Spandidos Publications Logo
  • About
    • About Spandidos
    • Aims and Scopes
    • Abstracting and Indexing
    • Editorial Policies
    • Reprints and Permissions
    • Job Opportunities
    • Terms and Conditions
    • Contact
  • Journals
    • All Journals
    • Oncology Letters
      • Oncology Letters
      • Information for Authors
      • Editorial Policies
      • Editorial Board
      • Aims and Scope
      • Abstracting and Indexing
      • Bibliographic Information
      • Archive
    • International Journal of Oncology
      • International Journal of Oncology
      • Information for Authors
      • Editorial Policies
      • Editorial Board
      • Aims and Scope
      • Abstracting and Indexing
      • Bibliographic Information
      • Archive
    • Molecular and Clinical Oncology
      • Molecular and Clinical Oncology
      • Information for Authors
      • Editorial Policies
      • Editorial Board
      • Aims and Scope
      • Abstracting and Indexing
      • Bibliographic Information
      • Archive
    • Experimental and Therapeutic Medicine
      • Experimental and Therapeutic Medicine
      • Information for Authors
      • Editorial Policies
      • Editorial Board
      • Aims and Scope
      • Abstracting and Indexing
      • Bibliographic Information
      • Archive
    • International Journal of Molecular Medicine
      • International Journal of Molecular Medicine
      • Information for Authors
      • Editorial Policies
      • Editorial Board
      • Aims and Scope
      • Abstracting and Indexing
      • Bibliographic Information
      • Archive
    • Biomedical Reports
      • Biomedical Reports
      • Information for Authors
      • Editorial Policies
      • Editorial Board
      • Aims and Scope
      • Abstracting and Indexing
      • Bibliographic Information
      • Archive
    • Oncology Reports
      • Oncology Reports
      • Information for Authors
      • Editorial Policies
      • Editorial Board
      • Aims and Scope
      • Abstracting and Indexing
      • Bibliographic Information
      • Archive
    • Molecular Medicine Reports
      • Molecular Medicine Reports
      • Information for Authors
      • Editorial Policies
      • Editorial Board
      • Aims and Scope
      • Abstracting and Indexing
      • Bibliographic Information
      • Archive
    • World Academy of Sciences Journal
      • World Academy of Sciences Journal
      • Information for Authors
      • Editorial Policies
      • Editorial Board
      • Aims and Scope
      • Abstracting and Indexing
      • Bibliographic Information
      • Archive
    • International Journal of Functional Nutrition
      • International Journal of Functional Nutrition
      • Information for Authors
      • Editorial Policies
      • Editorial Board
      • Aims and Scope
      • Abstracting and Indexing
      • Bibliographic Information
      • Archive
    • International Journal of Epigenetics
      • International Journal of Epigenetics
      • Information for Authors
      • Editorial Policies
      • Editorial Board
      • Aims and Scope
      • Abstracting and Indexing
      • Bibliographic Information
      • Archive
    • Medicine International
      • Medicine International
      • Information for Authors
      • Editorial Policies
      • Editorial Board
      • Aims and Scope
      • Abstracting and Indexing
      • Bibliographic Information
      • Archive
  • Articles
  • Information
    • Information for Authors
    • Information for Reviewers
    • Information for Librarians
    • Information for Advertisers
    • Conferences
  • Language Editing
Spandidos Publications Logo
  • About
    • About Spandidos
    • Aims and Scopes
    • Abstracting and Indexing
    • Editorial Policies
    • Reprints and Permissions
    • Job Opportunities
    • Terms and Conditions
    • Contact
  • Journals
    • All Journals
    • Biomedical Reports
      • Information for Authors
      • Editorial Policies
      • Editorial Board
      • Aims and Scope
      • Abstracting and Indexing
      • Bibliographic Information
      • Archive
    • Experimental and Therapeutic Medicine
      • Information for Authors
      • Editorial Policies
      • Editorial Board
      • Aims and Scope
      • Abstracting and Indexing
      • Bibliographic Information
      • Archive
    • International Journal of Epigenetics
      • Information for Authors
      • Editorial Policies
      • Editorial Board
      • Aims and Scope
      • Abstracting and Indexing
      • Bibliographic Information
      • Archive
    • International Journal of Functional Nutrition
      • Information for Authors
      • Editorial Policies
      • Editorial Board
      • Aims and Scope
      • Abstracting and Indexing
      • Bibliographic Information
      • Archive
    • International Journal of Molecular Medicine
      • Information for Authors
      • Editorial Policies
      • Editorial Board
      • Aims and Scope
      • Abstracting and Indexing
      • Bibliographic Information
      • Archive
    • International Journal of Oncology
      • Information for Authors
      • Editorial Policies
      • Editorial Board
      • Aims and Scope
      • Abstracting and Indexing
      • Bibliographic Information
      • Archive
    • Medicine International
      • Information for Authors
      • Editorial Policies
      • Editorial Board
      • Aims and Scope
      • Abstracting and Indexing
      • Bibliographic Information
      • Archive
    • Molecular and Clinical Oncology
      • Information for Authors
      • Editorial Policies
      • Editorial Board
      • Aims and Scope
      • Abstracting and Indexing
      • Bibliographic Information
      • Archive
    • Molecular Medicine Reports
      • Information for Authors
      • Editorial Policies
      • Editorial Board
      • Aims and Scope
      • Abstracting and Indexing
      • Bibliographic Information
      • Archive
    • Oncology Letters
      • Information for Authors
      • Editorial Policies
      • Editorial Board
      • Aims and Scope
      • Abstracting and Indexing
      • Bibliographic Information
      • Archive
    • Oncology Reports
      • Information for Authors
      • Editorial Policies
      • Editorial Board
      • Aims and Scope
      • Abstracting and Indexing
      • Bibliographic Information
      • Archive
    • World Academy of Sciences Journal
      • Information for Authors
      • Editorial Policies
      • Editorial Board
      • Aims and Scope
      • Abstracting and Indexing
      • Bibliographic Information
      • Archive
  • Articles
  • Information
    • For Authors
    • For Reviewers
    • For Librarians
    • For Advertisers
    • Conferences
  • Language Editing
Login Register Submit
  • This site uses cookies
  • You can change your cookie settings at any time by following the instructions in our Cookie Policy. To find out more, you may read our Privacy Policy.

