Spandidos Publications Logo
  • About
    • About Spandidos
    • Aims and Scopes
    • Abstracting and Indexing
    • Editorial Policies
    • Reprints and Permissions
    • Job Opportunities
    • Terms and Conditions
    • Contact
  • Journals
    • All Journals
    • Oncology Letters
      • Oncology Letters
      • Information for Authors
      • Editorial Policies
      • Editorial Board
      • Aims and Scope
      • Abstracting and Indexing
      • Bibliographic Information
      • Archive
    • International Journal of Oncology
      • International Journal of Oncology
      • Information for Authors
      • Editorial Policies
      • Editorial Board
      • Aims and Scope
      • Abstracting and Indexing
      • Bibliographic Information
      • Archive
    • Molecular and Clinical Oncology
      • Molecular and Clinical Oncology
      • Information for Authors
      • Editorial Policies
      • Editorial Board
      • Aims and Scope
      • Abstracting and Indexing
      • Bibliographic Information
      • Archive
    • Experimental and Therapeutic Medicine
      • Experimental and Therapeutic Medicine
      • Information for Authors
      • Editorial Policies
      • Editorial Board
      • Aims and Scope
      • Abstracting and Indexing
      • Bibliographic Information
      • Archive
    • International Journal of Molecular Medicine
      • International Journal of Molecular Medicine
      • Information for Authors
      • Editorial Policies
      • Editorial Board
      • Aims and Scope
      • Abstracting and Indexing
      • Bibliographic Information
      • Archive
    • Biomedical Reports
      • Biomedical Reports
      • Information for Authors
      • Editorial Policies
      • Editorial Board
      • Aims and Scope
      • Abstracting and Indexing
      • Bibliographic Information
      • Archive
    • Oncology Reports
      • Oncology Reports
      • Information for Authors
      • Editorial Policies
      • Editorial Board
      • Aims and Scope
      • Abstracting and Indexing
      • Bibliographic Information
      • Archive
    • Molecular Medicine Reports
      • Molecular Medicine Reports
      • Information for Authors
      • Editorial Policies
      • Editorial Board
      • Aims and Scope
      • Abstracting and Indexing
      • Bibliographic Information
      • Archive
    • World Academy of Sciences Journal
      • World Academy of Sciences Journal
      • Information for Authors
      • Editorial Policies
      • Editorial Board
      • Aims and Scope
      • Abstracting and Indexing
      • Bibliographic Information
      • Archive
    • International Journal of Functional Nutrition
      • International Journal of Functional Nutrition
      • Information for Authors
      • Editorial Policies
      • Editorial Board
      • Aims and Scope
      • Abstracting and Indexing
      • Bibliographic Information
      • Archive
    • International Journal of Epigenetics
      • International Journal of Epigenetics
      • Information for Authors
      • Editorial Policies
      • Editorial Board
      • Aims and Scope
      • Abstracting and Indexing
      • Bibliographic Information
      • Archive
    • Medicine International
      • Medicine International
      • Information for Authors
      • Editorial Policies
      • Editorial Board
      • Aims and Scope
      • Abstracting and Indexing
      • Bibliographic Information
      • Archive
  • Articles
  • Information
    • Information for Authors
    • Information for Reviewers
    • Information for Librarians
    • Information for Advertisers
    • Conferences
  • Language Editing
Spandidos Publications Logo
  • About
    • About Spandidos
    • Aims and Scopes
    • Abstracting and Indexing
    • Editorial Policies
    • Reprints and Permissions
    • Job Opportunities
    • Terms and Conditions
    • Contact
  • Journals
    • All Journals
    • Biomedical Reports
      • Information for Authors
      • Editorial Policies
      • Editorial Board
      • Aims and Scope
      • Abstracting and Indexing
      • Bibliographic Information
      • Archive
    • Experimental and Therapeutic Medicine
      • Information for Authors
      • Editorial Policies
      • Editorial Board
      • Aims and Scope
      • Abstracting and Indexing
      • Bibliographic Information
      • Archive
    • International Journal of Epigenetics
      • Information for Authors
      • Editorial Policies
      • Editorial Board
      • Aims and Scope
      • Abstracting and Indexing
      • Bibliographic Information
      • Archive
    • International Journal of Functional Nutrition
      • Information for Authors
      • Editorial Policies
      • Editorial Board
      • Aims and Scope
      • Abstracting and Indexing
      • Bibliographic Information
      • Archive
    • International Journal of Molecular Medicine
      • Information for Authors
      • Editorial Policies
      • Editorial Board
      • Aims and Scope
      • Abstracting and Indexing
      • Bibliographic Information
      • Archive
    • International Journal of Oncology
      • Information for Authors
      • Editorial Policies
      • Editorial Board
      • Aims and Scope
      • Abstracting and Indexing
      • Bibliographic Information
      • Archive
    • Medicine International
      • Information for Authors
      • Editorial Policies
      • Editorial Board
      • Aims and Scope
      • Abstracting and Indexing
      • Bibliographic Information
      • Archive
    • Molecular and Clinical Oncology
      • Information for Authors
      • Editorial Policies
      • Editorial Board
      • Aims and Scope
      • Abstracting and Indexing
      • Bibliographic Information
      • Archive
    • Molecular Medicine Reports
      • Information for Authors
      • Editorial Policies
      • Editorial Board
      • Aims and Scope
      • Abstracting and Indexing
      • Bibliographic Information
      • Archive
    • Oncology Letters
      • Information for Authors
      • Editorial Policies
      • Editorial Board
      • Aims and Scope
      • Abstracting and Indexing
      • Bibliographic Information
      • Archive
    • Oncology Reports
      • Information for Authors
      • Editorial Policies
      • Editorial Board
      • Aims and Scope
      • Abstracting and Indexing
      • Bibliographic Information
      • Archive
    • World Academy of Sciences Journal
      • Information for Authors
      • Editorial Policies
      • Editorial Board
      • Aims and Scope
      • Abstracting and Indexing
      • Bibliographic Information
      • Archive
  • Articles
  • Information
    • For Authors
    • For Reviewers
    • For Librarians
    • For Advertisers
    • Conferences
  • Language Editing
Login Register Submit
  • This site uses cookies
  • You can change your cookie settings at any time by following the instructions in our Cookie Policy. To find out more, you may read our Privacy Policy.

