Spandidos Publications Logo
  • About
    • About Spandidos
    • Aims and Scopes
    • Abstracting and Indexing
    • Editorial Policies
    • Reprints and Permissions
    • Job Opportunities
    • Terms and Conditions
    • Contact
  • Journals
    • All Journals
    • Oncology Letters
      • Oncology Letters
      • Information for Authors
      • Editorial Policies
      • Editorial Board
      • Aims and Scope
      • Abstracting and Indexing
      • Bibliographic Information
      • Archive
    • International Journal of Oncology
      • International Journal of Oncology
      • Information for Authors
      • Editorial Policies
      • Editorial Board
      • Aims and Scope
      • Abstracting and Indexing
      • Bibliographic Information
      • Archive
    • Molecular and Clinical Oncology
      • Molecular and Clinical Oncology
      • Information for Authors
      • Editorial Policies
      • Editorial Board
      • Aims and Scope
      • Abstracting and Indexing
      • Bibliographic Information
      • Archive
    • Experimental and Therapeutic Medicine
      • Experimental and Therapeutic Medicine
      • Information for Authors
      • Editorial Policies
      • Editorial Board
      • Aims and Scope
      • Abstracting and Indexing
      • Bibliographic Information
      • Archive
    • International Journal of Molecular Medicine
      • International Journal of Molecular Medicine
      • Information for Authors
      • Editorial Policies
      • Editorial Board
      • Aims and Scope
      • Abstracting and Indexing
      • Bibliographic Information
      • Archive
    • Biomedical Reports
      • Biomedical Reports
      • Information for Authors
      • Editorial Policies
      • Editorial Board
      • Aims and Scope
      • Abstracting and Indexing
      • Bibliographic Information
      • Archive
    • Oncology Reports
      • Oncology Reports
      • Information for Authors
      • Editorial Policies
      • Editorial Board
      • Aims and Scope
      • Abstracting and Indexing
      • Bibliographic Information
      • Archive
    • Molecular Medicine Reports
      • Molecular Medicine Reports
      • Information for Authors
      • Editorial Policies
      • Editorial Board
      • Aims and Scope
      • Abstracting and Indexing
      • Bibliographic Information
      • Archive
    • World Academy of Sciences Journal
      • World Academy of Sciences Journal
      • Information for Authors
      • Editorial Policies
      • Editorial Board
      • Aims and Scope
      • Abstracting and Indexing
      • Bibliographic Information
      • Archive
    • International Journal of Functional Nutrition
      • International Journal of Functional Nutrition
      • Information for Authors
      • Editorial Policies
      • Editorial Board
      • Aims and Scope
      • Abstracting and Indexing
      • Bibliographic Information
      • Archive
    • International Journal of Epigenetics
      • International Journal of Epigenetics
      • Information for Authors
      • Editorial Policies
      • Editorial Board
      • Aims and Scope
      • Abstracting and Indexing
      • Bibliographic Information
      • Archive
    • Medicine International
      • Medicine International
      • Information for Authors
      • Editorial Policies
      • Editorial Board
      • Aims and Scope
      • Abstracting and Indexing
      • Bibliographic Information
      • Archive
  • Articles
  • Information
    • Information for Authors
    • Information for Reviewers
    • Information for Librarians
    • Information for Advertisers
    • Conferences
  • Language Editing
Spandidos Publications Logo
  • About
    • About Spandidos
    • Aims and Scopes
    • Abstracting and Indexing
    • Editorial Policies
    • Reprints and Permissions
    • Job Opportunities
    • Terms and Conditions
    • Contact
  • Journals
    • All Journals
    • Biomedical Reports
      • Information for Authors
      • Editorial Policies
      • Editorial Board
      • Aims and Scope
      • Abstracting and Indexing
      • Bibliographic Information
      • Archive
    • Experimental and Therapeutic Medicine
      • Information for Authors
      • Editorial Policies
      • Editorial Board
      • Aims and Scope
      • Abstracting and Indexing
      • Bibliographic Information
      • Archive
    • International Journal of Epigenetics
      • Information for Authors
      • Editorial Policies
      • Editorial Board
      • Aims and Scope
      • Abstracting and Indexing
      • Bibliographic Information
      • Archive
    • International Journal of Functional Nutrition
      • Information for Authors
      • Editorial Policies
      • Editorial Board
      • Aims and Scope
      • Abstracting and Indexing
      • Bibliographic Information
      • Archive
    • International Journal of Molecular Medicine
      • Information for Authors
      • Editorial Policies
      • Editorial Board
      • Aims and Scope
      • Abstracting and Indexing
      • Bibliographic Information
      • Archive
    • International Journal of Oncology
      • Information for Authors
      • Editorial Policies
      • Editorial Board
      • Aims and Scope
      • Abstracting and Indexing
      • Bibliographic Information
      • Archive
    • Medicine International
      • Information for Authors
      • Editorial Policies
      • Editorial Board
      • Aims and Scope
      • Abstracting and Indexing
      • Bibliographic Information
      • Archive
    • Molecular and Clinical Oncology
      • Information for Authors
      • Editorial Policies
      • Editorial Board
      • Aims and Scope
      • Abstracting and Indexing
      • Bibliographic Information
      • Archive
    • Molecular Medicine Reports
      • Information for Authors
      • Editorial Policies
      • Editorial Board
      • Aims and Scope
      • Abstracting and Indexing
      • Bibliographic Information
      • Archive
    • Oncology Letters
      • Information for Authors
      • Editorial Policies
      • Editorial Board
      • Aims and Scope
      • Abstracting and Indexing
      • Bibliographic Information
      • Archive
    • Oncology Reports
      • Information for Authors
      • Editorial Policies
      • Editorial Board
      • Aims and Scope
      • Abstracting and Indexing
      • Bibliographic Information
      • Archive
    • World Academy of Sciences Journal
      • Information for Authors
      • Editorial Policies
      • Editorial Board
      • Aims and Scope
      • Abstracting and Indexing
      • Bibliographic Information
      • Archive
  • Articles
  • Information
    • For Authors
    • For Reviewers
    • For Librarians
    • For Advertisers
    • Conferences
  • Language Editing
Login Register Submit
  • This site uses cookies
  • You can change your cookie settings at any time by following the instructions in our Cookie Policy. To find out more, you may read our Privacy Policy.

