Bio-Rad Laboratories, Hercules, CA, USA), separated on 10% sodium dodecyl sulfate SDS-PAGE gel, and electrotransferred onto nitrocellulose membranes (Millipore, Billerica, MA, USA). After blocking with 5% non-fat milk in Tris-buffered saline containing 0.5% Tween-20 (Sigma-Aldrich, St. Louis, MO, USA), the blots were probed with antibodies against β-catenin (Cat. no. 610154; BD Transduction Laboratories, Lexington, KY, USA) and p-AKT (Cat. no. 3787), AKT (Cat. no. 9272), dephosphorylated β-catenin (Cat. no. 8814), p-GSK-3β (Cat. no. 9322), GSK-3β (Cat. no. 9315), p-ERK (Cat. no. 9101), ERK (Cat. no. 4695) and actin (Cat. no. 4968; all from Cell Signaling Technology, Danvers, MA, USA) and then exposed to horseradish peroxidase (HRP)-conjugated anti-mouse or anti-rabbit secondary antibodies. GAPDH (Cat. no. 5174) and lamin B1 (Cat. no. 9087; both from Cell Signaling Technology) were taken as cytoplasm and nuclear extract control. Protein expression was detected using an enhanced chemiluminescence (ECL) system (Amersham Pharmacia, Piscataway, NJ, USA). Images of the blotted membranes were obtained using a Lumino Image Analyzer (LAS-1000; Fujifilm, Tokyo, Japan). The protein levels were compared to a loading control (actin or non-phosphorylated protein).

5-Bromo-2-deoxyuridine (BrdU) incorporation assay

BrdU incorporation was quantified using the BrdU Cell Proliferation Assay kit (Cell Signaling Technology) according to the manufacturer's instructions. hDPCs were seeded at a density of 3×103 cells/wells in a 96-well plate. Briefly, the cells were examined for BrdU incorporation at 48 h. For the pathway determination, the following inhibitors were used: LY294002 (a specific inhibitor of phosphatiylinositol 3-kinase (PI3K), 440206; Calbiochem, San Diego, CA, USA), BIO (a specific inhibitor of GSK-3β, B1686; Sigma-Aldrich), PD98059 (a specific inhibitor of extracellular signal-regulated kinase (ERK) 1/2), 513000; Calbiochem) for 30 min and then were treated with the MXD or HPE plus MXD. At the designated time points, BrdU (10 µM) was added to each well. After 4 h, the medium was replaced with fixing/denaturing solution, and the cells were incubated with anti-BrdU antibody for 1 h. The incorporated BrdU was determined by measuring the HRP-conjugated antibody to BrdU and 3,3′,5,5′-tetrameth-ylbenzidine (TMB) substrates. The absorbance was read at 450 nm using a SpectraMax 340 microplate reader (Molecular Devices, Sunnyvale, CA, USA). The results are expressed as the percentage inhibition of BrdU incorporation compared to the untreated control. Values are expressed as the means ± SD of 3 separate experiments, each performed in triplicate.

Alkaline phosphatase (ALP) activity

ALP activity was observed using an ALP Live Stain kit (Invitrogen Life Technologies, Carlsbad CA, USA) according to the manufacturer's instructions. Briefly, the cells were washed twice in fresh medium, and an appropriate amount of 1X ALP Live Stain solution was then directly applied to the cell culture, after which the cells were incubated at 37°C for 30 min. The cells were then rinsed 3–4 times with fresh medium and observed under an Olympus BX51 fluorescence microscope (Olympus, Melville, NY, USA) using a standard FITC filter.

Immunocytochemistry

The DPCs at 1.0×104 cells/500 µl per chamber were seeded into a chamber slide, serum-starved for 24 h, and then treated with HPE, MXD or HPE plus MXD for 48 h. Following treatment with 4% paraformaldehyde for 10 min and 0.1% Triton X-100 for 5 min, the cultured hDPCs were incubated with anti-β-catenin antibody (1:500, Cat. no. 610154; BD Transduction Laboratories) at 4°C overnight and then with FITC-labeled goat anti-mouse IgG (1:1,000, Cat. no. NB720-F; Novus Biologicals, Littleton, CO, USA). A 4′6-diamidino-2-phenylindole (DAPI) mounting medium kit (Golden Bridge International, Inc., Mukilteo, WA, USA) was used to counterstain the nuclei. The immunostained cells were mounted in medium containing DAPI and visualized using an Olympus FLUOVIEW FV10i confocal microscope (Olympus Optical Co., Ltd., Tokyo, Japan).

