Spandidos Publications Logo
  • About
    • About Spandidos
    • Aims and Scopes
    • Abstracting and Indexing
    • Editorial Policies
    • Reprints and Permissions
    • Job Opportunities
    • Terms and Conditions
    • Contact
  • Journals
    • All Journals
    • Oncology Letters
      • Oncology Letters
      • Information for Authors
      • Editorial Policies
      • Editorial Board
      • Aims and Scope
      • Abstracting and Indexing
      • Bibliographic Information
      • Archive
    • International Journal of Oncology
      • International Journal of Oncology
      • Information for Authors
      • Editorial Policies
      • Editorial Board
      • Aims and Scope
      • Abstracting and Indexing
      • Bibliographic Information
      • Archive
    • Molecular and Clinical Oncology
      • Molecular and Clinical Oncology
      • Information for Authors
      • Editorial Policies
      • Editorial Board
      • Aims and Scope
      • Abstracting and Indexing
      • Bibliographic Information
      • Archive
    • Experimental and Therapeutic Medicine
      • Experimental and Therapeutic Medicine
      • Information for Authors
      • Editorial Policies
      • Editorial Board
      • Aims and Scope
      • Abstracting and Indexing
      • Bibliographic Information
      • Archive
    • International Journal of Molecular Medicine
      • International Journal of Molecular Medicine
      • Information for Authors
      • Editorial Policies
      • Editorial Board
      • Aims and Scope
      • Abstracting and Indexing
      • Bibliographic Information
      • Archive
    • Biomedical Reports
      • Biomedical Reports
      • Information for Authors
      • Editorial Policies
      • Editorial Board
      • Aims and Scope
      • Abstracting and Indexing
      • Bibliographic Information
      • Archive
    • Oncology Reports
      • Oncology Reports
      • Information for Authors
      • Editorial Policies
      • Editorial Board
      • Aims and Scope
      • Abstracting and Indexing
      • Bibliographic Information
      • Archive
    • Molecular Medicine Reports
      • Molecular Medicine Reports
      • Information for Authors
      • Editorial Policies
      • Editorial Board
      • Aims and Scope
      • Abstracting and Indexing
      • Bibliographic Information
      • Archive
    • World Academy of Sciences Journal
      • World Academy of Sciences Journal
      • Information for Authors
      • Editorial Policies
      • Editorial Board
      • Aims and Scope
      • Abstracting and Indexing
      • Bibliographic Information
      • Archive
    • International Journal of Functional Nutrition
      • International Journal of Functional Nutrition
      • Information for Authors
      • Editorial Policies
      • Editorial Board
      • Aims and Scope
      • Abstracting and Indexing
      • Bibliographic Information
      • Archive
    • International Journal of Epigenetics
      • International Journal of Epigenetics
      • Information for Authors
      • Editorial Policies
      • Editorial Board
      • Aims and Scope
      • Abstracting and Indexing
      • Bibliographic Information
      • Archive
    • Medicine International
      • Medicine International
      • Information for Authors
      • Editorial Policies
      • Editorial Board
      • Aims and Scope
      • Abstracting and Indexing
      • Bibliographic Information
      • Archive
  • Articles
  • Information
    • Information for Authors
    • Information for Reviewers
    • Information for Librarians
    • Information for Advertisers
    • Conferences
  • Language Editing
Spandidos Publications Logo
  • About
    • About Spandidos
    • Aims and Scopes
    • Abstracting and Indexing
    • Editorial Policies
    • Reprints and Permissions
    • Job Opportunities
    • Terms and Conditions
    • Contact
  • Journals
    • All Journals
    • Biomedical Reports
      • Information for Authors
      • Editorial Policies
      • Editorial Board
      • Aims and Scope
      • Abstracting and Indexing
      • Bibliographic Information
      • Archive
    • Experimental and Therapeutic Medicine
      • Information for Authors
      • Editorial Policies
      • Editorial Board
      • Aims and Scope
      • Abstracting and Indexing
      • Bibliographic Information
      • Archive
    • International Journal of Epigenetics
      • Information for Authors
      • Editorial Policies
      • Editorial Board
      • Aims and Scope
      • Abstracting and Indexing
      • Bibliographic Information
      • Archive
    • International Journal of Functional Nutrition
      • Information for Authors
      • Editorial Policies
      • Editorial Board
      • Aims and Scope
      • Abstracting and Indexing
      • Bibliographic Information
      • Archive
    • International Journal of Molecular Medicine
      • Information for Authors
      • Editorial Policies
      • Editorial Board
      • Aims and Scope
      • Abstracting and Indexing
      • Bibliographic Information
      • Archive
    • International Journal of Oncology
      • Information for Authors
      • Editorial Policies
      • Editorial Board
      • Aims and Scope
      • Abstracting and Indexing
      • Bibliographic Information
      • Archive
    • Medicine International
      • Information for Authors
      • Editorial Policies
      • Editorial Board
      • Aims and Scope
      • Abstracting and Indexing
      • Bibliographic Information
      • Archive
    • Molecular and Clinical Oncology
      • Information for Authors
      • Editorial Policies
      • Editorial Board
      • Aims and Scope
      • Abstracting and Indexing
      • Bibliographic Information
      • Archive
    • Molecular Medicine Reports
      • Information for Authors
      • Editorial Policies
      • Editorial Board
      • Aims and Scope
      • Abstracting and Indexing
      • Bibliographic Information
      • Archive
    • Oncology Letters
      • Information for Authors
      • Editorial Policies
      • Editorial Board
      • Aims and Scope
      • Abstracting and Indexing
      • Bibliographic Information
      • Archive
    • Oncology Reports
      • Information for Authors
      • Editorial Policies
      • Editorial Board
      • Aims and Scope
      • Abstracting and Indexing
      • Bibliographic Information
      • Archive
    • World Academy of Sciences Journal
      • Information for Authors
      • Editorial Policies
      • Editorial Board
      • Aims and Scope
      • Abstracting and Indexing
      • Bibliographic Information
      • Archive
  • Articles
  • Information
    • For Authors
    • For Reviewers
    • For Librarians
    • For Advertisers
    • Conferences
  • Language Editing
Login Register Submit
  • This site uses cookies
  • You can change your cookie settings at any time by following the instructions in our Cookie Policy. To find out more, you may read our Privacy Policy.

