Spandidos Publications Logo
  • About
    • About Spandidos
    • Aims and Scopes
    • Abstracting and Indexing
    • Editorial Policies
    • Reprints and Permissions
    • Job Opportunities
    • Terms and Conditions
    • Contact
  • Journals
    • All Journals
    • Oncology Letters
      • Oncology Letters
      • Information for Authors
      • Editorial Policies
      • Editorial Board
      • Aims and Scope
      • Abstracting and Indexing
      • Bibliographic Information
      • Archive
    • International Journal of Oncology
      • International Journal of Oncology
      • Information for Authors
      • Editorial Policies
      • Editorial Board
      • Aims and Scope
      • Abstracting and Indexing
      • Bibliographic Information
      • Archive
    • Molecular and Clinical Oncology
      • Molecular and Clinical Oncology
      • Information for Authors
      • Editorial Policies
      • Editorial Board
      • Aims and Scope
      • Abstracting and Indexing
      • Bibliographic Information
      • Archive
    • Experimental and Therapeutic Medicine
      • Experimental and Therapeutic Medicine
      • Information for Authors
      • Editorial Policies
      • Editorial Board
      • Aims and Scope
      • Abstracting and Indexing
      • Bibliographic Information
      • Archive
    • International Journal of Molecular Medicine
      • International Journal of Molecular Medicine
      • Information for Authors
      • Editorial Policies
      • Editorial Board
      • Aims and Scope
      • Abstracting and Indexing
      • Bibliographic Information
      • Archive
    • Biomedical Reports
      • Biomedical Reports
      • Information for Authors
      • Editorial Policies
      • Editorial Board
      • Aims and Scope
      • Abstracting and Indexing
      • Bibliographic Information
      • Archive
    • Oncology Reports
      • Oncology Reports
      • Information for Authors
      • Editorial Policies
      • Editorial Board
      • Aims and Scope
      • Abstracting and Indexing
      • Bibliographic Information
      • Archive
    • Molecular Medicine Reports
      • Molecular Medicine Reports
      • Information for Authors
      • Editorial Policies
      • Editorial Board
      • Aims and Scope
      • Abstracting and Indexing
      • Bibliographic Information
      • Archive
    • World Academy of Sciences Journal
      • World Academy of Sciences Journal
      • Information for Authors
      • Editorial Policies
      • Editorial Board
      • Aims and Scope
      • Abstracting and Indexing
      • Bibliographic Information
      • Archive
    • International Journal of Functional Nutrition
      • International Journal of Functional Nutrition
      • Information for Authors
      • Editorial Policies
      • Editorial Board
      • Aims and Scope
      • Abstracting and Indexing
      • Bibliographic Information
      • Archive
    • International Journal of Epigenetics
      • International Journal of Epigenetics
      • Information for Authors
      • Editorial Policies
      • Editorial Board
      • Aims and Scope
      • Abstracting and Indexing
      • Bibliographic Information
      • Archive
    • Medicine International
      • Medicine International
      • Information for Authors
      • Editorial Policies
      • Editorial Board
      • Aims and Scope
      • Abstracting and Indexing
      • Bibliographic Information
      • Archive
  • Articles
  • Information
    • Information for Authors
    • Information for Reviewers
    • Information for Librarians
    • Information for Advertisers
    • Conferences
  • Language Editing
Spandidos Publications Logo
  • About
    • About Spandidos
    • Aims and Scopes
    • Abstracting and Indexing
    • Editorial Policies
    • Reprints and Permissions
    • Job Opportunities
    • Terms and Conditions
    • Contact
  • Journals
    • All Journals
    • Biomedical Reports
      • Information for Authors
      • Editorial Policies
      • Editorial Board
      • Aims and Scope
      • Abstracting and Indexing
      • Bibliographic Information
      • Archive
    • Experimental and Therapeutic Medicine
      • Information for Authors
      • Editorial Policies
      • Editorial Board
      • Aims and Scope
      • Abstracting and Indexing
      • Bibliographic Information
      • Archive
    • International Journal of Epigenetics
      • Information for Authors
      • Editorial Policies
      • Editorial Board
      • Aims and Scope
      • Abstracting and Indexing
      • Bibliographic Information
      • Archive
    • International Journal of Functional Nutrition
      • Information for Authors
      • Editorial Policies
      • Editorial Board
      • Aims and Scope
      • Abstracting and Indexing
      • Bibliographic Information
      • Archive
    • International Journal of Molecular Medicine
      • Information for Authors
      • Editorial Policies
      • Editorial Board
      • Aims and Scope
      • Abstracting and Indexing
      • Bibliographic Information
      • Archive
    • International Journal of Oncology
      • Information for Authors
      • Editorial Policies
      • Editorial Board
      • Aims and Scope
      • Abstracting and Indexing
      • Bibliographic Information
      • Archive
    • Medicine International
      • Information for Authors
      • Editorial Policies
      • Editorial Board
      • Aims and Scope
      • Abstracting and Indexing
      • Bibliographic Information
      • Archive
    • Molecular and Clinical Oncology
      • Information for Authors
      • Editorial Policies
      • Editorial Board
      • Aims and Scope
      • Abstracting and Indexing
      • Bibliographic Information
      • Archive
    • Molecular Medicine Reports
      • Information for Authors
      • Editorial Policies
      • Editorial Board
      • Aims and Scope
      • Abstracting and Indexing
      • Bibliographic Information
      • Archive
    • Oncology Letters
      • Information for Authors
      • Editorial Policies
      • Editorial Board
      • Aims and Scope
      • Abstracting and Indexing
      • Bibliographic Information
      • Archive
    • Oncology Reports
      • Information for Authors
      • Editorial Policies
      • Editorial Board
      • Aims and Scope
      • Abstracting and Indexing
      • Bibliographic Information
      • Archive
    • World Academy of Sciences Journal
      • Information for Authors
      • Editorial Policies
      • Editorial Board
      • Aims and Scope
      • Abstracting and Indexing
      • Bibliographic Information
      • Archive
  • Articles
  • Information
    • For Authors
    • For Reviewers
    • For Librarians
    • For Advertisers
    • Conferences
  • Language Editing
Login Register Submit
  • This site uses cookies
  • You can change your cookie settings at any time by following the instructions in our Cookie Policy. To find out more, you may read our Privacy Policy.

