Spandidos Publications Logo
  • About
    • About Spandidos
    • Aims and Scopes
    • Abstracting and Indexing
    • Editorial Policies
    • Reprints and Permissions
    • Job Opportunities
    • Terms and Conditions
    • Contact
  • Journals
    • All Journals
    • Oncology Letters
      • Oncology Letters
      • Information for Authors
      • Editorial Policies
      • Editorial Board
      • Aims and Scope
      • Abstracting and Indexing
      • Bibliographic Information
      • Archive
    • International Journal of Oncology
      • International Journal of Oncology
      • Information for Authors
      • Editorial Policies
      • Editorial Board
      • Aims and Scope
      • Abstracting and Indexing
      • Bibliographic Information
      • Archive
    • Molecular and Clinical Oncology
      • Molecular and Clinical Oncology
      • Information for Authors
      • Editorial Policies
      • Editorial Board
      • Aims and Scope
      • Abstracting and Indexing
      • Bibliographic Information
      • Archive
    • Experimental and Therapeutic Medicine
      • Experimental and Therapeutic Medicine
      • Information for Authors
      • Editorial Policies
      • Editorial Board
      • Aims and Scope
      • Abstracting and Indexing
      • Bibliographic Information
      • Archive
    • International Journal of Molecular Medicine
      • International Journal of Molecular Medicine
      • Information for Authors
      • Editorial Policies
      • Editorial Board
      • Aims and Scope
      • Abstracting and Indexing
      • Bibliographic Information
      • Archive
    • Biomedical Reports
      • Biomedical Reports
      • Information for Authors
      • Editorial Policies
      • Editorial Board
      • Aims and Scope
      • Abstracting and Indexing
      • Bibliographic Information
      • Archive
    • Oncology Reports
      • Oncology Reports
      • Information for Authors
      • Editorial Policies
      • Editorial Board
      • Aims and Scope
      • Abstracting and Indexing
      • Bibliographic Information
      • Archive
    • Molecular Medicine Reports
      • Molecular Medicine Reports
      • Information for Authors
      • Editorial Policies
      • Editorial Board
      • Aims and Scope
      • Abstracting and Indexing
      • Bibliographic Information
      • Archive
    • World Academy of Sciences Journal
      • World Academy of Sciences Journal
      • Information for Authors
      • Editorial Policies
      • Editorial Board
      • Aims and Scope
      • Abstracting and Indexing
      • Bibliographic Information
      • Archive
    • International Journal of Functional Nutrition
      • International Journal of Functional Nutrition
      • Information for Authors
      • Editorial Policies
      • Editorial Board
      • Aims and Scope
      • Abstracting and Indexing
      • Bibliographic Information
      • Archive
    • International Journal of Epigenetics
      • International Journal of Epigenetics
      • Information for Authors
      • Editorial Policies
      • Editorial Board
      • Aims and Scope
      • Abstracting and Indexing
      • Bibliographic Information
      • Archive
    • Medicine International
      • Medicine International
      • Information for Authors
      • Editorial Policies
      • Editorial Board
      • Aims and Scope
      • Abstracting and Indexing
      • Bibliographic Information
      • Archive
  • Articles
  • Information
    • Information for Authors
    • Information for Reviewers
    • Information for Librarians
    • Information for Advertisers
    • Conferences
  • Language Editing
Spandidos Publications Logo
  • About
    • About Spandidos
    • Aims and Scopes
    • Abstracting and Indexing
    • Editorial Policies
    • Reprints and Permissions
    • Job Opportunities
    • Terms and Conditions
    • Contact
  • Journals
    • All Journals
    • Biomedical Reports
      • Information for Authors
      • Editorial Policies
      • Editorial Board
      • Aims and Scope
      • Abstracting and Indexing
      • Bibliographic Information
      • Archive
    • Experimental and Therapeutic Medicine
      • Information for Authors
      • Editorial Policies
      • Editorial Board
      • Aims and Scope
      • Abstracting and Indexing
      • Bibliographic Information
      • Archive
    • International Journal of Epigenetics
      • Information for Authors
      • Editorial Policies
      • Editorial Board
      • Aims and Scope
      • Abstracting and Indexing
      • Bibliographic Information
      • Archive
    • International Journal of Functional Nutrition
      • Information for Authors
      • Editorial Policies
      • Editorial Board
      • Aims and Scope
      • Abstracting and Indexing
      • Bibliographic Information
      • Archive
    • International Journal of Molecular Medicine
      • Information for Authors
      • Editorial Policies
      • Editorial Board
      • Aims and Scope
      • Abstracting and Indexing
      • Bibliographic Information
      • Archive
    • International Journal of Oncology
      • Information for Authors
      • Editorial Policies
      • Editorial Board
      • Aims and Scope
      • Abstracting and Indexing
      • Bibliographic Information
      • Archive
    • Medicine International
      • Information for Authors
      • Editorial Policies
      • Editorial Board
      • Aims and Scope
      • Abstracting and Indexing
      • Bibliographic Information
      • Archive
    • Molecular and Clinical Oncology
      • Information for Authors
      • Editorial Policies
      • Editorial Board
      • Aims and Scope
      • Abstracting and Indexing
      • Bibliographic Information
      • Archive
    • Molecular Medicine Reports
      • Information for Authors
      • Editorial Policies
      • Editorial Board
      • Aims and Scope
      • Abstracting and Indexing
      • Bibliographic Information
      • Archive
    • Oncology Letters
      • Information for Authors
      • Editorial Policies
      • Editorial Board
      • Aims and Scope
      • Abstracting and Indexing
      • Bibliographic Information
      • Archive
    • Oncology Reports
      • Information for Authors
      • Editorial Policies
      • Editorial Board
      • Aims and Scope
      • Abstracting and Indexing
      • Bibliographic Information
      • Archive
    • World Academy of Sciences Journal
      • Information for Authors
      • Editorial Policies
      • Editorial Board
      • Aims and Scope
      • Abstracting and Indexing
      • Bibliographic Information
      • Archive
  • Articles
  • Information
    • For Authors
    • For Reviewers
    • For Librarians
    • For Advertisers
    • Conferences
  • Language Editing
Login Register Submit
  • This site uses cookies
  • You can change your cookie settings at any time by following the instructions in our Cookie Policy. To find out more, you may read our Privacy Policy.

