Spandidos Publications Logo
  • About
    • About Spandidos
    • Aims and Scopes
    • Abstracting and Indexing
    • Editorial Policies
    • Reprints and Permissions
    • Job Opportunities
    • Terms and Conditions
    • Contact
  • Journals
    • All Journals
    • Oncology Letters
      • Oncology Letters
      • Information for Authors
      • Editorial Policies
      • Editorial Board
      • Aims and Scope
      • Abstracting and Indexing
      • Bibliographic Information
      • Archive
    • International Journal of Oncology
      • International Journal of Oncology
      • Information for Authors
      • Editorial Policies
      • Editorial Board
      • Aims and Scope
      • Abstracting and Indexing
      • Bibliographic Information
      • Archive
    • Molecular and Clinical Oncology
      • Molecular and Clinical Oncology
      • Information for Authors
      • Editorial Policies
      • Editorial Board
      • Aims and Scope
      • Abstracting and Indexing
      • Bibliographic Information
      • Archive
    • Experimental and Therapeutic Medicine
      • Experimental and Therapeutic Medicine
      • Information for Authors
      • Editorial Policies
      • Editorial Board
      • Aims and Scope
      • Abstracting and Indexing
      • Bibliographic Information
      • Archive
    • International Journal of Molecular Medicine
      • International Journal of Molecular Medicine
      • Information for Authors
      • Editorial Policies
      • Editorial Board
      • Aims and Scope
      • Abstracting and Indexing
      • Bibliographic Information
      • Archive
    • Biomedical Reports
      • Biomedical Reports
      • Information for Authors
      • Editorial Policies
      • Editorial Board
      • Aims and Scope
      • Abstracting and Indexing
      • Bibliographic Information
      • Archive
    • Oncology Reports
      • Oncology Reports
      • Information for Authors
      • Editorial Policies
      • Editorial Board
      • Aims and Scope
      • Abstracting and Indexing
      • Bibliographic Information
      • Archive
    • Molecular Medicine Reports
      • Molecular Medicine Reports
      • Information for Authors
      • Editorial Policies
      • Editorial Board
      • Aims and Scope
      • Abstracting and Indexing
      • Bibliographic Information
      • Archive
    • World Academy of Sciences Journal
      • World Academy of Sciences Journal
      • Information for Authors
      • Editorial Policies
      • Editorial Board
      • Aims and Scope
      • Abstracting and Indexing
      • Bibliographic Information
      • Archive
    • International Journal of Functional Nutrition
      • International Journal of Functional Nutrition
      • Information for Authors
      • Editorial Policies
      • Editorial Board
      • Aims and Scope
      • Abstracting and Indexing
      • Bibliographic Information
      • Archive
    • International Journal of Epigenetics
      • International Journal of Epigenetics
      • Information for Authors
      • Editorial Policies
      • Editorial Board
      • Aims and Scope
      • Abstracting and Indexing
      • Bibliographic Information
      • Archive
    • Medicine International
      • Medicine International
      • Information for Authors
      • Editorial Policies
      • Editorial Board
      • Aims and Scope
      • Abstracting and Indexing
      • Bibliographic Information
      • Archive
  • Articles
  • Information
    • Information for Authors
    • Information for Reviewers
    • Information for Librarians
    • Information for Advertisers
    • Conferences
  • Language Editing
Spandidos Publications Logo
  • About
    • About Spandidos
    • Aims and Scopes
    • Abstracting and Indexing
    • Editorial Policies
    • Reprints and Permissions
    • Job Opportunities
    • Terms and Conditions
    • Contact
  • Journals
    • All Journals
    • Biomedical Reports
      • Information for Authors
      • Editorial Policies
      • Editorial Board
      • Aims and Scope
      • Abstracting and Indexing
      • Bibliographic Information
      • Archive
    • Experimental and Therapeutic Medicine
      • Information for Authors
      • Editorial Policies
      • Editorial Board
      • Aims and Scope
      • Abstracting and Indexing
      • Bibliographic Information
      • Archive
    • International Journal of Epigenetics
      • Information for Authors
      • Editorial Policies
      • Editorial Board
      • Aims and Scope
      • Abstracting and Indexing
      • Bibliographic Information
      • Archive
    • International Journal of Functional Nutrition
      • Information for Authors
      • Editorial Policies
      • Editorial Board
      • Aims and Scope
      • Abstracting and Indexing
      • Bibliographic Information
      • Archive
    • International Journal of Molecular Medicine
      • Information for Authors
      • Editorial Policies
      • Editorial Board
      • Aims and Scope
      • Abstracting and Indexing
      • Bibliographic Information
      • Archive
    • International Journal of Oncology
      • Information for Authors
      • Editorial Policies
      • Editorial Board
      • Aims and Scope
      • Abstracting and Indexing
      • Bibliographic Information
      • Archive
    • Medicine International
      • Information for Authors
      • Editorial Policies
      • Editorial Board
      • Aims and Scope
      • Abstracting and Indexing
      • Bibliographic Information
      • Archive
    • Molecular and Clinical Oncology
      • Information for Authors
      • Editorial Policies
      • Editorial Board
      • Aims and Scope
      • Abstracting and Indexing
      • Bibliographic Information
      • Archive
    • Molecular Medicine Reports
      • Information for Authors
      • Editorial Policies
      • Editorial Board
      • Aims and Scope
      • Abstracting and Indexing
      • Bibliographic Information
      • Archive
    • Oncology Letters
      • Information for Authors
      • Editorial Policies
      • Editorial Board
      • Aims and Scope
      • Abstracting and Indexing
      • Bibliographic Information
      • Archive
    • Oncology Reports
      • Information for Authors
      • Editorial Policies
      • Editorial Board
      • Aims and Scope
      • Abstracting and Indexing
      • Bibliographic Information
      • Archive
    • World Academy of Sciences Journal
      • Information for Authors
      • Editorial Policies
      • Editorial Board
      • Aims and Scope
      • Abstracting and Indexing
      • Bibliographic Information
      • Archive
  • Articles
  • Information
    • For Authors
    • For Reviewers
    • For Librarians
    • For Advertisers
    • Conferences
  • Language Editing
Login Register Submit
  • This site uses cookies
  • You can change your cookie settings at any time by following the instructions in our Cookie Policy. To find out more, you may read our Privacy Policy.

