Spandidos Publications Logo
  • About
    • About Spandidos
    • Aims and Scopes
    • Abstracting and Indexing
    • Editorial Policies
    • Reprints and Permissions
    • Job Opportunities
    • Terms and Conditions
    • Contact
  • Journals
    • All Journals
    • Oncology Letters
      • Oncology Letters
      • Information for Authors
      • Editorial Policies
      • Editorial Board
      • Aims and Scope
      • Abstracting and Indexing
      • Bibliographic Information
      • Archive
    • International Journal of Oncology
      • International Journal of Oncology
      • Information for Authors
      • Editorial Policies
      • Editorial Board
      • Aims and Scope
      • Abstracting and Indexing
      • Bibliographic Information
      • Archive
    • Molecular and Clinical Oncology
      • Molecular and Clinical Oncology
      • Information for Authors
      • Editorial Policies
      • Editorial Board
      • Aims and Scope
      • Abstracting and Indexing
      • Bibliographic Information
      • Archive
    • Experimental and Therapeutic Medicine
      • Experimental and Therapeutic Medicine
      • Information for Authors
      • Editorial Policies
      • Editorial Board
      • Aims and Scope
      • Abstracting and Indexing
      • Bibliographic Information
      • Archive
    • International Journal of Molecular Medicine
      • International Journal of Molecular Medicine
      • Information for Authors
      • Editorial Policies
      • Editorial Board
      • Aims and Scope
      • Abstracting and Indexing
      • Bibliographic Information
      • Archive
    • Biomedical Reports
      • Biomedical Reports
      • Information for Authors
      • Editorial Policies
      • Editorial Board
      • Aims and Scope
      • Abstracting and Indexing
      • Bibliographic Information
      • Archive
    • Oncology Reports
      • Oncology Reports
      • Information for Authors
      • Editorial Policies
      • Editorial Board
      • Aims and Scope
      • Abstracting and Indexing
      • Bibliographic Information
      • Archive
    • Molecular Medicine Reports
      • Molecular Medicine Reports
      • Information for Authors
      • Editorial Policies
      • Editorial Board
      • Aims and Scope
      • Abstracting and Indexing
      • Bibliographic Information
      • Archive
    • World Academy of Sciences Journal
      • World Academy of Sciences Journal
      • Information for Authors
      • Editorial Policies
      • Editorial Board
      • Aims and Scope
      • Abstracting and Indexing
      • Bibliographic Information
      • Archive
    • International Journal of Functional Nutrition
      • International Journal of Functional Nutrition
      • Information for Authors
      • Editorial Policies
      • Editorial Board
      • Aims and Scope
      • Abstracting and Indexing
      • Bibliographic Information
      • Archive
    • International Journal of Epigenetics
      • International Journal of Epigenetics
      • Information for Authors
      • Editorial Policies
      • Editorial Board
      • Aims and Scope
      • Abstracting and Indexing
      • Bibliographic Information
      • Archive
    • Medicine International
      • Medicine International
      • Information for Authors
      • Editorial Policies
      • Editorial Board
      • Aims and Scope
      • Abstracting and Indexing
      • Bibliographic Information
      • Archive
  • Articles
  • Information
    • Information for Authors
    • Information for Reviewers
    • Information for Librarians
    • Information for Advertisers
    • Conferences
  • Language Editing
Spandidos Publications Logo
  • About
    • About Spandidos
    • Aims and Scopes
    • Abstracting and Indexing
    • Editorial Policies
    • Reprints and Permissions
    • Job Opportunities
    • Terms and Conditions
    • Contact
  • Journals
    • All Journals
    • Biomedical Reports
      • Information for Authors
      • Editorial Policies
      • Editorial Board
      • Aims and Scope
      • Abstracting and Indexing
      • Bibliographic Information
      • Archive
    • Experimental and Therapeutic Medicine
      • Information for Authors
      • Editorial Policies
      • Editorial Board
      • Aims and Scope
      • Abstracting and Indexing
      • Bibliographic Information
      • Archive
    • International Journal of Epigenetics
      • Information for Authors
      • Editorial Policies
      • Editorial Board
      • Aims and Scope
      • Abstracting and Indexing
      • Bibliographic Information
      • Archive
    • International Journal of Functional Nutrition
      • Information for Authors
      • Editorial Policies
      • Editorial Board
      • Aims and Scope
      • Abstracting and Indexing
      • Bibliographic Information
      • Archive
    • International Journal of Molecular Medicine
      • Information for Authors
      • Editorial Policies
      • Editorial Board
      • Aims and Scope
      • Abstracting and Indexing
      • Bibliographic Information
      • Archive
    • International Journal of Oncology
      • Information for Authors
      • Editorial Policies
      • Editorial Board
      • Aims and Scope
      • Abstracting and Indexing
      • Bibliographic Information
      • Archive
    • Medicine International
      • Information for Authors
      • Editorial Policies
      • Editorial Board
      • Aims and Scope
      • Abstracting and Indexing
      • Bibliographic Information
      • Archive
    • Molecular and Clinical Oncology
      • Information for Authors
      • Editorial Policies
      • Editorial Board
      • Aims and Scope
      • Abstracting and Indexing
      • Bibliographic Information
      • Archive
    • Molecular Medicine Reports
      • Information for Authors
      • Editorial Policies
      • Editorial Board
      • Aims and Scope
      • Abstracting and Indexing
      • Bibliographic Information
      • Archive
    • Oncology Letters
      • Information for Authors
      • Editorial Policies
      • Editorial Board
      • Aims and Scope
      • Abstracting and Indexing
      • Bibliographic Information
      • Archive
    • Oncology Reports
      • Information for Authors
      • Editorial Policies
      • Editorial Board
      • Aims and Scope
      • Abstracting and Indexing
      • Bibliographic Information
      • Archive
    • World Academy of Sciences Journal
      • Information for Authors
      • Editorial Policies
      • Editorial Board
      • Aims and Scope
      • Abstracting and Indexing
      • Bibliographic Information
      • Archive
  • Articles
  • Information
    • For Authors
    • For Reviewers
    • For Librarians
    • For Advertisers
    • Conferences
  • Language Editing
Login Register Submit
  • This site uses cookies
  • You can change your cookie settings at any time by following the instructions in our Cookie Policy. To find out more, you may read our Privacy Policy.

