Spandidos Publications Logo
  • About
    • About Spandidos
    • Aims and Scopes
    • Abstracting and Indexing
    • Editorial Policies
    • Reprints and Permissions
    • Job Opportunities
    • Terms and Conditions
    • Contact
  • Journals
    • All Journals
    • Oncology Letters
      • Oncology Letters
      • Information for Authors
      • Editorial Policies
      • Editorial Board
      • Aims and Scope
      • Abstracting and Indexing
      • Bibliographic Information
      • Archive
    • International Journal of Oncology
      • International Journal of Oncology
      • Information for Authors
      • Editorial Policies
      • Editorial Board
      • Aims and Scope
      • Abstracting and Indexing
      • Bibliographic Information
      • Archive
    • Molecular and Clinical Oncology
      • Molecular and Clinical Oncology
      • Information for Authors
      • Editorial Policies
      • Editorial Board
      • Aims and Scope
      • Abstracting and Indexing
      • Bibliographic Information
      • Archive
    • Experimental and Therapeutic Medicine
      • Experimental and Therapeutic Medicine
      • Information for Authors
      • Editorial Policies
      • Editorial Board
      • Aims and Scope
      • Abstracting and Indexing
      • Bibliographic Information
      • Archive
    • International Journal of Molecular Medicine
      • International Journal of Molecular Medicine
      • Information for Authors
      • Editorial Policies
      • Editorial Board
      • Aims and Scope
      • Abstracting and Indexing
      • Bibliographic Information
      • Archive
    • Biomedical Reports
      • Biomedical Reports
      • Information for Authors
      • Editorial Policies
      • Editorial Board
      • Aims and Scope
      • Abstracting and Indexing
      • Bibliographic Information
      • Archive
    • Oncology Reports
      • Oncology Reports
      • Information for Authors
      • Editorial Policies
      • Editorial Board
      • Aims and Scope
      • Abstracting and Indexing
      • Bibliographic Information
      • Archive
    • Molecular Medicine Reports
      • Molecular Medicine Reports
      • Information for Authors
      • Editorial Policies
      • Editorial Board
      • Aims and Scope
      • Abstracting and Indexing
      • Bibliographic Information
      • Archive
    • World Academy of Sciences Journal
      • World Academy of Sciences Journal
      • Information for Authors
      • Editorial Policies
      • Editorial Board
      • Aims and Scope
      • Abstracting and Indexing
      • Bibliographic Information
      • Archive
    • International Journal of Functional Nutrition
      • International Journal of Functional Nutrition
      • Information for Authors
      • Editorial Policies
      • Editorial Board
      • Aims and Scope
      • Abstracting and Indexing
      • Bibliographic Information
      • Archive
    • International Journal of Epigenetics
      • International Journal of Epigenetics
      • Information for Authors
      • Editorial Policies
      • Editorial Board
      • Aims and Scope
      • Abstracting and Indexing
      • Bibliographic Information
      • Archive
    • Medicine International
      • Medicine International
      • Information for Authors
      • Editorial Policies
      • Editorial Board
      • Aims and Scope
      • Abstracting and Indexing
      • Bibliographic Information
      • Archive
  • Articles
  • Information
    • Information for Authors
    • Information for Reviewers
    • Information for Librarians
    • Information for Advertisers
    • Conferences
  • Language Editing
Spandidos Publications Logo
  • About
    • About Spandidos
    • Aims and Scopes
    • Abstracting and Indexing
    • Editorial Policies
    • Reprints and Permissions
    • Job Opportunities
    • Terms and Conditions
    • Contact
  • Journals
    • All Journals
    • Biomedical Reports
      • Information for Authors
      • Editorial Policies
      • Editorial Board
      • Aims and Scope
      • Abstracting and Indexing
      • Bibliographic Information
      • Archive
    • Experimental and Therapeutic Medicine
      • Information for Authors
      • Editorial Policies
      • Editorial Board
      • Aims and Scope
      • Abstracting and Indexing
      • Bibliographic Information
      • Archive
    • International Journal of Epigenetics
      • Information for Authors
      • Editorial Policies
      • Editorial Board
      • Aims and Scope
      • Abstracting and Indexing
      • Bibliographic Information
      • Archive
    • International Journal of Functional Nutrition
      • Information for Authors
      • Editorial Policies
      • Editorial Board
      • Aims and Scope
      • Abstracting and Indexing
      • Bibliographic Information
      • Archive
    • International Journal of Molecular Medicine
      • Information for Authors
      • Editorial Policies
      • Editorial Board
      • Aims and Scope
      • Abstracting and Indexing
      • Bibliographic Information
      • Archive
    • International Journal of Oncology
      • Information for Authors
      • Editorial Policies
      • Editorial Board
      • Aims and Scope
      • Abstracting and Indexing
      • Bibliographic Information
      • Archive
    • Medicine International
      • Information for Authors
      • Editorial Policies
      • Editorial Board
      • Aims and Scope
      • Abstracting and Indexing
      • Bibliographic Information
      • Archive
    • Molecular and Clinical Oncology
      • Information for Authors
      • Editorial Policies
      • Editorial Board
      • Aims and Scope
      • Abstracting and Indexing
      • Bibliographic Information
      • Archive
    • Molecular Medicine Reports
      • Information for Authors
      • Editorial Policies
      • Editorial Board
      • Aims and Scope
      • Abstracting and Indexing
      • Bibliographic Information
      • Archive
    • Oncology Letters
      • Information for Authors
      • Editorial Policies
      • Editorial Board
      • Aims and Scope
      • Abstracting and Indexing
      • Bibliographic Information
      • Archive
    • Oncology Reports
      • Information for Authors
      • Editorial Policies
      • Editorial Board
      • Aims and Scope
      • Abstracting and Indexing
      • Bibliographic Information
      • Archive
    • World Academy of Sciences Journal
      • Information for Authors
      • Editorial Policies
      • Editorial Board
      • Aims and Scope
      • Abstracting and Indexing
      • Bibliographic Information
      • Archive
  • Articles
  • Information
    • For Authors
    • For Reviewers
    • For Librarians
    • For Advertisers
    • Conferences
  • Language Editing
Login Register Submit
  • This site uses cookies
  • You can change your cookie settings at any time by following the instructions in our Cookie Policy. To find out more, you may read our Privacy Policy.

