Spandidos Publications Logo
  • About
    • About Spandidos
    • Aims and Scopes
    • Abstracting and Indexing
    • Editorial Policies
    • Reprints and Permissions
    • Job Opportunities
    • Terms and Conditions
    • Contact
  • Journals
    • All Journals
    • Oncology Letters
      • Oncology Letters
      • Information for Authors
      • Editorial Policies
      • Editorial Board
      • Aims and Scope
      • Abstracting and Indexing
      • Bibliographic Information
      • Archive
    • International Journal of Oncology
      • International Journal of Oncology
      • Information for Authors
      • Editorial Policies
      • Editorial Board
      • Aims and Scope
      • Abstracting and Indexing
      • Bibliographic Information
      • Archive
    • Molecular and Clinical Oncology
      • Molecular and Clinical Oncology
      • Information for Authors
      • Editorial Policies
      • Editorial Board
      • Aims and Scope
      • Abstracting and Indexing
      • Bibliographic Information
      • Archive
    • Experimental and Therapeutic Medicine
      • Experimental and Therapeutic Medicine
      • Information for Authors
      • Editorial Policies
      • Editorial Board
      • Aims and Scope
      • Abstracting and Indexing
      • Bibliographic Information
      • Archive
    • International Journal of Molecular Medicine
      • International Journal of Molecular Medicine
      • Information for Authors
      • Editorial Policies
      • Editorial Board
      • Aims and Scope
      • Abstracting and Indexing
      • Bibliographic Information
      • Archive
    • Biomedical Reports
      • Biomedical Reports
      • Information for Authors
      • Editorial Policies
      • Editorial Board
      • Aims and Scope
      • Abstracting and Indexing
      • Bibliographic Information
      • Archive
    • Oncology Reports
      • Oncology Reports
      • Information for Authors
      • Editorial Policies
      • Editorial Board
      • Aims and Scope
      • Abstracting and Indexing
      • Bibliographic Information
      • Archive
    • Molecular Medicine Reports
      • Molecular Medicine Reports
      • Information for Authors
      • Editorial Policies
      • Editorial Board
      • Aims and Scope
      • Abstracting and Indexing
      • Bibliographic Information
      • Archive
    • World Academy of Sciences Journal
      • World Academy of Sciences Journal
      • Information for Authors
      • Editorial Policies
      • Editorial Board
      • Aims and Scope
      • Abstracting and Indexing
      • Bibliographic Information
      • Archive
    • International Journal of Functional Nutrition
      • International Journal of Functional Nutrition
      • Information for Authors
      • Editorial Policies
      • Editorial Board
      • Aims and Scope
      • Abstracting and Indexing
      • Bibliographic Information
      • Archive
    • International Journal of Epigenetics
      • International Journal of Epigenetics
      • Information for Authors
      • Editorial Policies
      • Editorial Board
      • Aims and Scope
      • Abstracting and Indexing
      • Bibliographic Information
      • Archive
    • Medicine International
      • Medicine International
      • Information for Authors
      • Editorial Policies
      • Editorial Board
      • Aims and Scope
      • Abstracting and Indexing
      • Bibliographic Information
      • Archive
  • Articles
  • Information
    • Information for Authors
    • Information for Reviewers
    • Information for Librarians
    • Information for Advertisers
    • Conferences
  • Language Editing
Spandidos Publications Logo
  • About
    • About Spandidos
    • Aims and Scopes
    • Abstracting and Indexing
    • Editorial Policies
    • Reprints and Permissions
    • Job Opportunities
    • Terms and Conditions
    • Contact
  • Journals
    • All Journals
    • Biomedical Reports
      • Information for Authors
      • Editorial Policies
      • Editorial Board
      • Aims and Scope
      • Abstracting and Indexing
      • Bibliographic Information
      • Archive
    • Experimental and Therapeutic Medicine
      • Information for Authors
      • Editorial Policies
      • Editorial Board
      • Aims and Scope
      • Abstracting and Indexing
      • Bibliographic Information
      • Archive
    • International Journal of Epigenetics
      • Information for Authors
      • Editorial Policies
      • Editorial Board
      • Aims and Scope
      • Abstracting and Indexing
      • Bibliographic Information
      • Archive
    • International Journal of Functional Nutrition
      • Information for Authors
      • Editorial Policies
      • Editorial Board
      • Aims and Scope
      • Abstracting and Indexing
      • Bibliographic Information
      • Archive
    • International Journal of Molecular Medicine
      • Information for Authors
      • Editorial Policies
      • Editorial Board
      • Aims and Scope
      • Abstracting and Indexing
      • Bibliographic Information
      • Archive
    • International Journal of Oncology
      • Information for Authors
      • Editorial Policies
      • Editorial Board
      • Aims and Scope
      • Abstracting and Indexing
      • Bibliographic Information
      • Archive
    • Medicine International
      • Information for Authors
      • Editorial Policies
      • Editorial Board
      • Aims and Scope
      • Abstracting and Indexing
      • Bibliographic Information
      • Archive
    • Molecular and Clinical Oncology
      • Information for Authors
      • Editorial Policies
      • Editorial Board
      • Aims and Scope
      • Abstracting and Indexing
      • Bibliographic Information
      • Archive
    • Molecular Medicine Reports
      • Information for Authors
      • Editorial Policies
      • Editorial Board
      • Aims and Scope
      • Abstracting and Indexing
      • Bibliographic Information
      • Archive
    • Oncology Letters
      • Information for Authors
      • Editorial Policies
      • Editorial Board
      • Aims and Scope
      • Abstracting and Indexing
      • Bibliographic Information
      • Archive
    • Oncology Reports
      • Information for Authors
      • Editorial Policies
      • Editorial Board
      • Aims and Scope
      • Abstracting and Indexing
      • Bibliographic Information
      • Archive
    • World Academy of Sciences Journal
      • Information for Authors
      • Editorial Policies
      • Editorial Board
      • Aims and Scope
      • Abstracting and Indexing
      • Bibliographic Information
      • Archive
  • Articles
  • Information
    • For Authors
    • For Reviewers
    • For Librarians
    • For Advertisers
    • Conferences
  • Language Editing
Login Register Submit
  • This site uses cookies
  • You can change your cookie settings at any time by following the instructions in our Cookie Policy. To find out more, you may read our Privacy Policy.

    I agree
Search articles by DOI, keyword, author or affiliation
Search
Advanced Search
presentation
Experimental and Therapeutic Medicine
Join Editorial Board Propose a Special Issue
Print ISSN: 1792-0981 Online ISSN: 1792-1015
Journal Cover
May-2024 Volume 27 Issue 5

Full Size Image

Sign up for eToc alerts
Recommend to Library

Journals

International Journal of Molecular Medicine

International Journal of Molecular Medicine

International Journal of Molecular Medicine is an international journal devoted to molecular mechanisms of human disease.

