Spandidos Publications Logo
  • About
    • About Spandidos
    • Aims and Scopes
    • Abstracting and Indexing
    • Editorial Policies
    • Reprints and Permissions
    • Job Opportunities
    • Terms and Conditions
    • Contact
  • Journals
    • All Journals
    • Oncology Letters
      • Oncology Letters
      • Information for Authors
      • Editorial Policies
      • Editorial Board
      • Aims and Scope
      • Abstracting and Indexing
      • Bibliographic Information
      • Archive
    • International Journal of Oncology
      • International Journal of Oncology
      • Information for Authors
      • Editorial Policies
      • Editorial Board
      • Aims and Scope
      • Abstracting and Indexing
      • Bibliographic Information
      • Archive
    • Molecular and Clinical Oncology
      • Molecular and Clinical Oncology
      • Information for Authors
      • Editorial Policies
      • Editorial Board
      • Aims and Scope
      • Abstracting and Indexing
      • Bibliographic Information
      • Archive
    • Experimental and Therapeutic Medicine
      • Experimental and Therapeutic Medicine
      • Information for Authors
      • Editorial Policies
      • Editorial Board
      • Aims and Scope
      • Abstracting and Indexing
      • Bibliographic Information
      • Archive
    • International Journal of Molecular Medicine
      • International Journal of Molecular Medicine
      • Information for Authors
      • Editorial Policies
      • Editorial Board
      • Aims and Scope
      • Abstracting and Indexing
      • Bibliographic Information
      • Archive
    • Biomedical Reports
      • Biomedical Reports
      • Information for Authors
      • Editorial Policies
      • Editorial Board
      • Aims and Scope
      • Abstracting and Indexing
      • Bibliographic Information
      • Archive
    • Oncology Reports
      • Oncology Reports
      • Information for Authors
      • Editorial Policies
      • Editorial Board
      • Aims and Scope
      • Abstracting and Indexing
      • Bibliographic Information
      • Archive
    • Molecular Medicine Reports
      • Molecular Medicine Reports
      • Information for Authors
      • Editorial Policies
      • Editorial Board
      • Aims and Scope
      • Abstracting and Indexing
      • Bibliographic Information
      • Archive
    • World Academy of Sciences Journal
      • World Academy of Sciences Journal
      • Information for Authors
      • Editorial Policies
      • Editorial Board
      • Aims and Scope
      • Abstracting and Indexing
      • Bibliographic Information
      • Archive
    • International Journal of Functional Nutrition
      • International Journal of Functional Nutrition
      • Information for Authors
      • Editorial Policies
      • Editorial Board
      • Aims and Scope
      • Abstracting and Indexing
      • Bibliographic Information
      • Archive
    • International Journal of Epigenetics
      • International Journal of Epigenetics
      • Information for Authors
      • Editorial Policies
      • Editorial Board
      • Aims and Scope
      • Abstracting and Indexing
      • Bibliographic Information
      • Archive
    • Medicine International
      • Medicine International
      • Information for Authors
      • Editorial Policies
      • Editorial Board
      • Aims and Scope
      • Abstracting and Indexing
      • Bibliographic Information
      • Archive
  • Articles
  • Information
    • Information for Authors
    • Information for Reviewers
    • Information for Librarians
    • Information for Advertisers
    • Conferences
  • Language Editing
Spandidos Publications Logo
  • About
    • About Spandidos
    • Aims and Scopes
    • Abstracting and Indexing
    • Editorial Policies
    • Reprints and Permissions
    • Job Opportunities
    • Terms and Conditions
    • Contact
  • Journals
    • All Journals
    • Biomedical Reports
      • Information for Authors
      • Editorial Policies
      • Editorial Board
      • Aims and Scope
      • Abstracting and Indexing
      • Bibliographic Information
      • Archive
    • Experimental and Therapeutic Medicine
      • Information for Authors
      • Editorial Policies
      • Editorial Board
      • Aims and Scope
      • Abstracting and Indexing
      • Bibliographic Information
      • Archive
    • International Journal of Epigenetics
      • Information for Authors
      • Editorial Policies
      • Editorial Board
      • Aims and Scope
      • Abstracting and Indexing
      • Bibliographic Information
      • Archive
    • International Journal of Functional Nutrition
      • Information for Authors
      • Editorial Policies
      • Editorial Board
      • Aims and Scope
      • Abstracting and Indexing
      • Bibliographic Information
      • Archive
    • International Journal of Molecular Medicine
      • Information for Authors
      • Editorial Policies
      • Editorial Board
      • Aims and Scope
      • Abstracting and Indexing
      • Bibliographic Information
      • Archive
    • International Journal of Oncology
      • Information for Authors
      • Editorial Policies
      • Editorial Board
      • Aims and Scope
      • Abstracting and Indexing
      • Bibliographic Information
      • Archive
    • Medicine International
      • Information for Authors
      • Editorial Policies
      • Editorial Board
      • Aims and Scope
      • Abstracting and Indexing
      • Bibliographic Information
      • Archive
    • Molecular and Clinical Oncology
      • Information for Authors
      • Editorial Policies
      • Editorial Board
      • Aims and Scope
      • Abstracting and Indexing
      • Bibliographic Information
      • Archive
    • Molecular Medicine Reports
      • Information for Authors
      • Editorial Policies
      • Editorial Board
      • Aims and Scope
      • Abstracting and Indexing
      • Bibliographic Information
      • Archive
    • Oncology Letters
      • Information for Authors
      • Editorial Policies
      • Editorial Board
      • Aims and Scope
      • Abstracting and Indexing
      • Bibliographic Information
      • Archive
    • Oncology Reports
      • Information for Authors
      • Editorial Policies
      • Editorial Board
      • Aims and Scope
      • Abstracting and Indexing
      • Bibliographic Information
      • Archive
    • World Academy of Sciences Journal
      • Information for Authors
      • Editorial Policies
      • Editorial Board
      • Aims and Scope
      • Abstracting and Indexing
      • Bibliographic Information
      • Archive
  • Articles
  • Information
    • For Authors
    • For Reviewers
    • For Librarians
    • For Advertisers
    • Conferences
  • Language Editing
Login Register Submit
  • This site uses cookies
  • You can change your cookie settings at any time by following the instructions in our Cookie Policy. To find out more, you may read our Privacy Policy.

    I agree
Search articles by DOI, keyword, author or affiliation
Search
Advanced Search
presentation
Molecular Medicine Reports
Join Editorial Board Propose a Special Issue
Print ISSN: 1791-2997 Online ISSN: 1791-3004
Journal Cover
May-2017 Volume 15 Issue 5

Full Size Image

Sign up for eToc alerts
Recommend to Library

Journals

International Journal of Molecular Medicine

International Journal of Molecular Medicine

International Journal of Molecular Medicine is an international journal devoted to molecular mechanisms of human disease.

International Journal of Oncology

International Journal of Oncology

International Journal of Oncology is an international journal devoted to oncology research and cancer treatment.

