Spandidos Publications Logo
  • About
    • About Spandidos
    • Aims and Scopes
    • Abstracting and Indexing
    • Editorial Policies
    • Reprints and Permissions
    • Job Opportunities
    • Terms and Conditions
    • Contact
  • Journals
    • All Journals
    • Oncology Letters
      • Oncology Letters
      • Information for Authors
      • Editorial Policies
      • Editorial Board
      • Aims and Scope
      • Abstracting and Indexing
      • Bibliographic Information
      • Archive
    • International Journal of Oncology
      • International Journal of Oncology
      • Information for Authors
      • Editorial Policies
      • Editorial Board
      • Aims and Scope
      • Abstracting and Indexing
      • Bibliographic Information
      • Archive
    • Molecular and Clinical Oncology
      • Molecular and Clinical Oncology
      • Information for Authors
      • Editorial Policies
      • Editorial Board
      • Aims and Scope
      • Abstracting and Indexing
      • Bibliographic Information
      • Archive
    • Experimental and Therapeutic Medicine
      • Experimental and Therapeutic Medicine
      • Information for Authors
      • Editorial Policies
      • Editorial Board
      • Aims and Scope
      • Abstracting and Indexing
      • Bibliographic Information
      • Archive
    • International Journal of Molecular Medicine
      • International Journal of Molecular Medicine
      • Information for Authors
      • Editorial Policies
      • Editorial Board
      • Aims and Scope
      • Abstracting and Indexing
      • Bibliographic Information
      • Archive
    • Biomedical Reports
      • Biomedical Reports
      • Information for Authors
      • Editorial Policies
      • Editorial Board
      • Aims and Scope
      • Abstracting and Indexing
      • Bibliographic Information
      • Archive
    • Oncology Reports
      • Oncology Reports
      • Information for Authors
      • Editorial Policies
      • Editorial Board
      • Aims and Scope
      • Abstracting and Indexing
      • Bibliographic Information
      • Archive
    • Molecular Medicine Reports
      • Molecular Medicine Reports
      • Information for Authors
      • Editorial Policies
      • Editorial Board
      • Aims and Scope
      • Abstracting and Indexing
      • Bibliographic Information
      • Archive
    • World Academy of Sciences Journal
      • World Academy of Sciences Journal
      • Information for Authors
      • Editorial Policies
      • Editorial Board
      • Aims and Scope
      • Abstracting and Indexing
      • Bibliographic Information
      • Archive
    • International Journal of Functional Nutrition
      • International Journal of Functional Nutrition
      • Information for Authors
      • Editorial Policies
      • Editorial Board
      • Aims and Scope
      • Abstracting and Indexing
      • Bibliographic Information
      • Archive
    • International Journal of Epigenetics
      • International Journal of Epigenetics
      • Information for Authors
      • Editorial Policies
      • Editorial Board
      • Aims and Scope
      • Abstracting and Indexing
      • Bibliographic Information
      • Archive
    • Medicine International
      • Medicine International
      • Information for Authors
      • Editorial Policies
      • Editorial Board
      • Aims and Scope
      • Abstracting and Indexing
      • Bibliographic Information
      • Archive
  • Articles
  • Information
    • Information for Authors
    • Information for Reviewers
    • Information for Librarians
    • Information for Advertisers
    • Conferences
  • Language Editing
Spandidos Publications Logo
  • About
    • About Spandidos
    • Aims and Scopes
    • Abstracting and Indexing
    • Editorial Policies
    • Reprints and Permissions
    • Job Opportunities
    • Terms and Conditions
    • Contact
  • Journals
    • All Journals
    • Biomedical Reports
      • Information for Authors
      • Editorial Policies
      • Editorial Board
      • Aims and Scope
      • Abstracting and Indexing
      • Bibliographic Information
      • Archive
    • Experimental and Therapeutic Medicine
      • Information for Authors
      • Editorial Policies
      • Editorial Board
      • Aims and Scope
      • Abstracting and Indexing
      • Bibliographic Information
      • Archive
    • International Journal of Epigenetics
      • Information for Authors
      • Editorial Policies
      • Editorial Board
      • Aims and Scope
      • Abstracting and Indexing
      • Bibliographic Information
      • Archive
    • International Journal of Functional Nutrition
      • Information for Authors
      • Editorial Policies
      • Editorial Board
      • Aims and Scope
      • Abstracting and Indexing
      • Bibliographic Information
      • Archive
    • International Journal of Molecular Medicine
      • Information for Authors
      • Editorial Policies
      • Editorial Board
      • Aims and Scope
      • Abstracting and Indexing
      • Bibliographic Information
      • Archive
    • International Journal of Oncology
      • Information for Authors
      • Editorial Policies
      • Editorial Board
      • Aims and Scope
      • Abstracting and Indexing
      • Bibliographic Information
      • Archive
    • Medicine International
      • Information for Authors
      • Editorial Policies
      • Editorial Board
      • Aims and Scope
      • Abstracting and Indexing
      • Bibliographic Information
      • Archive
    • Molecular and Clinical Oncology
      • Information for Authors
      • Editorial Policies
      • Editorial Board
      • Aims and Scope
      • Abstracting and Indexing
      • Bibliographic Information
      • Archive
    • Molecular Medicine Reports
      • Information for Authors
      • Editorial Policies
      • Editorial Board
      • Aims and Scope
      • Abstracting and Indexing
      • Bibliographic Information
      • Archive
    • Oncology Letters
      • Information for Authors
      • Editorial Policies
      • Editorial Board
      • Aims and Scope
      • Abstracting and Indexing
      • Bibliographic Information
      • Archive
    • Oncology Reports
      • Information for Authors
      • Editorial Policies
      • Editorial Board
      • Aims and Scope
      • Abstracting and Indexing
      • Bibliographic Information
      • Archive
    • World Academy of Sciences Journal
      • Information for Authors
      • Editorial Policies
      • Editorial Board
      • Aims and Scope
      • Abstracting and Indexing
      • Bibliographic Information
      • Archive
  • Articles
  • Information
    • For Authors
    • For Reviewers
    • For Librarians
    • For Advertisers
    • Conferences
  • Language Editing
Login Register Submit
  • This site uses cookies
  • You can change your cookie settings at any time by following the instructions in our Cookie Policy. To find out more, you may read our Privacy Policy.

