Spandidos Publications Logo
  • About
    • About Spandidos
    • Aims and Scopes
    • Abstracting and Indexing
    • Editorial Policies
    • Reprints and Permissions
    • Job Opportunities
    • Terms and Conditions
    • Contact
  • Journals
    • All Journals
    • Oncology Letters
      • Oncology Letters
      • Information for Authors
      • Editorial Policies
      • Editorial Board
      • Aims and Scope
      • Abstracting and Indexing
      • Bibliographic Information
      • Archive
    • International Journal of Oncology
      • International Journal of Oncology
      • Information for Authors
      • Editorial Policies
      • Editorial Board
      • Aims and Scope
      • Abstracting and Indexing
      • Bibliographic Information
      • Archive
    • Molecular and Clinical Oncology
      • Molecular and Clinical Oncology
      • Information for Authors
      • Editorial Policies
      • Editorial Board
      • Aims and Scope
      • Abstracting and Indexing
      • Bibliographic Information
      • Archive
    • Experimental and Therapeutic Medicine
      • Experimental and Therapeutic Medicine
      • Information for Authors
      • Editorial Policies
      • Editorial Board
      • Aims and Scope
      • Abstracting and Indexing
      • Bibliographic Information
      • Archive
    • International Journal of Molecular Medicine
      • International Journal of Molecular Medicine
      • Information for Authors
      • Editorial Policies
      • Editorial Board
      • Aims and Scope
      • Abstracting and Indexing
      • Bibliographic Information
      • Archive
    • Biomedical Reports
      • Biomedical Reports
      • Information for Authors
      • Editorial Policies
      • Editorial Board
      • Aims and Scope
      • Abstracting and Indexing
      • Bibliographic Information
      • Archive
    • Oncology Reports
      • Oncology Reports
      • Information for Authors
      • Editorial Policies
      • Editorial Board
      • Aims and Scope
      • Abstracting and Indexing
      • Bibliographic Information
      • Archive
    • Molecular Medicine Reports
      • Molecular Medicine Reports
      • Information for Authors
      • Editorial Policies
      • Editorial Board
      • Aims and Scope
      • Abstracting and Indexing
      • Bibliographic Information
      • Archive
    • World Academy of Sciences Journal
      • World Academy of Sciences Journal
      • Information for Authors
      • Editorial Policies
      • Editorial Board
      • Aims and Scope
      • Abstracting and Indexing
      • Bibliographic Information
      • Archive
    • International Journal of Functional Nutrition
      • International Journal of Functional Nutrition
      • Information for Authors
      • Editorial Policies
      • Editorial Board
      • Aims and Scope
      • Abstracting and Indexing
      • Bibliographic Information
      • Archive
    • International Journal of Epigenetics
      • International Journal of Epigenetics
      • Information for Authors
      • Editorial Policies
      • Editorial Board
      • Aims and Scope
      • Abstracting and Indexing
      • Bibliographic Information
      • Archive
    • Medicine International
      • Medicine International
      • Information for Authors
      • Editorial Policies
      • Editorial Board
      • Aims and Scope
      • Abstracting and Indexing
      • Bibliographic Information
      • Archive
  • Articles
  • Information
    • Information for Authors
    • Information for Reviewers
    • Information for Librarians
    • Information for Advertisers
    • Conferences
  • Language Editing
Spandidos Publications Logo
  • About
    • About Spandidos
    • Aims and Scopes
    • Abstracting and Indexing
    • Editorial Policies
    • Reprints and Permissions
    • Job Opportunities
    • Terms and Conditions
    • Contact
  • Journals
    • All Journals
    • Biomedical Reports
      • Information for Authors
      • Editorial Policies
      • Editorial Board
      • Aims and Scope
      • Abstracting and Indexing
      • Bibliographic Information
      • Archive
    • Experimental and Therapeutic Medicine
      • Information for Authors
      • Editorial Policies
      • Editorial Board
      • Aims and Scope
      • Abstracting and Indexing
      • Bibliographic Information
      • Archive
    • International Journal of Epigenetics
      • Information for Authors
      • Editorial Policies
      • Editorial Board
      • Aims and Scope
      • Abstracting and Indexing
      • Bibliographic Information
      • Archive
    • International Journal of Functional Nutrition
      • Information for Authors
      • Editorial Policies
      • Editorial Board
      • Aims and Scope
      • Abstracting and Indexing
      • Bibliographic Information
      • Archive
    • International Journal of Molecular Medicine
      • Information for Authors
      • Editorial Policies
      • Editorial Board
      • Aims and Scope
      • Abstracting and Indexing
      • Bibliographic Information
      • Archive
    • International Journal of Oncology
      • Information for Authors
      • Editorial Policies
      • Editorial Board
      • Aims and Scope
      • Abstracting and Indexing
      • Bibliographic Information
      • Archive
    • Medicine International
      • Information for Authors
      • Editorial Policies
      • Editorial Board
      • Aims and Scope
      • Abstracting and Indexing
      • Bibliographic Information
      • Archive
    • Molecular and Clinical Oncology
      • Information for Authors
      • Editorial Policies
      • Editorial Board
      • Aims and Scope
      • Abstracting and Indexing
      • Bibliographic Information
      • Archive
    • Molecular Medicine Reports
      • Information for Authors
      • Editorial Policies
      • Editorial Board
      • Aims and Scope
      • Abstracting and Indexing
      • Bibliographic Information
      • Archive
    • Oncology Letters
      • Information for Authors
      • Editorial Policies
      • Editorial Board
      • Aims and Scope
      • Abstracting and Indexing
      • Bibliographic Information
      • Archive
    • Oncology Reports
      • Information for Authors
      • Editorial Policies
      • Editorial Board
      • Aims and Scope
      • Abstracting and Indexing
      • Bibliographic Information
      • Archive
    • World Academy of Sciences Journal
      • Information for Authors
      • Editorial Policies
      • Editorial Board
      • Aims and Scope
      • Abstracting and Indexing
      • Bibliographic Information
      • Archive
  • Articles
  • Information
    • For Authors
    • For Reviewers
    • For Librarians
    • For Advertisers
    • Conferences
  • Language Editing
Login Register Submit
  • This site uses cookies
  • You can change your cookie settings at any time by following the instructions in our Cookie Policy. To find out more, you may read our Privacy Policy.

