Spandidos Publications Logo
  • About
    • About Spandidos
    • Aims and Scopes
    • Abstracting and Indexing
    • Editorial Policies
    • Reprints and Permissions
    • Job Opportunities
    • Terms and Conditions
    • Contact
  • Journals
    • All Journals
    • Oncology Letters
      • Oncology Letters
      • Information for Authors
      • Editorial Policies
      • Editorial Board
      • Aims and Scope
      • Abstracting and Indexing
      • Bibliographic Information
      • Archive
    • International Journal of Oncology
      • International Journal of Oncology
      • Information for Authors
      • Editorial Policies
      • Editorial Board
      • Aims and Scope
      • Abstracting and Indexing
      • Bibliographic Information
      • Archive
    • Molecular and Clinical Oncology
      • Molecular and Clinical Oncology
      • Information for Authors
      • Editorial Policies
      • Editorial Board
      • Aims and Scope
      • Abstracting and Indexing
      • Bibliographic Information
      • Archive
    • Experimental and Therapeutic Medicine
      • Experimental and Therapeutic Medicine
      • Information for Authors
      • Editorial Policies
      • Editorial Board
      • Aims and Scope
      • Abstracting and Indexing
      • Bibliographic Information
      • Archive
    • International Journal of Molecular Medicine
      • International Journal of Molecular Medicine
      • Information for Authors
      • Editorial Policies
      • Editorial Board
      • Aims and Scope
      • Abstracting and Indexing
      • Bibliographic Information
      • Archive
    • Biomedical Reports
      • Biomedical Reports
      • Information for Authors
      • Editorial Policies
      • Editorial Board
      • Aims and Scope
      • Abstracting and Indexing
      • Bibliographic Information
      • Archive
    • Oncology Reports
      • Oncology Reports
      • Information for Authors
      • Editorial Policies
      • Editorial Board
      • Aims and Scope
      • Abstracting and Indexing
      • Bibliographic Information
      • Archive
    • Molecular Medicine Reports
      • Molecular Medicine Reports
      • Information for Authors
      • Editorial Policies
      • Editorial Board
      • Aims and Scope
      • Abstracting and Indexing
      • Bibliographic Information
      • Archive
    • World Academy of Sciences Journal
      • World Academy of Sciences Journal
      • Information for Authors
      • Editorial Policies
      • Editorial Board
      • Aims and Scope
      • Abstracting and Indexing
      • Bibliographic Information
      • Archive
    • International Journal of Functional Nutrition
      • International Journal of Functional Nutrition
      • Information for Authors
      • Editorial Policies
      • Editorial Board
      • Aims and Scope
      • Abstracting and Indexing
      • Bibliographic Information
      • Archive
    • International Journal of Epigenetics
      • International Journal of Epigenetics
      • Information for Authors
      • Editorial Policies
      • Editorial Board
      • Aims and Scope
      • Abstracting and Indexing
      • Bibliographic Information
      • Archive
    • Medicine International
      • Medicine International
      • Information for Authors
      • Editorial Policies
      • Editorial Board
      • Aims and Scope
      • Abstracting and Indexing
      • Bibliographic Information
      • Archive
  • Articles
  • Information
    • Information for Authors
    • Information for Reviewers
    • Information for Librarians
    • Information for Advertisers
    • Conferences
  • Language Editing
Spandidos Publications Logo
  • About
    • About Spandidos
    • Aims and Scopes
    • Abstracting and Indexing
    • Editorial Policies
    • Reprints and Permissions
    • Job Opportunities
    • Terms and Conditions
    • Contact
  • Journals
    • All Journals
    • Biomedical Reports
      • Information for Authors
      • Editorial Policies
      • Editorial Board
      • Aims and Scope
      • Abstracting and Indexing
      • Bibliographic Information
      • Archive
    • Experimental and Therapeutic Medicine
      • Information for Authors
      • Editorial Policies
      • Editorial Board
      • Aims and Scope
      • Abstracting and Indexing
      • Bibliographic Information
      • Archive
    • International Journal of Epigenetics
      • Information for Authors
      • Editorial Policies
      • Editorial Board
      • Aims and Scope
      • Abstracting and Indexing
      • Bibliographic Information
      • Archive
    • International Journal of Functional Nutrition
      • Information for Authors
      • Editorial Policies
      • Editorial Board
      • Aims and Scope
      • Abstracting and Indexing
      • Bibliographic Information
      • Archive
    • International Journal of Molecular Medicine
      • Information for Authors
      • Editorial Policies
      • Editorial Board
      • Aims and Scope
      • Abstracting and Indexing
      • Bibliographic Information
      • Archive
    • International Journal of Oncology
      • Information for Authors
      • Editorial Policies
      • Editorial Board
      • Aims and Scope
      • Abstracting and Indexing
      • Bibliographic Information
      • Archive
    • Medicine International
      • Information for Authors
      • Editorial Policies
      • Editorial Board
      • Aims and Scope
      • Abstracting and Indexing
      • Bibliographic Information
      • Archive
    • Molecular and Clinical Oncology
      • Information for Authors
      • Editorial Policies
      • Editorial Board
      • Aims and Scope
      • Abstracting and Indexing
      • Bibliographic Information
      • Archive
    • Molecular Medicine Reports
      • Information for Authors
      • Editorial Policies
      • Editorial Board
      • Aims and Scope
      • Abstracting and Indexing
      • Bibliographic Information
      • Archive
    • Oncology Letters
      • Information for Authors
      • Editorial Policies
      • Editorial Board
      • Aims and Scope
      • Abstracting and Indexing
      • Bibliographic Information
      • Archive
    • Oncology Reports
      • Information for Authors
      • Editorial Policies
      • Editorial Board
      • Aims and Scope
      • Abstracting and Indexing
      • Bibliographic Information
      • Archive
    • World Academy of Sciences Journal
      • Information for Authors
      • Editorial Policies
      • Editorial Board
      • Aims and Scope
      • Abstracting and Indexing
      • Bibliographic Information
      • Archive
  • Articles
  • Information
    • For Authors
    • For Reviewers
    • For Librarians
    • For Advertisers
    • Conferences
  • Language Editing
Login Register Submit
  • This site uses cookies
  • You can change your cookie settings at any time by following the instructions in our Cookie Policy. To find out more, you may read our Privacy Policy.

