Spandidos Publications Logo
  • About
    • About Spandidos
    • Aims and Scopes
    • Abstracting and Indexing
    • Editorial Policies
    • Reprints and Permissions
    • Job Opportunities
    • Terms and Conditions
    • Contact
  • Journals
    • All Journals
    • Oncology Letters
      • Oncology Letters
      • Information for Authors
      • Editorial Policies
      • Editorial Board
      • Aims and Scope
      • Abstracting and Indexing
      • Bibliographic Information
      • Archive
    • International Journal of Oncology
      • International Journal of Oncology
      • Information for Authors
      • Editorial Policies
      • Editorial Board
      • Aims and Scope
      • Abstracting and Indexing
      • Bibliographic Information
      • Archive
    • Molecular and Clinical Oncology
      • Molecular and Clinical Oncology
      • Information for Authors
      • Editorial Policies
      • Editorial Board
      • Aims and Scope
      • Abstracting and Indexing
      • Bibliographic Information
      • Archive
    • Experimental and Therapeutic Medicine
      • Experimental and Therapeutic Medicine
      • Information for Authors
      • Editorial Policies
      • Editorial Board
      • Aims and Scope
      • Abstracting and Indexing
      • Bibliographic Information
      • Archive
    • International Journal of Molecular Medicine
      • International Journal of Molecular Medicine
      • Information for Authors
      • Editorial Policies
      • Editorial Board
      • Aims and Scope
      • Abstracting and Indexing
      • Bibliographic Information
      • Archive
    • Biomedical Reports
      • Biomedical Reports
      • Information for Authors
      • Editorial Policies
      • Editorial Board
      • Aims and Scope
      • Abstracting and Indexing
      • Bibliographic Information
      • Archive
    • Oncology Reports
      • Oncology Reports
      • Information for Authors
      • Editorial Policies
      • Editorial Board
      • Aims and Scope
      • Abstracting and Indexing
      • Bibliographic Information
      • Archive
    • Molecular Medicine Reports
      • Molecular Medicine Reports
      • Information for Authors
      • Editorial Policies
      • Editorial Board
      • Aims and Scope
      • Abstracting and Indexing
      • Bibliographic Information
      • Archive
    • World Academy of Sciences Journal
      • World Academy of Sciences Journal
      • Information for Authors
      • Editorial Policies
      • Editorial Board
      • Aims and Scope
      • Abstracting and Indexing
      • Bibliographic Information
      • Archive
    • International Journal of Functional Nutrition
      • International Journal of Functional Nutrition
      • Information for Authors
      • Editorial Policies
      • Editorial Board
      • Aims and Scope
      • Abstracting and Indexing
      • Bibliographic Information
      • Archive
    • International Journal of Epigenetics
      • International Journal of Epigenetics
      • Information for Authors
      • Editorial Policies
      • Editorial Board
      • Aims and Scope
      • Abstracting and Indexing
      • Bibliographic Information
      • Archive
    • Medicine International
      • Medicine International
      • Information for Authors
      • Editorial Policies
      • Editorial Board
      • Aims and Scope
      • Abstracting and Indexing
      • Bibliographic Information
      • Archive
  • Articles
  • Information
    • Information for Authors
    • Information for Reviewers
    • Information for Librarians
    • Information for Advertisers
    • Conferences
  • Language Editing
Spandidos Publications Logo
  • About
    • About Spandidos
    • Aims and Scopes
    • Abstracting and Indexing
    • Editorial Policies
    • Reprints and Permissions
    • Job Opportunities
    • Terms and Conditions
    • Contact
  • Journals
    • All Journals
    • Biomedical Reports
      • Information for Authors
      • Editorial Policies
      • Editorial Board
      • Aims and Scope
      • Abstracting and Indexing
      • Bibliographic Information
      • Archive
    • Experimental and Therapeutic Medicine
      • Information for Authors
      • Editorial Policies
      • Editorial Board
      • Aims and Scope
      • Abstracting and Indexing
      • Bibliographic Information
      • Archive
    • International Journal of Epigenetics
      • Information for Authors
      • Editorial Policies
      • Editorial Board
      • Aims and Scope
      • Abstracting and Indexing
      • Bibliographic Information
      • Archive
    • International Journal of Functional Nutrition
      • Information for Authors
      • Editorial Policies
      • Editorial Board
      • Aims and Scope
      • Abstracting and Indexing
      • Bibliographic Information
      • Archive
    • International Journal of Molecular Medicine
      • Information for Authors
      • Editorial Policies
      • Editorial Board
      • Aims and Scope
      • Abstracting and Indexing
      • Bibliographic Information
      • Archive
    • International Journal of Oncology
      • Information for Authors
      • Editorial Policies
      • Editorial Board
      • Aims and Scope
      • Abstracting and Indexing
      • Bibliographic Information
      • Archive
    • Medicine International
      • Information for Authors
      • Editorial Policies
      • Editorial Board
      • Aims and Scope
      • Abstracting and Indexing
      • Bibliographic Information
      • Archive
    • Molecular and Clinical Oncology
      • Information for Authors
      • Editorial Policies
      • Editorial Board
      • Aims and Scope
      • Abstracting and Indexing
      • Bibliographic Information
      • Archive
    • Molecular Medicine Reports
      • Information for Authors
      • Editorial Policies
      • Editorial Board
      • Aims and Scope
      • Abstracting and Indexing
      • Bibliographic Information
      • Archive
    • Oncology Letters
      • Information for Authors
      • Editorial Policies
      • Editorial Board
      • Aims and Scope
      • Abstracting and Indexing
      • Bibliographic Information
      • Archive
    • Oncology Reports
      • Information for Authors
      • Editorial Policies
      • Editorial Board
      • Aims and Scope
      • Abstracting and Indexing
      • Bibliographic Information
      • Archive
    • World Academy of Sciences Journal
      • Information for Authors
      • Editorial Policies
      • Editorial Board
      • Aims and Scope
      • Abstracting and Indexing
      • Bibliographic Information
      • Archive
  • Articles
  • Information
    • For Authors
    • For Reviewers
    • For Librarians
    • For Advertisers
    • Conferences
  • Language Editing
Login Register Submit
  • This site uses cookies
  • You can change your cookie settings at any time by following the instructions in our Cookie Policy. To find out more, you may read our Privacy Policy.

    I agree
Search articles by DOI, keyword, author or affiliation
Search
Advanced Search
presentation
Experimental and Therapeutic Medicine
Join Editorial Board Propose a Special Issue
Print ISSN: 1792-0981 Online ISSN: 1792-1015
Journal Cover
April-2023 Volume 25 Issue 4

Full Size Image

Sign up for eToc alerts
Recommend to Library

Journals

International Journal of Molecular Medicine

International Journal of Molecular Medicine

International Journal of Molecular Medicine is an international journal devoted to molecular mechanisms of human disease.

International Journal of Oncology

International Journal of Oncology

International Journal of Oncology is an international journal devoted to oncology research and cancer treatment.

Molecular Medicine Reports

Molecular Medicine Reports

Covers molecular medicine topics such as pharmacology, pathology, genetics, neuroscience, infectious diseases, molecular cardiology, and molecular surgery.

Oncology Reports

Oncology Reports

Oncology Reports is an international journal devoted to fundamental and applied research in Oncology.