    I agree
Search articles by DOI, keyword, author or affiliation
Search
Advanced Search
presentation
Experimental and Therapeutic Medicine
Join Editorial Board Propose a Special Issue
Print ISSN: 1792-0981 Online ISSN: 1792-1015
Journal Cover
April-2023 Volume 25 Issue 4

Full Size Image

Sign up for eToc alerts
Recommend to Library

Journals

International Journal of Molecular Medicine

International Journal of Molecular Medicine

International Journal of Molecular Medicine is an international journal devoted to molecular mechanisms of human disease.

International Journal of Oncology

International Journal of Oncology

International Journal of Oncology is an international journal devoted to oncology research and cancer treatment.

Molecular Medicine Reports

Molecular Medicine Reports

Covers molecular medicine topics such as pharmacology, pathology, genetics, neuroscience, infectious diseases, molecular cardiology, and molecular surgery.

Oncology Reports

Oncology Reports

Oncology Reports is an international journal devoted to fundamental and applied research in Oncology.

Experimental and Therapeutic Medicine

Experimental and Therapeutic Medicine

Experimental and Therapeutic Medicine is an international journal devoted to laboratory and clinical medicine.

Oncology Letters

Oncology Letters

Oncology Letters is an international journal devoted to Experimental and Clinical Oncology.

Biomedical Reports

Biomedical Reports

Explores a wide range of biological and medical fields, including pharmacology, genetics, microbiology, neuroscience, and molecular cardiology.

Molecular and Clinical Oncology

Molecular and Clinical Oncology

International journal addressing all aspects of oncology research, from tumorigenesis and oncogenes to chemotherapy and metastasis.

World Academy of Sciences Journal

World Academy of Sciences Journal

Multidisciplinary open-access journal spanning biochemistry, genetics, neuroscience, environmental health, and synthetic biology.

International Journal of Functional Nutrition

International Journal of Functional Nutrition

Open-access journal combining biochemistry, pharmacology, immunology, and genetics to advance health through functional nutrition.

International Journal of Epigenetics

International Journal of Epigenetics

Publishes open-access research on using epigenetics to advance understanding and treatment of human disease.

Medicine International

Medicine International

An International Open Access Journal Devoted to General Medicine.

Journal Cover
April-2023 Volume 25 Issue 4

Full Size Image

Sign up for eToc alerts
Recommend to Library

  • Article
  • Citations
    • Cite This Article
    • Download Citation
    • Create Citation Alert
    • Remove Citation Alert
    • Cited By
  • Similar Articles
    • Related Articles (in Spandidos Publications)
    • Similar Articles (Google Scholar)
    • Similar Articles (PubMed)
  • Download PDF
  • Download XML
  • View XML
Article Open Access

Effect of Sodium selenite administration on the process of tendon healing in Wistar male rats

  • Authors:
    • Dragos C. Cotor
    • Serban Dragosloveanu
    • Alina Ionescu
    • Gavrila Zagrai
    • Aurel Damian
  • View Affiliations / Copyright

    Affiliations: Department of Anatomy, University of Agricultural Sciences and Veterinary Medicine, 400372 Cluj‑Napoca, Romania, Department of Orthopedics, Foisor Orthopedics Hospital, 020021 Bucharest, Romania, Department of Anatomy, University of Agricultural Sciences and Veterinary Medicine, 011464 Bucharest, Romania
    Copyright: © Cotor et al. This is an open access article distributed under the terms of Creative Commons Attribution License.
  • Article Number: 181
    |
    Published online on: March 10, 2023
       https://doi.org/10.3892/etm.2023.11880
  • Expand metrics +
Metrics: Total Views: 0 (Spandidos Publications: | PMC Statistics: )
Metrics: Total PDF Downloads: 0 (Spandidos Publications: | PMC Statistics: )
Cited By (CrossRef): 0 citations Loading Articles...