    I agree
Search articles by DOI, keyword, author or affiliation
Search
Advanced Search
presentation
Experimental and Therapeutic Medicine
Join Editorial Board Propose a Special Issue
Print ISSN: 1792-0981 Online ISSN: 1792-1015
Journal Cover
November-2022 Volume 24 Issue 5

Full Size Image

Sign up for eToc alerts
Recommend to Library

Journals

International Journal of Molecular Medicine

International Journal of Molecular Medicine

International Journal of Molecular Medicine is an international journal devoted to molecular mechanisms of human disease.

International Journal of Oncology

International Journal of Oncology

International Journal of Oncology is an international journal devoted to oncology research and cancer treatment.

Molecular Medicine Reports

Molecular Medicine Reports

Covers molecular medicine topics such as pharmacology, pathology, genetics, neuroscience, infectious diseases, molecular cardiology, and molecular surgery.

Oncology Reports

Oncology Reports

Oncology Reports is an international journal devoted to fundamental and applied research in Oncology.

Experimental and Therapeutic Medicine

Experimental and Therapeutic Medicine

Experimental and Therapeutic Medicine is an international journal devoted to laboratory and clinical medicine.

Oncology Letters

Oncology Letters

Oncology Letters is an international journal devoted to Experimental and Clinical Oncology.

Biomedical Reports

Biomedical Reports

Explores a wide range of biological and medical fields, including pharmacology, genetics, microbiology, neuroscience, and molecular cardiology.

Molecular and Clinical Oncology

Molecular and Clinical Oncology

International journal addressing all aspects of oncology research, from tumorigenesis and oncogenes to chemotherapy and metastasis.

World Academy of Sciences Journal

World Academy of Sciences Journal

Multidisciplinary open-access journal spanning biochemistry, genetics, neuroscience, environmental health, and synthetic biology.

International Journal of Functional Nutrition

International Journal of Functional Nutrition

Open-access journal combining biochemistry, pharmacology, immunology, and genetics to advance health through functional nutrition.

International Journal of Epigenetics

International Journal of Epigenetics

Publishes open-access research on using epigenetics to advance understanding and treatment of human disease.

Medicine International

Medicine International

An International Open Access Journal Devoted to General Medicine.

