Spandidos Publications Logo
  • About
    • About Spandidos
    • Aims and Scopes
    • Abstracting and Indexing
    • Editorial Policies
    • Reprints and Permissions
    • Job Opportunities
    • Terms and Conditions
    • Contact
  • Journals
    • All Journals
    • Oncology Letters
      • Oncology Letters
      • Information for Authors
      • Editorial Policies
      • Editorial Board
      • Aims and Scope
      • Abstracting and Indexing
      • Bibliographic Information
      • Archive
    • International Journal of Oncology
      • International Journal of Oncology
      • Information for Authors
      • Editorial Policies
      • Editorial Board
      • Aims and Scope
      • Abstracting and Indexing
      • Bibliographic Information
      • Archive
    • Molecular and Clinical Oncology
      • Molecular and Clinical Oncology
      • Information for Authors
      • Editorial Policies
      • Editorial Board
      • Aims and Scope
      • Abstracting and Indexing
      • Bibliographic Information
      • Archive
    • Experimental and Therapeutic Medicine
      • Experimental and Therapeutic Medicine
      • Information for Authors
      • Editorial Policies
      • Editorial Board
      • Aims and Scope
      • Abstracting and Indexing
      • Bibliographic Information
      • Archive
    • International Journal of Molecular Medicine
      • International Journal of Molecular Medicine
      • Information for Authors
      • Editorial Policies
      • Editorial Board
      • Aims and Scope
      • Abstracting and Indexing
      • Bibliographic Information
      • Archive
    • Biomedical Reports
      • Biomedical Reports
      • Information for Authors
      • Editorial Policies
      • Editorial Board
      • Aims and Scope
      • Abstracting and Indexing
      • Bibliographic Information
      • Archive
    • Oncology Reports
      • Oncology Reports
      • Information for Authors
      • Editorial Policies
      • Editorial Board
      • Aims and Scope
      • Abstracting and Indexing
      • Bibliographic Information
      • Archive
    • Molecular Medicine Reports
      • Molecular Medicine Reports
      • Information for Authors
      • Editorial Policies
      • Editorial Board
      • Aims and Scope
      • Abstracting and Indexing
      • Bibliographic Information
      • Archive
    • World Academy of Sciences Journal
      • World Academy of Sciences Journal
      • Information for Authors
      • Editorial Policies
      • Editorial Board
      • Aims and Scope
      • Abstracting and Indexing
      • Bibliographic Information
      • Archive
    • International Journal of Functional Nutrition
      • International Journal of Functional Nutrition
      • Information for Authors
      • Editorial Policies
      • Editorial Board
      • Aims and Scope
      • Abstracting and Indexing
      • Bibliographic Information
      • Archive
    • International Journal of Epigenetics
      • International Journal of Epigenetics
      • Information for Authors
      • Editorial Policies
      • Editorial Board
      • Aims and Scope
      • Abstracting and Indexing
      • Bibliographic Information
      • Archive
    • Medicine International
      • Medicine International
      • Information for Authors
      • Editorial Policies
      • Editorial Board
      • Aims and Scope
      • Abstracting and Indexing
      • Bibliographic Information
      • Archive
  • Articles
  • Information
    • Information for Authors
    • Information for Reviewers
    • Information for Librarians
    • Information for Advertisers
    • Conferences
  • Language Editing
Spandidos Publications Logo
  • About
    • About Spandidos
    • Aims and Scopes
    • Abstracting and Indexing
    • Editorial Policies
    • Reprints and Permissions
    • Job Opportunities
    • Terms and Conditions
    • Contact
  • Journals
    • All Journals
    • Biomedical Reports
      • Information for Authors
      • Editorial Policies
      • Editorial Board
      • Aims and Scope
      • Abstracting and Indexing
      • Bibliographic Information
      • Archive
    • Experimental and Therapeutic Medicine
      • Information for Authors
      • Editorial Policies
      • Editorial Board
      • Aims and Scope
      • Abstracting and Indexing
      • Bibliographic Information
      • Archive
    • International Journal of Epigenetics
      • Information for Authors
      • Editorial Policies
      • Editorial Board
      • Aims and Scope
      • Abstracting and Indexing
      • Bibliographic Information
      • Archive
    • International Journal of Functional Nutrition
      • Information for Authors
      • Editorial Policies
      • Editorial Board
      • Aims and Scope
      • Abstracting and Indexing
      • Bibliographic Information
      • Archive
    • International Journal of Molecular Medicine
      • Information for Authors
      • Editorial Policies
      • Editorial Board
      • Aims and Scope
      • Abstracting and Indexing
      • Bibliographic Information
      • Archive
    • International Journal of Oncology
      • Information for Authors
      • Editorial Policies
      • Editorial Board
      • Aims and Scope
      • Abstracting and Indexing
      • Bibliographic Information
      • Archive
    • Medicine International
      • Information for Authors
      • Editorial Policies
      • Editorial Board
      • Aims and Scope
      • Abstracting and Indexing
      • Bibliographic Information
      • Archive
    • Molecular and Clinical Oncology
      • Information for Authors
      • Editorial Policies
      • Editorial Board
      • Aims and Scope
      • Abstracting and Indexing
      • Bibliographic Information
      • Archive
    • Molecular Medicine Reports
      • Information for Authors
      • Editorial Policies
      • Editorial Board
      • Aims and Scope
      • Abstracting and Indexing
      • Bibliographic Information
      • Archive
    • Oncology Letters
      • Information for Authors
      • Editorial Policies
      • Editorial Board
      • Aims and Scope
      • Abstracting and Indexing
      • Bibliographic Information
      • Archive
    • Oncology Reports
      • Information for Authors
      • Editorial Policies
      • Editorial Board
      • Aims and Scope
      • Abstracting and Indexing
      • Bibliographic Information
      • Archive
    • World Academy of Sciences Journal
      • Information for Authors
      • Editorial Policies
      • Editorial Board
      • Aims and Scope
      • Abstracting and Indexing
      • Bibliographic Information
      • Archive
  • Articles
  • Information
    • For Authors
    • For Reviewers
    • For Librarians
    • For Advertisers
    • Conferences
  • Language Editing
Login Register Submit
  • This site uses cookies
  • You can change your cookie settings at any time by following the instructions in our Cookie Policy. To find out more, you may read our Privacy Policy.

