Spandidos Publications Logo
  • About
    • About Spandidos
    • Aims and Scopes
    • Abstracting and Indexing
    • Editorial Policies
    • Reprints and Permissions
    • Job Opportunities
    • Terms and Conditions
    • Contact
  • Journals
    • All Journals
    • Oncology Letters
      • Oncology Letters
      • Information for Authors
      • Editorial Policies
      • Editorial Board
      • Aims and Scope
      • Abstracting and Indexing
      • Bibliographic Information
      • Archive
    • International Journal of Oncology
      • International Journal of Oncology
      • Information for Authors
      • Editorial Policies
      • Editorial Board
      • Aims and Scope
      • Abstracting and Indexing
      • Bibliographic Information
      • Archive
    • Molecular and Clinical Oncology
      • Molecular and Clinical Oncology
      • Information for Authors
      • Editorial Policies
      • Editorial Board
      • Aims and Scope
      • Abstracting and Indexing
      • Bibliographic Information
      • Archive
    • Experimental and Therapeutic Medicine
      • Experimental and Therapeutic Medicine
      • Information for Authors
      • Editorial Policies
      • Editorial Board
      • Aims and Scope
      • Abstracting and Indexing
      • Bibliographic Information
      • Archive
    • International Journal of Molecular Medicine
      • International Journal of Molecular Medicine
      • Information for Authors
      • Editorial Policies
      • Editorial Board
      • Aims and Scope
      • Abstracting and Indexing
      • Bibliographic Information
      • Archive
    • Biomedical Reports
      • Biomedical Reports
      • Information for Authors
      • Editorial Policies
      • Editorial Board
      • Aims and Scope
      • Abstracting and Indexing
      • Bibliographic Information
      • Archive
    • Oncology Reports
      • Oncology Reports
      • Information for Authors
      • Editorial Policies
      • Editorial Board
      • Aims and Scope
      • Abstracting and Indexing
      • Bibliographic Information
      • Archive
    • Molecular Medicine Reports
      • Molecular Medicine Reports
      • Information for Authors
      • Editorial Policies
      • Editorial Board
      • Aims and Scope
      • Abstracting and Indexing
      • Bibliographic Information
      • Archive
    • World Academy of Sciences Journal
      • World Academy of Sciences Journal
      • Information for Authors
      • Editorial Policies
      • Editorial Board
      • Aims and Scope
      • Abstracting and Indexing
      • Bibliographic Information
      • Archive
    • International Journal of Functional Nutrition
      • International Journal of Functional Nutrition
      • Information for Authors
      • Editorial Policies
      • Editorial Board
      • Aims and Scope
      • Abstracting and Indexing
      • Bibliographic Information
      • Archive
    • International Journal of Epigenetics
      • International Journal of Epigenetics
      • Information for Authors
      • Editorial Policies
      • Editorial Board
      • Aims and Scope
      • Abstracting and Indexing
      • Bibliographic Information
      • Archive
    • Medicine International
      • Medicine International
      • Information for Authors
      • Editorial Policies
      • Editorial Board
      • Aims and Scope
      • Abstracting and Indexing
      • Bibliographic Information
      • Archive
  • Articles
  • Information
    • Information for Authors
    • Information for Reviewers
    • Information for Librarians
    • Information for Advertisers
    • Conferences
  • Language Editing
Spandidos Publications Logo
  • About
    • About Spandidos
    • Aims and Scopes
    • Abstracting and Indexing
    • Editorial Policies
    • Reprints and Permissions
    • Job Opportunities
    • Terms and Conditions
    • Contact
  • Journals
    • All Journals
    • Biomedical Reports
      • Information for Authors
      • Editorial Policies
      • Editorial Board
      • Aims and Scope
      • Abstracting and Indexing
      • Bibliographic Information
      • Archive
    • Experimental and Therapeutic Medicine
      • Information for Authors
      • Editorial Policies
      • Editorial Board
      • Aims and Scope
      • Abstracting and Indexing
      • Bibliographic Information
      • Archive
    • International Journal of Epigenetics
      • Information for Authors
      • Editorial Policies
      • Editorial Board
      • Aims and Scope
      • Abstracting and Indexing
      • Bibliographic Information
      • Archive
    • International Journal of Functional Nutrition
      • Information for Authors
      • Editorial Policies
      • Editorial Board
      • Aims and Scope
      • Abstracting and Indexing
      • Bibliographic Information
      • Archive
    • International Journal of Molecular Medicine
      • Information for Authors
      • Editorial Policies
      • Editorial Board
      • Aims and Scope
      • Abstracting and Indexing
      • Bibliographic Information
      • Archive
    • International Journal of Oncology
      • Information for Authors
      • Editorial Policies
      • Editorial Board
      • Aims and Scope
      • Abstracting and Indexing
      • Bibliographic Information
      • Archive
    • Medicine International
      • Information for Authors
      • Editorial Policies
      • Editorial Board
      • Aims and Scope
      • Abstracting and Indexing
      • Bibliographic Information
      • Archive
    • Molecular and Clinical Oncology
      • Information for Authors
      • Editorial Policies
      • Editorial Board
      • Aims and Scope
      • Abstracting and Indexing
      • Bibliographic Information
      • Archive
    • Molecular Medicine Reports
      • Information for Authors
      • Editorial Policies
      • Editorial Board
      • Aims and Scope
      • Abstracting and Indexing
      • Bibliographic Information
      • Archive
    • Oncology Letters
      • Information for Authors
      • Editorial Policies
      • Editorial Board
      • Aims and Scope
      • Abstracting and Indexing
      • Bibliographic Information
      • Archive
    • Oncology Reports
      • Information for Authors
      • Editorial Policies
      • Editorial Board
      • Aims and Scope
      • Abstracting and Indexing
      • Bibliographic Information
      • Archive
    • World Academy of Sciences Journal
      • Information for Authors
      • Editorial Policies
      • Editorial Board
      • Aims and Scope
      • Abstracting and Indexing
      • Bibliographic Information
      • Archive
  • Articles
  • Information
    • For Authors
    • For Reviewers
    • For Librarians
    • For Advertisers
    • Conferences
  • Language Editing
Login Register Submit
  • This site uses cookies
  • You can change your cookie settings at any time by following the instructions in our Cookie Policy. To find out more, you may read our Privacy Policy.

