Spandidos Publications Logo
  • About
    • About Spandidos
    • Aims and Scopes
    • Abstracting and Indexing
    • Editorial Policies
    • Reprints and Permissions
    • Job Opportunities
    • Terms and Conditions
    • Contact
  • Journals
    • All Journals
    • Oncology Letters
      • Oncology Letters
      • Information for Authors
      • Editorial Policies
      • Editorial Board
      • Aims and Scope
      • Abstracting and Indexing
      • Bibliographic Information
      • Archive
    • International Journal of Oncology
      • International Journal of Oncology
      • Information for Authors
      • Editorial Policies
      • Editorial Board
      • Aims and Scope
      • Abstracting and Indexing
      • Bibliographic Information
      • Archive
    • Molecular and Clinical Oncology
      • Molecular and Clinical Oncology
      • Information for Authors
      • Editorial Policies
      • Editorial Board
      • Aims and Scope
      • Abstracting and Indexing
      • Bibliographic Information
      • Archive
    • Experimental and Therapeutic Medicine
      • Experimental and Therapeutic Medicine
      • Information for Authors
      • Editorial Policies
      • Editorial Board
      • Aims and Scope
      • Abstracting and Indexing
      • Bibliographic Information
      • Archive
    • International Journal of Molecular Medicine
      • International Journal of Molecular Medicine
      • Information for Authors
      • Editorial Policies
      • Editorial Board
      • Aims and Scope
      • Abstracting and Indexing
      • Bibliographic Information
      • Archive
    • Biomedical Reports
      • Biomedical Reports
      • Information for Authors
      • Editorial Policies
      • Editorial Board
      • Aims and Scope
      • Abstracting and Indexing
      • Bibliographic Information
      • Archive
    • Oncology Reports
      • Oncology Reports
      • Information for Authors
      • Editorial Policies
      • Editorial Board
      • Aims and Scope
      • Abstracting and Indexing
      • Bibliographic Information
      • Archive
    • Molecular Medicine Reports
      • Molecular Medicine Reports
      • Information for Authors
      • Editorial Policies
      • Editorial Board
      • Aims and Scope
      • Abstracting and Indexing
      • Bibliographic Information
      • Archive
    • World Academy of Sciences Journal
      • World Academy of Sciences Journal
      • Information for Authors
      • Editorial Policies
      • Editorial Board
      • Aims and Scope
      • Abstracting and Indexing
      • Bibliographic Information
      • Archive
    • International Journal of Functional Nutrition
      • International Journal of Functional Nutrition
      • Information for Authors
      • Editorial Policies
      • Editorial Board
      • Aims and Scope
      • Abstracting and Indexing
      • Bibliographic Information
      • Archive
    • International Journal of Epigenetics
      • International Journal of Epigenetics
      • Information for Authors
      • Editorial Policies
      • Editorial Board
      • Aims and Scope
      • Abstracting and Indexing
      • Bibliographic Information
      • Archive
    • Medicine International
      • Medicine International
      • Information for Authors
      • Editorial Policies
      • Editorial Board
      • Aims and Scope
      • Abstracting and Indexing
      • Bibliographic Information
      • Archive
  • Articles
  • Information
    • Information for Authors
    • Information for Reviewers
    • Information for Librarians
    • Information for Advertisers
    • Conferences
  • Language Editing
Spandidos Publications Logo
  • About
    • About Spandidos
    • Aims and Scopes
    • Abstracting and Indexing
    • Editorial Policies
    • Reprints and Permissions
    • Job Opportunities
    • Terms and Conditions
    • Contact
  • Journals
    • All Journals
    • Biomedical Reports
      • Information for Authors
      • Editorial Policies
      • Editorial Board
      • Aims and Scope
      • Abstracting and Indexing
      • Bibliographic Information
      • Archive
    • Experimental and Therapeutic Medicine
      • Information for Authors
      • Editorial Policies
      • Editorial Board
      • Aims and Scope
      • Abstracting and Indexing
      • Bibliographic Information
      • Archive
    • International Journal of Epigenetics
      • Information for Authors
      • Editorial Policies
      • Editorial Board
      • Aims and Scope
      • Abstracting and Indexing
      • Bibliographic Information
      • Archive
    • International Journal of Functional Nutrition
      • Information for Authors
      • Editorial Policies
      • Editorial Board
      • Aims and Scope
      • Abstracting and Indexing
      • Bibliographic Information
      • Archive
    • International Journal of Molecular Medicine
      • Information for Authors
      • Editorial Policies
      • Editorial Board
      • Aims and Scope
      • Abstracting and Indexing
      • Bibliographic Information
      • Archive
    • International Journal of Oncology
      • Information for Authors
      • Editorial Policies
      • Editorial Board
      • Aims and Scope
      • Abstracting and Indexing
      • Bibliographic Information
      • Archive
    • Medicine International
      • Information for Authors
      • Editorial Policies
      • Editorial Board
      • Aims and Scope
      • Abstracting and Indexing
      • Bibliographic Information
      • Archive
    • Molecular and Clinical Oncology
      • Information for Authors
      • Editorial Policies
      • Editorial Board
      • Aims and Scope
      • Abstracting and Indexing
      • Bibliographic Information
      • Archive
    • Molecular Medicine Reports
      • Information for Authors
      • Editorial Policies
      • Editorial Board
      • Aims and Scope
      • Abstracting and Indexing
      • Bibliographic Information
      • Archive
    • Oncology Letters
      • Information for Authors
      • Editorial Policies
      • Editorial Board
      • Aims and Scope
      • Abstracting and Indexing
      • Bibliographic Information
      • Archive
    • Oncology Reports
      • Information for Authors
      • Editorial Policies
      • Editorial Board
      • Aims and Scope
      • Abstracting and Indexing
      • Bibliographic Information
      • Archive
    • World Academy of Sciences Journal
      • Information for Authors
      • Editorial Policies
      • Editorial Board
      • Aims and Scope
      • Abstracting and Indexing
      • Bibliographic Information
      • Archive
  • Articles
  • Information
    • For Authors
    • For Reviewers
    • For Librarians
    • For Advertisers
    • Conferences
  • Language Editing
Login Register Submit
  • This site uses cookies
  • You can change your cookie settings at any time by following the instructions in our Cookie Policy. To find out more, you may read our Privacy Policy.