Journal Cover
November-2022 Volume 24 Issue 5

Full Size Image

Sign up for eToc alerts
Recommend to Library

  • Article
  • Citations
    • Cite This Article
    • Download Citation
    • Create Citation Alert
    • Remove Citation Alert
    • Cited By
  • Similar Articles
    • Related Articles (in Spandidos Publications)
    • Similar Articles (Google Scholar)
    • Similar Articles (PubMed)
  • Download PDF
  • Download XML
  • View XML
Article Open Access

Chemerin promotes MAPK/ERK activation to induce inflammatory factor production in rat synoviocytes

  • Authors:
    • Chen Wang
    • Songrui Zhang
    • Longao Huang
    • Jianyi Liu
    • Quan Zhou
    • Gang Du
    • Shan Lao
  • View Affiliations / Copyright

    Affiliations: Biomedical Collaborative Innovation Center of Guangxi Medical University, Nanning, Guangxi Zhuang Autonomous Region 530000, P.R. China, Laboratory of Regenerative Medicine, First Affiliated Hospital of Guangxi Medical University, Nanning, Guangxi Zhuang Autonomous Region 530000, P.R. China, Department of Traumatic Orthopaedic Surgery, The First People's Hospital of Nanning, Nanning, Guangxi Zhuang Autonomous Region 530000, P.R. China
    Copyright: © Wang et al. This is an open access article distributed under the terms of Creative Commons Attribution License.
  • Article Number: 684
    |
    Published online on: September 22, 2022
       https://doi.org/10.3892/etm.2022.11620
  • Expand metrics +
Metrics: Total Views: 0 (Spandidos Publications: | PMC Statistics: )
Metrics: Total PDF Downloads: 0 (Spandidos Publications: | PMC Statistics: )
Cited By (CrossRef): 0 citations Loading Articles...

This article is mentioned in:



Abstract

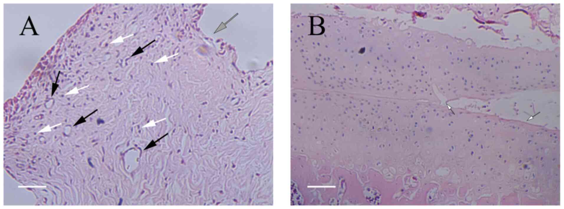
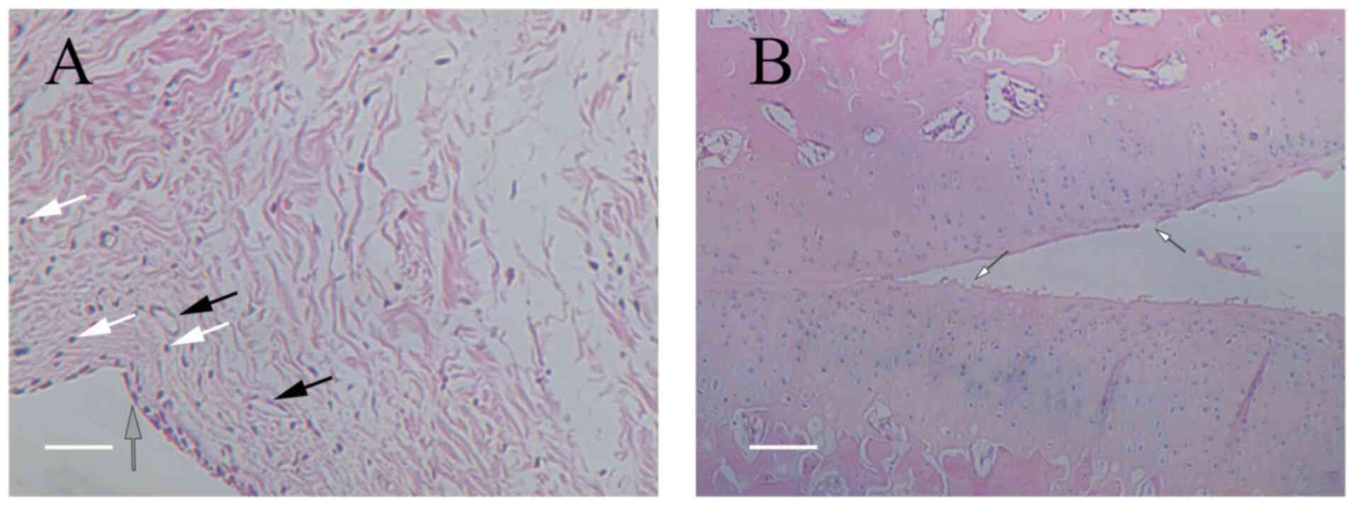
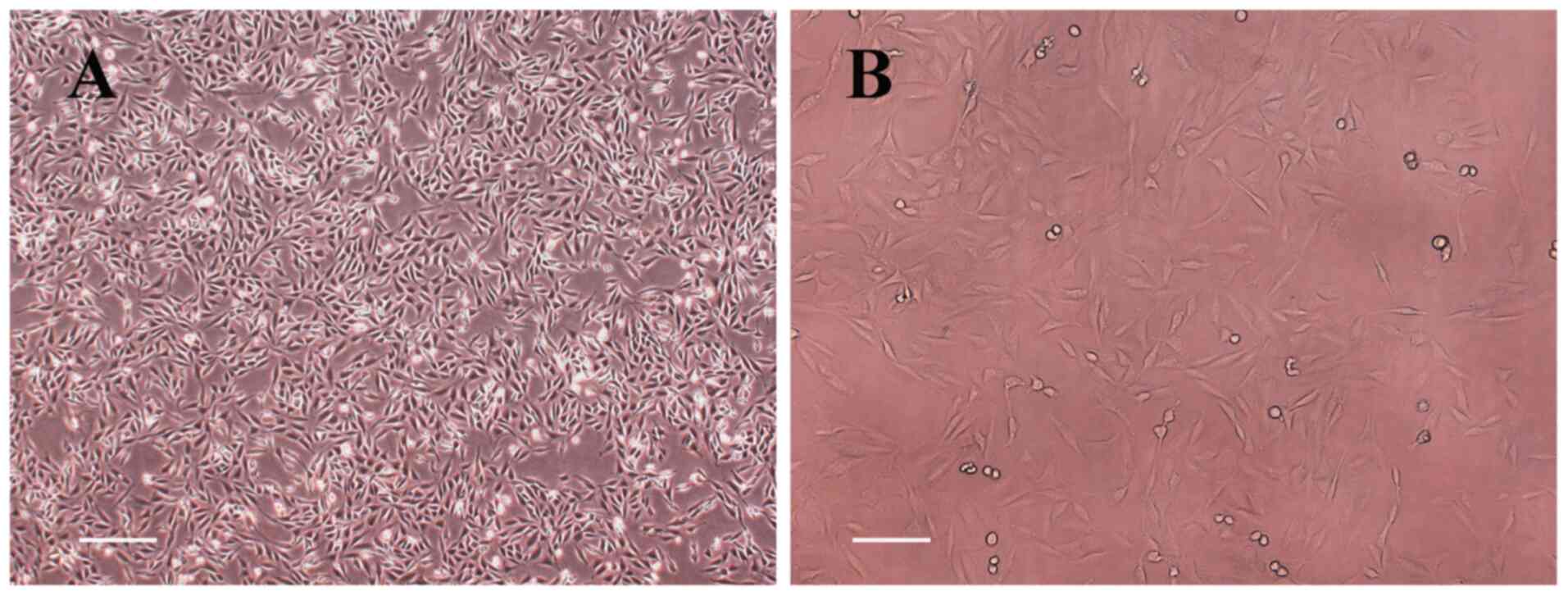
Chemerin is a chemokine found in adipose tissue that specifically binds to the G protein‑coupled receptor, chemokine‑like receptor 1, and acts as a chemoattractant for macrophages and dendritic cells. Chemerin levels in the synovial fluid are associated with disease severity in patients with osteoarthritis (OA). However, to the best of our knowledge, the specific mechanism through which chemerin exerts its effects in OA remains unclear. The present study aimed to investigate the underlying mechanism of chemerin‑associated synoviocyte inflammation. A Cell Counting Kit‑8 assay was used to determine the optimal concentration of chemerin that exerted an effect on the viability of normal rat synoviocytes. The expression levels of MEK/ERK signaling pathway‑related marker genes, including MEK, ERK, MMP‑3 and MMP‑13, were detected using reverse transcription‑quantitative PCR. In addition, chemerin‑induced phosphorylation of MEK, ERK1/2 and p38 MAPK was analyzed using western blotting, and the production of inflammatory factors following chemerin treatment was determined using ELISA. For the in vivo assessment of the effect of chemerin, Sprague Dawley rats underwent knee surgery to establish an arthritis model. The knee joints were then injected with normal saline or recombinant chemerin, and the synovium and knee joint tissues were harvested for H&E histological observations after 3 weeks. In addition, synovial tissue was analyzed for the production of inflammatory factors by ELISA. The results of the present study revealed that chemerin enhanced the viability of synoviocytes in a dose‑dependent manner. The stimulatory effect of chemerin on synoviocytes was shown to be accompanied by the activation of MEK, ERK1/2 and p38 MAPK, which was associated with the production of MMP‑13, MMP‑3, TNF‑α, IL‑6 and IL‑1β by synoviocytes. Inhibition of the ERK1/2 signaling pathway significantly reduced chemerin‑induced MMP‑13, MMP‑3, TNF‑α, IL‑6 and IL‑1β production. H&E staining showed that synovial hyperplasia and articular cartilage wear were more severe in chemerin treated rats after knee surgery than in knee surgery alone and saline controls. In addition, the articular cartilage surface was damaged, and the synovial tissue showed inflammatory cell infiltration. In Sprague Dawley rats that underwent surgery, but did not receive chemerin treatment, a slight raise in inflammatory cell infiltration and increased levels of inflammatory factors were observed compared with rats that did not undergo surgery; however, Secretion of downstream inflammatory cytokines IL‑6, MMP‑3, MMP‑13, and IL‑1β was significantly increased in chemerin treated groups compared with control and chemerin + PD98059 groups. In conclusion, the findings of the present study suggested that chemerin may enhance the production of inflammatory factors in synoviocytes by activating the MEK/ERK signaling pathway.
View Figures

