Spandidos Publications Logo
  • About
    • About Spandidos
    • Aims and Scopes
    • Abstracting and Indexing
    • Editorial Policies
    • Reprints and Permissions
    • Job Opportunities
    • Terms and Conditions
    • Contact
  • Journals
    • All Journals
    • Oncology Letters
      • Oncology Letters
      • Information for Authors
      • Editorial Policies
      • Editorial Board
      • Aims and Scope
      • Abstracting and Indexing
      • Bibliographic Information
      • Archive
    • International Journal of Oncology
      • International Journal of Oncology
      • Information for Authors
      • Editorial Policies
      • Editorial Board
      • Aims and Scope
      • Abstracting and Indexing
      • Bibliographic Information
      • Archive
    • Molecular and Clinical Oncology
      • Molecular and Clinical Oncology
      • Information for Authors
      • Editorial Policies
      • Editorial Board
      • Aims and Scope
      • Abstracting and Indexing
      • Bibliographic Information
      • Archive
    • Experimental and Therapeutic Medicine
      • Experimental and Therapeutic Medicine
      • Information for Authors
      • Editorial Policies
      • Editorial Board
      • Aims and Scope
      • Abstracting and Indexing
      • Bibliographic Information
      • Archive
    • International Journal of Molecular Medicine
      • International Journal of Molecular Medicine
      • Information for Authors
      • Editorial Policies
      • Editorial Board
      • Aims and Scope
      • Abstracting and Indexing
      • Bibliographic Information
      • Archive
    • Biomedical Reports
      • Biomedical Reports
      • Information for Authors
      • Editorial Policies
      • Editorial Board
      • Aims and Scope
      • Abstracting and Indexing
      • Bibliographic Information
      • Archive
    • Oncology Reports
      • Oncology Reports
      • Information for Authors
      • Editorial Policies
      • Editorial Board
      • Aims and Scope
      • Abstracting and Indexing
      • Bibliographic Information
      • Archive
    • Molecular Medicine Reports
      • Molecular Medicine Reports
      • Information for Authors
      • Editorial Policies
      • Editorial Board
      • Aims and Scope
      • Abstracting and Indexing
      • Bibliographic Information
      • Archive
    • World Academy of Sciences Journal
      • World Academy of Sciences Journal
      • Information for Authors
      • Editorial Policies
      • Editorial Board
      • Aims and Scope
      • Abstracting and Indexing
      • Bibliographic Information
      • Archive
    • International Journal of Functional Nutrition
      • International Journal of Functional Nutrition
      • Information for Authors
      • Editorial Policies
      • Editorial Board
      • Aims and Scope
      • Abstracting and Indexing
      • Bibliographic Information
      • Archive
    • International Journal of Epigenetics
      • International Journal of Epigenetics
      • Information for Authors
      • Editorial Policies
      • Editorial Board
      • Aims and Scope
      • Abstracting and Indexing
      • Bibliographic Information
      • Archive
    • Medicine International
      • Medicine International
      • Information for Authors
      • Editorial Policies
      • Editorial Board
      • Aims and Scope
      • Abstracting and Indexing
      • Bibliographic Information
      • Archive
  • Articles
  • Information
    • Information for Authors
    • Information for Reviewers
    • Information for Librarians
    • Information for Advertisers
    • Conferences
  • Language Editing
Spandidos Publications Logo
  • About
    • About Spandidos
    • Aims and Scopes
    • Abstracting and Indexing
    • Editorial Policies
    • Reprints and Permissions
    • Job Opportunities
    • Terms and Conditions
    • Contact
  • Journals
    • All Journals
    • Biomedical Reports
      • Information for Authors
      • Editorial Policies
      • Editorial Board
      • Aims and Scope
      • Abstracting and Indexing
      • Bibliographic Information
      • Archive
    • Experimental and Therapeutic Medicine
      • Information for Authors
      • Editorial Policies
      • Editorial Board
      • Aims and Scope
      • Abstracting and Indexing
      • Bibliographic Information
      • Archive
    • International Journal of Epigenetics
      • Information for Authors
      • Editorial Policies
      • Editorial Board
      • Aims and Scope
      • Abstracting and Indexing
      • Bibliographic Information
      • Archive
    • International Journal of Functional Nutrition
      • Information for Authors
      • Editorial Policies
      • Editorial Board
      • Aims and Scope
      • Abstracting and Indexing
      • Bibliographic Information
      • Archive
    • International Journal of Molecular Medicine
      • Information for Authors
      • Editorial Policies
      • Editorial Board
      • Aims and Scope
      • Abstracting and Indexing
      • Bibliographic Information
      • Archive
    • International Journal of Oncology
      • Information for Authors
      • Editorial Policies
      • Editorial Board
      • Aims and Scope
      • Abstracting and Indexing
      • Bibliographic Information
      • Archive
    • Medicine International
      • Information for Authors
      • Editorial Policies
      • Editorial Board
      • Aims and Scope
      • Abstracting and Indexing
      • Bibliographic Information
      • Archive
    • Molecular and Clinical Oncology
      • Information for Authors
      • Editorial Policies
      • Editorial Board
      • Aims and Scope
      • Abstracting and Indexing
      • Bibliographic Information
      • Archive
    • Molecular Medicine Reports
      • Information for Authors
      • Editorial Policies
      • Editorial Board
      • Aims and Scope
      • Abstracting and Indexing
      • Bibliographic Information
      • Archive
    • Oncology Letters
      • Information for Authors
      • Editorial Policies
      • Editorial Board
      • Aims and Scope
      • Abstracting and Indexing
      • Bibliographic Information
      • Archive
    • Oncology Reports
      • Information for Authors
      • Editorial Policies
      • Editorial Board
      • Aims and Scope
      • Abstracting and Indexing
      • Bibliographic Information
      • Archive
    • World Academy of Sciences Journal
      • Information for Authors
      • Editorial Policies
      • Editorial Board
      • Aims and Scope
      • Abstracting and Indexing
      • Bibliographic Information
      • Archive
  • Articles
  • Information
    • For Authors
    • For Reviewers
    • For Librarians
    • For Advertisers
    • Conferences
  • Language Editing
Login Register Submit
  • This site uses cookies
  • You can change your cookie settings at any time by following the instructions in our Cookie Policy. To find out more, you may read our Privacy Policy.

