Spandidos Publications Logo
  • About
    • About Spandidos
    • Aims and Scopes
    • Abstracting and Indexing
    • Editorial Policies
    • Reprints and Permissions
    • Job Opportunities
    • Terms and Conditions
    • Contact
  • Journals
    • All Journals
    • Oncology Letters
      • Oncology Letters
      • Information for Authors
      • Editorial Policies
      • Editorial Board
      • Aims and Scope
      • Abstracting and Indexing
      • Bibliographic Information
      • Archive
    • International Journal of Oncology
      • International Journal of Oncology
      • Information for Authors
      • Editorial Policies
      • Editorial Board
      • Aims and Scope
      • Abstracting and Indexing
      • Bibliographic Information
      • Archive
    • Molecular and Clinical Oncology
      • Molecular and Clinical Oncology
      • Information for Authors
      • Editorial Policies
      • Editorial Board
      • Aims and Scope
      • Abstracting and Indexing
      • Bibliographic Information
      • Archive
    • Experimental and Therapeutic Medicine
      • Experimental and Therapeutic Medicine
      • Information for Authors
      • Editorial Policies
      • Editorial Board
      • Aims and Scope
      • Abstracting and Indexing
      • Bibliographic Information
      • Archive
    • International Journal of Molecular Medicine
      • International Journal of Molecular Medicine
      • Information for Authors
      • Editorial Policies
      • Editorial Board
      • Aims and Scope
      • Abstracting and Indexing
      • Bibliographic Information
      • Archive
    • Biomedical Reports
      • Biomedical Reports
      • Information for Authors
      • Editorial Policies
      • Editorial Board
      • Aims and Scope
      • Abstracting and Indexing
      • Bibliographic Information
      • Archive
    • Oncology Reports
      • Oncology Reports
      • Information for Authors
      • Editorial Policies
      • Editorial Board
      • Aims and Scope
      • Abstracting and Indexing
      • Bibliographic Information
      • Archive
    • Molecular Medicine Reports
      • Molecular Medicine Reports
      • Information for Authors
      • Editorial Policies
      • Editorial Board
      • Aims and Scope
      • Abstracting and Indexing
      • Bibliographic Information
      • Archive
    • World Academy of Sciences Journal
      • World Academy of Sciences Journal
      • Information for Authors
      • Editorial Policies
      • Editorial Board
      • Aims and Scope
      • Abstracting and Indexing
      • Bibliographic Information
      • Archive
    • International Journal of Functional Nutrition
      • International Journal of Functional Nutrition
      • Information for Authors
      • Editorial Policies
      • Editorial Board
      • Aims and Scope
      • Abstracting and Indexing
      • Bibliographic Information
      • Archive
    • International Journal of Epigenetics
      • International Journal of Epigenetics
      • Information for Authors
      • Editorial Policies
      • Editorial Board
      • Aims and Scope
      • Abstracting and Indexing
      • Bibliographic Information
      • Archive
    • Medicine International
      • Medicine International
      • Information for Authors
      • Editorial Policies
      • Editorial Board
      • Aims and Scope
      • Abstracting and Indexing
      • Bibliographic Information
      • Archive
  • Articles
  • Information
    • Information for Authors
    • Information for Reviewers
    • Information for Librarians
    • Information for Advertisers
    • Conferences
  • Language Editing
Spandidos Publications Logo
  • About
    • About Spandidos
    • Aims and Scopes
    • Abstracting and Indexing
    • Editorial Policies
    • Reprints and Permissions
    • Job Opportunities
    • Terms and Conditions
    • Contact
  • Journals
    • All Journals
    • Biomedical Reports
      • Information for Authors
      • Editorial Policies
      • Editorial Board
      • Aims and Scope
      • Abstracting and Indexing
      • Bibliographic Information
      • Archive
    • Experimental and Therapeutic Medicine
      • Information for Authors
      • Editorial Policies
      • Editorial Board
      • Aims and Scope
      • Abstracting and Indexing
      • Bibliographic Information
      • Archive
    • International Journal of Epigenetics
      • Information for Authors
      • Editorial Policies
      • Editorial Board
      • Aims and Scope
      • Abstracting and Indexing
      • Bibliographic Information
      • Archive
    • International Journal of Functional Nutrition
      • Information for Authors
      • Editorial Policies
      • Editorial Board
      • Aims and Scope
      • Abstracting and Indexing
      • Bibliographic Information
      • Archive
    • International Journal of Molecular Medicine
      • Information for Authors
      • Editorial Policies
      • Editorial Board
      • Aims and Scope
      • Abstracting and Indexing
      • Bibliographic Information
      • Archive
    • International Journal of Oncology
      • Information for Authors
      • Editorial Policies
      • Editorial Board
      • Aims and Scope
      • Abstracting and Indexing
      • Bibliographic Information
      • Archive
    • Medicine International
      • Information for Authors
      • Editorial Policies
      • Editorial Board
      • Aims and Scope
      • Abstracting and Indexing
      • Bibliographic Information
      • Archive
    • Molecular and Clinical Oncology
      • Information for Authors
      • Editorial Policies
      • Editorial Board
      • Aims and Scope
      • Abstracting and Indexing
      • Bibliographic Information
      • Archive
    • Molecular Medicine Reports
      • Information for Authors
      • Editorial Policies
      • Editorial Board
      • Aims and Scope
      • Abstracting and Indexing
      • Bibliographic Information
      • Archive
    • Oncology Letters
      • Information for Authors
      • Editorial Policies
      • Editorial Board
      • Aims and Scope
      • Abstracting and Indexing
      • Bibliographic Information
      • Archive
    • Oncology Reports
      • Information for Authors
      • Editorial Policies
      • Editorial Board
      • Aims and Scope
      • Abstracting and Indexing
      • Bibliographic Information
      • Archive
    • World Academy of Sciences Journal
      • Information for Authors
      • Editorial Policies
      • Editorial Board
      • Aims and Scope
      • Abstracting and Indexing
      • Bibliographic Information
      • Archive
  • Articles
  • Information
    • For Authors
    • For Reviewers
    • For Librarians
    • For Advertisers
    • Conferences
  • Language Editing
Login Register Submit
  • This site uses cookies
  • You can change your cookie settings at any time by following the instructions in our Cookie Policy. To find out more, you may read our Privacy Policy.

    I agree
Search articles by DOI, keyword, author or affiliation
Search
Advanced Search
presentation
Experimental and Therapeutic Medicine
Join Editorial Board Propose a Special Issue
Print ISSN: 1792-0981 Online ISSN: 1792-1015
Journal Cover
July-2024 Volume 28 Issue 1

Full Size Image

Sign up for eToc alerts
Recommend to Library

Journals

International Journal of Molecular Medicine

International Journal of Molecular Medicine

International Journal of Molecular Medicine is an international journal devoted to molecular mechanisms of human disease.

International Journal of Oncology

International Journal of Oncology

International Journal of Oncology is an international journal devoted to oncology research and cancer treatment.

Molecular Medicine Reports

Molecular Medicine Reports

Covers molecular medicine topics such as pharmacology, pathology, genetics, neuroscience, infectious diseases, molecular cardiology, and molecular surgery.

Oncology Reports

Oncology Reports

Oncology Reports is an international journal devoted to fundamental and applied research in Oncology.

Experimental and Therapeutic Medicine

Experimental and Therapeutic Medicine

Experimental and Therapeutic Medicine is an international journal devoted to laboratory and clinical medicine.

Oncology Letters

Oncology Letters

Oncology Letters is an international journal devoted to Experimental and Clinical Oncology.

Biomedical Reports

Biomedical Reports

Explores a wide range of biological and medical fields, including pharmacology, genetics, microbiology, neuroscience, and molecular cardiology.

Molecular and Clinical Oncology

Molecular and Clinical Oncology

International journal addressing all aspects of oncology research, from tumorigenesis and oncogenes to chemotherapy and metastasis.

World Academy of Sciences Journal

World Academy of Sciences Journal

Multidisciplinary open-access journal spanning biochemistry, genetics, neuroscience, environmental health, and synthetic biology.

International Journal of Functional Nutrition

International Journal of Functional Nutrition

Open-access journal combining biochemistry, pharmacology, immunology, and genetics to advance health through functional nutrition.

International Journal of Epigenetics

International Journal of Epigenetics

Publishes open-access research on using epigenetics to advance understanding and treatment of human disease.

Medicine International

Medicine International

An International Open Access Journal Devoted to General Medicine.

Journal Cover
July-2024 Volume 28 Issue 1

Full Size Image

Sign up for eToc alerts
Recommend to Library

  • Article
  • Citations
    • Cite This Article
    • Download Citation
    • Create Citation Alert
    • Remove Citation Alert
    • Cited By
  • Similar Articles
    • Related Articles (in Spandidos Publications)
    • Similar Articles (Google Scholar)
    • Similar Articles (PubMed)
  • Download PDF
  • Download XML
  • View XML
Article Open Access

Effects of mid‑gestational sevoflurane and magnesium sulfate on maternal oxidative stress, inflammation and fetal brain histopathology

  • Authors:
    • Cagri Ozdemi̇r
    • Berrin Isik
    • Gulce Koca
    • Mehmet Arda Inan
  • View Affiliations / Copyright

    Affiliations: Department of Anesthesiology and Reanimation, Mamak State Hospital, 06270 Ankara, Turkey, Department of Anesthesiology and Reanimation, Faculty of Medicine, Gazi University, 06560 Ankara, Turkey, Department of Medical Biochemistry, Faculty of Medicine, Gazi University, 06560 Ankara, Turkey, Department of Medical Pathology, Faculty of Medicine, Gazi University, 06560 Ankara, Turkey
    Copyright: © Ozdemi̇r et al. This is an open access article distributed under the terms of Creative Commons Attribution License.
  • Article Number: 286
    |
    Published online on: May 16, 2024
       https://doi.org/10.3892/etm.2024.12574
  • Expand metrics +
Metrics: Total Views: 0 (Spandidos Publications: | PMC Statistics: )
Metrics: Total PDF Downloads: 0 (Spandidos Publications: | PMC Statistics: )
Cited By (CrossRef): 0 citations Loading Articles...

