Spandidos Publications Logo
  • About
    • About Spandidos
    • Aims and Scopes
    • Abstracting and Indexing
    • Editorial Policies
    • Reprints and Permissions
    • Job Opportunities
    • Terms and Conditions
    • Contact
  • Journals
    • All Journals
    • Oncology Letters
      • Oncology Letters
      • Information for Authors
      • Editorial Policies
      • Editorial Board
      • Aims and Scope
      • Abstracting and Indexing
      • Bibliographic Information
      • Archive
    • International Journal of Oncology
      • International Journal of Oncology
      • Information for Authors
      • Editorial Policies
      • Editorial Board
      • Aims and Scope
      • Abstracting and Indexing
      • Bibliographic Information
      • Archive
    • Molecular and Clinical Oncology
      • Molecular and Clinical Oncology
      • Information for Authors
      • Editorial Policies
      • Editorial Board
      • Aims and Scope
      • Abstracting and Indexing
      • Bibliographic Information
      • Archive
    • Experimental and Therapeutic Medicine
      • Experimental and Therapeutic Medicine
      • Information for Authors
      • Editorial Policies
      • Editorial Board
      • Aims and Scope
      • Abstracting and Indexing
      • Bibliographic Information
      • Archive
    • International Journal of Molecular Medicine
      • International Journal of Molecular Medicine
      • Information for Authors
      • Editorial Policies
      • Editorial Board
      • Aims and Scope
      • Abstracting and Indexing
      • Bibliographic Information
      • Archive
    • Biomedical Reports
      • Biomedical Reports
      • Information for Authors
      • Editorial Policies
      • Editorial Board
      • Aims and Scope
      • Abstracting and Indexing
      • Bibliographic Information
      • Archive
    • Oncology Reports
      • Oncology Reports
      • Information for Authors
      • Editorial Policies
      • Editorial Board
      • Aims and Scope
      • Abstracting and Indexing
      • Bibliographic Information
      • Archive
    • Molecular Medicine Reports
      • Molecular Medicine Reports
      • Information for Authors
      • Editorial Policies
      • Editorial Board
      • Aims and Scope
      • Abstracting and Indexing
      • Bibliographic Information
      • Archive
    • World Academy of Sciences Journal
      • World Academy of Sciences Journal
      • Information for Authors
      • Editorial Policies
      • Editorial Board
      • Aims and Scope
      • Abstracting and Indexing
      • Bibliographic Information
      • Archive
    • International Journal of Functional Nutrition
      • International Journal of Functional Nutrition
      • Information for Authors
      • Editorial Policies
      • Editorial Board
      • Aims and Scope
      • Abstracting and Indexing
      • Bibliographic Information
      • Archive
    • International Journal of Epigenetics
      • International Journal of Epigenetics
      • Information for Authors
      • Editorial Policies
      • Editorial Board
      • Aims and Scope
      • Abstracting and Indexing
      • Bibliographic Information
      • Archive
    • Medicine International
      • Medicine International
      • Information for Authors
      • Editorial Policies
      • Editorial Board
      • Aims and Scope
      • Abstracting and Indexing
      • Bibliographic Information
      • Archive
  • Articles
  • Information
    • Information for Authors
    • Information for Reviewers
    • Information for Librarians
    • Information for Advertisers
    • Conferences
  • Language Editing
Spandidos Publications Logo
  • About
    • About Spandidos
    • Aims and Scopes
    • Abstracting and Indexing
    • Editorial Policies
    • Reprints and Permissions
    • Job Opportunities
    • Terms and Conditions
    • Contact
  • Journals
    • All Journals
    • Biomedical Reports
      • Information for Authors
      • Editorial Policies
      • Editorial Board
      • Aims and Scope
      • Abstracting and Indexing
      • Bibliographic Information
      • Archive
    • Experimental and Therapeutic Medicine
      • Information for Authors
      • Editorial Policies
      • Editorial Board
      • Aims and Scope
      • Abstracting and Indexing
      • Bibliographic Information
      • Archive
    • International Journal of Epigenetics
      • Information for Authors
      • Editorial Policies
      • Editorial Board
      • Aims and Scope
      • Abstracting and Indexing
      • Bibliographic Information
      • Archive
    • International Journal of Functional Nutrition
      • Information for Authors
      • Editorial Policies
      • Editorial Board
      • Aims and Scope
      • Abstracting and Indexing
      • Bibliographic Information
      • Archive
    • International Journal of Molecular Medicine
      • Information for Authors
      • Editorial Policies
      • Editorial Board
      • Aims and Scope
      • Abstracting and Indexing
      • Bibliographic Information
      • Archive
    • International Journal of Oncology
      • Information for Authors
      • Editorial Policies
      • Editorial Board
      • Aims and Scope
      • Abstracting and Indexing
      • Bibliographic Information
      • Archive
    • Medicine International
      • Information for Authors
      • Editorial Policies
      • Editorial Board
      • Aims and Scope
      • Abstracting and Indexing
      • Bibliographic Information
      • Archive
    • Molecular and Clinical Oncology
      • Information for Authors
      • Editorial Policies
      • Editorial Board
      • Aims and Scope
      • Abstracting and Indexing
      • Bibliographic Information
      • Archive
    • Molecular Medicine Reports
      • Information for Authors
      • Editorial Policies
      • Editorial Board
      • Aims and Scope
      • Abstracting and Indexing
      • Bibliographic Information
      • Archive
    • Oncology Letters
      • Information for Authors
      • Editorial Policies
      • Editorial Board
      • Aims and Scope
      • Abstracting and Indexing
      • Bibliographic Information
      • Archive
    • Oncology Reports
      • Information for Authors
      • Editorial Policies
      • Editorial Board
      • Aims and Scope
      • Abstracting and Indexing
      • Bibliographic Information
      • Archive
    • World Academy of Sciences Journal
      • Information for Authors
      • Editorial Policies
      • Editorial Board
      • Aims and Scope
      • Abstracting and Indexing
      • Bibliographic Information
      • Archive
  • Articles
  • Information
    • For Authors
    • For Reviewers
    • For Librarians
    • For Advertisers
    • Conferences
  • Language Editing
Login Register Submit
  • This site uses cookies
  • You can change your cookie settings at any time by following the instructions in our Cookie Policy. To find out more, you may read our Privacy Policy.

