Spandidos Publications Logo
  • About
    • About Spandidos
    • Aims and Scopes
    • Abstracting and Indexing
    • Editorial Policies
    • Reprints and Permissions
    • Job Opportunities
    • Terms and Conditions
    • Contact
  • Journals
    • All Journals
    • Oncology Letters
      • Oncology Letters
      • Information for Authors
      • Editorial Policies
      • Editorial Board
      • Aims and Scope
      • Abstracting and Indexing
      • Bibliographic Information
      • Archive
    • International Journal of Oncology
      • International Journal of Oncology
      • Information for Authors
      • Editorial Policies
      • Editorial Board
      • Aims and Scope
      • Abstracting and Indexing
      • Bibliographic Information
      • Archive
    • Molecular and Clinical Oncology
      • Molecular and Clinical Oncology
      • Information for Authors
      • Editorial Policies
      • Editorial Board
      • Aims and Scope
      • Abstracting and Indexing
      • Bibliographic Information
      • Archive
    • Experimental and Therapeutic Medicine
      • Experimental and Therapeutic Medicine
      • Information for Authors
      • Editorial Policies
      • Editorial Board
      • Aims and Scope
      • Abstracting and Indexing
      • Bibliographic Information
      • Archive
    • International Journal of Molecular Medicine
      • International Journal of Molecular Medicine
      • Information for Authors
      • Editorial Policies
      • Editorial Board
      • Aims and Scope
      • Abstracting and Indexing
      • Bibliographic Information
      • Archive
    • Biomedical Reports
      • Biomedical Reports
      • Information for Authors
      • Editorial Policies
      • Editorial Board
      • Aims and Scope
      • Abstracting and Indexing
      • Bibliographic Information
      • Archive
    • Oncology Reports
      • Oncology Reports
      • Information for Authors
      • Editorial Policies
      • Editorial Board
      • Aims and Scope
      • Abstracting and Indexing
      • Bibliographic Information
      • Archive
    • Molecular Medicine Reports
      • Molecular Medicine Reports
      • Information for Authors
      • Editorial Policies
      • Editorial Board
      • Aims and Scope
      • Abstracting and Indexing
      • Bibliographic Information
      • Archive
    • World Academy of Sciences Journal
      • World Academy of Sciences Journal
      • Information for Authors
      • Editorial Policies
      • Editorial Board
      • Aims and Scope
      • Abstracting and Indexing
      • Bibliographic Information
      • Archive
    • International Journal of Functional Nutrition
      • International Journal of Functional Nutrition
      • Information for Authors
      • Editorial Policies
      • Editorial Board
      • Aims and Scope
      • Abstracting and Indexing
      • Bibliographic Information
      • Archive
    • International Journal of Epigenetics
      • International Journal of Epigenetics
      • Information for Authors
      • Editorial Policies
      • Editorial Board
      • Aims and Scope
      • Abstracting and Indexing
      • Bibliographic Information
      • Archive
    • Medicine International
      • Medicine International
      • Information for Authors
      • Editorial Policies
      • Editorial Board
      • Aims and Scope
      • Abstracting and Indexing
      • Bibliographic Information
      • Archive
  • Articles
  • Information
    • Information for Authors
    • Information for Reviewers
    • Information for Librarians
    • Information for Advertisers
    • Conferences
  • Language Editing
Spandidos Publications Logo
  • About
    • About Spandidos
    • Aims and Scopes
    • Abstracting and Indexing
    • Editorial Policies
    • Reprints and Permissions
    • Job Opportunities
    • Terms and Conditions
    • Contact
  • Journals
    • All Journals
    • Biomedical Reports
      • Information for Authors
      • Editorial Policies
      • Editorial Board
      • Aims and Scope
      • Abstracting and Indexing
      • Bibliographic Information
      • Archive
    • Experimental and Therapeutic Medicine
      • Information for Authors
      • Editorial Policies
      • Editorial Board
      • Aims and Scope
      • Abstracting and Indexing
      • Bibliographic Information
      • Archive
    • International Journal of Epigenetics
      • Information for Authors
      • Editorial Policies
      • Editorial Board
      • Aims and Scope
      • Abstracting and Indexing
      • Bibliographic Information
      • Archive
    • International Journal of Functional Nutrition
      • Information for Authors
      • Editorial Policies
      • Editorial Board
      • Aims and Scope
      • Abstracting and Indexing
      • Bibliographic Information
      • Archive
    • International Journal of Molecular Medicine
      • Information for Authors
      • Editorial Policies
      • Editorial Board
      • Aims and Scope
      • Abstracting and Indexing
      • Bibliographic Information
      • Archive
    • International Journal of Oncology
      • Information for Authors
      • Editorial Policies
      • Editorial Board
      • Aims and Scope
      • Abstracting and Indexing
      • Bibliographic Information
      • Archive
    • Medicine International
      • Information for Authors
      • Editorial Policies
      • Editorial Board
      • Aims and Scope
      • Abstracting and Indexing
      • Bibliographic Information
      • Archive
    • Molecular and Clinical Oncology
      • Information for Authors
      • Editorial Policies
      • Editorial Board
      • Aims and Scope
      • Abstracting and Indexing
      • Bibliographic Information
      • Archive
    • Molecular Medicine Reports
      • Information for Authors
      • Editorial Policies
      • Editorial Board
      • Aims and Scope
      • Abstracting and Indexing
      • Bibliographic Information
      • Archive
    • Oncology Letters
      • Information for Authors
      • Editorial Policies
      • Editorial Board
      • Aims and Scope
      • Abstracting and Indexing
      • Bibliographic Information
      • Archive
    • Oncology Reports
      • Information for Authors
      • Editorial Policies
      • Editorial Board
      • Aims and Scope
      • Abstracting and Indexing
      • Bibliographic Information
      • Archive
    • World Academy of Sciences Journal
      • Information for Authors
      • Editorial Policies
      • Editorial Board
      • Aims and Scope
      • Abstracting and Indexing
      • Bibliographic Information
      • Archive
  • Articles
  • Information
    • For Authors
    • For Reviewers
    • For Librarians
    • For Advertisers
    • Conferences
  • Language Editing
Login Register Submit
  • This site uses cookies
  • You can change your cookie settings at any time by following the instructions in our Cookie Policy. To find out more, you may read our Privacy Policy.

    I agree
Search articles by DOI, keyword, author or affiliation
Search
Advanced Search
presentation
Experimental and Therapeutic Medicine
Join Editorial Board Propose a Special Issue
Print ISSN: 1792-0981 Online ISSN: 1792-1015
Journal Cover
August-2020 Volume 20 Issue 2

Full Size Image

Sign up for eToc alerts
Recommend to Library

Journals

International Journal of Molecular Medicine

International Journal of Molecular Medicine

International Journal of Molecular Medicine is an international journal devoted to molecular mechanisms of human disease.

International Journal of Oncology

International Journal of Oncology

International Journal of Oncology is an international journal devoted to oncology research and cancer treatment.

Molecular Medicine Reports

Molecular Medicine Reports

Covers molecular medicine topics such as pharmacology, pathology, genetics, neuroscience, infectious diseases, molecular cardiology, and molecular surgery.

Oncology Reports

Oncology Reports

Oncology Reports is an international journal devoted to fundamental and applied research in Oncology.

Experimental and Therapeutic Medicine

Experimental and Therapeutic Medicine

Experimental and Therapeutic Medicine is an international journal devoted to laboratory and clinical medicine.

Oncology Letters

Oncology Letters

Oncology Letters is an international journal devoted to Experimental and Clinical Oncology.

Biomedical Reports

Biomedical Reports

Explores a wide range of biological and medical fields, including pharmacology, genetics, microbiology, neuroscience, and molecular cardiology.

Molecular and Clinical Oncology

Molecular and Clinical Oncology

International journal addressing all aspects of oncology research, from tumorigenesis and oncogenes to chemotherapy and metastasis.

World Academy of Sciences Journal

World Academy of Sciences Journal

Multidisciplinary open-access journal spanning biochemistry, genetics, neuroscience, environmental health, and synthetic biology.

International Journal of Functional Nutrition

International Journal of Functional Nutrition

Open-access journal combining biochemistry, pharmacology, immunology, and genetics to advance health through functional nutrition.

International Journal of Epigenetics

International Journal of Epigenetics

Publishes open-access research on using epigenetics to advance understanding and treatment of human disease.

Medicine International

Medicine International

An International Open Access Journal Devoted to General Medicine.