Molecular Medicine Reports

Molecular Medicine Reports

Covers molecular medicine topics such as pharmacology, pathology, genetics, neuroscience, infectious diseases, molecular cardiology, and molecular surgery.

Oncology Reports

Oncology Reports

Oncology Reports is an international journal devoted to fundamental and applied research in Oncology.

Experimental and Therapeutic Medicine

Experimental and Therapeutic Medicine

Experimental and Therapeutic Medicine is an international journal devoted to laboratory and clinical medicine.

Oncology Letters

Oncology Letters

Oncology Letters is an international journal devoted to Experimental and Clinical Oncology.

Biomedical Reports

Biomedical Reports

Explores a wide range of biological and medical fields, including pharmacology, genetics, microbiology, neuroscience, and molecular cardiology.

Molecular and Clinical Oncology

Molecular and Clinical Oncology

International journal addressing all aspects of oncology research, from tumorigenesis and oncogenes to chemotherapy and metastasis.

World Academy of Sciences Journal

World Academy of Sciences Journal

Multidisciplinary open-access journal spanning biochemistry, genetics, neuroscience, environmental health, and synthetic biology.

International Journal of Functional Nutrition

International Journal of Functional Nutrition

Open-access journal combining biochemistry, pharmacology, immunology, and genetics to advance health through functional nutrition.

International Journal of Epigenetics

International Journal of Epigenetics

Publishes open-access research on using epigenetics to advance understanding and treatment of human disease.

Medicine International

Medicine International

An International Open Access Journal Devoted to General Medicine.

Journal Cover
May-2017 Volume 15 Issue 5

Full Size Image

Sign up for eToc alerts
Recommend to Library

  • Article
  • Citations
    • Cite This Article
    • Download Citation
    • Create Citation Alert
    • Remove Citation Alert
    • Cited By
  • Similar Articles
    • Related Articles (in Spandidos Publications)
    • Similar Articles (Google Scholar)
    • Similar Articles (PubMed)
  • Download PDF
  • Download XML
  • View XML
Article

Protective effects of oleanolic acid on oxidative stress and the expression of cytokines and collagen by the AKT/NF‑κB pathway in silicotic rats

  • Authors:
    • Hai‑Bing Peng
    • Rui‑Xun Wang
    • Hai‑Jing Deng
    • Yong‑Heng Wang
    • Jun‑Dong Tang
    • Fu‑Yuan Cao
    • Jian‑Hui Wang
  • View Affiliations / Copyright

    Affiliations: Medical Experimental Center of Jitang College, North China University of Science and Technology, Tangshan, Hebei 063210, P.R. China, Functional Laboratory of School of Basic Medical Sciences, North China University of Science and Technology, Tangshan, Hebei 063210, P.R. China, Department of Pathogen and Microbiology, School of Basic Medical Sciences, North China University of Science and Technology, Tangshan, Hebei 063210, P.R. China, Department of Clinical Medical, Jitang College, North China University of Science and Technology, Tangshan, Hebei 063210, P.R. China, Laboratory Animal Center, North China University of Science and Technology, Tangshan, Hebei 063210, P.R. China
  • Pages: 3121-3128
    |
    Published online on: March 28, 2017
       https://doi.org/10.3892/mmr.2017.6402
  • Expand metrics +
Metrics: Total Views: 0 (Spandidos Publications: | PMC Statistics: )
Metrics: Total PDF Downloads: 0 (Spandidos Publications: | PMC Statistics: )
Cited By (CrossRef): 0 citations Loading Articles...

This article is mentioned in:



Abstract

Oleanolic acid (OA), a natural pentacyclic triterpenoid, has been reported to have several benefits and medicinal properties. However, its protective effects against silica‑induced lung injury and fibrosis remain to be elucidated. The aim of the present study was to investigate the effects of OA on oxidative stress, and the expression of cytokines and collagen in silicotic rats. Male rats were induced by intratracheal instillation of silicosis (250 mg/kg), with the exception of the control group (NS). The rats in the OA group were intragastrically administered with OA (60 mg/kg/d). The rats in the solvent control group were gavaged daily with 0.6% sodium carboxymethyl cellulose (10 ml/kg) solution for 56 consecutive days. The data showed that OA significantly attenuated the extent of silicosis fibrosis by histopathologic analysis of the lung tissues. In addition, oxidative stress activated by silica exposure, as evidenced by increasing of malondialdehyde content, and activities of superoxide dismutase and glutathione peroxidase in the lung, was regulated by treatment with OA. Furthermore, enzyme‑linked immunosorbent assay analysis showed that OA significantly decreased the levels of tumor necrosis factor‑α and transforming growth factor‑β1. Immunohistochemistry analysis showed that OA significantly decreased collagen types I and III. In investigating the mechanisms underlying the action of OA, it was found that OA decreased the level of phosphorylated AKT1, which in turn inactivated the transcriptional of nuclear factor (NF)‑κB in the development and progress of silicosis. In conclusion, these results suggested that the protective effects of OA were due, at least in part, to its anti‑oxidant activity and its ability to decrease the expression of cytokines and collagen by modulating the AKT/NF‑κB pathway.

Introduction

Silicosis, a form of occupational lung disease caused by the inhalation of crystalline silica dust, is characterized by silicotic nodule formation and pulmonary interstitial fibrosis (1). Occupational exposure to respirable crystalline silica dust particles occurs in sand blasting, drilling, pulverizing, cutting bricks and concrete blocks, grinding concrete and use of other pneumatic equipment (2) every year, therefore, silicosis is an occupational health concern in developing and developed countries (3,4). In China, ~20,000 cases of pneumoconiosis are diagnosed each year, and silicosis is the most common, fastest progressing and serious type (5). The pathological process of silicosis includes progressive inflammation, fibroblast proliferation and collagen deposition. In the initial inflammatory responses, alveolar macrophages, the first cells responded to stimuli of the body, are important. Following exposure to silica, a number of macrophages undergo apoptosis, resulting in the production of reactive oxygen species (ROS), which include hydroxyl radicals, superoxide anions, hydrogen peroxide, singlet oxygen (6,7) and nitric oxide (NO) (8). The generation of oxidants results in cell and lung damage; increase the expression of inflammatory cytokines, including tumor necrosis factor (TNF)-α, interleukin (IL)-1β, and transforming growth factor (TGF)-β; activate cell signaling pathways, including the mitogen-activated protein kinase pathways; and phosphorylate and activate specific transcription factors, including nuclear factor (NF)-κB, which intensifies chronic inflammation and promotes pulmonary fibroblasts to proliferate and synthesize excess collagen (1).

