Spandidos Publications Logo
  • About
    • About Spandidos
    • Aims and Scopes
    • Abstracting and Indexing
    • Editorial Policies
    • Reprints and Permissions
    • Job Opportunities
    • Terms and Conditions
    • Contact
  • Journals
    • All Journals
    • Oncology Letters
      • Oncology Letters
      • Information for Authors
      • Editorial Policies
      • Editorial Board
      • Aims and Scope
      • Abstracting and Indexing
      • Bibliographic Information
      • Archive
    • International Journal of Oncology
      • International Journal of Oncology
      • Information for Authors
      • Editorial Policies
      • Editorial Board
      • Aims and Scope
      • Abstracting and Indexing
      • Bibliographic Information
      • Archive
    • Molecular and Clinical Oncology
      • Molecular and Clinical Oncology
      • Information for Authors
      • Editorial Policies
      • Editorial Board
      • Aims and Scope
      • Abstracting and Indexing
      • Bibliographic Information
      • Archive
    • Experimental and Therapeutic Medicine
      • Experimental and Therapeutic Medicine
      • Information for Authors
      • Editorial Policies
      • Editorial Board
      • Aims and Scope
      • Abstracting and Indexing
      • Bibliographic Information
      • Archive
    • International Journal of Molecular Medicine
      • International Journal of Molecular Medicine
      • Information for Authors
      • Editorial Policies
      • Editorial Board
      • Aims and Scope
      • Abstracting and Indexing
      • Bibliographic Information
      • Archive
    • Biomedical Reports
      • Biomedical Reports
      • Information for Authors
      • Editorial Policies
      • Editorial Board
      • Aims and Scope
      • Abstracting and Indexing
      • Bibliographic Information
      • Archive
    • Oncology Reports
      • Oncology Reports
      • Information for Authors
      • Editorial Policies
      • Editorial Board
      • Aims and Scope
      • Abstracting and Indexing
      • Bibliographic Information
      • Archive
    • Molecular Medicine Reports
      • Molecular Medicine Reports
      • Information for Authors
      • Editorial Policies
      • Editorial Board
      • Aims and Scope
      • Abstracting and Indexing
      • Bibliographic Information
      • Archive
    • World Academy of Sciences Journal
      • World Academy of Sciences Journal
      • Information for Authors
      • Editorial Policies
      • Editorial Board
      • Aims and Scope
      • Abstracting and Indexing
      • Bibliographic Information
      • Archive
    • International Journal of Functional Nutrition
      • International Journal of Functional Nutrition
      • Information for Authors
      • Editorial Policies
      • Editorial Board
      • Aims and Scope
      • Abstracting and Indexing
      • Bibliographic Information
      • Archive
    • International Journal of Epigenetics
      • International Journal of Epigenetics
      • Information for Authors
      • Editorial Policies
      • Editorial Board
      • Aims and Scope
      • Abstracting and Indexing
      • Bibliographic Information
      • Archive
    • Medicine International
      • Medicine International
      • Information for Authors
      • Editorial Policies
      • Editorial Board
      • Aims and Scope
      • Abstracting and Indexing
      • Bibliographic Information
      • Archive
  • Articles
  • Information
    • Information for Authors
    • Information for Reviewers
    • Information for Librarians
    • Information for Advertisers
    • Conferences
  • Language Editing
Spandidos Publications Logo
  • About
    • About Spandidos
    • Aims and Scopes
    • Abstracting and Indexing
    • Editorial Policies
    • Reprints and Permissions
    • Job Opportunities
    • Terms and Conditions
    • Contact
  • Journals
    • All Journals
    • Biomedical Reports
      • Information for Authors
      • Editorial Policies
      • Editorial Board
      • Aims and Scope
      • Abstracting and Indexing
      • Bibliographic Information
      • Archive
    • Experimental and Therapeutic Medicine
      • Information for Authors
      • Editorial Policies
      • Editorial Board
      • Aims and Scope
      • Abstracting and Indexing
      • Bibliographic Information
      • Archive
    • International Journal of Epigenetics
      • Information for Authors
      • Editorial Policies
      • Editorial Board
      • Aims and Scope
      • Abstracting and Indexing
      • Bibliographic Information
      • Archive
    • International Journal of Functional Nutrition
      • Information for Authors
      • Editorial Policies
      • Editorial Board
      • Aims and Scope
      • Abstracting and Indexing
      • Bibliographic Information
      • Archive
    • International Journal of Molecular Medicine
      • Information for Authors
      • Editorial Policies
      • Editorial Board
      • Aims and Scope
      • Abstracting and Indexing
      • Bibliographic Information
      • Archive
    • International Journal of Oncology
      • Information for Authors
      • Editorial Policies
      • Editorial Board
      • Aims and Scope
      • Abstracting and Indexing
      • Bibliographic Information
      • Archive
    • Medicine International
      • Information for Authors
      • Editorial Policies
      • Editorial Board
      • Aims and Scope
      • Abstracting and Indexing
      • Bibliographic Information
      • Archive
    • Molecular and Clinical Oncology
      • Information for Authors
      • Editorial Policies
      • Editorial Board
      • Aims and Scope
      • Abstracting and Indexing
      • Bibliographic Information
      • Archive
    • Molecular Medicine Reports
      • Information for Authors
      • Editorial Policies
      • Editorial Board
      • Aims and Scope
      • Abstracting and Indexing
      • Bibliographic Information
      • Archive
    • Oncology Letters
      • Information for Authors
      • Editorial Policies
      • Editorial Board
      • Aims and Scope
      • Abstracting and Indexing
      • Bibliographic Information
      • Archive
    • Oncology Reports
      • Information for Authors
      • Editorial Policies
      • Editorial Board
      • Aims and Scope
      • Abstracting and Indexing
      • Bibliographic Information
      • Archive
    • World Academy of Sciences Journal
      • Information for Authors
      • Editorial Policies
      • Editorial Board
      • Aims and Scope
      • Abstracting and Indexing
      • Bibliographic Information
      • Archive
  • Articles
  • Information
    • For Authors
    • For Reviewers
    • For Librarians
    • For Advertisers
    • Conferences
  • Language Editing
Login Register Submit
  • This site uses cookies
  • You can change your cookie settings at any time by following the instructions in our Cookie Policy. To find out more, you may read our Privacy Policy.