    I agree
Search articles by DOI, keyword, author or affiliation
Search
Advanced Search
presentation
Molecular Medicine Reports
Join Editorial Board Propose a Special Issue
Print ISSN: 1791-2997 Online ISSN: 1791-3004
Journal Cover
November 2012 Volume 6 Issue 5

Full Size Image

Sign up for eToc alerts
Recommend to Library

Journals

International Journal of Molecular Medicine

International Journal of Molecular Medicine

International Journal of Molecular Medicine is an international journal devoted to molecular mechanisms of human disease.

International Journal of Oncology

International Journal of Oncology

International Journal of Oncology is an international journal devoted to oncology research and cancer treatment.

Molecular Medicine Reports

Molecular Medicine Reports

Covers molecular medicine topics such as pharmacology, pathology, genetics, neuroscience, infectious diseases, molecular cardiology, and molecular surgery.

Oncology Reports

Oncology Reports

Oncology Reports is an international journal devoted to fundamental and applied research in Oncology.

Experimental and Therapeutic Medicine

Experimental and Therapeutic Medicine

Experimental and Therapeutic Medicine is an international journal devoted to laboratory and clinical medicine.

Oncology Letters

Oncology Letters

Oncology Letters is an international journal devoted to Experimental and Clinical Oncology.

Biomedical Reports

Biomedical Reports

Explores a wide range of biological and medical fields, including pharmacology, genetics, microbiology, neuroscience, and molecular cardiology.

Molecular and Clinical Oncology

Molecular and Clinical Oncology

International journal addressing all aspects of oncology research, from tumorigenesis and oncogenes to chemotherapy and metastasis.

World Academy of Sciences Journal

World Academy of Sciences Journal

Multidisciplinary open-access journal spanning biochemistry, genetics, neuroscience, environmental health, and synthetic biology.

International Journal of Functional Nutrition

International Journal of Functional Nutrition

Open-access journal combining biochemistry, pharmacology, immunology, and genetics to advance health through functional nutrition.

International Journal of Epigenetics

International Journal of Epigenetics

Publishes open-access research on using epigenetics to advance understanding and treatment of human disease.

Medicine International

Medicine International

An International Open Access Journal Devoted to General Medicine.