    I agree
Search articles by DOI, keyword, author or affiliation
Search
Advanced Search
presentation
Experimental and Therapeutic Medicine
Join Editorial Board Propose a Special Issue
Print ISSN: 1792-0981 Online ISSN: 1792-1015
Journal Cover
September-2021 Volume 22 Issue 3

Full Size Image

Sign up for eToc alerts
Recommend to Library

Journals

International Journal of Molecular Medicine

International Journal of Molecular Medicine

International Journal of Molecular Medicine is an international journal devoted to molecular mechanisms of human disease.

International Journal of Oncology

International Journal of Oncology

International Journal of Oncology is an international journal devoted to oncology research and cancer treatment.

Molecular Medicine Reports

Molecular Medicine Reports

Covers molecular medicine topics such as pharmacology, pathology, genetics, neuroscience, infectious diseases, molecular cardiology, and molecular surgery.

Oncology Reports

Oncology Reports

Oncology Reports is an international journal devoted to fundamental and applied research in Oncology.

Experimental and Therapeutic Medicine

Experimental and Therapeutic Medicine

Experimental and Therapeutic Medicine is an international journal devoted to laboratory and clinical medicine.

Oncology Letters

Oncology Letters

Oncology Letters is an international journal devoted to Experimental and Clinical Oncology.

Biomedical Reports

Biomedical Reports

Explores a wide range of biological and medical fields, including pharmacology, genetics, microbiology, neuroscience, and molecular cardiology.

Molecular and Clinical Oncology

Molecular and Clinical Oncology

International journal addressing all aspects of oncology research, from tumorigenesis and oncogenes to chemotherapy and metastasis.

World Academy of Sciences Journal

World Academy of Sciences Journal

Multidisciplinary open-access journal spanning biochemistry, genetics, neuroscience, environmental health, and synthetic biology.

International Journal of Functional Nutrition

International Journal of Functional Nutrition

Open-access journal combining biochemistry, pharmacology, immunology, and genetics to advance health through functional nutrition.

International Journal of Epigenetics

International Journal of Epigenetics

Publishes open-access research on using epigenetics to advance understanding and treatment of human disease.

Medicine International

Medicine International

An International Open Access Journal Devoted to General Medicine.

Journal Cover
September-2021 Volume 22 Issue 3

Full Size Image

Sign up for eToc alerts
Recommend to Library

  • Article
  • Citations
    • Cite This Article
    • Download Citation
    • Create Citation Alert
    • Remove Citation Alert
    • Cited By
  • Similar Articles
    • Related Articles (in Spandidos Publications)
    • Similar Articles (Google Scholar)
    • Similar Articles (PubMed)
  • Download PDF
  • Download XML
  • View XML

  • Supplementary Files
    • Supplementary_Data.pdf
Review Open Access

Diagnostic and prognostic computed tomography imaging markers in basilar artery occlusion (Review)

  • Authors:
    • Rares Cristian Filep
    • Lucian Marginean
    • Adina Stoian
    • Zoltan Bajko
  • View Affiliations / Copyright

    Affiliations: PhD School of Medicine, ‘George Emil Palade’ University of Medicine, Pharmacy, Sciences and Technology, 540142 Târgu Mureș, Romania, Department of Pathophysiology, ‘George Emil Palade’ University of Medicine, Pharmacy, Sciences and Technology, 540142 Târgu Mureș, Romania, Department of Neurology, ‘George Emil Palade’ University of Medicine, Pharmacy, Sciences and Technology, 540142 Târgu Mureș, Romania
    Copyright: © Filep et al. This is an open access article distributed under the terms of Creative Commons Attribution License.
  • Article Number: 954
    |
    Published online on: July 6, 2021
       https://doi.org/10.3892/etm.2021.10386
  • Expand metrics +
Metrics: Total Views: 0 (Spandidos Publications: | PMC Statistics: )
Metrics: Total PDF Downloads: 0 (Spandidos Publications: | PMC Statistics: )
Cited By (CrossRef): 0 citations Loading Articles...

This article is mentioned in:


Abstract

Acute ischemic stroke treatment has been revolutionized by the addition of mechanical and aspiration thrombectomy. Randomized controlled trials have proven beyond doubt, the substantial clinical impact of endovascular interventions in anterior circulation territory strokes. Unfortunately, patients with vertebrobasilar ischemic stroke could not be included in these early trials due to inherent clinical, radiological, and prognostic particularities of posterior circulation ischemia; thus, indications for the treatment of posterior fossa strokes and basilar artery occlusion (BAO) are mainly based on retrospective studies and registries. BAO carries high morbidity and mortality, despite the new improvements in endovascular therapy. Identifying patients who will likely benefit from invasive treatment and have a good clinical outcome resides in discovering clinical, biological, or imaging markers, that have prognostic implications. Such imaging markers have been described, especially in the last decade. Hyperdense Basilar Artery Sign (HDBA), Posterior Circulations‑Alberta Stroke Program Early CT Score (pc‑ASPECTS), Pons‑Midbrain Index (PMI), Posterior Circulation Collateral Score (pc‑CS), Posterior Circulation CT Angiography Score (pc‑CTA), and Basilar Artery on CT Prognostic Score (BATMAN), are computed tomography (CT) markers with properties that can aid the diagnosis of BAO and can independently predict clinical outcome. This paper aims to present a comprehensive review of these imaging signs to have a thorough understanding of their diagnostic and prognostic attributes.