    I agree
Search articles by DOI, keyword, author or affiliation
Search
Advanced Search
presentation
Experimental and Therapeutic Medicine
Join Editorial Board Propose a Special Issue
Print ISSN: 1792-0981 Online ISSN: 1792-1015
Journal Cover
April-2023 Volume 25 Issue 4

Full Size Image

Sign up for eToc alerts
Recommend to Library

Journals

International Journal of Molecular Medicine

International Journal of Molecular Medicine

International Journal of Molecular Medicine is an international journal devoted to molecular mechanisms of human disease.

International Journal of Oncology

International Journal of Oncology

International Journal of Oncology is an international journal devoted to oncology research and cancer treatment.

Molecular Medicine Reports

Molecular Medicine Reports

Covers molecular medicine topics such as pharmacology, pathology, genetics, neuroscience, infectious diseases, molecular cardiology, and molecular surgery.

Oncology Reports

Oncology Reports

Oncology Reports is an international journal devoted to fundamental and applied research in Oncology.

Experimental and Therapeutic Medicine

Experimental and Therapeutic Medicine

Experimental and Therapeutic Medicine is an international journal devoted to laboratory and clinical medicine.

Oncology Letters

Oncology Letters

Oncology Letters is an international journal devoted to Experimental and Clinical Oncology.

Biomedical Reports

Biomedical Reports

Explores a wide range of biological and medical fields, including pharmacology, genetics, microbiology, neuroscience, and molecular cardiology.

Molecular and Clinical Oncology

Molecular and Clinical Oncology

International journal addressing all aspects of oncology research, from tumorigenesis and oncogenes to chemotherapy and metastasis.

World Academy of Sciences Journal

World Academy of Sciences Journal

Multidisciplinary open-access journal spanning biochemistry, genetics, neuroscience, environmental health, and synthetic biology.

International Journal of Functional Nutrition

International Journal of Functional Nutrition

Open-access journal combining biochemistry, pharmacology, immunology, and genetics to advance health through functional nutrition.

International Journal of Epigenetics

International Journal of Epigenetics

Publishes open-access research on using epigenetics to advance understanding and treatment of human disease.

Medicine International

Medicine International

An International Open Access Journal Devoted to General Medicine.

Journal Cover
April-2023 Volume 25 Issue 4

Full Size Image

Sign up for eToc alerts
Recommend to Library

  • Article
  • Citations
    • Cite This Article
    • Download Citation
    • Create Citation Alert
    • Remove Citation Alert
    • Cited By
  • Similar Articles
    • Related Articles (in Spandidos Publications)
    • Similar Articles (Google Scholar)
    • Similar Articles (PubMed)
  • Download PDF
  • Download XML
  • View XML
Case Report Open Access

Invasive mucinous adenocarcinoma misdiagnosed as pneumonia: A case report

  • Authors:
    • Yuping Yang
    • Rongfei Huang
    • Liping Xiang
    • Jun Zeng
    • Wei Zhao
    • Na Huang
  • View Affiliations / Copyright

    Affiliations: Department of Pulmonary and Critical Care Medicine, The First Affiliated Hospital of Chengdu Medical College, Chengdu, Sichuan 610500, P.R. China, Department of Pathology, The First Affiliated Hospital of Chengdu Medical College, Chengdu, Sichuan 610500, P.R. China, School of Laboratory Medicine, Chengdu Medical College, Chengdu, Sichuan 610500, P.R. China
    Copyright: © Yang et al. This is an open access article distributed under the terms of Creative Commons Attribution License.
  • Article Number: 168
    |
    Published online on: February 28, 2023
       https://doi.org/10.3892/etm.2023.11867
  • Expand metrics +
Metrics: Total Views: 0 (Spandidos Publications: | PMC Statistics: )
Metrics: Total PDF Downloads: 0 (Spandidos Publications: | PMC Statistics: )
Cited By (CrossRef): 0 citations Loading Articles...

