Spandidos Publications Logo
  • About
    • About Spandidos
    • Aims and Scopes
    • Abstracting and Indexing
    • Editorial Policies
    • Reprints and Permissions
    • Job Opportunities
    • Terms and Conditions
    • Contact
  • Journals
    • All Journals
    • Oncology Letters
      • Oncology Letters
      • Information for Authors
      • Editorial Policies
      • Editorial Board
      • Aims and Scope
      • Abstracting and Indexing
      • Bibliographic Information
      • Archive
    • International Journal of Oncology
      • International Journal of Oncology
      • Information for Authors
      • Editorial Policies
      • Editorial Board
      • Aims and Scope
      • Abstracting and Indexing
      • Bibliographic Information
      • Archive
    • Molecular and Clinical Oncology
      • Molecular and Clinical Oncology
      • Information for Authors
      • Editorial Policies
      • Editorial Board
      • Aims and Scope
      • Abstracting and Indexing
      • Bibliographic Information
      • Archive
    • Experimental and Therapeutic Medicine
      • Experimental and Therapeutic Medicine
      • Information for Authors
      • Editorial Policies
      • Editorial Board
      • Aims and Scope
      • Abstracting and Indexing
      • Bibliographic Information
      • Archive
    • International Journal of Molecular Medicine
      • International Journal of Molecular Medicine
      • Information for Authors
      • Editorial Policies
      • Editorial Board
      • Aims and Scope
      • Abstracting and Indexing
      • Bibliographic Information
      • Archive
    • Biomedical Reports
      • Biomedical Reports
      • Information for Authors
      • Editorial Policies
      • Editorial Board
      • Aims and Scope
      • Abstracting and Indexing
      • Bibliographic Information
      • Archive
    • Oncology Reports
      • Oncology Reports
      • Information for Authors
      • Editorial Policies
      • Editorial Board
      • Aims and Scope
      • Abstracting and Indexing
      • Bibliographic Information
      • Archive
    • Molecular Medicine Reports
      • Molecular Medicine Reports
      • Information for Authors
      • Editorial Policies
      • Editorial Board
      • Aims and Scope
      • Abstracting and Indexing
      • Bibliographic Information
      • Archive
    • World Academy of Sciences Journal
      • World Academy of Sciences Journal
      • Information for Authors
      • Editorial Policies
      • Editorial Board
      • Aims and Scope
      • Abstracting and Indexing
      • Bibliographic Information
      • Archive
    • International Journal of Functional Nutrition
      • International Journal of Functional Nutrition
      • Information for Authors
      • Editorial Policies
      • Editorial Board
      • Aims and Scope
      • Abstracting and Indexing
      • Bibliographic Information
      • Archive
    • International Journal of Epigenetics
      • International Journal of Epigenetics
      • Information for Authors
      • Editorial Policies
      • Editorial Board
      • Aims and Scope
      • Abstracting and Indexing
      • Bibliographic Information
      • Archive
    • Medicine International
      • Medicine International
      • Information for Authors
      • Editorial Policies
      • Editorial Board
      • Aims and Scope
      • Abstracting and Indexing
      • Bibliographic Information
      • Archive
  • Articles
  • Information
    • Information for Authors
    • Information for Reviewers
    • Information for Librarians
    • Information for Advertisers
    • Conferences
  • Language Editing
Spandidos Publications Logo
  • About
    • About Spandidos
    • Aims and Scopes
    • Abstracting and Indexing
    • Editorial Policies
    • Reprints and Permissions
    • Job Opportunities
    • Terms and Conditions
    • Contact
  • Journals
    • All Journals
    • Biomedical Reports
      • Information for Authors
      • Editorial Policies
      • Editorial Board
      • Aims and Scope
      • Abstracting and Indexing
      • Bibliographic Information
      • Archive
    • Experimental and Therapeutic Medicine
      • Information for Authors
      • Editorial Policies
      • Editorial Board
      • Aims and Scope
      • Abstracting and Indexing
      • Bibliographic Information
      • Archive
    • International Journal of Epigenetics
      • Information for Authors
      • Editorial Policies
      • Editorial Board
      • Aims and Scope
      • Abstracting and Indexing
      • Bibliographic Information
      • Archive
    • International Journal of Functional Nutrition
      • Information for Authors
      • Editorial Policies
      • Editorial Board
      • Aims and Scope
      • Abstracting and Indexing
      • Bibliographic Information
      • Archive
    • International Journal of Molecular Medicine
      • Information for Authors
      • Editorial Policies
      • Editorial Board
      • Aims and Scope
      • Abstracting and Indexing
      • Bibliographic Information
      • Archive
    • International Journal of Oncology
      • Information for Authors
      • Editorial Policies
      • Editorial Board
      • Aims and Scope
      • Abstracting and Indexing
      • Bibliographic Information
      • Archive
    • Medicine International
      • Information for Authors
      • Editorial Policies
      • Editorial Board
      • Aims and Scope
      • Abstracting and Indexing
      • Bibliographic Information
      • Archive
    • Molecular and Clinical Oncology
      • Information for Authors
      • Editorial Policies
      • Editorial Board
      • Aims and Scope
      • Abstracting and Indexing
      • Bibliographic Information
      • Archive
    • Molecular Medicine Reports
      • Information for Authors
      • Editorial Policies
      • Editorial Board
      • Aims and Scope
      • Abstracting and Indexing
      • Bibliographic Information
      • Archive
    • Oncology Letters
      • Information for Authors
      • Editorial Policies
      • Editorial Board
      • Aims and Scope
      • Abstracting and Indexing
      • Bibliographic Information
      • Archive
    • Oncology Reports
      • Information for Authors
      • Editorial Policies
      • Editorial Board
      • Aims and Scope
      • Abstracting and Indexing
      • Bibliographic Information
      • Archive
    • World Academy of Sciences Journal
      • Information for Authors
      • Editorial Policies
      • Editorial Board
      • Aims and Scope
      • Abstracting and Indexing
      • Bibliographic Information
      • Archive
  • Articles
  • Information
    • For Authors
    • For Reviewers
    • For Librarians
    • For Advertisers
    • Conferences
  • Language Editing
Login Register Submit
  • This site uses cookies
  • You can change your cookie settings at any time by following the instructions in our Cookie Policy. To find out more, you may read our Privacy Policy.

