Spandidos Publications Logo
  • About
    • About Spandidos
    • Aims and Scopes
    • Abstracting and Indexing
    • Editorial Policies
    • Reprints and Permissions
    • Job Opportunities
    • Terms and Conditions
    • Contact
  • Journals
    • All Journals
    • Oncology Letters
      • Oncology Letters
      • Information for Authors
      • Editorial Policies
      • Editorial Board
      • Aims and Scope
      • Abstracting and Indexing
      • Bibliographic Information
      • Archive
    • International Journal of Oncology
      • International Journal of Oncology
      • Information for Authors
      • Editorial Policies
      • Editorial Board
      • Aims and Scope
      • Abstracting and Indexing
      • Bibliographic Information
      • Archive
    • Molecular and Clinical Oncology
      • Molecular and Clinical Oncology
      • Information for Authors
      • Editorial Policies
      • Editorial Board
      • Aims and Scope
      • Abstracting and Indexing
      • Bibliographic Information
      • Archive
    • Experimental and Therapeutic Medicine
      • Experimental and Therapeutic Medicine
      • Information for Authors
      • Editorial Policies
      • Editorial Board
      • Aims and Scope
      • Abstracting and Indexing
      • Bibliographic Information
      • Archive
    • International Journal of Molecular Medicine
      • International Journal of Molecular Medicine
      • Information for Authors
      • Editorial Policies
      • Editorial Board
      • Aims and Scope
      • Abstracting and Indexing
      • Bibliographic Information
      • Archive
    • Biomedical Reports
      • Biomedical Reports
      • Information for Authors
      • Editorial Policies
      • Editorial Board
      • Aims and Scope
      • Abstracting and Indexing
      • Bibliographic Information
      • Archive
    • Oncology Reports
      • Oncology Reports
      • Information for Authors
      • Editorial Policies
      • Editorial Board
      • Aims and Scope
      • Abstracting and Indexing
      • Bibliographic Information
      • Archive
    • Molecular Medicine Reports
      • Molecular Medicine Reports
      • Information for Authors
      • Editorial Policies
      • Editorial Board
      • Aims and Scope
      • Abstracting and Indexing
      • Bibliographic Information
      • Archive
    • World Academy of Sciences Journal
      • World Academy of Sciences Journal
      • Information for Authors
      • Editorial Policies
      • Editorial Board
      • Aims and Scope
      • Abstracting and Indexing
      • Bibliographic Information
      • Archive
    • International Journal of Functional Nutrition
      • International Journal of Functional Nutrition
      • Information for Authors
      • Editorial Policies
      • Editorial Board
      • Aims and Scope
      • Abstracting and Indexing
      • Bibliographic Information
      • Archive
    • International Journal of Epigenetics
      • International Journal of Epigenetics
      • Information for Authors
      • Editorial Policies
      • Editorial Board
      • Aims and Scope
      • Abstracting and Indexing
      • Bibliographic Information
      • Archive
    • Medicine International
      • Medicine International
      • Information for Authors
      • Editorial Policies
      • Editorial Board
      • Aims and Scope
      • Abstracting and Indexing
      • Bibliographic Information
      • Archive
  • Articles
  • Information
    • Information for Authors
    • Information for Reviewers
    • Information for Librarians
    • Information for Advertisers
    • Conferences
  • Language Editing
Spandidos Publications Logo
  • About
    • About Spandidos
    • Aims and Scopes
    • Abstracting and Indexing
    • Editorial Policies
    • Reprints and Permissions
    • Job Opportunities
    • Terms and Conditions
    • Contact
  • Journals
    • All Journals
    • Biomedical Reports
      • Information for Authors
      • Editorial Policies
      • Editorial Board
      • Aims and Scope
      • Abstracting and Indexing
      • Bibliographic Information
      • Archive
    • Experimental and Therapeutic Medicine
      • Information for Authors
      • Editorial Policies
      • Editorial Board
      • Aims and Scope
      • Abstracting and Indexing
      • Bibliographic Information
      • Archive
    • International Journal of Epigenetics
      • Information for Authors
      • Editorial Policies
      • Editorial Board
      • Aims and Scope
      • Abstracting and Indexing
      • Bibliographic Information
      • Archive
    • International Journal of Functional Nutrition
      • Information for Authors
      • Editorial Policies
      • Editorial Board
      • Aims and Scope
      • Abstracting and Indexing
      • Bibliographic Information
      • Archive
    • International Journal of Molecular Medicine
      • Information for Authors
      • Editorial Policies
      • Editorial Board
      • Aims and Scope
      • Abstracting and Indexing
      • Bibliographic Information
      • Archive
    • International Journal of Oncology
      • Information for Authors
      • Editorial Policies
      • Editorial Board
      • Aims and Scope
      • Abstracting and Indexing
      • Bibliographic Information
      • Archive
    • Medicine International
      • Information for Authors
      • Editorial Policies
      • Editorial Board
      • Aims and Scope
      • Abstracting and Indexing
      • Bibliographic Information
      • Archive
    • Molecular and Clinical Oncology
      • Information for Authors
      • Editorial Policies
      • Editorial Board
      • Aims and Scope
      • Abstracting and Indexing
      • Bibliographic Information
      • Archive
    • Molecular Medicine Reports
      • Information for Authors
      • Editorial Policies
      • Editorial Board
      • Aims and Scope
      • Abstracting and Indexing
      • Bibliographic Information
      • Archive
    • Oncology Letters
      • Information for Authors
      • Editorial Policies
      • Editorial Board
      • Aims and Scope
      • Abstracting and Indexing
      • Bibliographic Information
      • Archive
    • Oncology Reports
      • Information for Authors
      • Editorial Policies
      • Editorial Board
      • Aims and Scope
      • Abstracting and Indexing
      • Bibliographic Information
      • Archive
    • World Academy of Sciences Journal
      • Information for Authors
      • Editorial Policies
      • Editorial Board
      • Aims and Scope
      • Abstracting and Indexing
      • Bibliographic Information
      • Archive
  • Articles
  • Information
    • For Authors
    • For Reviewers
    • For Librarians
    • For Advertisers
    • Conferences
  • Language Editing
Login Register Submit
  • This site uses cookies
  • You can change your cookie settings at any time by following the instructions in our Cookie Policy. To find out more, you may read our Privacy Policy.