Journal Cover
November 2012 Volume 6 Issue 5

Full Size Image

Sign up for eToc alerts
Recommend to Library

  • Article
  • Citations
    • Cite This Article
    • Download Citation
    • Create Citation Alert
    • Remove Citation Alert
    • Cited By
  • Similar Articles
    • Related Articles (in Spandidos Publications)
    • Similar Articles (Google Scholar)
    • Similar Articles (PubMed)
  • Download PDF
  • Download XML
  • View XML
Article

Adrenomedullin is involved in the progression of colonic adenocarcinoma

  • Authors:
    • Jee-Youn Kim
    • Won-Do Park
    • Sun Lee
    • Jae-Hoon Park
  • View Affiliations / Copyright

    Affiliations: Department of Pathology, School of Medicine, Kyung Hee University, Seoul 130-701, Republic of Korea
  • Pages: 1030-1034
    |
    Published online on: August 24, 2012
       https://doi.org/10.3892/mmr.2012.1045
  • Expand metrics +
Metrics: Total Views: 0 (Spandidos Publications: | PMC Statistics: )
Metrics: Total PDF Downloads: 0 (Spandidos Publications: | PMC Statistics: )
Cited By (CrossRef): 0 citations Loading Articles...

This article is mentioned in:



Abstract

Adrenomedullin (ADM), initially identified in human pheochromocytoma, participates in a wide range of physiological and pathological processes, including vasorelaxation, angiogenesis and apoptosis. Recent studies have reported that ADM protected tumor cells against apoptotic cell death via the upregulation of Bcl-2 or the activation of the phosphatidylinositol 3-kinase/Akt pathway. Several studies have also provided evidence that ADM is involved in tumor initiation and progression. However, this has not been shown in gastrointestinal tumors. To investigate the role of ADM in gastrointestinal tumor progression, we determined the expression levels of ADM in 72 cases of stomach cancer and 84 cases of colon cancer and determined whether there was an association between the ADM expression levels and pathological parameters or clinical survival rates. We found that the expression levels of ADM were significantly higher in colon cancers than in matching normal mucosal tissues. In addition, the expression levels of ADM in colon cancers were correlated with cancer stage and clinical survival rate. However, we did not find any significant correlations between ADM expression levels and clinical or pathological parameters in stomach cancers. Taken together, our data strongly suggest that ADM is involved in the progression of colon cancer.

Introduction

Adrenomedullin (ADM), initially identified in human pheochromocytoma, is a member of the calcitonin gene-related peptide family (1). Synthesized as a biologically inactive precursor protein of 185 amino acid residues, ADM is converted to a Gly-extended intermediate form and released as a mature amide structure peptide of 52 amino acid residues (2). Upon secretion, it exerts multiple autocrine/paracrine effects by binding to the G-protein-coupled calcitonin receptor-like receptor (CRLR) (3). ADM participates in a wide range of physiological and pathological events, including cell growth, vasorelaxation, angiogenesis and apoptosis (4). There is accumulating evidence that ADM acts as a tumor growth factor: i) cancer tissues express higher levels of ADM transcript and protein than non-cancerous tissues (5); ii) ADM expression is upregulated by hypoxia, a situation that tumor tissues frequently experience; and iii) ADM protects against tumor cell death by the upregulation of Bcl-2 or the downregulation of pro-apoptotic factors, including Bax or Bid (6).

The malignant growth of tumors depends on multi-step processes, including escape from host immune surveillance, rapid cell proliferation, neovascularization and metastasis (7). The evasion of apoptosis is one of the basic multi-step processes that leads to malignant progression (7,8). For example, tumor cells downregulate surface receptors that trigger apoptotic signals or secrete survival factors, including transforming growth factor-β1 (9,10). Although ADM has been shown to be a tumor survival factor in several tumor tissues, including breast (6) and endometrial cancer tissues (11), its role in gastrointestinal cancers has not yet been studied.

In this study, we investigated whether ADM acts as a tumor growth factor in gastrointestinal tumors. We found that ADM expression is increased in colon cancers and that high ADM expression correlates with poor patient survival. Our results indicate that ADM functions as a tumor progression factor in colon cancers.