This article is mentioned in:



Abstract

Common imaging findings of invasive mucinous adenocarcinoma (IMA) include consolidation of the lung parenchyma, nodules, and ground‑glass changes. However, the IMA imaging findings in the present case included diffuse, patchy and blurry density shadows through both lungs. To the best of the authors' knowledge, this image pattern has rarely been reported. The patient provided his consent and authorized the publication of photographs featuring his likeness. The present study reported a patient was diagnosed with IMA via pathologic and genetic analyses. Following antibiotic treatment, the lesions in both sides became larger. Further examinations were completed and IMA was confirmed by biopsy pathohistological examination. Pathological specimens were negative for almost all driver genes mutations, except KRAS. The patients and family refused further treatment, including chemotherapy, radiotherapy and interventional chemotherapy and the patient was discharged from The First Affiliated Hospital of Chengdu Medical College. The present case report emphasized that IMA should be suspected when imaging studies show diffuse lesions throughout both lungs. When a patient does not respond to treatment, clinicians should consider alternative diagnoses.

Introduction

According to global cancer statistics, lung cancer is the leading cause of cancer-related deaths worldwide (1). As a new category of non-small cell lung cancer (NSCLC) in 2015 according to World Health Organization classification, invasive mucinous adenocarcinoma (IMA) accounts for 2-5% of lung adenocarcinomas (2,3). Based on image diagnosis, IMA usually has abundant intracellular/extracellular mucus and invasive adenocarcinoma patterns. The typical computed tomography (CT) of IMA, incudes consolidation, ground-glass opacity and nodules (2). Clinically, IMA is easily misdiagnosed as pneumonia (4,5).

The present study presented an IMA case, which manifested as diffuse, patchy and blurry density shadows throughout both sides. It emphasized that bronchioloalveolar carcinoma should be suspected when radiological manifestations show diffuse, patchy and blurry density shadows throughout all lobes. The present study was approved by the ethics committee review board of the First Affiliated Hospital of Chengdu Medical College (approval no. 2019CYFYIRB-BA-Jun13). The patient provided signed informed consent and authorized the publication of the images.

Case presentation

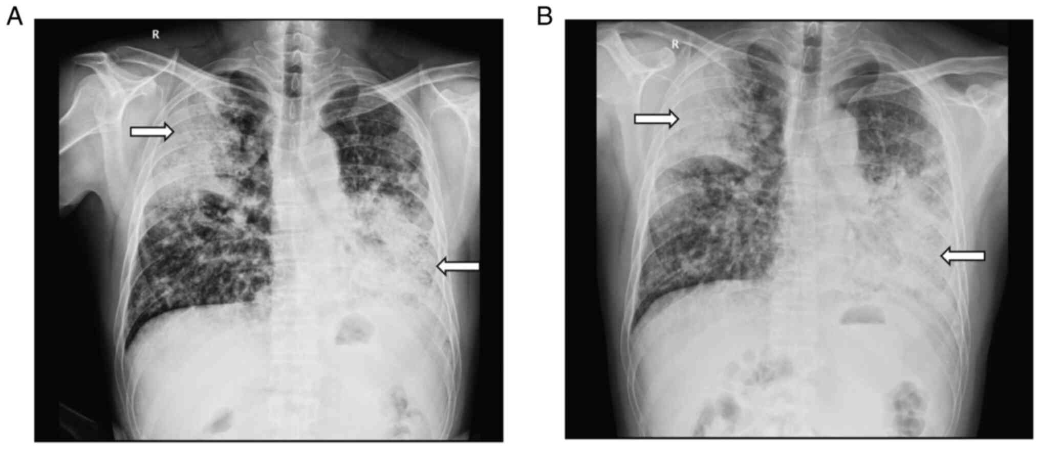
A 45-year-old male complained of a cough with production of sputum without obvious cause for a year. He denied chest pain, fever, chest tightness, shortness of breath, hemoptysis, night sweats, palpitations, eyelid edema and extremity edema. He was treated at another hospital and diagnosed with ‘pneumonia’. He was discharged from the hospital with symptom improvement after anti-infection treatment. Following discharge, he repeatedly coughed, with sputum production. For every episode, his symptoms were relieved after anti-infection treatment. However, the symptoms recurred and became worse after 2 days of treatment. Chest digital radiography (DR) showed diffuse, patchy and blurry density shadows throughout both lungs (Fig. 1A). He was transferred to the Departments of Pulmonary and Critical Care Medicine, The First Affiliated Hospital of Chengdu Medical College, for further treatment.