    I agree
Search articles by DOI, keyword, author or affiliation
Search
Advanced Search
presentation
Experimental and Therapeutic Medicine
Join Editorial Board Propose a Special Issue
Print ISSN: 1792-0981 Online ISSN: 1792-1015
Journal Cover
February-2021 Volume 21 Issue 2

Full Size Image

Sign up for eToc alerts
Recommend to Library

Journals

International Journal of Molecular Medicine

International Journal of Molecular Medicine

International Journal of Molecular Medicine is an international journal devoted to molecular mechanisms of human disease.

International Journal of Oncology

International Journal of Oncology

International Journal of Oncology is an international journal devoted to oncology research and cancer treatment.

Molecular Medicine Reports

Molecular Medicine Reports

Covers molecular medicine topics such as pharmacology, pathology, genetics, neuroscience, infectious diseases, molecular cardiology, and molecular surgery.

Oncology Reports

Oncology Reports

Oncology Reports is an international journal devoted to fundamental and applied research in Oncology.

Experimental and Therapeutic Medicine

Experimental and Therapeutic Medicine

Experimental and Therapeutic Medicine is an international journal devoted to laboratory and clinical medicine.

Oncology Letters

Oncology Letters

Oncology Letters is an international journal devoted to Experimental and Clinical Oncology.

Biomedical Reports

Biomedical Reports

Explores a wide range of biological and medical fields, including pharmacology, genetics, microbiology, neuroscience, and molecular cardiology.

Molecular and Clinical Oncology

Molecular and Clinical Oncology

International journal addressing all aspects of oncology research, from tumorigenesis and oncogenes to chemotherapy and metastasis.

World Academy of Sciences Journal

World Academy of Sciences Journal

Multidisciplinary open-access journal spanning biochemistry, genetics, neuroscience, environmental health, and synthetic biology.

International Journal of Functional Nutrition

International Journal of Functional Nutrition

Open-access journal combining biochemistry, pharmacology, immunology, and genetics to advance health through functional nutrition.

International Journal of Epigenetics

International Journal of Epigenetics

Publishes open-access research on using epigenetics to advance understanding and treatment of human disease.

Medicine International

Medicine International

An International Open Access Journal Devoted to General Medicine.

Journal Cover
February-2021 Volume 21 Issue 2

Full Size Image

Sign up for eToc alerts
Recommend to Library

  • Article
  • Citations
    • Cite This Article
    • Download Citation
    • Create Citation Alert
    • Remove Citation Alert
    • Cited By
  • Similar Articles
    • Related Articles (in Spandidos Publications)
    • Similar Articles (Google Scholar)
    • Similar Articles (PubMed)
  • Download PDF
  • Download XML
  • View XML
Article Open Access

Influence of aging on the peripheral nerve repair process using an artificial nerve conduit

  • Authors:
    • Ayaka Kaneko
    • Kiyohito Naito
    • Shinji Nakamura
    • Katsumi Miyahara
    • Kenji Goto
    • Hiroyuki Obata
    • Nana Nagura
    • Yoichi Sugiyama
    • Kazuo Kaneko
    • Muneaki Ishijima
  • View Affiliations / Copyright

    Affiliations: Department of Orthopaedics, Juntendo University School of Medicine, Bunkyo, Tokyo 113‑8421, Japan, Laboratory of Morphology and Image Analysis, Research Support Center, Juntendo University Graduate School of Medicine, Bunkyo, Tokyo 113‑8421, Japan
    Copyright: © Kaneko et al. This is an open access article distributed under the terms of Creative Commons Attribution License.
  • Article Number: 168
    |
    Published online on: December 21, 2020
       https://doi.org/10.3892/etm.2020.9599
  • Expand metrics +
Metrics: Total Views: 0 (Spandidos Publications: | PMC Statistics: )
Metrics: Total PDF Downloads: 0 (Spandidos Publications: | PMC Statistics: )
Cited By (CrossRef): 0 citations Loading Articles...

This article is mentioned in:



Abstract

The influence of aging on the induction of nerve regeneration in artificial nerve conduits has yet to be clarified. In the present study, artificial nerve conduit transplantation and histological analysis using the sciatic nerve of young and elderly mice were performed. Using 20 male C57BL/6 mice, an artificial nerve conduit was transplanted to the sciatic nerve at 8 weeks (Young group) or 70 weeks of age (Aged group), and the sciatic nerve was evaluated histologically at 1, 4 and 12 weeks after surgery. Using hematoxylin and eosin staining, the state of induction of nerve regeneration in the artificial nerve conduit was evaluated. Additionally, immunohistochemical staining was used to investigate an angiogenic marker [vascular endothelial growth factor A (VEGFA)], Schwann cell markers [sex determining region Y‑box 10 (SOX10) and S100 calcium‑binding protein β (S100β)] and a nerve damage marker [nerve growth factor (NGF)]. The results revealed that the induction of nerve regeneration was significantly higher in the Young group than in the Aged group. In addition, VEGFA and SOX10 expression at 1 week, SOX10 expression at 4 weeks and SOX10, S100β and NGF expression at 12 weeks in the proximal stump were significantly higher in the Young group than in the Aged group. At the center of the artificial nerve conduit, S100β and NGF expression at 4 weeks, and VEGFA, SOX10, S100β and NGF expression at 12 weeks were significantly higher in the Young group than in the Aged group. In the distal stump, no significant difference was noted in immunostaining at any week between the two groups. The present study suggested that the nerve regeneration‑inducing functions decrease due to aging.