Journal Cover
August-2020 Volume 20 Issue 2

Full Size Image

Sign up for eToc alerts
Recommend to Library

  • Article
  • Citations
    • Cite This Article
    • Download Citation
    • Create Citation Alert
    • Remove Citation Alert
    • Cited By
  • Similar Articles
    • Related Articles (in Spandidos Publications)
    • Similar Articles (Google Scholar)
    • Similar Articles (PubMed)
  • Download PDF
  • Download XML
  • View XML

  • Supplementary Files
    • Supplementary_Data.pdf
Article Open Access

Carboxyamidotriazole exerts anti‑inflammatory activity in lipopolysaccharide‑induced RAW264.7 macrophages by inhibiting NF‑κB and MAPKs pathways

  • Authors:
    • Shan Lu
    • Mengyuan Duan
    • Zehao Guo
    • Yongting Zhou
    • Danwei Wu
    • Xiaojuan Zhang
    • Yicheng Wang
    • Caiying Ye
    • Rui Ju
    • Juan Li
    • Dechang Zhang
    • Lei Zhu
  • View Affiliations / Copyright

    Affiliations: Department of Pharmacology, Institute of Basic Medical Sciences, Chinese Academy of Medical Sciences and School of Basic Medicine, Peking Union Medical College, Beijing 100005, P.R. China, Department of Pharmacy, Beijing Jishuitan Hospital, Beijing 100035, P.R. China
    Copyright: © Lu et al. This is an open access article distributed under the terms of Creative Commons Attribution License.
  • Pages: 1455-1466
    |
    Published online on: June 12, 2020
       https://doi.org/10.3892/etm.2020.8889
  • Expand metrics +
Metrics: Total Views: 0 (Spandidos Publications: | PMC Statistics: )
Metrics: Total PDF Downloads: 0 (Spandidos Publications: | PMC Statistics: )
Cited By (CrossRef): 0 citations Loading Articles...

This article is mentioned in:



Abstract

Carboxyamidotriazole (CAI), originally developed as a non-cytotoxic anti-cancer drug, was shown to have anti‑inflammatory activity according to recent studies in a number of animal models of inflammation. However, its mechanism of action has not been characterized. Therefore, the present study was performed to identify the anti‑inflammatory action of CAI in lipopolysaccharide (LPS)‑induced RAW 264.7 macrophages and to identify the signal transduction pathways involved. The in vitro results revealed that CAI had no direct effect on the activity of cyclooxygenase (COX), suggesting a different anti‑inflammatory mechanism compared with that of COX‑inhibiting non‑steroidal anti‑inflammatory drugs. Further investigation in RAW264.7 macrophages revealed that CAI decreased the production of nitric oxide via decreasing the LPS‑stimulated expression of inducible nitric oxide synthase, and downregulated both mRNA and protein expression levels of the cytokines tumor necrosis factor‑α, interleukin (IL)‑1β, and IL‑6. CAI also significantly reduced the increased DNA‑binding activity of nuclear factor (NF)‑κB induced by LPS stimulation. With respect to the mechanisms involved on NF‑κB activity, CAI exhibited suppression of the phosphorylation and degradation of the inhibitor of nuclear factor‑κBα (IκB), and decreased the phosphorylation levels of the p65 subunit and its subsequent nuclear translocation. In addition, CAI significantly decreased the phosphorylated forms of p38, JNK and ERK, which were increased following LPS stimulation, while the total expression levels of p38, JNK and ERK remained unaltered. The results in the present study indicate that CAI alleviates the inflammatory responses of RAW 264.7 macrophages in response to LPS stimulation via attenuating the activation of NF‑κB and MAPK signaling pathways and decreasing the levels of pro‑inflammatory mediators. This offers a novel perspective for understanding the anti‑inflammatory mechanism of CAI and suggests its potential use as a therapeutic treatment in inflammatory diseases with excessive macrophage activation.

Introduction

Inflammation, an important process of host immune response, defends against various injurious insults, including pathogens and their products, damaged cells or noxious stimuli (1). An increasing number of studies suggested that macrophages are critical components of the inflammatory response by secreting various enzymes, cytokines, chemokines and prostaglandins via the activation of several signaling cascades, including nuclear factor (NF) κ-B and mitogen-activated protein kinases (MAPKs) (2,3). Although pro-inflammatory mediators and cytokines produced by macrophages can help to defend against various injurious insults, including pathogens and their products, damaged cells or noxious stimuli, the pro-inflammatory mediators and cytokines, such as nitric oxide (NO), prostaglandin E2, tumor necrosis factor-α (TNF-α), interleukin (IL)-1β and IL-6, which are produced by macrophages, can result in metabolic stress of cells and severe damage within the tissues (4). Notably, misdirected inflammation has been proven to be associated with the pathogenesis of numerous diseases, including rheumatoid arthritis (RA), cancer, diabetes, cardiovascular and cerebrovascular diseases (5-8). Thus, the regulation of activated macrophages followed by the reduction of the aforementioned inflammatory mediators and cytokines may aid in the development of novel treatment strategies for alleviation of inflammatory responses and its related diseases.

Carboxyamidotriazole (CAI) was originally developed as a non-cytotoxic anti-cancer drug; however, multiple in vitro and in vivo preclinical research studies have revealed its anti-proliferative, -angiogenic, and -migratory activities (9-12). Most side effects of CAI were minor, identified from a series of clinical trials, indicating that CAI is typically well tolerated, although the drug exhibits only mild anti-cancer action in a clinical setting (13-15). Therefore, the current primary application for the anti-tumor use of CAI is to combine it with other drugs to synergize the efficacy according to its underlying mechanism (16). Recent studies published by authors of the present study in several animal inflammatory models, such as croton oil-induced ear edema, cotton-induced granuloma, adjuvant arthritis and colitis, revealed significant anti-inflammatory potency of CAI (17-20). In addition, CAI-associated amelioration of inflammatory symptoms were associated with decreasing levels of cytokines and phosphorylated inhibitor of nuclear factor-κBα (IκBα), as well as blocking IκBα degradation in inflammatory tissues (18-20). Moreover, inhibition of TNF-α production in tumor-associated macrophages was found to be another important mechanism for the anti-cancer action of CAI (16). Based on this, the combination of CAI with a low dose of dexamethasone, an effective anti-inflammatory drug, strengthened the suppression of CAI on the proliferation and invasion of tumor cells co-cultured with macrophages (16). Therefore, the clarification of the effect of CAI on macrophages will promote further understanding of its anti-inflammatory and anti-cancer actions. However, the detailed mechanisms in macrophages and the signaling cascade pathways influenced by CAI have yet to be elucidated.

In the present study, the effects of CAI on LPS-stimulated RAW264.7 cells, which is a commonly used model of macrophage inflammation, was investigated. The results revealed the potency of CAI against inflammatory responses in RAW264.7 macrophages via the inhibition of NO and cytokines. In addition, the influences of CAI on cyclooxygenase (COX) activity and NF-κB and MAPK signal transduction pathways to reveal its molecular mechanism was determined.

Materials and methods

Reagents

CAI was synthesized by the Institute of Materia Medica, Chinese Academy of Medical Sciences and dissolved in dimethyl sulfoxide (DMSO; Sigma-Aldrich; Merck KGaA) as a 40 mM stock solution. Cell culture reagents were purchased from Gibco (Thermo Fisher Scientific, Inc.) and the COX inhibitor screening assay kit, sc-560 and DuP697 were purchased from Cayman Chemical Company. Cell Counting Kit-8 (CCK-8) was obtained from Dojindo Molecular Technologies, Inc. LPS (Escherichia coli 055:B5) was obtained from Sigma-Aldrich (Merck KGaA). TRIzol® reagent and SYBRGreen dye were purchased from Invitrogen (Thermo Fisher Scientific, Inc.). The NO assay kit (cat. no. A013-2-1) was purchased from Nanjing Jiancheng Bioengineering Institute. TNF-α (cat. no. EM008), IL-1β (cat. no. EM001) and IL-6 (cat. no. EM004) enzyme-linked immunosorbent assay (ELISA) kits were purchased from Shanghai ExCell Biology, Inc.. The TransScript II First-Strand cDNA Synthesis SuperMIX was purchased from Transgen Biotech Co., Ltd. The TransAM NF-κB p65 transcription factor assay kit (cat. no. 40096) and nuclear extract kit (cat. no. 40010) were purchased from Active Motif Inc.. Primary antibodies against inducible nitric oxide synthase (iNOS, cat. no. 13120), phosphorylated (p)-MAPKs (p-MAPK family antibody sampler kit; cat. no. 9910), MAPKs (MAPK family antibody sampler kit; cat. no. 9926), p-IκB (cat. no. 2859), IκB (cat. no. 4814), p-p65 (cat. no. 3033) and p65 (cat. no. 8242) were purchased from Cell Signaling Technology Inc., while anti-β-actin primary antibody (cat. no. sc-47778) and horseradish peroxidase (HRP)-conjugated secondary antibodies (cat. nos. sc-2004 and sc-2005) were purchased from Santa Cruz Biotechnology, Inc.. The chemiluminescent reagent was purchased from EMD Millipore. The immunofluorescence staining kit (cat. no. P0176), containing goat anti-rabbit immunoglobulin G (IgG) conjugated with Alexa Fluor 488 was purchased from Beyotime Institute of Biotechnology. Other chemical reagents including Tris, NaCl, glycerol, Triton X-100, egtazic acid, sodium orthovanadate and sodium fluoride were of analytical grade.

