Spandidos Publications Logo
  • About
    • About Spandidos
    • Aims and Scopes
    • Abstracting and Indexing
    • Editorial Policies
    • Reprints and Permissions
    • Job Opportunities
    • Terms and Conditions
    • Contact
  • Journals
    • All Journals
    • Oncology Letters
      • Oncology Letters
      • Information for Authors
      • Editorial Policies
      • Editorial Board
      • Aims and Scope
      • Abstracting and Indexing
      • Bibliographic Information
      • Archive
    • International Journal of Oncology
      • International Journal of Oncology
      • Information for Authors
      • Editorial Policies
      • Editorial Board
      • Aims and Scope
      • Abstracting and Indexing
      • Bibliographic Information
      • Archive
    • Molecular and Clinical Oncology
      • Molecular and Clinical Oncology
      • Information for Authors
      • Editorial Policies
      • Editorial Board
      • Aims and Scope
      • Abstracting and Indexing
      • Bibliographic Information
      • Archive
    • Experimental and Therapeutic Medicine
      • Experimental and Therapeutic Medicine
      • Information for Authors
      • Editorial Policies
      • Editorial Board
      • Aims and Scope
      • Abstracting and Indexing
      • Bibliographic Information
      • Archive
    • International Journal of Molecular Medicine
      • International Journal of Molecular Medicine
      • Information for Authors
      • Editorial Policies
      • Editorial Board
      • Aims and Scope
      • Abstracting and Indexing
      • Bibliographic Information
      • Archive
    • Biomedical Reports
      • Biomedical Reports
      • Information for Authors
      • Editorial Policies
      • Editorial Board
      • Aims and Scope
      • Abstracting and Indexing
      • Bibliographic Information
      • Archive
    • Oncology Reports
      • Oncology Reports
      • Information for Authors
      • Editorial Policies
      • Editorial Board
      • Aims and Scope
      • Abstracting and Indexing
      • Bibliographic Information
      • Archive
    • Molecular Medicine Reports
      • Molecular Medicine Reports
      • Information for Authors
      • Editorial Policies
      • Editorial Board
      • Aims and Scope
      • Abstracting and Indexing
      • Bibliographic Information
      • Archive
    • World Academy of Sciences Journal
      • World Academy of Sciences Journal
      • Information for Authors
      • Editorial Policies
      • Editorial Board
      • Aims and Scope
      • Abstracting and Indexing
      • Bibliographic Information
      • Archive
    • International Journal of Functional Nutrition
      • International Journal of Functional Nutrition
      • Information for Authors
      • Editorial Policies
      • Editorial Board
      • Aims and Scope
      • Abstracting and Indexing
      • Bibliographic Information
      • Archive
    • International Journal of Epigenetics
      • International Journal of Epigenetics
      • Information for Authors
      • Editorial Policies
      • Editorial Board
      • Aims and Scope
      • Abstracting and Indexing
      • Bibliographic Information
      • Archive
    • Medicine International
      • Medicine International
      • Information for Authors
      • Editorial Policies
      • Editorial Board
      • Aims and Scope
      • Abstracting and Indexing
      • Bibliographic Information
      • Archive
  • Articles
  • Information
    • Information for Authors
    • Information for Reviewers
    • Information for Librarians
    • Information for Advertisers
    • Conferences
  • Language Editing
Spandidos Publications Logo
  • About
    • About Spandidos
    • Aims and Scopes
    • Abstracting and Indexing
    • Editorial Policies
    • Reprints and Permissions
    • Job Opportunities
    • Terms and Conditions
    • Contact
  • Journals
    • All Journals
    • Biomedical Reports
      • Information for Authors
      • Editorial Policies
      • Editorial Board
      • Aims and Scope
      • Abstracting and Indexing
      • Bibliographic Information
      • Archive
    • Experimental and Therapeutic Medicine
      • Information for Authors
      • Editorial Policies
      • Editorial Board
      • Aims and Scope
      • Abstracting and Indexing
      • Bibliographic Information
      • Archive
    • International Journal of Epigenetics
      • Information for Authors
      • Editorial Policies
      • Editorial Board
      • Aims and Scope
      • Abstracting and Indexing
      • Bibliographic Information
      • Archive
    • International Journal of Functional Nutrition
      • Information for Authors
      • Editorial Policies
      • Editorial Board
      • Aims and Scope
      • Abstracting and Indexing
      • Bibliographic Information
      • Archive
    • International Journal of Molecular Medicine
      • Information for Authors
      • Editorial Policies
      • Editorial Board
      • Aims and Scope
      • Abstracting and Indexing
      • Bibliographic Information
      • Archive
    • International Journal of Oncology
      • Information for Authors
      • Editorial Policies
      • Editorial Board
      • Aims and Scope
      • Abstracting and Indexing
      • Bibliographic Information
      • Archive
    • Medicine International
      • Information for Authors
      • Editorial Policies
      • Editorial Board
      • Aims and Scope
      • Abstracting and Indexing
      • Bibliographic Information
      • Archive
    • Molecular and Clinical Oncology
      • Information for Authors
      • Editorial Policies
      • Editorial Board
      • Aims and Scope
      • Abstracting and Indexing
      • Bibliographic Information
      • Archive
    • Molecular Medicine Reports
      • Information for Authors
      • Editorial Policies
      • Editorial Board
      • Aims and Scope
      • Abstracting and Indexing
      • Bibliographic Information
      • Archive
    • Oncology Letters
      • Information for Authors
      • Editorial Policies
      • Editorial Board
      • Aims and Scope
      • Abstracting and Indexing
      • Bibliographic Information
      • Archive
    • Oncology Reports
      • Information for Authors
      • Editorial Policies
      • Editorial Board
      • Aims and Scope
      • Abstracting and Indexing
      • Bibliographic Information
      • Archive
    • World Academy of Sciences Journal
      • Information for Authors
      • Editorial Policies
      • Editorial Board
      • Aims and Scope
      • Abstracting and Indexing
      • Bibliographic Information
      • Archive
  • Articles
  • Information
    • For Authors
    • For Reviewers
    • For Librarians
    • For Advertisers
    • Conferences
  • Language Editing
Login Register Submit
  • This site uses cookies
  • You can change your cookie settings at any time by following the instructions in our Cookie Policy. To find out more, you may read our Privacy Policy.

