Spandidos Publications Logo
  • About
    • About Spandidos
    • Aims and Scopes
    • Abstracting and Indexing
    • Editorial Policies
    • Reprints and Permissions
    • Job Opportunities
    • Terms and Conditions
    • Contact
  • Journals
    • All Journals
    • Oncology Letters
      • Oncology Letters
      • Information for Authors
      • Editorial Policies
      • Editorial Board
      • Aims and Scope
      • Abstracting and Indexing
      • Bibliographic Information
      • Archive
    • International Journal of Oncology
      • International Journal of Oncology
      • Information for Authors
      • Editorial Policies
      • Editorial Board
      • Aims and Scope
      • Abstracting and Indexing
      • Bibliographic Information
      • Archive
    • Molecular and Clinical Oncology
      • Molecular and Clinical Oncology
      • Information for Authors
      • Editorial Policies
      • Editorial Board
      • Aims and Scope
      • Abstracting and Indexing
      • Bibliographic Information
      • Archive
    • Experimental and Therapeutic Medicine
      • Experimental and Therapeutic Medicine
      • Information for Authors
      • Editorial Policies
      • Editorial Board
      • Aims and Scope
      • Abstracting and Indexing
      • Bibliographic Information
      • Archive
    • International Journal of Molecular Medicine
      • International Journal of Molecular Medicine
      • Information for Authors
      • Editorial Policies
      • Editorial Board
      • Aims and Scope
      • Abstracting and Indexing
      • Bibliographic Information
      • Archive
    • Biomedical Reports
      • Biomedical Reports
      • Information for Authors
      • Editorial Policies
      • Editorial Board
      • Aims and Scope
      • Abstracting and Indexing
      • Bibliographic Information
      • Archive
    • Oncology Reports
      • Oncology Reports
      • Information for Authors
      • Editorial Policies
      • Editorial Board
      • Aims and Scope
      • Abstracting and Indexing
      • Bibliographic Information
      • Archive
    • Molecular Medicine Reports
      • Molecular Medicine Reports
      • Information for Authors
      • Editorial Policies
      • Editorial Board
      • Aims and Scope
      • Abstracting and Indexing
      • Bibliographic Information
      • Archive
    • World Academy of Sciences Journal
      • World Academy of Sciences Journal
      • Information for Authors
      • Editorial Policies
      • Editorial Board
      • Aims and Scope
      • Abstracting and Indexing
      • Bibliographic Information
      • Archive
    • International Journal of Functional Nutrition
      • International Journal of Functional Nutrition
      • Information for Authors
      • Editorial Policies
      • Editorial Board
      • Aims and Scope
      • Abstracting and Indexing
      • Bibliographic Information
      • Archive
    • International Journal of Epigenetics
      • International Journal of Epigenetics
      • Information for Authors
      • Editorial Policies
      • Editorial Board
      • Aims and Scope
      • Abstracting and Indexing
      • Bibliographic Information
      • Archive
    • Medicine International
      • Medicine International
      • Information for Authors
      • Editorial Policies
      • Editorial Board
      • Aims and Scope
      • Abstracting and Indexing
      • Bibliographic Information
      • Archive
  • Articles
  • Information
    • Information for Authors
    • Information for Reviewers
    • Information for Librarians
    • Information for Advertisers
    • Conferences
  • Language Editing
Spandidos Publications Logo
  • About
    • About Spandidos
    • Aims and Scopes
    • Abstracting and Indexing
    • Editorial Policies
    • Reprints and Permissions
    • Job Opportunities
    • Terms and Conditions
    • Contact
  • Journals
    • All Journals
    • Biomedical Reports
      • Information for Authors
      • Editorial Policies
      • Editorial Board
      • Aims and Scope
      • Abstracting and Indexing
      • Bibliographic Information
      • Archive
    • Experimental and Therapeutic Medicine
      • Information for Authors
      • Editorial Policies
      • Editorial Board
      • Aims and Scope
      • Abstracting and Indexing
      • Bibliographic Information
      • Archive
    • International Journal of Epigenetics
      • Information for Authors
      • Editorial Policies
      • Editorial Board
      • Aims and Scope
      • Abstracting and Indexing
      • Bibliographic Information
      • Archive
    • International Journal of Functional Nutrition
      • Information for Authors
      • Editorial Policies
      • Editorial Board
      • Aims and Scope
      • Abstracting and Indexing
      • Bibliographic Information
      • Archive
    • International Journal of Molecular Medicine
      • Information for Authors
      • Editorial Policies
      • Editorial Board
      • Aims and Scope
      • Abstracting and Indexing
      • Bibliographic Information
      • Archive
    • International Journal of Oncology
      • Information for Authors
      • Editorial Policies
      • Editorial Board
      • Aims and Scope
      • Abstracting and Indexing
      • Bibliographic Information
      • Archive
    • Medicine International
      • Information for Authors
      • Editorial Policies
      • Editorial Board
      • Aims and Scope
      • Abstracting and Indexing
      • Bibliographic Information
      • Archive
    • Molecular and Clinical Oncology
      • Information for Authors
      • Editorial Policies
      • Editorial Board
      • Aims and Scope
      • Abstracting and Indexing
      • Bibliographic Information
      • Archive
    • Molecular Medicine Reports
      • Information for Authors
      • Editorial Policies
      • Editorial Board
      • Aims and Scope
      • Abstracting and Indexing
      • Bibliographic Information
      • Archive
    • Oncology Letters
      • Information for Authors
      • Editorial Policies
      • Editorial Board
      • Aims and Scope
      • Abstracting and Indexing
      • Bibliographic Information
      • Archive
    • Oncology Reports
      • Information for Authors
      • Editorial Policies
      • Editorial Board
      • Aims and Scope
      • Abstracting and Indexing
      • Bibliographic Information
      • Archive
    • World Academy of Sciences Journal
      • Information for Authors
      • Editorial Policies
      • Editorial Board
      • Aims and Scope
      • Abstracting and Indexing
      • Bibliographic Information
      • Archive
  • Articles
  • Information
    • For Authors
    • For Reviewers
    • For Librarians
    • For Advertisers
    • Conferences
  • Language Editing
Login Register Submit
  • This site uses cookies
  • You can change your cookie settings at any time by following the instructions in our Cookie Policy. To find out more, you may read our Privacy Policy.