    I agree
Search articles by DOI, keyword, author or affiliation
Search
Advanced Search
presentation
Experimental and Therapeutic Medicine
Join Editorial Board Propose a Special Issue
Print ISSN: 1792-0981 Online ISSN: 1792-1015
Journal Cover
June-2016 Volume 11 Issue 6

Full Size Image

Sign up for eToc alerts
Recommend to Library

Journals

International Journal of Molecular Medicine

International Journal of Molecular Medicine

International Journal of Molecular Medicine is an international journal devoted to molecular mechanisms of human disease.

International Journal of Oncology

International Journal of Oncology

International Journal of Oncology is an international journal devoted to oncology research and cancer treatment.

Molecular Medicine Reports

Molecular Medicine Reports

Covers molecular medicine topics such as pharmacology, pathology, genetics, neuroscience, infectious diseases, molecular cardiology, and molecular surgery.

Oncology Reports

Oncology Reports

Oncology Reports is an international journal devoted to fundamental and applied research in Oncology.

Experimental and Therapeutic Medicine

Experimental and Therapeutic Medicine

Experimental and Therapeutic Medicine is an international journal devoted to laboratory and clinical medicine.

Oncology Letters

Oncology Letters

Oncology Letters is an international journal devoted to Experimental and Clinical Oncology.

Biomedical Reports

Biomedical Reports

Explores a wide range of biological and medical fields, including pharmacology, genetics, microbiology, neuroscience, and molecular cardiology.

Molecular and Clinical Oncology

Molecular and Clinical Oncology

International journal addressing all aspects of oncology research, from tumorigenesis and oncogenes to chemotherapy and metastasis.

World Academy of Sciences Journal

World Academy of Sciences Journal

Multidisciplinary open-access journal spanning biochemistry, genetics, neuroscience, environmental health, and synthetic biology.

International Journal of Functional Nutrition

International Journal of Functional Nutrition

Open-access journal combining biochemistry, pharmacology, immunology, and genetics to advance health through functional nutrition.

International Journal of Epigenetics

International Journal of Epigenetics

Publishes open-access research on using epigenetics to advance understanding and treatment of human disease.

Medicine International

Medicine International

An International Open Access Journal Devoted to General Medicine.