    I agree
Search articles by DOI, keyword, author or affiliation
Search
Advanced Search
presentation
International Journal of Molecular Medicine
Join Editorial Board Propose a Special Issue
Print ISSN: 1107-3756 Online ISSN: 1791-244X
Journal Cover
March-2019 Volume 43 Issue 3

Full Size Image

Sign up for eToc alerts
Recommend to Library

Journals

International Journal of Molecular Medicine

International Journal of Molecular Medicine

International Journal of Molecular Medicine is an international journal devoted to molecular mechanisms of human disease.

International Journal of Oncology

International Journal of Oncology

International Journal of Oncology is an international journal devoted to oncology research and cancer treatment.

Molecular Medicine Reports

Molecular Medicine Reports

Covers molecular medicine topics such as pharmacology, pathology, genetics, neuroscience, infectious diseases, molecular cardiology, and molecular surgery.

Oncology Reports

Oncology Reports

Oncology Reports is an international journal devoted to fundamental and applied research in Oncology.

Experimental and Therapeutic Medicine

Experimental and Therapeutic Medicine

Experimental and Therapeutic Medicine is an international journal devoted to laboratory and clinical medicine.

Oncology Letters

Oncology Letters

Oncology Letters is an international journal devoted to Experimental and Clinical Oncology.

Biomedical Reports

Biomedical Reports

Explores a wide range of biological and medical fields, including pharmacology, genetics, microbiology, neuroscience, and molecular cardiology.

Molecular and Clinical Oncology

Molecular and Clinical Oncology

International journal addressing all aspects of oncology research, from tumorigenesis and oncogenes to chemotherapy and metastasis.

World Academy of Sciences Journal

World Academy of Sciences Journal

Multidisciplinary open-access journal spanning biochemistry, genetics, neuroscience, environmental health, and synthetic biology.

International Journal of Functional Nutrition

International Journal of Functional Nutrition

Open-access journal combining biochemistry, pharmacology, immunology, and genetics to advance health through functional nutrition.

International Journal of Epigenetics

International Journal of Epigenetics

Publishes open-access research on using epigenetics to advance understanding and treatment of human disease.

Medicine International

Medicine International

An International Open Access Journal Devoted to General Medicine.

Journal Cover
March-2019 Volume 43 Issue 3

Full Size Image

Sign up for eToc alerts
Recommend to Library

  • Article
  • Citations
    • Cite This Article
    • Download Citation
    • Create Citation Alert
    • Remove Citation Alert
    • Cited By
  • Similar Articles
    • Related Articles (in Spandidos Publications)
    • Similar Articles (Google Scholar)
    • Similar Articles (PubMed)
  • Download PDF
  • Download XML
  • View XML
Article

Synergistic anticancer effect of acteoside and temozolomide-based glioblastoma chemotherapy

  • Authors:
    • Tae Woong Hwang
    • Dong Hun Kim
    • Da Bi Kim
    • Tae Won Jang
    • Gun‑Hwa Kim
    • Minho Moon
    • Kyung Ah Yoon
    • Dae Eun Choi
    • Jae Ho Park
    • Jwa‑Jin Kim
  • View Affiliations / Copyright

    Affiliations: Department of Medical Science, School of Medicine, Chungnam National University, Daejeon 35015, Republic of Korea, Department of Medicinal Plant Resources, Andong National University, Andong, Gyeongsangbuk 36729, Republic of Korea, Drug and Disease Target Team, Division of Bioconvergence Analysis, Korea Basic Science Institute, Cheongju, Chungcheong 28119, Republic of Korea, Department of Biochemistry, College of Medicine, Konyang University, Daejeon 35365, Republic of Korea, Department of Clinical Laboratory Science, Daejeon Health Sciences College, Daejeon 34504, Republic of Korea, Department of Nephrology, School of Medicine, Chungnam National University, Daejeon 35015, Republic of Korea, Department of Pharmaceutical Science, Jungwon University, Geosan, Chungbuk 28024, Republic of Korea
  • Pages: 1478-1486
    |
    Published online on: January 11, 2019
       https://doi.org/10.3892/ijmm.2019.4061
  • Expand metrics +
Metrics: Total Views: 0 (Spandidos Publications: | PMC Statistics: )
Metrics: Total PDF Downloads: 0 (Spandidos Publications: | PMC Statistics: )
Cited By (CrossRef): 0 citations Loading Articles...

This article is mentioned in:



Abstract

Temozolomide (TMZ) is an alkylating agent commonly used as a first‑line treatment for high‑grade glioblastoma. However, TMZ has short half‑life and frequently induces tumor resistance, which can limit its therapeutic efficiency. In the present study, it was hypothesized that combined treatment with TMZ and acteoside has synergistic effects in glioblastoma therapy. Using cell viability and wound‑healing assays, it was determined that this treatment regimen reduced cell viability and migration to a greater extent than either TMZ or acteoside alone. Following previous reports that TMZ affected autophagy in glioma cells, the present study examined the effects of TMZ + acteoside combination treatment on apoptosis and autophagy. The TMZ + acteoside combination treatment increased the cleavage of caspase‑3 and levels of B‑cell lymphoma 2 (Bcl‑2)‑associated X protein and phosphorylated p53, and decreased the level of Bcl‑2. The combination treatment increased microtubule‑associated protein 1 light chain 3 and apoptosis‑related gene expression. It was also determined that TMZ + acteoside induced apoptosis and autophagy through the mitogen‑activated protein kinase signaling pathway. These findings suggest that acteoside has beneficial effects on TMZ‑based glioblastoma therapy.

Introduction

Glioblastoma is the most common type of malignant primary brain tumor and the most invasive and devastating primary brain tumor (1,2), with a median survival rate of ~18 months with aggressive multimodality therapy. Current treatment decisions are limited and include radiation, chemotherapy and surgery in combination with the alkylating agent temozolomide (TMZ) (3,4). Despite the availability of aggressive therapies, patients with glioblastoma generally have a poor prognosis (5). TMZ is the major chemotherapeutic drug used in the clinical treatment of malignant glioblastoma (6-8); as an alkylating agent in the imidazotetrazine series, it is able to penetrate the blood-brain barrier (9-11). During malignant glioblastoma progression and extensive invasion throughout the brain, steadily increasing drug resistance to TMZ decreases its therapeutic efficacy (12,13). Accordingly, novel therapeutic drugs to counter glioblastoma are urgently sought.

