Spandidos Publications Logo
  • About
    • About Spandidos
    • Aims and Scopes
    • Abstracting and Indexing
    • Editorial Policies
    • Reprints and Permissions
    • Job Opportunities
    • Terms and Conditions
    • Contact
  • Journals
    • All Journals
    • Oncology Letters
      • Oncology Letters
      • Information for Authors
      • Editorial Policies
      • Editorial Board
      • Aims and Scope
      • Abstracting and Indexing
      • Bibliographic Information
      • Archive
    • International Journal of Oncology
      • International Journal of Oncology
      • Information for Authors
      • Editorial Policies
      • Editorial Board
      • Aims and Scope
      • Abstracting and Indexing
      • Bibliographic Information
      • Archive
    • Molecular and Clinical Oncology
      • Molecular and Clinical Oncology
      • Information for Authors
      • Editorial Policies
      • Editorial Board
      • Aims and Scope
      • Abstracting and Indexing
      • Bibliographic Information
      • Archive
    • Experimental and Therapeutic Medicine
      • Experimental and Therapeutic Medicine
      • Information for Authors
      • Editorial Policies
      • Editorial Board
      • Aims and Scope
      • Abstracting and Indexing
      • Bibliographic Information
      • Archive
    • International Journal of Molecular Medicine
      • International Journal of Molecular Medicine
      • Information for Authors
      • Editorial Policies
      • Editorial Board
      • Aims and Scope
      • Abstracting and Indexing
      • Bibliographic Information
      • Archive
    • Biomedical Reports
      • Biomedical Reports
      • Information for Authors
      • Editorial Policies
      • Editorial Board
      • Aims and Scope
      • Abstracting and Indexing
      • Bibliographic Information
      • Archive
    • Oncology Reports
      • Oncology Reports
      • Information for Authors
      • Editorial Policies
      • Editorial Board
      • Aims and Scope
      • Abstracting and Indexing
      • Bibliographic Information
      • Archive
    • Molecular Medicine Reports
      • Molecular Medicine Reports
      • Information for Authors
      • Editorial Policies
      • Editorial Board
      • Aims and Scope
      • Abstracting and Indexing
      • Bibliographic Information
      • Archive
    • World Academy of Sciences Journal
      • World Academy of Sciences Journal
      • Information for Authors
      • Editorial Policies
      • Editorial Board
      • Aims and Scope
      • Abstracting and Indexing
      • Bibliographic Information
      • Archive
    • International Journal of Functional Nutrition
      • International Journal of Functional Nutrition
      • Information for Authors
      • Editorial Policies
      • Editorial Board
      • Aims and Scope
      • Abstracting and Indexing
      • Bibliographic Information
      • Archive
    • International Journal of Epigenetics
      • International Journal of Epigenetics
      • Information for Authors
      • Editorial Policies
      • Editorial Board
      • Aims and Scope
      • Abstracting and Indexing
      • Bibliographic Information
      • Archive
    • Medicine International
      • Medicine International
      • Information for Authors
      • Editorial Policies
      • Editorial Board
      • Aims and Scope
      • Abstracting and Indexing
      • Bibliographic Information
      • Archive
  • Articles
  • Information
    • Information for Authors
    • Information for Reviewers
    • Information for Librarians
    • Information for Advertisers
    • Conferences
  • Language Editing
Spandidos Publications Logo
  • About
    • About Spandidos
    • Aims and Scopes
    • Abstracting and Indexing
    • Editorial Policies
    • Reprints and Permissions
    • Job Opportunities
    • Terms and Conditions
    • Contact
  • Journals
    • All Journals
    • Biomedical Reports
      • Information for Authors
      • Editorial Policies
      • Editorial Board
      • Aims and Scope
      • Abstracting and Indexing
      • Bibliographic Information
      • Archive
    • Experimental and Therapeutic Medicine
      • Information for Authors
      • Editorial Policies
      • Editorial Board
      • Aims and Scope
      • Abstracting and Indexing
      • Bibliographic Information
      • Archive
    • International Journal of Epigenetics
      • Information for Authors
      • Editorial Policies
      • Editorial Board
      • Aims and Scope
      • Abstracting and Indexing
      • Bibliographic Information
      • Archive
    • International Journal of Functional Nutrition
      • Information for Authors
      • Editorial Policies
      • Editorial Board
      • Aims and Scope
      • Abstracting and Indexing
      • Bibliographic Information
      • Archive
    • International Journal of Molecular Medicine
      • Information for Authors
      • Editorial Policies
      • Editorial Board
      • Aims and Scope
      • Abstracting and Indexing
      • Bibliographic Information
      • Archive
    • International Journal of Oncology
      • Information for Authors
      • Editorial Policies
      • Editorial Board
      • Aims and Scope
      • Abstracting and Indexing
      • Bibliographic Information
      • Archive
    • Medicine International
      • Information for Authors
      • Editorial Policies
      • Editorial Board
      • Aims and Scope
      • Abstracting and Indexing
      • Bibliographic Information
      • Archive
    • Molecular and Clinical Oncology
      • Information for Authors
      • Editorial Policies
      • Editorial Board
      • Aims and Scope
      • Abstracting and Indexing
      • Bibliographic Information
      • Archive
    • Molecular Medicine Reports
      • Information for Authors
      • Editorial Policies
      • Editorial Board
      • Aims and Scope
      • Abstracting and Indexing
      • Bibliographic Information
      • Archive
    • Oncology Letters
      • Information for Authors
      • Editorial Policies
      • Editorial Board
      • Aims and Scope
      • Abstracting and Indexing
      • Bibliographic Information
      • Archive
    • Oncology Reports
      • Information for Authors
      • Editorial Policies
      • Editorial Board
      • Aims and Scope
      • Abstracting and Indexing
      • Bibliographic Information
      • Archive
    • World Academy of Sciences Journal
      • Information for Authors
      • Editorial Policies
      • Editorial Board
      • Aims and Scope
      • Abstracting and Indexing
      • Bibliographic Information
      • Archive
  • Articles
  • Information
    • For Authors
    • For Reviewers
    • For Librarians
    • For Advertisers
    • Conferences
  • Language Editing
Login Register Submit
  • This site uses cookies
  • You can change your cookie settings at any time by following the instructions in our Cookie Policy. To find out more, you may read our Privacy Policy.

