Spandidos Publications Logo
  • About
    • About Spandidos
    • Aims and Scopes
    • Abstracting and Indexing
    • Editorial Policies
    • Reprints and Permissions
    • Job Opportunities
    • Terms and Conditions
    • Contact
  • Journals
    • All Journals
    • Oncology Letters
      • Oncology Letters
      • Information for Authors
      • Editorial Policies
      • Editorial Board
      • Aims and Scope
      • Abstracting and Indexing
      • Bibliographic Information
      • Archive
    • International Journal of Oncology
      • International Journal of Oncology
      • Information for Authors
      • Editorial Policies
      • Editorial Board
      • Aims and Scope
      • Abstracting and Indexing
      • Bibliographic Information
      • Archive
    • Molecular and Clinical Oncology
      • Molecular and Clinical Oncology
      • Information for Authors
      • Editorial Policies
      • Editorial Board
      • Aims and Scope
      • Abstracting and Indexing
      • Bibliographic Information
      • Archive
    • Experimental and Therapeutic Medicine
      • Experimental and Therapeutic Medicine
      • Information for Authors
      • Editorial Policies
      • Editorial Board
      • Aims and Scope
      • Abstracting and Indexing
      • Bibliographic Information
      • Archive
    • International Journal of Molecular Medicine
      • International Journal of Molecular Medicine
      • Information for Authors
      • Editorial Policies
      • Editorial Board
      • Aims and Scope
      • Abstracting and Indexing
      • Bibliographic Information
      • Archive
    • Biomedical Reports
      • Biomedical Reports
      • Information for Authors
      • Editorial Policies
      • Editorial Board
      • Aims and Scope
      • Abstracting and Indexing
      • Bibliographic Information
      • Archive
    • Oncology Reports
      • Oncology Reports
      • Information for Authors
      • Editorial Policies
      • Editorial Board
      • Aims and Scope
      • Abstracting and Indexing
      • Bibliographic Information
      • Archive
    • Molecular Medicine Reports
      • Molecular Medicine Reports
      • Information for Authors
      • Editorial Policies
      • Editorial Board
      • Aims and Scope
      • Abstracting and Indexing
      • Bibliographic Information
      • Archive
    • World Academy of Sciences Journal
      • World Academy of Sciences Journal
      • Information for Authors
      • Editorial Policies
      • Editorial Board
      • Aims and Scope
      • Abstracting and Indexing
      • Bibliographic Information
      • Archive
    • International Journal of Functional Nutrition
      • International Journal of Functional Nutrition
      • Information for Authors
      • Editorial Policies
      • Editorial Board
      • Aims and Scope
      • Abstracting and Indexing
      • Bibliographic Information
      • Archive
    • International Journal of Epigenetics
      • International Journal of Epigenetics
      • Information for Authors
      • Editorial Policies
      • Editorial Board
      • Aims and Scope
      • Abstracting and Indexing
      • Bibliographic Information
      • Archive
    • Medicine International
      • Medicine International
      • Information for Authors
      • Editorial Policies
      • Editorial Board
      • Aims and Scope
      • Abstracting and Indexing
      • Bibliographic Information
      • Archive
  • Articles
  • Information
    • Information for Authors
    • Information for Reviewers
    • Information for Librarians
    • Information for Advertisers
    • Conferences
  • Language Editing
Spandidos Publications Logo
  • About
    • About Spandidos
    • Aims and Scopes
    • Abstracting and Indexing
    • Editorial Policies
    • Reprints and Permissions
    • Job Opportunities
    • Terms and Conditions
    • Contact
  • Journals
    • All Journals
    • Biomedical Reports
      • Information for Authors
      • Editorial Policies
      • Editorial Board
      • Aims and Scope
      • Abstracting and Indexing
      • Bibliographic Information
      • Archive
    • Experimental and Therapeutic Medicine
      • Information for Authors
      • Editorial Policies
      • Editorial Board
      • Aims and Scope
      • Abstracting and Indexing
      • Bibliographic Information
      • Archive
    • International Journal of Epigenetics
      • Information for Authors
      • Editorial Policies
      • Editorial Board
      • Aims and Scope
      • Abstracting and Indexing
      • Bibliographic Information
      • Archive
    • International Journal of Functional Nutrition
      • Information for Authors
      • Editorial Policies
      • Editorial Board
      • Aims and Scope
      • Abstracting and Indexing
      • Bibliographic Information
      • Archive
    • International Journal of Molecular Medicine
      • Information for Authors
      • Editorial Policies
      • Editorial Board
      • Aims and Scope
      • Abstracting and Indexing
      • Bibliographic Information
      • Archive
    • International Journal of Oncology
      • Information for Authors
      • Editorial Policies
      • Editorial Board
      • Aims and Scope
      • Abstracting and Indexing
      • Bibliographic Information
      • Archive
    • Medicine International
      • Information for Authors
      • Editorial Policies
      • Editorial Board
      • Aims and Scope
      • Abstracting and Indexing
      • Bibliographic Information
      • Archive
    • Molecular and Clinical Oncology
      • Information for Authors
      • Editorial Policies
      • Editorial Board
      • Aims and Scope
      • Abstracting and Indexing
      • Bibliographic Information
      • Archive
    • Molecular Medicine Reports
      • Information for Authors
      • Editorial Policies
      • Editorial Board
      • Aims and Scope
      • Abstracting and Indexing
      • Bibliographic Information
      • Archive
    • Oncology Letters
      • Information for Authors
      • Editorial Policies
      • Editorial Board
      • Aims and Scope
      • Abstracting and Indexing
      • Bibliographic Information
      • Archive
    • Oncology Reports
      • Information for Authors
      • Editorial Policies
      • Editorial Board
      • Aims and Scope
      • Abstracting and Indexing
      • Bibliographic Information
      • Archive
    • World Academy of Sciences Journal
      • Information for Authors
      • Editorial Policies
      • Editorial Board
      • Aims and Scope
      • Abstracting and Indexing
      • Bibliographic Information
      • Archive
  • Articles
  • Information
    • For Authors
    • For Reviewers
    • For Librarians
    • For Advertisers
    • Conferences
  • Language Editing
Login Register Submit
  • This site uses cookies
  • You can change your cookie settings at any time by following the instructions in our Cookie Policy. To find out more, you may read our Privacy Policy.

    I agree
Search articles by DOI, keyword, author or affiliation
Search
Advanced Search
presentation
Experimental and Therapeutic Medicine
Join Editorial Board Propose a Special Issue
Print ISSN: 1792-0981 Online ISSN: 1792-1015
Journal Cover
February-2024 Volume 27 Issue 2

Full Size Image

Sign up for eToc alerts
Recommend to Library

Journals

International Journal of Molecular Medicine

International Journal of Molecular Medicine

International Journal of Molecular Medicine is an international journal devoted to molecular mechanisms of human disease.

International Journal of Oncology

International Journal of Oncology

International Journal of Oncology is an international journal devoted to oncology research and cancer treatment.

Molecular Medicine Reports

Molecular Medicine Reports

Covers molecular medicine topics such as pharmacology, pathology, genetics, neuroscience, infectious diseases, molecular cardiology, and molecular surgery.

Oncology Reports

Oncology Reports

Oncology Reports is an international journal devoted to fundamental and applied research in Oncology.

Experimental and Therapeutic Medicine

Experimental and Therapeutic Medicine

Experimental and Therapeutic Medicine is an international journal devoted to laboratory and clinical medicine.

Oncology Letters

Oncology Letters

Oncology Letters is an international journal devoted to Experimental and Clinical Oncology.

Biomedical Reports

Biomedical Reports

Explores a wide range of biological and medical fields, including pharmacology, genetics, microbiology, neuroscience, and molecular cardiology.

Molecular and Clinical Oncology

Molecular and Clinical Oncology

International journal addressing all aspects of oncology research, from tumorigenesis and oncogenes to chemotherapy and metastasis.

World Academy of Sciences Journal

World Academy of Sciences Journal

Multidisciplinary open-access journal spanning biochemistry, genetics, neuroscience, environmental health, and synthetic biology.