International Journal of Oncology

International Journal of Oncology

International Journal of Oncology is an international journal devoted to oncology research and cancer treatment.

Molecular Medicine Reports

Molecular Medicine Reports

Covers molecular medicine topics such as pharmacology, pathology, genetics, neuroscience, infectious diseases, molecular cardiology, and molecular surgery.

Oncology Reports

Oncology Reports

Oncology Reports is an international journal devoted to fundamental and applied research in Oncology.

Experimental and Therapeutic Medicine

Experimental and Therapeutic Medicine

Experimental and Therapeutic Medicine is an international journal devoted to laboratory and clinical medicine.

Oncology Letters

Oncology Letters

Oncology Letters is an international journal devoted to Experimental and Clinical Oncology.

Biomedical Reports

Biomedical Reports

Explores a wide range of biological and medical fields, including pharmacology, genetics, microbiology, neuroscience, and molecular cardiology.

Molecular and Clinical Oncology

Molecular and Clinical Oncology

International journal addressing all aspects of oncology research, from tumorigenesis and oncogenes to chemotherapy and metastasis.

World Academy of Sciences Journal

World Academy of Sciences Journal

Multidisciplinary open-access journal spanning biochemistry, genetics, neuroscience, environmental health, and synthetic biology.

International Journal of Functional Nutrition

International Journal of Functional Nutrition

Open-access journal combining biochemistry, pharmacology, immunology, and genetics to advance health through functional nutrition.

International Journal of Epigenetics

International Journal of Epigenetics

Publishes open-access research on using epigenetics to advance understanding and treatment of human disease.

Medicine International

Medicine International

An International Open Access Journal Devoted to General Medicine.

Journal Cover
May-2024 Volume 27 Issue 5

Full Size Image

Sign up for eToc alerts
Recommend to Library

  • Article
  • Citations
    • Cite This Article
    • Download Citation
    • Create Citation Alert
    • Remove Citation Alert
    • Cited By
  • Similar Articles
    • Related Articles (in Spandidos Publications)
    • Similar Articles (Google Scholar)
    • Similar Articles (PubMed)
  • Download PDF
  • Download XML
  • View XML
Case Report Open Access

Anlotinib plus tislelizumab for recurrent metastatic pancreas ductal adenocarcinoma with germline BRCA2 mutation: A case report

  • Authors:
    • Sujuan Peng
    • Hongxiang Huang
    • Xie Zhu
    • Jinhong Chen
    • Xinjing Ding
    • Fen Wang
    • Li Chen
    • Zhihui Lu
  • View Affiliations / Copyright

    Affiliations: Department of Oncology, The First Affiliated Hospital of Nanchang University, Nanchang, Jiangxi 330000, P.R. China
    Copyright: © Peng et al. This is an open access article distributed under the terms of Creative Commons Attribution License.
  • Article Number: 178
    |
    Published online on: March 1, 2024
       https://doi.org/10.3892/etm.2024.12466
  • Expand metrics +
Metrics: Total Views: 0 (Spandidos Publications: | PMC Statistics: )
Metrics: Total PDF Downloads: 0 (Spandidos Publications: | PMC Statistics: )
Cited By (CrossRef): 0 citations Loading Articles...

This article is mentioned in:



Abstract

While combined immunotherapy and anti-angiogenic therapy have demonstrated efficacy in renal cell carcinoma, non‑small cell lung cancer and hepatocellular carcinoma, the efficacy of first‑line treatment for pancreatic ductal adenocarcinoma (PDAC) with germline BRCA2 mutation remains unproven. We described a BRCA2‑mutated patient with PDAC who presented with posterior cardiac metastasis 8 months after surgery. After receiving four cycles of anlotinib combined with tislelizumab, abdominal CT scans indicated a complete response. The patient sustained this response for over 14 months on the combination regimen, with no reported adverse events. In conclusion, the combination of tislelizumab and anlotinib may offer a viable therapeutic option for recurrent metastatic BRCA2‑mutated PDAC.

Introduction

In 2020, pancreatic cancer (PC) resulted in 496,000 new cases and 466,000 mortalities, with pancreatic ductal adenocarcinoma (PDAC) as the predominant type (1,2). A majority of patients with PC are diagnosed at an advanced stage, therefore, only 20% are eligible for radical surgical resection (3). However, despite surgery, ~90% of patients experience disease recurrence within 7-9 months, leading to a 5-year overall survival (OS) rate <10% (4). The growing adoption of genetic testing has enabled the implementation of precision medicine (5). BRCA1, BRCA2 or both (BRCA) mutations are present in 5-10% of familial patients with PDAC and ~3% of sporadic ones (6). Such mutations can induce homologous recombination deficiency (HRD), impeding the efficient repair of double-stranded DNA breaks (7). The conventional treatment for metastatic PDAC with germline BRCA mutations is platinum-based chemotherapy coupled with poly (adenosine diphosphate-ribose) polymerase (PARP) inhibitor maintenance therapy (5,8-10). While this regimen can enhance survival metrics, a long-lasting clinical response remains elusive, and its toxicity is noteworthy. Exploring innovative therapeutic approaches is thus essential, particularly for patients with PDAC carrying BRCA2 mutations.

Research suggests that BRCA2 mutations may boost tumor cell immunogenicity and enhance responsiveness to immune checkpoint inhibitors (ICIs) (11). Moreover, a retrospective study of metastatic pancreatic or biliary cancer with HRD has demonstrated significant clinical activity of ipilimumab/nivolumab with an objective response rate (ORR) of 42% and a disease control rate (DCR) of 58% (12). However, given the limited sample size of the study, the efficacy of ipilimumab/nivolumab for BRCA2-mutated metastatic PC requires further validation. There's growing evidence that anti-angiogenic drugs can modify the immune microenvironment of the tumor, potentially amplifying immunotherapy benefits (13). Such synergy has been observed in renal cell carcinoma (RCC), non-small cell lung cancer (NSCLC) and hepatocellular carcinoma (HCC) (14). Additionally, several instances highlight the potential of integrating anti-angiogenic drugs with ICIs in sequential treatments for PC (15,16). Yet, the effectiveness of this combined approach as an initial treatment for PDAC with germline BRCA2 mutations is still uncertain.

The present study presented a case of a patient with BRCA2-mutated PDAC who manifested metastasis in the posterior cardia at 8 months after surgery. The combined therapy of programmed cell death protein 1 (PD-1) inhibitor, tislelizumab, with the anti-angiogenic agent, anlotinib, exhibited notable efficacy in this patient. The patient provided written informed consent for the publication of case information and accompanying images.

