Spandidos Publications Logo
  • About
    • About Spandidos
    • Aims and Scopes
    • Abstracting and Indexing
    • Editorial Policies
    • Reprints and Permissions
    • Job Opportunities
    • Terms and Conditions
    • Contact
  • Journals
    • All Journals
    • Oncology Letters
      • Oncology Letters
      • Information for Authors
      • Editorial Policies
      • Editorial Board
      • Aims and Scope
      • Abstracting and Indexing
      • Bibliographic Information
      • Archive
    • International Journal of Oncology
      • International Journal of Oncology
      • Information for Authors
      • Editorial Policies
      • Editorial Board
      • Aims and Scope
      • Abstracting and Indexing
      • Bibliographic Information
      • Archive
    • Molecular and Clinical Oncology
      • Molecular and Clinical Oncology
      • Information for Authors
      • Editorial Policies
      • Editorial Board
      • Aims and Scope
      • Abstracting and Indexing
      • Bibliographic Information
      • Archive
    • Experimental and Therapeutic Medicine
      • Experimental and Therapeutic Medicine
      • Information for Authors
      • Editorial Policies
      • Editorial Board
      • Aims and Scope
      • Abstracting and Indexing
      • Bibliographic Information
      • Archive
    • International Journal of Molecular Medicine
      • International Journal of Molecular Medicine
      • Information for Authors
      • Editorial Policies
      • Editorial Board
      • Aims and Scope
      • Abstracting and Indexing
      • Bibliographic Information
      • Archive
    • Biomedical Reports
      • Biomedical Reports
      • Information for Authors
      • Editorial Policies
      • Editorial Board
      • Aims and Scope
      • Abstracting and Indexing
      • Bibliographic Information
      • Archive
    • Oncology Reports
      • Oncology Reports
      • Information for Authors
      • Editorial Policies
      • Editorial Board
      • Aims and Scope
      • Abstracting and Indexing
      • Bibliographic Information
      • Archive
    • Molecular Medicine Reports
      • Molecular Medicine Reports
      • Information for Authors
      • Editorial Policies
      • Editorial Board
      • Aims and Scope
      • Abstracting and Indexing
      • Bibliographic Information
      • Archive
    • World Academy of Sciences Journal
      • World Academy of Sciences Journal
      • Information for Authors
      • Editorial Policies
      • Editorial Board
      • Aims and Scope
      • Abstracting and Indexing
      • Bibliographic Information
      • Archive
    • International Journal of Functional Nutrition
      • International Journal of Functional Nutrition
      • Information for Authors
      • Editorial Policies
      • Editorial Board
      • Aims and Scope
      • Abstracting and Indexing
      • Bibliographic Information
      • Archive
    • International Journal of Epigenetics
      • International Journal of Epigenetics
      • Information for Authors
      • Editorial Policies
      • Editorial Board
      • Aims and Scope
      • Abstracting and Indexing
      • Bibliographic Information
      • Archive
    • Medicine International
      • Medicine International
      • Information for Authors
      • Editorial Policies
      • Editorial Board
      • Aims and Scope
      • Abstracting and Indexing
      • Bibliographic Information
      • Archive
  • Articles
  • Information
    • Information for Authors
    • Information for Reviewers
    • Information for Librarians
    • Information for Advertisers
    • Conferences
  • Language Editing
Spandidos Publications Logo
  • About
    • About Spandidos
    • Aims and Scopes
    • Abstracting and Indexing
    • Editorial Policies
    • Reprints and Permissions
    • Job Opportunities
    • Terms and Conditions
    • Contact
  • Journals
    • All Journals
    • Biomedical Reports
      • Information for Authors
      • Editorial Policies
      • Editorial Board
      • Aims and Scope
      • Abstracting and Indexing
      • Bibliographic Information
      • Archive
    • Experimental and Therapeutic Medicine
      • Information for Authors
      • Editorial Policies
      • Editorial Board
      • Aims and Scope
      • Abstracting and Indexing
      • Bibliographic Information
      • Archive
    • International Journal of Epigenetics
      • Information for Authors
      • Editorial Policies
      • Editorial Board
      • Aims and Scope
      • Abstracting and Indexing
      • Bibliographic Information
      • Archive
    • International Journal of Functional Nutrition
      • Information for Authors
      • Editorial Policies
      • Editorial Board
      • Aims and Scope
      • Abstracting and Indexing
      • Bibliographic Information
      • Archive
    • International Journal of Molecular Medicine
      • Information for Authors
      • Editorial Policies
      • Editorial Board
      • Aims and Scope
      • Abstracting and Indexing
      • Bibliographic Information
      • Archive
    • International Journal of Oncology
      • Information for Authors
      • Editorial Policies
      • Editorial Board
      • Aims and Scope
      • Abstracting and Indexing
      • Bibliographic Information
      • Archive
    • Medicine International
      • Information for Authors
      • Editorial Policies
      • Editorial Board
      • Aims and Scope
      • Abstracting and Indexing
      • Bibliographic Information
      • Archive
    • Molecular and Clinical Oncology
      • Information for Authors
      • Editorial Policies
      • Editorial Board
      • Aims and Scope
      • Abstracting and Indexing
      • Bibliographic Information
      • Archive
    • Molecular Medicine Reports
      • Information for Authors
      • Editorial Policies
      • Editorial Board
      • Aims and Scope
      • Abstracting and Indexing
      • Bibliographic Information
      • Archive
    • Oncology Letters
      • Information for Authors
      • Editorial Policies
      • Editorial Board
      • Aims and Scope
      • Abstracting and Indexing
      • Bibliographic Information
      • Archive
    • Oncology Reports
      • Information for Authors
      • Editorial Policies
      • Editorial Board
      • Aims and Scope
      • Abstracting and Indexing
      • Bibliographic Information
      • Archive
    • World Academy of Sciences Journal
      • Information for Authors
      • Editorial Policies
      • Editorial Board
      • Aims and Scope
      • Abstracting and Indexing
      • Bibliographic Information
      • Archive
  • Articles
  • Information
    • For Authors
    • For Reviewers
    • For Librarians
    • For Advertisers
    • Conferences
  • Language Editing
Login Register Submit
  • This site uses cookies
  • You can change your cookie settings at any time by following the instructions in our Cookie Policy. To find out more, you may read our Privacy Policy.