Introduction

Artificial nerve conduits have recently become used for peripheral nerve damage with a long nerve defect and damage of multiple peripheral nerves in which the nerve stumps cannot be directly sutured (1-3). However, there are several problems with artificial nerve conduits. Decreased angiogenesis, a decrease in nerve fibers, and reduction of axon regeneration were previously reported in artificial nerve conduits when an artificial nerve conduit was used for a nerve defect that was long to a certain extent (4).

On the other hand, Biasibetti et al reported that decreased angiogenesis, a decrease in nerve fibers, and myelin degeneration are age-associated changes in peripheral nerves (5). Furthermore, we previously reported a mechanism to prevent oxidative stress-induced peripheral nerve degeneration (6). Peripheral nerves are functionally and morphologically impaired due to aging (5-7).

Based on the above, the use of artificial nerve conduits is expected to be limited for the elderly whose peripheral nerves are considered to have low axon regenerative ability. However, the influence of aging on the induction of nerve regeneration in artificial nerve conduits has yet to be clarified. Thus, in this study, to histologically evaluate the influence of aging on the induction of peripheral nerve regeneration in artificial nerve conduits, we performed artificial nerve conduit transplantation to the sciatic nerve in young and elderly mice. In addition, histological changes after artificial nerve conduit transplantation in each mouse were compared using hematoxylin and eosin (H-E) and immunohistochemical staining.

Materials and methods

Animal model

The present study was approved by the Animal Care Committee of Juntendo University, Tokyo, Japan (registration no. 1398; approval no. 310212).

Thirty male C57BL/6 mice purchased from Japan SLC, Inc. were used. To histologically evaluate the influence of aging on the induction of peripheral nerve regeneration in artificial nerve conduits, an artificial nerve conduit was surgically transplanted to the sciatic nerve at 8 (Young group, n=15) or 70 weeks of age (Aged group, n=15), and the sciatic nerve was collected and histologically evaluated at 1, 4, and 12 weeks after surgery. The mice were maintained at 5 per cage in a sterile environment, and had free access to water and 15-kGy gamma-irradiated feed, CRF-1 (Oriental Yeast Co., Ltd.), at a room temperature of 22 ± 2˚C and 40-60% humidity under a 12-h light and 12-h dark environment.

Preparation of the nerve conduit

The collagen artificial nerve conduit was prepared according to the Nipro patent (United States patent US 6953482 B2). Briefly, enzyme-solubilized collagen (a mixture of collagen types I and III; Nippon Ham, Ibaragi, Japan) was dissolved in water to prepare a 5% aqueous solution and extruded in a coagulating liquid to produce a collagen fiber with a diameter of 50 nm. The collagen fiber was wound around a metal mandrel to produce a tubular structure consisting of collagen with an inner diameter of 1 mm, wall thickness of 0.25 mm, and length of 50 mm. The tube was filled with 60 collagen filaments (50 nm in diameter) aligned longitudinally with the 5% aqueous collagen solution. The constructs were rapidly frozen and then lyophilized in vacuo. The construct contained 10% v/v collagen filaments under dry conditions. The collagen artificial nerve conduit was then subjected to 25-kGy gamma-ray irradiation for sterilization.

Surgical procedures

Under generalized anesthesia with isoflurane inhalation anesthetic solution (4% isoflurane used for induction and 2% for maintenance), a skin incision was made on the lateral side of the right hind limb. For manipulation of the sciatic nerve, a light microscope (Zeiss Axioskop2; magnification, x40) was used. The sciatic nerve was dissected from the surrounding tissue (Fig. 1A) and cut to prepare a 3-mm defect. The nerve defect was bridged by the collagen artificial nerve conduit (Fig. 1B). The proximal and distal nerve stumps were both placed within the conduit, and epineural sutures were made using 9-0 nylon, as described previously by Fields et al (Fig. 1C) (8).

Figure 1

Nerve repair method using artificial nerve conduits. (A) The sciatic nerve was dissected from the surrounding tissue. (B) The mouse right sciatic nerve was cut, and a 3-mm defect was prepared. The nerve defect was bridged by the collagen artificial nerve conduit. (C) The proximal and distal nerve stumps were both placed within the conduit, and epineural sutures were made using 9-0 nylon. Scale bar, 1 mm.

The postoperative activity of the mice was not limited and they were maintained the same as in the preoperative environment. Under generalized anesthesia with isoflurane inhalation anesthetic solution (4% isoflurane used for induction and 2% for maintenance), the right sciatic nerves including collagen nerve conduits from both groups were harvested at 1, 4, and 12 weeks after surgery. Mice were sacrificed by cervical dislocation on the day the sciatic nerves were harvesting.

H-E staining assessment of the age-associated change in the peripheral nerve

The collected sciatic nerve was fixed in 4% paraformaldehyde at room temperature for 72 h and paraffin blocks were prepared. Tissue sections were prepared by cutting the sciatic nerve in the minor axis direction at 3-µm thickness in the following positions: (Proximal): The sciatic nerve proximal to the artificial nerve conduit; (Center): The central region of the artificial nerve conduit; and (Distal): The sciatic nerve distal to the artificial nerve conduit (Fig. 2). H-E staining was performed to evaluate the state of absorption of the outer cylinder of the artificial nerve conduit at Center and state of nerve regeneration induction in the artificial nerve conduit. Using a light microscope (Olympus, AX73), the cross-sectional area including the outer cylinder of the artificial nerve conduit (I), that of the inner lumen of the artificial nerve conduit in the region filled with nerve fibers (II), and the rate of the inner lumen of the artificial nerve conduit being filled with nerve fibers (III=II/I x100) were calculated to evaluate the state of induction of nerve regeneration in the artificial nerve conduit.

Figure 2

Positions of tissue sections. Tissue sections were prepared by cutting the sciatic nerve at 3-µm thickness in the minor axis direction at the following positions: Proximal, the sciatic nerve proximal to the artificial nerve conduit; Center, central region of the artificial nerve conduit; and Distal, the sciatic nerve distal to the artificial nerve conduit.