    I agree
Search articles by DOI, keyword, author or affiliation
Search
Advanced Search
presentation
Experimental and Therapeutic Medicine
Join Editorial Board Propose a Special Issue
Print ISSN: 1792-0981 Online ISSN: 1792-1015
Journal Cover
October-2023 Volume 26 Issue 4

Full Size Image

Sign up for eToc alerts
Recommend to Library

Journals

International Journal of Molecular Medicine

International Journal of Molecular Medicine

International Journal of Molecular Medicine is an international journal devoted to molecular mechanisms of human disease.

International Journal of Oncology

International Journal of Oncology

International Journal of Oncology is an international journal devoted to oncology research and cancer treatment.

Molecular Medicine Reports

Molecular Medicine Reports

Covers molecular medicine topics such as pharmacology, pathology, genetics, neuroscience, infectious diseases, molecular cardiology, and molecular surgery.

Oncology Reports

Oncology Reports

Oncology Reports is an international journal devoted to fundamental and applied research in Oncology.

Experimental and Therapeutic Medicine

Experimental and Therapeutic Medicine

Experimental and Therapeutic Medicine is an international journal devoted to laboratory and clinical medicine.

Oncology Letters

Oncology Letters

Oncology Letters is an international journal devoted to Experimental and Clinical Oncology.

Biomedical Reports

Biomedical Reports

Explores a wide range of biological and medical fields, including pharmacology, genetics, microbiology, neuroscience, and molecular cardiology.

Molecular and Clinical Oncology

Molecular and Clinical Oncology

International journal addressing all aspects of oncology research, from tumorigenesis and oncogenes to chemotherapy and metastasis.

World Academy of Sciences Journal

World Academy of Sciences Journal

Multidisciplinary open-access journal spanning biochemistry, genetics, neuroscience, environmental health, and synthetic biology.

International Journal of Functional Nutrition

International Journal of Functional Nutrition

Open-access journal combining biochemistry, pharmacology, immunology, and genetics to advance health through functional nutrition.

International Journal of Epigenetics

International Journal of Epigenetics

Publishes open-access research on using epigenetics to advance understanding and treatment of human disease.

Medicine International

Medicine International

An International Open Access Journal Devoted to General Medicine.

Journal Cover
October-2023 Volume 26 Issue 4

Full Size Image

Sign up for eToc alerts
Recommend to Library

  • Article
  • Citations
    • Cite This Article
    • Download Citation
    • Create Citation Alert
    • Remove Citation Alert
    • Cited By
  • Similar Articles
    • Related Articles (in Spandidos Publications)
    • Similar Articles (Google Scholar)
    • Similar Articles (PubMed)
  • Download PDF
  • Download XML
  • View XML
Case Report Open Access

Treatment with sivelestat sodium of acute respiratory distress syndrome induced by chemical pneumonitis: A report of three cases

  • Authors:
    • Liang Jing
    • Xi Peng
    • Dayong Li
    • Yusen Qin
    • Yaqin Song
    • Wei Zhu
  • View Affiliations / Copyright

    Affiliations: Department of Emergency‑Critical Medicine, Tongji Hospital, Tongji Medical College, Huazhong University of Science and Technology, Wuhan, Hubei 430032, P.R. China, Department of Internal Neurology, Tongji Hospital, Tongji Medical College, Huazhong University of Science and Technology, Wuhan, Hubei 430032, P.R. China
    Copyright: © Jing et al. This is an open access article distributed under the terms of Creative Commons Attribution License.
  • Article Number: 476
    |
    Published online on: August 22, 2023
       https://doi.org/10.3892/etm.2023.12175
  • Expand metrics +
Metrics: Total Views: 0 (Spandidos Publications: | PMC Statistics: )
Metrics: Total PDF Downloads: 0 (Spandidos Publications: | PMC Statistics: )
Cited By (CrossRef): 0 citations Loading Articles...

This article is mentioned in:



Abstract

Inhalation of acid fumes and aspiration of liquid substances or gastric contents may not initiate dyspnea within several hours after exposure but may result in delayed onset of alveolar edema. The present report presents three cases of inhalation or aspiration of chemical substances that resulted in acute respiratory distress syndrome (ARDS). Due to different underlying reasons, three patients developed ARDS resulting from chemical pneumonitis and pulmonary infection. From patients with dyspnea, dry rales could be heard in both lungs, with <92% percutaneous oxygen saturation at room air. All patients were treated using a high‑flow nasal cannula and sivelestat sodium. Oxygenation gradually improved and the patients were discharged without adverse events. These cases suggest that early treatment with sivelestat sodium may improve the clinical outcomes of patients with ARDS.

Introduction

Chemical pneumonitis is a lung injury caused by the inhalation of noxious liquids or fumes. The most common causes are microaspiration of gastrointestinal contents, drowning and inhalation of chemical substances such as acid or gasoline. It is an inflammatory reaction to inhaled noninfectious substances that can cause acute pulmonary edema, a life-threatening acute respiratory distress syndrome (ARDS) (1). ARDS occurs due to local corrosion, toxic absorption, or allergies. Acid fumes, drowning and aspiration are the leading causes of chemical pneumonitis (2-4). However, as chemical pneumonitis has only occasionally been reported owing to its accidental occurrence (5), it is frequently misdiagnosed and poorly treated.

Currently, no uniform standards for treating chemical pneumonitis are available and treatment typically involves the use of glucocorticoids, antibiotics and mechanical ventilation programs (6). Sivelestat sodium, a neutrophil elastase inhibitor, has been identified as a novel drug for ARDS treatment (7).