Journal Cover
June-2016 Volume 11 Issue 6

Full Size Image

Sign up for eToc alerts
Recommend to Library

  • Article
  • Citations
    • Cite This Article
    • Download Citation
    • Create Citation Alert
    • Remove Citation Alert
    • Cited By
  • Similar Articles
    • Related Articles (in Spandidos Publications)
    • Similar Articles (Google Scholar)
    • Similar Articles (PubMed)
  • Download PDF
  • Download XML
  • View XML
Case Report

Primary pulmonary synovial sarcoma presenting with a large lump mass in the left upper mediastinum: A case report

  • Authors:
    • Ai‑Gui Jiang
    • Hong Yu
    • Xiao‑Yan Gao
    • Hui‑Yu Lu
  • View Affiliations / Copyright

    Affiliations: Department of Respiratory Medicine, Taizhou People's Hospital, Taizhou, Jiangsu 225300, P.R. China, Department of Pathology, Taizhou People's Hospital, Taizhou, Jiangsu 225300, P.R. China
  • Pages: 2395-2398
    |
    Published online on: April 8, 2016
       https://doi.org/10.3892/etm.2016.3237
  • Expand metrics +
Metrics: Total Views: 0 (Spandidos Publications: | PMC Statistics: )
Metrics: Total PDF Downloads: 0 (Spandidos Publications: | PMC Statistics: )
Cited By (CrossRef): 0 citations Loading Articles...

This article is mentioned in:


Abstract

Primary pulmonary synovial sarcoma is a rare lesion that occurs in 0.5% cases of lung malignancies. Chest computed tomography (CT) reveals a heterogeneously enhancing mass in the lobe or hilum of the lungs, frequently calcified and with pleural invasion. Involvement of the mediastinum in the course of primary pulmonary synovial sarcoma, in particular detection of a large mass in the mediastinum as the sole initial imaging manifestation, is extremely rare, which may contribute to a delayed diagnosis or misdiagnosis. The present case report describes an extremely rare case of a patient with primary pulmonary synovial sarcoma presenting with a large mass in the left upper mediastinum. A 59‑year‑old patient was admitted to the Department of Respiratory Medicine of Taizhou People's Hospital in May 2014, complaining of a persistent cough and blood sputum for 2 weeks. Following admission, a chest CT showed a large mass in the left upper mediastinum. Thoracoscopy was performed and revealed that the left pulmonary artery was engulfed by the mass, and thus surgical resection of the tumor was abandoned. The patient was definitively diagnosed with primary pulmonary synovial sarcoma following the histopathological and immunohistochemical analysis of biopsy specimens obtained via thoracoscopy. Following the final diagnosis, the patient was transferred to the Department of Oncology for chemotherapy treatments with ifosfamide and doxorubicin. Unfortunately, no partial regression was achieved after two rounds of chemotherapy, and the patient was lost to follow‑up 3 months after the diagnosis was confirmed. The present case may promote the consideration of primary pulmonary synovial sarcoma in the differential diagnosis of patients who present with a large mass in the mediastinum.

Introduction

Primary pulmonary synovial sarcoma is a rare lesion that occurs in 0.5% cases of lung malignancies (1). It is a highly aggressive malignant neoplasm that may arise from the lung parenchyma, bronchial tree or pulmonary arteries (1). It is more common in males and, unlike other malignancies, it has not been associated with cigarette smoking (1). The diagnosis of primary pulmonary synovial sarcoma requires clinical, radiological, pathological and immunohistochemical investigations to exclude alternative primary tumors and metastatic sarcoma (2). Immunohistochemistry and cytogenetic studies have reported an increasing incidence of primary synovial sarcomas among pulmonary synovial sarcomas (1–3).

Primary pulmonary synovial sarcoma has no diagnostic radiological features and the differential diagnosis of this tumor is very difficult. Chest computed tomography (CT) reveals a heterogeneously enhancing mass in the lobe or hilum of the lung, frequently calcified and with pleural invasion (4–6). However, involvement of the mediastinum, particularly presenting with a large lump mass in the mediastinum as the sole initial imaging manifestation, in the course of primary pulmonary synovial sarcoma is extremely rare, which may contribute to a delayed diagnosis or misdiagnosis. To the best of our knowledge, there are no prior reports describing a primary pulmonary synovial sarcoma presenting with a large lump mass in the mediastinum as the sole initial imaging manifestation in the English-language literature. The present study describes a case finally diagnosed as primary pulmonary synovial sarcoma, which initially manifested as a large lump mass in the mediastinum.