    I agree
Search articles by DOI, keyword, author or affiliation
Search
Advanced Search
presentation
Experimental and Therapeutic Medicine
Join Editorial Board Propose a Special Issue
Print ISSN: 1792-0981 Online ISSN: 1792-1015
Journal Cover
January-2023 Volume 25 Issue 1

Full Size Image

Sign up for eToc alerts
Recommend to Library

Journals

International Journal of Molecular Medicine

International Journal of Molecular Medicine

International Journal of Molecular Medicine is an international journal devoted to molecular mechanisms of human disease.

International Journal of Oncology

International Journal of Oncology

International Journal of Oncology is an international journal devoted to oncology research and cancer treatment.

Molecular Medicine Reports

Molecular Medicine Reports

Covers molecular medicine topics such as pharmacology, pathology, genetics, neuroscience, infectious diseases, molecular cardiology, and molecular surgery.

Oncology Reports

Oncology Reports

Oncology Reports is an international journal devoted to fundamental and applied research in Oncology.

Experimental and Therapeutic Medicine

Experimental and Therapeutic Medicine

Experimental and Therapeutic Medicine is an international journal devoted to laboratory and clinical medicine.

Oncology Letters

Oncology Letters

Oncology Letters is an international journal devoted to Experimental and Clinical Oncology.

Biomedical Reports

Biomedical Reports

Explores a wide range of biological and medical fields, including pharmacology, genetics, microbiology, neuroscience, and molecular cardiology.

Molecular and Clinical Oncology

Molecular and Clinical Oncology

International journal addressing all aspects of oncology research, from tumorigenesis and oncogenes to chemotherapy and metastasis.

World Academy of Sciences Journal

World Academy of Sciences Journal

Multidisciplinary open-access journal spanning biochemistry, genetics, neuroscience, environmental health, and synthetic biology.

International Journal of Functional Nutrition

International Journal of Functional Nutrition

Open-access journal combining biochemistry, pharmacology, immunology, and genetics to advance health through functional nutrition.

International Journal of Epigenetics

International Journal of Epigenetics

Publishes open-access research on using epigenetics to advance understanding and treatment of human disease.