    I agree
Search articles by DOI, keyword, author or affiliation
Search
Advanced Search
presentation
Experimental and Therapeutic Medicine
Join Editorial Board Propose a Special Issue
Print ISSN: 1792-0981 Online ISSN: 1792-1015
Journal Cover
March-2021 Volume 21 Issue 3

Full Size Image

Sign up for eToc alerts
Recommend to Library

Journals

International Journal of Molecular Medicine

International Journal of Molecular Medicine

International Journal of Molecular Medicine is an international journal devoted to molecular mechanisms of human disease.

International Journal of Oncology

International Journal of Oncology

International Journal of Oncology is an international journal devoted to oncology research and cancer treatment.

Molecular Medicine Reports

Molecular Medicine Reports

Covers molecular medicine topics such as pharmacology, pathology, genetics, neuroscience, infectious diseases, molecular cardiology, and molecular surgery.

Oncology Reports

Oncology Reports

Oncology Reports is an international journal devoted to fundamental and applied research in Oncology.

Experimental and Therapeutic Medicine

Experimental and Therapeutic Medicine

Experimental and Therapeutic Medicine is an international journal devoted to laboratory and clinical medicine.

Oncology Letters

Oncology Letters

Oncology Letters is an international journal devoted to Experimental and Clinical Oncology.

Biomedical Reports

Biomedical Reports

Explores a wide range of biological and medical fields, including pharmacology, genetics, microbiology, neuroscience, and molecular cardiology.

Molecular and Clinical Oncology

Molecular and Clinical Oncology

International journal addressing all aspects of oncology research, from tumorigenesis and oncogenes to chemotherapy and metastasis.

World Academy of Sciences Journal

World Academy of Sciences Journal

Multidisciplinary open-access journal spanning biochemistry, genetics, neuroscience, environmental health, and synthetic biology.

International Journal of Functional Nutrition

International Journal of Functional Nutrition

Open-access journal combining biochemistry, pharmacology, immunology, and genetics to advance health through functional nutrition.

International Journal of Epigenetics

International Journal of Epigenetics

Publishes open-access research on using epigenetics to advance understanding and treatment of human disease.

Medicine International

Medicine International

An International Open Access Journal Devoted to General Medicine.

Journal Cover
March-2021 Volume 21 Issue 3

Full Size Image

Sign up for eToc alerts
Recommend to Library

  • Article
  • Citations
    • Cite This Article
    • Download Citation
    • Create Citation Alert
    • Remove Citation Alert
    • Cited By
  • Similar Articles
    • Related Articles (in Spandidos Publications)
    • Similar Articles (Google Scholar)
    • Similar Articles (PubMed)
  • Download PDF
  • Download XML
  • View XML

  • Supplementary Files
    • Supplementary_Data.pdf
Article

Prognostic value of using glucosylceramide synthase and cytochrome P450 family 1 subfamily A1 expression levels for patients with triple‑negative breast cancer following neoadjuvant chemotherapy

  • Authors:
    • Jiannan Liu
    • Shuhua Wang
    • Congcong Wang
    • Xiangshuo Kong
    • Ping Sun
  • View Affiliations / Copyright

    Affiliations: Department of Oncology, Yantai Yuhuangding Hospital, Yantai, Shandong 264000, P.R. China, Department of Medical Record Information, Yantai Yuhuangding Hospital, Yantai, Shandong 264000, P.R. China
  • Article Number: 247
    |
    Published online on: January 22, 2021
       https://doi.org/10.3892/etm.2021.9678
  • Expand metrics +
Metrics: Total Views: 0 (Spandidos Publications: | PMC Statistics: )
Metrics: Total PDF Downloads: 0 (Spandidos Publications: | PMC Statistics: )
Cited By (CrossRef): 0 citations Loading Articles...