Case report

The present study was conducted in accordance with the Declaration of Helsinki and approved by the Ethics Committee of Taizhou People's Hospital (Jiangsu, China). Written informed consent was obtained from the patient. A 59-year-old patient was admitted to the Department of Respiratory Medicine of Taizhou People's Hospital in March 2014 complaining of a persistent cough and blood sputum for 2 weeks. The patient had no prior history of lung disease, but had a 30-year history of tobacco use, smoking one pack of cigarettes per day for 25 years. Following admission, physical examinations revealed a body weight of 65 kg, body height of 173 cm, body temperature of 37°C, pulse of 86 bpm, respiratory rate of 18 bpm and blood pressure of 110/72 mmHg. The patient had yellow skin and bloodshot eyes, but no cyanosis of the lips. No enlargement of superficial lymph nodes of the neck and no abnormality was detected in the cardiopulmonary physical examination.

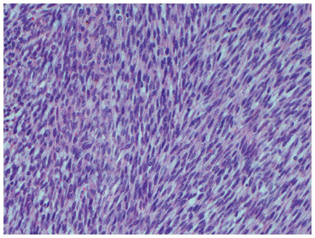
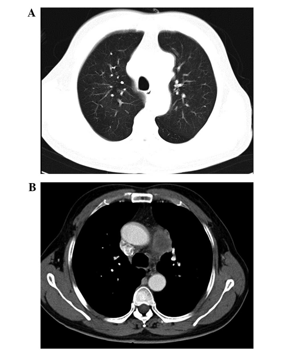
At the initial examination, laboratory results were as follows: Red blood cells, 3.98×1012/l (4–5.5×1012/l); hemoglobin, 118 g/l (120–160 g/l); white blood cells, 4.57×109/l (4–10×109/l); platelets, 121×109/l (100–300×109/l); and erythrocyte sedimentation rate, 23 mm/h (0–15 mm/h). Biochemical examination revealed the following results: Total serum protein, 61.6 g/l (66–87 g/l); albumin, 29.6 g/l (35–54 g/l); globulin, 32 g/l (20–40 g/l); C-reactive protein, 17 mg/l (0–5.0 mg/l); serums carcinoembryonic antigen, 5.12 ng/ml (0–6.5 ng/ml); neuron-specific enolase, 9.45 ng/ml (0–20.0 ng/ml); and CYFRA 21-1, 1.21 ng/ml (0.1–3.3 ng/ml). Chest CT revealed a large lump mass in left upper mediastinum (Fig. 1A and B). Thoracoscopy was performed and revealed that the left pulmonary artery was engulfed by the lump mass. As a result, the surgical resection of the tumor was abandoned. The patient was confirmed with a diagnosis of primary pulmonary synovial sarcoma following the histopathological and immunohistochemical analysis of biopsy specimens via thoracoscopy. Histologically, the lesion was composed of bundles of spindle-shaped cells, with areas of necrosis, sclerosis and hyalinosis (Fig. 2). Immunohistochemically, the tumor cells were positive for epithelial membrane antigen (EMA), CD99, B-cell lymphoma 2 (bcl-2) and vimentin (Figs. 3 and 4), but negative for S-100, SyN, Myo-D1 and CD20. Based on all of these findings, primary pulmonary synovial sarcoma was definitely diagnosed.

Figure 1.

Computed tomography scan showed a large lump mass in left upper mediastinum, but no significant lesion in the left lung. (A) Lung window and (B) mediastinal window.

Figure 2.

Histopathological analysis revealed the lesion was composed of bundles of spindle-shaped cells, with areas of necrosis, sclerosis and hyalinosis (stain, hematoxylin and eosin; magnification, ×100).

Figure 3.

Immunohistochemical staining revealed the tumour cells were positive for B-cell lymphoma 2 (stain, hematoxylin and eosin; magnification, ×200).

Figure 4.

Immunohistochemistry staining revealed the tumour cells were positive for vimentin (stain, hematoxylin and eosin; magnification, ×200).