    I agree
Search articles by DOI, keyword, author or affiliation
Search
Advanced Search
presentation
Experimental and Therapeutic Medicine
Join Editorial Board Propose a Special Issue
Print ISSN: 1792-0981 Online ISSN: 1792-1015
Journal Cover
February-2022 Volume 23 Issue 2

Full Size Image

Sign up for eToc alerts
Recommend to Library

Journals

International Journal of Molecular Medicine

International Journal of Molecular Medicine

International Journal of Molecular Medicine is an international journal devoted to molecular mechanisms of human disease.

International Journal of Oncology

International Journal of Oncology

International Journal of Oncology is an international journal devoted to oncology research and cancer treatment.

Molecular Medicine Reports

Molecular Medicine Reports

Covers molecular medicine topics such as pharmacology, pathology, genetics, neuroscience, infectious diseases, molecular cardiology, and molecular surgery.

Oncology Reports

Oncology Reports

Oncology Reports is an international journal devoted to fundamental and applied research in Oncology.

Experimental and Therapeutic Medicine

Experimental and Therapeutic Medicine

Experimental and Therapeutic Medicine is an international journal devoted to laboratory and clinical medicine.

Oncology Letters

Oncology Letters

Oncology Letters is an international journal devoted to Experimental and Clinical Oncology.

Biomedical Reports

Biomedical Reports

Explores a wide range of biological and medical fields, including pharmacology, genetics, microbiology, neuroscience, and molecular cardiology.

Molecular and Clinical Oncology

Molecular and Clinical Oncology

International journal addressing all aspects of oncology research, from tumorigenesis and oncogenes to chemotherapy and metastasis.

World Academy of Sciences Journal

World Academy of Sciences Journal

Multidisciplinary open-access journal spanning biochemistry, genetics, neuroscience, environmental health, and synthetic biology.

International Journal of Functional Nutrition

International Journal of Functional Nutrition

Open-access journal combining biochemistry, pharmacology, immunology, and genetics to advance health through functional nutrition.

International Journal of Epigenetics

International Journal of Epigenetics

Publishes open-access research on using epigenetics to advance understanding and treatment of human disease.

Medicine International

Medicine International

An International Open Access Journal Devoted to General Medicine.

