Spandidos Publications Logo
  • About
    • About Spandidos
    • Aims and Scopes
    • Abstracting and Indexing
    • Editorial Policies
    • Reprints and Permissions
    • Job Opportunities
    • Terms and Conditions
    • Contact
  • Journals
    • All Journals
    • Oncology Letters
      • Oncology Letters
      • Information for Authors
      • Editorial Policies
      • Editorial Board
      • Aims and Scope
      • Abstracting and Indexing
      • Bibliographic Information
      • Archive
    • International Journal of Oncology
      • International Journal of Oncology
      • Information for Authors
      • Editorial Policies
      • Editorial Board
      • Aims and Scope
      • Abstracting and Indexing
      • Bibliographic Information
      • Archive
    • Molecular and Clinical Oncology
      • Molecular and Clinical Oncology
      • Information for Authors
      • Editorial Policies
      • Editorial Board
      • Aims and Scope
      • Abstracting and Indexing
      • Bibliographic Information
      • Archive
    • Experimental and Therapeutic Medicine
      • Experimental and Therapeutic Medicine
      • Information for Authors
      • Editorial Policies
      • Editorial Board
      • Aims and Scope
      • Abstracting and Indexing
      • Bibliographic Information
      • Archive
    • International Journal of Molecular Medicine
      • International Journal of Molecular Medicine
      • Information for Authors
      • Editorial Policies
      • Editorial Board
      • Aims and Scope
      • Abstracting and Indexing
      • Bibliographic Information
      • Archive
    • Biomedical Reports
      • Biomedical Reports
      • Information for Authors
      • Editorial Policies
      • Editorial Board
      • Aims and Scope
      • Abstracting and Indexing
      • Bibliographic Information
      • Archive
    • Oncology Reports
      • Oncology Reports
      • Information for Authors
      • Editorial Policies
      • Editorial Board
      • Aims and Scope
      • Abstracting and Indexing
      • Bibliographic Information
      • Archive
    • Molecular Medicine Reports
      • Molecular Medicine Reports
      • Information for Authors
      • Editorial Policies
      • Editorial Board
      • Aims and Scope
      • Abstracting and Indexing
      • Bibliographic Information
      • Archive
    • World Academy of Sciences Journal
      • World Academy of Sciences Journal
      • Information for Authors
      • Editorial Policies
      • Editorial Board
      • Aims and Scope
      • Abstracting and Indexing
      • Bibliographic Information
      • Archive
    • International Journal of Functional Nutrition
      • International Journal of Functional Nutrition
      • Information for Authors
      • Editorial Policies
      • Editorial Board
      • Aims and Scope
      • Abstracting and Indexing
      • Bibliographic Information
      • Archive
    • International Journal of Epigenetics
      • International Journal of Epigenetics
      • Information for Authors
      • Editorial Policies
      • Editorial Board
      • Aims and Scope
      • Abstracting and Indexing
      • Bibliographic Information
      • Archive
    • Medicine International
      • Medicine International
      • Information for Authors
      • Editorial Policies
      • Editorial Board
      • Aims and Scope
      • Abstracting and Indexing
      • Bibliographic Information
      • Archive
  • Articles
  • Information
    • Information for Authors
    • Information for Reviewers
    • Information for Librarians
    • Information for Advertisers
    • Conferences
  • Language Editing
Spandidos Publications Logo
  • About
    • About Spandidos
    • Aims and Scopes
    • Abstracting and Indexing
    • Editorial Policies
    • Reprints and Permissions
    • Job Opportunities
    • Terms and Conditions
    • Contact
  • Journals
    • All Journals
    • Biomedical Reports
      • Information for Authors
      • Editorial Policies
      • Editorial Board
      • Aims and Scope
      • Abstracting and Indexing
      • Bibliographic Information
      • Archive
    • Experimental and Therapeutic Medicine
      • Information for Authors
      • Editorial Policies
      • Editorial Board
      • Aims and Scope
      • Abstracting and Indexing
      • Bibliographic Information
      • Archive
    • International Journal of Epigenetics
      • Information for Authors
      • Editorial Policies
      • Editorial Board
      • Aims and Scope
      • Abstracting and Indexing
      • Bibliographic Information
      • Archive
    • International Journal of Functional Nutrition
      • Information for Authors
      • Editorial Policies
      • Editorial Board
      • Aims and Scope
      • Abstracting and Indexing
      • Bibliographic Information
      • Archive
    • International Journal of Molecular Medicine
      • Information for Authors
      • Editorial Policies
      • Editorial Board
      • Aims and Scope
      • Abstracting and Indexing
      • Bibliographic Information
      • Archive
    • International Journal of Oncology
      • Information for Authors
      • Editorial Policies
      • Editorial Board
      • Aims and Scope
      • Abstracting and Indexing
      • Bibliographic Information
      • Archive
    • Medicine International
      • Information for Authors
      • Editorial Policies
      • Editorial Board
      • Aims and Scope
      • Abstracting and Indexing
      • Bibliographic Information
      • Archive
    • Molecular and Clinical Oncology
      • Information for Authors
      • Editorial Policies
      • Editorial Board
      • Aims and Scope
      • Abstracting and Indexing
      • Bibliographic Information
      • Archive
    • Molecular Medicine Reports
      • Information for Authors
      • Editorial Policies
      • Editorial Board
      • Aims and Scope
      • Abstracting and Indexing
      • Bibliographic Information
      • Archive
    • Oncology Letters
      • Information for Authors
      • Editorial Policies
      • Editorial Board
      • Aims and Scope
      • Abstracting and Indexing
      • Bibliographic Information
      • Archive
    • Oncology Reports
      • Information for Authors
      • Editorial Policies
      • Editorial Board
      • Aims and Scope
      • Abstracting and Indexing
      • Bibliographic Information
      • Archive
    • World Academy of Sciences Journal
      • Information for Authors
      • Editorial Policies
      • Editorial Board
      • Aims and Scope
      • Abstracting and Indexing
      • Bibliographic Information
      • Archive
  • Articles
  • Information
    • For Authors
    • For Reviewers
    • For Librarians
    • For Advertisers
    • Conferences
  • Language Editing
Login Register Submit
  • This site uses cookies
  • You can change your cookie settings at any time by following the instructions in our Cookie Policy. To find out more, you may read our Privacy Policy.