    I agree
Search articles by DOI, keyword, author or affiliation
Search
Advanced Search
presentation
Experimental and Therapeutic Medicine
Join Editorial Board Propose a Special Issue
Print ISSN: 1792-0981 Online ISSN: 1792-1015
Journal Cover
March-2023 Volume 25 Issue 3

Full Size Image

Sign up for eToc alerts
Recommend to Library

Journals

International Journal of Molecular Medicine

International Journal of Molecular Medicine

International Journal of Molecular Medicine is an international journal devoted to molecular mechanisms of human disease.

International Journal of Oncology

International Journal of Oncology

International Journal of Oncology is an international journal devoted to oncology research and cancer treatment.

Molecular Medicine Reports

Molecular Medicine Reports

Covers molecular medicine topics such as pharmacology, pathology, genetics, neuroscience, infectious diseases, molecular cardiology, and molecular surgery.

Oncology Reports

Oncology Reports

Oncology Reports is an international journal devoted to fundamental and applied research in Oncology.

Experimental and Therapeutic Medicine

Experimental and Therapeutic Medicine

Experimental and Therapeutic Medicine is an international journal devoted to laboratory and clinical medicine.

Oncology Letters

Oncology Letters

Oncology Letters is an international journal devoted to Experimental and Clinical Oncology.

Biomedical Reports

Biomedical Reports

Explores a wide range of biological and medical fields, including pharmacology, genetics, microbiology, neuroscience, and molecular cardiology.

Molecular and Clinical Oncology

Molecular and Clinical Oncology

International journal addressing all aspects of oncology research, from tumorigenesis and oncogenes to chemotherapy and metastasis.

World Academy of Sciences Journal

World Academy of Sciences Journal

Multidisciplinary open-access journal spanning biochemistry, genetics, neuroscience, environmental health, and synthetic biology.

International Journal of Functional Nutrition

International Journal of Functional Nutrition

Open-access journal combining biochemistry, pharmacology, immunology, and genetics to advance health through functional nutrition.

International Journal of Epigenetics

International Journal of Epigenetics

Publishes open-access research on using epigenetics to advance understanding and treatment of human disease.

Medicine International

Medicine International

An International Open Access Journal Devoted to General Medicine.

Journal Cover
March-2023 Volume 25 Issue 3

Full Size Image

Sign up for eToc alerts
Recommend to Library

  • Article
  • Citations
    • Cite This Article
    • Download Citation
    • Create Citation Alert
    • Remove Citation Alert
    • Cited By
  • Similar Articles
    • Related Articles (in Spandidos Publications)
    • Similar Articles (Google Scholar)
    • Similar Articles (PubMed)
  • Download PDF
  • Download XML
  • View XML

  • Supplementary Files
    • Supplementary_Data.pdf
Article

G‑CSF delays tooth extraction socket bone healing via the inhibition of bone turnover in mice

  • Authors:
    • Masayuki Oshitani
    • Kazuki Takaoka
    • Miho Ueta
    • Kohei Tomimoto
    • Hirokazu Hattori
    • Naomichi Yoneda
    • Koji Yamanegi
    • Kazuma Noguchi
    • Hiromitsu Kishimoto
  • View Affiliations / Copyright

    Affiliations: Department of Oral and Maxillofacial Surgery, Hyogo Medical University, Nishinomiya, Hyogo 663‑8501, Japan, Department of Pathology, School of Medicine, Hyogo Medical University, Nishinomiya, Hyogo 663‑8501, Japan
  • Article Number: 104
    |
    Published online on: January 20, 2023
       https://doi.org/10.3892/etm.2023.11803
  • Expand metrics +
Metrics: Total Views: 0 (Spandidos Publications: | PMC Statistics: )
Metrics: Total PDF Downloads: 0 (Spandidos Publications: | PMC Statistics: )
Cited By (CrossRef): 0 citations Loading Articles...

This article is mentioned in:



Abstract

Granulocyte colony‑stimulating factor (G‑CSF) regulates the survival, proliferation and differentiation of all cells in the neutrophil lineage, and is consequently used for neutropenic conditions. Upon G‑CSF administration, osteoblasts and osteocytes are suppressed, and the support system allowing hematopoietic stem cells to remain in the microenvironment is diminished. The present study focused on and investigated G‑CSF as a regulatory factor of bone remodeling. The aim of the present study was to investigate the effect of G‑CSF administration on the bone healing of tooth extraction sockets. Significant differences in the bone volume fraction, and trabecular separation of the proximal femurs and alveolar septa were observed between the G‑CSF and control (saline‑treated) groups. The trabecular bone of the femur and alveolar septa was reduced in the G‑CSF group compared with that in the control group. In addition, serum procollagen type 1 N‑terminal propeptide levels, a marker of bone formation, were lower in the G‑CSF group compared with in the control group. Fibrous connective tissues and immature bone were observed in the extraction socket, and bone healing was delayed in the G‑CSF group compared with that in the control group. The bone area in the extraction socket 6 days after tooth extraction was significantly smaller in the G‑CSF group (23.6%) than that in the control group (45.1%). Furthermore, G‑CSF administration reduced the number of canaliculi per osteocyte and inhibited the connection of osteocyte networks. Consequently, osteoblast activation was inhibited and bone remodeling changed to a state of low bone turnover in the G‑CSG group. Analysis of bone formation parameters revealed that the G‑CSF group exhibited a lower mineral apposition rate compared with in the control group. In conclusion, these findings indicated that G‑CSF may delay bone healing of the socket after tooth extraction.

Introduction

Granulocyte colony-stimulating factor (G-CSF) regulates the survival, proliferation, and differentiation of neutrophils and activates and stimulates the functions of mature neutrophils (1). A broad consensus has emerged regarding the clinical utility of G-CSF in neutropenic conditions resulting from chemotherapy (2). G-CSF is a hematopoietic cytokine that plays a role in hematopoietic stem and progenitor cell (HSPC) mobilization from the bone marrow niches to the peripheral blood stream (3). Both hematopoietic tissue and bone marrow are located inside the bone, and the functional interaction between the bone and hematopoietic systems was recently revealed (3-6).