Oleanolic acid (3β-hydroxyolean-12-en-28-oic acid; OA) is a plant-derived pentacyclic terpenoid, which exists naturally in vegetable oil, food and certain medicinal herbs either as a free acid, or as an aglycone of triterpenoid saponins (9). It has been shown to exhibit numerous pharmacological properties, including hepatoprotective, anti-oxidative, anti-inflammatory and anticancer activities. Therefore, OA and its derivatives possess a wide range of applications (10). It has been reported that OA may exert beneficial effects on renal and liver fibrosis by activating nuclear factor, erythroid 2 like 2 (11) and has been used as an oral treatment for human liver dysfunction in China (10). However, the effectiveness of OA in the treatment of fibrotic lung diseases, including silicosis, remains to be elucidated. It has been reported that the phosphatidylinositol-3-kinase (PI3K)/Akt pathway is the most important pathway for the fibroblast to myofibroblast differentiation of normal and diseased primary human lung fibroblasts (12). The present study aimed to investigate the protective effects of OA in an experimental model of silica-induced inflammation and fibrosis by examining the oxidation/antioxidant system, TNF-α, TGF-β1, Akt/NF-κB and collagen.

Materials and methods

Materials

OA (purity >99.9%; cat. no. 110742-200513) was purchased from the National Institutes for Food and Drug Control (Beijing, China) and was suspended in 0.6% sodium carboxymethyl cellulose for use. Crystalline SiO2 (~95%; 1–5 µm), obtained from the National Institute of Occupational Health and Poison Control, Chinese Center for Disease Control and Prevention (Beijing, China), were subjected to grinding, and heating for at 180°C for 6 h, followed by dilution with sterile saline to a concentration of 50 mg/ml in suspension, autoclaved and stored at 4°C. Enzyme-linked immunosorbent assay (ELISA) kits, malondialdehyde (MDA), superoxide dismutase (SOD) and glutathione (GSH) test kits, and Masson's stain were purchased from Nanjing Jiancheng Bioengineering Institute (Nanjing, China). Phosphorylated (p-)AKT1 (phospho S473; cat. no. ab81283) and AKT (cat. no. ab28422) antibody were purchased from Abcam (Cambridge, MA, USA). NF-κB antibody (cat. no. sc-8008) was purchased from Santa Cruz Biotechnology, Inc. (Dallas, TX, USA).

Animals and treatment

A total of 96 male adult Wistar rats (aged 6–8 weeks and weighing 180–200 g) were purchased from Vital River Laboratory Animal Technology Co., Ltd. (Beijing, China). The animal experiments were reviewed and approved by the Institutional Animal Care and Use Committee at the North China University of Science and Technology (Tangshan, China). The animals received food and water according to guidelines set by the National Institutes of Health (Bethesda, MD, USA) and were housed in an air-conditioned room with a 12-h light/dark cycle at constant temperature (21°C) and 55% humidity for at least 1 week prior to the experiments.

The rats were divided into four groups according to the randomized block design, namely, a control group, model group, solvent control group and OA group, with 24 rats in each group. With the exception of the rats in the control group, the rats were induced by intratracheal instillation of SiO2 (250 mg/kg). The rats in the OA group were intragastrically administered with OA (60 mg/kg) daily from the second day following SiO2 administration. The rats in the solvent control group were gavaged daily with 0.6% sodium carboxymethyl cellulose (10 ml/kg) solution, whereas the rats in the control group were gavaged with physiological saline in the same conditions for 56 consecutive days. The rats (n=6/group) were sacrificed on days 7, 14, 28 and 56. Blood samples were collected into heparinized tubes via the abdominal aorta at the four distinct time points. The blood samples were immediately centrifuged at 3,000 × g for 10 min at room temperature, and the serum was frozen at −80°C for subsequent analyses. The lung tissues were immediately perfused with physiological saline solution to removed blood cells. Then right lower lobe tissues were removed and stored at −80°C for western blot analysis, and the right upper lobes were used for the determination of hydroxyproline. The left lung tissues were fixed in paraformaldehyde for the assessment of morphological changes using hematoxylin and eosin (HE) staining and Masson's staining with immunohistochemical analysis.

Analysis of the oxidation/antioxidant system

The oxidation/antioxidant system includes MDA, SOD and GSH peroxidase (GHS-Px). The MDA content and activities of SOD/GSH-Px in serum samples were assayed using MDA and SOD/GSH-Px test kits according to the manufacturer's protocol (Nanjing Jiancheng Bioengineering Institute). MDA, the end product of lipid peroxidation of cells, condenses with thiobarbituric acid to form a product with a maximum absorption at 532 nm, therefore, the MDA content in the samples was determined by comparing the optical density (O.D.) of the samples to the standard substance. SOD and GSH-Px, two important antioxidant enzymes, can scavenge free radicals and inhibit lipid peroxidation. The activities of SOD and GSH-Px activity are expressed in units, with 1 unit defined as 50% inhibition of nitrite formation. SOD can inhibit the hydroxylamines of superoxide radical anions oxidized to form nitrite, and appear violet with a color reagent; the change in absorbance was recorded at 550 nm. The activity of GSH-Px was determined using the disulfide-nitrobenzoic acid direct method and compared at the O.D. at 412 nm with the standard substance.

Analysis of the levels of TNF-α and TGF-β1

The serum contents of TNF-α and TGF-β1 were detected using ELISA, according to the manufacturer's protocol (Wuhan Boster Biological Technology, Ltd., Wuhan, China). The anti-rat TNF-α (cat. no. EK0526) or TGF-β1 (cat. no. EK0514) specific antibody was coated on the ELISA plates. The standards and samples were pipetted into the wells and the TNF-α/TGF-β1 present in the sample bound to the wells by the immobilized antibody. The liquid was removed from the wells and biotinylated anti-rat TNF-α or TGF-β1 antibody (1:100 dilution, at 37°C for 60 min) was added. Following washing away unbound biotinylated antibody, HRP-conjugated streptavidin was pipetted into the wells for 30 min at 37°C. The wells were again washed, and TMB color liquid was added to the wells for 20 min at 37°C, with color developing in proportion to the level of TNF-α (TGF-β1) bound. The stop solution alters the color from blue to yellow, and the intensity of the color was measured at 450 nm. The placental TNF-α/TGF-β1 levels were calculated as pg/ml using the standard curve.

Determination of collagen content

The content of collagen in the right upper lobe lung tissue was determined using a hydroxyproline assay according to the manufacturer's protocol (Nianjing Jiancheng Bioengineering Institute.). Briefly, the lung tissue samples (80 mg) were hydrolyzed in boiling water for 5 h. Following addition of the immobilized reagents, the mixture was placed in 60°C water for 15 min and centrifuged at 3,000 × g for 15 min at room temperature after cooled down. The hydroxyproline content of the supernatant was quantified by spectrophotometry at 550 nm. The data are expressed as collagen (µg)/wet weight (mg).