    I agree
Search articles by DOI, keyword, author or affiliation
Search
Advanced Search
presentation
Experimental and Therapeutic Medicine
Join Editorial Board Propose a Special Issue
Print ISSN: 1792-0981 Online ISSN: 1792-1015
Journal Cover
June-2019 Volume 17 Issue 6

Full Size Image

Sign up for eToc alerts
Recommend to Library

Journals

International Journal of Molecular Medicine

International Journal of Molecular Medicine

International Journal of Molecular Medicine is an international journal devoted to molecular mechanisms of human disease.

International Journal of Oncology

International Journal of Oncology

International Journal of Oncology is an international journal devoted to oncology research and cancer treatment.

Molecular Medicine Reports

Molecular Medicine Reports

Covers molecular medicine topics such as pharmacology, pathology, genetics, neuroscience, infectious diseases, molecular cardiology, and molecular surgery.

Oncology Reports

Oncology Reports

Oncology Reports is an international journal devoted to fundamental and applied research in Oncology.

Experimental and Therapeutic Medicine

Experimental and Therapeutic Medicine

Experimental and Therapeutic Medicine is an international journal devoted to laboratory and clinical medicine.

Oncology Letters

Oncology Letters

Oncology Letters is an international journal devoted to Experimental and Clinical Oncology.

Biomedical Reports

Biomedical Reports

Explores a wide range of biological and medical fields, including pharmacology, genetics, microbiology, neuroscience, and molecular cardiology.

Molecular and Clinical Oncology

Molecular and Clinical Oncology

International journal addressing all aspects of oncology research, from tumorigenesis and oncogenes to chemotherapy and metastasis.

World Academy of Sciences Journal

World Academy of Sciences Journal

Multidisciplinary open-access journal spanning biochemistry, genetics, neuroscience, environmental health, and synthetic biology.

International Journal of Functional Nutrition

International Journal of Functional Nutrition

Open-access journal combining biochemistry, pharmacology, immunology, and genetics to advance health through functional nutrition.

International Journal of Epigenetics

International Journal of Epigenetics

Publishes open-access research on using epigenetics to advance understanding and treatment of human disease.

Medicine International

Medicine International

An International Open Access Journal Devoted to General Medicine.