    I agree
Search articles by DOI, keyword, author or affiliation
Search
Advanced Search
presentation
Experimental and Therapeutic Medicine
Join Editorial Board Propose a Special Issue
Print ISSN: 1792-0981 Online ISSN: 1792-1015
Journal Cover
February-2023 Volume 25 Issue 2

Full Size Image

Sign up for eToc alerts
Recommend to Library

Journals

International Journal of Molecular Medicine

International Journal of Molecular Medicine

International Journal of Molecular Medicine is an international journal devoted to molecular mechanisms of human disease.

International Journal of Oncology

International Journal of Oncology

International Journal of Oncology is an international journal devoted to oncology research and cancer treatment.

Molecular Medicine Reports

Molecular Medicine Reports

Covers molecular medicine topics such as pharmacology, pathology, genetics, neuroscience, infectious diseases, molecular cardiology, and molecular surgery.

Oncology Reports

Oncology Reports

Oncology Reports is an international journal devoted to fundamental and applied research in Oncology.

Experimental and Therapeutic Medicine

Experimental and Therapeutic Medicine

Experimental and Therapeutic Medicine is an international journal devoted to laboratory and clinical medicine.

Oncology Letters

Oncology Letters

Oncology Letters is an international journal devoted to Experimental and Clinical Oncology.

Biomedical Reports

Biomedical Reports

Explores a wide range of biological and medical fields, including pharmacology, genetics, microbiology, neuroscience, and molecular cardiology.

Molecular and Clinical Oncology

Molecular and Clinical Oncology

International journal addressing all aspects of oncology research, from tumorigenesis and oncogenes to chemotherapy and metastasis.

World Academy of Sciences Journal

World Academy of Sciences Journal

Multidisciplinary open-access journal spanning biochemistry, genetics, neuroscience, environmental health, and synthetic biology.

International Journal of Functional Nutrition

International Journal of Functional Nutrition

Open-access journal combining biochemistry, pharmacology, immunology, and genetics to advance health through functional nutrition.

International Journal of Epigenetics

International Journal of Epigenetics

Publishes open-access research on using epigenetics to advance understanding and treatment of human disease.

Medicine International

Medicine International

An International Open Access Journal Devoted to General Medicine.