Immunohistochemical analysis of AKT1-phospho S473, NF-κB, and collagen types I and II

The immunohistochemistry used Streptavidin-peroxidase Histostain TM-Plus kits (cat. no. SP-9000; OriGene Technologies, Inc., Beijing, China). The important stages were as follows: Paraffin-embedded sections (5 µm) were deparaffinized, rehydrated and underwent removal of endogenous peroxidase with 3% H2O2. Following incubation with goat serum working solution, the working solution was discarded and the tissue sections were incubated with primary antibodies against AKT1-phospho S473 (1:200; Abcam), NF-κB (1:200; Santa Cruz Biotechnology, Inc.), and collagen type I (cat. no. BA0325) and III (cat. no. BA0326; 1:200; Wuhan Boster Biological Technology, Ltd.) overnight at 4°C, followed by the biotinylated secondary antibody at 37°C for 15 min and streptavidin-peroxidase at 37°C for 15 min. Immunoreactivity was visualized with DAB (Fuzhou Maixin Biotech. Co., Ltd., Fuzhou, China). Brown color staining was considered a positive result. Sections were counterstained with hematoxylin and images were captured from six separate randomly selected fields using Olympus FV1000 (magnification ×400; Olympus Inc., Center Valley, PA, USA). Quantitative analysis was performed in a blinded-manner using an automatic image analysis system at Beijing University of Aeronautics and Astronautics (Beijing, China), with the average O.D. values as quantitative indicators.

Western blot analysis of AKT1 and AKT1-phospho S473

The middle lobe of the right lung (100 mg) was lysed with RIPA lysis buffer (1 ml), and then centrifuged at 10,000 × g for 15 min at 4°C. The supernatant was collected and protein content was determined using a protein assay kit (Beyotime Institute of Biotechnology, Tianjin, China). The proteins (10 µg) were separated by 10% SDS-PAGE under a constant voltage of 120 V for 2 h, and then transferred onto a polyvinylidene fluoride membrane at a constant electric current of 250 mA for 30 min (Bio-Rad Laboratories, Inc., Hercules, CA, USA). Following blocking with 5% non-fat dry milk, the membranes were incubated at 4°C overnight with primary antibodies at the following dilution ratios: GAPDH antibody (cat. no. sc-25778, 1:2,000; Santa Cruz Biotechnology, Inc.); anti-AKT1-phospho S473 antibody (1:5,000; Abcam); anti-AKT1 antibody (1:5,000; Abcam). The membranes were then washed three times with PBST and incubated with HRP-conjugated anti-rabbit IgG antibody (cat. no. 074-1506, 1:5,000; KPL, Inc., Gaithersburg, MD, USA) for 2 h at room temperature, followed by washing with PBST. The proteins were visualized using chemiluminescence (ECL; Beyotime Institute of Biotechnology).

Statistical analysis

All data are expressed as the mean ± standard deviation. SPSS 17.0 software (SPSS, Inc., Chicago, IL, USA) was used to perform statistical analyses. Multiple group comparisons were performed using one-way analysis of variance followed by pair-wise comparison with the Student's t-test. P<0.05 was considered to indicate a statistically significant difference.

Results

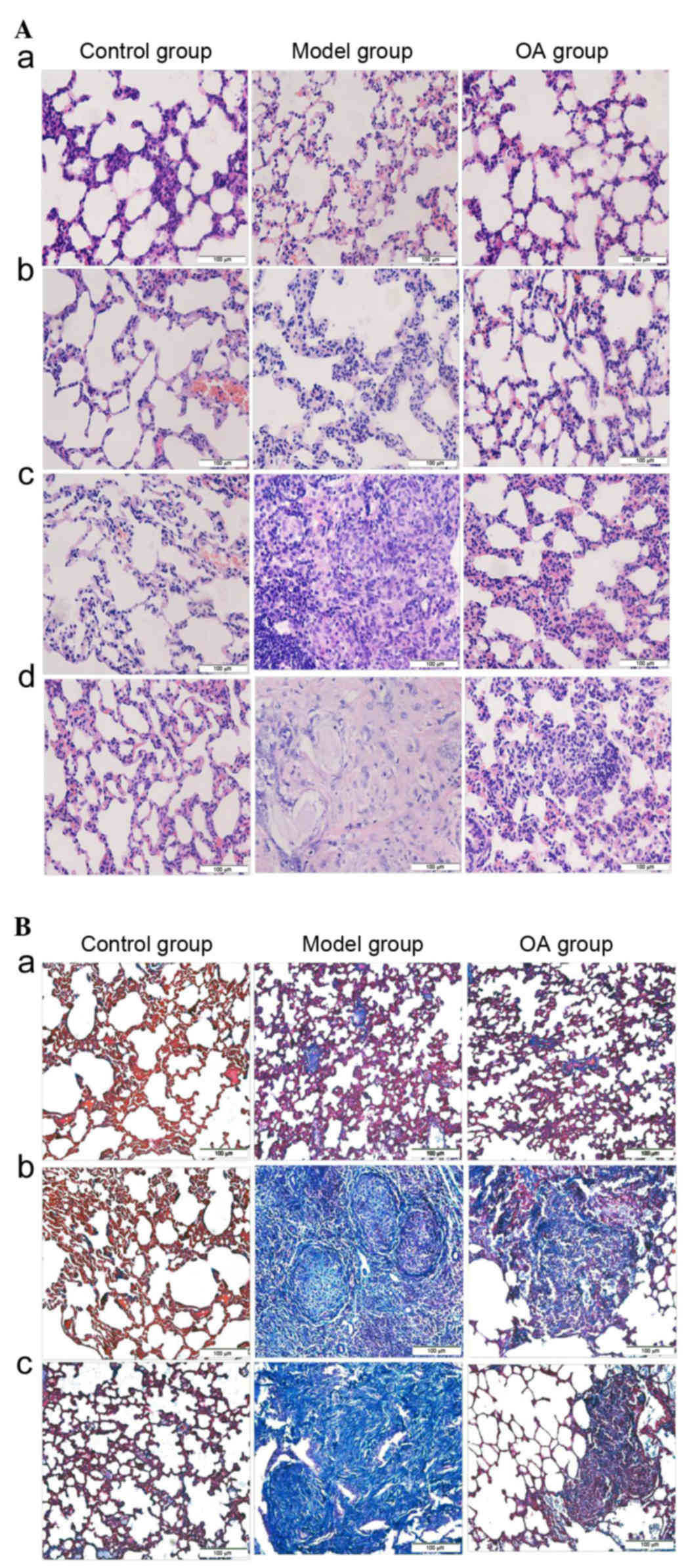
Effect of OA on histopathologic changes in the lungs

Pathological changes in the lung tissues of the rats were observed by light microscopy with HE and Masson's staining. As shown in Fig. 1Aa-d, the lungs of the rats in the control group, which received physiological saline, had a thin alveolar septum without significant inflammation and no obvious abnormalities shown by the HE stain. However, in the model group and solvent control group, at day 14 post-instillation, there was marked infiltration of inflammatory cells and alveolar septum thickening in the lungs, with occasional small numbers of cellular nodules (stage I; and Table I). At 28 days, primarily cellular nodules (stage I+) and fibrotic cellular nodules (stage II+) were observed. At 56 days, fibrous nodules were integrated with each other, there were more fibrotic cellular nodules (stages II+ and III). By contrast, OA treatment significantly reduced inflammatory cell infiltration and alveolar septum thickening at 14 days; the size and number of cellular nodules (stage I+) were decreased at 28 and 56 days. Masson's staining (Fig. 1Ba-c) showed: blue collagen fibers, red muscle fibers, cytoplasm and red blood cells, and brown nuclei. In the control group, there was a small quantity of blue collagen fiber around the bronchial and alveolar septum area during the investigation. In the model group and solvent control group, diffuse collagen fibers were increased and arranged irregularly in the nodules at 28 days; increased collagen deposition was present, which was arranged in concentric circles, at 56 days; lung fibrosis was aggravated. OA treatment significantly reduced collagen fibers, in small sections or small bundles. These results indicated that the silicosis model was successfully constructed and that OA exerted a significant protective effect.