Histochemical assessment of the age-related change in the peripheral nerve

Several peripheral nerve-specific proteins were immunohistochemically stained. The antibodies used were those against vascular endothelial growth factor A (VEGFA) as an angiogenic marker, sex-determining region Y-box 10 (SOX10) and S100 calcium-binding protein β (S100β) as Schwann cell markers, and nerve growth factor (NGF) as a marker for nerve damage. The primary antibodies and secondary biotinylated antibodies are summarized in Table I.

Table I

Summary of primary and secondary biotinylated antibodies used in the present study.

Table I

Summary of primary and secondary biotinylated antibodies used in the present study.

AntigenPrimary antibody, cat. no. (supplier)Host of primary antibodyPrimary antibody dilutionSecondary biotinylated antibody, cat. no. (supplier)Secondary antibody dilutionAntigen retrieval
VEGFAab51745 (Abcam)Rabbit (pc)1:50Anti-rabbit, E0432 (Dako; Agilent Technologies, Inc.)1:300-
SOX10AF2864 (R&D Systems, Inc.)Goat (pc)1:50Anti-goat, E0466 (Dako; Agilent Technologies, Inc.)1:300Citrate buffer (pH 6.0)
S100βab52642 (Abcam)Rabbit (mc)1:800Anti-rabbit, E0432 (Dako; Agilent Technologies, Inc.)1:300Tris buffer (pH 9.0)
NGFab6199 (Abcam)Rabbit (pc)1:100Anti-rabbit, E0432 (Dako; Agilent Technologies, Inc.)1:300-

[i] VEGFA, vascular endothelial growth factor A; SOX10, sex determining region Y-box 10; S100β, S100 calcium-binding protein β; NGF, nerve growth factor; pc, polyclonal; mc, monoclonal.

After deparaffinization, antigen activation treatment for SOX10 and S100β was performed at 121˚C for 10 min using an autoclave, whereas VEGFA and NGF did not require antigen activation treatment. Then, to block endogenous biotin, the sections were treated with the Avidin/Biotin Blocking Kit (VectorR, SP-2001) and blocked with 2% bovine serum albumin (BSA) (Sigma-Aldrich, A2153) in PBS for 30 min at room temperature, followed by reactions with primary antibodies against the different proteins at 4˚C for 15 h. After treatment with the primary antibody, the sections were immersed in 3% hydrogen peroxide for 5 min to block endogenous peroxidase. Subsequently, the sections were reacted with the secondary antibodies against the proteins at room temperature for 40 min. Lastly, the sections were reacted with peroxidase-conjugated streptavidin (Dako, P397) at room temperature for 40 min. The level of protein expression in the nerve was quantitated in each section using the Nuance FX (PerkinElmer) multispectral camera system. The area stained in brown was regarded as positive, and the ratio of the area of the positive section to the area of the short-axis section of the sciatic nerve was calculated.

Statistical analysis

Data are presented as the mean ± standard deviation (SD) and were analyzed for significant differences by the Mann-Whitney U test (Prism 4; GraphPad Software). Differences were considered significant at P<0.05.

Results

The cross-sectional area (I) including the outer cylinder of the artificial nerve conduit on H&E staining was 2.19±0.11 mm2 in the Young group and 2.18±0.15 mm2 in the Aged group at 1 week (P>0.99), 1.28±0.21 mm2 in the Young group and 1.75±0.36 mm2 in the Aged group at 4 weeks (P=0.06), and 0.22±0.06 mm2 in the Young group and 0.56±0.31 mm2 in the Aged group at 12 weeks (P=0.11). The cross-sectional area (II) of the inner lumen of the artificial nerve conduit filled with nerve fibers was 0.26±0.02 mm2 in the Young group and 0.24±0.05 mm2 in the Aged group at 1 week (P=0.55), 0.26±0.06 mm2 in the Young group and 0.20±0.05 mm2 in the Aged group at 4 weeks (P=0.22), and 0.15±0.04 mm2 in the Young group and 0.11±0.02 mm2 in the Aged group at 12 weeks (P=0.19). The rate of the inner lumen of the artificial nerve conduit being filled with nerve fibers (III) was 11.7±0.8% in the Young group and 11.1±2.5% in the Aged group at 1 week (P=0.42), 21.4±7.6% in the Young group and 12.1±4.5% in the Aged group at 4 weeks (P<0.05), and 67.2±5.5% in the Young group and 26.4±12.8% in the Aged group at 12 weeks (P<0.05). (III) was significantly higher in the Young group than in the Aged group at 4 and 12 weeks (Fig. 3).

Figure 3

Histological analysis by hematoxylin and eosin staining. Young group at postoperative (A) 1 week, (B) 4 weeks and (C) 12 weeks (Center). Aged group at postoperative (D) 1 week, (E) 4 weeks and (F) 12 weeks (Center). Scale bar, 200 µm. Rate of the inner lumen of the artificial nerve conduit being filled with nerve fibers at postoperative (G) 1 week, (H) 4 weeks and (I) 12 weeks. *P<0.05.

Regarding the expression of each protein in the peripheral nerve, the anti-VEGFA antibody-positive expression rates at Proximal in the Young and Aged groups were 17.4±3.3 and 3.1±2.3%, respectively, at 1 week (P<0.05), 8.4±2.7 and 7.8±2.7%, respectively, at 4 weeks (P=0.69), and 6.2±2.1 and 3.6±1.2%, respectively, at 12 weeks (P=0.06). At Center, the rates were 0.0±0.0 and 0.0±0.0%, respectively, at 1 week (P>0.99), 4.7±2.2 and 2.4±1.7%, respectively, at 4 weeks (P=0.10), and 4.2±0.4 and 2.9±0.8%, respectively, at 12 weeks (P<0.05). At Distal, the rates were 5.0±2.2 and 4.5±2.5%, respectively, at 1 week (P=0.69), 4.7±1.7 and 4.2±2.8%, respectively, at 4 weeks (P>0.99), and 3.9±1.3 and 2.8±1.3%, respectively, at 12 weeks (P=0.25). The VEGFA expression rate at Proximal was significantly higher in the Young group than in the Aged group at postoperative 1 week, and the rate at Center was significantly higher in the Young group than in the Aged group at postoperative 12 weeks, whereas no significant difference was noted in the rate at Distal between the 2 groups at any week (Fig. 4).