Journal Cover
February-2023 Volume 25 Issue 2

Full Size Image

Sign up for eToc alerts
Recommend to Library

  • Article
  • Citations
    • Cite This Article
    • Download Citation
    • Create Citation Alert
    • Remove Citation Alert
    • Cited By
  • Similar Articles
    • Related Articles (in Spandidos Publications)
    • Similar Articles (Google Scholar)
    • Similar Articles (PubMed)
  • Download PDF
  • Download XML
  • View XML
Article Open Access

Clinical and pathological studies of eight cases of lipidized fibrous histiocytoma

  • Authors:
    • Fangyun Liu
    • Hongjun Wang
    • Guoying Wu
    • Congyang Li
  • View Affiliations / Copyright

    Affiliations: Fenlan Laboratory, Hangzhou, Zhejiang 310056, P.R. China, Department of Pathology, Yexian First People's Hospital, Pingdingshan, Henan 467200, P.R. China, Department of Pathology, People's Liberation Army 989 Hospital, Pingdingshan, Henan 467000, P.R. China
    Copyright: © Liu et al. This is an open access article distributed under the terms of Creative Commons Attribution License.
  • Article Number: 93
    |
    Published online on: January 9, 2023
       https://doi.org/10.3892/etm.2023.11792
  • Expand metrics +
Metrics: Total Views: 0 (Spandidos Publications: | PMC Statistics: )
Metrics: Total PDF Downloads: 0 (Spandidos Publications: | PMC Statistics: )
Cited By (CrossRef): 0 citations Loading Articles...

This article is mentioned in:


Abstract

Lipidized fibrous histiocytoma (FH) is a rare type of FH. The present study aimed to describe the clinical and pathological features of lipidized FH. A total of eight patients diagnosed with lipidized FH were retrospectively reviewed in the present study. The cohort included three male and five female patients (male to female ratio, 1.7:1) with a mean age of 48 years (range, 38‑62 years). In total, four tumors were located on the buttock, three on the lower leg and one on the forearm. Histological, lipidized FH showed a wide spectrum. Some cases included prominent stromal hyalinization and hyalinized vessels with scant lipid‑laden histiocytes. Other cases exhibited the prominent lipid‑laden histiocytes and scant stromal hyalinization. Overall, lipidized FH must be differentiated from other benign and malignant tumors, taking into account the therapeutic and prognostic differences between these different entities.

Introduction

Benign fibrous histiocytoma (FH), also known as dermatofibroma, is one of the most common benign tumors of the skin worldwide (1). It includes a group of mesenchymal lesions comprised of fibroblasts, histiocytes and myofibroblasts (1-3). It most often occurs on the extremities of middle-aged adults and is slightly more common in females compared with males (4). There are numerous clinicopathologic variants of FH, including benign cellular, aneurysmal, epithelioid cell, atypical, deep penetrating, granular cell and lipidized FH (3,4).

By definition, lipidized FHs consist of abundant lipid-laden histiocytes and distinctive stromal hyalinization (4). Lipidized FH most commonly develops in the lower limbs; thus, it is previously referred to as ‘ankle-type’ FH. Clinically, in comparison with other FH variants, it appears as a large exophytic yellow nodule surrounding the ankle (3-5). Lipidized FH is often misdiagnosed as other benign and malignant tumors (Liu et al, unpublished data). In our three pathology departments [Fenlan Laboratory (Hangzhou, China); Yexian First People's Hospital (Pingdinghan, China); People's Liberation Army 989 Hospital (Pingdingshan, China)], cases with marked stromal hyalinization and inconspicuous histiocytes are presented, which could be mistaken for other tumor types, such as sclerosing epithelioid fibrosarcoma. Thus, eight cases of lipidized FH were collected for use in the present study, and the pathological and clinical features were determined and the immunostaining were carried out for subsequent differentiation from other similar tumors.

Materials and methods

Patients

Clinical data were collected from the medical records of eight patients diagnosed with lipidized FH from November 2019 to November 2021. The diagnosis was confirmed by Dr Zhao Ming (Zhejiang Provincial People's Hospital, People's Hospital of Hangzhou Medical College, Hangzhou, China). A total of three cases originated from the tissue bank of the Department of Pathology of the Peoples' Liberation Army 989 Hospital (Pingdingshan, China), four cases originated from the tissue bank of Fenlan Medical Laboratory (Hangzhou, China) and one case originated from the tissue bank of Department of Pathology of Yexian People's Hospital (Pingdingshan, China). The cohort included three male and five female patients (male: female ratio, 1.7:1) with a mean age of 48 years (range: 38-62 years). The present study was approved by the 989 Hospital Medical Ethics Committee, Fenlan Lab Medical Ethics Committee and Yexian First People's Hospital Committee. All participants signed an informed consent form and all patient data were anonymized. The inclusion criterion was a diagnosis in accordance with lipidized FH.

Tissue preparation

Hematoxylin and eosin-stained slides were available for all cases and this staining was conducted using a method described by Sommer et al (6). The surgical specimens were fixed in 10% neutral buffered formalin in the room temperature, dehydrated in graded alcohol solutions and embedded in paraffin. Specimens were cut into 4-µm-thick sections for hematoxylin and eosin staining and visualization was carried out using light microscopy.