Case report

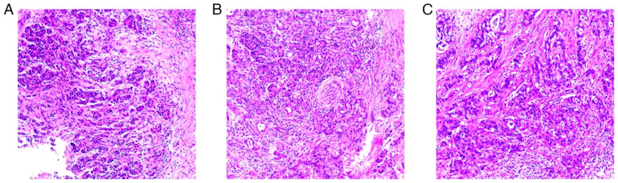
A 68-year-old male with no family history presented to the First Affiliated Hospital of Nanchang University (Jiangxi, China) in August 2021, complaining of epigastric pain. An abdominal computed tomography (CT) showed a space-occupying lesion in the body of the pancreas. Enhanced CT scans of the chest and pelvis showed no abnormalities. Preoperative carbohydrate antigen 19-9 (CA199) levels were significantly elevated at 798.7 U/ml (normal range, 0-27 U/ml). Given the confined nature of the lesion and the absence of distant metastasis, proceeding with surgical intervention was deemed appropriate. Subsequently, the patient underwent laparoscopic radical pancreatic body-tail resection and splenectomy. The postoperative pathology confirmed a diagnosis of moderately differentiated ductal adenocarcinoma (pT3N0M0) (Fig. 1). The degrees of surgical resection in patients are mainly divided into three parts: Complete resection of the tumor (R0), microscopic residual (R1) and visual residual of the tumor (R2), respectively. The present study mainly adopted the presence or absence of tumor infiltration within 1 mm from the cutting edge as the criterion for judging the R0 or R1 resection of the tumor (17,18). Tumor cells are resected as R1 if they are found within 1 mm of the tip of the tissue; if no tumor cells are found, it is resected as R0. R2 indicates residual tumors visible at the surgical margins (positive margins). The patient in the present case had undergone laparoscopic radical pancreatic body-tail resection and splenectomy, which was considered a R0 resection in conjunction with the postoperative pathological results.

Figure 1

Hematoxylin and eosin staining revealed irregular cancerous glands arranged in a crowded and disorganized manner, infiltrating the pancreatic parenchyma. The nuclei of glandular epithelial cells appeared large and deeply stained, exhibiting obvious pleomorphism and undergoing visible nuclear fission. Additionally, there was a significant presence of peripheral mesenchymal fibroplasia, along with the observed invasion of vasculature and nerve structures. Images were obtained at (A and B) x100 and (C) x200 magnification.

After surgery, the patient declined chemotherapy and other treatments and asked for routine follow-up to monitor the lesion. By May 2022, the patient progressed with the development of a posterior cardiac annular nodule (1.7x1.3 cm) (Fig. 2A) with CA199, which was 35.73 U/ml (Fig. 3). Despite the presence of new lesions, the patient was merely under observation without receiving any treatment. A subsequent upper abdominal CT in August 2022 showed that the nodule had grown to 2.3x2.8 cm (Fig. 2B), and his CA199 level spiked to 124.8 U/ml (Fig. 3). Consequently, the patient was diagnosed with recurrent metastatic PDAC and had an Eastern Cooperative Oncology Group (ECOG) score of 1(19).

Figure 2

CT scan images following recurring metastasis, the red arrow denotes the posterior cardiac lesion location. (A) The initial recurrent CT examination showed a mass behind the cardia, ~1.7x1.3 cm. (B) On follow-up for 3 months, the posterior cardia mass was enlarged compared with the previous one, about 2.3x2.8 cm. (C) After four cycles of combination therapy, the lesion in the posterior cardia had disappeared. (D) After 20 cycles of this combination therapy, no tumor relapse was observed. CT, computed tomography.

Figure 3

Changes in serum CA199 marker levels after recurrence.

To uncover actionable mutations in the patient, the present study conducted next-generation sequencing (NGS) on both the surgical tissues and blood samples. The analysis identified a BRCA2 mutation, microsatellite stability (MSS), a tumor mutational burden (TMB) of 5.76 Muts/Mb and PD-L1 negativity. As per the 2022 Guidelines of the Chinese Society of Clinical Oncology (CSCO) for Pancreatic Cancer and the NCCN Guidelines for Pancreatic Adenocarcinoma, Version 2, 2023, the recommended course of action was platinum-based chemotherapy (20). However, due to concerns about the adverse effects of chemotherapy, the patient, in consultation with his family, opted against this treatment.

In August 2022 the patient was initiated on a treatment regimen comprising of anlotinib (10 mg, days 1-14; 7 days off; 21-day cycle) and tislelizumab (200 mg, day 1; 20 days off; 21-day cycle). Following four cycles of combination therapy, the patient achieved a complete response (CR), with total tumor disappearance (Fig. 2C). To prevent tumor recurrence, the patient continued this regimen without any treatment-related adverse effects. At the latest follow-up in November 2023, the patient remains on this regimen. Abdominal CT scans continue to indicate CR with a progression-free survival (PFS) duration of 14 months (Fig. 2D).

Discussion

PDAC remains a highly aggressive and devastating disease, typically characterized by a median OS of <13 months in metastatic patients (21). Posterior cardiac invasion is considered a manifestation of peritoneal metastasis, rendering surgical resection not recommended. Consequently, systemic chemotherapy is the established first-line approach for metastatic PDAC (22).

In the present case, the application of NGS testing on the blood and archived specimens of the patient revealed the presence of a BRCA2 mutation, along with negative PD-L1 expression and a low TMB and MSS. The BRCA gene is responsible for encoding proteins involved in homologous recombination repair of double-stranded DNA breaks (23). Consequently, PDAC featuring a germline BRCA mutation exhibits sensitivity to platinum and PARP inhibitors (24,25). The POLO study investigated the efficacy of maintenance olaparib in patients with platinum-sensitive metastatic PC who carried germline BRCA1 or BRCA2 mutations (10). The results showed that maintenance olaparib significantly extends PFS compared with the placebo (median, 7.4 months vs. 3.8 months; P=0.004) (10). However, there was no significant difference in median OS between the two groups (18.9 months vs. 18.1 months; P=0.68) (10). Moreover, in this current case, the patient and his family adamantly declined chemotherapy due to the prohibitive cost of the procedure. Hence, it is imperative to explore alternative chemotherapy-free treatment modalities, aiming to provide enhanced survival prospects for individuals with PDAC.

In recent years, significant attention has been dedicated to the research and development of anti-angiogenic drugs for managing PC. A phase III clinical trial has demonstrated the superiority of combining erlotinib with gemcitabine compared with gemcitabine alone, as it leads to notable improvements in both OS and PFS in patients with locally advanced or metastatic PC (26). However, it is noteworthy that various other anti-angiogenic drug combinations with gemcitabine have not yielded favorable outcomes concerning OS in PC patients (27-34). These findings suggest that the utilization of anti-angiogenic drugs in conjunction with gemcitabine may have some inherent limitations in extending the OS of PC patients. Therefore, there is a pressing need to explore a new anti-angiogenic drug to improve the efficacy of PC treatment.