1. Introduction and aim

Basilar artery occlusion (BAO) accounts for approximately 1% of all cases of acute ischemic stroke (AIS) or transient ischemic attacks (TIA), and for 5% of all intracranial large vessel occlusions (LVO) (1,2). Although endovascular treatment is the gold-standard for anterior circulation LVO, its positive impact on the vertebrobasilar system is still a matter of debate (3). Hopefully, ongoing randomized trials will shed more light on this devastating pathology (4). Due to the misleading nature of prodromal symptoms related to BAO, clinical diagnosis is often delayed, leading to prolonged time intervals to imaging evaluation and treatment (5).

Cross-sectional imaging has proven its diagnostic and prognostic utility for anterior circulation LVO shifting the paradigm from time is brain to imaging is brain (6). Computed tomography (CT) is the main imaging modality for the diagnosis of suspected AIS owing to its widespread availability in emergency departments. CT has a sensitivity of up to 80% for the detection of early ischemic changes (EIC) in middle cerebral artery (MCA) territory strokes (7). For posterior circulation ischemia, however, detection of EIC is difficult, mainly due to posterior fossa radiologic particularities, such as beam hardening artifacts, which limit the sensitivity to only 55% for cerebellar EIC, and 33% for brainstem EIC, respectively (8). Magnetic resonance imaging (MRI) is superior to CT in terms of sensitivity, especially in posterior fossa ischemia. However, the lack of available MRI machines in smaller hospitals or in developing countries, and limitations related to artifacts, uncooperative or severe patients, limit the feasibility of MRI evaluation in posterior ischemic strokes (9). Our aim is to review the imaging signs, or scores described on non-contrast CT (NCCT) and CT angiography (CTA) in acute BAO in order to provide an integrated view on their diagnostic and prognostic strengths and weaknesses.

2. Literature research methods

We performed a non-systematic PubMed search for papers between 1980 and 2019, using the terms ‘basilar artery occlusion’ and ‘basilar artery thrombosis’ and ‘imaging’. Inclusion criteria were retrospective or prospective studies that evaluated diagnostic and prognostic computed-tomography changes in patients with BAO. The search generated 445 results. Furthermore, we identified papers related to imaging markers by searching the reference list of articles retrieved by our initial search. Only English reports were included. The final reference list is based on the relevance and originality of this review's objective and includes 14 total studies.

3. Hyperdense Basilar Artery (HDBA) sign

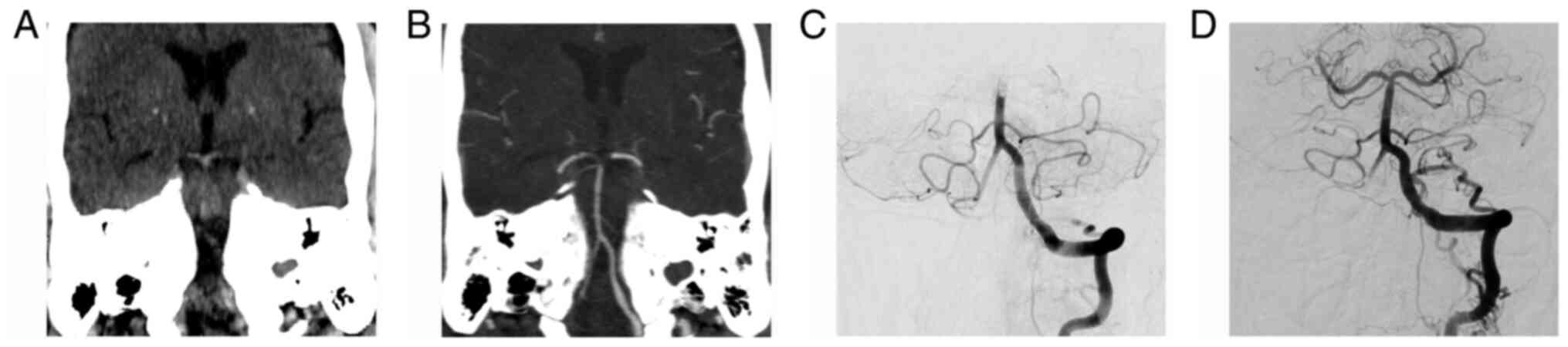
A hyperdense vessel is seen as a region of high attenuation on NCCT scans (Fig. 1). Pathologically it represents, in the appropriate clinical setting, an acute thrombus within the artery. The hyperdense appearance of fresh intravascular clots is determined by the extravasation of serum out of the clot, followed by a relative increase in concentration of red blood cells. Higher densities are mainly caused by the protein fraction of hemoglobin, much less by its iron content, which contributes only to 7-8% to its attenuation (10). Thrombi retrieved from patients with a dense MCA have, on average, a higher content of red blood cells (11-14) and are more frequently associated with a cardioembolic stroke subtype (15). These observations are not confirmed for BAO.

Figure 1

(A and B) Coronal reformated NCCT and CTA images reveal the HDBA sign and the corresponding distal BA thrombus, extending in both posterior cerebral arteries. (C and D) Before and after aspiration thrombectomy: Frontal projection digital subtraction angiography images confirm the BA occlusion, and subsequent recanalization. NCCT, non-contrast computer tomography; CTA, computer tomography angiography; HDBA, hyperdense basilar artery; BA, basilar artery.

The HDBA sign can be a useful tool for the detection of BAO, with a sensitivity ranging between 68 and 94% and a specificity between 80 and 98% (16-18). Sensitivity is higher if the clinical diagnosis of BAO is highly probable (14) or if the attenuation of the hyperdense vessel is measured. Optimal measured cut-off values that best discriminate a HDBA, range between 40 and 46 HU (17,18). Another method by which to increase detection of an HDBA, that was confirmed for dense MCAs, is to obtain a CT slice thickness of less than 2 mm or more appropriate 1 mm, and to view them on 5-mm-thick maximum intensity projection (MIP) reconstructions (19). One possible limitation of early studies evaluating the diagnostic value of the HDBA sign, is the use of a larger slice thickness, of 2 mm (16) or 4-5 mm (16,17), respectively. It is well known that a larger slice thickness increases partial volume averaging with cerebrospinal fluid and adjacent brain parenchyma, and can lead to false-negative NCCT results, potentially missing more hyperdense clots (18).