Medicine International

Medicine International

An International Open Access Journal Devoted to General Medicine.

Journal Cover
January-2023 Volume 25 Issue 1

Full Size Image

Sign up for eToc alerts
Recommend to Library

  • Article
  • Citations
    • Cite This Article
    • Download Citation
    • Create Citation Alert
    • Remove Citation Alert
    • Cited By
  • Similar Articles
    • Related Articles (in Spandidos Publications)
    • Similar Articles (Google Scholar)
    • Similar Articles (PubMed)
  • Download PDF
  • Download XML
  • View XML
Case Report

Optic nerve sheath meningioma presenting as progressive visual disturbance during pregnancy: A case report

  • Authors:
    • Reina Utsugi
    • Yoshiko Okita
    • Naoki Kagawa
    • Haruhiko Kishima
  • View Affiliations / Copyright

    Affiliations: Department of Neurosurgery, Graduate School of Medicine, Osaka University, Suita, Osaka 565‑0871, Japan
  • Article Number: 65
    |
    Published online on: December 12, 2022
       https://doi.org/10.3892/etm.2022.11764
  • Expand metrics +
Metrics: Total Views: 0 (Spandidos Publications: | PMC Statistics: )
Metrics: Total PDF Downloads: 0 (Spandidos Publications: | PMC Statistics: )
Cited By (CrossRef): 0 citations Loading Articles...

This article is mentioned in:



Abstract

Meningiomas are often reported to be sensitive to progesterone, but it is not clear how pregnancy and childbirth affect this. A 41‑year‑old woman experienced two pregnancies and two deliveries. During the first pregnancy, her right visual acuity was impaired, but it recovered after delivery. However, during the second pregnancy, the right visual acuity was impaired again and did not recover after the second delivery. The magnetic resonance imaging revealed a right optic nerve sheath meningioma (ONSM). Surgical resection of the intracranial extension of the tumor was performed to prevent tumor invasion of the left optic nerve and optic chiasm. Pathological examination diagnosed meningioma with positive immunostaining for progesterone receptor. The present study provided clinical features of ONSM associated with pregnancy. ONSM may present with increased tumor growth and impaired vision with pregnancy.

Introduction

Optic nerve sheath meningiomas (ONSMs) are rare tumors that constitute 1-2% of all meningiomas and ~2% of all orbital tumors (1,2). ONSMs involve the optic nerve and extend to intracranial. In ONSMs having both an intraorbital and intracranial segment, clinical management to preserve visual function of optic apparatus adjacent to intracranial tumor may be challenging. Although meningioma is a benign tumor, it tends to be more aggressive during pregnancy. This is likely the result of tumor response to pregnancy-circulating hormones and homodynamic changes (3-7).

We report a patient with right visual impairment during two pregnancies, who was ultimately diagnosed with ONSM with positive immunostaining for progesterone receptor (PR). This study provides clinical features of ONSM associated with pregnancy. As ONSMs are originally slow-growing benign tumor, treatment strategy, combination of resection and advanced radiotherapy, based on long-term perspective seems to be necessary to prevent further spreading of the tumor not only to contralateral optic nerve but also to other intracranial structures involved in visual function.