    I agree
Search articles by DOI, keyword, author or affiliation
Search
Advanced Search
presentation
Experimental and Therapeutic Medicine
Join Editorial Board Propose a Special Issue
Print ISSN: 1792-0981 Online ISSN: 1792-1015
Journal Cover
December-2018 Volume 16 Issue 6

Full Size Image

Sign up for eToc alerts
Recommend to Library

Journals

International Journal of Molecular Medicine

International Journal of Molecular Medicine

International Journal of Molecular Medicine is an international journal devoted to molecular mechanisms of human disease.

International Journal of Oncology

International Journal of Oncology

International Journal of Oncology is an international journal devoted to oncology research and cancer treatment.

Molecular Medicine Reports

Molecular Medicine Reports

Covers molecular medicine topics such as pharmacology, pathology, genetics, neuroscience, infectious diseases, molecular cardiology, and molecular surgery.

Oncology Reports

Oncology Reports

Oncology Reports is an international journal devoted to fundamental and applied research in Oncology.

Experimental and Therapeutic Medicine

Experimental and Therapeutic Medicine

Experimental and Therapeutic Medicine is an international journal devoted to laboratory and clinical medicine.

Oncology Letters

Oncology Letters

Oncology Letters is an international journal devoted to Experimental and Clinical Oncology.

Biomedical Reports

Biomedical Reports

Explores a wide range of biological and medical fields, including pharmacology, genetics, microbiology, neuroscience, and molecular cardiology.

Molecular and Clinical Oncology

Molecular and Clinical Oncology

International journal addressing all aspects of oncology research, from tumorigenesis and oncogenes to chemotherapy and metastasis.

World Academy of Sciences Journal

World Academy of Sciences Journal

Multidisciplinary open-access journal spanning biochemistry, genetics, neuroscience, environmental health, and synthetic biology.

International Journal of Functional Nutrition

International Journal of Functional Nutrition

Open-access journal combining biochemistry, pharmacology, immunology, and genetics to advance health through functional nutrition.

International Journal of Epigenetics

International Journal of Epigenetics

Publishes open-access research on using epigenetics to advance understanding and treatment of human disease.

Medicine International

Medicine International

An International Open Access Journal Devoted to General Medicine.

Journal Cover
December-2018 Volume 16 Issue 6

Full Size Image

Sign up for eToc alerts
Recommend to Library

  • Article
  • Citations
    • Cite This Article
    • Download Citation
    • Create Citation Alert
    • Remove Citation Alert
    • Cited By
  • Similar Articles
    • Related Articles (in Spandidos Publications)
    • Similar Articles (Google Scholar)
    • Similar Articles (PubMed)
  • Download PDF
  • Download XML
  • View XML
Article Open Access

Exenatide reduces oxidative stress and cell death in testis in iron overload rat model

  • Authors:
    • Suleyman Yesil
    • Nuran Sungu
    • Aydan Kilicarslan
    • Serife Mehlika Kuskonmaz
    • Halil Kara
    • Aysegul Kucuk
    • Fazli Polat
    • Mustafa Kavutcu
    • Mustafa Arslan
  • View Affiliations / Copyright

    Affiliations: Department of Urology, Gazi University Medical Faculty, Ankara 06510, Turkey, Department of Pathology, Yıldırım Beyazıt University Medical Faculty, Ankara 06010, Turkey, Department of Endocrinology and Metabolism, Gazi University Medical Faculty, Ankara 06510, Turkey, Department of Pharmacology, Yıldırım Beyazıt University Medical Faculty, Ankara 06010, Turkey, Department of Physiology, Kütahya Health Sciences University Medical Faculty, Kütahya 43100, Turkey, Department of Biochemistry, Gazi University Medical Faculty, Ankara 06510, Turkey, Department of Anesthesiology and Reanimation, Gazi University Medical Faculty, Ankara 06510, Turkey
    Copyright: © Yesil et al. This is an open access article distributed under the terms of Creative Commons Attribution License.
  • Pages: 4349-4356
    |
    Published online on: September 26, 2018
       https://doi.org/10.3892/etm.2018.6795
  • Expand metrics +
Metrics: Total Views: 0 (Spandidos Publications: | PMC Statistics: )
Metrics: Total PDF Downloads: 0 (Spandidos Publications: | PMC Statistics: )
Cited By (CrossRef): 0 citations Loading Articles...

This article is mentioned in:



Abstract

Glucagon‑like peptide‑1 (GLP‑1) has been demonstrated to affect the oxidative stress status in several in vitro, in vivo and clinical studies. The aim of the present study was to evaluate the effect of a GLP‑1 analogue, exenatide, on oxidative stress parameters and apoptotic markers in testicular cells in an iron overload rat model. To obtain this model, the animals were randomly divided into three groups (n=6/group). Rats in the control group received intraperitoneal injections of saline. Intraperitoneal iron dextran (60 mg/kg/day) was given to Group FE for 5 days a week for 4 weeks. The third group (Group Fe +E) was given subcutaneous injections of 10 µg/kg exenatide in two divided doses for 4 weeks in addition to iron dextran. Testes of all rats were immediately removed for immunohistochemical staining and to measure the malondialdehyde level and superoxide dismutase enzyme activity. A significant reduction was observed in caspase‑8 and ‑3 enzyme staining in testicular stromal and endothelial cells in exenatide injected iron overloaded rats when compared with controls. Oxidative stress markers malondialdehyde levels and superoxide dismutase enzyme activities were also significantly lower in exenatide‑injected rats when compared with controls. These findings indicate that exenatide may be protective against the harmful effects of iron accumulation in testis. Further studies are required to evaluate how exenatide reduces oxidative stress and cell death in iron overloaded testis tissue.

Introduction

Iron is one of the most important minerals in an organism, and is crucial for electron transport, the synthesis of nucleic acids and proteins, and proliferation and differentiation of cells (1). The majority of iron in the body iron is found in red blood cells, whereas a lower amount is incorporated into the structure of myoglobin and enzymes. Iron absorption and utilization is regulated by a series of processes involving molecules, including ferroportin and hepcidin (2). These processes are fine tuned to maintain the iron balance in an organism. Iron deficiency and iron overload may lead to different problems in the body. Iron overload may lead to iron accumulation in different organs and tissues including the liver, brain and endocrine glands (3). Diseases characterized by iron accumulation, including hereditary hemochromatosis and thalassemia, may damage testicular tissue in humans leading to hypogonadism and decreased fertility (4,5). Iron overload has previously been demonstrated to induce oxidative damage in the testes in a number of animal and human studies (6–9). Iron toxicity results in morphological changes in the seminiferous tubules, epididymes and sertoli cells (10). Iron toxicity may also damage DNA in sperm, which means there is a risk that offspring may inherit gene mutations (11). To date, certain agents, such as α-tocopherol (12) or growth hormone/insulin like growth factor-1 (13) have been evaluated in the prevention of iron induced oxidative stress in the testes.