Following confirmation, the patient was transferred to the Department of Oncology for chemotherapy treatments with ifosfamide (2.5 g/m2 i.v., day 1–3) and doxorubicin (25 mg/m2 i.v., day 1–3), which were planned to be repeated every 21 days. Unfortunately, no partial regression was achieved after two rounds of chemotherapy, and the patient was lost to follow-up 3 months after diagnosis.

Discussion

Primary pulmonary synovial sarcoma is rare, constituting <0.5% of all pulmonary malignancies (7) and ~10% of all primary pulmonary sarcomas (8). Primary pulmonary synovial sarcomas may arise from the parenchyma, tracheobronchial tree or pulmonary artery, and are designated as mesenchymal tumors in the World Health Organization classification (9).

Clinical symptoms of primary pulmonary synovial sarcoma may be associated with the histological type, region, size and degree of differentiation of the tumor (10). Patients suffering from primary pulmonary synovial sarcomas may have no overt symptoms during the initial stages; however, as the disease progresses, they are likely to present with a cough, chest pain caused by the tumor, hemoptysis from erosion of the airways and dyspnea caused by obstructive pneumonia (4).

Radiographic and subsequent CT imaging of the chest are typically conducted as primary investigative measures in the diagnosis of primary pulmonary synovial sarcoma. A chest CT scan showed that the majority of the masses were well-defined and measured >5 cm, displaying heterogeneous enhancement using intravenous contrast materials. Tumors of this type are often calcified and exhibit invasion of the pleura, resulting in pleural effusion (4,11). To the best of our knowledge, involvement of the mediastinum, particularly presenting with a large lump mass in the mediastinum as the sole initial imaging manifestation, in the course of primary pulmonary synovial sarcoma is extremely rare, which may have been a factor in the delayed diagnosis or misdiagnosis. We speculate a number of possible causes: i) The tumor in the present case may have originated in the left pulmonary artery and grew to the left upper mediastinum; or ii) the characteristics of expansive growth, well-defined with coated or fake capsule formation of the tumor resulted in clear delineation between the tumor and the lung.

Diagnosis of primary pulmonary synovial sarcoma was based on pathological and immunohistochemical analyses, as well as physical and radiological examinations to exclude alternative primary tumors and metastatic sarcoma. Primary pulmonary synovial sarcomas are of four subtypes: Monophasic fibrous (spindle), monophasic epithelial, biphasic and poorly differentiated, among which the former two are most common (12). Immunohistochemical examination may be useful in differentiating synovial cell sarcomas from other sarcomas. In recent studies, synovial cell sarcomas were shown to be almost uniformly positive for vimentin and bcl-2, as well as positive for EMA in 55–91% of cases, cytokeratin in 70%, and CD99 in 90% (13,14). In the present case study, histological results revealed that the neoplastic cells were of moderate size with obvious nucleoli and thick cell membranes, as well as with varying arrangements of epithelial cells and spindle cells. The following immunohistochemical analysis revealed that the tumor cells were positive for EMA, bcl-2, CD99 and vimentin, but negative for S-100, SyN, Myo-D1 and CD20. On the basis of these results, primary pulmonary synovial sarcoma was diagnosed. Cytogenetic testing may be performed when diagnosis is unclear, which is a new diagnostic method for synovial sarcoma (15). The t (X;18) (p11.2;q11.2) translocation, commonly identified in synovial sarcoma, results from the fusion of the SYT gene on chromosome 18 to either of two closely related genes, SSX1 and SSX2, on chromosome X.

To the best of our knowledge, complete surgical resection is preferred therapy for patients with primary pulmonary synovial sarcoma. Recent studies reveal that patients able to undergo complete surgical resection have significantly improved survival compared with patients with positive surgical margins or unresectable tumors (16–18). Radiotherapy has no apparent effect on the control of local disease or overall survival. Chemotherapy reported in unresectable primary pulmonary synovial cell sarcoma is very rare and often administered in palliative cases where surgical resection is not possible (6). Spillane et al (19) reported that synovial sarcoma is chemosensitive to ifosfamide and doxorubicin, with an overall response rate of ~24%. The study formed the rationale for offering chemotherapy to patients with pulmonary synovial sarcomas. In response to the left pulmonary artery was wrapped by the tumor, the patient in the present case study was referred for palliative chemotherapy using ifosfamide and doxorubicin. Unfortunately, no partial regression was achieved after two rounds of chemotherapy and the patient was lost to follow-up 3 months after diagnosis.