    I agree
Search articles by DOI, keyword, author or affiliation
Search
Advanced Search
presentation
Experimental and Therapeutic Medicine
Join Editorial Board Propose a Special Issue
Print ISSN: 1792-0981 Online ISSN: 1792-1015
Journal Cover
February-2023 Volume 25 Issue 2

Full Size Image

Sign up for eToc alerts
Recommend to Library

Journals

International Journal of Molecular Medicine

International Journal of Molecular Medicine

International Journal of Molecular Medicine is an international journal devoted to molecular mechanisms of human disease.

International Journal of Oncology

International Journal of Oncology

International Journal of Oncology is an international journal devoted to oncology research and cancer treatment.

Molecular Medicine Reports

Molecular Medicine Reports

Covers molecular medicine topics such as pharmacology, pathology, genetics, neuroscience, infectious diseases, molecular cardiology, and molecular surgery.

Oncology Reports

Oncology Reports

Oncology Reports is an international journal devoted to fundamental and applied research in Oncology.

Experimental and Therapeutic Medicine

Experimental and Therapeutic Medicine

Experimental and Therapeutic Medicine is an international journal devoted to laboratory and clinical medicine.

Oncology Letters

Oncology Letters

Oncology Letters is an international journal devoted to Experimental and Clinical Oncology.

Biomedical Reports

Biomedical Reports

Explores a wide range of biological and medical fields, including pharmacology, genetics, microbiology, neuroscience, and molecular cardiology.

Molecular and Clinical Oncology

Molecular and Clinical Oncology

International journal addressing all aspects of oncology research, from tumorigenesis and oncogenes to chemotherapy and metastasis.

World Academy of Sciences Journal

World Academy of Sciences Journal

Multidisciplinary open-access journal spanning biochemistry, genetics, neuroscience, environmental health, and synthetic biology.

International Journal of Functional Nutrition

International Journal of Functional Nutrition

Open-access journal combining biochemistry, pharmacology, immunology, and genetics to advance health through functional nutrition.

International Journal of Epigenetics

International Journal of Epigenetics

Publishes open-access research on using epigenetics to advance understanding and treatment of human disease.

Medicine International

Medicine International

An International Open Access Journal Devoted to General Medicine.

Journal Cover
February-2023 Volume 25 Issue 2

Full Size Image

Sign up for eToc alerts
Recommend to Library

  • Article
  • Citations
    • Cite This Article
    • Download Citation
    • Create Citation Alert
    • Remove Citation Alert
    • Cited By
  • Similar Articles
    • Related Articles (in Spandidos Publications)
    • Similar Articles (Google Scholar)
    • Similar Articles (PubMed)
  • Download PDF
  • Download XML
  • View XML
Case Report Open Access

Synchronous mucinous metaplasia and neoplasia of the female genital tract (SMMN‑FGT): A case report and literature review

  • Authors:
    • Hongliang Xu
    • Yong Chen
    • Shuguang Zhou
    • Caixia Zhao
    • Qin Wang
    • Man Tang
    • Weiqin Zhang
    • Heping Zhang
  • View Affiliations / Copyright

    Affiliations: Department of Pathology, Anhui Province Maternity and Child Health Hospital, Anhui Medical University, Hefei, Anhui 230000, P.R. China, Department of Gynecology, Anhui Province Maternity and Child Health Hospital, Anhui Medical University, Hefei, Anhui 230000, P.R. China
    Copyright: © Xu et al. This is an open access article distributed under the terms of Creative Commons Attribution License.
  • Article Number: 73
    |
    Published online on: December 19, 2022
       https://doi.org/10.3892/etm.2022.11772
  • Expand metrics +
Metrics: Total Views: 0 (Spandidos Publications: | PMC Statistics: )
Metrics: Total PDF Downloads: 0 (Spandidos Publications: | PMC Statistics: )
Cited By (CrossRef): 0 citations Loading Articles...

This article is mentioned in:



Abstract

The present study reported a case of Synchronous Mucinous Metaplasia and Neoplasia of the Female Genital Tract (SMMN‑FGT), which occurred in a 47‑year‑old woman. The patient complained of pelvic mass during a physical examination a month ago. Ultrasound examination found an anechoic spot in the left ovary and several anechoic spots were detected in the cervix. The patient underwent left adnexectomy and the left ovarian frozen section revealed a mucinous borderline tumor. Total abdominal hysterectomy and right salpingo‑oophorectomy were subsequently performed. Microscopically, multifocal mucinous lesions were involved in the female genital tract, including bilateral ovarian mucinous borderline tumor, cervical and endometrial mucinous adenocarcinoma and the bilateral fallopian tube epithelium showed mucinous metaplasia. Immunohistochemistry revealed that the tumor cells of the ovary, cervix and endometrium expressed MUC6, exhibiting features of gastric‑type differentiation. The Ki‑67 proliferative index was ~10‑70%. Cumulative evidence established SMMN‑FGT as the final histopathological diagnosis with International Federation of Gynecology and Obstetrics stage I. Following surgery, the patient received a course of pelvic radiotherapy and survived for 16 months.