Experimental and Therapeutic Medicine

Experimental and Therapeutic Medicine

Experimental and Therapeutic Medicine is an international journal devoted to laboratory and clinical medicine.

Oncology Letters

Oncology Letters

Oncology Letters is an international journal devoted to Experimental and Clinical Oncology.

Biomedical Reports

Biomedical Reports

Explores a wide range of biological and medical fields, including pharmacology, genetics, microbiology, neuroscience, and molecular cardiology.

Molecular and Clinical Oncology

Molecular and Clinical Oncology

International journal addressing all aspects of oncology research, from tumorigenesis and oncogenes to chemotherapy and metastasis.

World Academy of Sciences Journal

World Academy of Sciences Journal

Multidisciplinary open-access journal spanning biochemistry, genetics, neuroscience, environmental health, and synthetic biology.

International Journal of Functional Nutrition

International Journal of Functional Nutrition

Open-access journal combining biochemistry, pharmacology, immunology, and genetics to advance health through functional nutrition.

International Journal of Epigenetics

International Journal of Epigenetics

Publishes open-access research on using epigenetics to advance understanding and treatment of human disease.

Medicine International

Medicine International

An International Open Access Journal Devoted to General Medicine.

Journal Cover
April-2023 Volume 25 Issue 4

Full Size Image

Sign up for eToc alerts
Recommend to Library

  • Article
  • Citations
    • Cite This Article
    • Download Citation
    • Create Citation Alert
    • Remove Citation Alert
    • Cited By
  • Similar Articles
    • Related Articles (in Spandidos Publications)
    • Similar Articles (Google Scholar)
    • Similar Articles (PubMed)
  • Download PDF
  • Download XML
  • View XML
Article

Effects of cerium oxide on liver tissue in liver ischemia‑reperfusion injury in rats undergoing sevoflurane anesthesia

  • Authors:
    • Huseyin Gobut
    • Selin Erel
    • Cagri Ozdemir
    • Tulay Mortas
    • Mustafa Arslan
    • Aysegul Kucuk
    • Esat Kasapbasi
    • Mustafa Kavutcu
  • View Affiliations / Copyright

    Affiliations: Department of General Surgery, Faculty of Medicine, Gazi University, Ankara 06510, Turkey, Department of Anesthesiology and Reanimation, Faculty of Medicine, Gazi University, Ankara 06510, Turkey, Department of Histology and Embryology, Faculty of Medicine, Kirikkale University, Kirikkale 71450, Turkey, Department of Medical Physiology, Faculty of Medicine, Kutahya Health Sciences University, Kutahya 43020, Turkey, Department of Medical Biochemistry, Faculty of Medicine, Gazi University, Ankara 06510, Turkey
  • Article Number: 164
    |
    Published online on: February 24, 2023
       https://doi.org/10.3892/etm.2023.11863
  • Expand metrics +
Metrics: Total Views: 0 (Spandidos Publications: | PMC Statistics: )
Metrics: Total PDF Downloads: 0 (Spandidos Publications: | PMC Statistics: )
Cited By (CrossRef): 0 citations Loading Articles...

This article is mentioned in:



Abstract

During liver surgery and transplantation, periods of partial or total vascular occlusion are inevitable and result in ischemia‑reperfusion (IR) injury. Nanomedicine uses the latest technological advancement, which has emerged from interdisciplinary efforts involving biomedical sciences, physics and engineering to protect and improve human health. Antioxidant nanoparticles are potential therapeutic agents. The present study investigated the effects of cerium oxide (Co) administration and sevoflurane anesthesia on liver tissue with IR injury. A total of 36 rats were randomly divided into control, Co, IR, IR‑Sevoflurane (IRS), Co + IR and Co + IRS groups. In the IR, IRS and Co + IRS groups, hepatic IR was induced. Intraperitoneal Co was administered to the Co groups 30 min before ischemia. Sevoflurane was administered to the IRS and Co + IRS groups during IR injury. Liver tissue samples were examined under the light microscope by staining with hematoxylin and eosin. Thiobarbituric acid (TBARS) levels as well as catalase (CAT) and glutathione‑S‑transferase (GST) enzyme activity were evaluated in liver tissue samples. The IR group had considerably more hydropic degeneration, sinusoidal dilatation and parenchymal neutrophil infiltration than the Co, IRS, Co + IR and Co + IRS groups. CAT and GST enzyme activity were significantly higher in Co and Co + IR groups compared with the IR group. TBARS levels were significantly lower in Co, IRS, Co + IR and Co + IRS groups compared whit those in the IR group. Intraperitoneal injection of Co with sevoflurane decreased oxidative stress and damage to the liver.

Introduction

Hepatic ischemia-reperfusion (IR) injury is a biphasic condition defined by a transient interruption in the blood supply to the liver followed by rapid reperfusion (1). Despite developments in liver surgery protocols, IR injury is a concern in hepatic surgery that has an impact on postoperative morbidity and mortality (1). Therefore, it is a concern in hepatobiliary surgery, particularly liver resection and transplantation surgery, in which graft dysfunction is still a problem (1). The best course of action remains a matter of debate.

Due to its intensive metabolic functions, the liver is highly sensitive to redox disturbance. Increased reactive oxygen species (ROS) have been related to a series of molecular events that result in hepatocellular injury (2). Therefore, antioxidants are being used in current research on the treatment of hepatic IR injury to avoid the formation of excessive ROS (3-5).

Cerium oxide (Co) is one of several potent ROS scavengers and its antioxidant effects have piqued attention in the medical industry (6,7). Consequently, Co has been considered a therapeutic agent not only in hepatic IR (8) but also to treat stroke (9), ovarian cancer (10), cardiomyopathy (11), sepsis (12), obesity (13), lower extremity (14), intestinal (15) and lung IR (16).

Volatile agents are an essential part of perioperative medicine and are present in almost every patient undergoing general anesthesia (17). Several anesthetic agents (such as sevoflurane, desflurane, isoflurane, halothane, enflurane and xanthine oxidase) have been shown in various organs of animal models to decrease oxidative damage and inflammation, as well as protect against IR injury (18-20).

Sevoflurane is a halogenated volatile anesthetic that is one of the most commonly used for the induction and maintenance of general anesthesia in all age groups due to its ease of administration, versatility and stable hemodynamic profile (17). Since isoflurane has a recovery time longer than that of sevoflurane and desflurane is more irritating to the airway, sevoflurane induction and recovery tend to be smoother and are associated with fewer complications compared with isoflurane and desflurane (17,21,22).

To the best of our knowledge, although the precise mechanism remains unclear, volatile anesthetics are hypothesized to lessen IR injury and oxidative stress to the liver by lowering inflammatory cytokine levels (23). Sevoflurane inhibited cytokines more effectively compared with other volatiles (23). However, if Co nanoparticles prevent hepatic injury caused by IR under sevoflurane remains unclear. The present study aimed to investigate the combined effects of sevoflurane and Co on IR-injured liver tissue using biochemical and histological examination.

Materials and methods

Animals

Procedures were approved by the Gazi University Ethical Committee of Experimental Animals (approval no. G.Ü.ET-21.064) and performed at the Gazi University Animal Laboratory following the Guidelines for the Care and Use of Laboratory Animals, Ankara, Turkey (24). In the present study, a total of 36 female Wistar albino rats (age, 5 months; weight, 250-350 g), which were supplied by Gazi University Experimental Animals Research Center, were used. Animals were housed under identical environmental conditions and kept in a temperature/humidity controlled room (20-21˚C, 45-55%) under a 12/12-hlight/dark cycle. Food and water were available ad libitum.

