Spandidos Publications Logo
  • About
    • About Spandidos
    • Aims and Scopes
    • Abstracting and Indexing
    • Editorial Policies
    • Reprints and Permissions
    • Job Opportunities
    • Terms and Conditions
    • Contact
  • Journals
    • All Journals
    • Oncology Letters
      • Oncology Letters
      • Information for Authors
      • Editorial Policies
      • Editorial Board
      • Aims and Scope
      • Abstracting and Indexing
      • Bibliographic Information
      • Archive
    • International Journal of Oncology
      • International Journal of Oncology
      • Information for Authors
      • Editorial Policies
      • Editorial Board
      • Aims and Scope
      • Abstracting and Indexing
      • Bibliographic Information
      • Archive
    • Molecular and Clinical Oncology
      • Molecular and Clinical Oncology
      • Information for Authors
      • Editorial Policies
      • Editorial Board
      • Aims and Scope
      • Abstracting and Indexing
      • Bibliographic Information
      • Archive
    • Experimental and Therapeutic Medicine
      • Experimental and Therapeutic Medicine
      • Information for Authors
      • Editorial Policies
      • Editorial Board
      • Aims and Scope
      • Abstracting and Indexing
      • Bibliographic Information
      • Archive
    • International Journal of Molecular Medicine
      • International Journal of Molecular Medicine
      • Information for Authors
      • Editorial Policies
      • Editorial Board
      • Aims and Scope
      • Abstracting and Indexing
      • Bibliographic Information
      • Archive
    • Biomedical Reports
      • Biomedical Reports
      • Information for Authors
      • Editorial Policies
      • Editorial Board
      • Aims and Scope
      • Abstracting and Indexing
      • Bibliographic Information
      • Archive
    • Oncology Reports
      • Oncology Reports
      • Information for Authors
      • Editorial Policies
      • Editorial Board
      • Aims and Scope
      • Abstracting and Indexing
      • Bibliographic Information
      • Archive
    • Molecular Medicine Reports
      • Molecular Medicine Reports
      • Information for Authors
      • Editorial Policies
      • Editorial Board
      • Aims and Scope
      • Abstracting and Indexing
      • Bibliographic Information
      • Archive
    • World Academy of Sciences Journal
      • World Academy of Sciences Journal
      • Information for Authors
      • Editorial Policies
      • Editorial Board
      • Aims and Scope
      • Abstracting and Indexing
      • Bibliographic Information
      • Archive
    • International Journal of Functional Nutrition
      • International Journal of Functional Nutrition
      • Information for Authors
      • Editorial Policies
      • Editorial Board
      • Aims and Scope
      • Abstracting and Indexing
      • Bibliographic Information
      • Archive
    • International Journal of Epigenetics
      • International Journal of Epigenetics
      • Information for Authors
      • Editorial Policies
      • Editorial Board
      • Aims and Scope
      • Abstracting and Indexing
      • Bibliographic Information
      • Archive
    • Medicine International
      • Medicine International
      • Information for Authors
      • Editorial Policies
      • Editorial Board
      • Aims and Scope
      • Abstracting and Indexing
      • Bibliographic Information
      • Archive
  • Articles
  • Information
    • Information for Authors
    • Information for Reviewers
    • Information for Librarians
    • Information for Advertisers
    • Conferences
  • Language Editing
Spandidos Publications Logo
  • About
    • About Spandidos
    • Aims and Scopes
    • Abstracting and Indexing
    • Editorial Policies
    • Reprints and Permissions
    • Job Opportunities
    • Terms and Conditions
    • Contact
  • Journals
    • All Journals
    • Biomedical Reports
      • Information for Authors
      • Editorial Policies
      • Editorial Board
      • Aims and Scope
      • Abstracting and Indexing
      • Bibliographic Information
      • Archive
    • Experimental and Therapeutic Medicine
      • Information for Authors
      • Editorial Policies
      • Editorial Board
      • Aims and Scope
      • Abstracting and Indexing
      • Bibliographic Information
      • Archive
    • International Journal of Epigenetics
      • Information for Authors
      • Editorial Policies
      • Editorial Board
      • Aims and Scope
      • Abstracting and Indexing
      • Bibliographic Information
      • Archive
    • International Journal of Functional Nutrition
      • Information for Authors
      • Editorial Policies
      • Editorial Board
      • Aims and Scope
      • Abstracting and Indexing
      • Bibliographic Information
      • Archive
    • International Journal of Molecular Medicine
      • Information for Authors
      • Editorial Policies
      • Editorial Board
      • Aims and Scope
      • Abstracting and Indexing
      • Bibliographic Information
      • Archive
    • International Journal of Oncology
      • Information for Authors
      • Editorial Policies
      • Editorial Board
      • Aims and Scope
      • Abstracting and Indexing
      • Bibliographic Information
      • Archive
    • Medicine International
      • Information for Authors
      • Editorial Policies
      • Editorial Board
      • Aims and Scope
      • Abstracting and Indexing
      • Bibliographic Information
      • Archive
    • Molecular and Clinical Oncology
      • Information for Authors
      • Editorial Policies
      • Editorial Board
      • Aims and Scope
      • Abstracting and Indexing
      • Bibliographic Information
      • Archive
    • Molecular Medicine Reports
      • Information for Authors
      • Editorial Policies
      • Editorial Board
      • Aims and Scope
      • Abstracting and Indexing
      • Bibliographic Information
      • Archive
    • Oncology Letters
      • Information for Authors
      • Editorial Policies
      • Editorial Board
      • Aims and Scope
      • Abstracting and Indexing
      • Bibliographic Information
      • Archive
    • Oncology Reports
      • Information for Authors
      • Editorial Policies
      • Editorial Board
      • Aims and Scope
      • Abstracting and Indexing
      • Bibliographic Information
      • Archive
    • World Academy of Sciences Journal
      • Information for Authors
      • Editorial Policies
      • Editorial Board
      • Aims and Scope
      • Abstracting and Indexing
      • Bibliographic Information
      • Archive
  • Articles
  • Information
    • For Authors
    • For Reviewers
    • For Librarians
    • For Advertisers
    • Conferences
  • Language Editing
Login Register Submit
  • This site uses cookies
  • You can change your cookie settings at any time by following the instructions in our Cookie Policy. To find out more, you may read our Privacy Policy.