Previous studies have reported that glioma cells undergo cell death via autophagy, or type II programmed cell death, in response to TMZ (14,15). Autophagy can be inhibited by 3-methyladenine (3-MA) through the conversion of micro-tubule-associated protein 1 light chain 3 (LC3)-I to LC3-II, thus reducing glioblastoma cell death (16,17); however, the role of autophagy is dependent on the cellular context. With the exception of a cytotoxic role during TMZ action, the induction of autophagy by cellular stress is a cytoprotective process that eliminates stress-induced cytoplasmic aggregates, organelles and macromolecules in mammalian cells through the lysosomal system. In turn, cells involved in maintaining homeostasis receive energy through these catabolic processes (18,19). The complex roles of autophagy suggest that an autophagy activator may have anticancer effects in combination with TMZ treatment by inducing glioblastoma cell autophagy without exerting deleterious effects or providing benefits to normal tissues. Of note, TMZ has exhibited synergistic therapeutic effects in combination with vitamin D, including suppressed cell viability and enhanced autophagy in glioblastoma cells. Furthermore, the combination of TMZ and vitamin D has been shown to exert anticancer effects in vivo, including reduced tumor size and prolonged survival rate. These studies suggest that combination treatment may have synergistic anticancer effects via autophagic mechanisms in TMZ-based glioblastoma therapy (15).

Acteoside is a phenylethanoid glycoside that is widely distributed in several tonified traditional Chinese herbal medicines (20,21). A number of pharmacological actions, including antioxidant, anticancer, anti-inflammatory, antinephritic and antimetastatic actions, have been associated with acteoside (22-24). Previous studies have demonstrated that acteoside has protective effects against carbon tetrachloride- and D-galactosamine-induced liver injury. The mechanisms underlying the protective effects of acteoside are likely related to its capacity to inhibit P450-mediated bioactivation and free radical scavenging effects induced by carbon tetrachloride exposure (25,26).

Therefore, evidence suggests that both acteoside and TMZ induce anticancer effects through cell death. However, their association and anticancer effects in the context of glioblastoma remain to be elucidated. Therefore, the objective of the present study was to verify the synergistic anticancer effects of acteoside combined with TMZ in glioblastoma therapy. A cell viability assay was performed to analyze the anticancer effects of the combination treatment in C6 glioblastoma cells (a rat glioblastoma cell line), and the results were compared with those following treatment with TMZ alone. To further examine the mechanism of cell death caused by cotreatment with acteoside and TMZ, apoptosis- and autophagy-related genes in C6 cells were examined.

Materials and methods

Cell culture

The C6 rat glioblastoma cell line was purchased from American Type Culture Collection (Rockville, MD, USA). The cells were cultured under sterile conditions at 37°C in a humid environment with 5% of CO2 in Dulbecco's modified Eagle's medium (DMEM) supplemented with 10% fetal bovine serum (FBS), and 1% antibiotics and antimycotics (all Welgene, Daegu, Korea).

Plant material

Abeliophyllum distichum Nakai [voucher no. Park1001(ANH)] was collected in Misunhyang Theme park, Seongbul-Mountain Recreation Forest, 78, Chungmin-rogigok-gil, Goesan-eup, Goesan-gun, Chungcheongbuk-do, Korea.

Callus induction

To induce callus formation (27), 1-cm2 leaf explants were isolated from the fresh plants. The explant was cultured on Murachige and Skoog medium (4% sucrose, 0.9% agar supplemented with 1 mg/l naphthalene acetic acid and 1 mg/l 2,4-dichlorophenoxyacetic acid, pH 5.7) at 25°C. The callus was induced 20 days later. A sufficient quantity of acteoside was obtained through subculture to separate and purify acteoside from the callus (Fig. 1). Different batches of purified acteoside were used in each experiment. Each experiment was performed three times using a different batch.

Figure 1

Chemical structure of acteoside.

Isolation and purification

The ethylacetate fractions were concentrated in vacuo and used as a sample for the purification of acteoside. Acteoside was isolated and purified by the Accelerated Chromatographic Isolation system (Isolera™ Spektra, Biotage, Uppsala, Sweden) using SNAP KPHOSPHO-SIL and SNAP Ultra Cartridges (Biotage). The acteoside purified from the callus was quantitatively analyzed using the standard acteoside by HPLC-PDA analysis. Finally, acteoside of ≥95% purity was obtained from the callus and used as a sample for chemotherapy of temozolomide-based glioblastoma.

3-(4,5-Dimethylthiazol-2-yl)-,5-diphenyltetrazolium bromide (MTT) assay

To identify the TMZ half maximal inhibitory concentration (IC50 value) against C6 cells, 1×104 cells in single cell suspensions were seeded into individual wells of 96-well plates and incubated for 24 h at 37°C prior to TMZ treatment at the indicated concentrations (1, 5, 10, and 20 mM) at 37°C for 24 h. Following determination of the TMZ IC50 value as 5 mM, the cells were treated for 24 h with 5 mM TMZ, 50 µM acteoside, or a combination of the two (5 mM TMZ and 50 µM acteoside). MTT solution (5 mg/ml) was added to each well (10 µl) and cultured at 37°C for 2 h. Subsequently, the medium was removed and DMSO was added at a volume of 200 µl each and reacted at room temperature for 30 min. The absorbance at 595 nm was measured to determine cell viability.

Wound-healing assay

A C6 cell suspension in 1 ml was cultured in a 12-well plate and grown to confluence. The cells were treated with TMZ, acteoside or TMZ + acteoside and then scratched with a sterile 10-µl pipette tip to create an artificial wound. At 0 and 24 h post-wounding, digital images of the wound healing process were captured using an inverted microscope. Cell migration was quantified by measuring the size of the scar at 0 and 24 h using the image analyzing software, ImageJ 1.43u/Java1.6.0_22 software (NIH, Bethesda, Maryland, USA). Each experiment was performed three times and the measurements were performed in triplicate.