This article is mentioned in:



Abstract

Tendon lesions have a great effect on the quality of life and medical spending. Thus is important to investigate the mechanisms responsible for tendon healing and to identify novel treatment options. The aim of the present study was to evaluate the effect of Selenium on the healing processes of injured tendons. A total of 20 Wistar male rats were used and were split into two groups with two different treatment methods. The first group received a normal food administration, while the second group received Na2SeO3. The animals were kept for 28 days. During the eighth day, all animals underwent surgical experimental Achilles tendon lesion and a Kessler‑type suture. After three weeks, the animals were sacrificed and the tendon was extracted for histological evaluation in order to do a comparison according to the Movin scale (modified by Bonar). The histological evaluation revealed an even orientation of the collagen fibers in the case of the experimental group (Se) compared with the second group. The Bonar score was 1.62 for the Se group, while the control group had a Bonar score of 1.98. The average number of tenocytes in the Se group was lower which is demonstrated by a lower Bonar score (1.22), compared with the second group (Bonar Score 1.85). In addition, a slightly higher number of tenocytes compared with the intact tendon areas was recorded. In vascularization, a decreased amount of blood vessels in the experimental group (Se) was observed (Bonar Score 1.70), compared with the control group (Bonar score 1.96). The present study demonstrated that Selenium administration on murine models could be beneficial for tendon healing. Further clinical research is required in order for this to be confidently recommended.

Introduction

The incidence of tendinopathy is >30% in patients with musculoskeletal disorders (1). The tendon lesions are multifactorial and could be split into two main categories: Tendinitis, characterized by inflammation, and tendinosis, characterized by degenerative modifications of tendon structures. The extrinsic factors, such as physical activity, are usually linked with tendon lesions. A series of predisposing factors, such as age, sex, diabetes, rheumatoid arthritis and hereditary factors could also be responsible (2).

Tendon lesions have great effect on the quality of life and medical spending. Thus is important to investigate the mechanisms responsible for tendon healing and to identify new treatment options.

Data from the literature indicates the fact that after tendon injuries, a strong inflammatory response takes place (2-4). During this process, one of the main mechanisms responsible is based on Reactive Oxygen Species (ROS) (3). These appear in the inflammation area and have an essential role during the inflammatory stage. Studies demonstrate that these hyperreactive molecules decrease the synthesis and polymerization of collagen (4). This effect also slows the regeneration of soft tissues and may be linked to the development of tendinopathies (4,5). Thus the regulation of oxidative stress is important. Some studies demonstrated that vitamin C, vitamin D or quercetin are beneficial for tendon healing, regeneration of its structure and reducing the risk of tendon adhesion (6-8).

The importance of selenium (Se) as an essential element is well established in the literature and it is considered an important element of antioxidant enzymes such as glutathione peroxidase (GPx), thioredoxin reductase (TrxR) or deiodinase iodothyronine (IDD) (9,10). The deficit of this element has significant negative effects, such as Keshan disease, Kashin-Beck disease, hypothyroidism, recurrent miscarriage or cognitive impairment (11,12). It is well known the fact that Selenium deficiency slows the development and growth of bone and cartilage (13,14).

It should be noted that selenium is a microelement that, administered in high dosages, can be toxic. Vinceti et al mention that human intake of ≥260 µg/day for organic selenium and 16 µg/day for inorganic selenium is toxic. An intake of <13-19 µg/day of inorganic selenium seems to be a risk factor for Keshan disease or cardiomyopathy (15). Thus, every attempt in order to use selenium for a therapeutic purpose should take into account its toxic potential.

Another parameter that has been noted in the literature is bone turnover. It is well known that the bone turnover markers are lower following Se administration. However, it seems that this effect is noticeable only in short-term (16).

By taking into account the aforementioned data, the aim of the present study was to evaluate the effect of selenium as an essential promoter of antioxidant effects on the healing processes of injured tendons.

Materials and methods

Biologic material

A total of 20 Wistar male rats (200-250 g), aged between 6 and 12 months, brought from the Experimental Medicine Center of the Faculty of Veterinary Medicine of Bucharest were used. The animals were held in polypropylene cages with a temperature of 22˚C, 40% humidity and a 12-h light/dark cycle. All rats received a commercial standard chow (18% protein; Global 2018; Harlam Tekland). The food and water was administered ad libitum. All the animals were examined and treated according to the national legislation regarding animal caretaking and all the ethical norms were taken into account. All the experimental procedures were approved by the ethics committee of USAMV Cluj-Napoca, Romania (approval no. 24692/2021).

Experimental protocol

The animal models were split into two groups with two different treatment methods. The first group received a normal food administration, while the second group received 1.2 mg/kg/food of Na2SeO3 (MilliporeSigma). According to Woth et al (17), inorganic selenium possesses a stronger antioxidant effect. Thus, this form of the element was used in the experimental protocol. By taking into account the potential toxicity of Na2SeO3, a certain dosage was used in order to not harm the rats (18,19). The dosage was calculated according to Jacevic et al (20). The experiment had a duration of 28 days. On the eighth day, all animals underwent surgical experimental Achilles tendon lesions. The animals were monitored for 21 days following the surgery for their recovery. Their behavior was analyzed and also a short clinical exam was performed. None of the animals succumbed during the experiment. All were sacrificed at the end of the experiment.