International Journal of Functional Nutrition

International Journal of Functional Nutrition

Open-access journal combining biochemistry, pharmacology, immunology, and genetics to advance health through functional nutrition.

International Journal of Epigenetics

International Journal of Epigenetics

Publishes open-access research on using epigenetics to advance understanding and treatment of human disease.

Medicine International

Medicine International

An International Open Access Journal Devoted to General Medicine.

Journal Cover
February-2024 Volume 27 Issue 2

Full Size Image

Sign up for eToc alerts
Recommend to Library

  • Article
  • Citations
    • Cite This Article
    • Download Citation
    • Create Citation Alert
    • Remove Citation Alert
    • Cited By
  • Similar Articles
    • Related Articles (in Spandidos Publications)
    • Similar Articles (Google Scholar)
    • Similar Articles (PubMed)
  • Download PDF
  • Download XML
  • View XML

  • Supplementary Files
    • Supplementary_Data1.pdf
    • Supplementary_Data2.pdf
Article Open Access

Clinical characteristics and prognostic analysis of patients with HIV and glioma: A case series and literature review

  • Authors:
    • Xinghuan Ding
    • Tingyu Liang
    • Bo Liang
    • Xingang Zhou
    • Jiamin Chen
    • Haili Gao
    • Fang Wang
    • Xinmei Zheng
    • Enshan Feng
  • View Affiliations / Copyright

    Affiliations: Department of Neurosurgery, Beijing Ditan Hospital, Capital Medical University, Beijing 100015, P.R. China, Department of Neurosurgery, Beijing Ditan Hospital, Capital Medical University, Beijing 100015, P.R. China, National Center for Infectious Disease, Beijing Ditan Hospital, Capital Medical University, Beijing 100015, P.R. China, National Center for Infectious Disease, Beijing Ditan Hospital, Capital Medical University, Beijing 100015, P.R. China
    Copyright: © Ding et al. This is an open access article distributed under the terms of Creative Commons Attribution License.
  • Article Number: 90
    |
    Published online on: January 8, 2024
       https://doi.org/10.3892/etm.2024.12380
  • Expand metrics +
Metrics: Total Views: 0 (Spandidos Publications: | PMC Statistics: )
Metrics: Total PDF Downloads: 0 (Spandidos Publications: | PMC Statistics: )
Cited By (CrossRef): 0 citations Loading Articles...

This article is mentioned in:



Abstract

Cerebral glial tumors have become increasingly common in human immunodeficiency virus (HIV)‑positive patients. The present study aimed to report a series of such cases, explore their clinical and pathological characteristics and subject all the reported cases to a survival analysis. The characteristics, management and prognosis of 10 HIV‑positive patients with brain gliomas enrolled in a single hospital were investigated in detail. Immunohistochemical assessment of CD31, CD68 and CD163 was performed in the 10 HIV‑positive patients with glioma and 18 HIV‑negative patients with glioma. The relevant literature was also reviewed using relevant search terms. The potential predictive factors were screened by univariate and multivariate logistic regression analyses, and a nomogram was established based on the potential predictive factors. A total of 50 patients, including the 10 primary cases, were included in the survival analysis. The median survival time was 9 months. The gliomas of HIV‑negative patients had a lower cell count of CD163+ cells than those of HIV‑positive patients. High CD4+ T‑cell count and the use of highly active antiretroviral therapy (HAART) tended to increase the median survival duration, although not significantly according to the log‑rank analysis. In the univariate analysis, only surgery, radiotherapy (RT) and World Health Organization (WHO) tumor grade had significant associations with overall survival. In the multivariate analysis, only RT and WHO grade were independent predictors. In conclusion, gliomas may occur more frequently in HIV‑positive populations than is currently recognized. The survival duration of most HIV‑positive patients with glioma is determined by the tumor rather than HIV status. Adjuvant radiotherapy and the WHO grade of the glioma are predicted to be independent prognostic factors. Surgical resection followed by RT plus regular HAART is recommended for patients with glioma who are HIV‑positive.

Introduction

Approximately 10% of patients with human immunodeficiency virus (HIV) develop intracerebral mass lesions during the course of the infection. Most of these lesions are found to be either primary central nervous system lymphoma (PCNSL) or toxoplasma encephalitis (TE), both of which are considered acquired immune deficiency syndrome (AIDS)-defining diseases by the Centers for Disease Control (1). However, HIV-independent cerebral tumors can also arise, albeit less commonly. Since 1996, the survival time after HIV infection has been prolonged as the use of highly active antiretroviral therapy (HAART) can reduce the occurrence of opportunistic infections (2). Thus, an increasing population may live to experience non-AIDS-defining malignancies, including brain glial tumors. Glioma, particularly glioblastoma multiforme (GBM), is the most common primary brain tumor in general adults, which also accounts for a large number of intracerebral masses in HIV-positive patients (3,4). It has been reported that the incidence of glioma is higher in HIV-positive patients than in the general population (5). However, the pathogenesis is unclear and an insufficient number of patients with such an occurrence has been previously studied and details published. The immune system in HIV-positive patients is defective, which may cause the tumor development processes of elimination, equilibrium and/or escape to be ineffective. This may result in the more frequent clinical presentation of tumors in patients at a younger age. HIV itself can also lead to tumor formation. Specifically, transcriptional transactivator may upregulate transforming growth factor-β (TGF-β) and platelet-derived growth factor (PDGF) signaling to induce cell proliferation. In addition, TGF-β signaling may be increased by the envelope protein gp120. The downstream effect of PDGF signaling may be enhanced by matrix protein p17 through activation of C-X-C motif chemokine receptors 1 and 2. Finally, tumor protein p53 may be inhibited by accessory protein negative factor, leading to increased mutagenesis and impaired DNA repair (6).

The present study reports on 10 HIV-positive patients with intracranial glial tumors, preliminarily explores the pathogenesis of these tumors, and summarizes previously reported cases in the literature, to further characterize their clinical and pathological features and identify the prognostic factors in this group of patients.

Materials and methods

Patient recruitment and data collection

Participants were recruited consecutively between April 2016 and December 2021 at the Department of Neurosurgery of Beijing Ditan Hospital, an infectious disease hospital affiliated with Capital Medical University (Beijing, China). A total of 10 HIV-infected patients with concurrent cerebral gliomas were retrospectively analyzed in the study. Their presentations, scans, CD4+ T cell counts, HIV loads, pathology, treatments and prognoses were collected and analyzed. Immunohistochemical assessment of CD31, CD68 and CD163 was performed in the 10 HIV-positive patients with glioma and 18 HIV-negative patients with glioma (Table SI). The CD4+ T cell counts and HIV load data of 33 patients with AIDS-related PCNSL (AR-PCNSL) and CD4+ T cell count data of another 17 HIV-negative patients with glioma (Tables SII and SIII) were compared with those of the HIV-positive patients with glioma. The study was approved by the Ethics Committee of Beijing Ditan Hospital.

Immunohistochemical staining

The protein expression levels of CD31, CD68, CD163, isocitrate dehydrogenase 1 (IDH1) and Ki-67 were assessed by immunohistochemistry. The tumor tissues excised during surgery were immediately placed in 10% formalin for fixation for 12 h at room temperature, processed by the automation-tissue-dehydrating machine according to the operation manual (HistoCore PEGASUS; Leica Microsystems, Inc.), followed by paraffin embedding and sectioning (4-µm). The tissues were then immersed in blocking reagent (H2O2) for 30 min at room temperature (diluted to 3% with distilled water). The primary antibodies CD31 (cat. no. ZA-0568), CD68 (cat. no. ZM-0060), CD163 (cat. no. ZM-0428), IDH1 R132H mutation-specific (cat. no. ZM-0447) and Ki-67 (cat. no. ZM-0166) were purchased from ZSGB-BIO (OriGene Technologies, Inc.) and used at a dilution of 1:100. All tissue sections were incubated with primary antibody at 4˚C overnight. A BOND Polymer Refine Detection secondary antibody (cat. no. DS9800; Leica Microsystems, Inc.) was then incubated with the tissue sections at room temperature for 30 min. Immunohistochemistry experiments were performed with a LEICA BOND-MAX automatic immunohistochemistry staining system. Immunostaining was assessed based on the number of positive cells in the tissues (magnification, x200 for CD31; magnification, x400 for IDH1, Ki-67, CD68 and CD163). A total of three different fields of view were randomly selected and observed under a Leica SP8 confocal microscope. The average of the combined counts was then calculated. The results were interpreted by two neuropathologists independently.