    I agree
Search articles by DOI, keyword, author or affiliation
Search
Advanced Search
presentation
Experimental and Therapeutic Medicine
Join Editorial Board Propose a Special Issue
Print ISSN: 1792-0981 Online ISSN: 1792-1015
Journal Cover
August-2024 Volume 28 Issue 2

Full Size Image

Sign up for eToc alerts
Recommend to Library

Journals

International Journal of Molecular Medicine

International Journal of Molecular Medicine

International Journal of Molecular Medicine is an international journal devoted to molecular mechanisms of human disease.

International Journal of Oncology

International Journal of Oncology

International Journal of Oncology is an international journal devoted to oncology research and cancer treatment.

Molecular Medicine Reports

Molecular Medicine Reports

Covers molecular medicine topics such as pharmacology, pathology, genetics, neuroscience, infectious diseases, molecular cardiology, and molecular surgery.

Oncology Reports

Oncology Reports

Oncology Reports is an international journal devoted to fundamental and applied research in Oncology.

Experimental and Therapeutic Medicine

Experimental and Therapeutic Medicine

Experimental and Therapeutic Medicine is an international journal devoted to laboratory and clinical medicine.

Oncology Letters

Oncology Letters

Oncology Letters is an international journal devoted to Experimental and Clinical Oncology.

Biomedical Reports

Biomedical Reports

Explores a wide range of biological and medical fields, including pharmacology, genetics, microbiology, neuroscience, and molecular cardiology.

Molecular and Clinical Oncology

Molecular and Clinical Oncology

International journal addressing all aspects of oncology research, from tumorigenesis and oncogenes to chemotherapy and metastasis.

World Academy of Sciences Journal

World Academy of Sciences Journal

Multidisciplinary open-access journal spanning biochemistry, genetics, neuroscience, environmental health, and synthetic biology.

International Journal of Functional Nutrition

International Journal of Functional Nutrition

Open-access journal combining biochemistry, pharmacology, immunology, and genetics to advance health through functional nutrition.

International Journal of Epigenetics

International Journal of Epigenetics

Publishes open-access research on using epigenetics to advance understanding and treatment of human disease.

Medicine International

Medicine International

An International Open Access Journal Devoted to General Medicine.

Journal Cover
August-2024 Volume 28 Issue 2

Full Size Image

Sign up for eToc alerts
Recommend to Library

  • Article
  • Citations
    • Cite This Article
    • Download Citation
    • Create Citation Alert
    • Remove Citation Alert
    • Cited By
  • Similar Articles
    • Related Articles (in Spandidos Publications)
    • Similar Articles (Google Scholar)
    • Similar Articles (PubMed)
  • Download PDF
  • Download XML
  • View XML
Case Report Open Access

Squamous papilloma involving the mandible: A case report and descriptive literature review

  • Authors:
    • Xin Zheng
    • Lianlian Liu
    • Congyuan Cao
    • Shuojin Huang
    • Dongxiao Tang
    • Shuai Li
    • Qianting He
  • View Affiliations / Copyright

    Affiliations: Department of Oral and Maxillofacial Surgery, The First Affiliated Hospital, Sun Yat‑Sen University, Guangzhou, Guangdong 510080, P.R. China, Department of Oral and Maxillofacial Surgery, College of Stomatology, Guangxi Medical University, Nanning, Guangxi 530021, P.R. China
    Copyright: © Zheng et al. This is an open access article distributed under the terms of Creative Commons Attribution License.
  • Article Number: 301
    |
    Published online on: May 28, 2024
       https://doi.org/10.3892/etm.2024.12590
  • Expand metrics +
Metrics: Total Views: 0 (Spandidos Publications: | PMC Statistics: )
Metrics: Total PDF Downloads: 0 (Spandidos Publications: | PMC Statistics: )
Cited By (CrossRef): 0 citations Loading Articles...

This article is mentioned in:



Abstract

Squamous papilloma is a benign neoplasm that originates from the stratified squamous epithelium of the mucous membrane. Its principal etiological factor is human papillomavirus infection, with a predilection for manifesting within the oral cavity. Squamous papilloma predominantly affects regions on the palate, cheeks, lips and tongue. However, to the best of our knowledge, the occurrence of squamous papilloma within the confines of the mandible remains unreported hitherto. The present report documents a case of squamous papilloma involving the mandible who was managed at the First Affiliated Hospital of Sun Yat‑sen University (Guangzhou, China) in January 2023. The patient underwent a series of recurrent jaw inflammations, manifesting with malignant imaging characteristics. Subsequent pathological analysis confirmed a diagnosis of papilloma in the jaw. The present report highlights the pivotal role of prolonged inflammation in the genesis of jaw squamous papilloma, prompting avenues for further investigation, including the potential of inflammation to induce aberrant cell growth, mediate cell interactions, orchestrate cytokine actions and influence stress mediators. In addition, the current study posits a plausible connection between persistent inflammation, compromised epithelial integrity and an increased likelihood of head and neck papilloma, particularly concerning human papillomavirus infection. This article delineates the clinical attributes of the uncommon manifestations of jaw papilloma and delves into the associated mechanisms, thereby contributing to an enhanced comprehension of jaw disorders. This comprehensive insight equips clinicians with a heightened knowledge base for more precise diagnosis and treatment of analogous cases.

Introduction

Squamous cell papilloma within the oral cavity is a localized benign hyperplasia of the oral epithelium that typically presents as a verrucous lesion (1). Microscopically, the outer layer manifests as an infolded epithelium, distinguished by features including acanthosis and hyperkeratosis, while the inner layer comprises a fibrovascular core containing well-developed blood vessels (2). Its etiology is predominantly attributed to human papillomavirus (HPV) infection (3). In addition, squamous cell papilloma can also manifest in the nasal cavity, external auditory canal, pharynx and esophagus (1,4,5). Since symptoms of squamous cell papilloma typically lack specificity, clinical presentation frequently occur during later stages of this condition, causing patients with this disease primarily seeking medical attention due to symptoms arising from obstructive effects.