Glucagon-like peptide-1 (GLP-1) has been demonstrated to affect the oxidative stress status in several in vitro (14,15), in vivo (16,17) and clinical (18,19) studies. GLP-1 and its agonists are well known to improve glycemic control, decrease food intake, increase insulin release and increase insulin sensitivity which may contribute to reduced oxidative stress, but direct effects on reactive oxygen species (ROS) and antioxidant capacity have also been suggested to serve a role (20).

Exenatide (active ingredient, exendin-4) is a GLP-1 receptor agonist (GLP-1RA) that is used in the treatment of type 2 diabetes (21). The aim of the present study to evaluate the effect of exenatide on oxidative stress parameters and apoptotic markers in the testicular cells of an iron overload rat model.

Materials and methods

Animals and experimental protocol

The present study was carried out in the Physiology Laboratory of the Gazi University Medical Faculty (Ankara, Turkey), and was approved by the Gazi University Ethics Committee of Experimental Animals. All methods were in accordance with the Guide for the Care and Use of Laboratory Animals (22).

In the present study, 18 male Wistar Albino rats weighing between 250 and 300 g and aged 9–10 weeks, raised under the same environmental conditions, were used. The rats were kept at 20–21°C 50±10% humidity, in a 12-h light/dark cycle and had free access to food until 2 h prior to the anesthesia procedure. Rats were randomly divided into the three groups (n=6/group). Rats in the control group (Group C) received intraperitoneal injections of saline. Intraperitoneal iron dextran (Cosmofer®; 50 mg/ml; Assos Pharmaceuticals Ilaç, Istanbul, Turkey), was administered at a dose of 60 mg/kg/day to the second group (Group Fe), 5 days a week for 4 weeks. The third group (Group Fe + E) was administered subcutaneous injections of 10 µg/kg exenatide (Byetta®; Eli Lilly and Company, Indianapolis, IN, USA) in two divided doses for 4 weeks in addition to intraperitoneal iron dextran (60 mg/kg/day). All rats were administered intramuscular ketamine hydrochloride (100 mg/kg; Ketalar; Parke-Davis; Pfizer, Inc., New York, NY, USA) and xylazine hydrochloride (Alfazyne, 2%; Ege Vet, Ltd., Izmir, Turkey), and intracardiac blood samples (≤10 ml) were obtained. The rats were sacrificed and all rat testes were immediately removed for immunohistochemical analyses and sera were used for biochemical experiments.

Immunohistochemical evaluation

Tissues were fixed in 10% formaldehyde for 12 h at room temperature. Sections (3–4 µm thick) were cut from the fixed tissue samples, embedded in paraffin blocks and mounted on poly-L-lysine-coated slides (Sigma-Aldrich; Merck KGaA, Darmstadt, Germany). The sections were left overnight at 45°C. The sections were held for 20 min at 75°C, followed by tap fixation and paraffin extraction. Deparaffinization was performed with a Leica Bond-Max automatic immunohistochemical/in situ hybridization stainer (Leica Microsystems GmbH, Wetzlar, Germany). Citrate buffer was applied for antigen retrieval for 30 min at 75°C and washed with bond wash solution (Leica Microsystems GmbH). Sections were blocked with 0.3% hydrogen peroxide for 5 min at room temperature. Sections were then incubated with primary antibodies against caspase-3 (1:400; p11, C-6; cat. no. sc-271759; Santa Cruz Biotechnology, Inc., Dallas, TX, USA) and caspase-8 (1:200; D-8; cat. no. sc-5263; Santa Cruz Biotechnology, Inc.) for 15 min at room temperature. The secondary antibodies (Leica Biosystems Newcastle Ltd., Newcastle Upon Tyne, UK) were incubated with cells for 8 min at room temperature. The Bond™ Polymer Refine Detection system (cat. no. DS9800; Leica Biosystems Newcastle Ltd.) was then added as a horseradish peroxidase polymer (a secondary antibody substitute) at room temperature for 8 min at room temperature. DAB (Leica Microsystems GmbH) was applied to the cells for 6 min at room temperature and the marking became visible. Hematoxylin counterstaining was also performed at 6 min at room temperature.

The stained samples were covered with balsam following washing in water and alcohol and cleared in xylene. The density and intensity of cytoplasmic caspase-3 and caspase-8 staining were evaluated in seminiferous tubules, stromal cells and endothelia using a light microscope (Nikon Eclipse E600; Nikon Corporation, Tokyo, Japan) at a magnification of ×40 and ×100. The density and intensity were assessed by a pathologist. Staining intensity was scored as: 0, no staining; 1, mild and 2, intense. Samples were assessed using the microscope. If >50% of the seminiferous tubules, stromal and endothelial cells on the section were stained.

Perls Prussian Blue (NovaUltra; IHC WORLD, LLC., Woodstock, MD, USA) was applied to visualize the accumulation of iron in the tissue. Briefly, the 4-µm sections were deparaffinized and dehydrated. Solutions of 2% potassium ferrocyanide and 2% hydrochloride solution were mixed at a ratio of 1:1, and 200 µl was applied to each section for 20 min at room temperature. Sections were then washed in tap water for 2–3 min, and fast red was applied for 5 min at room temperature. Sections were subsequently washed again in tap water, alcohol and xylene. A mounting medium was added to the sections, which were then covered with a coverslip. The concentration of iron accumulation in stromal cells was evaluated in hematoxylin and eosin staining as follows: 0, no accumulation; 1, mild accumulation; 2, intensive accumulation.

For hematoxylin and eosin staining, slides were kept in and oven at 72°C for 20 min, deparaffinized in xylene solution and washed with alcohol three times. Sections were then incubated in hematoxylin for 4 min at room temperature, washed and exposed to acid-alcohol and ammonia solutions for a few second. The slides were then incubated in eosin for 6 min at room temperature, and then immersed in a descending alcohol series and xylene. Stained slides were covered with slip, then evaluated with a light microscope at a magnification of ×100.