The present case report aimed to describe three classic cases of chemical pneumonitis induced by different pathological factors that were successfully treated with sivelestat sodium in the early stages of disease progression, thus providing valuable experience in treating ARDS caused by chemical pneumonitis.

Case report

Case 1

A 67-year-old man accidentally inhaled acid fumes for 1 min before leaving the scene. The patient experienced mild dizziness without any other symptoms one afternoon in April 2021. During approximately 6 h, the patient developed chest tightness and dyspnea. The next day, the patient presented to the Emergency Department of Wuxue People's Hospital (Wuxue, China) complaining of dyspnea after cleaning metal appliances using a nitric-hydrofluoric acid mixture without any protective tools. The patient reported no history of fever or hemoptysis. A chest CT scan showed bilateral diffuse exudative shadows suggestive of pulmonary edema (Fig. 1A). However, the medical capabilities of the hospital were limited and the patient was immediately transferred to the intensive care unit (ICU) of Tongji Hospital (Wuhan, China) for subsequent treatment. The patient experienced tachypnea with the following clinical manifestations: Respiratory rate (RR), 32 breaths/min; body temperature, 36.1˚C; pulse, 105/min; blood pressure (BP), 148/63 mmHg; percutaneous oxygen saturation (SpO2), 90% with consciousness; and inspired oxygen [PaO2(P)/FiO2(F)] ratio, 126. The patient was given oxygen through a facial mask. Dry rales were heard in both lungs. No neck rigidity, arrhythmia or bellyaches were observed. The results of laboratory examinations were as follows: White blood cell (WBC) count, 16.88x109/l; albumin, 25.6 g/l; creatine kinase, 356 U/l; myoglobin, 349.9 ng/ml; calcium, 1.86 mmol/l; phosphorus, 0.66 mmol/l; urea, 10.30 mmol/l; glucose, 11.18 mmol/l; and IL-6, 28.96 pg/ml. Arterial blood gas (ABG) test results showed pH=7.421; oxygen pressure (PaO2), 67 mmHg; carbon dioxide (PaCO2), 35.7 mmHg; arterial oxygen saturations (SaO2), 93%; and P/F, 230 (Table I).

Figure 1

Imaging features of Case 1. (A) Chest CT scan showed diffuse exudative patchy shadows in both lungs. (B) X-rays showed improvement of pulmonary exudative lesions from days 1 to 7 after treatment. The arrows represent the exudative changes in the lungs.

Table I

Laboratory data of three cases.

Table I

Laboratory data of three cases.

 Case 1Case 2Case 3 
CharacteristicsBeforeAfterBeforeAfterBeforeAfterReference range
Age, years676760603333-
SexMale Female Male  
Blood pressure, mmHg148/63102/60130/80108/62132/65122/61-
Respiratory rate, breaths/min322126192622-
Body temperature, ˚C36.136.736.636.236.836.8-
Hematological test       
     White blood cells, x109/l16.886.5711.6711.716.466.463.5-9.5
     Neutrophils, %95.773.591.889.866.562.640-75
     Lymphocytes, %2.316.93.23.623.125.420-50
     Monocytes, %27.34.96.67.983-10
Red blood cells, x1012/l3.733.83.923.455.245.314.3-5.8
Hemoglobin g/l125127124108161159130-175
     Platelet count, x109/l138132169186215235125-350
     Prothrombin time, sec14.712.914.212.712.7139.4-12.5
     Activated partial thromboplastin time, %821078411111310280-130
     D-dimer, ug/ml5.421.530.920.720.220.27<0.5
     Total protein, g/l5752.8-63.560.2-64-83
     White albumin, g/l25.630.13440.638.3-35-52
     Total bilirubin, umol/l127.8-14.67.8-<26
     Alanine transaminase, U/l93014453997<41
     Aspartate transaminase, U/l202621252442<40
     Urea, mmol/l10.34.56.15.93.44.93.1-8
     Creatinine, umol/l80735558707559-104
     Sodium, mmol/l137.7140.1135.3137.4140.1139.4136-145
     Potassium, mmol/l3.924.564.334.024.414.463.5-5.1
     Calcium, mmol/l1.862.1422.232.232.292.15-2.5
     Procalcitonin, ng/ml0.10.0520.320.060.06<0.5
     N-terminal pro-B-type natriuretic peptide, pg/ml413109890-607<10<89.3
Arterial blood gas       
     Ph7.4217.627.3597.4227.3357.4357.35-7.45
     Pressure of oxygen, mmHg6728360905915780-105
     Carbon dioxide, mmHg35.722.633.544.850.830.735-45
     Arterial oxygen saturations, %9310090979310095-98

Based on the examination data, the patient was diagnosed with chemical pneumonitis, pulmonary infection and ARDS according to the 2013 Berlin Definition (8). As the patient developed respiratory failure, nasal high-flow oxygen (oxygen flow 55 l/min; oxygen concentration, 60%) was given 4 h later. A new ABG test was performed and the results were as follows: pH, 7.506; PaO2, 138 mm Hg; PaCO2, 31.2 mmHg; and SaO2, 99%. The doctors decided to administer 40 mg of intravenous methylprednisolone and broad-spectrum antibiotics (biapenem and levofloxacin), as referred to in the instructions of the acid cleaning agent, which main components were nitric acid, hydrofluoric acid and surfactants (detailed proportions and concentrations were not described). For ARDS, due to the patient's current nitric acid/hydrofluoric acid inhalation, the drug recommendation was unclear. The patient was treated for 7 days with 0.3 g/day intravenous sivelestat sodium according to the drug indications. The patient presented with severe exudation in both lungs (Fig. 1A) and mild ARDS (nasal high-flow oxygen, P/F 230) without multiple organ dysfunction and met the following criteria for the use of sivelestat sodium: Occurred systemic inflammatory response syndrome (elevated white blood cells and rapid respiratory rate); acute lung injury (P/F >300 mmHg, double lung infiltration shadow on X-ray); and no multiple organ damage of four or more organs. The patient did not have underlying chronic obstructive pulmonary disease (COPD) and other diseases, and high-flow oxygen merely served as a means of respiratory support, rather than as a therapeutic measure. The patients lacked typical infection-related symptoms and was less responsive to antibiotic treatment. At 1 week post-admission to the hospital, the patient's oxygenation had improved and ABG results were pH, 7.662; PaO2, 283 mmHg; PaCO2, 22.6 mmHg; SaO2, 100%; and P/F, 514. Nasal high-flow oxygen was replaced with a nasal catheter. Methylprednisolone and sivelestat sodium were simultaneously discontinued. Radiography revealed significant improvement, as shown in Fig. 1B. The patient was observed in the respiratory department and discharged at 2 weeks post-admission. After 1 month, chest CT and pulmonary function test results were normal.