Journal Cover
February-2022 Volume 23 Issue 2

Full Size Image

Sign up for eToc alerts
Recommend to Library

  • Article
  • Citations
    • Cite This Article
    • Download Citation
    • Create Citation Alert
    • Remove Citation Alert
    • Cited By
  • Similar Articles
    • Related Articles (in Spandidos Publications)
    • Similar Articles (Google Scholar)
    • Similar Articles (PubMed)
  • Download PDF
  • Download XML
  • View XML
Article Open Access

Cytomorphological study of thyroid carcinoma

  • Authors:
    • Iuliana Mohorea
    • Dana Terzea
    • Daniela Mihalache
    • Bogdan Socea
    • Dragoş Şerban
    • Mihai Ceausu
  • View Affiliations / Copyright

    Affiliations: Department of Pathology, ‘Carol Davila’ University of Medicine and Pharmacy, 020021 Bucharest, Romania, Department of Pathology, ‘C.I. Parhon’ Clinical Hospital for Endocrine Diseases, 011863 Bucharest, Romania, Department of Pathology, Braila Emergency County Hospital, 810325 Braila, Romania, Department of Surgery, ‘Carol Davila’ University of Medicine and Pharmacy, 020021 Bucharest, Romania
    Copyright: © Mohorea et al. This is an open access article distributed under the terms of Creative Commons Attribution License.
  • Article Number: 117
    |
    Published online on: December 6, 2021
       https://doi.org/10.3892/etm.2021.11040
  • Expand metrics +
Metrics: Total Views: 0 (Spandidos Publications: | PMC Statistics: )
Metrics: Total PDF Downloads: 0 (Spandidos Publications: | PMC Statistics: )
Cited By (CrossRef): 0 citations Loading Articles...

This article is mentioned in:



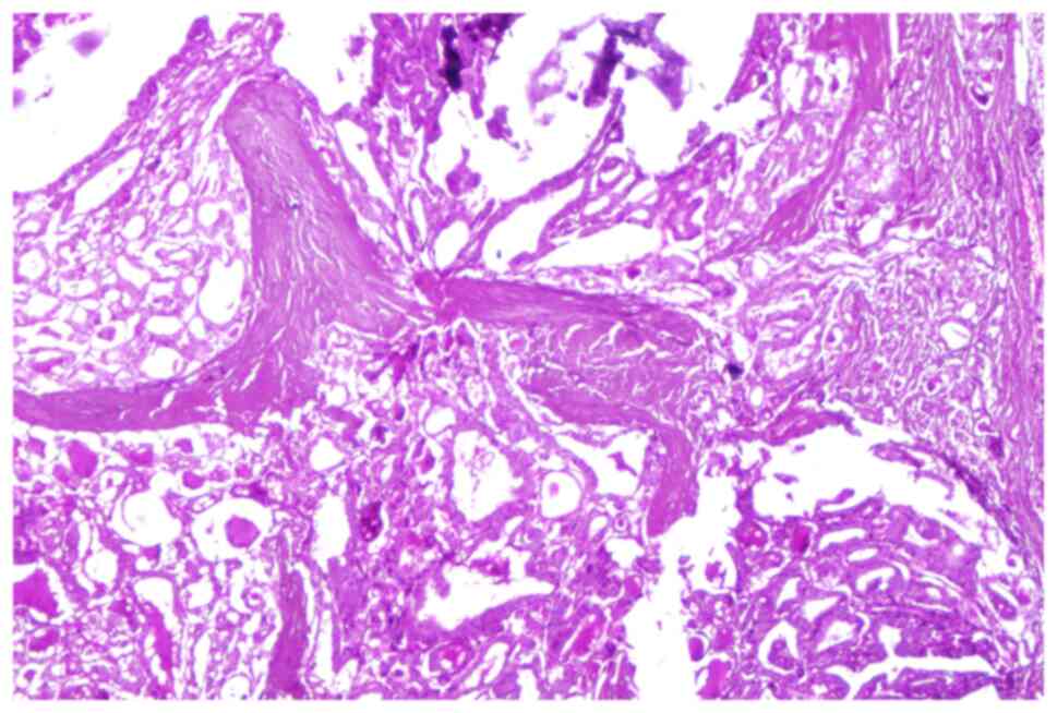
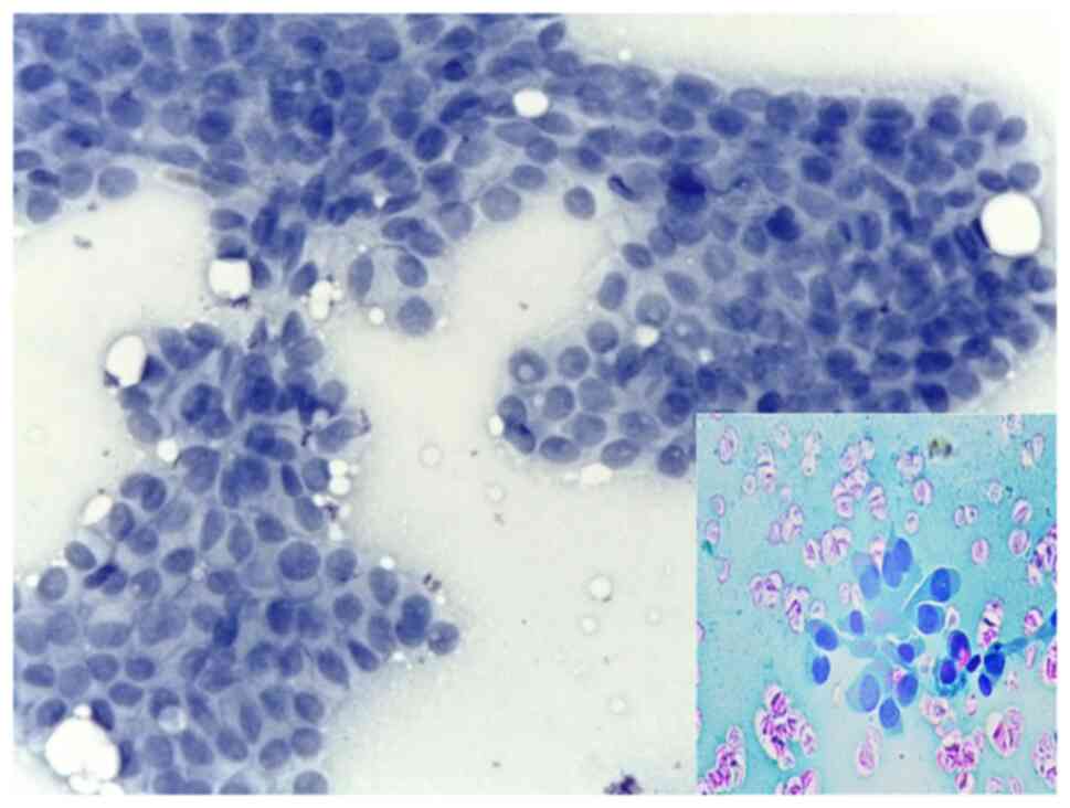
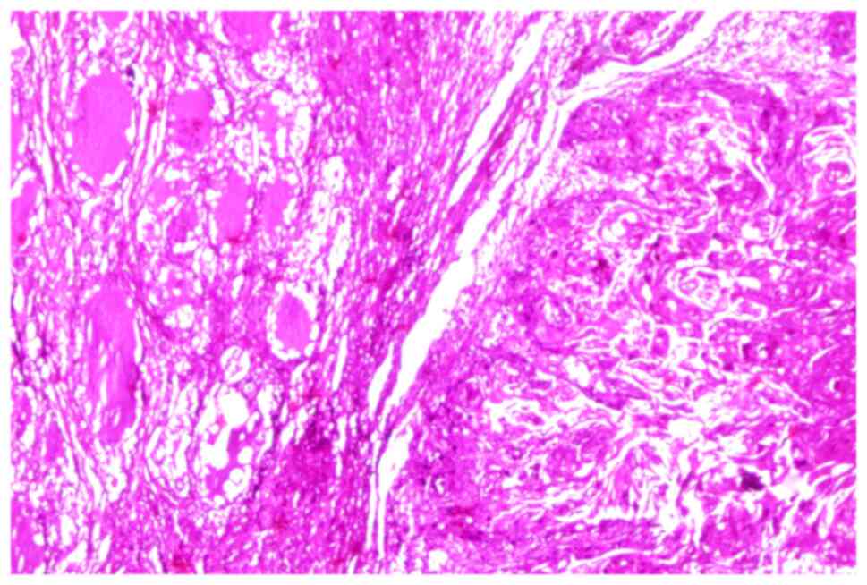
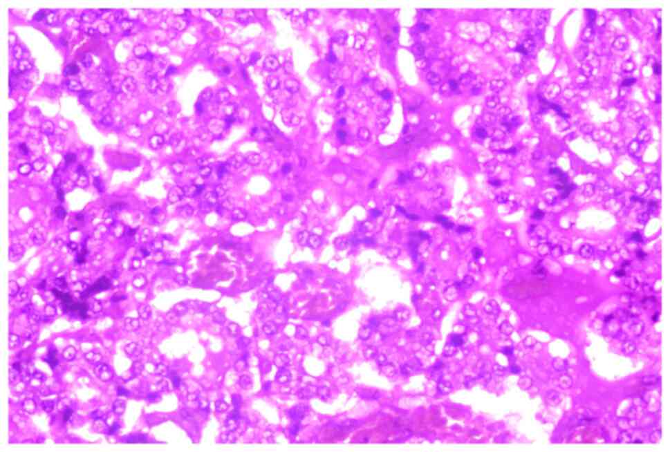
Abstract