Figure 1

Figure 2

Figure 3

Figure 4

Figure 5

Figure 6

Figure 7

Figure 8

Figure 9

View References

1 

Crema MD, Roemer FW, Marra MD and Guermazi A: MR imaging of intra- and periarticular soft tissues and subchondral bone in knee osteoarthritis. Radiol Clin North Am. 47:687–701. 2009.PubMed/NCBI View Article : Google Scholar

2 

Loeuille D, Rat AC, Goebel JC, Champigneulle J, Blum A, Netter P, Gillet P and Chary-Valckenaere I: Magnetic resonance imaging in osteoarthritis: Which method best reflects synovial membrane inflammation? Correlations with clinical, macroscopic and microscopic features. Osteoarthritis Cartilage. 17:1186–1192. 2009.PubMed/NCBI View Article : Google Scholar

3 

Ayral X, Pickering EH, Woodworth TG, Mackillop N and Dougados M: Synovitis: A potential predictive factor of structural progression of medial tibiofemoral knee osteoarthritis-results of a 1 year longitudinal arthroscopic study in 422 patients. Osteoarthritis Cartilage. 13:361–367. 2005.PubMed/NCBI View Article : Google Scholar

4 

Benito MJ, Veale DJ, FitzGerald O, van den Berg WB and Bresnihan B: Synovial tissue inflammation in early and late osteoarthritis. Ann Rheum Dis. 64:1263–1267. 2005.PubMed/NCBI View Article : Google Scholar

5 

Samad F, Badeanlou L, Shah C and Yang G: Adipose tissue and ceramide biosynthesis in the pathogenesis of obesity. Adv Exp Med Biol. 721:67–86. 2011.PubMed/NCBI View Article : Google Scholar

6 

Deng Y and Scherer PE: Adipokines as novel biomarkers and regulators of the metabolic syndrome. Ann N Y Acad Sci. 1212:E1–E19. 2010.PubMed/NCBI View Article : Google Scholar

7 

Pita J, Panadero A, Soriano-Guillén L, Rodríguez E and Rovira A: The insulin sensitizing effects of PPAR-γ agonist are associated to changes in adiponectin index and adiponectin receptors in Zucker fatty rats. Regul Pept. 174:18–25. 2012.PubMed/NCBI View Article : Google Scholar

8 

Mariani F and Roncucci L: Chemerin/chemR23 axis in inflammation onset and resolution. Inflammation Res. 64:85–95. 2015.PubMed/NCBI View Article : Google Scholar

9 

Wittamer V, Franssen JD, Vulcano M, Mirjolet JF, Le Poul E, Migeotte I, Brézillon S, Tyldesley R, Blanpain C, Detheux M, et al: Specific recruitment of antigen-presenting cells by chemerin, a novel processed ligand from human inflammatory fluids. J Exp Med. 198:977–985. 2003.PubMed/NCBI View Article : Google Scholar