    I agree
Search articles by DOI, keyword, author or affiliation
Search
Advanced Search
presentation
Experimental and Therapeutic Medicine
Join Editorial Board Propose a Special Issue
Print ISSN: 1792-0981 Online ISSN: 1792-1015
Journal Cover
July-2024 Volume 28 Issue 1

Full Size Image

Sign up for eToc alerts
Recommend to Library

Journals

International Journal of Molecular Medicine

International Journal of Molecular Medicine

International Journal of Molecular Medicine is an international journal devoted to molecular mechanisms of human disease.

International Journal of Oncology

International Journal of Oncology

International Journal of Oncology is an international journal devoted to oncology research and cancer treatment.

Molecular Medicine Reports

Molecular Medicine Reports

Covers molecular medicine topics such as pharmacology, pathology, genetics, neuroscience, infectious diseases, molecular cardiology, and molecular surgery.

Oncology Reports

Oncology Reports

Oncology Reports is an international journal devoted to fundamental and applied research in Oncology.

Experimental and Therapeutic Medicine

Experimental and Therapeutic Medicine

Experimental and Therapeutic Medicine is an international journal devoted to laboratory and clinical medicine.

Oncology Letters

Oncology Letters

Oncology Letters is an international journal devoted to Experimental and Clinical Oncology.

Biomedical Reports

Biomedical Reports

Explores a wide range of biological and medical fields, including pharmacology, genetics, microbiology, neuroscience, and molecular cardiology.

Molecular and Clinical Oncology

Molecular and Clinical Oncology

International journal addressing all aspects of oncology research, from tumorigenesis and oncogenes to chemotherapy and metastasis.

World Academy of Sciences Journal

World Academy of Sciences Journal

Multidisciplinary open-access journal spanning biochemistry, genetics, neuroscience, environmental health, and synthetic biology.

International Journal of Functional Nutrition

International Journal of Functional Nutrition

Open-access journal combining biochemistry, pharmacology, immunology, and genetics to advance health through functional nutrition.

International Journal of Epigenetics

International Journal of Epigenetics

Publishes open-access research on using epigenetics to advance understanding and treatment of human disease.

Medicine International

Medicine International

An International Open Access Journal Devoted to General Medicine.

