Spandidos Publications Logo
  • About
    • About Spandidos
    • Aims and Scopes
    • Abstracting and Indexing
    • Editorial Policies
    • Reprints and Permissions
    • Job Opportunities
    • Terms and Conditions
    • Contact
  • Journals
    • All Journals
    • Oncology Letters
      • Oncology Letters
      • Information for Authors
      • Editorial Policies
      • Editorial Board
      • Aims and Scope
      • Abstracting and Indexing
      • Bibliographic Information
      • Archive
    • International Journal of Oncology
      • International Journal of Oncology
      • Information for Authors
      • Editorial Policies
      • Editorial Board
      • Aims and Scope
      • Abstracting and Indexing
      • Bibliographic Information
      • Archive
    • Molecular and Clinical Oncology
      • Molecular and Clinical Oncology
      • Information for Authors
      • Editorial Policies
      • Editorial Board
      • Aims and Scope
      • Abstracting and Indexing
      • Bibliographic Information
      • Archive
    • Experimental and Therapeutic Medicine
      • Experimental and Therapeutic Medicine
      • Information for Authors
      • Editorial Policies
      • Editorial Board
      • Aims and Scope
      • Abstracting and Indexing
      • Bibliographic Information
      • Archive
    • International Journal of Molecular Medicine
      • International Journal of Molecular Medicine
      • Information for Authors
      • Editorial Policies
      • Editorial Board
      • Aims and Scope
      • Abstracting and Indexing
      • Bibliographic Information
      • Archive
    • Biomedical Reports
      • Biomedical Reports
      • Information for Authors
      • Editorial Policies
      • Editorial Board
      • Aims and Scope
      • Abstracting and Indexing
      • Bibliographic Information
      • Archive
    • Oncology Reports
      • Oncology Reports
      • Information for Authors
      • Editorial Policies
      • Editorial Board
      • Aims and Scope
      • Abstracting and Indexing
      • Bibliographic Information
      • Archive
    • Molecular Medicine Reports
      • Molecular Medicine Reports
      • Information for Authors
      • Editorial Policies
      • Editorial Board
      • Aims and Scope
      • Abstracting and Indexing
      • Bibliographic Information
      • Archive
    • World Academy of Sciences Journal
      • World Academy of Sciences Journal
      • Information for Authors
      • Editorial Policies
      • Editorial Board
      • Aims and Scope
      • Abstracting and Indexing
      • Bibliographic Information
      • Archive
    • International Journal of Functional Nutrition
      • International Journal of Functional Nutrition
      • Information for Authors
      • Editorial Policies
      • Editorial Board
      • Aims and Scope
      • Abstracting and Indexing
      • Bibliographic Information
      • Archive
    • International Journal of Epigenetics
      • International Journal of Epigenetics
      • Information for Authors
      • Editorial Policies
      • Editorial Board
      • Aims and Scope
      • Abstracting and Indexing
      • Bibliographic Information
      • Archive
    • Medicine International
      • Medicine International
      • Information for Authors
      • Editorial Policies
      • Editorial Board
      • Aims and Scope
      • Abstracting and Indexing
      • Bibliographic Information
      • Archive
  • Articles
  • Information
    • Information for Authors
    • Information for Reviewers
    • Information for Librarians
    • Information for Advertisers
    • Conferences
  • Language Editing
Spandidos Publications Logo
  • About
    • About Spandidos
    • Aims and Scopes
    • Abstracting and Indexing
    • Editorial Policies
    • Reprints and Permissions
    • Job Opportunities
    • Terms and Conditions
    • Contact
  • Journals
    • All Journals
    • Biomedical Reports
      • Information for Authors
      • Editorial Policies
      • Editorial Board
      • Aims and Scope
      • Abstracting and Indexing
      • Bibliographic Information
      • Archive
    • Experimental and Therapeutic Medicine
      • Information for Authors
      • Editorial Policies
      • Editorial Board
      • Aims and Scope
      • Abstracting and Indexing
      • Bibliographic Information
      • Archive
    • International Journal of Epigenetics
      • Information for Authors
      • Editorial Policies
      • Editorial Board
      • Aims and Scope
      • Abstracting and Indexing
      • Bibliographic Information
      • Archive
    • International Journal of Functional Nutrition
      • Information for Authors
      • Editorial Policies
      • Editorial Board
      • Aims and Scope
      • Abstracting and Indexing
      • Bibliographic Information
      • Archive
    • International Journal of Molecular Medicine
      • Information for Authors
      • Editorial Policies
      • Editorial Board
      • Aims and Scope
      • Abstracting and Indexing
      • Bibliographic Information
      • Archive
    • International Journal of Oncology
      • Information for Authors
      • Editorial Policies
      • Editorial Board
      • Aims and Scope
      • Abstracting and Indexing
      • Bibliographic Information
      • Archive
    • Medicine International
      • Information for Authors
      • Editorial Policies
      • Editorial Board
      • Aims and Scope
      • Abstracting and Indexing
      • Bibliographic Information
      • Archive
    • Molecular and Clinical Oncology
      • Information for Authors
      • Editorial Policies
      • Editorial Board
      • Aims and Scope
      • Abstracting and Indexing
      • Bibliographic Information
      • Archive
    • Molecular Medicine Reports
      • Information for Authors
      • Editorial Policies
      • Editorial Board
      • Aims and Scope
      • Abstracting and Indexing
      • Bibliographic Information
      • Archive
    • Oncology Letters
      • Information for Authors
      • Editorial Policies
      • Editorial Board
      • Aims and Scope
      • Abstracting and Indexing
      • Bibliographic Information
      • Archive
    • Oncology Reports
      • Information for Authors
      • Editorial Policies
      • Editorial Board
      • Aims and Scope
      • Abstracting and Indexing
      • Bibliographic Information
      • Archive
    • World Academy of Sciences Journal
      • Information for Authors
      • Editorial Policies
      • Editorial Board
      • Aims and Scope
      • Abstracting and Indexing
      • Bibliographic Information
      • Archive
  • Articles
  • Information
    • For Authors
    • For Reviewers
    • For Librarians
    • For Advertisers
    • Conferences
  • Language Editing
Login Register Submit
  • This site uses cookies
  • You can change your cookie settings at any time by following the instructions in our Cookie Policy. To find out more, you may read our Privacy Policy.