In conclusion, primary pulmonary synovial sarcoma presenting with a large lump mass in the mediastinum as the sole initial imaging manifestation is extremely rare, which may have been a factor in the delayed diagnosis or misdiagnosis. In this situation, the raised awareness of diagnosis and knowledge concerning the clinical presentation of primary pulmonary synovial sarcoma are key factors in ensuring an immediate diagnosis and adequate intervention.

References

1 

Devleena Bansal V, Chaudhuri T and Roy S: Primary synovial sarcoma of lung. Lung India. 31:277–279. 2014. View Article : Google Scholar : PubMed/NCBI

2 

Kim GH, Kim MY, Koo HJ, Song JS and Choi CM: Primary Pulmonary Synovial Sarcoma in a Tertiary Referral Center: Clinical Characteristics, CT, and 18F-FDG PET Findings, With Pathologic Correlations. Medicine (Baltimore). 94:e13922015. View Article : Google Scholar : PubMed/NCBI

3 

Teng XD and Kong M: Primary pulmonary soft tissue sarcoma. Zhonghua Bing Li Xue Za Zhi. 41:204–208. 2012.(In Chinese). PubMed/NCBI

4 

Jiang J, Zhou J and Ding W: Primary pulmonary synovial sarcoma, a rare primary lung neoplasm: Two case reports and review of the current literature. Respirology. 13:748–750. 2008. View Article : Google Scholar : PubMed/NCBI

5 

Cabuk D, Ustuner B, Akgul AG, Acikgoz O, Yaprak B, Uygun B, Topcu S and Muezzinoglu B: Primary synovial sarcoma of lung. Korean J Thorac Cardiovasc Surg. 47:306–309. 2014. View Article : Google Scholar : PubMed/NCBI

6 

Falkenstern-Ge RF, Kimmich M, Grabner A, Horn H, Friedel G, Ott G and Kohlhäufl M: Primary pulmonary synovial sarcoma: A rare primary pulmonary tumor. Lung. 192:211–214. 2014. View Article : Google Scholar : PubMed/NCBI

7 

Dennison S, Weppler E and Giacoppe G: Primary pulmonary synovial sarcoma: A case report and review of current diagnostic and therapeutic standards. Oncologist. 9:339–342. 2004. View Article : Google Scholar : PubMed/NCBI

8 

Spraker MB, Bair E, Bair R, Connell PP, Mahmood U and Koshy M: An analysis of patient characteristics and clinical outcomes in primary pulmonary sarcoma. J Thorac Oncol. 8:147–151. 2013. View Article : Google Scholar : PubMed/NCBI

9 

Weiss SW: Histological Typing of Soft Tissue Tumors. Sobin LH: (2nd). Berlin: Springer-Verlag. 7–14. 1994. View Article : Google Scholar

10 

Liu K and Li W: Analysis of 19 cases of primary pulmonary sarcoma. Zhongguo Fei Ai Za Zhi. 15:375–380. 2012.(In Chinese). PubMed/NCBI

11 

Cai AQ, Chen JW, Zhou XG and Lin JB: CT diagnosis of primary sarcoma of lung. Han Shao Ji Bing Za Zhi. 11:10–12. 2004.(In Chinese).

12 

Okamoto S, Hisaoka M, Daa T, Hatakeyama K, Iwamasa T and Hashimoto H: Primary pulmonary synovial sarcoma: A clinicopathologic, immunohistochemical and molecular study of 11 cases. Hum Pathol. 35:850–856. 2004. View Article : Google Scholar : PubMed/NCBI

13 

Hartel PH, Fanburg-Smith JC, Frazier AA, Galvin JR, Lichy JH, Shilo K and Franks TJ: Primary pulmonary and mediastinal synovial sarcoma: A clinicopathologic study of 60 cases and comparison with five prior series. Mod Pathol. 20:760–769. 2007. View Article : Google Scholar : PubMed/NCBI

14 

Olsen SH, Thomas DG and Lucas DR: Cluster analysis of immunohistochemical profiles in synovial sarcoma, malignant peripheral nerve sheath tumor and Ewing sarcoma. Mod Pathol. 19:659–668. 2006. View Article : Google Scholar : PubMed/NCBI