    I agree
Search articles by DOI, keyword, author or affiliation
Search
Advanced Search
presentation
Experimental and Therapeutic Medicine
Join Editorial Board Propose a Special Issue
Print ISSN: 1792-0981 Online ISSN: 1792-1015
Journal Cover
December-2015 Volume 10 Issue 6

Full Size Image

Sign up for eToc alerts
Recommend to Library

Journals

International Journal of Molecular Medicine

International Journal of Molecular Medicine

International Journal of Molecular Medicine is an international journal devoted to molecular mechanisms of human disease.

International Journal of Oncology

International Journal of Oncology

International Journal of Oncology is an international journal devoted to oncology research and cancer treatment.

Molecular Medicine Reports

Molecular Medicine Reports

Covers molecular medicine topics such as pharmacology, pathology, genetics, neuroscience, infectious diseases, molecular cardiology, and molecular surgery.

Oncology Reports

Oncology Reports

Oncology Reports is an international journal devoted to fundamental and applied research in Oncology.

Experimental and Therapeutic Medicine

Experimental and Therapeutic Medicine

Experimental and Therapeutic Medicine is an international journal devoted to laboratory and clinical medicine.

Oncology Letters

Oncology Letters

Oncology Letters is an international journal devoted to Experimental and Clinical Oncology.

Biomedical Reports

Biomedical Reports

Explores a wide range of biological and medical fields, including pharmacology, genetics, microbiology, neuroscience, and molecular cardiology.

Molecular and Clinical Oncology

Molecular and Clinical Oncology

International journal addressing all aspects of oncology research, from tumorigenesis and oncogenes to chemotherapy and metastasis.

World Academy of Sciences Journal

World Academy of Sciences Journal

Multidisciplinary open-access journal spanning biochemistry, genetics, neuroscience, environmental health, and synthetic biology.

International Journal of Functional Nutrition

International Journal of Functional Nutrition

Open-access journal combining biochemistry, pharmacology, immunology, and genetics to advance health through functional nutrition.

International Journal of Epigenetics

International Journal of Epigenetics

Publishes open-access research on using epigenetics to advance understanding and treatment of human disease.

Medicine International

Medicine International

An International Open Access Journal Devoted to General Medicine.