Figure 1

DR of the chest. (A) DR imaging before anti-infective treatment in The First Affiliated Hospital of Chengdu Medical College in March 4th, 2019. (B) DR of the Chest in The First Affiliated Hospital of Chengdu Medical College in March 22, 2019 after anti-infection treatment. Arrows indicates the patchy and flocculent fuzzy density shadows that are diffusely distributed in both lungs. DR, digital radiography.

His vital signs were within normal limits. Physical examination revealed coarse breath sounds and scattered wet rales in the bilateral lungs. Laboratory tests at admission included white blood cell count (0.42x109/l), percentage of lymphocytes (12.1%), and percentage of neutrophils (80.1%). His C-reactive protein level was 5.4 mg/l, and his erythrocyte sedimentation rate was 20 mm/h. T-SPOT for tuberculosis infection was positive, with 84 spots in panel A and 18 spots in panel B. A tumor marker test showed the following: Carcinoembryonic antigen, 48.15 ng/ml; carbohydrate antigen 19-9, >400.00 U/ml; carbohydrate antigen 153, 75.49 U/ml; carbohydrate antigen 242, >200.00 U/ml; cytokeratin 19-fragment, 5.19 ng/ml; and carbohydrate antigen 72-4, 70.33 U/ml. Renal function, electrolyte level, and blood coagulation function were in the normal ranges. Chest CT showed the following: i) Diffuse, patchy and blurry hyperdense shadows, nodular shadows and patchy consolidation, which were more obvious in the right upper lobe and left lung; the image findings suggested a suspected infectious lesion, but other lesions could not be ruled out; ii) multiple lymph nodes with partial calcification in the mediastinum and the lungs; and iii) minor effusion in the left thoracic cavity and bilateral pleural thickening (Fig. 2A). Enhanced chest CT showed: i) diffuse, patchy and blurry hyperdense shadows and nodular shadows that were more obvious in the right upper lobe and left lung; enhancement of CT was not clear, the image findings suggested a suspected infectious lesion, but other lesions could not be ruled out; ii) multiple lymph nodes with partial calcification in the mediastinum and the lungs; and iii) minor effusion in the left thoracic cavity and bilateral pleural thickening (Fig. 2B).

Figure 2

CT scan of the chest. (A) CT and (B) enhanced CT of the chest. Arrows indicates the shadow in the upper lobe of the right and left lungs. CT, computed tomography.

The patient received empiric antimicrobial therapy following admission. Combined cefuroxime sodium (0.75 g/8 h, intravenous injection) and moxifloxacin hydrochloride (0.4 g/day, intravenous injection) were administered for anti-infection treatment. According to the results of chest CT and enhanced chest CT, it was possible to consider infectious lesion. At one week following anti-infective treatment, chest DR examination showed that the lesions were more advanced than before (Fig. 1B). The T-SPOT test was positive but with a small number of spots. The possibility of tuberculosis was low. The patient's tumor marker levels were significantly elevated. IMA could not be ruled out. Thus, fiberoptic bronchoscopy was performed and found no obvious morphological change (Fig. 3). The pathological examination suggested that the mucosal epithelium was undergoing chronic inflammatory changes with mucosal epithelial cell proliferation (data not shown). A case discussion in Departments of Pulmonary and Critical Care Medicine, The First Affiliated Hospital of Chengdu Medical College considered a tumor diagnosis according to the tumor marker and pathology results. A percutaneous lung puncture biopsy was performed (Fig. 4A). The collected samples were fixed in 10% neutral buffered formalin 24 h at room temperature and embedded in paraffin. Sections were cut at 5 µm and hematoxylin-eosin and thyroid transcription factor 1 (TTF-1) immunohistochemical (IHC) staining (6) were performed following the manufacturer's protocols. The adenocarcinoma was diagnosed based on the pathological staining which were evaluated independently by two pathologists at the First Affiliated Hospital of Chengdu Medical College in a double-blinded manner (Fig. 4B and C). Pathological specimens were almost negative for all driver genes, except KRAS (Table I). However, there was no KRAS G12C molecular targeted drug in 2019 and the patients and family refused treatment, including chemotherapy, radiotherapy and interventional chemotherapy and the patient was discharged from the hospital.

Figure 3

Fiberoptic investigation. Fiberoptic bronchoscopy of (A) tracheal carina, (B) right upper lobe, (C) left main bronchus and (D) right main bronchus.

