Spandidos Publications Logo
  • About
    • About Spandidos
    • Aims and Scopes
    • Abstracting and Indexing
    • Editorial Policies
    • Reprints and Permissions
    • Job Opportunities
    • Terms and Conditions
    • Contact
  • Journals
    • All Journals
    • Oncology Letters
      • Oncology Letters
      • Information for Authors
      • Editorial Policies
      • Editorial Board
      • Aims and Scope
      • Abstracting and Indexing
      • Bibliographic Information
      • Archive
    • International Journal of Oncology
      • International Journal of Oncology
      • Information for Authors
      • Editorial Policies
      • Editorial Board
      • Aims and Scope
      • Abstracting and Indexing
      • Bibliographic Information
      • Archive
    • Molecular and Clinical Oncology
      • Molecular and Clinical Oncology
      • Information for Authors
      • Editorial Policies
      • Editorial Board
      • Aims and Scope
      • Abstracting and Indexing
      • Bibliographic Information
      • Archive
    • Experimental and Therapeutic Medicine
      • Experimental and Therapeutic Medicine
      • Information for Authors
      • Editorial Policies
      • Editorial Board
      • Aims and Scope
      • Abstracting and Indexing
      • Bibliographic Information
      • Archive
    • International Journal of Molecular Medicine
      • International Journal of Molecular Medicine
      • Information for Authors
      • Editorial Policies
      • Editorial Board
      • Aims and Scope
      • Abstracting and Indexing
      • Bibliographic Information
      • Archive
    • Biomedical Reports
      • Biomedical Reports
      • Information for Authors
      • Editorial Policies
      • Editorial Board
      • Aims and Scope
      • Abstracting and Indexing
      • Bibliographic Information
      • Archive
    • Oncology Reports
      • Oncology Reports
      • Information for Authors
      • Editorial Policies
      • Editorial Board
      • Aims and Scope
      • Abstracting and Indexing
      • Bibliographic Information
      • Archive
    • Molecular Medicine Reports
      • Molecular Medicine Reports
      • Information for Authors
      • Editorial Policies
      • Editorial Board
      • Aims and Scope
      • Abstracting and Indexing
      • Bibliographic Information
      • Archive
    • World Academy of Sciences Journal
      • World Academy of Sciences Journal
      • Information for Authors
      • Editorial Policies
      • Editorial Board
      • Aims and Scope
      • Abstracting and Indexing
      • Bibliographic Information
      • Archive
    • International Journal of Functional Nutrition
      • International Journal of Functional Nutrition
      • Information for Authors
      • Editorial Policies
      • Editorial Board
      • Aims and Scope
      • Abstracting and Indexing
      • Bibliographic Information
      • Archive
    • International Journal of Epigenetics
      • International Journal of Epigenetics
      • Information for Authors
      • Editorial Policies
      • Editorial Board
      • Aims and Scope
      • Abstracting and Indexing
      • Bibliographic Information
      • Archive
    • Medicine International
      • Medicine International
      • Information for Authors
      • Editorial Policies
      • Editorial Board
      • Aims and Scope
      • Abstracting and Indexing
      • Bibliographic Information
      • Archive
  • Articles
  • Information
    • Information for Authors
    • Information for Reviewers
    • Information for Librarians
    • Information for Advertisers
    • Conferences
  • Language Editing
Spandidos Publications Logo
  • About
    • About Spandidos
    • Aims and Scopes
    • Abstracting and Indexing
    • Editorial Policies
    • Reprints and Permissions
    • Job Opportunities
    • Terms and Conditions
    • Contact
  • Journals
    • All Journals
    • Biomedical Reports
      • Information for Authors
      • Editorial Policies
      • Editorial Board
      • Aims and Scope
      • Abstracting and Indexing
      • Bibliographic Information
      • Archive
    • Experimental and Therapeutic Medicine
      • Information for Authors
      • Editorial Policies
      • Editorial Board
      • Aims and Scope
      • Abstracting and Indexing
      • Bibliographic Information
      • Archive
    • International Journal of Epigenetics
      • Information for Authors
      • Editorial Policies
      • Editorial Board
      • Aims and Scope
      • Abstracting and Indexing
      • Bibliographic Information
      • Archive
    • International Journal of Functional Nutrition
      • Information for Authors
      • Editorial Policies
      • Editorial Board
      • Aims and Scope
      • Abstracting and Indexing
      • Bibliographic Information
      • Archive
    • International Journal of Molecular Medicine
      • Information for Authors
      • Editorial Policies
      • Editorial Board
      • Aims and Scope
      • Abstracting and Indexing
      • Bibliographic Information
      • Archive
    • International Journal of Oncology
      • Information for Authors
      • Editorial Policies
      • Editorial Board
      • Aims and Scope
      • Abstracting and Indexing
      • Bibliographic Information
      • Archive
    • Medicine International
      • Information for Authors
      • Editorial Policies
      • Editorial Board
      • Aims and Scope
      • Abstracting and Indexing
      • Bibliographic Information
      • Archive
    • Molecular and Clinical Oncology
      • Information for Authors
      • Editorial Policies
      • Editorial Board
      • Aims and Scope
      • Abstracting and Indexing
      • Bibliographic Information
      • Archive
    • Molecular Medicine Reports
      • Information for Authors
      • Editorial Policies
      • Editorial Board
      • Aims and Scope
      • Abstracting and Indexing
      • Bibliographic Information
      • Archive
    • Oncology Letters
      • Information for Authors
      • Editorial Policies
      • Editorial Board
      • Aims and Scope
      • Abstracting and Indexing
      • Bibliographic Information
      • Archive
    • Oncology Reports
      • Information for Authors
      • Editorial Policies
      • Editorial Board
      • Aims and Scope
      • Abstracting and Indexing
      • Bibliographic Information
      • Archive
    • World Academy of Sciences Journal
      • Information for Authors
      • Editorial Policies
      • Editorial Board
      • Aims and Scope
      • Abstracting and Indexing
      • Bibliographic Information
      • Archive
  • Articles
  • Information
    • For Authors
    • For Reviewers
    • For Librarians
    • For Advertisers
    • Conferences
  • Language Editing
Login Register Submit
  • This site uses cookies
  • You can change your cookie settings at any time by following the instructions in our Cookie Policy. To find out more, you may read our Privacy Policy.