Anlotinib is a novel multi-targeted tyrosine kinase inhibitor renowned for its capacity to impede both tumor angiogenesis and cell proliferation (35). This therapeutic agent exhibits a broad spectrum of inhibitory effects on various critical targets, encompassing receptor tyrosine kinases such as vascular endothelial growth factor receptor 1 to 3, epidermal growth factor receptor (EGFR), fibroblast growth factor receptor 1 to 4, platelet-derived growth factor receptors α and β, stem cell factor receptors and c-kit (36). Clinical studies have shown that anlotinib has promising efficacy in the treatment of advanced NSCLC, small cell lung cancer, soft tissue sarcoma (STS), advanced thyroid carcinoma and metastatic RCC (37,38). Moreover, its potential role in the context of PC has garnered substantial attention. Yang et al found that anlotinib can induce the apoptosis of pancreatic cells both in vitro and in vivo by generating reactive oxygen species (39). Additionally, Zhang et al have demonstrated that anlotinib possesses the capacity to inhibit ribosomes within pancreatic cancer cells, thereby modulating various cellular functions, including the cell cycle, RNA metabolism and lysosome (40). In a retrospective study, the combination of anlotinib and nab-paclitaxel/gemcitabine showed a significant improvement in both PFS (5 months vs. 2.7 months, P=0.0220) and OS (9 months vs. 6 months, P=0.0060) in patients with unresectable or metastatic PDAC when compared with albumin-bound paclitaxel/gemcitabine (37). This treatment also maintains favorable tolerability profiles (37). Therefore, anlotinib is expected to be a feasible treatment modality for patients with locally advanced and metastatic PC.

Immunotherapy has revolutionized the treatment of various tumors (41). Recent years have witnessed a notable surge in investigations into ICIs for the treatment of metastatic PC. Several studies have yielded compelling evidence suggesting that combining ICIs with chemotherapy holds promise for enhancing survival outcomes in patients with advanced PC (42-44). However, it is worth noting that, except for high microsatellite instability (MSI-H) or DNA mismatch repair (dMMR), the outcomes of immunotherapy monotherapy or dual-agent immunotherapy in the context of advanced PC have often been underwhelming (45-50). In the present case, the patient was diagnosed with a BRCA2 mutation. A preclinical study has illuminated that BRCA2 mutations can remodel the tumor microenvironment by fostering the enrichment of various immune cell populations, including T cells, natural killer cells, macrophages, and dendritic cells (11). This, in turn, augments the antitumor activity of ICIs (11). However, the patient in the present case had several features that were unresponsive to ICIs, such as negative PD-L1 expression, and low TMB and MSS. Consequently, it is conceivable that immunotherapy alone may offer limited efficacy in this particular scenario.

Emerging research has shed light on the potential immunostimulatory effects of anti-angiogenic drugs and their capacity for synergistic antitumor action when combined with ICIs (51-56). One notable example is the IMPOWER-150 study, which has demonstrated that the addition of atezolizumab to bevacizumab, in combination with chemotherapy as a first-line treatment for metastatic NSCLC, leads to improved clinical outcomes for patients, irrespective of their PD-L1 expression status or the presence of EGFR or ALK mutations (52). In addition, Kang et al reported a case in which the combination of pembrolizumab and anlotinib exhibits substantial antitumor activity in PC (16). Similarly, Wang et al documented a long-term partial response and favorable tolerability in a 41-year-old patient with PDAC with KRAS G12V mutation and liver metastasis who received the combination of anlotinib with PD-1 inhibitor plus chemotherapy (15). Building upon these insights, the present study sought to explore the potential benefits of combining tislelizumab with anlotinib in the treatment of PC, specifically focusing on patients with metastatic BRCA2 mutated PDAC. Following the administration of four treatment cycles, the response of the patient to therapy was evaluated as CR, and this efficacy persisted for a duration exceeding 14 months. Clinical studies related to PC with BRCA2 or BRCA1/2 mutations are summarized in Table I.

Table I

Clinical study of pancreatic cancer with BRCA2 or BRCA1/2 mutations.

Table I

Clinical study of pancreatic cancer with BRCA2 or BRCA1/2 mutations.

CaseCancer typeMutationsCancer stageLinesaCurrent treatmentsPFS (m)OS (m)(Refs.)
26PDACgermline BRCA1, BRCA2 or PALB2 mutationLocally advanced/metastaticFirst or multiplePlatinum-based therapy10.124.6(7)
42PCBRCA1, BRCA2, or PALB2Locally advanced/metastaticFirstMaintenance rucaparib13.123.5(9)
154Pancreatic adenocarcinomagermline BRCA1 or BRCA2 mutationMetastaticFirstMaintenance olaparib7.418.9(10)
1PCBRCA2 mutationpT3N1M0FirstGemcitabine plus iniparib32- neoadjuvant therapy followed by surgery(57)
298Ovarian cancer, breast cancer, PC, prostate cancerGermline BRCA1/2 mutationAdvanced solid tumorMultipleOlaparib4.6b9.8b(58)
12Pancreatic AdenocarcinomaDNA Damage Repair Gene MutationsMetastaticFirst FOLFIRINOXc-14(59)
-Solid cancersHomologous repair genes--Absence of progression after 6 weeks of olaparib, followed by 4 months of treatment with durvalumab + tremelimumab, then durvalumab alone for maintenance treatment--(60)

[i] aNumber of current treatment regimens.

[ii] bOS and PFS in patients with pancreatic cancer.

[iii] cIncluding oxaliplatin, irinotecan, fluorouracil and calcium folinate. M, months; PC, pancreatic cancer; PDAC, pancreatic ductal adenocarcinoma.

In conclusion, the current study presented a novel and efficacious combination therapy involving immuno- and anti-angiogenic drugs for the treatment of patients with recurrent and metastatic PDAC and BRCA2 mutations. This innovative treatment approach holds promise for diversifying the therapeutic options available to patients with recurrent and metastatic PDAC and BRCA2 mutations, particularly for individuals who either decline or are unable to tolerate conventional chemotherapy. Nonetheless, it is imperative to emphasize that rigorous and extensive clinical trials are still indispensable to substantiate its efficacy and safety, thereby advancing its adoption in clinical practice.

Acknowledgements

Not applicable.

Funding

Funding: This study was funded by the National Natural Science Foundation for Regional Fund (grant no. 82360507).

Availability of data and materials

The datasets used and/or analyzed during the current study are available from the corresponding author on reasonable request.