15 

van de Rijn M, Barr FG, Collins MH, Xiong QB and Fisher C: Absence of SYT-SSX fusion products in soft tissue tumors other than synovial sarcoma. Am J Clin Pathol. 112:43–49. 1999. View Article : Google Scholar : PubMed/NCBI

16 

Magné N, Porsin B, Pivot X, Tchiknavorian X, Marcy PY, Foa C, Otto J, Schneider M and Thyss A: Primary lung sarcomas: Long survivors obtained with iterative complete surgery. Lung Cancer. 31:241–245. 2001. View Article : Google Scholar : PubMed/NCBI

17 

Régnard JF, Icard P, Guibert L, de Montpreville VT, Magdeleinat P and Levasseur P: Prognostic factors and results after surgical treatment of primary sarcomas of the lung. Ann Thorac Surg. 68:227–231. 1999. View Article : Google Scholar : PubMed/NCBI

18 

Trassard M, Le Doussal V, Hacène K, Terrier P, Ranchère D, Guillou L, Fiche M, Collin F, Vilain MO, Bertrand G, et al: Prognostic factors in localized primary synovial sarcoma: A multicenter study of 128 adult patients. J Clin Oncol. 19:525–534. 2001.PubMed/NCBI

19 

Spillane AJ, A'Hern R, Judson IR, Fisher C and Thomas JM: Synovial sarcoma: A clinicopathologic, staging and prognostic assessment. J Clin Oncol. 18:3794–3803. 2000.PubMed/NCBI

Related Articles

  • Abstract
  • View
  • Download
  • Twitter
Copy and paste a formatted citation
Spandidos Publications style
Jiang AG, Yu H, Gao XY and Lu HY: Primary pulmonary synovial sarcoma presenting with a large lump mass in the left upper mediastinum: A case report. Exp Ther Med 11: 2395-2398, 2016.
APA
Jiang, A., Yu, H., Gao, X., & Lu, H. (2016). Primary pulmonary synovial sarcoma presenting with a large lump mass in the left upper mediastinum: A case report. Experimental and Therapeutic Medicine, 11, 2395-2398. https://doi.org/10.3892/etm.2016.3237
MLA
Jiang, A., Yu, H., Gao, X., Lu, H."Primary pulmonary synovial sarcoma presenting with a large lump mass in the left upper mediastinum: A case report". Experimental and Therapeutic Medicine 11.6 (2016): 2395-2398.
Chicago
Jiang, A., Yu, H., Gao, X., Lu, H."Primary pulmonary synovial sarcoma presenting with a large lump mass in the left upper mediastinum: A case report". Experimental and Therapeutic Medicine 11, no. 6 (2016): 2395-2398. https://doi.org/10.3892/etm.2016.3237
Copy and paste a formatted citation
x
Spandidos Publications style
Jiang AG, Yu H, Gao XY and Lu HY: Primary pulmonary synovial sarcoma presenting with a large lump mass in the left upper mediastinum: A case report. Exp Ther Med 11: 2395-2398, 2016.
APA
Jiang, A., Yu, H., Gao, X., & Lu, H. (2016). Primary pulmonary synovial sarcoma presenting with a large lump mass in the left upper mediastinum: A case report. Experimental and Therapeutic Medicine, 11, 2395-2398. https://doi.org/10.3892/etm.2016.3237
MLA
Jiang, A., Yu, H., Gao, X., Lu, H."Primary pulmonary synovial sarcoma presenting with a large lump mass in the left upper mediastinum: A case report". Experimental and Therapeutic Medicine 11.6 (2016): 2395-2398.
Chicago
Jiang, A., Yu, H., Gao, X., Lu, H."Primary pulmonary synovial sarcoma presenting with a large lump mass in the left upper mediastinum: A case report". Experimental and Therapeutic Medicine 11, no. 6 (2016): 2395-2398. https://doi.org/10.3892/etm.2016.3237
Follow us
  • Twitter
  • LinkedIn
  • Facebook
About
  • Spandidos Publications
  • Careers
  • Cookie Policy
  • Privacy Policy
How can we help?
  • Help
  • Live Chat
  • Contact
  • Email to our Support Team