Journal Cover
December-2015 Volume 10 Issue 6

Full Size Image

Sign up for eToc alerts
Recommend to Library

  • Article
  • Citations
    • Cite This Article
    • Download Citation
    • Create Citation Alert
    • Remove Citation Alert
    • Cited By
  • Similar Articles
    • Related Articles (in Spandidos Publications)
    • Similar Articles (Google Scholar)
    • Similar Articles (PubMed)
  • Download PDF
  • Download XML
  • View XML
Case Report

Pediatric sinonasal rhabdomyosarcoma: A case report

  • Authors:
    • Asli Bostanci
    • Mehmet Asik
    • Murat Turhan
  • View Affiliations / Copyright

    Affiliations: Department of Otolaryngology, Head and Neck Surgery, Akdeniz University School of Medicine, Antalya 07070, Turkey
  • Pages: 2444-2446
    |
    Published online on: October 30, 2015
       https://doi.org/10.3892/etm.2015.2839
  • Expand metrics +
Metrics: Total Views: 0 (Spandidos Publications: | PMC Statistics: )
Metrics: Total PDF Downloads: 0 (Spandidos Publications: | PMC Statistics: )
Cited By (CrossRef): 0 citations Loading Articles...

This article is mentioned in:



Abstract

Pediatric sinonasal rhabdomyosarcoma (PSR) is a rare condition, with a limited number of previously reported cases. It is an aggressive malignancy associated with poor outcomes, and no consensus has been reached on the optimal therapeutic strategy. The present study reported the case of embryonal PSR in a 2‑year old girl, presenting with unilateral nasal obstruction and a polypoid mass protruding from the left nasal cavity. The pediatric patient was initially treated with surgical resection, followed by adjuvant chemotherapy containing vincristine (1.5 mg/m2, weekly) and actinomycin‑D (1.5 mg/m2, three times weekly). On the 10th month of follow‑up, tumor recurrence was detected and a salvage surgery was performed, while the same chemotherapy regimen was resumed. Following the first cycle of chemotherapy, the patient developed a fungal bronchopneumonia and succumbed due to disease progression, acute respiratory distress syndrome and septic shock 12 months after diagnosis.

Introduction

Rhabdomyosarcoma is the most common childhood sarcoma. It is a highly aggressive malignant tumor arising in the mesenchymal cells and developing in the striated muscle (1). This particular tumor may appear in any organ or tissue of the body, with the exception of the bone. Approximately 35% of rhabdomyosarcomas occur in the head and neck region, with ~50% of them arising in the parameningeal sites, including the paranasal sinuses and nasal cavity (2).

Due to the rarity and largely unknown biological behavior of rhabdomyosarcomas, the management of pediatric sinonasal rhabdomyosarcoma (PSR) remains challenging. The cure rate for localized disease has increased over the past 30 years due to the use of multimodal therapy, which includes surgery and multiagent chemotherapy with or without radiotherapy (1,3). However, the majority of the patients have a poor prognosis, since the tumor has a tendency towards early and extensive local and metastatic dissemination (4).

The present study reported the case of a 2-year old girl with rapid progressive clinical course of PSR, despite multimodal therapy, including primary and salvage surgeries and chemotherapy.

Case report

The present study was conducted in accordance with the Declaration of Helsinki and was approved by the Ethics Committee of the Akdeniz University School of Medicine (Antalya, Turkey). Written informed consent was obtained from the patient's family.

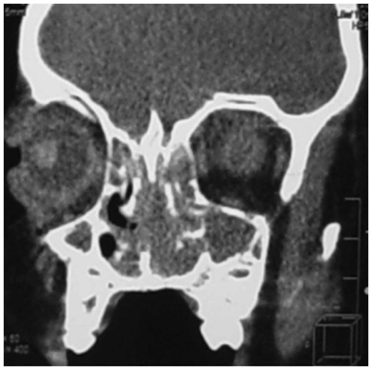
A 2-year old girl was referred to the Akdeniz University School of Medicine in August 2013 with a 3-month history of unilateral nasal obstruction and purulent rhinorrhea. Multiple medications, including amoxicillin clavulanate, clarithromycin, hypertonic nasal irrigation solutions and nasal decongestants, prescribed by several different specialists due to diagnosis of rhinosinusitis failed to improve the symptoms. Physical examination showed a hemorrhagic, fragile and polypoid tumoral mass within the left nasal cavity. A paranasal computed tomography (CT) scan revealed an irregular mass filling the entire left maxillary sinus, ethmoidal sinus and nasopharynx (Fig. 1). Biopsy samples were obtained for definitive histopathological analysis. Mitotically active, small-round tumor cells with a high nucleocytoplasmic ratio were detected upon microscopic examination (Fig. 2A). Immunohistochemical staining showed that the tumor exhibited strong immunoreactivity for CD56 and desmin (Fig. 2B–C); however, no staining was observed for myogenin, CD99 and CD20. These histological and immunohistochemical findings were consistent with a diagnosis of embryonal rhabdomyosarcoma.

