Spandidos Publications Logo
  • About
    • About Spandidos
    • Aims and Scopes
    • Abstracting and Indexing
    • Editorial Policies
    • Reprints and Permissions
    • Job Opportunities
    • Terms and Conditions
    • Contact
  • Journals
    • All Journals
    • Oncology Letters
      • Oncology Letters
      • Information for Authors
      • Editorial Policies
      • Editorial Board
      • Aims and Scope
      • Abstracting and Indexing
      • Bibliographic Information
      • Archive
    • International Journal of Oncology
      • International Journal of Oncology
      • Information for Authors
      • Editorial Policies
      • Editorial Board
      • Aims and Scope
      • Abstracting and Indexing
      • Bibliographic Information
      • Archive
    • Molecular and Clinical Oncology
      • Molecular and Clinical Oncology
      • Information for Authors
      • Editorial Policies
      • Editorial Board
      • Aims and Scope
      • Abstracting and Indexing
      • Bibliographic Information
      • Archive
    • Experimental and Therapeutic Medicine
      • Experimental and Therapeutic Medicine
      • Information for Authors
      • Editorial Policies
      • Editorial Board
      • Aims and Scope
      • Abstracting and Indexing
      • Bibliographic Information
      • Archive
    • International Journal of Molecular Medicine
      • International Journal of Molecular Medicine
      • Information for Authors
      • Editorial Policies
      • Editorial Board
      • Aims and Scope
      • Abstracting and Indexing
      • Bibliographic Information
      • Archive
    • Biomedical Reports
      • Biomedical Reports
      • Information for Authors
      • Editorial Policies
      • Editorial Board
      • Aims and Scope
      • Abstracting and Indexing
      • Bibliographic Information
      • Archive
    • Oncology Reports
      • Oncology Reports
      • Information for Authors
      • Editorial Policies
      • Editorial Board
      • Aims and Scope
      • Abstracting and Indexing
      • Bibliographic Information
      • Archive
    • Molecular Medicine Reports
      • Molecular Medicine Reports
      • Information for Authors
      • Editorial Policies
      • Editorial Board
      • Aims and Scope
      • Abstracting and Indexing
      • Bibliographic Information
      • Archive
    • World Academy of Sciences Journal
      • World Academy of Sciences Journal
      • Information for Authors
      • Editorial Policies
      • Editorial Board
      • Aims and Scope
      • Abstracting and Indexing
      • Bibliographic Information
      • Archive
    • International Journal of Functional Nutrition
      • International Journal of Functional Nutrition
      • Information for Authors
      • Editorial Policies
      • Editorial Board
      • Aims and Scope
      • Abstracting and Indexing
      • Bibliographic Information
      • Archive
    • International Journal of Epigenetics
      • International Journal of Epigenetics
      • Information for Authors
      • Editorial Policies
      • Editorial Board
      • Aims and Scope
      • Abstracting and Indexing
      • Bibliographic Information
      • Archive
    • Medicine International
      • Medicine International
      • Information for Authors
      • Editorial Policies
      • Editorial Board
      • Aims and Scope
      • Abstracting and Indexing
      • Bibliographic Information
      • Archive
  • Articles
  • Information
    • Information for Authors
    • Information for Reviewers
    • Information for Librarians
    • Information for Advertisers
    • Conferences
  • Language Editing
Spandidos Publications Logo
  • About
    • About Spandidos
    • Aims and Scopes
    • Abstracting and Indexing
    • Editorial Policies
    • Reprints and Permissions
    • Job Opportunities
    • Terms and Conditions
    • Contact
  • Journals
    • All Journals
    • Biomedical Reports
      • Information for Authors
      • Editorial Policies
      • Editorial Board
      • Aims and Scope
      • Abstracting and Indexing
      • Bibliographic Information
      • Archive
    • Experimental and Therapeutic Medicine
      • Information for Authors
      • Editorial Policies
      • Editorial Board
      • Aims and Scope
      • Abstracting and Indexing
      • Bibliographic Information
      • Archive
    • International Journal of Epigenetics
      • Information for Authors
      • Editorial Policies
      • Editorial Board
      • Aims and Scope
      • Abstracting and Indexing
      • Bibliographic Information
      • Archive
    • International Journal of Functional Nutrition
      • Information for Authors
      • Editorial Policies
      • Editorial Board
      • Aims and Scope
      • Abstracting and Indexing
      • Bibliographic Information
      • Archive
    • International Journal of Molecular Medicine
      • Information for Authors
      • Editorial Policies
      • Editorial Board
      • Aims and Scope
      • Abstracting and Indexing
      • Bibliographic Information
      • Archive
    • International Journal of Oncology
      • Information for Authors
      • Editorial Policies
      • Editorial Board
      • Aims and Scope
      • Abstracting and Indexing
      • Bibliographic Information
      • Archive
    • Medicine International
      • Information for Authors
      • Editorial Policies
      • Editorial Board
      • Aims and Scope
      • Abstracting and Indexing
      • Bibliographic Information
      • Archive
    • Molecular and Clinical Oncology
      • Information for Authors
      • Editorial Policies
      • Editorial Board
      • Aims and Scope
      • Abstracting and Indexing
      • Bibliographic Information
      • Archive
    • Molecular Medicine Reports
      • Information for Authors
      • Editorial Policies
      • Editorial Board
      • Aims and Scope
      • Abstracting and Indexing
      • Bibliographic Information
      • Archive
    • Oncology Letters
      • Information for Authors
      • Editorial Policies
      • Editorial Board
      • Aims and Scope
      • Abstracting and Indexing
      • Bibliographic Information
      • Archive
    • Oncology Reports
      • Information for Authors
      • Editorial Policies
      • Editorial Board
      • Aims and Scope
      • Abstracting and Indexing
      • Bibliographic Information
      • Archive
    • World Academy of Sciences Journal
      • Information for Authors
      • Editorial Policies
      • Editorial Board
      • Aims and Scope
      • Abstracting and Indexing
      • Bibliographic Information
      • Archive
  • Articles
  • Information
    • For Authors
    • For Reviewers
    • For Librarians
    • For Advertisers
    • Conferences
  • Language Editing
Login Register Submit
  • This site uses cookies
  • You can change your cookie settings at any time by following the instructions in our Cookie Policy. To find out more, you may read our Privacy Policy.