    I agree
Search articles by DOI, keyword, author or affiliation
Search
Advanced Search
presentation
Experimental and Therapeutic Medicine
Join Editorial Board Propose a Special Issue
Print ISSN: 1792-0981 Online ISSN: 1792-1015
Journal Cover
October-2023 Volume 26 Issue 4

Full Size Image

Sign up for eToc alerts
Recommend to Library

Journals

International Journal of Molecular Medicine

International Journal of Molecular Medicine

International Journal of Molecular Medicine is an international journal devoted to molecular mechanisms of human disease.

International Journal of Oncology

International Journal of Oncology

International Journal of Oncology is an international journal devoted to oncology research and cancer treatment.

Molecular Medicine Reports

Molecular Medicine Reports

Covers molecular medicine topics such as pharmacology, pathology, genetics, neuroscience, infectious diseases, molecular cardiology, and molecular surgery.

Oncology Reports

Oncology Reports

Oncology Reports is an international journal devoted to fundamental and applied research in Oncology.

Experimental and Therapeutic Medicine

Experimental and Therapeutic Medicine

Experimental and Therapeutic Medicine is an international journal devoted to laboratory and clinical medicine.

Oncology Letters

Oncology Letters

Oncology Letters is an international journal devoted to Experimental and Clinical Oncology.

Biomedical Reports

Biomedical Reports

Explores a wide range of biological and medical fields, including pharmacology, genetics, microbiology, neuroscience, and molecular cardiology.

Molecular and Clinical Oncology

Molecular and Clinical Oncology

International journal addressing all aspects of oncology research, from tumorigenesis and oncogenes to chemotherapy and metastasis.

World Academy of Sciences Journal

World Academy of Sciences Journal

Multidisciplinary open-access journal spanning biochemistry, genetics, neuroscience, environmental health, and synthetic biology.

International Journal of Functional Nutrition

International Journal of Functional Nutrition

Open-access journal combining biochemistry, pharmacology, immunology, and genetics to advance health through functional nutrition.

International Journal of Epigenetics

International Journal of Epigenetics

Publishes open-access research on using epigenetics to advance understanding and treatment of human disease.

Medicine International

Medicine International

An International Open Access Journal Devoted to General Medicine.

Journal Cover
October-2023 Volume 26 Issue 4

Full Size Image

Sign up for eToc alerts
Recommend to Library

  • Article
  • Citations
    • Cite This Article
    • Download Citation
    • Create Citation Alert
    • Remove Citation Alert
    • Cited By
  • Similar Articles
    • Related Articles (in Spandidos Publications)
    • Similar Articles (Google Scholar)
    • Similar Articles (PubMed)
  • Download PDF
  • Download XML
  • View XML
Article Open Access

Anti‑BCMA CAR‑T cell immunotherapy for relapsed or refractory multiple myeloma

  • Authors:
    • Xiaohui Zhang
    • Chenxi Ouyang
    • Guofeng Sun
    • Hongfeng Liu
    • Junyuan Qi
    • Xiaohui Suo
  • View Affiliations / Copyright

    Affiliations: Department of Hematology, Handan Central Hospital, Handan, Hebei 056001, P.R. China, Department of Vascular Surgery, Fuwai Hospital, National Center for Cardiovascular Disease, Chinese Academy of Medical Sciences, Beijing 100037, P.R. China, Department of Hematology, Handan Central Hospital, Handan, Hebei 056001, P.R. China, Good Clinic Practice, Institute of Hematology and Blood Diseases Hospital, Chinese Academy of Medical Sciences, Tianjin 300020, P.R. China
    Copyright: © Zhang et al. This is an open access article distributed under the terms of Creative Commons Attribution License.
  • Article Number: 471
    |
    Published online on: August 17, 2023
       https://doi.org/10.3892/etm.2023.12170
  • Expand metrics +
Metrics: Total Views: 0 (Spandidos Publications: | PMC Statistics: )
Metrics: Total PDF Downloads: 0 (Spandidos Publications: | PMC Statistics: )
Cited By (CrossRef): 0 citations Loading Articles...

This article is mentioned in:



Abstract

The present study aimed to study the efficacy and adverse effects of anti‑B‑cell maturation antigen (BCMA) chimeric antigen receptor T (CAR‑T) cell therapy in relapsed or refractory multiple myeloma. Patients were divided into three dose groups based on cell therapy concentration. After CAR‑T cell therapy for 10 patients with recurrent or refractory multiple myeloma, the patients were monitored and evaluated regularly to observe the efficacy and adverse reactions of CAR‑T cell therapy. At a median follow‑up of 337 (253‑504) days, one patient succumbed 24 days due to rapidly progressing disease. The overall response rate of nine patients was 88.9%, including 77.8% (7/9) with minimal residual disease negative complete remission (CR) and 11.1% (1/9) with partial remission. A total of three patients were maintained in remission state for more than a year and eight were maintained for more than six months. Among the three patients with extramedullary invasion, two extramedullary lesions disappeared and one was stable. The highest copy number of CAR‑T cells in seven patients with CR was >1x105 copies/µl gDNA, and the best therapeutic effect can be achieved within 30 (7‑30) days after the copy number of CAR‑T cells reached 1x105 copies/µl genomic DNA. The median onset time in the nine patients was 43 (22‑169) days, and the median progression‑free survival was 337 (253‑504). Among the 10 patients, nine (90%) had cytokine release syndrome, all of which were below grade II. There were nine (90%) patients with hematological adverse reactions, six (60%) patients with severe anemia, five (50%) patients with grade III and above leukopenia, five (50%) patients with granulocytopenia, four (40%) patients with grade III and above thrombocytopenia, and three (30%) patients with grade III and above pancytopenia. It was concluded that anti‑BCMA CAR‑T cell therapy is a promising treatment method for relapsed or refractory multiple myeloma and extramedullary invasion, with stable efficacy and controllable adverse effects.