Data collection from PubMed

To gain an improved understanding of the relationship between clinical characteristics, including CD4+T cell count and HAART treatment, and the prognosis of this disease, the PubMed database was searched for articles published before February 2022 and the available literature on gliomas in patients with HIV was reviewed. The search strategy was [(HIV) OR (AIDS)] AND [(glioma) OR (astrocytoma) OR (oligodendroglioma) OR (glioblastoma multiforme)]. Cases eligible for further analysis were required to meet the following criteria: i) History of HIV before the diagnosis of glioma; and ii) confirmed histopathological diagnosis of glioma. The selection flow chart of the literature search is presented in Fig. S1.

The demographics (age and sex), CD4+ T cell count, the time interval between tumor and HIV diagnosis, lesion location, treatment [surgical resection (SR), stereotactic biopsy (SB), radiotherapy (RT) and chemotherapy (CTh)], pathological diagnosis, World Health Organization (WHO) tumor grade, critical events (alive or dead and the cause of death), and overall survival (OS) were extracted from the included articles. For analysis, the CD4+ T cell count was classified into two groups with a cut-off value of 200 cells/µl for AIDS diagnosis, and the WHO glioma grade was classified into two groups, specifically low-grade for WHO grades 1 and 2, and high-grade for WHO grades 3 and 4. Five cases with no recorded survival time were excluded from the survival analysis.

Statistical analysis

SPSS statistical package (version 24.0; IBM Corp.) was used to perform the statistical analysis. The Shapiro-Wilk method was used to determine the normality of the continuous data. Unpaired Student's t-test was used to analyze the normally distributed continuous CD31+, CD68+ and CD163+ cell counts. Kruskal-Wallis H test followed by Dunn-Bonferroni tests was used to analyze the non-normally distributed continuous CD4+ T cell counts of the AR-PCNSL, HIV-glioma and non-HIV-glioma cohorts. Mann-Whitney U two-sample test was used to analyze the non-normally distributed continuous variable of HIV load between the AR-PCNSL and HIV-glioma cohorts. Spearman correlation was used to test associations between CD4+ T cell count, HIV load and the histological WHO grade of tumors, and between the CD163+ cell count and the IDH1, Ki-67, WHO grade and the OS. The Kaplan-Meier method was used to estimate survival curves and the log-rank test was used for comparison. Univariate and multivariate analyses were performed using Cox regression models to screen potential predictive factors. Statistically significant risk factors (P<0.05) in the univariate analysis and clinically important factors were considered for further multivariate analysis. Finally, the significant risk factors based on the multivariate analysis were included in the nomogram construction. The 0.5 and 1-year OS probabilities were estimated using the nomogram. Concordance index (C-index) and area under the receiver operating characteristic curve (AUC) were used to evaluate discriminative ability. Calibration plots were used to evaluate calibrating ability. R software (version 3.6.2; http://www.r-project.org/) was used to establish the nomogram. P<0.05 was considered to indicate a statistically significant difference, and all tests were two-sided.

Results

Characteristics of patients

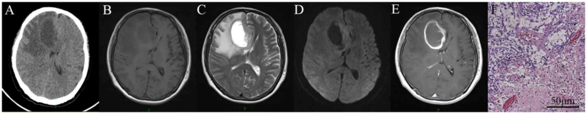
The 10 HIV-positive patients with glioma who were enrolled in the present study comprised 5 patients with GBM, 2 patients with anaplastic astrocytomas (AAs), 2 patients with anaplastic oligodendrogliomas and 1 case of astrocytoma. These patients represented 2.8% (10/3,631) of all patients infected with HIV, 12.5% (10/80) of all patients with HIV-associated focal mass lesions and 3.4% (10/294) of all patients with cerebral gliomas at the Department of Neurosurgery of Beijing Ditan Hospital. At the time of diagnosis, the patients comprised 9 men and 1 woman with a mean age of 36.7 years (range, 23-57 years). Seizures were reported by 4 patients at their initial presentation. The others presented with intracranial hypertension, limb hemiplegia or aphasia. All the brain lesions were supratentorial, with the majority located in the cerebral hemisphere, and only one in the paraventricular region and two at the basal ganglia. Lymphocyte profiles were available for all the patients. The median CD4+ T-cell count and HIV load at glioma presentation were 441 cells/µl (range, 96-925 cells/µl) and 10 copies/ml (range, 0-9,704 copies/ml), respectively. None of the patients had any pre-existing systemic tumors or had developed AIDS-defining diseases, such as Kaposi's sarcoma, PCNSL, TE or PML. In a number of these cases, the intracranial tumors were detected several years after HIV diagnosis, with an interval ranging from 50 days to 10 years, with a median of 4 years. All the patients received regular HAART treatment after the detection of HIV, with the exception of one who privately withdrew from the use of drugs after 2 years of regular medication and had a high HIV load of 9,704 copies/ml at glioma detection. The radiological and pathological images of the patients appeared consistent with immunocompetent glioma (Fig. 1). The treatments received included SR, SB, RT and CTh, which differed from the standard algorithm for AIDS-defining diseases, such as the treatment of Toxoplasma gondii for TE and high-dose methotrexate-based chemotherapy for PCNSL. The therapeutic regimens of RT and CTh were applied according to the guidelines of the Chinese Glioma Cooperative Group, Society for Neuro-Oncology of China and Chinese Brain Cancer Association, and varied by taking into consideration the tumor grade, patient age, performance status and tumor molecular features (7). At the time of follow-up, half of the patients had died due to tumor progression. The median survival time was 7.5 months after tumor diagnosis. Patient characteristics, management and outcomes are summarized in Table I.

Figure 1

Radiological and pathological images of a 53-year-old male patient with human immunodeficiency virus and glioblastoma multiforme. (A) Computed tomography, (B) MRI-T1-WI, (C) MRI-T2-WI, (D) diffusion-WI and (E) contrast-enhanced T1-WI. (F) Hematoxylin and eosin staining. MRI, magnetic resonance imaging; WI, weighted imaging.

Table I

Characteristics of HIV-positive patients with brain glial tumors treated at Beijing Ditan Hospital.

Table I

Characteristics of HIV-positive patients with brain glial tumors treated at Beijing Ditan Hospital.

No.Age, years/ sex CD4+T-cell count, cells/µlHIV load, copies/ml Intervala/ HAART, yearsTumor locationClinical manifestationSurgeryTumor typeWHO gradeIDH1Ki-67, %RTCThSurvival, daysCause of death
128/M373<205/1R. fronto-temporal lobeIntracranial hypertensionSRAO3+5YY225Tumor
233/M962283/3L. basal gangliaLimb hemiplegia and aphasiaSBAA3-5NN31Tumor
325/M9250<1/<1L. temporo-parietal lobeLimb hemiplegia and aphasiaSRGBM4-40NN30Tumor
443/M454805/5L. basal gangliaSeizure and intracranial hypertensionSRGBM4-20NN18Tumor
557/M13706/6L. paraventricular regionLimb hemiplegia and aphasiaSRGBM4-30YY189 +Alive
653/M195010/10R. frontal lobeLimb hemiplegiaSRGBM4-80YY75+Alive
740/M602<207/7L. frontal lobeSeizureSRAO3+20YY106+Alive
823/M4289,7043/2L. frontal lobeSeizureSBAA4+25YN90+Alive
936/F54503/2R. fronto-temporal lobeIntracranial hypertensionSRGBM4+10NN30Tumor
1029/M64901/1R. frontal lobeSeizureSRA2+3YN1,941+Alive

[i] aInterval between HIV diagnosis and tumor presentation. HIV, human immunodeficiency virus; HAART, highly active antiretroviral therapy; WHO, World Health Organization; IDH1, isocitrate dehydrogenase 1; RT, radiation therapy; CTh, chemotherapy; M, male; F, female; R, right; L, left; SR, surgical resection; SB, stereotactic biopsy; AO, anaplastic oligodendroglioma; AA, anaplastic astrocytoma; GBM, glioblastoma multiforme; A, astrocytoma; N, no; Y, yes.

