Spandidos Publications Logo
  • About
    • About Spandidos
    • Aims and Scopes
    • Abstracting and Indexing
    • Editorial Policies
    • Reprints and Permissions
    • Job Opportunities
    • Terms and Conditions
    • Contact
  • Journals
    • All Journals
    • Oncology Letters
      • Oncology Letters
      • Information for Authors
      • Editorial Policies
      • Editorial Board
      • Aims and Scope
      • Abstracting and Indexing
      • Bibliographic Information
      • Archive
    • International Journal of Oncology
      • International Journal of Oncology
      • Information for Authors
      • Editorial Policies
      • Editorial Board
      • Aims and Scope
      • Abstracting and Indexing
      • Bibliographic Information
      • Archive
    • Molecular and Clinical Oncology
      • Molecular and Clinical Oncology
      • Information for Authors
      • Editorial Policies
      • Editorial Board
      • Aims and Scope
      • Abstracting and Indexing
      • Bibliographic Information
      • Archive
    • Experimental and Therapeutic Medicine
      • Experimental and Therapeutic Medicine
      • Information for Authors
      • Editorial Policies
      • Editorial Board
      • Aims and Scope
      • Abstracting and Indexing
      • Bibliographic Information
      • Archive
    • International Journal of Molecular Medicine
      • International Journal of Molecular Medicine
      • Information for Authors
      • Editorial Policies
      • Editorial Board
      • Aims and Scope
      • Abstracting and Indexing
      • Bibliographic Information
      • Archive
    • Biomedical Reports
      • Biomedical Reports
      • Information for Authors
      • Editorial Policies
      • Editorial Board
      • Aims and Scope
      • Abstracting and Indexing
      • Bibliographic Information
      • Archive
    • Oncology Reports
      • Oncology Reports
      • Information for Authors
      • Editorial Policies
      • Editorial Board
      • Aims and Scope
      • Abstracting and Indexing
      • Bibliographic Information
      • Archive
    • Molecular Medicine Reports
      • Molecular Medicine Reports
      • Information for Authors
      • Editorial Policies
      • Editorial Board
      • Aims and Scope
      • Abstracting and Indexing
      • Bibliographic Information
      • Archive
    • World Academy of Sciences Journal
      • World Academy of Sciences Journal
      • Information for Authors
      • Editorial Policies
      • Editorial Board
      • Aims and Scope
      • Abstracting and Indexing
      • Bibliographic Information
      • Archive
    • International Journal of Functional Nutrition
      • International Journal of Functional Nutrition
      • Information for Authors
      • Editorial Policies
      • Editorial Board
      • Aims and Scope
      • Abstracting and Indexing
      • Bibliographic Information
      • Archive
    • International Journal of Epigenetics
      • International Journal of Epigenetics
      • Information for Authors
      • Editorial Policies
      • Editorial Board
      • Aims and Scope
      • Abstracting and Indexing
      • Bibliographic Information
      • Archive
    • Medicine International
      • Medicine International
      • Information for Authors
      • Editorial Policies
      • Editorial Board
      • Aims and Scope
      • Abstracting and Indexing
      • Bibliographic Information
      • Archive
  • Articles
  • Information
    • Information for Authors
    • Information for Reviewers
    • Information for Librarians
    • Information for Advertisers
    • Conferences
  • Language Editing
Spandidos Publications Logo
  • About
    • About Spandidos
    • Aims and Scopes
    • Abstracting and Indexing
    • Editorial Policies
    • Reprints and Permissions
    • Job Opportunities
    • Terms and Conditions
    • Contact
  • Journals
    • All Journals
    • Biomedical Reports
      • Information for Authors
      • Editorial Policies
      • Editorial Board
      • Aims and Scope
      • Abstracting and Indexing
      • Bibliographic Information
      • Archive
    • Experimental and Therapeutic Medicine
      • Information for Authors
      • Editorial Policies
      • Editorial Board
      • Aims and Scope
      • Abstracting and Indexing
      • Bibliographic Information
      • Archive
    • International Journal of Epigenetics
      • Information for Authors
      • Editorial Policies
      • Editorial Board
      • Aims and Scope
      • Abstracting and Indexing
      • Bibliographic Information
      • Archive
    • International Journal of Functional Nutrition
      • Information for Authors
      • Editorial Policies
      • Editorial Board
      • Aims and Scope
      • Abstracting and Indexing
      • Bibliographic Information
      • Archive
    • International Journal of Molecular Medicine
      • Information for Authors
      • Editorial Policies
      • Editorial Board
      • Aims and Scope
      • Abstracting and Indexing
      • Bibliographic Information
      • Archive
    • International Journal of Oncology
      • Information for Authors
      • Editorial Policies
      • Editorial Board
      • Aims and Scope
      • Abstracting and Indexing
      • Bibliographic Information
      • Archive
    • Medicine International
      • Information for Authors
      • Editorial Policies
      • Editorial Board
      • Aims and Scope
      • Abstracting and Indexing
      • Bibliographic Information
      • Archive
    • Molecular and Clinical Oncology
      • Information for Authors
      • Editorial Policies
      • Editorial Board
      • Aims and Scope
      • Abstracting and Indexing
      • Bibliographic Information
      • Archive
    • Molecular Medicine Reports
      • Information for Authors
      • Editorial Policies
      • Editorial Board
      • Aims and Scope
      • Abstracting and Indexing
      • Bibliographic Information
      • Archive
    • Oncology Letters
      • Information for Authors
      • Editorial Policies
      • Editorial Board
      • Aims and Scope
      • Abstracting and Indexing
      • Bibliographic Information
      • Archive
    • Oncology Reports
      • Information for Authors
      • Editorial Policies
      • Editorial Board
      • Aims and Scope
      • Abstracting and Indexing
      • Bibliographic Information
      • Archive
    • World Academy of Sciences Journal
      • Information for Authors
      • Editorial Policies
      • Editorial Board
      • Aims and Scope
      • Abstracting and Indexing
      • Bibliographic Information
      • Archive
  • Articles
  • Information
    • For Authors
    • For Reviewers
    • For Librarians
    • For Advertisers
    • Conferences
  • Language Editing
Login Register Submit
  • This site uses cookies
  • You can change your cookie settings at any time by following the instructions in our Cookie Policy. To find out more, you may read our Privacy Policy.

