Spandidos Publications Logo
  • About
    • About Spandidos
    • Aims and Scopes
    • Abstracting and Indexing
    • Editorial Policies
    • Reprints and Permissions
    • Job Opportunities
    • Terms and Conditions
    • Contact
  • Journals
    • All Journals
    • Oncology Letters
      • Oncology Letters
      • Information for Authors
      • Editorial Policies
      • Editorial Board
      • Aims and Scope
      • Abstracting and Indexing
      • Bibliographic Information
      • Archive
    • International Journal of Oncology
      • International Journal of Oncology
      • Information for Authors
      • Editorial Policies
      • Editorial Board
      • Aims and Scope
      • Abstracting and Indexing
      • Bibliographic Information
      • Archive
    • Molecular and Clinical Oncology
      • Molecular and Clinical Oncology
      • Information for Authors
      • Editorial Policies
      • Editorial Board
      • Aims and Scope
      • Abstracting and Indexing
      • Bibliographic Information
      • Archive
    • Experimental and Therapeutic Medicine
      • Experimental and Therapeutic Medicine
      • Information for Authors
      • Editorial Policies
      • Editorial Board
      • Aims and Scope
      • Abstracting and Indexing
      • Bibliographic Information
      • Archive
    • International Journal of Molecular Medicine
      • International Journal of Molecular Medicine
      • Information for Authors
      • Editorial Policies
      • Editorial Board
      • Aims and Scope
      • Abstracting and Indexing
      • Bibliographic Information
      • Archive
    • Biomedical Reports
      • Biomedical Reports
      • Information for Authors
      • Editorial Policies
      • Editorial Board
      • Aims and Scope
      • Abstracting and Indexing
      • Bibliographic Information
      • Archive
    • Oncology Reports
      • Oncology Reports
      • Information for Authors
      • Editorial Policies
      • Editorial Board
      • Aims and Scope
      • Abstracting and Indexing
      • Bibliographic Information
      • Archive
    • Molecular Medicine Reports
      • Molecular Medicine Reports
      • Information for Authors
      • Editorial Policies
      • Editorial Board
      • Aims and Scope
      • Abstracting and Indexing
      • Bibliographic Information
      • Archive
    • World Academy of Sciences Journal
      • World Academy of Sciences Journal
      • Information for Authors
      • Editorial Policies
      • Editorial Board
      • Aims and Scope
      • Abstracting and Indexing
      • Bibliographic Information
      • Archive
    • International Journal of Functional Nutrition
      • International Journal of Functional Nutrition
      • Information for Authors
      • Editorial Policies
      • Editorial Board
      • Aims and Scope
      • Abstracting and Indexing
      • Bibliographic Information
      • Archive
    • International Journal of Epigenetics
      • International Journal of Epigenetics
      • Information for Authors
      • Editorial Policies
      • Editorial Board
      • Aims and Scope
      • Abstracting and Indexing
      • Bibliographic Information
      • Archive
    • Medicine International
      • Medicine International
      • Information for Authors
      • Editorial Policies
      • Editorial Board
      • Aims and Scope
      • Abstracting and Indexing
      • Bibliographic Information
      • Archive
  • Articles
  • Information
    • Information for Authors
    • Information for Reviewers
    • Information for Librarians
    • Information for Advertisers
    • Conferences
  • Language Editing
Spandidos Publications Logo
  • About
    • About Spandidos
    • Aims and Scopes
    • Abstracting and Indexing
    • Editorial Policies
    • Reprints and Permissions
    • Job Opportunities
    • Terms and Conditions
    • Contact
  • Journals
    • All Journals
    • Biomedical Reports
      • Information for Authors
      • Editorial Policies
      • Editorial Board
      • Aims and Scope
      • Abstracting and Indexing
      • Bibliographic Information
      • Archive
    • Experimental and Therapeutic Medicine
      • Information for Authors
      • Editorial Policies
      • Editorial Board
      • Aims and Scope
      • Abstracting and Indexing
      • Bibliographic Information
      • Archive
    • International Journal of Epigenetics
      • Information for Authors
      • Editorial Policies
      • Editorial Board
      • Aims and Scope
      • Abstracting and Indexing
      • Bibliographic Information
      • Archive
    • International Journal of Functional Nutrition
      • Information for Authors
      • Editorial Policies
      • Editorial Board
      • Aims and Scope
      • Abstracting and Indexing
      • Bibliographic Information
      • Archive
    • International Journal of Molecular Medicine
      • Information for Authors
      • Editorial Policies
      • Editorial Board
      • Aims and Scope
      • Abstracting and Indexing
      • Bibliographic Information
      • Archive
    • International Journal of Oncology
      • Information for Authors
      • Editorial Policies
      • Editorial Board
      • Aims and Scope
      • Abstracting and Indexing
      • Bibliographic Information
      • Archive
    • Medicine International
      • Information for Authors
      • Editorial Policies
      • Editorial Board
      • Aims and Scope
      • Abstracting and Indexing
      • Bibliographic Information
      • Archive
    • Molecular and Clinical Oncology
      • Information for Authors
      • Editorial Policies
      • Editorial Board
      • Aims and Scope
      • Abstracting and Indexing
      • Bibliographic Information
      • Archive
    • Molecular Medicine Reports
      • Information for Authors
      • Editorial Policies
      • Editorial Board
      • Aims and Scope
      • Abstracting and Indexing
      • Bibliographic Information
      • Archive
    • Oncology Letters
      • Information for Authors
      • Editorial Policies
      • Editorial Board
      • Aims and Scope
      • Abstracting and Indexing
      • Bibliographic Information
      • Archive
    • Oncology Reports
      • Information for Authors
      • Editorial Policies
      • Editorial Board
      • Aims and Scope
      • Abstracting and Indexing
      • Bibliographic Information
      • Archive
    • World Academy of Sciences Journal
      • Information for Authors
      • Editorial Policies
      • Editorial Board
      • Aims and Scope
      • Abstracting and Indexing
      • Bibliographic Information
      • Archive
  • Articles
  • Information
    • For Authors
    • For Reviewers
    • For Librarians
    • For Advertisers
    • Conferences
  • Language Editing
Login Register Submit
  • This site uses cookies
  • You can change your cookie settings at any time by following the instructions in our Cookie Policy. To find out more, you may read our Privacy Policy.