Immunohistochemistry

Sections (4-µm) from paraffin blocks were also stained immunohistochemically using BOND-MAX Automated IHC/ISH Stainer (Leica Microsystems GmbH). Sections were mounted onto slides, air dried for 20 min and baked at 60˚C for 20 min. The heat-induced antigen retrieval method was performed using Tris-EDTA buffer (1X; cat. no. #K0071; Shanghai Jiehao Biotechnology Co., Ltd.) and endogenous peroxidase activity usually responsible for background staining, was quenched with 3% peroxidase-blocking reagent, (Henan Celnovte Biotechnology Co., Ltd.), which was applied at 37˚C for 10 min. The slides were incubated with the following commercially available antibodies: CD68 (cat. no. CCR-0702; KP1; 1:1,000), smooth muscle actin (cat. no. CAM-0190; IA4; 1:50), S-100 protein (cat. no. CSM-0101; polyclonal; 1:500), CD34 (cat. no. CCM-0550; QBend10; 1:50), desmin (cat. no. CDM-0021; D33; 1:50), MUC4 (cat. no. CMM-0270; 8G7; 1:50) and cytokeratin (cat. no. CCM-0960; AE1/AE3; 1:50) at 37˚C for 30 min. All antibodies were purchased from Henan Celnovte Biotechnology Co., Ltd. The sections were then examined using a light microscope. Tissue sections were then washed (2x6 min) and incubated with Microstacker™ + Linker in room temperature for 15 min for signal amplification. After TBS washing (2x6 min), Microstacker™ Flex HRP-polymer detection reagent (ready-to-use; cat. no. #SD5100; mouse/rabbit linker; Celnovte Biotechnology Co., Ltd) was applied for at 37˚C for 30 min. After incubation with the polymer reagent, tissue sections were thoroughly washed with TBS buffer (3x6 min) and incubated with Microstacker™ DAB + Chromogen at 37˚C for 6 min. Slides were buffer washed (2x6 min), counterstained with hematoxylin at 37˚C for 2 min and washed with TBS and dH2O for 6 min respectively. Ultimately, dehydration through graded ethanol solutions as well as 90% xylene was performed and sections were mounted in synthetic resin and were observed under a light microscope.

The IHC results were scored by two independent observers according to the percentage of positively stained cells (0+, 1-25% staining; 1+, 26-50% staining; 2+, 51-75% staining; 3+, 76-100% staining).

Results

Clinical findings

The patient cohort included three males and five females with a mean age of 48 years (range, 38-62) at the time of diagnosis (Table I). Clinical symptoms were recorded in all eight cases. All patients reported the presence of a mass with no other complications. The preoperative duration ranged from 11 months to 6 years. All eight cases were followed up. None of these tumors had recurred locally at 6 to 24 months (median, 13.6 months) after the operation. No cases exhibited a history of hypertension, diabetes or hyperlipemia. A total of three tumors were located on the right buttock, one on the left buttock, one on the left lower leg, one on the right lower leg, one on the right shin and one on the left forearm.

Table I

Clinical features of patients with lipidized fibrous histiocytoma.

Table I

Clinical features of patients with lipidized fibrous histiocytoma.

PatientAge, yGenderLocationDuringSize, mmFollow up, mo
138MR lower leg3 y76
239ML buttock5 y228
341FR buttock6 y3513
456FR buttock3 y2010
551MR lower leg11 mo2824
650MR buttock1 y2522
762FL forearm2 y2015
849MR shin9 mo1511

[i] F, female; L, left; M, male; mo, months; R, right; y, years.

Macroscopic pathological features

Grossly, all cases demonstrated a well-demarcated lesion, and lesions were elevated. The average tumor diameter was 21 mm (range, 7-35 mm). The cut surface of the lesions was yellow with parts that were white (Fig. 1).

Figure 1

Following sectioning, the tumor was yellow in color and mixed with white in patient 2.