Reverse transcription-polymerase chain reaction (RT-PCR)

Total RNA was purified using the RNeasy Plus Mini kit (Qiagen, Valencia, CA, USA) following the manufacturer's instructions. A total of 1 µg of DNase-treated total RNA was used for first-strand cDNA. This reaction was performed using a random primer and Moloney murine leukemia virus (M-MLV) reverse transcriptase (Invitrogen Life Technologies). The primers used for RT-PCR were as follows: Sonic hedgehog (SHH) sense, 5′-ACC GAG GGC TGG GAC GAA GA-3′ and antisense, 5′-ATT TGG CCG CCA CCG AGT T-3′; transforming growth factor (TGF)−β1 sense, 5′-AAA TTG AGG GCT TTC GCC TTA-3′ and antisense, 5′-GAA CCC GTT GAT GTC CAC TTG-3′; TGF-β2 sense, 5′-TCC AAA GAT TTA ACA TCT CCA ACC-3′ and antisense, 5′-CAT GCT CCA GCA CAG AAG TTC G-3′; ALP sense, 5′-TGG AGC TTC AGA AGC TCA ACA CCA-3′ and antisense, 5′-ATC TCG TTG TCT GAC TAC CAG TCC-3′; and versican sense, 5′-GAC GAC TGT CTT GGT GG-3′ and antisense, 5′-ATA TCC AAA CAA GCC TG-3′. The PCR cycling conditions were as follows: 30–35 cycles at 94°C for 2–10 min, 94°C for 30 sec to 3 min, 50–58°C for 30 sec to 1 min, 72°C for 30 sec to 1 min, and 72°C for 4–7 min. The PCR products were run on 0.75–1.5% agarose gels. Images of the gels were analyzed using Quantity One software (Bio-Rad Laboratories).

Isolation and culture of rat vibrissa follicles

All procedures involving animals were conducted in accordance with the guidelines of the Institutional Animal Care and Use Committee of Chung-Ang University in Korea (institutional review board no. 14–0058). The isolation of rat vibrissa follicles was performed as previously described (21). Briefly, rat vibrissa follicles were harvested from 23-day-old male Wistar rats. The rats were sacrificed using carbon dioxide (CO2). Subsequently, both the left and right mystacial pads were removed from the rats and placed in a 1:1 (v/v) solution of Earle's balanced salts solution (EBSS; Sigma-Aldrich). Anagen vibrissa follicles were then dissected using a stereomicroscope (Olympus) from the posterior sections of the mystacial pads, with considerable care being taken to remove the surrounding connective tissue without damaging the vibrissa follicle. Using this method, we were able to isolate <30 follicles from each animal. The isolated follicles were then placed in separate wells in 12-well plates that contained 1 ml Williams' medium E supplemented with 2 mM L-glutamine (both from Gibco-BRL), 10 µg/ml insulin (Sigma-Aldrich), 50 nM hydrocortisone (Sigma-Aldrich), 100 unit/ml penicillin and 100 µg/ml streptomycin at 37°C and cultivated in an atmosphere comprised of 5% CO2 and 95% air. The isolated follicles were then treated with the vehicle (Williams' medium E) as a control and 20% HPE. The hydrolysate of HPE (Laennec; GCJBP Corp., Yongin, Korea) was provided by GCJBP. MXD (Sigma-Aldrich) was used as a positive control in the culture systems. The culture medium was changed every 3 days, and photographs of the cultured rat vibrissae follicles were acquired using a stereomicroscope for 3 weeks. The lengths of the hair follicles were measured using a DP controller (Olympus).

Immunohistochemical staining

Cryosections (7 µm) were cut from the rat vibrissae follicles embedded in Tissue-Tek (Miles Diagnostic Division, Elkhart, IN, USA) and frozen in isopentane cooled by liquid nitrogen. Prior to staining, the cryosections were fixed in acetone for 10 min at −20°C. Some sections were stained for immunohistochemical markers using monoclonal antibodies against anti-β-catenin (1:500, Cat. no. 610154; BD Transduction Laboratories), anti-TGF-β1 (1:100, Cat. no. ab92486; Abcam, Cambridge, MA, USA) and anti-TGF-β2 (1:30, Cat. no. ab66045; Abcam). Immunohistochemical analysis was performed using a high-temperature antigen unmasking technique. Briefly, the sections were heated in an unmasking solution (citrate buffer, pH 6.0), washed, and then incubated with primary monoclonal antibodies at room temperature for 1 h. This procedure was followed by incubation with secondary antibodies (EnVision Detection kit K5007; Dako, Glostrup, Denmark). Reaction products were developed using diaminobenzidine solution as a chromogen. After the chromogen reactions, the sections were rinsed and counterstained with hematoxylin. After rinsing, the sections were dehydrated and covered with permount (Thermo Fisher Scientific, Inc., Fair Lawn, NJ, USA). Counterstained sections were then examined by light microscopy using an Olympus BX40 microscope (Olympus America Inc., Melville, NY, USA) in order to assess histological changes. Two independent, blinded pathologists evaluated each section. Each pathologist assigned every section a score according to the following scale: 0, negative control; +, moderately increased staining; ++, considerably increased staining, based on the percentages of stained cells in each category.

Statistical analysis

Statistical analyses of the data were performed using the Student's t-test or multivariate analysis of variance (ANOVA). The results are expressed as the means ± standard deviation of at least 3 independent experiments, and a P-value <0.05 was considered to indicate a statistically significant difference.