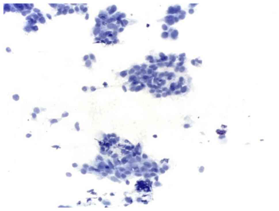
The most common neoplasm of the endocrine system is found in the thyroid gland with a significant increase in recent decades largely due to modern diagnostic methods. Thyroid tumors generally have a favorable evolution, but there are also aggressive variants with a poor prognosis. In these aggressive tumors, the most reliable method of detecting and making a differential diagnosis is represented by ultrasound‑guided fine‑needle cytopuncture, confirmed by histopathological examination. Although fine‑needle aspiration puncture and cytological examination are considered to have a high sensitivity and specificity, diagnostic certainty is established later only by histopathological examination. Fine‑needle aspiration cytopuncture of the thyroid gland correlated with histopathological examination has played a crucial role in recognizing and identifying variants of papillary carcinoma known to have aggressive biological behavior, especially in cases of poorly differentiated carcinoma. Recognition of aggressive variants of papillary carcinoma is of major importance in the prognosis and clinical management of patients. The aim of this study was to present the correlations found in a series of thyroid tumors from patients treated in surgery and oncology departments, as well as tumors accidentally detected during autopsies in the department of forensics. All the cases selected in the study benefited from a complex histopathological diagnosis adapted to each case in order to ensure maximum efficiency.
View Figures

Figure 1

Figure 2

Figure 3

Figure 4

Figure 5

Figure 6

View References

1 

Ramirez-Gonzalez LR, Sevilla-Vizcaino R, Monge-Reyes P, Aldaz-Dorantes JE, Marquez-Valdez AR, Garcia-Martinez D, Gonzalez-Ojeda A and Fuentes-Orozco C: Findings of thyroid nodules in autopsies in Western Mexico. Rev Med Inst Mex Seguro Soc. 55:594–598. 2017.PubMed/NCBI(In Spanish).

2 

Vaideeswar P, Singaravel S and Gupte P: The thyroid in ischemic heart disease: An autopsy study. Indian Heart J. 70 (Suppl 3):S489–S491. 2018.PubMed/NCBI View Article : Google Scholar

3 

Davies L, Morris LG, Haymart M, Chen AY, Goldenberg D, Morris J, Ogilvie JB, Terris DJ, Netterville J, Wong RJ, et al: American association of clinical endocrinologists and American college of endocrinology disease state clinical review: The increasing incidence of thyroid cancer. Endocr Pract. 21:686–696. 2015.PubMed/NCBI View Article : Google Scholar

4 

Milas Z, Shin J and Milas M: New guidelines for the management of thyroid nodules and differentiated thyroid cancer. Minerva Endocrinol. 36:53–70. 2011.PubMed/NCBI

5 

Mohorea IS, Socea B, Şerban D, Ceausu Z, Tulin A, Melinte V and Ceausu M: Incidence of thyroid carcinomas in an extended retrospective study of 526 autopsies. Exp Ther Med. 21(607)2021.PubMed/NCBI View Article : Google Scholar

6 

Kaliszewski K, Zubkiewicz-Kucharska A, Kiełb P, Maksymowicz J, Krawczyk A and Krawiec O: Comparison of the prevalence of incidental and non-incidental papillary thyroid microcarcinoma during 2008-2016: A single-center experience. World J Surg Oncol. 16(202)2018.PubMed/NCBI View Article : Google Scholar