    I agree
Search articles by DOI, keyword, author or affiliation
Search
Advanced Search
presentation
Experimental and Therapeutic Medicine
Join Editorial Board Propose a Special Issue
Print ISSN: 1792-0981 Online ISSN: 1792-1015
Journal Cover
June-2023 Volume 25 Issue 6

Full Size Image

Sign up for eToc alerts
Recommend to Library

Journals

International Journal of Molecular Medicine

International Journal of Molecular Medicine

International Journal of Molecular Medicine is an international journal devoted to molecular mechanisms of human disease.

International Journal of Oncology

International Journal of Oncology

International Journal of Oncology is an international journal devoted to oncology research and cancer treatment.

Molecular Medicine Reports

Molecular Medicine Reports

Covers molecular medicine topics such as pharmacology, pathology, genetics, neuroscience, infectious diseases, molecular cardiology, and molecular surgery.

Oncology Reports

Oncology Reports

Oncology Reports is an international journal devoted to fundamental and applied research in Oncology.

Experimental and Therapeutic Medicine

Experimental and Therapeutic Medicine

Experimental and Therapeutic Medicine is an international journal devoted to laboratory and clinical medicine.

Oncology Letters

Oncology Letters

Oncology Letters is an international journal devoted to Experimental and Clinical Oncology.

Biomedical Reports

Biomedical Reports

Explores a wide range of biological and medical fields, including pharmacology, genetics, microbiology, neuroscience, and molecular cardiology.

Molecular and Clinical Oncology

Molecular and Clinical Oncology

International journal addressing all aspects of oncology research, from tumorigenesis and oncogenes to chemotherapy and metastasis.

World Academy of Sciences Journal

World Academy of Sciences Journal

Multidisciplinary open-access journal spanning biochemistry, genetics, neuroscience, environmental health, and synthetic biology.

International Journal of Functional Nutrition

International Journal of Functional Nutrition

Open-access journal combining biochemistry, pharmacology, immunology, and genetics to advance health through functional nutrition.

International Journal of Epigenetics

International Journal of Epigenetics

Publishes open-access research on using epigenetics to advance understanding and treatment of human disease.