Case 2

A 60-year-old woman was brought to the emergency department of Tongji Hospital (Wuhan, China) in January 2022 after nearly drowning in a pool. Witnesses reported that she had been underwater for ~10 min. After vomiting a lot of sewage, the patient gradually recovered and developed dyspnea and limb weakness over the next 3 h. Upon arrival at the emergency department, the patient presented SpO2, 88%; P/F, 100; BP, 130/80 mmHg; pulse 98/min; and RR, 26 breaths/min, without fever or rales. Chest CT revealed bilateral alveolar opacity (Fig. 2A).

Figure 2

Chest CT of Case 2. (A) CT scan performed on arrival to the Emergency Department ~3 h after drowning, revealing both lung interstitial opacities with air trapping. (B) CT scan performed on the seventh day after treatment showed a few fibers cable shadows and pulmonary nodules. The arrows represent exudative changes in the lungs.

The patient was administered nasal high-flow oxygen (oxygen flow 60 l/min; oxygen concentration, 60%) when admitted to the ICU. The results of laboratory examinations were as follows: WBC count, 11.67x109/l; NT-proBNP, 890 pg/ml; and procalcitonin, 20.30 ng/ml. ABG test results were pH, 7.359; PaO2, 60 mmHg; PaCO2, 33.5 mmHg; SaO2, 90%; and P/F, 284. Considering the clinical manifestations of dyspnea and the experimental results of the pulmonary infection, the patient was diagnosed with chemical pneumonitis, pulmonary infection and ARDS according to the 2013 Berlin Definition (8).

Based on the successful treatment protocol presented in case 1, the patient was prescribed for 7 days: 40 mg/day methylprednisolone; 0.1 g sivelestat sodium three times a day using an intravenous pump under mild ARDS diagnosis (nasal high-flow oxygen, P/F284) performed within 24 h, according to the aforementioned drug indications, with 0.3 g biapenem every 8 h and 0.6 g levofloxacin. The patient did not have underlying COPD or other diseases, and high-flow oxygen was solely used as a means of respiratory support, providing no therapeutic role. Following 7 days of treatment, the patient showed significant clinical and radiological improvement, including ABG test results as pH, 7.422; PaO2, 92 mmHg; PaCO2, 44.8 mmHg; SaO2, 97%; and P/F, 284. Laboratory examination showed: WBC count, 11.71x109/l; and PCT, 0.22 ng/ml. A chest CT showed the resolution of most of the interstitial opacities (Fig. 2B). Microbiological analysis of the sputum and serum showed negative results. The nasal high-flow oxygen was discontinued and the patient was discharged after 3 days.

Case 3

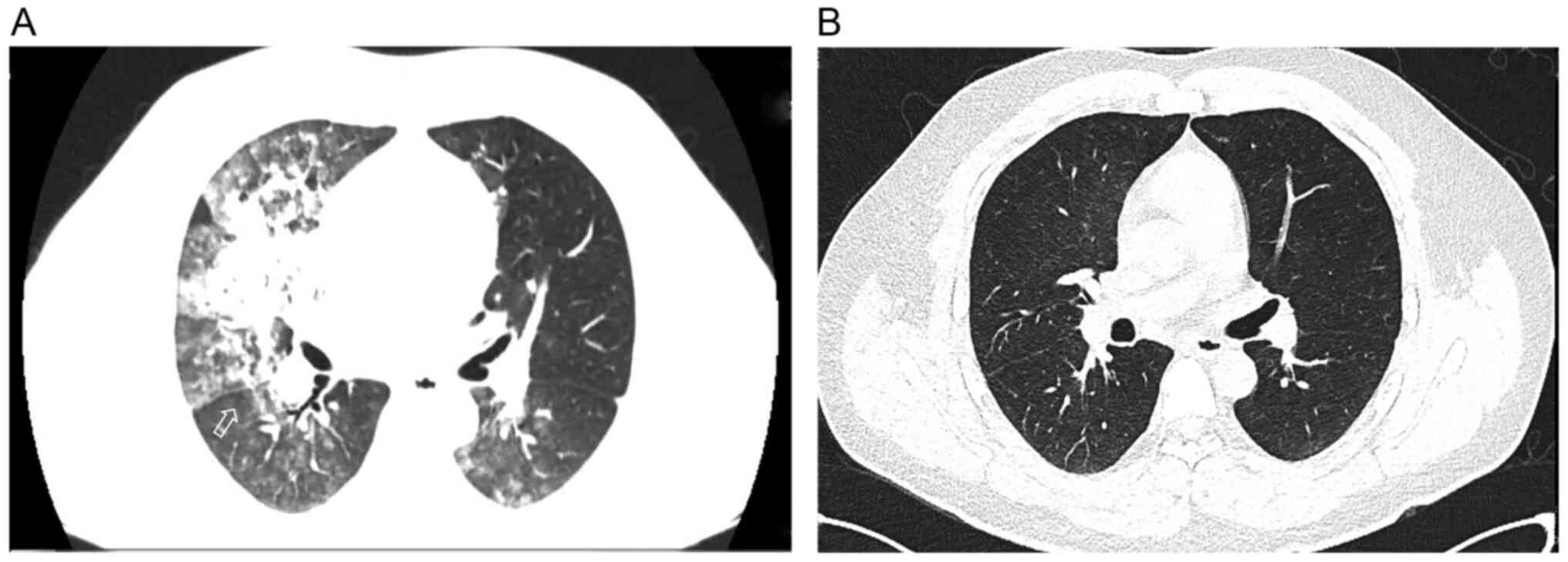
In January 2022, a 33-year-old man fell into a pool. First-aid paramedics arrived soon after and transferred him to the Tongji Hospital (Wuhan, China) for further treatment. The paramedic crew observed that he had aspirated gastrointestinal contents and provided suction care. Upon arrival at the emergency department, the patient had fully revived but developed mild dyspnea with RR, 26 breaths/min and SpO2, 92%. ABG test results were as follows: pH 7.335; PaO2, 59 mm Hg; PaCO2, 508 mmHg; SaO2, 93%; and P/F, 169. Although no remarkable abnormalities were found upon physical examination, the patient was admitted to the ICU owing to severe bilateral alveolar exudation (Fig. 3A) and manifestations of dyspnea. The patient was diagnosed with chemical pneumonitis, pulmonary infection and ARDS according to the 2013 Berlin Definition (8).