Journal Cover
July-2024 Volume 28 Issue 1

Full Size Image

Sign up for eToc alerts
Recommend to Library

  • Article
  • Citations
    • Cite This Article
    • Download Citation
    • Create Citation Alert
    • Remove Citation Alert
    • Cited By
  • Similar Articles
    • Related Articles (in Spandidos Publications)
    • Similar Articles (Google Scholar)
    • Similar Articles (PubMed)
  • Download PDF
  • Download XML
  • View XML
Case Report Open Access

Exaggerated placental site in a cesarean scar: Misdiagnosed as gestational trophoblastic neoplasia: A case report

  • Authors:
    • Zongbin Chen
    • Minghua Wang
    • Ping Yang
    • Bo Yao
    • Hanlin Shuai
    • Ping Li
  • View Affiliations / Copyright

    Affiliations: Department of Gynecology and Obstetrics, Jinan University First Affiliated Hospital, Guangzhou, Guangdong 510632, P.R. China, Department of Pathology, Longgang District People's Hospital, Shenzhen, Guangdong 518172, P.R. China, Department of Pathology, Longgang District People's Hospital, Shenzhen, Guangdong 518172, P.R. China, Department of Pathology, Jinan University School of Medicine, Guangzhou, Guangdong 510632, P.R. China, Department of Gynecology and Obstetrics, Jinan University First Affiliated Hospital, Guangzhou, Guangdong 510632, P.R. China, Department of Pathology, Jinan University School of Medicine, Guangzhou, Guangdong 510632, P.R. China
    Copyright: © Chen et al. This is an open access article distributed under the terms of Creative Commons Attribution License.
  • Article Number: 298
    |
    Published online on: May 23, 2024
       https://doi.org/10.3892/etm.2024.12587
  • Expand metrics +
Metrics: Total Views: 0 (Spandidos Publications: | PMC Statistics: )
Metrics: Total PDF Downloads: 0 (Spandidos Publications: | PMC Statistics: )
Cited By (CrossRef): 0 citations Loading Articles...

This article is mentioned in:



Abstract

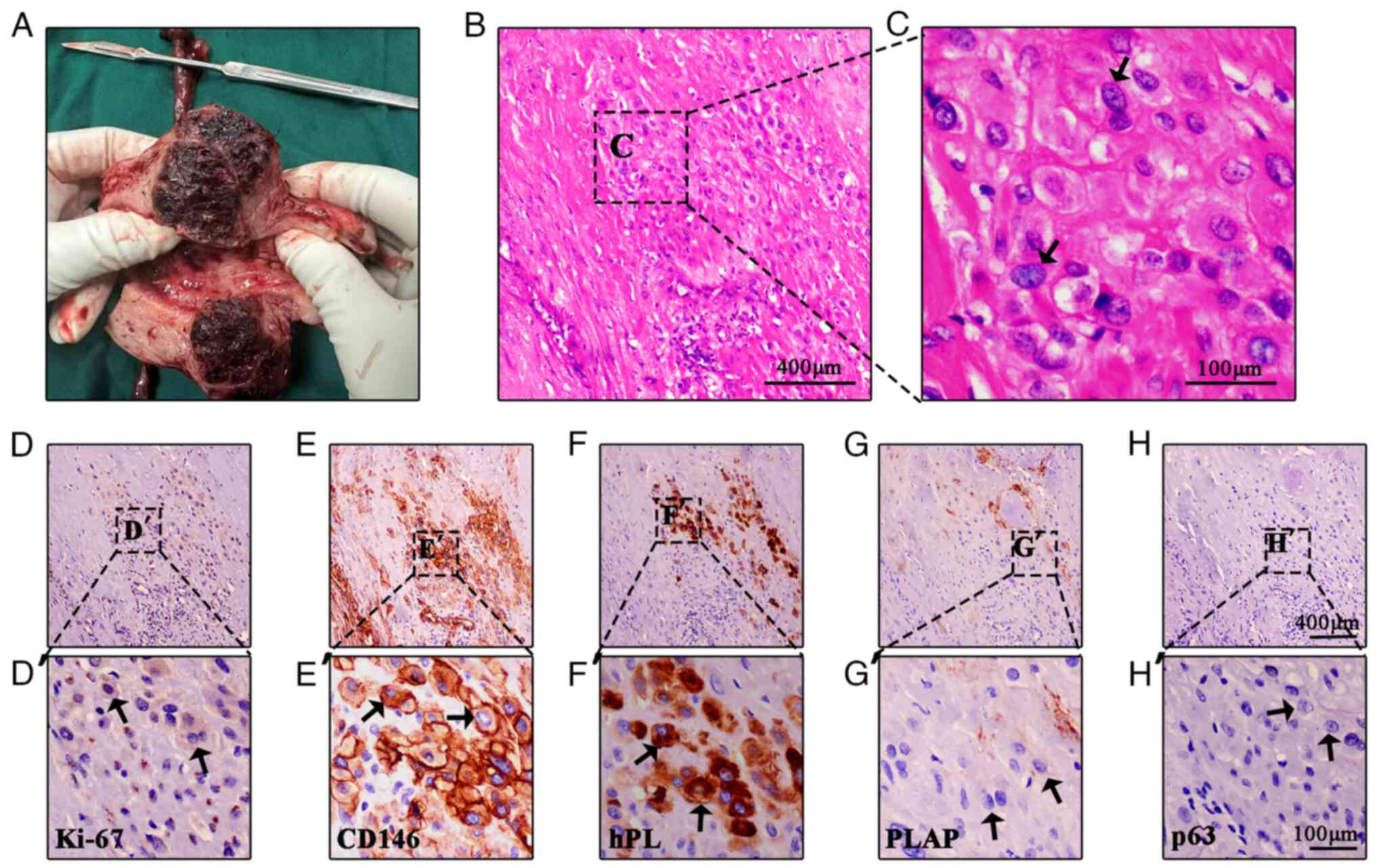
The present study reports a rare case of an exaggerated placental site (EPS) in a caesarean scar that was misdiagnosed as gestational trophoblastic neoplasia (GTN) by imaging, resulting in unnecessary surgical treatment. A 38‑year‑old woman underwent hysteroscopic resection of a cesarean scar pregnancy (CSP). The patient's serum β‑human chorionic gonadotropin (β‑hCG) level was elevated (76,196 mIU/ml) at the 24‑day postoperative follow‑up visit. On postoperative day 51, the patient experienced vaginal bleeding for three days and β‑hCG levels were 2,799 mIU/ml. Ultrasonography and MRI revealed a heterogeneous mass and hypervascularity. The patient was diagnosed with a GTN in a cesarean scar and treated with methotrexate (MTX). β‑hCG levels decreased after 3 MTX doses, but the mass did not change in size and was still hypervascular on imaging. Total hysterectomy was performed due to the serious side effects of chemotherapy and the lack of desire to preserve fertility. The histological findings supported the diagnosis of an EPS reaction. The present case is unique because of the rare intrauterine mass and possibility of retained trophoblastic changes causing EPS. EPS differs from GTN both clinically and pathologically and should be considered a possible diagnosis in any woman who has irregular bleeding following CSP resection.
View Figures