    I agree
Search articles by DOI, keyword, author or affiliation
Search
Advanced Search
presentation
Experimental and Therapeutic Medicine
Join Editorial Board Propose a Special Issue
Print ISSN: 1792-0981 Online ISSN: 1792-1015
Journal Cover
August-2024 Volume 28 Issue 2

Full Size Image

Sign up for eToc alerts
Recommend to Library

Journals

International Journal of Molecular Medicine

International Journal of Molecular Medicine

International Journal of Molecular Medicine is an international journal devoted to molecular mechanisms of human disease.

International Journal of Oncology

International Journal of Oncology

International Journal of Oncology is an international journal devoted to oncology research and cancer treatment.

Molecular Medicine Reports

Molecular Medicine Reports

Covers molecular medicine topics such as pharmacology, pathology, genetics, neuroscience, infectious diseases, molecular cardiology, and molecular surgery.

Oncology Reports

Oncology Reports

Oncology Reports is an international journal devoted to fundamental and applied research in Oncology.

Experimental and Therapeutic Medicine

Experimental and Therapeutic Medicine

Experimental and Therapeutic Medicine is an international journal devoted to laboratory and clinical medicine.

Oncology Letters

Oncology Letters

Oncology Letters is an international journal devoted to Experimental and Clinical Oncology.

Biomedical Reports

Biomedical Reports

Explores a wide range of biological and medical fields, including pharmacology, genetics, microbiology, neuroscience, and molecular cardiology.

Molecular and Clinical Oncology

Molecular and Clinical Oncology

International journal addressing all aspects of oncology research, from tumorigenesis and oncogenes to chemotherapy and metastasis.

World Academy of Sciences Journal

World Academy of Sciences Journal

Multidisciplinary open-access journal spanning biochemistry, genetics, neuroscience, environmental health, and synthetic biology.

International Journal of Functional Nutrition

International Journal of Functional Nutrition

Open-access journal combining biochemistry, pharmacology, immunology, and genetics to advance health through functional nutrition.

International Journal of Epigenetics

International Journal of Epigenetics

Publishes open-access research on using epigenetics to advance understanding and treatment of human disease.

Medicine International

Medicine International

An International Open Access Journal Devoted to General Medicine.