Figure 3

Chest CT of Case 3. (A) CT scan performed on arrival to the Emergency Department ~1 h after aspiration showed bilateral diffuse exudative shadows and right upper lobe consolidation. (B) CT scan performed on the fifth day after treatment showed resolution of most of the interstitial opacities. The arrows represent exudative changes in the lungs.

Considering the experience with the treatment protocol presented in the two prior cases, nasal high-flow oxygen (oxygen flow 40 l/min; oxygen concentration 50%), ceftazidime 2 g every 12 h and sivelestat sodium (0.1 g three times/day using an intravenous pump for 7 days) were administered to the patient under significant pulmonary exudation early in the onset of the disease (within 24 h) and mild ARDS diagnosis (although the P/F of the patient was 314 mmHg under high-flow nasal cannula oxygen administration, the P/F of the patient was only 169 mmHg under nasal cannula oxygen administration), according to the aforementioned drug indications. Methylprednisolone was not used because of mild dyspnea and the presence of inhaled gastric contents. The patient had no pre-existing COPD or other illnesses, and high-flow oxygen was used solely for respiratory support and not for any therapeutic role. After 5 days, the ABG results had improved, showing PaO2, 157 mmHg; PaCO2, 30.7 mmHg; SaO2, 100%; and P/F, 314. Additionally, chest CT showed a significant improvement (Fig. 3B). The symptoms improved in the course of 7 days and the patient was subsequently discharged.

CT protocol

All images of the three patients were obtained with one of three CT systems [Aquilion TSX-101A (Toshiba Medical Systems; Canon Medical Systems Corporation), Optima 660 (GE Healthcare) or Somatom force (Siemens Healthineers)] with patients in the supine position. The imaging parameters were as follows: Tube voltage, 120 kVp; automatic tube current modulation; tube current, 30-70 mAs; pitch, 0.99-1.22 mm; matrix, 512x512; slice thickness, 10 mm; and field of view, 350x350 mm. All images were then reconstructed with a slice thickness of 0.625-1.250 mm with the same increment.

Discussion

The present report presents three cases of ARDS induced by acid inhalation, drowning and aspiration that resulted in chemical pneumonitis and pulmonary infection. Treatment with nasal high-flow oxygen and sivelestat sodium resulted in a good prognosis. Various causes of chemical pneumonitis can lead to overlapping clinical syndromes such as a cough, asthma and expectoration (9). In the three cases presented here, dyspnea and obvious exudative imaging changes appeared several hours after the accidents. Clinical manifestations are mainly determined by the nature of the substances and the amounts inhaled (10). Thus, a severity increase in the transition from transient hypoxemia to severe ARDS was apparent. To guide treatment and predict outcomes, it is helpful to clarify the specific clinical characteristics of each patient.

Commercial nitric acid (concentration, 52-68%) is generally mixed with a variety of nitrogen oxides (e.g., NO and NO2). In high-concentration environments, the corrosive effect of acids on the airways can lead to immediate death (11,12). In other cases, the acidity and corrosiveness of nitric and hydrofluoric acids may induce Acute lung injury/ARDS due to inflammatory and allergic reactions (13,14). In the physiological state, these acids are oxidized to nitrate or hydrofluoride, which is excreted by the kidneys (15). Hydrofluoric acid can cause fatal hypocalcemia and hypomagnesemia by specifically binding to calcium and magnesium ions (16). These symptoms were not observed in Case 1, which may be due to the low concentration of hydrofluoric acid in the mixture.

Although drowning can be prevented, it is the cause of approximately 63,000 deaths/year in China (17). Because of the large amount of liquid aspired, drowning patients initially develop pathophysiological manifestations of chemical pneumonitis, such as alterations in gas exchange, hypoxemia and decreased pulmonary compliance (18). The symptoms gradually worsen over time. Unlike acid inhalation, the clinical manifestations depend highly on the sanitary conditions of the drowning environment. A polluted environment is likely to induce polymicrobial infections. In Case 2, laboratory examination showed a significant increase in procalcitonin levels, which indicated a serious infection. Broad-spectrum antibiotics were prescribed and the patient eventually achieved good clinical outcomes.

In most cases, a microaspirated bacterial inoculum is cleared by the airways. Based on animal experiments, a pH<2.4 and a large amount (>120 ml) of gastric contents are needed to induce aspiration pneumonitis (4). Therefore, the use of glucocorticoids to alleviate the symptoms of aspiration pneumonitis remains controversial.