This article is mentioned in:



Abstract

Models of inflammation, oxidative stress, hyperoxia and hypoxia have demonstrated that magnesium sulfate (MgSO4), a commonly used drug in obstetrics, has neuroprotective potential. In the present study, the effects of MgSO4 treatment on inflammation, oxidative stress and fetal brain histopathology were evaluated in an experimental rat model following sevoflurane (Sv) exposure during the mid‑gestational period. Rats were randomly divided into groups: C (control; no injections or anesthesia), Sv (exposure to 2.5% Sv for 2 h), MgSO4 (administered 270 mg/kg MgSO4 intraperitoneally) and Sv + MgSO4 (Sv administered 30 min after MgSO4 injection). Inflammatory and oxidative stress markers were measured in the serum and neurotoxicity was investigated histopathologically in fetal brain tissue. Short‑term mid‑gestational exposure to a 1.1 minimum alveolar concentration of Sv did not significantly increase the levels of any of the measured biochemical markers, except for TNF‑α. Histopathological evaluations demonstrated no findings suggestive of pathological apoptosis, neuroinflammation or oxidative stress‑induced cell damage. MgSO4 injection prior to anesthesia caused no significant differences in biochemical or histopathological marker levels compared to the C and Sv groups. The present study indicated that short‑term exposure to Sv could potentially be considered a harmless external stimulus to the fetal brain.

Introduction

Laparoscopic surgeries, fetal monitoring systems and a better understanding of the pharmacology of anesthetics have increased the safety of surgeries that must be performed with obligatory indications such as acute appendicitis, cholecystectomy and fetal surgery during pregnancy. In the US, 1-2% of all pregnant women undergo surgery for non-obstetric reasons (1) and ~20% undergo surgery for obstetric reasons (2). These surgery rates also indirectly represent the proportion of fetuses exposed to anesthesia. In 2016, the Food and Drug Administration (FDA) issued a statement indicating that repeated or prolonged exposure to inhalation anesthetics during childhood and pregnancy is a potential risk factor for adverse long-term neurocognitive outcomes (3).

Sevoflurane (Sv) is an inhalation agent widely used in obstetric anesthesia due to its clinical advantages. At the receptor level, Sv increases the activity of γ-aminobutyric acid-A and glycine receptors, while decreasing the activity of cholinergic and N-methyl-D-aspartate (NMDA) type glutamate receptors (4,5). However, the effects of this anesthetic agent on the developing brain in different trimesters, at different doses and durations, have not previously been reported, to the best of our knowledge. Despite the widespread use of Sv, certain studies have reported cases of neurotoxicity due to increases in neuroinflammation and oxidative stress, decreases in neuronal transmission, changes in lipid membrane fluidity and apoptosis of neuroprogenitor cells, which suggests that exposure may confer long-term adverse consequences (6-8). A number of reports have indicated that exposure to Sv, particularly during the early and mid-pregnancy periods, can also reduce postnatal learning and memory capacity (9,10). The exposure time and dose are considered the most important determinants of the activation of damage pathways by this anesthetic. However, it has not yet been revealed to what extent the damage will increase as the dose and exposure time increases. Nevertheless, perioperative pharmacological neuroprotection requirements remain a controversial issue.

The neuroprotective efficacy of lidocaine, thiopental, ketamine, propofol, nimodipine, glutamate, aspartate, atorvastatin, erythropoietin and rivastigmine have previously been assessed and reported (11-13). Another drug with potential neuroprotective properties is magnesium sulfate (MgSO4), which has been reported to reduce apoptosis activation and to act as an NMDA receptor antagonist, anti-inflammatory and antioxidant (14-17). Zhang et al (18) reported that MgSO4 could ameliorate isoflurane-induced neurotoxicity by inhibiting mitochondrial dysfunction, and that it could be used in the prevention and treatment of anesthesia neurotoxicity. Beloosesky et al (19) reported that MgSO4 may protect against neuroinflammation by reducing pro-inflammatory cytokine production through an inhibition of neuronal nitric oxide synthase and an NF-κB enhancer. The safety profile of MgSO4, especially in obstetrics, its low cost and its wide availability prompted the present study to explore the neuroprotective efficacy of this agent against possible fetal neurotoxicity caused by Sv.

In the present study, pregnant rats in their mid-gestational period were exposed to short-term, 1 minimum alveolar concentration (MAC) Sv with or without prior MgSO4 injection. The aim of the present study was to evaluate fetal neurotoxicity by measuring changes in maternal inflammation and oxidative stress markers, and analyzing fetal brain histopathology.

Materials and methods

Animals and ethical approval

All procedures were approved by the Gazi University Ethics Committee for Experimental Animals (Ankara, Turkey; approval no. G.U.ET-20-0499). The present study was carried out at Gazi University Faculty of Medicine between September and October 2020. All procedures were performed according to accepted standards in the Guide for the Care and Use of Laboratory Animals (20) and the Animal Research: Reporting of in vivo Experiments guidelines (21). The present study included 24 female Wistar albino rats (age, 3-4 months; weight, 200-300 g) supplied by the Gazi University Experimental Animals Research Center. The rats were kept in standard housing conditions, at a temperature range of 20-21˚C, an average humidity of 55±5% and with a 12-h light/dark cycle. Food and water were available ad libitum. The rats' pregnancy process was performed and controlled by veterinarians at the research center.

Exposure and treatment

On day 14 of pregnancy, the pregnant rats were randomly assigned and equally divided (n=6) into groups: Control (C), Sv, MgSO4 and Sv + MgSO4 groups. All surgical procedures were performed under general anesthesia. An intraperitoneal (i.p.) injection comprising 50 mg/kg ketamine hydrochloride (500 mg/10 ml Ketalar®; Parke-Davis; Pfizer, Inc.) and 10 mg/kg xylazine hydrochloride (Alfazyne® 2%; Alfasan International B.V.) was administered for anesthesia. The depth of anesthesia was evaluated using the tail-pinch test. Anesthesia was performed in a transparent plastic box.

The rats in Group C were administered O2 for 2 h on day 14 of pregnancy. The Sv group were administered 2.5% Sv (250 ml; Abbott Laboratories) with 2 l/min O2 for 2 h on day 14 of pregnancy. The aforementioned concentration of Sv was selected as it corresponded to 1.1 MAC in rats and had been used in previous neurotoxicity studies (10,22). The rats in the MgSO4 group were injected i.p. with 270 mg/kg MgSO4 (15% ampoule; Biofarma Pharmaceuticals) on day 14 of pregnancy. The dosage of 270 mg/kg MgSO4 was selected as it had been reported to show neuroprotective activity in previous studies (14,15,23,24). O2 at 2 l/min was administered to these rats for 2 h in the plastic box, starting 30 min after the injection. The Sv + MgSO4 group were injected with the same dose of i.p. MgSO4. After waiting for 30 min, the rats were exposed to 2.5% Sv with 2 l/min O2 for 2 h.

A previous study reported that the same dose of Sv did not change blood pressure and blood gas values; therefore, blood pressure monitoring was not performed in the present study (25). After performing the intervention and exposure steps in each treatment group, a laparotomy was performed under anesthesia in all rats and fetuses were removed.

Pregnant rats and fetuses were sacrificed by taking intracardiac blood under anesthesia. The numbers and weights of fetuses were recorded. The fetal brains were removed by craniotomy. Blood samples (5-10 ml) were taken from the pregnant rats for biochemical analysis. The maternal blood samples were placed in tubes without additives, left to stand upright for 30 min at room temperature and then serum samples were obtained by centrifugation at 1,500 x g for 10 min at 21-23˚C. The resulting serum samples were placed in Eppendorf tubes, frozen at -80˚C and used for subsequent biochemical analysis. The maternal serum samples were used for the determination of inflammatory and oxidative markers. Biochemical analysis could not be performed on the fetal blood, as the samples of intracardiac blood taken from the fetuses for sacrifice were too small for analysis. Brain tissues from 3 rat pups per group were fixed in a 10% formaldehyde solution at room temperature for 48 h. Subsequently, automated routine paraffin tissue processing was performed, followed by staining of 4-micron sections with hematoxylin and eosin. The fetal brain tissues were used for subsequent histopathological analysis of apoptosis, autophagy and neuroinflammation. The timeline of the experiment is shown in Fig. 1.

Figure 1

Timeline of the experiment. C, control; Sv, sevoflurane; MgSO4, magnesium sulfate; G, gestational day; H&E, hematoxylin and eosin; TAS, total antioxidant status; TOS, total oxidant status; OSI, oxidative stress index; i.p, intraperitoneal.

Biochemical evaluations

The IL-6, IL-10 and TNF-α markers in maternal serum were analyzed using ELISA kits (cat. nos. E-EL-R0015, E-EL-R0016 and E-EL-R2856, respectively; Elabscience Biotechnology, Inc.) according to the sandwich-ELISA principle. The micro-ELISA plates provided in the aforementioned kits were pre-coated with antibodies specific for rat IL-6, IL-10 and TNF-α. Standards or samples were added to the micro-ELISA plate wells and conjugated with the specific antibodies. The rat marker concentrations in the samples were calculated by comparing the optical density value of the samples with those of the prepared standard curve.