    I agree
Search articles by DOI, keyword, author or affiliation
Search
Advanced Search
presentation
Experimental and Therapeutic Medicine
Join Editorial Board Propose a Special Issue
Print ISSN: 1792-0981 Online ISSN: 1792-1015
Journal Cover
November-2022 Volume 24 Issue 5

Full Size Image

Sign up for eToc alerts
Recommend to Library

Journals

International Journal of Molecular Medicine

International Journal of Molecular Medicine

International Journal of Molecular Medicine is an international journal devoted to molecular mechanisms of human disease.

International Journal of Oncology

International Journal of Oncology

International Journal of Oncology is an international journal devoted to oncology research and cancer treatment.

Molecular Medicine Reports

Molecular Medicine Reports

Covers molecular medicine topics such as pharmacology, pathology, genetics, neuroscience, infectious diseases, molecular cardiology, and molecular surgery.

Oncology Reports

Oncology Reports

Oncology Reports is an international journal devoted to fundamental and applied research in Oncology.

Experimental and Therapeutic Medicine

Experimental and Therapeutic Medicine

Experimental and Therapeutic Medicine is an international journal devoted to laboratory and clinical medicine.

Oncology Letters

Oncology Letters

Oncology Letters is an international journal devoted to Experimental and Clinical Oncology.

Biomedical Reports

Biomedical Reports

Explores a wide range of biological and medical fields, including pharmacology, genetics, microbiology, neuroscience, and molecular cardiology.

Molecular and Clinical Oncology

Molecular and Clinical Oncology

International journal addressing all aspects of oncology research, from tumorigenesis and oncogenes to chemotherapy and metastasis.

World Academy of Sciences Journal

World Academy of Sciences Journal

Multidisciplinary open-access journal spanning biochemistry, genetics, neuroscience, environmental health, and synthetic biology.

International Journal of Functional Nutrition

International Journal of Functional Nutrition

Open-access journal combining biochemistry, pharmacology, immunology, and genetics to advance health through functional nutrition.

International Journal of Epigenetics

International Journal of Epigenetics

Publishes open-access research on using epigenetics to advance understanding and treatment of human disease.

Medicine International

Medicine International

An International Open Access Journal Devoted to General Medicine.

Journal Cover
November-2022 Volume 24 Issue 5

Full Size Image

Sign up for eToc alerts
Recommend to Library

  • Article
  • Citations
    • Cite This Article
    • Download Citation
    • Create Citation Alert
    • Remove Citation Alert
    • Cited By
  • Similar Articles
    • Related Articles (in Spandidos Publications)
    • Similar Articles (Google Scholar)
    • Similar Articles (PubMed)
  • Download PDF
  • Download XML
  • View XML
Case Report

Castleman's disease in the pelvic retroperitoneum: A case report

  • Authors:
    • Qingli Zhao
    • Xuebei Zhang
    • Xiaoqing Yang
    • Shengliang Huang
  • View Affiliations / Copyright

    Affiliations: Department of Urology, The First Affiliated Hospital of Shandong First Medical University and Shandong Provincial Qianfoshan Hospital, Jinan, Shandong 250014, P.R. China, Nursing Department, Affiliated Eye Hospital of Shandong University of Traditional Chinese Medicine, Jinan, Shandong 250001, P.R. China, Department of Pathology, The First Affiliated Hospital of Shandong First Medical University and Shandong Provincial Qianfoshan Hospital, Jinan, Shandong 250014, P.R. China
  • Article Number: 660
    |
    Published online on: September 7, 2022
       https://doi.org/10.3892/etm.2022.11596
  • Expand metrics +
Metrics: Total Views: 0 (Spandidos Publications: | PMC Statistics: )
Metrics: Total PDF Downloads: 0 (Spandidos Publications: | PMC Statistics: )
Cited By (CrossRef): 0 citations Loading Articles...