Materials and methods

Tissue specimens

Surgical specimens, including lymph nodes, were collected from 84 cases of colon adenocarcinoma and 72 cases of stomach adenocarcinoma. Representative areas of the tumors, proven by frozen sections, and matched macroscopically uninvolved mucosae were snap-frozen in liquid nitrogen immediately and stored at −80°C until analyzed. None of the patients had received chemo-, radio- or immunotherapy prior to resection. The histopathological characteristics of the examined cases of colon and stomach cancers are summarized in Tables I and II, respectively. Patient samples were collected according to the institutional review board-approved protocol.

Table I

Pathological data for adenocarcinomas of the colon.

Table I

Pathological data for adenocarcinomas of the colon.

StageGradeNo. of cases (%)

IIIIII
I93012 (14.3)
II716528 (33.3)
III6131029 (34.5)
IV37515 (17.9)
Total25392084 (100)

Table II

Pathological data for adenocarcinomas of the stomach.

Table II

Pathological data for adenocarcinomas of the stomach.

Depth of invasionGradeNo. of cases (%)

IIIIII
Submucosa106016 (22.2)
Muscle511622 (30.6)
Serosa3141734 (47.2)
Total18312372 (100)
Semi-quantitative RT-PCR

The RNA extraction, cDNA synthesis and quantitative evaluation of the PCR products were performed as described previously (12). The primers used for ADM were sense (5′-agt ttc gaa aga agt gga at-3′) and anti-sense (5′-gac gtt gtc ctt gtc ctt at-3′). PCR was performed for 32 cycles of 95°C for 45 sec, 56°C for 45 sec and 72°C for 1 min. ADM expression was normalized to that of the housekeeping gene, GAPDH, by densitometry (Bio-Rad, Hercules, CA, USA). The relative ADM expression levels in normal tissues and adenocarcinomas are presented as the ratio of ADM/GAPDH. The tumors were classified according to ADM expression level into high expression, within normal range and low expression groups in which the ADM/GAPDH ratios were >1.5, 0.5–1.5 and <0.5 times their values in the matched normal tissue, respectively (12).

Immunoblot analysis

Total proteins were extracted from the tumor tissues or normal counterpart mucosae and quantitated by the biuret method. A 30-μg sample of protein from each tissue was loaded onto 12% SDS-polyacrylamide gel and separated by electrophoresis before transfer to nitrocellulose membranes. The blots were incubated with goat anti-human ADM antibody (Bachem AG, Bubendorf, Switzerland) or anti-human tubulin antibody (BD Pharmingen, San Diego, CA, USA), followed by chemoluminescent (ECL)-based detection (Amersham Pharmacia Biotech, Piscataway, NJ, USA). ADM expression was quantitated by densitometry following adjustment for the expression levels of tubulin. ADM expression levels in the normal and adenocarcinoma tissues were calculated as the ratio of ADM/tubulin expression. The samples were classified according to ADM expression level into high expression, within normal range and low expression groups in which the ADM/tubulin ratios were >1.5, 0.5–1.5 and <0.5 times their values in the matched normal tissue, respectively.

Immunohistochemistry and staining evaluation

Formalin-fixed paraffin-embedded tissue sections were deparaffinized, rehydrated and washed twice for 5 min in wash buffer (50 mM Tris/HCl, pH 7.6, 50 mM NaCl). Endogenous peroxidase was quenched with 3% hydrogen peroxide in methanol for 5 min. The slides were washed as before and then incubated in blocking buffer for 1 h. This was followed by incubation with 1:100 diluted anti-human ADM antibody for 1 h. The slides were washed twice and further incubated with biotinylated secondary antibody followed by avidin-conjugated horseradish peroxidase. The slides were visualized using the DAB substrate-chromogen system (Dako, Carpinteria, CA, USA) and counterstained with hematoxylin. Immunohistochemical staining was evaluated by an arbitrary quantitative scoring system using an image analyzer. The fields were scored on a scale of 0–4 according to the area of staining as follows: 0, none; 1, ≤25%; 2, 26–50%; 3, 51–75%; and 4, ≥76%. For each case, the mean score (sum of scores for each field/fields counted) was calculated.

Statistical analysis

The significance of the association between the ADM expression levels and clinical and pathological parameters was evaluated by a one-way ANOVA multiple comparison test (Tukey and Tamhane) or Student’s t-test, and P<0.05 was considered to indicate a statistically significant result. Kaplan-Meier survival curves were constructed for patients whose tumors were classified as having a high or low expression of ADM and the curves were compared by the log-rank test.