The total antioxidant status (TAS) and total oxidant status (TOS) levels in maternal serum were measured using kits (cat. nos. RL0017 and RL0024, respectively; Rel Assay Diagnostics). The serum concentrations of these parameters were assessed following the manufacturer's instructions. TOS levels were expressed as µmol H2O2 and TAS levels as mmol Trolox equivalent/l. TOS measurement was performed according to the iron ion-o-dianisidine complex assay. Oxidants present in serum oxidize the ferrous ion-o-dianisidine complex to iron ion. The oxidation is enhanced by glycerol molecules, which are abundant in the reaction medium. Ferric ions, in an acidic environment with xylenol, form an orange-colored complex whose intensity is proportional to the total amount of oxidant molecules present in the sample (26,27).

The ratio of TOS to TAS is considered the oxidative stress index (OSI). The OSI value was calculated according to the following formula: OSI=TOS (µmol H2O2 equivalent/l)/TAS (µmol Trolox equivalent/l).

Histopathological evaluation

Fetal brain tissues were evaluated for apoptosis, autophagy and inflammation. All incubations were performed at room temperature. After fixation, the macroscopically visible damaged area was viewed identified in fetal brains sliced into 2-mm sagittal sections. Subsequently, the slice with the widest section surface was loaded into a cassette. Following automated routine paraffin tissue processing with alcohol and xylene solutions, the tissue was embedded in paraffin blocks. For further analysis in the pathology laboratory, sections of 4 µm were cut, deparaffinized and stained with hematoxylin and eosin. The brain samples were imaged using an optical microscope (magnification, x400). Apoptotic cells, identified by shrunken condensed cytoplasm and hyperchromatic nuclei, were examined to evaluate neuronal damage. Cellularity was also assessed to detect inflammatory infiltration. The number of apoptotic cells was quantified in 1 mm² areas on each slide, and the highest ratio was recorded for each group. Microscopic images of brain tissue samples from each rat were captured.

Statistical analysis

Statistical analysis was performed using SPSS software (version 15.0; SPSS Inc.). Descriptive statistics were presented as the median (minimum-maximum). Pregnant rat and fetal rat weights, the number of fetal rats taken from each pregnant rat, and maternal serum IL-6, IL-10, TNF-α, TAS, TOS and OSI values were evaluated. The Kruskal-Wallis test was used for analysis of all median values between groups. Parameters that were found to be statistically significant according to the Kruskal-Wallis test were evaluated using a post-hoc test (non-parametric Dunn Bonferroni) to determine between which two groups there was a significant difference. P<0.05 was considered to indicate a statistically significant difference.

Results

Effect of midgestational Sv exposure on rat weights

No statistically significant differences in the weights of pregnant rats in the four groups were detected after exposure to Sv (P=0.695; Table I). The numbers and weights of the fetuses taken from each pregnant rat were not significantly different when compared between the treatment groups (P=0.619; Table I).

Table I

Weights of pregnant rats and weights and numbers of fetuses in the treatment groups.

Table I

Weights of pregnant rats and weights and numbers of fetuses in the treatment groups.

ParameterControl group (n=6)MgSO4 group (n=6)Sv group (n=6)Sv + MgSO4 group (n=6)P-value
Weight of pregnant rats, g260.87 (247.52-295.51)252.34 (240.91-284.24)260.19 (239.19-280.13)262.08 (250.13-290.64)0.695
Fetuses, n7.5 (3.0-11.0)6.0 (3.0-10.0)7.0 (3.0-9.0)7.0 (4.0-10.0)0.906
Weight of fetuses, mg140.78 (130.42-151.98)145.78 (137.65-150.62)141.38 (139.45-147.43)142.45 (138.25-146.52)0.619

[i] Values are expressed as the median (range). Sv, sevoflurane; MgSO4, magnesium sulfate.

Effects of midgestational Sv exposure on inflammatory markers

TNF-α, IL-6 and IL-10 levels in maternal serum were evaluated to investigate the potential induction of inflammation as a result of exposure to Sv. TNF-α levels were significantly different when compared between the groups. (P=0.044; Table II). The median TNF-α level of the Sv-treated group was significantly higher when compared with the control group (P=0.027; Table III). No significant differences were demonstrated in other pairwise comparisons of the other inflammatory marker levels between the treatment groups.

Table II

Comparison of inflammation marker levels between treatment groups of rats.

Table II

Comparison of inflammation marker levels between treatment groups of rats.

MarkerControl group (n=6)MgSO4 group (n=6)Sv group (n=6)Sv + MgSO4 group (n=6)P-value
TNF-α, pg/ml71.94 (58.96-111.32)87.35 (63.95-263.46)159.64 (96.37-261.35)95.07 (63.12-206.79)0.044
IL-6, ng/l2.69 (2.39-3.48)2.87 (2.38-3.23)2.88 (2.70-3.53)2.85 (2.47-3.72)0.492
IL-10, pg/ml129.61 (66.88-176.90)160.44 (100.36-215.70)138.22 (100.36-220.71)203.08 (79.30-274.56)0.534

[i] Values are expressed as the median (range). Sv, sevoflurane; MgSO4, magnesium sulfate.

Table III

Comparison of TNF-α levels between treatment groups of rats.

Table III

Comparison of TNF-α levels between treatment groups of rats.

ComparisonTest statisticStandard errorStandard test statisticP-valueAdjusted P-value
C vs. MgSO4-5.4174.082-1.3270.184>0.999
C vs. Sv + MgSO4-6.0004.082-1.4700.1420.849
C vs. Sv-11.5834.082-2.8380.0050.027
Sv + MgSO4 vs. MgSO4-0.5834.082-1.430.886>0.999
MgSO4 vs. Sv-6.1674.082-1.5110.1310.785
Sv vs. Sv + MgSO45.5834.0821.3680.171>0.999

[i] Bonferroni's correction was used to control for multiple comparisons and were shown with adjusted P-values. C, control; Sv, sevoflurane; MgSO4, magnesium sulfate.

Effects of midgestational Sv exposure on oxidative stress markers

The oxidant-antioxidant stress markers TAS, TOS and OSI were evaluated in serum samples from pregnant rats. These results demonstrated no significant differences between the groups (TAS, P=0.153; TOS, P=0.256; and OSI, P=0.258; Table IV).

Table IV

Comparison of oxidative stress markers between treatment groups of rats.

Table IV

Comparison of oxidative stress markers between treatment groups of rats.

MarkerControl group (n=6)MgSO4 group (n=6)Sv group (n=6)Sv + MgSO4 group (n=6)P-value
TAS, mmol/l1.60 (1.45-1.81)1.64 (1.42-3.15)1.78 (1.63-2.35)1.57 (1.47-180.00)0.153
TOS, µmol/l4.99 (3.65-14.44)7.26 (2.38-19.77)9.49 (5.97-67.95)11.43 (3.28-25.73)0.256
OSI0.30 (0.24-0.79)0.49 (0.09-1.10)0.55 (0.35-2.89)0.75 (0.21-1.42)0.258

[i] Values are expressed as the median (range). Sv, sevoflurane; MgSO4, magnesium sulfate; TAS, total antioxidant status; TOS, total oxidant status.

Histopathological evaluation

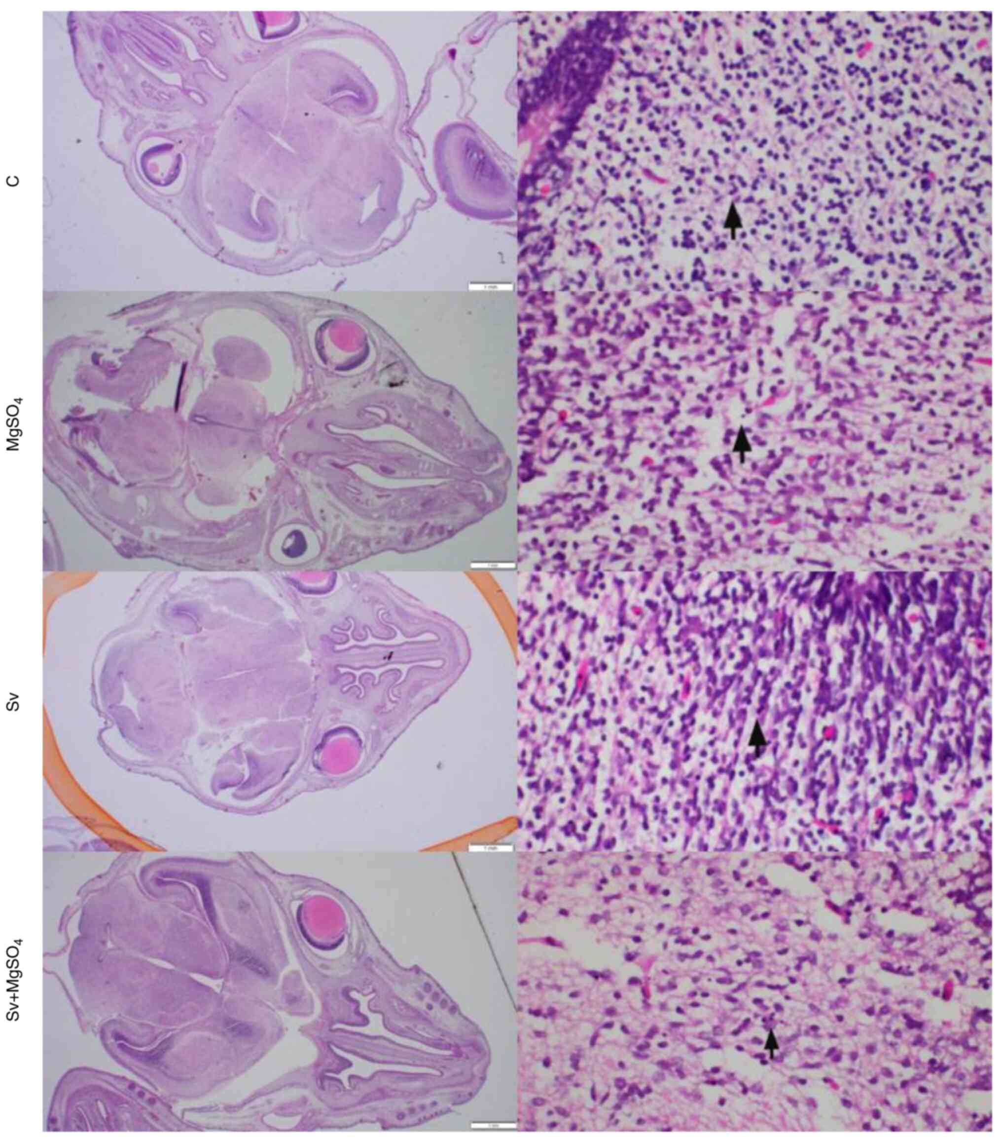
The morphology of apoptotic cells can be described as showing cytoplasmic constriction, eosinophilic condensation and nuclear hyperchromasia (28). The number of apoptotic cells per 1 mm2 was determined by examining cortical regions following the initial observation of apoptosis and counting apoptotic cells in consecutive high-magnification fields (Table V). A 1-mm2 section corresponded to ~4 high-magnification fields of view (each 0.26 mm2). Brain sections of the different treatment groups were examined to search for macroscopic areas showing necrosis, gliosis and inflammation that could be associated with inflammation, oxidative stress or apoptosis. The histopathological images were similar between the groups and no evidence, such as inflammation, pathological apoptosis and autophagy, was found to suggest anesthesia-induced damage. Although apoptosis was particularly concentrated in the periventricular adjacent white matter areas in all examples, the extent of damage was considered to be within the limits of physiological apoptosis normally seen during embryonic development (29) (Fig. 2). When the number of apoptotic cells was compared between treatment groups, the group with the highest median value was the Sv + MgSO4 group, followed by the MgSO4, Sv and C groups, respectively. However, the differences in the number of apoptotic cells between the groups were not statistically significant (P=0.114; Table V).