This article is mentioned in:



Abstract

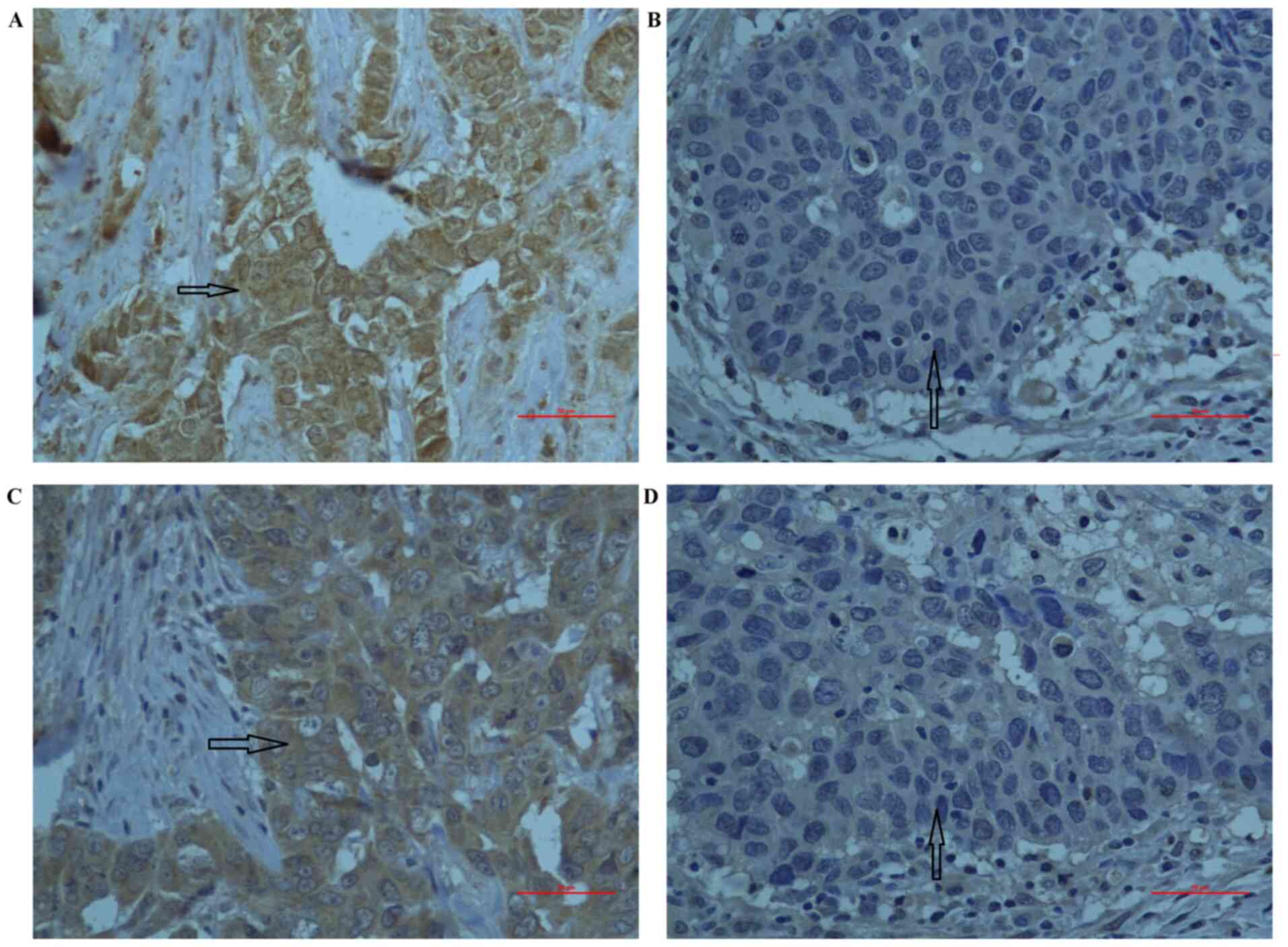
Neoadjuvant chemotherapy (NACT) has been considered to be the preferred treatment option for early operable triple‑negative breast cancer (TNBC). However, resistance to drugs remains to be the barrier to the efficacy of NACT. Glucosylceramide synthase (GCS) and cytochrome P450 family 1 subfamily A1 (CYP1A1) have been previously associated with drug resistance in breast cancer. The present study aimed to explore whether the expression levels of GCS and/or CYP1A1 are associated with the prognosis of TNBC after NACT. Immunohistochemistry was used to detect and measure GCS and CYP1A1 expression. Associations between GCS or CYP1A1 expression and the clinicopathological characteristics, pathological complete response (pCR), clinical complete response (cCR) and disease‑free survival (DFS) were analyzed. GCS expression was found to be associated with tumor size (P=0.021) and TNM staging (P=0.042), whilst CYP1A1 expression was associated with lymph node metastasis (P = 0.026) and TNM staging (P=0.034). The expression levels of GCS (P=0.024) and CYP1A1 (P=0.027) were upregulated after NACT. GCS and CYP1A1 expression were positively correlated (P=0.003; r=0.327). No difference was observed between the GCS+ (P=0.188) or CYP1A1+ group (P=0.073) and the GCS‑ or CYP1A1‑ group in terms of pCR. However, compared with that in the GCS+CYP1A1+ group, the pCR was markedly increased in the GCS‑CYP1A1‑ group (P=0.031). The cCR was lower in the GCS+ (P=0.021) and CYP1A1+ groups (P=0.016) compared with in the GCS‑ or CYP1A1‑ group. The DFS rate (57.9 vs. 65.4%; P=0.049) was lower in the GCS+CYP1A1+ group compared with that in the GCS‑CYP1A1‑ group. However, there was no statistical significance after P‑value was adjusted for multiple comparisons using Bonferroni correction. In conclusion, co‑expression of GCS and CYP1A1 was associated with pCR and DFS in TNBC, which may serve a role in the prediction of the prognosis of patients with TNBC following treatment with NACT.
View Figures