Immunoblotting

The C6 cells were treated with TMZ, acteoside or TMZ + acteoside for 24 h. Cells were lysed on ice by the RIPA (25 mM Tris-HCl, pH 7.5, 150 mM NaCl, 1% Nonidet P-40, 1% sodium deoxycholate, 0.1% SDS) lysis buffer supplemented with protease and phosphatase inhibitors cocktail (Roche, Basel, Switzerland) for 30 min. After centrifugation at 18,341 × g for 15 min at 4°C, supernatant was obtained. Protein concentration was determined using Bradford Protein Assays (Bio-rad, Hercules, CA, USA). Equal amounts of total proteins (30 µg) were loaded into single wells and fractionated via electrophoresis via a 10-15% SDS-PAGE. The proteins were electrotransferred to polyvinylidene difluoride membranes (EMD Millipore, Bedford, MA, USA). Following incubation in blocking solution containing 5% nonfat milk in Tween/Tris-buffer saline for 30 min at room temperature. The blots were probed with 1:1,000-diluted primary antibodies (cat. no. 9662, caspase 3; Cell Signaling Technology, Inc., Danvers, MA, USA), B0-cell lymphoma 2 (sc-7382, Bcl-2), Bcl-2-associated X protein (cat. no. 2772, Bax), phosphorylated (p-)p53 (sc-101762), total-p53 (sc-6243), β-actin (cat. no. 4970; all; Santa Cruz Biotechnology, Inc., Dallas, TX, USA), LC-3 (L8918, Sigma; Merck KGaA, Darmstadt, Germany), Rab7 (cat. no. 9367, Cell Signaling Technology, Inc.), p62 (cat. no. 114), p-p38 (cat. no. 9211), total-p38 (cat. no. 9212), p-c-Jun N-terminal kinase (cat. no. 9251, p-JNK), total-JNK (cat. no. 9252), p-extracellular signal-regulated kinase (cat. no. 9101, p-ERK), total-ERK (cat. no. 9102; all Cell Signaling Technology, Inc.) overnight at 4°C. This was followed by incubation with horseradish peroxidase-conjugated secondary antibodies (1:2,000; LF-SA8001A, Goat Anti-Mouse IgG-HRP) or LF-SA8002A (Goat Anti-Rabbit IgG-HRP), AB Frontier, Seoul, Korea.) for 2 h at room temperature. The proteins were then visualized by exposure to Chemi-Doc (Bio-Rad Laboratories, Inc., Hercules, CA, USA).

Immunofluorescence staining

Lysosomal-associated membrane protein 1 (LAMP1) and LC3 are markers for lysosomal and autophagy. The cells (1×105 cells/well) were prepared on sterilized glass coverslips (BD Biosciences, Franklin Lakes, NJ, USA) in triplicate. Following treatment with TMZ, acteoside or TMZ + acteoside for 24 h, the cells were fixed in 4% paraformaldehyde for 30 min, blocked with 5% normal chicken serum (S-3000; Vector Laboratories, Inc., Burlingame, CA, USA), 0.1% Triton X-100 and then incubated 1 h for permeabilization and to block non-specific protein-protein interactions. The cells were then incubated with the anti-LAMP1 (1:200; sc-19992, Santa Cruz Biotechnology, Inc.) and anti-LC3 (1:400; PM036, MBL International, Woburn, MA, USA) overnight at 4°C. The cells were then washed twice with PBS and incubated for an additional 2 h in the dark with a mixture of Alexa Fluor 488 and 594 secondary antibodies (1:200; Alexa Fluor 488 (A-11008) and 594 (A-11007), Thermo Fisher Scientific, Inc., Waltham, MA, USA) and washed again with PBS. The nuclei were stained using 4,6-diamidino-2-phenylindole (Sigma; Merck KGaA), and then washed twice with PBS. The slides were then mounted and images were captured under an LSM-700 laser confocal microscope.

Flow cytometry

The cells were analyzed for Mitotracker Green and MitoSOX by flow cytometry using a FACSCanto II flow cytometer, as indicated by the manufacturer (BD Biosciences). Following two washes with PBS, the cells were fixed in 4% paraformaldehyde for 30 min at room temperature and permeabilized with 0.25% Triton X-100 in PBS for 20 min. The cells were stained with primary antibodies for overnight at 4°C (1:200) and then with secondary antibodies for 1 h on ice. Following two washes with PBS, the cells were fixed in 4% paraformaldehyde and assayed immediately. The flow cytometry data were collected using 10,000 cells and were analyzed using FlowJo 7.6.1 software (Tree Star, Inc., Ashland, OR, USA).

Statistical analysis

All data were analyzed using GraphPad Prism 5.0 and are presented as the mean ± standard error of the mean. Data were analyzed with one-way analysis of variance with Tukey's multiple-comparisons post hoc test for the comparison of mean values among multiple groups. P<0.05 was considered to indicate a statistically significant difference.

Results

Cotreatment with TMZ and acteoside suppresses glioblastoma cell proliferation and migration

Combined treatment with TMZ and acteoside inhibited the viability of C6 cells. TMZ reduced cell viability in a dose-dependent manner (Fig. 2A), whereas acteoside alone had no significant effect at any treatment level (Fig. 2B). Following incubation in culture medium containing TMZ with or without acteoside for 24 h, an MTT assay was performed to compare the cytotoxicities of different treatment levels. TMZ significantly suppressed cell viability, whereas acteoside did not significantly suppress cell growth. Combined treatment with TMZ and acteoside markedly reduced cell viability (Fig. 2C). Treatment with TMZ or acteoside applied alone reduced wound-healing ability (Fig. 3A). The wound distance (%) was measured using the results shown in Fig. 3A with ImageJ software. The wound distance increased significantly following combination treatment (Fig. 3B), compared with either individual treatment. These results indicate that cotreatment with TMZ and acteoside was an effective inhibitor of glioblastoma cell proliferation and migration.

Figure 2

Effects of acteoside on cell viability. (A) C6 cells were treated with various concentrations of TMZ for 24 h and cytotoxicity was assessed by cell viability with 3-(4,5-dimethylthiazol-2-yl)-,5-diphenyltetrazolium bromide. (B) C6 cell were treated with 1, 10, 50, 100 and 200 µM acteoside for 24 h. (C) Cell viability of C6 cells treated with acteoside (50 µM) and TMZ (5 mM). *P<0.05 and ***P<0.001 vs. U group; ###P<0.01 vs. TMZ group; +++P<0.001 vs. AC group. U, untreated; TMZ, temozolomide; AC, acteoside.