Figure 4

VEGFA expression in the regenerated peripheral nerve. (A) Images of VEGFA immunohistochemical staining at the Proximal position. (B) VEGFA expression rate at the Proximal position. (C) Images of VEGFA immunohistochemical staining at the Center position. (D) VEGFA expression rate at the Center position. (E) Images of VEGFA immunohistochemical staining at the Distal position. (F) VEGFA expression rate at the Distal position. Scale bar, 100 µm. *P<0.05 vs. Aged group. VEGFA, vascular endothelial growth factor A.

The anti-SOX10 antibody-positive expression rates at Proximal in the Young and Aged groups were 1.6±0.6 and 0.6±0.2%, respectively, at 1 week (P<0.05), 3.4±0.4 and 1.7±0.3%, respectively, at 4 weeks (P<0.05), and 3.1±0.9 and 2.2±0.3%, respectively, at 12 weeks (P<0.05). The rates at Center were 0.0±0.0 and 0.0±0.0%, respectively, at 1 week (P>0.99), 2.1±1.7 and 0.8±0.4%, respectively, at 4 weeks (P=0.11), and 4.7±1.1 and 1.5±0.6%, respectively, at 12 weeks (P<0.05). The rates at Distal were 1.6±0.2 and 1.5±0.4%, respectively, at 1 week (P=0.65), 2.3±0.5 and 1.8±0.6%, respectively, at 4 weeks (P=0.41), and 2.9±1.6 and 2.3±0.6%, respectively, at 12 weeks (P>0.99). The SOX10 expression rate at Proximal was significantly higher in the Young group than in the Aged group at postoperative 1, 4, and 12 weeks, and the rate at Center was significantly higher in the Young group than in the Aged group at postoperative 12 weeks. No significant difference was noted in the SOX10 expression rate at Distal between the 2 groups at any week (Fig. 5).

Figure 5

SOX10 expression in the regenerated peripheral nerve. (A) Images of SOX10 immunohistochemical staining at the Proximal position. (B) SOX10 expression rate at the Proximal position. (C) Images of SOX10 immunohistochemical staining at the Center position. (D) SOX10 expression rate at the Center position. (E) Images of SOX10 immunohistochemical staining at the Distal position. (F) SOX10 expression rate at the Distal position. Scale bar, 100 µm. *P<0.05 vs. Aged group. SOX10, sex determining region Y-box 10.

The S100β expression rates at Proximal in the Young and Aged groups were 7.5±1.6 and 5.4±1.5%, respectively, at 1 week (P=0.15), 10.0±1.9 and 7.0±1.2%, respectively, at 4 weeks (P=0.06), and 14.2±2.5 and 7.0±1.6%, respectively, at 12 weeks (P<0.05). The rates at Center were 0.0±0.0 and 0.0±0.0%, respectively, at 1 week (P>0.99), 1.5±0.9 and 0.6±0.1%, respectively, at 4 weeks (P<0.05), and 3.9±1.2 and 1.4±0.2%, respectively, at 12 weeks (P<0.05). The rates at Distal were 5.0±0.6 and 4.4±1.2%, respectively, at 1 week (P=0.41), 5.6±0.7 and 4.8±0.4%, respectively, at 4 weeks (P=0.19), and 6.7±0.7 and 5.1±0.9%, respectively, at 12 weeks (P=0.19). The S100β expression rate at Proximal was significantly higher in the Young group than in the Aged group at postoperative 12 weeks. The S100β expression rate at Center was significantly higher in the Young group than in the Aged group at postoperative 4 and 12 weeks. No significant difference was noted in the S100β expression rate at Distal between the 2 groups at any week (Fig. 6).

Figure 6

S100β expression in the regenerated peripheral nerve. (A) Images of S100β immunohistochemical staining at the Proximal position. (B) S100β expression rate at the Proximal position. (C) Images of S100β immunohistochemical staining at the Center position. (D) S100β expression rate at the Center position. (E) Images of S100β immunohistochemical staining at the Distal position. (F) S100β expression rate at the Distal position. Scale bar, 100 µm. *P<0.05 vs. Aged group. S100β, S100 calcium-binding protein β.

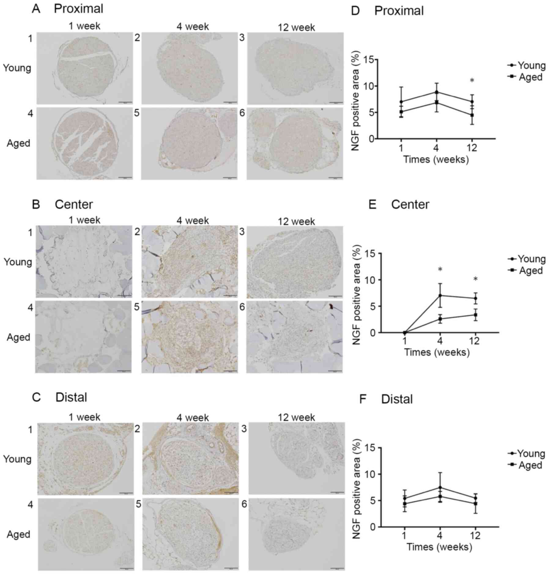
The NGF expression rates at Proximal in the Young and Aged groups were 7.0±2.5 and 5.1±0.9%, respectively, at 1 week (P=0.22), 8.9±1.5 and 6.8±1.6%, respectively, at 4 weeks (P=0.25), and 7.0±1.2 and 4.5±1.6%, respectively, at 12 weeks (P<0.05). The rates at Center were 0.0±0.0 and 0.0±0.0%, respectively, at 1 week (P>0.99), 7.0±2.0 and 2.6±0.7%, respectively, at 4 weeks (P<0.05), and 6.5±0.9 and 3.4±1.0%, respectively, at 12 weeks (P<0.05). The rates at Distal were 5.4±1.4 and 4.4±1.3%, respectively, at 1 week (P=0.42), 7.5±2.4 and 5.8±0.9%, respectively, at 4 weeks (P=0.29), and 5.5±0.7 and 4.4±1.6%, respectively, at 12 weeks (P=0.39). The NGF expression rate at Proximal was significantly higher in the Young group than in the Aged group at postoperative 12 weeks. The NGF expression rate at Center was significantly higher in the Young group than in the Aged group at postoperative 4 and 12 weeks. No significant difference was noted in the NGF expression rate at Distal between the 2 groups at any week (Fig. 7).