    I agree
Search articles by DOI, keyword, author or affiliation
Search
Advanced Search
presentation
Experimental and Therapeutic Medicine
Join Editorial Board Propose a Special Issue
Print ISSN: 1792-0981 Online ISSN: 1792-1015
Journal Cover
June-2023 Volume 25 Issue 6

Full Size Image

Sign up for eToc alerts
Recommend to Library

Journals

International Journal of Molecular Medicine

International Journal of Molecular Medicine

International Journal of Molecular Medicine is an international journal devoted to molecular mechanisms of human disease.

International Journal of Oncology

International Journal of Oncology

International Journal of Oncology is an international journal devoted to oncology research and cancer treatment.

Molecular Medicine Reports

Molecular Medicine Reports

Covers molecular medicine topics such as pharmacology, pathology, genetics, neuroscience, infectious diseases, molecular cardiology, and molecular surgery.

Oncology Reports

Oncology Reports

Oncology Reports is an international journal devoted to fundamental and applied research in Oncology.

Experimental and Therapeutic Medicine

Experimental and Therapeutic Medicine

Experimental and Therapeutic Medicine is an international journal devoted to laboratory and clinical medicine.

Oncology Letters

Oncology Letters

Oncology Letters is an international journal devoted to Experimental and Clinical Oncology.

Biomedical Reports

Biomedical Reports

Explores a wide range of biological and medical fields, including pharmacology, genetics, microbiology, neuroscience, and molecular cardiology.

Molecular and Clinical Oncology

Molecular and Clinical Oncology

International journal addressing all aspects of oncology research, from tumorigenesis and oncogenes to chemotherapy and metastasis.

World Academy of Sciences Journal

World Academy of Sciences Journal

Multidisciplinary open-access journal spanning biochemistry, genetics, neuroscience, environmental health, and synthetic biology.

International Journal of Functional Nutrition

International Journal of Functional Nutrition

Open-access journal combining biochemistry, pharmacology, immunology, and genetics to advance health through functional nutrition.

International Journal of Epigenetics

International Journal of Epigenetics

Publishes open-access research on using epigenetics to advance understanding and treatment of human disease.

Medicine International

Medicine International

An International Open Access Journal Devoted to General Medicine.