In the pathological analysis, there was a trend of longer survival in IDH1-positive patients compared with IDH1-negative patients (log-rank, P=0.219; Fig. S2A and B). In addition, there was no difference between the Ki-67 high expression group (≥30%) and low expression group (<30%) (log-rank, P=0.778; Fig. S2C and D). The HIV-positive patients with glioma had a lower count of CD163+ cells compared with the 18 HIV-negative patients with glioma (P=0.039); however, no significant difference in CD68+ and CD31+ counts was detected (P=0.162 and P=0.148, respectively; Figs. S3 and S4). In further correlation analysis, no association between the CD163+ cell count and IDH1, Ki-67, WHO grade or OS was detected (P=0.496, P=0.853, P=0.186 and P=0.159, respectively). Compared with the 33 patients with AR-PCNSL, the HIV-positive patients with glioma had a higher CD4+ T-cell count (adjusted P=0.004; Fig. 2A) and lower HIV load (P=0.001; Fig. 2B). However, no significant difference in the CD4+ T-cell count of the HIV-positive patients with glioma and the 17 HIV-negative patients with glioma was observed (adjusted P=0.451; Fig. 2A). In addition, no significant association was identified between the CD4+ T-cell count and either the WHO histological grade of the tumor (P=0.790) or HIV load (P=0.728). Moreover, no association between CD4+ T-cell count and tumor outcome was identified (P=0.815), possibly because of the limited sample size. To explore the impact of CD4+ T-cell count on the prognosis of such patients and identify the other prognostic factors, the literature was searched to identify previous reports of HIV-positive patients with glioma.

Figure 2

Comparison of CD4+ T-cell count and HIV load in different cohorts. (A) CD4+ T-cell count in HIV-positive patients with glioma (n=10) compared with patients with AR-PCNSL (n=33) and HIV-negative patients with glioma (n=17). (B) The HIV-positive glioma patient cohort had a lower HIV load than the patients with AR-PCNSL. HIV, human immunodeficiency virus; AR-PCNSL, acquired immunodeficiency syndrome-primary central nervous system lymphoma.

Characteristics of previously published cases

A total of 658 articles were identified by a literature search for evaluation. Following selection according to the PRISMA guidelines, 21 publications from 1988 to 2018 were included (1,3-5,8-24), including 45 cases of gliomas with HIV infection (Table II). Among these tumors, there were 21 (46.6%) GBMs, 16 (35.6%) astrocytomas, 7 (15.6%) AAs and 1 (2.2%) oligodendroglioma. The mean age of the patients was 38.4 years (range, 16-60 years). Among the 40 patients whose sex was reported, 33 (82.5%) were male and the other 7 were female (17.5%). Patients were diagnosed HIV-positive a mean of 3.8 years (range, 0-16 years) prior to tumor presentation. At the time of glioma diagnosis, the mean CD4+ T-cell count was 316.2±189.9 cells/µl (range, 42-610 cells/µl). Most of the gliomas were located in the cerebral hemisphere. More than half of these patients (29/45, 64.4%) died during the follow-up period. Among the patients for which the cause of death was recorded, all but 5 died from the progressive effect of the brain tumor (20/25, 80%). In addition, 2 patients died from surgical complications, specifically, postoperative pulmonary embolism and intracerebral hematoma. The other 3 patients died due to opportunistic AIDS-associated infections: Pneumocystis carinii pneumonia in 2 cases and cytomegalovirus in 1 case. The 45 reviewed cases are summarized in Table II.

Table II

HIV-positive patients with glioma reported in the literature.

Table II

HIV-positive patients with glioma reported in the literature.

First author/s, yearAge, years/sex Intervala, yearsCD4 count, cells/µlHAARTTumor locationSurgeryRTCThTumor typeWHO gradeSurvival, daysCause of death(Refs.)
Gasnault et al, 198843/M--NL. occipital lobeSBNNA212Intracerebral hematoma(8)
 19/M--NL. parietal lobeSBYNGBM4365Tumor 
Carrana et al, 199034/M--NR. parietal lobeSBYNAA31,095Tumor(9)
Ho et al, 199137/M2-NL. temporal lobeSBNNAA330CMV(10)
Kasantikul et al, 199232/M0.17257NL. parieto-occipital lobeSBNNAA33Tumor(11)
Chappell et al, 1992---N-SB--A2555-(12)
Chamberlain, 199432/M2-NR. temporal lobeSRYYAA3570Tumor(1)
 38/M4-NR. frontal lobeSRYYGBM4300+Alive 
Moulignier et al, 199448/M080NBilateral frontal lobeSBNNGBM4180Tumor(3)
 30/M1.08605NR. parietal parasagittalSBNNA2-b- 
 43/M0.25200NL. parieto-occipital lobeSBNNA211Pulmonary embolism 
 34/M0417NSubthalamicSBYNA2210Tumor 
Gervasoni et al, 1995--54NL. parietal lobeSBNNAA410Tumor(13)
 --54NL. parietal lobe and corpus callosumSBYNA2270Tumor 
 --405NL. thalamusSBNNA1365PCP 
 --405NL. paraventricular parietooccipital regionSBYNA2540+Alive 
Neal et al, 199635/M2280NL. temperal lobeSBNNGBM460Tumor(14)
Tacconi et al, 199622/M--NL.temperal lobeSBYNA2600Tumor(4)
 32/M--NL. frontal lobeSBYNA2300+Alive 
 44/M--NR. basal gangliaSBYYAA3210PCP 
 38/M--NR. frontal lobeSBYNA2180+Alive 
Monforte et al, 199728/M-270N-SBYNA2270Tumor(15)
 34/M-436N-SBYNA2450+Alive 
Blumenthal et al, 199936/M6112N-SRx2YYGBM4270-(5)
 60/M11-N-SBYYGBM4450+Alive 
 38/F0490N-Necropsy?NNGBM41Tumor 
 44/M4-Y-SRYYGBM4270- 
 41/M11408N-SRYYGBM490Tumor 
 38/M0225N-SRYNA24,320+Alive 
Vannemreddy et al, 200029/M--NCorpus callosumSBYNGBM4120Tumor(16)
Wolff et al, 200231/M--NBrainstemSBNNGBM460Tumor(17)
Corti et al, 200431/F-42YR. frontal lobeSRNNO2840+Alive(18)
Hall and Short, 200933/M3610YL. frontal lobeSRx2YYGBM4390Tumor(19)
 50/F10600YR. frontal lobeSRNNGBM4780+Alive 
 43/M-400YR. temporal lobeSRx2YYGBM4365Tumor 
 42/F--NL. basal gangliaSBNNGBM460Tumor 
Chaudry et al, 201355/M3423YBrainstemSBNNAA330+Alive(20)
Brassesco et al, 201316/F16--Both frontal lobesSBYYGBM490Tumor(21)
de Oliveira et al, 201442/F0.566YL. fronto-temporal lobeNecropsyNNGBM430Tumor(22)
Wang et al, 201853/M---L. temperal lobeSRNYGBM4240-(23)
 46/M4-YR. parietal lobeSRYYGBM4450+Alive 
Jokonya et al, 201829/F-81Y----A2-b-(24)
 47/M-530Y----A2-b- 
 52/M-530Y----GBM4-b- 
 57/M-240N----GBM4-b- 

[i] aInterval between HIV diagnosis and tumor presentation;

[ii] bcases removed from the survival analysis due to the lack of survival information. HIV, human immunodeficiency virus; HAART, highly active antiretroviral therapy; RT, radiation therapy; CTh, chemotherapy; WHO, World Health Organization; M, male; F, female; N, no; Y, yes; R, right; L, left; SB, stereotactic biopsy; SR, surgical resection; A, astrocytoma; GBM, glioblastoma multiforme; AA, anaplastic astrocytoma; O, oligodendroglioma; PCP, Pneumocystis carinii pneumonia; CMV, cytomegalovirus.