This article is mentioned in:



Abstract

Castleman's disease (CD) is an uncommon lymphoproliferative disorder, which mostly occurs in the chest and neck. Lesions originating in the pelvic retroperitoneum are rare. It is important to consider CD as a differential diagnosis when a pelvic lesion is found. The present study reports a unique case of CD in the pelvic retroperitoneum, where the tumor was demonstrated to have a highly vascular nature on CT scanning. The preoperative diagnosis was uncertain and a vascular‑derived tumor was considered. Laparoscopic surgery was performed and the mass was completely resected along with regional lymphadenectomy. The pathological diagnosis was the hyaline vascular type of CD. The patient was free of recurrence after 1 year of follow‑up. As the underlying etiology remains elusive and the differential diagnosis is challenging preoperatively, surgical excision is the preferred treatment strategy for this type of benign lesion.

Introduction

Castleman's disease (CD), which was first described by Castleman and Towne (1) in 1954, is a rare lymphoproliferative disorder. The incidence rate of all forms of CD is estimated at 21-25 per million person-years, based on insurance registries in the USA (2). CD most commonly affects the mediastinum (63%), followed by the abdomen (11%), retroperitoneum (7%) and axilla (4%) (3). Based on the anatomical distribution of the disease, CD may be classified into two types: Unicentric and multicentric. Usually, ~25% of cases are unicentric (4). Unicentric CD (UCD) presents with isolated lymphadenopathy, usually detected in the chest and neck and less commonly in abdominal nodes or as a retroperitoneal mass (5). Localization of UCD in the pelvic retroperitoneum is rare, which accounts for 6.7% of UCD cases in the retroperitoneum (6). Diagnosis in this setting is difficult due to the lack of characteristic features on radiographic images. Most previous cases were diagnosed based on postoperative pathological examination (7). Given their proximity to major vascular structures of the pelvis, surgeons were occasionally faced with a clinical situation in which a large-volume blood transfusion was necessary (8). Thus, certain surgeons used preoperative angiography and embolization of the feeding arteries to the tumor in order to prevent or limit intraoperative bleeding (9). The present study reported a rare case of UCD located in the pelvic retroperitoneum, which was completely resected by meticulous laparoscopic surgery with limited bleeding. Although preoperative diagnosis was difficult to achieve, CD should be included in the differential diagnoses when a pelvic lesion is found.

Case report

CT scan

A 320-row spiral CT (uCT960+; Lianying) was used with the following parameters: Tube voltage, 100 kV; automatic tube current; thickness, 5.00 mm; pitch, 0.9937; rotation time, 0.8 sec/rot. The non-ionic contrast medium (Omnipaque 300 mg/ml; Cytiva) at the dose of 1.0 ml/kg was injected with a power injector at a rate of 3.0 ml/sec through the median cubital vein. This was followed by flushing with 20 ml saline at a rate of 3.0 ml/sec. The arterial and venous phases were obtained at 25 to 30 sec and 60 to 75 sec after the injection of the contrast medium.

Histopathological staining

Formalin-fixed paraffin-embedded (FFPE) sections were cut with a Leica RM 2155 Rotary Microtome (Leica Microsystems) and the paraffin sections were then dewaxed sequentially with xylene, anhydrous ethanol, a decreasing concentration gradient of ethanol (95, 90, 80 and 70%) and water. Slices were immersed in Harris hematoxylin staining solution for 5 min and then differentiated with 0.3% acid alcohol, followed by incubation with 0.6% ammonia. Subsequently, samples were incubated with eosin staining solution for 1-3 min and then dehydrated with ethanol and xylene, and finally, slides were mounted with neutral gum.

Immunohistochemistry (IHC)

For IHC staining, 5 µm-thick sections were cut from the FFPE block. Sections were de-waxed with xylene and dehydrated through a serial ethanol gradient, then maintained in a drying oven at 50-54˚C for 12 h. Printed labels from the Ventana system were pasted upon slides and each label contained a barcode comprising all of the protocol information required. The staining was then performed by the automated Ventana Benchmark Ultra autostainer (Ventana Medical Systems). The brief work flow was as follows: Antigen retrieval was performed in Tris-EDTA buffer (pH 7.8 at 95˚C for 40 min), endogenous peroxides and protein were blocked with Inhibitor CM included in the iVIEW DAB Detection Kit (serial no. 760-500; Roche Diagnostics) at 37˚C for 4 min. Primary antibody was added and samples were incubated for 60 min at 37˚C. The slides were processed with an iVIEW DAB Detection Kit (serial no. 760-500; Roche Diagnostics), which comprised horseradish peroxidase-conjugated rabbit secondary antibodies, DAB CM and H2O2CM according to the manufacturer's instructions. The slides were then washed and dehydrated in successive baths of an ascending series of ethanol, increasing concentrations of xylene and then mounted with coverslips. Monoclonal primary antibodies to CD21, CD3, CD20 and CD34 were purchased from Santa Cruz Biotechnology, Inc. (cat. nos. sc-13135, sc-20047, sc-393894 and sc-74499 respectively; dilution, 1:200).