Figure 2

Sagittal sections of hematoxylin and eosin-stained fetal rat brain tissue at day G14. Left panel: Magnification, x12.5; scale bar, 1 mm. Right panel: Magnification, x400. Black arrows indicate apoptotic cells. C, control; Sv, sevoflurane; MgSO4, magnesium sulfate.

Table V

Comparison of number of apoptotic cells in fetal brain tissues between treatment groups of rats.

Table V

Comparison of number of apoptotic cells in fetal brain tissues between treatment groups of rats.

ParameterControl group (n=6)MgSO4 group (n=6)Sv group (n=6)Sv + MgSO4 group (n=6)P-value
Apoptotic cells, n1.0 (1.0-3.0)4.0 (2.0-11.0)2.5 (2.0-4.0)4.5 (3.0-7.0)0.114

[i] Values are expressed as the median (range). Sv, sevoflurane; MgSO4, magnesium sulfate.

Discussion

Medical developments such as laparoscopy and intrauterine fetal monitoring have enabled the performance of emergency interventional procedures during pregnancy in a safer manner. However, surgical procedures have increased the rate of exposure of the fetal brain to anesthesia (30). The net effect of anesthetic drugs on the fetal brain is a long-debated issue and previous studies have provided conflicting results (10,31,32). In 2016, the FDA reported that repeated or prolonged use of general anesthetic and sedation drugs in children aged <3 years, or in pregnant women in the third trimester, may negatively affect children's brain development (3).

The first step in reducing fetal risk under anesthesia is the timing of the surgical procedure. Currently, the second trimester is accepted as the most appropriate time for mandatory surgeries (33). The present study aimed to contribute to the ongoing debate by focusing on the acute damage that could potentially occur to the fetus following exposure to anesthesia in the second trimester. Day 14 of rat pregnancy (G14) was selected, as it is equivalent in terms of fetal brain development to the second trimester development that occurs during a human pregnancy (34,35).

Other risk-reducing steps include limiting the exposure time, frequency and drug dose. Sv, as the most frequently preferred volatile anesthetic agent for pregnant women (36), was used at a concentration of 2.5% in the present study. The possible neurotoxic effects of Sv have been reported in a number of studies (8,37), but its actual neurotoxic potential, if present, has not yet been reported, to the best of our knowledge. The 2.5% concentration of Sv is equivalent to 1.1 MAC in rats (4). A time frame of 2 h was chosen, as current recommendations are that surgeries should be performed in as short a time frame as possible to reduce exposure. A previous study reported that a 2-h anesthetic exposure was sufficient to trigger neurotoxicity (38). The present study was designed considering current recommendations for clinical approach and operation times, unlike other previously published studies that aimed to induce neurotoxicity using high Sv doses, long exposure times and repeated applications (39,40).

In the present study, Sv did not cause neurotoxicity in the fetal rat brain. Similar previous studies also support this result. For example, Wu et al (32) reported no neurotoxicity in second trimester pregnant rats after a 2-h exposure to Sv and emphasized the importance of repeated exposures in the development of neurotoxicity. Furthermore, Lee et al (31) reported that neither single nor multiple exposures to Sv caused any long-term behavioral disorders and that they did not affect long-term synaptic plasticity. By contrast, learning disabilities and neurotoxicity in offspring rats were reported by Zheng et al (10) following exposure to 2.5% Sv for 2 h and by Hirotsu et al (39) following exposure to 1-2% Sv for 3 h. The methods used by the aforementioned studies were similar to those used in the present study; therefore, the differences in results may be due to the species choice (mouse or rat), anesthesia protocol (exact gestational age, choice of anesthetic agent, dose and duration), sensitivity of the biochemical tests and the chosen exposure time point (fetal or neonatal). In the present study, the histopathology of the fetal brain and the inflammatory and oxidative stress markers in maternal blood samples were assessed for the fetal neurotoxicity evaluation. Maternal cytokines and radicals can reach the fetal brain through the placenta and move across the immature fetal blood-brain barrier, thereby producing proinflammatory cytokines that activate fetal microglia and impair neuronal development (41).

Neuroinflammation is a pathological condition that can lead to cognitive impairment (42). Previous studies have reported an association between elevated cytokines in maternal serum in the second and third trimesters of pregnancy and an increased risk of neurodevelopmental disorders (34,39,43). Possible mechanisms that could be responsible for this association are that the increased cytokines in the maternal blood reach the brain across the immature blood-brain barrier (44) or that Sv directly activates NF-κB to increase levels of proinflammatory cytokines in the fetal brain (37). In the present study, only the maternal serum levels of TNF-α demonstrated a significant increase, but this increase did not appear to cause fetal brain damage. In another previous study investigating the effects of maternal inflammation on the fetal brain, L-6, IL-1β, IL-10, TNF-α, TNF-α levels were the first to increase among the cytokines tested (44). The effects of TNF-α on cognitive function, disease occurrence and underlying disease have been investigated previously (45). Under pathological conditions, microglia secrete TNF-α, an important component of neuroinflammation. TNF-α may potentiate cytotoxicity through two complementary mechanisms: Indirectly by inhibiting glutamate transport by astrocytes and directly by increasing the localization of ionotropic glutamate receptors on synapses (46). Acute inhibition of endogenous TNF-α by treatment with soluble TNF-α receptors, neutralizing antibodies or antisense blockers reduces ischemic and traumatic brain damage in rodents, which suggests that TNF-α contributes to brain damage (47-50). TNF-α induces caspase-3 activation that causes apoptotic neuronal cell death in hippocampal cultures (51). A number of studies have also reported that TNF-α is involved in mediating microglia-induced neuronal cell death (52) and peripherin-induced dorsal root ganglion neuron apoptosis (53). TNF-α alone has also been reported to induce oxidative stress that may lead to cell death (54,55). However, an increase in TNF-α levels does not necessarily mean that neurotoxicity has occurred. The minimum level of TNF-α that can cause neurotoxicity is currently unknown. While a single dose of TNF-α did not damage the memory of healthy mice, it caused acute disturbances such as hypothermia, weight loss and inactivity in mice with neurodegeneration. However, no neuronal death, synaptic loss or tau hyperphosphorylation was observed in the brain tissue (44). Similarly, a 3% Sv exposure for 2 h did not increase IL-6 and TNF-α levels in 6-day-old rat pups, whereas treatment with 3% Sv for 2 h daily for 3 days increased IL-6 and TNF-α levels in the brain (37). In terms of neuroinflammation, repeated exposure and prolonged exposure times to Sv may cause increased inflammation. The increased levels of IL-6 and IL-10 reported in previous studies are most likely associated with higher doses, longer durations and repeated exposures. However, more extensive studies are needed to confirm this.