Bone remodeling is the ‘replacement of old bone with new bone’ and is based on the coordination of osteoclasts and osteoblasts (7,8). These cells sequentially perform the resorption of old damaged bone and the formation of new bone, respectively (7,8). Osteocytes, which are derived from osteoblasts, are additional cells involved in bone remodeling. They are distributed throughout the bone matrix within a network of lacunae and canaliculi to communicate indirectly with bone-related cells (7,8). If the network of osteocytes is poorly connected, bone remodeling may be disturbed. G-CSF affects bone metabolism by inhibiting osteoblast activity (6) and increasing osteoclast activity (9,10) in the bone marrow. G-CSF treatment in patients with severe congenital neutropenias was shown to induce osteopenia or osteoporosis (11,12). Soshi et al (13) reported that the bone mineral density of lumbar vertebrae and femora was significantly decreased in G-CSF-treated rats. Wu et al (14) investigated the effects of G-CSF administration on the skeleton. The test data show that mice treated with G-CSF have significantly lower stiffness, Young's modulus, and fracture strength of the bone in their femurs when compared with the controlled mice treated with saline. We focused on and investigated G-CSF as one of the regulatory factors of bone remodeling.

The effects of G-CSF on bone remodeling, including the jawbone, in vivo remain unclear. We focused on the effect of G-CSF administration on bone metabolism of the jawbone. Most dentists and oral and maxillofacial surgeons face the problems of delayed healing of the extraction socket due to a decrease in bone turnover, which is associated with serious difficulties in the maintenance of patient oral health. Moreover, although osteonecrosis of the jaw associated with medications, including bisphosphonates and some anticancer drugs (15), is well known, failure of tooth extraction socket healing occurs frequently. We previously reported that bisphosphonate therapy induced delayed healing of the extraction socket as the cumulative administration period was prolonged (16). The aim of the present study was to investigate the effect of G-CSF administration on the bone healing of tooth extraction sockets.

Materials and methods

Animal handling

The present study was approved by the ethics committee of the Hyogo College of Medicine (Hyogo, Japan) (approval number 19-032). Five-week-old male C57BL/6J mice were obtained from SLC Japan. The mice were housed in a light- and temperature-controlled environment. Food and water were available ad libitum.

Agents

Granulocyte colony-stimulating factor (G-CSF: Filgrastim) was purchased from KYOWA KIRIN Co. Ltd..

Experimental methods and design

Following a week of acclimatization, the now 6-week-old male mice weighting 23-27 g were randomly divided into two groups (n=8 each) and treated with or without G-CSF (experimental group: G-CSF and control group: saline solution). G-CSF (250 µg/kg/day) was injected intraperitoneally every 12 h for 4 days prior to tooth extraction (Fig. 1A). Extraction of the unilateral maxillary first molar was performed using a spoon excavator under anesthesia with 2% isoflurane (Pfizer Japan, Inc.) (Fig. 1B). The G-CSF dosage and duration of administration were based on the protocols described previously by Asada et al (4). The femurs and maxillae were harvested at 6 days after the extraction for histological and histochemical studies (Fig. 1C). Two or three mice of each group were difficult to analyze due to tooth root fracture, alveolar bone fracture, or other complications. Consequently, the minimum number of animals was five in each group (n≥5 each). At each respective specified time point of each group, eight mice per group were anesthetized and 300-700 µl blood was harvested via intracardiac puncture for peripheral blood analysis. For euthanasia, an overdose of sodium pentobarbital (100 mg/ml) was administered intraperitoneally, and decapitation was performed using scissors.

Figure 1

Treatment schedule. (A) G-CSF (250 µg/kg/day) or saline solution (control) at the same dosage volume were injected intraperitoneally every 12 h for 4 days before the tooth extraction (arrows=injections, # = blood collection, x = sample collection). (B) Extraction of the unilateral maxillary first molar was performed using a spoon excavator (arrow=tooth extraction). (C) The maxilla and femur were harvested at 6 days after the tooth extraction for histological studies. G-CSF, granulocyte colony-stimulating factor.

Determination of the number of leukocytes in blood

Blood was harvested via intracardiac puncture under anesthesia with 2% isoflurane at 1 and 7 days subsequent to 4 days of G-CSF injection. The number of leukocytes in the blood was counted as an indicator of HSPC mobilization. Following leukocyte staining by peroxidase at 70˚C, blood cell components other than leukocytes were excluded, and their samples were measured by flow cytometry using the Advia 2120i (Siemens Healthineers).

Microcomputed tomography analysis and bone morphometry of femurs and maxillae

Microcomputed tomography (µCT) scanning was performed to measure bone morphological indices of mouse femurs and maxillae as described previously (14). The femurs and maxillae in each group were harvested, stored in 70% ethanol at 4˚C, and analyzed using a micro (µ)-CT scanner (Scan Xmate-L090; Comscan Techno Co., Ltd.). Scanning was conducted at 75 kV and 105 mA with a spatial resolution of approximately 9.073 mm/pixel. For the morphometric analysis, the bone volume fraction (BV/TV), trabecular thickness (Tb.Th), trabecular number (Tb.N), and trabecular separation (Tb.Sp) were determined using TRI/3D-BON software (RATOC System Engineering Co., Ltd.). The femoral region of interest (ROI) was the distal femoral metaphysis, and the maxillary ROI was the alveolar septum of the first molar.

Assays for bone metabolism markers in serum

Blood was harvested via intracardiac puncture under anesthesia at 1 and 7 days subsequent to 4 days of G-CSF injection, and serum was collected after 30 min at room temperature and spun down at 3,000 rpm for 10 min. The serum samples were used to measure serum markers of bone resorption (serum band 5 of tartrate-resistant acid phosphatase; TRACP-5b) and bone formation (procollagen type 1 N-terminal propeptide; P1NP). TRACP-5b and P1NP were determined by enzyme-linked immunosorbent assays (Mouse ACP5/TRAP ELISA Kit, cat. no. LS-F40333-1, LSBio, Inc.; P1NP assay, cat. no. SEA957Hu, Cloud-Clone Corp., respectively), according to the manufacturers' protocols. All samples were tested in duplicate within each assay. The number of mice analyzed in each group was dependent on the amount of collected blood (n≥5 each).