Serum superoxide dismutase (SOD) enzyme activity

Total SOD enzyme activity was measured as previously described (23), based on measuring the absorbance increase at 560 nm caused by nitro blue tetrazolium reduction to diformazan precipitate (NBTH2). One unit of SOD activity was the amount of enzyme that led to 50% inhibition in the reduction rate of NBTH2. Data were expressed in units/ml.

Measurement of serum malondialdehyde (MDA) levels

A thiobarbituric acid (TBA) reactive substances assay was performed, with a minor modification, as previously detailed by Van Ye et al (24). The modification was as follows: proteins were precipitated to remove the adverse effects of protein residues on the experiment. The sample was mixed with 20% (w/v) trichloroacetic acid and the precipitate was then centrifuged at room temperature for 10 min at 1,100 × g. The reaction with TBA at 90–100°C was used to determine the MDA level, as MDA or similar substances react with TBA and produce a pink pigment (25) that has an absorption maximum of 532 nm (26). To ensure protein precipitation, the sample is mixed with 4°C 20% (wt/vol) trichloroacetic acid and the precipitate is then centrifuged for 10 min at 1,100 × g and room temperature to form a pellet. An aliquot of the supernatant is then placed into an equal volume of 0.6% (wt/vol) TBA in a boiling water bath for 30 min. Following cooling, sample and blank absorbance were read at 532 nm and the results were expressed as nM/ml, based on a graph by our group where 1,1,3,3-tetramethoxypropane was used as the MDA standard (27).

Statistical analysis

SPSS (IBM Corp., Armonk, NY, USA; version 20.0) was used for statistical analysis. Data were assessed using Kruskal-Wallis test with a post hoc Bonferroni-adjusted Mann-Whitney U test. Data are presented as the mean ± standard error of the mean. P<0.05 was considered to indicate a statistically significant difference.

Results

Caspase-8 staining

Density of stromal cell caspase-8 enzyme activity was significantly different among groups (P<0.05). Stromal cell caspase-8 staining density was significantly higher in Group Fe and Group Fe+E when compared with Group C (both P<0.05) (Table I; Figs. 1–3). In addition, stromal cell caspase-8 staining density was notably higher in Group Fe compared with Group Fe+E (P<0.05) (Table I; Figs. 1–3).

Figure 1.

In the control group caspase-8 density staining was not observed in seminiferous tubules (red arrow), stromal cells (green arrow) or endothelium (blue arrow). Original magnification, ×100.

Figure 3.

(A) In the group given exenatide, caspase-8 density staining was observed in terms of prevalence and severity in endothelial (blue arrow; score 2) and stromal (green arrow; score 2) cells. Original magnification, ×100. (B) Score 2 staining was present in the endothelium (blue arrow) and stromal cells (green arrow). Original magnification, ×400. (C) Score 1 staining was observed in stromal cells (green arrow). Original magnification, ×400.

Table I.

Caspase-8 staining in testis tissue.

Table I.

Caspase-8 staining in testis tissue.

StainingGroup CGroup FeGroup Fe+EKruskal-Wallis P-value
Seminiferous tubules0.00±0.000.00±0.000.00±0.00–
Stromal cells, density0.00±0.00 2.00±0.00a 1.33±0.21a,b<0.05
Stromal cells, intensity0.00±0.00 1.67±0.21a 1.50±0.22a<0.05
Endothelial cells, density0.00±0.00 1.33±0.21a 0.67±0.21a,b<0.05
Endothelial cells, intensity0.00±0.00 1.33±0.21a 0.83±0.31a<0.05

{ label (or @symbol) needed for fn[@id='tfn1-etm-0-0-6795'] } Data are presented as the mean + standard error of the mean (n=6/group).

a P<0.05 vs. Group C

b P<0.05 vs. Group Fe. Group C, control group; Group Fe, iron overloaded group; Group Fe+E, iron overloaded and exenatide-treated group.

Intensity of caspase-8 staining in stromal cells was significantly different among groups (P<0.05). Stromal cell caspase-8 staining intensity was significantly higher in Group Fe and Group Fe+E when compared with Group C (P< P<0.05) (Table I; Figs. 1–3).

Caspase-8 staining density in endothelial cells was significantly different among groups (P<0.05). Caspase-8 staining density in endothelial cells was significantly higher in Group Fe and Group Fe+E when compared with Group C (both P<0.05). Caspase-8 staining density in endothelial cells was significantly lower in Group Fe+E when compared with Group Fe (P<0.05) (Table I; Figs. 1–3).

Caspase-8 staining intensity in endothelial cells was significantly higher in Group Fe and Group Fe+E when compared with Group C (both P<0.05) (Table I; Figs. 1–3). Caspase-8 enzyme activity in seminiferous tubules was similar among all groups (Table I; Figs. 1–3).

Caspase-3 staining

Density of caspase-3 staining in stromal cells was significantly different among groups (P<0.05). Stromal cell caspase-3 staining density was significantly higher in Group Fe and Group Fe+E when compared with Group C (both P<0.05). Stromal cell caspase-3 staining density was significantly lower in Group Fe+E when compared with Group Fe (P<0.05) (Table II; Figs. 4–6).

Figure 4.

No caspase-3 staining was observed in seminiferous tubules (red arrow), stromal cells (green arrow) or endothelium (blue arrow) in the control group. Original magnification, ×400.

Figure 6.

(A) In the group given exenatide, caspase-3 staining was observed in terms of density and intensity in endothelial (blue arrow; score 1) and stromal (green arrow; score 1) cells. Original magnification, ×100. (B) Poor staining (score 1) was observed in the endothelium (blue arrow) and stromal cells (green arrow). Original magnification, ×400.

Table II.

Caspase-3 staining in testis tissue.

Table II.

Caspase-3 staining in testis tissue.