Introduction

Synchronous Mucinous Metaplasia and Neoplasia of the Female Genital Tract (SMMN-FGT) is a multifocal mucinous lesion that occurs simultaneously in the female genital tract and was first described by Mikami et al (1). SMMN-FGT rarely occurs; ~35 cases have been reported in the literature (1-11). SMMN-FGT demonstrates a spectrum of morphological features, ranging from metaplasia without nuclear or architectural abnormalities to invasive mucinous adenocarcinoma, including minimal deviation adenocarcinoma (MDA) of the cervix and usually with gastric differentiation. Whether the disease process is the multifocal independent occurrence or the widespread dispersal from a single lesion is still controversial. The present study reported the clinical data, histological morphology and immunohistochemistry of this case and is expected to provide a further reference for the clinicopathological characteristics of the disease and the basis for its diagnosis and treatment.

Case study

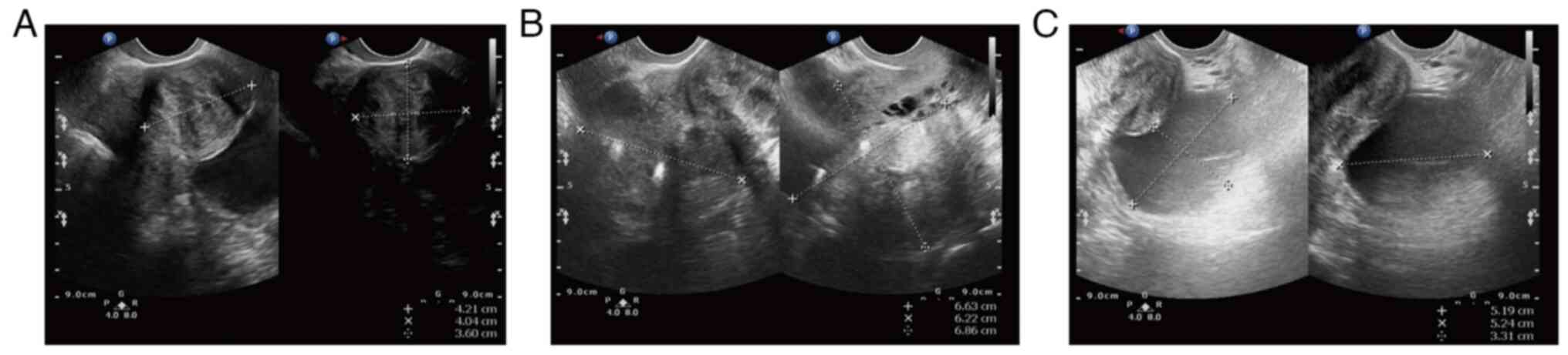
The patient was a 47-year-old married woman who complained of a pelvic mass during a physical examination a month ago (February, 2021). The preoperative transvaginal ultrasound displayed multiple inhomogeneous hypoechoic echoes without obvious blood flow signals in the uterine myometrium (the largest one on the right uterine wall, which occludes the right ovary; Fig. 1A and B). There was a 52x52x33 mm well-circumscribed anechoic spot in the left ovary without an obvious blood flow signal (Fig. 1C). Several anechoic spots were detected in the cervix, with a maximum diameter of 8 mm. The endometrium measured ~5 mm in thickness. Cervical liquid-based cytology (Thinprep cytologic test, TCT) was negative for intraepithelial lesions or malignant lesions and the high-risk HPV test was negative. The patient underwent left adnexectomy; a frozen section of the left ovarian revealed a mucinous borderline tumor. The patient underwent a rapid cytological examination of the peritoneal washing fluid and no tumor cells were found. Intraoperative examination of the appendix and other digestive tract organs showed no obvious abnormality. Total abdominal hysterectomy and bilateral salpingo-oophorectomy were subsequently performed.

Figure 1

Ultrasound images. (A) Multiple inhomogeneous hypoechoic echoes without obvious blood flow signals between the uterine muscle. (B) The uterus was measured ~69x66x62 mm. (C) A 52x52x33 mm anechoic area is visible in the left ovary without an unmistakable blood flow signal.

Gross presentation

The removed bilateral ovaries were measured 50x45x25 mm (left) and 32x20x15 mm (right) (grossly view of the specimen) in size and were multicystic tumors without conspicuous papillae in the cyst wall. The uterus body measured ~100x45x25 mm in size. Multiple grey-white nodules were in the intramural and subserosa of the uterus with a diameter of 2-48 mm. The thickness of the endometrium was 2-5 mm. The cervical canal was measured ~35 mm in length and 3 0 mm in diameter, with multiple cervical cystic lesions scattered in the endocervix. The bilateral fallopian tubes were grossly unremarkable.

Microscopic examination

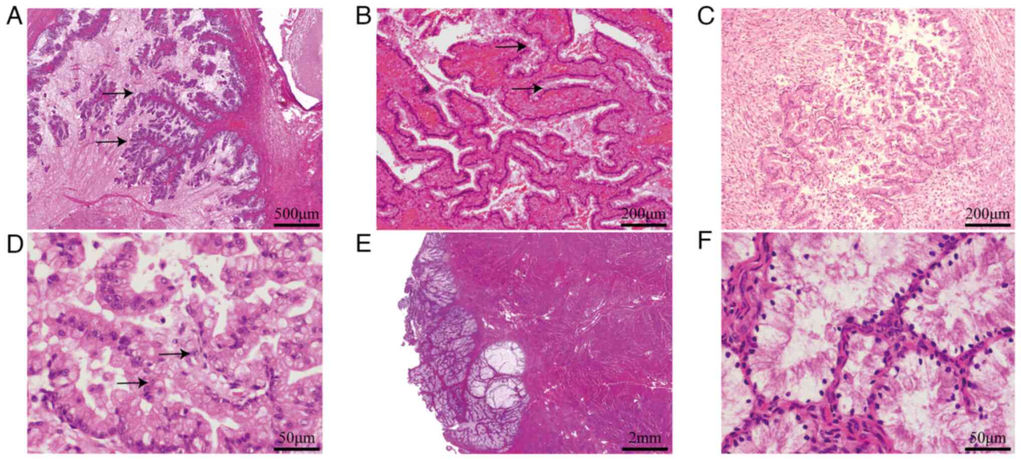
Bilateral ovarian tumors have similar histological features and contain multiple cysts lined by gastric-type mucinous epithelium showing variable degrees of stratification, tufting and villous or slender filiform papillae. Tumor cells are generally low-grade nuclear atypia. Mitotic activity is predominantly present in crypts and less prominent on the luminal surface (Fig. 2A). The bilateral fallopian tube mucosal epithelium showed focal mucinous metaplasia (Fig. 2B).