Compared with the adult brain, the developing brain shows a higher rate of mitochondrial respiration and oxygen consumption. However, the fetal brain has insufficient antioxidant defenses compared with the adult brain, making it more susceptible to the effects of oxidative stress (56,57). Nevertheless, whether Sv affects the fetal brain oxidative balance positively or negatively currently remains unclear. As the Sv concentration increases, the antioxidant activity shifts to an effect that increases oxidative stress (58). At present, the safety of using the 1 MAC Sv concentration frequently used in the clinic remains unclear, as different studies have reported both antioxidant and pro-oxidant effects at this dose. Zhou et al (7) reported relatively low plasma and hippocampal malondialdehyde (MDA) levels of Sv at a subclinical concentration of 0.3 MAC (1.3%) and reported that Sv could reduce oxidative stress. Additionally, Allaouchiche et al (59) investigated the oxidative state of the circulation and lungs during 1 MAC Sv anesthesia, and observed relatively lower levels of MDA and glutathione peroxidase in plasma and bronchoalveolar lavage fluid compared with levels during propofol and desflurane anesthesia; therefore indicating the antioxidant effect of Sv. Conversely, a study comparing surgeries performed with propofol anesthesia and Sv showed that erythrocyte protection was impaired during Sv anesthesia, which indicated that Sv may cause oxidative stress (60). Exposure to Sv in newborn rats has been reported to increase reactive oxygen species (ROS) levels through mitochondrial dysfunction and overactivation of NADPH oxidase, resulting in widespread neurodegeneration and long-term behavioral disorders (10,57,61). Exposure-induced intracellular accumulation of ROS has been associated with neuronal apoptosis (62,63). Studies examining the effect of anesthesia exposure on oxidative stress during pregnancy are limited. A previous study reported that 6 h of 3% Sv anesthesia in 6-day-old newborn rats caused oxidative stress by decreasing superoxide dismutase levels and increasing MDA levels in the rat brain (40). Liu et al (62) reported the same result in 7-day-old rats. However, the anesthesia exposure time used in the aforementioned studies was not compatible with Sv use in clinical practice, as the applied Sv concentration was >1.1 MAC. The results reported in the present study suggested that the application of Sv anesthesia at 1.1 MAC for 2 h did not cause acute biochemical or pathological oxidant damage in fetal rats.

Physiological apoptosis is responsible for the destruction of 50-70% of neurons that develop under normal conditions. Exposure to anesthetics at toxic levels, which may occur during these periods when neuronal development is at the forefront, can increase the rate of physiological apoptosis to pathological levels (64). Anesthesia can increase the occurrence of this physiological process to a pathological level (8,37,65,66) and previous studies have shown that certain areas of the brain can be more strongly affected (67,68). The hippocampus has been widely studied, as it is the key structure for spatial memory and learning. However, Satomoto et al (68) observed apoptosis in numerous regions of the newborn rat brain immediately after exposure to Sv. Therefore, a holistic viewpoint in histopathological evaluation may provide more accurate results of the damage caused by this anesthetic. However, examining tissues that have not completed their development and whose borders are not clear is often difficult. In the present study, the total apoptotic cell count in the cortex was used as a measure for histopathological evaluation, as the early gestational period (G14) was optimal in terms of brain development. The results of the present study did not indicate any adverse histological pathological findings of the effects of anesthesia exposure in the second trimester in the fetal brain. However, a previous study that investigated the effects of 3.5% Sv for 2 h in G14 rats reported increased apoptosis in neural stem cells and adverse effects on behavioral tests, but these results were not observed when the concentration of Sv was decreased to 2% (69). Although apoptosis induced by the high dose of Sv gradually decreased as the rat fetuses progressed further towards the neonatal period, the results of the behavioral tests did not improve. In the present study, which was similar to the aforementioned study in terms of exposure time point and duration, the occurrence of apoptosis was attributed to the high dose of Sv administered.

The current consensus is that not every apoptotic process that may occur after exposure to anesthetics will have long-term consequences (66). Cognitive losses resulting from increased apoptosis may be compensated for during development, but this process can be unpredictable. Exposure to 3-5% Sv for 6 h in 6-day-old rats (70) and 2.5% Sv for 4 h in 7-day-old rats did not cause neuronal loss (71), which indicates that the risk of damage is lower when exposure is delayed. A previous study investigated repeated exposures to 3% Sv in G14 rats, and reported neuronal cell loss and long-term cognitive impairment accompanied by a decrease in histone acetylation in fetal brain tissue and a decrease in brain-derived neurotrophic factor levels (72).

These previous findings highlight the importance of perioperative pharmacological neuroprotection, but this remains a controversial topic. However, in patient groups where multipharmacy is avoided, such as pregnancy and pediatrics, it would be a more rational approach is to administer a drug with a proven safety record that is in frequent use, rather than opting to use a new agent. In previous years, the neuroprotective activity of MgSO4 had been reported, which is frequently used in preterm labor and is familiar to most obstetric anesthesiologists (73) and to obstetric clinicians who use it to prevent preterm labor and eclamptic seizures. A number of studies have reported that MgSO4 protects the central nervous system from oxidative stress and ischemic events, and reduces neonatal learning and memory problems caused by maternal inflammation (15,74). However, to the best of our knowledge, the relationship between Sv and magnesium has not previously been reported in neurons, as previous studies have been limited to analgesia and hemodynamics. The aim of the present study was determined by a review of the literature, which indicated that magnesium could suppress the damage pathways induced by Sv (14-17).

Sv induces neuroinflammation by activating the NF-κB signaling pathway, whereas magnesium inhibits the activation of NF-κB and reduces levels of pro-inflammatory cytokines, including TNF-α, IL-1α and IL-6(75). Sv increases cytosolic calcium levels, which results in abnormal calcium release from the endoplasmic reticulum. Increased intracellular calcium serves a role in stimulating mitochondrial ROS production and inducing cytokine release (76). Magnesium, by contrast, is a calcium uptake antagonist (77); therefore, it reduces the acquisition of the neurotoxic phenotype by microglia (78). Microglia overproduce ROS, which serve a role in neurodegeneration (79), and Sv has also been reported to increase ROS formation. Magnesium reduces ROS production (80). In the brain, magnesium has been reported to reduce oxidative damage after hypoxia (81), counteracting oxidative stress caused by maternal inflammation (79). For this reason, the present study investigated the neuroprotective effect of MgSO4, administered at 270 mg/kg i.p. 30 min before Sv exposure, as a possible suppressor of Sv-induced neurotoxicity. Han et al (14) reported that MgSO4 at 270 mg/kg i.p. reduced oxidative stress and inflammation after intrahepatic cholestasis in pregnant rats. Khatib et al (15) showed that the same dose reduced inflammation-induced fetal brain damage in maternal late gestational inflammation. A previous study reported that anesthetics increased cytosolic calcium levels and elevation of cytosolic calcium was associated with increased levels of proinflammatory cytokines, potentially through activation of the NF-κB signaling pathway (82). Magnesium serves a neuroprotective role by preventing the entry of cytosolic calcium; however, Dribben et al (83) reported the occurrence of neuroapoptosis after high-dose magnesium administration in neonatal mice.

Magnesium has complex effects on cellular excitability, including both stimulatory and inhibitory effects; it has also been reported to induce neuronal apoptosis in vivo. These two responses are considered to reflect the direct effects of magnesium on sensitive neurons rather than secondary consequences of systemic magnesium administration to rats (79). In clinical obstetrics, MgSO4 administration is typically titrated to maintain maternal serum levels at 4-8 mg/100 ml (1.6-3.3 mM) (83). These concentrations are close to the lowest concentrations that caused the significant neuronal toxicity reported in previous studies (83). Therefore, in the present study, the neurotoxic potential of MgSO4 was analyzed, as well as its potential neuroprotective activity. In the present study, no significant difference in inflammatory and oxidative stress markers were demonstrated between the treatment groups, except for the increased TNF-α levels in the Sv group. The TNF-α levels in the MgSO4-treated groups were similar compared with those in the control group, which suggested the anti-inflammatory activity of MgSO4. Since the IL-6, IL-10, TAS, TOS and OSI levels were not statistically different between groups, no positive or negative effect can be attributed to MgSO4 in terms of these markers. However, the fact that the number of apoptotic cells in the MgSO4-treated groups was markedly higher compared with the other groups supports the findings reported by Dribben et al (83). Although the efficacy of the dose applied in the present study has been confirmed in previous studies, lower doses should be tested in future studies. Other injury pathways are implicated in anesthesia-induced neurotoxicity. Autophagy, parthanatos, decreased excitatory synapses and disruption of synaptic plasticity are other pathways that may be affected by anesthesia and require further investigation.

The present study had certain limitations. The first was the lack of hemodynamic monitoring of rats during Sv exposure. Wang et al (84) showed that hemodynamics and blood gas parameters in rats exposed to 2 and 3.5% Sv were similar compared with the control group. Similarly, Li et al (85) reported that the blood pressure, heart rate, pH, arterial carbon dioxide tension, arterial oxygen tension and arterial oxygen saturation of Wistar Albino rats exposed to 2.6% Sv for 4 h were no different from those of the control group. The laboratory where the experiments were performed does not have the necessary devices for hemodynamic monitoring. At the same time, a previous similar study (25) showed that exposure to Sv did not change hemodynamic parameters in Wistar rats and that the study could be performed successfully without monitoring. These results eliminated concerns in the present study about the possible hemodynamic adverse effects of Sv. A second limitation of the present study was the use of 100% O2 during anesthesia to avoid hypoxemia. High O2 concentrations have been reported to be harmful, but their application to every treatment group, including the control, minimized the effect on the results of the present study. This methodology was selected so that the respiratory functions of the rats did not deteriorate and the rats did not die during the experiment. In order to prevent this limitation, the oxygen saturation of rats, partial O2 and CO2 pressures, and inlet and outlet gas levels of gases in the closed environment should be monitored. Only in this way can the possible toxic effects of oxygen be avoided by giving the monitor as much oxygen as necessary.