    I agree
Search articles by DOI, keyword, author or affiliation
Search
Advanced Search
presentation
Experimental and Therapeutic Medicine
Join Editorial Board Propose a Special Issue
Print ISSN: 1792-0981 Online ISSN: 1792-1015
Journal Cover
January-2022 Volume 23 Issue 1

Full Size Image

Sign up for eToc alerts
Recommend to Library

Journals

International Journal of Molecular Medicine

International Journal of Molecular Medicine

International Journal of Molecular Medicine is an international journal devoted to molecular mechanisms of human disease.

International Journal of Oncology

International Journal of Oncology

International Journal of Oncology is an international journal devoted to oncology research and cancer treatment.

Molecular Medicine Reports

Molecular Medicine Reports

Covers molecular medicine topics such as pharmacology, pathology, genetics, neuroscience, infectious diseases, molecular cardiology, and molecular surgery.

Oncology Reports

Oncology Reports

Oncology Reports is an international journal devoted to fundamental and applied research in Oncology.

Experimental and Therapeutic Medicine

Experimental and Therapeutic Medicine

Experimental and Therapeutic Medicine is an international journal devoted to laboratory and clinical medicine.

Oncology Letters

Oncology Letters

Oncology Letters is an international journal devoted to Experimental and Clinical Oncology.

Biomedical Reports

Biomedical Reports

Explores a wide range of biological and medical fields, including pharmacology, genetics, microbiology, neuroscience, and molecular cardiology.

Molecular and Clinical Oncology

Molecular and Clinical Oncology

International journal addressing all aspects of oncology research, from tumorigenesis and oncogenes to chemotherapy and metastasis.

World Academy of Sciences Journal

World Academy of Sciences Journal

Multidisciplinary open-access journal spanning biochemistry, genetics, neuroscience, environmental health, and synthetic biology.