Surgical procedure

In order to minimize the suffering induced by the experiment, the animals were anesthetized during the surgical procedure using ketamine (80 mg/kg) and xylazine (12 mg/kg) as an anesthetic. A 0.5 cm longitudinal incision was developed right over the Achilles tendon. Proximal to the calcaneal insertion (5 mm) a tendon section was created and a Kessler tendon suture was developed. After that, the wound was closed using a 4.0 monofilament separate suture. The whole surgical procedure respected asepsis measures. After the treatment, the animals were kept in the cages aforementioned. No movement restrictions or immobilization were applied. The animals were supervised for 2 h after the surgery by checking their vital signs.

Preparation and histological examination of tendon tissue

After 3 weeks, the animals were sacrificed according to approved experimental protocol and legal procedures. It consisted of a rich CO2 atmosphere exposure of the rat cage. The death of animals following sacrifice was verified by checking the vital signs, pupil dilation and also by checking the pupilar reflex. The Achilles tendon was extracted for histological evaluation in order to do a comparison according to the Movin scale (modified by Bonar) (7). The tendons were dissected and then immersed in paraformaldehyde 4% at room temperature for 12 h. Then, the tendons were washed with phosphate-buffered saline 0.1 M, pH 7.4 and cryoprotected by using sequential immersion in different concentrations of sucrose (10, 20 and 30%). Longitudinal sections (20 µm) were stained using hematoxylin-eosin technique (HE) which consisted of 5 min of hematoxylin staining and minutes of eosin staining at room temperature. Images were captured using a light microscope at 10x and 20x magnification.

Histologic evaluation

The histological analysis consisted of 5 histological examinations of each sample evaluated using the Movin scale (modified by Bonar) measures the following (7): i) The form, alignment and orientation of collagen fibers; ii) the cellular aspect and concentration; iii) the number of glycosaminoglycans and iv) vascularization. These assessments are recorded on a scale between 0 and 4(7).

The average result tends to be towards 0 while total points rarely exceed 1.9, according to Maffulli et al (21) study on rotator cuff diseases. This tendon health evaluation method was used because of its wide usage in the literature despite the fact that some authors suggest a revision of this scale (22). According to Fearon et al (22), the tendon may present a disorganized area that may not be secondary to trauma. The present study compared the results between two homogenous experimental groups which followed the same treatment. Thus, the presence of nontraumatic disorganized collagen fibers may be identified in both groups in equal proportions which may not influence the assessment and results of the present study.

Statistical analysis

The data were analyzed using SPSS 22.0 (IBM Corp.). The mean and standard deviations were calculated. Unpaired Student t-test was used in order to evaluate the statistical significance between groups. P<0.05 was considered to indicate a statistically significant difference.

Results

There were no infections or mortality during the experiment. The following histological criteria were taken into account to evaluate the tendon healing process: The morphological aspects of the tenocytes, the shape and direction of the collagen fibers, the amount of angiogenetic processes and intracellular matrix composition.

At three weeks after the experimental tenotomy, the histological evaluation revealed an even orientation of the collagen fibers in the case of the experimental group (Se) compared with the second group. The Bonar score was 1.62 for the Se group, while the control group had a Bonar score of 1.98. Those differences were significant in the proximal area but in the distal portion of the tendons as well. The healing process was faster at the muscle-tendon junction, compared with the midportion or distal portion of the tendon.

In the Se group, primary collagen fibers synthesis was identified, which consists of longitudinal and undulated fibers. By contrast, in the control group, the collagen fibers were much less organized, with abnormal orientation and departed from the natural orientation.

The average number of tenocytes in the Se group was lower which is demonstrated by a lower Bonar score (1.22), compared with the second group (Bonar Score 1.85).

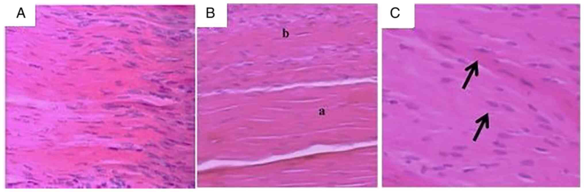
In case of the Se group, the microscopy sections of the tenotomy site, demonstrated advanced healing after 3 weeks with longitudinal orientation of collagen fibers (Fig. 1A). A slightly higher number of tenocytes compared with the intact tendon areas was also noticed (Fig. 1B). Those cells were oval-shaped and with an increased size of the nucleus. (Fig. 1C). Cells were correctly positioned and followed the collagen fiber's direction. The tenocyte cytoplasm was not visible under the microscope. The tendinous regions had a similar aspect to the healthy tendons. Those regions presented sporadic, oblong and darker nuclei.

Figure 1

Experimental group (Se), three weeks after tenotomy. (A) Image of advanced healing. The longitudinal orientation of collagen fibers is noticeable (H&E stain; magnification, x20). (B) Healthy tendon area (a) and in a fully healing process (b) (H&E stain; magnification, x10). (C) Advanced healing site, with oblong shaped nuclei (arrows; H&E stain; magnification, x20). H&E, hematoxylin and eosin.