Figure 1

Figure 2

Figure 3

View References

1 

Allemani C, Weir HK, Carreira H, Harewood R, Spika D, Wang XS, Bannon F, Ahn JV, Johnson CJ, Bonaventure A, et al: Global surveillance of cancer survival 1995-2009: Analysis of individual data for 25,676,887 patients from 279 population-based registries in 67 countries (CONCORD-2). Lancet. 385:977–1010. 2015.PubMed/NCBI View Article : Google Scholar

2 

Pareja F and Reis-Filho JS: Triple-negative breast cancers-a panoply of cancer types. Nat Rev Clin Oncol. 15:347–348. 2018.PubMed/NCBI View Article : Google Scholar

3 

Wolff AC, Hammond MEH, Allison KH, Harvey BE, Mangu PB, Bartlett JMS, Bilous M, Ellis IO, Fitzgibbons P, Hanna W, et al: Human epidermal growth factor receptor 2 testing in breast cancer: American society of clinical oncology/college of american pathologists clinical practice guideline focused update. J Clin Oncol. 36:2105–2122. 2018.PubMed/NCBI View Article : Google Scholar

4 

Keenan TE and Tolaney SM: Role of immunotherapy in triple-negative breast cancer. J Natl Compr Canc Netw. 18:479–489. 2020.PubMed/NCBI View Article : Google Scholar

5 

Garrido-Castro AC, Lin NU and Polyak K: Insights into molecular classifications of triple-negative breast cancer: Improving patient selection for treatment. Cancer Discov. 9:176–198. 2019.PubMed/NCBI View Article : Google Scholar

6 

Chaudhary LN, Wilkinson KH and Kong A: Triple-negative breast cancer: Who should receive neoadjuvant chemotherapy? Surg Oncol Clin N Am. 27:141–153. 2018.PubMed/NCBI View Article : Google Scholar

7 

Lebert JM, Lester R, Powell E, Seal M and McCarthy J: Advances in the systemic treatment of triple-negative breast cancer. Curr Oncol. 25 (Suppl 1):S142–S150. 2018.PubMed/NCBI View Article : Google Scholar

8 

Asaoka M, Narui K, Suganuma N, Chishima T, Yamada A, Sugae S, Kawai S, Uenaka N, Teraoka S, Miyahara K, et al: Clinical and pathological predictors of recurrence in breast cancer patients achieving pathological complete response to neoadjuvant chemotherapy. Eur J Surg Oncol. 45:2289–2294. 2019.PubMed/NCBI View Article : Google Scholar

9 

De Mattos-Arruda L, Shen R, Reis-Filho JS and Cortés J: Translating neoadjuvant therapy into survival benefits: One size does not fit all. Nat Rev Clin Oncol. 13:566–579. 2016.PubMed/NCBI View Article : Google Scholar

10 

Walsh EM, Shalaby A, O'Loughlin M, Keane N, Webber MJ, Kerin MJ, Keane MM, Glynn SA and Callagy GM: Outcome for triple negative breast cancer in a retrospective cohort with an emphasis on response to platinum-based neoadjuvant therapy. Breast Cancer Res Treat. 174:1–13. 2019.PubMed/NCBI View Article : Google Scholar

11 

Telli ML, Timms KM, Reid J, Hennessy B, Mills GB, Jensen KC, Szallasi Z, Barry WT, Winer EP, Tung NM, et al: Homologous recombination deficiency (HRD) score predicts response to platinum-containing neoadjuvant chemotherapy in patients with triple-negative breast cancer. Clin Cancer Res. 22:3764–3773. 2016.PubMed/NCBI View Article : Google Scholar

12 

Ryspayeva D, Lyashenko A, Dosenko I, Kostryba O, Koshyk O, Krotevych M and Smolanka I: Predictive factors of pathological response to neoadjuvant chemotherapy in patients with breast cancer. J BUON. 25:168–175. 2020.PubMed/NCBI

13 

von Minckwitz G, Untch M, Blohmer JU, Costa SD, Eidtmann H, Fasching PA, Gerber B, Eiermann W, Hilfrich J, Huober J, et al: Definition and impact of pathologic complete response on prognosis after neoadjuvant chemotherapy in various intrinsic breast cancer subtypes. J Clin Oncol. 30:1796–1804. 2012.PubMed/NCBI View Article : Google Scholar

14 

Miyashita M and Ishida T: Prospect of immunotherapy in neoadjuvant/adjuvant treatment for early breast cancer. Chin Clin Oncol. 9(28)2020.PubMed/NCBI View Article : Google Scholar

15 

Loibl S, Weber KE, Timms KM, Elkin EP, Hahnen E, Fasching PA, Lederer B, Denkert C, Schneeweiss A, Braun S, et al: Survival analysis of carboplatin added to an anthracycline/taxane-based neoadjuvant chemotherapy and HRD score as predictor of response-final results from GeparSixto. Ann Oncol. 29:2341–2347. 2018.PubMed/NCBI View Article : Google Scholar