International Journal of Functional Nutrition

International Journal of Functional Nutrition

Open-access journal combining biochemistry, pharmacology, immunology, and genetics to advance health through functional nutrition.

International Journal of Epigenetics

International Journal of Epigenetics

Publishes open-access research on using epigenetics to advance understanding and treatment of human disease.

Medicine International

Medicine International

An International Open Access Journal Devoted to General Medicine.

Journal Cover
January-2022 Volume 23 Issue 1

Full Size Image

Sign up for eToc alerts
Recommend to Library

  • Article
  • Citations
    • Cite This Article
    • Download Citation
    • Create Citation Alert
    • Remove Citation Alert
    • Cited By
  • Similar Articles
    • Related Articles (in Spandidos Publications)
    • Similar Articles (Google Scholar)
    • Similar Articles (PubMed)
  • Download PDF
  • Download XML
  • View XML
Article Open Access

Salidroside promotes the osteogenic and odontogenic differentiation of human dental pulp stem cells through the BMP signaling pathway

  • Authors:
    • Xiaoling Wei
    • Jiayang Li
    • Hui Liu
    • Chenguang Niu
    • Dong Chen
  • View Affiliations / Copyright

    Affiliations: Department of Endodontics, Shanghai Stomatological Hospital, Fudan University, Shanghai 200001, P.R. China, Shanghai Key Laboratory of Craniomaxillofacial Development and Diseases, Shanghai Stomatological Hospital, Fudan University, Shanghai 200001, P.R. China
    Copyright: © Wei et al. This is an open access article distributed under the terms of Creative Commons Attribution License.
  • Article Number: 55
    |
    Published online on: November 17, 2021
       https://doi.org/10.3892/etm.2021.10977
  • Expand metrics +
Metrics: Total Views: 0 (Spandidos Publications: | PMC Statistics: )
Metrics: Total PDF Downloads: 0 (Spandidos Publications: | PMC Statistics: )
Cited By (CrossRef): 0 citations Loading Articles...

This article is mentioned in:



Abstract

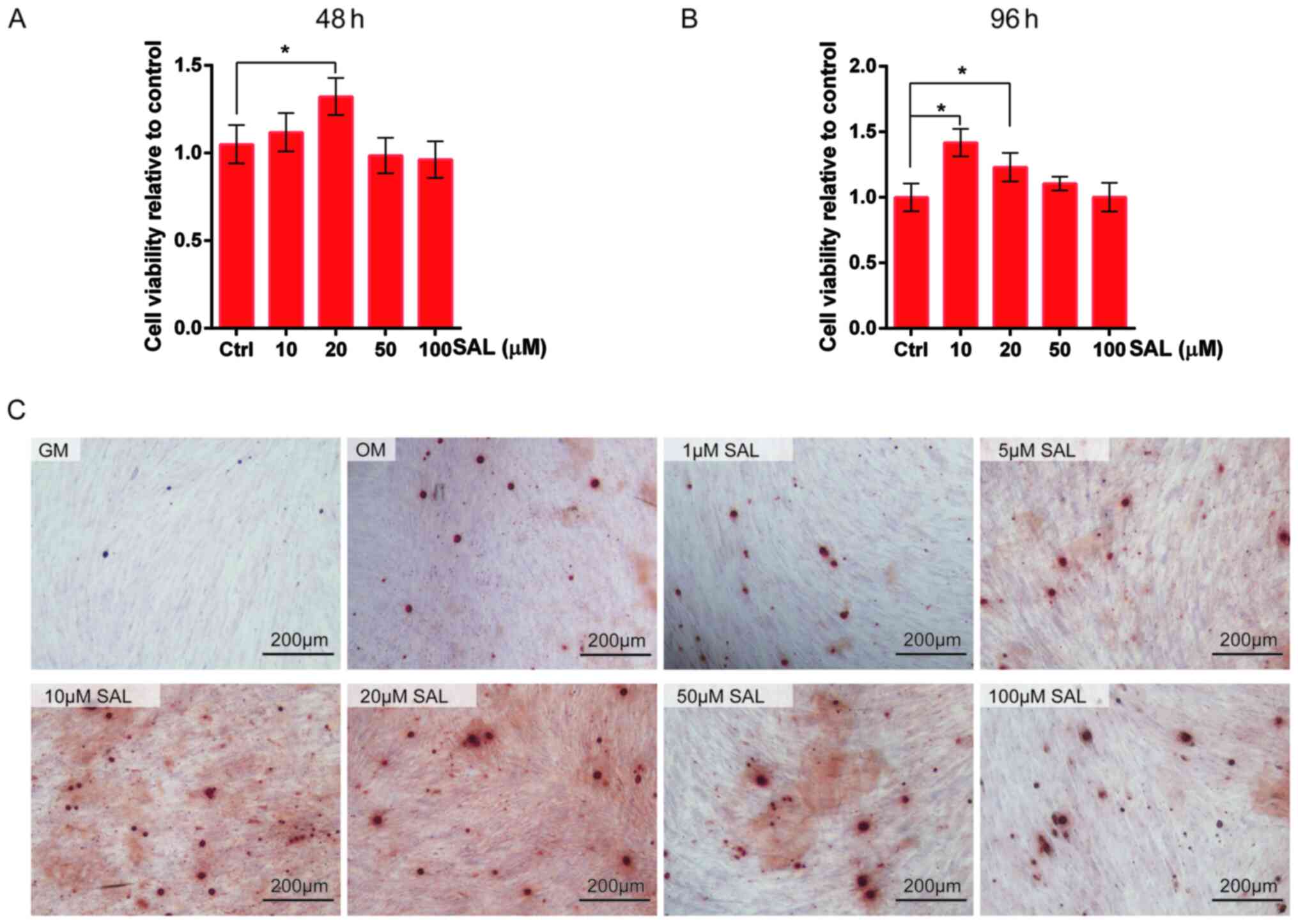
Regenerative endodontics, as an alternative approach, aims to regenerate dental pulp‑like tissues and is garnering the attention of clinical dentists. This is due to its reported biological benefits for dental therapeutics. Stem cells and their microenvironment serve an important role in the process of pulp regeneration. Regulation of the stem cell microenvironment and the directed differentiation of stem cells is becoming a topic of intensive research. Salidroside (SAL) is extracted from the root of Rhodiola rosea and it has been reported that SAL exerts antiaging, neuroprotective, hepatoprotective, cardioprotective and anticancer effects. However, the ability of SAL to regulate the osteo/odontogenic differentiation of hDPSCs remains to be elucidated. In the present study, the effect of SAL on the proliferation and osteogenic/odontogenic differentiation of human dental pulp stem cells (hDPSCs) was investigated. This was achieved by performing CCK‑8 ARS staining assay, reverse transcription‑quantitative PCR to detect mRNA of ALP, OSX, RUNX2, OCN, DSPP and BSP, western blotting to detect the protein of MAPK, Smad1/5/8, OSX, RUNX2, BSP and GAPDH and immunofluorescence assays to detect DSPP. The results indicated that SAL promoted the cell viability and the osteogenic/odontogenic differentiation of hDPSCs whilst increasing the expression of genes associated with osteogenic/odontogenic differentiation by ARS staining assay. In addition, SAL promoted osteogenic and odontogenic differentiation by activating the phosphorylation of Smad1/5/8. Collectively, these findings suggest that SAL promoted the osteogenic and odontogenic differentiation of hDPSCs activating the BMP signaling pathway.
View Figures

Figure 1

Figure 2

Figure 3

Figure 4

View References

1 

Peters OA: The Guidebook to Molar Endodontics. Springer, New York, NY, 2017.