Experimental groups

A total of 36 rats were randomly assigned and equally (n=6) divided into six groups (Control, Co, IR, IRS, Co + IR and Co + IRS). All surgical procedures were performed under general anesthesia. An intramuscular injection of 50 mg/kg ketamine hydrochloride (500 mg/10 ml; Ketalar®vial; Parke-Davis; Pfizer, Inc.) +10 mg/kg xylazine hydrochloride (Alfazyne® vial 2%; Ege Vet, Ltd.) was administered for anesthesia. After 30 min, the procedure was performed under a warming lamp with the rats in the supine position. In the surgical groups, after skin asepsis was achieved, a midline abdominal incision was applied to the rats and the porta hepatis was explored. In the IR groups, an atraumatic micro clamp was placed on the porta hepatis for 120 min, then the clamp was withdrawn, and the liver was re-perfused for another 120 min. In Co groups 0.5 mg/kg Co was administered intraperitoneally. In all groups, liver tissue of the rats was excised after having been sacrificed under anesthesia and the experiment lasted 270 min in total.

In the control group, rats were anesthetized 30 min before laparotomy. A midline laparotomy was the sole surgical procedure without any additional intervention. Blood samples (5-10 ml) were taken after 4 h follow-up. The liver tissue of rats was excised after having been sacrificed under anesthesia.

In the Co group, 0.5 mg/kg Co (Co aqueous nanoparticle dispersion, 100 ml; Sigma-Aldrich; Merck KGaA) was administered intraperitoneally 30 min before laparotomy. Laparotomy was the sole surgical procedure without hepatic ischemia intervention. At 4 h after the procedure, liver tissue of the rats was excised after having been sacrificed under anesthesia.

In the IR group, hepatic IR was performed following laparotomy. Subsequently, the rats were sacrificed and liver tissue was excised.

In the IRS group, the anesthesia procedure was conducted on the rats in a transparent plastic box. Hepatic IR procedure was performed following laparotomy. During the ischemia period, anesthetic gas vaporizers were calibrated and set at a minimum alveolar concentration of 2.3% sevofluranein oxygen (Sevorane Likid; 250 ml; AbbVie Tıbbi İlaçlar San. ve Tic. Ltd. Şti.).

In the Co + IR group, following laparotomy, Co was administered (0.5 mg/kg) 30 min before the ischemia period and the liver was re-perfused.

In the Co + IRS group, following laparotomy, Co was administered (0.5 mg/kg) intraperitoneally 30 min before ischemia. During the ischemia period, sevoflurane was applied with the 2.3% inspiratory concentration in a transparent plastic box and the liver was re-perfused.

Anesthesia was maintained in the control, Co, IR and Co +IR groups, which did not receive sevoflurane, with injections of 20 mg/kg ketamine with 5 mg/kg xylazine if a positive reaction to surgical stress or intermittent tail pinch was observed. Following the end of the reperfusion period, all rats were anesthetized with ketamine (50 mg/kg) and xylazine (10 mg/kg) and sacrificed by collecting blood (5-10 ml) from their abdominal aorta. After heartbeat and respiration ceased, rats were monitored for a further 2 min to confirm death. Liver tissue specimens were excised for subsequent biochemical and histopathological analysis.

Histopathological evaluation

Histopathological assessment was performed at the Department of Histology at Kirikkale University. After tissues were fixed in 10% formalin for 48 h at room temperature specimens were prepared with paraffin blocks. Tissue sections of 5-µm stained with hematoxylin for 10 min and then in eosin for 5 min at room temperature. The histopathological assessment and scoring were performed under light microscopy (magnification x100; Nikon Corporation). The same pathologist performed the histological evaluations in a blinded manner.

Each preparation was examined for hepatocyte degeneration, sinusoidal dilatation, pre-necrotic cell and mononuclear cellular infiltration in the parenchyma. Histological testing semiquantitative evaluation technique used by Abdel-Wahhab et al (25) was applied for interpreting the structural changes in hepatic tissues of control and treatment groups. According to this, a negative point (0) represents no structural changes; one positive point (1,+) indicates mild changes; two positive points (2,++) represent medium structural changes and three positive points (3,+++) indicate severe structural changes.

Biochemical evaluation

The biochemical examination was performed at the Department of Medical Biochemistry at Gazi University. Oxidative stress and lipid peroxidation in liver tissue was evaluated by measuring thiobarbituric acid (TBA) reactive substance (TBARS) levels and catalase (CAT) and glutathione-S-transferase (GST) enzyme activity.

TBARS assay was performed to measure lipid peroxidation as previously described (26). TBARS assay (CAS Number:122-31-6, Sigma Aldrich, Lot: MKBH2096V) is based on the reaction of malondialdehyde with TBA, which forms a pink pigment with an absorption maximum at 532 nm in acidic pH and 1,1,3,3-tetraethoxypropane was used as a standard MDA solution freshly in 0.1 M pH 7 TTRIS-HCl buffer solution from concentrated TEP.

CAT activity is based on the measurement of absorbance decrease due to H2O2 (Sigma-Aldrich H1009, CAS Number 7722-84-1) consumption at 240 nm as described by Aebi (27).

GST enzyme activity was measured as described by Habig et al (28). GST activity method is based on the measurement of absorbance increase at 340 nm due to the monitoring the absorbance increase of the GSH-CDNB complex, which is the product of the GSH (L-Glutathione reduced Sigma-Aldrich G4251, CAS Number 70-18-8) and CDNB (1-Chloro-2,4-dinitrobenzene Sigma-Aldrich 138630 CAS Number 97-00-7) reaction. The results were expressed in IU/mg protein for CAT and GST, nmol/mg protein for TBARS.

Statistical analysis

SPSS 20.0(IBM Corp.) was used for statistical analysis. Data were analyzed using Kruskal-Wallis test followed by Dunn's test or one-way ANOVA followed by post hoc Tukey's test. P<0.05 was considered to indicate a statistically significant difference. Data are expressed as the mean ± standard error.

Results

Histopathological results

Hydropic degeneration, sinusoidal dilation, necrosis and parenchymal mononuclear cell infiltration were significantly different between the groups (hydropic degeneration; P=0.003, sinusoidal dilation; P=0.013, necrosis; P=0.006 and parenchymal mononuclear cell infiltration; P=0.011; Table I).

Table I

Histopathological data of liver tissue.

Table I

Histopathological data of liver tissue.