    I agree
Search articles by DOI, keyword, author or affiliation
Search
Advanced Search
presentation
Experimental and Therapeutic Medicine
Join Editorial Board Propose a Special Issue
Print ISSN: 1792-0981 Online ISSN: 1792-1015
Journal Cover
March-2017 Volume 13 Issue 3

Full Size Image

Sign up for eToc alerts
Recommend to Library

Journals

International Journal of Molecular Medicine

International Journal of Molecular Medicine

International Journal of Molecular Medicine is an international journal devoted to molecular mechanisms of human disease.

International Journal of Oncology

International Journal of Oncology

International Journal of Oncology is an international journal devoted to oncology research and cancer treatment.

Molecular Medicine Reports

Molecular Medicine Reports

Covers molecular medicine topics such as pharmacology, pathology, genetics, neuroscience, infectious diseases, molecular cardiology, and molecular surgery.

Oncology Reports

Oncology Reports

Oncology Reports is an international journal devoted to fundamental and applied research in Oncology.

Experimental and Therapeutic Medicine

Experimental and Therapeutic Medicine

Experimental and Therapeutic Medicine is an international journal devoted to laboratory and clinical medicine.

Oncology Letters

Oncology Letters

Oncology Letters is an international journal devoted to Experimental and Clinical Oncology.

Biomedical Reports

Biomedical Reports

Explores a wide range of biological and medical fields, including pharmacology, genetics, microbiology, neuroscience, and molecular cardiology.

Molecular and Clinical Oncology

Molecular and Clinical Oncology

International journal addressing all aspects of oncology research, from tumorigenesis and oncogenes to chemotherapy and metastasis.

World Academy of Sciences Journal

World Academy of Sciences Journal

Multidisciplinary open-access journal spanning biochemistry, genetics, neuroscience, environmental health, and synthetic biology.

International Journal of Functional Nutrition

International Journal of Functional Nutrition

Open-access journal combining biochemistry, pharmacology, immunology, and genetics to advance health through functional nutrition.

International Journal of Epigenetics

International Journal of Epigenetics

Publishes open-access research on using epigenetics to advance understanding and treatment of human disease.

Medicine International

Medicine International

An International Open Access Journal Devoted to General Medicine.