7 

Slijepcevic N, Zivaljevic V, Marinkovic J, Sipetic S, Diklic A and Paunovic I: Retrospective evaluation of the incidental finding of 403 papillary thyroid microcarcinomas in 2466 patients undergoing thyroid surgery for presumed benign thyroid disease. BMC Cancer. 15(330)2015.PubMed/NCBI View Article : Google Scholar

8 

Park SY, Jung YS, Ryu CH, Lee CY, Lee YJ, Lee EK, Kim SK, Kim TS, Kim TH, Jang J, et al: Identification of occult tumors by whole-specimen mapping in solitary papillary thyroid carcinoma. Endocr Relat Cancer. 22:679–686. 2015.PubMed/NCBI View Article : Google Scholar

9 

Lee YS, Lim H, Chang HS and Park CS: Papillary thyroid microcarcinomas are different from latent papillary thyroid carcinomas at autopsy. J Korean Med Sci. 29:676–679. 2014.PubMed/NCBI View Article : Google Scholar

10 

Janovsky CCPS, Bittencourt MS, Novais MAP, Maciel RMB, Biscolla RPM and Zucchi P: Thyroid cancer burden and economic impact on the Brazilian public health system. Arch Endocrinol Metab. 62:537–544. 2018.PubMed/NCBI View Article : Google Scholar

11 

Miyauchi A, Ito Y and Oda H: Insights into the management of papillary microcarcinoma of the thyroid. Thyroid. 28:23–31. 2018.PubMed/NCBI View Article : Google Scholar

12 

Huang LY, Lee YL, Chou P, Chiu WY and Chu D: Thyroid fine-needle aspiration biopsy and thyroid cancer diagnosis: A nationwide population-based study. PLoS One. 10(e0127354)2015.PubMed/NCBI View Article : Google Scholar

13 

Rossi ED, Faquin WC and Pantanowitz L: Cytologic features of aggressive variants of follicular-derived thyroid carcinoma. Cancer Cytopathol. 127:432–446. 2019.PubMed/NCBI View Article : Google Scholar

14 

Gupta S, Sodhani P, Jain S and Kumar N: Morphologic spectrum of papillary carcinoma of the thyroid: Role of cytology in identifying the variants. Acta Cytol. 48:795–800. 2004.PubMed/NCBI View Article : Google Scholar

15 

Miftari R, Topçiu V, Nura A and Haxhibeqiri V: Management of the patient with aggressive and resistant papillary thyroid carcinoma. Med Arch. 70:314–317. 2016.PubMed/NCBI View Article : Google Scholar

16 

Alecu L, Slavu I, Tulin A, Braga V, Socea B and Nitipir C: A current view on recurrent laryngeal nerve injury in total thyroidectomy. Mod Med. 28:7–12. 2021.

17 

Lloyd RV, Osamura RY, Klöppel G and Rosai J (eds): WHO Classification of Tumours of Endocrine Organs. Vol 10. 4th edition. International Agency for Research on Cancer, Lyon, 2017.

18 

Leung AK, Chow SM and Law SC: Clinical features and outcome of the tall cell variant of papillary thyroid carcinoma. Laryngoscope. 118:32–38. 2008.PubMed/NCBI View Article : Google Scholar

19 

Guan H, Vandenbussche CJ, Erozan YS, Rosenthal DL, Tatsas AD, Olson MT, Zheng R, Auger M and Ali SZ: Can the tall cell variant of papillary thyroid carcinoma be distinguished from the conventional type in fine needle aspirates? A cytomorphologic study with assessment of diagnostic accuracy. Acta Cytol. 57:534–542. 2013.PubMed/NCBI View Article : Google Scholar

20 

Das DK, Mallik MK, Sharma P, Sheikh ZA, Mathew PA, Sheikh M, Mirza K, Madda JP, Francis IM and Junaid TA: Papillary thyroid carcinoma and its variants in fine needle aspiration smears. A cytomorphologic study with special reference to tall cell variant. Acta Cytol. 48:325–336. 2004.PubMed/NCBI View Article : Google Scholar

21 

Sheu SY, Schwertheim S, Worm K, Grabellus F and Schmid KW: Diffuse sclerosing variant of papillary thyroid carcinoma: Lack of BRAF mutation but occurrence of RET/PTC rearrangements. Mod Pathol. 20:779–787. 2007.PubMed/NCBI View Article : Google Scholar

22 

Lee SH, Jung CK, Bae JS, Jung SL, Choi YJ and Kang CS: Liquid-based cytology improves preoperative diagnostic accuracy of the tall cell variant of papillary thyroid carcinoma. Diagn Cytopathol. 42:11–17. 2014.PubMed/NCBI View Article : Google Scholar