Journal Cover
August-2024 Volume 28 Issue 2

Full Size Image

Sign up for eToc alerts
Recommend to Library

  • Article
  • Citations
    • Cite This Article
    • Download Citation
    • Create Citation Alert
    • Remove Citation Alert
    • Cited By
  • Similar Articles
    • Related Articles (in Spandidos Publications)
    • Similar Articles (Google Scholar)
    • Similar Articles (PubMed)
  • Download PDF
  • Download XML
  • View XML
Case Report Open Access

Clinical management of extra‑adrenal myelolipoma in the central nervous system: A case report

  • Authors:
    • Zhijian Xu
    • Song Yang
    • Qi Tu
    • Peiyue Han
    • Lixia Wang
    • Lude Wang
    • Minfeng Tong
    • Huahui Chen
  • View Affiliations / Copyright

    Affiliations: Department of Neurosurgery, Affiliated Jinhua Hospital, Zhejiang University School of Medicine, Jinhua, Zhejiang 321000, P.R. China, Department of Neurosurgery, Jiaozhou Branch, East Hospital Affiliated to Tongji University, Qingdao, Shandong 266300, P.R. China, Department of Pathology, Affiliated Jinhua Hospital, Zhejiang University School of Medicine, Jinhua, Zhejiang 321000, P.R. China, Central Laboratory, Affiliated Jinhua Hospital, Zhejiang University School of Medicine, Jinhua, Zhejiang 321000, P.R. China
    Copyright: © Xu et al. This is an open access article distributed under the terms of Creative Commons Attribution License.
  • Article Number: 327
    |
    Published online on: June 19, 2024
       https://doi.org/10.3892/etm.2024.12616
  • Expand metrics +
Metrics: Total Views: 0 (Spandidos Publications: | PMC Statistics: )
Metrics: Total PDF Downloads: 0 (Spandidos Publications: | PMC Statistics: )
Cited By (CrossRef): 0 citations Loading Articles...

This article is mentioned in:



Abstract

Extra‑adrenal myelolipoma (EAM) is a rare benign tumor composed of mature adipose and hematopoietic tissues. Its etiology remains to be elucidated and there are few case reports describing the clinical features and treatment of EAMs in the central nervous system. The present study presented our experience and practice in the clinical management of a case of EAM in the right frontal region. A 56‑year‑old woman was found to have a space‑occupying right frontal lesion on computed tomography (CT) of the head. Unenhanced magnetic resonance imaging (MRI) showed a lesion of ~1.5x1.2 cm. Enhanced whole abdominal CT showed a right presacral mass, 2.0 cm in diameter, with clear margins. The postoperative histopathological findings showed mainly mature adipose tissue mixed with extramedullary hematopoietic components. This confirmed the diagnosis of a (bone) marrow lipoma. Myelolipoma of the central nervous system is extremely rare. to the best of the authors' knowledge, only two cases of intracranial myelolipoma have been reported, and the present study introduced the first case in a Chinese patient reported in English. However, when CT shows high density and MRI shows mixed density in the tumor area even without enhancement, the possibility of myelolipoma should be considered in the differential diagnosis.

Introduction

Myelolipoma is a rare benign tumor, consisting of mature adipose tissue and normal hematopoietic cells. According to autopsy studies, myelolipoma has an incidence of ~0.08-0.4%. It was first described by Gierke in 1905 and named ‘bone marrow lipoma’ by Oberling in 1929 (1-3). Most patients with myelolipoma exhibit no clinical symptoms (4,5). However, when these tumors increase in size and exert pressure on surrounding vital organs, clinical symptoms can include organ insufficiency, bleeding, or local site pain (6). Myelolipomas most frequently occur in the adrenal glands, are more frequent in women than in men, and are usually singular lesions (4). Extra-adrenal myelolipomas (EAM) are relatively rare and have been observed in the lung (7) and in the presacral (6,8), vertebral (9) and mediastinal (10,11) regions. We identified only two cases of EAM in the central nervous system that have been reported, one in the cerebellum (12) and one in the lateral ventricles (13). The present study reports the case of a 56-year-old woman who presented with an intracranial primary EAM.

Case report

In October 2022, a 56-year-old woman presented with a persistent right-sided headache for 8 days with no apparent trigger and a past history of an intracranial lesion. The patient was admitted to Jinhua Hospital Affiliated to Zhejiang University in October 2022. The headache was not severe, but it worsened at night or when the patient's head was lowered. Physical examination results were negative.

Four years prior to presentation, the patient had undergone a cranial computed tomography (CT) that had revealed a calcified mass in the right frontal region, possibly a meningioma. The patient was followed up regularly until August 2021, without any changes in the lesion.