Journal Cover
March-2017 Volume 13 Issue 3

Full Size Image

Sign up for eToc alerts
Recommend to Library

  • Article
  • Citations
    • Cite This Article
    • Download Citation
    • Create Citation Alert
    • Remove Citation Alert
    • Cited By
  • Similar Articles
    • Related Articles (in Spandidos Publications)
    • Similar Articles (Google Scholar)
    • Similar Articles (PubMed)
  • Download PDF
  • Download XML
  • View XML
Article Open Access

Diagnostic value of high-frequency color Doppler ultrasonography examination in combination with anti-cyclic citrullinated peptide antibody testing in rheumatoid arthritis patients

  • Authors:
    • Ming‑Yu Wang
    • Xian‑Bin Wang
    • Xue‑Hui Sun
    • Feng‑Li Liu
    • Sheng‑Chuan Huang
  • View Affiliations / Copyright

    Affiliations: Department of Rheumatology and Immunology, Yantai Yuhuangding Hospital, Yantai, Shandong 264000, P.R. China, Department of Rheumatology and Radiology, Yantai Yuhuangding Hospital, Yantai, Shandong 264000, P.R. China, Department of Rheumatology and Ultrasonography, Yantai Yuhuangding Hospital, Yantai, Shandong 264000, P.R. China
    Copyright: © Wang et al. This is an open access article distributed under the terms of Creative Commons Attribution License.
  • Pages: 905-908
    |
    Published online on: January 17, 2017
       https://doi.org/10.3892/etm.2017.4056
  • Expand metrics +
Metrics: Total Views: 0 (Spandidos Publications: | PMC Statistics: )
Metrics: Total PDF Downloads: 0 (Spandidos Publications: | PMC Statistics: )
Cited By (CrossRef): 0 citations Loading Articles...

This article is mentioned in:



Abstract

We studied the diagnostic value of high‑frequency color Doppler ultrasonography (HCDU) examination in combination with anti-cyclic citrullinated peptide (anti‑CCP) antibody testing in rheumatoid arthritis (RA) patients with finger joint damage. From January 2015 to December 2015, 80 patients diagnosed with RA with finger joints damage were enrolled in this study. Patients were examined with HCDU. Serum anti‑CCP antibody level was tested using ELISA, and results were compared with the healthy control group. Results obtained by ELISA demonstrated that the positive rate of anti‑CCP antibodies was 73.8% in the study group, and 10% in the control group. The negative rate was 26.2% in the study group, and 90% in the control group. HCDU examination suggested that the predominantly affected joint by bone erosion of RA with finger joint damage was MCP3 (16.7%), followed by PIP3 (14.1%), MCP2 (13.5%) and PIP2 (12.8%). The slightest affected joint was thumb metacarpophalangeal joint, followed by thumb, little finger metacarpophalangeal joint and proximal interphalangeal joint. The sensitivity of diagnosis of RA with finger joints damage with both HCDU and CCP antibody examination showed a significantly lower level compared with examination with each one of the methods alone, while specificity showed a significantly higher level. Thus, a combination of HCDU examination and anti‑CCP antibody testing can be considered useful to improve the early diagnostic rate of RA. HCDU examination is a sensitive, secure, atraumatic and easily‑operated diagnostic method for early RA patients with finger joint damage. When combined with anti‑CCP antibody testing, it will provide a better chance for RA patients, and give them hope for a better treatment and improved prognosis.

Introduction

Rheumatoid arthritis (RA) is an autoimmune disease, which might induce ankylosis, malformation, even loss of normal joint function (1). Early diagnosis is usually difficult due to atypical clinical features and the negative result of rheumatoid factor testing (2). Thus, the best time period for starting the treatment could be easily missed and as a result, patients could suffer irreversible joints damage leading to permanent disabilities (3). Therefore, a quick and accurate diagnosis of RA has been in the centre of attention (4,5).

In this study, we investigated the diagnostic value of high-frequency color Doppler ultrasonography (HCDU) examination in combination with anti-cyclic citrullinated peptide (anti-CCP) antibody testing in RA patients with finger joint damage.

Materials and methods

General information

From January to December 2015, 80 patients (with 162 affected joints) who were diagnosed with RA with finger joint damage were enrolled for this study. There were 44 males and 36 females and the age range was from 21 to 68 years (average, 57.2±3.6 years). The disease courses ranged from 8 to 22 months (mean disease course, 25.6±2.2 months). All the patients met the 1987 American clinical diagnostic criteria (6). During the same period, 50 healthy individuals (100 joints) were enrolled in our control group. They were physically examined in the Yantai Yuhuangding Hospital (Shandong, China). There were 30 males and 20 females in the control group, aged 22 to 67 years (average, 56.5±3.3 years). Aomparison between general information in both groups did not reveal any significant differences.