Journal Cover
June-2019 Volume 17 Issue 6

Full Size Image

Sign up for eToc alerts
Recommend to Library

  • Article
  • Citations
    • Cite This Article
    • Download Citation
    • Create Citation Alert
    • Remove Citation Alert
    • Cited By
  • Similar Articles
    • Related Articles (in Spandidos Publications)
    • Similar Articles (Google Scholar)
    • Similar Articles (PubMed)
  • Download PDF
  • Download XML
  • View XML
Case Report

A floating inferior alveolar neurovascular bundle in a simple bone cyst: A case report

  • Authors:
    • Shinpei Matsuda
    • Hitoshi Yoshimura
    • Kazuo Sano
  • View Affiliations / Copyright

    Affiliations: Department of Dentistry and Oral Surgery, Unit of Sensory and Locomotor Medicine, Division of Medicine, Faculty of Medical Sciences, University of Fukui, Yoshida, Fukui 910‑1193, Japan
  • Pages: 4677-4680
    |
    Published online on: April 3, 2019
       https://doi.org/10.3892/etm.2019.7463
  • Expand metrics +
Metrics: Total Views: 0 (Spandidos Publications: | PMC Statistics: )
Metrics: Total PDF Downloads: 0 (Spandidos Publications: | PMC Statistics: )
Cited By (CrossRef): 0 citations Loading Articles...

This article is mentioned in:



Abstract

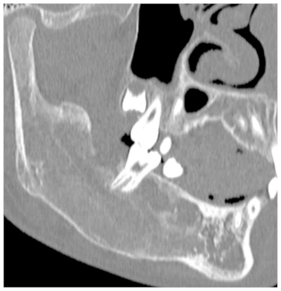
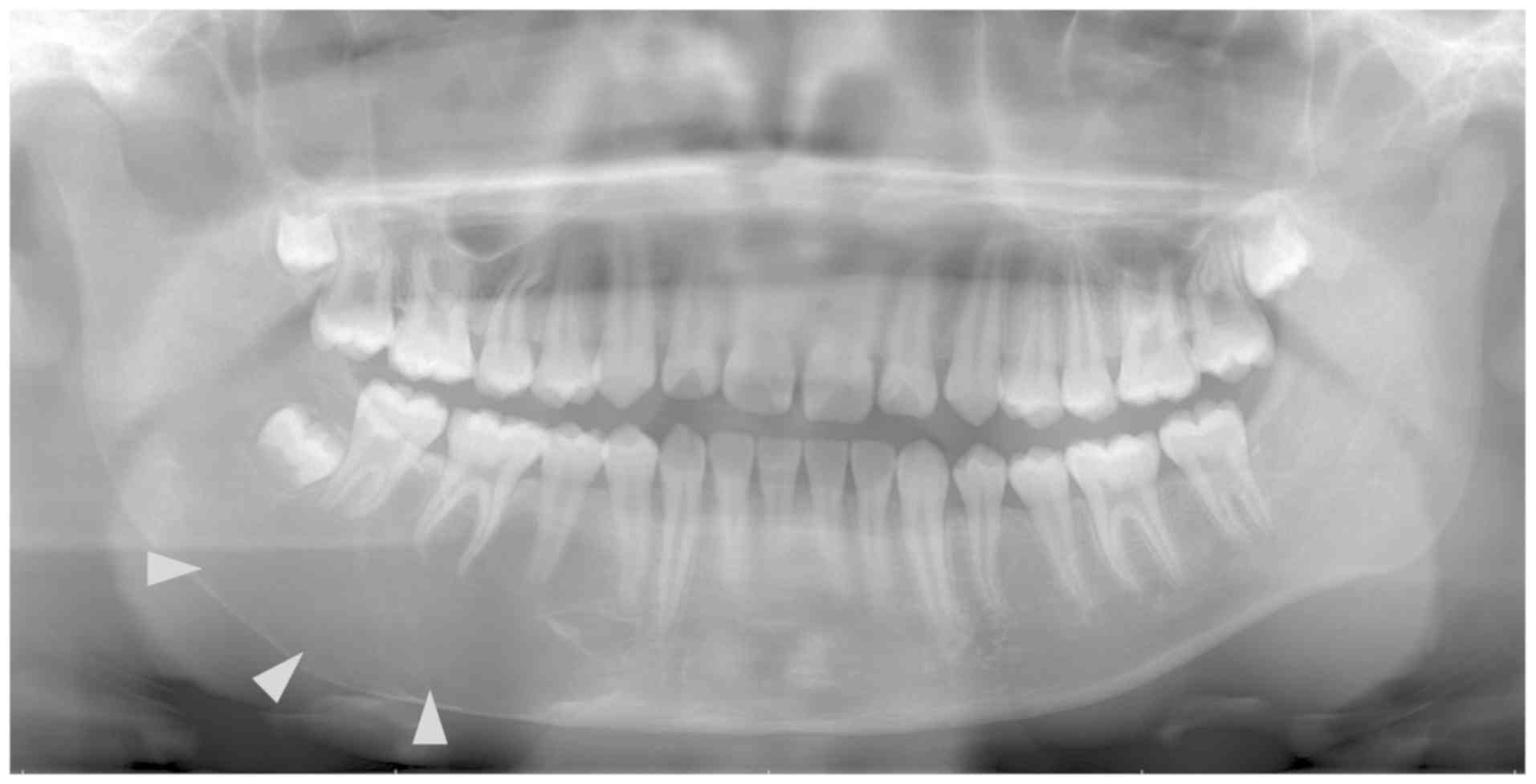
Simple bone cysts (SBCs) are uncommon lesions that usually occur in the long bones of the skeleton and in the body of the mandible. Displacement of the mandibular canal due to cystic lesions have been reported previously. However, there have been no reports in which endoscopy has been utilized to observe an inferior alveolar neurovascular bundle in the lesion lumen. This current study presents a case of mandibular SBC accompanied by a floating inferior alveolar neurovascular bundle. A 13‑year‑old boy presented to the Department of Dentistry and Oral Surgery, University of Fukui in March 2017 with a painless swelling in the right buccal region. He was treated with fenestration surgery using the tooth extraction socket of the right mandibular third molar. An endoscopic view of the lesion lumen presented a surrounding cortical bone without an epithelial lining and the floating inferior alveolar neurovascular bundle that was consistent with the linear low signal area of the preoperative T2‑weighted magnetic resonance imaging. SBC often develops in young people, and as such is minimal surgical invasion is preferable. The current case indicated that clinicians should consider the possibility of the floating inferior alveolar neurovascular bundle in the lesion and should not damage the neurovascular bundle in the narrow surgical field.
View Figures