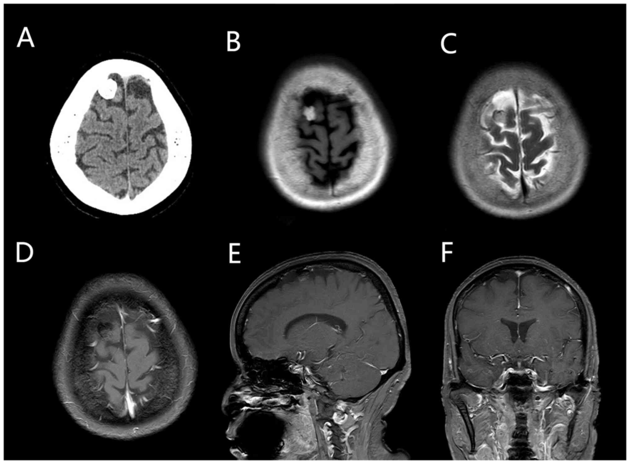
Admission laboratory test results were as follows: Total erythrocyte count 3.81x1012/l, total hemoglobin 117 g/l, total platelet count 270x109/l, total leukocyte count 6.51x109/l, ferritin 55.56 ng/ml, folic acid 50.13 nmol/l and erythropoietin 18 mU/ml. Cranial CT scan results showed a high-density, space-occupying lesion in the right frontal area, possibly an osteoma or calcified meningioma. Thus, magnetic resonance imaging (MRI) was recommended. Cranial enhancement and perfusion MRI revealed an abnormal signal shadow of the nodule in the right frontal area. The size of the lesion was ~1.5x1.2 cm. The T1 image revealed a high signal focus; T2, diffusion-weighted imaging and apparent diffusion coefficient images revealed low signal focus; and the enhancement scan did not show significant enhancement. On perfusion-weighted imaging, the lesion was unclear, indicating the possibility of a meningioma with calcification (Fig. 1).

Figure 1

CT scan showing a high-density quasi-circular shadow with clear boundaries under the inner plate of the skull at the right frontal apex. (A) Enhanced cranial MRI showing the mass presented as a (B) hyper-intense signal on axial T1-weighted imaging and (C) hypo-intense signal on axial T2-weighted imaging. In the T1-weighted MR images, compared with (D) axial, (E) coronal, and (F) sagittal views, no significant enhancement was observed in the enhanced scan. CT, computed tomography; MRI, magnetic resonance imaging.

In October 2022, craniotomy was performed under general anesthesia. Intraoperatively, a white, hard, round-like mass with a normal blood supply was observed. The base was in the frontal dura. Tissue specimens were fixed in 10% neutral buffered formalin for 24 h at room temperature (18-25˚C). The specimens were dehydrated in a conventional series of gradient alcohols, cleared in xylene, dipped in wax, embedded in paraffin, sectioned to 3 µm, stained with conventional hematoxylin-eosin (HE) staining using a Sakura autostainer (Sakura Finetek USA, Inc.), cleared and sealed. Finally, the sections were examined microscopically at x400 magnification using an Olympus light microscope (Olympus Corporation).

Histopathological analysis revealed that the tumor wase composed of adipocytes with hyperplasia of small vessels and infiltration of inflammatory cells scattered among heterogeneous large cells, with considerable interstitial bleeding; hence, these were considered to be adipogenic tumors (Fig. 2).

Figure 2

Histological micrograph showing space-occupying pathological fragments containing mature adipose tissue and bone marrow components (black arrow), erythroid precursor and megakaryocyte components (black circle). Hematoxylin and eosin staining at (A) x20 and (B) x100 magnification.

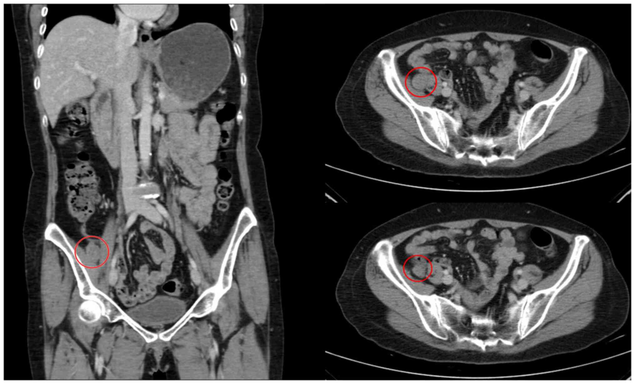
Subsequently, tissue specimens were fixed in 10% neutral buffered formalin for 24 h, dehydrated in a conventional series of gradient alcohols, made transparent with xylene, dipped in wax, paraffin embedded into paraffin tissue blocks and sectioned to 3 µm. Immunohistochemical detection was performed using an EnVision technology system (Agilent Technologies, Inc.), using a Leica Bond Max fully automatic immunohistochemistry instrument (Leica Microsystems, Inc.). The sections were examined microscopically using an Olympus light microscope (Olympus Corporation). Immunohistochemical analysis was negative for SSTR2 (clone EP149; cat. no. ZA-0587; ZSGB-BIO), E-Cad (clone MX020; cat. no. MAB-0738; Fuzhou Maixin Biotech. Co., Ltd.), EMA (clone GP1.4; cat. no. ZM-0095; ZSGB-BIO), STAT6 (clone EP325; cat. no. ZA-0647; ZSGB-BIO), CK-P (clone AE1/AE3; cat. no. Kit-009; Fuzhou Maixin Biotech, Co., Ltd.), HMB45 (cat. no. ZM-0187; ZSGB-BIO) and S100 (clone 5E2E2+4C4.9; cat. no. ZM-0224; ZSGB-BIO) (Fig. 3). The pathological diagnosis was of an intracranial myelolipoma. Postoperative renal B-ultrasonography showed no significant infiltration of both adrenal areas. Whole-abdominal enhanced CT revealed a low-density shadow in the right presacral area, which was 2.0 cm in diameter with a clear margin, and mild to moderate progressive enhancement (Fig. 4). The patient recovered well after the surgery without adjuvant therapy. The multiplicity of myelolipoma was also considered during the 3-month postoperative follow-up period. Therefore, the patient underwent a CT of the chest, an enhanced CT of the whole abdomen and an MRI of the whole spinal cord. Except for the presacral mass, the other tumors were not found on examination. To date, no tumor recurrence or metastasis has been observed.