    I agree
Search articles by DOI, keyword, author or affiliation
Search
Advanced Search
presentation
Experimental and Therapeutic Medicine
Join Editorial Board Propose a Special Issue
Print ISSN: 1792-0981 Online ISSN: 1792-1015
Journal Cover
June-2023 Volume 25 Issue 6

Full Size Image

Sign up for eToc alerts
Recommend to Library

Journals

International Journal of Molecular Medicine

International Journal of Molecular Medicine

International Journal of Molecular Medicine is an international journal devoted to molecular mechanisms of human disease.

International Journal of Oncology

International Journal of Oncology

International Journal of Oncology is an international journal devoted to oncology research and cancer treatment.

Molecular Medicine Reports

Molecular Medicine Reports

Covers molecular medicine topics such as pharmacology, pathology, genetics, neuroscience, infectious diseases, molecular cardiology, and molecular surgery.

Oncology Reports

Oncology Reports

Oncology Reports is an international journal devoted to fundamental and applied research in Oncology.

Experimental and Therapeutic Medicine

Experimental and Therapeutic Medicine

Experimental and Therapeutic Medicine is an international journal devoted to laboratory and clinical medicine.

Oncology Letters

Oncology Letters

Oncology Letters is an international journal devoted to Experimental and Clinical Oncology.

Biomedical Reports

Biomedical Reports

Explores a wide range of biological and medical fields, including pharmacology, genetics, microbiology, neuroscience, and molecular cardiology.

Molecular and Clinical Oncology

Molecular and Clinical Oncology

International journal addressing all aspects of oncology research, from tumorigenesis and oncogenes to chemotherapy and metastasis.

World Academy of Sciences Journal

World Academy of Sciences Journal

Multidisciplinary open-access journal spanning biochemistry, genetics, neuroscience, environmental health, and synthetic biology.

International Journal of Functional Nutrition

International Journal of Functional Nutrition

Open-access journal combining biochemistry, pharmacology, immunology, and genetics to advance health through functional nutrition.

International Journal of Epigenetics

International Journal of Epigenetics

Publishes open-access research on using epigenetics to advance understanding and treatment of human disease.

Medicine International

Medicine International

An International Open Access Journal Devoted to General Medicine.