Methods

HCDU examination and the serum anti-CCP antibody testing by ELISA were conducted. HCDU examinations were conducted as follows: Cross sections and different gestures of the articulationes digitorum manus were scanned with a transducer frequency of 12 MHz, using HCDU scanner (Shanghai Chuangxun Medical Equipments Co., Ltd., Shanghai, China). Serum CCP antibody tests using ELISA were conducted by strictly following the instructions provided by the CCP IgG test kit (Beijing Euroimmun Medical Diagnosis Technology Co., Ltd., Beijing, China).

Statistical analysis

SPSS 21.0 (IBM SPSS, Armonk, NY, USA) was used for data analysis. We applied t-test or Chi-square test for comparison between groups. P<0.05 was considered to indicate a statistically significant difference.

Results

Comparison of the anti-CCP antibody testings

Results obtained from ELISA tests suggested that the positive rate of anti-CCP antibody in the study group was 73.8% (59/80 cases), and the negative rate was 26.2% (21/80 cases) (Fig. 1). The positive rate in the control group was only 10% (5/50 cases), and the negative rate was 90% (45/50).

Figure 1.

The high-frequency color Doppler ultrasonography manifestation of articulationes interphalangeae of digitus medius of the patients with bone erosion.

Comparison of the HCDU examination

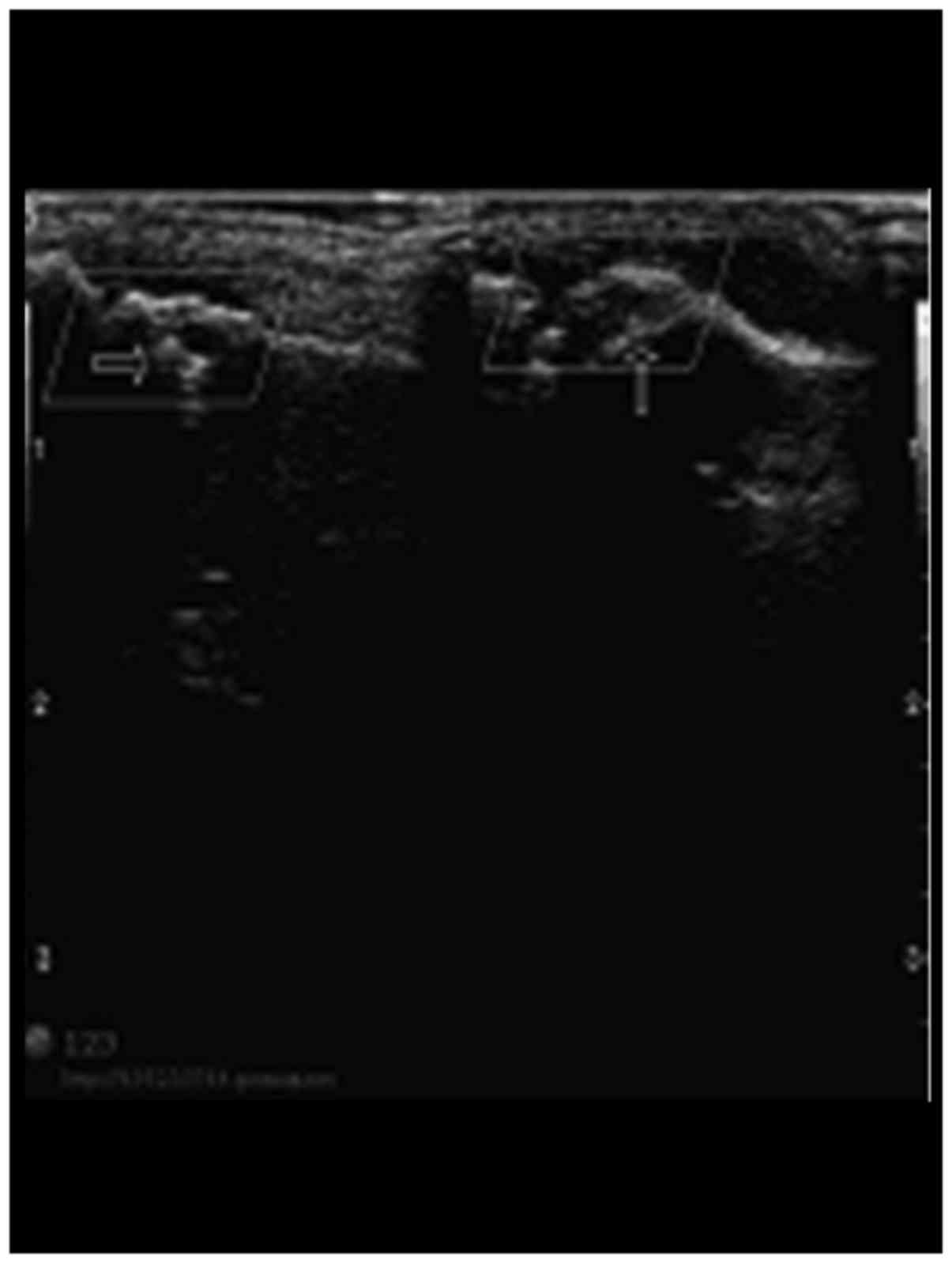
HCDU examination results showed that the articulationes interphalangeae of digitus medius in patients with bone erosion in the study group showed articular surface roughness, and continuous interruption at the margins (Fig. 1). The detectable blood signal rate of articulationes interphalangeae in the study group was 65.7%, and blood signals were detected inside the articulationes interphalangeae and at the margins (Fig. 2). The eroded cartilage and subcortex medullary bone substance in the study group had lower echogenicity and irregularly defined tumor-like lesion. The internal echo was uneven (Table I).