VariableControl (n=6)Co (n=6)IR (n=6)IRS (n=6)Co + IR (n=6)Co + IRS (n=6)Kruskal Wallis P-valueComparisonP-value
Hydropic degeneration 0.17±0.17a 0.33±0.21a1.67±0.33 0.83±0.31a 0.50±0.22a 0.50±0.22a0.003Control vs. Co0.642
        Control vs. IR<0.0001
        IR vs. Co0.001
        IR vs. IRS0.026
        IR vs. Co +IR0.003
        IR vs. Co +IRS0.003
Sinusoidal dilation 0.33±0.21a 0.50±0.22a1.67±0.33 0.83±0.17a 0.50±0.22a 0.67±0.21a0.013Control vs. Co0.649
        Control vs. IR0.001
        IR vs. Co0.003
        IR vs. IRS0.029
        IR vs. Co +IR0.003
        IR vs. Co + IRS0.010
Pycnotic nuclei0.17±0.170.33±0.211.00±0.260.67±0.210.33±0.210.50±0.220.120Control vs. Co1.000
        Control vs. IR0.154
        IR vs. Co0.545
        IR vs. IRS1.000
        IR vs. Co+ IR1.000
        IR vs. Co +IRS1.000
Necrosis 0.17±0.17a 0.17±0.17a1.33±0.210.83±0.21 0.50±0.22a 0.67±0.21a0.006Control vs. Co1.000
        Control vs. IR0.001
        IR vs. Co0.001
        IR vs. IRS0.118
        IR vs. Co + IR0.012
        IR vs. Co +IRS0.040
Parenchymal mononuclear cell infiltration 0.33±0.21a 0.50±0.22a1.50±0.221.00±0.26 0.50±0.22a 0.67±0.21a0.011Control vs. Co0.605
        Control vs. IR0.001
        IR vs. Co0.004
        IR vs. IRS0.128
        IR vs. Co +IR0.004
        IR vs. Co +IRS0.014

[i] Data are presented as the mean ± standard error. P-values were calculated with Kruskal-Wallis test.

[ii] aP<0.05 vs. IR. Co, cerium oxide; IRS, ischemia-reperfusion-sevoflurane.

In comparison with the control group (Fig. 1), hydropic degeneration was more common in IR (P<0.0001; Fig. 2). Hydropic degeneration was found to be significantly lower in Co (Fig. 3), IRS (Fig. 4), Co + IR (Fig. 5) and Co + IRS (Fig. 6) groups compared with those in the IR group (P=0.001, P=0.026, P=0.003 and P=0.003, respectively; Table I).

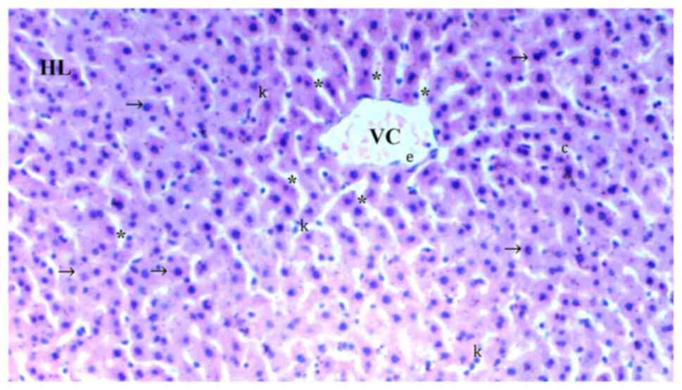
Figure 1

Representative light microscopy of hepatic tissue from the control group. Normal liver tissue. Magnification, x100. HL, hepatic lobule; VC, vena centralis; k, Kupffer cell hyperplasia; *, sinusoid dilatation; ↓↓, infiltration; →, hepatocyte; c, dikaryotic hepatocyte; con, congestion.

Figure 2

Representative light microscopy of hepatic tissue from the ischemia-reperfusion group. HL, hepatic lobule; VC, vena centralis; e, erythrocyte; *, sinusoid dilatation; →, hepatocyte; c, dikaryotic hepatocyte. H&Ex100.

Figure 3

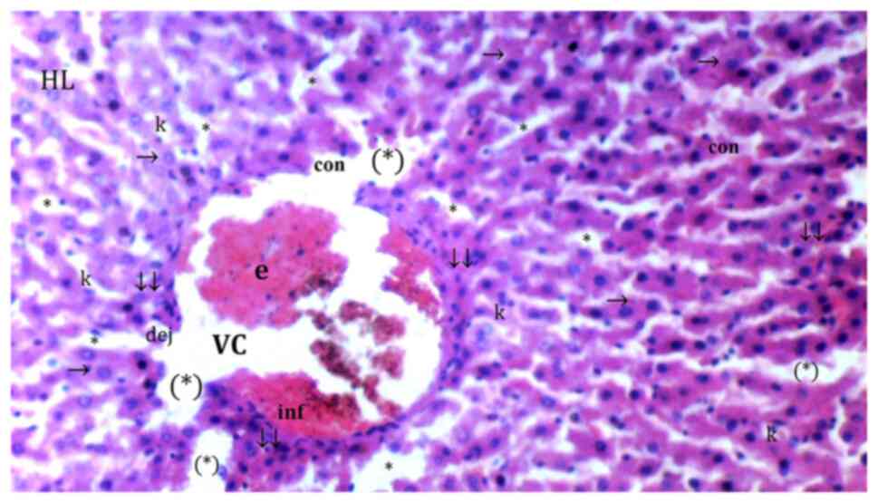
Representative light microscopy of hepatic tissue from cerium oxide group. HL, hepatic lobules; VC, vena centralis; e, erythrocyte; con, congestion; *, sinusoid dilatation; →, hepatocyte; c, dikaryotic hepatocytes; (*), necrotic and apoptotic hepatocyte; ↓↓, infiltration; dej, hydrophilic degeneration; inf, inflammation; k, Kupffer cell hyperplasia. H&Ex100.

Figure 4

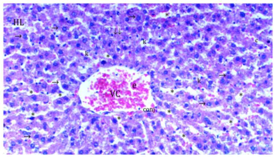
Representative light microscopy of hepatic tissue from ischemia reperfusion-sevoflurane group. HL, hepatic lobule; VC, vena centralis; e, erythrocyte; conj, congestion; *, sinusoid dilatation; inf, inflammation; →, hepatocyte; k, Kupffer cell hyperplasia. H&Ex100.

Figure 5

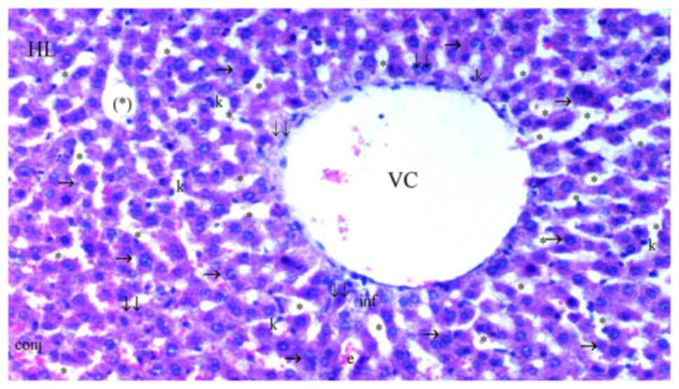
Representative light microscopy of hepatic tissue from cerium oxide-ischemia reperfusion group. HL, hepatic lobule; VC, vena centralis; con, congestion; *, sinusoid dilatation; ↓↓, infiltration; →, hepatocyte; c, dikaryotic hepatocyte; k, Kupffer cell hyperplasia; inf, inflammation; conj, congestion; (*), necrotic and apoptotic hepatocyte. H&Ex100.

Figure 6

Representative light microscopy of hepatic tissue from cerium oxide-ischemia reperfusion-sevoflurane group. HL, hepatic lobule; VC, vena centralis; e, erythrocyte; conj, congestion; *, sinusoid dilatation; ↓↓, infiltration; →, hepatocyte; c, dikaryotic hepatocyte; k, Kupffer cell hyperplasia. H&Ex100.