COX activity assay

The COX inhibitor screening kit, which can directly detect prostaglandin F2α (PGF2α) produced by tin chloride reduction of COX-derived prostaglandin H2 generated in the COX reaction, was used to evaluate the effects of CAI on COX-1 and COX-2 activity. The assay was performed according to the manufacturer's instructions. Heme and the reaction buffer (Tris-HCl buffer containing 5 mM EDTA and 2 mM phenol, pH 8.0) were added to test tubes. Following addition of CAI and COX-1 or COX-2, the tubes were incubated at 37˚C for 10 min. Subsequently, the substrate (arachidonic acid) was added and the tubes were incubated at 37˚C for a further 2 min. The amount of PGF2α produced was determined by utilizing ELISA contained within the aforementioned kit. The absorbance was quantified using spectrophotometry at a wavelength of 405 nm and PGF2α content was determined from a standard curve. CAI was dissolved in DMSO at final concentrations of 1.56, 3.125, 6.25, 12.5, 25, 50 and 100 µM. DMSO alone was placed in the control tubes. Sc-560 and DuP697, COX-1 and COX-2 specific inhibitors, respectively, were used at final concentrations of 20 nM as positive controls for 10 min at 37˚C. All measurements were performed in triplicate.

Cell culture

The RAW264.7 mouse macrophage cell line was provided by the Chinese National Infrastructure of Cell Line Resource. Cells were cultured in Dulbecco's modified Eagle medium (DMEM) containing 100 U/ml penicillin, 100 µg/ml streptomycin, 10 mM HEPES, 2 mM L-glutamine and 10% fetal bovine serum at 37˚C in a humidified incubator with 5% CO2.

Cell viability assay

The CCK-8 assay was used to measure cell viability. In brief, RAW264.7 cells were plated at a density of 2x104 cells/well in a 96-well plate, and either untreated (control), or pretreated with vehicle (0.1% DMSO) or various concentrations of CAI (10, 20 and 40 µM) for 2 h in a 37˚C incubator, and subsequently stimulated for 22 h with 1 µg/ml LPS at 37˚C. CCK-8 solution (20 µl/well) was then added to the cells and incubated for an additional 2 h at 37˚C. Subsequently, the absorbance was determined at a wavelength of 450 nm to measure cell viability.

Measurement of cytokine and NO levels

RAW264.7 cells were cultured at a density of 2x105 cells/well in 24-well plates, and either untreated (control), or pretreated with vehicle (0.1% DMSO) or various concentrations of CAI (10, 20 and 40 µM) for 2 h in a 37˚C incubator, and subsequently stimulated with 1 µg/ml LPS at 37˚C. The culture supernatants were collected after 6 h of LPS stimulation (for detection of cytokine levels) or 24 h (for detection of NO levels) (21). The levels of TNF-α, IL-1β and IL-6 in the supernatants were determined using corresponding ELISA kits, and NO levels were measured using an NO assay kit according to the manufacturer's instructions.

Reverse transcription-quantitative PCR (RT-qPCR)

Following either untreated (control), pretreatment with vehicle (0.1% DMSO) or various concentrations of CAI (10, 20 and 40 µM) for 2 h in a 37˚C incubator, RAW264.7 cells were stimulated for 6 h with 1 µg/ml LPS at 37˚C. Total mRNA was extracted from the cells using TRIzol® reagent and RNA concentration was determined using a NanoDrop 2000 spectrophotometer (Thermo Fisher Scientific, Inc.). Subsequently, total RNA from each sample was reverse transcribed into cDNA using the TransScript II First-Strand cDNA Synthesis SuperMIX according to the manufacturer's instructions. RT-qPCR was performed using the CFX Connect Real-Time PCR Detection system (Bio-Rad Laboratories, Inc.) and SYBRGreen dye. The sequences of the primers used are shown in Table I. The following thermocycling conditions were used for the qPCR: Initial denaturation at 94˚C for 3 min; 40 cycles of 94˚C for 30 sec, 60˚C for 40 sec, and a final extension at 72˚C for 1 min. mRNA levels were quantified using the 2-ΔΔCq method (22). β-actin was used as the endogenous control.

Table I

Primer sequences used for the qPCR.

Table I

Primer sequences used for the qPCR.

GenePrimerSequence
iNOSForward 5'-CAGCTGGGCTGTACAAACCTT-3'
 Reverse 5'-CATTGGAAGTGAAGCGTTTCG-3'
TNF-αForward 5'-GCCTCCCTCTCATCAGTTCTA-3'
 Reverse 5'-GGCAGCCTTGTCCCTTG-3'
IL-1βForward 5'-GGGCTGCTTCCAAACCTTTG-3'
 Reverse 5'-GCTTGGGATCCACACTCTCC-3'
IL-6Forward 5'-AGTTGTGCAATGGCAATTCTGA-3'
 Reverse 5'-AGGACTCTGGCTTTGTCTTTCT-3'
β-actinForward 5'-TGCTGTCCCTGTATGCCTCT-3'
 Reverse 5'-TTTGATGTCACGCACGATTT-3'

[i] iNOS, inducible nitric oxide synthase; TNF, tumor necrosis factor; IL, interleukin.

Western blot analysis

Western blot analysis was used to analyze the protein expression levels of corresponding proteins. For the detection of iNOS, cells were either untreated (control), or preincubated with vehicle (0.1% DMSO) or various concentrations of CAI (10, 20 and 40 µM) for 2 h in a 37˚C incubator and subsequently stimulated for 6 h with 1 µg/ml LPS at 37˚C. Since inflammatory pathways, including NF-κB and MAPKs, are activated quickly following LPS stimulation, the time of LPS incubation for analysis of the two pathways was set to 1 h following CAI pretreatment, as previously described (23,24). Briefly, RAW264.7 cells were washed twice with phosphate-buffered saline (PBS) and lysed on ice for 30 min with ice-cold lysis buffer (10 mM Tris, 150 mM NaCl, 10% glycerol, 1% Triton X-100, 1 mM egtazic acid, 1 mM sodium orthovanadate, 10 mM sodium fluoride and 1% protease inhibitor mix; pH 7.5), followed by centrifugation for 30 min at 12,000 x g (4˚C). The supernatants were collected, and protein concentrations were determined using a Bradford assay. Equivalent amounts of protein (60 µg/lane) from the supernatant were transferred onto polyvinylidene difluoride membranes following separation on 10% SDS-PAGE. The membranes were subsequently blocked with Tris-buffered saline solution containing 0.1% Tween-20 (TBS-T), supplemented with 5% skimmed milk for 2 h at room temperature. Membranes were then probed overnight (4˚C) with primary antibodies against iNOS (1:500), IκB (1:1,000), p-IκB (1:1,000), p65 (1:1,000); p-p65 (1:1,000), β-actin (1:1,000), p-p38 (1:500), p38 (1:500), p-JNK (1:500), JNK (1:800), p-ERK (1:1,000) and ERK (1:1,000). Following washing with TBS-T three times, the membranes were incubated for 2 h at room temperature with HRP-labeled secondary antibodies at a dilution of 1:5,000. Protein bands were visualized using an enhanced chemiluminescent reagent and the band density was quantified using Kodak 1D software (version 3.5; Kodak). β-actin served as the internal control and total levels of the proteins were used in the evaluation of the phosphorylated forms of the proteins.

DNA-binding activity of NF-κB p65

RAW264.7 cells were either untreated (control), or preincubated with vehicle (0.1% DMSO) or various concentrations of CAI (10, 20 and 40 µM) for 2 h in a 37˚C incubator and then stimulated for 1 h with 1 µg/ml LPS at 37˚C. Cellular nuclear protein was extracted using a nuclear extraction kit and analyzed using the NF-κB p65 transcription factor assay kit, which uses an ELISA-based assay to determine NF-κB p65 activity. Briefly, the kit contained a 96-well microtiter plate to which an oligonucleotide containing the NF-κB consensus binding site (5'-GGGACTTTCC-3') was immobilized. The nuclear extracts were added to the 96-well plate and incubated for 1 h at room temperature, allowing the active form of p65 contained in the extracts to bind to the oligonucleotide. Following sufficient washing with the wash buffer contained in the kit, anti-NF-κB p65 primary antibody (1:1,000) was added and incubated for 1 h at room temperature. The plate was washed extensively, and subsequently incubated with HRP-conjugated secondary antibody (1:1,000). Finally, tetramethyl benzidine substrate was added for color development and the absorbance was quantified using spectrophotometry at a wavelength of 450 nm.