Inhalation of an infectious inoculum or secondary dysbacteriosis may lead to aspiration pneumonia (19). Although aspiration pneumonia is occasionally difficult to distinguish from aspiration pneumonitis, the latter is a distinct clinical condition. Aspiration pneumonia is a subset of bacterial pneumonia caused by inoculum aspiration. Aspiration pneumonitis refers to a pathophysiological disease characterized by ARDS. Aerobic and nosocomial bacteria (especially enteric Gram-negative bacteria) that can be treated with empirical antibiotics have been reported to be involved in the onset of aspiration pneumonia (20,21). Moreover, mild antibiotic treatment is appropriate to prevent secondary pneumonia caused by multidrug-resistant (MDR) pathogens. In Case 3, owing to the lack of signs of severe pneumonia, ceftazidime and sivelestat sodium were prescribed instead of glucocorticoids. Finally, the patient recovered within a short period.

The pathological progression of ARDS includes an inflammatory response (<6 h), alveolar edema (6-48 h) and pulmonary fibrosis (>48 h) (22). During the inflammatory response phase, damaged capillary endothelial cells induce the recruitment and activation of neutrophils, which can release a series of inflammatory factors, such as leukotrienes, peroxides and elastase. Elastase has the greatest hydrolytic effect on the alveolar basement membrane and extracellular matrix, resulting in the degradation of alveolar surfactants and, eventually, irreversible pulmonary fibrosis (23). Therefore, early intervention of inflammatory factors in the alveolar edema stage would be the ‘time window’ for ARDS treatment.

Glucocorticoids are widely used in the treatment of chemical pneumonitis because of their inhibitory effects on inflammatory responses (12,24). However, the use and dosage of glucocorticoids remain controversial. In the treatment guidelines for ARDS, glucocorticoids are not routinely recommended. To the best of our knowledge, only a few studies reported their ability to improve pulmonary compliance over a short-term course (25,26). Long-term use or an overdose of glucocorticoids can lead to airway necrosis and secondary MDR infections. The dose of glucocorticoids prescribed for ARDS induced by strong acid inhalation has become more conservative (27), aiming to balance therapeutic effects and the occurrence of complications. Clinicians are trying to use novel drugs to treat chemical pneumonitis, such as pirfenidone and acetylcysteine, and some studies reported positive therapeutic effects (28,29).

Sivelestat sodium is a competitive inhibitor of neutrophil elastase and was proven to be effective in treating acute lung injury. Sivelestat sodium can reduce the serum levels of inflammatory factors such as neutrophil elastase, IL-8, NO, and NO2. A study involving 110 patients with acute lung injury reported that sivelestat sodium markedly reduced mortality (30) in critically ill patients (31). Notably, sivelestat sodium inhibits neutrophil migration and the release of inflammatory factors, but does not affect other pathophysiological mechanisms of ARDS, such as chymotrypsin or plasminase (32). In the study, we hypothesise that sivelestat sodium is not applicable in patients with moderate or severe ARDS for whom a protective ventilation strategy is more effective. Therefore, we speculated that sivelestat sodium would be suitable for treating mild ARDS induced by chemical pneumonitis in its early stages (24-36 h). In the present study, all patients were treated with 4.8 mg/kg/day intravenous sivelestat sodium and experienced an effective relief of symptoms within the 7-day treatment period.

The current study had some limitations. Nasal high-flow oxygen, methylprednisolone and antibiotics were administered to all patients, making it difficult to determine which approach had the greatest impact on recovery. Nonetheless, in the present study, treatment with sivelestat sodium significantly contributed to the recovery of all patients. The shared characteristics among the patients were early disease onset (within 24 h), mild ARDS and the absence of underlying conditions such as COPD. Consequently, oxygen was administered only for respiratory support and not for therapeutic purposes. Antibiotics were prescribed solely to Cases 2 and 3 as preventive measures against pulmonary infections resulting from exposure to unclean water. However, the anti-infective properties of these antibiotics cannot be compared to those of sivelestat sodium. In Case 1, methylprednisolone played an effect similar role in the emergency relief of acute exacerbation symptoms at a minimal dose. In Case 2, methylprednisolone was administered owing to breathing difficulties, leading to an improved clinical outcome. In Case 3, anti-infective therapy with ceftazidime was administered due to unclean water inhalation. This treatment is weaker than silvelestat sodium in the rehabilitation of patients, which but is only a secondary effect to its anti-infective role. Nonetheless, the therapeutic application of sivelestat sodium provides valuable information for the clinical treatment of patients with a similar presentation. Additionally, clinical studies have shown that hormone use is controversial (33); therefore, silverestat sodium may be an effective combination or complementary therapy. The present authors expect that the successful strategies reported in the present study will stimulate further research to improve the understanding of the mechanisms underlying this treatment approach, thereby enabling patients with similar presentations to benefit from it.

Currently, few complications associated with sivelestat sodium have been reported. The drug indications only mention allergic reactions. The present study did not observe any abnormal liver function. The present cases indicated that sivelestat sodium is an effective supplement for treating chemical pneumonitis. However, the efficacy of sivelestat sodium in the treatment of ARDS with multiple organ dysfunction or chronic respiratory diseases remains unclear; therefore, future large-scale clinical studies are needed.

Acknowledgements

Not applicable.

Funding

Funding: This work was supported by the Scientific Research Project of Hubei Provincial Health and Family Planning Commission (grant no. WJ2019M123).

Availability of data and materials

All data generated or analyzed during this study are included in this published article.

Authors' contributions

LJ and WZ designed the study, searched the literature and wrote the first draft of the manuscript. XP, DL, YQ and YS collected and interpreted the relevant data. WZ and XP supervised the literature review and revised the manuscript for important intellectual content. LJ and WZ confirm the authenticity of all the raw data. All the authors read and approved the final version of the manuscript.