In conclusion, 2 h exposure to Sv at a concentration of 1.1 MAC did not cause maternal inflammation, oxidative stress or neuronal damage in the fetal brain. The increase in TNF-α levels may indicate that this exposure level may trigger inflammation, although it may be too low to cause damage. The findings of the present study suggested that short-term administration of Sv could be used safely in the second trimester, based on the results of a rat model. Although there appear to be potential anti-inflammatory and antioxidant activities of MgSO4, more comprehensive studies are required to confirm any neuroprotective benefits due to concerns about the potential for inducing apoptosis.

Acknowledgements

Not applicable.

Funding

Funding: No funding was received.

Availability of data and materials

The data generated in the present study may be requested from the corresponding author.

Authors' contributions

CO and BI designed the study and performed the experiments. CO collected samples. CO, BI, GK and MAI confirm the authenticity of all the raw data. GK performed the biochemical assessments. MAI performed the histopathological analysis of brain tissue. CO analyzed and interpreted data. CO and BI drafted the manuscript. All authors have read and approved the final version of the manuscript.

Ethics approval and consent to participate

Ethical approval for the study was obtained from Gazi University Experimental Animals Ethics Committee (Ankara, Turkey; approval no. G.U.ET-20-0499).

Patient consent for publication

Not applicable.

Competing interests

The authors declare that they have no competing interests.

Authors' information

Dr Cagri Ozdemir, ORCID no. 0000-0002-1266-8054; Professor Berrin Isik, ORCID no. 0000-0002-0420-6589; Dr Gulce Koca, ORCID no. 0000-0002-2646-1003; and Dr Mehmet Arda Inan, ORCID no. 0000-0002-6179-2828.

References

1 

Ní Mhuireachtaigh R and O'Gorman DA: Anesthesia in pregnant patients for nonobstetric surgery. J Clin Anesth. 18:60–66. 2006.PubMed/NCBI View Article : Google Scholar

2 

Osterman MJ and Martin JA: Primary cesarean delivery rates, by state: Results from the revised birth certificate, 2006-2012. Natl Vital Stat Rep. 63:1–11. 2014.PubMed/NCBI

3 

United States Food and Drug Administration. FDA drug safety communication: FDA review results in new warnings about using general anesthetics and sedation drugs in young children and pregnant women. Updated 2016. Accessed Februry 10, 2017.

4 

Krasowski MD and Harrison NL: The actions of ether, alcohol and alkane general anaesthetics on GABAA and glycine receptors and the effects of TM2 and TM3 mutations. Br J Pharmacol. 129:731–743. 2000.PubMed/NCBI View Article : Google Scholar

5 

Eger EI, Liao M, Laster MJ, Won A, Popovich J, Raines DE, Solt K, Dutton RC, Cobos FV and Sonner JM: Contrasting roles of the N-methyl-D-aspartate receptor in the production of immobilization by conventional and aromatic anesthetics. Anesth Analg. 102:1397–1406. 2006.PubMed/NCBI View Article : Google Scholar

6 

Lerner RA: A hypothesis about the endogenous analogue of general anesthesia. Proc Natl Acad Sci USA. 94:13375–13377. 1997.PubMed/NCBI View Article : Google Scholar

7 

Zhou ZB, Yang XY, Tang Y, Zhou X, Zhou LH and Feng X: Subclinical concentrations of sevoflurane reduce oxidative stress but do not prevent hippocampal apoptosis. Mol Med Rep. 14:721–727. 2016.PubMed/NCBI View Article : Google Scholar

8 

Shen X, Dong Y, Xu Z, Wang H, Miao C and Soriano SG: Selective anesthesia-induced neuroinflammation in developing mouse brain and cognitive impairment. Anesthesiology. 118:502–515. 2013.PubMed/NCBI View Article : Google Scholar

9 

Cui FH, Li J, Li KZ, Xie YG and Zhao XL: Effects of sevoflurane exposure during different stages of pregnancy on the brain development of rat offspring. J Anesth. 35:654–662. 2021.PubMed/NCBI View Article : Google Scholar

10 

Zheng H, Dong Y, Xu Z, Crosby G, Culley DJ, Zhang Y and Xie Z: Sevoflurane anesthesia in pregnant mice induces neurotoxicity in fetal and offspring mice. Anesthesiology. 118:516–526. 2013.PubMed/NCBI View Article : Google Scholar

11 

Bilotta F, Gelb AW, Stazi E, Titi L, Paoloni FP and Rosa G: Pharmacological perioperative brain neuroprotection: A qualitative review of randomized clinical trials. Br J Anaesth. 110: (Suppl 1):S113–S120. 2013.PubMed/NCBI View Article : Google Scholar

12 

Hudetz JA, Iqbal Z, Gandhi SD, Patterson KM, Byrne AJ, Hudetz AG, Pagel PS and Warltier DC: Ketamine attenuates post-operative cognitive dysfunction after cardiac surgery. Acta Anaesthesiol Scand. 53:864–872. 2009.PubMed/NCBI View Article : Google Scholar

13 

Roach GW, Newman MF, Murkin JM, Martzke J, Ruskin A, Li J, Guo A, Wisniewski A and Mangano DT: Multicenter Study of Perioperative Ischemia (MsSPI). Ineffectiveness of burst suppression therapy in mitigating perioperative cerebrovascular dysfunction. Anesthesiology. 99:1255–1264. 1999.PubMed/NCBI View Article : Google Scholar

14 

Han F, Xu L, Huang Y, Chen T, Zhou T and Yang L: Magnesium sulphate can alleviate oxidative stress and reduce inflammatory cytokines in rat placenta of intrahepatic cholestasis of pregnancy model. Arch Gynecol Obstet. 298:631–638. 2018.PubMed/NCBI View Article : Google Scholar

15 

Khatib N, Ginsberg Y, Shalom-Paz E, Dabaja H, Gutzeit O, Zmora O, Millo Z, Ross MG and Beloosesky R: Fetal neuroprotective mechanism of maternal magnesium sulfate for late gestation inflammation: In a rodent model. J Matern Fetal Neonatal Med. 33:3732–3739. 2020.PubMed/NCBI View Article : Google Scholar

16 

Temkin NR, Anderson GD, Winn HR, Ellenbogen RG, Britz GW, Schuster J, Lucas T, Newell D, Nelson Mansfield P, Machamer JE, et al: Magnesium sulfate for neuroprotection after traumatic brain injury: A randomised controlled trial. Lancet Neurol. 6:29–38. 2007.PubMed/NCBI View Article : Google Scholar

17 

Hallak M, Hotra JW and Kupsky WJ: Magnesium sulfate protection of fetal rat brain from severe maternal hypoxia. Obstet Gynecol. 96:124–128. 2000.PubMed/NCBI View Article : Google Scholar

18 

Zhang Y, Dong Y, Xu Z and Xie Z: Propofol and magnesium attenuate isoflurane-induced caspase-3 activation via inhibiting mitochondrial permeability transition pore. Med Gas Res. 2(20)2012.PubMed/NCBI View Article : Google Scholar

19 

Beloosesky R, Khatib N, Ginsberg Y, Anabosy S, Shalom-Paz E, Dahis M, Ross MG and Weiner Z: Maternal magnesium sulfate fetal neuroprotective effects to the fetus: inhibition of neuronal nitric oxide synthase and nuclear factor kappa-light-chain-enhancer of activated B cells activation in a rodent model. Am J Obstet Gynecol. 215:382.e1–e6. 2016.PubMed/NCBI View Article : Google Scholar

20 

Animal Experiments Center Ethics Committee. Legislation. Available from: https://hadmek.tarimorman.gov.tr/Sayfa/Detay/644. Accessed November 22, 2022.

21 

Percie du Sert N, Ahluwalia A, Alam S, Avey MT, Baker M and Browne WJ: Reporting animal research: Explanation and elaboration for the ARRIVE guidelines 2.0. PLoS Biol. 18(e3000410)2020.PubMed/NCBI View Article : Google Scholar

22 

Song R, Ling X, Peng M, Xue Z, Cang J and Fang F: Maternal Sevoflurane exposure causes abnormal development of fetal prefrontal cortex and induces cognitive dysfunction in offspring. Stem Cells Int. 2027(6158468)2017.PubMed/NCBI View Article : Google Scholar

23 

Sameshima H, Ota A and Ikenoue T: Pretreatment with magnesium sulfate protects against hypoxic-ischemic brain injury but postasphyxial treatment worsens brain damage in seven-day-old rats. Am J Obstet Gynecol. 180:725–730. 1999.PubMed/NCBI View Article : Google Scholar

24 

Cho GJ, Hong HR, Hong SC, Oh MJ and Kim HJ: The neuroprotective effect of magnesium sulfate in preterm fetal mice. J Perinatal Med. 45:537–543. 2015.PubMed/NCBI View Article : Google Scholar

25 

Dong Y, Zhang G, Zhang B, Moir RD, Xia W, Marcantonio ER, Culley DJ, Crosby G, Tanzi RE and Xie Z: The common inhalational anesthetic sevoflurane induces apoptosis and increases beta-amyloid protein levels. Arch Neurol. 66:620–631. 2009.PubMed/NCBI View Article : Google Scholar

26 

Erel O: A new automated colorimetric method for measuring total oxidant status. Clin Biochem. 12:1103–1111. 2005.PubMed/NCBI View Article : Google Scholar

27 

Rubio CP and Cerón JJ: Spectrophotometric assays for evaluation of Reactive Oxygen Species (ROS) in serum: General concepts and applications in dogs and humans. BMC Vet Res. 17(226)2021.PubMed/NCBI View Article : Google Scholar

28 

Blaylock M, Engelhardt T and Bissonnette B: Fundamentals of neuronal apoptosis relevant to pediatric anesthesia. Paediatr Anaesth. 20:383–395. 2010.PubMed/NCBI View Article : Google Scholar