Journal Cover
June-2023 Volume 25 Issue 6

Full Size Image

Sign up for eToc alerts
Recommend to Library

  • Article
  • Citations
    • Cite This Article
    • Download Citation
    • Create Citation Alert
    • Remove Citation Alert
    • Cited By
  • Similar Articles
    • Related Articles (in Spandidos Publications)
    • Similar Articles (Google Scholar)
    • Similar Articles (PubMed)
  • Download PDF
  • Download XML
  • View XML
Case Report

Malignant behavior of a well‑differentiated digestive neuroendocrine tumor with peritoneal carcinomatosis: A case report

  • Authors:
    • Klara Wyffels
    • Charlotte De Wilde
    • Jacques Van Huysse
    • Vincent De Wilde
  • View Affiliations / Copyright

    Affiliations: Department of Gastroenterology, AZ Sint‑Jan, 8000 Bruges, Belgium, Department of Radiology, AZ Sint‑Jan, 8000 Bruges, Belgium, Department of Anatomopathology, AZ Sint‑Jan, 8000 Bruges, Belgium
  • Article Number: 283
    |
    Published online on: April 26, 2023
       https://doi.org/10.3892/etm.2023.11982
  • Expand metrics +
Metrics: Total Views: 0 (Spandidos Publications: | PMC Statistics: )
Metrics: Total PDF Downloads: 0 (Spandidos Publications: | PMC Statistics: )
Cited By (CrossRef): 0 citations Loading Articles...

This article is mentioned in:



Abstract

Neuroendocrine neoplasms (NENs) are a heterogenous group of tumors, arising from enterochromaffin cells, with different biological and clinical characteristics. Well‑differentiated Grade 1 (G1) small intestinal NENs are often characterized by a slow progression rate and a good prognosis. Peritoneal carcinomatosis of a G1 digestive NEN is not a very common finding, and thus there is little published evidence regarding its progression and management. The complex, multistage interplay between the peritoneum and the metastasizing neuroendocrine cells is not well understood, and a reliable predictive tool to identify these patients earlier in their disease course is lacking. The present study describes the case of a 68‑year‑old woman presenting with an oligosymptomatic, stage IV, small intestinal G1 NEN (pTxpN1pM1) with synchronous liver metastases, multifocal mesenteric tumor deposits and a low Ki67 labeling index (1%). Over a period of 15 months, the patient developed rapidly progressive peritoneal metastatic disease with repetitive self‑limiting obstructive symptoms and eventually succumbed to her illness. The present case report discusses the potential relationship between low‑grade NEN, location of the primary tumor and the metastatic site, and also speculates on the role of the underlying subcellular mechanisms, specific micro‑environment, spreading modalities and therapeutic strategy.

Introduction

NENs are a heterogeneous group of tumors arising from enterochromaffin cells, being multipotent stem cells that migrate from the neural crest to the gut ectoderm (1). The most common primary sites are the gastro-intestinal and respiratory tract. Due to its heterogeneity, these tumors exhibit diverse clinical and biological characteristics (2). Grade, largely based on Ki67 proliferation index, has proven to be a powerful prognostic indicator. Apart from grade, stage, with referral to size, depth of invasion and metastatic status, has a prognostic value as well (2).

Small intestinal neuroendocrine tumors (siNENs) represent the fastest growing cohort of gastroenteropancreatic NENs (3). Well-differentiated siNENs in general behave more indolently but nevertheless tend to metastasize, with preference to the liver (4). The peritoneum is reportedly the third most common site of metastasis after the liver and lymph nodes (5). Peritoneal metastasis, but not hepatic metastasis alone, is associated with shorter disease-specific survival (6). The combination of aggressive behavior and a confirmed very low Ki67 index in siNEN is speculative.