Immunofluorescence

RAW264.7 cells were cultured on coverslips and either untreated (control), or preincubated with vehicle (0.1% DMSO) or various concentrations of CAI (10, 20 and 40 µM) for 2 h in a 37˚C incubator followed by stimulation for 1 h with 1 µg/ml LPS at 37˚C. Following washing with PBS, cells were fixed for 20 min with 4% paraformaldehyde at room temperature and permeabilized for 10 min using 0.1% Triton X-100 on ice. Subsequently, the cells were treated for 1 h with blocking solution (1% bovine serum albumin) and incubated overnight with a primary antibody against p65 (1:400) at 4˚C. Subsequently, Alexa Fluor 488-conjugated anti-rabbit IgG secondary antibody (1:1,000) was added to the cells for 30 min at 37˚C. The nuclei were stained with DAPI at room temperature for 5 min. Images were acquired using a Zeiss LSM 780 laser scanning confocal microscope (Zeiss AG) and a Leica DM4000 upright fluorescence microscope (Leica Microsystems GmbH) under x400 magnification. The pixel intensities of p65 in the nuclear area were measured as the percent area of immunoreactivity using ImageJ software (version 1.52u; National Institutes of Health) (25,26).

Statistical analysis

SPSS software (version 20.0; IBM Corp.) was used for statistical analysis. Data are presented as mean ± SD and were analyzed using one-way ANOVA followed by Bonferroni's multiple comparisons test. P<0.05 was considered to indicate a statistically significant difference.

Results

CAI has no effect on COX-1 and COX-2 activities

Non-steroidal anti-inflammatory drugs (NSAIDs) are the main drugs used for inflammation-related diseases, which have been known to possess anti-inflammatory action via inhibiting COX activity and numerous arachidonic acid-related pro-inflammatory factors, such as prostaglandins and leukotrienes (27). By contrast, CAI did not affect the enzyme activities of both COX-1 and COX-2, at concentrations ranging from 1.56 to 100 µM. Furthermore, sc-560 (COX-1-specific inhibitor) and DuP697 (COX-2-specific inhibitor), significantly suppressed COX-1 and COX-2 activity, respectively, compared with control cells (Fig. 1). These results suggested that CAI exerted its anti-inflammatory action via a different mechanism to COX-inhibiting NSAIDs.

Figure 1

Effect of CAI on COX-1 and COX-2 activities in vitro. The effects of CAI on (A) COX-1 and (B) COX-2 activities were determined using an in vitro system with a COX inhibitor screening assay kit. Sc-560 and DuP697 inhibitors were used as positive controls against COX-1 and COX-2, respectively. n=3. Data are presented as the mean ± standard deviation. **P<0.01 vs. DMSO. CAI, carboxyamidotriazole; COX, cyclooxygenase; PGF2α, prostaglandin F2α.

Effect of CAI on cell viability of RAW264.7 macrophages

The anti-inflammatory effects and mechanism of CAI on RAW264.7 macrophages was investigated. To rule out the possibility that decreased cellular inflammatory responses were caused by direct toxicity of CAI to the cells, the potential cytotoxicity of CAI was evaluated using a CCK-8 assay. As shown in Fig. 2, CAI did not affect cell viability at all the concentrations tested compared with controls, which was subsequently found to inhibit LPS-induced inflammatory responses. Therefore, the effect of CAI on RAW264.7 macrophages was not due to cytotoxicity.

Figure 2

Effect of CAI on RAW264.7 macrophage cell viability. RAW264.7 cells were pretreated with CAI (10, 20 and 40 µM) or vehicle (0.1% DMSO) for 2 h and subsequently stimulated with LPS (1 µg/ml) for 24 h. The Cell Counting Kit-8 assay was utilized to determine cell viability. n=6. Data are presented as the mean ± standard deviation. LPS, lipopolysaccharide; CAI, carboxyamidotriazole.

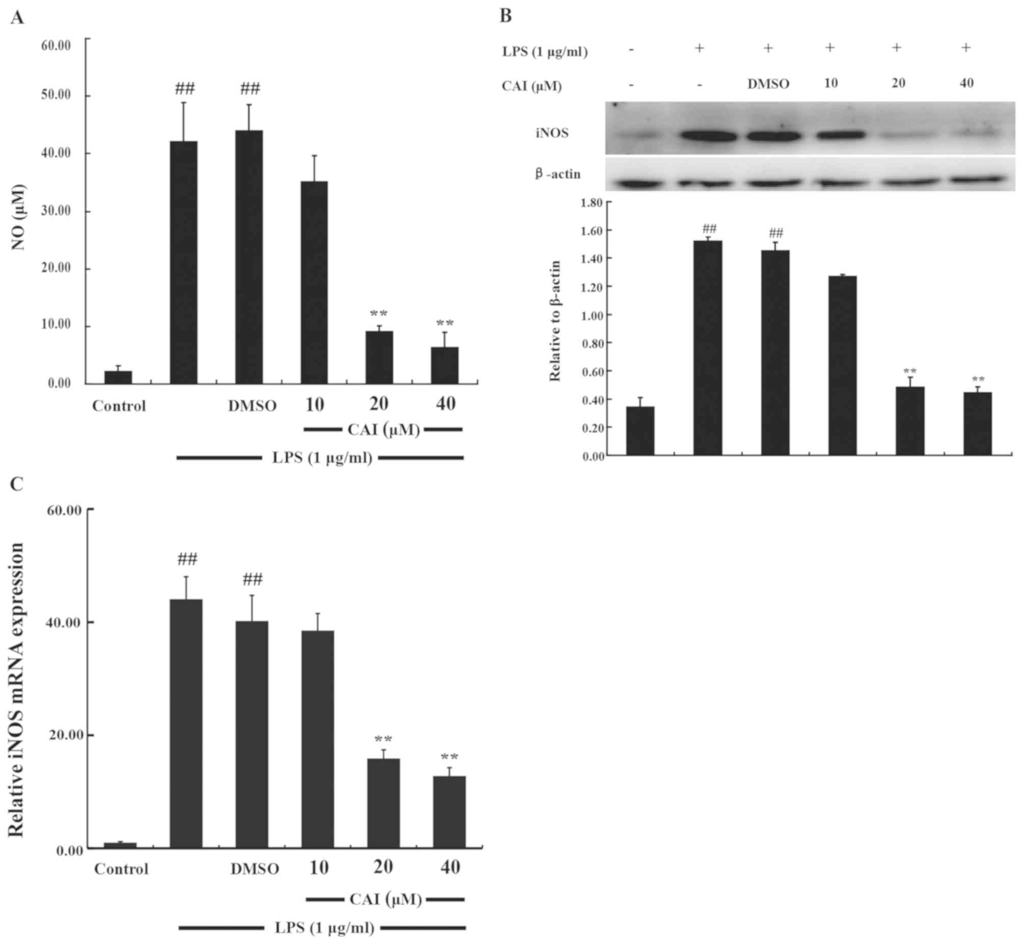
CAI decreases NO production and iNOS expression in LPS-induced RAW264.7 macrophages

The anti-inflammatory action of CAI in macrophages was firstly investigated by determining the levels of NO production following stimulation of RAW 264.7 cells with LPS. NO production significantly increased following LPS stimulation compared with controls. However, cells pretreated with CAI (20 and 40 µM) showed a significant downregulation in NO levels compared with the LPS + DMSO group (Fig. 3A).

Figure 3

Effect of CAI on NO production and iNOS expression in LPS-induced RAW264.7 macrophages. The RAW264.7 cells were pretreated with CAI (10, 20 and 40 µM) or vehicle (0.1% DMSO) for 2 h and subsequently stimulated with LPS (1 µg/ml). (A) An NO assay kit was utilized to detect the level of NO in the supernatant. n=6. (B) Western blot analysis was utilized to determine the protein expression levels of iNOS. β-actin served as the control. n=3. (C) Reverse transcription-quantitative PCR was utilized to detect the mRNA expression levels of iNOS. n=3. Data are presented as the mean ± standard deviation. ##P<0.01 vs. control. **P<0.01 vs. LPS + DMSO group. NO, nitric oxide; CAI, carboxyamidotriazole; iNOS, inducible nitric oxide synthase; LPS, lipopolysaccharide.

Since iNOS is an important NO-generating enzyme (4), western blot analysis was performed to further analyze the protein expression levels of iNOS. iNOS expression was almost undetectable in the absence of LPS but was significantly increased following LPS stimulation compared with controls. However, CAI pretreatment (20 and 40 µM) significantly suppressed the increased protein expression of iNOS in LPS-induced RAW264.7 cells compared with the LPS + DMSO group (Fig. 3B). In addition, LPS-induced mRNA expression levels of iNOS were also significantly inhibited by pretreatment with CAI (20 and 40 µM) compared with the LPS + DMSO group, as shown from the RT-qPCR analysis (Fig. 3C).