Introduction

Multiple myeloma (MM) is a malignant neoplasm of the blood system caused by the malignant proliferation of plasma cells (PC) within the bone marrow. Its clinical symptoms are associated with end-organ damage, with an annual incidence of 2.1 per 100,000 population (1). With the passage of time and the continuous emergence of new drugs such as immunomodulatory agents, proteasome inhibitors and monoclonal antibodies, the survival rate of patients has been greatly improved (2), and the highest 5-year total survival rate can reach 60% (3). However, despite the rapid development in the treatment of MM, it remains an incurable type of tumor to which almost all patients will eventually succumb. With each relapse, malignant plasma cells undergo clonal evolution, acquire new mutations, and lead to a rapid deterioration of the disease and drug resistance (4).

The emergence of chimeric antigen receptor T (CAR-T) cell immunotherapy has created a new era in tumor treatment, especially for malignant tumors of the hematopoietic system, which has greatly improved the remission rate. Its high remission rate has stimulated the desire of medical scholars to explore for relapsed and refractory acute lymphoblastic leukemia, chronic lymphocytic leukemia and B-cell non-Hodgkin lymphoma (5-7).

B-cell maturation antigen (BCMA) is a cell surface receptor primarily expressed by PC and belongs to the tumor necrosis factor receptor superfamily. Its function is to maintain the intracellular homeostasis of long-lived PC. BCMA is almost exclusively expressed on the surface of plasma blasts and PCs, but not expressed on memory B cells, naïve B cells, CD34+ hematopoietic stem cells and other normal histiocytes. The expression of mRNA and protein on malignant cells is higher than that on normal PC (8,9), making it a potential therapeutic target for MM. CAR-T cells have strong inhibitory activity against MM cell lines in vitro, and anti-CAR-T cell therapy in MM mouse model can rapidly and continuously eliminate tumor cells, resulting in 100% survival of mice (10). Numerous domestic clinical trials have also confirmed the effectiveness of anti-CAR-T cell therapy for MM (11). Based on these findings, the present study launched a new clinical protocol for anti-CAR-T cell immunotherapy against relapsed or refractory multiple myeloma (RRMM).

Materials and methods

Patients

Between June 2020 and November 2021, 10 patients with RRMM who successfully received CAR-T cell transfusion therapy in the Department of Hematology of Handan Central Hospital were included in the present study. Inclusion criteria included: i) Patients aged between 18-69 years; ii) patients who met the RRMM diagnostic criteria established by the International Myeloma Working Group (IMWG) (12); iii) patients without current infection; iv) patients without major organ failure; and, v) patients with no history of bone marrow transplantation within 100 days before enrollment. All patients had a definite previous diagnosis of MM and had undergone at least two treatments, including proteasome inhibitors and immunomodulators, or both. Patients included in this study were those who relapsed after remission, or did not reached remission and were resistant to at least one drug. The assessable abnormal indicators are as follows: Serum monoclonal M protein ≥5g/l or urine light chain ≥200 mg/24 h, or the increase of the affected serum-free light chain >100 mg/l, or >25% of bone marrow plasma cells, or the emergence of new extramedullary lesions. This study was approved by the Ethics Committee of Handan Central Hospital [ethics no. (2020), ethics review no. 007] and informed consent was obtained from all patients.

Research route

Humanized anti-BCMA CAR-T cells were genetically modified by autologous T lymphocytes expressing the anti-human single-chain antibody 4C8A against BCMA in the extracellular region and the intracellular domain attached to the single-stranded antibody is composed of a sequentially linked 41BB: CD3ζ signaling domain. Plasmids, lentiviral vectors and clinical-grade CAR-T cells of CAR-BCMA single-chain antibody were prepared by Shandong Kaiti Biological Products Co., Ltd. All patients received standard lymphodepleting chemotherapy regimen with fludarabine 25/mg/(m2/d) and cyclophosphamide 300 mg/(m2/d) for 3 days starting on day -6, followed by infusion of CAR-T cells on day 0. Patients were grouped according to the concentration of CAR-T cell infusion: Two cases in the 0.5x106/kg group, three cases in the 2.0x106/kg group, and five cases in the 4.0x106/kg group. Non-steroidal anti-inflammatory drugs (NSAIDs), diphenhydramine and promethazine were given 1 h before transfusion to prevent allergic reactions. Indicator monitoring and condition assessment were performed before treatment, weekly for the first three weeks after treatment, one month, two months, and every three months thereafter, with follow-up for up to two years. The indexes tested included: Routine blood test, biochemical tests, cytokine level, copy number of CAR-T cells, coagulation function, proportion of bone marrow plasma cells, the quantification of immunoprotein in serum and urine, serum and urine immunofixation electrophoresis, quantification of free light chain in serum and urine and minimal residual disease (MRD).

Detection of DNA copy numbers by reverse transcription-quantitative (RT-q)PCR

hBCMA scFv-4-1BB-CD3 CAR (Shandong Kaiti Biological Products Co., Ltd.) copy numbers were assessed through RT-qPCR analysis to evaluate BCMA CAR-T cell expansion and persistence. Genomic DNA was extracted with Omega DNA Blood Mini Kit (Omega Bio-Tek, Inc.) from 250 µl fresh peripheral blood samples following CAR-T cell infusion. PCR was performed using the SYBR Green PremixPro TaqHS qPCR Kit (cat. no. AG11701; Eric Biotechnology Co. Ltd.) following the instructions of the manufacturer. PCR was performed by heating at 95˚C for 10 min, followed by 40 cycles of 95˚C for 10 sec, 60˚C for 20 sec, and 72˚C for 15 sec, with a final step for 10 min at 72˚C. β-actin was used as an internal control. Relative gene expression was analyzed by the 2-ΔΔCq method (13) and normalized to β-actin level. The primer sequences are shown in Table I. Reactions were run on Roche LightCycler 96 RT-PCR system (Roche Diagnostics). The experiments were repeated three times.

Table I

Primer sequences.

Table I

Primer sequences.

GenePrimers (5'-3')Size, bp
BCMA-CAR-TForward: TGAAAGTGAGCTGCAAAGCG181
 Reverse: GTGCTGGTGCTTTTATCCGC 
β-actinForward: GAGCTACGAGCTGCCTGAC121
 Reverse: GGTAGTTTCGTGGATGCCACAG 

[i] BCMA, B-cell maturation antigen; CAR-T, chimeric antigen receptor T.