Medicine International

Medicine International

An International Open Access Journal Devoted to General Medicine.

Journal Cover
June-2023 Volume 25 Issue 6

Full Size Image

Sign up for eToc alerts
Recommend to Library

  • Article
  • Citations
    • Cite This Article
    • Download Citation
    • Create Citation Alert
    • Remove Citation Alert
    • Cited By
  • Similar Articles
    • Related Articles (in Spandidos Publications)
    • Similar Articles (Google Scholar)
    • Similar Articles (PubMed)
  • Download PDF
  • Download XML
  • View XML
Case Report Open Access

Multicentric Castleman disease of hyaline‑vascular variant with paraneoplastic pemphigus results in abnormal lung function: Report of 3 cases

  • Authors:
    • Jiemei Cen
    • Wen Zeng
    • Mianluan Pan
    • Ye Qiu
    • Jianquan Zhang
  • View Affiliations / Copyright

    Affiliations: Department of Respiratory Medicine, The Eighth Affiliated Hospital, Sun Yat‑Sen University, Shenzhen, Guangdong 518033, P.R. China, Department of Respiratory Medicine, The First Affiliated Hospital of Guangxi Medical University, Nanning, Guangxi 530000, P.R. China
    Copyright: © Cen et al. This is an open access article distributed under the terms of Creative Commons Attribution License.
  • Article Number: 269
    |
    Published online on: April 20, 2023
       https://doi.org/10.3892/etm.2023.11968
  • Expand metrics +
Metrics: Total Views: 0 (Spandidos Publications: | PMC Statistics: )
Metrics: Total PDF Downloads: 0 (Spandidos Publications: | PMC Statistics: )
Cited By (CrossRef): 0 citations Loading Articles...

This article is mentioned in:



Abstract

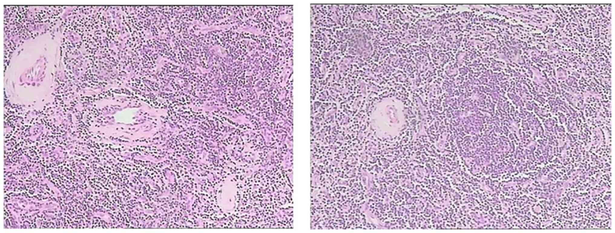
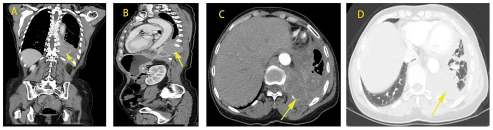
Castleman disease (CD) is clinically divided into unicentric CD (UCD) and multicentric CD (MCD). Hyaline‑vascular variant (HV) is the most common pathological type of UCD, while the plasma cell type (PC) is the most common type of MCD and thus, hyaline‑vascular variant multicentric CD (HV‑MCD) is a rare type of CD. In addition, its etiology has remained elusive. The present study retrospectively analyzed the medical records of 3 patients diagnosed as HV‑MCD admitted to The First Affiliated Hospital of Guangxi Medical University (Guangxi, China) between January 2007 and September 2020. A total of 2 males and 1 female were admitted. The areas involved varied considerably. Respiratory symptoms were seen in 3 cases, along with fever, weight loss and splenomegaly. Damage to the skin and mucous membranes resulted in oral ulcers when accompanied by paraneoplastic pemphigus (PNP). Dry and wet rales were found in all patients. All 3 cases were complicated with PNP and had hypoxemia and obstructive ventilation dysfunction. In accordance with PC‑MCD, it manifested as lymph node enlargement and may involve several lymph nodes. Computed tomography mainly indicated bronchiectasis and mediastinal lymph node enlargement. In 1 case, chemotherapy failed after local mass excision, 1 case remitted after chemotherapy but the lung lesion was irreversible and 1 case was untreated and soon died of respiratory failure. The cases of HV‑MCD with pulmonary involvement were induced by small airway lesions and associated with poor prognosis. Respiratory symptoms along with systemic symptoms were common.
View Figures

Figure 1

Figure 2

Figure 3

Figure 4

View References

1 

Oksenhendler E, Boutboul D, Fajgenbaum D, Mirouse A, Fieschi C, Malphettes M, Vercellino L, Meignin V, Gérard L and Galicier L: The full spectrum of Castleman disease: 273 patients studied over 20 years. Br J Haematol. 180:206–216. 2018.PubMed/NCBI View Article : Google Scholar