Sinusoidal dilatation was more common in the IR than in the control group (P=0.001). Sinusoidal dilatation was significantly lower in the Co (Fig. 3), IRS (Fig. 4), Co + IR (Fig. 5) and Co + IRS (Fig. 6) groups compared with the IR group (P=0.003, P=0.010, P=0.003 and P=0.029, respectively; Table I).

Necrosis was more common in the IR group than in the control group (P=0.001; Table I). Necrosis was significantly lower in Co (Fig. 3), Co + IR (Fig. 5) and Co + IRS (Fig. 6) groups than in the IR group (P=0.001, P=0.012, P=0.040, respectively; Table I) while it was similar between IR and IRS groups (Fig. 6; P=0.118; Table I).

Parenchymal mononuclear cell infiltration was significantly decreased in the Co, Co + IR and Co + IRS groups compared with that in the IR group (P=0.004, P=0.004 and P=0.014, respectively) while it was found similar between IR and IRS groups (P=0.128; Table I).

The number of pyknotic nuclei was similar between all groups (P=0.120; Table I).

Biochemical results. TBARS levels

A significant difference was found in levels of TBARS in the liver tissue between groups (P<0.0001; Table II). In the IR group, TBARS levels were higher than in the control group (P=0.001). TBARS levels were significantly lower in Co, IRS, Co + IR and Co + IRS groups compared with in the IR group (P<0.0001 for all; Table II).

Table II

Biochemical data of liver tissue.

Table II

Biochemical data of liver tissue.

VariableControl (n=6)Co (n=6)IR (n=6)IRS (n=6)Co + IR (n=6)Co + IRS (n=6)ANOVA P-ValueComparisonP-value
Thiobarbituric acid, nmol/ml 0.36±0.04a 0.45±0.05a1.22±0.24 0.55±0.07a 0.44±0.05a 0.47±0.04a0.0001Control vs. Co0.566
        Control vs. IR<0.0001
        IR vs. Co<0.0001
        IR vs. IRS<0.0001
        IR vs. Co + IR<0.0001
        IR vs. Co + IRS<0.0001
Catalase, IU/mgpro 2.69±0.37a 2.51±0.40a0.93±0.231.67±0.36 2.60±0.50a 1.93±0.35a0.016Control vs. Co0.737
        Control vs. IR0.002
        IR vs. Co0.006
        IR vs. IRS0.172
        IR vs. Co +IR0.004
        IR vs. Co + IRS0.043
Glutathione-S-transferase, IU/mgpro 0.62±0.20a 0.49±0.15a0.05±0.010.26±0.11 0.53±0.17a0.42±0.120.049Control vs. Co0.523
        Control vs. IR0.007
        IR vs. Co0.030
        IR vs. IRS0.296
        IR vs. Co +IR0.019
        IR vs. Co +IRS0.068

[i] Data are presented as the mean ± standard error. P-values calculated with ANOVA.

[ii] aP<0.05 vs. IR. Co, cerium oxide; IRS, ischemia-reperfusion-sevoflurane; pro, protein.

CAT enzyme activity

CAT enzyme activity in liver tissue was significantly different between all the groups (P=0.016; Table II). CAT enzyme activity was found to be significantly decreased in the IR group compared with that in the control group (P=0.002; Table II). CAT enzyme activity in Co, Co + IR and Co + IRS groups was significantly increased compared with that in the IR group (P=0.006, P=0.004, P=0.043, respectively; Table II). There was no difference between IR and IRS groups (P=0.172; Table II).

GST enzyme activity. GST enzyme activity in liver tissue was significantly different between the groups (P=0.049; Table II). In the IR group, GST enzyme activity was significantly lower than that in the control group (P=0.007) and increased compared with that in the Co and Co + IR groups (P=0.030 and P=0.019, respectively; Table II). There was no difference between IR and IRS and Co + IRS groups (P=0.296 and P=0.068, respectively; Table II).

Discussion

Hepatic IR is a severe issue that impairs graft function, particularly in liver transplantation (1,29). It involves a short halt in blood flow to all or part of the liver, followed by rapid reperfusion, disrupting normal homeostatic systems and generating free radicals (1). Hepatocellular injury and mortality are associated with high levels of ROS and the consequent activation of an inflammatory cascade (2). Certain approaches, such as Co and inhalation anesthetics, may decrease the severity of IR-induced harm (8,16). Co proven to be beneficial in fatty liver, fibrosis and drug-induced hepatocidal toxicity, such as doxorubicin and paracetamol, in addition to IR models (6,30-32). The present study investigated the protective effect of Co in a rat model of experimental hepatic IR damage. To the best of our knowledge, this is the first study to combine Co with sevoflurane in a liver IR model.

Several enzymes protect cells from IR-induced oxidative damage by acting as intracellular antioxidants. While the present study did not directly measure ROS levels, it investigated TBARS levels and CAT and GST enzyme activities, as well as histological examination using H&E staining to see if Co had a therapeutic impact. The TBARS assay, which detects MDA, is a common laboratory test for determining the degree of harm caused by free radicals generated by IR (33). Cellular antioxidant defense functions are supported by CAT and GST. These enzymes degrade superoxide anions and hydrogen peroxide while also preventing the formation of free radicals. Antioxidant efficacy is shown by high levels of CAT and GST in the blood (34). In the present study, increased TBARS levels were present in the IR group and CAT and GST enzyme activities revealed the protective effect of Co on liver IR. In the hepatic tissue of rats that received Co before hepatic IR, there was a considerable decrease in TBARS levels, as well as a significant rise in CAT and GST enzyme activity compared with those in the IR group; this finding was consistent with earlier investigations (6,8).

The hepatoprotective effects of Co were confirmed by histological findings. The IR damage was linked with notable hepatocyte degradation, sinusoidal dilatation, parenchymal mononuclear infiltration and several regions of necrosis, according to histological examination. Treatment with CO2 h before hepatic IR prevented these alterations and protected hepatocellular architecture. These modifications showed that Co can reduce ROS-induced cell death and thereby protect hepatocytes from IR-induced damage. This may be attributed to excess caspase 3 and inflammatory cytokine levels as well as reduced macrophage infiltration in presence of Co (32).

Although most antioxidants used to treat liver disease have difficulty targeting hepatocytes, necessitating repeated administration at high concentrations (35), in the present study Co was administered once before ischemia. Yokel et al (36) revealed that Co nanoparticles exist in the circulation for a short time on intravenous administration (half-life, 7.5 min). Even if the remaining intravenous time is limited, nanoparticles translocate to the liver and other organs (37). Nanoceria, nanoparticles of cerium oxide, in particular, has been demonstrated to be taken up by Kupffer cells in the liver, in which nanoceria partially dissolves to generate second-generation nanoceria clouds, which are smaller and may be more effective at reducing free radicals (38). Manne et al (8) demonstrated that Co nanoparticles protect against hepatic IR injury by infusing 0.5 mg/kg of 10-30 nm spherical Co nanoparticles intravenously into Sprague-Dawley rats 1 h before inducing hepatic ischemia in the left lateral and median lobes. The present study administered 0.5 mg/kg Co intraperitoneally for 2 h before the ischemia. It was speculated that a single intraperitoneal dose of Co may preserve liver tissue in IR models in rats without the requirement for numerous intravenous administrations due to in vivo distribution and cellular uptake of nanoceria and intrinsic autocatalytic activity.