Figure 1.

Morphological observation of lung tissue in each group. (A) Morphological observation of lung tissue with hematoxylin and eosin stain (magnification×100) on (a) day 7; (b) day 14; (c) day 28; (d) day 56. (B) The morphological observations of lung tissue using Masson's stain (magnification, ×100) on (a) day 14; (b) day 28; (c) day 56.

Table I.

Silicotic nodule grades in the lungs of rats in each group (n=6).

Table I.

Silicotic nodule grades in the lungs of rats in each group (n=6).

Nodule grade following instillation

Group7 days14 days28 days56 days
Control0000
Silicosis0II+-II+II+-III
Solvent0II+-II+II+-III
OA00-II+I+

[i] OA, oleanolic acid.

Effect of OA on oxidative stress in the lungs

As shown in Table II, compared with the control group, the content of MDA in sera of the model group and solvent control group increased, peaking at 14 days, followed by a marginal decrease, although significant differences were found in the statistical analysis (P<0.05). However, OA treatment significantly decreased the content of MDA, compared with the content in the model group and solvent control groups at corresponding time points (P<0.05).

Table II.

Effect of OA on oxidative stress in sera of the rats with silicosis.

Table II.

Effect of OA on oxidative stress in sera of the rats with silicosis.

MDA content (µmol/l)SOD activity (U/ml)GSH-Px activity (U/ml)



Group7 d14 d28 d56 d7 d14 d28 d56 d7 d14 d28 d56 d
Control3.42±0.143.68±0.233.74±0.063.52±0.04100.94±11.08101.42±13.35101.89±13.09102.46±14.354.78±0.584.46±0.214.42±0.104.12±0.33
Silicosis 8.12±0.10a 18.42±0.08a 17.97±0.08a 16.62±1.06a 127.63±12.07a142.59±8.47a 157.63±8.67a 160.47±16.78a 10.68±0.78a 13.32±0.93a 15.43±0.49a 16.42±1.47a
Solvent 8.42±0.08a 18.39±0.40a 17.42±0.08a 16.36±0.99a 129.42±9.45a 143.69±20.11a 159.42±8.46a 160.76±19.13a 10.34±0.39a 13.68±0.92a 15.76±0.25a 16.78±0.54a
OA 4.62±0.4b,c 5.68±0.26b,c 7.78±0.21b,c 8.94±0.06b,c 156.43±21.25b,c 166.57±22.15b,c 180.43±21.40b,c 189.97±16.16b,c 14.43±0.05b,c 16.62±0.57b,c 18.43±0.54b,c 21.43±0.16b,c

{ label (or @symbol) needed for fn[@id='tfn2-mmr-15-05-3121'] } Data are presented as the mean ± standard deviation (n=6).

a P<0.05, compared with control group

b P<0.05, compared with silicosis group

c P<0.05, compared with solvent control group. OA, oleanolic acid; MDA, malondialdehyde; SOD, superoxide dismutase; GSH-Px, glutathione peroxidase; d, day.

The activities of SOD/GSH-Px increased in the sera from the model group and solvent control group, compared with the control group at corresponding time points (P<0.05), however, the activities of SOD/GSH-Px increased with time in the sera from the model group and solvent control group. Compared with the model group and solvent control group, the activities of SOD/GSH-Px were significantly increased in the OA group at the corresponding time points (P<0.05).

Effect of OA on collagen changes in the lungs

Hydroxyproline content is an important indicator of total collagen in lung fibrosis, which are predominantly composed of collagen types I and III. In the present study, we detected the content of hydroxyproline using a hydroxyproline kit, and the expression levels of collagen types I and III using immunohistochemistry (Fig. 2A-C). No significant differences in the hydroxyproline content or levels of collagen types I and III were found in the control group during the investigation. However, the total collagen/hydroxyproline content and the expression levels of collagen I and III in the model group and solvent control group were significantly higher, compared with those in the control group at corresponding time points (P<0.05). As expected, OA treatment significantly reduced these levels, compared with those in the model group and solvent control group (P<0.05), but remained higher, compared with those in the control group (P<0.05).

Figure 2.

Effect of OA on changes in collagen in the lung. (A) Collagen; (B) collagen type I; (C) collagen type III. *P<0.05, compared with control group; #P<0.05, compared with silicosis (model) group; ▲P<0.05, compared with solvent control group. OA, oleanolic acid.

Effect of OA on cytokines in the lungs

TNF-α and TGF-β1 are important cytokines and are involved in inflammation and pulmonary fibrosis. As shown in Fig. 3A and B, no differences in the serum contents of TNF-α and TGF-β1 were found in rats of the control group at the four time points (P>0.05). The serum contents of TNF-α in the model group and solvent control group were significantly increased, peaking at day 14 day post-instillation, with a subsequent marginal decrease, but with statistically significant differences at each time point, compared with those in the control group (P<0.05), whereas TGF-β1 increased following instillation (P<0.05). No significant differences between the model group and solvent control group were found at different time points. OA treatment had inhibitory effects on the contents of TNF-α and TGF-β1, compared with the model group and solvent group at the corresponding time points (P<0.05).

Figure 3.

Effect of OA on cytokines in the lung. (A) Effect of OA on TNF-α; (B) Effect of OA on TGF-β. *P<0.05, compared with control group; #P<0.05, compared with silicosis (model) group; ▲P<0.05, compared with solvent control group. OA, oleanolic acid. TNF-α, tumor necrosis factor-α; TGF-β, transforming growth factor-β.

Effect of OA on p-AKT1/NF-κB in the lungs

Immuno-histochemical methods were used to observe the expression of p-AKT1/NF-κB in the rat lung tissues. As shown in Fig. 4, the levels of NF-κB p65 in the nuclear fractions were significantly increased in the model group and solvent control group, compared with that in the control group (P<0.05); whereas positive staining for p-AKT1 (Fig. 5) was primarily present in the nuclei of interstitial cells in the lung tissues of the model group and solvent control group, but not in the control group. OA treatment markedly reduced this positive staining (P<0.05). The immunohistochemical results were further confirmed using western blot analysis (Fig. 6), which showed that the model group and solvent control groups exhibited increased expression levels of ph-AKT1, compared with levels in the control group at the corresponding time points (P<0.05) and that OA treatment significantly weakened the expression of p-AKT1 in the rat lungs, compared with levels in the model group and solvent control group at the corresponding time points (P<0.05).