A dense basilar artery basilar artery (BA) sign is also valuable as a prognostic marker. It correlates well with discharge NIHSS and can independently predict short- (OR, 5.5; 95% CI, 2.2-13.6; P<0.001) (20) and long-term outcome (OR, 5.3; 95% CI, 1.1-33.3; P=0.05) (16). Nevertheless, in the absence of the HDBA sign, a brainstem ischemia or LVO should not be excluded; further contrast-enhanced vessel imaging is mandatory for the correct radiologic evaluation of patients with suspected posterior circulation stroke.

4. Posterior Circulation Acute Stroke Prognosis Early CT Score (pc-ASPECTS)

pc-ASPECTS is a 10-point score that evaluates EIC changes in the thalamus, occipital cortex, cerebellar hemispheres, midbrain, and pons. For the first three, 1 point is subtracted for each part if EIC are present, while 2 points each are subtracted if the midbrain or the pons are affected (21) (Fig. 2). Evaluation of the score is difficult on NCCT, due to posterior fossa beam hardening artefacts, particularly in the brainstem. CTA source images (CTASI) are a better tool for the visualization of ischemia. Parenchymal hypodensity on CTASI most likely represents a region of cerebral blood volume reduction (CBV). The extent of this region correlates well with admission and 24-h NIHSS, and with the 90-day functional outcome. Furthermore, ischemic lesion volume on CTASI does not differ significantly from DWI volume on MRI. If applied on CTASI, pc-ASPECTS is more sensitive and specific (65 and 82%) (22). In their retrospective cohort of 46 patients with BAO, Puetz et al dichotomized the patients into two groups: CTASI pc-ASPECTS ≥8 and <8. Patients with a score ≥8 were 11 times more likely to have a good outcome (mRS ≤3): 52% achieved a good functional outcome at three months, whereas only 4% if the score was <8 (unadjusted RR, 12.1; 95% CI, 1.7-84.9). Mortality was reduced by 60% if the score was ≥8. If successful recanalization was obtained, 70% of the patients achieved a good prognosis if pc-ASPECTS was ≥8, and only 9% if the score was <8 (unadjusted RR, 7.7; 95% CI, 1.1-52.1) (21).

Figure 2

Axial non-contrast CT images (A) at the level of the cerebellar hemispheres, (B) pons, (C) midbrain and cerebral peduncles, and (D) thalamus, show the allocation of points to each structure for the calculation of pc-ASPECTS. CT, computed tomography; pc-ASPECTS, pc-ASPECTS, Posterior Circulation Alberta Stroke Program Early CT Score.

In patients from the Basilar Artery International Cooperation Study (BASICS) group, a significant association was found between pc-ASPECTS ≥8, favorable outcome, functional independence (mRS ≤2) and reduced mortality (23). However, after adjustment for age, NIHSS and tissue-type plasminogen activator (tPA), only functional independence (RR, 2.0; 95% CI, 1.1-3.8) and mortality (RR, 0.7; 95% CI, 0.5-0.98) were significantly associated, but not a favorable outcome. In a post hoc analysis, the same group was further dichotomized by pc-ASPECTS of <6 and ≥6. It was found that a score of ≥6 was an independent predictor of a favorable outcome, even after adjustment for age, NIHSS, and treatment modality (RR, 3.1; 95% CI, 1.2-7.5) (23). In patients with BAO presenting with coma, the discriminative prognostic power of pc-ASPECTS of <8 OR, ≥8 was not found to be significantly associated with a favorable outcome or mortality, if adjusted for age, NIHSS and treatment modality (24). Even in a larger cohort comprising 231 patients with acute BAO, the prognostic value of pc-ASPECTS in predicting functional independence at 3 months was not significant (25).

Pc-ASPECTS dichotomized by <8 or ≥8 was also evaluated on CT perfusion (CTP) maps in 27 patients from the BASICS registry (26). The most frequent changes were seen in 93% of cases on mean transit time (MTT) parameter maps (95% CI, 76-99). Cerebral blood volume (CBV) pc-ASPECTS <8 was evident in 3 cases, all of whom died. However, none of the perfusion changes were associated with functional outcome, likely due to the small number of available cases (26).

5. Pons-Midbrain Index (PMI)

Schaefer et al more precisely attributed functional outcome to lesions located in the pons and midbrain, for which they developed the Pons-Midbrain Index, a scoring system based on CTASI: 0, if no ischemic changes are visible, 1 if <50% of the territory is hypodense, 2 if >50% of the parenchyma is hypodense. Brain structures scored were the medulla, pons, midbrain, thalami, occipital lobes, inferior parietal lobes and middle temporal lobes. Each structure was scored separately. The only regions that were correlated with death and disability were the pons and midbrain, which taken together as a sum of the scores, they called the PMI. A PMI ≥3, or <3, was independently associated with mortality, or survival, respectively (27).

The Basilar Artery International Cooperation Study (BASICS) group looked at the death rate among patients with BAO who presented with coma. Among 78 patients with BAO and coma, 49% died, and 17% had a favorable outcome (mRS 0-3) if PMI was <3, as opposed to 76% deaths, and only 14% favorable outcome if PMI was ≥3(24). However, after adjusting for age, NIHSS and treatment type, only mortality was associated with a PMI <3 (RR, 0.67; 95% CI, 0.46-1.00), but not a favorable outcome. Notably, a subgroup of patients, despite presenting with coma, with extensive pontine-mesencephalic ischemia (PMI ≥3) had a favorable outcome at 1 month, comprising 14%. Based on this observation, the authors argue against the use of the PMI to exclude patients with BAO and coma from intravenous or intraarterial treatment (24).