Microscopic pathological features

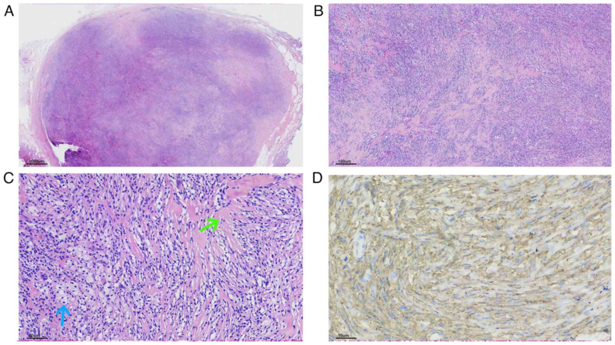
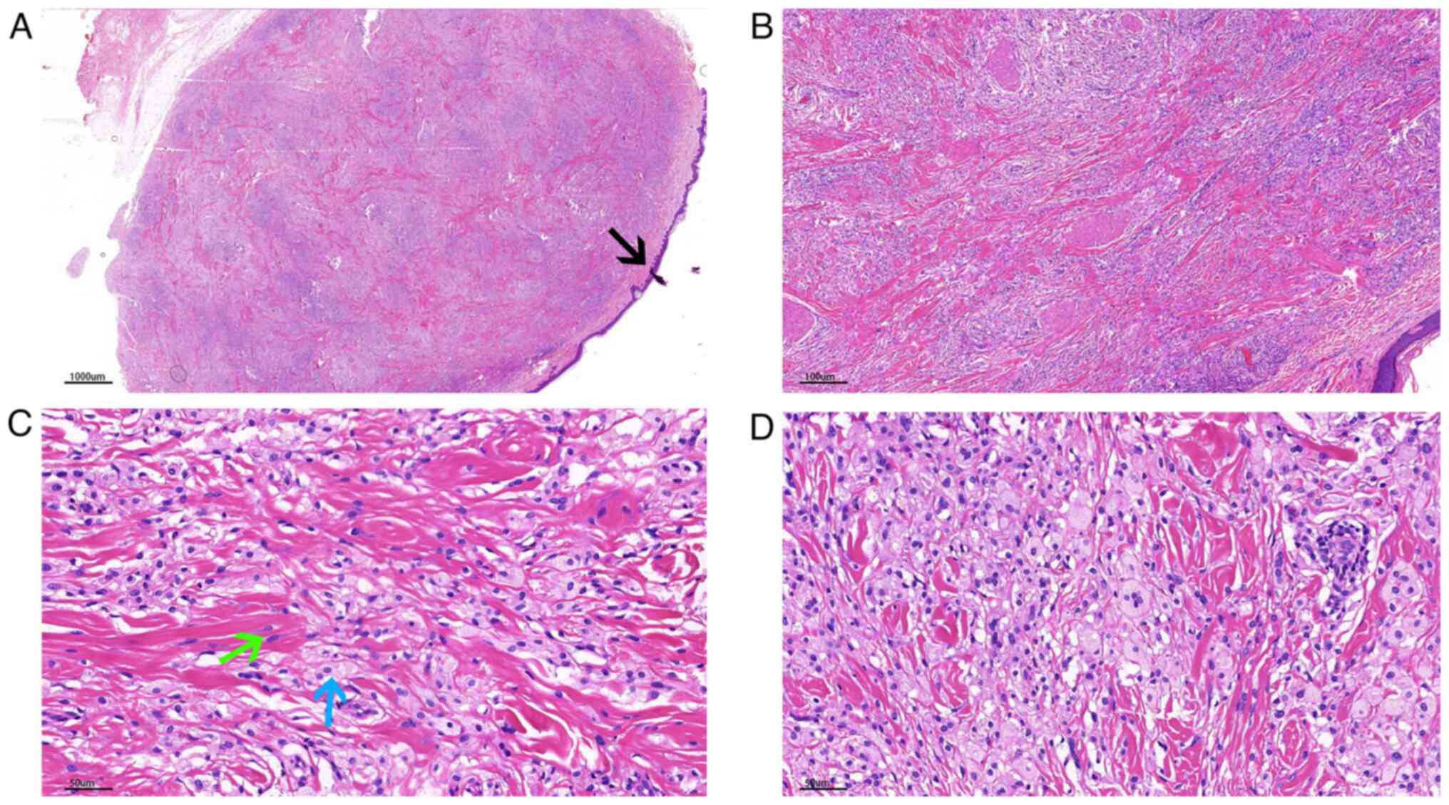
There were solitary nodules in the reticular dermis. The nodules were well circumscribed; however, no fibrous or capsule-like membrane was revealed (Figs. 2A, 3A and 4A). The nodules were comprised of two markedly different components: Proliferating eosinophilic fibroblasts and lipid-laden histiocytes. In the majority of areas, the fibroblasts exhibited no cytologic atypia, with elongated nuclei, fine chromatin and small basophilic nucleoli. However, nuclear pleomorphism was present in the deep or peripheral area. Notably, no pathological mitotic figures were observed. The fibroblasts were arranged in a storiform pattern or with intersecting fascicles forming a loose lattice pattern (Figs. 2B, 2C, 3B and 4B). The histiocytes were oval to polygonal in shape with large hypochromatic nuclei, prominent nucleoli and abundantly vacuolated cytoplasm (Figs. 2D, 3C and 4C). In the majority of areas, histiocytes were combined with proliferating eosinophilic fibroblasts. There were also a number of binucleated or multinucleated Touton-type giant cells (Fig. 3D). Notably, there was marked stromal hyalinization, which was observed in >90% of the tumor area (Figs. 2C, 3B and 4C). Hyalinized collagen fibers transmigrated with normal collagen fibers (Fig. 2E), and the hyalinized materials exhibited different colors in microscopy; notably, certain areas presented as bright red and others presented as dull red (Figs. 2A, 3A and 4A). The bright red areas were rich in lipid-laden histiocytes and the dull red areas possessed fewer lipid-laden histiocytes. There were prominent hyalinized vessels in some cases (Fig. 2E). The epidermis exhibited hyperplasia, irregular elongation of the rete ridge, and basal pigmentation (Figs. 2A and 3A).