Authors' contributions

SP and ZL contributed to the conceptualization and design of the study, the collection of clinical information and the drafting of the manuscript. HH, XZ, JC, XD and FW obtained CT and hematoxylin and eosin staining images, and analyzed patient data. LC was responsible for formulating the patient's treatment plan. LC and HH contributed to critical revisions of the intellectual content. SP and ZL confirm the authenticity of all the raw data. All authors read and approved the final manuscript.

Ethics approval and consent to participate

The study was conducted according to the guidelines of the Declaration of Helsinki. Ethical review and approval were waived due to the type of the study. Written informed consent was obtained from the patient.

Patient consent for publication

Written informed consent was obtained from the patient for publication of this paper and any accompanying images.

Competing interests

The authors declare that they have no competing interests.

References

1 

Park W, Chawla A and O'Reilly EM: Pancreatic cancer: A review. JAMA. 326:851–862. 2021.PubMed/NCBI View Article : Google Scholar

2 

Sung H, Ferlay J, Siegel RL, Laversanne M, Soerjomataram I, Jemal A and Bray F: Global cancer statistics 2020: GLOBOCAN estimates of incidence and mortality worldwide for 36 cancers in 185 countries. CA Cancer J Clin. 71:209–249. 2021.PubMed/NCBI View Article : Google Scholar

3 

Versteijne E, Suker M, Groothuis K, Akkermans-Vogelaar JM, Besselink MG, Bonsing BA, Buijsen J, Busch OR, Creemers GM, van Dam RM, et al: Preoperative chemoradiotherapy versus immediate surgery for resectable and borderline resectable pancreatic cancer: Results of the dutch randomized phase III PREOPANC trial. J Clin Oncol. 38:1763–1773. 2020.PubMed/NCBI View Article : Google Scholar

4 

Rojas LA, Sethna Z, Soares KC, Olcese C, Pang N, Patterson E, Lihm J, Ceglia N, Guasp P, Chu A, et al: Personalized RNA neoantigen vaccines stimulate T cells in pancreatic cancer. Nature. 618:144–150. 2023.PubMed/NCBI View Article : Google Scholar

5 

O'Reilly EM, Lee JW, Zalupski M, Capanu M, Park J, Golan T, Tahover E, Lowery MA, Chou JF, Sahai V, et al: Randomized, multicenter, phase II trial of gemcitabine and cisplatin with or without veliparib in patients with pancreas adenocarcinoma and a germline BRCA/PALB2 mutation. J Clin Oncol. 38:1378–1388. 2020.PubMed/NCBI View Article : Google Scholar

6 

Lai E, Ziranu P, Spanu D, Dubois M, Pretta A, Tolu S, Camera S, Liscia N, Mariani S, Persano M, et al: BRCA-mutant pancreatic ductal adenocarcinoma. Br J Cancer. 125:1321–1332. 2021.PubMed/NCBI View Article : Google Scholar

7 

Wattenberg MM, Asch D, Yu S, O'Dwyer PJ, Domchek SM, Nathanson KL, Rosen MA, Beatty GL, Siegelman ES and Reiss KA: Platinum response characteristics of patients with pancreatic ductal adenocarcinoma and a germline BRCA1, BRCA2 or PALB2 mutation. Br J Cancer. 122:333–339. 2020.PubMed/NCBI View Article : Google Scholar

8 

Conroy T, Desseigne F, Ychou M, Bouché O, Guimbaud R, Bécouarn Y, Adenis A, Raoul JL, Gourgou-Bourgade S, de la Fouchardière C, et al: FOLFIRINOX versus gemcitabine for metastatic pancreatic cancer. N Engl J Med. 364:1817–1825. 2011.PubMed/NCBI View Article : Google Scholar

9 

Reiss KA, Mick R, O'Hara MH, Teitelbaum U, Karasic TB, Schneider C, Cowden S, Southwell T, Romeo J, Izgur N, et al: Phase II study of maintenance rucaparib in patients with platinum-sensitive advanced pancreatic cancer and a pathogenic germline or somatic variant in BRCA1, BRCA2, or PALB2. J Clin Oncol. 39:2497–2505. 2021.PubMed/NCBI View Article : Google Scholar

10 

Golan T, Hammel P, Reni M, Van Cutsem E, Macarulla T, Hall MJ, Park JO, Hochhauser D, Arnold D, Oh DY, et al: Maintenance olaparib for germline BRCA-mutated metastatic pancreatic cancer. N Engl J Med. 381:317–327. 2019.PubMed/NCBI View Article : Google Scholar

11 

Samstein RM, Krishna C, Ma X, Pei X, Lee KW, Makarov V, Kuo F, Chung J, Srivastava RM, Purohit TA, et al: Mutations in BRCA1 and BRCA2 differentially affect the tumor microenvironment and response to checkpoint blockade immunotherapy. Nat Cancer. 1:1188–1203. 2021.PubMed/NCBI View Article : Google Scholar

12 

Terrero G, Datta J, Dennison J, Sussman DA, Lohse I, Merchant NB and Hosein PJ: Ipilimumab/nivolumab therapy in patients with metastatic pancreatic or biliary cancer with homologous recombination deficiency pathogenic germline variants. JAMA Oncol. 8:1–3. 2022.PubMed/NCBI View Article : Google Scholar

13 

Huang H, Zhong P, Zhu X, Fu S, Li S, Peng S, Liu Y, Lu Z and Chen L: Immunotherapy combined with rh-endostatin improved clinical outcomes over immunotherapy plus chemotherapy for second-line treatment of advanced NSCLC. Front Oncol. 13(1137224)2023.PubMed/NCBI View Article : Google Scholar

14 

Hack SP, Zhu AX and Wang Y: Augmenting anticancer immunity through combined targeting of angiogenic and PD-1/PD-L1 pathways: Challenges and opportunities. Front Immunol. 11(598877)2020.PubMed/NCBI View Article : Google Scholar

15 

Wang Y, Wang B, Xiang L, Deng J, Xu B, He P, Pu W, Wang H, Fan Y and Chen H: Case report: Anlotinib combined with PD-1 inhibitor and sequential GA regimen or FOLFIRINOX chemotherapy in treatment of KRAS G12V mutated pancreatic ductal adenocarcinoma with liver metastasis: A case and literature review. Front Immunol. 13(1016647)2022.PubMed/NCBI View Article : Google Scholar

16 

Mafei K, Shengyuan X and Jieqiong S: Pembrolizumab enhances the anti-pancreatic cancer activity of anlotinib. Asian J Surg. 45:881–882. 2022.PubMed/NCBI View Article : Google Scholar