6. Posterior Circulation CT Angiography (pc-CTA) score

The Posterior Circulation CT Angiography (pc-CTA) score is a 6-point scoring system that evaluates the extent of the occlusion and, indirectly, the collateral circulation (28) (Fig. 3). One point is assigned for each of the following occluded segments: One of the vertebral arteries, proximal segment of the BA [from the vertebrobasilar junction to the origin of the anterior-interior cerebellar arteries (AICA)], middle segment of the BA [from the origin of the AICA to the superior cerebellar arteries (SCA)], distal BA (from the SCA to the tip) and the posterior cerebral arteries (PCA). A pc-CTA score of 0 means that all vascular segments are open; a score of 6, that all are occluded (28).

Figure 3

(A and B) Digital subtraction angiograms from bilateral internal carotid artery contrast injection show both posterior communicating arteries with a fetal configuration (white arrow) in a patient with basilar artery occlusion. (C and D) Contrast injection in the left vertebral artery reveal the distal basilar occlusion (white arrow) and collateral reconstitution of the superior cerebellar arteries through the posterior inferior cerebellar artery (curved arrow).

In their retrospective series of 15 patients, the primary endpoint was the correlation between the score and patient outcome at 3 months, as assessed by the modified Rankin Scale (mRS). A pc-CTA score <3 was associated with a good outcome (mRS ≤3) in all patients. In contrast, the contrary, if the score was ≥3, patient outcome was worse (28). In a retrospective study performed by Alemseged et al (29) a pc-CTA ≥3 predicted a poor outcome if adjusted for age (OR, 1.6; 95% CI, 1.1-2.1; P=0.008), but not for NIHSS.

7. Posterior Circulation Collateral Score (pc-CS)

The investigators enrolled in the Basilar Artery International Cooperation Study (BASICS) developed this CT angiography score [Posterior Circulation Collateral Score (pc-CS)] as a prognostic tool for identifying patients who present with a poor outcome (30). The score allots 1 point for each patent posterior inferior cerebellar artery (PICA), anterior-inferior cerebellar artery (AICA), superior cerebellar artery (SCA) and posterior communicating artery (Pcom) if its diameter is smaller than the ipsilateral PCA, or 2 points if it has a diameter equal to, or larger than the ipsilateral PCA. A score of 10 implies that all the aforementioned branches are patent, while a score of 0, means that all of them are not visible/occluded. Three intervals of severity were defined for the pc-CS: Poor 0-3, intermediate 4-5, and good 6-10. Patients with a poor score had higher median NIHSS at admission and had more frequently severe symptoms (tetraplegia, locked-in state or coma), than patients with an intermediate or a good score. Moreover, there was a 25% lower risk of poor outcome in patients with a good pc-CS score, compared to those with a poor score, after adjustment for age, time to treatment and treatment modality (RR, 0.74; 95% CI, 0.58-0.96). There was no significant difference between poor outcome compared to intermediate outcome. An important finding of their analysis was the crucial role played by the presence or absence of PComs, or their diameter. A poor outcome is more frequently encountered if one or both PComs are absent, and if their diameter is small (30).

Ravindren et al further emphasized the crucial importance of the PComs in BAO, by analyzing the presence or absence of collaterals, represented by the PCom and PICA-AICA anastomosis. Patients with collaterals had an almost 3-times higher likelihood of a good outcome at 3 months (OR, 2.73; 95% CI, 1.01-7.39), while absence of both PComs was associated with a 60% decreased chance of good functional outcome at 90 days (OR, 0.39; 95% CI, 0.17-0.93). Furthermore, even unilateral absence of a PCom led to a 2-fold increase in mortality (OR, 2.17; 95% CI, 1.14-4.13) (25).

When time-to-treatment ≤6 or >6 h and revascularization status were taken into account, all patients with a favorable pc-CS had a good outcome (OR, 9.4; 95% CI, 1.4-64; P=0.02). Conversely, an unfavorable pc-CS was associated with good outcome only in patients treated within 6 h from symptom onset, and not beyond (OR, 5.5; 95% CI, 1.4-2; P=0.01) (31).

8. Basilar Artery on Computed Tomography Angiography (BATMAN) Prognostic Score

BATMAN is a 10-point score that incorporates thrombus burden and extent of primary collaterals. It allocates 1 point for the patency of either the vertebral artery, proximal BA segment, middle BA, distal BA, for each PCA and 2 points for each PCom larger than 1 mm in diameter. If smaller, i.e. hypoplastic, 1 point is given to each. If a fetal PCom is present, it receives 3 points (29). The optimal cut-off value to discriminate between good and bad functional outcome is a score of 7. A BATMAN score <7 is an independent predictor of poor outcome (OR, 6.9; 95% CI, 1.4-33; P=0.01) and an increased risk of mortality (OR, 7.4; 95% CI, 1.2-44; P=0.03) after adjustment for age and NIHSS. The score did not influence recanalization success between the two groups. If recanalization was not achieved, the rates of poor outcome were similar. However, if recanalization was successful, only 24% of the patients had a poor outcome if BATMAN was ≥7, compared to 76% if <7. Compared to the prognostic scores reviewed earlier, BATMAN performed better than pc-CS in terms of accuracy and interrater agreement, but not better than pc-CTA (29).

In a recent paper, Alemseged et al (31) assessed the prognostic value of BATMAN correlated with time-to-treatment (TTT) and recanalization status (mTICI). In patients with a favorable score treated within or even beyond 6 h, complete revascularization (mTICI 2b-3) was associated with a good outcome (adjusted OR, 15.8; 95% CI, 1.4-175; P=0.02). However, in cases with an unfavorable score, revascularization was associated with good outcome only if obtained within 6 h (OR, 15; 95% CI, 1.9-124; P=0.01); findings that support the relevance of collaterals and thrombus load in late time-windows for BAO.