Figure 2.

The high-frequency color Doppler ultrasonography manifestation of the apterium blood of the articulationes interphalangeae of digitus medius of the patients with bone erosion.

Table I.

Comparison of the HCDU diagnoses for the two groups (n=130).

Table I.

Comparison of the HCDU diagnoses for the two groups (n=130).

Cortex of boneMedullary substance of bone


GroupNo. of arthrosesContinuously smoothDiscontinuously roughNot displayedTumor-like lesion
Control, n=50100100  0100  0
Study, n=80162  28134  32134

[i] HCDU, high-frequency color Doppler ultrasonography.

No blood signals were detected in the finger joints in the control group, cortical bones and articular surfaces were relatively smooth with continuous integrity. The ultrasonic manifestation of cortical bones and subchondral bones showed a strong echo line with continuous smoothness at the posterior edge of cartilage. Behind that was the attenuation region and the medullary substance of bone that could not be displayed (Fig. 3 and Table I).

Figure 3.

The high-frequency color Doppler ultrasonography manifestation of the articulationes interphalangeae of digitus medius of the control group.

Affected levels of bone erosion of 80 patients

HCDU examination results showed that the predominantly affected joint by bone erosion was MCP3 (16.7%), followed by PIP3 (14.1%), MCP2 (13.5%) and PIP2 (12.8%). The slightest affected joint was the thumb metacarpophalangeal joint, followed by thumb, little finger metacarpophalangeal joint and proximal interphalangeal joint (Fig. 4).

Figure 4.

Distribution of affected erosion suggested by high-frequency color Doppler ultrasonography. MCP, thumb metacarpophalangeal joint; PPI, proximal interphalangeal joint; 1–5, thumb to little finger, respectively.

Result of diagnosing RA with a combination method of CCP antibody testing and HCDU examination. The sensitivity of diagnosing RA with both anti-CCP antibody testing and HCDU examination was obviously lower than using each one of these methods alone (P<0.05). The specificity was significantly higher (P<0.05; Table II) (Fig. 5).

Figure 5.

Cyclic citrullinated peptide antibody testing results of the study group.

Table II.

Result of diagnosing RA with a combination method of CCP antibody testing and HCDU examination.

Table II.

Result of diagnosing RA with a combination method of CCP antibody testing and HCDU examination.

MethodSensitivity, %Specificity, %
CCP antibody testing72.782.4
HCDU examination71.183.8
Combination of 2 methods   47.3a,b   98.5a,b

{ label (or @symbol) needed for fn[@id='tfn2-etm-0-0-4056'] } Compared with CCP antibody testing

a P<0.05; compared with HCDU examination

b P<0.05. RA, rheumatoid arthritis; CCP, cyclic citrullinated peptide; HCDU, high-frequency color Doppler ultrasonography.

Discussion

RA is a chronic inflammatory disorder that characteristically affects the small joints in hands and feet (7). RA generally starts in hand and foot joints progressing to other areas including the knees, hips, and shoulders. The key RA symptom is swollen joints, but RA can also cause fatigue, fever, and weight loss. RA symptoms can cause the joints to become permanently deformed over time which may lead to permanent disability. As there is no cure for this disease, disability caused by RA is irreversible. Prior studies demonstrated that early diagnosis and treatment were effective on the patient condition and lowered the osteoarticular damage and improved prognosis. X-ray, often, is used as a routine method for RA diagnosis; however, depending on the method of X-ray examination, RA could only be detected several years after the appearance of the symptoms (6,8,9).