Figure 2

Patient 2. (A) A well-circumscribed lesion located at the dermis (magnification, x1). The epidermis exhibited hyperplasia and irregular elongation of the rete ridge (black arrow). (B) Fibroblasts arranged in a storiform pattern (magnification, x7). (C) Fibroblasts arranged in a storiform pattern, and hyalinized collagen fibers transmigrated with normal collagen fibers (magnification, x9). (D) Histiocytes were oval to polygonal in shape with large hypochromatic nuclei, prominent nucleoli and abundantly vacuolated cytoplasm (blue arrow). The fibroblasts exhibited no cytologic atypia, with elongated nuclei, fine chromatin and small basophilic nucleoli (green arrow). (E) Prominent hyalinized vessels were documented (magnification, x40). (F) The histiocytes were strongly positive for CD68 (4+, magnification, x40).

Figure 3

Patient 5. (A) A well-circumscribed lesion located at the dermis (magnification, x0.64). The epidermis exhibited hyperplasia and irregular elongation of the rete ridge (black arrow). (B) Fibroblasts arranged in a storiform pattern (magnification, x4). (C) Prominent hyalinized collagen fibers (magnification, x20). Histiocytes were oval to polygonal in shape with large hypochromatic nuclei, prominent nucleoli and abundantly vacuolated cytoplasm (blue arrow). The fibroblasts exhibited no cytologic atypia, with elongated nuclei, fine chromatin and small basophilic nucleoli (green arrow). (D) Multinucleated Touton-type giant cells (magnification, x20).

Figure 4

Patient 8. (A) A well-circumscribed lesion located at the dermis (magnification, x1). (B) Fibroblasts arranged in a storiform pattern (magnification, x5). (C) Prominent hyalinized collagen fibers (magnification, x18). Histiocytes were oval to polygonal in shape with large hypochromatic nuclei, prominent nucleoli and abundantly vacuolated cytoplasm (blue arrow). The fibroblasts exhibited no cytologic atypia, with elongated nuclei, fine chromatin and small basophilic nucleoli (green arrow). (D) The histiocytes were strongly positive for CD68 (4+, magnification, x40).

Immunohistochemical staining was positive for CD68 (Figs. 2F and 4D), focally positive for CD34, particularly in the peripheral region of the lesion, and negative for S-100 protein, smooth muscle actin, desmin, MUC4 and cytokeratin. These histopathologic findings led to the diagnosis of lipidized FH.

Discussion

Lipidized FH represents a small fraction of dermatofibromas (2%) (5,7). Iwata and Fletcher (4) observed that patients with lipidized FH have an increased age (mean, 54.8 years) compared with those with ordinary FH (third to fifth decades). Wagamon et al (8) reported that the ages in the lipidized FH group ranges from 35 to 75 years with a mean value of 53 years, whereas ages in the non-lipidized FH group ranges from 27 to 72 years with a mean value of 48 years (8). In the cohort of the present study, ages ranged from 38 to 62 years (mean, 48 years), which was consistent with the results obtained by Zaballos et al (7).

Moreover, Iwata and Fletcher (4) recommends the alternative name ‘ankle-type’ FH. However, Zaballos et al (7) observed five lesions located on the back, four lesions on the legs, three lesions on the arms and one lesion on the abdomen. Results of an alternate previous study demonstrated that lipidized FH does not differ clinically from non-lipidized FH in tumor location (8). In the present study, three tumors were located on the right buttock, one on the left buttock, one on the left lower leg, one on the right lower leg, one on the right shin and one on the left forearm, indicating that lipidized FH was not concentrated in the lower limbs.