CAI downregulates the levels of pro-inflammatory cytokines in LPS-induced RAW264.7 macrophages

The production of pro-inflammatory cytokines was measured using ELISA. Pretreating the cells with LPS alone significantly upregulated the levels of TNF-α, IL-1β and IL-6 in the supernatant compared with controls, while CAI (20 and 40 µM) prior to LPS treatment inhibited the elevated secretion of these cytokines compared with the LPS + DMSO group (Fig. 4). RT-qPCR analysis further confirmed that treatment with LPS increased the mRNA expression levels of the aforementioned cytokines, which were attenuated by CAI at 20 and 40 µM (Fig. 5).

Figure 4

Effect of CAI on cytokine production in LPS-induced RAW264.7 macrophages. RAW264.7 cells were pretreated with CAI (10, 20 and 40 µM) for 2 h or vehicle (0.1% DMSO) and subsequently stimulated with LPS (1 µg/ml). ELISA assay was utilized to determine the contents of (A) TNF-α, (B) IL-1β and (C) IL-6 in the supernatant. n=3. Data are presented as the mean ± standard deviation. ##P<0.01 vs. control. **P<0.01 vs. LPS + DMSO. LPS, lipopolysaccharide; IL, interleukin; CAI, carboxyamidotriazole; TNF, tumor necrosis factor.

Figure 5

Effect of CAI on the mRNA expression levels of cytokines in LPS-induced RAW264.7 macrophages. RAW264.7 cells were pretreated with CAI (10, 20 and 40 µM) or vehicle (0.1% DMSO) for 2 h and subsequently stimulated with LPS (1 µg/ml). Reverse transcription-quantitative PCR was utilized to detect the mRNA expression levels of (A) TNF-α, (B) IL-1β, and (C) IL-6. n=3. Data are presented as the mean ± standard deviation. ##P<0.01 vs. control. **P<0.01 vs. LPS + DMSO. CAI, carboxyamidotriazole; IL, interleukin; LPS, lipopolysaccharide; TNF, tumor necrosis factor.

CAI inhibits NF-κB activation in LPS-induced RAW264.7 macrophages

The transcription factor NF-κB is known to be implicated in the regulation of numerous genes that code for the mediators of inflammatory and immune responses (28). To explore the potential mechanism involved in the anti-inflammatory action of CAI in the macrophages, a DNA-binding assay was performed to determine the effects of CAI on LPS-induced NF-κB activation. The DNA-binding activity of NF-κB p65 in nuclear extracts was significantly increased in response to LPS treatment compared with controls, and this increase was significantly reduced by pretreatment with CAI (20 and 40 µM) compared with the LPS + DMSO group (Fig. 6A).

Figure 6

Effect of CAI on NF-κB activation, IκBα degradation and p65 phosphorylation in LPS-induced RAW264.7 macrophages. RAW264.7 cells were pretreated with CAI (10, 20 and 40 µM) or vehicle (0.1% DMSO) for 2 h and subsequently stimulated with LPS (1 µg/ml). (A) The ELISA-based TransAM NF-κB p65 transcription factor assay kit was utilized to measure the DNA-binding activity of p65 in nuclear protein. n=4. (B) Western blot analysis was utilized to determine the protein expression levels of IκBα, p-IκBα, p65 and p-p65 and quantified using densitometry. Immunoblot bands were analyzed for densitometry and the relative ratio of phosphorylated and total proteins was calculated. n=3. Data are presented as the mean ± standard deviation. ##P<0.01 vs. control. **P<0.01 vs. LPS + DMSO. LPS, lipopolysaccharide; p, phosphorylated; CAI, carboxyamidotriazole; NF, nuclear factor.

Since the activation of NF-κB is associated with the sequential transduction cascade, including IκBα phosphorylation and degradation, and translocation of activated NF-κB, which is facilitated by the phosphorylation of the p65 subunit (28), protein extracts of RAW264.7 cells were probed for IκBα, p-IκBα, p-65 and p-p65. The results showed that the phosphorylation of IκBα and p65 in RAW264.7 cells increased after LPS stimulation compared with controls, but was significantly inhibited by CAI pretreatment (10, 20 and 40 µM) (Fig. 6B).

NF-κB nuclear translocation is considered as a hallmark of activation, therefore it was subsequently visualized using immunofluorescence of p65. The expression level of p65 was low in unstimulated cells. Following LPS stimulation, the overlapping of p65-Alexa Fluor 488 green fluorescence with DAPI blue staining was increased, suggesting the enhanced nuclear expression of p65. However, p65 staining was weakened in the nucleus and mainly located in the cytoplasm by pretreatment with CAI (10, 20 and 40 µM), which indicated the inhibitory nuclear translocation of p65 (Figs. 7 and S1, S2). These findings indicated that CAI could inhibit NF-κB activation in LPS-stimulated RAW264.7 cells.

Figure 7

Effect of CAI on NF-κB nuclear translocation in LPS-induced RAW264.7 macrophages. RAW264.7 cells were pretreated with CAI (10, 20 and 40 µM) or vehicle (0.1% DMSO) for 2 h and subsequently stimulated with LPS (1 µg/ml). Following fixation, immunofluorescence staining was performed using anti-p65 primary antibody and Alexa Fluor 488-conjugated anti-rabbit immunoglobulin G secondary antibody (green). DAPI was used to counterstain the nuclei (blue). Experimental groups were performed in triplicate. Images were acquired using a Zeiss LSM 780 laser scanning confocal microscope and representative images from different groups are shown. CAI, carboxyamidotriazole; NF, nuclear factor; LPS, lipopolysaccharide.

CAI blocks MAPK activation in LPS-induced RAW264.7 macrophages

MAPKs play critical roles in the induction of pro-inflammatory gene expression (29). Moreover, the activation of NF-κB is regulated by p38, JNK and ERK (8,30). To further characterize the mechanism underlying the effects of CAI, the MAPK signaling pathway was examined. The phosphorylation of p38, JNK and ERK was significantly increased in RAW264.7 cells stimulated with LPS compared with controls; however, CAI treatment significantly reduced protein levels compared with the LPS + DMSO groups (Fig. 8). However, the total protein expression levels of p38, JNK and ERK were not altered following LPS stimulation or treatment with CAI and LPS. The aforementioned results suggested that CAI inactivated the MAPK signaling pathway to exert its inhibition on the inflammatory responses in macrophages stimulated by LPS.

Figure 8

Effect of CAI on MAPK activation in LPS-induced RAW264.7 macrophages. RAW264.7 cells were pretreated with CAI (10, 20 and 40 µM) or vehicle (0.1% DMSO) for 2 h and then stimulated with LPS (1 µg/ml). Western blot analysis was utilized to determine the phosphorylated and total levels of p38, JNK, and ERK. Immunoblot bands were analyzed for densitometry and the relative ratio of p-MAPK/MAPK was calculated. n=3. Data are presented as the mean ± standard deviation. ##P<0.01 vs. control. **P<0.01 vs. LPS + DMSO. LPS, lipopolysaccharide; p, phosphorylated; CAI, carboxyamidotriazole.

Discussion

The anti-inflammatory effect of CAI in several animal inflammatory models were revealed in previous studies; however, the underlying mechanisms involved has not been fully determined (18-20). Since COX-2 is an important enzyme regulating the inflammation process (31), the effect of CAI on COX activity was initially determined to investigate whether the anti-inflammatory mechanism of CAI is similar to NSAIDs. However, either COX-1 or COX-2 activities were not affected by CAI up to 100 µM, which is much higher compared with the effective concentration (10-40 µM) in anti-inflammatory application observed in the present study and in our previous report (32). The results suggested that CAI exerted its anti-inflammatory action via a different mechanism compared with COX-inhibiting NSAIDs. Thus, further investigation was required.