Figure 1

Figure 2

Figure 3

View References

1 

Kaur B: Pathology of gestational trophoblastic disease (GTD). Best Pract Res Clin Obstet Gynaecol. 74:3–28. 2021.PubMed/NCBI View Article : Google Scholar

2 

Takebayashi A, Kimura F, Yamanaka A, Takahashi A, Tsuji S, Ono T, Kaku S, Kita N, Takahashi K, Okabe H and Murakami T: Exaggerated placental site, consisting of implantation site intermediate trophoblasts, causes massive postpartum uterine hemorrhage: Case report and literature review. Tohoku J Exp Med. 234:77–82. 2014.PubMed/NCBI View Article : Google Scholar

3 

Ozdemir O, Sari ME, Selimova V, Ilgin BU and Atalay CR: A case report of complete mole with co-existent exaggerated placental site reaction and review of the literature. Niger Med J. 55:180–182. 2014.PubMed/NCBI View Article : Google Scholar

4 

Zhou X, Li H and Fu X: Identifying possible risk factors for cesarean scar pregnancy based on a retrospective study of 291 cases. J Obstet Gynaecol Res. 46:272–278. 2020.PubMed/NCBI View Article : Google Scholar

5 

Gao L, Chen H, Liu J, Wang M, Lin F, Yang G, Lash GE and Li P: Extravillous trophoblast invasion and decidualization in cesarean scar pregnancies. Acta Obstet Gynecol Scand. 101:1120–1128. 2022.PubMed/NCBI View Article : Google Scholar

6 

Yang C, Li J, Zhang Y, Xiong H and Sheng X: Epithelioid trophoblastic tumor coexisting with choriocarcinoma around an abdominal wall cesarean scar: A case report and review of the literature. J Med Case Rep. 14(178)2020.PubMed/NCBI View Article : Google Scholar

7 

Lin F, Chen Z, Tao H, Ren X, Ma P, Lash GE, Shuai H and Li P: Sonographic findings of vascular signals for retained products of conception in women following first trimester termination of pregnancy. J Obstet Gynecol Can. 46(102266)2024.PubMed/NCBI View Article : Google Scholar