Histopathology and immunohistochemistry

The mouse maxillae were immediately placed in 10% neutral buffered formalin for 24 h and decalcified in 10% ethylenediaminetetraacetic acid at room temperature for 2 weeks. Paraffin sections of 4 µm thickness were cut using conventional methods and stained with hematoxylin and eosin (H&E). Stained sections were photomicrographed using the Olympus microscope (BX53, Japan), and were histomorphometrically analyzed using NIH ImageJ (version 1.47) for quantification of the neoplastic bone area, except for two cases that were associated with the presence of root fragments in the extraction socket.

Tartrate-resistant acid phosphatase (TRAP) staining of the mouse maxillae was performed as described previously (15). Briefly, samples were placed in 0.2 M acetate buffer (0.2 M sodium acetate and 50 mM L(+) tartaric acid in double-distilled water, pH 5.0) for 20 min at room temperature. The sections were subsequently incubated with 0.5 mg/ml naphthol AS-MX phosphate (Sigma-Aldrich Co.) and 1.1 mg/ml Fast Red TR Salt (Sigma) in 0.2 M acetate buffer for 1 to 4 h at 37˚C until the osteoclasts appeared bright red. Osteoclasts were identified as multinucleated TRAP-positive cells. The number of TRAP-positive cells were counted in the maxillae, and expressed as the number/mm2.

Silver-stained nucleolar organizer regions (AgNOR) staining was performed using a silver staining solution prepared by combining silver nitrate (2 volumes of 50% aqueous solution) (Wako Pure Chemical Industries, Ltd.) and formic acid (1 volume of 1% solution containing 2% gelatin) (14). The number of canaliculi per osteocyte lacuna (N.Ot.Ca/Ot.Lc.) was counted in 10 cells in four randomly selected non-overlapping defined ROIs at 400x.

The localization of chemokine (C-X-C motif) ligand 12 (stromal cell-derived factor 1) (CXCL12/SDF-1) in femurs and maxillae was investigated. CXCL12/SDF-1 was detected in immersion-fixed paraffin-embedded sections of mouse femurs and maxillae using anti-CXCL12/SDF-1 mouse monoclonal antibody (cat. no. MAB350, R&D Systems) at 25 µg/ml overnight at 4˚C. Tissue was stained using the HR-conjugated anti-mouse IgG goat antibody (cat. no. 414322, Nichirei Corporation) for 10 min and counterstained with hematoxylin.

Calcein labeling

Nine and 2 days before euthanasia, five mice in each group were given an intraperitoneal calcein (10 mg/kg) injection for double labeling. The calcein double labels were analyzed with an excitation wavelength of 485 nm and an emission wavelength of 510 nm using the Olympus microscope. The mineral apposition rate (MAR, µm/day) was defined as the distance between the midpoints of the double label divided by the number of days between the calcein injections (17-19).

Statistical analysis

All data are expressed as mean ± standard deviation. Statistical analysis was performed using the Mann-Whitney U test to identify significant differences for two independent group comparisons. P<0.05 was considered to indicate a statistically significant difference.

Results

Body weight

There were no significant differences in body weight between the control and G-CSF groups during the experimental period (data not shown).

Determination of the number of leukocytes in blood

The number of leukocytes in the G-CSF group was significantly higher than the control group a day after the 4-day G-CSF administration, whereas no significant difference was detected at 7 days after the G-CSF administration (Table I). The G-CSF decreased CXCL12 protein expression in the bone marrow, and the disruption of CXCL12/CXCR4 signaling is a key step in G-CSF-induced HPC mobilization (4-6). In the control group, CXCL12/SDF-1-positive cells were found in the femur and maxillae (Fig. S1A and C), the number of which was reduced by G-CSF treatment (Fig. S1B and D).

Table I

Number of blood leucocytes.

Table I

Number of blood leucocytes.

A, 1 day after G-CSF 4 days administration
GroupLeucocytes, x102/µl blood
Control9.38±4.00
G-CSF 27.33±10.63a
B, 7 days after G-CSF 4 days administration
GroupLeucocytes, x102/µl blood
Control14.13±6.29
G-CSF15.25±11.81

[i] Data are expressed as mean ± standard deviation. n=8.

[ii] aP<0.05 vs. Control G-CSF, granulocyte colony-stimulating factor.

µCT examination and bone morphometry of the femur and maxillae

The most typical µ-CT images of the femur and maxillae for the G-CSF and control groups are shown in Fig. 2A-D. The G-CSF group exhibited a loss of trabecular bone in the femur (Fig. 2B) and the alveolar septum (Fig. 2D) compared with the control group (Fig 2A and C). Bone morphometric analysis of the proximal femurs and the alveolar septa of the first molar in the maxillae was performed to determine the BV/TV, Tb.Th, Tb.N, and Tb.Sp (Table II). Significant differences in the BV/TV, Tb.N and Tb.Sp of the proximal femurs were observed between the G-CSF and control groups. Significant differences in the BV/TV, Tb. N and Tb.Sp of the alveolar septa were observed between the G-CSF and control groups. G-CSF administration resulted in clear trabecular bone loss in not only the femur, but also the alveolar bone in the maxilla.

Figure 2

µCT examination of the femur and maxillae. The most typical µCT images of the femur for the (A) control group and (B) G-CSF group, and µCT images of the maxilla of the (C) control group and (D) G-CSF group, are shown. Trabecular bone loss in the distal femoral metaphysis and the alveolar septum of the first molar (white arrows) was observed in the G-CSF group compared with the control group. G-CSF, granulocyte colony-stimulating factor.

Table II

Bone histomorphometric analysis.

Table II

Bone histomorphometric analysis.

A, Distal femur
 Parameter
GroupBV/TV, %Tb.Th, µmTb.N, 1/mmTb.Sp, µm
Control17.84±1.6438.46±2.214.69±0.20175.67±10.34
G-CSF 11.54±1.37a37.64±2.35 3.06±0.20a 290.31±22.09a
B, Alveolar septa of first molar in the maxillae
 Parameter
GroupBV/TV, %Tb.Th, µmTb.N, 1/mmTb.Sp, µm
Control45.13±8.0262.73±8.577.25±1.0677.98±19.89
G-CSF 29.66±5.01a53.82±8.58 5.60±1.08a 131.10±36.24a

[i] Data are expressed as mean ± standard deviation. n=5.

[ii] aP<0.05 vs. Control BV/TV, bone volume fraction; Tb.Th, trabecular thickness; Tb.N, trabecular number; Tb.Sp, trabecular separation; G-CSF, granulocyte colony-stimulating factor.