Case report

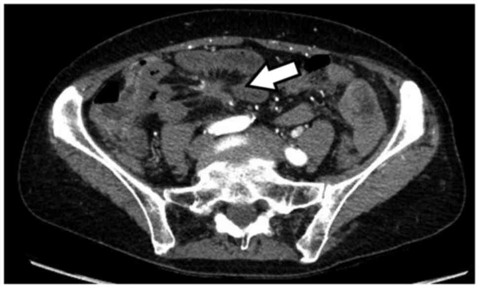
A 68-year-old Caucasian female, with no remarkable medical history, presented herself at AZ Sint-Jan (Bruges, Belgium) in April 2017. She was referred to us because of altered defecation in association with lower abdominal cramps, and significant weight loss despite normal appetite. A CT scan of chest and abdomen revealed multifocal liver metastasis and a characteristic cartwheel at the level of the mesentery, suggestive of neuroendocrine origin (Fig. 1). Patient's basic laboratory values were normal. Serum chromogranin was raised at 39,300 mcg/l. Further imaging with 68Ga-DOTATATE PET-CT identified the mesenteric cartwheel lesion lacking SSTR expression, a focus with increased somatostatin receptor expression in the middle section of the ileum, diffuse liver metastasis and lymph nodes in the right inguinal region with high SSTR expression. No other lesions suspected for a primary tumor site outside the ileum were detected. On endoscopic ultrasound, no primary pancreatic lesion was identified. A core biopsy of one of the liver lesions confirmed the neuroendocrine origin with a Ki67 index of less than 3%. Because of sub-obstructive symptoms, the patient was sent for surgery. On histomorphological and immunohistochemical analysis of the oncologically resected ileal segment a G1 NEN with Ki67 index 1%, without clear mitosis, and with pronounced perineural and vascular invasion was diagnosed. The investigated lesions were found within the ileal mesenteric fat (Fig. 2) and not in the wall of the provided transverse ileal sections. Two out of 5 lymph nodes were positive for metastatic involvement, with capsular invasion in one of them. The multidisciplinary oncology board confirmed the diagnosis of siNEN and a treatment with lanreotide was initiated at 90 mg on a monthly basis. During the following year, the patient started losing weight and periodically had mild symptoms of intestinal obstruction with a spontaneous resolution after a mean of 3 days. Chromogranin remained globally unchanged. One year later, the patient presented to the emergency department with bowel obstruction. A CT scan revealed disease progression with de novo peritoneal implants, ascites, an increased number of liver lesions, with central necrosis in some of them. Serum chromogranin raised from 7,320 mcg/l (value after segmental ileal resection) to 22,600 mcg/l. Symptoms resolved on supportive therapy. A 68Ga DOTATATE PET-CT was repeated, revealing clinically evident small bowel sub-obstruction as well as omental carcinomatosis, an implant in the right iliac fossa as a new finding, and progression of the liver metastases. A 18FDG PET-CT was planned and an exploratory laparoscopy was performed. The histomorphological examination of one of the peritoneal tumor nodules revealed lympho-vascular invasion and a Ki67 index of 2% (Fig. 3). Consequently, the dose of the octreotide analogue was augmented to 240 mg monthly. Peptide receptor radionuclide therapy (PRRT) and everolimus were not considered a valid therapeutic option after multidisciplinary consultation. 18FDG PET-CT did show a hazy infiltration of the mesentery, but no avidity in the liver lesions, and no pulmonary or osseous lesions. Three months later the patient presented once again to the emergency department with malaise, nausea, vomiting, and abdominal tenderness. Blood analysis showed an acute renal insufficiency and significantly raised inflammatory parameters (CRP 441 mg/l). On urgent CT scan an intestinal perforation was obvious. The patient underwent an emergency laparotomy which uncovered an inoperable state of bowel obstruction with necrotic small bowel segments and diffuse tumor invasion. Shortly after the intervention she developed sepsis. In agreement with the family as well as the medical team, life support was withdrawn, and the patient passed some hours later.

Figure 1

CT scan. Cartwheel lesion at the level of the mesentery (arrow).