2 

Moonesi RR, Atila D, Akgun EE, Evis Z, Keskin D and Tezcaner A: Evaluation of human dental pulp stem cells behavior on a novel nanobiocomposite scaffold prepared for regenerative endodontics. Mater Sci Eng C Mater Biol Appl. 100:928–948. 2019.PubMed/NCBI View Article : Google Scholar

3 

Eramo S, Natali A, Pinna R and Milia E: Dental pulp regeneration via cell homing. Int Endod J. 51:405–419. 2018.PubMed/NCBI View Article : Google Scholar

4 

Jung C, Kim S, Sun T, Cho YB and Song M: Pulp-dentin regeneration: Current approaches and challenges. J Tissue Eng. 10(1544418625)2019.PubMed/NCBI View Article : Google Scholar

5 

Ran R, Yang H, Cao Y, Yan W, Jin L and Zheng Y: Depletion of EREG enhances the osteo/dentinogenic differentiation ability of dental pulp stem cells via the p38 MAPK and Erk pathways in an inflammatory microenvironment. BMC Oral Health. 21(314)2021.PubMed/NCBI View Article : Google Scholar

6 

Huang X, Li Z, Liu A, Liu X, Guo H, Wu M, Yang X, Han B and Xuan K: Microenvironment influences odontogenic mesenchymal stem cells mediated dental pulp regeneration. Front Physiol. 12(656588)2021.PubMed/NCBI View Article : Google Scholar

7 

Hao J, Yang H, Cao Y, Zhang C and Fan Z: IGFBP5 enhances the dentinogenesis potential of dental pulp stem cells via JNK and ErK signalling pathways. J Oral Rehabil. 47:1557–1565. 2020.PubMed/NCBI View Article : Google Scholar

8 

Tsutsui TW: Dental pulp stem cells: Advances to applications. Stem Cells Cloning. 13:33–42. 2020.PubMed/NCBI View Article : Google Scholar

9 

Chen H, Fu H, Wu X, Duan Y, Zhang S, Hu H, Liao Y, Wang T, Yang Y, Chen G, et al: Regeneration of pulpo-dentinal-like complex by a group of unique multipotent CD24a+ stem cells. Sci Adv. 6(eaay1514)2020.PubMed/NCBI View Article : Google Scholar

10 

Wu A, Bao Y, Yu H, Zhou Y and Lu Q: Berberine accelerates odontoblast differentiation by Wnt/beta-Catenin Activation. Cell Reprogram. 21:108–114. 2019.PubMed/NCBI View Article : Google Scholar

11 

Li F, Sun X, Ma J, Ma X, Zhao B, Zhang Y, Tian P, Li Y and Han Z: Naringin prevents ovariectomy-induced osteoporosis and promotes osteoclasts apoptosis through the mitochondria-mediated apoptosis pathway. Biochem Biophys Res Commun. 452:629–635. 2014.PubMed/NCBI View Article : Google Scholar

12 

Biswal S, Barhwal KK, Das D, Dhingra R, Dhingra N, Nag TC and Hota SK: Salidroside mediated stabilization of Bcl-xL prevents mitophagy in CA3 hippocampal neurons during hypoxia. Neurobiol Dis. 116:39–52. 2018.PubMed/NCBI View Article : Google Scholar

13 

Chen JJ, Zhang NF, Mao GX, He XB, Zhan YC, Deng HB, Song DQ, Li DD, Li ZR, Si SY, et al: Salidroside stimulates osteoblast differentiation through BMP signaling pathway. Food Chem Toxicol. 62:499–505. 2013.PubMed/NCBI View Article : Google Scholar

14 

Guo XQ, Qi L, Yang J, Wang Y, Wang C, Li ZM, Li L, Qu Y, Wang D and Han ZM: Salidroside accelerates fracture healing through cell-autonomous and non-autonomous effects on osteoblasts. Cell Tissue Res. 367:197–211. 2017.PubMed/NCBI View Article : Google Scholar

15 

Sun M, Lu Z, Cai P, Zheng L and Zhao J: Salidroside enhances proliferation and maintains phenotype of articular chondrocytes for autologous chondrocyte implantation (ACI) via TGF-β/Smad3 Signal. Biomed Pharmacother. 122(109388)2020.PubMed/NCBI View Article : Google Scholar

16 

Ying Y and Luo J: Salidroside promotes human periodontal ligament cell proliferation and osteocalcin secretion via ERK1/2 and PI3K/Akt signaling pathways. Exp Ther Med. 15:5041–5045. 2018.PubMed/NCBI View Article : Google Scholar