10 

Bluher M, Rudich A, Klöting N, Golan R, Henkin Y, Rubin E, Schwarzfuchs D, Gepner Y, Stampfer MJ, Fiedler M, et al: Two patterns of adipokine and other biomarker dynamics in a long-term weight loss intervention. Diabetes Care. 35:342–349. 2012.PubMed/NCBI View Article : Google Scholar

11 

Stojek M: The role of chemerin in human disease. Postepy Hig Med Dosw (Online). 71:110–117. 2017.PubMed/NCBI View Article : Google Scholar

12 

Sitar-Taut AV, Coste SC, Tarmure S, Orasan OH, Fodor A, Negrean V, Pop D, Zdrenghea D, Login C, Tiperciuc B and Cozma A: Diabetes and obesity-cumulative or complementary effects on adipokines, inflammation, and insulin resistance. J Clin Med. 9(2767)2020.PubMed/NCBI View Article : Google Scholar

13 

Kaur J, Mattu HS, Chatha K and Randeva HS: Chemerin in human cardiovascular disease. Vascul Pharmacol. 110:1–6. 2018.PubMed/NCBI View Article : Google Scholar

14 

Huang K, Du G, Li L, Liang H and Zhang B: Association of chemerin levels in synovial fluid with the severity of knee osteoarthritis. Biomarkers. 17:16–20. 2012.PubMed/NCBI View Article : Google Scholar

15 

Kaneko K, Miyabe Y, Takayasu A, Fukuda S, Miyabe C, Ebisawa M, Yokoyama W, Watanabe K, Imai T, Muramoto K, et al: Chemerin activates fibroblast-like synoviocytes in patients with rheumatoid arthritis. Arthritis Res Ther. 13(R158)2011.PubMed/NCBI View Article : Google Scholar

16 

Blüher M, Rudich A, Klöting N, Golan R, Henkin Y, Rubin E, Schwarzfuchs D, Gepner Y, Stampfer MJ, Fiedler M, et al: Two patterns of adipokine and other biomarker dynamics in a long-term weight loss intervention. Diabetes Care. 35:342–349. 2012.PubMed/NCBI View Article : Google Scholar

17 

Saklatvala J: Inflammatory signaling in cartilage: MAPK and NF-kappaB pathways in chondrocytes and the use of inhibitors for research into pathogenesis and therapy of osteoarthritis. Curr Drug Targets. 8:305–313. 2007.PubMed/NCBI View Article : Google Scholar

18 

Loeser RF, Erickson EA and Long DL: Mitogen-activated protein kinases as therapeutic targets in osteoarthritis. Curr Opin Rheumatol. 20:581–586. 2008.PubMed/NCBI View Article : Google Scholar

19 

Livak KJ and Schmittgen TD: Analysis of relative gene expression data using real-time quantitative PCR and the 2(-Delta Delta C(T)) method. Methods. 25:402–408. 2001.PubMed/NCBI View Article : Google Scholar

20 

Buechler C, Feder S, Haberl EM and Aslanidis C: Chemerin isoforms and activity in obesity. Int J Mol Sci. 20(1128)2019.PubMed/NCBI View Article : Google Scholar

21 

Huss RS, Huddleston JI, Goodman SB, Butcher EC and Zabel BA: Synovial tissue-infiltrating natural killer cells in osteoarthritis and periprosthetic inflammation. Arthritis Rheum. 62:3799–3805. 2010.PubMed/NCBI View Article : Google Scholar

22 

Valcamonica E, Chighizola CB, Comi D, De Lucia O, Pisoni L, Murgo A, Salvi V, Sozzani S and Meroni PL: Levels of chemerin and interleukin 8 in the synovial fluid of patients with inflammatory arthritides and osteoarthritis. Clin Exp Rheumatol. 32:243–250. 2014.PubMed/NCBI

23 

Ruan G, Xu J, Wang K, Wu J, Zhu Q, Ren J, Bian F, Chang B, Bai X, Han W and Ding C: Associations between knee structural measures, circulating inflammatory factors and MMP13 in patients with knee osteoarthritis. Osteoarthr Cartil. 26:1063–1069. 2018.PubMed/NCBI View Article : Google Scholar