Sevoflurane, desflurane and isoflurane, all extensively used volatile anesthetics in clinical practice, may be viable options for reducing IR damage. Through the control of inflammatory cytokines, oxidative stress and complement, they protect against hepatic IR damage (19,23,39). However, compared with isoflurane, sevoflurane has a stronger effect in reversing liver function, inhibiting inflammatory cytokines and decreasing oxidative stress (23). There is interest in the non-anesthetic effects of sevoflurane. Its principal mechanisms are lowering oxygen free radical and excess calcium level, suppressing inflammatory responses and enhancing liver cell energy consumption (40). Both experimental and clinical investigations imply that the mechanism of sevoflurane conditioning in decreasing hepatic IR damage is similar to that of ischemia preconditioning (39,41,42).

Although it remains unclear how sevoflurane reduces hepatic IR, some mechanisms have been discussed (43). Sevoflurane attenuates aggregation of macrophages and neutrophils in the liver sinusoid. Furthermore, it preserves the endothelial glycocalyx, reduces apoptosis and exerts antioxidant effects by regulating the nuclear factor erythroid 2-related factor 2 (Nrf2) pathway, thereby decreasing liver IR injury (44). The transcription factor Nrf2 is a pivotal agent in protection against oxidative stress. It is involved in the regulation of the expression of antioxidants, such as GST (45). In the absence of Nrf2, liver regeneration is significantly delayed and hepatocyte death is also increased (46). It has been demonstrated that Co and sevoflurane both downregulate Nrf2 (44,46).

The protective effect of sevoflurane in liver IR injury was revealed by the present investigation. When compared with the IR group, the IRS group had lower levels of TBARS, hepatocyte degeneration and sinusoidal dilatation. The combination of sevoflurane and Co also decreased IR damage in the liver. The significant decrease in TBARS levels shows that damage was associated with lipid peroxidation. Co and sevoflurane administration may decrease IR damage by altering lipid peroxidation. Histopathological findings supported the biochemical findings, demonstrating that co-administration of Co with sevoflurane may be more effective in avoiding liver damage than sevoflurane alone. Compared with the IR group, the Co + IR group exhibited notably decreased hepatocyte deterioration, sinusoidal dilatation, parenchymal mononuclear infiltration and necrosis.

The primary limitation of the present study was the absence of aspartate transaminase (AST) and alanine transaminase (ALT) level measurements. ALT and AST are standard biomarkers of choice for detecting liver injury (47). However, considering ALT and AST are not liver-specific and limited blood volume in rats, CAT, TBARS and GST were selected. ALT levels should be reported in future studies to improve the understanding of the effect of Co on liver tissue in the IR model.

In summary, the present findings revealed that Co therapy decreased oxidative stress generated by IR, as evidenced by a decrease in TBARS levels and increased activity of CAT and GST. The biochemical and histological findings in rats reveal a decrease in liver damage in Co + IR and Co +IRS groups compared with IR group. These findings support the hepatoprotective effects of Co. Taken together, the findings imply that intraperitoneal 0.5 mg/kg prophylactic Co administration may be a potential therapeutic method for treatment of hepatic IR damage. These effects should be confirmed at different concentrations and dosing regimens.

Acknowledgements

Not applicable.

Funding

Funding: No funding was received.

Availability of data and materials

All data generated or analyzed during this study are included in this published article.

Authors' contributions

MA and AK designed the study and analyzed and interpreted data. HG, CO and EK performed the experiments. SE and MA analyzed and interpreted data. MA, SE and HG confirm the authenticity of all the raw data. XX, AK, MA and MK provided scientific and technical assistance and critically revised the article for important intellectual content. CO and MA collected samples. TM and MK performed cellular and molecular experiments. All authors have read and approved the final manuscript.

Ethics approval and consent to participate

Ethical approval for the study was obtained from Gazi University Experimental Animals Ethics Committee (Ankara, Turkey; approval no:G.Ü.ET-21.064).

Patient consent for publication

Not applicable.

Competing interests

The authors declare that they have no competing interests.

References

1 

Peralta C, Jiménez-Castro MB and Gracia-Sancho J: Hepatic ischemia and reperfusion injury: Effects on the liver sinusoidal milieu. J Hepatol. 59:1094–1106. 2013.PubMed/NCBI View Article : Google Scholar

2 

Bhogal RH, Curbishley SM, Weston CJ, Adams DH and Afford SC: Reactive oxygen species mediate human hepatocyte injury during hypoxia/reoxygenation. Liver Transpl. 16:1303–1313. 2010.PubMed/NCBI View Article : Google Scholar

3 

Bonatsos V, Kappas I, Birbas K, Vlachodimitropoulos D, Toutouzas K, Karampela E, Syrmos N, Bonatsos G and Papalois AE: Effects of U-74389G (21-lazaroid) and ascorbic acid on liver recovery after acute ischemia and reperfusion in rats. In Vivo. 29:585–594. 2015.PubMed/NCBI

4 

Liu A, Huang L, Fan H, Fang H, Yang Y, Liu S, Hu J, Hu Q, Dirsch O and Dahmen U: Baicalein pretreatment protects against liver ischemia/reperfusion injury via inhibition of NF-κB pathway in mice. Int Immunopharmacol. 24:72–79. 2015.PubMed/NCBI View Article : Google Scholar

5 

Ramalho LN, Pasta ÂA, Terra VA, Augusto M, Sanches SC, Souza-Neto FP, Cecchini R, Gulin F and Ramalho FS: Rosmarinic acid attenuates hepatic ischemia and reperfusion injury in rats. Food and Chem Toxicol. 74:270–278. 2014.PubMed/NCBI View Article : Google Scholar

6 

Córdoba-Jover B, Arce-Cerezo A, Ribera J, Pauta M, Oró D, Casals G, Fernández-Varo G, Casals E, Puntes V, Jiménez W and Morales-Ruiz M: Cerium oxide nanoparticles improve liver regeneration after acetaminophen-induced liver injury and partial hepatectomy in rats. J Nanobiotechnology. 17(112)2019.PubMed/NCBI View Article : Google Scholar

7 

Colon J, Herrera L, Smith J, Patil S, Komanski C, Kupelian P, Seal S, Jenkins DW and Baker CH: Protection from radiation-induced pneumonitis using cerium oxide nanoparticles. Nanomedicine. 5:225–231. 2009.PubMed/NCBI View Article : Google Scholar

8 

Manne NDPK, Arvapalli R, Graffeo VA, Bandarupalli VVK, Shokuhfar T, Patel S, Rice KM, Ginjupalli GK and Blough ER: Prophylactic treatment with cerium oxide nanoparticles attenuate hepatic ischemia reperfusion injury in sprague dawley rats. Cell Physiol Biochem. 42:1837–1846. 2017.PubMed/NCBI View Article : Google Scholar

9 

Estevez AY, Pritchard S, Harper K, Aston JW, Lynch A, Lucky JJ, Ludington JS, Chatani P, Mosenthal WP, Leiter JC, et al: Neuroprotective mechanisms of cerium oxide nanoparticles in a mouse hippocampal brain slice model of ischemia. Free Radic Biol Med. 51:1155–1163. 2011.PubMed/NCBI View Article : Google Scholar

10 

Giri S, Karakoti A, Graham RP, Maguire JL, Reilly CM, Seal S, Rattan R and Shridhar V: Nanoceria: A rare-earth nanoparticle as a novel anti-angiogenic therapeutic agent in ovarian cancer. PLoS One. 8(e54578)2013.PubMed/NCBI View Article : Google Scholar