Results

Effects of HPE and MXD on the proliferation of cultured hDPCs

To evaluate the effects of HPE and MXD on DPCs, we examined BrdU and ALP activation. The cells were treated with various concentrations of HPE (5, 10 and 20%), MXD (0.1, 0.5 and 1 µM), or HPE plus MXD for 48 h. The BrdU incorporation assay confirmed that hDPC proliferation was increased following treatment with HPE and MXD, with a significant increase observed following treatment with 20% HPE and 20% HPE plus 0.5 µM MXD (Fig. 1A). To directly examine the effects of HPE on cell proliferation, we measured ALP expression in the hDPCs, as ALP is a well-established DP marker (22). As shown in Fig. 1B, there was a marked increase in ALP expression at 72 h of culture, when the cells were treated with a combination of 10% HPE and 0.5 µM MXD compared to treatment with 10% HPE alone. These results suggest that HPE and MXD effectively influence ALP expression. We then investigated the changes in the expression of DP signature genes by performing RT-PCR on hDPCs treated with 5 and 10% HPE, 0.5 µM MXD, or HPE plus MXD for 30 min or 24 h. Notably, the SHH and versican expression levels were increased in a dose-dependent manner when the cells were treated with HPE (Fig. 1C). These results suggest that HPE, which upregulates the gene expression of SHH and versican in DPCs, targets proliferation effectors in hDPCs. Based on the collective results, we hypothesized that combined treatment with HPE and MXD significantly increased the proliferation of hDPCs.

Figure 1

Human placental extract (HPE) promotes the proliferation of human dermal papilla cells (hDPCs). BrdU incorporation assay was used to determinate cellular proliferation following treatment with HPE and minoxidil (MXD). (A) Effects of HPE and MXD on DNA synthesis by DPCs. DNA synthesis was evaluated by measuring the incorporation of BrdU after the DPCs were incubated with various concentrations of HPE (5, 10 or 20%) and MXD (0.1, 0.5 and 1 µM) in serum-free medium for 24 h. Each value represents the percentage of the value of the control. Results represent the means ± SD of 3 independent experiments, n=3. (B) Effects of HPE and MXD on the activation of alkaline phosphatase (ALP) activity in hDPCs. Morphology and ALP activity of dermal papilla (DP) cells following treatment with HPE and MXD. Cell morphology (bottom panels) was examined under a bright-field microscope. FITC (green) staining indicates ALP-expressing cells. Scale bar, 10 µm. (C) RT-PCR of transforming growth factor β (TGF-β)1, TGF-β-2, alkaline phosphatase (ALP), Sonic hedgehog (SHH), verisican and GAPDH expression using total RNA prepared from HPE- and MXD-treated hDPCs. *P<0.05, **P<0.01, ***P<0.001, compared with control; ###P<0.001, compared to treatment with 0.5 µM MXD alone.

HPE activates the β-catenin/GSK-3β pathway in hDPCs

The cells were treated with various concentrations of HPE (0, 1, 2, 5, 10 and 20%) for 48 h, and the expression of β-catenin, and GSK-3β was measured by western blot analysis. Treatment with HPE increased the total level of β-catenin protein in a dose-dependent manner. In particular, the levels of dephospho-β-catenin, an active form of β-catenin protein, were elevated. The p-GSK-3β (Ser9) levels began to markedly increase following treatment with 10% HPE, whereas the total GSK-3β protein levels did not increase (Fig. 2A and B). GSK-3β is inactivated by phosphorylation at Ser9; thus, these results suggested that the increase in the β-catenin protein levels in the hDPCs induced by HPE was due to the decreased destruction caused by GSK-3β inactivation. These results suggest that treatment with 10% HPE induces cell proliferation through the activation of β-catenin and the inactivation of GSK-3β in hDPCs. As shown in Fig. 2C, the whole cell or tissue lysates were separated into nuclear and cytoplasmic fractions, and western blot analysis was performed with anti-β-catenin antibody. We found that treatment with HPE induced the nuclear translocation of β-catenin, since an increasing amount of β-catenin was detected in the nuclear fraction 48 h after the cells were treated with HPE in a dose-dependent manner. These results suggest that HPE induces β-catenin and p-GSK-3β (Ser9) activation in hDPCs.

Figure 2

Human placental extract (HPE) stimulates β-catenin signaling pathway through glycogen synthase kinase-3β (GSK-3β) inhibition and nuclear β-catenin accumulation. Western blot analysis was performed to demonstrate the dose- and time-dependent increase in β-catenin expression in the cells harvested after HPE treatment. (A) Cells were treated with HPE (0, 1, 2, 5, 10 and 20%) for 48 h. Cell lysates were prepared and subjected to western blot analysis for dephospho-β-catenin, β-catenin, phosphorylated (p)-GSK-3β and GSK-3β. (B) Western blot analysis for dephospho-β-catenin, β-catenin, p-GSK-3β, and GSK-3β in human dermal papilla cells (hDPCs) treated with 10% HPE for 0, 2, 6, 12 and 24 h. (C) Western blot analysis of cytoplasmic, nuclear and total β-catenin levels in hDPCs. Cells were treated with HPE (0, 1, 2, 5, 10 and 20%) for 48 h. (D) The relative ratio of cytoplasmic, nuclear and total β-catenin proteins was determined by calculating the ratio of each protein in each of the irradiation treatment groups relative to the corresponding band intensity in the normal group. *P<0.05, ***P<0.001, compared with control.