The mean OS of these patients was 23.7 months, whereas the median survival time was 9 months. This was slightly higher than that of the primary patient cohort, perhaps due to the lower proportion of high-grade gliomas (27/40, 67.5% vs. 9/10, 90%). A total of 50 cases, including the 10 cases reported in the present study and 40 cases in the published articles, excluding the 5 cases for which no survival time was reported, were further subjected to a survival analysis. Seven parameters, namely the age of onset, CD4+ T-cell count (0-200 and >200 cells/µl), HAART treatment (no/yes), surgery (SB/SR), RT (no/yes), CTh (no/yes), and WHO grade (low-grade/high-grade) were analyzed for their association with OS.

CD4+ T-cell count and HAART

Patients were classified into two cohorts based on CD4+ T-cell count (0-200 and >200 cells/µl) and HAART (no/yes). The median survival was 180±89 days for patients with a low CD4+ T-cell count (n=10) and 270±75 days for patients with a high CD4+ T-cell count (n=21). The median survival was 365±109 days for patients treated with HAART (n=18) and 270±47 days for patients not treated with HAART (n=30). There was a trend of increased median survival with higher CD4+ T-cell count and HAART treatment; however, no statistically significant difference was detected between the subgroups according to the log-rank analysis of Kaplan-Meier curves (P=0.366 and P=0.303, respectively; Fig. 3A and B). The additional univariate analysis also found no statistically significant relationship of CD4+ T-cell count and HAART with OS (P=0.381 and P=0.318, respectively; Table III). However, in clinical practice, HAART is considered an important therapy for such patients. Therefore, this parameter was included in further multivariate Cox regression models.

Figure 3

Kaplan-Meier curves for OS based on clinical parameters. Effects of different clinical parameters on the OS of human immunodeficiency virus-positive patients with glioma. Log-rank tests and Kaplan-Meier curves were used to compare differences between subgroups with regard to (A) CD4+ T-cell count, (B) HAART, (C) CTh, (D) surgery type, (E) RT and (F) WHO grade. OS, overall survival; HAART, highly active antiretroviral therapy; CTh, chemotherapy; SR, surgical resection; SB, stereotactic biopsy; RT, radiotherapy; WHO, World Health Organization.

Table III

Univariate and multivariate analyses for risk factors of overall survival.

Table III

Univariate and multivariate analyses for risk factors of overall survival.

 Univariate analysisMultivariate analysis
VariablesSubgroupFrequency, n (%)HR (95% CI)P-valueHR (95% CI)P-value
Onset age--0.988 (0.952-1.026)0.534--
CD40-20010 (32.3)0.659 (0.259-1.675)0.381--
 >20021 (67.7)  --
HAARTNo30 (62.5)0.674 (0.318-0.674)0.3180.582 (0.189-1.795)0.346
 Yes18 (37.5)    
SurgerySB28 (58.3)0.460 (0.217-0.976)0.0430.548 (0.185-1.623)0.278
 SR20 (41.7)    
RTNo28 (57.1)0.257 (0.124-0.532)<0.0010.210 (0.092-0.480)<0.001
 Yes21 (42.9)    
CThNo33 (67.3)0.739 (0.337-1.622)0.451--
 Yes16 (32.7)  --
WHO gradeLow15 (30.0)2.455 (1.089-5.535)0.0303.079 (1.270-7.464)0.013
 High35 (70.0)    

[i] HR, hazard ratio; HAART, highly active antiretroviral therapy; SB, stereotactic biopsy; SR, surgical resection; RT, radiation therapy; CTh, chemotherapy; WHO, World Health Organization.

Onset age, surgery, RT, CTh and WHO grade

Univariate analysis showed that onset age and CTh did not influence OS (P=0.534 and P=0.451, respectively; Table III). In addition, no trend of longer survival was observed in patients who received adjuvant therapy with CTh (log-rank P=0.436; Fig. 3C). The log-rank analysis of Kaplan-Meier curves based on surgery, RT and WHO grade showed significant differences between the subgroups (P=0.034, P<0.001 and P=0.022, respectively; Fig. 3D-F). In the univariate analysis, these three parameters also exhibited significant differences (P=0.043, P<0.001 and P=0.030, respectively).

Parameters related to OS

The three significant parameters, along with HAART, were included in the multivariate Cox regression model. Only RT and WHO grade were independent prognostic parameters (P<0.001 and P=0.013, respectively). High WHO tumor grade was identified as a factor that increased the risk of death by 3.079-fold with a 95% CI of 1.270-7.464. In addition, RT substantially reduced the risk of death by 0.210-fold (95% CI, 0.092-0.480).

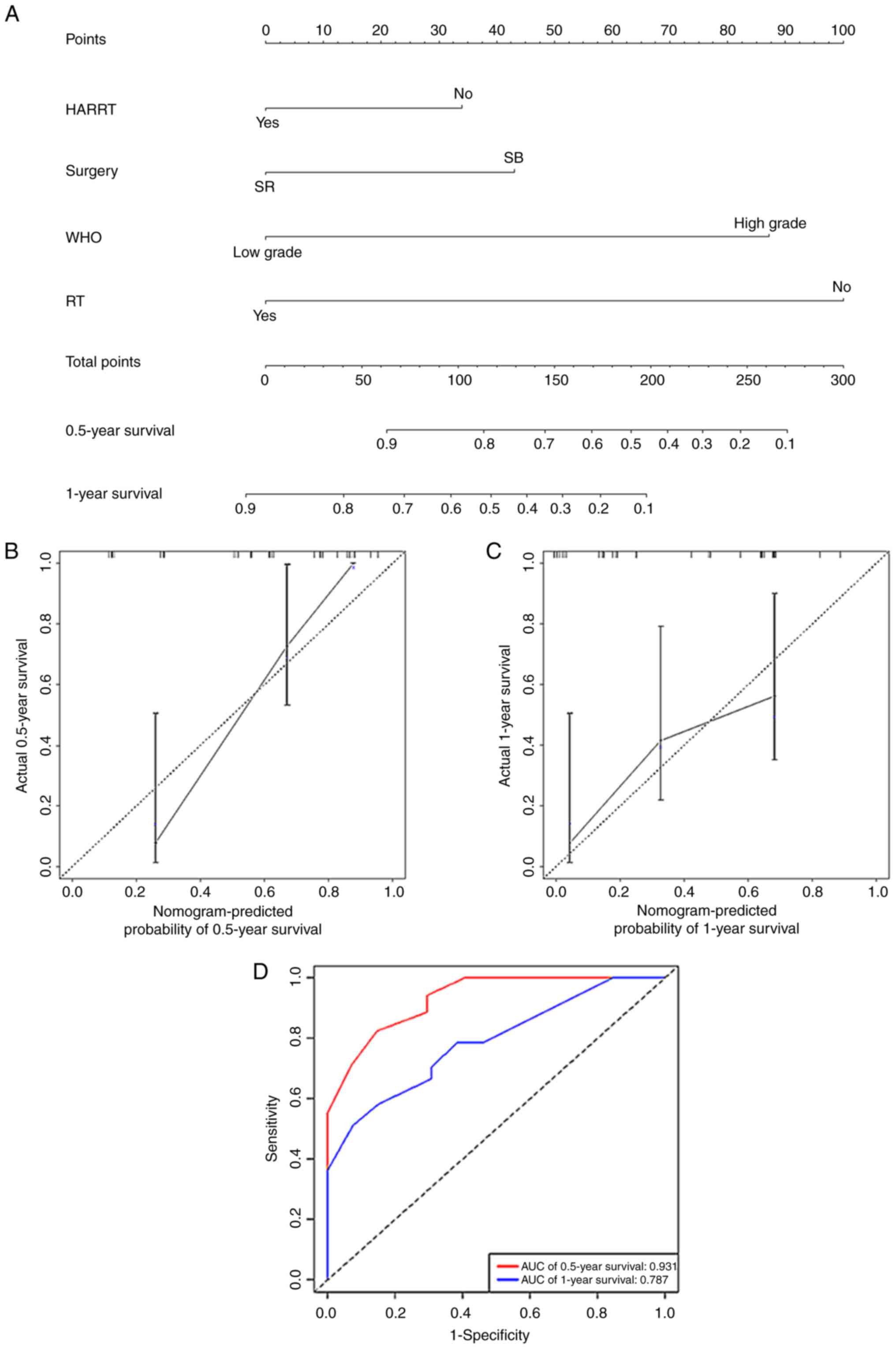
Nomogram construction

A nomogram (Fig. 4A) for predicting the 0.5- and 1-year survival rates of such patients was established based on HAART (no/yes), surgery (SB/SR), RT (no/yes) and WHO grade (low-grade/high-grade). The nomogram had a high C-index of 0.774 (95% CI, 0.703-0.845) for assessment of the predictive model. Calibration plots and receiver operating characteristic curves for the nomogram model were established. The calibration curves indicated that the predicted 0.5- and 1-year survival rates were consistent with the actual results in the cohort (Fig. 4B and C). The AUC value of the nomogram for 0.5-year survival was 0.931 and for 1-year survival was 0.787 (Fig. 4D), suggesting that the model had good predictive ability.