Case report

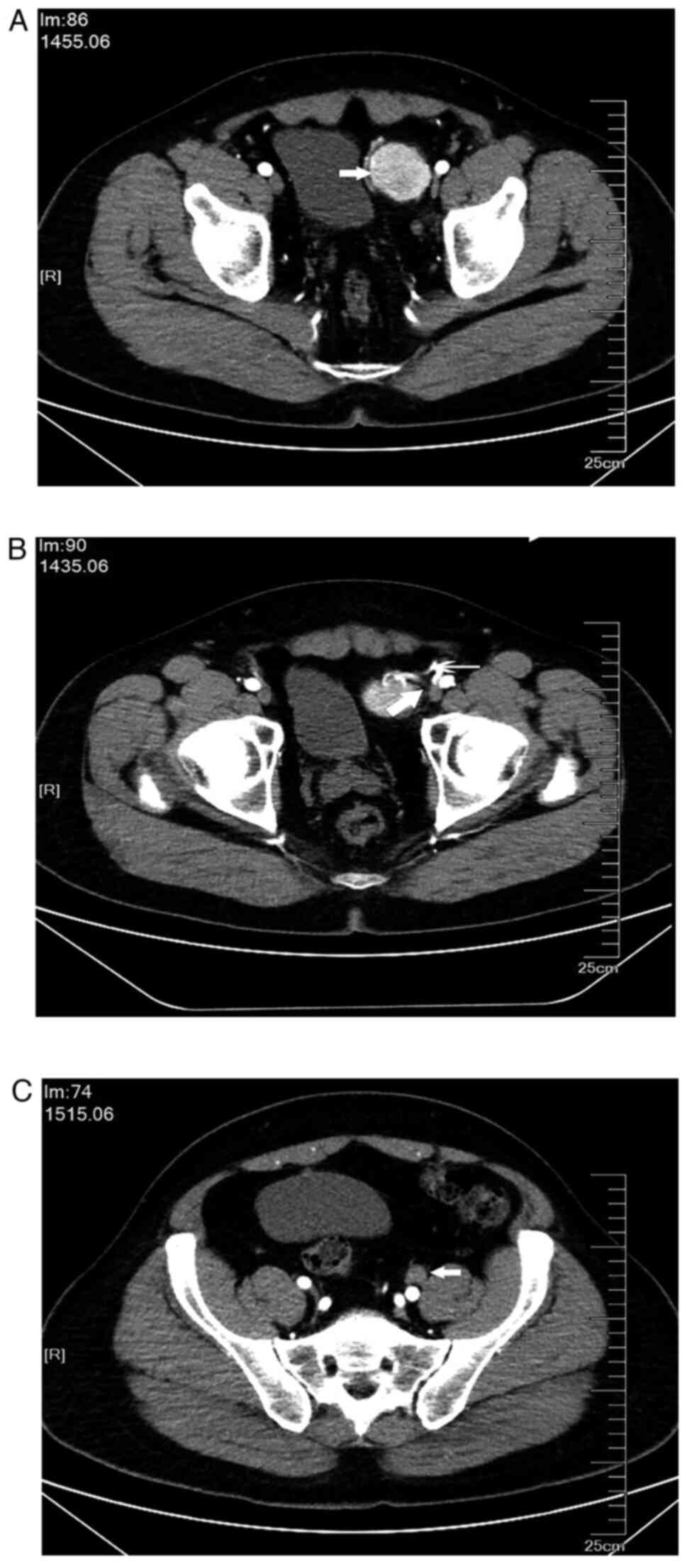
A 38-year-old male patient was referred to The First Affiliated Hospital of Shandong First Medical University and Shandong Provincial Qianfoshan Hospital (Jinan, China) in April 2021 due to a retroperitoneal tumor found in the left side of the pelvis without any symptoms. The patient had no previous illnesses or family history. No enlarged lymph nodes were palpated in the cervical, clavicular or inguinal zones. Laboratory parameters were all normal. Preoperative CT scans of the chest, abdomen and pelvis revealed a retroperitoneal tumor on the left of the bladder measuring 42x38 mm, with a marked contrast effect (Fig. 1A). The arterial supply to the tumor arose from branches of the left external iliac artery, with venous drainage entering the left external iliac vein (Fig. 1B). An enlarged lymph node (21x18 mm) was also detected lateral to the left external iliac artery with no enhancement on CT imaging (Fig. 1C).

Figure 1

Preoperative CT scan of the pelvis. (A) Retroperitoneal tumor located on the left of the bladder with a remarkable contrast effect (arrow). (B) Arterial supply to the tumor arose from branches of the left external iliac artery (thin arrow), with venous drainage entering the left external iliac vein (thick arrow). (C) An enlarged lymph node was located lateral to the left external iliac artery (arrow).