    I agree
Search articles by DOI, keyword, author or affiliation
Search
Advanced Search
presentation
Experimental and Therapeutic Medicine
Join Editorial Board Propose a Special Issue
Print ISSN: 1792-0981 Online ISSN: 1792-1015
Journal Cover
June-2022 Volume 23 Issue 6

Full Size Image

Sign up for eToc alerts
Recommend to Library

Journals

International Journal of Molecular Medicine

International Journal of Molecular Medicine

International Journal of Molecular Medicine is an international journal devoted to molecular mechanisms of human disease.

International Journal of Oncology

International Journal of Oncology

International Journal of Oncology is an international journal devoted to oncology research and cancer treatment.

Molecular Medicine Reports

Molecular Medicine Reports

Covers molecular medicine topics such as pharmacology, pathology, genetics, neuroscience, infectious diseases, molecular cardiology, and molecular surgery.

Oncology Reports

Oncology Reports

Oncology Reports is an international journal devoted to fundamental and applied research in Oncology.

Experimental and Therapeutic Medicine

Experimental and Therapeutic Medicine

Experimental and Therapeutic Medicine is an international journal devoted to laboratory and clinical medicine.

Oncology Letters

Oncology Letters

Oncology Letters is an international journal devoted to Experimental and Clinical Oncology.

Biomedical Reports

Biomedical Reports

Explores a wide range of biological and medical fields, including pharmacology, genetics, microbiology, neuroscience, and molecular cardiology.

Molecular and Clinical Oncology

Molecular and Clinical Oncology

International journal addressing all aspects of oncology research, from tumorigenesis and oncogenes to chemotherapy and metastasis.

World Academy of Sciences Journal

World Academy of Sciences Journal

Multidisciplinary open-access journal spanning biochemistry, genetics, neuroscience, environmental health, and synthetic biology.