17 

Ghaneh P, Kleeff J, Halloran CM, Raraty M, Jackson R, Melling J, Jones O, Palmer DH, Cox TF, Smith CJ, et al: The Impact of positive resection margins on survival and recurrence following resection and adjuvant chemotherapy for pancreatic ductal adenocarcinoma. Ann Surg. 269:520–529. 2019.PubMed/NCBI View Article : Google Scholar

18 

Verbeke CS, Leitch D, Menon KV, McMahon MJ, Guillou PJ and Anthoney A: Redefining the R1 resection in pancreatic cancer. Br J Surg. 93:1232–1237. 2006.PubMed/NCBI View Article : Google Scholar

19 

Oken MM, Creech RH, Tormey DC, Horton J, Davis TE, McFadden ET and Carbone PP: Toxicity and response criteria of the eastern cooperative oncology group. Am J Clin Oncol. 5:649–655. 1982.PubMed/NCBI

20 

NCCN Guidelines Panel Disclosures. NCCN Clinical Practice Guidelines in Oncology-Pancreatic Adenocarcinoma (Version 2.2023). [June 19, 2023]. https://www.nccn.org/patientresources/patient-resources/guidelines-for-patients.

21 

Middleton G, Silcocks P, Cox T, Valle J, Wadsley J, Propper D, Coxon F, Ross P, Madhusudan S, Roques T, et al: Gemcitabine and capecitabine with or without telomerase peptide vaccine GV1001 in patients with locally advanced or metastatic pancreatic cancer (TeloVac): An open-label, randomised, phase 3 trial. Lancet Oncol. 15:829–840. 2014.PubMed/NCBI View Article : Google Scholar

22 

Lellouche L, Palmieri LJ, Dermine S, Brezault C, Chaussade S and Coriat R: Systemic therapy in metastatic pancreatic adenocarcinoma: Current practice and perspectives. Ther Adv Med Oncol. 13(17588359211018539)2021.PubMed/NCBI View Article : Google Scholar

23 

Walsh CS: Two decades beyond BRCA1/2: Homologous recombination, hereditary cancer risk and a target for ovarian cancer therapy. Gynecol Oncol. 137:343–350. 2015.PubMed/NCBI View Article : Google Scholar

24 

Andrei AZ, Hall A, Smith AL, Bascuñana C, Malina A, Connor A, Altinel-Omeroglu G, Huang S, Pelletier J, Huntsman D, et al: Increased in vitro and in vivo sensitivity of BRCA2-associated pancreatic cancer to the poly(ADP-ribose) polymerase-1/2 inhibitor BMN 673. Cancer Lett. 364:8–16. 2015.PubMed/NCBI View Article : Google Scholar

25 

Wang Y, Park JYP, Pacis A, Denroche RE, Jang GH, Zhang A, Cuggia A, Domecq C, Monlong J, Raitses-Gurevich M, et al: A preclinical trial and molecularly annotated patient cohort identify predictive biomarkers in homologous recombination-deficient pancreatic cancer. Clin Cancer Res. 26:5462–5476. 2020.PubMed/NCBI View Article : Google Scholar

26 

Moore MJ, Goldstein D, Hamm J, Figer A, Hecht JR, Gallinger S, Au HJ, Murawa P, Walde D, Wolff RA, et al: Erlotinib plus gemcitabine compared with gemcitabine alone in patients with advanced pancreatic cancer: A phase III trial of the national cancer institute of canada clinical trials group. J Clin Oncol. 25:1960–1966. 2007.PubMed/NCBI View Article : Google Scholar

27 

Van Cutsem E, van de Velde H, Karasek P, Oettle H, Vervenne WL, Szawlowski A, Schoffski P, Post S, Verslype C, Neumann H, et al: Phase III trial of gemcitabine plus tipifarnib compared with gemcitabine plus placebo in advanced pancreatic cancer. J Clin Oncol. 22:1430–1438. 2004.PubMed/NCBI View Article : Google Scholar

28 

Van Cutsem E, Vervenne WL, Bennouna J, Humblet Y, Gill S, Van Laethem JL, Verslype C, Scheithauer W, Shang A, Cosaert J and Moore MJ: Phase III trial of bevacizumab in combination with gemcitabine and erlotinib in patients with metastatic pancreatic cancer. J Clin Oncol. 27:2231–2237. 2009.PubMed/NCBI View Article : Google Scholar

29 

Kindler HL, Niedzwiecki D, Hollis D, Sutherland S, Schrag D, Hurwitz H, Innocenti F, Mulcahy MF, O'Reilly E, Wozniak TF, et al: Gemcitabine plus bevacizumab compared with gemcitabine plus placebo in patients with advanced pancreatic cancer: Phase III trial of the cancer and leukemia group B (CALGB 80303). J Clin Oncol. 28:3617–3622. 2010.PubMed/NCBI View Article : Google Scholar

30 

Kindler HL, Ioka T, Richel DJ, Bennouna J, Létourneau R, Okusaka T, Funakoshi A, Furuse J, Park YS, Ohkawa S, et al: Axitinib plus gemcitabine versus placebo plus gemcitabine in patients with advanced pancreatic adenocarcinoma: A double-blind randomised phase 3 study. Lancet Oncol. 12:256–262. 2011.PubMed/NCBI View Article : Google Scholar

31 

Gonçalves A, Gilabert M, François E, Dahan L, Perrier H, Lamy R, Re D, Largillier R, Gasmi M, Tchiknavorian X, et al: BAYPAN study: A double-blind phase III randomized trial comparing gemcitabine plus sorafenib and gemcitabine plus placebo in patients with advanced pancreatic cancer. Ann Oncol. 23:2799–2805. 2012.PubMed/NCBI View Article : Google Scholar

32 

Rougier P, Riess H, Manges R, Karasek P, Humblet Y, Barone C, Santoro A, Assadourian S, Hatteville L and Philip PA: Randomised, placebo-controlled, double-blind, parallel-group phase III study evaluating aflibercept in patients receiving first-line treatment with gemcitabine for metastatic pancreatic cancer. Eur J Cancer. 49:2633–2642. 2013.PubMed/NCBI View Article : Google Scholar

33 

Yamaue H, Tsunoda T, Tani M, Miyazawa M, Yamao K, Mizuno N, Okusaka T, Ueno H, Boku N, Fukutomi A, et al: Randomized phase II/III clinical trial of elpamotide for patients with advanced pancreatic cancer: PEGASUS-PC study. Cancer Sci. 106:883–890. 2015.PubMed/NCBI View Article : Google Scholar

34 

Sinn M, Bahra M, Liersch T, Gellert K, Messmann H, Bechstein W, Waldschmidt D, Jacobasch L, Wilhelm M, Rau BM, et al: CONKO-005: Adjuvant chemotherapy with gemcitabine plus erlotinib versus gemcitabine alone in patients after R0 resection of pancreatic cancer: A multicenter randomized phase III trial. J Clin Oncol. 35:3330–3337. 2017.PubMed/NCBI View Article : Google Scholar