The mass was considered a vascular-derived tumor after consulting vascular and interventional doctors prior to surgery. Primary venous leiomyosarcoma was suspected, although this is rare. In the differential diagnosis of a malignant retroperitoneal tumor, four other diseases were also considered: Mesenchymal soft-tissue sarcomas, tumors of neurogenic origin, germ cell tumors and lymphoproliferative disorders. Thus, the patient was advised to undergo surgical removal for appropriate diagnosis and treatment. As the tumor was well vascularized and adjacent to the great vessels, laparoscopy was able to provide magnified images with the capacity to facilitate and secure dissection. Thus, laparoscopic surgery was performed via the transperitoneal approach and the tumor was completely removed along with the enlarged lymph node. The feeding artery of the tumor was confirmed to be the pubic branch of the left inferior epigastric artery, which originated from the distal external iliac artery (Fig. 2A). Meticulous dissection was performed and the feeding artery was carefully isolated, ligated and divided. The vein of the tumor entered the left external iliac vein and was secured subsequently. Care had to be taken to avoid rupture of venous drainage of the tumor, as the vein was short and likely to tear easily. The mass was then completely resected, measuring 45x35x30 mm.

Figure 2

Laparoscopic and macroscopic findings of pelvic retroperitoneal Castleman's disease. (A) The tumor was well-circumscribed with the feeding artery originating from the pubic branch of the left inferior epigastric artery (thin arrow) and the vein entered the left external iliac vein (thick arrow). (B) Image of the excised tumor. The capsule of the tumor was thickened (arrow).

The resected tumor was rubbery, firm and well circumscribed with a thick capsule (Fig. 2B). The cut surface was orange-red in color. On histopathology, hyperplastic lymphoid follicles around the degenerative germinal centers were observed (Fig. 3A), with prominent vascular proliferation and hyalinization of the vessel walls (Fig. 3B). The specimen was positive for a T cell marker (CD3), a B cell marker (CD20) and a vascular endothelial cell marker (CD34), and had increased meshworks of follicular dendritic cells marked with CD21 immunostain, as assessed by IHC (Fig. 3C). These findings are diagnostic for UCD, hyaline vascular type. The test for human herpesvirus 8 (HHV-8) was negative. The resected enlarged lymph node was proved to be reactive hyperplasia on microscopy.

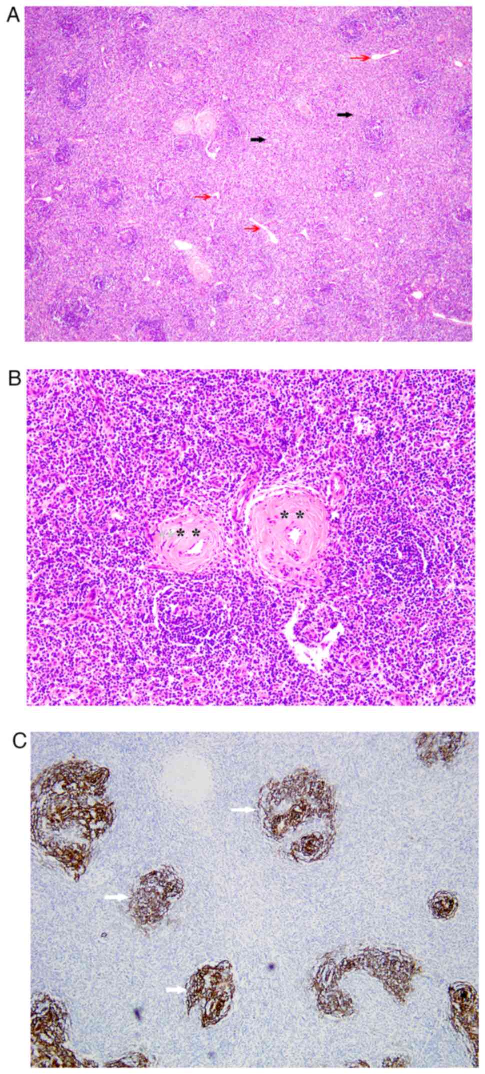
Figure 3

Histology of pelvic retroperitoneal Castleman's disease. (A) Hyperplastic lymphoid follicles with degenerative germinal centers, compacted lymphatic sinuses (red arrows) and thickened mantle zones (black arrows). Hematoxylin and eosin staining (magnification, x20). (B) Prominent vascular proliferation and hyalinization of the vessel walls (**) (magnification, x100). (C) Atrophic germinal centers profiled by immunohistochemistry stain with monoclonal CD21 antibody (arrows) (magnification, x20).

The patient recovered well and was discharged 8 days after surgery, and no local recurrence was found during 1 year of follow-up. Written informed consent was obtained from the patient for the publication of this study.