Figure 7

NGF expression in the regenerated peripheral nerve. (A) Images of NGF immunohistochemical staining at the Proximal position. (B) NGF expression rate at the Proximal position. (C) Images of NGF immunohistochemical staining at the Center position. (D) NGF expression rate at the Center position. (E) Images of NGF immunohistochemical staining at the Distal position. (F) NGF expression rate at the Distal position. Scale bar, 100 µm. *P<0.05 vs. Aged group. NGF, nerve growth factor.

Discussion

Several previous studies reported that the peripheral nerve regeneration ability decreases due to aging (9,10). In this study, the rate of the inner lumen of the artificial nerve conduit being filled with nerve fibers (III) was significantly lower in the Aged group than in the Young group at 4 and 12 weeks after artificial nerve conduit transplantation, suggesting aging-induced reduction of peripheral nerve regeneration ability. ‘Why is nerve regenerative ability reduced by aging?’ Verdú et al reported that Schwann cell function declines due to aging, delaying Waller degeneration and axon regeneration after peripheral nerve damage (10). In addition, the vascular regeneration ability of nerve tissue after peripheral nerve damage was recently demonstrated to decrease with age (5,11). On the other hand, the generation of new blood vessels starting from the proximal nerve stump after peripheral nerved damage is important (12,13). Furthermore, Schwann cell migration along the new blood vessel generated in this manner was clarified to promote axon regeneration (12). Thus, we performed immunostaining to elucidate the difference in the rate of the artificial nerve conduit inner lumen being filled with nerve fibers (III) between the Young and Aged groups on H&E staining.

VEGFA promotes new blood vessel generation, playing an important role in the early step of nerve regeneration, and it is expressed a few days after peripheral nerve damage (12,13). In the present study, VEGFA expression at Proximal was significantly lower in the Aged group than that in the Young group at postoperative 1 week, and VEGFA expression in the Aged group did not exceed that in the Young group at postoperative 4 or 12 weeks, confirming that VEGFA expression ability decreases due to aging. At Center, VEGFA was gradually expressed from postoperative 1 week to 12 weeks in both groups, and new blood vessels were observed at postoperative 4 weeks on H&E staining, suggesting that VEGFA induced new blood vessel generation from the proximal nerve stump toward the artificial nerve conduit. Generation of these new blood vessels exhibited the same pattern as that reported by Cattin et al (12). Based on the above, aging-induced reduction of VEGFA expression early after peripheral nerve damage was suggested to delay nerve regeneration.

Regarding the appearance of Schwann cells migrating along the new blood vessel, immunohistological staining was performed focusing on SOX10 expressed at all steps of Schwann cell development from the early step of neural crest cells to S100β expression by differentiated Schwann cells (14-16). As SOX10 expression at Proximal increased at postoperative 1, 4, and 12 weeks in the Young group, Schwann cells may have appeared with VEGFA at Proximal in the early step of nerve regeneration in the Young group. The increase in S100β at Proximal at postoperative 12 weeks in the Young group may have been induced by SOX10, which is consistent with the finding reported by Fujiwara et al that ‘induction of S100β expression is one of the important functions of SOX10’ (14), i.e., Schwann cell maturation with migration along the new blood vessel at Proximal was observed in the Young group. On the other hand, in the Aged group, SOX10 expression at Proximal was lower at postoperative 1, 4, and 12 weeks than that in the Young group, confirming that Schwann cell migration is not readily induced at the proximal nerve stump due to aging. At Center, S100β expression increased at postoperative 4 weeks in the Young group. This reaction at Center in the Young group may have been due to increases in VEGFA and SOX10 expression at Proximal, which induced Schwann cell migration along the new blood vessel from Proximal to Center, promoting Schwann cell differentiation. Furthermore, S100β expression at Center in the Aged group was significantly lower than that in the Young group at postoperative 4 and 12 weeks. Although evaluation of aging-associated Schwann cell differentiation ability is difficult, this study revealed that Schwann cell migration ability markedly decreased due to aging and mature Schwann cell development also decreased, suggesting that Waller degeneration during in the nerve regeneration process and axon regeneration ability are reduced by aging.

NGF, a marker of nerve damage, has neuroprotective and nerve/axon regenerative functions, which decline with age (17-21). NGF is present at a low level in normal nerve tissue, but upon nerve damage, NGF production is promoted by Schwann cells (22-24). Based on this study, NGF expression at Proximal at postoperative 12 weeks, and Center at postoperative 4 and 12 weeks was significantly higher in the Young group. Such NGF expression was similar to that of S100β expression, representing mature Schwann cell development, suggesting that NGF was expressed by mature Schwann cells, i.e., mature Schwann cell development decreases in peripheral nerves damaged by aging, reducing the expression of NGF with nerve/axon regenerative function and delaying peripheral nerve regeneration.

In damaged peripheral nerves, Schwann cell migration along the new blood vessel starting from the proximal nerve stump promotes axon regeneration. In the peripheral nerve after artificial nerve conduit transplantation in the Aged group, VEGFA (new blood vessel), SOX10 and S100β (Schwann cells), and NGF (axon regeneration) expression representing the axon regeneration process was significantly lower than that in the Young group, suggesting that peripheral nerve regeneration is delayed by aging. As no study of the efficacy and safety of artificial nerve conduits in the elderly has been performed in Japan, their use for elderly patients has to be carefully investigated. In addition, based on this study, the efficacy of the use of an artificial nerve conduit in elderly patients is inferior to that in young patients. Thus, surgical treatment using conventional artificial nerve conduits for nerve injuries in the elderly has limitations; therefore, new additional therapies aimed at axonal regeneration need to be developed for elderly patients. Detailed elucidation of age-associated changes in peripheral nerves in the future may help to prevent and treat peripheral nerve disorder in an aged society.