Study endpoints

The primary endpoint was disease response rate and progression-free survival (PFS), and secondary endpoints were adverse events and duration of efficacy. The severity of adverse events was graded according to the National Cancer Institute Common Terminology Criteria for Adverse Events (NCI-CTCAE) grading standard. The diagnosis and treatment criteria for cytokine release syndrome (CRS) were based on the NCI CTCAE 4.0 standard (14). Within 90 days after infusion, immune effector cell-associated neurotoxicity syndrome (ICANS) was graded according to the highest grade of any event. Clinical response and disease progression were evaluated according to the IMWG uniform response standard for multiple myeloma (12).

Results

Demographics of patients

Between June 2020 and November 2021, 10 RRMM patients (six males and four females) were enrolled in this study with a median age of 54 (36-73) years. The median time from diagnosis to CAR-T cell therapy was 24 (6-72) months, with a median number of prior chemotherapy courses of 11 (4-20) and a median number of treatment lines of three (2-10). All patients received at least two treatment regimens with poor efficacy, and two patients received five-line and above treatment. The medical history of patients who had previously received drug treatment were as follows: Bortezomib in eight (80%) cases, ixazomib in six (60%) cases, carfilzomib in one (10%) case, pomalidomide in one (10%) case, lenalidomide in four (40%) cases, thalidomide in four (40%) cases, CD38 monoclonal antibody in one (10%) case, autologous stem cell transplantation in one (10%) case, anthracyclines in six (60%) cases, and cyclophosphamide in six (60%) cases. The Eastern Cooperative Oncology Group score of patients was 0-1 in eight (80%) cases and 4 in two (20%) cases (Table II).

Table II

Baseline characteristics and therapeutic efficacy.

Table II

Baseline characteristics and therapeutic efficacy.

Baseline characteristicValue
Male sex, n (%)6(60)
Median age (range), year54 (36-73)
Median time since diagnosis (range), months24 (6-72)
Median no. of therapies (range), months11 (4-20)
Number of prior lines of treatment (range)3 (2-10)
Extramedullary disease, n (%)3(30)
Previous therapies, n (%) 
     Bortezomib8(80)
     Ixazomib6(60)
     Carfilzomib1(10)
     Pomalidomide1(10)
     Lenalidomide4(40)
     Thalidomide4(40)
     Daratumumab1(10)
Prior ASCT, n (%)1(10)
     Anthracyclines6(60)
     Cyclophosphamide6(60)
ECOG performance-status score, n (%) 
     05(50)
     13(30)
     20 (0)
     30 (0)
     42(20)
Therapeutic efficacy, % (n/total n) 
     ORR88.9 (8/9)
     sCR77.8 (7/9)
     PR11.1 (1/9)
     SD11.1 (1/9)

[i] ASCT, autologous stem cell transplantation; ECOG, Eastern Cooperative Oncology group; ORR, overall response rate; sCR, stringent complete remission; PR, partial remission; SD, stable disease.

Efficacy evaluation

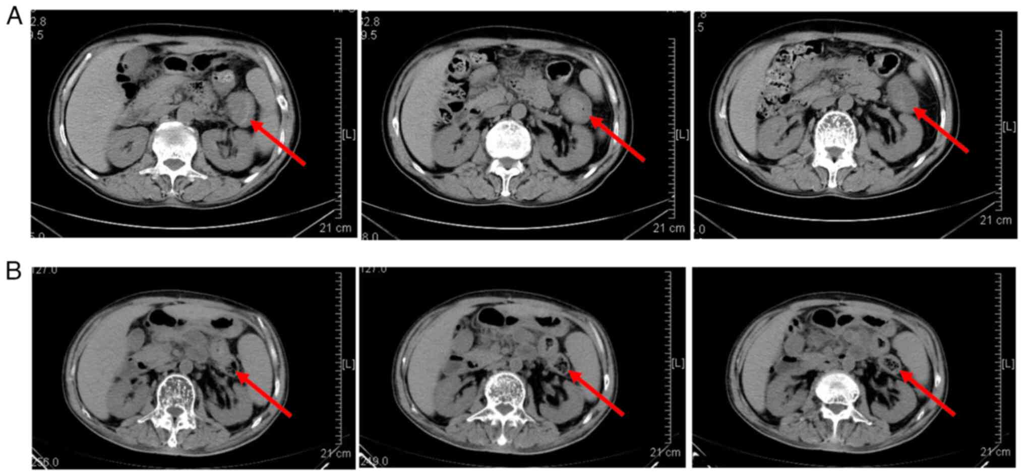
Among the 10 patients, one patient succumbed 24 days after the infusion of CAR-T cells due to rapidly progressing disease caused by heavy tumor burden. The direct cause of death was pneumonia and gastrointestinal bleeding and the treatment efficacy could not be evaluated. The remaining nine RRMM patients did not receive any treatment for MM after infusion of CAR-T cells and were followed up regularly. The overall response rate (ORR) of nine patients was 88.9%, with eight (88.9%) patients achieving partial remission (PR) or above. Among them, seven (77.8%) patients achieved complete remission (CR) with negative MRD, one (11.1%) patient achieved PR and one (11.1%) patient had stable condition (SD; Table II). The median follow-up time of nine patients were 337 (253-504) days, with a median time to response of 43 (22-169) days, and a median PFS of 337 (253-504) days. Among the eight patients who achieved PR or above, the duration of disease control exceeded six months, and three of them maintained disease remission state for more than a year. The infusion dose of CAR-T cells in one SD patient was 0.5x106/kg. At present, among the nine patients, only one patient with SD experienced disease progression 337 days after receiving CAR-T infusion, while the disease status of the remaining patients remained stable at a median follow-up time of 337 (253-504) days. Among the three patients with extramedullary involvement, two patients had disappearance of extramedullary lesions and one patient had a stable disease status (Fig. 1).

Figure 1

Response of extramedullary invasion. (A) A patient presented with colon plasmacytoma. The tumor enlarged gradually and lasted for nearly half a year although he had been treated with two lines of anti-MM drugs. (B) After the anti-BCMA CAR-T cell immunotherapy for one month, the extramedullary lesion completely disappeared. The arrows indicate the colon plasmacytoma. BCMA, B-cell maturation antigen; CAR-T, chimeric antigen receptor T.