Results

ADM transcript expression in gastrointestinal tumors

The 84 colon and 72 stomach cancer specimens with matched uninvolved mucosal tissues were analyzed by RT-PCR to determine the mRNA expression levels of ADM. The RT-PCR assays were controlled by equalization of input RNA for each sample and comparable amplification efficiencies were validated by the uniformity of control GAPDH RT-PCR product yields. ADM transcripts were present in the normal and cancerous tissues of the stomach and colon. However, the mean ADM/GAPDH mRNA ratio was significantly higher in the colon cancer tissues than in the normal colonic mucosae (Fig. 1A). Based on the quantitative scales described in the methods section, 77.4% (65/84) of colonic adenocarcinomas had high expression of ADM, 14.3% (12/84) had within normal range expression of ADM and 8.3% (7/84) had low expression of ADM (Fig. 1B). In contrast, we found no significant differences in the ADM transcript levels between normal gastric mucosae and stomach cancer tissues. These data indicate that ADM mRNA expression levels are increased in colon cancers compared with matched normal mucosal tissue (*P<0.05).

Figure 1

Expression and semi-quantitative analysis of ADM transcript levels by RT-PCR. (A) ADM/GAPDH ratios in colon and stomach tumors and matched normal mucosal counterparts. The bars mark mean values. (B) The expression levels of ADM mRNA in colon and stomach tumors and matched normal mucosal counterparts. Patient samples with ADM expression levels >1.5, 0.5–1.5 and <0.5 times their levels in matched normal mucosa were considered to have high expression, within normal range expression and low expression of ADM, respectively. ADM, adrenomedullin; H, high expression; W, within normal range; L, low expression. *P<0.05.

Expression levels of ADM protein in gastrointestinal tumors

We analyzed the expression levels of ADM protein in the same stomach and colon cancer samples and uninvolved matched mucosal tissue by western blot analysis. Equivalent amounts of protein were loaded and validated by western blotting for tubulin. The mean ADM/tubulin protein ratio was significantly higher in the colon cancers than in the uninvolved colonic mucosae (Fig. 2A). Sixty-nine percent (58/84), 14.3% (12/84) and 16.7% (14/84) of colonic adenocarcinomas expressed ADM at high levels, within the normal range and at low levels, respectively (Fig. 2B). In contrast, we did not observe a significant difference in the ADM expression levels between normal gastric mucosae and stomach cancer tissues. These results indicate that the expression of ADM protein in colon cancer tissues is significantly higher than in matched normal mucosal tissue (*P<0.05).

Figure 2

Expression and quantitative analysis of ADM protein by immunoblot analysis. (A) Distribution of ADM/tubulin ratios in colon and stomach tumors and matched normal mucosal counterparts. The bars mark mean values. (B) The expression levels of ADM protein in colon and stomach tumors and matched normal mucosal counterparts. Patient samples with ADM expression levels >1.5, 0.5–1.5 and <0.5 times their levels in matched normal mucosa were considered to have high expression, within normal range expression and low expression of ADM, respectively. ADM, adrenomedullin; H, high expression; W, within normal range; L, low expression. *P<0.05.

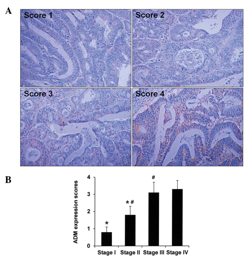
Correlation of ADM expression scores with pathological parameters

We analyzed the expression levels of ADM in colon cancers according to pathological parameters. To quantitatively evaluate ADM expression, tumor tissue sections were stained immunohistochemically and staining intensities were scored as described in the Materials and methods section. Representative immunohistochemical staining results are shown in Fig. 3A. We observed that ADM expression scores increased according to colon cancer stage (*P<0.05), suggesting that ADM expression is associated with colon cancer progression (Fig. 3B). However, other pathological parameters, including tumor size and the histological grade of the colon cancer did not correlate with the ADM expression scores (data not shown). We then analyzed ADM expression according to clinical survival rates. Information regarding survival was available for 54 of the colon cancer patients. Overall survival analysis revealed that patients with tumors with lower expression of ADM (ADM expression score <2) had longer survival times than patients who had tumors with higher expression of ADM (ADM expression score >2, P<0.05; Fig. 4). In contrast, we found no correlations between the ADM expression levels and pathological parameters or survival rates in the stomach cancer patients (data not shown).