29 

Ikonomidou C: Triggers of apoptosis in the immature brain. Brain Dev. 31:488–492. 2009.PubMed/NCBI View Article : Google Scholar

30 

Li X, Jiang X and Zhao P: Effects of pregnancy anesthesia on fetal nervous system. Front Pharmacol. 11(523514)2021.PubMed/NCBI View Article : Google Scholar

31 

Lee S, Chung W, Park H, Park H, Yoon S, Park S, Park J, Heo JY, Ju X, Yoon SH, et al: Single and multiple sevoflurane exposures during pregnancy and offspring behavior in mice. Paediatr Anaesth. 27:742–751. 2017.PubMed/NCBI View Article : Google Scholar

32 

Wu Z, Li X, Zhang Y, Tong D, Wang L and Zhao P: Effects of Sevoflurane exposure during mid-pregnancy on learning and memory in offspring rats: Beneficial effects of maternal exercise. Front Cell Neurosci. 12(122)2018.PubMed/NCBI View Article : Google Scholar

33 

Andropoulos DB and Greene MF: Anesthesia and developing brains-implications of the FDA warning. N Engl J Med. 376:905–907. 2017.PubMed/NCBI View Article : Google Scholar

34 

Palanisamy A: Maternal anesthesia and fetal neurodevelopment. Int J Obstet Anesth. 21:152–162. 2012.PubMed/NCBI View Article : Google Scholar

35 

Workman AD, Charvet CJ, Clancy B, Darlington RB and Finlay BL: Modeling transformations of neurodevelopmental sequences across mammalian species. J Neurosci. 33:7368–7383. 2013.PubMed/NCBI View Article : Google Scholar

36 

Brioni JD, Varughese S, Ahmed R and Bein B: A clinical review of inhalation anesthesia with sevoflurane: From early research to emerging topics. J Anesth. 5:764–778. 2017.PubMed/NCBI View Article : Google Scholar

37 

Zhou X, Li W, Chen X, Yang X, Zhou Z, Lu D and Feng X: Dose-dependent effects of sevoflurane exposure during early lifetime on apoptosis in hippocampus and neurocognitive outcomes in Sprague-Dawley rats. Int J Physiol Pathophysiol Pharmacol. 8:111–119. 2016.PubMed/NCBI

38 

Wang S, Peretich K, Zhao Y, Liang G, Meng Q and Wei H: Anesthesia-induced neurodegeneration in fetal rat brains. Pediatr Res. 66:435–440. 2009.PubMed/NCBI View Article : Google Scholar

39 

Hirotsu A, Iwata Y, Tatsumi K, Miyai Y, Matsuyama T and Tanaka T: Maternal exposure to volatile anesthetics induces IL-6 in fetal brains and affects neuronal development. Eur J Pharmacol. 863(172682)2019.PubMed/NCBI View Article : Google Scholar

40 

Zhang Y, Li M, Cui E, Zhang H, Zhu X, Zhou J, Yan M and Sun J: Dexmedetomidine attenuates sevoflurane-induced neurocognitive impairment through α2-adrenoceptors. Mol Med Rep. 23(38)2021.PubMed/NCBI View Article : Google Scholar

41 

Bergdolt L and Dunaevsky A: Brain changes in a maternal immune activation model of neurodevelopmental brain disorders. Prog Neurobiol. 175:1–19. 2019.PubMed/NCBI View Article : Google Scholar

42 

Wan Y, Xu J, Ma D, Zeng Y, Cibelli M and Maze M: Postoperative impairment of cognitive function in rats: A possible role for cytokine-mediated inflammation in the hippocampus. Anesthesiology. 106:436–443. 2007.PubMed/NCBI View Article : Google Scholar

43 

Fan CH, Peng B and Zhang FC: The postoperative effect of sevoflurane inhalational anesthesia on cognitive function and inflammatory response of pediatric patients. Eur Rev Med Pharmacol Sci. 22:3971–3975. 2018.PubMed/NCBI View Article : Google Scholar

44 

Ginsberg Y, Khatib N, Weiner Z and Beloosesky R: Maternal inflammation, fetal brain implications and suggested neuroprotection: A summary of 10 years of research in animal models. Rambam Maimonides Med J. 8(e0028)2018.PubMed/NCBI View Article : Google Scholar

45 

Hennessy E, Gormley S, Lopez-Rodriguez AB, Murray C, Murray C and Cunningham C: Systemic TNF-α produces acute cognitive dysfunction and exaggerated sickness behavior when superimposed upon progressive neurodegeneration. Brain Behav Immun. 59:233–244. 2017.PubMed/NCBI View Article : Google Scholar

46 

Pickering M, Cumiskey D and O'Connor JJ: Actions of TNF-alpha on glutamatergic synaptic transmission in the central nervous system. Exp Physiol. 90:663–670. 2005.PubMed/NCBI View Article : Google Scholar

47 

Barone FC, Arvin B, White RF, Miller A, Webb CL, Willette RN, Lysko PG and Feuerstein GZ: Tumor necrosis factor-alpha. A mediator of focal ischemic brain injury. Stroke. 28:1233–1244. 1997.PubMed/NCBI View Article : Google Scholar

48 

Mayne M, Ni W, Yan HJ, Xue M, Johnston JB, Del Bigio MR, Peeling J and Power C: Antisense oligodeoxynucleotide inhibition of tumor necrosis factor-alpha expression is neuroprotective after intracerebral hemorrhage. Stroke. 32:240–248. 2001.PubMed/NCBI View Article : Google Scholar

49 

Nawashiro H, Martin D and Hallenbeck JM: Inhibition of tumor necrosis factor and amelioration of brain infarction in mice. J Cereb Blood Flow Metab. 17:229–232. 1997.PubMed/NCBI View Article : Google Scholar

50 

Carpentier PA, Dingman AL and Palmer TD: Placental TNF-α signaling in illness-induced complications of pregnancy. Am J Pathol. 6:2802–2810. 2011.PubMed/NCBI View Article : Google Scholar

51 

Zhao X, Bausano B, Pike BR, Newcomb-Fernandez JK, Wang KK, Shohami E, Ringger NC, DeFord SM, Anderson DK and Hayes RL: TNF-alpha stimulates caspase-3 activation and apoptotic cell death in primary septo-hippocampal cultures. J Neurosci Res. 64:121–131. 2001.PubMed/NCBI View Article : Google Scholar

52 

Hemmer K, Fransen L, Vanderstichele H, Vanmechelen E and Heuschling P: An in vitro model for the study of microglia-induced neurodegeneration: Involvement of nitric oxide and tumor necrosis factor-alpha. Neurochem Int. 38:557–565. 2001.PubMed/NCBI View Article : Google Scholar

53 

Robertson J, Beaulieu JM, Doroudchi MM, Durham HD, Julien JP and Mushynski WE: Apoptotic death of neurons exhibiting peripherin aggregates is mediated by the proinflammatory cytokine tumor necrosis factor-alpha. J Cell Biol. 155:217–226. 2001.PubMed/NCBI View Article : Google Scholar

54 

Haddad JJ: Redox regulation of pro-inflammatory cytokines and IkappaB-alpha/NF-kappaB nuclear translocation and activation. Biochem Biophys Res Commun. 296:847–856. 2002.PubMed/NCBI View Article : Google Scholar

55 

Hoek JB and Pastorino JG: Ethanol, oxidative stress, and cytokineinduced liver cell injury. Alcohol. 27:63–68. 2002.PubMed/NCBI View Article : Google Scholar

56 

Wu Y, Song J, Wang Y, Wang X, Culmsee C and Zhu C: The potential role of ferroptosis in neonatal brain injury. Front Neurosci. 13(115)2019.PubMed/NCBI View Article : Google Scholar

57 

Bhat AH, Dar KB, Anees S, Zargar MA, Masood A, Sofi MA and Ganie SA: Oxidative stress, mitochondrial dysfunction and neurodegenerative diseases; a mechanistic insight. Biomed Pharmacother. 74:101–110. 2015.PubMed/NCBI View Article : Google Scholar

58 

Xu Z and Qian B: Sevoflurane anesthesia-mediated oxidative stress and cognitive impairment in hippocampal neurons of old rats can be ameliorated by expression of brain derived neurotrophic factor. Neurosci Lett. 721(134785)2020.PubMed/NCBI View Article : Google Scholar

59 

Allaouchiche B, Debon R, Goudable J, Chassard D and Duflo F: Oxidative stress status during exposure to propofol, sevoflurane and desflurane. Anesth Analg. 93:981–985. 2001.PubMed/NCBI View Article : Google Scholar

60 

Tsuchiya M, Asada A, Kasahara E, Sato EF, Shindo M and Inoue M: Antioxidant protection of propofol and its recycling in erythrocyte membranes. Am J Respir Crit Care Med. 165:54–60. 2002.PubMed/NCBI View Article : Google Scholar

61 

Sun Z, Satomoto M, Adachi YU, Kinoshita H and Makita K: Inhibiting NADPH oxidase protects against long-term memory impairment induced by neonatal sevoflurane exposure in mice. Br J Anaesth. 117:80–86. 2016.PubMed/NCBI View Article : Google Scholar

62 

Liu B, Gu Y, Xiao H, Lei X, Liang W and Zhang J: Altered metabolomic profiles may be associated with sevoflurane-induced neurotoxicity in neonatal rats. Neurochem Res. 40:788–799. 2015.PubMed/NCBI View Article : Google Scholar

63 

Xu G, Lu H, Dong Y, Shapoval D, Soriano SG, Liu X, Zhang Y and Xie Z: Coenzyme Q10 reduces sevoflurane-induced cognitive deficiency in young mice. Br J Anaesth. 119:481–449. 2017.PubMed/NCBI View Article : Google Scholar