International Journal of Functional Nutrition

International Journal of Functional Nutrition

Open-access journal combining biochemistry, pharmacology, immunology, and genetics to advance health through functional nutrition.

International Journal of Epigenetics

International Journal of Epigenetics

Publishes open-access research on using epigenetics to advance understanding and treatment of human disease.

Medicine International

Medicine International

An International Open Access Journal Devoted to General Medicine.

Journal Cover
June-2022 Volume 23 Issue 6

Full Size Image

Sign up for eToc alerts
Recommend to Library

  • Article
  • Citations
    • Cite This Article
    • Download Citation
    • Create Citation Alert
    • Remove Citation Alert
    • Cited By
  • Similar Articles
    • Related Articles (in Spandidos Publications)
    • Similar Articles (Google Scholar)
    • Similar Articles (PubMed)
  • Download PDF
  • Download XML
  • View XML
Case Report Open Access

Imaging analysis of the malignant transformation of bile duct hamartomas in the liver: A case report and literature review

  • Authors:
    • Yuan Yuan
    • Gang Fu
    • Feng Wan
    • Xu-Lei Chen
    • Jun Feng
  • View Affiliations / Copyright

    Affiliations: Department of Ultrasound, The Second Hospital of Wuxi Affiliated to Nanjing Medical University, Wuxi, Jiangsu 214002, P.R. China, Department of Pathology, The Second Hospital of Wuxi Affiliated to Nanjing Medical University, Wuxi, Jiangsu 214002, P.R. China
    Copyright: © Yuan et al. This is an open access article distributed under the terms of Creative Commons Attribution License [CC BY 4.0].
  • Article Number: 431
    |
    Published online on: May 9, 2022
       https://doi.org/10.3892/etm.2022.11358
  • Expand metrics +
Metrics: Total Views: 0 (Spandidos Publications: | PMC Statistics: )
Metrics: Total PDF Downloads: 0 (Spandidos Publications: | PMC Statistics: )
Cited By (CrossRef): 0 citations Loading Articles...

This article is mentioned in:



Abstract

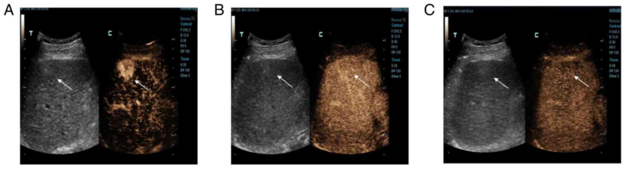
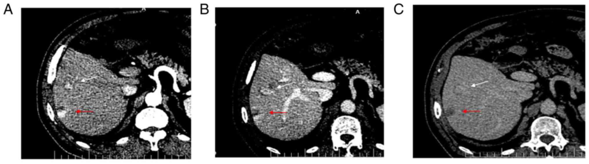
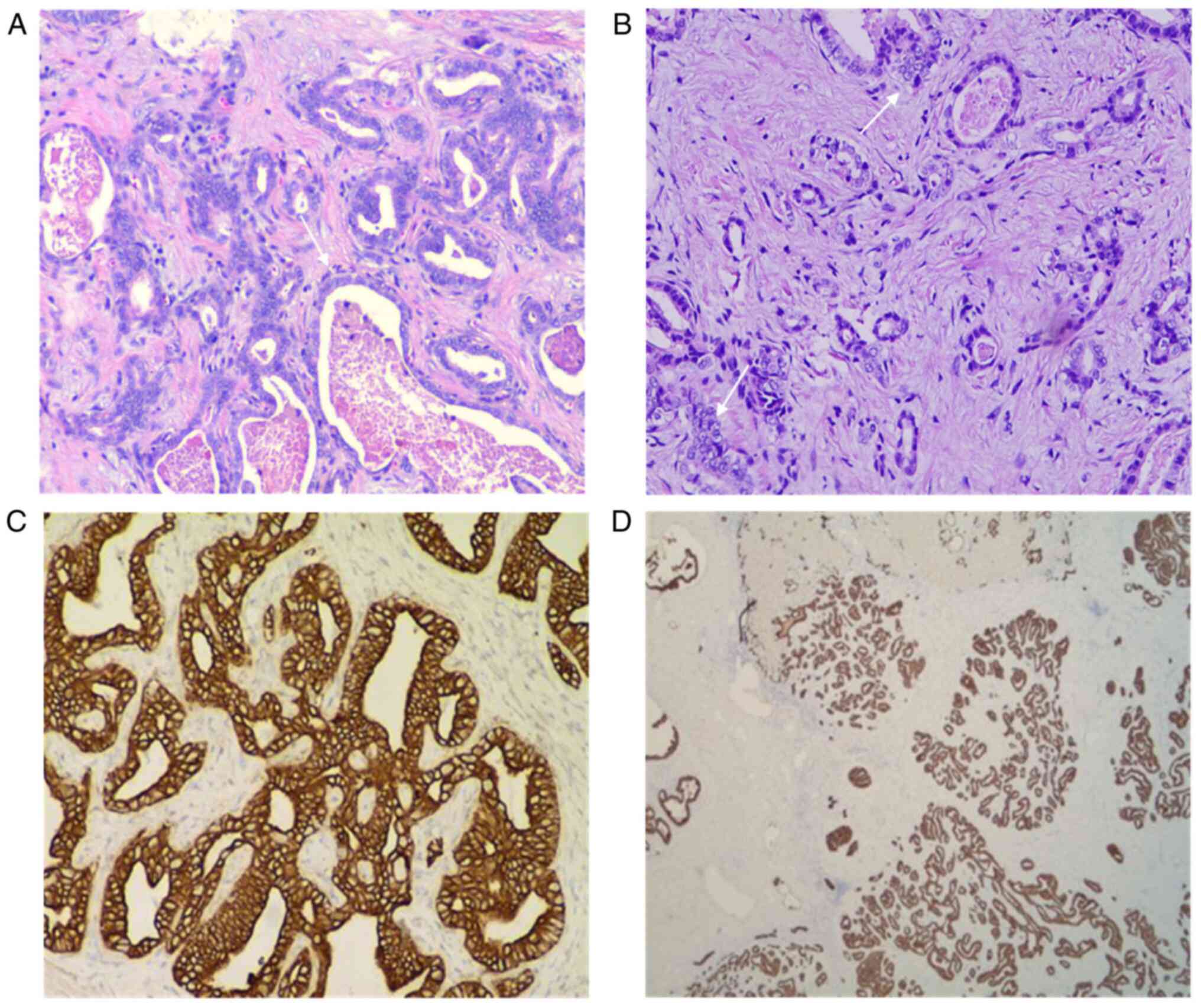
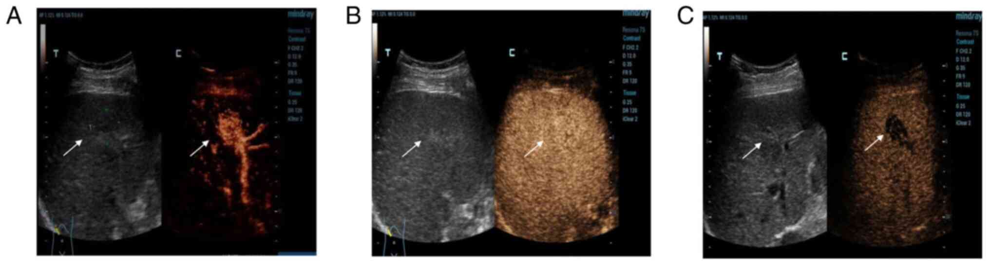
Bile duct hamartoma in the liver (LBDH) is relatively rare among the hepatic space‑occupying lesions that occur in adults, and the malignant transformation of LBDH is even rarer. In the present case report, a 63‑year‑old male was found to have two space‑occupying lesions in the right lobe of the liver upon ultrasound examination. Enhanced computed tomography (CT) suggested benign hepatic haemangioma, and contrast‑enhanced ultrasonography (CEUS) suggested well‑differentiated hepatocellular carcinoma. The final pathology results revealed the malignant transformation of LBDH into well‑differentiated intrahepatic cholangiocarcinoma. Improved recognition of this type of rare disease can be obtained by radiographic analysis of this case. These findings contribute to a better understanding of the enhanced development pattern of this disease on contrast‑enhanced CT, as well as on CEUS.
View Figures