35 

Sun Y, Niu W, Du F, Du C, Li S, Wang J, Li L, Wang F, Hao Y, Li C and Chi Y: Safety, pharmacokinetics, and antitumor properties of anlotinib, an oral multi-target tyrosine kinase inhibitor, in patients with advanced refractory solid tumors. J Hematol Oncol. 9(105)2016.PubMed/NCBI View Article : Google Scholar

36 

Han B, Li K, Wang Q, Zhang L, Shi J, Wang Z, Cheng Y, He J, Shi Y, Zhao Y, et al: Effect of anlotinib as a third-line or further treatment on overall survival of patients with advanced non-small cell lung cancer: The ALTER 0303 phase 3 randomized clinical trial. JAMA Oncol. 4:1569–1575. 2018.PubMed/NCBI View Article : Google Scholar

37 

Wu H, Huang N, Zhao C, Hu X, Da L, Huang W, Shen Y, Xiong F and Zhang C: Anlotinib plus nab-paclitaxel/gemcitabine as first-line treatment prolongs survival in patients with unresectable or metastatic pancreatic adenocarcinoma: A retrospective cohort. Ann Transl Med. 10(294)2022.PubMed/NCBI View Article : Google Scholar

38 

Shen G, Zheng F, Ren D, Du F, Dong Q, Wang Z, Zhao F, Ahmad R and Zhao J: Anlotinib: A novel multi-targeting tyrosine kinase inhibitor in clinical development. J Hematol Oncol. 11(120)2018.PubMed/NCBI View Article : Google Scholar

39 

Yang L, Zhou X, Sun J, Lei Q, Wang Q, Pan D, Ding M and Ding Y: Reactive oxygen species mediate anlotinib-induced apoptosis via activation of endoplasmic reticulum stress in pancreatic cancer. Cell Death Dis. 11(766)2020.PubMed/NCBI View Article : Google Scholar

40 

Zhang X, Liu Y, Zhang Z, Tan J, Zhang J, Ou H, Li J and Song Z: Multi-omics analysis of anlotinib in pancreatic cancer and development of an anlotinib-related prognostic signature. Front Cell Dev Biol. 9(649265)2021.PubMed/NCBI View Article : Google Scholar

41 

Timmer FEF, Geboers B, Nieuwenhuizen S, Dijkstra M, Schouten EAC, Puijk RS, de Vries JJJ, van den Tol MP, Bruynzeel AME, Streppel MM, et al: Pancreatic cancer and immunotherapy: A clinical overview. Cancers (Basel). 13(4138)2021.PubMed/NCBI View Article : Google Scholar

42 

Zhang F, Wang Y, Yang F, Zhang Y, Jiang M and Zhang X: The efficacy and safety of PD-1 inhibitors combined with nab-paclitaxel plus gemcitabine versus nab-paclitaxel plus gemcitabine in the first-line treatment of advanced pancreatic cancer: A retrospective monocentric study. Cancer Manag Res. 14:535–546. 2022.PubMed/NCBI View Article : Google Scholar

43 

Shui L, Cheng K, Li X, Shui P, Zhou X, Li J, Yi C and Cao D: Study protocol for an open-label, single-arm, phase Ib/II study of combination of toripalimab, nab-paclitaxel, and gemcitabine as the first-line treatment for patients with unresectable pancreatic ductal adenocarcinoma. BMC Cancer. 20(636)2020.PubMed/NCBI View Article : Google Scholar

44 

Liu Q, Zhao G, Zhang X, Jiang N, Zhao Z, Wang Y, Xu S, Zhu L, Lau WY, Dai G and Liu R: Nab-paclitaxel plus S-1 with or without PD-1 inhibitor in pancreatic ductal adenocarcinoma with only hepatic metastases: A retrospective cohort study. Langenbecks Arch Surg. 407:633–643. 2022.PubMed/NCBI View Article : Google Scholar

45 

Marabelle A, Le DT, Ascierto PA, Di Giacomo AM, De Jesus-Acosta A, Delord JP, Geva R, Gottfried M, Penel N, Hansen AR, et al: Efficacy of pembrolizumab in patients with noncolorectal high microsatellite instability/mismatch repair-deficient cancer: Results from the phase II KEYNOTE-158 study. J Clin Oncol. 38:1–10. 2020.PubMed/NCBI View Article : Google Scholar

46 

Padrón LJ, Maurer DM, O'Hara MH, O'Reilly EM, Wolff RA, Wainberg ZA, Ko AH, Fisher G, Rahma O, Lyman JP, et al: Sotigalimab and/or nivolumab with chemotherapy in first-line metastatic pancreatic cancer: Clinical and immunologic analyses from the randomized phase 2 PRINCE trial. Nat Med. 28:1167–1177. 2022.PubMed/NCBI View Article : Google Scholar

47 

Feng M, Xiong G, Cao Z, Yang G, Zheng S, Song X, You L, Zheng L, Zhang T and Zhao Y: PD-1/PD-L1 and immunotherapy for pancreatic cancer. Cancer Lett. 407:57–65. 2017.PubMed/NCBI View Article : Google Scholar

48 

Royal RE, Levy C, Turner K, Mathur A, Hughes M, Kammula US, Sherry RM, Topalian SL, Yang JC, Lowy I and Rosenberg SA: Phase 2 trial of single agent ipilimumab (anti-CTLA-4) for locally advanced or metastatic pancreatic adenocarcinoma. J Immunother. 33:828–833. 2010.PubMed/NCBI View Article : Google Scholar

49 

O'Reilly EM, Oh DY, Dhani N, Renouf DJ, Lee MA, Sun W, Fisher G, Hezel A, Chang SC, Vlahovic G, et al: Durvalumab with or without tremelimumab for patients with metastatic pancreatic ductal adenocarcinoma: A phase 2 randomized clinical trial. JAMA Oncol. 5:1431–1438. 2019.PubMed/NCBI View Article : Google Scholar

50 

Le DT, Durham JN, Smith KN, Wang H, Bartlett BR, Aulakh LK, Lu S, Kemberling H, Wilt C, Luber BS, et al: Mismatch repair deficiency predicts response of solid tumors to PD-1 blockade. Science. 357:409–413. 2017.PubMed/NCBI View Article : Google Scholar

51 

Rini BI, Plimack ER, Stus V, Gafanov R, Hawkins R, Nosov D, Pouliot F, Alekseev B, Soulières D, Melichar B, et al: Pembrolizumab plus axitinib versus sunitinib for advanced renal-cell carcinoma. N Engl J Med. 380:1116–1127. 2019.PubMed/NCBI View Article : Google Scholar