Figure 4

CT and pathology results. (A) CT guided percutaneous lung biopsy. Pathological images of (B) hematoxylin-eosin and (C) TTF-1 IHC staining (original magnification, x10; scale bars, 100 µm). CT, computed tomography; TTF-1, thyroid transcription factor 1; IHC, immunohistochemical.

Table I

Detection of genes mutations.

Table I

Detection of genes mutations.

GeneMutationConclusion
EGFRNOKRAS G12C is the ‘driver’ gene in this case. Sotorasib and Adagrasib are recommended for treatment.
HER2NO 
KRASG12C 
ALKNO 
BRAFNO 
PI3KANO 
L861QNO 
TRIM4NO 
VAMP2NO 
NRG1NO 
CD74NO 

Discussion

IMA, formerly known as mucinous bronchioloalveolar carcinoma, is a special type lung adenocarcinoma. It is more common in women and not associated with smoking. Its incidence has increased in recent decades (7). Its etiology and mechanism remain unclear, but the occurrence of IMA may be related to a variety of risk factors such as EGFR, KRAS and/or HER2 genes mutation (8-10). Its occurrence is associated with genetic factors, environmental factor and chronic inflammation. The pathological basis may be the invasive growth of cancer tissue derived from bronchioles or alveoli. When disseminated in the airway, the cancer cells cover the surface of the alveolar wall and grow along the alveolar wall (8). Recently, Kimura et al (11) reported a esophageal metastasis of IMA and combined with emerging data (12), suggests that IMA can progress into a more aggressive status.

Some patients with IMA are asymptomatic, while some have nonspecific respiratory symptoms, including coughing with sputum production, blood-tinged sputum, and dyspnea, and systemic symptoms including fever, fatigue and weight loss. Physical examination is usually unremarkable (4).

The diagnosis of IMA is challenging. Imaging findings can vary and be nonspecific, including consolidation of the lung parenchyma, nodules, honeycomb signs and ground-glass changes (13). However, common findings including irregular masses and absence of lung cancer signs. Mucus changes may manifest as consolidation that is difficult to differentiate from infectious pneumonia. It is easily misdiagnosed as pneumonia tuberculosis or pulmonary actinomycosis (14). IMA is difficult to diagnose not only because of its nonspecific clinical manifestations but also because of inflammation signs in imaging studies. The affected alveoli and normal alveoli are arranged in a mixed manner, which in this case manifested in the imaging study as diffuse and vague patchy shadows throughout both lungs. These findings are consistent with pneumonia-like changes; therefore, IMA can easily be misdiagnosed as pneumonia (4,15,16). The diffuse, patchy, and blurry shadows throughout both lungs are nonspecific and can be noted in various pulmonary infectious diseases such as pneumonia and tuberculosis. Differentiating IMA from other lung diseases depends mainly on pathological results. According to the literature, the case reported is relatively rare because diffuse and patchy shadows are unusual in patients with IMA. Most IMA cases manifest as patch consolidation in the lungs rather than diffuse and patchy shadows in the bilateral lungs. It was learned from this case that diffuse patchy shadows may be signs of IMA.

As a subtype of lung adenocarcinoma, IMA has similar epidemiology with other subtypes. However, IMA has unique imaging characters, such as consolidation, ground-glass opacity and nodules (2). IMA is divided into two types by the shape of image, pneumonic and solid types. These types have a great difference in clinical outcome. Compared with pneumonia IMA, the isolated type usually has lower pathological stage with more satisfying outcome. The difference is probably due to the prevalence of the pulmonary type IMA (17,18). Reports have also found the disease free survival of pneumonic type patients is significantly worse and this type of patient was more prone to have cancer recurrence and/or metastasis after resection (17,19). In the present study, the IMA case had typical pneumonic characters. It predicted unfavorable survival of this patient, although the family refused to disclose the status of patient when this case was followed up.

According to previous reports, KRAS mutation is the most common ‘driver’ mutation in IMA, its incidence in IMA is significantly higher compared with other lung adenocarcinomas (20,21). By contrast, other targeted ‘driver’ mutations are rare in IMA patients, such as EGFR mutation, ALK gene rearrangement and BRAF V600E mutation (20,22,23). In addition, rare gene mutations, such as HER2, BRAF and PI3KA mutations and rare gene fusion, such as TRIM4-BRAF, VAMP2-NRG1 and CD74-NRG1 fusion, are observed in IMA patients with alteration-negative K-RAS (24). In the present study, the sequencing data showed the present case has KRAS gene alteration without EGFR, ALK and BRAF mutation, as well as rare genes, such as, TRIM4, VAMP2, NRG1 and CD74. In 2021-2022, Sotorasib (25) and Adagrasib (26) were approved for KRAS G12C-mutated non-small cell lung cancer (NSCLC). Thus, there are more molecular therapeutic choices for this type of IMA.