11 

Niu J, Azfer A, Rogers LM, Wang X and Kolattukudy PE: Cardioprotective effects of cerium oxide nanoparticles in a transgenic murine model of cardiomyopathy. Cardiovasc Res. 73:549–559. 2007.PubMed/NCBI View Article : Google Scholar

12 

Manne ND, Arvapalli R, Nepal N, Shokuhfar T, Rice KM, Asano S and Blough ER: Cerium oxide nanoparticles attenuate acute kidney injury induced by intra-abdominal infection in Sprague-Dawley rats. J Nanobiotechnology. 13(75)2015.PubMed/NCBI View Article : Google Scholar

13 

Rocca A, Moscato S, Ronca F, Nitti S, Mattoli V, Giorgi M and Ciofani G: Pilot in vivo investigation of cerium oxide nanoparticles as a novel anti-obesity pharmaceutical formulation. Nanomedicine. 11:1725–1734. 2015.PubMed/NCBI View Article : Google Scholar

14 

Tatar T, Polat Y, Çomu FM, Kartal H, Arslan M and Küçük A: Effect of cerium oxide on erythrocyte deformability in rat lower extremity ischemia reperfusion injury. Bratisl Lek Listy. 119:441–443. 2018.PubMed/NCBI View Article : Google Scholar

15 

Gubernatorova EO, Liu X, Othman A, Muraoka WT, Koroleva EP, Andreescu S and Tumanov AV: Europium-Doped cerium oxide nanoparticles limit reactive oxygen species formation and ameliorate intestinal ischemia-reperfusion injury. Adv Healthc Mater 6: May 8, 2017 (Epub ahead of print).

16 

Tuncay A, Sivgin V, Ozdemirkan A, Sezen SC, Boyunaga H, Kucuk A, Gunes I and Arslan M: The effect of cerium oxide on lung tissue in lower extremity ischemia reperfusion injury in sevoflurane administered rats. Int J Nanomedicine. 15:7481–7489. 2020.PubMed/NCBI View Article : Google Scholar

17 

Perouansky M, Pearce RA and Hemmings HC: Inhaled Anesthetics: Mechanism of Action. In: Miller Anesthesia Eight Edition. Miller RD (ed.). Elsevier Saunders Inc., Philadephia PA, pp614-635, 2015.

18 

Bedirli N, Ofluoglu E, Kerem M, Utebey G, Alper M, Yilmazer D, Bedirli A, Ozlu O and Pasaoglu H: Hepatic energy metabolism and the differential protective effects of sevoflurane and isoflurane anesthesia in a rat hepatic ischemia-reperfusion injury model. Anesth Analg. 106:830–837, table of contents. 2008.PubMed/NCBI View Article : Google Scholar

19 

Nielsen VG, Tan S, Kirk KA, Baird MS, McCammon AT, Samuelson PN and Parks DA: Halothane and xanthine oxidase increase hepatocellular enzyme release and circulating lactate after ischemia-reperfusion in rabbits. Anesthesiology. 87:908–917. 1997.PubMed/NCBI View Article : Google Scholar

20 

Zhong M, Che L, Du M, Liu K and Wang D: Desflurane protects against liver ischemia/reperfusion injury via regulating miR-135b-5p. J Chin Med Assoc. 84:38–45. 2021.PubMed/NCBI View Article : Google Scholar

21 

Sloan MH, Conard PF, Karsunky PK and Gross JB: . Sevoflurane versus isoflurane: Induction and recovery characteristics with single-breath inhaled inductions of anesthesia. Anesth Analg. 82:528–532. 1996.PubMed/NCBI View Article : Google Scholar

22 

TerRiet MF, DeSouza GJ, Jacobs JS, Young D, Lewis MC, Herrington C and Gold MI: Which is most pungent: Isoflurane, sevoflurane or desflurane? Br J Anaest. 85:305–307. 2000.PubMed/NCBI View Article : Google Scholar

23 

Yang P, Du Y, Zeng H, Xing H, Tian C and Zou X: Comparison of inflammatory markers between the sevoflurane and isoflurane anesthesia in a rat model of liver ischemia/reperfusion injury. Transplant Proc. 51:2017–2075. 2019.PubMed/NCBI View Article : Google Scholar

24 

Hayvan Deneyleri Merkezi Etik Kurulu. Mevzuat. Available from: https://hadmek.tarimorman.gov.tr/Sayfa/Detay/644. Accessed November 22, 2022.

25 

Abdel-Wahhab MA, Nada SA and Arbid MS: Ochratoxicosis: Prevention of developmental toxicity by L-methionine in rats. J Appl Toxicol. 19:7–12. 1999.PubMed/NCBI View Article : Google Scholar

26 

Hodges DM, DeLong JM, Forney CF and Prange RK: Improving the thiobarbituric acid-reactive-substances assay for estimating lipid peroxidation in plant tissues containing anthocyanin and other interfering compounds. Planta. 207:604–611. 1999.

27 

Aebi H: Catalase. In: Methods of Enzymatic Analysis. Bergmeyer H (ed). Academic Press, New York, London, pp673-677, 1974.

28 

Habig WH, Pabst MJ and Jakoby WB: Glutathione S-transferases. The first enzymatic step in mercapturic acid formation. J Biol Chem. 249:7130–7139. 1974.PubMed/NCBI

29 

Li J, Wang F, Xia Y, Dai W, Chen K, Li S, Liu T, Zheng Y, Wang J, Lu W, et al: Astaxanthin pretreatment attenuates hepatic ischemia reperfusion-induced apoptosis and autophagy via the ROS/MAPK pathway in mice. Mar Drugs. 13:3368–3387. 2015.PubMed/NCBI View Article : Google Scholar

30 

Ibrahim HG, Attia N, Hashem FEZA and El Heneidy MAR: Cerium oxide nanoparticles: In pursuit of liver protection against doxorubicin-induced injury in rats. Biomed Pharmacother. 103:773–781. 2018.PubMed/NCBI View Article : Google Scholar

31 

Kobyliak N, Abenavoli L, Falalyeyeva T, Virchenko O, Natalia B, Beregova T, Bodnar P and Spivak M: Prevention of NAFLD development in rats with obesity via the improvement of pro/antioxidant state by cerium dioxide nanoparticles. Clujul Med. 89:229–235. 2016.PubMed/NCBI View Article : Google Scholar

32 

Oró D, Yudina T, Fernández-Varo G, Casals E, Reichenbach V, Casals G, González de la Presa B, Sandalinas S, Carvajal S, Puntes V and Jiménez W: Cerium oxide nanoparticles reduce steatosis, portal hypertension and display anti-inflammatory properties in rats with liver fibrosis. J Hepatol. 64:691–698. 2016.PubMed/NCBI View Article : Google Scholar

33 

Granger DN and Korthuis RJ: Physiologic mechanisms of postischemic tissue injury. Annu Rev Physiol. 57:311–332. 1995.PubMed/NCBI View Article : Google Scholar

34 

Matés JM, Pérez-Gómez C and Núñez de Castro I: Antioxidant enzymes and human diseases. Clin Biochem. 32:595–603. 1999.PubMed/NCBI View Article : Google Scholar