Figure 2

Histological features of tumors of each genital tract. (A) The ovarian tumor showed a mucinous tumor with abundant cytoplasm and pale-staining, focal papillary growth (black arrows) and mild nuclear atypia (magnification, x100). (B) Fallopian tubes showed focal mucinous metaplasia of the epithelium without atypia (black arrows; magnification: x100). (C) Cervical tumor was a well-differentiated mucinous tumor with superficial invasive growth (magnification, x100). (D) Cervical tumor cells are rich in mucus, with mild nuclear atypia and rare mitoses (black arrows; magnification, x400). (E) Endometrial mucinous neoplasm with nodular expansile infiltrative growth (magnification, x20). (F) Endometrial tumor cells with a small nucleus and gastric-type differentiation (magnification, x400). Hematoxylin and eosin staining.

The cervical lesion in the internal cervical canal displayed a well-differentiated mucinous adenocarcinoma with focal superficial invasion and is surrounded by lobular endocervical glandular hyperplasia (LEGH; Fig. 2C). The tumor was confined to the cervix without vascular invasion and did not invade beyond the lower uterus. The tumor cells with abundant clear pale eosinophilic cytoplasm and distinct cell borders. The cytoplasm contained neutral mucins, which stained pale pinkish-red. (Fig. 2D).

The mucinous endometrial tumor showed a nodular expansive growth pattern and invaded the superficial myometrium (3/15 mm) without vascular invasion (Fig. 2E). It had similar morphological features to the cervical tumor, such as abundant cytoplasm containing mucins and atypical mitoses were present but inconspicuous (Fig. 2F). The background endometrium displayed hyperplasia.

Immunohistochemical findings

Immunohistochemically, ovarian tumor cells expressed MUC6, CK7, PAX8 (Fig. 3A-C), a Ki-67 proliferation index of ~70% (Fig. 3D) and were negative for ER, PR, CDX-2, CK20 (data not shown). Cervical tumor cells expressed MUC6 (Fig. 3E), were negative for P16 and P53 (Fig. 3F and G) and had a Ki-67 proliferation index of ~50% (Fig. 3H). Endometrial tumor cells expressed MUC6 (Fig. 3I), were negative for ER, PR (Fig. 3J and K), P16 and P53 (data not shown) and the Ki-67 proliferation index was ~10% (Fig. 3L).

Figure 3

Immunoprofiling of tumor cells. Ovarian tumors positive for (A) MUC6, (B) CK7, (C) PAX-8, (D) Ki-67 proliferation index was ~70% (magnification, x100). Cervical tumors positive for (E) MUC6, (F) negative for P16 and (G) P53 (magnification, x40), (H) Ki-67 proliferation index was ~50% (magnification, x100). Endometrial tumors positive for (I) MUC6, negative for (J) ER and (K) PR (magnification, x200). (L) Ki-67 proliferation index was ~10% (magnification, x100).

The patient underwent gastroscopy and colonoscopy following surgery and no gastrointestinal lesions were found. Combined with the clinical visualization, histological features and immunohistochemical results, the primary diagnosis was ascertained as SMMN-FGT by the International Federation of Gynecology and Obstetrics stage I (12), including mucinous borderline tumor (MBT) of the bilateral ovaries, gastric-type cervical adenocarcinoma (GCA), endometrial mucinous adenocarcinoma and fallopian tubes epithelium mucinous metaplasia. The secondary diagnosis was multiple uterine leiomyomas. The patient was been referred to a course of pelvic radiotherapy followed surgery. The follow-up showed that the patient was alive and disease-free at 16 months after surgery.

Discussion

Mucinous lesions that occur in two or more sites of the female genital tract simultaneously, including the cervix, endometrium, ovary, or fallopian tube, are rare. Occasionally, the involvement of the urethral orifice and peritoneum has also been reported (2). These rare mucinous lesions are termed SMMN-FGT. The distinguishing feature of SMMN-FGT is that all tumors co-occur and exhibit features of gastric-type differentiation, such as expression of MUC6 and/or HIK-1083. Most of the cervix lesions are GCA which is usually called MDA when it is extremely well-differentiated. The 5th WHO Classification of female genital tract tumors (13) classifies it as HPV-independent adenocarcinoma due to its different pathogenesis from traditional cervical adenocarcinoma. Some patients are also accompanied by Peutz-Jeghers syndrome (14). Molecular genetics may be related to the mutation of STK11(15) and KRAS (16).

To the best of the authors' knowledge, ~35 cases of SMMN-FGT have been reported in the literature (Table I) (1-11). The age of the patients ranged from 33-83 years (mean, 51 years old). The clinical manifestations of SMMN-FGT are not exclusive. Most patients complained of irregular vaginal bleeding, vaginal discharge, or abdominal discomfort; some patients exhibit atypical glandular cells on cervical cytology. The patient in the present study was a middle-aged woman diagnosed with a pelvic mass by physical examination but without other symptoms. The negative cytology result may be that the materials could not be effectively collected because of the mucinous lesions confined to the internal cervical canal. In addition, in traditional cervical cancer screening (cervical cytology combined with HPV test) it is easy to miss the lesions because it is HPV-independent.