Figure 3

Combination treatment with TMZ and acteoside prevents cell migration in a wound-healing assay. (A) Representative microscopic images (scale bar, 500 µm) of a wound-healing assay using C6 cells treated with 5 mM TMZ, 50 µM acteoside or TMZ (5 mM) + acteoside (50 µM) for 24 h. (B) Graph showing wound distance; data are presented as the mean + standard error of the mean of at least three independent experiments. *P<0.05 and ***P<0.001 vs. U group; #P<0.05 vs. TMZ group; +++P<0.001 vs. AC group. U, untreated; TMZ, temozolomide; AC, acteoside.

Acteoside and TMZ affect apoptosis synergistically in C6 cells

The results of the western blot analysis revealed that the levels of cleaved caspase-3, Bax and phosphorylated p53 were higher and the levels of Bcl-2 were lower following combination treatment with TMZ and acteoside than following treatment with TMZ alone (Fig. 4A). Acteoside-mediated mitochondrial function and the generation of reactive oxygen species (ROS), which are key mediators of apoptotic signaling, were then observed in the TMZ-treated C6 cells. To verify mitochondrial mass, fluorescence-activated cell sorting analysis was performed using MitoTracker Green. Cotreatment with TMZ and acteoside resulted in a higher mitochondrial mass than treatment with TMZ alone (Fig. 4B). ROS generation was significantly higher following cotreatment with TMZ and acteoside than treatment with TMZ alone (Fig. 4C). These results suggest that ROS generation and mitochondrial function are important in apoptosis induced by treatment with TMZ + acteoside.

Figure 4

Acteoside and TMZ affect apoptosis synergistically in C6 cells. (A) Western blot analysis revealed the levels of cleaved caspase-3, Bax, Bcl-2, p-p53, total-p53 and β-actin in C6 cells treated with TMZ (5 mM), acteoside (50 µM), and TMZ (5 mM) + acteoside (50 µM) for 24 h. Bar graphs indicated the density of cleaved caspase-3, Bax, Bcl2, total-p53, and p-p53. (B) MitoTracker Green flucorescence was measured by FACS analysis for mitochondrial mass. MFI indicates mitochondrial mass. (C) C6 cells were stained for MitoSOX to detect ROS by FACS analysis. Bar graph shows ROS fluorescence intensity. *P<0.05, **P<0.01 and ***P<0.001 vs. untreated group; ###P<0.001 vs. TMZ group; +++P<0.001 vs. AC group. TMZ, temozolomide; AC, acteoside; Bcl-2, B-cell lymphoma 2; Bax, Bcl-2-associated X protein; p-, phosphorylated; FACS, fluorescence-activated cell sorting; MFI, mean fluorescence intensity; ROS, reactive oxygen species.

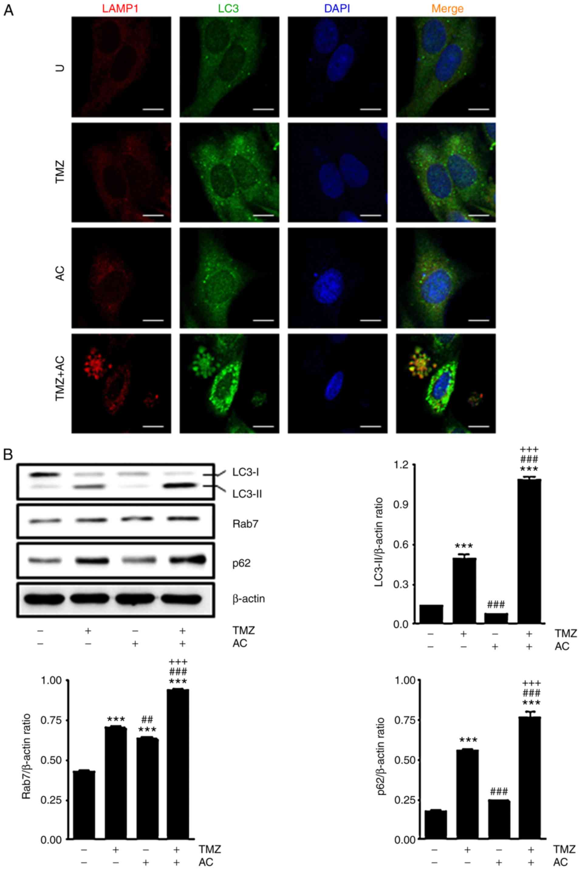
Cotreatment with TMZ and acteoside induces autophagy in C6 cells

TMZ has been reported to induce autophagy (28,29); therefore, the present study examined the extent to which autophagy was induced by TMZ + acteoside treatment. The C6 cells were treated with TMZ with or without acteoside; after 24 h, and the cells were stained for immunofluorescence to detect LAMP1 and LC3 as markers of autophagy. Higher expression levels of LAMP1 and LC3 were observed following the combination treatment (Fig. 5A). Autophagy-related protein expression was also examined, and it was found that TMZ induced the conversion of LC3-I to LC3-II, which is a signature of autophagosome generation. A higher rate of conversion of LC3-I to LC3-II was observed following cotreatment with TMZ and acteoside than treatment with TMZ alone. The expression levels of Rab7 and p62 indicated autophagy induction in the TMZ-treated cells (Fig. 5B). These findings suggest that cotreatment with TMZ and acteoside enhanced the autophagic process in glioblastoma cells.

Figure 5

Cotreatement with TMZ + acteoside induces autophagy in C6 cells. (A) Confocal microscopy shows expression of autophagosomes with anti-LAMP1 and anti-LC3 antibodies in C6 cells treated for 24 h with TMZ (5 mM) + acteoside (50 µM). Red, LAMP1; Green, LC3; Blue, DAPI. Scale bar, 10 µm. (B) Western blot analysis showing the levels of LC3, Rab7, p62 and β-actin in cells treated with acteoside with or without TMZ for 24 h. Band densities of LC3-Ⅱ, Rab7 and p63 are indicated as bar graphs. ***P<0.001 vs. Untreated group; ##P<0.01 and ###P<0.001 vs. TMZ group; +++P<0.001 vs. AC group. U, Untreated; TMZ, temozolomide; AC, acteoside. LC3, microtubule-associated protein 1 light chain 3; LAMP1, lysosomal-associated membrane protein 1; 4,6-diamidino-2-phenylindole.