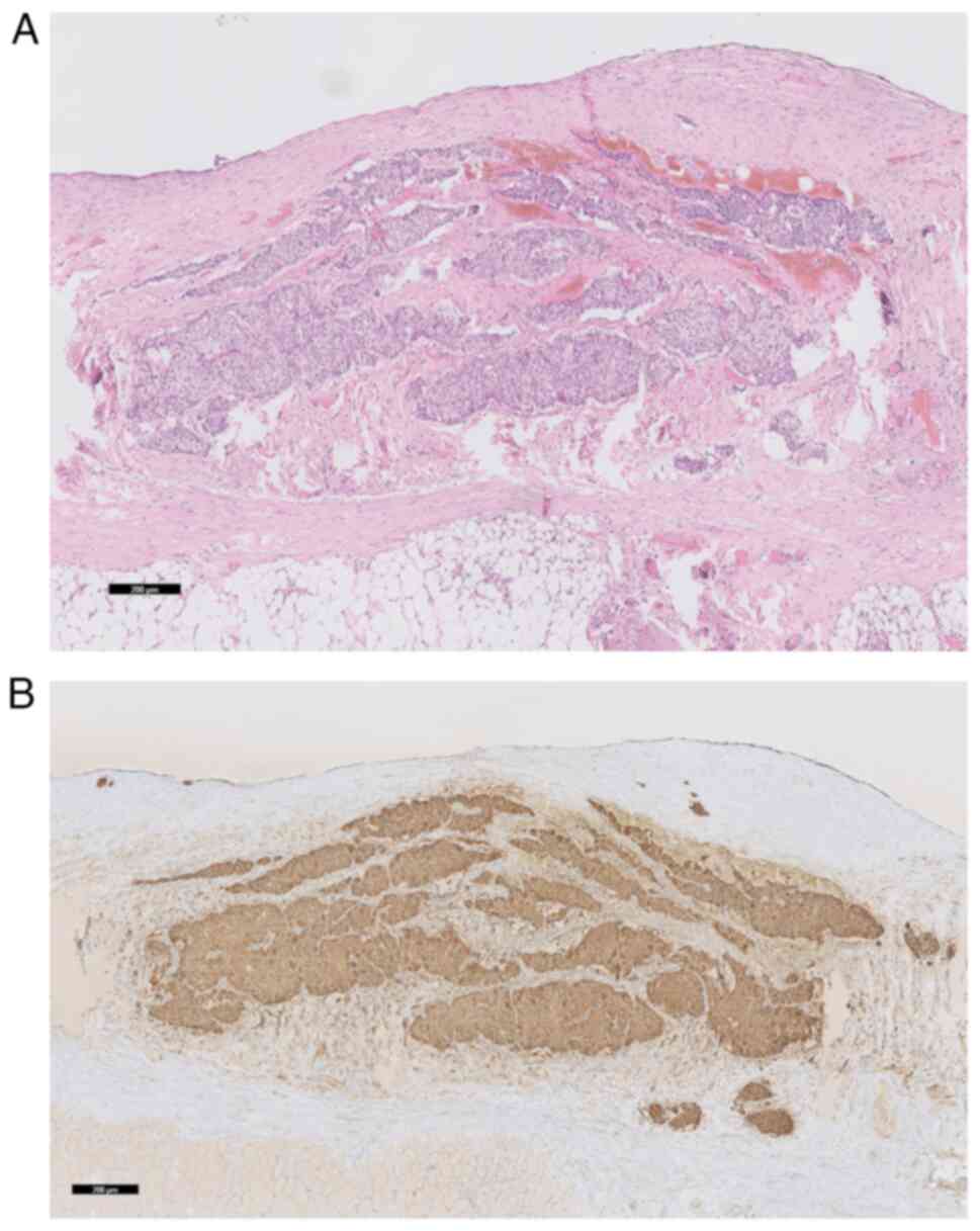
Figure 2

(A) Histopathology: Hematoxylin and eosin-stained section. Small intestinal mesenterium: multiple tumoral foci infiltrating the stroma. (B) Chromogranin staining.

Figure 3

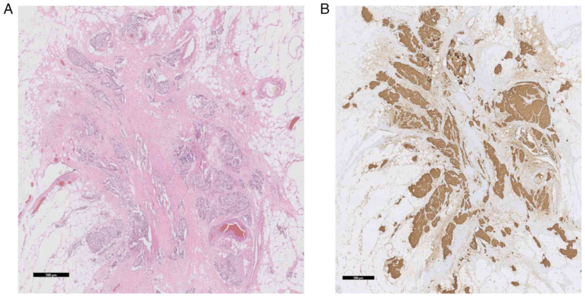
(A) Histopathology: Hematoxylin and eosin-stained section. Peritoneal surface with submesothelial tumor infiltration. (B) Chromogranin staining.

Discussion

What stands out in the presented case is the rapid disease progression and the development of peritoneal metastases despite what appeared to be a histologically grade 1 siNEN, and which to our knowledge has been reported only twice (1,7).

In accordance with the latest 2019 WHO classification of tumors of the digestive system, neuroendocrine tumors are divided into NEN and neuroendocrine carcinoma, based on their molecular differences. Mutations in MEN1, DAXX, and ATRX are entity-defining for well-differentiated NENs, whereas NECs usually have TP53 or RB1 mutations (8). Whole-exome sequencing on siNENs has shown quite low mutation rates, and it is felt that epigenetic processes might be more important in tumor propagation and metastasis, accounting for the more indolent behavior (9).