Journal Cover
June-2023 Volume 25 Issue 6

Full Size Image

Sign up for eToc alerts
Recommend to Library

  • Article
  • Citations
    • Cite This Article
    • Download Citation
    • Create Citation Alert
    • Remove Citation Alert
    • Cited By
  • Similar Articles
    • Related Articles (in Spandidos Publications)
    • Similar Articles (Google Scholar)
    • Similar Articles (PubMed)
  • Download PDF
  • Download XML
  • View XML
Article Open Access

Expression of S100A9 in adamantinomatous craniopharyngioma and its association with wet keratin formation

  • Authors:
    • Chuan Zhao
    • Wenxin Hu
    • Ning Luo
    • Xingfu Wang
    • Da Lin
    • Zhixiong Lin
  • View Affiliations / Copyright

    Affiliations: Department of Neurosurgery, Sanbo Brain Hospital, Capital Medical University, Beijing 100093, P.R. China, Department of Pathology, The First Affiliated Hospital, Fujian Medical University, Fuzhou, Fujian 350004, P.R. China, Department of Neurosurgery, Beijing Luhe Hospital, Capital Medical University, Beijing 101199, P.R. China
    Copyright: © Zhao et al. This is an open access article distributed under the terms of Creative Commons Attribution License.
  • Article Number: 282
    |
    Published online on: April 26, 2023
       https://doi.org/10.3892/etm.2023.11981
  • Expand metrics +
Metrics: Total Views: 0 (Spandidos Publications: | PMC Statistics: )
Metrics: Total PDF Downloads: 0 (Spandidos Publications: | PMC Statistics: )
Cited By (CrossRef): 0 citations Loading Articles...

This article is mentioned in:



Abstract

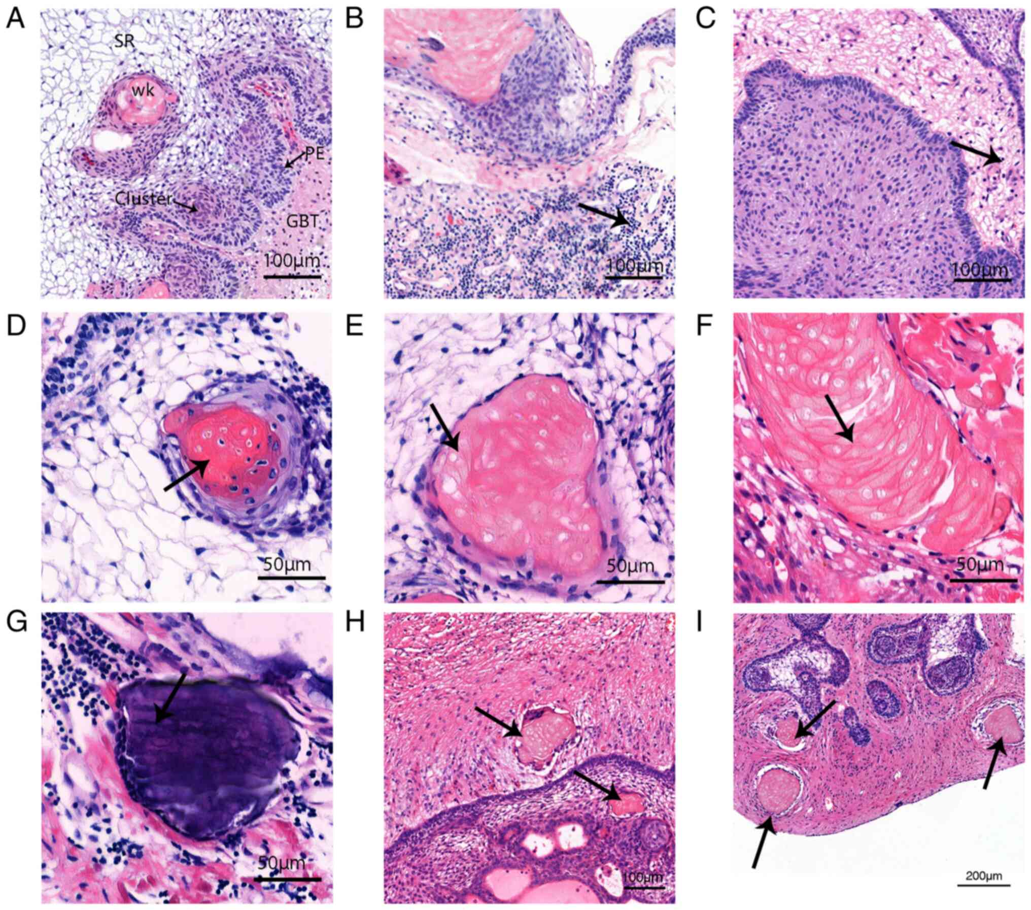
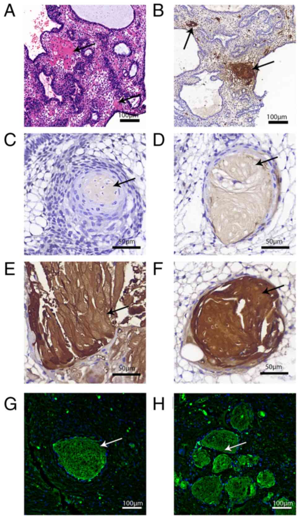
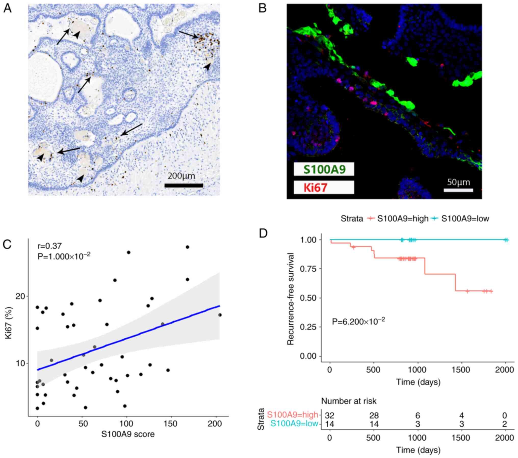
Wet keratin is a hallmark of adamantinomatous craniopharyngioma (ACP), which is frequently infiltrated by inflammatory cells. S100 calcium‑binding protein A9 (S100A9) has been confirmed to play a decisive role in the development of inflammation. However, the relationship between wet keratin (keratin nodules) and S100A9 in ACP is poorly understood. The objective of the present study was to explore the expression of S100A9 in ACP and its association with wet keratin formation. Immunohistochemistry and immunofluorescence were used to detect the expression of S100A9, β‑catenin and Ki67 in 46 cases of ACP. A total of three online databases were used to analyze S100A9 gene expression and protein data. The results revealed that S100A9 was primarily expressed in wet keratin and some intratumoral and peritumoral cells, and its expression in wet keratin was upregulated in the high inflammation group (P=1.800x10‑3). In addition, S100A9 was correlated with the degree of inflammation (r=0.6; P=7.412x10‑3) and the percentage of Ki67‑positive cells (r=0.37; P=1.000x10‑2). In addition, a significant correlation was noted between the area of wet keratin and the degree of inflammation (r=0.51; P=2.500x10‑4). In conclusion, the present study showed that S100A9 was upregulated in ACP and may be closely associated with wet keratin formation and the infiltration of inflammatory cells in ACP.
View Figures

Figure 1

Figure 2

Figure 3

Figure 4

Figure 5

Figure 6

View References

1 

Müller H, Merchant T, Warmuth-Metz M, Martinez-Barbera J and Puget S: Craniopharyngioma. Nat Rev Dis Primers. 5(75)2019.PubMed/NCBI View Article : Google Scholar

2 

Louis DN, Perry A, Reifenberger G, von Deimling A, Figarella-Branger D, Cavenee WK, Ohgaki H, Wiestler OD, Kleihues P and Ellison DW: The 2016 World Health Organization classification of tumors of the central nervous system: A summary. Acta Neuropathol. 131:803–820. 2016.PubMed/NCBI View Article : Google Scholar

3 

Martinez-Barbera J: Molecular and cellular pathogenesis of adamantinomatous craniopharyngioma. Neuropathol Appl Neurobiol. 41:721–732. 2015.PubMed/NCBI View Article : Google Scholar

4 

Whelan R, Prince E, Gilani A and Hankinson T: The inflammatory milieu of adamantinomatous craniopharyngioma and its implications for treatment. J Clin Med. 9(519)2020.PubMed/NCBI View Article : Google Scholar

5 

Wang S, Song R, Wang Z, Jing Z, Wang S and Ma J: S100A8/A9 in inflammation. Front Immunol. 9(1298)2018.PubMed/NCBI View Article : Google Scholar