Acteoside induces MAPK pathway gene expression in TMZ-based treatment

Previous studies have demonstrated that TMZ regulates the MAPK pathway, including p38, JNK and ERK (30). Therefore, the present study investigated whether acteoside affects TMZ-related MAPK gene expression. The C6 cells were treated with TMZ with or without acteoside. After 24 h, TMZ treatment resulted in higher expression levels of p-p38, p-JNK and p-ERK. The expression of TMZ-regulated genes was significantly higher following TMZ + acteoside treatment than treatment with TMZ alone (Fig. 6). These observations suggest that acteoside affects TMZ-based therapeutic mechanisms via the MAPK pathway.

Figure 6

Acteoside induces mitogen-activated protein kinase pathway gene expression in TMZ-based treatment. Western blot analysis showed the levels of p-p38, total-p38, p-JNK, total-JNK, p-ERK and total-ERK in cells treated with TMZ (5 mM) with or without acteoside (50 µM) for 24 h. The ratio of p-p38, p-JNK and p-ERK compared with total-p38, total-JNK and total-ERK, respectively, are shown in bar graphs. **P<0.01 and ***P<0.001 vs. untreated group; ###P<0.001 vs. TMZ group; +++P<0.001 vs. AC group. TMZ, temozolomide; AC, acteoside; JNK, c-Jun N-terminal kinase; ERK, exrtacellular signal-regualted kinase; p-, phosphorylated.

Discussion

The results of the present study establish that the combined treatment with TMZ with acteoside offers therapeutic potential for glioblastoma treatment, and provide evidence that chemosensitization to a combination of TMZ and acteoside can occur through autophagy enhancement. As the mutation of glioblastoma cells can lead to apoptotic pathway inactivation, the induction of autophagy by TMZ + acteoside cotreatment may represent an alternative method for glioblastoma therapy. However, whether autophagy is the sole mechanism for glioblastoma therapy with TMZ + acteoside cotreatment remains to be elucidated.

Autophagy is an essential cellular mechanism for the degradation of proteins and cytoplasmic organelles. The catabolic advantage of induced autophagy may be important in stressful conditions; therefore, the induction of autophagy may be an adaptive mechanism for cell death prevention (31-33). Previous studies have reported that reduced autophagy is correlated with cancer (34-36). In addition, several proteins and signaling pathways associated with autophagy are deregulated during malignant transformation, resulting in a reduction in autophagic activity. High expression levels of LC3 have also been associated with increased survival rates in patients with glioblastoma with poor performance scores (37,38). Similarly, the results of the present study indicate that the restoration of normal autophagy may be a latent strategy for glioblastoma therapy, and may serve as a mechanism for the restriction of abnormal tumor cell growth.

In normal autophagy, particular cytoplasmic components are isolated within autophagosomes which then fuse with a lysosome to be degraded and recycled (39,40). When autophagy is upregulated, autophagosome formation rates surpass lysosomal degradation rates; this condition is termed autophagic stress. If stress or abnormal autophagy continues, cell death can occur via energy depletion or changes in the beclin-1/Bcl-2 balance. Apoptosis can also be triggered by autophagosome hyperactivity, engulfing cytoplasmic organelles including the mitochondria or endoplasmic reticulum (41). It has been suggested that general autophagy can induce cell death during normal cytoplasmic and organelle turnover in healthy cells. In this process, the cell 'cannibalizes' itself from the inside, a key characteristic of type II programmed cell death. Although the mechanisms by which acteoside enhances the therapeutic effect of TMZ-based glioblastoma therapy remain to be fully elucidated, the anticancer effects exhibited by the combination treatment examined in the present study may be associated with these autophagic mechanisms.

Acteoside is a phenyl-ethanoid glycoside derived from plants (22,26). Previous studies have reported on the various biological activities of acteoside. The changes in the expression levels of cleaved caspase-3 and LC3 in the present study demonstrate that treatment with a combination of TMZ and acteoside induced apoptosis and autophagy in C6 cells (Figs. 4 and 5). The combination treatment was shown to have a synergistic effect on glioblastoma cells. Although other possible mechanisms of these synergistic effects remain to be elucidated, the present study identified the induction of autophagy as a crucial tumoricidal mechanism of acteoside chemosensitization during TMZ-based glioblastoma therapy.

Funding

This study was supported by the National Research Foundation of Korea (NRF) grants funded by the Korean government (MSIP; grant nos. 2016R1C1B1015811 and 2017R1D1A3B03036420).

Availability of data and materials

All data generated or analyzed during this study are included in this published article.

Authors' contributions

TWH and JJK drafted the manuscript and performed the experiments. TWH, DHK, DBK, TWJ, and GHK performed the experiments and data interpretation. KAY contributed materials/analysis tools and helped in data analysis. MM, DEC, JHP, and JJK designed the experiments, provided critical suggestions for the manuscript, and reviewed and revised the manuscript. All authors read and approved the final manuscript.

Ethics approval and consent to participate

Not applicable.

Patient consent for publication

Not applicable.

Competing interests

The authors declare that they have no competing interests.

Acknowledgments

Not applicable.

References

1 

Friedman HS, Kerby T and Calvert H: Temozolomide and treatment of malignant glioma. Clin Cancer Res. 6:2585–2597. 2000.PubMed/NCBI

2 

Mrugala MM and Chamberlain MC: Mechanisms of disease: Temozolomide and glioblastoma-look to the future. Nat Clin Pract Oncol. 5:476–486. 2008. View Article : Google Scholar : PubMed/NCBI

3 

Agarwala SS and Kirkwood JM: Temozolomide, a novel alkylating agent with activity in the central nervous system, may improve the treatment of advanced metastatic melanoma. Oncologist. 5:144–151. 2000. View Article : Google Scholar : PubMed/NCBI

4 

Stevens MF, Hickman JA, Stone R, Gibson NW, Baig GU, Lunt E and Newton CG: Antitumor imidazotetrazines. 1. Synthesis and chemistry of 8-carbamoyl-3-(2-chloroethyl)imidazo[5,1-d]-1,2,3, 5-tetrazin-4(3 H)-one, a novel broad-spectrum antitumor agent. J Med Chem. 27:196–201. 1984. View Article : Google Scholar : PubMed/NCBI

5 

Fulda S: Cell death-based treatment of glioblastoma. Cell Death Dis. 9:1212018. View Article : Google Scholar : PubMed/NCBI

6 

Chen PH, Shen WL, Shih CM, Ho KH, Cheng CH, Lin CW, Lee CC, Liu AJ and Chen KC: The CHAC1-inhibited Notch3 pathway is involved in temozolomide-induced glioma cytotoxicity. Neuropharmacology. 116:300–314. 2017. View Article : Google Scholar