23 

Gupta S, Ajise O, Dultz L, Wang B, Nonaka D, Ogilvie J, Heller KS and Patel KN: Follicular variant of papillary thyroid cancer: Encapsulated, nonencapsulated, and diffuse: Distinct biologic and clinical entities. Arch Otolaryngol Head Neck Surg. 138:227–233. 2012.PubMed/NCBI View Article : Google Scholar

24 

Humphrey PA, Dehner LP, Pfeifer JD, Agarwal A and Al-Kateb H: The Washington Manual of Surgical Pathology. 2nd edition. Lippincott Williams & Wilkins, Philadelphia, pp.410-416, 2012.

25 

Bongiovanni M, Sadow PM and Faquin WC: Poorly differentiated thyroid carcinoma: A cytologic-histologic review. Adv Anat Pathol. 16:283–289. 2009.PubMed/NCBI View Article : Google Scholar

26 

Kane SV and Sharma TP: Cytologic diagnostic approach to poorly differentiated thyroid carcinoma: A single-institution study. Cancer Cytopathol. 123:82–91. 2015.PubMed/NCBI View Article : Google Scholar

27 

Lam AK: Squamous cell carcinoma of thyroid: A unique type of cancer in World Health Organization classification. Endocr Relat Cancer. 27:R177–R192. 2020.PubMed/NCBI View Article : Google Scholar

28 

Hedinger C, Williams ED and Sobin LH (eds): Other carcinomas. In: Histological Typing of Thyroid Tumours (World Health Organ. International Histological Classification of Tumours), 2nd edition, pp. 14-15. Springer, Germany, 1988.

29 

Lam AK: Pathology of endocrine tumors update: World health organization new classification 2017 - other thyroid tumors. AJSP: Rev Rep. 22:209–216. 2017.

Related Articles

  • Abstract
  • View
  • Download
  • Twitter
Copy and paste a formatted citation
Spandidos Publications style
Mohorea I, Terzea D, Mihalache D, Socea B, Şerban D and Ceausu M: Cytomorphological study of thyroid carcinoma. Exp Ther Med 23: 117, 2022.
APA
Mohorea, I., Terzea, D., Mihalache, D., Socea, B., Şerban, D., & Ceausu, M. (2022). Cytomorphological study of thyroid carcinoma. Experimental and Therapeutic Medicine, 23, 117. https://doi.org/10.3892/etm.2021.11040
MLA
Mohorea, I., Terzea, D., Mihalache, D., Socea, B., Şerban, D., Ceausu, M."Cytomorphological study of thyroid carcinoma". Experimental and Therapeutic Medicine 23.2 (2022): 117.
Chicago
Mohorea, I., Terzea, D., Mihalache, D., Socea, B., Şerban, D., Ceausu, M."Cytomorphological study of thyroid carcinoma". Experimental and Therapeutic Medicine 23, no. 2 (2022): 117. https://doi.org/10.3892/etm.2021.11040
Copy and paste a formatted citation
x
Spandidos Publications style
Mohorea I, Terzea D, Mihalache D, Socea B, Şerban D and Ceausu M: Cytomorphological study of thyroid carcinoma. Exp Ther Med 23: 117, 2022.
APA
Mohorea, I., Terzea, D., Mihalache, D., Socea, B., Şerban, D., & Ceausu, M. (2022). Cytomorphological study of thyroid carcinoma. Experimental and Therapeutic Medicine, 23, 117. https://doi.org/10.3892/etm.2021.11040
MLA
Mohorea, I., Terzea, D., Mihalache, D., Socea, B., Şerban, D., Ceausu, M."Cytomorphological study of thyroid carcinoma". Experimental and Therapeutic Medicine 23.2 (2022): 117.
Chicago
Mohorea, I., Terzea, D., Mihalache, D., Socea, B., Şerban, D., Ceausu, M."Cytomorphological study of thyroid carcinoma". Experimental and Therapeutic Medicine 23, no. 2 (2022): 117. https://doi.org/10.3892/etm.2021.11040
Follow us
  • Twitter
  • LinkedIn
  • Facebook
About
  • Spandidos Publications
  • Careers
  • Cookie Policy
  • Privacy Policy
How can we help?
  • Help
  • Live Chat
  • Contact
  • Email to our Support Team