6 

Martinsson H, Yhr M and Enerbäck C: Expression patterns of S100A7 (psoriasin) and S100A9 (calgranulin-B) in keratinocyte differentiation. Exp Dermatol. 14:161–168. 2005.PubMed/NCBI View Article : Google Scholar

7 

Christmann C, Zenker S, Martens L, Hübner J, Loser K, Vogl T and Roth J: Interleukin 17 promotes expression of alarmins S100A8 and S100A9 during the inflammatory response of keratinocytes. Front Immunol. 11(599947)2021.PubMed/NCBI View Article : Google Scholar

8 

Mischke D, Korge BP, Marenholz I, Volz A and Ziegler A: Genes encoding structural proteins of epidermal cornification and S100 calcium-binding proteins form a gene complex (‘epidermal differentiation complex’) on human chromosome 1q21. J Invest Dermatol. 106:989–992. 1996.PubMed/NCBI View Article : Google Scholar

9 

Argyris PP, Slama Z, Malz C, Koutlas IG, Pakzad B, Patel K, Kademani D, Khammanivong A and Herzberg MC: Intracellular calprotectin (S100A8/A9) controls epithelial differentiation and caspase-mediated cleavage of EGFR in head and neck squamous cell carcinoma. Oral Oncol. 95:1–10. 2019.PubMed/NCBI View Article : Google Scholar

10 

Lin D, Wang Y, Zhou Z and Lin Z: Immune microenvironment of primary and recurrent craniopharyngiomas: A study of the differences and clinical significance. World Neurosurg. 127:e212–e220. 2019.PubMed/NCBI View Article : Google Scholar

11 

Rakha E, Puls F, Saidul I and Furness P: Torsion of the testicular appendix: Importance of associated acute inflammation. J Clin Pathol. 59:831–834. 2006.PubMed/NCBI View Article : Google Scholar

12 

Vidal AP, Andrade BM, Vaisman F, Cazarin J, Pinto LF, Breitenbach MM, Corbo R, Caroli-Bottino A, Soares F, Vaisman M and Carvalho DP: AMP-activated protein kinase signaling is upregulated in papillary thyroid cancer. Eur J Endocrinol. 169:521–528. 2013.PubMed/NCBI View Article : Google Scholar

13 

Han SA, Jang JH, Won KY, Lim SJ and Song JY: Prognostic value of putative cancer stem cell markers (CD24, CD44, CD133, and ALDH1) in human papillary thyroid carcinoma. Pathol Res Pract. 213:956–963. 2017.PubMed/NCBI View Article : Google Scholar

14 

Kusama K, Katayama Y, Oba K, Ishige T, Kebusa Y, Okazawa J, Fukushima T and Yoshino A: Expression of hard alpha-keratins in pilomatrixoma, craniopharyngioma, and calcifying odontogenic cyst. Am J Clin pathol. 123:376–381. 2005.PubMed/NCBI View Article : Google Scholar

15 

Wang CH, Qi ST, Fan J, Pan J, Peng JX, Nie J, Bao Y, Liu YW, Zhang X and Liu Y: Identification of tumor stem-like cells in admanatimomatous craniopharyngioma and determination of these cells' pathological significance. J Neurosurg. 1–11. 2019.PubMed/NCBI View Article : Google Scholar : (Epub ahead of print).

16 

Andoniadou CL, Gaston-Massuet C, Reddy R, Schneider RP, Blasco MA, Le Tissier P, Jacques TS, Pevny LH, Dattani MT and Martinez-Barbera JP: Identification of novel pathways involved in the pathogenesis of human adamantinomatous craniopharyngioma. Acta Neuropathol. 124:259–271. 2012.PubMed/NCBI View Article : Google Scholar

17 

Andoniadou CL, Matsushima D, Mousavy Gharavy SN, Signore M, Mackintosh AI, Schaeffer M, Gaston-Massuet C, Mollard P, Jacques TS, Le Tissier P, et al: Sox2(+) stem/progenitor cells in the adult mouse pituitary support organ homeostasis and have tumor-inducing potential. Cell Stem Cell. 13:433–445. 2013.PubMed/NCBI View Article : Google Scholar

18 

Cmoch A, Groves P, Palczewska M and Pikuła S: S100A proteins in propagation of a calcium signal in norm and pathology. Postepy Biochem. 58:429–436. 2012.PubMed/NCBI