52 

Socinski MA, Jotte RM, Cappuzzo F, Orlandi F, Stroyakovskiy D, Nogami N, Rodríguez-Abreu D, Moro-Sibilot D, Thomas CA, Barlesi F, et al: Atezolizumab for first-line treatment of metastatic nonsquamous NSCLC. N Engl J Med. 378:2288–2301. 2018.PubMed/NCBI View Article : Google Scholar

53 

Motzer RJ, Penkov K, Haanen J, Rini B, Albiges L, Campbell MT, Venugopal B, Kollmannsberger C, Negrier S, Uemura M, et al: Avelumab plus axitinib versus sunitinib for advanced renal-cell carcinoma. N Engl J Med. 380:1103–1115. 2019.PubMed/NCBI View Article : Google Scholar

54 

Finn RS, Qin S, Ikeda M, Galle PR, Ducreux M, Kim TY, Kudo M, Breder V, Merle P, Kaseb AO, et al: Atezolizumab plus bevacizumab in unresectable hepatocellular carcinoma. N Engl J Med. 382:1894–1905. 2020.PubMed/NCBI View Article : Google Scholar

55 

Makker V, Rasco D, Vogelzang NJ, Brose MS, Cohn AL, Mier J, Di Simone C, Hyman DM, Stepan DE, Dutcus CE, et al: Lenvatinib plus pembrolizumab in patients with advanced endometrial cancer: An interim analysis of a multicentre, open-label, single-arm, phase 2 trial. Lancet Oncol. 20:711–718. 2019.PubMed/NCBI View Article : Google Scholar

56 

Li SQ, Yang Y and Ye LS: Angiogenesis and immune checkpoint dual blockade: Opportunities and challenges for hepatocellular carcinoma therapy. World J Gastroenterol. 28:6034–6044. 2022.PubMed/NCBI View Article : Google Scholar

57 

Fogelman DR, Wolff RA, Kopetz S, Javle M, Bradley C, Mok I, Cabanillas F and Abbruzzese JL: Evidence for the efficacy of iniparib, a PARP-1 inhibitor, in BRCA2-associated pancreatic cancer. Anticancer Res. 31:1417–1420. 2011.PubMed/NCBI

58 

Kaufman B, Shapira-Frommer R, Schmutzler RK, Audeh MW, Friedlander M, Balmaña J, Mitchell G, Fried G, Stemmer SM, Hubert A, et al: Olaparib monotherapy in patients with advanced cancer and a germline BRCA1/2 mutation. J Clin Oncol. 33:244–250. 2015.PubMed/NCBI View Article : Google Scholar

59 

Sehdev A, Gbolahan O, Hancock BA, Stanley M, Shahda S, Wan J, Wu HH, Radovich M and O'Neil BH: Germline and somatic DNA damage repair gene mutations and overall survival in metastatic pancreatic adenocarcinoma patients treated with FOLFIRINOX. Clin Cancer Res. 24:6204–6211. 2018.PubMed/NCBI View Article : Google Scholar

60 

Fumet JD, Limagne E, Thibaudin M, Truntzer C, Bertaut A, Rederstorff E and Ghiringhelli F: Precision medicine phase II study evaluating the efficacy of a double immunotherapy by durvalumab and tremelimumab combined with olaparib in patients with solid cancers and carriers of homologous recombination repair genes mutation in response or stable after olaparib treatment. BMC Cancer. 20(748)2020.PubMed/NCBI View Article : Google Scholar

Related Articles

  • Abstract
  • View
  • Download
  • Twitter
Copy and paste a formatted citation
Spandidos Publications style
Peng S, Huang H, Zhu X, Chen J, Ding X, Wang F, Chen L and Lu Z: Anlotinib plus tislelizumab for recurrent metastatic pancreas ductal adenocarcinoma with germline BRCA2 mutation: A case report. Exp Ther Med 27: 178, 2024.
APA
Peng, S., Huang, H., Zhu, X., Chen, J., Ding, X., Wang, F. ... Lu, Z. (2024). Anlotinib plus tislelizumab for recurrent metastatic pancreas ductal adenocarcinoma with germline BRCA2 mutation: A case report. Experimental and Therapeutic Medicine, 27, 178. https://doi.org/10.3892/etm.2024.12466
MLA
Peng, S., Huang, H., Zhu, X., Chen, J., Ding, X., Wang, F., Chen, L., Lu, Z."Anlotinib plus tislelizumab for recurrent metastatic pancreas ductal adenocarcinoma with germline BRCA2 mutation: A case report". Experimental and Therapeutic Medicine 27.5 (2024): 178.
Chicago
Peng, S., Huang, H., Zhu, X., Chen, J., Ding, X., Wang, F., Chen, L., Lu, Z."Anlotinib plus tislelizumab for recurrent metastatic pancreas ductal adenocarcinoma with germline BRCA2 mutation: A case report". Experimental and Therapeutic Medicine 27, no. 5 (2024): 178. https://doi.org/10.3892/etm.2024.12466
Copy and paste a formatted citation
x
Spandidos Publications style
Peng S, Huang H, Zhu X, Chen J, Ding X, Wang F, Chen L and Lu Z: Anlotinib plus tislelizumab for recurrent metastatic pancreas ductal adenocarcinoma with germline BRCA2 mutation: A case report. Exp Ther Med 27: 178, 2024.
APA
Peng, S., Huang, H., Zhu, X., Chen, J., Ding, X., Wang, F. ... Lu, Z. (2024). Anlotinib plus tislelizumab for recurrent metastatic pancreas ductal adenocarcinoma with germline BRCA2 mutation: A case report. Experimental and Therapeutic Medicine, 27, 178. https://doi.org/10.3892/etm.2024.12466
MLA
Peng, S., Huang, H., Zhu, X., Chen, J., Ding, X., Wang, F., Chen, L., Lu, Z."Anlotinib plus tislelizumab for recurrent metastatic pancreas ductal adenocarcinoma with germline BRCA2 mutation: A case report". Experimental and Therapeutic Medicine 27.5 (2024): 178.
Chicago
Peng, S., Huang, H., Zhu, X., Chen, J., Ding, X., Wang, F., Chen, L., Lu, Z."Anlotinib plus tislelizumab for recurrent metastatic pancreas ductal adenocarcinoma with germline BRCA2 mutation: A case report". Experimental and Therapeutic Medicine 27, no. 5 (2024): 178. https://doi.org/10.3892/etm.2024.12466
Follow us
  • Twitter
  • LinkedIn
  • Facebook
About
  • Spandidos Publications
  • Careers
  • Cookie Policy
  • Privacy Policy
How can we help?
  • Help
  • Live Chat
  • Contact
  • Email to our Support Team