Activated macrophages play pivotal roles in the initiation and amplification of the inflammatory response and the immune reaction, where one of the mechanisms is via release of a variety of pro-inflammatory mediators (2,3). The regulation of activated macrophages can restrain or control the inflammatory process and may be developed as a promising therapeutic target for various inflammatory diseases (33). LPS, a prototypic endotoxin, is a common inducer of inflammation (4). Therefore, the model mostly used for investigating inflammation and evaluating anti-inflammatory candidates with their mechanisms of action is by stimulating macrophages with LPS (7,8). NO, which is endogenously catalyzed by one of three NOS isoenzymes from L-arginine, is one of the most important inflammatory mediators produced by LPS-stimulated macrophages (34). In contrast to the constitutively expressed neuronal and endothelial NOS, exposure to microbial components, such as LPS or cytokines (for example, IL-1β and TNF-α) causes the induced increase of iNOS in the macrophage, which produces large amounts of NO consistently (35). The NO produced by iNOS is cytotoxic to pathogens and causes host cell and tissue injury, either by activating the NF-κB pathway to release cytokines or directly causing peroxynitrate formation (36-38). In the present study, CAI was found to reduce NO production via suppressing mRNA and protein expression levels of iNOS. In addition, the inhibition of CAI on LPS-induced increases of pro-inflammatory cytokines, including TNF-α, IL-1β and IL-6 also provided supportive evidence for the anti-inflammatory effect of CAI, since these cytokines are widely accepted to be involved in inflammatory induction and perpetuation, and their excessive production leads to multiple tissue damage and organ dysfunction (39). Moreover, this repression was regulated by CAI at the transcriptional level by decreasing the gene expression of the aforementioned cytokines. Our previous study reported that CAI downregulated the levels of the aforementioned cytokines in the serum and at the inflammatory sites of experimental inflammation animal models (18,20). Taken together, the decrease in the aforementioned inflammatory mediators confirmed the anti-inflammatory action of CAI in macrophages, which partially explains the mechanisms underlying the therapeutic effect of CAI on inflammatory animal models observed in our previous studies (18-20).

One of the most important cascades for LPS activation in macrophages is the NF-κB pathway (40,41). NF-κB is a protein complex consisting of five subunits (RelA/p65, RelB, c-Rel, p50 and p52) that form hetero- or homodimers, typically a dimer of p50 and p65(28). In the unstimulated state, NF-κB dimers are sequestered by the inhibitory IκB protein and remain inactive in the cytoplasm (28). When the cell is induced by a variety of different stimuli, including pathogen-derived molecules (for example, LPS), cytokines and oxidants, IκB is rapidly phosphorylated and undergoes polyubiquitination and proteasomal degradation (28). This leads to the release of NF-κB dimers and allows them to consequently translocate into the nucleus where they bind κB motifs in the promoter, contributing to the transcription of a number of genes associated with inflammatory activation, such as iNOS, chemokines, adhesion molecules and cytokines (28). The positive feedback between the inflammatory molecules and NF-κB resulted in the persistence of inflammation and is involved in the pathogenesis of several inflammatory diseases including RA and inflammatory bowel disease (42,43). Consistent with this, suppressing NF-κB was demonstrated to be beneficial for the control of inflammation-related diseases (44,45). Accordingly, the present study discovered that CAI inhibited the increased LPS-induced DNA-binding activity of NF-κB p65. To explore the mechanisms by which CAI inhibited NF-κB activity, the effects of CAI on NF-κB activation pathways was investigated. CAI suppressed the LPS-induced phosphorylation and degradation of IκBα, as well as decreasing the phosphorylated levels and the subsequent nuclear translocation of p65. Similarly, our previous research revealed that CAI could block IκBα phosphorylation and degradation in the inflammatory tissues of arthritic or colitis animal models (18,20). Based on these results, the anti-inflammatory mechanism of CAI is possibly due to its ability to break down the integrating feedback loop between the inflammatory mediators and the NF-κB pathway.

In addition to NF-κB, the MAPK signaling pathway is another important signaling transduction cascade regulating LPS-induced inflammatory responses in macrophages (23,24). MAPKs, which primarily include p38, JNK, and ERK, are a family of serine/threonine kinases (29). Under a variety of extracellular signaling molecules, p38, JNK, and ERK are phosphorylated by consecutive multilevel cascade, which subsequently causes the phosphorylation and activation of various intracellular targets, including additional protein kinases, phospholipases, transcription factors and cytoskeletal proteins (29). The significance of MAPKs in the regulation of cell growth, differentiation, stress adaptation to the environment, inflammatory responses and additional important cellular physiological or pathological processes has identified them as a focus for research into numerous human diseases (46,47). In particular, previous reports revealed that the MAPK signaling pathway exerted a key role in the induction of inflammatory genes expression, including cytokines as well as iNOS. Additionally, MAPKs could increase the expression of these inflammatory genes by regulating the activation of the NF-κB pathway (8,30). Therefore, MAPKs are considered as an important target for the development of novel drugs against inflammation (29,48,49). In the present study, MAPKs, including p38, JNK and ERK were significantly activated by LPS in RAW264.7 macrophages via elevating their phosphorylation levels, which was in line with the results of previous studies (8,23,24). However, CAI suppressed the increased phosphorylated levels of p38, JNK, and ERK stimulated by LPS, but had no effect on their total levels, suggesting the inhibition of CAI on MAPK activation but not on their biosynthesis. To the best of our knowledge, this is the first study that identified the involvement of CAI in the perturbation of the MAPK signaling pathway resulting in anti-inflammatory activity.

However, there are certain limitations to the present study. COX-2-mediated PGE2 is also a key pro-inflammatory mediator. Further experiments are required to determine the effects of CAI on PGE2 levels and COX-2 expression. In addition, it is essential to set up a positive control in the experiments, which is preferably similar to the experimental drug in terms of its mechanism of action. However, the present study lacks a positive control since the exact anti-inflammatory mechanisms of CAI was not clear at the beginning of the study. With the development of research and understanding of the mechanisms of CAI, an appropriate positive control is clearly required in future studies.

In summary, findings from the present study revealed that CAI has no direct effect on COX activity, which differs from COX-inhibiting NSAIDs. Further investigation demonstrated that the inhibitory effects of CAI on cytokine and iNOS-dependent NO production was via inactivation of NF-κB and MAPK pathways LPS-stimulated macrophages (Fig. 9). These results therefore identified a novel perspective for understanding the anti-inflammatory mechanism of CAI and provided a basis for modeling the therapeutic effects of CAI in animal models. Further work may warrant the application of CAI in the near future against inflammatory diseases related to the excessive activation of macrophages.

Figure 9

Schematic diagram describing the potential anti-inflammatory mechanism of CAI in LPS-induced RAW 264.7 macrophages. CAI alleviates the inflammatory response in LPS-induced RAW 264.7 macrophages via inactivation of NF-κB and MAPK signaling pathways and decreasing cytokine and iNOS-dependent NO production. The main activated inflammatory pathways stimulated by LPS are indicated by the arrows, and the repressive effects of CAI are indicated by red lines. CAI, carboxyamidotriazole; LPS, lipopolysaccharide; NO, nitric acid; iNOS, inducible nitric oxide synthase; MAPK, mitogen-activated protein kinase; p, phosphorylated; IL, interleukin; TNF, tumor necrosis factor.

Supplementary Material

Fluorescence microscope images of NF-κB p65 in RAW264.7 macrophages. Cells were pretreated with CAI (10, 20 and 40 μM) or vehicle (0.1% DMSO) for 2 h prior to stimulation by 1 μg/ml LPS for 1 h. They were then fixed and processed as described in section Materials and methods. Samples in each group were triplicate. Images were obtained using a Leica DM4000 upright fluorescence microscope and representative images from different group were shown. CAI, carboxyamidotriazole; NF, nuclear factor.
Immunofluorescence quantification of NF-κB p65 in Fig. S1. The pixel intensity of the immunostained p65 in the nucleus area was quantified using ImageJ software to assess the effect of CAI on p65 nuclear translocation. The values were normalized to 100% for the expression of control group. Data are presented as the mean ± SD of three samples in each group. ##P<0.01 versus control group; *P<0.05, **P<0.01 versus LPS+DMSO group. LPS, lipopolysaccharide; CAI, carboxyamidotriazole; NF, nuclear factor.

Acknowledgements

Not applicable.

Funding

This study was supported by the National Natural Science Foundation of China (grant no. 81102454); CAMS Innovation Fund for Medical Sciences (grant no. 2016-I2M-1-002); and Fund of Medical Epigenetics Research Center, Chinese Academy of Medical Sciences (grant. nos. 2019PT310017, 2018PT31015 and 2017PT31035).

Availability of data and materials

The datasets used and/or analyzed in this study are available from the corresponding author on reasonable request.

Authors' contributions

LZ, DZ and CY designed the study. SL, MD, ZG, XZ and YZ conducted the experiments and performed data entry. YCW, DWW, RJ and JL performed statistical analysis and data interpretation. SL, MD, ZG, XZ and LZ wrote the manuscript. All authors read and approved the final manuscript.

Ethics approval and consent to participate

Not applicable.

Patient consent for publication

Not applicable.

Competing interests

The authors declare that they have no competing interests.