Immune checkpoint inhibitors (ICI) are widely used to treat patients with NSCLC (27). Nakagomi et al (28) reported that expression of PD-L1 in ≥1% of cells is observed in only 6.1% of IMAs, but in 59.7% of conventional adenocarcinomas. In agreement, Xu et al (29) found only 9.7% (3/31) of patients with IMA revealed positive PD-L1 expression. The aforementioned evidence suggests that ICI treatment rarely benefits IMA patients.

Compared with untreated IMA patients, the overall survival rate of IMA patients receiving conventional chemotherapy does not improve (14). Early IMA patients can benefit from surgery and postoperative chemotherapy. At present, there are no effective drugs for the treatment of advanced pulmonary IMA (6,14).

Clinically, the clinical manifestations of IMA are atypical, and the imaging findings vary. The diagnosis is often missed, and misdiagnosis is common. These issues may delay treatment. The diagnosis of IMA can be confirmed by a pathological examination. Therefore, in clinical practice, when patients with large lung consolidation do not respond to regular anti-infection treatment and the lesion progresses, IMA should be considered. Early pathological examination should be performed to rule out IMA, so as not to delay disease treatment. For early staged IMA, surgery and postoperative chemotherapy is recommended. Selected molecular-targeted is a superior choice base on the result of sequencing.

Acknowledgements

Not applicable.

Funding

Funding: The present study was supported by Natural Science Foundation of Sichuan Province (grant no. 2022NSFSC0725).

Availability of data and materials

The datasets used and/or analyzed during the present study are available from the corresponding author on reasonable request.

Authors' contributions

YY and RH performed data curation. LX and JZ utilised software. Hematoxylin-eosin and immunohistochemical staining was performed by RH. WZ and NH conceived and designed the study. WZ provided supervision. NH and WZ wrote the original draft. NH analyzed and interpretated data. WZ and NH confirm the authenticity of all the raw data. All authors revised the manuscript. All authors read and approved the final manuscript.

Ethics approval and consent to participate

Clinical data collection was approved by the Medical Ethics Committee of The First Affiliated Hospital of Chengdu Medical College (approval no. 2019CYFYIRB-BA-Jun13). Informed written consent for participation in the study or use of the medical data was obtained from the patient.

Patient consent for publication

Not applicable.

Competing interests

The authors declare that they have no competing interests.

References

1 

Sung H, Ferlay J, Siegel RL, Laversanne M, Soerjomataram I, Jemal A and Bray F: Global cancer statistics 2020: GLOBOCAN estimates of incidence and mortality worldwide for 36 cancers in 185 countries. CA Cancer J Clin. 71:209–249. 2021.PubMed/NCBI View Article : Google Scholar

2 

Sheng A, Zhou P, Ye Y, Sun K and Yang Z: Diagnostic efficacy of CT radiomic features in pulmonary invasive mucinous adenocarcinoma. Scanning. 2022(5314225)2022.PubMed/NCBI View Article : Google Scholar

3 

Xu X, Shen W, Wang D, Li N, Huang Z, Sheng J, Rucker AJ, Mao W, Xu H and Cheng G: . Clinical features and prognosis of resectable pulmonary primary invasive mucinous adenocarcinoma. Transl Lung Cancer Res. 11:420–431. 2022.PubMed/NCBI View Article : Google Scholar

4 

Butt YM and Allen TC: The demise of the term bronchioloalveolar carcinoma. Arch Pathol Lab Med. 139:981–983. 2015.PubMed/NCBI View Article : Google Scholar

5 

Read WL, Page NC, Tierney RM, Piccirillo JF and Govindan R: The epidemiology of bronchioloalveolar carcinoma over the past two decades: Analysis of the SEER database. Lung Cancer. 45:137–142. 2004.PubMed/NCBI View Article : Google Scholar

6 

Oktay E, Oflazoglu U, Varol Y, Tanriverdi O, Mermur N, Arda HU, Demir L, Keskin O, Ahmadli T, Somali I, et al: The prognostic role of thyroid transcription factor-1 in lung adenocarcinoma. J Cancer Res Ther. 16:737–744. 2020.PubMed/NCBI View Article : Google Scholar

7 

Gardiner N, Jogai S and Wallis A: The revised lung adenocarcinoma classification-an imaging guide. J Thorac Dis. 6:537–546. 2014.PubMed/NCBI View Article : Google Scholar

8 

Moser L, Kegler K, Precht C and Zanolari P: Bronchioalveolar carcinoma in an adult alpaca (Vicugna pacos). BMC Vet Res. 15(139)2019.PubMed/NCBI View Article : Google Scholar