Discussion

CD describes a rare group of lymphoproliferative disorders with characteristic histopathologic appearances (10), the etiology of which remains to be fully elucidated. This disease includes unicentric and multicentric forms, which are thought to represent distinct clinical entities with different patient characteristics, presentation, treatment responses and long-term outcomes (4). UCD presents with isolated lymphadenopathy, usually diagnosed in the fourth decade of life. It is frequently found incidentally due to a lack of symptoms and benign course (11). By contrast, multicentric CD (MCD) presents with the enlargement of multiple lymph nodes, usually accompanied by mild to life-threatening symptoms such as fatigue, fever, weight loss, anemia, sweat, splenomegaly, dyspnea and pulmonary fibrosis (12,13). The presentation of MCD may occasionally be associated with HIV infection, Kaposi's sarcoma and POEMS symptoms (peripheral sensorimotor neuropathy, organomegaly, endocrinopathy, monoclonal gammopathy and skin lesions) (14). MCD usually develops later in the fifth and sixth decades of life, with an estimated 5-year overall survival of ~65% (11).

Although the underlying etiology of CD remains to be established, excessive secretion of the cytokine interleukin-6 (IL-6) is thought to contribute to numerous symptoms associated with MCD (15). Certain cases of MCD have been attributed to HHV-8 infection in immunosuppressed patients. Viral IL-6, human IL-6 and several other proinflammatory proteins are thought to be involved in the pathogenesis of HHV-8-associated MCD (16). In patients with HHV-8-negative idiopathic MCD, a separate malignant disease may be found to co-exist, suggesting a common genetic mutation may be a contributor (17).

A total of three histological types of CD have been identified: Hyaline vascular, plasma cell and the mixed variant. The hyaline vascular type is most commonly seen in UCD, characterized by an increased number of lymphoid follicles with degenerative germinal centers and broad mantle zones composed of concentric rings of small lymphoid cells (‘onion skin pattern’). Germinal centers are predominantly composed of follicular dendritic cells, penetrated by sclerotic hyalinized vessels (‘lollipop lesions’). By contrast, the plasma cell type most commonly occurs in MCD, characterized by the presence of sheets of plasma cells in the interfollicular zone and hyperplastic germinal centers (18). In the present case, prominent vascular proliferation and hyalinization of the vessel walls were obvious with a lack of an ‘onion skin pattern’ appearance. Germinal centers were degenerative, consisting of follicular dendritic cells marked with CD21 immunostain.

UCD in the pelvic retroperitoneum is rare and the preoperative diagnosis is difficult due to its low frequency and lack of characteristic features on radiographic images (7). Similar to lymphoma, CT scans display homogenous enhancement of the lesions if they are smaller than 5 cm. Calcification may also be seen in up to 31% of cases (19). In the present case, the tumor was homogenously enhanced without calcification. However, it is important to consider the possibility of pelvic CD in the differential diagnosis of a calcified pelvic tumor. Positron emission tomography (PET)/CT is thought to be helpful for distinguishing CD from lymphoma. When difficulties are encountered, biopsy of the site with the highest standardized uptake value (SUV) is recommended (5).

The differential diagnosis of UCD includes lymphoma, sarcoma, lymph node metastasis, gastrointestinal stromal tumor, lipomas, leiomyomas, neurofibromas, paraganglioma and infectious diseases (20). It is challenging to differentiate UCD from lymphoma preoperatively. The lymphadenopathy of UCD is unifocal and the swollen node is commonly larger than the size of lymphoma lymph nodes (4). Furthermore, when PET/CT is performed, the median maximum SUV is typically ~3-8, whereas higher values would suggest lymphoma (5). As mentioned above, core biopsy of the tumor may be helpful to distinguish the two entities.

In the present case, given the highly vascular nature of the tumor, biopsy was not performed, as the mass was thought to be derived from great vessels, which may have possibly led to bleeding and increased the difficulty of subsequent surgical procedures. Furthermore, the diagnosis of CD requires a pathological review of the affected lymph node, which should ideally be performed from an excisional biopsy, as the definitive diagnosis is mainly based on cell architecture (21).

MCD requires systemic treatment and individualized strategies on the basis of different subtypes (14). Surgery is reserved to obtain tissue for a full histopathologic diagnosis (4). By contrast, complete surgical resection has been considered the gold standard treatment in patients with UCD (4). Challenges may be encountered during resection of UCD in the pelvis due to its proximity to major vessels and adhesions. Hypervascularity is frequently associated with UCD at excision, increasing the risk of vascular injury and blood transfusion (8). To avoid massive hemorrhage, as observed in the present case, meticulous dissection around the tumor and slight traction were required to expose the feeding vessels. A detailed review of CT scans served a paramount role in the scheduled step-by-step procedures during laparoscopic surgery. Although no evidence of local recurrence or systemic disease was detected during 1 year of follow-up, long-term follow-up is required, as a rare recurrence has been reported in the literature (22).