Figure 1.

Paranasal computed tomography scan of rhabdomyosarcoma filling the entire left maxillary sinus, ethmoidal cells and nasopharynx.

Figure 2.

Embryonal rhabdomyosarcoma. Mitotically active, small-round tumor cells with a high nucleocytoplasmic ratio were observed, based on staining using (A) hematoxylin and eosin (magnification, ×10), (B) desmin (magnification, ×20) and (C) CD56 (magnification, ×20).

The tumor was completely resected using an endoscopic approach and the surgical margins were found to be negative for tumor infiltration, while metastatic work-up was negative for systemic dissemination. Thus, the patient was diagnosed with stage IB disease, according to the Intergroup Rhabdomyosarcoma Study (IRS) staging system (5). A total of six cycles of adjuvant chemotherapy with vincristine (1.5 mg/m2, weekly) and actinomycin-D (1.5 mg/m2, three times weekly) were administered with no severe adverse events. On the 10th month of follow-up (June 2014), a paranasal CT scan revealed a local-regional recurrence within the left nasal cavity. Salvage surgery was performed in order to remove the recurrent tumor using an endoscopic approach. The recurrent tumor was completely resected and histopathological analysis indicated a diagnosis of recurrent rhabdomyosarcoma. The same chemotherapy regimen was resumed, following salvage surgery. The pediatric patient developed a fungal bronchopneumonia subsequent to the first cycle of chemotherapy and was further treated with intravenous antifungal antibiotics. However, medical treatment failed to improve the clinical condition of the patient, and she was admitted to the Intensive Care Unit. The results of blood gas test and chest radiography, which revealed diffuse pulmonary infiltrates, were compatible with acute respiratory distress syndrome (ARDS). The patient succumbed due to disease progression, ARDS and septic shock 12 months after diagnosis (August 2014).

Discussion

PSR, particularly at its earliest stages, produces symptoms that may be incorrectly attributed to allergy and infection. Nasal obstruction, epistaxis and drainage are often exhibited prior to the presentation of more severe symptoms, such as cranial neuropathy (4). As observed in the present case, these indistinct symptoms may impede the early diagnosis and treatment of the disease. All patients suffering from these symptoms should therefore undergo an initial complete clinical evaluation of their medical history, physical examination and nasopharyngoscopy. Endoscopic evaluation usually reveals a unilateral, polypoid mass (6), and a biopsy should be performed to rule out the possibility of an invasive tumor.

Although pediatric rhabdomyosarcoma is a morphologically and genetically heterogeneous tumor, two cell types are common, the embryonal and alveolar types, each characterized by specific genetic alterations (7). The embryonal type is the most common histological type of head and neck rhabdomyosarcoma (2), and has been linked to the loss of homozygosity on chromosome 11p15, the location of insulin-like growth factor II. By contrast, alveolar tumors often have a chromosomal translocation [t(2;13)(q35;q14)] that fuses the PAX3 gene with the FKHR gene, contributing to tumorigenesis (7). In contrast to other mucosa-associated head and neck rhabdomyosarcomas, PSR predominantly shows an alveolar histology, particularly the solid alveolar type (8). Using immunohistochemical staining, PSR shows positive immunoreactivity for desmin and myogenin, and negative immunoreactivity for cytokeratin, epithelial membrane antigen, CD45, CD99 and S-100 protein (9). The majority of alveolar tumors are strongly positive for myogenin, whereas embryonal tumors often exhibit positivity to a lesser degree (9,10), which is in agreement with the immunohistochemistry results of the present case.