Figure 3

Microscopic findings (original magnification, x100). Immunohistochemical staining of the tumors revealed negative immunoreactions for (A) SSTR2, (B) S100, a calcium binding protein localized in astroglial cells of the central nervous system, (C) PR, (D) CK Pan; (E) E-Cad; and (F) EMA. SSTR2, Human somatostatin receptor subtype-2; PR, progesterone receptor; CK Pan, pan-cytokeratin; E-Cad, E-cadherin; EMA, epithelial membrane antigen.

Figure 4

Enhanced abdominal CT showing a circular mass with a slightly low-density shadow in the right presacral area, 2.0 cm in diameter, with a clear margin and mild to moderate progressive enhancement. CT, computed tomography.

Discussion

Myelolipoma is a rare tumor composed of hematopoietic cells and mature adipose tissue (14). The hematopoietic element is described as extramedullary (15). The tumor usually develops in the adrenal glands (4). Most of the lesions are isolated, while a few are multifocal (6,8-10). The majority of EAMs occur in the anterior sacral region, peritoneal space and mediastinum (6,10). EAMs are rarely observed in other locations, and myelolipoma of the central nervous system is extremely rare (16), with only two cases reported.

In 1982, Nalesnik et al (12) reported the case of a 74-year-old woman with persistent headaches and progressive difficulty in walking for 4 months; space-occupying lesions in the posterior cranial fossa were observed. In the second case, in 2008, Suri et al (13) reported the case of a 72-year-old man who suffered from recurrent right-sided focal seizures, limb weakness, and inability to speak for 15 days. A space-occupying lesion was found in the left lateral ventricle. Postoperative pathology confirmed a primary myelolipoma of the central nervous system. Based on a literature search, the present study is the third reported case of an intracranial myelolipoma. However, to the best of our knowledge, this is the first report of a myelolipoma in the frontal lobe. Additionally, this tumor was complicated by another space-occupying lesion in the right presacral area, which was considered to be a large myelolipoma on imaging. However, as the pathology was not clear, the patient was not informed. The patient chose to undergo regular follow-up.

While the pathogenesis of myelolipomas remains unclear, one widely accepted theory states that myelolipomas are caused by reticuloendothelial cell metaplasia (6,11). Histologically, myelolipomas are considered a manifestation of extramedullary hematopoiesis. In the present study, the tumor contained mature adipose tissue, which did not contain adipocytes, and resembled bone marrow hematopoietic tissue. Hematopoietic tissue consists of three lineages of normal hematopoietic cells, including granulocytes, erythrocytes, megakaryocytes and, in certain cases, lymphocytes. In contrast to bone marrow hematopoietic tissue, no reticular sinus or bone beam is present (4,9,17). Bishop et al (18) found that most myelolipomas showed non-random chromosomal inactivation, and the common chromosomal abnormalities were t(3;21)(q25/26;p11) translocation. This suggested that myelolipomas are derivatives of misaligned hematopoietic cells, possibly indicating a clonal origin of these tumors (19). Mete et al (20) found that the occurrence of renal myelolipoma is related to chronic anemia and an abnormal increase in erythropoietin. In patients with chronic anemia, an increase in erythropoietin concentration may stimulate the development of adrenal myelolipomas (5). However, our patient, like most others with EAMs, showed no anemia or erythropoietin abnormalities.