Bone metabolism markers in serum

There was no significant difference in serum P1NP levels, a marker of bone formation, between the control and G-CSF groups 1 day after the 4-day G-CSF administration. By contrast, 7 days after the 4-day G-CSF administration, serum P1NP levels were significantly lower in the G-CSF group as compared with the levels in the control group (control group, 2.16±0.77 ng/ml; G-CSF group 1.33±0.68 ng/ml; Table III). Serum TRACP-5b levels, a marker of bone resorption, were not significantly different in the G-CSF group as compared with the control group (Table IV). These data are consistent with the morphometry results and suggest that G-CSF administration progressively decreases the trabecular bone volume.

Table III

Serum P1NP.

Table III

Serum P1NP.

A, 1 day after G-CSF 4 days administration
GroupP1NP, ng/ml
Control2.19±0.15
G-CSF2.62±0.52
B, 7 days after G-CSF 4 days administration
GroupP1NP, ng/ml
Control2.16±0.77
G-CSF 1.33±0.68a

[i] Data are expressed as mean ± standard deviation. n=7.

[ii] aP<0.05 vs. Control. P1NP, procollagen type I amino-terminal propeptide; G-CSF, granulocyte colony-stimulating factor.

Table IV

Serum TRAP-5b.

Table IV

Serum TRAP-5b.

A, 1 day after G-CSF 4 days administration
GroupTRAP-5b, ng/ml
Control1.11±0.88
G-CSF2.59±2.69
B, 7 days after G-CSF 4 days administration
GroupTRAP-5b, ng/ml
Control2.02±2.17
G-CSF2.63±2.27

[i] Data are expressed as mean ± standard deviation. A day after the G-CSF 4 days administration, Control, n=5, G-CSF, n=6; 7 days after the G-CSF 4 days administration, Control, n=6, G-CSF, n=5. TRAP-5b, tartrate-resistant acid phosphatase 5b; G-CSF, granulocyte colony-stimulating factor.

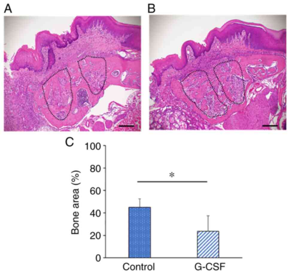
Histological evaluation

Sections of maxilla including the tooth extraction region were stained with H&E and examined histologically at 6 days after tooth extraction in the control and G-CSF groups. The tooth extraction socket displayed a tendency to be filled with new bone in the control group (Fig. 3A). By contrast, fibrous connective tissues and immature bone were observed in the extraction socket and bone healing was delayed in the G-CSF group compared with the control group (Fig. 3B). The bone area in the extraction socket was significantly smaller in the G-CSF group (23.6%) than in the control group (45.1%) (Fig. 3C). The histological appearance of the G-CSF treated mice bony regenerate was decreased.

Figure 3

Analysis of the maxillary bone, including the extraction socket. Photomicrographs of the tooth extraction region in the (A) control group and (B) G-CSF group (black dotted lines; extraction sockets). H&E stain. Scale bar indicates 200 µm. (C) H&E-stained sections were histomorphometrically analyzed using NIH ImageJ (version 1.47) for quantification of the neoplastic bone area. The bone area in the extraction socket was significantly smaller in the G-CSF group than in the control group. n=5. *P<0.05. Data are presented as mean ± SD. G-CSF, granulocyte colony-stimulating factor.

Osteoclast activity

TRAP-positive osteoclasts were present on the bone surface in the alveolar bone in the control and G-CSF groups at 6 days after the extraction (Fig. 4A and B). There was no significant difference in the number of TRAP-positive cells of the alveolar bone between these two groups (Fig. 4C).

Figure 4

TRAP-stained sections. TRAP-positive cells around the extraction socket in the (A) control group and (B) G-CSF group. Scale bar indicates 100 µm. (C) The number of TRAP-positive cells was counted around the extraction socket in the maxillary bone. n=5. Data are presented as mean ± SD. TRAP, tartrate-resistant acid phosphatase; G-CSF, granulocyte colony-stimulating factor.

Osteocytic canalicular morphology

To investigate morphological changes in the femur and maxilla, we performed AgNOR staining (Fig. 5A-E). The number of canaliculi per osteocyte in the femur and maxilla was significantly decreased by G-CSF administration (N.Ot.Ca/Ot.Lc. femur: control group, 12.04±0.96; G-CSF group, 9.87±0.45; Fig. 5E, N.Ot.Ca/Ot.Lc. maxilla: control group, 10.86±0.74; G-CSF group, 9.43±0.69; Fig. 5F).

Figure 5

Canaliculi structure analysis. AgNOR staining of osteocytic canaliculi around the proximal femoral metaphysis in the (A) control group and (B) G-CSF group and around the extraction socket in the (C) control group and (D) G-CSF group. Scale bar indicates 200 µm. Showing the magnified photomicrograph in the rectangular area, the scale bar indicates 10 µm. (E and F) The number of canaliculi per osteocyte lacuna in 10 randomly selected cells in their defined regions of interest. n=5. *P<0.05. Data are presented as mean ± SD. AgNOR, silver-stained nucleolar organizer regions; G-CSF, granulocyte colony-stimulating factor.

Dynamic parameters

Following calcein injection, two clear fluorescent lines were observed in newly formed bone of the maxilla in the control and G-CSF groups (Fig. 6A and B). Analysis of the bone formation parameter revealed that the G-CSF group presented a significantly lower MAR compared with the control group (control group, 1.50±0.39 µm/day; G-CSF group, 1.09±0.17 µm/day; Fig. 6C).

Figure 6

Fluorescence photomicrographs of calcein bone labeling. Images of calcein double labeling of the maxillary bone in the (A) control group and (B) G-CSF group. Scale bar indicates 100 µm. Showing the magnified photomicrograph in the rectangular area, the scale bar indicates 20 µm. (C) The MAR, defined as the distance between the midpoints of the double label divided by the number of days between the calcein injections, was determined. n=6. *P<0.05. Data are presented as mean ± SD. G-CSF, granulocyte colony-stimulating factor; MAR, mineral apposition rate.