The embryonal and alveolar subtypes of pediatric rhabdomyosarcoma have diverse prognostic factors and outcomes, with 5-year failure-free survival rates ranging between 31 and 87% according to the patient age, stage, histological type and tumor site (11). The overall outcomes of patients with the alveolar histology are worse than those of patients with the embryonal histology. In addition, due to its parameningeal location, PSR has a potential for cerebrospinal fluid dissemination, which contributes to a poor prognosis (12). Thereby, early diagnosis and optimal management are important in reducing morbidity and mortality. Comprehensive imaging studies, including paranasal CT or magnetic resonance imaging scans, should be performed in order to anatomically localize the tumor site and extent of the disease, and to determine the correct disease stage.

The treatment of pediatric rhabdomyosarcoma often requires a multimodal therapy, including surgery, chemotherapy and radiotherapy (3); however, it is not currently possible to determine the best treatment strategy on the basis of high-level scientific evidence, since previous IRS trials comprise a heterogeneous population and do not evaluate the treatment outcomes specifically for PSR (11). The surgical goal is the complete excision of the primary tumor, whenever possible, without causing major functional or cosmetic deficits. Incompletely resected tumors or tumors with a positive resection margin are generally treated with radiotherapy (13). Novel techniques of implementing radiotherapy, including intensity-modulated, proton beam radiotherapy and brachytherapy may reduce long-term sequelae, as compared with three-dimensional conformal radiotherapy (14). In addition, all patients with rhabdomyosarcoma require treatment with chemotherapy (15). The most commonly used regimens include vincristine and actinomycin-D in combination with an alkylating agent, such as cyclophosphamide or ifosfamide. Compared with tumors in other regions, PSRs have a decreased response to treatment, a relapse rate of 30–40% and a greater potential for early metastasis (16). The majority of rhabdomyosarcoma recurrences involve the primary site or adjacent region. Although salvage surgery is advocated for resectable residual or recurrent PSR, the evidence for its efficacy is considerably limited (15,16).

In conclusion, PSR is a rare aggressive malignancy associated with poor outcomes. Only a limited number of PSR cases have previously been reported (2,4,6,8,11,13,14). The present report emphasized the prognostic significance of the tumor site and the age upon diagnosis of rhabdomyosarcoma, as well as the necessity of a multidisciplinary management strategy in clinical centers with adequate experience.

References

1 

McDowell HP: Update on childhood rhabdomyosarcoma. Arch Dis Child. 88:354–357. 2003. View Article : Google Scholar : PubMed/NCBI

2 

Hicks J and Flaitz C: Rhabdomyosarcoma of the head and neck in children. Oral Oncol. 38:450–459. 2002. View Article : Google Scholar : PubMed/NCBI

3 

Walterhouse D and Watson A: Optimal management strategies for rhabdomyosarcoma in children. Paediatr Drugs. 9:391–400. 2007. View Article : Google Scholar : PubMed/NCBI

4 

Herrmann BW, Sotelo-Avila C and Eisenbeis JF: Pediatric sinonasal rhabdomyosarcoma: Three cases and a review of the literature. Am J Otolaryngol. 24:174–180. 2003. View Article : Google Scholar : PubMed/NCBI

5 

Lawrence W Jr, Anderson JR, Gehan EA and Maurer H: Pretreatment TNM staging of childhood rhabdomyosarcoma: A report of the Intergroup Rhabdomyosarcoma Study Group. Children's Cancer Study Group. Pediatric Oncology Group. Cancer. 80:1165–1170. 1997. View Article : Google Scholar : PubMed/NCBI

6 

Fyrmpas G, Wurm J, Athanassiadou F, Papageorgiou T, Beck JD, Iro H and Constantinidis J: Management of paediatric sinonasal rhabdomyosarcoma. J Laryngol Otol. 123:990–996. 2009. View Article : Google Scholar : PubMed/NCBI

7 

Pappo AS, Shapiro DN, Crist WM and Maurer HM: Biology and therapy of pediatric rhabdomyosarcoma. J Clin Oncol. 13:2123–2139. 1995.PubMed/NCBI

8 

Ahmed AA and Tsokos M: Sinonasal rhabdomyosarcoma in children and young adults. Int J Surg Pathol. 15:160–165. 2007. View Article : Google Scholar : PubMed/NCBI

9 

Kumar S, Perlman E, Harris CA, Raffeld M and Tsokos M: Myogenin is a specific marker for rhabdomyosarcoma: An immunohistochemical study in paraffin-embedded tissues. Mod Pathol. 13:988–993. 2000. View Article : Google Scholar : PubMed/NCBI