7 

Oshiro S, Tsugu H, Komatsu F, Ohmura T, Ohta M, Sakamoto S, Fukushima T and Inoue T: Efficacy of temozolomide treatment in patients with high-grade glioma. Anticancer Res. 29:911–917. 2009.PubMed/NCBI

8 

van den Bent MJ: Adjuvant treatment of high grade gliomas. Ann Oncol. 17(Suppl 10): x186–x190. 2006. View Article : Google Scholar : PubMed/NCBI

9 

Shen W, Hu JA and Zheng JS: Mechanism of temozolomide-induced antitumour effects on glioma cells. J Int Med Res. 42:164–172. 2014. View Article : Google Scholar

10 

Barciszewska AM, Gurda D, Głodowicz P, Nowak S and Naskręt-Barciszewska MZ: A new epigenetic mechanism of temozolomide action in glioma cells. PLoS One. 10:e01366692015. View Article : Google Scholar : PubMed/NCBI

11 

Cai X and Sughrue ME: Glioblastoma: New therapeutic strategies to address cellular and genomic complexity. Oncotarget. 9:9540–9554. 2018. View Article : Google Scholar : PubMed/NCBI

12 

Zhang J, Stevens MF and Bradshaw TD: Temozolomide: Mechanisms of action, repair and resistance. Curr Mol Pharmacol. 5:102–114. 2012. View Article : Google Scholar

13 

Johannessen TC and Bjerkvig R: Molecular mechanisms of temozolomide resistance in glioblastoma multiforme. Expert Rev Anticancer Ther. 12:635–642. 2012. View Article : Google Scholar : PubMed/NCBI

14 

Yan Y, Xu Z, Dai S, Qian L, Sun L and Gong Z: Targeting autophagy to sensitive glioma to temozolomide treatment. J Exp Clin Cancer Res. 35:232016. View Article : Google Scholar : PubMed/NCBI

15 

Bak DH, Kang SH, Choi DR, Gil MN, Yu KS, Jeong JH, Lee NS, Lee JH, Jeong YG, Kim DK, et al: Autophagy enhancement contributes to the synergistic effect of vitamin D in temozolomide-based glioblastoma chemotherapy. Exp Ther Med. 11:2153–2162. 2016. View Article : Google Scholar : PubMed/NCBI

16 

Li C, Liu Y, Liu H, Zhang W, Shen C, Cho K, Chen X, Peng F, Bi Y, Hou X, et al: Impact of autophagy inhibition at different stages on cytotoxic effect of autophagy inducer in glioblastoma cells. Cell Physiol Biochem. 35:1303–1316. 2015. View Article : Google Scholar : PubMed/NCBI

17 

Ni H, Gong Y, Yan JZ and Zhang LL: Autophagy inhibitor 3-methyladenine regulates the expression of LC3, Beclin-1 and ZnTs in rat cerebral cortex following recurrent neonatal seizures. World J Emerg Med. 1:216–223. 2010.PubMed/NCBI

18 

Xie Z and Klionsky DJ: Autophagosome formation: Core machinery and adaptations. Nat Cell Biol. 9:1102–1109. 2007. View Article : Google Scholar : PubMed/NCBI

19 

Gutierrez MG, Master SS, Singh SB, Taylor GA, Colombo MI and Deretic V: Autophagy is a defense mechanism inhibiting BCG and Mycobacterium tuberculosis survival in infected macrophages. Cell. 119:753–766. 2004. View Article : Google Scholar : PubMed/NCBI

20 

Wu YT, Wu MT, Lin CC, Chien CF and Tsai TH: Pharmacokinetic studies of chinese medicinal herbs using an automated blood sampling system and liquid chromatography-mass spectrometry. J Tradit Complement Med. 2:33–40. 2012. View Article : Google Scholar : PubMed/NCBI

21 

Inoue M, Sakuma Z, Ogihara Y and Saracoglu I: Induction of apoptotic cell death in HL-60 cells by acteoside, a phenylpropanoid glycoside. Biol Pharm Bull. 21:81–83. 1998. View Article : Google Scholar : PubMed/NCBI

22 

Ohno T, Inoue M, Ogihara Y and Saracoglu I: Antimetastatic activity of acteoside, a phenylethanoid glycoside. Biol Pharm Bull. 25:666–668. 2002. View Article : Google Scholar : PubMed/NCBI

23 

Lee KJ, Woo ER, Choi CY, Shin DW, Lee DG, You HJ and Jeong HG: Protective effect of acteoside on carbon tetrachloride-induced hepatotoxicity. Life Sci. 74:1051–1064. 2004. View Article : Google Scholar

24 

Peerzada KJ, Faridi AH, Sharma L, Bhardwaj SC, Satti NK, Shashi B and Tasduq SA: Acteoside-mediates chemoprevention of experimental liver carcinogenesis through STAT-3 regulated oxidative stress and apoptosis. Environ Toxicol. 31:782–798. 2016. View Article : Google Scholar : PubMed/NCBI

25 

Zhao J, Liu T, Ma L, Yan M, Zhao Y, Gu Z and Huang Y: Protective effect of acteoside on immunological liver injury induced by Bacillus Calmette-Guerin plus lipopolysaccharide. Planta Med. 75:1463–1469. 2009. View Article : Google Scholar : PubMed/NCBI

26 

Xiong Q, Hase K, Tezuka Y, Tani T, Namba T and Kadota S: Hepatoprotective activity of phenylethanoids from Cistanche deserticola. Planta Med. 64:120–125. 1998. View Article : Google Scholar : PubMed/NCBI

27 

Koh DS, Seo BS and Lee CH: Studies on the in vitro induction of callus from anther culture of Abeliophyllum distichum. J Chonbuk Natl Univ. 31:153–159. 1989.In Korean.