Figure 1

Figure 2

Figure 3

Figure 4

Figure 5

View References

1 

Fernández-Carrión MJ, Robles Campos R, López Conesa A, Brusadín R and Parrilla Paricio P: Intrahepatic multicystic biliary hamartoma: Presentation of a case report. Cir Esp. 93:e103–e105. 2015.PubMed/NCBI View Article : Google Scholar

2 

Yoh T, Okamura R, Nakayama H, Lin X, Nakamura Y and Kato T: Multicystic biliary hamartoma mimicking intrahepatic cholangiocarcinoma: Report of a case. Clin J Gastroenterol. 7:418–421. 2014.PubMed/NCBI View Article : Google Scholar

3 

Min JK, Kim JM, Li S, Lee JW, Yoon H, Ryu CJ, Jeon SH, Lee JH, Kim JY, Yoon HK, et al: L1 cell adhesion molecule is a novel therapeutic target in intrahepatic cholangiocarcinoma. Clin Cancer Res. 16:3571–3580. 2010.PubMed/NCBI View Article : Google Scholar

4 

Karahan OI, Kahriman G, Soyuer I and Ok E: Hepatic von Meyenburg complex simulating biliary cystadenocarcinoma. Clin Imaging. 31:50–53. 2007.PubMed/NCBI View Article : Google Scholar

5 

Sahani DV, Kadavigere R, Saokar A, Fernandez-del Castillo C, Brugge WR and Hahn PF: Cystic pancreatic lesions: A simple imaging-based classification system for guiding management. Radiographics. 25:1471–1484. 2005.PubMed/NCBI View Article : Google Scholar

6 

Yingzi S, Yanhong M, Liping W, Shiqin J, et al: Analysis on ultrasonic diagnosis and misdiagnostic causes of bile duct hamartoma in liver. J Med Imaging. 27:1509–1511. 2017.

7 

Jain R, Fischer S, Serra S and Chetty R: The use of cytokeratin 19 (CK19) immunohistochemistry in lesions of the pancreas, gastrointestinal tract, and liver. Appl Immunohistochem Mol Morphol. 18:9–15. 2010.PubMed/NCBI View Article : Google Scholar

8 

Chen L, Xu MY and Chen F: Bile duct adenoma: A case report and literature review. World J Surg Oncol. 12(125)2014.PubMed/NCBI View Article : Google Scholar

9 

Mu W, Su P and Ning S: Case report: Incidentally discovered a rare cystic lesion of liver: Multicystic biliary hamartoma. Pathol Oncol Res. 27(628323)2021.PubMed/NCBI View Article : Google Scholar

10 

Jáquez-Quintana JO, Reyes-Cabello EA and Bosques-Padilla FJ: Multiple biliary hamartomas, the ‘von Meyenburg complexes’. Ann Hepatol. 16:812–813. 2017.PubMed/NCBI View Article : Google Scholar

11 

Venkatanarasimha N, Thomas R, Armstrong EM, Shirley JF, Fox BM and Jackson SA: Imaging features of ductal plate malformations in adults. Clin Radiol. 66:1086–1093. 2011.PubMed/NCBI View Article : Google Scholar

12 

Veigel MC, Prescott-Focht J, Rodriguez MG, Zinati R, Shao L, Moore CA and Lowe LH: Fibropolycystic liver disease in children. Pediatr Radiol. 39:317–327, 420-421. 2009.PubMed/NCBI View Article : Google Scholar

13 

Levy AD and Rohrmann CA Jr: Biliary cystic disease. Curr Probl Diagn Radiol. 32:233–263. 2003.PubMed/NCBI View Article : Google Scholar

14 

Lefere M, Thijs M, De Hertogh G, Verslype C, Laleman W, Vanbeckevoort D, Van Steenbergen W and Claus F: Caroli disease: Review of eight cases with emphasis on magnetic resonance imaging features. Eur J Gastroenterol Hepatol. 23:578–585. 2011.PubMed/NCBI View Article : Google Scholar

15 

Li J, Nie HF and Xiao R: Findings of intrahepatic bile duct hamartoma imaging. Mod Diagn Treat. 24:2819–2820. 2013.