Case report

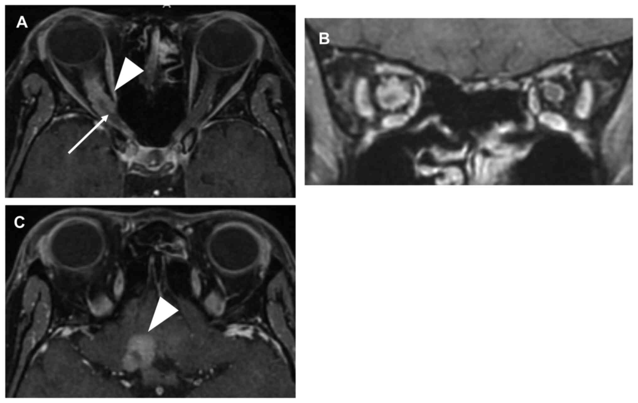
A 41-year-old woman felt visual impairment in the right eye, late in her first pregnancy. After the delivery, she received an ophthalmic examination and both visual acuity and field were normal. After 2 years, during late pregnancy with her second child, she became aware of slowly progressive visual deterioration in the right eye again. Two months after the second delivery, fundus examination showed swelling of the right optic disc. She was diagnosed with optic neuritis and received steroid pulse therapy. After 1 year, swelling of the right optic disc and right visual impairment had progressed. Her right eye's visual field was impaired, and she had developed lateral lower quadrantanopia. Furthermore, her right visual acuity worsened from 20/20 to 20/200 corrected visual acuity over the course of 1 year. She was admitted at our hospital and underwent magnetic resonance imaging (MRI). MRI revealed an intraconal tumor encasing the right optic nerve (Fig. 1A and B). The tumor extended through the optic canal to the right carotid artery and close to the optic chiasm (Figs. 1C and 2A). Surgical resection of the intracranial extension of the tumor was performed to prevent tumor invasion of the left optic nerve and the optic chiasm (Fig. 2B). After resection, the bilateral optic nerves were confirmed to be intact. The dura of the frontal base was coagulated and incised using a low-power bipolar system and micro dissection needle to prevent tumor invasion of the left optic nerve along the dura matter. The intraconal portion of the tumor encasing the right optic nerve was not resected to prevent compromising visual function. After intracranial tumor resection, her visual acuity maintained the presurgical value of 20/200 corrected visual acuity. The pathological findings suggested angiomatous meningioma, WHO Grade 1 with positive immunostaining for PR and negative for estrogen receptor (ER). Seven months after operation, her visual function did not deteriorate. MRI revealed no tumor size change during the 7-month observative follow-up period. There is a possibility that tumor size may be stable due to reduced influence of progesterone after delivery. We have planned adding high-precision radiotherapy when the tumor grows to achieve our goals of tumor control and preservation of visual function.

Figure 1

(A) Contrast-enhanced MRI showing thin right optic nerve (arrow) and ONSM encasing the right optic nerve (arrowhead). (B) MRI showing homogeneous enhancement with a ‘tram-track sign’ around the non-enhancing right optic nerve. (C) ONSM extends to the right carotid artery, close to the optic chiasm (arrowhead indicates meningioma). MRI, magnetic resonance imaging; ONSM, optic nerve sheath meningioma.

Figure 2

(A) Tumor (arrowhead) extended close to right optic nerve and carotid artery. (B) Intracranial extended tumor close to right optic nerve and carotid artery was resected. Right optic nerve and carotid artery were confirmed to be intact from tumor.

Discussion

ONSMs are rare and slow-growing benign tumors. Meningiomas may grow during pregnancy because of hormone receptor expression and homodynamic changes (3-7). Progesterone is thought to be a significant factor for meningioma growth during pregnancy. It has been shown that meningioma growth is enhanced in the progesterone-dominated luteal phase of the menstrual cycle (8). Sex steroid of a meningioma was associated with pregnancy, and showed significant expression of PR; whereas no significant expression of ER was observed (9). Surgery after pregnancy was found to be more frequent in patients with PR positive meningioma (3). Our patient presented with transient visual impairment during her first pregnancy, resolved after delivery, which reoccurred and gradually worsened with the second pregnancy. PR positive meningioma appears to be exacerbated by hormones circulating during pregnancy. However, it is controversial whether the growth of meningiomas during pregnancy is only due to the expression of PR. A study of the pathology of meningiomas during pregnancy found that the frequency of PR positivity during pregnancy was similar with the control group (6,10). Meningioma growth during pregnancy have the possibility to be affected by not only hormone receptor expression but also tumor location (6,11). Tumors adjacent to the optic apparatus may cause visual impairment during pregnancy. Pituitary adenoma, meningioma in skull base, and orbital schwannoma showed tumor growth and presented with visual impairment during pregnancy (11-15). In our case, the right optic nerve was encased by intraconal tumor and seemed to be vulnerable to visual impairment for tumor growth. On the other hand, in a few meningioma cases, symptoms subside and tumor size regresses after delivery (4,16,17). In our case, visual function and tumor size did not change during the 7-month observative follow-up period after delivery. We have planned adding high-precision radiotherapy when the tumor grows.