HPE and MXD effectively promote the activation of GSK-3β and the nuclear translocation of β-catenin in hDPCs

MXD induces the nuclear accumulation of β-catenin and increases the phosphorylation of GSK-3β (23). Thus, we examined the effects of HPE and MXD on proteins related to cell growth in the hDPCs by western blot analysis. Treatment with MXD (0.5 µM) plus HPE (10%) significantly increased the protein expression of GSK-3β and β-catenin compared with the cells treated with HPE or MXD alone for 12 h. The protein expression was increased more significantly following treatment with 0.5 µM MXD in combination with 10% HPE compared to treatment with MXD alone (Fig. 3A and B). Moreover, we observed that treatment with HPE plus MXD effectively promoted β-catenin and p-GSK-3β (Ser9) activation in a time-dependent manner (Fig. 3C and D). These results suggest that treatment with a combination of HPE and MXD is more effective than treatment with HPE or MXD alone.

Figure 3

Effects of human placental extract (HPE) and minoxidil (MXD) on the phosphorylation of glycogen synthase kinase-3β (GSK-3β) in human dermal papilla cells (hDPCs). (A) Cells were treated with 10% HPE, 0.5 µM MXD, or HPE plus MXD for 12 h. Cell lysates were prepared and subjected to western blot analysis for dephospho-β-catenin, β-catenin and phosphorylated (p)-GSK-3β. (B) The relative ratios of each protein were determined by calculating the ratio of p-GSK-3β in the cells treated with HPE, MXD or HPE plus MXD relative to the corresponding band intensity in the control. (C) Cells were treated with HPE (5, 10 and 20%), MXD (0.5 µM), or HPE plus MXD for 24 h. Cell lysates were subjected to western blot analysis using the indicated antibodies. (D) Cells were treated with HPE plus MXD for 0, 2, 6, 12, 24 or 48 h. Western blot analysis was performed to detect dephospho-β-catenin, β-catenin, and p-GSK-3β. Data shown are representative of 3 independent experiments. Values are shown as relative ratios. *P<0.05, **P<0.01, ***P<0.001, compared with control;##P<0.01, compared to treatment with HPE plus MXD.

To elucidate the mechanisms underlying the induction of β-catenin activation in the cells treated with HPE and HPE plus MXD, we performed immunocytochemistry on the hDPCs. The localization of β-catenin was examined after treating the hDPCs with HPE, MXD or HPE plus MXD for 24 h. β-catenin was mainly associated with the cell membrane and was weakly detected in the nuclei. In the HPE- or MXD-treated cells, the increased expression of β-catenin was noted. Treatment with HPE plus MXD induced the nuclear translocation of β-catenin in the hDPCs (Fig. 4). These results suggest that treatment with HPE plus MXD causes the significant induction of GSK-3β phosphorylation at the Ser9 residue. GSK-3β inactivation was synchronized with the accumulation of β-catenin after 48 h. Thus, the combination of HPE and MXD may be important for the crosstalk involved in β-catenin/GSK-3β signaling.

Figure 4

Human placental extract (HPE) and minoxidil (MXD) effectively promote β-catenin activation. Representative images of immunocytochemical staining for β-catenin in human dermal papilla cells (hDPCs) cultured with various concentrations of HPE (0, 5 or 10%), MXD (0.5 µM) or HPE plus MXD for 48 h. Immunocytochemical staining was carried out with anti-β-catenin (green) antibody. Cells were counterstained with DAPI (blue) prior to mounting. The stained cells were visualized by an Olympus FLUOVIEW FV10i confocal microscope, at ×400 original magnification.

Phosphorylation of GSK-3β (Ser9) is critically involved in the HPE- and MXD-induced increase in the levels of growth-related proteins in hDPCs

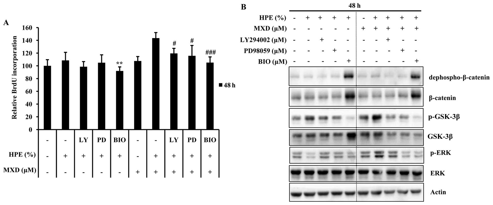
Growth factor signaling has previously been implicated in the regulation of the GSK-3β/β-catenin axis in hair morphogenesis and growth signaling (20). Recently, it was shown that Wnt/β-catenin signaling is involved in regulating the expression of extracellular-signal-regulated kinase (ERK) and phosphatidylinositol-3-kinase (PI3K)/AKT as well as in the proliferation of hDPCs (24,25). In this study, to elucidate the molecular mechanisms involved in the HPE-associated acceleration of MXD-induced hair growth in hDPCs, we examined the role of the ERK, PI3K/AKT and GSK-3β signaling pathway in the proliferation of these cells using the specific mitogen-activated protein kinase (MAPK) inhibitors, PD98059 (20 µM, for ERK1/2), LY294002 (20 µM, for PI3K) and 6-bromoindirubin-3′-oxime (BIO; 1.5 µM, for GSK-3β). As shown in Fig. 5A, DNA synthesis at 48 h increased by 1.3-fold in the cells treated with 0.5 µM MXD in combination with 10% HPE compared to those treated with HPE alone. Treatment with HPE significantly influenced proliferation through the induction of the GSK-3β pathway. We also observed a similar reduction in the GSK-3β protein expression levels at 48 h by western blot analysis (Fig. 3D). The effects of pre-treatment with each inhibitor were examined by western blot analysis in order to determine the concentrations required to significantly decrease HPE-induced dephospho-β-catenin and p-GSK-3β in these cells (Fig. 5B). Consistently, PD98059 and LY294002, but not BIO blocked the HPE-induced activation of dephospho-β-catenin. Soma et al (16), reported that Wnt/β-catenin activation results in the maintenance of the hair-inducing ability of hDPCs. Taken together, these results indicate that pGSK-3β activation plays a pivotal role in the HPE stimulation of MXD-induced hair growth.