Figure 1

Figure 2

Figure 3

Figure 4

Figure 5

View References

1 

Rushton MA: Solitary bone cysts in the mandible. Br Dent J. 81:37–49. 1946.PubMed/NCBI

2 

Hatakeyama D, Tamaoki N, Iida K, Yonemoto K, Kato K, Makita H, Toida M and Shibata S: Simple bone cyst of the mandibular condyle in a child: Report of a case. J Oral Maxillofac Surg. 70:2118–2123. 2012. View Article : Google Scholar : PubMed/NCBI

3 

Speight PM and Takata T: New tumour entities in the 4th edition of the World Health Organization Classification of Head and Neck tumours: Odontogenic and maxillofacial bone tumours. Virchows Arch. 472:331–339. 2018. View Article : Google Scholar : PubMed/NCBI

4 

Harnet JC, Lombardi T, Klewansky P, Rieger J, Tempe MH and Clavert JM: Solitary bone cyst of the jaws: A review of the etiopathogenic hypotheses. J Oral Maxillofac Surg. 66:2345–2348. 2008. View Article : Google Scholar : PubMed/NCBI

5 

Suomalainen A, Apajalahti S, Kuhlefelt M and Hagström J: Simple bone cyst: A radiological dilemma. Dentomaxillofac Radiol. 38:174–177. 2009. View Article : Google Scholar : PubMed/NCBI

6 

Matsumura S, Murakami S, Kakimoto N, Furukawa S, Kishino M, Ishida T and Fuchihata H: Histopathologic and radiographic findings of the simple bone cyst. Oral Surg Oral Med Oral Pathol Oral Radiol Endod. 85:619–625. 1998. View Article : Google Scholar : PubMed/NCBI

7 

Strabbing EM, Gortzak RA, Vinke JG, Saridin CP and van Merkesteyn JP: An atypical presentation of a solitary bone cyst of the mandibular ramus: A case report. J Craniomaxillofac Surg. 39:145–147. 2011. View Article : Google Scholar : PubMed/NCBI