9 

He Y, Huang H, Xu M, Fu Z, Zhang X, Chen X and Guo W: The effect of afatinib in a pretreated patient with invasive mucinous adenocarcinoma of the lung harboring HER2 YVMA insertion: A case report. Transl Cancer Res. 11:1819–1823. 2022.PubMed/NCBI View Article : Google Scholar

10 

Chi K, Sun W, Yang X, Wu J, Wang H, Liu X, Mao L, Zhou L, Huang X and Lin D: A prognostic classification based on the International Association for the Study of Lung Cancer histologic grading and immunoscore in KRAS-mutant invasive non-mucinous adenocarcinoma. Thorac Cancer. 13:1050–1058. 2022.PubMed/NCBI View Article : Google Scholar

11 

Kimura S, Onishi I and Kobayashi M: A rare case of esophageal metastasis of invasive mucinous adenocarcinoma of the lung. ACG Case Rep J. 9(e00857)2022.PubMed/NCBI View Article : Google Scholar

12 

Chen X, Zhao Y, Wang D, Lin Y, Hou J, Xu X, Wu J, Zhong L, Zhou Y, Shen J, et al: The HNF4α-BC200-FMR1-positive feedback loop promotes growth and metastasis in invasive mucinous lung adenocarcinoma. Cancer Res. 81:5904–5918. 2021.PubMed/NCBI View Article : Google Scholar

13 

Zhang X, Qiao W, Kang Z, Pan C, Chen Y, Li K, Shen W and Zhang L: CT features of stage IA invasive mucinous adenocarcinoma of the lung and establishment of a prediction model. Int J Gen Med. 15:5455–5463. 2022.PubMed/NCBI View Article : Google Scholar

14 

Zhu D, Zhang Q, Rui Z and Xu S: Pulmonary invasive mucinous adenocarcinoma mimicking pulmonary actinomycosis. BMC Pulm Med. 22(181)2022.PubMed/NCBI View Article : Google Scholar

15 

Mir E, Sareen R, Kulshreshtha R and Shah A: Bronchioloalveolar cell carcinoma presenting as a ‘non-resolving consolidation’ for two years. Pneumonol Alergol Pol. 83:208–211. 2015.PubMed/NCBI View Article : Google Scholar

16 

Narahari NK, Uppin SG, Kapoor A, Stalin BJ and Paramjyothi GK: Invasive mucinous adenocarcinoma of the lung in a 19-year-old female. Asian Cardiovasc Thorac Ann. 26:635–639. 2018.PubMed/NCBI View Article : Google Scholar

17 

Nie K, Nie W, Zhang YX and Yu H: Comparing clinicopathological features and prognosis of primary pulmonary invasive mucinous adenocarcinoma based on computed tomography findings. Cancer Imaging. 19(47)2019.PubMed/NCBI View Article : Google Scholar

18 

Kim DH, Bae SY, Na KJ, Park S, Park IK, Kang CH and Kim YT: Radiological and clinical features of screening-detected pulmonary invasive mucinous adenocarcinoma. Interact Cardiovasc Thorac Surg. 34:229–235. 2022.PubMed/NCBI View Article : Google Scholar

19 

Wang T, Yang Y, Liu X, Deng J, Wu J, Hou L, Wu C, She Y, Sun X, Xie D and Chen C: Primary invasive mucinous adenocarcinoma of the lung: prognostic value of CT imaging features combined with clinical factors. Korean J Radiol. 22:652–662. 2021.PubMed/NCBI View Article : Google Scholar

20 

Horiguchi T, Yanagi S, Tomita M, Maeda R, Uto K, Shigekusa T, Tsubouchi H, Matsumoto N and Nakazato M: A case of bilateral invasive mucinous adenocarcinoma of the lung with severe productive cough and dyspnea successfully treated with palliative lung lobectomy. Respir Med Case Rep. 32(101368)2021.PubMed/NCBI View Article : Google Scholar

21 

Kadota K, Yeh YC, D'Angelo SP, Moreira AL, Kuk D, Sima CS, Riely GJ, Arcila ME, Kris MG, Rusch VW, et al: Associations between mutations and histologic patterns of mucin in lung adenocarcinoma: Invasive mucinous pattern and extracellular mucin are associated with KRAS mutation. Am J Surg Pathol. 38:1118–1127. 2014.PubMed/NCBI View Article : Google Scholar

22 

Boland JM, Maleszewski JJ, Wampfler JA, Voss JS, Kipp BR, Yang P and Yi ES: Pulmonary invasive mucinous adenocarcinoma and mixed invasive mucinous/nonmucinous adenocarcinoma-a clinicopathological and molecular genetic study with survival analysis. Hum Pathol. 71:8–19. 2018.PubMed/NCBI View Article : Google Scholar

23 

Cha YJ, Kim HR, Lee HJ, Cho BC and Shim HS: Clinical course of stage IV invasive mucinous adenocarcinoma of the lung. Lung Cancer. 102:82–88. 2016.PubMed/NCBI View Article : Google Scholar