There is a limitation of this study which is the lack of investigation of the motor function of the lower limbs. The mice in both Young and Aged group had motor paralysis with limping after surgery. However, we had focused on histopathological evaluation of the peripheral nerve and not investigated the motor function of the lower limbs.

In damaged peripheral nerves, axon regeneration is promoted by Schwann cell migration along a new blood vessel starting from the proximal nerve stump. This study suggested that these nerve regeneration-inducing functions decrease with age in the nerve regeneration induction process in artificial nerve conduits.

Acknowledgements

Not applicable.

Funding

The present study was supported by Nipro Corporation.

Availability of data and materials

The datasets used and/or analyzed during the current study are available from the corresponding author on reasonable request.

Authors' contributions

AK mainly wrote the manuscript and acquired, analyzed and interpretated the data. KN wrote the manuscript and made substantial contributions to conception and design of the study, and interpretation of data. SN, KM and YS contributed to acquisition, analysis and interpretation of data. KG, HO and NN contributed to acquisition of data. KK made substantial contributions to conception and design. MI contributed to the analysis and interpretation of data. All authors read and approved the final manuscript.

Ethics approval and consent to participate

The present study was approved by the Animal Care Committee of Juntendo University (Tokyo, Japan; registration no. 1398; approval no. 310212).

Patient consent for publication

Not applicable.

Competing interests

The authors declare that they have no competing interests.

References

1 

Iijima Y, Ajiki T, Murayama A and Takeshita K: Effect of artificial nerve conduit vascularization on peripheral nerve in a necrotic bed. Plast Reconstr Surg Glob Open. 4(e665)2016.PubMed/NCBI View Article : Google Scholar

2 

Kornfeld T, Vogt PM and Radtke C: Nerve grafting for peripheral nerve injuries with extended defect sizes. Wien Med Wochenschr. 169:240–251. 2019.PubMed/NCBI View Article : Google Scholar

3 

Rbia N, Bulstra LF, Saffari TM, Hovius SER and Shin AY: Collagen nerve conduits and processed nerve allografts for the reconstruction of digital nerve gaps: A single-institution case series and review of the literature. World Neurosurg. 127:e1176–e1184. 2019.PubMed/NCBI View Article : Google Scholar

4 

Siemionow M, Cwykiel J, Uygur S, Kwiecien G, Oztürk C, Szopinski J and Madajka M: Application of epineural sheath conduit for restoration of 6-cm long nerve defects in a sheep median nerve model. Microsurgery. 39:332–339. 2018.PubMed/NCBI View Article : Google Scholar

5 

Biasibetti E, Bisanzio D, Mioletti S, Amedeo S, Iuliano A, Bianco P and Capucchio MT: Spontaneous age-related changes of peripheral nerves in cattle: Morphological and biochemical studies. Anat Histol Embryol. 45:100–108. 2015.PubMed/NCBI View Article : Google Scholar

6 

Goto K, Naito K, Nakamura S, Nagura N, Sugiyama Y, Obata H, Kaneko A and Kaneko K: Protective mechanism against age-associated changes in the peripheral nerves. Life Sci. 253(117744)2020.PubMed/NCBI View Article : Google Scholar

7 

Novak CB, Anastakis DJ, Beaton DE, Mackinnon SE and Katz J: Biomedical and psychosocial factors associated with disability after peripheral nerve injury. J Bone Joint Surg Am. 93:929–936. 2011.PubMed/NCBI View Article : Google Scholar

8 

Fields RD, Le Beau JM, Longo FM and Ellisman MH: Nerve regeneration through artificial tubular implants. Prog Neurobiol. 33:87–134. 1989.PubMed/NCBI View Article : Google Scholar

9 

Painter MW, Lutz AB, Cheng YC, Latremoliere A, Duong K, Miller CM, Posada S, Cobos EJ, Zhang AX, Wagers AJ, et al: Diminished schwann cell repair responses underlie age-associated impaired axonal regeneration. Neuron. 83:331–343. 2014.PubMed/NCBI View Article : Google Scholar

10 

Verdú E, Ceballos D, Vilches JJ and Navarro X: Influence of aging on peripheral nerve function and regeneration. J Peripehr Nerv Syst. 5:191–208. 2000.PubMed/NCBI View Article : Google Scholar

11 

Pola R, Aprahamian TR, Bosch-Marcé M, Curry C, Gaetani E, Flex A, Smith RC, Isner JM and Losordo DW: Age-dependent VEGF expression and intraneural neovascularization during regeneration of peripheral nerves. Neurobiol Aging. 25:1361–1368. 2004.PubMed/NCBI View Article : Google Scholar

12 

Cattin AL, Burden JJ, Van Emmenis L, Mackenzie FE, Hoving JJ, Garcia Calavia N, Guo Y, McLaughlin M, Rosenberg LH, Quereda V, et al: Macrophage-induced blood vessels guide Schwann cell-mediated regeneration of peripheral nerves. Cell. 162:1127–1139. 2015.PubMed/NCBI View Article : Google Scholar

13 

Nishida Y, Yamada Y, Kanemaru H, Ohazama A, Maeda T and Seo K: Vascularization via activation of VEGF-VEGFR signaling is essential for peripheral nerve regeneration. Biomed Res. 39:287–294. 2018.PubMed/NCBI View Article : Google Scholar

14 

Fujiwara S, Hoshikawa S, Ueno T, Hirata M, Saito T, Ikeda T, Kawaguchi H, Nakamura K, Tanaka S and Ogata T: SOX10 transactivates S100B to suppress Schwann cell proliferation and to promote myelination. PLoS One. 9(e115400)2014.PubMed/NCBI View Article : Google Scholar