Myelolipomas have characteristic imaging features. Enhanced MRI typically shows mixed density with no significant enhancement in the tumor area, and high-density shadows are commonly observed on CT (21,22). However, the incidence of myelolipoma is very low; hence, misdiagnosis is common. Therefore, the present case was considered to be a calcifying meningioma before and after admission. Myelolipomas are distinct from other common intracranial epidural tumors, such as meningioma, primary lung cancer, breast cancer, other adenocarcinomas and primary dural lymphoma (PDL). Meningioma is characterized by enhanced cranial MRI showing 60% thickening and enhancement of the peripheral meninges, known as the meningeal tail sign. It grows inward and exerts pressure on the brain tissue, forcing the cortex to shift. Cerebrospinal fluid and blood vessel crevasses are also observed around these tumors (23). Primary lung cancer, breast cancer and other adenocarcinomas metastasize to the brain and can invade the adjacent skull and dura mater. In these cases, enhanced MRI shows considerable enhancement, and certain dural tail signs can be observed (24). PDL also frequently occurs in middle-aged women. In these cases, CT shows high signal, similar to that of EAMs, and MRI-T2 sequences show equal or low signal, marked, uneven enhancement, and blurred interbrain space (25).

Myelolipoma is a nonfunctional benign tumor. Currently, it is not considered to be a degenerative condition. Similar to that in the present case, most patients are asymptomatic. When a lipoma induces a mass effect or ruptures, bleeding may occur. The largest myelolipoma has been reported to be located in the adrenal gland, with a maximum diameter of ~30 cm (26). In contrast to adrenal myelolipoma, surgery is recommended when the tumor is >6 cm, when there is a space-occupying effect, or bleeding (4). The possible progressive enlargement of the mass caused neurological deficits similar to those observed in previous studies, on patients with secondary symptomatic epilepsy or hydrocephalus, resulting in unsteady gait and other symptoms. Complete surgical resection of the tumor is recommended to understand its nature (4,9). No significant recurrence of myelolipoma has been reported in the current literature (9,12,15). There is some limitation in this study. First, we were unable to obtain previous imaging of the patient. Second, as the patient had no desire for further treatment, the nature of the presacral mass could not be further determined. Therefore, a longer follow-up is needed to summarize the disease. Finally, the present study is a single and rare case and the available information is limited. Consequently, more reports of this rare disease are needed to increase our knowledge.

Owing to the rarity of central nervous system myelolipomas, limited cases have been reported to date. Therefore, these tumors are likely to be misdiagnosed. Currently, no tendency for relapse after surgical dissection of central nervous system myelolipoma has been reported. Surgery is recommended to identify the pathology and complete resection can be used as a radical treatment. To the best of our knowledge, this is the first reported case of myelolipoma in the intracranial frontal lobe. Finally, it is hoped that the present report will be helpful to others in analyzing and summarizing the characteristics of central nervous system myelolipomas.

Acknowledgements

Not applicable.

Funding

Funding: The present study was supported by Zhejiang Natural Science Foundation (grant no. LQ22H160056), Zhejiang Province Medicine and Health Science and Technology Program Project Research Fund Project (grant no. 2022KY425) and Key Research and Development Projects of Social Development of Jinhua Science and Technology Bureau (grant no. 2019-3-008).

Availability of data and materials

The data generated in the present study may be requested from the corresponding author.

Authors' contributions

ZX, SY and QT conceptualized and designed the study. HC and MT performed the surgery. PH and LiW obtained MRI and CT scans images. LuW advised on patient treatment and analyzed patient data. HC and PH wrote the manuscript. MT and QT gathered the data and revised the manuscript. ZX and HC confirm the authenticity of all the raw data. All authors read and approved the final manuscript.

Ethics approval and consent to participate

This study was approved by the Jinhua Hospital Affiliated to Zhejiang University Institutional Review Board, (approval no 2020-141-001; Qingdao, China).

Patient consent for publication

Written informed consent was provided by the patient for publication of data and images.

Competing interests

The authors declare that they have no competing interests.

References

1 

Plaut A: Myelolipoma in the adrenal cortex (myeloadipose structures). Am J Pathol. 34:487–515. 1958.PubMed/NCBI

2 

Kenney PJ, Wagner BJ, Rao P and Heffess CS: Myelolipoma: CT and pathologic features. Radiology. 208:87–95. 1998.PubMed/NCBI View Article : Google Scholar

3 

Rao P, Kenney PJ, Wagner BJ and Davidson AJ: Imaging and pathologic features of myelolipoma. RadioGraphics. 17:1373–1385. 1997.PubMed/NCBI View Article : Google Scholar