17 

Niu C, Xiao F, Yuan K, Hu X, Lin W, Ma R, Zhang X and Huang Z: Nardosinone suppresses RANKL-induced osteoclastogenesis and attenuates lipopolysaccharide-induced alveolar bone resorption. Front Pharmacol. 8(626)2017.PubMed/NCBI View Article : Google Scholar

18 

Xu J, Wang Y, Li J and Zhang X, Geng Y, Huang Y, Dai K and Zhang X: IL-12p40 impairs mesenchymal stem cell-mediated bone regeneration via CD4+ T cells. Cell Death Differ. 23:1941–1951. 2016.PubMed/NCBI View Article : Google Scholar

19 

Jin Q, Yuan K, Lin W, Niu C, Ma R and Huang Z: Comparative characterization of mesenchymal stem cells from human dental pulp and adipose tissue for bone regeneration potential. Artif Cells Nanomed Biotechnol. 47:1577–1584. 2019.PubMed/NCBI View Article : Google Scholar

20 

Zhao XY, Li W, Lv Z, Liu L, Tong M, Hai T, Hao J, Guo CL, Ma QW, Wang L, et al: iPS cells produce viable mice through tetraploid complementation. Nature. 461:86–90. 2009.PubMed/NCBI View Article : Google Scholar

21 

Chomczynski P and Sacchi N: Single-step method of RNA isolation by acid guanidinium thiocyanate-phenol-chloroform extraction. Anal Biochem. 162:156–159. 1987.PubMed/NCBI View Article : Google Scholar

22 

Chen Y, Zhao Q, Yang X, Yu X, Yu D and Zhao W: Effects of cobalt chloride on the stem cell marker expression and osteogenic differentiation of stem cells from human exfoliated deciduous teeth. Cell Stress Chaperones. 24:527–538. 2019.PubMed/NCBI View Article : Google Scholar

23 

Shi R, Yang H, Lin X, Cao Y, Zhang C, Fan Z and Hou B: Analysis of the characteristics and expression profiles of coding and noncoding RNAs of human dental pulp stem cells in hypoxic conditions. Stem Cell Res Ther. 10(89)2019.PubMed/NCBI View Article : Google Scholar

24 

Niu C, Yuan K, Ma R, Gao L, Jiang W, Hu X, Lin W, Zhang X and Huang Z: Gold nanoparticles promote osteogenic differentiation of human periodontal ligament stem cells via the p38 MAPK signaling pathway. Mol Med Rep. 16:4879–4886. 2017.PubMed/NCBI View Article : Google Scholar

25 

Livak KJ and Schmittgen TD: Analysis of relative gene expression data using real-time quantitative PCR and the 2(-Delta Delta C(T)) method. Methods. 25:402–408. 2001.PubMed/NCBI View Article : Google Scholar

26 

Zhang W, Yu L, Han X, Pan J, Deng J, Zhu L, Lu Y, Huang W, Liu S, Li Q and Liu Y: The secretome of human dental pulp stem cells protects myoblasts from hypoxiainduced injury via the Wnt/β-catenin pathway. Int J Mol Med. 45:1501–1513. 2020.PubMed/NCBI View Article : Google Scholar

27 

Dissanayaka WL and Zhang C: The role of vasculature engineering in dental pulp regeneration. J Endod. 43 (Suppl):S102–S106. 2017.PubMed/NCBI View Article : Google Scholar

28 

Ahmed GM, Abouauf EA, AbuBakr N, Dorfer CE and El-Sayed KF: Tissue engineering approaches for enamel, dentin, and pulp regeneration: An update. Stem Cells Int. 2020(5734539)2020.PubMed/NCBI View Article : Google Scholar

29 

Hashemi-Beni B, Khoroushi M, Foroughi MR, Karbasi S and Khademi AA: Tissue engineering: Dentin-pulp complex regeneration approaches (A review). Tissue Cell. 49:552–564. 2017.PubMed/NCBI View Article : Google Scholar

30 

Liu K, Wang XJ, Li YN, Li B, Qi JS, Zhang J and Wang Y: Tongxinluo reverses the Hypoxia-suppressed Claudin-9 in cardiac microvascular endothelial cells. Chin Med J (Engl). 129:442–447. 2016.PubMed/NCBI View Article : Google Scholar