The diagnosis of siNEN remains a difficult task due to the lack of overt symptoms (10). As a result the vast majority of patients have metastatic disease at the time of diagnosis. Site of metastasis seems to play an important role in survival of metastatic NEN patients, independent of commonly described prognostic factors (9). Peritoneal metastasis, but not hepatic metastasis alone, is associated with shorter disease-specific survival (6). The presence of peritoneal metastasis has always been thought to be a rare finding in digestive NENs. More recently, this rate has been estimated close to 14% (11).

In case of peritoneal metastasis, malignant cells originating from primary abdominal organs usually spread through a transcoelomic mechanism, responsible for the preferred areas for metastases such as the omentum, paracolic gutters and the right diaphragm (12). In case of NEN, dissemination usually occurs through lymphatic spread, revolving around the ligaments and mesentery (12). The complex, multistage process involves multilevel reactions among molecular and cellular components of the primary tumor site as well as the peritoneum, depending on the combination of specific intrinsic characteristics of the tumor cells and a specific receptive environment of the peritoneum, the so-called pre-metastatic niche (13).

The peritoneum, being of mesodermal origin, exhibits both mesenchymal and epithelial characteristics, and is composed of distinctive layers: the glycocalyx, mesothelial cells, the basal lamina, the submesothelial stroma, and the elastic lamina (13). In order to metastasize tumor cells need to acquire a mobile and invasive phenotype, and therefore undergo epithelial-to-mesenchymal transition. One of the changes involved in this process is the cadherin switch, promoting the detachment of cells from the primary tumor, as well as the subsequent invasion and angiogenesis (13). Another, most critical step, is the attachment to the submesothelial stroma, being a rich source of all the necessary factors required for proliferation, and protected by the mesothelial barrier (13). In case of neuro-endocrine tumors, the stroma may be reached by invasion of physiological intercellular spaces between mesothelial cells, the lymphatic stomata. Stomata are small gaps between mesothelial cells with a direct connection with the lymphatic system (13). The subsequent interactive intertalk between metastatic cells, stromal cells, like cancer-associated fibroblasts, and the specific microenvironment, is until nowadays disappointingly poorly understood.

The fact that the metastatic lesions in our patient did not show a convincing grade shift, in contrast to the evolution to high aggressiveness, is an argument in the direction of epigenetic changes and transcriptome dysregulation, not affecting the Ki67 index. Besides, although Ki67 expression is tightly correlated with proliferation, the possibility has been raised that the contribution may be cell type specific and correlated with distinct stages of the cell cycle (14). Re-expression of stem-cell markers as part of the ‘homing’ of the recipient stroma may be a decisive contributor as well (15).

Furthermore, the presented case was initially diagnosed with mesenteric tumor deposits (MTDs), of which multifocality and not the mere presence, is carrying a stronger negative prognostic impact than true lymph node metastasis (11). It seems probable that venous invasion is the initial step for development of MTDs. The access of tumor cells in MTDs to the enterohepatic venous system further explains why they are a strong predictor for liver metastases in patients with midgut NEN (11). To our knowledge no information on a grade shift if any in MDTs, based on Ki67 labeling, is available in the literature.

Thus, a twofold metastatic mechanism, interrelated or not, and both raising several unanswered questions, may have played part in the fast fatal course of the disease in the presented patient.

The therapeutic approach of peritoneal carcinomatosis is challenging, mainly due to lack of broad knowledge of biological mechanisms and predictive factors, taking the neoplastic environment as a whole. Translated to the presented case, no benefit had to be expected from the traditional approach, whatsoever (16).

The ultimate disposition of epigenetic drugs, and of an availability-expanded arsenal of tumor-homing peptides and optimized nanocarriers most probably will allow multipronged and personally adjusted approaches to peritoneal carcinomatosis drug delivery, and thus result in a better prognosis (17).

As the importance of an accurate tumor classification lies in its prognostic implications, the present case also obviously illustrates the need of implementing indices different from Ki67, and correlated to the subcellular and molecular level.

In conclusion, the development of peritoneal carcinomatosis in NENs had initially been thought of as a rare finding. The literature, however, alludes to the fact that it is not quite as rare as previously believed, except in well-differentiated G1 NENs. A more powerful predictive system is needed to identify those patients at increased risk of developing rapidly progressive metastatic disease. A complete understanding of the interactions between the peritoneum and metastatic neuro-endocrine cells at subcellular and molecular level should lead to new treatment strategies for peritoneal carcinomatosis.