Table I

Clinical and pathological features of 35 patients with SMMN-FGT.

Table I

Clinical and pathological features of 35 patients with SMMN-FGT.

Author, yearCaseAgeSymptomsCervixEndometriumTubeOvaryRemarksFIGOTreatmentFollow-up(Refs.)
Giles et al, 1994148Irregular vaginal bleedingMucinous adenocarcinomaPapillary mucinous adenocarcinomaMucinous carcinoma in situInvasive mucinous adenocarcinoma, mucinous cystadenomaN/AN/ATAH + BSO + RTDisease-free survival (9 months)(8)
Jackson- York et al, 1992248Irregular vaginal bleedingPapillary mucinous adenocarcinoma, AISNormalPapillary mucinous carcinoma (left)Metastatic adenocarcinoma (left)N/AN/ATAH + BSON/A(7)
Anjarwalla et al, 2007365Urinary incontinence 18 monthsCervical agenesisMucinous metaplasiaPseudopyloric metaplasiaAtypical mucinous epithelium (left)Entire genital epithelial surface replaced by müllerian epithelialN/ATAH + BSODisease-free survival (20 months)(9)
Nagahama et al, 2013452Increased vaginal dischargeLEGHMucinous metaplasiaNormalNormalPeritoneal cytology revealed several mucin- containing epithelial clustersN/ATAH + BSO, paclitaxel- carboplatin 5 coursesN/A(3)
Mangili et al, 2004541Left adnexal mass, abdominal painMDASimplex hyperplasia with a component of clear cell metaplasiaMucinous metaplasiaMBT (left)PJSN/ATAH + BSODisease-free survival (21 months)(6)
Ikeda et al, 2015673AVD, lower abdominal painMucinous adenocarcinomaMucinous adenocarcinomaNormalMBTExternal urethral meatus neoplasmN/ATAH + BSO, partial omentectomy, appendectomy and mesenteric and external urethral meatus neoplasm resection, chemotherapyLung metastases were found after 6 months(2)
Lu et al, 2019757AVDGCAMucinous metaplasiaMBT (left)NormalHPV 16 positiveN/ATAH + BSON/A(4)
Xu et al, 2021844Abdominal massGastric-type mucinous hyperplasiaMucinous metaplasiaNormalMucinous cystadenomaKRAS G13D mutationN/ATAH + right salpingo- oophorectomyN/A(10)
Gu et al, 2018937-70 Average 54AVD, abdominal massGastric-type mucinous hyperplasiaLEGHMucinous metaplasia (right)Mucinous cystadenom a (left)N/AN/ATAH + BSODisease-free survival (2-34 months) without relapse(5)
 10 AVDAIS, LEGH, ALEGHAIS, LEGH, ALEGHNormalMucinous cystadenomaN/AN/ATAH + BSO  
 11 AVDGCAGastric-type adenocarcinoma, mucinous metaplasia, MDAMucinous metaplasia (right)NormalNormalN/ATAH + BSO + PEL, RT, chemotherapy  
 12 Abdominal massGCA, LEGH, ALEGHLEGH, ALEGHMucinous metaplasia (left)Mucinous cystadenomaN/AN/ATAH + BSO, chemotherapy  
 13 AVDGCA, MDAGastric-type adenocarcinoma, mucinous metaplasia, MDAMucinous metaplasia (right)NormalTumor invades lymph nodes and blood vesselsN/ATAH + BSO + PEL + PAN, RT, chemotherapy  
 14 AVDGCA, MDAGastric-type adenocarcinoma, mucinous metaplasia, MDAAIS (left)NormalVagina invadingN/ATAH + BSO + PEL, RT, chemotherapy  
 15 AVDAIS, LEGH, ALEGHAIS, LEGH, ALEGHMucinous cystadenoma (right)NormalN/AN/ATAH + BSO  
Mikami et al, 20091647AGC on Pap smearsMDA, AIS, LEGHMucinous adenocarcinoma, mucinous metaplasiaMucinous cystadenomaNormalPeritoneal washing positiveIATAH + BSODisease-freel surviva (36 months)(1)
 1760Abdominal painMDA, AIS, LEGHMucinous metaplasia, LEGHMBTMBTN/AIATAH + BSODisease-free survival (37 months) 
 1865AGC on Pap smearsMDA, AIS, LEGHMucinous metaplasiaMucinous metaplasiaNormalPeritoneal washing positiveIATAH + BSO, chemotherapyDisease-free survival (102 months) 
 1962AGC on Pap smearsMDA, AIS, LEGHMucinous adenocarcinoma, mucinous metaplasiaMBTNormalVagina invadingIIATAH + BSO + PEL + PAN, chemotherapyDied after 62 months 
 2039AGC on Pap smearsAIS, LEGHMucinous adenocarcinoma, mucinous metaplasiaNormalNormalN/ANATAH + BSO + PEL, chemotherapyDisease-free survival (13 months) 
 2183Ovarian cystNormalMucinous metaplasia, LEGHMBTMBTPeritoneal washing positiveICTAH + BSODisease-free survival (25 months) 
Chen et al, 20222256AVDCervicitisALEGHMucinous metaplasia (right)Mucinous metaplasia (left)N/AN/ATAH + BSODisease-free survival (80 months)(11)
 2337AVDALEGH, GCA in situMucious metaplasiaGastric adenomatous metaplasia (left)Mucinous cystadenomaN/AN/ATAO + BSODisease-free survival (75 months) 
 2441AVD, Ovarian cystGCAGastric-type adenocarcinomaNormalMucinous cystadenomaN/AN/ATAO + BSODisease-free survival (64 months) 
 2536AGC on Pap smearsMDAMDAMucinous carcinoma (right)Mucinous carcinoma (right)Vaginal wall (+), Parametrium (+)N/ARH + RSO + BPLND + OMT + AEDisease-free survival (60 months) 
 2649Ovarian cystALEGH, GCAGastric-type adenocarcinomaGastric-type adenocarcinoma (left)MBT (left)N/AN/ATAH + LSODisease-free survival (52 months) 
 2754AVDGCAGastric-type adenocarcinomaMucinous metaplasia (Gastric type, right)Brenner tumor (right)N/AN/ATAH + BSO + EPH + BPLND + PALNDDied after 36 months 
 2833AVBLEGHMucinous metaplasia, gastric-typeMucinous metaplasia, gastric-typeReserved, not checkedN/AN/ATAH + BSDisease-free survival (43 months) 
 2946Ovarian cystALEGHALEGHNormalMucinous cystadenoma (right)N/AN/ATAH + RSODisease-free survival (42 months) 
 3046AVDMDAMDANormalMBT (left)N/AN/ATAH + BSODisease-free survival (36 months) 
 3139AVDLEGHMucinous metaplasia, Gastric-typeNormalReserved, not checkedN/AN/ATAH + BS + BBODisease-free survival (36 months) 
 3251Ovarian cystLEGH, ALEGHLEGHLEGH (right)Mucinous cystadenoma (right)N/AN/ATAH + RSODisease-free survival (33 months) 
 3337AVBLEGHLEGHNormalReserved, not checkedN/AN/ATAH + BSDisease-free survival (29 months) 
 3452AVD/AVBGCAMucinous metaplasiaMucinous metaplasia (left)NormalVaginal wall (+)N/ARH + BSO + BPLNDDisease-free survival (14 months) 
Hongliang et al, 20223547Abdominal massGCAMucinous adenocarcinomaMucinous metaplasiaMBTN/AIATAH + BSO, RTDisease-free survival (16 months)Present case