31 

Fang J, Zhao X, Li S, Xing X, Wang H, Lazarovici P and Zheng W: Protective mechanism of artemisinin on rat bone marrow-derived mesenchymal stem cells against apoptosis induced by hydrogen peroxide via activation of c-Raf-Erk1/2-p90rsk-CREB pathway. Stem Cell Res Ther. 10(312)2019.PubMed/NCBI View Article : Google Scholar

32 

Yu AX, Xu ML, Yao P, Kwan KK, Liu YX, Duan R, Dong TT, Ko RK and Tsim KW: Corylin, a flavonoid derived from Psoralea Fructus, induces osteoblastic differentiation via estrogen and Wnt/β-catenin signaling pathways. FASEB J. 34:4311–4328. 2020.PubMed/NCBI View Article : Google Scholar

33 

Zhang JK, Yang L, Meng GL, Yuan Z, Fan J, Li D, Chen JZ, Shi TY, Hu HM, Wei BY, et al: Protection by salidroside against bone loss via inhibition of oxidative stress and bone-resorbing mediators. PLoS One. 8(e57251)2013.PubMed/NCBI View Article : Google Scholar

34 

Zhang J, Zhang W, Dai J, Wang X and Shen SG: Overexpression of Dlx2 enhances osteogenic differentiation of BMSCs and MC3T3-E1 cells via direct upregulation of Osteocalcin and Alp. Int J Oral Sci. 11(12)2019.PubMed/NCBI View Article : Google Scholar

35 

Camilleri S and McDonald F: Runx2 and dental development. Eur J Oral Sci. 114:361–373. 2006.PubMed/NCBI View Article : Google Scholar

36 

Gomathi K, Akshaya N, Srinaath N, Moorthi A and Selvamurugan N: Regulation of Runx2 by post-translational modifications in osteoblast differentiation. Life Sci. 245(117389)2020.PubMed/NCBI View Article : Google Scholar

37 

Miyazaki T, Kanatani N, Rokutanda S, Yoshida C, Toyosawa S, Nakamura R, Takada S and Komori T: Inhibition of the terminal differentiation of odontoblasts and their transdifferentiation into osteoblasts in Runx2 transgenic mice. Arch Histol Cytol. 71:131–146. 2008.PubMed/NCBI View Article : Google Scholar

38 

Chan W, Tan Z, To M and Chan D: Regulation and role of transcription factors in osteogenesis. Int J Mol Sci. 22(5445)2021.PubMed/NCBI View Article : Google Scholar

39 

Komori T: Functions of osteocalcin in bone, pancreas, testis, and muscle. Int J Mol Sci. 21(7513)2020.PubMed/NCBI View Article : Google Scholar

40 

Komori T: Regulation of bone development and extracellular matrix protein genes by RUNX2. Cell Tissue Res. 339:189–195. 2010.PubMed/NCBI View Article : Google Scholar

41 

D'Souza RN, Cavender A, Sunavala G, Alvarez J, Ohshima T, Kulkarni AB and MacDougall M: Gene expression patterns of murine dentin matrix protein 1 (Dmp1) and dentin sialophosphoprotein (DSPP) suggest distinct developmental functions in vivo. J Bone Miner Res. 12:2040–2049. 1997.PubMed/NCBI View Article : Google Scholar

42 

Li S, Kong H, Yao N, Yu Q, Wang P, Lin Y, Wang J, Kuang R, Zhao X, Xu J, et al: The role of runt-related transcription factor 2 (Runx2) in the late stage of odontoblast differentiation and dentin formation. Biochem Biophys Res Commun. 410:698–704. 2011.PubMed/NCBI View Article : Google Scholar

43 

Gao RT, Zhan LP, Meng C, Zhang N, Chang SM, Yao R and Li C: Homeobox B7 promotes the osteogenic differentiation potential of mesenchymal stem cells by activating RUNX2 and transcript of BSP. Int J Clin Exp Med. 8:10459–10470. 2015.PubMed/NCBI