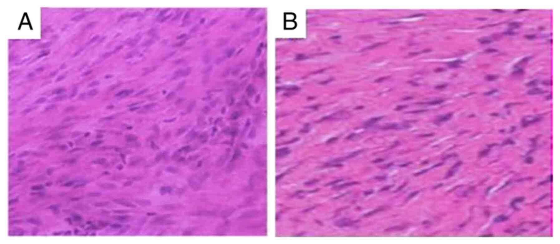
The control group possessed a significantly greater amount of cells (Fig. 2A and B). The fibroblasts showed bigger, oval or round-shaped nuclei (Fig. 2A). Those cells were unevenly distributed under the microscopic field and occasionally the cytoplasm was noticeable.

Figure 2

Control group at 3 weeks after the experimental tenotomy. (A) An increased number of tenocytes with oval nuclei (H&E stain; magnification, x20). (B) An increased number of tenocytes with a mild undulation of collagen fibers (H&E stain; magnification, x20). H&E, hematoxylin and eosin.

In regard to vascularization, there was a decreased number of blood vessels in the experimental group (Se; Bonar Score 1.70), compared with the control group (Bonar score 1.96). In the case of Se group, a decreased amount of blood vessels was identified, especially at the tenotomy level, compared with the control group, which showed a significantly increased amount of blood vessels. The Bonar score regarding bone marrow evaluation was significantly lower in the Se group compared with the control group. (1.45 and 2.15 respectively).

The differences between those two groups are shown in Table I and Fig. 3. The average Bonar score, for all parameters, was 1.985 for the control group and 1.4975 for the Se group. The difference in average Bonar score between groups was 0.488. Thus, the score for the control group was 24.5% higher than the Se group which was statistically significant. Moreover, the total points for the control group were 7.94±0.94, but 5.99±0.61 (P<0.01) for the Se group. The maximum differences were recorded regarding the tenocytes, while the vascularization showed the lowest differences.

Figure 3

Average Bonar score detailed in all four parameters included in the study (Control group, blue; Se group, orange).

Table I

Average and standard deviation of Bonar score, detailed on all four parameters included in the present study.

Table I

Average and standard deviation of Bonar score, detailed on all four parameters included in the present study.

 Average Bonar score
 Collagen fibersTenocytesBone marrowVascularizationAverage
Control group (n=10)1.98±0.11.85±0.22.15±0.121.96±0.131.985±0.11
Se group (n=10)1.62a±0.151.22a±1.751.45a±0.111.70a±0.211.4975a±0.13

[i] aP<0.01.

The experiment demonstrated histological modifications which were more significant after three weeks in the control group, while the Se group demonstrated a higher healing rate. This result is supported by the lower Bonar score for the Se group, especially regarding the number of tenocytes and the mucopolysaccharides in the extracellular matrix.

The present study also evaluated the toxicity of sodium selenite treatment. The heart, liver, lung and kidneys were investigated using HE staining. No significant changes were found.

Discussion

After injury, the tendon healing process begins with an acute inflammatory reaction, which is followed by proliferation and tissue remodeling (23). These separate histological events represent the main reason for using murine models to evaluate tendon tissue regeneration.

The inflammatory reaction aforementioned is modulated by cytokines which regulate the processes following this healing phase (23,24). During this period, an overproduction of reactive oxygen species (ROS) and cellular phagocytosis takes place, which eventually leads to a reduction of the inflammatory process. ROS are partly reduced oxygen metabolites that have a high oxidative potential. They have a high oxidative effect on cellular protein and lipids, but also on DNA. Through this mechanism, they also inhibit the synthesis and polymerization of tendons that suffer lesions (6,24,25).

According to these data, oxidative stress could be harmful to the tendon healing process by increasing the amount of extracellular matrix and proliferation of interstitial fibroblasts. It also seems to be linked with the development of pathological fibrosis (26).

The present study gathered tendon samples to evaluate collagen fibers, tenocytes, bone marrow and vascularization according to the Bonar score. All four parameters demonstrated significantly improved results following Se administration. This result could be linked to decrease of oxidative stress and this hypothesis is supported by Murrell (27) and Moraes et al (28), who demonstrated that decreased oxidative stress helps to provide a much more potent tissue regeneration. Thus, the present study complimented the aforementioned data. The Se group demonstrated a slightly higher number of tenocytes but cells were correctly positioned and followed the direction of collagen fibers. On the other hand, the control group had fibroblasts with bigger, oval, or round-shaped nuclei. Those cells were unevenly distributed without following the fiber direction. This could be caused by an increased oxidative stress which eventually increases the extracellular matrix components and proliferates interstitial fibroblasts. Some studies also note that, among the markers of oxidative stress, malondialdehyde is strongly linked with pathological fibrosis (26,29).

Referring to the selenium mechanism, it is well known the fact the effects of selenium are achieved mainly through selenoproteins. These enzymes, such as GPx and TrxR are responsible for protection against oxidative stress. The literature underlines the role of selenoproteins against ROS (30,31).

Due to the fact that the mitochondrial electron transport is also a source of ROS, the loss of mitochondrial integrity could be a source of oxygenation and inflammation which may eventually lead to cellular apoptosis Kaushal et al (32). Selenium has a protective potential that directly targets mitochondria and upregulates mitochondrial transcription factors (33).