19 

Fuellen G, Foell D, Nacken W, Sorg C and Kerkhoff C: Absence of S100A12 in mouse: Implications for RAGE-S100A12 interaction. Trends Immunol. 24:622–624. 2003.PubMed/NCBI View Article : Google Scholar

20 

Apps JR, Carreno G, Gonzalez-Meljem JM, Haston S, Guiho R, Cooper JE, Manshaei S, Jani N, Hölsken A, Pettorini B, et al: Tumour compartment transcriptomics demonstrates the activation of inflammatory and odontogenic programmes in human adamantinomatous craniopharyngioma and identifies the MAPK/ERK pathway as a novel therapeutic target. Acta Neuropathol. 135:757–777. 2018.PubMed/NCBI View Article : Google Scholar

21 

Pettorini BL, Inzitari R, Massimi L, Tamburrini G, Caldarelli M, Fanali C, Cabras T, Messana I, Castagnola M and Rocco C: The role of inflammation in the genesis of the cystic component of craniopharyngiomas. Childs Nerv Syst. 26:1779–1784. 2010.PubMed/NCBI View Article : Google Scholar

22 

Desiderio C, Martelli C, Rossetti DV, Di Rocco C, D'Angelo L, Caldarelli M, Tamburrini G, Iavarone F, Castagnola M, Messana I, et al: Identification of thymosins β4 and β 10 in paediatric craniopharyngioma cystic fluid. Childs Nerv Syst. 29:951–960. 2013.PubMed/NCBI View Article : Google Scholar

23 

Gong J, Zhang H, Xing S, Li C, Ma Z, Jia G and Hu W: High expression levels of CXCL12 and CXCR4 predict recurrence of adamanti-nomatous craniopharyngiomas in children. Cancer Biomark. 14:241–251. 2014.PubMed/NCBI View Article : Google Scholar

24 

Coy S, Rashid R, Lin JR, Du Z, Donson AM, Hankinson TC, Foreman NK, Manley PE, Kieran MW, Reardon DA, et al: Multiplexed immunofluorescence reveals potential PD-1/PD-L1 pathway vulnerabilities in craniopharyngioma. Neuro Oncol. 20:1101–1112. 2018.PubMed/NCBI View Article : Google Scholar

25 

Sprenkeler EGG, Zandstra J, van Kleef ND, Goetschalckx I, Verstegen B, Aarts CEM, Janssen H, Tool ATJ, van Mierlo G, van Bruggen R, et al: S100A8/A9 is a marker for the release of neutrophil extracellular traps and induces neutrophil activation. Cells. 11(236)2022.PubMed/NCBI View Article : Google Scholar

26 

Mihaila AC, Ciortan L, Macarie RD, Vadana M, Cecoltan S, Preda MB, Hudita A, Gan AM, Jakobsson G, Tucureanu MM, et al: Transcriptional profiling and functional analysis of N1/N2 neutrophils reveal an immunomodulatory effect of S100A9-blockade on the pro-inflammatory N1 subpopulation. Front Immunol. 12(708770)2021.PubMed/NCBI View Article : Google Scholar

27 

Vogl T, Tenbrock K, Ludwig S, Leukert N, Ehrhardt C, van Zoelen MA, Nacken W, Foell D, van der Poll T, Sorg C and Roth J: Mrp8 and Mrp14 are endogenous activators of Toll-like receptor 4, promoting lethal, endotoxin-induced shock. Nat Med. 13:1042–1049. 2007.PubMed/NCBI View Article : Google Scholar

28 

Shichita T, Ito M, Morita R, Komai K, Noguchi Y, Ooboshi H, Koshida R, Takahashi S, Kodama T and Yoshimura A: MAFB prevents excess inflammation after ischemic stroke by accelerating clearance of damage signals through MSR1. Nat Med. 23:723–732. 2017.PubMed/NCBI View Article : Google Scholar

29 

Sreejit G, Abdel-Latif A, Athmanathan B, Annabathula R, Dhyani A, Noothi SK, Quaife-Ryan GA, Al-Sharea A, Pernes G, Dragoljevic D, et al: Neutrophil-derived S100A8/A9 amplify granulopoiesis after myocardial infarction. Circulation. 141:1080–1094. 2020.PubMed/NCBI View Article : Google Scholar