StainingGroup CGroup FeGroup Fe+EKruskal-Wallis P-value
Seminiferous tubules, density0.00±0.000.00±0.000.00±0.00–
Seminiferous tubules, intensity0.00±0.000.00±0.000.00±0.00–
Stromal cells, density0.00±0.00 2.00±0.00a 1.50±0.22a,b<0.05
Stromal cells, intensity0.00±0.00 2.00±0.00a 1.33±0.21a,b<0.05
Endothelial cells, density0.00±0.00 2.00±0.00a 1.50±0.22a,b<0.05
Endothelial cells, intensity0.00±0.00 2.00±0.00a 1.33±0.21a,b<0.05

{ label (or @symbol) needed for fn[@id='tfn4-etm-0-0-6795'] } Data are presented as the mean + standard error of the mean (n=6/group).

a P<0.05 vs. Group C

b P<0.05 vs. Group Fe. Group C, control group; Group Fe, iron overloaded group; Group Fe+E, iron overloaded and exenatide-treated group.

Intensity of caspase-3 staining in stromal cells was significantly different among groups (P<0.05). Stromal cell caspase-3 staining intensity was significantly higher in Group Fe and Group Fe+E when compared to Group C (both P<0.05). Stromal cell caspase-3 staining intensity was significantly lower in Group Fe+E when compared to Group Fe (P<0.05) (Table II, Figs. 4, 5A-C, and 6A, B).

Figure 5.

(A) In the iron group, caspase-3 staining was highly prevalent in both prevalence and staining intensity in in endothelial (blue arrow; score 2) and stromal (green arrow; score 2) cells. Original magnification, ×100. (B) Staining was also observed in the vascular endothelium (blue arrow; score 2). Original magnification, ×400. (C) Stromal cells (green arrows) exhibited strong caspase-3 staining (score 2). Original magnification, ×400.

Caspase-3 staining density in endothelial cells was significantly different among groups (P<0.05). Caspase-3 staining density in endothelial cells was significantly higher in Group Fe and Group Fe+E when compared with Group C (both P<0.05). Caspase-3 staining density in endothelial cells was significantly lower in Group Fe+E when compared with Group Fe (P<0.05) (Table II; Figs. 4–6).

Caspase-3 staining intensity in endothelial cells was significantly different among groups (P<0.05). Caspase-3 staining intensity in endothelial cells was significantly higher in Group Fe and Group Fe+E when compared with Group C (both P<0.05). Caspase-3 staining intensity in endothelial cells was significantly lower in Group Fe+E when compared with Group Fe (P<0.05) (Table II; Figs. 4–6). Caspase-3 enzyme activity in seminiferous tubules was similar among all groups (Table II; Figs. 4–6).

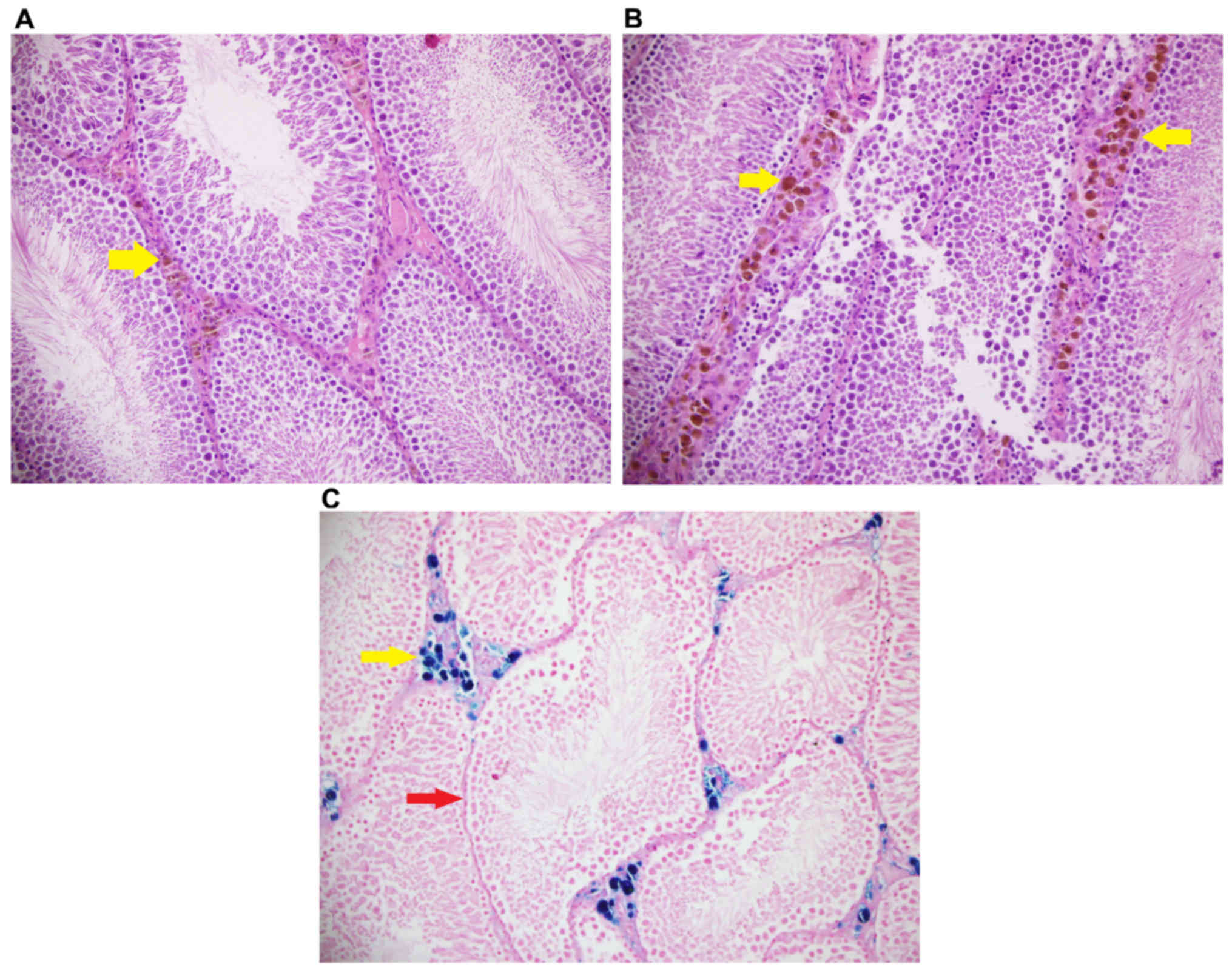
Iron, and hematoxylin and eosin staining

Iron staining density in stromal cells was significantly different among groups (P<0.05). Iron staining intensity in Group Fe and Group Fe+E was significantly higher when compared with Group C (both P<0.05). Iron staining density in stromal cells was significantly lower in Group Fe+E when compared with Group Fe (P<0.05) (Table III; Figs. 4–6). H&E staining in seminiferous tubules was not different among groups (Table III; Fig. 7).