Figure 4

Nomogram construction, calibration plot and ROC curves of the nomogram model for human immunodeficiency virus-positive patients with glioma. (A) Nomogram for the prediction of 0.5- and 1-year survival rates of patients based on four independent prognostic factors: HAART, surgery type, WHO grade and RT. Calibration plots of the nomogram model for (B) 0.5 and (C) 1-year survival. (D) ROC curves of the nomogram model. ROC, receiver operating characteristic; HAART, highly active antiretroviral therapy; WHO, World Health Organization; SR, surgical resection; SB, stereotactic biopsy; RT, radiotherapy; AUC, area under the receiver operating characteristic curve.

Discussion

Neurological involvement is increasingly common in HIV-positive patients. It has been reported that 40-60% of patients with AIDS have concurrent neurological disorders (25). In addition to the most commonly identified focal intracerebral pathological entities, which include cryptococcosis, tuberculoma, PML, PCNSL and TE, other entities should be considered in the differential diagnosis of lesions that affect the central nervous system (CNS) in HIV-positive patients due to divergent treatment options and prognosis. The survival duration of patients with HIV has increased by a large margin due to the use of HAART which can reduce opportunistic infections. In 2017, the incidence rate of HIV infection in China was estimated to be 0.025-0.50 per 1,000 population (26). The prevalence of glioma in individuals who are not infected with HIV was reportedly 0.05-0.06% worldwide from 2010 to 2014 (7,27); by comparison, its prevalence in HIV-positive individuals in the present study was ~2.8%, which is considerably higher than that in the immunocompetent population. Among patients with HIV-related focal mass lesions, glioma was detected 6% in two cohorts in the 1990s before the utilization of HAART (3,4), and in 12.5% of the patients enrolled in the current study. These data indicate that the presence of glioma in HIV-positive patients with focal mass lesions may be more common than is currently recognized, particularly in the era after the introduction of HAART. This may be due to the survival time after infection with HIV being prolonged (2).

The pathogenesis of glioma in HIV-positive individuals was explored in the present study via analysis of the macrophage markers CD68 and CD163, and the endothelial cell marker CD31. The gliomas of HIV-positive patients had a lower cell count of CD163+ cells but no difference in CD68+ and CD31+ cell counts compared with those of HIV-negative patients. CD163 is a differentiation marker of M2 phenotype tumor-associated macrophages (TAMs). Therefore, the results suggest that HIV-positive glioma may have a lower proportion of M2-phenotype TAMs which are considered to create a supportive stroma for tumor growth (28). In a previous study, CD163 expression was found to have a positive association with the malignant grade of glioma and IDH wild-type glioma, and higher CD163 expression indicated a significantly poor survival in patients with gliomas (28). In the patients of the present study, however, no association between CD163+ cell count and IDH1, Ki-67, WHO grade or OS was detected, possibly because of the limited sample size. Further analysis with a larger sample size is necessary to further investigate this.

In the total cohort in the present study, the majority of deaths were tumor-related (25/30, 83.3%), and the median survival time was only 9 months, which is much lower than that of immunocompetent patients with glioma. The poor prognosis of these patients may be due to the presumptive diagnosis of PCNSL or TE for HIV-positive patients with focal cerebral mass lesions. These patients received empiric treatment, instead of undergoing diagnosis by biopsy or resection surgery, particularly when the CD4+ T lymphocyte count was <200 cells/µl. The poor prognosis of these cases may be associated with a delay in the establishment of the correct diagnosis and ineffective empiric treatment, which caused the optimal opportunity for the most appropriate therapy to be missed. The establishment of a correct diagnosis is crucial before the initiation of further treatment. Therefore, in atypical cases or cases with no clinical or neuroradiological remission following empirical treatment for TE or PCNSL, an immediate aggressive approach is required to confirm the diagnosis.

Among all the cases in the present study, more patients who underwent conservative surgery via SB than SR (58.3 vs. 41.7%), According to log-rank analysis, SR resulted in a longer survival than SB (P=0.034). However, univariate and multivariate logistic regression analysis showed that surgery type was a predictive rather than an independent factor (P=0.043 and P=0.278, respectively). Postoperative RT was found to be an independent predictor (P<0.001) for OS. However, there was no trend of longer survival in patients who received CTh, possibly due to the limited number of samples from patients who received CTh (16 cases). These results indicate that SR followed by RT should be recommended for HIV-positive patients with glioma, as it is in the general population, particularly those with high-grade glioma, since a high tumor grade is also an independent risk factor for a shorter survival time. It is well known that the WHO grade in glioma plays an important role in prognosis prediction. However, it has not been well studied in HIV patients with concurrent glioma. Furthermore, not enough samples are available for a separate analysis for the rare concurrence of these two diseases. Also, previous studies have analyzed different graded of glioma together when looking for prognostic factors (29,30).

Most of the patients who participated in the survival analysis were younger than non-HIV infected glioma patients, with a mean age of ~37 years. At the time of glioma diagnosis, patients had a low CD4+ T-cell count with a median interval from HIV diagnosis of 3 years (50 days-11 years). This suggests that gliomas may occur earlier and more frequently in this population. Hajjar et al (31) showed that the incidence of non-AIDS-defining malignancies in patients with AIDS was 5.4-fold higher than that of the general population. This phenomenon may be due to the inhibitory effect of HIV infection on immune surveillance accelerating the development of malignant tumors (32). However, in the current univariate logistic regression analysis, CD4+ T-cell count and HAART status did not affect OS, and only a trend of increased median OS with high CD4+ T-cell count and HAART treatment was observed. This may be due to the majority of the patients succumbing to tumor-related factors (25/30, 83.3%) before lethal AIDS-related complications developed. However, there were some patients (3/50, 6%) who died due to AIDS complications. Therefore, it remains strongly recommended to regularly administer HAART, particularly protease inhibitors, to such patients to inhibit HIV replication and restore their immune function. Moreover, protease inhibitors can promote the inhibition of vascular endothelial growth factors and reduce angiogenesis, which is the main mechanism of malignant tumor growth (33).

The present study reports the largest series of patients with concurrent HIV infection and glioma. The clinical characteristics, management and prognosis of 10 patients were evaluated and the relevant literature on gliomas in HIV/AIDS patients was also reviewed. A total of 45 cases were extracted from 21 different articles and survival analysis with a sample of 50 cases was conducted. The analysis found that early age of onset and CTh were not associated with OS in this population, although these factors are commonly recognized as being beneficial in immunocompetent patients with glioma; this may be due to the limited sample size. At the initial diagnosis of glioma, the CD4+ T-cell count and HAART status were not found to affect OS, but a trend of increased median survival with high CD4+ T-cell count and HAART treatment was identified. Adjuvant RT and the WHO grade of the glioma were found to be independent prognostic factors. The results also indicate that glioma may occur more commonly than is currently recognized in this population. Therefore, in addition to the most common AIDS-defining diseases, glioma should be included in the differential diagnosis of contrast-enhanced CNS lesions in patients with HIV. When the diagnosis remains uncertain, SB or direct SR should be performed in selective cases to avoid inappropriate treatment. When the diagnosis of glioma is confirmed, the approach to the management of the tumor should be the same as that in the general population. SR followed by RT plus regular HAART is recommended for the treatment of HIV-positive patients with glioma. Tumor progression, as opposed to AIDS-related complications, determines patient survival and is the leading cause of mortality. Despite multiple aggressive therapies, the median survival time after diagnosis is <1 year. In the present study, a nomogram containing four factors that performed well in predicting the 0.5- and 1-year survival rates was developed. As evidenced by the calibration plot and its discriminative ability, the nomogram provides accurate survival probability, which can assist clinicians, patients and families in decision-making and prognosis prediction for cases with concurrent HIV infection and glioma.