References

1 

Krishnamoorthy S and Honn KV: Inflammation and disease progression. Cancer Metastasis Rev. 25:481–491. 2006.PubMed/NCBI View Article : Google Scholar

2 

Kawai T and Akira S: TLR signaling. Cell Death Differ. 13:816–825. 2006.PubMed/NCBI View Article : Google Scholar

3 

Siebert S, Tsoukas A, Robertson J and McInnes I: Cytokines as therapeutic targets in rheumatoid arthritis and other inflammatory diseases. Pharmacol Rev. 67:280–309. 2015.PubMed/NCBI View Article : Google Scholar

4 

Jang KJ, Choi SH, Yu GJ, Hong SH, Chung YH, Kim CH, Yoon HM, Kim GY, Kim BW and Choi YH: Anti-inflammatory potential of total saponins derived from the roots of panax ginseng in lipopolysaccharide-activated RAW 264.7 macrophages. Exp Ther Med. 11:1109–1115. 2016.PubMed/NCBI View Article : Google Scholar

5 

Wei X, Song H, Yin L, Rizzo MG, Sidhu R, Covey DF, Ory DS and Semenkovich CF: Fatty acid synthesis configures the plasma membrane for inflammation in diabetes. Nature. 539:294–298. 2016.PubMed/NCBI View Article : Google Scholar

6 

Zhu L, Wei W, Zheng YQ and Jia XY: Effects and mechanisms of total glucosides of paeony on joint damage in rat collagen-induced arthritis. Inflamm Res. 54:211–220. 2005.PubMed/NCBI View Article : Google Scholar

7 

Diakos CI, Charles KA, McMillan DC and Clarke SJ: Cancer-related inflammation and treatment effectiveness. Lancet Oncol. 15:e493–e503. 2014.PubMed/NCBI View Article : Google Scholar

8 

Ferrucci L and Fabbri E: Inflammageing: Chronic inflammation in ageing, cardiovascular disease, and frailty. Nat Rev Cardiol. 15:505–522. 2018.PubMed/NCBI View Article : Google Scholar

9 

Kohn EC, Sandeen MA and Liotta LA: In vivo efficacy of a novel inhibitor of selected signal transduction pathways including calcium, arachidonate, and inositol phosphates. Cancer Res. 52:3208–3212. 1992.PubMed/NCBI

10 

Kohn EC, Felder CC, Jacobs W, Holmes KA, Day A, Freer R and Liotta LA: Structure-function analysis of signal and growth inhibition by carboxyamido-triazole, CAI. Cancer Res. 54:935–942. 1994.PubMed/NCBI

11 

Wasilenko WJ, Palad AJ, Somers KD, Blackmore PF, Kohn EC, Rhim JS, Wright GL Jr and Schellhammer PF: Effects of the calcium influx inhibitor carboxyamido-triazole on the proliferation and invasiveness of human prostate tumor cell lines. Int J Cancer. 68:259–264. 1996.PubMed/NCBI View Article : Google Scholar

12 

Moody TW, Chiles J, Moody E, Sieczkiewicz GJ and Kohn EC: CAI inhibits the growth of small cell lung cancer cells. Lung Cancer. 39:279–288. 2003.PubMed/NCBI View Article : Google Scholar

13 

Hussain MM, Kotz H, Minasian L, Premkumar A, Sarosy G, Reed E, Zhai S, Steinberg SM, Raggio M, Oliver VK, et al: Phase II trial of carboxyamidotriazole in patients with relapsed epithelial ovarian cancer. J Clin Oncol. 21:4356–4363. 2003.PubMed/NCBI View Article : Google Scholar

14 

Dutcher JP, Leon L, Manola J, Friedland DM, Roth B and Wilding G: Eastern Cooperative Oncology Group. Phase II study of carboxyamidotriazole in patients with advanced renal cell carcinoma refractory to immunotherapy: E4896, an Eastern cooperative oncology group study. Cancer. 104:2392–2399. 2005.PubMed/NCBI View Article : Google Scholar

15 

Mikkelsen T, Lush R, Grossman SA, Carson KA, Fisher JD, Alavi JB and Rosenfeld S: Phase II clinical and pharmacologic study of radiation therapy and carboxyamido-triazole (CAI) in adults with newly diagnosed glioblastoma multiforme. Invest New Drugs. 25:259–263. 2007.PubMed/NCBI View Article : Google Scholar

16 

Ju R, Wu D, Guo L, Li J, Ye C and Zhang D: Inhibition of pro-inflammatory cytokines in tumour associated macrophages is a potential anti-cancer mechanism of carboxyamidotriazole. Eur J Cancer. 48:1085–1095. 2012.PubMed/NCBI View Article : Google Scholar

17 

Guo L, Ye C, Chen W, Ye H, Zheng R, Li J, Yang H, Yu X and Zhang D: Anti-inflammatory and analgesic potency of carboxyamidotriazole, a tumorostatic agent. J Pharmacol Exp Ther. 325:10–16. 2008.PubMed/NCBI View Article : Google Scholar

18 

Zhu L, Li J, Guo L, Yu X, Wu D, Luo L, Zhu L, Chen W, Chen C, Ye C and Zhang D: Activation of NALP1 inflammasomes in rats with adjuvant arthritis; a novel therapeutic target of carboxyamidotriazole in a model of rheumatoid arthritis. Br J Pharmacol. 172:3446–3459. 2015.PubMed/NCBI View Article : Google Scholar

19 

Zhu L, Li J, Guo L, Yu XL, Wu DW, Chen W, Chen C, Du XW, Zhang DC and Ye CY: Therapeutic effect of carboxyamidotriazole on adjuvant arthritis in rats. Zhongguo Yi Xue Ke Xue Yuan Xue Bao. 38:49–54. 2016.PubMed/NCBI View Article : Google Scholar

20 

Du X, Chen W, Wang Y, Chen C, Guo L, Ju R, Li J, Zhang D, Zhu L and Ye C: Therapeutic efficacy of carboxyamidotriazole on 2,4,6-trinitrobenzene sulfonic acid-induced colitis model is associated with the inhibition of NLRP3 inflammasome and NF-κB activation. Int Immunopharmacol. 45:16–25. 2017.PubMed/NCBI View Article : Google Scholar

21 

Jeon HL, Yoo JM, Lee BD, Lee SJ, Sohn EJ and Kim MR: Anti-inflammatory and antioxidant actions of N-arachidonoyl serotonin in RAW264.7 cells. Pharmacology. 97:195–206. 2016.PubMed/NCBI View Article : Google Scholar

22 

Livak KJ and Schmittgen TD: Analysis of relative gene expression data using real-time quantitative PCR and the 2(-Delta Delta C(T)) method. Methods. 25:402–408. 2001.PubMed/NCBI View Article : Google Scholar

23 

Guo T, Lin Q, Li X, Nie Y, Wang L, Shi L, Xu W, Hu T, Guo T and Luo F: Octacosanol attenuates inflammation in both RAW264.7 macrophages and a mouse model of colitis. J Agric Food Chem. 65:3647–3658. 2017.PubMed/NCBI View Article : Google Scholar

24 

Fengyang L, Yunhe F, Bo L, Zhicheng L, Depeng L, Dejie L, Wen Z, Yongguo C, Naisheng Z, Xichen Z and Zhengtao Y: Stevioside suppressed inflammatory cytokine secretion by downregulation of NF-κB and MAPK signaling pathways in LPS-stimulated RAW264.7 cells. Inflammation. 35:1669–1675. 2012.PubMed/NCBI View Article : Google Scholar

25 

Choi WS, Shin PG, Lee JH and Kim GD: The regulatory effect of veratric acid on NO production in LPS-stimulated RAW264.7 macrophage cells. Cell Immunol. 280:164–170. 2012.PubMed/NCBI View Article : Google Scholar

26 

Choi WS, Seo YB, Shin PG, Kim WY, Lee SY, Choi YJ and Kim GD: Veratric acid inhibits iNOS expression through the regulation of PI3K activation and histone acetylation in LPS-stimulated RAW264.7 cells. Int J Mol Med. 35:202–210. 2015.PubMed/NCBI View Article : Google Scholar

27 

Bacchi S, Palumbo P, Sponta A and Coppolino MF: Clinical pharmacology of non-steroidal anti-inflammatory drugs: A review. Antiinflamm Antiallergy Agents Med Chem. 11:52–64. 2012.PubMed/NCBI View Article : Google Scholar

28 

Viatour P, Merville MP, Bours V and Chariot A: Phosphorylation of NF-kappaB and IkappaB proteins: Implications in cancer and inflammation. Trends Biochem Sci. 30:43–52. 2005.PubMed/NCBI View Article : Google Scholar

29 

Seger R and Krebs EG: The MAPK signaling cascade. FASEB J. 9:726–735. 1995.PubMed/NCBI

30 

Nemoto S, DiDonato JA and Lin A: Coordinate regulation of IkappaB kinases by mitogen-activated protein kinase kinase kinase 1 and NF-kappaB-inducing kinase. Mol Cell Biol. 18:7336–7343. 1998.PubMed/NCBI View Article : Google Scholar

31 

Seibert K, Zhang Y, Leahy K, Hauser S, Masferrer J, Perkins W, Lee L and Isakson P: Pharmacological and biochemical demonstration of the role of cyclooxygenase 2 in inflammation and pain. Proc Natl Acad Sci USA. 91:12013–12017. 1994.PubMed/NCBI View Article : Google Scholar

32 

Zhu L, Duan MY, Zhang XJ, Li J, JU R, Guo L, Lu S and Ye CY: Inhibitory effects of carboxyamidotriazole on cytokines production by peritoneal macrophages from adjuvant arthritis rats. Basic Clin Med. 38:798–802. 2018.