9. Current challenges and future directions

Major limitations of the aforementioned studies are related to their retrospective design and relatively small number of patients (see Tables SI and SII). Furthermore, the heterogenous treatment modalities (intravenous tPA, intraarterial thrombolysis, mechanical thrombectomy) and different clinical and imaging outcome parameters reported (mRS ≤2 or ≤3, mTICI), limit the generalizability of the scores, especially in the new era of mechanical and aspiration thrombectomy. There are also restrictions imposed by spiral computed tomography physics; posterior fossa beam hardening artefacts decrease sensitivity of diagnostic tests, particularly for the visualization of parenchymal structures.

Therefore, prospective trials, using standardized computed tomographic parameters, clinical outcome and recanalization scales are mandatory in order to consolidate the diagnostic and prognostic value of these imaging markers; emphasis should be placed on collateral capacity, thrombus burden and thrombus location. Moreover, occlusion etiology should be dichotomized into atherosclerotic vs. cardioembolic, in light of their different treatment strategies and prognosis (32). There is a growing body of evidence that supports, in addition to the classic non-contrast CT and CT angiography, the inclusion of perfusion imaging in the armamentarium aimed at the patient with posterior fossa ischemia (26,33-35). It improves detection of infratentorial ischemia and provides further prognostic information. Ultimately, machine learning software could be used to integrate the different imaging parameters and to guide treatment decision-making.

10. Conclusions

Acute BAO remains a devastating disease in spite of recent technological improvements. Computed tomography markers can aid and accelerate the diagnosis of this complex clinical entity, leading to shorter time-to-treatment intervals. They can provide valuable prognostic knowledge to better inform patients and their relatives about the consequences of the disease. However, none of the computed tomography markers should be used to exclude patients from intravenous and intraarterial therapy.

Supplementary Material

Summary of the diagnostic properties attributed to the reviewed markers.
Prognostic properties of the scores reviewed for HDBA, ps-ASPECTS, PMI, pc-CTA, PC-CS and BATMAN.

Acknowledgements

Not applicable.

Funding

Funding: No funding was received.

Availability of data and materials

All information included in this review is documented by relevant references.

Authors' contributions

RCF conceived the concept of the review; LM, AS, and ZB performed the literature search, analyzed the relevant literature and wrote the manuscript. RCF, ZB, and AS contributed to the interpretation of the data and the revision of the manuscript, and provided critical review for the manuscript. All authors read and approved the final manuscript for publication.

Ethics approval and consent to participate

Not applicable.

Patient consent for publication

Not applicable.

Competing interests

The authors declare that they have no competing interests.

Authors' information

Rares Cristian Filep: ORCID ID: 0000-0002-7422-1178.

References

1 

Mattle HP, Arnold M, Lindsberg PJ, Schonewille WJ and Schroth G: Basilar artery occlusion. Lancet Neurol. 10:1002–1014. 2011.PubMed/NCBI View Article : Google Scholar

2 

Kayan Y, Meyers PM, Prestigiacomo CJ, Kan P and Fraser JF: Society of NeuroInterventional Surgery: Current endovascular strategies for posterior circulation large vessel occlusion stroke: Report of the Society of NeuroInterventional Surgery Standards and Guidelines Committee. J Neurointerv Surg. 11:1055–1062. 2019.PubMed/NCBI View Article : Google Scholar

3 

Turc G, Bhogal P, Fischer U, Khatri P, Lobotesis K, Mazighi M, Schellinger PD, Toni D, de Vries J, White P and Fiehler J: European stroke organisation (ESO) - European society for minimally invasive neurological therapy (ESMINT) guidelines on mechanical thrombectomy in acute ischemic stroke. J Neurointerv Surg. 11:535–538. 2019.PubMed/NCBI View Article : Google Scholar

4 

van der Hoeven EJRJ, Schonewille WJ, Vos JA, Algra A, Audebert HJ, Berge E, Ciccone A, Mazighi M, Michel P, Muir KW, et al: The basilar artery international cooperation study (BASICS): Study protocol for a randomised controlled trial. Trials. 14(200)2013.PubMed/NCBI View Article : Google Scholar

5 

Sarraj A, Medrek S, Albright K, Martin-Schild S, Bibars W, Vahidy F, Grotta JC and Savitz SI: Posterior circulation stroke is associated with prolonged door-to-needle time. Int J Stroke. 10:672–678. 2015.PubMed/NCBI View Article : Google Scholar

6 

Puig J, Shankar J, Liebeskind D, Terceño M, Nael K, Demchuk AM, Menon B, Dowlatshahi D, Leiva-Salinas C, Wintermark M, et al: From ʻtime is brain’ to ʻimaging is brain’: A paradigm shift in the management of acute ischemic stroke. J Neuroimaging. 30:562–571. 2020.PubMed/NCBI View Article : Google Scholar

7 

Grotta JC, Chiu D, Lu M, Patel S, Levine SR, Tilley BC, Brott TG, Haley EC Jr, Lyden PD, Kothari R, et al: Agreement and variability in the interpretation of early CT changes in stroke patients qualifying for intravenous rtPA therapy. Stroke. 30:1528–1533. 1999.PubMed/NCBI View Article : Google Scholar

8 

Hwang DY, Silva GS, Furie KL and Greer DM: Comparative sensitivity of computed tomography vs. magnetic resonance imaging for detecting acute posterior fossa infarct. J Emerg Med. 42:559–565. 2012.PubMed/NCBI View Article : Google Scholar

9 

Schramm P, Schellinger PD, Klotz E, Kallenberg K, Fiebach JB, Külkens S, Heiland S, Knauth M and Sartor K: Comparison of perfusion computed tomography and computed tomography angiography source images with perfusion-weighted imaging and diffusion-weighted imaging in patients with acute stroke of less than 6 h’ duration. Stroke. 35:1652–1658. 2004.PubMed/NCBI View Article : Google Scholar