Although typically benign, squamous cell papilloma have the potential for malignant transformation and recurrence (6). The primary mode of treatment involves surgical intervention, yielding favorable prognoses (7). However, whilst squamous cell papilloma mostly affect the palate, cheek, lip and tongue (8), occurrences within the mandible are seldom reported. The present case, to our knowledge, marks the inaugural documentation of such an instance in the literature, though previous incidences may have existed but were not formally recorded. The imaging characteristics of this squamous papilloma case involving the jaw closely resemble those of malignant jaw tumors. Furthermore, a history of recurrent anti-inflammatory treatment failure may heighten the risk of misdiagnosis and oversight. Consequently, the present report documented a case of squamous cell papilloma involving the mandible at the First Affiliated Hospital of Sun Yat-sen University (Guangzhou, China) in January 2023. The present report aimed to enhance the comprehension of this condition and to provide a reference for healthcare practitioners. The literature review performed in the present study encompassed databases including PubMed (https://pubmed.ncbi.nlm.nih.gov/), Google Scholar (https://scholar.google.com/) and relevant medical journals accessed between 1970 and 2023. The key words ‘squamous cell papilloma’, ‘mandible’, ‘oral cavity’ and ‘human papillomavirus’, ‘inflammatory’, ‘PTHrP’, ‘TGF-β’ and ‘chronic stress’, were used in various combinations. The search was limited to publications available in English and Chinese. Relevant articles, case reports and systematic reviews detailing the clinical characteristics, diagnosis and management of squamous cell papilloma within the jaw region were included for analysis.

Case report

Medical history and clinical presentation

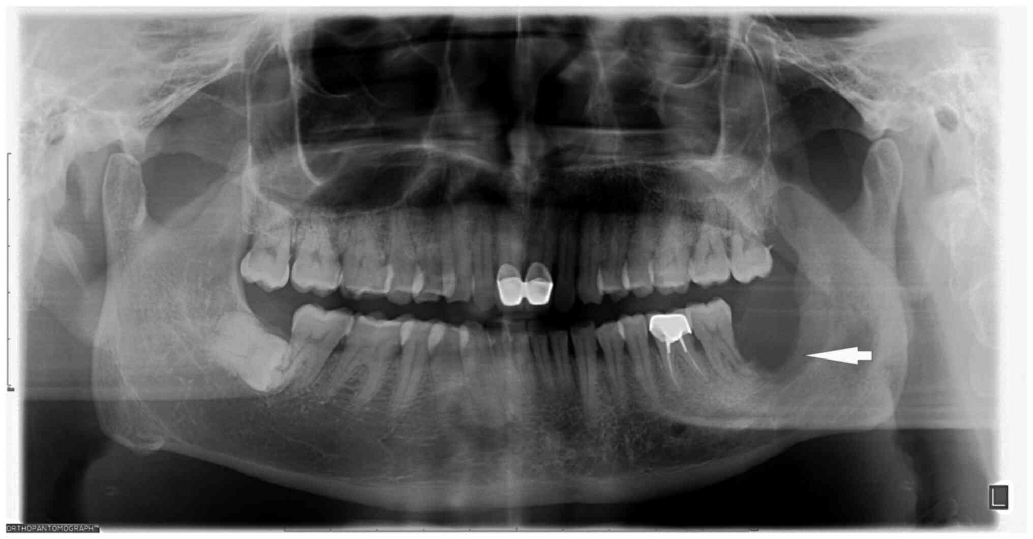
In January 2023, a 49-year-old male was admitted to the First Affiliated Hospital of Sun Yat-sen University (Guangzhou, China) with a chief complaint of repeated swelling and pain persisting for 6 months following the extraction of an impacted left mandibular tooth. The patient had a previous history of recurrent pericoronitis associated with the left lower posterior tooth 1 year prior to the current presentation. This recurrent condition resulted in episodes of left buccal facial swelling and pain that were seemingly unrelated to any apparent cause, which prevented his mouth from opening adequately. These symptoms manifested ~8 months after extraction of the affected tooth. The patient reported a smoking history spanning three decades, with a daily consumption of one pack of cigarettes. The patient denied any history of previous viral infections, similar lesions in other regions of the body or a family history of similar diseases. Following examination, mild swelling and pain were observed on the left cheek, with no notable abnormalities in the passive mandibular opening or pattens of mandibular opening. Within the oral cavity, a number of red polypoid masses of ~0.5x0.5 cm each were identified within the extraction site of the left lower third molar area. These masses were devoid of significant tenderness or bleeding. Laboratory tests conducted on blood samples encompassed a complete blood count, erythrocyte sedimentation rate, C-reactive protein, as well as specific investigations for infectious or autoimmune factors, such as serum amyloid A, immunoglobulin (Ig)A, IgM, IgG, complement 3 (C3) and C4. Results for all tests were within normal ranges.

Radiographic assessments were based on reports from two or three independent radiologists. Panoramic radiographs revealed that the lower left third molar was missing, with resorption of the alveolar socket extending to the root apex area of the lower left second molar. In addition, a 0.5x1-cm low-density shadow with an indistinct boundary was discernible in the middle and lower portion of the left mandibular ascending branch (Fig. 1). At the sagittal plane (Fig. 2A), mandibular CT scan showed involvement of the left mandibular coronal process and ascending mandibular rami. Cross-sectional perimetry (Fig. 2B) revealed a local lamellar periosteal reaction with an increase in bone mineral density in unaffected areas. The coronal visual field (Fig. 2C) showed significant destruction of the left ascending branch of the jaw with a soft tissue mass. A 3D surface reconstruction (left maxillary surface, Fig. 2D) highlights the deformation of the left mandibular coronal process, rami, and body. Given these findings, concerns were raised regarding the possibility of an invasive or malignant bone tumor. After admission, a preoperative tissue biopsy was performed on the left mandibular lesion. The collected tissue, obtained from the affected site, underwent histopathological examination with Hematoxylin and Eosin (HE) staining. The diagnosis of squamous cell papilloma was conclusively confirmed based on the distinctive features observed in the stained biopsy specimens. Consequently, it was determined that complete resection represented the optimal course of action for the patient. The surgical procedure was performed by an oral and maxillofacial surgeon. A grayish-yellow mass measuring 3.0x2.0x1.5 cm was identified in the left masseter attachment area during the operation, which exhibited a texture akin to the tip of the nose, tough with medium consistency, and had unclear boundaries. In total, ~0.5 cm of the tissue surrounding the tumor was excised. No destruction was observed on the buccal side of the left mandible. The bone surface appeared waxy and rough, involving blurred boundaries. Numerous grayish-white papillary growths (white arrow) were visible along the left ascending mandibular branch (Fig. 3A). A resection involving the left mandibular body, the left ascending branch of the mandible and the coronal process was performed to address this diseased bone. Finally, a bone plate harvested from the medial iliac ridge of the left side was utilized to fill the bone defect within the left mandible. To ensure adequate fixation, the defect was secured using titanium plates and titanium nails. In the assessment of this mass, the primary goal was to differentiate between benign papilloma and squamous cell carcinoma, necessitating a meticulous analysis of cellular characteristics. The focus was in identifying any indicators of cell atypia, heightened mitotic activity and aggressive traits suggestive of malignancy. Furthermore, the presence of a distinct papillary structure supports the exclusion of squamous cell carcinoma. Clinical relevance, imaging studies and the expertise of two independent pathologists further bolster our ability to rule out malignancies from the list of potential diagnoses.