44 

Baht GS, O'Young J, Borovina A, Chen H, Tye CE, Karttunen M, Lajoie GA, Hunter GK and Goldberg HA: Phosphorylation of Ser136 is critical for potent bone sialoprotein-mediated nucleation of hydroxyapatite crystals. Biochem J. 428:385–395. 2010.PubMed/NCBI View Article : Google Scholar

45 

Hrubi E, Imre L, Robaszkiewicz A, Virág L, Kerényi F, Nagy K, Varga G, Jenei A and Hegedüs C: Diverse effect of BMP-2 homodimer on mesenchymal progenitors of different origin. Hum Cell. 31:139–148. 2018.PubMed/NCBI View Article : Google Scholar

46 

Wang L, Liu C and Wu F: Low-level laser irradiation enhances the proliferation and osteogenic differentiation of PDLSCs via BMP signaling. Lasers Med Sci: Jul 10, 2021 (Epub ahead of print).

47 

Kang X, Qian Z, Liu J, Feng D, Li H, Zhang Z, Jin X, Ma Z, Xu M, Li F, et al: Neuropeptide Y acts directly on cartilage homeostasis and exacerbates progression of osteoarthritis through NPY2R. J Bone Miner Res. 35:1375–1384. 2020.PubMed/NCBI View Article : Google Scholar

Related Articles

  • Abstract
  • View
  • Download
  • Twitter
Copy and paste a formatted citation
Spandidos Publications style
Wei X, Li J, Liu H, Niu C and Chen D: Salidroside promotes the osteogenic and odontogenic differentiation of human dental pulp stem cells through the BMP signaling pathway. Exp Ther Med 23: 55, 2022.
APA
Wei, X., Li, J., Liu, H., Niu, C., & Chen, D. (2022). Salidroside promotes the osteogenic and odontogenic differentiation of human dental pulp stem cells through the BMP signaling pathway. Experimental and Therapeutic Medicine, 23, 55. https://doi.org/10.3892/etm.2021.10977
MLA
Wei, X., Li, J., Liu, H., Niu, C., Chen, D."Salidroside promotes the osteogenic and odontogenic differentiation of human dental pulp stem cells through the BMP signaling pathway". Experimental and Therapeutic Medicine 23.1 (2022): 55.
Chicago
Wei, X., Li, J., Liu, H., Niu, C., Chen, D."Salidroside promotes the osteogenic and odontogenic differentiation of human dental pulp stem cells through the BMP signaling pathway". Experimental and Therapeutic Medicine 23, no. 1 (2022): 55. https://doi.org/10.3892/etm.2021.10977
Copy and paste a formatted citation
x
Spandidos Publications style
Wei X, Li J, Liu H, Niu C and Chen D: Salidroside promotes the osteogenic and odontogenic differentiation of human dental pulp stem cells through the BMP signaling pathway. Exp Ther Med 23: 55, 2022.
APA
Wei, X., Li, J., Liu, H., Niu, C., & Chen, D. (2022). Salidroside promotes the osteogenic and odontogenic differentiation of human dental pulp stem cells through the BMP signaling pathway. Experimental and Therapeutic Medicine, 23, 55. https://doi.org/10.3892/etm.2021.10977
MLA
Wei, X., Li, J., Liu, H., Niu, C., Chen, D."Salidroside promotes the osteogenic and odontogenic differentiation of human dental pulp stem cells through the BMP signaling pathway". Experimental and Therapeutic Medicine 23.1 (2022): 55.
Chicago
Wei, X., Li, J., Liu, H., Niu, C., Chen, D."Salidroside promotes the osteogenic and odontogenic differentiation of human dental pulp stem cells through the BMP signaling pathway". Experimental and Therapeutic Medicine 23, no. 1 (2022): 55. https://doi.org/10.3892/etm.2021.10977
Follow us
  • Twitter
  • LinkedIn
  • Facebook
About
  • Spandidos Publications
  • Careers
  • Cookie Policy
  • Privacy Policy
How can we help?
  • Help
  • Live Chat
  • Contact
  • Email to our Support Team