Safety assessment

Of the 10 patients, nine (90%) had grade II or lower CRS after infusion of CAR-T cells, and no ICANS occurred. The median time to the onset of CRS was six (1-8) days post-infusion and the median duration was five (2-15) days, with four (44.4%) patients improving with NSAIDs and five (55.6%) patients improving with one time tocilizumab treatment. The dose of CAR-T cell infusion in one patient without CRS was 4.0x106/kg, and the disease remission status was CR. There were nine (90%) patients with hematological adverse reactions, six (60%) patients with severe anemia, five (50%) patients with grade III and above leukopenia, five (50%) patients with granulocytopenia, four (40%) patients with grade III and above thrombocytopenia, three (30%) patients with grade III and above pancytopenia, and eight (80%) patients with hemocytopenia before infusion of CAR-T cells (Table III). After 1 month of CAR-T cell infusion, the hemoglobin of nine patients was higher than 60 g/l, only one (10%) patient still had agranulocytosis combined with grade IV thrombocytopenia, and the remaining patients had granulocytes higher than 1.0x109/l and platelets >50x109/l. The other adverse reactions were as follows: Five (50%) patients had grade III pulmonary infection, which improved after anti-infection treatment; two (20%) patients had elevated glutamic oxaloacetic transaminase, which improved within 14 days after liver protection treatment (Table III). A patient with a dose of 4.0x106/kg of CAR-T cell infusion had grade IV pancytopenia, bacteremia and grade III pulmonary infection. One month after CAR-T cell infusion, there was still granulocytopenia combined with grade IV thrombocytopenia. One patient with CAR-T cell infusion dose of 4.0x106/kg developed grade IV pancytopenia, bacteremia and grade III lung infection, and there was still agranulocytosis with grade IV thrombocytopenia after 1 month of CAR-T cell transfusion. After 2 months of treatment with hormones plus tocilizumab, he was discontinued from blood transfusion. One patient succumbed to lung infection and gastrointestinal bleeding on the 24th day after infusion due to rapid progression.

Table III

Adverse events.

Table III

Adverse events.

Number of patientsAny grade, n (%)Grade III, n (%)Grade IV, n (%)
CRS9(90)0 (0)0 (0)
ICANS0 (0)0 (0)0 (0)
Anemia8(80)4(40)2(20)
Leukopenia7(70)2(20)3(30)
Neutropenia7(70)2(20)3(30)
Thrombocytopenia5(50)2(20)2(20)
Pancytopenia4(40)1(10)2(20)
Pulmonary infection5(50)5(50)0 (0)
Glutamic oxaloacetic transaminase increased2(20)1(10)0 (0)

[i] CRS, cytokine release syndrome; ICANS, immune effector cell-associated neurotoxicity syndrome.

Copy number of CAR-T cells

During the follow-up, the highest copy number of CAR-T cells in seven patients with CR was >1x105 copies/µl gDNA, and all patients achieved the best treatment effect within 30 (7-30) days after the copy number of CAR-T cells reached 1x105 copies/µl gDNA (Fig. 2). One SD patient with the highest copy number of CAR-T cells (4x104) had the number reduced to 84 copies/µl gDNA 30 days before relapse. The remaining eight patients who remained in remission had a median copy number of 2.5x104 (8,526-116,433) copies/µl gDNA in CAR-T cells.

Figure 2

CAR-T copy numbers of RRMM. CAR-T, chimeric antigen receptor T; BCMA, B-cell maturation antigen; RRMM, refractory multiple myeloma.

Discussion

CARs typically consist of high-affinity antigen-binding sites and T cell activation signal transduction domains on single-chain fragment variants (scFv) of monoclonal antibodies that are not limited by major histocompatibility complexes. So far, the first-generation CARs combine scFV domain and CD4 (extracellular domain) with CD3ζ (intracellular domain), but the stability and clinical efficacy are poor. The second-generation CARs add additional co-stimulatory signal domains on the intracellular domain, such as CD28 or 4-1BB, which enhance the in vivo amplification and durability of efficacy. Third- and fourth-generation CARs exhibit different characteristics in combination with other co-stimulatory domains (15). After CAR-T cells bind to target antigens in vivo, activation and proliferation occur, followed by cytotoxicity, which ultimately kills target cells (16).

A number of clinical studies have shown that CAR-T cell immunotherapy plays an important role in the treatment of hematological malignancies. In the peripheral blood of patients with B-cell acute lymphoblastic leukemia, diffuse large B-cell lymphoma and follicular lymphoma, it lasted for at least 5-6 months (5,17), and 30-40% of patients achieved remission and maintained for 12 months (18,19). In the research area of MM, CAR-T therapeutics are rapidly evolving, with 50 clinical trials involving all phases and different CAR-T designs or targets, among which the efficacy of anti-BCMA CAR-T is more prominent. BCMA is not expressed by hematopoietic stem cells or non-hematological cells, but is highly expressed in all MM cells and malignant PCs. Its expression levels increased sequentially from monoclonal immunoglobulinemia to smoking myeloma to MM (20). BCMA is shed from the PC surface by secretase-mediated division to form a soluble form (21), which can be detected in peripheral blood. Therefore, BCMA is an ideal target for CAR-T cells against myeloma (22). Although CAR-T cell therapy has shown good efficacy so far, there are still some specific problems to be solved, such as the efficacy of RRMM after multi-line therapy, treatment response time, efficacy maintenance time, adverse events and related treatment and treatment effect of extramedullary diseases. Therefore, the present study was designed to study the efficacy and adverse effects of second-generation CAR-T in the treatment of RRMM.