Lipidized FH often presents with an increased size compared with common FH (4,7,8). The size of lipidized FH, with a median of 25 mm (and a range up to 80 mm) at the greatest dimension, is notably larger compared with ordinary FH (4). Results of the present study indicated that the average diameter of the tumor was 21 mm (range, 7-35 mm). Following sectioning, the majority of the cases in the present study were yellow in color, which is indicative of the presence of abundant foamy histiocytes with few fibroblasts or stromal hyalinization. In certain areas, the cut surface was yellow mixed with white. Moreover, under microscopic examination, the white area presented with abundant hyalinization.

Histological diagnostic criteria for lipidized FH are as follows: Over 75% of the area is occupied by foamy cells and stromal hyalinization (3,5), the majority of lesions are moderately vascularized and exhibit perivascular hyalinization and the fibroblasts are arranged in a storiform pattern (4,5). In the cohort of the present study, the tumor exhibited two extremities. In case 2 and case 3, the most dominant features were prominent stromal hyalinization, hyalinized vessels and lipid-laden histiocytes. The hyalinized materials exhibited two different colors under the microscope; certain areas presented as bright red and other areas presented as dull red. The bright red areas were rich in lipid-laden histiocytes and the dull red areas exhibited fewer lipid-laden histiocytes. This phenomenon may be associated with the different processes of the disease, such as myositis ossificans. Hyalinized collagen fibers transmigrated with normal collagen fibers in certain areas. These results indicated that the hyalinized materials may have taken place of the previous normal collagen fibers. In these cases, lipidized FH should therefore be distinguished from other malignant tumors, such as sclerosing epithelioid fibrosarcoma (SEF), particularly with marked stromal hyalinization and inconspicuous histiocytes (9). SEF is a rare, malignant mesenchymal tumor with unique features consisting of cords, nests or sheets of monotonous epithelioid cells within a dense collagenous background (9). SEF also has prominent hyalinized sclerotic collagenous stroma indicative of osteoids or cartilage, as in lipidized FH (9).

However, in patients 5 and 8, the tumors exhibited scant stromal hyalinization and prominent lipid-laden histiocytes. In these cases, lipidized FH should also be differentiated from other benign tumors, such as xanthoma (1,3,4). Xanthoma is a histiocytic proliferation that frequently occurs in association with hyperlipidemia, and occurs in tendons or bursae (10). It often contains cholesterol crystals and lacks a fibroblastic myofibroblastic neoplastic component (10).

In conclusion, lipidized have a wide spectrum. Some cases show the prominent stromal hyalinization, hyalinized vessels and lipid-laden histiocytes, and should be differentiated from the malignant tumors, such as sclerosing epithelioid fibrosarcoma. However, some cases exhibit the prominent lipid-laden histiocytes and scant stromal hyalinization and should be differentiated from the xanthoma. The present study was limited by relative infrequency of lipidized FH and limiting the number of patients in this cohort. Future studies should focus on the microenvironment in different areas of the lipidized FH.

Acknowledgements

Not applicable.

Funding

Funding: No funding was received.

Availability of data and materials

The datasets used and/or analyzed during the current study are available from the corresponding author on reasonable request.

Authors' contributions

CYL designed the study. FYL and HJW recruited the cases. CYL, FYL, HJW and GYW analyzed the experimental data and composed all figures and tables. CYL wrote the manuscript. FYL and HJW confirm the authenticity of all the raw data. All authors read and approved the final manuscript.

Ethics approval and consent to participate

The present study was approved by the 989 Hospital Medical Ethics Committee, Fenlan Lab Medical Ethics Committee and Yexian First People's Hospital Committee. Written informed consent was obtained at the time of the initial data collection for participation.

Patient consent for publication

All patients consented for publication in written form.

Competing interests

The authors declare that they have no competing interests.