4 

Calissendorff J, Juhlin CC, Sundin A, Bancos I and Falhammar H: Adrenal myelolipomas. Lancet Diabetes Endocrinol. 9:767–775. 2021.PubMed/NCBI View Article : Google Scholar

5 

Lam AK: Update on adrenaltumours in 2017 World Health Organization (WHO) of endocrinetumours. Endocr Pathol. 28:213–227. 2017.PubMed/NCBI View Article : Google Scholar

6 

Sethi S, Thakur S, Jacques S, Aoun HD and Tranchida P: Myelolipoma of the pelvis: A casereport and review of literature. Front Oncol. 8(251)2018.PubMed/NCBI View Article : Google Scholar

7 

Mašić S, Vučić M and Seiwerth S: Pulmonary myelolipoma containing osseous tissue: An unexpected finding at autopsy. Respir Med Case Rep. 22:254–256. 2017.PubMed/NCBI View Article : Google Scholar

8 

Sakamoto A, Nagamatsu I, Shiba E, Okamoto T, Hisaoka M and Matsuda S: Presacral myelolipoma as a possible parasymptom of cancer: A case report. Rare Tumors. 10(2036361318772124)2018.PubMed/NCBI View Article : Google Scholar

9 

Rezaee H, Tavallaii A, Keykhosravi E, Abouei Mehrizi MA, Safdari Z, Pishjoo M, Aminzadeh B and Alenabi A: Spinal myelolipoma-an extremely rare pathology within the lumbar spine: A case report and literature review. Br J Neurosurg. 37:1805–1808. 2023.PubMed/NCBI View Article : Google Scholar

10 

Hosaka T, Hata Y, Makino T, Otsuka H, Koezuka S, Azumi T, Ejima K, Tochigi N, Shibuya K and Iyoda A: Mediastinal myelolipoma showing gradual enlargement over 9 years: A case report. J Cardiothorac Surg. 11(91)2016.PubMed/NCBI View Article : Google Scholar

11 

Zombori T, Tóth N, Furák J, Berényi Z and Tiszlavicz L: Tumor of posterior mediastinum-rare case of extramedullar myelolipoma. Magy Seb. 70:74–77. 2017.PubMed/NCBI View Article : Google Scholar : (In Hungarian).

12 

Nalesnik MA, Martinez AJ and Heros RC: Intracranial lipoma with hematopoietic elements (myelolipoma): Report of a case with successful surgical resection. Cancer. 50:295–299. 1982.PubMed/NCBI View Article : Google Scholar

13 

Suri V, Sharma MC, Suri A, Karak AK, Garg A, Sarkar C and Jain D: Myelolipomatous change in an interhemispheric lipoma associated with corpus callosum agenesis: Case report. Neurosurgery. 62(E745)2008.PubMed/NCBI View Article : Google Scholar

14 

Noble MJ, Montague DK and Levin HS: Myelolipoma: An unusual surgical lesion of the adrenal gland. Cancer. 49:952–958. 1982.PubMed/NCBI View Article : Google Scholar

15 

Hasan M, Siddiqui F and Al-Ajmi M: FNA diagnosis of adrenal myelolipoma: A rare entity. Diagon Cytopathol. 36:925–926. 2008.PubMed/NCBI View Article : Google Scholar

16 

Cao J, Huang X, Cui N, Wang X, You C, Ni X, Gao X, Wang J and Liu T: Surgical management and outcome of Extra-adrenal myelolipomas at unusual locations: A report of 11 cases in a single center. J Bone Oncol. 35(100438)2022.PubMed/NCBI View Article : Google Scholar

17 

Yildiz BD: Giant: Giant Extra-adrenal retroperitoneal myelolipoma within cidentalgastric mesenchy maln eoplasias. Int Surg. 100:1018–1020. 2015.PubMed/NCBI View Article : Google Scholar

18 

Bishop E, Eble JN, Cheng L, Wang M, Chase DR, Orazi A and O'Malley DP: Adrenal myelolipomas show nonrandom X-chromosome inactivation in hematopoietic elements and fat: Support for a clonal origin of myelolipomas. Am J Surg Pathol. 30:838–843. 2006.PubMed/NCBI View Article : Google Scholar

19 

Chang KC, Chen PI, Huang ZH, Lin YM and Kuo PL: Adrenal myelolipoma with translocation (3;21) (q25; p11). Cancer Genet Cytogenet. 134:77–80. 2002.PubMed/NCBI View Article : Google Scholar

20 

Mete O, Erickson LA, Juhlin CC, de Krijger RR, Sasano H, Volante M and Papotti MG: Overview of the 2022 WHO classification of adrenal cortical tumors. Endocr Pathol. 33:155–196. 2022.PubMed/NCBI View Article : Google Scholar