Figure 5

Human placental extract (HPE) and minoxidil (MXD) induce a β-catenin cascade and regulate hair growth-related protein expression in human dermal papilla cells (hDPCs). Effects of phosphatidylinositol 3-kinase (PI3K), extracellular signal regulated kinase (ERK), and glycogen synthase kinase-3β (GSK-3β) inhibitor on HPE-induced proliferation of hDPCs. (A) hDPC cells were treated with 20 µM of ERK inhibitor (PD98059), 20 µM of PI3K inhibitor (LY294002), or 1.5 µM of GSK-3β inhibitor (BIO) for 30 min and then were treated as described in the Materials and mehtods with the indicated concentrations of 10% HPE, 0.5 µM MXD or HPE plus MXD. The proliferation of all of the cells was measured at 48 h by colorimetric-based assays using BrdU incorporation into hDPCs, and (B) the cell lysates were prepared and subjected to western blot analysis for dephospho-β-catenin, β-catenin, and phospho (p)-GSK-3β, total GSK-3β, actin. Data are presented as means ± SD. **P<0.01, compared to treatment with 10% HPE, #P<0.05, ###P<0.001 compared to treatment with HPE plus MXD. LY, LY 294002; PD, PD98059.

HPE and MXD induce hair fiber elongation and delay catagen progression in rat vibrissa follicles

To determine whether HPE stimulates MXD-induced hair fiber elongation, we examined the effects of HPE and MXD using an organ culture of the rat vibrissa follicle. The rat vibrissae follicles were treated with 20% HPE, 10 µM MXD or 10% HPE plus 5 µM MXD for 21 days (Fig. 6). The hair fiber lengths of the vibrissa follicles treated with 5 µM MXD plus 10% HPE (123.14±9.23) were similar to the lengths of the follicles treated with 10 µM MXD (119.78±8.33; Fig. 6A and B). As a result, no synergy was observed following treatment with 5 µM MXD plus 10% HPE compared to treatment with 10 µM MXD alone. Thus, it can be concluded that a lower concentration is required in combination treatment than in individual treatment in order to produce a similar effect. We then investigated the mechanisms through which HPE stimulates MXD-induced hair fiber elongation by measuring the expression levels of β-catenin, TGF-β1 and TGF-β2 in the cultured rat vibrissae follicles. After 21 days, the cultured vibrissa follicles, which were expected to be in the anagen-catagen transition phase, were positive for TGF-β2, whereas the vibrissae follicles in the bulb region treated with 20% HPE for 21 days were negative for TGF-β2. These results support the conclusion that treatment with HPE decreases the expression of TGF-β2, thereby preventing apoptosis in the bulb region (Fig. 6C). Collectively, these data demonstrate that HPE in combination with a low concentration of MXD exerts a positive effect on hair growth and delays catagen progression.

Figure 6

The elongation effect of human placental extract (HPE) on the hair fiber length of rat vibrissa follicles. Individual vibrissae follicles from Wistar rats were microdissected and cultured in William's E medium at 37°C under 5% CO2. (A) Vibrissa follicles were then treated with 20% HPE, 10 µM minoxidil (MXD) or 10% HPE plus 5 µM MXD for 21 days. The differences in the lengths of the vibrissa follicles compared to those of the control group on 21 days are shown. (B) Data are presented as the percentage of the length of the treated follicles based on the mean length of the control follicles ± SE. **P<0.01, ***P<0.001 compared with control. (C) Optimal cutting temperature (OCT) compound-embedded sections of vibrissae follicles from the normal (a, b and c), 20% HPE (d, e and f), 10 µM MXD (g, h and i), and 10% HPE + 5 µM MXD (j, k and l) groups were immunostained with anti-β-catenin (a, d, g and j), anti-transforming growth factor β (TGF-β)1 (b, e, h and k), anti-TGF-β2 (c, f, i and l) antibodies. Sections of the vibrissa follicles were then stained with anti-β-catenin, anti-TGF-β1, and anti-TGF-β2 antibodies after 21 days. Sections were counterstained with hematoxylin for the visualization of nuclei. The brown dots signify positively stained cells. Images shown are representative examples from each group. The IHC intensity score represents the average of the scores in each IHC staining intensity category (++, pronounced findings; +, moderate findings;0, no/scant findings identified in each core. Original magnification, ×200.

Discussion

A steadily increasing number of products have been claimed to be useful for treating hair loss (26). However, pharmaceutical hair loss management still suffers from a lack of research. FDA-approved hair loss drugs, such as dihydrotes-tosterone-suppressing 5α-reductase inhibitor (finasteride) and antihypertensive potassium channel opener (MXD), have been evaluated in clinical trials (10,27). However, given the widely underestimated psychological burden of hair loss on affected patients and the limited, transient sexual side-effects and somewhat unpredictable efficacy of finasteride (28) and MXD (11–29,30) in hair loss management, more pharmacological treatment options are needed. In the search for alternatives to oral finasteride and topical MXD for the treatment of hair loss, HPE, a potent hair growth modulator, needs to be investigated as a promising candidate in in vitro and in vivo studies.