10 

New PF and Aronow S: Attenuation measurements of whole blood and blood fractions in computed tomography. Radiology. 121 (3 Pt. 1):635–640. 1976.PubMed/NCBI View Article : Google Scholar

11 

Liebeskind DS, Sanossian N, Yong WH, Starkman S, Tsang MP, Moya AL, Zheng DD, Abolian AM, Kim D, Ali LK, et al: CT and MRI early vessel signs reflect clot composition in acute stroke. Stroke. 42:1237–1243. 2011.PubMed/NCBI View Article : Google Scholar

12 

Bajkó Z, Maier S, Moţăţăianu A, Balasa R, Vasiu S, Stoian A and Andone S: Stroke secondary to traumatic carotid artery injury - A case report. J Crit Care Med (Targu Mures). 4:23–28. 2018.PubMed/NCBI View Article : Google Scholar

13 

Bajkó Z, Bălaşa R, Moţăţăianu A, Bărcuţean L, Stoian A, Stirbu N and Maier S: Malignant middle cerebral artery infarction secondary to traumatic bilateral internal carotid artery dissection. A case report. J Crit Care Med (Targu Mures). 2:135–141. 2016.PubMed/NCBI View Article : Google Scholar

14 

Filep RC, Bajko Z, Simu IP and Stoian A: Pseudo-dissection of the internal carotid artery in acute ischemic stroke. Acta Neurol Belg. 120:469–472. 2020.PubMed/NCBI View Article : Google Scholar

15 

Kim SK, Baek BH, Lee YY and Yoon W: Clinical implications of CT hyperdense artery sign in patients with acute middle cerebral artery occlusion in the era of modern mechanical thrombectomy. J Neurol. 264:2450–2456. 2017.PubMed/NCBI View Article : Google Scholar

16 

Goldmakher GV, Camargo EC, Furie KL, Singhal AB, Roccatagliata L, Halpern EF, Chou MJ, Biagini T, Smith WS, Harris GJ, et al: Hyperdense basilar artery sign on unenhanced CT predicts thrombus and outcome in acute posterior circulation stroke. Stroke. 40:134–139. 2009.PubMed/NCBI View Article : Google Scholar

17 

Connell L, Koerte IK, Laubender RP, Morhard D, Linn J, Becker HC, Reiser M, Brueckmann H and Ertl-Wagner B: Hyperdense basilar artery sign-a reliable sign of basilar artery occlusion. Neuroradiology. 54:321–327. 2011.PubMed/NCBI View Article : Google Scholar

18 

Ernst M, Romero JM, Buhk JH, Cheng B, Herrmann J, Fiehler J and Groth M: Sensitivity of hyperdense basilar artery sign on non-enhanced computed tomography. PLoS One. 10(e0141096)2015.PubMed/NCBI View Article : Google Scholar

19 

Riedel CH, Zoubie J, Ulmer S, Gierthmuehlen J and Jansen O: Thin-slice reconstructions of nonenhanced CT images allow for detection of thrombus in acute stroke. Stroke. 43:2319–2323. 2012.PubMed/NCBI View Article : Google Scholar

20 

Tan X and Guo Y: Hyperdense basilar artery sign diagnoses acute posterior circulation stroke and predicts short-term outcome. Neuroradiology. 52:1071–1078. 2010.PubMed/NCBI View Article : Google Scholar

21 

Puetz V, Sylaja PN, Coutts SB, Hill MD, Dzialowski I, Mueller P, Becker U, Urban G, O'Reilly C, Barber PA, et al: Extent of hypoattenuation on CT angiography source images predicts functional outcome in patients with basilar artery occlusion. Stroke. 39:2485–2490. 2008.PubMed/NCBI View Article : Google Scholar

22 

Bhatia R, Bal SS, Shobha N, Menon BK, Tymchuk S, Puetz V, Dzialowski I, Coutts SB, Goyal M, Barber PA, et al: CT angiographic source images predict outcome and final infarct volume better than noncontrast CT in proximal vascular occlusions. Stroke. 42:1575–1580. 2011.PubMed/NCBI View Article : Google Scholar

23 

Puetz V, Khomenko A, Hill MD, Dzialowski I, Michel P, Weimar C, Wijman CA, Mattle HP, Engelter ST, Muir KW, et al: Extent of hypoattenuation on CT angiography source images in basilar artery occlusion: Prognostic value in the Basilar Artery International Cooperation Study. Stroke. 42:3454–3459. 2011.PubMed/NCBI View Article : Google Scholar

24 

Pallesen LP, Khomenko A, Dzialowski I, Barlinn J, Barlinn K, Zerna C, van der Hoeven EJ, Algra A, Kapelle LJ, Michel P, et al: CT-angiography source images indicate less fatal outcome despite coma of patients in the Basilar Artery International Cooperation Study. Int J Stroke. 12:145–151. 2017.PubMed/NCBI View Article : Google Scholar

25 

Ravindren J, Aguilar Pérez M, Hellstern V, Bhogal P, Bäzner H and Henkes H: Predictors of outcome after endovascular thrombectomy in acute basilar artery occlusion and the 6 hr time window to recanalization. Front Neurol. 10(923)2019.PubMed/NCBI View Article : Google Scholar

26 

Pallesen LP, Gerber J, Dzialowski I, van der Hoeven EJ, Michel P, Pfefferkorn T, Ozdoba C, Kappelle LJ, Wiedemann B, Khomenko A, et al: Diagnostic and prognostic impact of pc-ASPECTS applied to perfusion CT in the Basilar Artery International Cooperation Study. J Neuroimaging. 25:384–389. 2015.PubMed/NCBI View Article : Google Scholar