The present study collected 10 patients with RRMM who had received multiple lines of treatment but had poor response to proteasome inhibitors or immunomodulators. All patients had advanced clinical stages and a high level of disease control difficulty, leading to poor prognosis. The present study observed the disease remission and adverse reactions after anti-BCMA CAR-T cell therapy, suggesting that RRMM patients are generally sensitive to BCMA CAR-T cell therapy and achieve a high response rate. Among the 10 patients, one patient succumbed due to the rapid progress of the disease, so the efficacy could not be evaluated. The ORR of the remaining nine patients was 88.9%, and 8 (88.9%) patients achieved PR or above, of which seven (77.8%) patients achieved CR with negative MRD, one (11.1%) patient had PR. The disease maintenance time of eight patients with PR or above exceeded 6 months, and three of them maintained the disease remission state for >1 year. The condition of one (11.1%) patient remained SD. Among the three patients with extramedullary invasion, two extramedullary lesions disappeared and one was SD. The results of the present study suggested that RRMM patients were sensitive to BCMA CAR-T cell therapy and achieved a high response rate. In addition, only one patient with SD progressed 337 days after CAR-T infusion and the disease of the remaining patients remained in the current state after the median follow-up time of 337 (253-504) days. It is suggested that CAR-T cell immunotherapy not only has good efficacy but also has a long duration of response, as well as showing good therapeutic effect on extramedullary myeloma involvement. These results suggested that CAR-T cell therapy holds great promise for the treatment of RRMM. In the initial stage of this project, two patients with CAR-T cell infusion concentration of 0.5x106/kg were set up and the treatment process was smooth without obvious adverse reactions, so 2.0x106/kg and 4.0x106/kg concentration groups were set up in the dose escalation stage. Of the 10 patients, nine (90%) had grade II or lower CRS after infusion, which improved with NSAIDs or one time tocilizumab treatment. Among the patients, five (50%) had grade III pulmonary infection, which improved after anti-infection treatment. A total of two (20%) patients had elevated glutamic oxaloacetic transaminase, which improved within 14 days after liver protection treatment. In addition, 10% of patients had bone marrow failure, bacteremia and grade III pulmonary infection at the same time. The large number of patients with hematological adverse reactions may be related to the fact that most patients had concomitant disease-related cytopenia prior to treatment, and cytopenia may also be associated with pretreatment chemotherapy and most patients recovered significantly within 1 month of treatment. Abnormal liver function has also appeared in other studies of CAR-T cell therapy for MM, which may be part of systemic inflammatory syndrome (11).

Currently, immunotherapy drugs that have been proved to significantly improve the overall survival of patients with RRMM include targeted monoclonal antibody Daratumumab, in addition to CAR-T cells. In studies targeting RRMM, patients who received Daratumumab combined with chemotherapy had an ORR of 92.9% and a CR of 56.6% (23,24). Although Daratumumab has also shown desirable efficacy, patients who relapse after receiving third-line or above treatment and those who are resistant to proteasome inhibitors and immunomodulators do not receive significant benefits (25) and the repeated appearance of adverse reactions and the need for frequent hospitalization have caused difficulties for patients. In a recent study of 16 cases of refractory myeloma treated with anti-BCMA CAR-T cells, the ORR was 81%, among them, 63% achieved CR or VGPR (26). In a clinical study of bb2121 CAR-T in the treatment of RRMM, the ORR was 85%, CR was 45% and the median disease-free progression time was 10.9 months (27). In a domestic study on the treatment of RRMM with BCMA CAR-T cells with double epitopes, the ORR was 88% and the CR was 68% (28). In the present study, the ORR and CR were 88.9 and 77.8% respectively, which was basically consistent with other reported results. One patient succumbed on day 24 following CAR-T cell infusion due to rapid progression. The median follow-up time, median onset time and median PFS of nine patients were 337 (253-504) days, 43 (22-169) days and 337 (253-504) days respectively. The disease maintenance time exceeded 6 months, and 33.3% patients maintained the disease remission state for more than a year.

The PFS in this study was affected due to the short observation time of some cases. Nevertheless, the disease maintenance time of patients in the present study was longer than that of other domestic studies and the treatment effect was improved. CAR-T cells with a 4-1BB:CD3ζ co-stimulated domain had significantly longer duration and improved safety than those with CD28 co-stimulated domain (29). Studies have shown that the peak blood CAR-T cell copy number is not related to the dose of CAR-T cell infusion (26), but is related to the anti-MM response (28), which is basically consistent with the results of the present study. All patients achieved the best treatment effect within 30 (7-30) days after the copy number of CAR-T cells reached 1x105 copies/µl gDNA. The number was reduced to 84 copies/µl gDNA in one patient 30 days before relapse. A high level of expanded CAR-T copy number indicates good efficacy, while a sudden decline to low copy number predicts disease recurrence.

Although these results were preliminary and the sample size was small, the clinical research results of CAR-T cells showed encouraging efficacy and disease remission rate compared with other salvage treatments for RRMM. In addition, although some adverse reactions occurred, the adverse reactions were controllable and, after symptomatic supportive therapy and anti-IL6 antibody therapy, the symptoms were alleviated and there were no uncontrollable and long-term adverse reactions. This caused less harm to patients, so the safety of CAR-T therapy was high. CAR-T cell levels have been shown to correlate with IL6 after CAR-T cell therapy, and high levels of IL6 drive CRS and are also associated with high survival (30).

Due to the persistence of antibody-producing cells after CAR-T cell therapy, the treatment cannot completely cure the disease, and there may still be disease recurrence after a certain period of time (31,32). Therefore, the treatment exploration for RRMM continues, including bispecific CAR therapy, combination CAR therapy and CAR combination therapy and it is hoped that CAR-T cell therapy can once again bring medical miracles in the future.

Acknowledgements

Not applicable.

Funding

Funding: No funding was received.

Availability of data and materials

The datasets used and/or analyzed during the current study are available from the corresponding author on reasonable request.

Authors' contributions

XS and XZ were responsible for the study conception and design. Data collection, analysis and interpretation were performed by JQ, XZ and GS. CO and HL performed experiments. XZ drafted the manuscript. XS and JQ reviewed the manuscript. XS and XZ confirm the authenticity of all the raw data. All authors read and approved the final manuscript.

Ethics approval and consent to participate

The present study was approved by the Ethics Committee of Handan Central Hospital (Handan, China; approval no. 007) and written informed consent was obtained from each patient. The study was performed in accordance with the principles of the Declaration of Helsinki and the International Conference on Harmonisation Guidelines for Good Clinical Practice.

Patient consent for publication

Not applicable.

Competing interests

The authors declare that they have no competing interests.