Discussion

Healthy bones are maintained by bone remodeling, a physiological process in which old or damaged bone is resorbed by osteoclasts and new bone is subsequently formed by osteoblasts (20). In normal bone remodeling, bone resorption and formation are closely associated, such that bone mass and quality are unaltered. However, this physiological process can be disrupted by a variety of factors, including age-related factors, osteoporosis, drugs, and secondary diseases, leading to the development of various bone diseases (20). Bone remodeling is systematically regulated by a variety of systemic [e.g. estrogen (21) and parathyroid hormone (22)] and local factors [e.g. bone morphogenetic proteins (23) and transforming growth factor-β (23)] (2,24). We investigated G-CSF as one of the factors in the regulation of physiological bone remodeling.

G-CSF administration suppresses osteoblast and osteocyte function via sympathetic nervous system-mediated β2-adrenergic signaling, reduces the support system for HSPCs to remain in the bone marrow microenvironment, and causes HSPCs to leave the bone marrow niche and be released into the bloodstream (4,25). Therefore, we hypothesized that G-CSF, which suppresses osteoblasts and osteocytes, is a potential candidate for a systemic factor that affects the bone remodeling microenvironment. In the present study, significant differences in the BV/TV, Tb. N and Tb.Sp of the femur and alveolar bone were observed between the G-CSF and control groups. The trabecular bone of the femur and alveolar bone were reduced in the G-CSF group compared with the control group. These results suggested that G-CSF may play important roles in the inhibition of bone turnover in not only the femur but also the alveolar bone of mice.

The periodontal tissues of the maxillary first molars of mice were previously surveyed for qualitative histological tissue changes concomitant with aging, and significant changes were observed with increasing age, including a reduction and narrowing of the periodontal ligament space, particularly at the root apices and interradicular regions, leading to ankylosis (26). Tooth extraction in elder mice is much more difficult than in young mice because of root ankylosis. Moreover, the aging of the bone marrow microenvironment has been shown to contribute to the decline in HSPC function over time (27). In the present study, our interest is boney regenerate. The bone turnover rate in the maxilla was significantly higher than in the femur (28). Therefore, we used a young mouse tooth extraction model in this study.

The serum P1NP level, a marker of bone formation, was lower in the G-CSF group as compared with the control group six days after G-CSF administration. There was no difference in the serum TRACP-5b level (bone resorption/osteoclast number marker) between the G-CSF and control groups. These data are consistent with the morphometry results and suggest that G-CSF decreases the trabecular bone volume by reducing bone formation. These results suggested that GCS-F may play important roles in the inhibition of bone turnover in the tooth extraction sockets of mice.

In this study, we extracted a unilateral maxillary first molar of the mice and observed the tooth extraction sockets histopathologically. Pan et al (29) examined tooth extraction wound healing in laboratory mice using quantitative µCT imaging, and the extraction sockets were nearly 50% filled within one week. Their result corresponded with our result. By contrast, fibrous connective tissues and immature bone were observed in the extraction socket and bone healing was delayed in the G-CSF group compared with the control group. Bone area in the extraction socket was significantly smaller in the G-CSF group (23.6%) than in control group (45.1%). We evaluated the number of TRAP-positive cells in the maxilla, including the tooth extraction socket, finding in the maxilla that they were non-significantly lower in the G-CSF group than in the control group. This result suggested that G-CSF administration did not play an important role for osteoclasts in the inhibition of bone turnover of the tooth extraction socket area. Osteocytes represent 90-95% of all bone cells in the adult skeleton (30). They produce and secrete sclerostin, receptor activator of nuclear factor κΒ ligand, and osteoprotegerin to communicate indirectly with bone-related cells through small tunnels termed canaliculi (30,31). We showed a reduction in the N.Ot.Ca/Ot.Lc. in the maxilla on G-CSF administration. We also evaluated the MAR, which was lower in the G-CSF group than in the control group. These results suggested that G-CSF plays an important role in the inhibition of bone turnover in the tooth extraction sockets of mice. The G-CSF group displayed significantly delayed bone healing of the extraction socket in comparison with the control group.

There are some limitations in this study. Firstly, we only evaluated bone healing of the extraction socket. Future research will continue to explore other bone healings. One example is comparing the bone healing between tooth extraction model and femur fracture model in mice. Secondly, at first, we designed the study with eight mice per group. However, two or three mice of each group were difficult to analyze due to tooth root fracture, alveolar bone fracture or insufficient blood sample volumes. Consequently, the number of mice was a minimum of five per group. Moreover, we aim to investigate the effects of G-CSF on HSPC in vitro in future work.

In conclusion, G-CSF administration reduced the number of canaliculi per osteocyte and inhibited the connection of the osteocyte networks. Consequently, osteoblast activation was inhibited, and the bone remodeling changed to a state of low bone turnover. For the above reasons, it was considered that the bone healing of the socket after tooth extraction was delayed.

Supplementary Material

Representative images of CXCL12/SDF-1-positive cells in bone marrow samples. Immunoreactivity (black arrows) for CXCL12 in femoral metaphyseal trabecules of the (A) control and (B) G-CSF-treatment groups and around the extraction socket in the maxillary bone of the (C) control and (D) G-CSF-treatment groups is shown as CXCL12/ SDF-1-positive cells located among the hematopoietic cells. The number of CXCL12/SDF-1-positive cells was decreased by G-CSF treatment. Scale bar indicates 50 μm. CXCL12, chemokine (C-X-C motif) ligand 12; SDF-1, stromal cell-derived factor 1.

Acknowledgements

The authors would like to thank Ms. Shinobu Osawa (Department of Oral and Maxillofacial Surgery, School of Medicine, Hyogo Medical University, Nishinomiya, Japan) for technical assistance.

Funding

Funding: This study was supported by JSPS KAKENHI [grant nos. 20H01118 (to MO), 21K10106 (to KT), 21K17126 (to MU) and 21H04285 (to KT)], and by Grant-in-Aid for Researchers, Hyogo Medical University, 2021 (to MU).

Availability of data and materials

The datasets used and/or analyzed during the current study are available from the corresponding author on reasonable request.

Authors' contributions

MO, KaT, MU, KN and HK conceived and designed the present study. MO, KaT, MU, KoT, HH, NY and KY performed the experiments. MO, KaT, HH, KN and HK analyzed the data and performed statistical analysis. KN and HK confirm the authenticity of all the raw data. MO, KaT, KN and HK wrote the manuscript and created the figures. All authors read and approved the final manuscript.