16 

Zhong HB, Quan GM and Yuan T: Evaluation of CT and MRI in the bile duct malformation. Radiol Pract. 27:1293–1297. 2012.

17 

Aishima S, Tanaka Y, Kubo Y, Shirabe K, Maehara Y and Oda Y: Bile duct adenoma and von Meyenburg complex-like duct arising in hepatitis and cirrhosis: Pathogenesis and histological characteristics. Pathol Int. 64:551–559. 2014.PubMed/NCBI View Article : Google Scholar

18 

Ogura T, Kurisu Y, Miyano A and Higuchi K: A huge rapidly-enlarging multicystic biliary hamartoma. Dig Liver Dis. 50(723)2018.PubMed/NCBI View Article : Google Scholar

19 

Nakanuma Y, Hoso M, Sanzen T and Sasaki M: Microstructure and development of the normal and pathologic biliary tract in humans, including blood supply. Microsc Res Tech. 38:552–570. 1997.PubMed/NCBI View Article : Google Scholar

20 

Zheng RQ, Zhang B, Kudo M, Onda H and Inoue T: Imaging findings of biliary hamartomas. World J Gastroenterol. 11:6354–6359. 2005.PubMed/NCBI View Article : Google Scholar

21 

Röcken C, Pross M, Brucks U, Ridwelski K and Roessner A: Cholangiocarcinoma occurring in a liver with multiple bile duct hamartomas (von Meyenburg complexes). Arch Pathol Lab Med. 124:1704–1706. 2000.PubMed/NCBI View Article : Google Scholar

22 

Holzinger F, Z'graggen K and Büchler MW: Mechanisms of biliary carcinogenesis: A pathogenetic multi-stage cascade towards cholangiocarcinoma. Ann Oncol. 10 (Suppl 4):S122–S126. 1999.PubMed/NCBI

23 

Nakanuma Y, Hoso M and Terada T: Clinical and pathological features of cholangiocarcinoma. In: Okuda K, Tabor E (eds). Liver Cancer. Churchill Livingstone, New York, pp279-290, 1997.

24 

Martinoli C, Cittadini G Jr, Rollandi GA and Conzi R: Case report: Imaging of bile duct hamartomas. Clin Radiol. 45:203–205. 1992.PubMed/NCBI View Article : Google Scholar

25 

Nagano Y, Matsuo K, Gorai K, Sugimori K, Kunisaki C, Ike H, Tanaka K, Imada T and Shimada H: Bile duct hamartomas (von Mayenburg complexes) mimicking liver metastases from bile duct cancer: MRC findings. World J Gastroenterol. 12:1321–1323. 2006.PubMed/NCBI View Article : Google Scholar

26 

Martin DR, Kalb B, Sarmiento JM, Heffron TG, Coban I and Adsay NV: Giant and complicated variants of cystic bile duct hamartomas of the liver: MRI findings and pathological correlations. J Magn Reson Imaging. 31:903–911. 2010.PubMed/NCBI View Article : Google Scholar

27 

Xu AM, Xian ZH, Zhang SH and Chen XF: Intrahepatic cholangiocarcinoma arising in multiple bile duct hamartomas: Report of two cases and review of the literature. Eur J Gastroenterol Hepatol. 21:580–584. 2009.PubMed/NCBI View Article : Google Scholar

28 

Mortelé B, Mortelé K, Seynaeve P, Vandevelde D, Kunnen M and Ros PR: Hepatic bile duct hamartomas (von Meyenburg complexes): MR and MR cholangiography findings. J Comput Assist Tomogr. 26:438–443. 2002.PubMed/NCBI View Article : Google Scholar

29 

Qing Q, Wenping W, Zhizhang X, et al: Hemodynamics study of enhanced color flow images with ultrasonic contrast agent levovist in hepatic focal lesions. Chin J Ultrason. 4:216–218. 2001.(In Chinese).