24 

Mengshol JA, Vincenti MP, Coon CI, Barchowsky A and Brinckerhoff CE: Interleukin-1 induction of collagenase 3 (matrix metalloproteinase 13) gene expression in chondrocytes requires p38, c-jun N-terminal kinase, and nuclear factor κB: Differential regulation of collagenase 1 and collagenase 3. Arthritis Rheum. 43:801–811. 2000.PubMed/NCBI View Article : Google Scholar

25 

Rogart JN, Barrach HJ and Chichester CO: Articular collagen degradation in the Hulth-Telhag model of osteoarthritis. Osteoarthritis Cartilage. 7(539)1999.PubMed/NCBI View Article : Google Scholar

26 

Kuyinu EL, Narayanan G, Nair LS and Laurencin CT: Animal models of osteoarthritis: Classification, update, and measurement of outcomes. J Orthop Surg Res. 11(19)2016.PubMed/NCBI View Article : Google Scholar

27 

Kamekura S, Hoshi K, Shimoaka T, Chung U, Chikuda H, Yamada T, Uchida M, Ogata N, Seichi A, Nakamura K and Kawaguchi H: Osteoarthritis development in novel experimental mouse models induced by knee joint instability. Osteoarthritis Cartilage. 13:632–641. 2005.PubMed/NCBI View Article : Google Scholar

28 

McCoy AM: Animal models of osteoarthritis: Comparisons and key considerations. Vet Pathol. 52:803–818. 2015.PubMed/NCBI View Article : Google Scholar

Related Articles

  • Abstract
  • View
  • Download
  • Twitter
Copy and paste a formatted citation
Spandidos Publications style
Wang C, Zhang S, Huang L, Liu J, Zhou Q, Du G and Lao S: Chemerin promotes MAPK/ERK activation to induce inflammatory factor production in rat synoviocytes. Exp Ther Med 24: 684, 2022.
APA
Wang, C., Zhang, S., Huang, L., Liu, J., Zhou, Q., Du, G., & Lao, S. (2022). Chemerin promotes MAPK/ERK activation to induce inflammatory factor production in rat synoviocytes. Experimental and Therapeutic Medicine, 24, 684. https://doi.org/10.3892/etm.2022.11620
MLA
Wang, C., Zhang, S., Huang, L., Liu, J., Zhou, Q., Du, G., Lao, S."Chemerin promotes MAPK/ERK activation to induce inflammatory factor production in rat synoviocytes". Experimental and Therapeutic Medicine 24.5 (2022): 684.
Chicago
Wang, C., Zhang, S., Huang, L., Liu, J., Zhou, Q., Du, G., Lao, S."Chemerin promotes MAPK/ERK activation to induce inflammatory factor production in rat synoviocytes". Experimental and Therapeutic Medicine 24, no. 5 (2022): 684. https://doi.org/10.3892/etm.2022.11620
Copy and paste a formatted citation
x
Spandidos Publications style
Wang C, Zhang S, Huang L, Liu J, Zhou Q, Du G and Lao S: Chemerin promotes MAPK/ERK activation to induce inflammatory factor production in rat synoviocytes. Exp Ther Med 24: 684, 2022.
APA
Wang, C., Zhang, S., Huang, L., Liu, J., Zhou, Q., Du, G., & Lao, S. (2022). Chemerin promotes MAPK/ERK activation to induce inflammatory factor production in rat synoviocytes. Experimental and Therapeutic Medicine, 24, 684. https://doi.org/10.3892/etm.2022.11620
MLA
Wang, C., Zhang, S., Huang, L., Liu, J., Zhou, Q., Du, G., Lao, S."Chemerin promotes MAPK/ERK activation to induce inflammatory factor production in rat synoviocytes". Experimental and Therapeutic Medicine 24.5 (2022): 684.
Chicago
Wang, C., Zhang, S., Huang, L., Liu, J., Zhou, Q., Du, G., Lao, S."Chemerin promotes MAPK/ERK activation to induce inflammatory factor production in rat synoviocytes". Experimental and Therapeutic Medicine 24, no. 5 (2022): 684. https://doi.org/10.3892/etm.2022.11620
Follow us
  • Twitter
  • LinkedIn
  • Facebook
About
  • Spandidos Publications
  • Careers
  • Cookie Policy
  • Privacy Policy
How can we help?
  • Help
  • Live Chat
  • Contact
  • Email to our Support Team