In summary, the present study reported a rare case of UCD in the pelvic retroperitoneum in a male patient, which was treated successfully by complete resection of the tumor. A definitive diagnosis was not accomplished until histological analysis was performed. Meticulous dissection should be warranted to minimize hemorrhage during laparoscopic surgery. Surgical resection is the gold standard treatment strategy for this neoplasm and long-term follow-up is needed to detect any recurrence.

Acknowledgements

Not applicable.

Funding

Funding: This work was supported by the Shandong Medical and Health Science and Technology Development Plan Project (grant no. 2019WS510).

Availability of data and materials

All data generated or analyzed during this study are included in this published article.

Authors' contributions

SH was the principal responsible person for the study and contributed to the conception and the design of the study. QZ and XZ obtained and analyzed the patient's information and contributed to manuscript drafting and critical revisions of the intellectual content. XY performed the histological examination of the tumor and lymph node. QZ, XZ, XY and SH confirmed the authenticity of all the raw data. All authors read and approved the final manuscript.

Ethics approval and consent to participate

All procedures were approved by the ethics committee of the First Affiliated Hospital of Shandong First Medical University (Jinan, China; approval no. 2022S478).

Patient consent for publication

The publication of the article was with the written informed consent of the patient.

Competing interests

The authors declare that they have no competing interests.

References

1 

Castleman B and Towne VW: Case records of the massachusetts general hospital; weekly clinicopathological exercises; founded by Richard C. Cabot. N Engl J Med. 251:396–400. 1954.PubMed/NCBI View Article : Google Scholar

2 

Munshi N, Mehra M, van de Velde H, Desai A, Potluri R and Vermeulen J: Use of a claims database to characterize and estimate the incidence rate for Castleman disease. Leuk Lymphoma. 56:1252–1260. 2015.PubMed/NCBI View Article : Google Scholar

3 

Bucher P, Chassot G, Zufferey G, Ris F, Huber O and Morel P: Surgical management of abdominal and retroperitoneal Castleman's disease. World J Surg Oncol. 3(33)2005.PubMed/NCBI View Article : Google Scholar

4 

Talat N, Belgaumkar AP and Schulte KM: Surgery in castleman's disease a systematic review of 404 published cases. Ann Surg. 255:677–684. 2012.PubMed/NCBI View Article : Google Scholar

5 

Oksenhendler E, Boutboul D, Fajgenbaum D, Mirouse A, Fieschi C, Malphettes M, Vercellino L, Meignin V, Gérard L and Galicier L: The full spectrum of castleman disease: 273 patients studied over 20 years. Br J Haematol. 180:206–216. 2018.PubMed/NCBI View Article : Google Scholar

6 

Gopi P, Potty VS, Kaurav RS and Govindan K: Unicentric Castleman's disease as a localized retroperitoneal mass: A case report and review of literature. Int J Appl Basic Med Res. 8:259–262. 2018.PubMed/NCBI View Article : Google Scholar

7 

Nakata K, Iwahashi N, Matsukawa H, Noguchi T, Yahata T, Ota N, Mabuchi Y and Ino K: Laparoscopically resected castleman's disease in the pelvic retroperitoneum: A case report. Mol Clin Oncol. 12:169–173. 2020.PubMed/NCBI View Article : Google Scholar

8 

Nepal SP, Shichijo T, Ogawa Y, Naoe M, Oshinomi K and Morita J: Surgical challenges of Castleman's disease of the pelvis. Urol Case Rep. 34(101518)2020.PubMed/NCBI View Article : Google Scholar

9 

Kitakaze M, Miyoshi N, Fujino S, Ogino T, Takahashi H, Uemura M, Mizushima T, Doki Y and Eguchi H: Surgical resection for pelvic retroperitoneal Castleman's disease: A case report and review literature. Biomed Rep. 14(29)2021.PubMed/NCBI View Article : Google Scholar

10 

Szalat R and Munshi NC: Diagnosis of castleman disease. Hematol Oncol Clin North Am. 32:53–64. 2018.PubMed/NCBI View Article : Google Scholar

11 

Dispenzieri A, Armitage JO, Loe MJ, Geyer SM, Allred J, Camoriano JK, Menke DM, Weisenburger DD, Ristow K, Dogan A and Habermann TM: The clinical spectrum of Castleman's disease. Am J Hematol. 87:997–1002. 2012.PubMed/NCBI View Article : Google Scholar

12 

Yu LI, Tu M, Cortes J, Xu-Monette ZY, Miranda RN, Zhang J, Orlowski RZ, Neelapu S, Boddu PC, Akosile MA, et al: Clinical and pathological characteristics of HIV- and HHV-8-negative Castleman disease. Blood. 129:1658–1668. 2017.PubMed/NCBI View Article : Google Scholar

13 

Murakami M, Johkoh T, Hayashi S, Ohshima S, Mizuki M, Nakatsuka SI, Tomobe M, Kuroyanagi K, Nakasone A and Nishimoto N: Clinicopathologic characteristics of 342 patients with multicentric Castleman disease in Japan. Mod Rheumatol. 30:843–851. 2020.PubMed/NCBI View Article : Google Scholar