Figure 7.

(A) In the stromal cells (yellow arrow), brown colored iron accumulation was observed (score 1). Original magnification, ×200. (B) Brown colored iron accumulation is observed in the stromal cells (yellow arrows; score 2). Original magnification, ×200. (C) Iron deposits in the histiocytes (red arrow) observed in the stroma were stained blue. There was no staining observed in seminiferous tubules (yellow arrow). Original magnification, ×400.

Table III.

H&E and Iron staining density in testis tissue.

Table III.

H&E and Iron staining density in testis tissue.

StainingGroup CGroup FeGroup Fe+EKruskal-Wallis P-value
Seminiferous tubules, H&E staining density0.00±0.000.00±0.000.00±0.00–
Stromal cells, iron staining density0.00±0.00 2.00±0.00a 1.50±0.22a,b<0.05

{ label (or @symbol) needed for fn[@id='tfn7-etm-0-0-6795'] } Data are presented as the mean + standard error of the mean (n=6/group).

a P<0.05 vs. Group C

b P<0.05 vs. Group Fe. H&E, hematoxylin and eosin; Group C, control group; Group Fe, iron overloaded group; Group Fe+E, iron overloaded and exenatide-treated group.

Serum MDA and SOD activity

Serum MDA enzyme activity was significantly different among groups (P<0.05). MDA enzyme activity was significantly higher in Group Fe and Group Fe+E when compared with Group C (both P<0.05). MDA enzyme activity was significantly lower in Group Fe+E when compared with Group Fe (P<0.05; Fig. 8).

Figure 8.

Serum malondialdehyde enzyme activity. Data are presented as the mean + standard error of the mean (n=6/group). *P<0.05 vs. Group C; &P<0.05 vs. Group Fe.

Serum SOD enzyme activity was significantly different among groups (P<0.05). SOD enzyme activity was significantly higher in Group Fe when compared with Group C (P<0.05). SOD enzyme activity was significantly lower in Group Fe+E when compared with Group Fe (P<0.05; Fig. 9).

Figure 9.

Superoxide dismutase enzyme activity. Data are presented as the mean + standard error of the mean (n=6/group). *P<0.05 vs. Group C; &P<0.05 vs. Group Fe.

Discussion

The beneficial effects of exenatide and exendin-4 include reverting ischemia reperfusion injury (28) and increasing antioxidant enzyme activity (29). Exenatide has also been demonstrated to increase sperm motility and quality, and improve sperm mitochondrial activity and sperm integrity possibly by reducing the expression of proinflammatory cytokines (30).

Excessive production of reactive oxygen species causes testicular damage, which can be reverted by administration of antioxidants (31). Antioxidants have also been demonstrated to enhance testicular function and sperm count in rats (32).

Ahangarpour et al (33) created an aging mouse model with D galactose injections and evaluated the effect of exendin-4 on age-related changes on the testes. The aforementioned study demonstrated that the testis weight and volume were decreased as well as the sperm count. Serum luteinizing hormone (LH) and follicle stimulating hormone (FSH) levels were increased in the D-galactose group. Exendin-4 was demonstrated to increase testis volume and weight. Exendin-4 (1 nmol/kg) also decreased LH and FSH levels, and increased the serum testosterone level. Exendin-4 also increased the sperm count in both normal and aging animals. The authors suggested that exendin-4 administration increased testicular weight and volume via decreasing free radicals and increasing antioxidant enzyme activity. In the present study, it was observed that administering exenatide in an iron overload model in rats significantly reduced oxidative stress markers in the testes. This may be associated with the prevention of iron accumulation, as demonstrated via iron staining, and the stimulation of antioxidant enzyme activity by exenatide.

Activation of caspases is a crucial step in apoptosis (34). Caspase-3 is essential for the terminal or execution pathway of apoptosis, which results in dismantling of the cell (35), whereas caspase-8 has a role in the extrinsic pathway of apoptosis (36). In the present study a significant reduction was observed in caspase-8 and −3 enzyme staining in testicular stromal and endothelial cells in exenatide injected iron overloaded rats. This suggests that exenatide may reduce cell death in testicular tissue. This may be related to a preventive effect of exenatide against iron accumulation. Further studies are required to clarify whether exenatide has other contributory effects in the prevention of testicular cell death. Further studies with terminal deoxynucleotidyl-transferase-mediated dUTP nick end labeling are planned to evaluate the histopathologic changes in detail.

In conclusion, the present study has demonstrated that exenatide somehow reduces iron accumulation in testis tissue in an iron overload model in rats. Apoptotic markers caspase-3 and −8 are lower in iron overload rats that were administered exenatide at the same time. Oxidative stress markers MDA and SOD enzyme activities were also lower in exenatide-injected rats. These findings suggest that exenatide may be protective against iron accumulation and its harmful effects on testis tissue. Further studies are required to evaluate how exenatide iron accumulation reduces oxidative stress and cell death in testis.

Acknowledgements

Not applicable.

Funding

No funding was received.

Availability of data and materials

The datasets used and/or analyzed during the current study are available from the corresponding author on reasonable request.

Authors' contributions

MA and AKu conceived and designed the study. SY and SMK wrote the manuscript. NS and AKi analyzed hematoxylin and eosin staining and immunohistochemistry results. MK analyzed superoxide dismutase and malondialdehyde activity results. FP and HK reviewed and edited the manuscript. All authors read and approved the final version of the manuscript.

Ethics approval and consent to participate

The present study was performed with the approval of the Gazi University Ethics Committee of Experimental Animals.

Patient consent for publication

Not applicable.

Competing interests

The authors declare that they have no competing interests.