2 

Biçakçioğlu P, Gülhan SS, Acar LN, Ağaçkiran Y, Özkara Ş, Kaya S and Karaoğlanoğlu N: Intrathoracic Castleman disease. Turk J Med Sci. 44:197–202. 2014.PubMed/NCBI View Article : Google Scholar

3 

Dispenzieri A and Fajgenbaum DC: Overview of Castleman disease. Blood. 135:1353–1364. 2020.PubMed/NCBI View Article : Google Scholar

4 

Haap M, Wiefels J, Horger M, Hoyer A and Müssig K: Clinical, laboratory and imaging findings in Castleman's disease-The subtype decides. Blood Rev. 32:225–234. 2018.PubMed/NCBI View Article : Google Scholar

5 

van Rhee F, Oksenhendler E, Srkalovic G, Voorhees P, Lim M, Dispenzieri A, Ide M, Parente S, Schey S, Streetly M, et al: International evidence-based consensus diagnostic and treatment guidelines for unicentric Castleman disease. Blood Adv. 4:6039–6050. 2020.PubMed/NCBI View Article : Google Scholar

6 

Kligerman SJ, Auerbach A, Franks TJ, Franks TJ and Galvin JR: Castleman disease of the thorax: Clinical, radiologic, and pathologic correlation: From the radiologic pathology archives. Radiographics. 36:1309–1332. 2016.PubMed/NCBI View Article : Google Scholar

7 

Zhang X, Rao H, Xu X, Li Z, Liao B, Wu H, Li M, Tong X, Li J and Cai Q: Clinical characteristics and outcomes of Castleman disease: A multicenter study of 185 Chinese patients. Cancer Sci. 109:199–206. 2018.PubMed/NCBI View Article : Google Scholar

8 

Hill AJ, Tirumani SH, Rosenthal MH, Shinagare AB, Carrasco RD, Munshi NC, Ramaiya NH and Howard SA: Multimodality imaging and clinical features in Castleman disease: Single institute experience in 30 patients. Br J Radiol. 88(20140670)2015.PubMed/NCBI View Article : Google Scholar

9 

Ota H, Kawai H and Matsuo T: Unicentric castleman's disease arising from an intrapulmonary lymph node. Case Rep Surg. 2013(289089)2013.PubMed/NCBI View Article : Google Scholar

10 

Sarana B, Jaal J, Tamm H and Laisaar T: Resection of unicentric interlobar Castleman disease with following adjuvant radiotherapy. SAGE Open Med Case Rep. 5(2050313x17744481)2017.PubMed/NCBI View Article : Google Scholar

11 

Mimouni D, Anhalt GJ, Lazarova Z, Aho S, Kazerounian S, Kouba DJ, Mascaro JM Jr and Nousari HC: Paraneoplastic pemphigus in children and adolescents. Br J Dermatol. 147:725–732. 2002.PubMed/NCBI View Article : Google Scholar

12 

van Rhee F and Munshi NC: Castleman disease. Hematol Oncol Clin North Am. 32:xiii–xiv. 2018.PubMed/NCBI View Article : Google Scholar

13 

Boutboul D, Fadlallah J, Chawki S, Fieschi C, Malphettes M, Dossier A, Gérard L, Mordant P, Meignin V, Oksenhendler E and Galicier L: Treatment and outcome of unicentric castleman disease: A retrospective analysis of 71 cases. Br J Haematol. 186:269–273. 2019.PubMed/NCBI View Article : Google Scholar

14 

Larroche C, Cacoub P, Soulier J, Oksenhendler E, Clauvel JP, Piette JC and Raphael M: Castleman's disease and lymphoma: Report of eight cases in HIV-negative patients and literature review. Am J Hematol. 69:119–126. 2002.PubMed/NCBI View Article : Google Scholar

15 

Wang ST, Wang QP, Li J, Zhang T, Zhang L and Mao YY: Amyloidosis secondary to intrapulmonary Castleman disease mimicking pulmonary hyalinizing granuloma-like clinical features: A rare case report. Medicine (Baltimore). 98(e15039)2019.PubMed/NCBI View Article : Google Scholar