Figure 1

Panoramic radiograph prior to admission. The lower left third molar was missing, with resorption of the alveolar socket extending to the root apex area of the lower left second molar. In addition, a 0.5x1 cm low-density shadow with an indistinct boundary was discernible in the middle and lower portion of the left mandibular ascending branch (arrow).

Figure 2

Mandibular CT scan prior to admission. (A) Sagittal view. Mandibular CT scan showed involvement of the left mandibular coronal process and ascending mandibular rami (black arrow). (B) Cross-sectional visual field. Mandibular CT scan revealed a local lamellar periosteal reaction with an increase in bone mineral density in unaffected areas (black arrow). (C) Coronal visual field. Mandibular CT scan showed significant destruction of the left ascending branch of the jaw with a soft tissue mass (black arrow). (D) 3D surface reconstruction (left maxillary surface) highlights the deformation of the left mandibular coronal process, rami and body (black arrow).

Figure 3

Perioperative pathology examination. (A) Macroscopic examination of the left mandibular mass revealed numerous grayish-white papillary growths (white arrow) within the left ascending mandibular branch (ruler in cm). (B) Histopathological sections of the lesion in the left mandible: Consistent with squamous epithelial papillary tumor, accompanied by local ulceration. The stroma showed a large amount of chronic inflammatory cells (white star) and foam cell (white arrow) aggregation (hematoxylin-eosin staining; magnification, x20; scale bar, 200 µm). (C) HPV immunohistochemical results of the left mandibular mass yielded negative findings. (D) p16 immunohistochemistry of the left mandibular mass revealed mottled positive findings, with staining predominantly observed in the cytoplasm and nucleus of squamous epithelial cells (immunohistochemistry staining; magnification, x40; scale bars, 100 µm). HPV, human papillomavirus

For perioperative pathological examination, tissue specimens, sliced to a thickness of 4 µm, were subjected to fixation in 10% formalin at ambient temperature for 24 h to maintain cellular integrity. Post-fixation, the specimens were encased in paraffin wax. Dehydration was accomplished through a series of graded ethanol solutions, succeeded by clearing. Hematoxylin staining (5 min) at ambient temperature delineated cellular nuclei, while eosin staining (2 min) at ambient temperature conferred a pink hue to the cytoplasm and extracellular matrix. Subsequent to a final round of dehydration and clearing, the specimens were affixed onto glass slides. The entire procedure was scrutinized via light microscopy to ensure standardized H&E staining, thereby facilitating lucid visualization of tissue morphology. The histopathological examination of the surgical specimen yielded the following results: i) The morphology of the left masseter muscle was consistent with a chronic abscess, with a number of salivary glands, striated muscle and fibrous connective tissue; ii) a large number of chronic inflammatory cells, neutrophils and multinucleated giant cells could be seen locally in Fig. 3B (white star); iii) the left mandibular mass is consistent with squamous papilloma with local ulceration, as a large number of chronic inflammatory cells and foam cells were found in the stroma, as shown in Fig. 3B (white arrow). Immunohistochemistry staining for HPV showed a negative result (-) (Fig. 3C), while p16 staining exhibited a mottled positive result (+), with pronounced positivity primarily localized in the epithelial cells adjacent to the basal membrane. The positive staining was observed in both the cell nuclei and cytoplasm, presenting a heterogeneous distribution (Fig. 3D). The immunohistochemical staining protocol proceeded as follows: Tissue sections with a thickness of 4 µm were fixed at room temperature using 10% formalin for 24 h. Subsequent embedding was performed with paraffin. Dehydration involved a series of graded ethanol solutions. Heat-induced antigen retrieval was carried out in citrate buffer at pH 6.0, at 95˚C for 20 min. Endogenous peroxidase activity was quenched using 3% hydrogen peroxide for 10 min at room temperature. Blocking was achieved with 5% bovine serum albumin for 1 h at room temperature. Primary antibodies included anti-HPV antibody (1:20 dilution; cat. no. ab245950; Abcam) and anti-p16 antibody (1:50 dilution; cat. no. ab51243; Abcam). Secondary antibodies were applied as follows: For HPV detection: Goat Anti-Mouse IgG H&L (Alexa Fluor® 488; diluted at 1:500; cat. no. ab150113; Abcam). For p16 detection: Goat anti-rabbit IgG H&L (Alexa Fluor® 488; diluted at 1:500; cat. no. ab150077; Abcam). Both antibodies were applied for 1 h at room temperature.

Visualization was performed using a 3,3'-diaminobenzidine reagent kit. Counterstaining involved application of hematoxylin for 2 min at room temperature. Immunohistochemistry (IHC) analysis was performed using a light microscope.

During the follow-up, no signs of progression or tumor recurrence were observed during follow-up evaluations conducted at 1- and 4-months post-operation. The patient resumed normal daily activities and work responsibilities, indicating a positive outcome. The patient was discharged a week after surgery, with surgical intervention being the sole treatment modality for tumor management. Subsequent follow-up visits in March 2023 and June 2023 revealed no signs of progression or tumor recurrence. Additionally, the patient resumed normal daily activities and work responsibilities, indicating a positive outcome.

Discussion

In the oral cavity, squamous cell papilloma typically manifests as a papillary protrusion on the oral mucosal surface. The precise etiology of papilloma remains elusive, although it exhibits associations with various predisposing factors, including tobacco consumption, alcohol misuse, chronic oral inflammatory conditions (such as gingivitis), inappropriate alveolar bone stimulation, HPV infection and genetic susceptibility (9,10). In the oral cavity, squamous cell papilloma is commonly found in the palate, cheek, lip and tongue, where it is more commonly found in men (1). Although the most common sites of this benign tumor have been proposed to be the soft palate, lip and gingiva (1,11), the tongue was suggested to be the most common site (8,10). However, squamous cell papilloma has also been documented to occur in the trachea, nasal cavity, sinuses, external auditory canal, esophagus and throat (12-14). The majority of cases are characterized by the absence of a clear unified set of symptoms, with clinical manifestations typically arising from secondary symptoms caused by physical obstruction. These may include nasal congestion, stridor, hearing loss, discomfort or difficulty swallowing and breathing disturbances such as disruptive dyspnea (1-3).