    I agree
Search articles by DOI, keyword, author or affiliation
Search
Advanced Search
presentation
Experimental and Therapeutic Medicine
Join Editorial Board Propose a Special Issue
Print ISSN: 1792-0981 Online ISSN: 1792-1015
Journal Cover
December-2023 Volume 26 Issue 6

Full Size Image

Sign up for eToc alerts
Recommend to Library

Journals

International Journal of Molecular Medicine

International Journal of Molecular Medicine

International Journal of Molecular Medicine is an international journal devoted to molecular mechanisms of human disease.

International Journal of Oncology

International Journal of Oncology

International Journal of Oncology is an international journal devoted to oncology research and cancer treatment.

Molecular Medicine Reports

Molecular Medicine Reports

Covers molecular medicine topics such as pharmacology, pathology, genetics, neuroscience, infectious diseases, molecular cardiology, and molecular surgery.

Oncology Reports

Oncology Reports

Oncology Reports is an international journal devoted to fundamental and applied research in Oncology.

Experimental and Therapeutic Medicine

Experimental and Therapeutic Medicine

Experimental and Therapeutic Medicine is an international journal devoted to laboratory and clinical medicine.

Oncology Letters

Oncology Letters

Oncology Letters is an international journal devoted to Experimental and Clinical Oncology.

Biomedical Reports

Biomedical Reports

Explores a wide range of biological and medical fields, including pharmacology, genetics, microbiology, neuroscience, and molecular cardiology.

Molecular and Clinical Oncology

Molecular and Clinical Oncology

International journal addressing all aspects of oncology research, from tumorigenesis and oncogenes to chemotherapy and metastasis.

World Academy of Sciences Journal

World Academy of Sciences Journal

Multidisciplinary open-access journal spanning biochemistry, genetics, neuroscience, environmental health, and synthetic biology.

International Journal of Functional Nutrition

International Journal of Functional Nutrition

Open-access journal combining biochemistry, pharmacology, immunology, and genetics to advance health through functional nutrition.

International Journal of Epigenetics

International Journal of Epigenetics

Publishes open-access research on using epigenetics to advance understanding and treatment of human disease.

Medicine International

Medicine International

An International Open Access Journal Devoted to General Medicine.

Journal Cover
December-2023 Volume 26 Issue 6

Full Size Image

Sign up for eToc alerts
Recommend to Library

  • Article
  • Citations
    • Cite This Article
    • Download Citation
    • Create Citation Alert
    • Remove Citation Alert
    • Cited By
  • Similar Articles
    • Related Articles (in Spandidos Publications)
    • Similar Articles (Google Scholar)
    • Similar Articles (PubMed)
  • Download PDF
  • Download XML
  • View XML

  • Supplementary Files
    • Supplementary_Data.pdf
Case Report Open Access

Rare urachal mucinous cystic tumor of low malignant potential with peritoneal pseudomyxoma: A case report

  • Authors:
    • Lijiang Chen
    • Meijuan Di
    • Lijun Sun
    • Qiong Fu
  • View Affiliations / Copyright

    Affiliations: Department of Pathology, Xiaoshan Affiliated Hospital of Wenzhou Medical University, Hangzhou, Zhejiang 311200, P.R. China
    Copyright: © Chen et al. This is an open access article distributed under the terms of Creative Commons Attribution License.
  • Article Number: 555
    |
    Published online on: October 17, 2023
       https://doi.org/10.3892/etm.2023.12254
  • Expand metrics +
Metrics: Total Views: 0 (Spandidos Publications: | PMC Statistics: )
Metrics: Total PDF Downloads: 0 (Spandidos Publications: | PMC Statistics: )
Cited By (CrossRef): 0 citations Loading Articles...

This article is mentioned in:



Abstract

Mucinous cystic tumors of low malignant potential (MCTLMP) are rare urachal neoplasms. The morphological characteristics and clinical prognosis of MCTLMP is similar to that of mucinous cystic tumors occurring in the ovary and appendix. After complete resection, almost no cases of recurrence or metastasis have been reported. Because MCTLMP is rare, it may be missed in the clinic. MCTLMP can lead to the formation of pseudomyxoma peritonei (PMP), which manifests as the widespread production of mucus in the abdominal cavity and makes the disease complex or difficult to diagnose. At present, only 3 cases of MCTLMP with PMP have been reported in the literature. In the present study a fourth case of urachal MCTLMP in a 74‑year‑old male that resulted in widespread PMP is presented. Initially, a multilocular cystic lesion was revealed in the urachal duct area at the anterior upper margin of the bladder after a patient, experiencing lower abdominal pain, was imaged. As revealed using light microscopy, the cyst was lined with a mucous columnar epithelium, and part of the epithelium indicated pseudolamellar hyperplasia and papillary structures. The cells indicated mild atypia and low mitotic activity. There was no stromal infiltration of tumor cells, and a large amount of mucous exudate was observed. As preoperative computed tomography examination suggested the presence of a large amount of ascites and there were increased levels of blood tumor markers, carcinoembryonic antigen and carbohydrate antigen 125, clinicians considered that the diagnosis maybe a malignant tumor of the urachal gland with peripheral dissemination. However, the diagnosis of MCTLMP with PMP was confirmed by histopathological examination. The mass was completely removed, along with part of the peritoneum and bladder wall as these were within the tumor margin. The appendix appeared normal during surgery. A one off dose of intraperitoneal infusion chemotherapy with 1,000 mg 5‑fluorouracil was performed after surgery. No recurrence was observed during the 8‑month follow‑up period.