16 

Zhang H, Zhang JQ, Zhong XN, Liu GN, Li MH, Bai J, He ZY and Deng JM: Two case reports of Castleman disease with pulmonary involvement. Int J Tuberc Lung Dis. 19:362–365. 2015.PubMed/NCBI View Article : Google Scholar

17 

Hwangbo Y, Cha SI, Lee YH, Lee SY, Seo H, Oh S, Kim M, Choi SH, Park TI and Shin KM: A case of multicentric castleman's disease presenting with follicular bronchiolitis. Tuberc Respir Dis (Seoul). 74:23–27. 2013.PubMed/NCBI View Article : Google Scholar

18 

Nabeya D, Yoshimatsu Y and Fujiwara H: A case of acute progressive diffuse interstitial lung disease preceding idiopathic multicentric Castleman disease. Respir Med Case Rep. 31(101216)2020.PubMed/NCBI View Article : Google Scholar

19 

Johkoh T, Müller NL, Ichikado K, Nishimoto N, Yoshizaki K, Honda O, Tomiyama N, Naitoh H, Nakamura H and Yamamoto S: Intrathoracic multicentric Castleman disease: CT findings in 12 patients. Radiology. 209:477–481. 1998.PubMed/NCBI View Article : Google Scholar

20 

Herrada J, Cabanillas F, Rice L, Manning J and Pugh W: The clinical behavior of localized and multicentric Castleman disease. Ann Intern Med. 128:657–662. 1998.PubMed/NCBI View Article : Google Scholar

21 

Chronowski GM, Ha CS, Wilder RB, Cabanillas F, Manning J and Cox JD: Treatment of unicentric and multicentric Castleman disease and the role of radiotherapy. Cancer. 92:670–676. 2001.PubMed/NCBI View Article : Google Scholar

22 

Marcelin AG, Aaron L, Mateus C, Gyan E, Gorin I, Viard JP, Calvez V and Dupin N: Rituximab therapy for HIV-associated Castleman disease. Blood. 102:2786–2788. 2003.PubMed/NCBI View Article : Google Scholar

23 

Ide M, Kawachi Y, Izumi Y, Kasagi K and Ogino T: Long-term remission in HIV-negative patients with multicentric Castleman's disease using rituximab. Eur J Haematol. 76:119–123. 2006.PubMed/NCBI View Article : Google Scholar

24 

Ocio EM, Sanchez-Guijo FM, Diez-Campelo M, Castilla C, Blanco OJ, Caballero D and San Miguel JF: Efficacy of rituximab in an aggressive form of multicentric Castleman disease associated with immune phenomena. Am J Hematol. 78:302–325. 2005.PubMed/NCBI View Article : Google Scholar

25 

Corbellino M, Bestetti G, Scalamogna C, Calattini S, Galazzi M, Meroni L, Manganaro D, Fasan M, Moroni M, Galli M and Parravicini C: Long-term remission of Kaposi sarcoma-associated herpesvirus-related multicentric Castleman disease with anti-CD20 monoclonal antibody therapy. Blood. 98:3473–3475. 2001.PubMed/NCBI View Article : Google Scholar

26 

Kofteridis DP, Tzagarakis N, Mixaki I, Maganas E, Xilouri E, Stathopoulos EN, Eliopoulos GD and Gikas A: Multicentric Castleman's disease: Prolonged remission with anti CD-20 monoclonal antibody in an HIV-infected patient. AIDS. 18:585–586. 2004.PubMed/NCBI View Article : Google Scholar

27 

Bower M, Newsom-Davis T, Naresh K, Merchant S, Lee B, Gazzard B, Stebbing J and Nelson M: Clinical features and outcome in HIV-Associated multicentric castleman's disease. J Clin Oncol. 29:2481–2486. 2011.PubMed/NCBI View Article : Google Scholar

28 

Anhalt GJ: Paraneoplastic pemphigus. J Investig Dermatol Symp Proc. 9:29–33. 2004.PubMed/NCBI View Article : Google Scholar

29 

Lim JM, Lee SE, Seo J, Kim DY, Hashimoto T and Kim SC: Paraneoplastic pemphigus associated with a malignant thymoma: A case of persistent and refractory oral ulcerations following thymectomy. Ann Dermatol. 29:219–222. 2017.PubMed/NCBI View Article : Google Scholar