Moreover, the relations between cellular redox status and cyclooxygenase (COX) and lipoxygenase activation are well known. Those enzymes are involved in a process responsible for the synthetization of prostaglandins (PG), thromboxanes and prostacyclins (PGI2), which are inflammatory biomarkers that are released as a response to potential pathogen events (such as stress, free radicals and infections). It was discovered that a selenium deficit leads to a lower GPx activity, which may reduce the control of COX and LOC (33-36). Thus, selenium is highly efficient in suppressing the aforementioned elements (32). Selenium deficit is also proved to be linked with increased production of reactive nitrogen species and C reactive proteins (32,34,35).

Selenium administration proved to be beneficial for tendon healing. The present study showed the availability and the efficiency of studying tendon healing processes in murine models. No significant adverse reactions were noted regarding wound healing. The results indicated the positive effects on tendon healing, although the results provided by other randomized controlled trials demonstrate that in certain conditions selenium has no effect on musculoskeletal health and bone turnover (16,37). According to Perri et al (16), these results could be due to the fact that the test participants had a physiological level of selenium at the moment of evaluation, concluding that the study would need to be extended to populations with selenium deficit.

The present study also investigated the potential toxicity of low-dosage selenium and histological analysis demonstrated no adverse reactions on major organs.

The results of the present study underlined the necessity of additional research to clarify the mechanisms responsible for the tendon healing process under selenium treatment and the long-term results, which is also the main weakness of the present study. Additional research is required regarding the effect of treatment on major organs.

The present study demonstrated that selenium administration on murine models could be beneficial for tendon healing. Further clinical research is required in order to warrant recommendation.

Acknowledgements

Not applicable.

Funding

Funding: No funding was received.

Availability of data and materials

All data generated or analyzed during this study are included in this published article.

Authors' contributions

DC planned the clinical study and contributed to the conception and design of the study, as well as the acquisition, analysis, and interpretation of the data. SD contributed to the conception and design of the study, the translation and critical revision for important intellectual content. AI planned the clinical study and contributed to the conception and design of the study. GZ contributed to the analysis and data interpretation. AD contributed to the analysis and interpretation of the data and the critical revision for important intellectual content. All authors read and approved the final manuscript. DC and AD confirm the authenticity of all the raw data.

Ethics approval and consent to participate

All procedures performed in studies involving animal participants were in accordance with the national ethical standards. The present study was approved by the Ethics Committee of the University of Agricultural Sciences and Veterinary Medicine, 011464, Bucharest, Romania (approval no. 1153/2021; date of approval 10 March 2021).

Patient consent for publication

Not applicable.

Competing interests

The authors declare that they have no competing interests.

References

1 

Astrom M and Rausing A: Chronic Achilles tendinopathy: A survey of surgical and histopathologic findings. Clin Orthop. 316:151–164. 1995.PubMed/NCBI

2 

Maffulli N, Wong J and Almekinders LC: Types and epidemiology of tendinopathy. Clin Sports Med. 22:675–692. 2003.PubMed/NCBI View Article : Google Scholar

3 

Ghita M, Cotor G, Viţălaru AB and Braslasu D: Comparative study on the effect of prednisone and dexamethasone on leukocytes, in rabbit. J Biotechnol. 208(S92)2015.

4 

Longo UG, Oliva F, Denaro V and Maffulli N: Oxygen species and overuse tendinopathy in athletes. Disabil Rehabil. 30:1563–1571. 2008.PubMed/NCBI View Article : Google Scholar

5 

Cotor G, Birtoiu IA, Ionita L, Tanase A and Vitalaru BA: The anti-inflammatory effect of a Cannabis sativa oil supplement in experimental acute inflammation in rats. J Biotechnol. 185(S45)2014.

6 

DePhillipo NN, Aman ZS, Kennedy MI, Begley JP, Moatshe G and LaPrade RF: Efficacy of Vitamin C supplementation on collagen synthesis and oxidative stress after musculoskeletal injuries: A systematic review. Orthop J Sports Med. 6(2325967118804544)2018.PubMed/NCBI View Article : Google Scholar

7 

Hung LK, Fu SC, Lee YW, Mok TY and Chan KM: Local vitamin-C injection reduced tendon adhesion in a chicken model of flexor digitorum profundus tendon injury. J Bone Joint Surg Am. 95(e41)2013.PubMed/NCBI View Article : Google Scholar

8 

Gajaila G, Gajaila I, Cotor G and Ionita L: Testing the killing ability of pig neutrophils after stimulation with an ethanolamine derivative. J Biotechnol. 231(S63)2016.

9 

Stadtman TC: Selenium biochemistry. Mammalian selenoenzymes. Ann N Y Acad Sci. 899:399–402. 2000.PubMed/NCBI View Article : Google Scholar

10 

Rayman MP: The importance of selenium to human health. Lancet. 356:233–241. 2000.PubMed/NCBI View Article : Google Scholar

11 

Toxicological Profile for Selenium. Agency for Toxic Substances and Disease Registry. U.S. Department of Health and Human Services, Atlanta, GA, 2003.