There are several limitations of the present study. This retrospective study was based on a small sample population due to the rare incidence of the concurrence of HIV and glioma. Patients who succumbed to HIV infection and surgical complications were not excluded, which may have contributed to some statistical bias. Future studies with larger cohorts and molecular pathological analyses are required to corroborate the effect of HIV infection on the development of gliomas. Furthermore, the nomogram model was based only on treatment strategies and WHO grade risk factors. Other promising risk factors, such as molecular features observed in immunocompetent glioma patients, may be included to further improve the performance of the model.

Supplementary Material

Flow chart representation of the systematic literature review performed according to PRISMA guidelines.
Kaplan-Meier curves for OS based on (A) IDH1 status, alongside representative immunohistochemical imaging of (B) IDH1+ and (C) IDH1-. Kaplan-Meier curves for OS based on (D) Ki-67 level, alongside representative immunohistochemical imaging of (E) Ki-67 20% and (F) Ki-67 80%. IDH, isocitrate dehydrogenase 1. OS, overall survival.
Comparison of CD31+, CD68+ and CD163+ cell counts between gliomas from HIV-positive and -negative patients. Gliomas from HIV-positive patients had a lower count of CD163+ cells, but no difference in CD31+ and CD68+ counts. *P<0.05. HIV, human immunodeficiency virus; HPF, high-power field at a magnification of x400; ns, not significant.
Immunohistochemical imaging of CD31, CD68 and CD163 in gliomas from HIV-positive and -negative patients (magnification, x400). HIV, human immunodeficiency virus.
Immunohistochemical staining results for CD31, CD68 and CD163 in 10 HIV-positive patients with glioma (ID no. 1-10) and 18 HIV-negative patients with glioma (ID no. 11-28).
CD4+T cell count and HIV load of 33 patients with acquired immunodeficiency syndromerelated primary central nervous system lymphoma.
CD4+T cell count of 17 HIV-negative patients with glioma.

Acknowledgements

Not applicable.

Funding

Funding: The study was funded by The Seedling Plan of Beijing Ditan Hospital Research Fund (grant no. DTYM-202106), Key Laboratory Open Research of Beijing Ditan Hospital (grant no. DTKF-202203) and Beijing Municipal Administration of Hospitals Incubating Program (grant no. PX-2024065).

Availability of data and materials

The datasets used and/or analyzed during the current study are available from the corresponding author on reasonable request.

Authors' contributions

XD, TL and EF were responsible for conceptualization. XD and BL curated the data. TL and EF acquired funding. BL, TL and EF performed the investigations. XD and XZho were responsible for methodology. TL and EF performed project administration. XZhe and FW contributed to the acquisition of clinical data. XZho, HG and JC contributed to the acquisition of experimental data. XD was responsible for software. TL and EF supervised the study. EF validated and visualized the results. XD wrote the original draft of the manuscript, and BL and TL reviewed and edited the manuscript. EF and TL confirm the authenticity of all the raw data. All authors read and approved the final version of the manuscript.

Ethics approval and consent to participate

The study was approved by The Ethics Committee of Beijing Ditan Hospital (approval no. KY 2022-029-001). Written informed consent was obtained from all the patients included in the study.

Patient consent for publication

The patient or their parent, guardian or next of kin provided written informed consent for the publication of any associated data and accompanying images.

Competing interests

The authors declare that they have no competing interests.

References

1 

Chamberlain MC: Gliomas in patients with acquired immune deficiency syndrome. Cancer. 74:1912–1914. 1994.PubMed/NCBI View Article : Google Scholar

2 

Engels EA, Pfeiffer RM, Goedert JJ, Virgo P, McNeel TS, Scoppa SM and Biggar RJ: HIV/AIDS Cancer Match Study. Trends in cancer risk among people with AIDS in the United States 1980-2002. AIDS. 20:1645–1654. 2006.PubMed/NCBI View Article : Google Scholar

3 

Moulignier A, Mikol J, Pialoux G, Eliaszewicz M, Thurel C and Thiebaut JB: Cerebral glial tumors and human immunodeficiency virus-1 infection. More than a coincidental association. Cancer. 74:686–692. 1994.PubMed/NCBI View Article : Google Scholar

4 

Tacconi L, Stapleton S, Signorelli F and Thomas DG: Acquired immune deficiency syndrome (AIDS) and cerebral astrocytoma. Clin Neurol Neurosurg. 98:149–151. 1996.PubMed/NCBI View Article : Google Scholar

5 

Blumenthal DT, Raizer JJ, Rosenblum MK, Bilsky MH, Hariharan S and Abrey LE: Primary intracranial neoplasms in patients with HIV. Neurology. 52:1648–1651. 1999.PubMed/NCBI View Article : Google Scholar

6 

Mendez Valdez MJ, Lu VM, Kim E, Rivas SR, Govindarajan V, Ivan M, Komotar R, Nath A, Heiss JD and Shah AH: Glioblastoma multiforme in patients with human immunodeficiency virus: An integrated review and analysis. J Neurooncol. 159:571–579. 2022.PubMed/NCBI View Article : Google Scholar

7 

Jiang T, Nam DH, Ram Z, Poon WS, Wang J, Boldbaatar D, Mao Y, Ma W, Mao Q, You Y, et al: Clinical practice guidelines for the management of adult diffuse gliomas. Cancer Lett. 499:60–72. 2021.PubMed/NCBI View Article : Google Scholar

8 

Gasnault J, Roux FX and Vedrenne C: Cerebral astrocytoma in association with HIV infection. J Neurol Neurosurg Psychiatry. 51:422–424. 1988.PubMed/NCBI View Article : Google Scholar

9 

Carrana EJ, Rossitch E, Moore MR and Funkenstein HH: Anaplastic astrocytoma in association with human immunodeficiency virus type 1 infection. Am J Emerg Med. 8:565–567. 1990.PubMed/NCBI View Article : Google Scholar

10 

Ho KL, Gottlieb C and Zarbo RJ: Cytomegalovirus infection of cerebral astrocytoma in an AIDS patient. Clin Neuropathol. 10:127–133. 1991.PubMed/NCBI

11 

Kasantikul V, Kaoroptham S and Hanvanich M: Acquired immunodeficiency syndrome associated with cerebral astrocytoma. Clin Neuropathol. 11:25–27. 1992.PubMed/NCBI

12 

Chappell ET, Guthrie BL and Orenstein J: The role of stereotactic biopsy in the management of HIV-related focal brain lesions. Neurosurgery. 30:825–829. 1992.PubMed/NCBI View Article : Google Scholar

13 

Gervasoni C, Ridolfo AL, Rocca A, Vago L and d'Arminio Monforte A: Cerebral astrocytoma in HIV-infected patients. AIDS. 9:403–404. 1995.PubMed/NCBI

14 

Neal JW, Llewelyn MB, Morrison HL, Jasani B and Borysiewicz LK: A malignant astrocytoma in a patient with AIDS: A possible association between astrocytomas and HIV infection. J Infect. 33:159–162. 1996.PubMed/NCBI View Article : Google Scholar

15 

d'Arminio Monforte A, Cinque P, Vago L, Rocca A, Castagna A, Gervasoni C, Terreni MR, Novati R, Gori A, Lazzarin A and Moroni M: A comparison of brain biopsy and CSF-PCR in the diagnosis of CNS lesions in AIDS patients. J Neurol. 244:35–39. 1997.PubMed/NCBI View Article : Google Scholar

16 

Vannemreddy PS, Fowler M, Polin RS, Todd JR and Nanda A: Glioblastoma multiforme in a case of acquired immunodeficiency syndrome: Investigation a possible oncogenic influence of human immunodeficiency virus on glial cells. Case report and review of the literature. J Neurosurg. 92:161–164. 2000.PubMed/NCBI View Article : Google Scholar