In the present study, we demonstrated that HPE increased the proliferation of hDPCs in a dose-dependent manner and in combination with MXD by examining the activation of BrdU and ALP, which play roles in DPC proliferation and in hair induction and growth (Fig. 1A and B). Our results indicated that combined treatment with HPE and MXD significantly increased the proliferation of hDPCs.

Versican belongs to the hyalectan family and is characterized by its ability to bind hyaluronan (31). The overall consensus is that versican, together with hyaluronan, forms a pericellular matrix that modulates cell proliferation, adhesion and migration (32). It has been reported that versican affects apoptosis by associating with the functions of TGF-β (33) and regulation by the β-catenin signaling pathway (34). In the present study, we noted that HPE and MXD significantly upregulated the gene expression levels SHH and versican in the hDPCs in an indirect manner (Fig. 1C). Further studies are required to focus on determining the role of versican and TGF-β in hDPC proliferation.

In the present study, we evaluated the possibility that HPE stimulates the hair growth-promoting effect induced by MXD by lowering the required efficacious dosage in hDPC cells. In addition, we noted that HPE and MXD effectively induced GSK-3β phosphorylation at the Ser9 residue, and GSK-3β inactivation was synchronized with the accumulation of β-catenin (Figs. 2 and 3). The results suggest that HPE stimulates the MXD-induced phosphorylation of GSK-3β at Ser9 in hDPCs. The observation that HPE effectively promotes MXD-induced proliferation suggests that GSK-3β regulates MXD-induced proliferation through the ERK, PI3K/AKT and GSK-3β pathways via BrdU incorporation (Fig. 5). Therefore, our results suggest that treatment of cells with HPE and MXD provides the signals necessary for p-GSK-3β (Ser9) activation in hDPCs. As previously described, alternative inhibitors of GSK-3β, lithium chloride (LiCl) or beryllium chloride (BeCl2), stimulate hair re-growth and the hair cycle to the anagen phase, but abnormally increase the thickness of the epidermis (35). Further investigations are required to focus on determining whether HPE, the potential hair re-growth agent, targets the GSK-3β signaling pathway in a pre-clinical study.

TGF-β2 is involved in the promotion of the hair placode, contributes to anagen induction, and is highly expressed in hDPCs (36). In the present study, we observed that HPE was a potential suppressor of TGF-β2. Furthermore, we demonstrated that HPE was effective in inducing hair elongation in rat vibrissa hair follicle, and that treatment with HPE led to a delay in catagen progression (Fig. 6). The suppression of TGF-β2 is expected to provide a novel and efficient tool for hair cycle regulation.

The data of the present study demonstrated that treatment with HPE alone and HPE plus MXD resulted in a greater increase in proliferation, GSK-3β phosphorylation, and the nuclear translocation of β-catenin compared to treatment with HPE or MXD alone. These observations suggest that HPE and MXD have a potent additive effect and indicate that this combination may prove to be an effective therapeutic option for the treatment of alopecia. However, additional investigations are required to validate the results presented in our study. In conclusion, the present study demonstrates that HPE combined with a low concentration of MXD exerts additional and more positive effects on hair growth. This may result in the more practical dosing of MXD in the management of hair loss.

Acknowledgments

The present study was supported by a National Research Foundation of Korea grant funded by the Korean government (2011–0008687).

References

1 

Paus R and Cotsarelis G: The biology of hair follicles. N Engl J Med. 341:491–497. 1999. View Article : Google Scholar : PubMed/NCBI

2 

Hardy MH: The secret life of the hair follicle. Trends Genet. 8:55–61. 1992. View Article : Google Scholar : PubMed/NCBI

3 

Stenn KS and Paus R: Controls of hair follicle cycling. Physiol Rev. 81:449–494. 2001.PubMed/NCBI

4 

Nair B and Elmore AR; Cosmetic Ingredient Review Expert panel: Final report on the safety assessment of human placental protein, hydrolyzed human placental protein, human placental enzymes, human placental lipids, human umbilical extract, placental protein, hydrolyzed placental protein, placental enzymes, placental lipids, and umbilical extract. Int J Toxicol. 21(Suppl 1): 81–91. 2002. View Article : Google Scholar

5 

Shibasaki T, Odagiri E, Shizume K and Ling N: Corticotropin-releasing factor-like activity in human placental extracts. J Clin Endocrinol Metab. 55:384–386. 1982. View Article : Google Scholar : PubMed/NCBI

6 

Jung J, Lee HJ, Lee JM, Na KH, Hwang SG and Kim GJ: Placenta extract promote liver regeneration in CCl4-injured liver rat model. Int Immunopharmacol. 11:976–984. 2011. View Article : Google Scholar : PubMed/NCBI

7 

Liu KX, Kato Y, Kaku T and Sugiyama Y: Human placental extract stimulates liver regeneration in rats. Biol Pharm Bull. 21:44–49. 1998. View Article : Google Scholar : PubMed/NCBI

8 

Sur TK, Biswas TK, Ali L and Mukherjee B: Anti-inflammatory and anti-platelet aggregation activity of human placental extract. Acta Pharmacol Sin. 24:187–192. 2003.PubMed/NCBI

9 

Rosen T, Krikun G, Ma Y, Wang EY, Lockwood CJ and Guller S: Chronic antagonism of nuclear factor-kappaB activity in cytoblasts by dexamethasone: a potential mechanismfor antiinflammatory action of glucocorticoids in human placenta. J Clin Endocrinol Metab. 83:3647–3652. 1998.PubMed/NCBI

10 

Topical minoxidil approved by FDA. Clin Pharm. 7:8588621988.