16 

Mohammed AA, Elsayed FM, Algazar M, Rashed HE and Anter AH: Neoadjuvant chemotherapy in triple negative breast cancer: Correlation between androgen receptor expression and pathological response. Asian Pac J Cancer Prev. 21:563–568. 2020.PubMed/NCBI View Article : Google Scholar

17 

Xu HB, Xu LZ, Li L, Fu J and Mao XP: Reversion of P-glycoprotein-mediated multidrug resistance by guggulsterone in multidrug-resistant human cancer cell lines. Eur J Pharmacol. 694:39–44. 2012.PubMed/NCBI View Article : Google Scholar

18 

Liu YY, Patwardhan GA, Xie P, Gu X, Giuliano AE and Cabot MC: Glucosylceramide synthase, a factor in modulating drug resistance, is overexpressed in metastatic breast carcinoma. Int J Oncol. 39:425–431. 2011.PubMed/NCBI View Article : Google Scholar

19 

Sun Y, Zhang T, Gao P, Meng B, Gao Y, Wang X, Zhang J, Wang H, Wu X, Zheng W and Zhou G: Targeting glucosylceramide synthase downregulates expression of the multidrug resistance gene MDR1 and sensitizes breast carcinoma cells to anticancer drugs. Breast Cancer Res Treat. 121:591–599. 2010.PubMed/NCBI View Article : Google Scholar

20 

Itoh M, Kitano T, Watanabe M, Kondo T, Yabu T, Taguchi Y, Iwai K, Tashima M, Uchiyama T and Okazaki T: Possible role of ceramide as an indicator of chemoresistance: Decrease of the ceramide content via activation of glucosylceramide synthase and sphingomyelin synthase in chemoresistant leukemia. Clin Cancer Res. 9:415–423. 2003.PubMed/NCBI

21 

Boojar MMA, Boojar MMA, Golmohammad S and Bahrehbar I: Data on cell survival, apoptosis, ceramide metabolism and oxidative stress in A-494 renal cell carcinoma cell line treated with hesperetin and hesperetin-7-O-acetate. Data Brief. 20:596–601. 2018.PubMed/NCBI View Article : Google Scholar

22 

Zhang X, Wu X, Su P, Gao Y, Meng B, Sun Y, Li L, Zhou Z and Zhou G: Doxorubicin influences the expression of glucosylceramide synthase in invasive ductal breast cancer. PLoS One. 7(e48492)2012.PubMed/NCBI View Article : Google Scholar

23 

Liu J, Sun P and Sun Y, Liu A, You D, Jiang F and Sun Y: Expression of glucosylceramide synthase in invasive ductal breast cancer may be correlated with high estrogen receptor status and low HER-2 status. Diagn Pathol. 9(22)2014.PubMed/NCBI View Article : Google Scholar

24 

Harbeck N and Gluz O: Neoadjuvant therapy for triple negative and HER2-positive early breast cancer. Breast. 34 (Suppl 1):S99–S103. 2017.PubMed/NCBI View Article : Google Scholar

25 

Michael M and Doherty MM: Tumoral drug metabolism: Overview and its implications for cancer therapy. J Clin Oncol. 23:205–229. 2005.PubMed/NCBI View Article : Google Scholar

26 

Runge D, Köhler C, Kostrubsky VE, Jäger D, Lehmann T, Runge DM, May U, Stolz DB, Strom SC, Fleig WE and Michalopoulos GK: Induction of cytochrome P450 (CYP)1A1, CYP1A2, and CYP3A4 but not of CYP2C9, CYP2C19, multidrug resistance (MDR-1) and multidrug resistance associated protein (MRP-1) by prototypical inducers in human hepatocytes. Biochem Biophys Res Commun. 273:333–341. 2000.PubMed/NCBI View Article : Google Scholar

27 

Yan YE, Wang H and Feng YH: Alterations of placental cytochrome P450 1A1 and P-glycoprotein in tobacco-induced intrauterine growth retardation in rats. Acta Pharmacol Sin. 26:1387–1394. 2005.PubMed/NCBI View Article : Google Scholar

28 

Zhang J, Song J, Liang X, Yin Y, Zuo T, Chen D and Shen Q: Hyaluronic acid-modified cationic nanoparticles overcome enzyme CYP1B1-mediated breast cancer multidrug resistance. Nanomedicine (Lond). 14:447–464. 2019.PubMed/NCBI View Article : Google Scholar

29 

Sorf A, Hofman J, Kučera R, Staud F and Ceckova M: Ribociclib shows potential for pharmacokinetic drug-drug interactions being a substrate of ABCB1 and potent inhibitor of ABCB1, ABCG2 and CYP450 isoforms in vitro. Biochem Pharmacol. 154:10–17. 2018.PubMed/NCBI View Article : Google Scholar

30 

Chen Y, Huang W, Chen F, Hu G, Li F, Li J and Xuan A: Pregnane X receptors regulate CYP2C8 and P-glycoprotein to impact on the resistance of NSCLC cells to Taxol. Cancer Med. 5:3564–3571. 2016.PubMed/NCBI View Article : Google Scholar