30 

Zanrui S, Dingbiao M, Long Z, et al: Clinical analysis of the blood supply of middle and advanced primary liver cancer. Youjiang Med J. 4:471–472. 2008.(In Chinese).

31 

Lixue W: Characteristics and diagnostic value of spiral CT dual phase enhanced scanning in hepatocellular carcinoma. Youjiang Med J. 4:378–379. 2005.(In Chinese).

32 

Jung EM, Clevert DA, Schreyer AG, Schmitt S, Rennert J, Kubale R, Feuerbach S and Jung F: Evaluation of quantitative contrast harmonic imaging to assess malignancy of liver tumors: A prospective controlled two-center study. World J Gastroenterol. 13:6356–6364. 2007.PubMed/NCBI View Article : Google Scholar

33 

Jianhua Z, Feng H, Anhua L, et al: The value of quantitative analysis of blood perfusion in the arterial phase of contrast-enhanced ultrasound in the differential diagnosis for focal nodular hyperplasia and hepatocellular carcinoma. Chin J Ultrasound. 6:19–21. 2009.(In Chinese).

34 

Shi QS, Xing LX, Jin LF, Wang H, Lv XH and Du LF: Imaging findings of bile duct hamartomas: A case report and literature review. Int J Clin Exp Med. 8:13145–13153. 2015.PubMed/NCBI

Related Articles

  • Abstract
  • View
  • Download
  • Twitter
Copy and paste a formatted citation
Spandidos Publications style
Yuan Y, Fu G, Wan F, Chen X and Feng J: Imaging analysis of the malignant transformation of bile duct hamartomas in the liver: A case report and literature review. Exp Ther Med 23: 431, 2022.
APA
Yuan, Y., Fu, G., Wan, F., Chen, X., & Feng, J. (2022). Imaging analysis of the malignant transformation of bile duct hamartomas in the liver: A case report and literature review. Experimental and Therapeutic Medicine, 23, 431. https://doi.org/10.3892/etm.2022.11358
MLA
Yuan, Y., Fu, G., Wan, F., Chen, X., Feng, J."Imaging analysis of the malignant transformation of bile duct hamartomas in the liver: A case report and literature review". Experimental and Therapeutic Medicine 23.6 (2022): 431.
Chicago
Yuan, Y., Fu, G., Wan, F., Chen, X., Feng, J."Imaging analysis of the malignant transformation of bile duct hamartomas in the liver: A case report and literature review". Experimental and Therapeutic Medicine 23, no. 6 (2022): 431. https://doi.org/10.3892/etm.2022.11358
Copy and paste a formatted citation
x
Spandidos Publications style
Yuan Y, Fu G, Wan F, Chen X and Feng J: Imaging analysis of the malignant transformation of bile duct hamartomas in the liver: A case report and literature review. Exp Ther Med 23: 431, 2022.
APA
Yuan, Y., Fu, G., Wan, F., Chen, X., & Feng, J. (2022). Imaging analysis of the malignant transformation of bile duct hamartomas in the liver: A case report and literature review. Experimental and Therapeutic Medicine, 23, 431. https://doi.org/10.3892/etm.2022.11358
MLA
Yuan, Y., Fu, G., Wan, F., Chen, X., Feng, J."Imaging analysis of the malignant transformation of bile duct hamartomas in the liver: A case report and literature review". Experimental and Therapeutic Medicine 23.6 (2022): 431.
Chicago
Yuan, Y., Fu, G., Wan, F., Chen, X., Feng, J."Imaging analysis of the malignant transformation of bile duct hamartomas in the liver: A case report and literature review". Experimental and Therapeutic Medicine 23, no. 6 (2022): 431. https://doi.org/10.3892/etm.2022.11358
Follow us
  • Twitter
  • LinkedIn
  • Facebook
About
  • Spandidos Publications
  • Careers
  • Cookie Policy
  • Privacy Policy
How can we help?
  • Help
  • Live Chat
  • Contact
  • Email to our Support Team