14 

Lomas OC, Streetly M, Pratt G, Cavet J, Royston D, Schey S and Ramasamy K: British Society for Haematology (BSH) Committee. The management of Castleman disease. Br J Haematol. 195:328–337. 2021.PubMed/NCBI View Article : Google Scholar

15 

Yoshizaki K, Matsuda T, Nishimoto N, Kuritani T, Taeho L, Aozasa K, Nakahata T, Kawai H, Tagoh H, Komori T, et al: Pathogenic signifificance of interleukin-6 (IL-6/BSF-2) in Castleman's disease. Blood. 74:1360–1367. 1989.PubMed/NCBI

16 

Suthaus J, Stuhlmann-Laeisz C, Tompkins VS, Rosean TR, Klapper W, Tosato G, Janz S, Scheller J and Rose-John S: HHV-8-encoded viral IL-6 collaborates with mouse IL-6 in the development of multicentric Castleman disease in mice. Blood. 119:5173–5181. 2012.PubMed/NCBI View Article : Google Scholar

17 

Liu AY, Nabel CS, Finkelman BS, Ruth JR, Kurzrock R, van Rhee F, Krymskaya VP, Kelleher D, Rubenstein AH and Fajgenbaum DC: Idiopathic multicentric Castleman's disease: A systematic literature review. Lancet Haematol. 3:e163–e175. 2016.PubMed/NCBI View Article : Google Scholar

18 

Dispenzieri A and Fajgenbaum DC: Overview of Castleman disease. Blood. 135:1353–1364. 2020.PubMed/NCBI View Article : Google Scholar

19 

Meador TL and McLarney JK: CT features of Castleman's disease of the abdomen and pelvis. AJR Am J Roentgenol. 175:115–118. 2000.PubMed/NCBI View Article : Google Scholar

20 

Jiang Y, Hou G, Zhu Z, Huo L, Li F and Cheng W: The value of multiparameter 18F-FDG PET/CT imaging in differentiating retroperitoneal paragangliomas from unicentric Castleman disease. Sci Rep. 10(12887)2020.PubMed/NCBI View Article : Google Scholar

21 

Carbone A, Borok M, Damania B, Gloghini A, Polizzotto MN, Jayanthan RK, Fajgenbaum DC and Bower M: Castleman disease. Nat Rev Dis Primers. 7(84)2021.PubMed/NCBI View Article : Google Scholar

22 

Ren N, Ding L, Jia E and Xue J: Recurrence in unicentric Castleman's disease postoperatively: A case report and literature review. BMC Surg. 18(1)2018.PubMed/NCBI View Article : Google Scholar

Related Articles

  • Abstract
  • View
  • Download
  • Twitter
Copy and paste a formatted citation
Spandidos Publications style
Zhao Q, Zhang X, Yang X and Huang S: Castleman's disease in the pelvic retroperitoneum: A case report. Exp Ther Med 24: 660, 2022.
APA
Zhao, Q., Zhang, X., Yang, X., & Huang, S. (2022). Castleman's disease in the pelvic retroperitoneum: A case report. Experimental and Therapeutic Medicine, 24, 660. https://doi.org/10.3892/etm.2022.11596
MLA
Zhao, Q., Zhang, X., Yang, X., Huang, S."Castleman's disease in the pelvic retroperitoneum: A case report". Experimental and Therapeutic Medicine 24.5 (2022): 660.
Chicago
Zhao, Q., Zhang, X., Yang, X., Huang, S."Castleman's disease in the pelvic retroperitoneum: A case report". Experimental and Therapeutic Medicine 24, no. 5 (2022): 660. https://doi.org/10.3892/etm.2022.11596
Copy and paste a formatted citation
x
Spandidos Publications style
Zhao Q, Zhang X, Yang X and Huang S: Castleman's disease in the pelvic retroperitoneum: A case report. Exp Ther Med 24: 660, 2022.
APA
Zhao, Q., Zhang, X., Yang, X., & Huang, S. (2022). Castleman's disease in the pelvic retroperitoneum: A case report. Experimental and Therapeutic Medicine, 24, 660. https://doi.org/10.3892/etm.2022.11596
MLA
Zhao, Q., Zhang, X., Yang, X., Huang, S."Castleman's disease in the pelvic retroperitoneum: A case report". Experimental and Therapeutic Medicine 24.5 (2022): 660.
Chicago
Zhao, Q., Zhang, X., Yang, X., Huang, S."Castleman's disease in the pelvic retroperitoneum: A case report". Experimental and Therapeutic Medicine 24, no. 5 (2022): 660. https://doi.org/10.3892/etm.2022.11596
Follow us
  • Twitter
  • LinkedIn
  • Facebook
About
  • Spandidos Publications
  • Careers
  • Cookie Policy
  • Privacy Policy
How can we help?
  • Help
  • Live Chat
  • Contact
  • Email to our Support Team