Figure 4.

Effect of OA on NF-κB/p65 in the lung. *P<0.05, compared with control group; #P<0.05, compared with silicosis (model) group; ▲P<0.05, compared with solvent control group. OA, oleanolic acid; NF-κB, nuclear factor-κB; OD, optical density.

Figure 5.

Effect of OA on p-AKT/AKT in the lung. *P<0.05, compared with control group; #P<0.05, compared with silicosis (model) group; ▲P<0.05, compared with solvent control group. OA, oleanolic acid; p-, phosphorylated.

Figure 6.

Effect of OA on p-AKT/AKT in the lung. Levels of p-AKT/AKT were determined using western blot analysis. OA, oleanolic acid; p-, phosphorylated.

Discussion

In the present study, the effects of OA on silica-induced lung injury and fibrosis were examined for the first time, to the best of our knowledge. Firstly, successful establishment of the silicosis model in rats was confirmed by observing morphology and pathological changes in lung tissues with HE and Masson's staining. Subsequently, biochemical indicators, including changes in cytokines, collagen and the AKT/NF-κB pathway were measured in the pathogenesis of silicosis, and the effects of OA on these changes were determined. The resulting data suggested that OA possessed protective effects against silica-induced lung injury and fibrosis.

It is known that silicosis is a preventable occupational disease with no effective treatments available. In silica-induced inflammation and fibrosis, various mediators, including ROS, cytokines and growth factors released from activated alveolar macrophages, are key in the development and progression of the disease (13–15). ROS, which include hydroxyl radicals, superoxide anions, hydrogen peroxide and singlet oxygen, are generated not only at the particle surface, but also by phagocytic cells attempting to digest the silica particle. Particle-derived ROS can also react with cell-derived ROS and RNS, yielding novel toxic moieties, including peroxynitrite from NO and superoxide anions (O2•) (16). Therefore, oxidative stress is caused by an imbalance between the production of ROS and the ability of the biological system to repair the resulting damage. It has been demonstrated that oxidative stress is involved in the development of silica-induced pulmonary disease in rats (8). In humans, silica exposure also activates oxidative stress in the development and progression of silicosis (17). The quantification of oxidative stress can also be assessed by the measurement of aldehydes, including MDA, the end product of lipid peroxidation of cells. The plasma levels of MDA are correlated with the severity of silicosis (18). Oxidative stress is also evidenced by increased the expression of antioxidant enzymes, including SOD and GSH-Px. SOD, a superoxide anion radical scavenger, can inhibit the peroxidation of free radicals and indirectly reflect the level of free radicals scavenged. GSH-Px can promote the removal of hydrogen peroxide (H2O2) and free radicals by GSH, and is important in the integrity of cell membrane structure and function. This was supported by a study by Zhang et al (19), which found that the mean serum levels of GSH and MDA, and activity of SOD in the silicosis group were significantly higher, compared with those in control subjects without silicosis (P<0.05). Consistent with these results, the present study found that MDA content and the activity of SOD/GSH-Px in the sera of the model group and solvent control group were increased, however, OA modulated these changes by downregulating MDA content and increasing the activity of SOD/GSH-Px, which suggested that OA may have an antioxidant role in the development and progression of silicosis.

Intracellular ROS has a fundamental role in the silica-induced transduction pathway leading to the production of TNF-α. Scarfì et al found that H2O2 and OH• radicals were key signals in the enhanced production of TNF-α in QA-stimulated RAW 264.7 murine macrophages (20). TNF-α is a pleiotropic cytokine, shown to be involved in inflammation and fibrosis (21,22). In several studies, serum levels of TNF-α in silicosis groups were reported to be significantly higher, compared with those in control groups (23,24). The released TNF-α increases the function of neutrophils and eosinophils, which generates increased superoxide and lysosomal enzyme release, and produces toxic effects to surrounding tissues to further increase the inflammatory response. TNF-α can also aggregation secrete abundant human TGF-β1, promotes the proliferation of fibroblasts and secretes increased collagen (25). The results of the present study suggested that TNF-α was produced at an early stage of the inflammatory process in the silicosis model, peaked 14 days following instillation and remained at a higher level, compared with levels in the control group, which was consistent with the literature. Of note, OA treatment inhibited the levels of TNF-α, compared with those in the model group and solvent group at the corresponding time points.

TGF-β1, a multifunctional cytokine, regulates the proliferation and differentiation of cells (26) and is known to promote the pathogenesis of lung fibrosis. The mRNA and protein expression of TGF-β1 have been shown to increase in the lungs of the silicotic animals (27,28). Consistent with these results, the present study found that, 56 days post-SiO2 instillation, the pulmonary expression of TGF-β1 increased almost 2.13-fold, compared with that in the control group, which was markedly inhibited by chronic administration of OA. These data suggested that OA suppressed the expression of TNF-α and TGF-β1, accordingly reducing the rate of the development and progression of silicosis.

As is already known, NF-κB, a critical transcription factor in modifying the production of inflammatory cytokines, growth factors and ROS, is activated by silica in macrophages and other types of lung cells, and is important in the initiation and progression of silica-induced pulmonary fibrosis (29–32). Several studies have confirmed that the PI3K/Akt signaling pathway can be an upstream activator of the NF-κB signaling cascade (33) and adjust cells physiological function (34). AKT, a serine/threonine protein kinase, is activated via the PI3K pathway. Activated AKT can promote the transcriptional activity of NF-κB by accelerating the degradation of IKB and phosphorylating NF-κB/p65 (35). OA has been reported to inhibit the activation and nuclear translocation of NF-κB, resulting in suppression of the TNF-α-induced inflammatory response (36). In the present study, the data showed that levels of p-Akt Ser473 and NF-κB/p65 were increased in the progression of silica-induced pulmonary fibrosis in rats, and that OA treatment downregulated the phosphorylation of AKT-Ser473 and decreased the level of NF-κB/p65. These results indicated that OA inhibited silica-induced pulmonary inflammation and fibrosis in rats, possibly through regulating the AKT/NF-κB pathway.

In conclusion, these results of the present study suggested that OA restored the oxidant/antioxidant balance, and decreased pulmonary cytokines and collagen through regulating the AKT/NF-κB pathway in silica-induced lung injury and fibrosis. The protective effects of OA in silicosis may be relevant, not only during the first steps of the lung inflammatory response, but also subsequently. OA, a pentacyclic triterpenoid extensively found in a variety of plants and medicinal herbs, may be an effective option for treating silicosis, for which there are no other specific treatment options.

Acknowledgements

This study was supported by the Tangshan Science and Technology Bureau Foundation of China (grant no. 14130262B).