Acknowledgements

Not applicable.

Funding

Funding: No funding was received.

Availability of data and materials

The datasets used and/or analyzed during the current study are available from the corresponding author on reasonable request.

Authors' contributions

All authors contributed to the article. VDW and KW designed the study. JVH was responsible for data collection and analysis with a focus on histopathology. CDW was responsible for data collection and analysis, with a focus on radiologic imaging. VDW and KW were responsible for data collection, analyzed the literature, and drafted, edited and reviewed the manuscript. VDW and KW confirm the authenticity of all the raw data. All authors read and approved the final manuscript.

Ethics approval and consent to participate

Not applicable.

Patient consent for publication

Written informed consent for publication of the data and accompanying images was given by the patient's husband.

Competing interests

The authors declare that they have no competing interests.

References

1 

Antoniadou F, Korkolis D, Koufopoulos N, Manatakis D and Sakellariou S: A well differentiated neuroendocrine tumor of the jejunum with peritoneal carcinomatosis: A case report. Mol Clin Oncol. 9:651–655. 2018.PubMed/NCBI View Article : Google Scholar

2 

Kim JY, Hong SM and Ro JY: Recent updates on grading and classification of neuroendocrine tumors. Ann Diagn Pathol. 29:11–16. 2017.PubMed/NCBI View Article : Google Scholar

3 

Dasari A, Shen C, Halperin D, Zhao B, Zhou S, Xu Y, Shih T and Yao JC: Trends in the incidence, prevalence, and survival outcomes in patients with neuroendocrine tumors in the United States. JAMA Oncol. 3:1335–1342. 2017.PubMed/NCBI View Article : Google Scholar

4 

Yamaguchi T, Fujimori T, Tomita S, Ichikawa K, Mitomi H, Ohno K, Shida Y and Kato H: Clinical validation of the gastrointestinal NET grading system: Ki67 index criteria of the WHO 2010 classification is appropriate to predict metastasis or recurrence. Diagn Pathol. 8(65)2013.PubMed/NCBI View Article : Google Scholar

5 

Norlen O, Edfeldt K, Akerstrom G, Westin G, Hellman P, Bjorklund P and Stalberg P: Peritoneal carcinomatosis from small intestinal neuroendocrine tumors: Clinical course and genetic profiling. Surgery. 156:1512–1521. 2014.PubMed/NCBI View Article : Google Scholar

6 

Wright MF, Cates J, Gonzales RS, Das S, Berlin JD and Shi C: Impact of peritoneal metastasis on survival of patients with small intestinal neuroendocrine tumor. Am J Surg Pathol. 43:559–563. 2019.PubMed/NCBI View Article : Google Scholar

7 

Celotti A, Pulcini G, Schieppati M, Ministrini S, Berruti A and Ronconi M: An unusual case of a well-differentiated neuroendocrine tumour of the ileum with peritoneal carcinomatosis: A case report. World J Surg Oncol. 13(169)2015.PubMed/NCBI View Article : Google Scholar

8 

Nagtegaal ID, Odze RD, Klimstra D, Paradis V, Rugge M, Schirmacher P, Washington KM, Carneiro F and Cree IA: WHO Classification of Tumours Editorial Board. The 2019 WHO classification of tumours of the digestive system. Histopathology. 76:182–188. 2020.PubMed/NCBI View Article : Google Scholar

9 

Trikalinos NA, Tan BR, Amin M, Liu J, Govindan R and Morgensztern D: Effect of metastatic site on survival in patients with neuroendocrine neoplasm (NENs). An analysis of SEER data from 2010 to 2014. BMC Endocr Disord. 20(44)2020.PubMed/NCBI View Article : Google Scholar

10 

Strosberg JR, Weber JM, Feldman M, Coppola D, Meredith K and Kvols LK: . Prognostic validity of the American joint committee on cancer staging classification for midgut neuroendocrine tumors. J Clin Oncol. 31:420–425. 2013.PubMed/NCBI View Article : Google Scholar

11 

Das S, Shi C, Koyama T, Huang Y, Gonzalez R, Idrees K, Bailey CE and Berlin J: Peritoneal carcinomatosis in well-differentiated small-intestinal neuroendocrine tumors with mesenteric tumor deposits. J Med Surg Pathol. 4:1–10. 2019.PubMed/NCBI

12 

Desai JP and Moustarah F: Peritoneal metastasis. In: StatPearls (Internet). StatPearls Publishing, Treasure Island, FL, 2022. Available from: https://www.ncbi.nlm.nih.gov/books/NBK541114/.