Ethics approval and consent to participate

All animal experiments and experimental protocols were approved by the ethics committee of the Hyogo Medical University (Hyogo, Japan) (approval number 19-032).

Patient consent for publication

Not applicable.

Competing interests

The authors declare that they have no competing interests.

References

1 

Hübel K and Engert A: Clinical applications of granulocyte colony-stimulating factor: An update and summary. Ann Hematol. 82:207–213. 2003.PubMed/NCBI View Article : Google Scholar

2 

Turhan AB, Binay C, Bor O and Simsek E: The effects of short-term use of granulocyte colony-stimulating factor on bone metabolism in child cancer patients. North Clin Istanb. 5:277–281. 2018.PubMed/NCBI View Article : Google Scholar

3 

Bendall LJ and Bradstock KF: G-CSF: From granulopoietic stimulant to bone marrow stem cell mobilizing agent. Cytokine Growth Factor Rev. 25:355–367. 2014.PubMed/NCBI View Article : Google Scholar

4 

Asada N, Katayama Y, Sato M, Minagawa K, Wakahashi K, Kawano H, Kawano Y, Sada A, Ikeda K, Matsui T and Tanimoto M: Matrix-embedded osteocytes regulate mobilization of hematopoietic stem/progenitor cells. Cell Stem Cell. 12:737–747. 2013.PubMed/NCBI View Article : Google Scholar

5 

Lévesque JP, Hendy J, Takamatsu Y, Simmons PJ and Bendall LJ: Disruption of the CXCR4/CXCL12 chemotactic interaction during hematopoietic stem cell mobilization induced by GCSF or cyclophosphamide. J Clin Invest. 111:187–196. 2003.PubMed/NCBI View Article : Google Scholar

6 

Semerad CL, Christopher MJ, Liu F, Short B, Simmons PJ, Winkler I, Levesque JP, Chappel J, Ross FP and Link DC: G-CSF potently inhibits osteoblast activity and CXCL12 mRNA expression in the bone marrow. Blood. 106:3020–3027. 2005.PubMed/NCBI View Article : Google Scholar

7 

Katsimbri P: The biology of normal bone remodelling. Eur J Cancer Care (Engl). 26(e12740)2017.PubMed/NCBI View Article : Google Scholar

8 

Hadjidakis DJ and Androulakis II: Bone remodeling. Ann N Y Acad Sci. 1092:385–396. 2006.PubMed/NCBI View Article : Google Scholar

9 

Takamatsu Y, Simmons PJ, Moore RJ, Morris HA, To LB and Lévesque JP: Osteoclast-mediated bone resorption is stimulated during short-term administration of granulocyte colony-stimulating factor but is not responsible for hematopoietic progenitor cell mobilization. Blood. 92:3465–3473. 1998.PubMed/NCBI

10 

Watanabe T, Suzuya H, Onishi T, Kanai S, Kaneko M, Watanabe H, Nakagawa R, Kawano Y, Takaue Y, Kuroda Y and Talmadge JE: Effect of granulocyte colony-stimulating factor on bone metabolism during peripheral blood stem cell mobilization. Int J Hematol. 77:75–81. 2003.PubMed/NCBI View Article : Google Scholar

11 

Bonilla MA, Dale D, Zeidler C, Last L, Reiter A, Ruggeiro M, Davis M, Koci B, Hammond W, Gillio A and Welte K: Long-term safety of treatment with recombinant human granulocyte colony-stimulating factor (r-metHuG-CSF) in patients with severe congenital neutropenias. Br J Haematol. 88:723–730. 1994.PubMed/NCBI View Article : Google Scholar

12 

Bishop NJ, Williams DM, Compston JC, Stirling DM and Prentice A: Osteoporosis in severe congenital neutropenia treated with granulocyte colony-stimulating factor. Br J Haematol. 89:927–928. 1995.PubMed/NCBI View Article : Google Scholar

13 

Soshi S, Takahashi HE, Tanizawa T, Endo N, Fujimoto R and Murota K: Effect of recombinant human granulocyte colony-stimulating factor (rh G-CSF) on rat bone: Inhibition of bone formation at the endosteal surface of vertebra and tibia. Calcif Tissue Int. 58:337–340. 1996.PubMed/NCBI View Article : Google Scholar

14 

Wu YD, Chien CH, Chao YJ, Hamrick MW, Hill WD, Yu JC and Li X: Granulocyte colony-stimulating factor administration alters femoral biomechanical properties in C57BL/6 mice. J Biomed Mater Res A. 87:972–979. 2008.PubMed/NCBI View Article : Google Scholar

15 

Kishimoto H, Noguchi K and Takaoka K: Novel insight into the management of bisphosphonate-related osteonecrosis of the jaw (BRONJ). Jpn Dent Sci Rev. 55:95–102. 2019.PubMed/NCBI View Article : Google Scholar

16 

Shudo A, Kishimoto H, Takaoka K and Noguchi K: Long-term oral bisphosphonates delay healing after tooth extraction: A single institutional prospective study. Osteoporos Int. 29:2315–2321. 2018.PubMed/NCBI View Article : Google Scholar

17 

Tamaoka J, Takaoka K, Hattori H, Ueta M, Maeda H, Yamamura M, Yamanegi K, Noguchi K and Kishimoto H: Osteonecrosis of the jaws caused by bisphosphonate treatment and oxidative stress in mice. Exp Ther Med. 17:1440–1448. 2019.PubMed/NCBI View Article : Google Scholar

18 

Takaoka K, Yamamura M, Nishioka T, Abe T, Tamaoka J, Segawa E, Shinohara M, Ueda H, Kishimoto H and Urade M: Establishment of an animal model of bisphosphonate-related osteonecrosis of the jaws in spontaneously diabetic torii rats. PLoS One. 14(e0144355)2015.PubMed/NCBI View Article : Google Scholar

19 

Dempster DW, Compston JE, Drezner MK, Glorieux FH, Kanis JA, Malluche H, Meunier PJ, Ott SM, Recker RR and Parfitt AM: Standardized nomenclature, symbols, and units for bone histomorphometry: A 2012 update of the report of the ASBMR histomorphometry nomenclature committee. J Bone Miner Res. 28:2–17. 2013.PubMed/NCBI View Article : Google Scholar