11 

Rossi A, Cantisani C, Melis L, Iorio A, Scali E and Calvieri S: Minoxidil use in dermatology, side effects and recent patents. Recent Pat Inflamm Allergy Drug Discov. 6:130–136. 2012. View Article : Google Scholar : PubMed/NCBI

12 

Morokuma Y, Yamazaki M, Maeda T, Yoshino I, Ishizuka M, Tanaka T, Ito Y and Tsuboi R: Hair growth stimulatory effect by a combination of 5-aminolevulinic acid and iron ion. Int J Dermatol. 47:1298–1303. 2008. View Article : Google Scholar

13 

Rastegar H, Ahmadi Ashtiani H, Aghaei M, Ehsani A and Barikbin B: Combination of herbal extracts and platelet-rich plasma induced dermal papilla cell proliferation: involvement of ERK and Akt pathways. J Cosmet Dermatol. 12:116–122. 2013. View Article : Google Scholar : PubMed/NCBI

14 

Loing E, Lachance R, Ollier V and Hocquaux M: A new strategy to modulate alopecia using a combination of two specific and unique ingredients. J Cosmet Sci. 64:45–58. 2013.PubMed/NCBI

15 

Chu EY, Hens J, Andl T, Kairo A, Yamaguchi TP, Brisken C, Glick A, Wysolmerski JJ and Millar SE: Canonical WNT signaling promotes mammary placode development and is essential for initiation of mammary gland morphogenesis. Development. 131:4819–4829. 2004. View Article : Google Scholar : PubMed/NCBI

16 

Soma T, Fujiwara S, Shirakata Y, Hashimoto K and Kishimoto J: Hair-inducing ability of human dermal papilla cells cultured under Wnt/β-catenin signalling activation. Exp Dermatol. 21:307–309. 2012. View Article : Google Scholar : PubMed/NCBI

17 

Clevers H and Nusse R: Wnt/β-catenin signaling and disease. Cell. 149:1192–1205. 2012. View Article : Google Scholar : PubMed/NCBI

18 

Woodgett JR: Judging a protein by more than its name: GSK-3. Sci STKE. 2001:re122001.PubMed/NCBI

19 

Li L, Yuan H, Weaver CD, Mao J, Farr GH III, Sussman DJ, Jonkers J, Kimelman D and Wu D: Axin and Frat1 interact with dvl and GSK, bridging Dvl to GSK in Wnt-mediated regulation of LEF-1. EMBO J. 18:4233–4240. 1999. View Article : Google Scholar : PubMed/NCBI

20 

Jo SJ, Choi SJ, Yoon SY, Lee JY, Park WS, Park PJ, Kim KH, Eun HC and Kwon O: Valproic acid promotes human hair growth in in vitro culture model. J Dermatol Sci. 72:16–24. 2013. View Article : Google Scholar : PubMed/NCBI

21 

Philpott MP and Kealey T: Cyclical changes in rat vibrissa follicles maintained In vitro. J Invest Dermatol. 115:1152–1155. 2000. View Article : Google Scholar : PubMed/NCBI

22 

Handjiski BK, Eichmüller S, Hofmann U, Czarnetzki BM and Paus R: Alkaline phosphatase activity and localization during the murine hair cycle. Br J Dermatol. 131:303–310. 1994. View Article : Google Scholar : PubMed/NCBI

23 

Kwack MH, Kang BM, Kim MK, Kim JC and Sung YK: Minoxidil activates β-catenin pathway in human dermal papilla cells: a possible explanation for its anagen prolongation effect. J Dermatol Sci. 62:154–159. 2011. View Article : Google Scholar : PubMed/NCBI

24 

Hwang KA, Hwang YL, Lee MH, Kim NR, Roh SS, Lee Y, Kim CD, Lee JH and Choi KC: Adenosine stimulates growth of dermal papilla and lengthens the anagen phase by increasing the cysteine level via fibroblast growth factors 2 and 7 in an organ culture of mouse vibrissae hair follicles. Int J Mol Med. 29:195–201. 2012.