Introduction

The urachus, an embryological remnant, is a midline tubular structure connecting the anterior dome of the bladder and umbilicus, which is closed and degenerated before birth or in early infancy to form the median umbilical ligament (1). If the urachus persists after birth, tumors of various morphologies and biological behaviors may form; however, non-cystic adenocarcinoma is the most common, being reported in 83% of urachal epithelial neoplasms (2). Mucinous cystic tumors are rare and account for 17%, ranging from benign mucinous cystadenoma to low malignant potential mucinous cystic tumors and aggressive mucinous cystadenocarcinoma (2,3). Mucinous cystic tumors of low malignant potential (MCTLMP) have areas of mild epithelial proliferation (including flat, tufted, pseudopapillary, villous or tubule villous patterns), mild to moderate atypia, rare mitoses and stomal invasion. Intraepithelial carcinoma may arise from MCTLMP and is characterized by marked epithelial stratification, severe cellular atypia and abundant mitosis. MCTLMP is rare and only ~40 cases have been reported in the literature (4-10). MCTLMP not only has the potential for invasion and malignancy but can also lead to complications, such as pseudomyxoma peritonei (PMP). PMP is a rare clinical disease defined by an extensive intraperitoneal spread of mucus associated with a variety of mucinous tumors of different biological behaviors (11). The primary site of PMP in the majority of cases is the appendix, but other sites include the ovary, small bowel, stomach and pancreas. Its incidence is low(occurring in ~1-2 individuals per million), and disease progression is slow (12). Although PMP growth tends to remain confined to the abdomen for many years and hematogenous lymph node metastasis is uncommon, PMP demonstrates a tendency for local recurrence, often leading to multiple operations (11-14). The urinary tract can also be an uncommon origin of PMP. PMP caused by mucinous cystadenocarcinoma has been reported previously (14,15). Urachal MCTLMP can also cause PMP in cases of tumor rupture and although rare, it should not be ignored. Currently, only 3 cases of MCTLMP combined with PMP have been reported (15-17), and the diagnosis and treatment of this tumor is limited. The aim of the present case report was to examine a fourth case of MCTLMP with extensive PMP, analyze its clinicopathological features, biological behavior, differential diagnosis and prognosis, and review the literature to enhance the understanding of this tumor.

Case report

A 74-year-old male patient visited the Department of Emergency Surgery of Xiaoshan Affiliated Hospital of Wenzhou Medical University (Hangzhou, China) on 24th June 2022, because of right lower abdominal pain. The patient had persistent distension pain in the right lower abdomen 1 day prior to paroxysmal aggravation. An abdominal computed tomography (CT) scan indicated multilocular cystic lesions around the urachal duct (Fig. 1A) at the anterior upper margin of the bladder (Fig. 1B). The wall of the capsule was significantly enhanced, accompanied by ascites and extensive exudation in the abdomen and pelvic cavity. Malignant urachus tumors with peripheral dissemination were also considered. A physical examination of the abdomen and routine blood (white blood cell series, red blood cell series and platelet series) and biochemical tests (blood glucose, lipids and transaminases) all revealed no abnormalities. Hematologic tumor markers demonstrated that carbohydrate antigen 19-9 (CA19-9) was normal, while carcinoembryonic antigen (CEA) was increased at 13.95 µg/l (reference value, 0-5 µg/l) and carbohydrate antigen 125 (CA125) was increased at 41.3 kU/l (reference value, <35.0 kU/l). The medical history of the patient revealed that the patient had undergone lithotripsy for left ureteral calculi in 2017 and 2019. A preoperative CT scan of the urinary system revealed pelvic cystic lesions in both cases. A urachal cyst with calculi was considered but was not treated, because the patient had no discomfort. In addition, the patient had hypertension and diabetes for >10 years, but the blood pressure and sugar levels of the patient were well controlled. Exploratory laparotomy was performed by a urological surgeon on 5th July 2022. During surgery, a mass with a diameter of ~10 cm was revealed in the urachus, which adhered to the peritoneum below the umbilical tract and was connected to the top of the bladder below the mass. There were two small lacerations ~1 cm long, and a large amount of yellow jelly-like mucus was observed leaking out of the mass; the majority of the intestine was coated in the mucus. Rapid pathological examination of the excised mass during the operation suggested a mucinous tumor. Mucinous adenocarcinoma could not be excluded because of the formation of a large number of mucous lakes and the presence of cell atypia (although only mild). Therefore, radical resection of the urachal tumor and release of the intestinal adhesions were performed. During the operation, the mass, adhesion peritoneum and part of the bladder wall, ~1 cm from the mass, were completely removed. The appendix was normal in size and shape. After the bladder was rinsed with normal saline, the incision was sutured, and the abdominal cavity and intestines were rinsed with a large amount of sterilized water by injection to remove the jelly-like mucus.

Figure 1

Abdominal contrast-enhanced computed tomography examination. (A) Multilocular cystic mass (yellow arrow) in the urachus area with a significant enhancement of the cyst wall and extensive exudation in the abdominal pelvic cavity. (B) The cystic mass (yellow arrow) is attached to the top of the bladder (blue arrow).

A piece of gray and red nodular tissue from the resected tumor was examined. Sectioning of the tissue revealed a multilocular cyst, and the local cyst wall was broken and indistinct from the surrounding tissue. The cyst measured ~8x6x6 cm, and a jelly-like substance was detected in the cyst.

The tissue was fixed with 4% neutral formalin (24 h at 25˚C) and embedded in paraffin, and 4-µm serial sections were prepared that were subjected to hematoxylin and eosin staining (8 h at 25˚C). The sections were reviewed using a light microscope. Microscopically, cystic lesions lined with mucous columnar epithelial cells were observed with mucous secretions; a number of epithelia indicated pseudo-lamellar hyperplasia, while other areas indicated papillary structure, mild cell atypia, rare mitosis and cell morphology that was consistent with low-grade intraepithelial neoplasia (Figs. 2 and 3). Stromal infiltration of tumor cells was not observed. A large mucous lake without a cell lining could be observed in the interstitium (Fig. 4), composed of the surrounding fibrous tissue, with only a small amount of mucous epithelium floating locally.