[i] AVD, abnormal vaginal drainage; AVB, abnormal vaginal bleeding; AGC, atypical glandular cell; GCA, gastric-type cervical adenocarcinoma; AIS, adenocarcinoma in situ; LEGH, lobular endocervical glandular hyperplasia; ALEGH, atypical lobular endocervical glandular hyperplasia; MDA, minimal deviation adenocarcinoma; MBT, mucinous borderline tumor; TAH, total abdominal hysterectomy; BSO, bilateral salpingo-oophorectomy; PEL, pelvic lymphadenectomy, PAN, para-aortic lymphadenectomy; RT, radiotherapy; RH, radical hysterectomy; RSO, right salpingo-oophorectomy; PALND, para-aortic lymph node dissection; OMT, omentectomy; AE, appendectomy; LSO, left salpingo-oophorectomy; EPH, extensive parametrial hysterectomy; BPLND, bilateral pelvic lymph node dissection; BS, bilateral salpingectomy; glands; BBO, biopsy of both ovaries; N/A, not available.

Among the described cases, 23 cases showed gastric-type cervical mucinous adenocarcinoma and three cases without cervical mucinous lesions. 15 cases of endometrial lesions manifested as mucinous adenocarcinoma, nine cases were mucinous metaplasia and eight showed occasional villoglandular growth associated with LEGH. A total of 12 cases of fallopian tube lesions were mucinous metaplasia, five cases were mucinous carcinomas and four cases were mucinous borderline tumors. A total of seven cases of the ovarian lesions were mucinous borderline tumors, eight were mucinous cystadenoma and three were ovarian mucinous carcinoma. Among the 35 cases, 21 cases involved three sites of the female genital tracts and 10 cases involved four sites. In the patient in the present study, mucinous lesions involved four sites of the genital tracts, including the cervix, endometrium, bilateral ovaries and fallopian tubes. The cervix and endometrium were gastric-type adenocarcinomas, bilateral ovaries were MBT and bilateral fallopian tube epithelium were mucinous metaplasia.

The primary differential diagnosis of SMMN-FGT is metastatic ovarian mucinous adenocarcinoma. Notably, Metastatic ovarian mucinous adenocarcinoma closely resembles primary or mucinous borderline tumors and requires close macroscopic and microscopic observations combined with clinical information for accurate identification. The features of metastatic ovarian mucinous adenocarcinoma from cervical cancer were described by Young and Scully (17) including i) The ovarian tumor may metastasize from cervical cancer if the ovarian and cervical cancer occur at a similar time; ii) tumors are usually present in bilateral ovaries, iii) tumor implants visible on the surface of the ovary, iv) cervical and ovarian tumors have similar histological features, v) Cervical tumor usually infiltrates deep myometrium, vi) cervical tumor widely spread, vii) tumor invades lymph nodes and blood vessels and viii) deficiency of mucous metaplasia of the fallopian tubes or endometrial lining. Moreover, well-differentiated mucinous adenocarcinoma of the digestive tract, such as well-differentiated mucinous adenocarcinoma of the gallbladder, metastases to the cervix and ovary, possesses similar morphological features to cervical MDA and ovarian mucinous cystadenoma. In the present case, the mucinous tumors existed on cervical, bilateral ovaries and endometrium with similar histological characteristics, but the lower uterine segment, ovarian surface and blood vessels were without tumor invasion, which demonstrated the ovarian tumor was not metastasized from the cervical tumor. Moreover, the endometrial and cervical tumors were limited to the superficial myometrium. Combined with the clinical features, imaging findings, histology and immunohistochemistry, the ovarian, endometrial and cervical tumor occurred simultaneously. Cumulative evidence established SMMN-FGT as the final histopathological diagnosis.