15 

Jessen KR and Mirsky R: Signals that determine Schwann cell identity. J Anat. 200:367–376. 2002.PubMed/NCBI View Article : Google Scholar

16 

Kuhlbrodt K, Herbarth B, Sock E, Hermans-Borgmeyer I and Wegner M: Sox10, a novel transcriptional modulator in glial cells. J Neurosci. 18:237–250. 1998.PubMed/NCBI View Article : Google Scholar

17 

Budni J, Bellettini-Santos T, Mina F, Garcez ML and Zugno AI: The involvement of BDNF, NGF and GDNF in aging and Alzheimer's disease. Aging Dis. 6:331–341. 2015.PubMed/NCBI View Article : Google Scholar

18 

Chen ZW and Wang MS: Effects of nerve growth factor on crushed sciatic nerve regeneration in rats. Microsurgery. 16:547–551. 1995.PubMed/NCBI View Article : Google Scholar

19 

Hasenöhrl RU, Söderstróm S, Mohammed AH, Ebendal T and Huston JP: Reciprocal changes in expression of mRNA for nerve growth factor and its receptors TrkA and LNGFR in brain of aged rats in relation to maze learning deficits. Exp Brain Res. 114:205–213. 1997.PubMed/NCBI View Article : Google Scholar

20 

Kemp SW, Webb AA, Dhaliwal S, Syed S, Walsh SK and Midha R: Dose and duration of nerve growth factor (NGF) administration determine the extent of behavioral recovery following peripheral nerve injury in the rat. Exp Neurol. 229:460–470. 2011.PubMed/NCBI View Article : Google Scholar

21 

Lärkfors L, Ebendal T, Whittemore SR, Persson H, Hoffer B and Olson L: Decreased level of nerve growth factor (NGF) and its messenger RNA in the aged rat brain. Brain Res. 427:55–60. 1987.PubMed/NCBI View Article : Google Scholar

22 

Grinsell D and Keating CP: Peripheral nerve reconstruction after injury: A review of clinical and experimental therapies. Biomed Res Int. 2014(698256)2014.PubMed/NCBI View Article : Google Scholar

23 

Hall S: Nerve repair: A neurobiologist's view. J Hand Surg Br. 26:129–136. 2001.PubMed/NCBI View Article : Google Scholar

24 

Mokuno K, Sobue G, Reddy UR, Wurzer J, Kreider B, Hotta H, Baron P, Ross AH and Pleasure D: Regulation of Schwann cell nerve growth factor receptor by cyclic adenosine 3',5'-monophosphate. J Neurosci Res. 21:465–472. 1988.PubMed/NCBI View Article : Google Scholar

Related Articles

  • Abstract
  • View
  • Download
  • Twitter
Copy and paste a formatted citation
Spandidos Publications style
Kaneko A, Naito K, Nakamura S, Miyahara K, Goto K, Obata H, Nagura N, Sugiyama Y, Kaneko K, Ishijima M, Ishijima M, et al: Influence of aging on the peripheral nerve repair process using an artificial nerve conduit. Exp Ther Med 21: 168, 2021.
APA
Kaneko, A., Naito, K., Nakamura, S., Miyahara, K., Goto, K., Obata, H. ... Ishijima, M. (2021). Influence of aging on the peripheral nerve repair process using an artificial nerve conduit. Experimental and Therapeutic Medicine, 21, 168. https://doi.org/10.3892/etm.2020.9599
MLA
Kaneko, A., Naito, K., Nakamura, S., Miyahara, K., Goto, K., Obata, H., Nagura, N., Sugiyama, Y., Kaneko, K., Ishijima, M."Influence of aging on the peripheral nerve repair process using an artificial nerve conduit". Experimental and Therapeutic Medicine 21.2 (2021): 168.
Chicago
Kaneko, A., Naito, K., Nakamura, S., Miyahara, K., Goto, K., Obata, H., Nagura, N., Sugiyama, Y., Kaneko, K., Ishijima, M."Influence of aging on the peripheral nerve repair process using an artificial nerve conduit". Experimental and Therapeutic Medicine 21, no. 2 (2021): 168. https://doi.org/10.3892/etm.2020.9599
Copy and paste a formatted citation
x
Spandidos Publications style
Kaneko A, Naito K, Nakamura S, Miyahara K, Goto K, Obata H, Nagura N, Sugiyama Y, Kaneko K, Ishijima M, Ishijima M, et al: Influence of aging on the peripheral nerve repair process using an artificial nerve conduit. Exp Ther Med 21: 168, 2021.
APA
Kaneko, A., Naito, K., Nakamura, S., Miyahara, K., Goto, K., Obata, H. ... Ishijima, M. (2021). Influence of aging on the peripheral nerve repair process using an artificial nerve conduit. Experimental and Therapeutic Medicine, 21, 168. https://doi.org/10.3892/etm.2020.9599
MLA
Kaneko, A., Naito, K., Nakamura, S., Miyahara, K., Goto, K., Obata, H., Nagura, N., Sugiyama, Y., Kaneko, K., Ishijima, M."Influence of aging on the peripheral nerve repair process using an artificial nerve conduit". Experimental and Therapeutic Medicine 21.2 (2021): 168.
Chicago
Kaneko, A., Naito, K., Nakamura, S., Miyahara, K., Goto, K., Obata, H., Nagura, N., Sugiyama, Y., Kaneko, K., Ishijima, M."Influence of aging on the peripheral nerve repair process using an artificial nerve conduit". Experimental and Therapeutic Medicine 21, no. 2 (2021): 168. https://doi.org/10.3892/etm.2020.9599
Follow us
  • Twitter
  • LinkedIn
  • Facebook
About
  • Spandidos Publications
  • Careers
  • Cookie Policy
  • Privacy Policy
How can we help?
  • Help
  • Live Chat
  • Contact
  • Email to our Support Team