17 

Wolff R, Zimmermann M, Marquardt G, Lanfermann H, Nafe R and Seifert V: Glioblastoma multiforme of the brain stem in a patient with acquired immunodeficiency syndrome. Acta Neurochir (Wien). 144:941–944; discussion 944-5. 2002.PubMed/NCBI View Article : Google Scholar

18 

Corti ME, Yampolsky C, Metta H, Valerga M, Sevlever G and Capizzano A: Oligodendroglioma in a patient with AIDS: Case report and review of the literature. Rev Inst Med Trop Sao Paulo. 46:195–197. 2004.PubMed/NCBI View Article : Google Scholar

19 

Hall JR and Short SC: Management of glioblastoma multiforme in HIV patients: A case series and review of published studies. Clin Oncol (R Coll Radiol). 21:591–597. 2009.PubMed/NCBI View Article : Google Scholar

20 

Chaudhry NS, Ahmad FU, Blieden C and Benveniste RJ: Brainstem anaplastic glioma in patients with AIDS: A case report and review of the literature. BMJ Case Rep. 2013(bcr2012008384)2013.PubMed/NCBI View Article : Google Scholar

21 

Brassesco MS, Darrigo LG Jr, Valera ET, Oliveira RS, Yamamoto YA, de Castro Barros MV and Tone LG: Giant-cell glioblastoma of childhood associated with HIV-1 and JC virus coinfection. Childs Nerv Syst. 29:1387–1390. 2013.PubMed/NCBI View Article : Google Scholar

22 

Oliveira VC, Gomes T, Ferreira LC, Damian MM, Silva VM, Araújo JR, Safe IP and Ramasawmy R: Glioblastoma multiforme in an HIV-Infected patient: An unexpected diagnosis. J Int Assoc Provid AIDS Care. 13:411–413. 2014.PubMed/NCBI View Article : Google Scholar

23 

Wang T, Gao T, Niu X, Xing X, Yang Y, Liu Y and Mao Q: Clinical characteristics and prognostic analysis of glioma in human immunodeficiency virus-infected patients. World Neurosurg. 114:e218–e223. 2018.PubMed/NCBI View Article : Google Scholar

24 

Jokonya L, Musara A, Esene IN, Kabulo KDM, Kabeya CM and Kalangu KKN: Prevalence of human immunodeficiency virus infection in brain glioma patients: Is the virus protective from gliomas? Surg Neurol Int. 9(103)2018.PubMed/NCBI View Article : Google Scholar

25 

Simpson DM and Tagliati M: Neurologic manifestations of HIV infection. Ann Intern Med. 121:769–785. 1994.PubMed/NCBI View Article : Google Scholar

26 

GBD 2017 HIV collaborators: Global, regional, and national incidence, prevalence, and mortality of HIV, 1980-2017, and forecasts to. 2030, for 195 countries and territories: A systematic analysis for the Global Burden of Diseases, Injuries, and Risk Factors Study 2017. Lancet. HIV 6: e831-e859, 2019.

27 

Ostrom QT, Cote DJ, Ascha M, Kruchko C and Barnholtz-Sloan JS: Adult glioma incidence and survival by race or ethnicity in the United States From 2000 to 2014. JAMA Oncol. 4:1254–1262. 2018.PubMed/NCBI View Article : Google Scholar

28 

Liu S, Zhang C, Maimela NR, Yang L, Zhang Z, Ping Y, Huang L and Zhang Y: Molecular and clinical characterization of CD163 expression via large-scale analysis in glioma. Oncoimmunology. 8(1601478)2019.PubMed/NCBI View Article : Google Scholar

29 

Xu L, Liu Z, Wang H, Lu J, Xu J, Meng Y, Huang K and Liu B: SESN2 could be a potential marker for diagnosis and prognosis in glioma. Genes (Basel). 14(701)2023.PubMed/NCBI View Article : Google Scholar

30 

Zhang M, Cheng Y, Xue Z, Sun Q and Zhang J: A novel pyroptosis-related gene signature predicts the prognosis of glioma through immune infiltration. BMC Cancer. 21(1311)2021.PubMed/NCBI View Article : Google Scholar

31 

Hajjar M, Lacoste D, Brossard G, Morlat P, Dupon M, Salmi LR and Dabis F: Non-acquired immune deficiency syndrome-defining malignancies in a hospital-based cohort of human immunodeficiency virus-infected patients: Bordeaux, France, 1985-1991. Groupe d'Epidémiologie Clinique du SIDA en Aquitaine. J Natl Cancer Inst. 84:1593–1595. 1992.PubMed/NCBI View Article : Google Scholar

32 

Rabkin CS and Blattner WA: HIV infection and cancers other than non-Hodgkin lymphoma and Kaposi's sarcoma. Cancer Surv. 10:151–160. 1991.PubMed/NCBI

33 

Pore N, Gupta AK, Cerniglia GJ and Maity A: HIV protease inhibitors decrease VEGF/HIF-1alpha expression and angiogenesis in glioblastoma cells. Neoplasia. 8:889–895. 2006.PubMed/NCBI View Article : Google Scholar

Related Articles

  • Abstract
  • View
  • Download
  • Twitter
Copy and paste a formatted citation
Spandidos Publications style
Ding X, Liang T, Liang B, Zhou X, Chen J, Gao H, Wang F, Zheng X and Feng E: Clinical characteristics and prognostic analysis of patients with HIV and glioma: A case series and literature review. Exp Ther Med 27: 90, 2024.
APA
Ding, X., Liang, T., Liang, B., Zhou, X., Chen, J., Gao, H. ... Feng, E. (2024). Clinical characteristics and prognostic analysis of patients with HIV and glioma: A case series and literature review. Experimental and Therapeutic Medicine, 27, 90. https://doi.org/10.3892/etm.2024.12380
MLA
Ding, X., Liang, T., Liang, B., Zhou, X., Chen, J., Gao, H., Wang, F., Zheng, X., Feng, E."Clinical characteristics and prognostic analysis of patients with HIV and glioma: A case series and literature review". Experimental and Therapeutic Medicine 27.2 (2024): 90.
Chicago
Ding, X., Liang, T., Liang, B., Zhou, X., Chen, J., Gao, H., Wang, F., Zheng, X., Feng, E."Clinical characteristics and prognostic analysis of patients with HIV and glioma: A case series and literature review". Experimental and Therapeutic Medicine 27, no. 2 (2024): 90. https://doi.org/10.3892/etm.2024.12380
Copy and paste a formatted citation
x
Spandidos Publications style
Ding X, Liang T, Liang B, Zhou X, Chen J, Gao H, Wang F, Zheng X and Feng E: Clinical characteristics and prognostic analysis of patients with HIV and glioma: A case series and literature review. Exp Ther Med 27: 90, 2024.
APA
Ding, X., Liang, T., Liang, B., Zhou, X., Chen, J., Gao, H. ... Feng, E. (2024). Clinical characteristics and prognostic analysis of patients with HIV and glioma: A case series and literature review. Experimental and Therapeutic Medicine, 27, 90. https://doi.org/10.3892/etm.2024.12380
MLA
Ding, X., Liang, T., Liang, B., Zhou, X., Chen, J., Gao, H., Wang, F., Zheng, X., Feng, E."Clinical characteristics and prognostic analysis of patients with HIV and glioma: A case series and literature review". Experimental and Therapeutic Medicine 27.2 (2024): 90.
Chicago
Ding, X., Liang, T., Liang, B., Zhou, X., Chen, J., Gao, H., Wang, F., Zheng, X., Feng, E."Clinical characteristics and prognostic analysis of patients with HIV and glioma: A case series and literature review". Experimental and Therapeutic Medicine 27, no. 2 (2024): 90. https://doi.org/10.3892/etm.2024.12380
Follow us
  • Twitter
  • LinkedIn
  • Facebook
About
  • Spandidos Publications
  • Careers
  • Cookie Policy
  • Privacy Policy
How can we help?
  • Help
  • Live Chat
  • Contact
  • Email to our Support Team