24 

Shim HS, Kenudson M, Zheng Z, Liebers M, Cha YJ, Hoang Ho Q, Onozato M, Phi Le L, Heist RS and Iafrate AJ: Unique genetic and survival characteristics of invasive mucinous adenocarcinoma of the lung. J Thorac Oncol. 10:1156–1162. 2015.PubMed/NCBI View Article : Google Scholar

25 

Nakajima EC, Drezner N, Li X, Mishra-Kalyani PS, Liu Y, Zhao H, Bi Y, Liu J, Rahman A, Wearne E, et al: FDA approval summary: Sotorasib for KRAS G12C-mutated metastatic NSCLC. Clin Cancer Res. 28:1482–1486. 2022.PubMed/NCBI View Article : Google Scholar

26 

Frontline promise for Adagrasib-Pembrolizumab combination. Cancer Discov. 13(OF2)2022.PubMed/NCBI View Article : Google Scholar

27 

Mazieres J, Drilon A, Lusque A, Mhanna L, Cortot AB, Mezquita L, Thai AA, Mascaux C, Couraud S, Veillon R, et al: Immune checkpoint inhibitors for patients with advanced lung cancer and oncogenic driver alterations: results from the IMMUNOTARGET registry. Ann Oncol. 30:1321–1328. 2019.PubMed/NCBI View Article : Google Scholar

28 

Nakagomi T, Goto T, Hirotsu Y, Shikata D, Yokoyama Y, Higuchi R, Otake S, Amemiya K, Oyama T, Mochizuki H and Omata M: Genomic characteristics of invasive mucinous adenocarcinomas of the lung and potential therapeutic targets of B7-H3. Cancers. 10:2018.PubMed/NCBI View Article : Google Scholar

29 

Xu X, Li N, Wang D, Chen W and Fan Y: Clinical relevance of PD-L1 expression and CD8+ T cells' infiltration in patients with lung invasive mucinous adenocarcinoma. Front Oncol. 11(683432)2021.PubMed/NCBI View Article : Google Scholar

Related Articles

  • Abstract
  • View
  • Download
  • Twitter
Copy and paste a formatted citation
Spandidos Publications style
Yang Y, Huang R, Xiang L, Zeng J, Zhao W and Huang N: Invasive mucinous adenocarcinoma misdiagnosed as pneumonia: A case report. Exp Ther Med 25: 168, 2023.
APA
Yang, Y., Huang, R., Xiang, L., Zeng, J., Zhao, W., & Huang, N. (2023). Invasive mucinous adenocarcinoma misdiagnosed as pneumonia: A case report. Experimental and Therapeutic Medicine, 25, 168. https://doi.org/10.3892/etm.2023.11867
MLA
Yang, Y., Huang, R., Xiang, L., Zeng, J., Zhao, W., Huang, N."Invasive mucinous adenocarcinoma misdiagnosed as pneumonia: A case report". Experimental and Therapeutic Medicine 25.4 (2023): 168.
Chicago
Yang, Y., Huang, R., Xiang, L., Zeng, J., Zhao, W., Huang, N."Invasive mucinous adenocarcinoma misdiagnosed as pneumonia: A case report". Experimental and Therapeutic Medicine 25, no. 4 (2023): 168. https://doi.org/10.3892/etm.2023.11867
Copy and paste a formatted citation
x
Spandidos Publications style
Yang Y, Huang R, Xiang L, Zeng J, Zhao W and Huang N: Invasive mucinous adenocarcinoma misdiagnosed as pneumonia: A case report. Exp Ther Med 25: 168, 2023.
APA
Yang, Y., Huang, R., Xiang, L., Zeng, J., Zhao, W., & Huang, N. (2023). Invasive mucinous adenocarcinoma misdiagnosed as pneumonia: A case report. Experimental and Therapeutic Medicine, 25, 168. https://doi.org/10.3892/etm.2023.11867
MLA
Yang, Y., Huang, R., Xiang, L., Zeng, J., Zhao, W., Huang, N."Invasive mucinous adenocarcinoma misdiagnosed as pneumonia: A case report". Experimental and Therapeutic Medicine 25.4 (2023): 168.
Chicago
Yang, Y., Huang, R., Xiang, L., Zeng, J., Zhao, W., Huang, N."Invasive mucinous adenocarcinoma misdiagnosed as pneumonia: A case report". Experimental and Therapeutic Medicine 25, no. 4 (2023): 168. https://doi.org/10.3892/etm.2023.11867
Follow us
  • Twitter
  • LinkedIn
  • Facebook
About
  • Spandidos Publications
  • Careers
  • Cookie Policy
  • Privacy Policy
How can we help?
  • Help
  • Live Chat
  • Contact
  • Email to our Support Team