Compared with other locations, squamous cell papilloma of the jaw is an exceedingly rare occurrence. This benign neoplasm typically originates from the stratified squamous epithelial lining of the oral mucosa (15). However, the presence of residual epithelial elements within the jaw is limited, consisting of remnants of the dental lamina epithelium, epithelial rests of Malassez and reduced enamel epithelium (16). These epithelial tissues may be the origin of some common epithelial tumors in the jaw. Furthermore, squamous cell papilloma is predominantly encountered within systemic lacunar ducts, such as those found in the esophagus, respiratory tract, external auditory canal, cervix and breast ducts. It is imperative to recognize that the trabecular bone within the jaw constitutes an extension of the cortical bone encasing the cancellous bone, which forms a complex irregular three-dimensional network unlike the characteristic lacunar duct architecture found in the aforementioned organs (17). The origin of the epithelial lesion in this case could potentially stem from the gingival epithelium or the epithelium of the jaw.

The extended period of inflammation within the patient's jawbone likely mediated a pivotal role in precipitating the tumor-like metamorphosis. This may be attributed to four underlying factors. Inflammatory induction of aberrant cell growth is one such factor. The prolonged inflammation triggering aberrant cell proliferation within the jawbone observed in the present case aligns with previous studies that also emphasized the role of inflammation in cancer development. Trinchieri (18) previously underscored the induction of inflammation promoting cancer long before tumor formation. Specifically, they observed that before tumor formation, inflammation may have a role by affecting the genetic stability of tissues, epigenetic modifications and immune responses. Various inflammatory diseases, such as inflammatory bowel diseases, chronic hepatitis, Helicobacter-induced gastritis or schistostoma-induced bladder inflammation, can all heighten the susceptibility to malignant transformation (18). Prolonged inflammation can trigger the activation of local immune cells, leading to the release of proinflammatory cytokines, such as IL-1, TNF and IL-6, along with various growth factors. Among these factors are reactive oxygen species, reactive nitrogen species and interferon-γ (19,20). These cytokines in turn stimulate cell proliferation in the neighboring tissues, including the epithelial cells residing within the jawbone. This dysregulated cellular growth may cause the inception of papilloma formation (19,20). Close inter-cellular interplay may serve as another one of the four factors. Previous studies on tumor-induced bone diseases found a close interaction between tumor cells and bone cells, termed the ‘vicious cycle’ (21,22). This concept posits that tumor cells secrete a number of factors, such as parathyroid hormone-related protein (PTHrP), provoking osteoblasts into producing receptor activator of nuclear factor κB ligand (RANKL), thereby promoting osteoclast formation and bone destruction. Consequently, this form of bone destruction leads to the release of growth factors, such as insulin-like growth factor II and transforming growth factor β3 (TGF-β3) (23), embedded in the bone matrix, further stimulating tumor growth and aggravating bone destruction. Therefore, it may be hypothesized that PTHrP secretion by the tumor cells in the papilloma may have induced RANKL production in the osteoblasts, in turn promoting osteoclast formation and bone degradation. Subsequent bone destruction by the osteoclasts may then lead to the release of intraosseous growth factors that continue to stimulate papilloma growth (24,25). In terms of soluble factors in the tumor microenvironment, cytokines and the surrounding matrix may also have served a role in the present case. Specifically, the persistent inflammation experienced by the present patient may have induced alterations in the jawbone matrix. Such alterations may encompass changes in bone matrix hardness and the cytokine profile, such as interleukin (IL) and tumor necrosis factor (TNF)-α. During the inflamed state, the dysregulated activity of TGF-β signaling may reverse the inhibition of cell proliferation (26,27). This reversal in turn can lift the inhibitory restrictions tumor cells, contributing to their aberrant growth. Furthermore, TGF-β may enhance the migratory and invasive capabilities of tumor cells (28,29), enabling them to infiltrate neighboring tissues, blood vessels or lymphatic vessels. Simultaneously, TGF-β may also dampen the immune system's ability to identify and eliminate tumors (27,29). It was also noteworthy that chronic stress and the sympathetic nervous system may have involvements in the tumor in the present cases, where the persistent inflammation may have activated the sympathetic nervous system. This conjecture is consistent with the previous findings on the role of adrenergic receptor signaling in the bone. Pierroz et al (30) previously explored the effects of β-adrenergic receptor deletion on bone phenotypes and response to mechanical stimulation in mice. It was demonstrated that mice deficient in β2-adrenergic receptors exhibited greater trabecular bone microarchitecture, with lower degrees of bone resorption and increased levels of bone formation as they aged. These alterations could include increased trabecular thickness, higher trabecular number, reduced trabecular spacing, and enhanced trabecular connectivity. Furthermore, Liang et al (31) elucidated the impact of β2-adrenergic receptor (β2-AR) signaling on osteocytes and its effect on osteoclast formation. Activation of β2-AR led to increased RANKL expression, promoting osteoclastogenesis, while also altering the balance between RANKL and OPG. Furthermore, neuropeptides crucial for bone regulation were inhibited by β2-AR stimulation. These findings highlight the significant role of β2-AR signaling in bone metabolism. Therefore, sustained inflammation can potentially trigger the release of catecholamines to exacerbate jawbone destruction (32). The patient's history of smoking may have further exacerbated the inflammatory environment, since smoking can impair the immune functions of neutrophils and increase the release of inflammatory factors in the body, such as TNF-α and IL-6 (33,34).