Ethics approval and consent to participate

This study was approved by the Institutional Review Board of Tongji Hospital and the requirement for informed consent was waived (approval no. TJ-IRB20220436).

Patient consent for publication

Consent for publication was signed by all patients.

Competing interests

The authors declare that they have no competing interests.

References

1 

Matthay MA, Zemans RL, Zimmerman GA, Arabi YM, Beitler JR, Mercat A, Herridge M, Randolph AG and Calfee CS: Acute respiratory distress syndrome. Nat Rev Dis Primers. 5(18)2019.PubMed/NCBI View Article : Google Scholar

2 

Jang JH, Hwang SY, Chung CR, Suh GY and Ko RE: Acute lung injury following occupational exposure to nitric acid. Acute Crit Care. 36:395–396. 2021.PubMed/NCBI View Article : Google Scholar

3 

Cerland L, Mégarbane B, Kallel H, Brouste Y, Mehdaoui H and Resiere D: Incidence and consequences of near-drowning-related pneumonia-a descriptive series from Martinique, French West Indies. Int J Environ Res Public Health. 14(1402)2017.PubMed/NCBI View Article : Google Scholar

4 

DiBardino DM and Wunderink RG: Aspiration pneumonia: A review of modern trends. J Crit Care. 30:40–48. 2015.PubMed/NCBI View Article : Google Scholar

5 

Jegan NK, Vithyatharan KS, Sakunthala SR and Rajasekaran D: Chemical pneumonitis. J Assoc Physicians India. 59(314)2011.PubMed/NCBI

6 

Neill S and Dean N: Aspiration pneumonia and pneumonitis: A spectrum of infectious/noninfectious diseases affecting the lung. Curr Opin Infect Dis. 32:152–157. 2019.PubMed/NCBI View Article : Google Scholar

7 

Miyoshi S, Hamada H, Ito R, Katayama H, Irifune K, Suwaki T, Nakanishi N, Kanematsu T, Dote K, Aibiki M, et al: Usefulness of a selective neutrophil elastase inhibitor, sivelestat, in acute lung injury patients with sepsis. Drug Des Devel Ther. 7:305–316. 2013.PubMed/NCBI View Article : Google Scholar

8 

Ferguson ND, Fan E, Camporota L, Antonelli M, Anzueto A, Beale R, Brochard L, Brower R, Esteban A, Gattinoni L, et al: The Berlin definition of ARDS: An expanded rationale, justification, and supplementary material. Intensive Care Med. 38:1573–1582. 2012.PubMed/NCBI View Article : Google Scholar

9 

Marik PE: Aspiration pneumonitis and aspiration pneumonia. N Engl J Med. 344:665–671. 2001.PubMed/NCBI View Article : Google Scholar

10 

Mandell LA and Niederman MS: Aspiration pneumonia. N Engl J Med. 380:651–663. 2019.PubMed/NCBI View Article : Google Scholar

11 

Murphy CM, Akbarnia H and Rose SR: Fatal pulmonary edema after acute occupational exposure to nitric acid. J Emerg Med. 39:39–43. 2010.PubMed/NCBI View Article : Google Scholar

12 

Kao SL, Yap ES, Khoo SM, Lim TK, Mukhopadhyay A and Teo ST: Acute lung injury after inhalation of nitric acid. Eur J Emerg Med. 15:348–350. 2008.PubMed/NCBI View Article : Google Scholar

13 

de Lange DW, Sikma MA and Meulenbelt J: Extracorporeal membrane oxygenation in the treatment of poisoned patients. Clin Toxicol (Phila). 51:385–393. 2013.PubMed/NCBI View Article : Google Scholar

14 

Purva SB and More KD: Acute lung injury after exposure to fumes of pickling paste in a fabrication worker. Indian J Occup Environ Med. 22:54–56. 2018.PubMed/NCBI View Article : Google Scholar

15 

Jayalakshmi TK, Shah S, Lobo I, Uppe A and Mehta A: Acute lung injury following exposure to nitric acid. Lung India. 26:149–151. 2009.PubMed/NCBI View Article : Google Scholar

16 

Sanz-Gallén P, Nogué S, Munné P and Faraldo A: Hypocalcaemia and hypomagnesaemia due to hydrofluoric acid. Occup Med (Lond). 51:294–295. 2001.PubMed/NCBI View Article : Google Scholar

17 

Wang L, Cheng X, Yin P, Cheng P, Liu Y, Schwebel DC, Liu J, Qi J, Zhou M and Hu G: Unintentional drowning mortality in China, 2006-2013. Inj Prev. 25:47–51. 2019.PubMed/NCBI View Article : Google Scholar

18 

Estella AA and Bello Fontaiña LP: Sea drowning: A case report and review of the literature. Monaldi Arch Chest Dis. 75:135–137. 2011.PubMed/NCBI View Article : Google Scholar

19 

Sanivarapu RR and Gibson J: Aspiration Pneumonia. In: StatPearls (Internet). Treasure Island (FL): StatPearls Publishing, 2023.

20 

Tokuyasu H, Harada T, Watanabe E, Okazaki R, Touge H, Kawasaki Y and Shimizu E: Effectiveness of meropenem for the treatment of aspiration pneumonia in elderly patients. Intern Med. 48:129–135. 2009.PubMed/NCBI View Article : Google Scholar

21 

El-Solh AA, Pietrantoni C, Bhat A, Aquilina AT, Okada M, Grover V and Gifford N: Microbiology of severe aspiration pneumonia in institutionalized elderly. Am J Respir Crit Care Med. 167:1650–1654. 2003.PubMed/NCBI View Article : Google Scholar

22 

Yadav H, Thompson BT and Gajic O: Fifty years of research in ARDS. Is acute respiratory distress syndrome a preventable disease? Am J Respir Crit Care Med. 195:725–736. 2017.PubMed/NCBI View Article : Google Scholar