Figure 3

Correlation between ADM expression scores and pathological parameters of colon cancers. (A) Representative immunohistochemical staining results with corresponding ADM expression scores. (B) Correlation between ADM expression score and tumor stage (*P<0.05). ADM, adrenomedullin.

Figure 4

Kaplan-Meier survival curves for patients with tumors with ADM expression scores <2 and >2 (p<0.05). ADM, adrenomedullin.

Discussion

ADM is a pluripotent hormone secreted by many tissues in the body and it regulates a variety of physiological activities (13). It also participates in many pathological processes, including cardiovascular and inflammatory disorders, diabetes and cancer (7). Cancer cells that grow rapidly and aggressively have the following general characteristics: growth factor production, insensitivity to growth inhibition signals and the ability to evade apoptosis (8). Several reports have suggested that ADM plays a role in cancer progression by aggravating the molecular and physiological features of malignant cells (7). Examples of tumors where ADM plays this role include brain tumors (14), lung cancers (15) and breast cancers (6). Furthermore, a study has shown that in vitro tumor growth was blocked by a polyclonal antibody specific for ADM, which competed with ADM for cellular receptors (16). In our study, we provided clinicopathological data that supports the hypothesis that ADM is involved in colon cancer progression.

First, we determined ADM expression levels in colonic and gastric cancers as compared with matched normal mucosal tissues. We found significantly higher expression levels of ADM mRNA and protein in colon cancers than in uninvolved mucosae, suggesting that ADM plays a role in colon cancer. ADM ligand and receptor expression in colonic mucosae and cancers have been reported previously (17–20), but tumors and matched normal mucosal tissues were not compared in these previous studies. ADM expression is regulated by hypoxia-inducible factor-1α (HIF-1α), a major transactivator in response to hypoxia (21). Hypoxia driven by the rapid proliferation of cancer cells may induce HIF-1α accumulation and, in turn, may upregulate ADM expression. However, higher expression levels of ADM in tumors originating from non-solid hollow viscera, such as the colon, suggest that unknown factors other than hypoxia are involved in ADM regulation. Although the molecular mechanisms underlying the involvement of ADM in tumor progression are not clear, putative pathways include: i) upregulation of Bcl-2 (11); ii) stimulation of neovascularization (22); iii) activation of the phosphatidylinositol 3-kinase/Akt pathway (23); and iv) modulation of immune responses (24). Whatever the mechanisms, our data clearly show that colon cancers express significantly higher levels of ADM than uninvolved mucosae. In contrast, ADM was not overexpressed in stomach cancers. This suggests that stomach cancer progression may be fundamentally different from that of colon cancer. Correlations between ADM expression levels and pathological parameters further support our contention that ADM expression has biological significance in colon cancer. Current prognostic assessment of colon cancer is based on the AJCC TNM staging system. The survival data presented here indicate that determination of ADM expression levels may provide useful additional prognostic information.

In conclusion, we have shown that ADM expression levels are significantly higher in colon cancer tissues than in uninvolved colonic mucosae and that this higher expression is correlated with tumor stage and clinical survival rate. Collectively, these data indicate that ADM is involved in colon cancer progression.

Acknowledgements

This research was supported by the Kyung Hee University Research Fund in 2011 (KHU-20100136).

References

1 

Kitamura K, Kangawa K, Kawamoto M, Ichiki Y, Nakamura S, Matsuo H and Eto T: Adrenomedullin: a novel hypotensive peptide isolated from human pheochromocytoma. Biochem Biophys Res Commun. 192:553–560. 1993. View Article : Google Scholar : PubMed/NCBI

2 

Eipper BA, Stoffers DA and Mains RE: The biosynthesis of neuropeptides: peptide α-amidation (Review). Annu Rev Neurosci. 15:57–85. 1992.