Blood test to detect rheumatoid factors is also a diagnostic tool which has its limitations (10–12). In recent years, HCDU examination has received significant consideration for indication of early diagnosis in arthritis with no trauma that can be repeatedly operated (13–15). In this study, the HCDU examination was indicated in RA patients suffering from comparative articular surface roughness and continuous interruption at the margins. Blood signals could be observed on inner finger joints and at the margins. The eroded cartilage and subcortex medullary substance of bone had low echogenicity and irregularly defined tumor-like lesion, and the internal echo was uneven. By contrast, HCDU examination on the control group showed no blood signals in the finger joints, cortical bones and articular surfaces were relatively smooth with continuous integrity. Ultrasonic manifestation of cortical bones and subchondral bones had a strong echo line with continuous smoothness at the posterior edge of cartilage. Behind that was the attenuation region and the medullary substance of bone could not be displayed.

The positive blood ratio in interphalangeal joint detected with HCDU previously (16) was 10%, while the ratio in this study was 65.7%. Our results suggested that by HCDU examination, the predominantly affected joint by bone erosion was MCP3 (16.7%), followed by PIP3 (14.1%), MCP2 (13.5%) and PIP2 (12.8%). The least affected joint was the thumb metacarpophalangeal joint, followed by thumb, little finger metacarpophalangeal joint and proximal interphalangeal joint. Anti-CCP antibody test is particularly useful in the diagnosis of RA. Anti-CCP antibody is a rheumatoid factor and elevated level of anti-CCP is a sign that the patient may be more likely to develop the disease (17,18). Studies suggested (19) that CCP antigens appeared in the RA patients in early stage, and stimulated the proliferation of T cells. However, the appearance of the anti-CCP antibodies was highly related to the osteoarticular damage.

A prior study that conducted radiological evaluation of the RA patients with 6 years of follow-up showed that patients who were tested positive for anti-CCP antibody suffered more severe bone damage than those with negative results (20). Other studies suggested that anti-CCP antibody was related to RA bone erosion to a certain degree (21). Results obtained in this study showed that the positive rate of anti-CCP antibody in the study group was 73.8%, and the negative rate was 26.2% (Fig. 5). The positive rate in the control group was 10% (and the negative rate was 90%. Reports on the use of HCDU examination in combination with anti-CCP antibody testing in diagnosing RA are rare. Our results suggested that the sensitivity of diagnosing RA with both anti-CCP antibody testing and HCDU examination was obviously lower than using each of those methods alone, while the specificity was significantly higher.

We concluded that a combination of HCDU examination and anti-CCP antibody testing can be considered useful to improve the early diagnostic rate of RA. HCDU examination is a sensitive, secure, atraumatic and easily-operated diagnostic method for early RA patients with finger joint damage. Combined with anti-CCP antibody testing, it will provide a better chance for RA patients, and give them hope for a better treatment and improved prognosis.

References

1 

Botar-Jid C, Bolboaca S, Fodor D, Bocsa C, Tamas MM, Micu M, Dudea SM, Vasilescu D and Badea R: Gray scale and power Doppler ultrasonography in evaluation of early rheumatoid arthritis. Med Ultrason. 12:300–305. 2010.PubMed/NCBI

2 

Ceccarelli F, Perricone C, Fabris M, Alessandri C, Iagnocco A, Fabro C, Pontarini E, De Vita S and Valesini G: Transforming growth factor β 869C/T and interleukin 6 −174G/C polymorphisms relate to the severity and progression of bone-erosive damage detected by ultrasound in rheumatoid arthritis. Arthritis Res Ther. 13:R1112011. View Article : Google Scholar : PubMed/NCBI

3 

Rizzo C, Ceccarelli F, Gattamelata A, Vavala C, Valesini G and Iagnocco A: Ultrasound in rheumatoid arthritis. Med Ultrason. 15:199–208. 2013. View Article : Google Scholar : PubMed/NCBI

4 

Hsu HJ, Yang YH, Shieh TY, Chen CH, Kao YH, Yang CF and Ko EC: Role of cytokine gene (interferon-γ, transforming growth factor-β1, tumor necrosis factor-α, interleukin-6, and interleukin-10) polymorphisms in the risk of oral precancerous lesions in Taiwanese. Kaohsiung J Med Sci. 30:551–558. 2014. View Article : Google Scholar : PubMed/NCBI