13 

van Baal JOAM, van Noorden CJF, Nieuwland R, Van de Vijver KK, Sturk A, van Driel WJ, Kenter GG and Lok CAR: Development of peritoneal carcinomatosis in epithelial ovarian cancer: A review. J Histochem Cytochem. 66:67–83. 2018.PubMed/NCBI View Article : Google Scholar

14 

Sun X and Kaufman PD: Ki-67: More than a proliferation marker. Chromosoma. 127:175–186. 2018.PubMed/NCBI View Article : Google Scholar

15 

Di Domenico A, Wiedmer T, Marinoni I and Perren A: Genetic and epigenetic drives of neuroendocrine tumours (NET). Endocr Relat Cancer. 24:R315–R334. 2017.PubMed/NCBI View Article : Google Scholar

16 

Berardi R, Morgese F, Torniai M, Savini A, Partelli S, Rinaldi S, Caramanti M, Ferrini C, Falconi M and Cascinu S: Medical treatment for gastro-entero-pancreatic neuroendocrine tumours. World J Gastrointest Oncol. 8:389–401. 2016.PubMed/NCBI View Article : Google Scholar

17 

Simon-Gracia L, Hunt H and Teesalu T: Peritoneal carcinomatosis targeting with tumor homing peptides. Molecules. 23(1190)2018.PubMed/NCBI View Article : Google Scholar

Related Articles

  • Abstract
  • View
  • Download
  • Twitter
Copy and paste a formatted citation
Spandidos Publications style
Wyffels K, De Wilde C, Van Huysse J and De Wilde V: Malignant behavior of a well‑differentiated digestive neuroendocrine tumor with peritoneal carcinomatosis: A case report. Exp Ther Med 25: 283, 2023.
APA
Wyffels, K., De Wilde, C., Van Huysse, J., & De Wilde, V. (2023). Malignant behavior of a well‑differentiated digestive neuroendocrine tumor with peritoneal carcinomatosis: A case report. Experimental and Therapeutic Medicine, 25, 283. https://doi.org/10.3892/etm.2023.11982
MLA
Wyffels, K., De Wilde, C., Van Huysse, J., De Wilde, V."Malignant behavior of a well‑differentiated digestive neuroendocrine tumor with peritoneal carcinomatosis: A case report". Experimental and Therapeutic Medicine 25.6 (2023): 283.
Chicago
Wyffels, K., De Wilde, C., Van Huysse, J., De Wilde, V."Malignant behavior of a well‑differentiated digestive neuroendocrine tumor with peritoneal carcinomatosis: A case report". Experimental and Therapeutic Medicine 25, no. 6 (2023): 283. https://doi.org/10.3892/etm.2023.11982
Copy and paste a formatted citation
x
Spandidos Publications style
Wyffels K, De Wilde C, Van Huysse J and De Wilde V: Malignant behavior of a well‑differentiated digestive neuroendocrine tumor with peritoneal carcinomatosis: A case report. Exp Ther Med 25: 283, 2023.
APA
Wyffels, K., De Wilde, C., Van Huysse, J., & De Wilde, V. (2023). Malignant behavior of a well‑differentiated digestive neuroendocrine tumor with peritoneal carcinomatosis: A case report. Experimental and Therapeutic Medicine, 25, 283. https://doi.org/10.3892/etm.2023.11982
MLA
Wyffels, K., De Wilde, C., Van Huysse, J., De Wilde, V."Malignant behavior of a well‑differentiated digestive neuroendocrine tumor with peritoneal carcinomatosis: A case report". Experimental and Therapeutic Medicine 25.6 (2023): 283.
Chicago
Wyffels, K., De Wilde, C., Van Huysse, J., De Wilde, V."Malignant behavior of a well‑differentiated digestive neuroendocrine tumor with peritoneal carcinomatosis: A case report". Experimental and Therapeutic Medicine 25, no. 6 (2023): 283. https://doi.org/10.3892/etm.2023.11982
Follow us
  • Twitter
  • LinkedIn
  • Facebook
About
  • Spandidos Publications
  • Careers
  • Cookie Policy
  • Privacy Policy
How can we help?
  • Help
  • Live Chat
  • Contact
  • Email to our Support Team