Figure 2

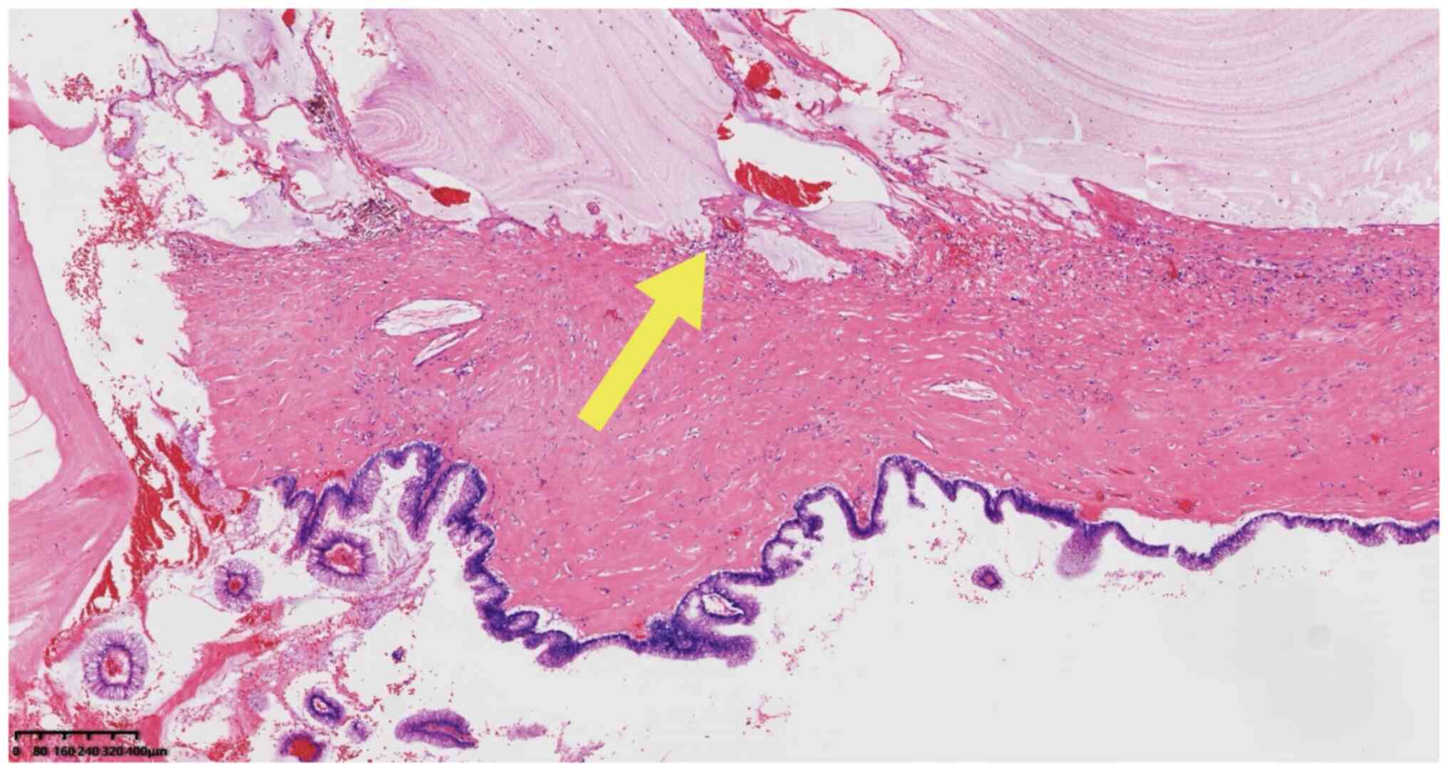
Hematoxylin and eosin staining revealing that the cyst was lined with a mucous columnar epithelium, demonstrating an epithelial hyperplasia and papillary structure (yellow arrow). Magnification, x20; scale bar, 1.25 mm.

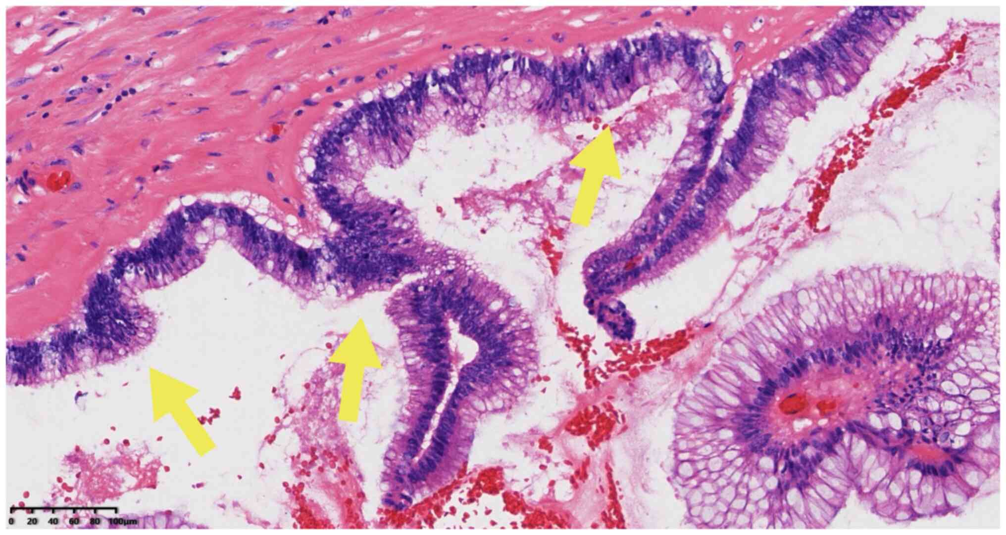
Figure 3

Hematoxylin and eosin staining revealing epithelial cells with pseudo-multilayer hyperplasia (yellow arrow), mild atypia, rare mitotic image and cell morphology consistent with low-grade intraepithelial neoplasia. Magnification, x200; scale bar, 100 µm.

Figure 4

Hematoxylin and eosin staining revealing large mucous lakes (yellow arrow) in the surrounding stroma with no signs of stromal infiltration. Magnification, x40; scale bar, 400 µm.