The primary treatment is complicated by the need to balance tumor curability and preservation of visual function. Conservative management is usually advocated when there is no significant visual dysfunction or progression of visual loss (18). Total resection is strongly associated with visual impairment because of pial vascular plexus damage, as well as incomplete resection of the tumor with local recurrence (1,19). As surgical intervention for ONSM has technical difficulty and postoperative deterioration of visual function, surgery for ONSM has largely been disregarded in favor of radiotherapy (20). Surgery is recommended for intracranial tumor extension that could cause loss of vision in the contralateral eye (1,18,19). In our case, the patient's right visual function gradually worsened during pregnancy but was still preserved. Our treatment goal was to not exacerbate right visual impairment and to preserve left visual function. Therefore, we not only resected the intracranial tumor segment, but also coagulated and incised the frontal base dura to prevent tumor invasion of the contralateral optic nerve.

Conventional radiotherapy has been widely used for ONSMs (21). Radiotherapy for ONSMs has the potential for late toxicity of the optic nerve and adjacent tissues, such as the optic chiasm, if included in the irradiation field. Recently intensity-modulated radiation therapy (IMRT) and stereotactic radiosurgery can result in significant visual improvements in selected cases, especially in cases with preservation of vision (22-24). In our case, the tumor had extended intracranially, close to the optic chiasm. Thus, surgery combined with new radiation modalities such as IMRT and stereotactic radiosurgery can be effective to avoid late radiotherapy toxicity of the optic nerve and the optic chiasm. In order to preserve contralateral visual function, our treatment plan involved resecting the portion of the tumor close to the optic chiasm and excluding the optic chiasm from the irradiation field. As ONSMs are originally slow-growing benign tumor, a careful treatment strategy based on long-term perspective, combining surgical resection and targeted radiotherapy, was necessary to prevent further spread of the tumor to the contralateral optic nerve and other intracranial structures.

In conclusion, this report describes a patient with ONSM who presented with progressive visual impairment during two pregnancies. ONSMs should be considered in cases of visual impairment that develop during pregnancy. Although ONSMs are typically slow-growing benign tumors, the treatment strategy should be based on preventing further spread of the tumor and preserving contralateral visual function. In ONSM patients who developed visual impairment, surgery may serve as an important but restricted adjuvant to radiotherapy.

Acknowledgements

Not applicable.

Funding

Funding: This work was supported by JST (grant no. JPMJPF2009).

Availability of data and materials

All data generated or analyzed during this study are included in this published article.

Authors' contributions

YO conceived and designed the study. RU acquired the data. RU, YO, NK and HK analyzed and interpreted the data and drafted the manuscript. YO and HK confirm the authenticity of all the raw data. All authors critically revised the manuscript for important intellectual content. All authors read and approved the final manuscript.

Ethics approval and consent to participate

The study was conducted according to the guidelines of the Declaration of Helsinki and approved by the Ethics Committee of Osaka University Hospital. Written informed consent was obtained from the patient.

Patient consent for publication

Written informed consent was obtained from the patient for publication of the data and images in this case report.

Competing interest

The authors declare that they have no competing interests.

References

1 

Dutton JJ: Optic nerve sheath meningiomas. Surv Ophthalmol. 37:167–183. 1992.PubMed/NCBI View Article : Google Scholar

2 

Parker RT, Ovens CA, Fraser CL and Samarawickrama C: Optic nerve sheath meningiomas: Prevalence, impact, and management strategies. Eye Brain. 10:85–99. 2018.PubMed/NCBI View Article : Google Scholar

3 

Carbone L, Somma T, Iorio GG, Vitulli F, Conforti A, Raffone A, Bove I, Pagano S, Pontillo M, Carbone IF, et al: Meningioma during pregnancy: What can influence the management? A case series and review of the literature. J Matern Fetal Neonatal Med. 35:8767–8777. 2022.PubMed/NCBI View Article : Google Scholar

4 

Chakravarthy V, Kaplan B, Gospodarev V, Myers H, De Los Reyes K and Achiriloaie A: Houdini tumor: Case report and literature review of pregnancy-associated meningioma. World Neurosurg. 114:e1261–e1265. 2018.PubMed/NCBI View Article : Google Scholar