In the present case, the pathological immunohistochemistry results indicated HPV negativity but the presence of mottled p16 positivity. While HPV infection was not detected, p16 is commonly employed as a surrogate marker for HPV in pathology. However, elevated p16 expression does not definitively indicate the presence of HPV infection. It is worth noting that it may yield false-negative HPV results, possibly due to undetected specific HPV subtypes, low viral loads associated with infection, inadequate tissue sampling or the localized nature of HPV infection. Given these considerations, quantitative HPV DNA testing emerges as a potentially more crucial diagnostic tool. Despite the absence of detectable HPV infection through IHC examination, it remains pertinent to explore the potential involvement of HPV infection in this context. Squamous cell papilloma may be associated with HPV infection, particularly HPV subtypes 2, 4, 6, 11, 13 and 32. HPV subtypes 6 and 11 are commonly associated with benign papillomatous lesions, including squamous cell papilloma (35,36). However, in certain sites, such as the throat, squamous cell papilloma associated with various high-risk HPV subtypes, such as HPV16 and HPV18, may also pose an increased risk of cancer development (9,37). The expression of p16 is frequently utilized as a surrogate indicator for high-risk HPV types. This association arises from the correlation between HPV infection and an elevated probability of p16-positive disease advancing to malignancy. Of note, in certain instances of squamous cell papilloma, the presence of p16 positivity despite HPV negativity may imply alternative pathways or factors contributing to tumor progression. During tumorigenesis, HPV E6 and E7 proteins target the p53 and retinoblastoma proteins for degradation, respectively. This inactivates the two most important tumor suppressor genes in the cell, resulting in the aberrant overexpression of cyclin p16 (33,38,39). In addition, susceptibility of cells to HPV infection can depend on the cell type and the local microenvironment. Certain cell types and microenvironments are more conducive to HPV infection and transformation. Single-layered tonsillar crypts are particularly susceptible to cellular transformation in the head and neck region. In the head and neck region, the epithelium lining the single-layered tonsillar crypts is particularly susceptible to cellular transformation, particularly following infection with HPV. Long-term inflammation can lead to changes in epithelial continuity, creating opportunities for pathogens such as HPV to attach and infect cells, thereby promoting the formation of papilloma (40,41).

The therapeutic approaches for oral squamous papilloma typically encompass surgical excision, particularly in cases of substantial size or suspected malignancy. Radiation therapy and chemotherapy may occasionally be applied in cases of malignant transformation (22). Although early diagnosis and intervention hold paramount importance, the papilloma detected in the jaw of the patient in the present case exhibited striking imaging similarities to malignant jaw tumors, as observed in mandibular CT scans. This resemblance may be associated with the patient's prolonged pericoronal inflammation resulting from the impacted wisdom teeth. The repetitive inflammatory episodes resulted in multifocal bone destruction, as indicated by areas of decreased density observed on imaging. Concurrently, the local lamellar periosteal reactions were indicative of the reparative response by the bone triggered by inflammation. Benign neoplasms typically manifest as clearly demarcated masses; contrastingly, malignant tumors exhibit a more aggressive growth pattern, often coupled with local tissue destruction (42-44). The chronic inflammatory environment appears to have promoted the development of poorly circumscribed soft tissue masses, further complicating the differentiation between benign and malignant tumors. This observation highlights the essential requirement for the thorough evaluation of imaging results in patients with persistent inflammation. In addition, comprehensive pathological and clinical assessments are necessary to ascertain the true nature of the tumor.

In conclusion, the present case report documented the rare occurrence of squamous papilloma in the jawbone, highlighting the diagnostic challenges posed by their atypical clinical presentation. Furthermore, the scarcity of robust clinical data on squamous cell papilloma involving the jawbone presents a significant hindrance in establishing a standardized diagnostic and therapeutic protocol for such cases. The present report several key factors that can contribute to the formation of squamous papilloma within the jaw. Specifically, the prolonged inflammation triggering tumor transformation, inflammation-induced aberrant cell growth, inter-cellular interplay, cytokine and matrix effects and chronic stress-mediated sympathetic nervous system activation, are such potential key factors that offer avenues for further exploration. In addition, the association between HPV and head and neck papilloma was outlined, suggesting that sustained inflammation may heighten papilloma incidence by compromising epithelial tissue integrity, fostering an environment conducive to HPV infection. While HPV infection was not detected, p16 is commonly employed as a surrogate marker for HPV in pathology. However, elevated p16 expression does not definitively indicate the presence of HPV infection. In fact, it may yield false-negative HPV results, possibly due to undetected specific HPV subtypes, low viral loads associated with infection, inadequate tissue sampling, or the localized nature of HPV infection. In light of the limitations and knowledge gaps identified, future endeavors should focus on elucidating the intricate molecular mechanisms underlying the development of squamous papilloma. Prospective multicenter clinical trials are indispensable for bridging the currently available clinical data to deepen the understanding into the pathophysiology of this papilloma and to facilitate the development of effective diagnostic and therapeutic modalities.

Acknowledgements

Not applicable.

Funding

Funding: No funding was received.

Availability of data and materials

The data generated in the present study may be requested from the corresponding author.

Authors' contributions

XZ and QH identified and selected this case. XZ took the lead in drafting the original manuscript, while XZ and LL collaborated extensively in the discussion section, contributing to the analysis and interpretation of the collected data. All authors actively participated in the critical review and finalization of the manuscript. CC, DT and SH performed a critical literature review and contributed to the drafting of the introduction and discussion sections. SL and QH were involved in the patient's clinical management. All authors have read and approved the final version of the manuscript. QH and LL have reviewed and confirm the authenticity of all the raw data presented in this manuscript.

Ethics approval and consent to participate

The present case report was conducted in accordance with the ethical standards from the 1964 Declaration of Helsinki and its later amendments. Local ethical approval was obtained from the Ethics Committee of the First Affiliated Hospital of Sun Yat-sen University [Guangzhou, China; approval ID: (2023) 391].

Patient consent for publication

The patient provided written informed consent for the publication of his data and associated images.

Competing interests

The authors declare that they have no competing interests.

References

1 

Jaju PP, Suvarna PV and Desai RS: Squamous papilloma: Case report and review of literature. Int J Oral Sci. 2:222–225. 2010.PubMed/NCBI View Article : Google Scholar

2 

Frigerio M, Martinelli-Kläy CP and Lombardi T: Clinical, histopathological and immunohistochemical study of oral squamous papillomas. Acta Odontol Scand. 73:508–515. 2015.PubMed/NCBI View Article : Google Scholar

3 

Longworth MS and Laimins LA: Pathogenesis of human papillomaviruses in differentiating epithelia. Microbiol Mol Biol Rev. 68:362–372. 2004.PubMed/NCBI View Article : Google Scholar

4 

Carrasco MFL, Alvarado JMP, Rodríguez VPR, Ramos VRV and Reinoso Carrasco JDC: Squamous papilloma in the oral cavity: Case presentation and review of the literature. JDHODT. 9:2018.