Immunohistochemical staining was performed using the EnVision Systems method as follows: Unstained slides were heated at 60˚C for 120 min, followed by dewaxing in xylene I, II and III for 10 min per cylinder at room temperature. The slides were rehydrated in 100% ethanol I, 100% ethanol II and 95% ethanol for 3 min each and, 85 and 75% ethanol for 1 min each, then rinsed with distilled water. The slides were placed in EDTA repair solution (1:50, pH 9.0, cat. no. MVS-0099 Fuzhou Maixin Biotechnology Development Co., Ltd.) at 100˚C for 20 min for antigen repair, washed with water after natural cooling, treated with 3% hydrogen peroxide solution for 10 min at room temperature and then rinsed with PBS. Ready-to-use endogenous peroxidase blocker included in the DAB Detection Kit (Polymer) (MaxVision DAB; cat. no. kit-0014; Fuzhou Maixin Biotechnology Development Co., Ltd.) was used according to the manufacturers protocol to block endogenous peroxidase activity. Primary antibodies were added and incubated at room temperature for 40 min, then washed with PBS three times. Membranes were then incubated with sheep anti-rat/rabbit IgG polymer horseradish peroxidase labeled (cat. no. PV8000D; Beijing Zhongshan Jinqiao Biotechnology Co., LTD.) secondary antibodies at room temperature for 15 min, and then washed with PBS 3 times. DAB color developing solution (Fuzhou Maixin Biotechnology Development Co., Ltd.) was used to visualize the staining and the slides were counterstained with hematoxylin for 1 min at room temperature. Slides were sealed with neutral gum and observed under a light microscope. Primary antibodies against cytokeratin (CK) 20 (1:200; cat. no. ZA-0574), CDX2 (ready-to-use; cat. no. ZA-0520), special AT-rich sequence-binding protein 2 (ready-to-use; cat. no. ZM-0163), GATA-3 (ready-to-use; cat. no. ZA-0661), Spalt like transcription factor 4 (ready-to-use; cat. no. ZM-0393), prostate-specific antigen (ready-to-use; cat. no. ZM-0218), α-methylacyl-CoA racemase (ready-to-use; cat. clone 13H4 no.ZA-0227) and Ki-67 (1:200; cat. clone UMAB107 no. ZM-0166) were from OriGene Technologies, Inc. and those against Villin (ready-to-use; cat. no. MAB-0540), β-catenin (ready-to-use; cat. no. MAB-0754), p53 (1:100; cat. no. MAB-0674), MLH1 (ready-to-use; cat. no. MAB-0789), MutS homolog 2 (ready-to-use; cat. no. MAB-0836), MutS Homolog 6 (ready-to-use; cat. no. MAB-0831), PMS1 homolog 2 (ready-to-use; cat. no. RMA-0775) and CK7 (ready-to-use; cat. no. KIT-0021) were from Fuzhou Maixin Biotechnology Development Co., Ltd. The immunohistochemical results revealed that cells were: Positive for CK20 (Fig. S1), CDX2 (Fig. S2), Villin (Fig. S3), β-catenin (Fig. S4), wild-type p53 (Fig. S5), special AT-rich sequence-binding protein 2 (Fig. S6), DNA mismatch repair protein MLH1 (Fig. S7), MutS homolog 2 (Fig. S8), MutS Homolog 6 (Fig. S9) and PMS1 homolog 2, mismatch repair system component (Fig. S10); negative for CK7 (Fig. S11), GATA-3 (Fig. S12), Spalt like transcription factor 4 (Fig. S13), prostate-specific antigen (Fig. S14) and α-methylacyl-CoA racemase (Fig. S15); and slightly positive for the proliferation marker Ki-67 (Fig. S16). The results were assessed using a digital slice scanner (Ningbo Jiangfeng Biological Information Technology Co., Ltd.).

On the basis of the location of the mucinous cyst in the urachus region, cell dysplasia and non-invasion of stroma, the pathological diagnosis was made as urachal mucinous cystic tumor of low malignant potential with peritoneal pseudomyxoma. A one off intraperitoneal infusion of 1,000 mg 5-fluorouracil was performed after surgery. The patient recovered well and had no other discomfort after an 8-month follow-up period and continues to undergo a regular review every three months.

Discussion

Urachal-derived tumors are usually difficult to detect due to their location and lack of characteristic clinical manifestations; therefore, they are not commonly diagnosed and treated in clinical settings. Histologically, the lumen of the urachal duct is lined with the urothelium, and epithelial tumors (such as adenoma, adenocarcinoma, non-adenocarcinoma and mixed tumors) can occur through metaplasia, while malignant non-cystic adenocarcinomas are more common (2). Mucous cystic tumors of the urachus are rare. Consequently, there was a lack of a uniform classification for this type of tumor until recently. In particular, the distinction between non-invasive mucinous cystic tumors with mild structural abnormalities, nuclear atypia and benign or invasive lesions was ambiguous, and the names were confusing, as evidenced from the multiple names used in the literature, such as mucinous tumor of uncertain malignant potential (5), urachal borderline mucinous cystadenoma (6) and urachal adenocarcinoma in situ (16). In 2016, the World Health Organization adopted the nomenclature proposed by Paner et al (18) and classified mucinous cystic tumors of the urachus into mucinous cystadenoma, invasive mucinous cystadenocarcinoma and MCTLMP. MCTLMP is a borderline mucinous cystic tumor that accounts for ~65% of urachal cystic tumors (18). Generally, MCTLMP appears as a mucus-rich multilocular cystic mass. Histologically, the cyst wall is lined with a mucous columnar epithelium. The presence of low-grade epithelial hyperplasia, including flat, tufted, pseudopapillary, villous and tubular villous structures, is the basis for diagnosis of low malignant potential (3). Cells demonstrating malignant features without stromal infiltration are referred to as MCTLMP with intraepithelial carcinoma (3). To date, to the best of our knowledge, 40 cases of MCTLMP have been reported in the literature, the majority of which are individual cases. The present study reviewed all the reported cases in the literature (including the present case), which consisted of 23 male and 18 female patients. The age distribution ranged from 26-80 years, with a median age of 50 years. The majority of cases occurred between the ages of 50 and 60 years. Tumor sizes ranged from 0.8-15.5 cm, with a mean size of 5.9 cm. Because of its location, MCTLMP often has no specific symptoms in its early stages, but the following symptoms may appear with enlargement of the tumor: i) Mucusuria, hematuria and frequent urination may occur when it connects with the bladder; ii) repeated mucus extravasation occurs when it connects with the umbilicus; and iii) if the tumor is disconnected from the bladder, and omphalus mucus retention increases gradually, resulting in an abdominal mass (8). Clinically, MCTLMP was mostly identified by accident through medical examinations for other disease without clear symptoms and then diagnosed after surgery (14 cases), followed by the clinical manifestations of abdominal pain (10 cases) and umbilical mass presentation (7 cases). The rarer clinical manifestations of all cases were hematuria (4 cases, including 1case with microscopic hematuria), mucusuria (3 cases) and umbilical mucus exudation (2 cases). Although these symptoms can also appear in patients with invasive adenocarcinoma, it has been reported that the latter more often manifests with hematuria (4), which may be associated with its invasive and destructive characteristics. It can be hypothesized that histologically, in addition to areas similar to those of mucinous cystadenomas, low-grade cellular or structural changes occur in the epithelium of the cyst wall. Atypical columnar epithelial hyperplasia usually contains one to three layers of cells, ranging from flat to tufted, pseudopapillary and villous, but without stromal infiltration.