30 

Mohr T, Zwick A, Hans MC, Bley IA, Braun FL, Khalmurzaev O, Matveev VB, Loertzer P, Pryalukhin A, Hartmann A, et al: The prominent role of the S100A8/S100A9-CD147 axis in the progression of penile cancer. Front Oncol. 12(891511)2022.PubMed/NCBI View Article : Google Scholar

31 

Li HB, Wang JL, Jin XD, Zhao L, Ye HL, Kuang YB, Ma Y, Jiang XY and Yu ZY: Comprehensive analysis of the transcriptional expressions and prognostic value of S100A family in pancreatic ductal adenocarcinoma. BMC Cancer. 21(1039)2021.PubMed/NCBI View Article : Google Scholar

32 

Lukanidin E and Sleeman JP: Building the niche: The role of the S100 proteins in metastatic growth. Semin Cancer Biol. 22:216–225. 2012.PubMed/NCBI View Article : Google Scholar

33 

Liu Y, Kosaka A, Ikeura M, Kohanbash G, Fellows-Mayle W, Snyder LA and Okada H: Premetastatic soil and prevention of breast cancer brain metastasis. Neuro Oncol. 15:891–903. 2013.PubMed/NCBI View Article : Google Scholar

34 

Gaston-Massuet C, Andoniadou CL, Signore M, Jayakody SA, Charolidi N, Kyeyune R, Vernay B, Jacques TS, Taketo MM, Le Tissier P, et al: Increased Wingless (Wnt) signaling in pituitary progenitor/stem cells gives rise to pituitary tumors in mice and humans. Proc Nati Acad Sci USA. 108:11482–11487. 2011.PubMed/NCBI View Article : Google Scholar

Related Articles

  • Abstract
  • View
  • Download
  • Twitter
Copy and paste a formatted citation
Spandidos Publications style
Zhao C, Hu W, Luo N, Wang X, Lin D and Lin Z: Expression of S100A9 in adamantinomatous craniopharyngioma and its association with wet keratin formation. Exp Ther Med 25: 282, 2023.
APA
Zhao, C., Hu, W., Luo, N., Wang, X., Lin, D., & Lin, Z. (2023). Expression of S100A9 in adamantinomatous craniopharyngioma and its association with wet keratin formation. Experimental and Therapeutic Medicine, 25, 282. https://doi.org/10.3892/etm.2023.11981
MLA
Zhao, C., Hu, W., Luo, N., Wang, X., Lin, D., Lin, Z."Expression of S100A9 in adamantinomatous craniopharyngioma and its association with wet keratin formation". Experimental and Therapeutic Medicine 25.6 (2023): 282.
Chicago
Zhao, C., Hu, W., Luo, N., Wang, X., Lin, D., Lin, Z."Expression of S100A9 in adamantinomatous craniopharyngioma and its association with wet keratin formation". Experimental and Therapeutic Medicine 25, no. 6 (2023): 282. https://doi.org/10.3892/etm.2023.11981
Copy and paste a formatted citation
x
Spandidos Publications style
Zhao C, Hu W, Luo N, Wang X, Lin D and Lin Z: Expression of S100A9 in adamantinomatous craniopharyngioma and its association with wet keratin formation. Exp Ther Med 25: 282, 2023.
APA
Zhao, C., Hu, W., Luo, N., Wang, X., Lin, D., & Lin, Z. (2023). Expression of S100A9 in adamantinomatous craniopharyngioma and its association with wet keratin formation. Experimental and Therapeutic Medicine, 25, 282. https://doi.org/10.3892/etm.2023.11981
MLA
Zhao, C., Hu, W., Luo, N., Wang, X., Lin, D., Lin, Z."Expression of S100A9 in adamantinomatous craniopharyngioma and its association with wet keratin formation". Experimental and Therapeutic Medicine 25.6 (2023): 282.
Chicago
Zhao, C., Hu, W., Luo, N., Wang, X., Lin, D., Lin, Z."Expression of S100A9 in adamantinomatous craniopharyngioma and its association with wet keratin formation". Experimental and Therapeutic Medicine 25, no. 6 (2023): 282. https://doi.org/10.3892/etm.2023.11981
Follow us
  • Twitter
  • LinkedIn
  • Facebook
About
  • Spandidos Publications
  • Careers
  • Cookie Policy
  • Privacy Policy
How can we help?
  • Help
  • Live Chat
  • Contact
  • Email to our Support Team