10 

Cessna MH, Zhou H, Perkins SL, Tripp SR, Layfield L, Daines C and Coffin CM: Are myogenin and MyoD1 expression specific for rhabdomyosarcoma? A study of 150 cases, with emphasis on spindle cell mimics. Am J Surg Pathol. 25:1150–1157. 2001. View Article : Google Scholar : PubMed/NCBI

11 

Meza JL, Anderson J, Pappo AS and Meyer WH: Children's Oncology Group: Analysis of prognostic factors in patients with nonmetastatic rhabdomyosarcoma treated on intergroup rhabdomyosarcoma studies III and IV: The Children's Oncology Group. J Clin Oncol. 24:3844–3851. 2006. View Article : Google Scholar : PubMed/NCBI

12 

Sturgis EM and Potter BO: Sarcomas of the head and neck region. Curr Opin Oncol. 15:239–252. 2003. View Article : Google Scholar : PubMed/NCBI

13 

Daya H, Chan HS, Sirkin W and Forte V: Pediatric rhabdomyosarcoma of the head and neck: Is there a place for surgical management? Arch Otolaryngol Head Neck Surg. 126:468–472. 2000. View Article : Google Scholar : PubMed/NCBI

14 

Gosiengfiao Y, Reichek J and Walterhouse D: What is new in rhabdomyosarcoma management in children? Paediatr Drugs. 14:389–400. 2012. View Article : Google Scholar : PubMed/NCBI

15 

Buwalda J, Blank LE, Schouwenburg PF, Copper MP, Strackee SD, Voûte PA, Merks JH and Caron HN: The AMORE protocol as salvage treatment for non-orbital head and neck rhabdomyosarcoma in children. Eur J Surg Oncol. 30:884–892. 2004. View Article : Google Scholar : PubMed/NCBI

16 

Paulino AC, Bauman N, Simon JH, Nguyen TX, Ritchie JM and Tannous R: Local control of parameningeal rhabdomyosarcoma: Outcomes in non-complete responders to chemoradiation. Med Pediatr Oncol. 41:118–122. 2003. View Article : Google Scholar : PubMed/NCBI

Related Articles

  • Abstract
  • View
  • Download
  • Twitter
Copy and paste a formatted citation
Spandidos Publications style
Bostanci A, Asik M and Turhan M: Pediatric sinonasal rhabdomyosarcoma: A case report. Exp Ther Med 10: 2444-2446, 2015.
APA
Bostanci, A., Asik, M., & Turhan, M. (2015). Pediatric sinonasal rhabdomyosarcoma: A case report. Experimental and Therapeutic Medicine, 10, 2444-2446. https://doi.org/10.3892/etm.2015.2839
MLA
Bostanci, A., Asik, M., Turhan, M."Pediatric sinonasal rhabdomyosarcoma: A case report". Experimental and Therapeutic Medicine 10.6 (2015): 2444-2446.
Chicago
Bostanci, A., Asik, M., Turhan, M."Pediatric sinonasal rhabdomyosarcoma: A case report". Experimental and Therapeutic Medicine 10, no. 6 (2015): 2444-2446. https://doi.org/10.3892/etm.2015.2839
Copy and paste a formatted citation
x
Spandidos Publications style
Bostanci A, Asik M and Turhan M: Pediatric sinonasal rhabdomyosarcoma: A case report. Exp Ther Med 10: 2444-2446, 2015.
APA
Bostanci, A., Asik, M., & Turhan, M. (2015). Pediatric sinonasal rhabdomyosarcoma: A case report. Experimental and Therapeutic Medicine, 10, 2444-2446. https://doi.org/10.3892/etm.2015.2839
MLA
Bostanci, A., Asik, M., Turhan, M."Pediatric sinonasal rhabdomyosarcoma: A case report". Experimental and Therapeutic Medicine 10.6 (2015): 2444-2446.
Chicago
Bostanci, A., Asik, M., Turhan, M."Pediatric sinonasal rhabdomyosarcoma: A case report". Experimental and Therapeutic Medicine 10, no. 6 (2015): 2444-2446. https://doi.org/10.3892/etm.2015.2839
Follow us
  • Twitter
  • LinkedIn
  • Facebook
About
  • Spandidos Publications
  • Careers
  • Cookie Policy
  • Privacy Policy
How can we help?
  • Help
  • Live Chat
  • Contact
  • Email to our Support Team