5 

Iplikcioglu AC, Hatiboglu MA, Ozek E and Ozcan D: Is progesteron receptor status really a prognostic factor for intracranial meningiomas? Clin Neurol Neurosurg. 124:119–122. 2014.PubMed/NCBI View Article : Google Scholar

6 

Lusis EA, Scheithauer BW, Yachnis AT, Fischer BR, Chicoine MR, Paulus W and Perry A: Meningiomas in pregnancy: A clinicopathologic study of 17 cases. Neurosurgery. 71:951–961. 2012.PubMed/NCBI View Article : Google Scholar

7 

Pravdenkova S, Al-Mefty O, Sawyer J and Husain M: Progesterone and estrogen receptors: Opposing prognostic indicators in meningiomas. J Neurosurg. 105:163–173. 2006.PubMed/NCBI View Article : Google Scholar

8 

Hatiboglu MA, Cosar M, Iplikcioglu AC and Ozcan D: Sex steroid and epidermal growth factor profile of giant meningiomas associated with pregnancy. Surg Neurol. 69:356–362; discussion 362-3. 2008.PubMed/NCBI View Article : Google Scholar

9 

Smith JS, Quinones-Hinojosa A, Harmon-Smith M, Bollen AW and McDermott MW: Sex steroid and growth factor profile of a meningioma associated with pregnancy. Can J Neurol Sci. 32:122–127. 2005.PubMed/NCBI View Article : Google Scholar

10 

Giraldi L, Lauridsen EK, Maier AD, Hansen JV, Broholm H, Fugleholm K, Scheie D and Munch TN: Pathologic characteristics of pregnancy-related meningiomas. Cancers (Basel). 13(3879)2021.PubMed/NCBI View Article : Google Scholar

11 

Nossek E, Ekstein M, Barkay G, Shahar T, Gonen L, Rimon E, Kesler A and Margalit N: Visual deterioration during pregnancy due to skull base tumors compressing the optic apparatus. Neurosurg Rev. 38:473–479; discussion 479. 2015.PubMed/NCBI View Article : Google Scholar

12 

Hannon AM, Frizelle I, Kaar G, Hunter SJ, Sherlock M, Thompson CJ and O'Halloran DJ: Irish Pituitary Database Group. Octreotide use for rescue of vision in a pregnant patient with acromegaly. Endocrinol Diabetes Metab Case Rep. 2019:19–0019. 2019.PubMed/NCBI View Article : Google Scholar

13 

Johnson N, Sermer M, Lausman A and Maxwell C: Obstetric outcomes of women with intracranial neoplasms. Int J Gynaecol Obstet. 105:56–59. 2009.PubMed/NCBI View Article : Google Scholar

14 

Moscovici S, Fraifeld S, Cohen JE, Dotan S, Elchalal U, Shoshan Y and Spektor S: Parasellar meningiomas in pregnancy: Surgical results and visual outcomes. World Neurosurg. 82:e503–e512. 2014.PubMed/NCBI View Article : Google Scholar

15 

Sugo N, Yokota K, Nemoto M, Hatori T, Kano T, Goto S and Seiki Y: Accelerated growth of an orbital schwannoma during pregnancy. J Neuroophthalmol. 27:45–47. 2007.PubMed/NCBI View Article : Google Scholar

16 

Chacko JG, Miller JL and Angtuaco EJ: Spontaneous postpartum resolution of vision loss caused by a progesterone receptor-positive tuberculum sellae meningioma. J Neuroophthalmol. 30:132–134. 2010.PubMed/NCBI View Article : Google Scholar

17 

Kerschbaumer J, Freyschlag CF, Stockhammer G, Taucher S, Maier H, Thomé C and Seiz-Rosenhagen M: Hormone-dependent shrinkage of a sphenoid wing meningioma after pregnancy: Case report. J Neurosurg. 124:137–140. 2016.PubMed/NCBI View Article : Google Scholar

18 

Miller NR: New concepts in the diagnosis and management of optic nerve sheath meningioma. J Neuroophthalmol. 26:200–208. 2006.PubMed/NCBI View Article : Google Scholar

19 

Douglas VP, Douglas KAA and Cestari DM: Optic nerve sheath meningioma. Curr Opin Ophthalmol. 31:455–461. 2020.PubMed/NCBI View Article : Google Scholar