3 

Kamitani S, Asakawa M, Shimekake Y, Kuwasako K, Nakahara K and Sakata T: The RAMP2/CRLR complex is a functional adrenomedullin receptor in human endothelial and vascular smooth muscle cells. FEBS Lett. 448:111–114. 1999. View Article : Google Scholar : PubMed/NCBI

4 

Hinson JP, Kapas S and Smith DM: Adrenomedullin, a multifunctional regulatory peptide (Review). Endocr Rev. 21:138–167. 2000.PubMed/NCBI

5 

Li Z, Takeuchi S, Otani T and Maruo T: Implications of adrenomedullin expression in the invasion of squamous cell carcinoma of the uterine cervix. Int J Clin Oncol. 6:263–270. 2001. View Article : Google Scholar : PubMed/NCBI

6 

Martínez A, Vos M, Guédez L, Kaur G, Chen Z, Garayoa M, Pío R, Moody T, Stetler-Stevenson WG, Kleinman HK and Cuttitta F: The effects of adrenomedullin overexpression in breast tumor cells. J Natl Cancer Inst. 94:1226–1237. 2002.PubMed/NCBI

7 

Zudaire E, Martínez A and Cuttitta F: Adrenomedullin and cancer (Review). Regul Pept. 112:175–183. 2003. View Article : Google Scholar

8 

Hanahan D and Weinberg RA: The hallmarks of cancer (Review). Cell. 100:57–70. 2000. View Article : Google Scholar

9 

Möller P, Koretz K, Leithäuser F, Brüderlein S, Henne C, Quentmeier A and Krammer PH: Expression of APO-1 (CD95), a member of the NGF/TNF receptor superfamily, in normal and neoplastic colon epithelium. Int J Cancer. 57:371–377. 1994.PubMed/NCBI

10 

Rich JN, Borton AJ and Wang X: Transforming growth factor-b signaling in cancer (Review). Microsc Res Tech. 52:363–373. 2001. View Article : Google Scholar

11 

Oehler MK, Norbury C, Hague S, Rees MC and Bicknell R: Adrenomedullin inhibits hypoxic cell death by upregulation of Bcl-2 in endometrial cancer cells: a possible promotion mechanism for tumour growth. Oncogene. 20:2937–2945. 2001. View Article : Google Scholar : PubMed/NCBI

12 

Ryu BK, Lee MG, Chi SG, Kim YW and Park JH: Increased expression of cFLIP(L) in colonic adenocarcinoma. J Pathol. 194:15–19. 2001. View Article : Google Scholar : PubMed/NCBI

13 

Hinson JP, Thomson LM and Kapas S: Adrenomedullin and CGRP receptors mediate different effects in the rat adrenal cortex. Endocr Res. 24:725–728. 1998. View Article : Google Scholar : PubMed/NCBI

14 

Satoh F, Takahashi K, Murakami O, Totsune K, Sone M, Ohneda M, Abe K, Miura Y, Hayashi Y and Sasano H: Adrenomedullin in human brain, adrenal glands and tumor tissues of pheochromocytoma, ganglioneuroblastoma and neuroblastoma. J Clin Endocrinol Metab. 80:1750–1752. 1995.

15 

Martinez A, Miller MJ, Unsworth EJ, Siegfried JM and Cuttitta F: Expression of adrenomedullin in normal human lung and in pulmonary tumors. Endocrinology. 136:4099–4105. 1995.PubMed/NCBI

16 

Ouafik L, Sauze S, Boudouresque F, Chinot O, Delfino C, Fina F, Vuaroqueaux V, Dussert C, Palmari J, Dufour H, et al: Neutralization of adrenomedullin inhibits the growth of human glioblastoma cell lines in vitro and suppresses tumor xenograft growth in vivo. Am J Pathol. 160:1279–1292. 2002. View Article : Google Scholar : PubMed/NCBI

17 

Miller MJ, Martínez A, Unsworth EJ, Thiele CJ, Moody TW, Elsasser T and Cuttitta F: Adrenomedullin expression in human tumor cell lines. Its potential role as an autocrine growth factor. J Biol Chem. 271:23345–23351. 1996. View Article : Google Scholar : PubMed/NCBI

18 

Nakayama M, Takahashi K, Murakami O, Shirato K and Shibahara S: Induction of adrenomedullin by hypoxia and cobalt chloride in human colorectal carcinoma cells. Biochem Biophys Res Commun. 243:514–517. 1998. View Article : Google Scholar : PubMed/NCBI