25 

Yoon SY, Yoon JS, Jo SJ, Shin CY, Shin JY, Kim JI, Kwon O and Kim KH: A role of placental growth factor in hair growth. J Dermatol Sci. 74:125–134. 2014. View Article : Google Scholar : PubMed/NCBI

26 

Abdullah F and Rashid RM: Alopecia: Botanical approaches in review. J Drugs Dermatol. 9:537–541. 2010.PubMed/NCBI

27 

Frankel S: Study of the food and drug administration files on Propecia: dosages, side effects, and recommendations. Arch Dermatol. 135:257–258. 1999. View Article : Google Scholar : PubMed/NCBI

28 

Irwig MS and Kolukula S: Persistent sexual side effects of finas-teride for male pattern hair loss. J Sex Med. 8:1747–1753. 2011. View Article : Google Scholar : PubMed/NCBI

29 

Trüeb RM: Chemotherapy-induced hair loss. Skin Therapy Lett. 15:5–7. 2010.PubMed/NCBI

30 

Lourith N and Kanlayavattanakul M: Hair loss and herbs for treatment. J Cosmet Dermatol. 12:210–222. 2013. View Article : Google Scholar : PubMed/NCBI

31 

Rahmani M, Wong BW, Ang L, Cheung CC, Carthy JM, Walinski H and McManus BM: Versican: signaling to transcriptional control pathways. Can J Physiol Pharmacol. 84:77–92. 2006. View Article : Google Scholar : PubMed/NCBI

32 

du Cros DL, LeBaron RG and Couchman JR: Association of versican with dermal matrices and its potential role in hair follicle development and cycling. J Invest Dermatol. 105:426–431. 1995. View Article : Google Scholar : PubMed/NCBI

33 

Wight TN: Arterial remodeling in vascular disease: a key role for hyaluronan and versican. Front Biosci. 13:4933–4937. 2008. View Article : Google Scholar : PubMed/NCBI

34 

Yang Y, Li Y, Wang Y, Wu J, Yang G, Yang T, Gao Y and Lu Y: Versican gene: regulation by the β-catenin signaling pathway plays a significant role in dermal papilla cell aggregative growth. J Dermatol Sci. 68:157–163. 2012. View Article : Google Scholar : PubMed/NCBI

35 

Lee SH, Yoon J, Shin SH, Zahoor M, Kim HJ, Park PJ, Park WS, Min S, Kim HY and Choi KY: Valproic acid induces hair regeneration in murine model and activates alkaline phosphatase activity in human dermal papilla cells. PLoS One. 7:e341522012. View Article : Google Scholar : PubMed/NCBI

36 

Hibino T and Nishiyama T: Role of TGF-beta2 in the human hair cycle. J Dermatol Sci. 35:9–18. 2004. View Article : Google Scholar : PubMed/NCBI

Related Articles

  • Abstract
  • View
  • Download
  • Twitter
Copy and paste a formatted citation
Spandidos Publications style
Kwon TR, Oh CT, Choi EJ, Park HM, Han HJ, Ji HJ and Kim BJ: Human placental extract exerts hair growth-promoting effects through the GSK-3β signaling pathway in human dermal papilla cells. Int J Mol Med 36: 1088-1096, 2015.
APA
Kwon, T., Oh, C.T., Choi, E.J., Park, H.M., Han, H.J., Ji, H.J., & Kim, B.J. (2015). Human placental extract exerts hair growth-promoting effects through the GSK-3β signaling pathway in human dermal papilla cells. International Journal of Molecular Medicine, 36, 1088-1096. https://doi.org/10.3892/ijmm.2015.2316
MLA
Kwon, T., Oh, C. T., Choi, E. J., Park, H. M., Han, H. J., Ji, H. J., Kim, B. J."Human placental extract exerts hair growth-promoting effects through the GSK-3β signaling pathway in human dermal papilla cells". International Journal of Molecular Medicine 36.4 (2015): 1088-1096.
Chicago
Kwon, T., Oh, C. T., Choi, E. J., Park, H. M., Han, H. J., Ji, H. J., Kim, B. J."Human placental extract exerts hair growth-promoting effects through the GSK-3β signaling pathway in human dermal papilla cells". International Journal of Molecular Medicine 36, no. 4 (2015): 1088-1096. https://doi.org/10.3892/ijmm.2015.2316
Copy and paste a formatted citation
x
Spandidos Publications style
Kwon TR, Oh CT, Choi EJ, Park HM, Han HJ, Ji HJ and Kim BJ: Human placental extract exerts hair growth-promoting effects through the GSK-3β signaling pathway in human dermal papilla cells. Int J Mol Med 36: 1088-1096, 2015.
APA
Kwon, T., Oh, C.T., Choi, E.J., Park, H.M., Han, H.J., Ji, H.J., & Kim, B.J. (2015). Human placental extract exerts hair growth-promoting effects through the GSK-3β signaling pathway in human dermal papilla cells. International Journal of Molecular Medicine, 36, 1088-1096. https://doi.org/10.3892/ijmm.2015.2316
MLA
Kwon, T., Oh, C. T., Choi, E. J., Park, H. M., Han, H. J., Ji, H. J., Kim, B. J."Human placental extract exerts hair growth-promoting effects through the GSK-3β signaling pathway in human dermal papilla cells". International Journal of Molecular Medicine 36.4 (2015): 1088-1096.
Chicago
Kwon, T., Oh, C. T., Choi, E. J., Park, H. M., Han, H. J., Ji, H. J., Kim, B. J."Human placental extract exerts hair growth-promoting effects through the GSK-3β signaling pathway in human dermal papilla cells". International Journal of Molecular Medicine 36, no. 4 (2015): 1088-1096. https://doi.org/10.3892/ijmm.2015.2316
Follow us
  • Twitter
  • LinkedIn
  • Facebook
About
  • Spandidos Publications
  • Careers
  • Cookie Policy
  • Privacy Policy
How can we help?
  • Help
  • Live Chat
  • Contact
  • Email to our Support Team