References

1 

Rimal B, Greenberg AK and Rom WN: Basic pathogenetic mechanisms in silicosis: Current understanding. Curr Opin Pulm Med. 11:169–173. 2005. View Article : Google Scholar : PubMed/NCBI

2 

Flynn MR and Susi P: Engineering controls for selected silica and dust exposures in the construction industry-a review. Appl Occup Environ Hyg. 18:268–277. 2003. View Article : Google Scholar : PubMed/NCBI

3 

Leung CC, Yu IT and Chen W: Silicosis. Lancet. 379:2008–2018. 2012. View Article : Google Scholar : PubMed/NCBI

4 

Thomas CR and Kelley TR: A Brief Review of silicosis in the United states. Environ Health Insights. 4:21–26. 2010.PubMed/NCBI

5 

Occupational Health Technical Service Network: Silicosis. http://www.zybw.com/zybw_list.aspx?c=31&a=60&t=xq&m=502Accessed. January 5–2014.

6 

Hamilton RF Jr, Thakur SA and Holian A: Silica binding and toxicity in alveolar macrophages. Free Radic Biol Med. 44:1246–1258. 2008. View Article : Google Scholar : PubMed/NCBI

7 

Zhang L, He YL, Li QZ, Hao XH, Zhang ZF, Yuan JX, Bai YP, Jin YL, Liu N and Chen G: N-acetylcysteine alleviated silica-induced lung fibrosis in rats by down-regulation of ROS and mitochondrial apoptosis signaling. Toxicol Mech Methods. 24:212–219. 2014. View Article : Google Scholar : PubMed/NCBI

8 

Porter DW, Millecchia LL, Willard P, Robinson VA, Ramsey D, McLaurin J, Khan A, Brumbaugh K, Beighley CM, Teass A and Castranova V: Nitric oxide and reactive oxygen species production causes progressive damage in rats after cessation of silica inhalation. Toxicol Sci. 90:188–197. 2006. View Article : Google Scholar : PubMed/NCBI

9 

Liu J: Oleanolic acid and ursolic acid: Research perspectives. J Ethnopharmacol. 100:92–94. 2005. View Article : Google Scholar : PubMed/NCBI

10 

Pollier J and Goossens A: Oleanolic acid. Phytochemistry. 77:10–15. 2012. View Article : Google Scholar : PubMed/NCBI

11 

Chung S, Yoon HE, Kim SJ, Kim SJ, Koh ES, Hong YA, Park CW, Chang YS and Shin SJ: Oleanolic acid attenuates renal fibrosis in mice with unilateral ureteral obstruction via facilitating nuclear translocation of Nrf2. Nutr Metab (Lond). 11:22014. View Article : Google Scholar : PubMed/NCBI

12 

Kulkarni AA, Thatcher TH, Olsen KC, Maggirwar SB, Phipps RP and Sime PJ: PPAR-γ Ligands Repress TGFb-induced myofibroblast differentiation by targeting the PI3K/Akt pathway: Implications for therapy of fibrosis. PLoS One. 6:e159092011. View Article : Google Scholar : PubMed/NCBI

13 

Thakur SA, Beamer CA, Migliaccio CT and Holian A: Critical role of MARCO in crystalline silica-induced pulmonary inflammation. Toxicol Sci. 108:462–471. 2009. View Article : Google Scholar : PubMed/NCBI

14 

Lim Y, Kim JH, Kim KA, Chang HS, Park YM, Ahn BY and Phee YG: Silica-induced apoptosis in vitro and in vivo. Toxicol Lett. 108:335–339. 1999. View Article : Google Scholar : PubMed/NCBI

15 

Sun Y, Yang F, Yan J, Li Q, Wei Z, Feng H, Wang R, Zhang L and Zhang X: New anti-fibrotic mechanisms of n-acetyl-seryl-aspartyl-lysyl-proline in silicon dioxide-induced silicosis. Life Sci. 87:232–239. 2010. View Article : Google Scholar : PubMed/NCBI

16 

Fubini B and Hubbard A: Reactive Oxygen Species (ROS) and reactive nitrogen species (RNS) generation by silica in inflammation and fibrosis. Free Radic Biol Med. 34:1507–1516. 2003. View Article : Google Scholar : PubMed/NCBI

17 

Palabiyik SS, Girgin G, Tutkun E, Yilmaz OH and Baydar T: Immunomodulation and oxidative stress in denim sandblasting workers: Changes caused by silica exposure. Arh Hig Rada Toksikol. 64:431–437. 2013.PubMed/NCBI

18 

Pelclová D, Fenclová Z, Syslová K, Vlčková S, Lebedová J, Pecha O, Běláček J, Navrátil T, Kuzma M and Kačer P: Oxidative stress markers in exhaled breath condensate in lung fibroses are not significantly affected by systemic diseases. Ind Health. 49:746–754. 2011. View Article : Google Scholar : PubMed/NCBI

19 

Zhang JW, Lv GC, Yao JM and Hong XP: Assessment of serum antioxidant status in patients with silicosis. J Int Med Res. 38:884–889. 2010. View Article : Google Scholar : PubMed/NCBI

20 

Scarfì S, Magnone M, Ferraris C, Pozzolini M, Benvenuto F, Benatti U and Giovine M: Ascorbic acid pre-treated quartz stimulates TNF-alpha release in RAW264.7 murine macrophages through ROS production and membrane lipid peroxidation. Respir Res. 10:252009. View Article : Google Scholar : PubMed/NCBI

21 

Jiang ZY, Zou L, Shi SS, Lu YR, Dong J, Yang CH, Lu YC and Dai GK: Effects of curcumin on TNF-alpha and TGF-beta1 in serum and lung tissue of SiO2-induced fibrosis in mice. Xi Bao Yu Fen Zi Mian Yi Xue Za Zhi. 25:399–401. 2009.(In Chinese). PubMed/NCBI

22 

Li Z, Xue J, Yan S, Chen P and Chen L: Association between tumor necrosis factor-α 308G/A gene polymorphism and silicosis susceptibility: A meta-analysis. PLoS One. 8:e766142013. View Article : Google Scholar : PubMed/NCBI

23 

Miao RM, Zhang XT, Yan YL, He EQ, Guo P, Zhang YY, Zhao DK, Yang ZG, Chen J, Yao MY, et al: Change of serum TGF-beta1 and TNF-alpha in silicosis patients. Zhonghua Lao Dong Wei Sheng Zhi Ye Bing Za Zhi. 29:606–607. 2011.(In Chinese). PubMed/NCBI

24 

Slavov E, Miteva L, Prakova G, Gidikova P and Stanilova S: Correlation between TNF-alpha and IL-12p40-containing cytokines in silicosis. Toxicol Ind Health. 26:479–486. 2010. View Article : Google Scholar : PubMed/NCBI

25 

Ortiz LA, Lasky J, Gozal E, Ruiz V, Lungarella G, Cavarra E, Brody AR, Friedman M, Pardo A and Selman M: Tumor necrosis factor receptor deficiency alters matrix metalloproteinase 13/tissue inhibitor of metalloproteinase 1 expression in murine silicosis. Am J Respir Crit Care Med. 163:244–252. 2001. View Article : Google Scholar : PubMed/NCBI