19 

Kitani M, Sakata J, Asada Y, Kitamura K and Eto T: Distribution and expression of adrenomedullin in human gastrointestinal tissue. Ann Clin Biochem. 35:643–648. 1998. View Article : Google Scholar

20 

Marutsuka K, Nawa Y, Asada Y, Hara S, Kitamura K, Eto T and Sumiyoshi A: Adrenomedullin and proadrenomudullin N-terminal 20 peptide (PAMP) are present in human colonic epithelia and exert an antimicrobial effect. Exp Physiol. 86:543–545. 2001. View Article : Google Scholar : PubMed/NCBI

21 

Garayoa M, Martínez A, Lee S, Pio R, An WG, Neckers L, Trepel J, Montuenga LM, Ryan H, Johnson R, et al: Hypoxia-inducible factor-1 (HIF-1) up-regulates adrenomedullin expression in human tumor cell lines during oxygen deprivation: a possible promotion mechanism of carcinogenesis. Mol Endocrinol. 14:848–862. 2000. View Article : Google Scholar

22 

Zhao Y, Hague S, Manek S, Zhang L, Bicknell R and Rees MC: PCR display identifies tamoxifen induction of the novel angiogenic factor adrenomedullin by an non estrogenic mechanism in the human endometrium. Oncogene. 16:409–415. 1998. View Article : Google Scholar : PubMed/NCBI

23 

Kim W, Moon SO, Sung MJ, Kim SH, Lee S, Kim HJ, Koh GY and Park SK: Protective effect of adrenomedullin in mannitol-induced apoptosis. Apoptosis. 7:527–536. 2002. View Article : Google Scholar : PubMed/NCBI

24 

Kamoi H, Kanazawa H, Hirata K, Kurihara N, Yano Y and Otani S: Adrenomedullin inhibits the secretion of cytokine-induced neurtophil chemoattractant, a member of the interleukin-8 family, from rat alveolar macrophages. Biochem Biophys Res Commun. 211:1031–1035. 1995. View Article : Google Scholar : PubMed/NCBI

Related Articles

  • Abstract
  • View
  • Download
  • Twitter
Copy and paste a formatted citation
Spandidos Publications style
Kim J, Park W, Lee S and Park J: Adrenomedullin is involved in the progression of colonic adenocarcinoma. Mol Med Rep 6: 1030-1034, 2012.
APA
Kim, J., Park, W., Lee, S., & Park, J. (2012). Adrenomedullin is involved in the progression of colonic adenocarcinoma. Molecular Medicine Reports, 6, 1030-1034. https://doi.org/10.3892/mmr.2012.1045
MLA
Kim, J., Park, W., Lee, S., Park, J."Adrenomedullin is involved in the progression of colonic adenocarcinoma". Molecular Medicine Reports 6.5 (2012): 1030-1034.
Chicago
Kim, J., Park, W., Lee, S., Park, J."Adrenomedullin is involved in the progression of colonic adenocarcinoma". Molecular Medicine Reports 6, no. 5 (2012): 1030-1034. https://doi.org/10.3892/mmr.2012.1045
Copy and paste a formatted citation
x
Spandidos Publications style
Kim J, Park W, Lee S and Park J: Adrenomedullin is involved in the progression of colonic adenocarcinoma. Mol Med Rep 6: 1030-1034, 2012.
APA
Kim, J., Park, W., Lee, S., & Park, J. (2012). Adrenomedullin is involved in the progression of colonic adenocarcinoma. Molecular Medicine Reports, 6, 1030-1034. https://doi.org/10.3892/mmr.2012.1045
MLA
Kim, J., Park, W., Lee, S., Park, J."Adrenomedullin is involved in the progression of colonic adenocarcinoma". Molecular Medicine Reports 6.5 (2012): 1030-1034.
Chicago
Kim, J., Park, W., Lee, S., Park, J."Adrenomedullin is involved in the progression of colonic adenocarcinoma". Molecular Medicine Reports 6, no. 5 (2012): 1030-1034. https://doi.org/10.3892/mmr.2012.1045
Follow us
  • Twitter
  • LinkedIn
  • Facebook
About
  • Spandidos Publications
  • Careers
  • Cookie Policy
  • Privacy Policy
How can we help?
  • Help
  • Live Chat
  • Contact
  • Email to our Support Team