23 

Voynow JA and Shinbashi M: Neutrophil elastase and chronic lung disease. Biomolecules. 11(1065)2021.PubMed/NCBI View Article : Google Scholar

24 

Britto J and Demling RH: Aspiration lung injury. New Horiz. 1:435–439. 1993.PubMed/NCBI

25 

Cho YJ, Moon JY, Shin ES, Kim JH, Jung H, Park SY, Kim HC, Sim YS, Rhee CK, Lim J, et al: Clinical practice guideline of acute respiratory distress syndrome. Tuberc Respir Dis (Seoul). 79:214–233. 2016.PubMed/NCBI View Article : Google Scholar

26 

Steinberg KP, Hudson LD, Goodman RB, Hough CL, Lanken PN, Hyzy R, Thompson BT and Ancukiewicz M: Efficacy and safety of corticosteroids for persistent acute respiratory distress syndrome. N Engl J Med. 354:1671–1684. 2006.PubMed/NCBI View Article : Google Scholar

27 

Bansal DP, Ambegaonkar R, Radhika P and Sharma M: ARDS following inhalation of hydrochloric acid. J Assoc Physicians India. 59:115–117. 2011.PubMed/NCBI

28 

Seifirad S: Pirfenidone: A novel hypothetical treatment for COVID-19. Med Hypotheses. 144(110005)2020.PubMed/NCBI View Article : Google Scholar

29 

Soltan-Sharifi MS, Mojtahedzadeh M, Najafi A, Reza Khajavi M, Reza Rouini M, Moradi M, Mohammadirad A and Abdollahi M: Improvement by N-acetylcysteine of acute respiratory distress syndrome through increasing intracellular glutathione, and extracellular thiol molecules and anti-oxidant power: Evidence for underlying toxicological mechanisms. Hum Exp Toxicol. 26:697–703. 2007.PubMed/NCBI View Article : Google Scholar

30 

Aikawa N and Kawasaki Y: Clinical utility of the neutrophil elastase inhibitor sivelestat for the treatment of acute respiratory distress syndrome. Ther Clin Risk Manag. 10:621–629. 2014.PubMed/NCBI View Article : Google Scholar

31 

Li H, Zhou X, Tan H, Hu Y, Zhang L, Liu S, Dai M, Li Y, Li Q, Mao Z, et al: Neutrophil extracellular traps contribute to the pathogenesis of acid-aspiration-induced ALI/ARDS. Oncotarget. 9:1772–1784. 2018.PubMed/NCBI View Article : Google Scholar

32 

Pu S, Wang D, Liu D, Zhao Y, Qi D, He J and Zhou G: Effect of sivelestat sodium in patients with acute lung injury or acute respiratory distress syndrome: A meta-analysis of randomized controlled trials. BMC Pulm Med. 17(148)2017.PubMed/NCBI View Article : Google Scholar

33 

Wiedemann HP and Tai DY: Adult respiratory distress syndrome (ARDS): Current management, future directions. Cleve Clin J Med. 64:365–372. 1997.PubMed/NCBI View Article : Google Scholar

Related Articles

  • Abstract
  • View
  • Download
  • Twitter
Copy and paste a formatted citation
Spandidos Publications style
Jing L, Peng X, Li D, Qin Y, Song Y and Zhu W: Treatment with sivelestat sodium of acute respiratory distress syndrome induced by chemical pneumonitis: A report of three cases. Exp Ther Med 26: 476, 2023.
APA
Jing, L., Peng, X., Li, D., Qin, Y., Song, Y., & Zhu, W. (2023). Treatment with sivelestat sodium of acute respiratory distress syndrome induced by chemical pneumonitis: A report of three cases. Experimental and Therapeutic Medicine, 26, 476. https://doi.org/10.3892/etm.2023.12175
MLA
Jing, L., Peng, X., Li, D., Qin, Y., Song, Y., Zhu, W."Treatment with sivelestat sodium of acute respiratory distress syndrome induced by chemical pneumonitis: A report of three cases". Experimental and Therapeutic Medicine 26.4 (2023): 476.
Chicago
Jing, L., Peng, X., Li, D., Qin, Y., Song, Y., Zhu, W."Treatment with sivelestat sodium of acute respiratory distress syndrome induced by chemical pneumonitis: A report of three cases". Experimental and Therapeutic Medicine 26, no. 4 (2023): 476. https://doi.org/10.3892/etm.2023.12175
Copy and paste a formatted citation
x
Spandidos Publications style
Jing L, Peng X, Li D, Qin Y, Song Y and Zhu W: Treatment with sivelestat sodium of acute respiratory distress syndrome induced by chemical pneumonitis: A report of three cases. Exp Ther Med 26: 476, 2023.
APA
Jing, L., Peng, X., Li, D., Qin, Y., Song, Y., & Zhu, W. (2023). Treatment with sivelestat sodium of acute respiratory distress syndrome induced by chemical pneumonitis: A report of three cases. Experimental and Therapeutic Medicine, 26, 476. https://doi.org/10.3892/etm.2023.12175
MLA
Jing, L., Peng, X., Li, D., Qin, Y., Song, Y., Zhu, W."Treatment with sivelestat sodium of acute respiratory distress syndrome induced by chemical pneumonitis: A report of three cases". Experimental and Therapeutic Medicine 26.4 (2023): 476.
Chicago
Jing, L., Peng, X., Li, D., Qin, Y., Song, Y., Zhu, W."Treatment with sivelestat sodium of acute respiratory distress syndrome induced by chemical pneumonitis: A report of three cases". Experimental and Therapeutic Medicine 26, no. 4 (2023): 476. https://doi.org/10.3892/etm.2023.12175
Follow us
  • Twitter
  • LinkedIn
  • Facebook
About
  • Spandidos Publications
  • Careers
  • Cookie Policy
  • Privacy Policy
How can we help?
  • Help
  • Live Chat
  • Contact
  • Email to our Support Team