31 

Yu KD, Liu GY, Zhou XY, Zhou Y, Wu J, Chen CM, Shen ZZ and Shao ZM: Association of HER-2 copy number and HER-2/CEP-17 ratio with neoadjuvant taxane-containing chemotherapy sensitivity in locally advanced breast cancer. Oncologist. 17:792–800. 2012.PubMed/NCBI View Article : Google Scholar

32 

Azam F, Latif MF, Farooq A, Tirmazy SH, AlShahrani S, Bashir S and Bukhari N: Performance status assessment by using ECOG (Eastern cooperative oncology group) score for cancer patients by oncology healthcare professionals. Case Rep Oncol. 12:728–736. 2019.PubMed/NCBI View Article : Google Scholar

33 

Zaheed M, Wilcken N, Willson ML, O'Connell DL and Goodwin A: Sequencing of anthracyclines and taxanes in neoadjuvant and adjuvant therapy for early breast cancer. Cochrane Database Syst Rev. 2(Cd012873)2019.PubMed/NCBI View Article : Google Scholar

34 

Rastogi P, Anderson SJ, Bear HD, Geyer CE, Kahlenberg MS, Robidoux A, Margolese RG, Hoehn JL, Vogel VG, Dakhil SR, et al: Preoperative chemotherapy: Updates of national surgical adjuvant breast and bowel project protocols B-18 and B-27. J Clin Oncol. 26:778–785. 2008.PubMed/NCBI View Article : Google Scholar

35 

Nakatsukasa K, Koyama H, Oouchi Y, Imanishi S, Mizuta N, Sakaguchi K, Fujita Y, Fujiwara I, Kotani T, Matsuda T, et al: Docetaxel and cyclophosphamide as neoadjuvant chemotherapy in HER2-negative primary breast cancer. Breast Cancer. 24:63–68. 2017.PubMed/NCBI View Article : Google Scholar

36 

Schneeweiss A, Möbus V, Tesch H, Hanusch C, Denkert C, Lübbe K, Huober J, Klare P, Kümmel S, Untch M, et al: Intense dose-dense epirubicin, paclitaxel, cyclophosphamide versus weekly paclitaxel, liposomal doxorubicin (plus carboplatin in triple-negative breast cancer) for neoadjuvant treatment of high-risk early breast cancer (GeparOcto-GBG 84): A randomised phase III trial. Eur J Cancer. 106:181–192. 2019.PubMed/NCBI View Article : Google Scholar

37 

Jang N, Choi JE, Kang SH and Bae YK: Validation of the pathological prognostic staging system proposed in the revised eighth edition of the AJCC staging manual in different molecular subtypes of breast cancer. Virchows Arch. 474:193–200. 2019.PubMed/NCBI View Article : Google Scholar

38 

Cortazar P and Geyer CE Jr: Pathological complete response in neoadjuvant treatment of breast cancer. Ann Surg Oncol. 22:1441–1446. 2015.PubMed/NCBI View Article : Google Scholar

39 

Ghobrial FEI, Eldin MS, Razek AAKA, Atwan NI and Shamaa SSA: Computed tomography assessment of hepatic metastases of breast cancer with revised response evaluation criteria in solid tumors (RECIST) criteria (version 1.1): Inter-observer agreement. Pol J Radiol. 82:593–597. 2017.PubMed/NCBI View Article : Google Scholar

40 

Al-Dhfyan A, Alhoshani A and Korashy HM: Aryl hydrocarbon receptor/cytochrome P450 1A1 pathway mediates breast cancer stem cells expansion through PTEN inhibition and beta-catenin and Akt activation. Mol Cancer. 16(14)2017.PubMed/NCBI View Article : Google Scholar

41 

Liu J, Zhang X, Liu A, Zhang D, Su Y, Liu Y, You D, Yuan L, Kong X, Wang X and Sun P: Altered methylation of glucosylceramide synthase promoter regulates its expression and associates with acquired multidrug resistance in invasive ductal breast cancer. Oncotarget. 7:36755–36766. 2016.PubMed/NCBI View Article : Google Scholar

42 

Livak KJ and Schmittgen TD: Analysis of relative gene expression data using real-time quantitative PCR and the 2(-Delta Delta C(T)) method. Methods. 25:402–408. 2001.PubMed/NCBI View Article : Google Scholar

43 

Yam C, Mani SA and Moulder SL: Targeting the molecular subtypes of triple negative breast cancer: Understanding the diversity to progress the field. Oncologist. 22:1086–1093. 2017.PubMed/NCBI View Article : Google Scholar

44 

Ozaki A, Takita M and Tanimoto T: A call for improved transparency in financial aspects of clinical trials: A case study of the CREATE-X trial in the New England journal of medicine. invest New Drugs. 36:517–522. 2018.PubMed/NCBI View Article : Google Scholar

45 

Pusztai L, Foldi J, Dhawan A, DiGiovanna MP and Mamounas EP: Changing frameworks in treatment sequencing of triple-negative and HER2-positive, early-stage breast cancers. Lancet Oncol. 20:e390–e396. 2019.PubMed/NCBI View Article : Google Scholar

46 

Diana A, Carlino F, Franzese E, Oikonomidou O, Criscitiello C, De Vita F, Ciardiello F and Orditura M: Early triple negative breast cancer: Conventional treatment and emerging therapeutic landscapes. Cancers (Basel). 12(819)2020.PubMed/NCBI View Article : Google Scholar