28 

Würstle S, Schneider F, Ringel F, Gempt J, Lämmer F, Delbridge C, Wu W and Schlegel J: Temozolomide induces autophagy in primary and established glioblastoma cells in an EGFR independent manner. Oncol Lett. 14:322–328. 2017. View Article : Google Scholar : PubMed/NCBI

29 

Koukourakis MI, Mitrakas AG and Giatromanolaki A: Therapeutic interactions of autophagy with radiation and temozolomide in glioblastoma: Evidence and issues to resolve. Br J Cancer. 114:485–496. 2016. View Article : Google Scholar : PubMed/NCBI

30 

Chen Y, Gao F, Jiang R, Liu H, Hou J, Yi Y, Kang L, Liu X, Li Y and Yang M: Down-regulation of AQP4 expression via p38 MAPK signaling in temozolomide-induced glioma cells growth inhibition and invasion impairment. J Cell Biochem. 118:4905–4913. 2017. View Article : Google Scholar : PubMed/NCBI

31 

He C and Klionsky DJ: Regulation mechanisms and signaling pathways of autophagy. Annu Rev Genet. 43:67–93. 2009. View Article : Google Scholar : PubMed/NCBI

32 

Bento CF, Renna M, Ghislat G, Puri C, Ashkenazi A, Vicinanza M, Menzies FM and Rubinsztein DC: Mammalian autophagy: How does it work? Annu Rev Biochem. 85:685–713. 2016. View Article : Google Scholar : PubMed/NCBI

33 

Levine B, Mizushima N and Virgin HW: Autophagy in immunity and inflammation. Nature. 469:323–335. 2011. View Article : Google Scholar : PubMed/NCBI

34 

Fulda S: Autophagy in Cancer Therapy. Front Oncol. 7:1282017. View Article : Google Scholar : PubMed/NCBI

35 

Levy JMM, Towers CG and Thorburn A: Targeting autophagy in cancer. Nat Rev Cancer. 17:528–542. 2017. View Article : Google Scholar : PubMed/NCBI

36 

White E: The role for autophagy in cancer. J Clin Invest. 125:42–46. 2015. View Article : Google Scholar : PubMed/NCBI

37 

Aoki H, Kondo Y, Aldape K, Yamamoto A, Iwado E, Yokoyama T, Hollingsworth EF, Kobayashi R, Hess K, Shinojima N, et al: Monitoring autophagy in glioblastoma with antibody against isoform B of human microtubule-associated protein 1 light chain 3. Autophagy. 4:467–475. 2008. View Article : Google Scholar : PubMed/NCBI

38 

Cj P, Hv E, Vijayakurup V, R Menon G, Nair S and Gopala S: High LC3/beclin expression correlates with poor survival in glioma: A definitive role for autophagy as evidenced by in vitro autophagic flux. Pathol Oncol Res. Oct 11–2017.PubMed/NCBI

39 

Monastyrska I and Klionsky DJ: Autophagy in organelle homeostasis: Peroxisome turnover. Mol Aspects Med. 27:483–494. 2006. View Article : Google Scholar : PubMed/NCBI

40 

Farre JC and Subramani S: Peroxisome turnover by micropexophagy: An autophagy-related process. Trends Cell Biol. 14:515–523. 2004. View Article : Google Scholar : PubMed/NCBI

41 

Singh R and Cuervo AM: Autophagy in the cellular energetic balance. Cell Metab. 13:495–504. 2011. View Article : Google Scholar : PubMed/NCBI

Related Articles

  • Abstract
  • View
  • Download
  • Twitter
Copy and paste a formatted citation
Spandidos Publications style
Hwang TW, Kim DH, Kim DB, Jang TW, Kim GH, Moon M, Yoon KA, Choi DE, Park JH, Kim JJ, Kim JJ, et al: Synergistic anticancer effect of acteoside and temozolomide-based glioblastoma chemotherapy. Int J Mol Med 43: 1478-1486, 2019.
APA
Hwang, T.W., Kim, D.H., Kim, D.B., Jang, T.W., Kim, G., Moon, M. ... Kim, J. (2019). Synergistic anticancer effect of acteoside and temozolomide-based glioblastoma chemotherapy. International Journal of Molecular Medicine, 43, 1478-1486. https://doi.org/10.3892/ijmm.2019.4061
MLA
Hwang, T. W., Kim, D. H., Kim, D. B., Jang, T. W., Kim, G., Moon, M., Yoon, K. A., Choi, D. E., Park, J. H., Kim, J."Synergistic anticancer effect of acteoside and temozolomide-based glioblastoma chemotherapy". International Journal of Molecular Medicine 43.3 (2019): 1478-1486.
Chicago
Hwang, T. W., Kim, D. H., Kim, D. B., Jang, T. W., Kim, G., Moon, M., Yoon, K. A., Choi, D. E., Park, J. H., Kim, J."Synergistic anticancer effect of acteoside and temozolomide-based glioblastoma chemotherapy". International Journal of Molecular Medicine 43, no. 3 (2019): 1478-1486. https://doi.org/10.3892/ijmm.2019.4061
Copy and paste a formatted citation
x
Spandidos Publications style
Hwang TW, Kim DH, Kim DB, Jang TW, Kim GH, Moon M, Yoon KA, Choi DE, Park JH, Kim JJ, Kim JJ, et al: Synergistic anticancer effect of acteoside and temozolomide-based glioblastoma chemotherapy. Int J Mol Med 43: 1478-1486, 2019.
APA
Hwang, T.W., Kim, D.H., Kim, D.B., Jang, T.W., Kim, G., Moon, M. ... Kim, J. (2019). Synergistic anticancer effect of acteoside and temozolomide-based glioblastoma chemotherapy. International Journal of Molecular Medicine, 43, 1478-1486. https://doi.org/10.3892/ijmm.2019.4061
MLA
Hwang, T. W., Kim, D. H., Kim, D. B., Jang, T. W., Kim, G., Moon, M., Yoon, K. A., Choi, D. E., Park, J. H., Kim, J."Synergistic anticancer effect of acteoside and temozolomide-based glioblastoma chemotherapy". International Journal of Molecular Medicine 43.3 (2019): 1478-1486.
Chicago
Hwang, T. W., Kim, D. H., Kim, D. B., Jang, T. W., Kim, G., Moon, M., Yoon, K. A., Choi, D. E., Park, J. H., Kim, J."Synergistic anticancer effect of acteoside and temozolomide-based glioblastoma chemotherapy". International Journal of Molecular Medicine 43, no. 3 (2019): 1478-1486. https://doi.org/10.3892/ijmm.2019.4061
Follow us
  • Twitter
  • LinkedIn
  • Facebook
About
  • Spandidos Publications
  • Careers
  • Cookie Policy
  • Privacy Policy
How can we help?
  • Help
  • Live Chat
  • Contact
  • Email to our Support Team