12 

Moreno-Reyes R, Suetens C, Mathieu F, Begaux F, Zhu D, Rivera MT, Boelaert M, Nève J, Perlmutter N and Vanderpas J: Kashin-Beck osteoarthropathy in rural Tibet in relation to selenium and iodine status. N Engl J Med. 339:1112–1120. 1998.PubMed/NCBI View Article : Google Scholar

13 

Thompson KM, Haibach H and Sunde RA: Growth and plasma triiodothyronine concentrations are modified by selenium deficiency and repletion in second-generation selenium-deficient rats. J Nutr. 125:864–873. 1995.PubMed/NCBI View Article : Google Scholar

14 

Yang C, Wolf E, Roser K, Delling G and Muller PK: Selenium deficiency and fulvic acid supplementation induces fibrosis of cartilage and disturbs subchondral ossification in knee joints of mice: An animal model study of Kashin-Beck disease. Virchows Arch A Pathol Anat Histopathol. 423:483–491. 1993.PubMed/NCBI View Article : Google Scholar

15 

Vinceti M, Filippini T, Cilloni S, Bargellini A, Vergoni AV, Tsatsakis A and Ferrante M: Health risk assessment of environmental selenium: Emerging evidence and challenges (Review). Mol Med Rep. 15:3323–3335. 2017.PubMed/NCBI View Article : Google Scholar

16 

Perri G, Hill TR, Mathers JC, Walsh JS, Gossiel F, Winther K, Frölich J, Folkestad L, Cold S and Eastell R: Long-term selenium-yeast supplementation does not affect bone turnover markers: A randomized placebo-controlled trial. J Bone Miner Res. 37:2165–2173. 2022.PubMed/NCBI View Article : Google Scholar

17 

Woth G, Nagy B, Mérei Á, Ernyey B, Vincze R, Kaurics Z, Lantos J, Bogár L and Mühl D: The effect of Na-selenite treatment on the oxidative stress-antioxidants balance of multiple organ failure. J Crit Care. 29:883.e7–11. 2014.PubMed/NCBI View Article : Google Scholar

18 

Vinceti M, Chiari A, Eichmüller M, Rothman KJ, Filippini T, Malagoli C, Weuve J, Tondelli M, Zamboni G, Nichelli PF and Michalke B: A selenium species in cerebrospinal fluid predicts conversion to Alzheimer's dementia in persons with mild cognitive impairment. Alzheimers Res Ther. 9(100)2017.PubMed/NCBI View Article : Google Scholar

19 

Mandrioli J, Michalke B, Solovyev N, Grill P, Violi F, Lunetta C, Conte A, Sansone VA, Sabatelli M and Vinceti M: Elevated levels of selenium species in cerebrospinal fluid of amyotrophic lateral sclerosis patients with disease-associated gene mutations. Neurodegener Dis. 17:171–180. 2017.PubMed/NCBI View Article : Google Scholar

20 

Jacevic V, Jokic G, Dragojevic-Simic V, Bokonjic D, Vucinic S and Vuksa M: Acute toxicity of sodium selenite in rodents: Pathomorphological study. Mil Med Sci Lett (Voj Zdrav Listy). 80:90–96. 2011.

21 

Maffulli N, Longo UG, Franceschi F, Rabitti C and Denaro V: Movin and Bonar scores assess the same characteristics of tendon histology. Clin Orthop Relat Res. 466:1605–1611. 2008.PubMed/NCBI View Article : Google Scholar

22 

Fearon A, Dahlstrom JE, Twin J, Cook J and Scott A: The Bonar score revisited: region of evaluation significantly influences the standardized assessment of tendon degeneration. J Sci Med Sport. 17:346–350. 2014.PubMed/NCBI View Article : Google Scholar

23 

Leadbetter WB: Cell-matrix response in tendon injury. Clin Sports Med. 11:533–578. 1992.PubMed/NCBI

24 

Longo UG, Franceschi F, Ruzzini L, Rabitti C, Morini S, Maffulli N and Denaro V: Histopathology of the supraspinatus tendon in rotator cuff tears. Am J Sports Med. 36:533–538. 2008.PubMed/NCBI View Article : Google Scholar

25 

Murrell GA, Szabo C, Hannafin JA, Jang D, Dolan MM, Deng XH, Murrell DF and Warren RF: Modulation of tendon healing by nitric oxide. Inflamm Res. 46:19–27. 1997.PubMed/NCBI View Article : Google Scholar

26 

Sun J, Wu Y, Long C, He P, Gu J, Yang L, Liang Y and Wang Y: Anthocyanins isolated from blueberry ameliorates CCl4 induced liver fibrosis by modulation of oxidative stress, inflammation and stellate cell activation in mice. Food Chem Toxicol. 120:491–499. 2018.PubMed/NCBI View Article : Google Scholar

27 

Murrell GA: Oxygen free radicals and tendon healing. J Shoulder Elbow Surg. 16 (5 Suppl):S208–S214. 2007.PubMed/NCBI View Article : Google Scholar

28 

Moraes SA, Oliveira KR, Crespo-López ME, Picanço-Diniz DL and Herculano AM: Local NO synthase inhibition produces histological and functional recovery in Achilles tendon of rats after tenotomy: Tendon repair and local NOS inhibition. Cell Tissue Res. 353:457–463. 2013.PubMed/NCBI View Article : Google Scholar

29 

Zhao Q, Yang F, Meng L, Chen D, Wang M, Lu X, Chen D, Jiang Y and Xing N: Lycopene attenuates chronic prostatitis/chronic pelvic pain syndrome by inhibiting oxidative stress and inflammation via the interaction of NF-κB, MAPKs, and Nrf2 signaling pathways in rats. Andrology. 8:747–755. 2020.PubMed/NCBI View Article : Google Scholar

30 

Roman M, Jitaru P and Barbante C: Selenium biochemistry and its role for human health. Metallomics. 6:25–54. 2014.PubMed/NCBI View Article : Google Scholar

31 

Flohé L and Brigelius-Flohé R: Selenoproteins of the Glutathione Peroxidase Family. In: Selenium. Hatfield D, Berry M and Gladyshev V (eds). Springer, New York, NY, 2011.