8 

Qian ZD, Weng Y, Du YJ, Wang CF and Huang LL: Management of persistent caesarean scar pregnancy after curettage treatment failure. BMC Pregnancy Childbirth. 17(208)2017.PubMed/NCBI View Article : Google Scholar

9 

Wang X, Li Y, Yang J, He Y, Wang M, Wan X and Xiang Y: Identification and treatment of gestational trophoblastic neoplasia located in the cesarean scar. Int J Gynaecol Obstet. 141:222–227. 2018.PubMed/NCBI View Article : Google Scholar

10 

Jashnani KD, Sangoi NN, Pophalkar MP and Patil LY: Caesarean scar ectopic pregnancy masquerading as gestational trophoblastic disease. J Postgrad Med. 68:35–37. 2022.PubMed/NCBI View Article : Google Scholar

11 

Akbayir O, Alkis I, Corbacioglu A, Ekiz A, Akca A and Cekic S: Exaggerated placental site reaction detected during caesarean delivery: A case report. Clin Exp Obstet Gynecol. 39:234–235. 2012.PubMed/NCBI

12 

Cramer SF and Heller DS: Placenta increta presenting as exaggerated placental site reaction. Pediatr Dev Pathol. 20:152–157. 2017.PubMed/NCBI View Article : Google Scholar

13 

Hoeijmakers YM, Eysbouts YK, Massuger LFAG, Dandis R, Inthout J, van Trommel NE, Ottevanger PB, Thomas CMG and Sweep FCGJ: Early prediction of post-molar gestational trophoblastic neoplasia and resistance to methotrexate, based on a single serum human chorionic gonadotropin measurement. Gynecol Oncol. 163:531–537. 2021.PubMed/NCBI View Article : Google Scholar

Related Articles

  • Abstract
  • View
  • Download
  • Twitter
Copy and paste a formatted citation
Spandidos Publications style
Chen Z, Wang M, Yang P, Yao B, Shuai H and Li P: Exaggerated placental site in a cesarean scar: Misdiagnosed as gestational trophoblastic neoplasia: A case report. Exp Ther Med 28: 298, 2024.
APA
Chen, Z., Wang, M., Yang, P., Yao, B., Shuai, H., & Li, P. (2024). Exaggerated placental site in a cesarean scar: Misdiagnosed as gestational trophoblastic neoplasia: A case report. Experimental and Therapeutic Medicine, 28, 298. https://doi.org/10.3892/etm.2024.12587
MLA
Chen, Z., Wang, M., Yang, P., Yao, B., Shuai, H., Li, P."Exaggerated placental site in a cesarean scar: Misdiagnosed as gestational trophoblastic neoplasia: A case report". Experimental and Therapeutic Medicine 28.1 (2024): 298.
Chicago
Chen, Z., Wang, M., Yang, P., Yao, B., Shuai, H., Li, P."Exaggerated placental site in a cesarean scar: Misdiagnosed as gestational trophoblastic neoplasia: A case report". Experimental and Therapeutic Medicine 28, no. 1 (2024): 298. https://doi.org/10.3892/etm.2024.12587
Copy and paste a formatted citation
x
Spandidos Publications style
Chen Z, Wang M, Yang P, Yao B, Shuai H and Li P: Exaggerated placental site in a cesarean scar: Misdiagnosed as gestational trophoblastic neoplasia: A case report. Exp Ther Med 28: 298, 2024.
APA
Chen, Z., Wang, M., Yang, P., Yao, B., Shuai, H., & Li, P. (2024). Exaggerated placental site in a cesarean scar: Misdiagnosed as gestational trophoblastic neoplasia: A case report. Experimental and Therapeutic Medicine, 28, 298. https://doi.org/10.3892/etm.2024.12587
MLA
Chen, Z., Wang, M., Yang, P., Yao, B., Shuai, H., Li, P."Exaggerated placental site in a cesarean scar: Misdiagnosed as gestational trophoblastic neoplasia: A case report". Experimental and Therapeutic Medicine 28.1 (2024): 298.
Chicago
Chen, Z., Wang, M., Yang, P., Yao, B., Shuai, H., Li, P."Exaggerated placental site in a cesarean scar: Misdiagnosed as gestational trophoblastic neoplasia: A case report". Experimental and Therapeutic Medicine 28, no. 1 (2024): 298. https://doi.org/10.3892/etm.2024.12587
Follow us
  • Twitter
  • LinkedIn
  • Facebook
About
  • Spandidos Publications
  • Careers
  • Cookie Policy
  • Privacy Policy
How can we help?
  • Help
  • Live Chat
  • Contact
  • Email to our Support Team