20 

Turbin RE, Wladis EJ, Frohman LP, Langer PD and Kennerdell JS: Role for surgery as adjuvant therapy in optic nerve sheath meningioma. Ophthalmic Plast Reconstr Surg. 22:278–282. 2006.PubMed/NCBI View Article : Google Scholar

21 

Turbin RE, Thompson CR, Kennerdell JS, Cockerham KP and Kupersmith MJ: A long-term visual outcome comparison in patients with optic nerve sheath meningioma managed with observation, surgery, radiotherapy, or surgery and radiotherapy. Ophthalmology. 109:890–899; discussion 899-900. 2002.PubMed/NCBI View Article : Google Scholar

22 

Inoue T, Mimura O, Ikenaga K, Okuno Y and Nishiguchi I: The rapid improvement in visual field defect observed with weekly perimetry during intensity-modulated radiotherapy for optic nerve sheath meningioma. Int Cancer Conf J. 8:136–140. 2019.PubMed/NCBI View Article : Google Scholar

23 

Liu D, Xu D, Zhang Z, Zhang Y, Li Y, Liu X, Jia Q, Zheng L and Song G: Long-term results of Gamma Knife surgery for optic nerve sheath meningioma. J Neurosurg. 113 (Suppl):S28–S33. 2010.PubMed/NCBI View Article : Google Scholar

24 

Sasano H, Shikishima K, Aoki M, Sakai T, Tsutsumi Y and Nakano T: Efficacy of intensity-modulated radiation therapy for optic nerve sheath meningioma. Graefes Arch Clin Exp Ophthalmol. 257:2297–2306. 2019.PubMed/NCBI View Article : Google Scholar

Related Articles

  • Abstract
  • View
  • Download
  • Twitter
Copy and paste a formatted citation
Spandidos Publications style
Utsugi R, Okita Y, Kagawa N and Kishima H: Optic nerve sheath meningioma presenting as progressive visual disturbance during pregnancy: A case report. Exp Ther Med 25: 65, 2023.
APA
Utsugi, R., Okita, Y., Kagawa, N., & Kishima, H. (2023). Optic nerve sheath meningioma presenting as progressive visual disturbance during pregnancy: A case report. Experimental and Therapeutic Medicine, 25, 65. https://doi.org/10.3892/etm.2022.11764
MLA
Utsugi, R., Okita, Y., Kagawa, N., Kishima, H."Optic nerve sheath meningioma presenting as progressive visual disturbance during pregnancy: A case report". Experimental and Therapeutic Medicine 25.1 (2023): 65.
Chicago
Utsugi, R., Okita, Y., Kagawa, N., Kishima, H."Optic nerve sheath meningioma presenting as progressive visual disturbance during pregnancy: A case report". Experimental and Therapeutic Medicine 25, no. 1 (2023): 65. https://doi.org/10.3892/etm.2022.11764
Copy and paste a formatted citation
x
Spandidos Publications style
Utsugi R, Okita Y, Kagawa N and Kishima H: Optic nerve sheath meningioma presenting as progressive visual disturbance during pregnancy: A case report. Exp Ther Med 25: 65, 2023.
APA
Utsugi, R., Okita, Y., Kagawa, N., & Kishima, H. (2023). Optic nerve sheath meningioma presenting as progressive visual disturbance during pregnancy: A case report. Experimental and Therapeutic Medicine, 25, 65. https://doi.org/10.3892/etm.2022.11764
MLA
Utsugi, R., Okita, Y., Kagawa, N., Kishima, H."Optic nerve sheath meningioma presenting as progressive visual disturbance during pregnancy: A case report". Experimental and Therapeutic Medicine 25.1 (2023): 65.
Chicago
Utsugi, R., Okita, Y., Kagawa, N., Kishima, H."Optic nerve sheath meningioma presenting as progressive visual disturbance during pregnancy: A case report". Experimental and Therapeutic Medicine 25, no. 1 (2023): 65. https://doi.org/10.3892/etm.2022.11764
Follow us
  • Twitter
  • LinkedIn
  • Facebook
About
  • Spandidos Publications
  • Careers
  • Cookie Policy
  • Privacy Policy
How can we help?
  • Help
  • Live Chat
  • Contact
  • Email to our Support Team