5 

Darwish G: Squamous papilloma of the soft palate: A case report. Cureus. 11(e37423)2023.PubMed/NCBI View Article : Google Scholar

6 

Hui-Ying H, Zhen-Kun Y, Shuang-Ba H, Qing-Xiang Z, Shan-Chun G and Hai-Dong Z: Distribution of HPV infection in laryngopharyngeal squamous cell carcinoma and laryngeal papilloma, 2017.

7 

Yadav S: Management of oral squamous papilloma using annona squamosa (Custard Apple) leaves: A novel case. Cureus. 15(e34806)2023.PubMed/NCBI View Article : Google Scholar

8 

Sivaramakrishnan M, Aroumougam A, Kumar KS and Premlal KR: Oral Squamous Papilloma. J Scientific Dentistry. 7:46–49. 2017.

9 

Sabatini ME and Chiocca S: Human papillomavirus as a driver of head and neck cancers. Br J Cancer. 122:306–314. 2020.PubMed/NCBI View Article : Google Scholar

10 

Oliveira AC, Cavalcanti de Lima IC, Frez Marques VM, Alves de Araújo WH and de Campos Ferreira C: Human papillomavirus prevalence in oral and oropharyngeal squamous cell carcinoma in South America: A systematic review and meta-analysis. Oncol Rev. 16(552)2022.PubMed/NCBI View Article : Google Scholar

11 

Aladham Y, Ahmed O and Laycock J: Squamous cell papilloma of the oesophagus: A human papilloma virus lesion. Cureus. 13(e19903)2021.PubMed/NCBI View Article : Google Scholar

12 

Jideh B, Weltman M, Wu Y and Chan CH: Esophageal squamous papilloma lacks clear clinicopathological associations. World J Clin Cases. 5(134)2017.PubMed/NCBI View Article : Google Scholar

13 

Molodtsova V, Ryabova M, Dvorakovskaya I, Vasilyeva M and Akopov A: Recurrent respiratory papillomatosis with lung involvement. Respir Med Case Rep. 25:323–326. 2018.PubMed/NCBI View Article : Google Scholar

14 

Hirai R, Makiyama K, Higuti Y, Ikeda A, Miura M, Hasegawa H, Kinukawa N and Ikeda M: Pharyngeal squamous cell papilloma in adult Japanese: Comparison with laryngeal papilloma in clinical manifestations and HPV infection. Eur Arch Otorhinolaryngol. 269:2271–2276. 2012.PubMed/NCBI View Article : Google Scholar

15 

Vidor EV, José Pavan AJ and Da Silva MJ: Squamous papilloma: Treatment in dentistry. J Surg Clin Dentistry. 7:16–19. 2015.

16 

Reichart PA and Philipsen HP: Revision of the 1992 edition of the WHO histological typing of odontogenic tumors. A suggestion. Mund Kiefer Gesichtschir. 7:88–93. 2003.PubMed/NCBI View Article : Google Scholar : (In German).

17 

Nicolielo LFP, Van Dessel J, Jacobs R, Quirino Silveira Soares M and Collaert B: Relationship between trabecular bone architecture and early dental implant failure in the posterior region of the mandible. Clinical Oral Implants Res. 31:153–161. 2020.PubMed/NCBI View Article : Google Scholar

18 

Trinchieri-2012-Cancer and inflammation an old intuition with Rap.pdf.

19 

Alnek K, Kisand K, Heilman K, Peet A, Varik K and Uibo R: Increased blood levels of growth factors, proinflammatory cytokines, and th17 cytokines in patients with newly diagnosed type 1 diabetes. PLoS One. 10(e0142976)2015.PubMed/NCBI View Article : Google Scholar

20 

Krenytska D, Strubchevska K, Kozyk M, Vovk T, Halenova T, Kot L, Raksha N, Savchuk O, Falalyeyeva T, Tsyryuk O and Ostapchenko L: Circulating levels of inflammatory cytokines and angiogenesis-related growth factors in patients with osteoarthritis after COVID-19. Front Med (Lausanne). 10(1168487)2023.PubMed/NCBI View Article : Google Scholar

21 

Yoneda T, Sasaki A and Mundy GR: Osteolytic bone metastasis in breast cancer. Breast Cancer Res Treat. 32:73–84. 1994.PubMed/NCBI View Article : Google Scholar

22 

Buenrostro D, Mulcrone PL, Owens P and Sterling JA: The bone microenvironment: A fertile soil for tumor growth. Curr Osteoporos Rep. 14:151–158. 2016.PubMed/NCBI View Article : Google Scholar

23 

Baylink DJ, Finkelman RD and Mohan S: Journal of bone and mineral research. J Bone Miner Res. 8 (Suppl):S565–S572. 1993.

24 

Lv Z, Wu X, Cao W, Shen Z, Wang L, Xie F, Zhang J, Ji T, Yan M and Chen W: Parathyroid hormone-related protein serves as a prognostic indicator in oral squamous cell carcinoma. J Exp Clin Cancer Res. 33(100)2014.PubMed/NCBI View Article : Google Scholar

25 

Mackenzie SL, Gillespie MT, Scurry JP, Planner RS, Martin TJ and Danks JA: Parathyroid hormone-related protein and human papillomavirus in gynecological tumors. Int J Cancer. 56:324–330. 1994.PubMed/NCBI View Article : Google Scholar

26 

Batlle E and Massagué J: Transforming Growth Factor-β signaling in immunity and cancer. Immunity. 50:924–940. 2019.PubMed/NCBI View Article : Google Scholar

27 

Smith SS, Chu D, Qu T, Aggleton JA and Schneider RA: Species-specific sensitivity to TGFβ signaling and changes to the Mmp13 promoter underlie avian jaw development and evolution. Elife. 11(e66005)2022.PubMed/NCBI View Article : Google Scholar

28 

Stuelten CH and Zhang YE: Transforming growth Factor-β: An agent of change in the tumor microenvironment. Front Cell Dev Biol. 9(764727)2021.PubMed/NCBI View Article : Google Scholar

29 

Jiao K, Zhang M, Niu L, Yu S, Zhen G, Xian L, Yu B, Yang K, Liu P, Cao X and Wang M: Overexpressed TGF-β in subchondral bone leads to mandibular condyle degradation. J Dent Res. 93:140–147. 2014.PubMed/NCBI View Article : Google Scholar

30 

Pierroz DD, Bonnet N, Bianchi EN, Bouxsein ML, Baldock PA, Rizzoli R and Ferrari SL: Deletion of β-adrenergic receptor 1, 2, or both leads to different bone phenotypes and response to mechanical stimulation. J Bone Miner Res. 27:1252–1262. 2012.PubMed/NCBI View Article : Google Scholar