Among the cases examined, 4cases were reported to be accompanied by PMP (including the present case). Their characteristics are described in Table I. As the tumor ruptures during growth, mucus enters the abdominal cavity and spreads widely to form PMP, as evidenced by the present case. All 4 patients with MCTLMP complicated by PMP were male, and 3 of them had abdominal pain as the first symptom, experiencing tumors >8 cm in size. In addition, the levels of the blood tumor markers CEA and CA125 were increased compared with the aforementioned reference values. Regarding the association between tumor markers and PMP, Agrawal et al (15) reported that ~42% of the mucinous tumors in the urachus complicated by PMP had increased levels of serum CEA and carbohydrate antigen 19-9 (CA19-9). In the present case, the CA19-9 levels were normal, while increased level of tumor markers was not indicated in the other 3 cases. Although serum CEA and CA19-9 are not disease specific markers, they are still useful and recommended for the initial diagnosis, evaluation of surgical effects and postoperative follow-up (19-24). The lack of characteristic symptoms and the slow clinical course of the disease often lead to diagnosis of PMP in the locally advanced stage (25,26). As observed in the present case, the presence of a large amount of mucus in the abdominal cavity enclosing the bowel, the presentation of a large amount of ascites on the CT image and the increased levels of tumor markers, which are common in malignant tumors, led both the radiologist and the clinician to assume preoperatively that the lesion was a highly aggressive adenocarcinoma. Even in rapid intraoperative pathological examination, it is difficult to exclude mucinous cystadenocarcinoma due to a certain degree of cell atypia and the presence of a large amount of mucus, as well as the limited sampling; therefore, the presence of visible PMP increases the difficulty of diagnosis.

Table I

Cases of urachal mucinous tumors of low malignant potential with PMP reported in the literature.

Table I

Cases of urachal mucinous tumors of low malignant potential with PMP reported in the literature.

First author, yearAge, yearsSexSymptomsSize, cmReported diagnosisPMPTreatmentTumor markerFollow-up, months (outcome)(Refs.)
Stenhouse et al, 200354MaleAbdominal pain14Urachal adenocarci noma in situYesNANA6(A)(16)
Shinohara et al, 200654MaleIncidental finding with left inguinal hernia9MCTLMPYesRadical excision, partial cystectomy, intraperitoneal lavage and 5'-deoxy-5-fluorouridine (1,200 mg/day) taken orally for 4 years.Normal CEA and CA19-984(A)(17)
Agrawal et al, 201450MaleIntermittent lower abdominal pain radiating to the back8Low-grade mucinous neoplasmYesTumorectomy, partial cystectomy and extended parietal peritonectomyNormal CEA and CA19-9NA(15)
Present case74MaleAbdominal pain8MCTLMPYesTumorectomy, partial cystectomy, extended parietal peritonectomy and peritoneal irrigation with 5-fluorouracilElevated CEA and CA1258 (A)NA

[i] NA, not available; PMP, pseudomyxoma peritonei; CEA, carcinoembryonic antigen; CA19-9, carbohydrate antigen 19-9; CA125, carbohydrate antigen 125; A, alive; MCTLMP, mucinous cystic tumor of low malignant potential.

The diagnosis of urachal MCTLMP is primarily based on histopathological examination. Ultrasonography can be used as a preliminary screening method but has low specificity (6). CT helps to provide accurate location, size and presence or absence of infiltration, regardless of PMP; however, because the morphology of the lining epithelium is not visible, its value is limited in determining the nature of the lesion (6,15). The present case was diagnosed as a urachal cyst on CT scan two times before the onset of symptoms, and was later suggested as a malignant tumor combined with PMP due to the presence of ascites. Therefore, we hypothesize that a combination of imaging and pathological morphology is conducive to the correct diagnosis. In the pathological diagnosis of MCTLMP, attention should be paid to differentiating it from mucinous cystadenoma and mucinous cystadenocarcinoma. Mucinous cystadenomas are usually lined with a single layer of mucous columnar epithelium with no cell atypia. Mucinous cystadenocarcinoma cells are atypically distinct, with small or obvious stromal infiltration (3). Due to the difference in prognosis, over-diagnosing low-grade MCTLMP as adenocarcinoma must be carefully monitored. By contrast, areas of heterogeneous or invasive cells may be focal, therefore extensive sampling and careful examination of multilocular cystic tumors is warranted. This is especially the case with intraepithelial carcinoma, where further sampling may be needed to avoid missing the focus of invasive carcinoma, since even a small number of invasive cancer cells have a potential prognostic impact (4). In addition, since the morphology of MCTLMP is similar to that of the more common low-grade mucinous tumors of ovarian and appendiceal origin, attention should be paid to identification, combined with imaging examination and intraoperative exploration of the appendices, ovaries and other organs. In particular, the possibility of the urachus as the origin should not be ignored when combined with PMP. It has been reported that the immunohistochemical markers CK7, CK20, CDX2, β-catenin, estrogen receptor and progesterone receptor can be used to distinguish primary and metastatic mucous cystic tumors, but their specificity is not strong (4); however, CK7 and β-catenin in combination has been suggested to be helpful in distinguishing MCTLMP from colorectal tumors (18). In the present case report, immunohistochemical analysis does not seem to add any diagnostic value.

In terms of treatment, complete surgical excision of MCTLMP has been suggested as the optimal treatment. Depending on the size and location of the tumor, tumor resection, urachus resection or urachus resection combined with partial cystectomy should be performed to prevent tumor rupture and avoid complications caused by mucus entering the abdominal cavity during surgery (4,6,8). In the present case, radical resection of the urachal tumor, adhesion peritoneum and part of the bladder wall were performed. There is no recommended optimal treatment plan for patients with PMP owing to the small number of cases. As peritoneal spread and local invasion are the main treatment problems, a number of studies suggest routine peritoneal chemotherapy (13,25). Previous studies have also revealed that the application of intraperitoneal thermochemotherapy has important advantages in treatment for PMP (14,19,27). In early cases of PMP with low-grade malignant histology, a previous study has recommended abandoning abdominal chemotherapy (28). One patient with PMP received 5-fluorouracil chemotherapy after surgery (17), as in the present case, and no recurrence was observed. A total of 18 patients (including 3 patients with PMP) were followed-up for 1-84 months. No recurrence or metastasis occurred after treatment, suggesting good prognosis of MCTLMP. Due to the limitations of current studies, including insufficient sample size, potential diagnostic biases and inaccessible/limited data, the true incidence of MCTLMP combined with PMP, the optimal treatment and the actual prognosis remain unclear. Therefore, observation of further cases is required. The follow-up of the present patient is ongoing.