47 

Barton MK: Bevacizumab in neoadjuvant chemotherapy increases the pathological complete response rate in patients with triple-negative breast cancer. CA Cancer J Clin. 64:155–156. 2014.PubMed/NCBI View Article : Google Scholar

48 

Schmid P, Salgado R, Park YH, Muñoz-Couselo E, Kim SB, Sohn J, Im SA, Foukakis T, Kuemmel S, Dent R, et al: Pembrolizumab plus chemotherapy as neoadjuvant treatment of high-risk, early-stage triple-negative breast cancer: Results from the phase 1b open-label, multicohort KEYNOTE-173 study. Ann Oncol. 31:569–581. 2020.PubMed/NCBI View Article : Google Scholar

49 

Garufi G, Palazzo A, Paris I, Orlandi A, Cassano A, Tortora G, Scambia G, Bria E and Carbognin L: Neoadjuvant therapy for triple-negative breast cancer: Potential predictive biomarkers of activity and efficacy of platinum chemotherapy, PARP- and immune-checkpoint-inhibitors. Expert Opin Pharmacother. 21:687–699. 2020.PubMed/NCBI View Article : Google Scholar

50 

Wang RX, Chen S, Jin X and Shao ZM: Value of Ki-67 expression in triple-negative breast cancer before and after neoadjuvant chemotherapy with weekly paclitaxel plus carboplatin. Sci Rep. 6(30091)2016.PubMed/NCBI View Article : Google Scholar

51 

Carey LA, Dees EC, Sawyer L, Gatti L, Moore DT, Collichio F, Ollila DW, Sartor CI, Graham ML and Perou CM: The triple negative paradox: Primary tumor chemosensitivity of breast cancer subtypes. Clin Cancer Res. 13:2329–2334. 2007.PubMed/NCBI View Article : Google Scholar

52 

Sano H, Wada S, Eguchi H, Osaki A, Saeki T and Nishiyama M: Quantitative prediction of tumor response to neoadjuvant chemotherapy in breast cancer: Novel marker genes and prediction model using the expression levels. Breast Cancer. 19:37–45. 2012.PubMed/NCBI View Article : Google Scholar

53 

Nøhr-Nielsen A, Bagger SO, Brünner N, Stenvang J and Lund TM: Pharmacodynamic modelling reveals synergistic interaction between docetaxel and SCO-101 in a docetaxel-resistant triple negative breast cancer cell line. Eur J Pharm Sci. 148(105315)2020.PubMed/NCBI View Article : Google Scholar

54 

Zhang X, Li J, Qiu Z, Gao P, Wu X and Zhou G: Co-suppression of MDR1 (multidrug resistance 1) and GCS (glucosylceramide synthase) restores sensitivity to multidrug resistance breast cancer cells by RNA interference (RNAi). Cancer Biol Ther. 8:1117–1121. 2009.PubMed/NCBI View Article : Google Scholar

55 

Weiss J, Gajek T, Köhler BC and Haefeli WE: Venetoclax (ABT-199) might act as a perpetrator in pharmacokinetic drug-drug interactions. Pharmaceutics. 8(5)2016.PubMed/NCBI View Article : Google Scholar

56 

Liu YY, Gupta V, Patwardhan GA, Bhinge K, Zhao Y, Bao J, Mehendale H, Cabot MC, Li YT and Jazwinski SM: Glucosylceramide synthase upregulates MDR1 expression in the regulation of cancer drug resistance through cSrc and beta-catenin signaling. Mol Cancer. 9(145)2010.PubMed/NCBI View Article : Google Scholar

57 

Kivistö KT, Kroemer HK and Eichelbaum M: The role of human cytochrome P450 enzymes in the metabolism of anticancer agents: Implications for drug interactions. Br J Clin Pharmacol. 40:523–530. 1995.PubMed/NCBI View Article : Google Scholar

58 

Reed L, Arlt VM and Phillips DH: The role of cytochrome P450 enzymes in carcinogen activation and detoxication: An in vivo-in vitro paradox. Carcinogenesis. 39:851–859. 2018.PubMed/NCBI View Article : Google Scholar

59 

Wilson A, Urquhart BL, Ponich T, Chande N, Gregor JC, Beaton M and Kim RB: Crohn's disease is associated with decreased CYP3A4 and P-glycoprotein protein expression. Mol Pharm. 16:4059–4064. 2019.PubMed/NCBI View Article : Google Scholar

60 

Stiborová M, Martínek V, Rýdlová H, Koblas T and Hodek P: Expression of cytochrome P450 1A1 and its contribution to oxidation of a potential human carcinogen 1-phenylazo-2-naphthol (Sudan I) in human livers. Cancer Lett. 220:145–154. 2005.PubMed/NCBI View Article : Google Scholar

61 

Wang H and Wang WJ: Relationship between CYP1A1 polymorphisms and invasion and metastasis of breast cancer. Asian Pac J Trop Med. 6:835–838. 2013.PubMed/NCBI View Article : Google Scholar

62 

Hafeez S, Ahmed A, Rashid AZ and Kayani MA: Down-regulation of CYP1A1 expression in breast cancer. Asian Pac J Cancer Prev. 13:1757–1760. 2012.PubMed/NCBI View Article : Google Scholar