Treatment of SMMN-FGT is usually based on the stage of the co-existing adenocarcinoma. Total abdominal hysterectomy (TAO) and bilateral salpingo-oophorectomy (BSO) are sufficient for early staging. Most of the 22 reported cases were treated with TAO and BSO. Some patients received adjuvant radiotherapy and chemotherapy after surgery. The prognosis of patients is mainly related to the staging of the most severe lesions (1). One patient died 62 months after surgery because the lesions invaded the vaginal wall and reoccurred 9 months after surgery. The follow-up of other patients ranged from 2-102 months and they survived disease-free. In the present case, the patient underwent a rapid cytological examination of the peritoneal washing fluid during the operation and the results showed that no tumor cells were found. The appearance of the resected tumor was limited to the ovary and the surface of the ovary was smooth and no tumor was observed. Therefore, no omentectomy was performed during the clinical operation, but this may also be where treatment is inadequate. Finally, the patient underwent TAO, BSO and a course of radiotherapy following surgery. The patient was disease-free 16 months following the completion of the therapy.

The present study reported a case of SMMN-FGT that occurred in a 47-year-old woman, including the clinical symptoms, ultrasound display, gross appearance, microscopic examination and immunohistochemical findings. However, there are some limitations to the present study. First, the images of an MRI or CT scan on the pelvis before surgery were not taken as the preoperative clinical diagnosis was of a benign ovarian cyst. In addition, the tumors of the cervix and endometrium were inconspicuous, so the present study collected a large number of cervical and endometrial tissues for diagnosis, only to find superficial tumor lesions and that the gross specimen was damaged, so the present study lacked an image displaying the gross characteristics of this rare tumor.

The present study presented a case of SMMN-FGT, which existed in the cervix, endometrium and bilateral annex. Immunohistochemistry showed that the tumor cells were positive for gastric-type marker MUC6. Further studies are of great significance to characterize clinical features of this rare disease for differential diagnosis and effective therapy.

Acknowledgements

Not applicable.

Funding

Funding: The present study was supported by Anhui Medical University Funding Project (grant no. 2020xkj066).

Availability of data and materials

The datasets used and/or analyzed during the current study are available from the corresponding author on reasonable request.

Authors' contributions

HX contributed to the original conception of the study, data analyses and wrote the manuscript. YC acquired hematoxylin and eosin staining, immunohistochemical and ultrasound images. SZ performed the surgery and contributed to the acquisition of data. CZ and QW provided pathological diagnosis. MT performed tissue specimen collection. WZ prepared hematoxylin and eosin and immunohistochemical sections. HZ performed the analysis of the data and revised the manuscript. All authors read and approved the final manuscript. HX and YC confirmed the authenticity of all the raw data.

Ethics approval and consent to participate

Ethics approval was obtained from the Ethics Committee of Anhui Medical University (approval no. 81220058) and Anhui Province Maternity and Child Health Hospital (approval no. YYLL2022-2020xkj066-11-1.0).

Patient consent for publication

Written informed consent for publication was obtained from patient, including the patient's data and images.

Competing interests

The authors declare that they have no competing interests.

References

1 

Mikami Y, Kiyokawa T, Sasajima Y, Teramoto N, Wakasa T, Wakasa K and Hata S: Reappraisal of synchronous and multifocal mucinous lesions of the female genital tract: A close association with gastric metaplasia. Histopathology. 54:184–191. 2009.PubMed/NCBI View Article : Google Scholar

2 

Ikeda Y, Yasuda M, Kato T, Yano Y, Kurosaki A and Hasegawa K: Synchronous mucinous metaplasia and neoplasia of the female genital tract with external urethral meatus neoplasm: A case report. Gynecol Oncol Rep. 12:27–30. 2015.PubMed/NCBI View Article : Google Scholar

3 

Nagahama K, Yamanaka S, Nakayama T, Tokinaga A, Asai-Sato M, Miyagi E, Tanaka R and Furuya M: A case of synchronous mucinous metaplasia and neoplasia of the female genital tract without an STK11 or KRAS mutation. Gynecol Oncol Case Rep. 5:4–5. 2013.PubMed/NCBI View Article : Google Scholar

4 

Lu J, Gao L, Yu H, Xia L, Guo X and Zheng F: A patient from Zhejiang, China, with synchronous mucinous metaplasia and neoplasms of the female genital tract: A case report. J Obstet Gynaecol Res. 45:1382–1385. 2019.PubMed/NCBI View Article : Google Scholar

5 

Gu WY, Tao X, Zhang LL, Wang L, Zhou XR and Ning Y: Synchronous mucinous metaplasia and neoplasia of the female genital tract. Zhonghua Bing Li Xue Za Zhi. 47:845–850. 2018.PubMed/NCBI View Article : Google Scholar : (In Chinese).

6 

Mangili G, Taccagni G, Garavaglia E, Carnelli M and Montoli S: An unusual admixture of neoplastic and metaplastic lesions of the female genital tract in the Peutz-Jeghers Syndrome. Gynecol Oncol. 92:337–342. 2004.PubMed/NCBI View Article : Google Scholar

7 

Jackson-York GL and Ramzy I: Synchronous papillary mucinous adenocarcinoma of the endocervix and fallopian tubes. Int J Gynecol Pathol. 11:63–67. 1992.PubMed/NCBI View Article : Google Scholar

8 

Giles A, Yoon J and Lindley R: Multifocal mucinous neoplasia of the female genital system. Histopathology. 25:281–283. 1994.PubMed/NCBI View Article : Google Scholar

9 

Anjarwalla S, Rollason TP, Rooney N and Hirschowitz L: Atypical mucinous metaplasia and intraepithelial neoplasia of the female genital tract-a case report and review of the literature. Int J Gynecol Cancer. 17:1147–1150. 2007.PubMed/NCBI View Article : Google Scholar

10 

Xu ZY, Wu J, Song XX, Meng G and Gui ZH: A case of Synchronous Mucinous Metaplasia and Neoplasia of the Female Genital Tract with KRAS gene mutation. Chin J Clin and Experiment Pathol. 37:1147–1148. 2021.(In Chinese).