5 

Orguc S, Tikiz C, Aslanalp Z and Erbay PD: Comparison of OMERACT-RAMRIS scores and computer-aided dynamic magnetic resonance imaging findings of hand and wrist as a measure of activity in rheumatoid arthritis. Rheumatol Int. 33:1837–1844. 2013. View Article : Google Scholar : PubMed/NCBI

6 

Yang H, Rivoire J, Hoppe M, Srikhum W, Imboden J, Link TM and Li X: Computer-aided and manual quantifications of MRI synovitis, bone marrow edema-like lesions, erosion and cartilage loss in rheumatoid arthritis of the wrist. Skeletal Radiol. 44:539–547. 2015. View Article : Google Scholar : PubMed/NCBI

7 

Tamai M, Kawakami A, Iwamoto N, Kawashiri SY, Fujikawa K, Aramaki T, Kita J, Okada A, Koga T, Arima K, et al: Comparative study of the detection of joint injury in early-stage rheumatoid arthritis by magnetic resonance imaging of the wrist and finger joints and physical examination. Arthritis Care Res (Hoboken). 63:436–439. 2011.PubMed/NCBI

8 

Teruel JR, Burghardt AJ, Rivoire J, Srikhum W, Noworolski SM, Link TM, Imboden JB and Li X: Bone structure and perfusion quantification of bone marrow edema pattern in the wrist of patients with rheumatoid arthritis: A multimodality study. J Rheumatol. 41:1766–1773. 2014. View Article : Google Scholar : PubMed/NCBI

9 

Carter JD, Patelli M, Anderson SR, Prakash N, Rodriquez EJ, Bateman H, Sterrett A, Valeriano J and Ricca LR: An MRI assessment of chronic synovial-based inflammation in gout and its correlation with serum urate levels. Clin Rheumatol. 34:345–351. 2015. View Article : Google Scholar : PubMed/NCBI

10 

Feehan L, Buie H, Li L and McKay H: A customized protocol to assess bone quality in the metacarpal head, metacarpal shaft and distal radius: a high resolution peripheral quantitative computed tomography precision study. BMC Musculoskelet Disord. 14:3672013. View Article : Google Scholar : PubMed/NCBI

11 

Bensaoud N, Rostom S, Bahiri R and Hajjaj-Hassouni N: Efficacy of tocilizumab on MRI-determined bone oedema in rheumatoid arthritis. Clin Rheumatol. 34:1031–1037. 2015. View Article : Google Scholar : PubMed/NCBI

12 

Yu JI, Park YR, Lee SS and Chae SC: Polymorphisms of interleukin-31 are associated with anti-CCP levels in females with rheumatoid arthritis. J Genet. 93:813–817. 2014. View Article : Google Scholar : PubMed/NCBI

13 

Yousefghahari B, Alhooei S, Soleimani-Amiri MJ and Guran A: Comparison of sensitivity and specificity of anti-CCP and anti-MCV antibodies in an Iranian cohort of patients with rheumatoid arthritis. Caspian J Intern Med. 4:702–706. 2013.PubMed/NCBI

14 

Arkfeld DG: Biological significance of anti-cyclic citrullinated peptide antibody in rheumatoid arthritis. Ann Intern Med. 148:403–404; author reply 403–404. 2008. View Article : Google Scholar : PubMed/NCBI

15 

Alexiou I, Germenis A, Ziogas A, Theodoridou K and Sakkas LI: Diagnostic value of anti-cyclic citrullinated peptide antibodies in Greek patients with rheumatoid arthritis. BMC Musculoskelet Disord. 8:372007. View Article : Google Scholar : PubMed/NCBI

16 

Moghimi J, Ghorbani R, Hasani F and Sheikhvatan M: Discriminative and diagnostic value of anti-cyclic citrullinated peptide antibodies in Iranian patients with rheumatoid arthritis. Rheumatol Int. 33:601–605. 2013. View Article : Google Scholar : PubMed/NCBI

17 

Yang DH, Tu CC, Wang SC, Wei CC and Cheng YW: Circulating anti-cyclic citrullinated peptide antibody in patients with rheumatoid arthritis and chronic obstructive pulmonary disease. Rheumatol Int. 34:971–977. 2014. View Article : Google Scholar : PubMed/NCBI

18 

Perez-Alamino R, Garcia-Valladares I, Cuchacovich R, Iglesias-Gamarra A and Espinoza LR: Are anti-CCP antibodies in psoriatic arthritis patients a biomarker of erosive disease? Rheumatol Int. 34:1211–1216. 2014. View Article : Google Scholar : PubMed/NCBI