63 

Symmans WF, Peintinger F, Hatzis C, Rajan R, Kuerer H, Valero V, Assad L, Poniecka A, Hennessy B, Green M, et al: Measurement of residual breast cancer burden to predict survival after neoadjuvant chemotherapy. J Clin Oncol. 25:4414–4422. 2007.PubMed/NCBI View Article : Google Scholar

64 

Wang RX, Ji P, Gong Y, Shao ZM and Chen S: Value of CXCL8-CXCR1/2 axis in neoadjuvant chemotherapy for triple-negative breast cancer patients: A retrospective pilot study. Breast Cancer Res Treat. 181:561–570. 2020.PubMed/NCBI View Article : Google Scholar

65 

Dan J, Tan J, Huang J, Zhang X, Guo Y, Huang Y and Yang J: The dynamic change of neutrophil to lymphocyte ratio is predictive of pathological complete response after neoadjuvant chemotherapy in breast cancer patients. Breast Cancer. 27:982–988. 2020.PubMed/NCBI View Article : Google Scholar

66 

Ochi T, Bianchini G, Ando M, Nozaki F, Kobayashi D, Criscitiello C, Curigliano G, Iwamoto T, Niikura N, Takei H, et al: Predictive and prognostic value of stromal tumour-infiltrating lymphocytes before and after neoadjuvant therapy in triple negative and HER2-positive breast cancer. Eur J Cancer. 118:41–48. 2019.PubMed/NCBI View Article : Google Scholar

67 

Sikov WM, Berry DA, Perou CM, Singh B, Cirrincione CT, Tolaney SM, Kuzma CS, Pluard TJ, Somlo G, Port ER, et al: Impact of the addition of carboplatin and/or bevacizumab to neoadjuvant once-per-week paclitaxel followed by dose-dense doxorubicin and cyclophosphamide on pathologic complete response rates in stage II to III triple-negative breast cancer: CALGB 40603 (Alliance). J Clin Oncol. 33:13–21. 2015.PubMed/NCBI View Article : Google Scholar

Related Articles

  • Abstract
  • View
  • Download
  • Twitter
Copy and paste a formatted citation
Spandidos Publications style
Liu J, Wang S, Wang C, Kong X and Sun P: Prognostic value of using glucosylceramide synthase and cytochrome P450 family 1 subfamily A1 expression levels for patients with triple‑negative breast cancer following neoadjuvant chemotherapy. Exp Ther Med 21: 247, 2021.
APA
Liu, J., Wang, S., Wang, C., Kong, X., & Sun, P. (2021). Prognostic value of using glucosylceramide synthase and cytochrome P450 family 1 subfamily A1 expression levels for patients with triple‑negative breast cancer following neoadjuvant chemotherapy. Experimental and Therapeutic Medicine, 21, 247. https://doi.org/10.3892/etm.2021.9678
MLA
Liu, J., Wang, S., Wang, C., Kong, X., Sun, P."Prognostic value of using glucosylceramide synthase and cytochrome P450 family 1 subfamily A1 expression levels for patients with triple‑negative breast cancer following neoadjuvant chemotherapy". Experimental and Therapeutic Medicine 21.3 (2021): 247.
Chicago
Liu, J., Wang, S., Wang, C., Kong, X., Sun, P."Prognostic value of using glucosylceramide synthase and cytochrome P450 family 1 subfamily A1 expression levels for patients with triple‑negative breast cancer following neoadjuvant chemotherapy". Experimental and Therapeutic Medicine 21, no. 3 (2021): 247. https://doi.org/10.3892/etm.2021.9678
Copy and paste a formatted citation
x
Spandidos Publications style
Liu J, Wang S, Wang C, Kong X and Sun P: Prognostic value of using glucosylceramide synthase and cytochrome P450 family 1 subfamily A1 expression levels for patients with triple‑negative breast cancer following neoadjuvant chemotherapy. Exp Ther Med 21: 247, 2021.
APA
Liu, J., Wang, S., Wang, C., Kong, X., & Sun, P. (2021). Prognostic value of using glucosylceramide synthase and cytochrome P450 family 1 subfamily A1 expression levels for patients with triple‑negative breast cancer following neoadjuvant chemotherapy. Experimental and Therapeutic Medicine, 21, 247. https://doi.org/10.3892/etm.2021.9678
MLA
Liu, J., Wang, S., Wang, C., Kong, X., Sun, P."Prognostic value of using glucosylceramide synthase and cytochrome P450 family 1 subfamily A1 expression levels for patients with triple‑negative breast cancer following neoadjuvant chemotherapy". Experimental and Therapeutic Medicine 21.3 (2021): 247.
Chicago
Liu, J., Wang, S., Wang, C., Kong, X., Sun, P."Prognostic value of using glucosylceramide synthase and cytochrome P450 family 1 subfamily A1 expression levels for patients with triple‑negative breast cancer following neoadjuvant chemotherapy". Experimental and Therapeutic Medicine 21, no. 3 (2021): 247. https://doi.org/10.3892/etm.2021.9678
Follow us
  • Twitter
  • LinkedIn
  • Facebook
About
  • Spandidos Publications
  • Careers
  • Cookie Policy
  • Privacy Policy
How can we help?
  • Help
  • Live Chat
  • Contact
  • Email to our Support Team