11 

Chen M, Li J-J, Tao X, Zhu C-Q, Dong X-H, Yao L-Q and Li Q: Clinical analysis of 14 cases of synchronous mucinous metaplasia and neoplasia of the female genital tract. Fudan Univ J Med Sci. 49:402–410. 2022.

12 

Bhatla N and Denny L: FIGO cancer report 2018. Int J Gynaecol Obstet. 143 (Suppl 2):S2–S3. 2018.PubMed/NCBI View Article : Google Scholar

13 

Lokuhetty D, White VA and Watanabe R: Female genital Tumours. In: WHO Classification of Tumours. Vol 4. 5th Edition. Internal Agency for Research on Cancer (IARC), Lyon, 2020.

14 

Banno K, Kisu I, Yanokura M, Masuda K, Ueki A, Kobayashi Y, Hirasawa A and Aoki D: Hereditary gynecological tumors associated with Peutz-Jeghers syndrome (Review). Oncol Lett. 6:1184–1188. 2013.PubMed/NCBI View Article : Google Scholar

15 

Kuragaki C, Enomoto T, Ueno Y, Sun H, Fujita M, Nakashima R, Ueda Y, Wada H, Murata Y, Toki T, et al: Mutations in the STK11 gene characterize minimal deviation adenocarcinoma of the uterine cervix. Lab Invest. 83:35–45. 2003.PubMed/NCBI View Article : Google Scholar

16 

Yoo SH, Park BH, Choi J, Yoo J, Lee SW, Kim YM and Kim KR: Papillary mucinous metaplasia of the endometrium as a possible precursor of endometrial mucinous adenocarcinoma. Mod Pathol. 25:1496–1507. 2012.PubMed/NCBI View Article : Google Scholar

17 

Young RH and Scully RE: Mucinous ovarian tumors associated with mucinous adenocarcinomas of the cervix. A clinicopathological analysis of 16 cases. Int J Gynecol Pathol. 7:99–111. 1988.PubMed/NCBI View Article : Google Scholar

Related Articles

  • Abstract
  • View
  • Download
  • Twitter
Copy and paste a formatted citation
Spandidos Publications style
Xu H, Chen Y, Zhou S, Zhao C, Wang Q, Tang M, Zhang W and Zhang H: Synchronous mucinous metaplasia and neoplasia of the female genital tract (SMMN‑FGT): A case report and literature review. Exp Ther Med 25: 73, 2023.
APA
Xu, H., Chen, Y., Zhou, S., Zhao, C., Wang, Q., Tang, M. ... Zhang, H. (2023). Synchronous mucinous metaplasia and neoplasia of the female genital tract (SMMN‑FGT): A case report and literature review. Experimental and Therapeutic Medicine, 25, 73. https://doi.org/10.3892/etm.2022.11772
MLA
Xu, H., Chen, Y., Zhou, S., Zhao, C., Wang, Q., Tang, M., Zhang, W., Zhang, H."Synchronous mucinous metaplasia and neoplasia of the female genital tract (SMMN‑FGT): A case report and literature review". Experimental and Therapeutic Medicine 25.2 (2023): 73.
Chicago
Xu, H., Chen, Y., Zhou, S., Zhao, C., Wang, Q., Tang, M., Zhang, W., Zhang, H."Synchronous mucinous metaplasia and neoplasia of the female genital tract (SMMN‑FGT): A case report and literature review". Experimental and Therapeutic Medicine 25, no. 2 (2023): 73. https://doi.org/10.3892/etm.2022.11772
Copy and paste a formatted citation
x
Spandidos Publications style
Xu H, Chen Y, Zhou S, Zhao C, Wang Q, Tang M, Zhang W and Zhang H: Synchronous mucinous metaplasia and neoplasia of the female genital tract (SMMN‑FGT): A case report and literature review. Exp Ther Med 25: 73, 2023.
APA
Xu, H., Chen, Y., Zhou, S., Zhao, C., Wang, Q., Tang, M. ... Zhang, H. (2023). Synchronous mucinous metaplasia and neoplasia of the female genital tract (SMMN‑FGT): A case report and literature review. Experimental and Therapeutic Medicine, 25, 73. https://doi.org/10.3892/etm.2022.11772
MLA
Xu, H., Chen, Y., Zhou, S., Zhao, C., Wang, Q., Tang, M., Zhang, W., Zhang, H."Synchronous mucinous metaplasia and neoplasia of the female genital tract (SMMN‑FGT): A case report and literature review". Experimental and Therapeutic Medicine 25.2 (2023): 73.
Chicago
Xu, H., Chen, Y., Zhou, S., Zhao, C., Wang, Q., Tang, M., Zhang, W., Zhang, H."Synchronous mucinous metaplasia and neoplasia of the female genital tract (SMMN‑FGT): A case report and literature review". Experimental and Therapeutic Medicine 25, no. 2 (2023): 73. https://doi.org/10.3892/etm.2022.11772
Follow us
  • Twitter
  • LinkedIn
  • Facebook
About
  • Spandidos Publications
  • Careers
  • Cookie Policy
  • Privacy Policy
How can we help?
  • Help
  • Live Chat
  • Contact
  • Email to our Support Team