32 

Kaushal N, Gandhi UH, Nelson SM, Narayan V and Prabhu KS: Selenium and Inflammation. In: Selenium. Hatfield D, Berry M and Gladyshev V (eds). Springer, New York, NY, 2011.

33 

Tirosh O, Levy E and Reifen R: . High selenium diet protects against TNBS-induced acute inflammation, mitochondrial dysfunction and secondary necrosis in rat colon. Nutrition. 23:878–886. 2007.PubMed/NCBI View Article : Google Scholar

34 

Maehira F, Luyo GA, Miyagi I, Oshiro M, Yamane N, Kuba M and Nakazato Y: Alterations of serum selenium concentrations in the acute phase of pathological conditions. Clin Chim Acta. 316:137–146. 2002.PubMed/NCBI View Article : Google Scholar

35 

Sakr Y, Reinhart K, Bloos F, Marx G, Russwurm S, Bauer M and Brunkhorst F: Time course and relationship between plasma selenium concentrations, systemic inflammatory response, sepsis, and multiorgan failure. Br J Anaesth. 98:775–784. 2007.PubMed/NCBI View Article : Google Scholar

36 

Dragosloveanu Ş, Cotor DC, Dragosloveanu CDM, Stoian C and Stoica CI: Preclinical study analysis of massive magnesium alloy graft for calcaneal fractures. Exp Ther Med. 22(731)2021.PubMed/NCBI View Article : Google Scholar

37 

Walsh JS, Jacques RM, Schomburg L, Hill TR, Mathers JC, Williams GR and Eastell R: Effect of selenium supplementation on musculoskeletal health in older women: A randomised, double-blind, placebo-controlled trial. Lancet Healthy Longev. 2:e212–e221. 2021.PubMed/NCBI View Article : Google Scholar

Related Articles

  • Abstract
  • View
  • Download
  • Twitter
Copy and paste a formatted citation
Spandidos Publications style
Cotor DC, Dragosloveanu S, Ionescu A, Zagrai G and Damian A: Effect of Sodium selenite administration on the process of tendon healing in Wistar male rats. Exp Ther Med 25: 181, 2023.
APA
Cotor, D.C., Dragosloveanu, S., Ionescu, A., Zagrai, G., & Damian, A. (2023). Effect of Sodium selenite administration on the process of tendon healing in Wistar male rats. Experimental and Therapeutic Medicine, 25, 181. https://doi.org/10.3892/etm.2023.11880
MLA
Cotor, D. C., Dragosloveanu, S., Ionescu, A., Zagrai, G., Damian, A."Effect of Sodium selenite administration on the process of tendon healing in Wistar male rats". Experimental and Therapeutic Medicine 25.4 (2023): 181.
Chicago
Cotor, D. C., Dragosloveanu, S., Ionescu, A., Zagrai, G., Damian, A."Effect of Sodium selenite administration on the process of tendon healing in Wistar male rats". Experimental and Therapeutic Medicine 25, no. 4 (2023): 181. https://doi.org/10.3892/etm.2023.11880
Copy and paste a formatted citation
x
Spandidos Publications style
Cotor DC, Dragosloveanu S, Ionescu A, Zagrai G and Damian A: Effect of Sodium selenite administration on the process of tendon healing in Wistar male rats. Exp Ther Med 25: 181, 2023.
APA
Cotor, D.C., Dragosloveanu, S., Ionescu, A., Zagrai, G., & Damian, A. (2023). Effect of Sodium selenite administration on the process of tendon healing in Wistar male rats. Experimental and Therapeutic Medicine, 25, 181. https://doi.org/10.3892/etm.2023.11880
MLA
Cotor, D. C., Dragosloveanu, S., Ionescu, A., Zagrai, G., Damian, A."Effect of Sodium selenite administration on the process of tendon healing in Wistar male rats". Experimental and Therapeutic Medicine 25.4 (2023): 181.
Chicago
Cotor, D. C., Dragosloveanu, S., Ionescu, A., Zagrai, G., Damian, A."Effect of Sodium selenite administration on the process of tendon healing in Wistar male rats". Experimental and Therapeutic Medicine 25, no. 4 (2023): 181. https://doi.org/10.3892/etm.2023.11880
Follow us
  • Twitter
  • LinkedIn
  • Facebook
About
  • Spandidos Publications
  • Careers
  • Cookie Policy
  • Privacy Policy
How can we help?
  • Help
  • Live Chat
  • Contact
  • Email to our Support Team