21 

Bracci B, De Santis D, Del Gaudio A, Faugno MC, Romano A, Tarallo M, Zerunian M, Guido G, Polici M, Polidori T, et al: Adrenal lesions: Areview of imaging. Diagnostics (Basel). 12(2171)2022.PubMed/NCBI View Article : Google Scholar

22 

Itani M, Wasnik AP and Platt JF: Radiologic-pathologic correlation in extra-adrenal myelolipoma. Abdom Imaging. 39:394–397. 2014.PubMed/NCBI View Article : Google Scholar

23 

Huang RY, Bi WL, Griffith B, Kaufmann TJ, la Fougère C, Schmidt NO, Tonn JC, Vogelbaum MA, Wen PY, Aldape K, et al: Imaging and diagnostic advances for intracranial meningiomas. Neuro Oncol. 21 (Suppl 1):i44–i61. 2019.PubMed/NCBI View Article : Google Scholar

24 

Macdonald DR, Megyesi JF and Potvin KR: P13.06 Dural metastases from breast cancer-case series. Neuro Oncol. 18 (Suppl 4)(iv70)2016.

25 

Kiewe P, Fischer L, Martus P, Thiel E and Korfel A: Meningeal dissemination in primary CNS lymphoma: Diagnosis, treatment, and survival in a large monocenter cohort. Neuro Oncol. 12:409–417. 2010.PubMed/NCBI View Article : Google Scholar

26 

Łebek-Szatańska A, Nowak KM, Samsel R, Roszkowska-Purska K, Zgliczyński W and Papierska L: Adrenocortical carcinoma associated with giant bilateral myelolipomas in classic congenital adrenal hyperplasia. Pol Arch Intern Med. 129:549–550. 2019.PubMed/NCBI View Article : Google Scholar

Related Articles

  • Abstract
  • View
  • Download
  • Twitter
Copy and paste a formatted citation
Spandidos Publications style
Xu Z, Yang S, Tu Q, Han P, Wang L, Wang L, Tong M and Chen H: Clinical management of extra‑adrenal myelolipoma in the central nervous system: A case report. Exp Ther Med 28: 327, 2024.
APA
Xu, Z., Yang, S., Tu, Q., Han, P., Wang, L., Wang, L. ... Chen, H. (2024). Clinical management of extra‑adrenal myelolipoma in the central nervous system: A case report. Experimental and Therapeutic Medicine, 28, 327. https://doi.org/10.3892/etm.2024.12616
MLA
Xu, Z., Yang, S., Tu, Q., Han, P., Wang, L., Wang, L., Tong, M., Chen, H."Clinical management of extra‑adrenal myelolipoma in the central nervous system: A case report". Experimental and Therapeutic Medicine 28.2 (2024): 327.
Chicago
Xu, Z., Yang, S., Tu, Q., Han, P., Wang, L., Wang, L., Tong, M., Chen, H."Clinical management of extra‑adrenal myelolipoma in the central nervous system: A case report". Experimental and Therapeutic Medicine 28, no. 2 (2024): 327. https://doi.org/10.3892/etm.2024.12616
Copy and paste a formatted citation
x
Spandidos Publications style
Xu Z, Yang S, Tu Q, Han P, Wang L, Wang L, Tong M and Chen H: Clinical management of extra‑adrenal myelolipoma in the central nervous system: A case report. Exp Ther Med 28: 327, 2024.
APA
Xu, Z., Yang, S., Tu, Q., Han, P., Wang, L., Wang, L. ... Chen, H. (2024). Clinical management of extra‑adrenal myelolipoma in the central nervous system: A case report. Experimental and Therapeutic Medicine, 28, 327. https://doi.org/10.3892/etm.2024.12616
MLA
Xu, Z., Yang, S., Tu, Q., Han, P., Wang, L., Wang, L., Tong, M., Chen, H."Clinical management of extra‑adrenal myelolipoma in the central nervous system: A case report". Experimental and Therapeutic Medicine 28.2 (2024): 327.
Chicago
Xu, Z., Yang, S., Tu, Q., Han, P., Wang, L., Wang, L., Tong, M., Chen, H."Clinical management of extra‑adrenal myelolipoma in the central nervous system: A case report". Experimental and Therapeutic Medicine 28, no. 2 (2024): 327. https://doi.org/10.3892/etm.2024.12616
Follow us
  • Twitter
  • LinkedIn
  • Facebook
About
  • Spandidos Publications
  • Careers
  • Cookie Policy
  • Privacy Policy
How can we help?
  • Help
  • Live Chat
  • Contact
  • Email to our Support Team