References

1 

Lieu PT, Heiskala M, Peterson PA and Yang Y: The roles of iron in health and disease. Mol Asp Med. 22:1–87. 2001. View Article : Google Scholar

2 

Mackenzie EL, Iwasaki K and Tsuji Y: Intracellular iron transport and storage: From molecular mechanisms to health implications. Antiox Redox Signal. 10:997–1030. 2008. View Article : Google Scholar

3 

Kohgo Y, Ikuta K, Ohtake T, Torimoto Y and Kato J: Body iron metabolism and pathophysiology of iron overload. Int J Hematol. 88:7–15. 2008. View Article : Google Scholar : PubMed/NCBI

4 

Oerter KE, Kamp GA, Munson PJ, Nienhuis AW, Cassorla FG and Manasco PK: Multiple hormone deficiencies in children with hemochromatosis. J Clin Endocrinol Metab. 76:357–361. 1993. View Article : Google Scholar : PubMed/NCBI

5 

Safarinejad MR: Evaluation of semen quality, endocrine profile and hypothalamus-pituitary-testis axis in male patients with homozygous beta-thalassemia major. J Urol. 179:2327–2332. 2008. View Article : Google Scholar : PubMed/NCBI

6 

Lucesoli F, Caligiuri M, Roberti MF, Perazzo JC and Fraga CG: Dose-dependent increase of oxidative damage in the testes of rats subjected to acute iron overload. Arch Biochem Biophys. 372:37–43. 1999. View Article : Google Scholar : PubMed/NCBI

7 

Whittaker P, Dunkel VC, Bucci TJ, Kusewitt DF, Thurman JD, Warbritton A and Wolff GL: Genome-linked toxic responses to dietary iron overload. Toxicol Pathol. 25:556–564. 1997. View Article : Google Scholar : PubMed/NCBI

8 

Chen MJ, Peng SS, Lu MY, Yang YL, Jou ST, Chang HH, Chen SU, Lin DT and Lin KH: Effect of iron overload on impaired fertility in male patients with transfusion dependent beta-thalassemia. Pediatr Res. 83:655–661. 2018. View Article : Google Scholar : PubMed/NCBI

9 

Leichtmann-Bardoogo Y, Cohen LA, Weiss A, Marohn B, Schubert S, Meinhardt A and Meyron-Holtz EG: Compartmentalization and regulation of iron metabolism proteins protect male germ cells from iron overload. Am J Physiol Endocrinol Metab. 302:E1519–E1530. 2012. View Article : Google Scholar : PubMed/NCBI

10 

Gunel-Ozcan A, Basar MM, Kisa U and Ankarali HC: Hereditary haemochromatosis gene (HFE) H63D mutation shows an association with abnormal sperm motility. Mol Biol Rep. 36:1709–1714. 2009. View Article : Google Scholar : PubMed/NCBI

11 

Anderson D, Schmid TE and Baumgartner A: Male-mediated developmental toxicity. Asian J Androl. 16:81–88. 2014. View Article : Google Scholar : PubMed/NCBI

12 

Lucesoli F and Fraga CG: Oxidative stress in testes of rats subjected to chronic iron intoxication and alpha-tocopherol supplementation. Toxicology. 132:179–186. 1999. View Article : Google Scholar : PubMed/NCBI

13 

Kokoszko A, Dabrowski J, Lewiński A and Karbownik-Lewińska M: Protective effects of GH and IGF-I against iron-induced lipid peroxidation in vivo. Exp Toxicol Pathol. 60:453–458. 2008. View Article : Google Scholar : PubMed/NCBI

14 

Nakajima S, Numakawa T, Adachi N, Yoon HS, Odaka H, Ooshima Y and Kunugi H: The inactivation of extracellular signal-regulated kinase by glucagon-like peptide-1 contributes to neuroprotection against oxidative stress. Neurosci Lett. 616:105–110. 2016. View Article : Google Scholar : PubMed/NCBI

15 

Oshima N, Onimaru H, Matsubara H, Uchida T, Watanabe A, Imakiire T, Nishida Y and Kumagai H: Direct effects of glucose, insulin, GLP-1, and GIP on bulbospinal neurons in the rostral ventrolateral medulla in neonatal wistar rats. Neuroscience. 344:74–88. 2017. View Article : Google Scholar : PubMed/NCBI

16 

Zhang X, Zhang Z, Zhao Y, Jiang N, Qiu J, Yang Y, Li J, Liang X, Wang X, Tse G, et al: Alogliptin, a dipeptidyl peptidase-4 inhibitor, alleviates atrial remodeling and improves mitochondrial function and biogenesis in diabetic rabbits. J Am Heart Assoc. 15:pii: e0059452017.

17 

Li S, Wang X, Zhang J, Li J, Liu X, Ma Y, Han C, Zhang L and Zheng L: Exenatide ameliorates hepatic steatosis and attenuates fat mass and FTO gene expression through PI3K signaling pathway in nonalcoholic fatty liver disease. Braz J Med Biol Res. 51:e72992018. View Article : Google Scholar : PubMed/NCBI

18 

Ceriello A, De Nigris V, Pujadas G, La Sala L, Bonfigli AR, Testa R, Uccellatore A and Genovese S: The simultaneous control of hyperglycemia and GLP-1 infusion normalize endothelial function in type 1 diabetes. Diabetes Res Clin Pract. 114:64–68. 2016. View Article : Google Scholar : PubMed/NCBI

19 

Oh YS and Jun HS: Effects of glucagon-like peptide-1 on oxidative stress and Nrf2 signaling. Int J Mol Sci. 19:pii: E262017. View Article : Google Scholar

20 

Petersen KE, Rakipovski G, Raun K and Lykkesfeldt J: Does glucagon-like peptide-1 ameliorate oxidative stress in diabetes? Evidence based on experimental and clinical studies. Curr Diabetes Rev. 12:331–358. 2016. View Article : Google Scholar : PubMed/NCBI

21 

Knop FK, Brønden A and Vilsbøll T: Exenatide: Pharmacokinetics, clinical use, and future directions. Expert Opin Pharmacother. 18:555–571. 2017. View Article : Google Scholar : PubMed/NCBI

22 

Guide for the Care and Use of Laboratory Animals published by the United States National Institutes of Health. NIH Publication no. 85-23, revised. 1996.