27 

Schaefer PW, Yoo AJ, Bell D, Barak ER, Romero JM, Nogueira RG, Lev MH, Schwamm LH, Gonzalez RG and Hirsch JA: CT Angiography-Source image hypoattenuation predicts clinical outcome in posterior circulation strokes treated with Intra-Arterial therapy. Stroke. 39:3107–3109. 2008.PubMed/NCBI View Article : Google Scholar

28 

Da Ros V, Meschini A, Gandini R, Del Giudice C, Garaci F, Stanzione P, Rizzato B, Diomedi M, Simonetti G, Floris R and Sallustio F: Proposal for a vascular computed Tomography-Based grading system in posterior circulation stroke: A Single-Center experience. J Stroke Cerebrovasc Dis. 25:368–377. 2016.PubMed/NCBI View Article : Google Scholar

29 

Alemseged F, Shah DG, Diomedi M, Sallustio F, Bivard A, Sharma G, Mitchell PJ, Dowling RJ, Bush S, Yan B, et al: The basilar artery on computed tomography angiography prognostic score for basilar artery occlusion. Stroke. 48:631–637. 2017.PubMed/NCBI View Article : Google Scholar

30 

van der Hoeven EJ, McVerry F, Vos JA, Algra A, Puetz V, Kappelle LJ and Schonewille WJ: BASICS registry investigators. Collateral flow predicts outcome after basilar artery occlusion: The posterior circulation collateral score. Int J Stroke. 11:768–775. 2016.PubMed/NCBI View Article : Google Scholar

31 

Alemseged F, Van der Hoeven E, Di Giuliano F, Shah D, Sallustio F, Arba F, Kleinig TJ, Bush S, Dowling RJ, Yan B, et al: Response to Late-Window endovascular revascularization is associated with collateral status in basilar artery occlusion. Stroke. 50:1415–1422. 2019.PubMed/NCBI View Article : Google Scholar

32 

Piechowiak EI, Kaesmacher J, Zibold F, Dobrocky T, Mosimann PJ, Jung S, Fischer U, Arnold M, Bellwald S, Heldner MR, et al: Endovascular treatment of tandem occlusions in vertebrobasilar stroke: Technical aspects and outcome compared with isolated basilar artery occlusion. J Neurointerv Surg. 12:25–29. 2020.PubMed/NCBI View Article : Google Scholar

33 

Bollwein C, Plate A, Sommer WH, Thierfelder KM, Janssen H, Reiser MF, Straube A and von Baumgarten L: Diagnostic accuracy of whole-brain CT perfusion in the detection of acute infratentorial infarctions. Neuroradiology. 58:1077–1085. 2016.PubMed/NCBI View Article : Google Scholar

34 

Fabritius MP, Reidler P, Froelich MF, Rotkopf LT, Liebig T, Kellert L, Feil K, Tiedt S, Kazmierczak PM, Thierfelder KM, et al: Incremental value of computed tomography perfusion for final infarct prediction in acute ischemic cerebellar stroke. J Am Heart Assoc. 8(e013069)2019.PubMed/NCBI View Article : Google Scholar

35 

Sporns P, Schmidt R, Minnerup J, Dziewas R, Kemmling A, Dittrich R, Zoubi T, Heermann P, Cnyrim C, Schwindt W, et al: Computed tomography perfusion improves diagnostic accuracy in acute posterior circulation stroke. Cerebrovasc Dis. 41:242–247. 2016.PubMed/NCBI View Article : Google Scholar

Related Articles

  • Abstract
  • View
  • Download
  • Twitter
Copy and paste a formatted citation
Spandidos Publications style
Filep RC, Marginean L, Stoian A and Bajko Z: Diagnostic and prognostic computed tomography imaging markers in basilar artery occlusion (Review). Exp Ther Med 22: 954, 2021.
APA
Filep, R.C., Marginean, L., Stoian, A., & Bajko, Z. (2021). Diagnostic and prognostic computed tomography imaging markers in basilar artery occlusion (Review). Experimental and Therapeutic Medicine, 22, 954. https://doi.org/10.3892/etm.2021.10386
MLA
Filep, R. C., Marginean, L., Stoian, A., Bajko, Z."Diagnostic and prognostic computed tomography imaging markers in basilar artery occlusion (Review)". Experimental and Therapeutic Medicine 22.3 (2021): 954.
Chicago
Filep, R. C., Marginean, L., Stoian, A., Bajko, Z."Diagnostic and prognostic computed tomography imaging markers in basilar artery occlusion (Review)". Experimental and Therapeutic Medicine 22, no. 3 (2021): 954. https://doi.org/10.3892/etm.2021.10386
Copy and paste a formatted citation
x
Spandidos Publications style
Filep RC, Marginean L, Stoian A and Bajko Z: Diagnostic and prognostic computed tomography imaging markers in basilar artery occlusion (Review). Exp Ther Med 22: 954, 2021.
APA
Filep, R.C., Marginean, L., Stoian, A., & Bajko, Z. (2021). Diagnostic and prognostic computed tomography imaging markers in basilar artery occlusion (Review). Experimental and Therapeutic Medicine, 22, 954. https://doi.org/10.3892/etm.2021.10386
MLA
Filep, R. C., Marginean, L., Stoian, A., Bajko, Z."Diagnostic and prognostic computed tomography imaging markers in basilar artery occlusion (Review)". Experimental and Therapeutic Medicine 22.3 (2021): 954.
Chicago
Filep, R. C., Marginean, L., Stoian, A., Bajko, Z."Diagnostic and prognostic computed tomography imaging markers in basilar artery occlusion (Review)". Experimental and Therapeutic Medicine 22, no. 3 (2021): 954. https://doi.org/10.3892/etm.2021.10386
Follow us
  • Twitter
  • LinkedIn
  • Facebook
About
  • Spandidos Publications
  • Careers
  • Cookie Policy
  • Privacy Policy
How can we help?
  • Help
  • Live Chat
  • Contact
  • Email to our Support Team