References

1 

Cowan AJ, Allen C, Barac A, Basaleem H, Bensenor I, Curado MP, Foreman K, Gupta R, Harvey J, Hosgood HD, et al: Global burden of multiple myeloma: A systematic analysis for the global burden of disease study 2016. JAMA Oncol. 4:1221–1227. 2018.PubMed/NCBI View Article : Google Scholar

2 

van Beurden-Tan CHY, Franken MG, Blommestein HM, Uyl-de Groot CA and Sonneveld P: Systematic literature review and network meta-analysis of treatment outcomes in relapsed and/or refractory multiple myeloma. J Clin Oncol. 35:1312–1319. 2017.PubMed/NCBI View Article : Google Scholar

3 

Bray F, Ferlay J, Soerjomataram I, Siegel RL, Torre LA and Jemal A: Global cancer statistics 2018: GLOBOCAN estimates of incidence and mortality worldwide for 36 cancers in 185 countries. CA Cancer J Clin. 68:394–424. 2018.PubMed/NCBI View Article : Google Scholar

4 

Furukawa Y and Kikuchi J: Molecular basis of clonal evolution in multiple myeloma. Int J Hematol. 111:496–511. 2020.PubMed/NCBI View Article : Google Scholar

5 

Dai H, Wu Z, Jia H, Tong C, Guo Y, Ti D, Han X, Liu Y, Zhang W, Wang C, et al: Correction to: Bispecific CAR-T cells targeting both CD19 and CD22 for therapy of adults with relapsed or refractory B cell acute lymphoblastic leukemia. J Hematol Oncol. 13(53)2020.PubMed/NCBI View Article : Google Scholar

6 

Finney OC, Brakke HM, Rawlings-Rhea S, Hicks R, Doolittle D, Lopez M, Futrell RB, Orentas RJ, Li D, Gardner RA and Jensen MC: CD19 CAR T cell product and disease attributes predict leukemia remission durability. J Clin Invest. 129:2123–2132. 2019.PubMed/NCBI View Article : Google Scholar

7 

Abramson JS: Anti-CD19 CAR T-cell therapy for B-cell non-hodgkin lymphoma. Transfus Med Rev. 34:29–33. 2020.PubMed/NCBI View Article : Google Scholar

8 

van de Donk NWCJ, Usmani SZ and Yong K: CAR T-cell therapy for multiple myeloma: State of the art and prospects. Lancet Haematol. 8:e446–e461. 2021.PubMed/NCBI View Article : Google Scholar

9 

Cho SF, Anderson KC and Tai YT: Targeting B cell maturation antigen (BCMA) in multiple myeloma: Potential uses of BCMA-Based immunotherapy. Front Immunol. 9(1821)2018.PubMed/NCBI View Article : Google Scholar

10 

Friedman KM, Garrett TE, Evans JW, Horton HM, Latimer HJ, Seidel SL, Horvath CJ and Morgan RA: Effective targeting of multiple B-Cell maturation antigen-expressing hematological malignances by Anti-B-Cell maturation antigen chimeric antigen receptor T cells. Hum Gene Ther. 29:585–601. 2018.PubMed/NCBI View Article : Google Scholar

11 

Mei H, Li C, Jiang H, Zhao X, Huang Z, Jin D, Guo T, Kou H, Liu L, Tang L, et al: A bispecific CAR-T cell therapy targeting BCMA and CD38 in relapsed or refractory multiple myeloma. J Hematol Oncol. 14(161)2021.PubMed/NCBI View Article : Google Scholar

12 

Rajkumar SV, Dimopoulos MA, Palumbo A, Blade J, Merlini G, Mateos MV, Kumar S, Hillengass J, Kastritis E, Richardson P, et al: International Myeloma Working Group updated criteria for the diagnosis of multiple myeloma. Lancet Oncol. 15:e538–e548. 2014.PubMed/NCBI View Article : Google Scholar

13 

Livak KJ and Schmittgen TD: Analysis of relative gene expression data using real-time quantitative PCR and the 2(-Delta Delta C(T)) method. Methods. 25:402–408. 2001.PubMed/NCBI View Article : Google Scholar

14 

Lee DW, Gardner R, Porter DL, Louis CU, Ahmed N, Jensen M, Grupp SA and Mackall CL: Current concepts in the diagnosis and management of cytokine release syndrome. Blood. 124:188–195. 2014.PubMed/NCBI View Article : Google Scholar

15 

Bao L, Bo XC, Cao HW, Qian C, Wang Z and Li B: Engineered T cells and their therapeutic applications in autoimmune diseases. Zool Res. 43:150–165. 2022.PubMed/NCBI View Article : Google Scholar

16 

June CH and Sadelain M: Chimeric antigen receptor therapy. N Engl J Med. 379:64–73. 2018.PubMed/NCBI View Article : Google Scholar

17 

Brudno JN, Lam N, Vanasse D, Shen YW, Rose JJ, Rossi J, Xue A, Bot A, Scholler N, Mikkilineni L, et al: Safety and feasibility of anti-CD19 CAR T cells with fully human binding domains in patients with B-cell lymphoma. Nat Med. 26:270–280. 2020.PubMed/NCBI View Article : Google Scholar

18 

Majzner RG and Mackall CL: Clinical lessons learned from the first leg of the CAR T cell journey. Nat Med. 25:1341–1355. 2019.PubMed/NCBI View Article : Google Scholar

19 

Kersten MJ, Spanjaart AM and Thieblemont C: CD19-directed CAR T-cell therapy in B-cell NHL. Curr Opin Oncol. 32:408–417. 2020.PubMed/NCBI View Article : Google Scholar

20 

Mikkilineni L and Kochenderfer JN: Chimeric antigen receptor T-cell therapies for multiple myeloma. Blood. 130:2594–2602. 2017.PubMed/NCBI View Article : Google Scholar

21 

Tai YT and Anderson KC: B cell maturation antigen (BCMA)-based immunotherapy for multiple myeloma. Expert Opin Biol Ther. 19:1143–1156. 2019.PubMed/NCBI View Article : Google Scholar

22 

Berdeja JG, Madduri D, Usmani SZ, Jakubowiak A, Agha M, Cohen AD, Stewart AK, Hari P, Htut M, Lesokhin A, et al: Ciltacabtagene autoleucel, a B-cell maturation antigen-directed chimeric antigen receptor T-cell therapy in patients with relapsed or refractory multiple myeloma (CARTITUDE-1): A phase 1b/2 open-label study. Lancet. 398:314–324. 2021.PubMed/NCBI View Article : Google Scholar

23 

Bahlis NJ, Dimopoulos MA, White DJ, Benboubker L, Cook G, Leiba M, Ho PJ, Kim K, Takezako N, Moreau P, et al: Daratumumab plus lenalidomide and dexamethasone in relapsed/refractory multiple myeloma: Extended follow-up of POLLUX, a randomized, open-label, phase 3 study. Leukemia. 34:1875–1884. 2020.PubMed/NCBI View Article : Google Scholar