35 

Hochhauser E, Lahat E, Sultan M, Pappo O, Waldman M, Sarne Y, Shainberg A, Gutman M, Safran M and Ben Ari Z: Ultra low dose delta 9-tetrahydrocannabinol protects mouse liver from ischemia reperfusion injury. Cell Physiol Biochem. 36:1971–1981. 2015.PubMed/NCBI View Article : Google Scholar

36 

Yokel RA, Hussain S, Garantziotis S, Demokritou P, Castranova V and Cassee FR: The yin: An adverse health perspective of nanoceria: Uptake, distribution, accumulation, and mechanisms of its toxicity. Environ Sci Nano. 1:406–428. 2014.PubMed/NCBI View Article : Google Scholar

37 

Manne ND, Arvapalli R, Nepal N, Thulluri S, Selvaraj V, Shokuhfar T, He K, Rice KM, Asano S, Maheshwari M and Blough ER: Therapeutic potential of cerium oxide nanoparticles for the treatment of peritonitis induced by polymicrobial insult in Sprague-Dawley rats. Crit Care Med. 43:e477–e489. 2015.PubMed/NCBI View Article : Google Scholar

38 

Graham UM, Tseng MT, Jasinski JB, Yokel RA, Unrine JM, Davis BH, Dozier AK, Hardas SS, Sultana R, Grulke EA and Butterfield DA: In vivo processing of ceria nanoparticles inside liver: Impact on free-radical scavenging activity and oxidative stress. Chempluschem. 79:1083–1088. 2014.PubMed/NCBI View Article : Google Scholar

39 

Figueira ERR and Filho JAR: Is there a place for sevoflurane to prevent liver ischemia-reperfusion injury during liver transplantation? Edorium J Anesth. 1:1–5. 2015.

40 

Kan C, Ungelenk L, Lupp A, Dirsch O and Dahmen U: Ischemia-reperfusion injury in aged livers-the energy metabolism, inflammatory response, and autophagy. Transplantation. 102:368–377. 2018.PubMed/NCBI View Article : Google Scholar

41 

Jeong JS, Kim D, Kim KY, Ryu S, Han S, Shin BS, Kim GS, Gwak MS and Ko JS: Ischemic preconditioning produces comparable protection against hepatic ischemia/reperfusion injury under isoflurane and sevoflurane anesthesia in rats. Transplant Proc. 49:2188–2193. 2017.PubMed/NCBI View Article : Google Scholar

42 

Jaiswal AK: Nrf2 signaling in coordinated activation of antioxidant gene expression. Free Radic Biol Med. 36:1199–1207. 2004.PubMed/NCBI View Article : Google Scholar

43 

Lee HT, Ota-Setlik A, Fu Y, Nasr SH and Emala CW: Differential protective effects of volatile anesthetics against renal ischemia-reperfusion injury in vivo. Anesthesiology. 101:1313–1324. 2004.PubMed/NCBI View Article : Google Scholar

44 

Wu Y, Gu C and Huang X: Sevoflurane protects against hepatic ischemia/reperfusion injury by modulating microRNA-200c regulation in mice. Biomed Pharmacother. 84:1126–1136. 2016.PubMed/NCBI View Article : Google Scholar

45 

Ma H, Yang B, Yu L, Gao Y, Ye X, Liu Y, Li Z, Li H and Li E: Sevoflurane protects the liver from ischemia-reperfusion injury by regulating Nrf2/HO-1 pathway. Eur J Pharmacol. 898(173932)2021.PubMed/NCBI View Article : Google Scholar

46 

Bashandy PhD MM, Saeed HE, Ahmed WMS, Ibrahim MA and Shehata O: Cerium oxide nanoparticles attenuate the renal injury induced by cadmium chloride via improvement of the NBN and Nrf2 gene expressions in rats. Toxicol Res (Camb). 11:339–347. 2022.PubMed/NCBI View Article : Google Scholar

47 

McGill MR: The past and present of serum aminotransferases and the future of liver injury biomarkers. EXCLI J. 15:817–828. 2016.PubMed/NCBI View Article : Google Scholar

Related Articles

  • Abstract
  • View
  • Download
  • Twitter
Copy and paste a formatted citation
Spandidos Publications style
Gobut H, Erel S, Ozdemir C, Mortas T, Arslan M, Kucuk A, Kasapbasi E and Kavutcu M: Effects of cerium oxide on liver tissue in liver ischemia‑reperfusion injury in rats undergoing sevoflurane anesthesia. Exp Ther Med 25: 164, 2023.
APA
Gobut, H., Erel, S., Ozdemir, C., Mortas, T., Arslan, M., Kucuk, A. ... Kavutcu, M. (2023). Effects of cerium oxide on liver tissue in liver ischemia‑reperfusion injury in rats undergoing sevoflurane anesthesia. Experimental and Therapeutic Medicine, 25, 164. https://doi.org/10.3892/etm.2023.11863
MLA
Gobut, H., Erel, S., Ozdemir, C., Mortas, T., Arslan, M., Kucuk, A., Kasapbasi, E., Kavutcu, M."Effects of cerium oxide on liver tissue in liver ischemia‑reperfusion injury in rats undergoing sevoflurane anesthesia". Experimental and Therapeutic Medicine 25.4 (2023): 164.
Chicago
Gobut, H., Erel, S., Ozdemir, C., Mortas, T., Arslan, M., Kucuk, A., Kasapbasi, E., Kavutcu, M."Effects of cerium oxide on liver tissue in liver ischemia‑reperfusion injury in rats undergoing sevoflurane anesthesia". Experimental and Therapeutic Medicine 25, no. 4 (2023): 164. https://doi.org/10.3892/etm.2023.11863
Copy and paste a formatted citation
x
Spandidos Publications style
Gobut H, Erel S, Ozdemir C, Mortas T, Arslan M, Kucuk A, Kasapbasi E and Kavutcu M: Effects of cerium oxide on liver tissue in liver ischemia‑reperfusion injury in rats undergoing sevoflurane anesthesia. Exp Ther Med 25: 164, 2023.
APA
Gobut, H., Erel, S., Ozdemir, C., Mortas, T., Arslan, M., Kucuk, A. ... Kavutcu, M. (2023). Effects of cerium oxide on liver tissue in liver ischemia‑reperfusion injury in rats undergoing sevoflurane anesthesia. Experimental and Therapeutic Medicine, 25, 164. https://doi.org/10.3892/etm.2023.11863
MLA
Gobut, H., Erel, S., Ozdemir, C., Mortas, T., Arslan, M., Kucuk, A., Kasapbasi, E., Kavutcu, M."Effects of cerium oxide on liver tissue in liver ischemia‑reperfusion injury in rats undergoing sevoflurane anesthesia". Experimental and Therapeutic Medicine 25.4 (2023): 164.
Chicago
Gobut, H., Erel, S., Ozdemir, C., Mortas, T., Arslan, M., Kucuk, A., Kasapbasi, E., Kavutcu, M."Effects of cerium oxide on liver tissue in liver ischemia‑reperfusion injury in rats undergoing sevoflurane anesthesia". Experimental and Therapeutic Medicine 25, no. 4 (2023): 164. https://doi.org/10.3892/etm.2023.11863
Follow us
  • Twitter
  • LinkedIn
  • Facebook
About
  • Spandidos Publications
  • Careers
  • Cookie Policy
  • Privacy Policy
How can we help?
  • Help
  • Live Chat
  • Contact
  • Email to our Support Team