19 

Vlad V, Berghea F, Libianu S, Balanescu A, Bojinca V, Constantinescu C, Abobului M, Predeteanu D and Ionescu R: Ultrasound in rheumatoid arthritis: volar versus dorsal synovitis evaluation and scoring. BMC Musculoskelet Disord. 12:1242011. View Article : Google Scholar : PubMed/NCBI

20 

Kroot EJ, de Jong BA, van Leeuwen MA, Swinkels H, van den Hoogen FH, van't Hof M, van de Putte LB, van Rijswijk MH, van Venrooij WJ and van Riel PL: The prognostic value of anti-cyclic citrullinated peptide antibody in patients with recent-onset rheumatoid arthritis. Arthritis Rheum. 43:1831–1835. 2000. View Article : Google Scholar : PubMed/NCBI

21 

Bas S, Perneger TV, Seitz M, Tiercy JM, Roux-Lombard P and Guerne PA: Diagnostic tests for rheumatoid arthritis: Comparison of anti-cyclic citrullinated peptide antibodies, anti-keratin antibodies and IgM rheumatoid factors. Rheumatology (Oxford). 41:809–814. 2002. View Article : Google Scholar : PubMed/NCBI

Related Articles

  • Abstract
  • View
  • Download
  • Twitter
Copy and paste a formatted citation
Spandidos Publications style
Wang MY, Wang XB, Sun XH, Liu FL and Huang SC: Diagnostic value of high-frequency color Doppler ultrasonography examination in combination with anti-cyclic citrullinated peptide antibody testing in rheumatoid arthritis patients. Exp Ther Med 13: 905-908, 2017.
APA
Wang, M., Wang, X., Sun, X., Liu, F., & Huang, S. (2017). Diagnostic value of high-frequency color Doppler ultrasonography examination in combination with anti-cyclic citrullinated peptide antibody testing in rheumatoid arthritis patients. Experimental and Therapeutic Medicine, 13, 905-908. https://doi.org/10.3892/etm.2017.4056
MLA
Wang, M., Wang, X., Sun, X., Liu, F., Huang, S."Diagnostic value of high-frequency color Doppler ultrasonography examination in combination with anti-cyclic citrullinated peptide antibody testing in rheumatoid arthritis patients". Experimental and Therapeutic Medicine 13.3 (2017): 905-908.
Chicago
Wang, M., Wang, X., Sun, X., Liu, F., Huang, S."Diagnostic value of high-frequency color Doppler ultrasonography examination in combination with anti-cyclic citrullinated peptide antibody testing in rheumatoid arthritis patients". Experimental and Therapeutic Medicine 13, no. 3 (2017): 905-908. https://doi.org/10.3892/etm.2017.4056
Copy and paste a formatted citation
x
Spandidos Publications style
Wang MY, Wang XB, Sun XH, Liu FL and Huang SC: Diagnostic value of high-frequency color Doppler ultrasonography examination in combination with anti-cyclic citrullinated peptide antibody testing in rheumatoid arthritis patients. Exp Ther Med 13: 905-908, 2017.
APA
Wang, M., Wang, X., Sun, X., Liu, F., & Huang, S. (2017). Diagnostic value of high-frequency color Doppler ultrasonography examination in combination with anti-cyclic citrullinated peptide antibody testing in rheumatoid arthritis patients. Experimental and Therapeutic Medicine, 13, 905-908. https://doi.org/10.3892/etm.2017.4056
MLA
Wang, M., Wang, X., Sun, X., Liu, F., Huang, S."Diagnostic value of high-frequency color Doppler ultrasonography examination in combination with anti-cyclic citrullinated peptide antibody testing in rheumatoid arthritis patients". Experimental and Therapeutic Medicine 13.3 (2017): 905-908.
Chicago
Wang, M., Wang, X., Sun, X., Liu, F., Huang, S."Diagnostic value of high-frequency color Doppler ultrasonography examination in combination with anti-cyclic citrullinated peptide antibody testing in rheumatoid arthritis patients". Experimental and Therapeutic Medicine 13, no. 3 (2017): 905-908. https://doi.org/10.3892/etm.2017.4056
Follow us
  • Twitter
  • LinkedIn
  • Facebook
About
  • Spandidos Publications
  • Careers
  • Cookie Policy
  • Privacy Policy
How can we help?
  • Help
  • Live Chat
  • Contact
  • Email to our Support Team