20 

Feng X and McDonald JM: Disorders of bone remodeling. Annu Rev Pathol. 6:121–145. 2011.PubMed/NCBI View Article : Google Scholar

21 

Khosla S and Monroe DG: Regulation of bone metabolism by sex steroids. Cold Spring Harb Perspect Med. 8(a031211)2018.PubMed/NCBI View Article : Google Scholar

22 

Wein MN and Kronenberg HM: Regulation of bone remodeling by parathyroid hormone. Cold Spring Harb Perspect Med. 8(a031237)2018.PubMed/NCBI View Article : Google Scholar

23 

Zou ML, Chen ZH, Teng YY, Liu SY, Jia Y, Zhang KW, Sun ZL, Wu JJ, Yuan ZD, Feng Y, et al: The smad dependent TGF-β and BMP signaling pathway in bone remodeling and therapies. Front Mol Biosci. 8(593310)2021.PubMed/NCBI View Article : Google Scholar

24 

Siddiqui JA and Partridge NC: Physiological bone remodeling: Systemic regulation and growth factor involvement. Physiology (Bethesda). 31:233–245. 2016.PubMed/NCBI View Article : Google Scholar

25 

Li SD, Chen YB, Qiu LG and Qin MQ: G-CSF indirectly induces apoptosis of osteoblasts during hematopoietic stem cell mobilization. Clin Transl Sci. 10:287–291. 2017.PubMed/NCBI View Article : Google Scholar

26 

Tonna EA: Histological age changes associated with mouse parodontal tissues. J Gerontol. 28:1–12. 1973.PubMed/NCBI View Article : Google Scholar

27 

Matteini F, Mulaw MA and Florian MC: Aging of the hematopoietic stem cell niche: New tools to answer an old question. Front Immunol. 12(738204)2021.PubMed/NCBI View Article : Google Scholar

28 

Wang JY, Huo L, Yu RQ, Rao NJ, Lu WW and Zheng LW: Skeletal site-specific response of jawbones and long bones to surgical interventions in rats treated with zoledronic acid. Biomed Res Int. 2019(5138175)2019.PubMed/NCBI View Article : Google Scholar

29 

Pan J, Pilawski I, Yuan X, Arioka M, Ticha P, Tian Y and Helms JA: Interspecies comparison of alveolar bone biology: Tooth extraction socket healing in mini pigs and mice. J Periodontol. 91:1653–1663. 2020.PubMed/NCBI View Article : Google Scholar

30 

Bonewald LF: Osteocytes as dynamic multifunctional cells. Ann N Y Acad Sci. 1116:281–290. 2007.PubMed/NCBI View Article : Google Scholar

31 

Kitaura H, Marahleh A, Ohori F, Noguchi T, Shen WR, Qi J, Nara Y, Pramusita A, Kinjo R and Mizoguchi I: Osteocyte-related cytokines regulate osteoclast formation and bone resorption. Int J Mol Sci. 21(5169)2020.PubMed/NCBI View Article : Google Scholar

Related Articles

  • Abstract
  • View
  • Download
  • Twitter
Copy and paste a formatted citation
Spandidos Publications style
Oshitani M, Takaoka K, Ueta M, Tomimoto K, Hattori H, Yoneda N, Yamanegi K, Noguchi K and Kishimoto H: G‑CSF delays tooth extraction socket bone healing via the inhibition of bone turnover in mice. Exp Ther Med 25: 104, 2023.
APA
Oshitani, M., Takaoka, K., Ueta, M., Tomimoto, K., Hattori, H., Yoneda, N. ... Kishimoto, H. (2023). G‑CSF delays tooth extraction socket bone healing via the inhibition of bone turnover in mice. Experimental and Therapeutic Medicine, 25, 104. https://doi.org/10.3892/etm.2023.11803
MLA
Oshitani, M., Takaoka, K., Ueta, M., Tomimoto, K., Hattori, H., Yoneda, N., Yamanegi, K., Noguchi, K., Kishimoto, H."G‑CSF delays tooth extraction socket bone healing via the inhibition of bone turnover in mice". Experimental and Therapeutic Medicine 25.3 (2023): 104.
Chicago
Oshitani, M., Takaoka, K., Ueta, M., Tomimoto, K., Hattori, H., Yoneda, N., Yamanegi, K., Noguchi, K., Kishimoto, H."G‑CSF delays tooth extraction socket bone healing via the inhibition of bone turnover in mice". Experimental and Therapeutic Medicine 25, no. 3 (2023): 104. https://doi.org/10.3892/etm.2023.11803
Copy and paste a formatted citation
x
Spandidos Publications style
Oshitani M, Takaoka K, Ueta M, Tomimoto K, Hattori H, Yoneda N, Yamanegi K, Noguchi K and Kishimoto H: G‑CSF delays tooth extraction socket bone healing via the inhibition of bone turnover in mice. Exp Ther Med 25: 104, 2023.
APA
Oshitani, M., Takaoka, K., Ueta, M., Tomimoto, K., Hattori, H., Yoneda, N. ... Kishimoto, H. (2023). G‑CSF delays tooth extraction socket bone healing via the inhibition of bone turnover in mice. Experimental and Therapeutic Medicine, 25, 104. https://doi.org/10.3892/etm.2023.11803
MLA
Oshitani, M., Takaoka, K., Ueta, M., Tomimoto, K., Hattori, H., Yoneda, N., Yamanegi, K., Noguchi, K., Kishimoto, H."G‑CSF delays tooth extraction socket bone healing via the inhibition of bone turnover in mice". Experimental and Therapeutic Medicine 25.3 (2023): 104.
Chicago
Oshitani, M., Takaoka, K., Ueta, M., Tomimoto, K., Hattori, H., Yoneda, N., Yamanegi, K., Noguchi, K., Kishimoto, H."G‑CSF delays tooth extraction socket bone healing via the inhibition of bone turnover in mice". Experimental and Therapeutic Medicine 25, no. 3 (2023): 104. https://doi.org/10.3892/etm.2023.11803
Follow us
  • Twitter
  • LinkedIn
  • Facebook
About
  • Spandidos Publications
  • Careers
  • Cookie Policy
  • Privacy Policy
How can we help?
  • Help
  • Live Chat
  • Contact
  • Email to our Support Team