30 

Wang L, Bu D, Yang Y, Chen X and Zhu X: Castleman's tumours and production of autoantibody in paraneoplastic pemphigus. Lancet. 363:525–531. 2004.PubMed/NCBI View Article : Google Scholar

31 

Reichard KK, Robinett S and Foucar MK: Clonal cytogenetic abnormalities in the plasma cell variant of Castleman disease. Cancer Genet. 204:323–327. 2011.PubMed/NCBI View Article : Google Scholar

32 

Mihara M, Hashizume M, Yoshida H, Suzuki M and Shiina M: IL-6/IL-6 receptor system and its role in physiological and pathological conditions. Clin Sci (Lond). 122:143–159. 2012.PubMed/NCBI View Article : Google Scholar

33 

Luo JM, Li S, Huang H, Cao J, Xu K, Bi YL, Feng RE, Huang C, Qin YZ, Xu ZJ and Xiao Y: Clinical spectrum of intrathoracic Castleman disease: A retrospective analysis of 48 cases in a single Chinese hospital. BMC Pulm Med. 15(34)2015.PubMed/NCBI View Article : Google Scholar

Related Articles

  • Abstract
  • View
  • Download
  • Twitter
Copy and paste a formatted citation
Spandidos Publications style
Cen J, Zeng W, Pan M, Qiu Y and Zhang J: Multicentric Castleman disease of hyaline‑vascular variant with paraneoplastic pemphigus results in abnormal lung function: Report of 3 cases. Exp Ther Med 25: 269, 2023.
APA
Cen, J., Zeng, W., Pan, M., Qiu, Y., & Zhang, J. (2023). Multicentric Castleman disease of hyaline‑vascular variant with paraneoplastic pemphigus results in abnormal lung function: Report of 3 cases. Experimental and Therapeutic Medicine, 25, 269. https://doi.org/10.3892/etm.2023.11968
MLA
Cen, J., Zeng, W., Pan, M., Qiu, Y., Zhang, J."Multicentric Castleman disease of hyaline‑vascular variant with paraneoplastic pemphigus results in abnormal lung function: Report of 3 cases". Experimental and Therapeutic Medicine 25.6 (2023): 269.
Chicago
Cen, J., Zeng, W., Pan, M., Qiu, Y., Zhang, J."Multicentric Castleman disease of hyaline‑vascular variant with paraneoplastic pemphigus results in abnormal lung function: Report of 3 cases". Experimental and Therapeutic Medicine 25, no. 6 (2023): 269. https://doi.org/10.3892/etm.2023.11968
Copy and paste a formatted citation
x
Spandidos Publications style
Cen J, Zeng W, Pan M, Qiu Y and Zhang J: Multicentric Castleman disease of hyaline‑vascular variant with paraneoplastic pemphigus results in abnormal lung function: Report of 3 cases. Exp Ther Med 25: 269, 2023.
APA
Cen, J., Zeng, W., Pan, M., Qiu, Y., & Zhang, J. (2023). Multicentric Castleman disease of hyaline‑vascular variant with paraneoplastic pemphigus results in abnormal lung function: Report of 3 cases. Experimental and Therapeutic Medicine, 25, 269. https://doi.org/10.3892/etm.2023.11968
MLA
Cen, J., Zeng, W., Pan, M., Qiu, Y., Zhang, J."Multicentric Castleman disease of hyaline‑vascular variant with paraneoplastic pemphigus results in abnormal lung function: Report of 3 cases". Experimental and Therapeutic Medicine 25.6 (2023): 269.
Chicago
Cen, J., Zeng, W., Pan, M., Qiu, Y., Zhang, J."Multicentric Castleman disease of hyaline‑vascular variant with paraneoplastic pemphigus results in abnormal lung function: Report of 3 cases". Experimental and Therapeutic Medicine 25, no. 6 (2023): 269. https://doi.org/10.3892/etm.2023.11968
Follow us
  • Twitter
  • LinkedIn
  • Facebook
About
  • Spandidos Publications
  • Careers
  • Cookie Policy
  • Privacy Policy
How can we help?
  • Help
  • Live Chat
  • Contact
  • Email to our Support Team