33 

Zhang X and Mosser DM: Macrophage activation by endogenous danger signals. J Pathol. 214:161–178. 2008.PubMed/NCBI View Article : Google Scholar

34 

Rim HK, Cho W, Sung SH and Lee KT: Nodakenin suppresses lipopolysaccharide-induced inflammatory responses in macrophage cells by inhibiting tumor necrosis factor receptor-associated factor 6 and nuclear factor-κB pathways and protects mice from lethal endotoxin shock. J Pharmacol Exp Ther. 342:654–664. 2012.PubMed/NCBI View Article : Google Scholar

35 

Bogdan C: Nitric oxide and the immune response. Nat Immunol. 2:907–916. 2001.PubMed/NCBI View Article : Google Scholar

36 

Davis KL, Martin E, Turko IV and Murad F: Novel effects of nitric oxide. Annu Rev Pharmacol Toxicol. 41:203–236. 2001.PubMed/NCBI View Article : Google Scholar

37 

Aktan F: iNOS-mediated nitric oxide production and its regulation. Life Sci. 75:639–653. 2004.PubMed/NCBI View Article : Google Scholar

38 

Farlik M, Reutterer B, Schindler C, Greten F, Vogl C, Müller M and Decker T: Nonconventional initiation complex assembly by STAT and NF-kappaB transcription factors regulates nitric oxide synthase expression. Immunity. 33:25–34. 2010.PubMed/NCBI View Article : Google Scholar

39 

Kalliolias GD and Ivashkiv LB: TNF biology, pathogenic mechanisms and emerging therapeutic strategies. Nat Rev Rheumatol. 12:49–62. 2016.PubMed/NCBI View Article : Google Scholar

40 

Ulevitch RJ and Tobias PS: Recognition of gram-negative bacteria and endotoxin by the innate immune system. Curr Opin Immunol. 11:19–22. 1999.PubMed/NCBI View Article : Google Scholar

41 

Aderem A and Ulevitch RJ: Toll-like receptors in the induction of the innate immune response. Nature. 406:782–787. 2000.PubMed/NCBI View Article : Google Scholar

42 

Bonizzi G and Karin M: The two NF-kappaB activation pathways and their role in innate and adaptive immunity. Trends Immunol. 25:280–288. 2004.PubMed/NCBI View Article : Google Scholar

43 

Oeckinghaus A, Hayden MS and Ghosh S: Crosstalk in NF-κB signaling pathways. Nat Immunol. 12:695–708. 2011.PubMed/NCBI View Article : Google Scholar

44 

Li Q and Verma IM: NF-kappaB regulation in the immune system. Nat Rev Immunol. 2:725–734. 2002.PubMed/NCBI View Article : Google Scholar

45 

Shibata W, Maeda S, Hikiba Y, Yanai A, Ohmae T, Sakamoto K, Nakagawa H, Ogura K and Omata M: Cutting edge: The IkappaB kinase (IKK) inhibitor, NEMO-binding domain peptide, blocks inflammatory injury in murine colitis. J Immunol. 179:2681–2685. 2007.PubMed/NCBI View Article : Google Scholar

46 

Johnson GL and Lapadat R: Mitogen-activated protein kinase pathways mediated by ERK, JNK, and p38 protein kinases. Science. 298:1911–1912. 2002.PubMed/NCBI View Article : Google Scholar

47 

Strnisková M, Barancík M and Ravingerová T: Mitogen-activated protein kinases and their role in regulation of cellular processes. Gen Physiol Biophys. 21:231–255. 2002.PubMed/NCBI

48 

Kristof AS, Marks-Konczalik J and Moss J: Mitogen-activated protein kinases mediate activator protein-1-dependent human inducible nitric-oxide synthase promoter activation. J Biol Chem. 276:8445–8452. 2001.PubMed/NCBI View Article : Google Scholar

49 

Tanoue T and Nishida E: Docking interactions in the mitogen-activated protein kinase cascades. Pharmacol Ther. 93:193–202. 2002.PubMed/NCBI View Article : Google Scholar

Related Articles

  • Abstract
  • View
  • Download
  • Twitter
Copy and paste a formatted citation
Spandidos Publications style
Lu S, Duan M, Guo Z, Zhou Y, Wu D, Zhang X, Wang Y, Ye C, Ju R, Li J, Li J, et al: Carboxyamidotriazole exerts anti‑inflammatory activity in lipopolysaccharide‑induced RAW264.7 macrophages by inhibiting NF‑κB and MAPKs pathways. Exp Ther Med 20: 1455-1466, 2020.
APA
Lu, S., Duan, M., Guo, Z., Zhou, Y., Wu, D., Zhang, X. ... Zhu, L. (2020). Carboxyamidotriazole exerts anti‑inflammatory activity in lipopolysaccharide‑induced RAW264.7 macrophages by inhibiting NF‑κB and MAPKs pathways. Experimental and Therapeutic Medicine, 20, 1455-1466. https://doi.org/10.3892/etm.2020.8889
MLA
Lu, S., Duan, M., Guo, Z., Zhou, Y., Wu, D., Zhang, X., Wang, Y., Ye, C., Ju, R., Li, J., Zhang, D., Zhu, L."Carboxyamidotriazole exerts anti‑inflammatory activity in lipopolysaccharide‑induced RAW264.7 macrophages by inhibiting NF‑κB and MAPKs pathways". Experimental and Therapeutic Medicine 20.2 (2020): 1455-1466.
Chicago
Lu, S., Duan, M., Guo, Z., Zhou, Y., Wu, D., Zhang, X., Wang, Y., Ye, C., Ju, R., Li, J., Zhang, D., Zhu, L."Carboxyamidotriazole exerts anti‑inflammatory activity in lipopolysaccharide‑induced RAW264.7 macrophages by inhibiting NF‑κB and MAPKs pathways". Experimental and Therapeutic Medicine 20, no. 2 (2020): 1455-1466. https://doi.org/10.3892/etm.2020.8889
Copy and paste a formatted citation
x
Spandidos Publications style
Lu S, Duan M, Guo Z, Zhou Y, Wu D, Zhang X, Wang Y, Ye C, Ju R, Li J, Li J, et al: Carboxyamidotriazole exerts anti‑inflammatory activity in lipopolysaccharide‑induced RAW264.7 macrophages by inhibiting NF‑κB and MAPKs pathways. Exp Ther Med 20: 1455-1466, 2020.
APA
Lu, S., Duan, M., Guo, Z., Zhou, Y., Wu, D., Zhang, X. ... Zhu, L. (2020). Carboxyamidotriazole exerts anti‑inflammatory activity in lipopolysaccharide‑induced RAW264.7 macrophages by inhibiting NF‑κB and MAPKs pathways. Experimental and Therapeutic Medicine, 20, 1455-1466. https://doi.org/10.3892/etm.2020.8889
MLA
Lu, S., Duan, M., Guo, Z., Zhou, Y., Wu, D., Zhang, X., Wang, Y., Ye, C., Ju, R., Li, J., Zhang, D., Zhu, L."Carboxyamidotriazole exerts anti‑inflammatory activity in lipopolysaccharide‑induced RAW264.7 macrophages by inhibiting NF‑κB and MAPKs pathways". Experimental and Therapeutic Medicine 20.2 (2020): 1455-1466.
Chicago
Lu, S., Duan, M., Guo, Z., Zhou, Y., Wu, D., Zhang, X., Wang, Y., Ye, C., Ju, R., Li, J., Zhang, D., Zhu, L."Carboxyamidotriazole exerts anti‑inflammatory activity in lipopolysaccharide‑induced RAW264.7 macrophages by inhibiting NF‑κB and MAPKs pathways". Experimental and Therapeutic Medicine 20, no. 2 (2020): 1455-1466. https://doi.org/10.3892/etm.2020.8889
Follow us
  • Twitter
  • LinkedIn
  • Facebook
About
  • Spandidos Publications
  • Careers
  • Cookie Policy
  • Privacy Policy
How can we help?
  • Help
  • Live Chat
  • Contact
  • Email to our Support Team