8 

Mathew R, Omami G, Gianoli D and Lurie A: Unusual cone-beam computerized tomography presentation of traumatic (simple) bone cyst: Case report and radiographic analysis. Oral Surg Oral Med Oral Pathol Oral Radiol. 113:410–413. 2012. View Article : Google Scholar : PubMed/NCBI

9 

MacDonald-Jankowski DS: Traumatic bone cysts in the jaws of a Hong Kong Chinese population. Clin Radiol. 50:787–791. 1995. View Article : Google Scholar : PubMed/NCBI

10 

Robinson RA and Vincent SD: Idiopathic and developmental abnormalities. AFIP atlas of tumor pathology series 4, Tumor and cysts of the jaws. ARP Press. (Silver Spring, Maryland). 43–48. 2012.

11 

El-Naggar AK, Chan JKC, Grandis JR, Takata T and Slootweg PJ: Giant cell lesions and bone cysts. World Health Organization classification of tumors, WHO classification of head and neck tumours. WHO Press. (Geneva). 256–260. 2017.

12 

Suei Y, Taguchi A, Nagasaki T and Tanimoto K: Radiographic findings and prognosis of simple bone cysts of the jaws. Dentomaxillofac Radiol. 39:65–71. 2010. View Article : Google Scholar : PubMed/NCBI

13 

Imanimoghaddam M, Javadian Langaroody A, Nemati S and Ataei Azimi S: Simple bone cyst of the mandible: Report of two cases. Iran J Radiol. 8:43–46. 2011.PubMed/NCBI

14 

Madiraju G, Yallamraju S, Rajendran V and SrinivasaRao K: Solitary bone cyst of the mandible: A case report and brief review of literature. BMJ Case Rep. 2014:bcr20132009452014. View Article : Google Scholar : PubMed/NCBI

Related Articles

  • Abstract
  • View
  • Download
  • Twitter
Copy and paste a formatted citation
Spandidos Publications style
Matsuda S, Yoshimura H and Sano K: A floating inferior alveolar neurovascular bundle in a simple bone cyst: A case report. Exp Ther Med 17: 4677-4680, 2019.
APA
Matsuda, S., Yoshimura, H., & Sano, K. (2019). A floating inferior alveolar neurovascular bundle in a simple bone cyst: A case report. Experimental and Therapeutic Medicine, 17, 4677-4680. https://doi.org/10.3892/etm.2019.7463
MLA
Matsuda, S., Yoshimura, H., Sano, K."A floating inferior alveolar neurovascular bundle in a simple bone cyst: A case report". Experimental and Therapeutic Medicine 17.6 (2019): 4677-4680.
Chicago
Matsuda, S., Yoshimura, H., Sano, K."A floating inferior alveolar neurovascular bundle in a simple bone cyst: A case report". Experimental and Therapeutic Medicine 17, no. 6 (2019): 4677-4680. https://doi.org/10.3892/etm.2019.7463
Copy and paste a formatted citation
x
Spandidos Publications style
Matsuda S, Yoshimura H and Sano K: A floating inferior alveolar neurovascular bundle in a simple bone cyst: A case report. Exp Ther Med 17: 4677-4680, 2019.
APA
Matsuda, S., Yoshimura, H., & Sano, K. (2019). A floating inferior alveolar neurovascular bundle in a simple bone cyst: A case report. Experimental and Therapeutic Medicine, 17, 4677-4680. https://doi.org/10.3892/etm.2019.7463
MLA
Matsuda, S., Yoshimura, H., Sano, K."A floating inferior alveolar neurovascular bundle in a simple bone cyst: A case report". Experimental and Therapeutic Medicine 17.6 (2019): 4677-4680.
Chicago
Matsuda, S., Yoshimura, H., Sano, K."A floating inferior alveolar neurovascular bundle in a simple bone cyst: A case report". Experimental and Therapeutic Medicine 17, no. 6 (2019): 4677-4680. https://doi.org/10.3892/etm.2019.7463
Follow us
  • Twitter
  • LinkedIn
  • Facebook
About
  • Spandidos Publications
  • Careers
  • Cookie Policy
  • Privacy Policy
How can we help?
  • Help
  • Live Chat
  • Contact
  • Email to our Support Team