64 

Oppenheim RW: Cell death during development of the nervous system. Annu Rev Neurosci. 14:453–501. 1991.PubMed/NCBI View Article : Google Scholar

65 

Wang Y, Li Y, Xing Q, Han XG, Dong X, Lu Y and Zhou M: Sevoflurane anesthesia in pregnant rats negatively affects nerve function in offspring potentially via inhibition of the Wnt/β-catenin pathway. Mol Med Rep. 15:2753–2759. 2017.PubMed/NCBI View Article : Google Scholar

66 

Yu Z, Wang J, Wang H, Wang J, Cui J and Junzhang P: Effects of sevoflurane exposure during late pregnancy on brain development and beneficial effects of enriched environment on offspring cognition. Cell Mol Neurobiol. 40:1339–1352. 2020.PubMed/NCBI View Article : Google Scholar

67 

Areias J, Sola C, Chastagnier Y, Pico J, Bouquier N, Dadure C, Perroy J and Szabo V: Whole-brain characterization of apoptosis after sevoflurane anesthesia reveals neuronal cell death patterns in the mouse neonatal neocortex. Sci Rep. 13(14763)2023.PubMed/NCBI View Article : Google Scholar

68 

Satomoto M, Itoh H, Uchida A and Makita K: Resveratrol did not prevent sevoflurane-induced neuroapoptosis in the neonatal mice brain. Masui. 62:1184–1187. 2013.PubMed/NCBI

69 

Wang Y, Yin S, Xue H, Yang Y, Zhang N and Zhao P: Mid-gestational sevoflurane exposure inhibits fetal neural stem cell proliferation and impairs postnatal learning and memory function in a dose-dependent manner. Dev Biol. 435:185–197. 2018.PubMed/NCBI View Article : Google Scholar

70 

Bercker S, Bert B, Bittigau P, Felderhoff-Müser U, Bührer C, Ikonomidou C, Weise M, Kaisers UX and Kerner T: Neurodegeneration in newborn rats following propofol and sevoflurane anesthesia. Neurotox Res. 16:140–147. 2009.PubMed/NCBI View Article : Google Scholar

71 

Jia M, Liu WX and Yang JJ, Xu N, Xie ZM, Ju LS, Ji MH, Martynyuk AE and Yang JJ: Role of histone acetylation in long-term neurobehavioral effects of neonatal Exposure to sevoflurane in rats. Neurobiol Dis. 91:209–220. 2016.PubMed/NCBI View Article : Google Scholar

72 

Wang SQ, Fang F, Xue ZG, Cang J and Zhang XG: Neonatal sevoflurane anesthesia induces long-term memory impairment and decreases hippocampal PSD-95 expression without neuronal loss. Eur Rev Med Pharmacol Sci. 17:941–950. 2013.PubMed/NCBI

73 

Costantine MM and Drever N: Antenatal exposure to magnesium sulfate and neuroprotection in preterm infants. Obstet Gynecol Clin North Am. 38:351–366. 2011.PubMed/NCBI View Article : Google Scholar

74 

Lamhot VB, Khatib N, Ginsberg Y, Anunu R, Richter-Levin G, Weiner Z, Ross MG, Divon MY, Hallak M and Beloosesky R: Magnesium sulfate prevents maternal inflammation-induced impairment of learning ability and memory in rat offspring. Am J Obstet Gynecol. 213:851.e1–e8. 2015.PubMed/NCBI View Article : Google Scholar

75 

Zhu X, Yao Y, Guo M, Li J, Yang P, Xu H and Lin D: Sevoflurane increases intracellular calcium to induce mitochondrial injury and neuroapoptosis. Toxicol Lett. 336:11–20. 2021.PubMed/NCBI View Article : Google Scholar

76 

Gao F, Ding B, Zhou L, Gao X, Guo H and Xu H: Magnesium sulfate provides neuroprotection in lipopolysaccharide-activated primary microglia by inhibiting NF-κB pathway. J Surg Res. 184:944–950. 2013.PubMed/NCBI View Article : Google Scholar

77 

Andretta A, Schieferdecker MEM, Petterle RR, Dos Santos Paiva E and Boguszewski CL: Relations between serum magnesium and calcium levels and body composition and metabolic parameters in women with fibromyalgia. Adv Rheumatol Lond Engl. 60(18)2020.PubMed/NCBI View Article : Google Scholar

78 

Pan K and Garaschuk O: The role of intracellular calcium-store-mediated calcium signals in in vivo sensor and effector functions of microglia. J Physiol. 601:4203–4215. 2022.PubMed/NCBI View Article : Google Scholar

79 

Woodburn SC, Bollinger JL and Wohleb ES: The semantics of microglia activation: Neuroinflammation, homeostasis, and stress. J Neuroinflamm. 18(258)2021.PubMed/NCBI View Article : Google Scholar

80 

Khatib N, Ginsberg Y, Ben David C, Ross MG, Vitner D, Zipori Y, Zamora O, Weiner Z and Beloosesky R: Magnesium sulphate neuroprotection mechanism is placental mediated by inhibition of inflammation, apoptosis and oxidative stress. Placenta. 127:29–36. 2022.PubMed/NCBI View Article : Google Scholar

81 

Mohammadi H, Shamshirian A, Eslami S, Shamshirian D and Ebrahimzadeh MA: Magnesium sulfate attenuates lethality and oxidative damage induced by different models of hypoxia in mice. Biomed Res Int. 2020(2624734)2020.PubMed/NCBI View Article : Google Scholar

82 

Yang H, Liang G, Hawkins BJ, Madesh M, Pierwola A and Wei H: Inhalational anesthetics induce cell damage by disruption of intracellular calcium homeostasis with different potencies. Anesthesiology. 109:243–250. 2008.PubMed/NCBI View Article : Google Scholar

83 

Dribben WH, Creeley CE, Wang HH, Smith DJ, Farber NB and Olney JW: High dose magnesium sulfate exposure induces apoptotic cell death in the developing neonatal mouse brain. Neonatology. 96:23–32. 2009.PubMed/NCBI View Article : Google Scholar

84 

Wang Y, Yin SW, Zhang N and Zhao P: High-concentration sevoflurane exposure in mid-gestation induces apoptosis of neural stem cells in rat offspring. Neural Regen Res. 9:1575–1584. 2018.PubMed/NCBI View Article : Google Scholar

85 

Li D, Liu L, Li L, Li X, Huang B, Zhou C, Zhang Z, Wang C, Dong P, Zhang X, et al: Sevoflurane induces exaggerated and persistent cognitive decline in a type II diabetic rat model by aggregating hippocampal inflammation. Front Pharmacol. 8(886)2017.PubMed/NCBI View Article : Google Scholar

Related Articles

  • Abstract
  • View
  • Download
  • Twitter
Copy and paste a formatted citation
Spandidos Publications style
Ozdemi̇r C, Isik B, Koca G and Inan MA: Effects of mid‑gestational sevoflurane and magnesium sulfate on maternal oxidative stress, inflammation and fetal brain histopathology. Exp Ther Med 28: 286, 2024.
APA
Ozdemi̇r, C., Isik, B., Koca, G., & Inan, M.A. (2024). Effects of mid‑gestational sevoflurane and magnesium sulfate on maternal oxidative stress, inflammation and fetal brain histopathology. Experimental and Therapeutic Medicine, 28, 286. https://doi.org/10.3892/etm.2024.12574
MLA
Ozdemi̇r, C., Isik, B., Koca, G., Inan, M. A."Effects of mid‑gestational sevoflurane and magnesium sulfate on maternal oxidative stress, inflammation and fetal brain histopathology". Experimental and Therapeutic Medicine 28.1 (2024): 286.
Chicago
Ozdemi̇r, C., Isik, B., Koca, G., Inan, M. A."Effects of mid‑gestational sevoflurane and magnesium sulfate on maternal oxidative stress, inflammation and fetal brain histopathology". Experimental and Therapeutic Medicine 28, no. 1 (2024): 286. https://doi.org/10.3892/etm.2024.12574
Copy and paste a formatted citation
x
Spandidos Publications style
Ozdemi̇r C, Isik B, Koca G and Inan MA: Effects of mid‑gestational sevoflurane and magnesium sulfate on maternal oxidative stress, inflammation and fetal brain histopathology. Exp Ther Med 28: 286, 2024.
APA
Ozdemi̇r, C., Isik, B., Koca, G., & Inan, M.A. (2024). Effects of mid‑gestational sevoflurane and magnesium sulfate on maternal oxidative stress, inflammation and fetal brain histopathology. Experimental and Therapeutic Medicine, 28, 286. https://doi.org/10.3892/etm.2024.12574
MLA
Ozdemi̇r, C., Isik, B., Koca, G., Inan, M. A."Effects of mid‑gestational sevoflurane and magnesium sulfate on maternal oxidative stress, inflammation and fetal brain histopathology". Experimental and Therapeutic Medicine 28.1 (2024): 286.
Chicago
Ozdemi̇r, C., Isik, B., Koca, G., Inan, M. A."Effects of mid‑gestational sevoflurane and magnesium sulfate on maternal oxidative stress, inflammation and fetal brain histopathology". Experimental and Therapeutic Medicine 28, no. 1 (2024): 286. https://doi.org/10.3892/etm.2024.12574
Follow us
  • Twitter
  • LinkedIn
  • Facebook
About
  • Spandidos Publications
  • Careers
  • Cookie Policy
  • Privacy Policy
How can we help?
  • Help
  • Live Chat
  • Contact
  • Email to our Support Team