31 

Liang H, Zeng Y, Feng Y, Wu H, Gong P and Yao Q: Selective β2-adrenoreceptor signaling regulates osteoclastogenesis via modulating RANKL production and neuropeptides expression in osteocytic MLO-Y4 cells. J Cell Biochem. 120:7238–7247. 2019.PubMed/NCBI View Article : Google Scholar

32 

Godoy LD, Rossignoli MT, Delfino-Pereira P, Garcia-Cairasco N and De Lima Umeoka EH: A comprehensive overview on stress neurobiology: Basic concepts and clinical implications. Front Behav Neurosci. 12(127)2018.PubMed/NCBI View Article : Google Scholar

33 

von Zeidler SV, Miracca EC, Nagai MA and Birman EG: Hypermethylation of the pl6 gene in normal oral mucosa of smokers. Int J Mol Med. 14:807–811. 2004.PubMed/NCBI View Article : Google Scholar

34 

Powell SF, Vu L, Spanos WC and Pyeon D: The key differences between human Papillomavirus-Positive and -Negative head and neck cancers: Biological and clinical implications. Cancers. 13(5206)2021.PubMed/NCBI View Article : Google Scholar

35 

Augustin JG, Lepine C, Morini A, Veyer D, Brochard C, Mirghani H, Péré H and Badoual C: HPV detection in head and neck squamous cell carcinomas: What is the issue? Front Oncol. 10(1751)2020.PubMed/NCBI View Article : Google Scholar

36 

Islam MdS, Chakraborty B and Panda CK: Human papilloma virus (HPV) profiles in breast cancer: Future management. Ann Transl Med. 8:650. 2020.PubMed/NCBI View Article : Google Scholar

37 

Castro TPPG and Filho IB: Prevalence of human papillomavirus (HPV) in oral cavity and oropharynx. Braz J Otorhinolaryngol. 72:272–281. 2006.PubMed/NCBI View Article : Google Scholar

38 

Bradley KT, Budnick SD and Logani S: Immunohistochemical detection of p16INK4a in dysplastic lesions of the oral cavity. Modern Pathology. 19:1310–1316. 2006.PubMed/NCBI View Article : Google Scholar

39 

Gologan O, Barnes EL and Hunt JL: Potential diagnostic use of p16INK4A, a new marker that correlates with dysplasia in oral squamoproliferative lesions. Am J Surg Pathol. 29:792–796. 2005.PubMed/NCBI View Article : Google Scholar

40 

Lee SH: Intestinal permeability regulation by tight junction: Implication on inflammatory bowel diseases. Intest Res. 13(11)2015.PubMed/NCBI View Article : Google Scholar

41 

Koch S and Nusrat A: The life and death of epithelia during inflammation: Lessons learned from the gut. Annu Rev Pathol Mech Dis. 7:35–60. 2012.PubMed/NCBI View Article : Google Scholar

42 

Gersing AS, Pfeiffer D, Kopp FK, Schwaiger BJ, Knebel C, Haller B, Noël PB, Settles M, Rummeny EJ and Woertler K: Evaluation of MR-derived CT-like images and simulated radiographs compared to conventional radiography in patients with benign and malignant bone tumors. Eur Radiol. 29:13–21. 2019.PubMed/NCBI View Article : Google Scholar

43 

Onal T, Afacan GO, Akansel G, Arslan AS, Anik Y, Inan N, Muezzinoglu B and Corapcioglu F: The performance of radiographic criteria for bone malignancy when applied to computed tomography and magnetic resonance imaging. J Med Imaging Radiat Sci. 49:84–89. 2018.PubMed/NCBI View Article : Google Scholar

44 

Miller TT: Bone tumors and tumorlike conditions: Analysis with conventional radiography. Radiology. 246:662–674. 2008.PubMed/NCBI View Article : Google Scholar

Related Articles

  • Abstract
  • View
  • Download
  • Twitter
Copy and paste a formatted citation
Spandidos Publications style
Zheng X, Liu L, Cao C, Huang S, Tang D, Li S and He Q: Squamous papilloma involving the mandible: A case report and descriptive literature review. Exp Ther Med 28: 301, 2024.
APA
Zheng, X., Liu, L., Cao, C., Huang, S., Tang, D., Li, S., & He, Q. (2024). Squamous papilloma involving the mandible: A case report and descriptive literature review. Experimental and Therapeutic Medicine, 28, 301. https://doi.org/10.3892/etm.2024.12590
MLA
Zheng, X., Liu, L., Cao, C., Huang, S., Tang, D., Li, S., He, Q."Squamous papilloma involving the mandible: A case report and descriptive literature review". Experimental and Therapeutic Medicine 28.2 (2024): 301.
Chicago
Zheng, X., Liu, L., Cao, C., Huang, S., Tang, D., Li, S., He, Q."Squamous papilloma involving the mandible: A case report and descriptive literature review". Experimental and Therapeutic Medicine 28, no. 2 (2024): 301. https://doi.org/10.3892/etm.2024.12590
Copy and paste a formatted citation
x
Spandidos Publications style
Zheng X, Liu L, Cao C, Huang S, Tang D, Li S and He Q: Squamous papilloma involving the mandible: A case report and descriptive literature review. Exp Ther Med 28: 301, 2024.
APA
Zheng, X., Liu, L., Cao, C., Huang, S., Tang, D., Li, S., & He, Q. (2024). Squamous papilloma involving the mandible: A case report and descriptive literature review. Experimental and Therapeutic Medicine, 28, 301. https://doi.org/10.3892/etm.2024.12590
MLA
Zheng, X., Liu, L., Cao, C., Huang, S., Tang, D., Li, S., He, Q."Squamous papilloma involving the mandible: A case report and descriptive literature review". Experimental and Therapeutic Medicine 28.2 (2024): 301.
Chicago
Zheng, X., Liu, L., Cao, C., Huang, S., Tang, D., Li, S., He, Q."Squamous papilloma involving the mandible: A case report and descriptive literature review". Experimental and Therapeutic Medicine 28, no. 2 (2024): 301. https://doi.org/10.3892/etm.2024.12590
Follow us
  • Twitter
  • LinkedIn
  • Facebook
About
  • Spandidos Publications
  • Careers
  • Cookie Policy
  • Privacy Policy
How can we help?
  • Help
  • Live Chat
  • Contact
  • Email to our Support Team