In summary, the present study presented a rare case of urachal MCTLMP that required histopathological confirmation. MCTLMP can also cause PMP as in the present case. This finding suggests that when PMP is present, it should be considered that the PMP may originate from urachal MCTLMP. Treatment involves complete surgical excision, and postoperative adjuvant perfusion chemotherapy may be necessary for patients with PMP. Because MCTLMP is rare, more cases must be examined to further reveal its clinical characteristics and biological nature.

Supplementary Material

Tumor cells are positive for cytokeratin 20. Magnification, x100; scale bar, 200 μm.
Tumor cells are positive for CDX2. Magnification, x100; scale bar, 200 μm.
Tumor cells are positive for Villin. Magnification, x40; scale bar, 625 μm.
Tumor cells are membrane positive for β-catenin. Magnification, x100; scale bar, 200 μm.
Tumor cells are positive for wild type p53. Magnification, x100; scale bar, 200 μm.
Tumor cells are positive for special AT rich sequence binding protein 2. Magnification, x100; scale bar, 200 μm.
Tumor cells are positive for DNA mismatch repair protein MLH1. Magnification, x100; scale bar, 200 μm.
Tumor cells are positive for MutS homolog 2. Magnification, x100; scale bar, 200 μm.
Tumor cells are positive for MutS Homolog 6. Magnification, x100; scale bar, 200 μm.
Tumor cells are positive for PMS1 homolog 2, mismatch repair system component. Magnification, x100; scale bar, 200 μm.
Tumor cells are negative for cytokeratin 7. Magnification, x40; scale bar, 625 μm.
Tumor cells are negative for GATA 3. Magnification, x100; scale bar, 200 μm.
Tumor cells are negative for Spalt like transcription factor 4. Magnification, x40; scale bar, 625 μm.
Tumor cells are negative for prostate specific antigen. Magnification, x100; scale bar, 200 μm.
Tumor cells are negative for α methylacyl CoA racemase. Magnification, x40; scale bar, 625 μm.
Tumor cells are positive for Ki 67. Magnification, x100; scale bar, 200 μm.

Acknowledgements

Not applicable.

Funding

Funding: No funding was received.

Availability of data and materials

The datasets used and/or analyzed during the current study are available from the corresponding author on reasonable request.

Authors' contributions

LC and QF drafted the manuscript and analyzed patient data. LS was in charge of the case data collection, imaging of immunohistochemical staining and participated in data analysis. QF and MD revised the manuscript and interpreted the data. LC and QF confirm the authenticity of all the raw data. All authors agreed to be accountable for all aspects of the work. All authors have read and approved the final version of the manuscript.

Ethics approval and consent to participate

Not applicable.

Patient consent for publication

The patient provided written informed consent for the case study to be published.

Competing interests

The authors declare that they have no competing interests.

References

1 

Nguyen M, Addicott B, Chu J, Parham D and Kim E: Congenital cyst of the umbilical cord. Fetal Pediatr Pathol. 35:344–347. 2016.PubMed/NCBI View Article : Google Scholar

2 

Netto GJ, Amin MB, Berney DM, Compérat EM, Gill AJ, Hartmann A, Menon S, Raspollini MR, Rubin MA, Srigley JR, et al: The 2022 world health organization classification of tumors of the urinary system and male genital organs-part B: Prostate and urinary tract tumors. Eur Urol. 82:469–482. 2022.PubMed/NCBI View Article : Google Scholar

3 

Humphrey PA, Moch H, Cubilla AL, Ulbright TM and Reuter VE: The 2016 WHO classification of tumours of the urinary system and male genital organs-part B: Prostate and bladder tumours. Eur Urol. 70:106–119. 2016.PubMed/NCBI View Article : Google Scholar

4 

Amin MB, Smith SC, Eble JN, Rao P, Choi WW, Tamboli P and Young RH: Glandular neoplasms of the urachus: A report of 55 cases emphasizing mucinous cystic tumors with proposed classification. Am J Surg Pathol. 38:1033–1045. 2014.PubMed/NCBI View Article : Google Scholar

5 

Wang D and Sule N: Mucinous cystadenoma of the urachus and review of current classification of urachal mucinous cystic neoplasms. Arch Pathol Lab Med. 143:258–263. 2019.PubMed/NCBI View Article : Google Scholar

6 

Wu J, Liu A, Chen A and Zhang P: Urachal borderline mucinous cystadenoma: A rare case report and literature review. Medicine (Baltimore). 96(e8740)2017.PubMed/NCBI View Article : Google Scholar

7 

Chen L, Wei N, Zhou G, Hou Y, Cheng J and Lu C: Low malignant potential mucinous cystic tumor of urachus:Case report. Chin J Med Imaging Technol. 37(1254)2021.(In Chinese).

8 

Miao J, Shang P, Huang Y and Zhao X: Low malignant potential mucinous cystic tumor of urachus-Case report. Chin J Diffic and Compl Cas. 20:1263–1265. 2021.(In Chinese).

9 

Brennan K, Johnson P, Curtis H and Arnason T: Urachal mucinous cystic tumor of low malignant potential with concurrent sigmoid colon adenocarcinoma. Case Rep Gastrointest Med. 2019(1434838)2019.PubMed/NCBI View Article : Google Scholar

10 

Schmeusser B, Wiedemer J, Obery D, Buckley K and Yu M: Urachal mucinous cystic tumor of low malignant potential in a polymorbid female: A case report and review of the literature. Int Cancer Conf J. 11:104–108. 2022.PubMed/NCBI View Article : Google Scholar

11 

de Bree E, Witkamp A, Van De Vijver M and Zoetmulde F: Unusual origins of Pseudomyxoma peritonei. J Surg Oncol. 75:270–274. 2000.PubMed/NCBI View Article : Google Scholar

12 

Mukherjee A, Parvaiz A, Cecil TD and Moran BJ: Pseudomyxoma peritonei usually originates from the appendix: A review of the evidence. Eur J Gynaecol Oncol. 25:411–414. 2004.PubMed/NCBI

13 

Carr NJ, Finch J, Ilesley IC, Chandrakumaran K, Mohamed F, Mirnezami A, Cecil T and Moran B: Pathology and prognosis in pseudomyxoma peritonei: A review of 274 cases. J Clin Pathol. 65:919–923. 2012.PubMed/NCBI View Article : Google Scholar