References

1 

Meister P, Konrad E and Krauss F: Fibrous histiocytoma: A histological and statistical analysis of 155 cases. Pathol Res Pract. 162:361–379. 1978.PubMed/NCBI View Article : Google Scholar

2 

Gonzalez S and Duarte I: Benign fibrous histiocytoma of the skin. A morphologic study of 290 cases. Pathol Res Pract. 174:379–391. 1982.PubMed/NCBI View Article : Google Scholar

3 

Seo JK, Shin EJ, Jeong KH and Shin MK: Lipidized fibrous histiocytoma: Differential diagnosis from juvenile xanthogranuloma. Ann Dermatol. 31:254–256. 2019.PubMed/NCBI View Article : Google Scholar

4 

Iwata J and Fletcher CD: Lipidized fibrous histiocytoma: Clinicopathologic analysis of 22 cases. Am J Dermatopathol. 22:126–134. 2000.PubMed/NCBI View Article : Google Scholar

5 

Alves JV, Matos DM, Barreiros HF and Bártolo EA: Variants of dermatofibroma-a histopathological study. An Bras Dermatol. 89:472–477. 2014.PubMed/NCBI View Article : Google Scholar

6 

Sommer W, Knöfel AK, Izykowski N, Oldhafer F, Avsar M, Jonigk D, Warnecke G and Haverich A: Physical exercise reduces transplant arteriosclerosis in a mouse aorta transplantation model. J Thorac Cardiovasc Surg. 149:330–337. 2015.PubMed/NCBI View Article : Google Scholar

7 

Zaballos P, Mir-Bonafé JF, Avilés JA and Bañuls J: Dermoscopy of lipidised dermatofibroma: A morphological study of 13 cases. Aus J Dermatopathol. 60:e127–e131. 2019.PubMed/NCBI View Article : Google Scholar

8 

Wagamon K, Somach SC, Bass J, Sigel JE, Xue W, Schluchter M and Jaworsky C: Lipidized dermatofibromas and their relationship to serum lipids. J Am Acad Dermatol. 54:494–498. 2006.PubMed/NCBI View Article : Google Scholar

9 

Kosemehmetoglu K, Ardic F, Kilpatrick SE, Aydingoz U, Sumathi VP and Michal M: Sclerosing epithelioid fibrosarcoma of bone: morphological, immunophenotypical, and molecular findings of 9 cases. Virchows Arch. 478:767–777. 2021.PubMed/NCBI View Article : Google Scholar

10 

Wilkinson PE, Merkourea S, Gopalakrishnan R and Argyris PP: Primary intraosseous xanthomas of the jaws: A series of six cases including an example with formation of apoptosis-related hyaline globules, so-called ‘thanatosomes’. Head Neck Pathol. 14:859–868. 2020.PubMed/NCBI View Article : Google Scholar

Related Articles

  • Abstract
  • View
  • Download
  • Twitter
Copy and paste a formatted citation
Spandidos Publications style
Liu F, Wang H, Wu G and Li C: Clinical and pathological studies of eight cases of lipidized fibrous histiocytoma. Exp Ther Med 25: 93, 2023.
APA
Liu, F., Wang, H., Wu, G., & Li, C. (2023). Clinical and pathological studies of eight cases of lipidized fibrous histiocytoma. Experimental and Therapeutic Medicine, 25, 93. https://doi.org/10.3892/etm.2023.11792
MLA
Liu, F., Wang, H., Wu, G., Li, C."Clinical and pathological studies of eight cases of lipidized fibrous histiocytoma". Experimental and Therapeutic Medicine 25.2 (2023): 93.
Chicago
Liu, F., Wang, H., Wu, G., Li, C."Clinical and pathological studies of eight cases of lipidized fibrous histiocytoma". Experimental and Therapeutic Medicine 25, no. 2 (2023): 93. https://doi.org/10.3892/etm.2023.11792
Copy and paste a formatted citation
x
Spandidos Publications style
Liu F, Wang H, Wu G and Li C: Clinical and pathological studies of eight cases of lipidized fibrous histiocytoma. Exp Ther Med 25: 93, 2023.
APA
Liu, F., Wang, H., Wu, G., & Li, C. (2023). Clinical and pathological studies of eight cases of lipidized fibrous histiocytoma. Experimental and Therapeutic Medicine, 25, 93. https://doi.org/10.3892/etm.2023.11792
MLA
Liu, F., Wang, H., Wu, G., Li, C."Clinical and pathological studies of eight cases of lipidized fibrous histiocytoma". Experimental and Therapeutic Medicine 25.2 (2023): 93.
Chicago
Liu, F., Wang, H., Wu, G., Li, C."Clinical and pathological studies of eight cases of lipidized fibrous histiocytoma". Experimental and Therapeutic Medicine 25, no. 2 (2023): 93. https://doi.org/10.3892/etm.2023.11792
Follow us
  • Twitter
  • LinkedIn
  • Facebook
About
  • Spandidos Publications
  • Careers
  • Cookie Policy
  • Privacy Policy
How can we help?
  • Help
  • Live Chat
  • Contact
  • Email to our Support Team