23 

Durak I, Canbolat O, Kavutçu M, Öztürk HS and Yurtarslani Z: Activities of total, cytoplasmic, and mitochondrial superoxide dismutase enzymes in sera and pleural fluids from patients with lung cancer. J Clin Lab Anal. 10:17–20. 1996. View Article : Google Scholar : PubMed/NCBI

24 

Van Ye TM, Roza AM, Pieper GM, Henderson J Jr, Johnson CP and Adams MB: Inhibition of intestinal lipid peroxidation does not minimize morphologic damage. J Surg Res. 55:553–558. 1993. View Article : Google Scholar : PubMed/NCBI

25 

Bernheim F, Berheim ML and Wilbur KM: The reaction between thiobarbituric acid and the oxidation products of certain lipids. J Biol Chem. 174:257–264. 1948.PubMed/NCBI

26 

Yagi K: A simple fluorometric assay for lipoperoxide in blood plasma. Biochem Med. 15:212–216. 1976. View Article : Google Scholar : PubMed/NCBI

27 

Erbatur ME, Sezen ŞC, Bayraktar AC, Arslan M, Kavutcu M and Aydın ME: Effects of dexmedetomidine on renal tissue after lower limb ischemia reperfusion injury in streptozotocin induced diabetic rats. Libyan J Med. 12:12700212017. View Article : Google Scholar : PubMed/NCBI

28 

Vaghasiya JD, Sheth NR, Bhalodia YS and Jivani NP: Exaggerated liver injury induced by renal ischemia reperfusion in diabetes: Effect of exenatide. Saudi J Gastroenterol. 16:174–180. 2010. View Article : Google Scholar : PubMed/NCBI

29 

Gezginci-Oktayoglu S, Sacan O, Yanardag R, Karatug A and Bolkent S: Exendin-4 improves hepatocyte injury by decreasing proliferation through blocking NGF/TrkA in diabetic mice. Peptides. 32:223–231. 2011. View Article : Google Scholar : PubMed/NCBI

30 

Zhang E, Xu F, Liang H, Yan J, Xu H, Li Z, Wen X and Weng J: GLP-1 receptor agonist exenatide attenuates the detrimental effects of obesity on inflammatory profile in testis and sperm quality in mice. Am J Reprod Immunol. 74:457–466. 2015. View Article : Google Scholar : PubMed/NCBI

31 

Jervis KM and Robaire B: The effects of long-term vitamin E treatment on gene expression and oxidative stress damage in the aging Brown Norway rat epididymis. Biol Reprod. 71:1088–1095. 2004. View Article : Google Scholar : PubMed/NCBI

32 

Suzuki N and Sofikitis N: Protective effects of antioxidants on testicular functions of varicocelized rats. Yonago Acta Med. 42:87–94. 1999.

33 

Ahangarpour A, Oroojan AA and Heidari H: Effects of exendin-4 on male reproductive parameters of D-galactose induced aging mouse model. World J Mens Health. 32:176–183. 2014. View Article : Google Scholar : PubMed/NCBI

34 

Feinstein-Rotkopf Y and Arama E: Can't live without them, can live with them: Roles of caspases during vital cellular processes. Apoptosis. 14:980–995. 2009. View Article : Google Scholar : PubMed/NCBI

35 

Elmore S: Apoptosis: A review of programmed cell death. Toxicol Pathol. 35:495–516. 2007. View Article : Google Scholar : PubMed/NCBI

36 

Hikim Sinha AP, Lue Y, Diaz-Romero M, Yen PH, Wang C and Swerdloff RS: Deciphering the pathways of germ cell apoptosis in the testis. J Steroid Biochem Mol Biol. 85:175–182. 2003. View Article : Google Scholar : PubMed/NCBI

Related Articles

  • Abstract
  • View
  • Download
  • Twitter
Copy and paste a formatted citation
Spandidos Publications style
Yesil S, Sungu N, Kilicarslan A, Kuskonmaz SM, Kara H, Kucuk A, Polat F, Kavutcu M and Arslan M: Exenatide reduces oxidative stress and cell death in testis in iron overload rat model. Exp Ther Med 16: 4349-4356, 2018.
APA
Yesil, S., Sungu, N., Kilicarslan, A., Kuskonmaz, S.M., Kara, H., Kucuk, A. ... Arslan, M. (2018). Exenatide reduces oxidative stress and cell death in testis in iron overload rat model. Experimental and Therapeutic Medicine, 16, 4349-4356. https://doi.org/10.3892/etm.2018.6795
MLA
Yesil, S., Sungu, N., Kilicarslan, A., Kuskonmaz, S. M., Kara, H., Kucuk, A., Polat, F., Kavutcu, M., Arslan, M."Exenatide reduces oxidative stress and cell death in testis in iron overload rat model". Experimental and Therapeutic Medicine 16.6 (2018): 4349-4356.
Chicago
Yesil, S., Sungu, N., Kilicarslan, A., Kuskonmaz, S. M., Kara, H., Kucuk, A., Polat, F., Kavutcu, M., Arslan, M."Exenatide reduces oxidative stress and cell death in testis in iron overload rat model". Experimental and Therapeutic Medicine 16, no. 6 (2018): 4349-4356. https://doi.org/10.3892/etm.2018.6795
Copy and paste a formatted citation
x
Spandidos Publications style
Yesil S, Sungu N, Kilicarslan A, Kuskonmaz SM, Kara H, Kucuk A, Polat F, Kavutcu M and Arslan M: Exenatide reduces oxidative stress and cell death in testis in iron overload rat model. Exp Ther Med 16: 4349-4356, 2018.
APA
Yesil, S., Sungu, N., Kilicarslan, A., Kuskonmaz, S.M., Kara, H., Kucuk, A. ... Arslan, M. (2018). Exenatide reduces oxidative stress and cell death in testis in iron overload rat model. Experimental and Therapeutic Medicine, 16, 4349-4356. https://doi.org/10.3892/etm.2018.6795
MLA
Yesil, S., Sungu, N., Kilicarslan, A., Kuskonmaz, S. M., Kara, H., Kucuk, A., Polat, F., Kavutcu, M., Arslan, M."Exenatide reduces oxidative stress and cell death in testis in iron overload rat model". Experimental and Therapeutic Medicine 16.6 (2018): 4349-4356.
Chicago
Yesil, S., Sungu, N., Kilicarslan, A., Kuskonmaz, S. M., Kara, H., Kucuk, A., Polat, F., Kavutcu, M., Arslan, M."Exenatide reduces oxidative stress and cell death in testis in iron overload rat model". Experimental and Therapeutic Medicine 16, no. 6 (2018): 4349-4356. https://doi.org/10.3892/etm.2018.6795
Follow us
  • Twitter
  • LinkedIn
  • Facebook
About
  • Spandidos Publications
  • Careers
  • Cookie Policy
  • Privacy Policy
How can we help?
  • Help
  • Live Chat
  • Contact
  • Email to our Support Team