26 

Xu H, Yang F, Sun Y, Yuan Y, Cheng H, Wei Z, Li S, Cheng T, Brann D and Wang R: A New Antifibrotic Target of Ac-SDKP: Inhibition of Myofibroblast Differentiation in Rat Lung with Silicosis. PLoS One. 7:e403012012. View Article : Google Scholar : PubMed/NCBI

27 

Fan LH, Liu TF, Guo M, Liu ML, Wang ZP and Si SJ: Effect of schisandrin B on lung mRNA expression of transforming growth factor-beta1 signal transduction molecule in rat lungs exposed to silica. Zhonghua Lao Dong Wei Sheng Zhi Ye Bing Za Zhi. 29:255–259. 2011.(In Chinese). PubMed/NCBI

28 

Maron-Gutierrez T, Castiglione RC, Xisto DG, Oliveira MG, Cruz FF, Peçanha R, Carreira-Junior H, Ornellas DS, Moraes MO, Takiya CM, et al: Bone marrow-derived mononuclear cell therapy attenuates silica-induced lung fibrosis. Eur Respir J. 37:1217–1225. 2011. View Article : Google Scholar : PubMed/NCBI

29 

Porter DW, Ye J, Ma J, Barger M, Robinson VA, Ramsey D, McLaurin J, Khan A, Landsittel D, Teass A and Castranova V: Time course of pulmonary response of rats to inhalation of crystalline silica: NF-kappa B activation, inflammation, cytokine production, and damage. Inhal Toxicol. 14:349–367. 2002. View Article : Google Scholar : PubMed/NCBI

30 

Di Giuseppe M, Gambelli F, Hoyle GW, Lungarella G, Studer SM, Richards T, Yousem S, McCurry K, Dauber J, Kaminski N, et al: Systemic Inhibition of NF-kappaB activation protects from silicosis. PLoS One. 4:e56892009. View Article : Google Scholar : PubMed/NCBI

31 

Chen F and Shi X: NF-kappaB, a pivotal transcription factor in silica-induced diseases. Mol Cell Biochem. 234–235:169–176. 2002. View Article : Google Scholar

32 

Hubbard AK, Timblin CR, Shukla A, Rincón M and Mossman BT: Activation of NF-kappaB-dependent gene expression by silica in lungs of luciferase reporter mice. Am J Physiol Lung Cell Mol Physiol. 282:L968–L975. 2002. View Article : Google Scholar : PubMed/NCBI

33 

Venkatesan B, Valente AJ, Prabhu SD, Shanmugam P, Delafontaine P and Chandrasekar B: EMMPRIN activates multiple transcription factors in cardiomyocytes, and induces interleukin-18 expression via Rac1-dependent PI3K/Akt/IKK/NF-kappaB andMKK7/JNK/AP-1 signaling. J Mol Cell Cardiol. 49:655–663. 2010. View Article : Google Scholar : PubMed/NCBI

34 

Jing Y, Liu LZ, Jiang Y, Zhu Y, Guo NL, Barnett J, Rojanasakul Y, Agani F and Jiang BH: Cadmium Increases HIF-1 and VEGF Expression through ROS, ERK, and AKT signaling pathways and induces malignant transformation of human bronchial epithelial cells. Toxicol Sci. 125:10–19. 2012. View Article : Google Scholar : PubMed/NCBI

35 

Yasuda T: Activation of Akt leading to NF-κB up-regulation in chondrocytes stimulated with fibronectin fragment. Biomed Res. 32:209–215. 2011. View Article : Google Scholar : PubMed/NCBI

36 

Takada K, Nakane T, Masuda K and Ishii H: Ursolic acid and oleanolic acid, members of pentacyclic triterpenoid acids, suppress TNF-α-induced E-selectin expression by cultured umbilical vein endothelial cells. Phytomedicine. 17:1114–1119. 2010. View Article : Google Scholar : PubMed/NCBI

Related Articles

  • Abstract
  • View
  • Download
  • Twitter
Copy and paste a formatted citation
Spandidos Publications style
Peng HB, Wang RX, Deng HJ, Wang YH, Tang JD, Cao FY and Wang JH: Protective effects of oleanolic acid on oxidative stress and the expression of cytokines and collagen by the AKT/NF‑κB pathway in silicotic rats. Mol Med Rep 15: 3121-3128, 2017.
APA
Peng, H., Wang, R., Deng, H., Wang, Y., Tang, J., Cao, F., & Wang, J. (2017). Protective effects of oleanolic acid on oxidative stress and the expression of cytokines and collagen by the AKT/NF‑κB pathway in silicotic rats. Molecular Medicine Reports, 15, 3121-3128. https://doi.org/10.3892/mmr.2017.6402
MLA
Peng, H., Wang, R., Deng, H., Wang, Y., Tang, J., Cao, F., Wang, J."Protective effects of oleanolic acid on oxidative stress and the expression of cytokines and collagen by the AKT/NF‑κB pathway in silicotic rats". Molecular Medicine Reports 15.5 (2017): 3121-3128.
Chicago
Peng, H., Wang, R., Deng, H., Wang, Y., Tang, J., Cao, F., Wang, J."Protective effects of oleanolic acid on oxidative stress and the expression of cytokines and collagen by the AKT/NF‑κB pathway in silicotic rats". Molecular Medicine Reports 15, no. 5 (2017): 3121-3128. https://doi.org/10.3892/mmr.2017.6402
Copy and paste a formatted citation
x
Spandidos Publications style
Peng HB, Wang RX, Deng HJ, Wang YH, Tang JD, Cao FY and Wang JH: Protective effects of oleanolic acid on oxidative stress and the expression of cytokines and collagen by the AKT/NF‑κB pathway in silicotic rats. Mol Med Rep 15: 3121-3128, 2017.
APA
Peng, H., Wang, R., Deng, H., Wang, Y., Tang, J., Cao, F., & Wang, J. (2017). Protective effects of oleanolic acid on oxidative stress and the expression of cytokines and collagen by the AKT/NF‑κB pathway in silicotic rats. Molecular Medicine Reports, 15, 3121-3128. https://doi.org/10.3892/mmr.2017.6402
MLA
Peng, H., Wang, R., Deng, H., Wang, Y., Tang, J., Cao, F., Wang, J."Protective effects of oleanolic acid on oxidative stress and the expression of cytokines and collagen by the AKT/NF‑κB pathway in silicotic rats". Molecular Medicine Reports 15.5 (2017): 3121-3128.
Chicago
Peng, H., Wang, R., Deng, H., Wang, Y., Tang, J., Cao, F., Wang, J."Protective effects of oleanolic acid on oxidative stress and the expression of cytokines and collagen by the AKT/NF‑κB pathway in silicotic rats". Molecular Medicine Reports 15, no. 5 (2017): 3121-3128. https://doi.org/10.3892/mmr.2017.6402
Follow us
  • Twitter
  • LinkedIn
  • Facebook
About
  • Spandidos Publications
  • Careers
  • Cookie Policy
  • Privacy Policy
How can we help?
  • Help
  • Live Chat
  • Contact
  • Email to our Support Team