24 

Usmani SZ, Nahi H, Legiec W, Grosicki S, Vorobyev V, Spicka I, Hungria V, Korenkova S, Bahlis NJ, Flogegard M, et al: Final analysis of the phase III non-inferiority COLUMBA study of subcutaneous versus intravenous daratumumab in patients with relapsed or refractory multiple myeloma. Haematologica. 107:2408–2417. 2022.PubMed/NCBI View Article : Google Scholar

25 

Stork M, Spicka I, Radocha J, Minarik J, Jelinek T, Jungova A, Pavlicek P, Pospisilova L, Sedlak F, Straub J, et al: Daratumumab with lenalidomide and dexamethasone in relapsed or refractory multiple myeloma patients-real world evidence analysis. Ann Hematol. 102:1501–1511. 2023.PubMed/NCBI View Article : Google Scholar

26 

Brudno JN, Maric I, Hartman SD, Rose JJ, Wang M, Lam N, Stetler-Stevenson M, Salem D, Yuan C, Pavletic S, et al: T cells genetically modified to express an Anti-B-Cell maturation antigen chimeric antigen receptor cause remissions of poor-prognosis relapsed multiple myeloma. J Clin Oncol. 36:2267–2280. 2018.PubMed/NCBI View Article : Google Scholar

27 

Raje N, Berdeja J, Lin Y, Siegel D, Jagannath S, Madduri D, Liedtke M, Rosenblatt J, Maus MV, Turka A, et al: Anti-BCMA CAR T-Cell Therapy bb2121 in relapsed or refractory multiple myeloma. N Engl J Med. 380:1726–1737. 2019.PubMed/NCBI View Article : Google Scholar

28 

Zhao WH, Liu J, Wang BY, Chen YX, Cao XM, Yang Y, Zhang YL, Wang FX, Zhang PY, Lei B, et al: A phase 1, open-label study of LCAR-B38M, a chimeric antigen receptor T cell therapy directed against B cell maturation antigen, in patients with relapsed or refractory multiple myeloma. J Hematol Oncol. 11(141)2018.PubMed/NCBI View Article : Google Scholar

29 

Maus MV and June CH: Making better chimeric antigen receptors for adoptive T-cell therapy. Clin Cancer Res. 22:1875–1884. 2016.PubMed/NCBI View Article : Google Scholar

30 

Enblad G, Karlsson H, Gammelgard G, Wenthe J, Lövgren T, Amini RM, Wikstrom KI, Essand M, Savoldo B, Hallböök H, et al: A Phase I/IIa trial using CD19-Targeted Third-Generation CAR T cells for lymphoma and leukemia. Clin Cancer Res. 24:6185–6194. 2018.PubMed/NCBI View Article : Google Scholar

31 

Schultz L and Mackall C: Driving CAR T cell translation forward. Sci Transl Med. 11(eaaw2127)2019.PubMed/NCBI View Article : Google Scholar

32 

Kansal R, Richardson N, Neeli I, Khawaja S, Chamberlain D, Ghani M, Ghani QU, Balazs L, Beranova-Giorgianni S, Giorgianni F, et al: Sustained B cell depletion by CD19-targeted CAR T cells is a highly effective treatment for murine lupus. Sci Transl Med. 11(eaav1648)2019.PubMed/NCBI View Article : Google Scholar

Related Articles

  • Abstract
  • View
  • Download
  • Twitter
Copy and paste a formatted citation
Spandidos Publications style
Zhang X, Ouyang C, Sun G, Liu H, Qi J and Suo X: Anti‑BCMA CAR‑T cell immunotherapy for relapsed or refractory multiple myeloma. Exp Ther Med 26: 471, 2023.
APA
Zhang, X., Ouyang, C., Sun, G., Liu, H., Qi, J., & Suo, X. (2023). Anti‑BCMA CAR‑T cell immunotherapy for relapsed or refractory multiple myeloma. Experimental and Therapeutic Medicine, 26, 471. https://doi.org/10.3892/etm.2023.12170
MLA
Zhang, X., Ouyang, C., Sun, G., Liu, H., Qi, J., Suo, X."Anti‑BCMA CAR‑T cell immunotherapy for relapsed or refractory multiple myeloma". Experimental and Therapeutic Medicine 26.4 (2023): 471.
Chicago
Zhang, X., Ouyang, C., Sun, G., Liu, H., Qi, J., Suo, X."Anti‑BCMA CAR‑T cell immunotherapy for relapsed or refractory multiple myeloma". Experimental and Therapeutic Medicine 26, no. 4 (2023): 471. https://doi.org/10.3892/etm.2023.12170
Copy and paste a formatted citation
x
Spandidos Publications style
Zhang X, Ouyang C, Sun G, Liu H, Qi J and Suo X: Anti‑BCMA CAR‑T cell immunotherapy for relapsed or refractory multiple myeloma. Exp Ther Med 26: 471, 2023.
APA
Zhang, X., Ouyang, C., Sun, G., Liu, H., Qi, J., & Suo, X. (2023). Anti‑BCMA CAR‑T cell immunotherapy for relapsed or refractory multiple myeloma. Experimental and Therapeutic Medicine, 26, 471. https://doi.org/10.3892/etm.2023.12170
MLA
Zhang, X., Ouyang, C., Sun, G., Liu, H., Qi, J., Suo, X."Anti‑BCMA CAR‑T cell immunotherapy for relapsed or refractory multiple myeloma". Experimental and Therapeutic Medicine 26.4 (2023): 471.
Chicago
Zhang, X., Ouyang, C., Sun, G., Liu, H., Qi, J., Suo, X."Anti‑BCMA CAR‑T cell immunotherapy for relapsed or refractory multiple myeloma". Experimental and Therapeutic Medicine 26, no. 4 (2023): 471. https://doi.org/10.3892/etm.2023.12170
Follow us
  • Twitter
  • LinkedIn
  • Facebook
About
  • Spandidos Publications
  • Careers
  • Cookie Policy
  • Privacy Policy
How can we help?
  • Help
  • Live Chat
  • Contact
  • Email to our Support Team