14 

Yan TD, Sugarbaker PH and Brun EA: Pseudomyxoma peritonei from mucinous adenocarcinoma of the urachus. J Clin Oncol. 24:4944–4946. 2006.PubMed/NCBI View Article : Google Scholar

15 

Agrawal AK, Bobiński P, Grzebieniak Z, Rudnicki J, Marek G, Kobielak P, Kazanowski M, Agrawal S and Hałoń A: Pseudomyxoma peritonei originating from urachus-case report and review of the literature. Curr Oncol. 21:e155–e165. 2014.PubMed/NCBI View Article : Google Scholar

16 

Stenhouse G, McRae D and Pollock AM: Urachal adenocarcinoma in situ with pseudomyxoma peritonei: A case report. J Clin Pathol. 56:152–153. 2003.PubMed/NCBI View Article : Google Scholar

17 

Shinohara T, Misawa K, Sano H, Okawa Y and Takada A: Pseudomyxoma peritonei due to mucinous cystadenocarcinoma in situ of the urachus presenting as an inguinal hernia. Int J Clin Oncol. 11:416–419. 2006.PubMed/NCBI View Article : Google Scholar

18 

Paner GP, Lopez-Beltran A, Sirohi D and Amin MB: Updates in the pathologic diagnosis and classification of epithelial neoplasms of urachal origin. Adv Anat Pathol. 23:71–83. 2016.PubMed/NCBI View Article : Google Scholar

19 

Sugarbaker PH, Verghese M, Yan TD and Brun E: Management of mucinous urachal neoplasm presenting as pseudomyxoma peritonei. Tumori. 94:732–736. 2008.PubMed/NCBI View Article : Google Scholar

20 

Gupta S, Singh G, Gupta A, Singh H, Arya AK, Shrotriya D and Kumar A: Pseudomyxoma peritonei: An uncommon tumor. Indian J Med Paediatr Oncol. 31:58–61. 2010.PubMed/NCBI View Article : Google Scholar

21 

Adams E, Sepich-Poore GD, Miller-Montgomery S and Knight R: Using all our genomes: Blood-based liquid biopsies for the early detection of cancer. View (Beijing). 3(20200118)2022.PubMed/NCBI View Article : Google Scholar

22 

Cao J, Wang Y, Zhang Y and Qian K: Emerging applications of mass spectrometry-based metabolic fingerprinting in clinics. Adv Int Syst. 4(2100191)2022.

23 

Li Y, Bao Q, Yang S, Yang M and Mao C: Bionanoparticles in cancer imaging, diagnosis, and treatment. View. 3(20200027)2022.

24 

Wang L, Zhang M, Pan X, Zhao M, Huang L, Hu X, Wang X, Qiao L, Guo Q, Xu W, et al: Integrative serum metabolic fingerprints based multi-modal platforms for lung adenocarcinoma early detection and pulmonary nodule classification. Adv Sci (Weinh). 9(e2203786)2022.PubMed/NCBI View Article : Google Scholar

25 

Martínez A, Ferron G, Mery E, Gladieff L, Delord JP and Querleu D: Peritoneal pseudomyxoma arising from the urachus. Surg Oncol. 21:1–5. 2012.PubMed/NCBI View Article : Google Scholar

26 

Bartoška P, Antoš F, Vítek P, Marx J, Kopic J and Holečková P: Pseudomyxoma Peritonei. Klin Onkol. 32:329–332. 2019.PubMed/NCBI View Article : Google Scholar

27 

Mohamed F, Cecil T, Moran B and Sugarbaker P: A new standard of care for the management of peritoneal surface malignancy. Curr Oncol. 18:e84–e96. 2011.PubMed/NCBI View Article : Google Scholar

28 

Nozaki T, Yasuda K, Watanabe A and Fuse H: Laparoscopic management of urachal mucinous borderline tumor associated with pseudomyxoma peritonei. Surg Laparosc Endosc Percutan Tech. 21:e152–e155. 2011.PubMed/NCBI View Article : Google Scholar

Related Articles

  • Abstract
  • View
  • Download
  • Twitter
Copy and paste a formatted citation
Spandidos Publications style
Chen L, Di M, Sun L and Fu Q: Rare urachal mucinous cystic tumor of low malignant potential with peritoneal pseudomyxoma: A case report. Exp Ther Med 26: 555, 2023.
APA
Chen, L., Di, M., Sun, L., & Fu, Q. (2023). Rare urachal mucinous cystic tumor of low malignant potential with peritoneal pseudomyxoma: A case report. Experimental and Therapeutic Medicine, 26, 555. https://doi.org/10.3892/etm.2023.12254
MLA
Chen, L., Di, M., Sun, L., Fu, Q."Rare urachal mucinous cystic tumor of low malignant potential with peritoneal pseudomyxoma: A case report". Experimental and Therapeutic Medicine 26.6 (2023): 555.
Chicago
Chen, L., Di, M., Sun, L., Fu, Q."Rare urachal mucinous cystic tumor of low malignant potential with peritoneal pseudomyxoma: A case report". Experimental and Therapeutic Medicine 26, no. 6 (2023): 555. https://doi.org/10.3892/etm.2023.12254
Copy and paste a formatted citation
x
Spandidos Publications style
Chen L, Di M, Sun L and Fu Q: Rare urachal mucinous cystic tumor of low malignant potential with peritoneal pseudomyxoma: A case report. Exp Ther Med 26: 555, 2023.
APA
Chen, L., Di, M., Sun, L., & Fu, Q. (2023). Rare urachal mucinous cystic tumor of low malignant potential with peritoneal pseudomyxoma: A case report. Experimental and Therapeutic Medicine, 26, 555. https://doi.org/10.3892/etm.2023.12254
MLA
Chen, L., Di, M., Sun, L., Fu, Q."Rare urachal mucinous cystic tumor of low malignant potential with peritoneal pseudomyxoma: A case report". Experimental and Therapeutic Medicine 26.6 (2023): 555.
Chicago
Chen, L., Di, M., Sun, L., Fu, Q."Rare urachal mucinous cystic tumor of low malignant potential with peritoneal pseudomyxoma: A case report". Experimental and Therapeutic Medicine 26, no. 6 (2023): 555. https://doi.org/10.3892/etm.2023.12254
Follow us
  • Twitter
  • LinkedIn
  • Facebook
About
  • Spandidos Publications
  • Careers
  • Cookie Policy
  • Privacy Policy
How can we help?
  • Help
  • Live Chat
  • Contact
  • Email to our Support Team