    I agree
Search articles by DOI, keyword, author or affiliation
Search
Advanced Search
presentation
Experimental and Therapeutic Medicine
Join Editorial Board Propose a Special Issue
Print ISSN: 1792-0981 Online ISSN: 1792-1015
Journal Cover
December-2024 Volume 28 Issue 6

Full Size Image

Sign up for eToc alerts
Recommend to Library

Journals

International Journal of Molecular Medicine

International Journal of Molecular Medicine

International Journal of Molecular Medicine is an international journal devoted to molecular mechanisms of human disease.

International Journal of Oncology

International Journal of Oncology

International Journal of Oncology is an international journal devoted to oncology research and cancer treatment.

Molecular Medicine Reports

Molecular Medicine Reports

Covers molecular medicine topics such as pharmacology, pathology, genetics, neuroscience, infectious diseases, molecular cardiology, and molecular surgery.

Oncology Reports

Oncology Reports

Oncology Reports is an international journal devoted to fundamental and applied research in Oncology.

Experimental and Therapeutic Medicine

Experimental and Therapeutic Medicine

Experimental and Therapeutic Medicine is an international journal devoted to laboratory and clinical medicine.

Oncology Letters

Oncology Letters

Oncology Letters is an international journal devoted to Experimental and Clinical Oncology.

Biomedical Reports

Biomedical Reports

Explores a wide range of biological and medical fields, including pharmacology, genetics, microbiology, neuroscience, and molecular cardiology.

Molecular and Clinical Oncology

Molecular and Clinical Oncology

International journal addressing all aspects of oncology research, from tumorigenesis and oncogenes to chemotherapy and metastasis.

World Academy of Sciences Journal

World Academy of Sciences Journal

Multidisciplinary open-access journal spanning biochemistry, genetics, neuroscience, environmental health, and synthetic biology.

International Journal of Functional Nutrition

International Journal of Functional Nutrition

Open-access journal combining biochemistry, pharmacology, immunology, and genetics to advance health through functional nutrition.

International Journal of Epigenetics

International Journal of Epigenetics

Publishes open-access research on using epigenetics to advance understanding and treatment of human disease.

Medicine International

Medicine International

An International Open Access Journal Devoted to General Medicine.

Journal Cover
December-2024 Volume 28 Issue 6

Full Size Image

Sign up for eToc alerts
Recommend to Library

  • Article
  • Citations
    • Cite This Article
    • Download Citation
    • Create Citation Alert
    • Remove Citation Alert
    • Cited By
  • Similar Articles
    • Related Articles (in Spandidos Publications)
    • Similar Articles (Google Scholar)
    • Similar Articles (PubMed)
  • Download PDF
  • Download XML
  • View XML
Article Open Access

Identification of potential characteristic genes in chronic skin infections through RNA sequencing and immunohistochemical analysis

  • Authors:
    • Hongying Cao
    • Wei Xiong
    • Mei Zeng
    • Li Hu
    • Yan Xu
    • Wu Zhong
    • Yingchun Hu
  • View Affiliations / Copyright

    Affiliations: Department of Emergency Medicine, The Affiliated Hospital of Southwest Medical University, Luzhou, Sichuan 646000, P.R. China, Department of Emergency Medicine, Leshan People's Hospital, Leshan, Sichuan 614000, P.R. China, Department of Emergency Medicine, Sichuan Provincial Rehabilitation Hospital, Chengdu, Sichuan 611130, P.R. China
    Copyright: © Cao et al. This is an open access article distributed under the terms of Creative Commons Attribution License.
  • Article Number: 432
    |
    Published online on: September 18, 2024
       https://doi.org/10.3892/etm.2024.12721
  • Expand metrics +
Metrics: Total Views: 0 (Spandidos Publications: | PMC Statistics: )
Metrics: Total PDF Downloads: 0 (Spandidos Publications: | PMC Statistics: )
Cited By (CrossRef): 0 citations Loading Articles...

This article is mentioned in:



Abstract

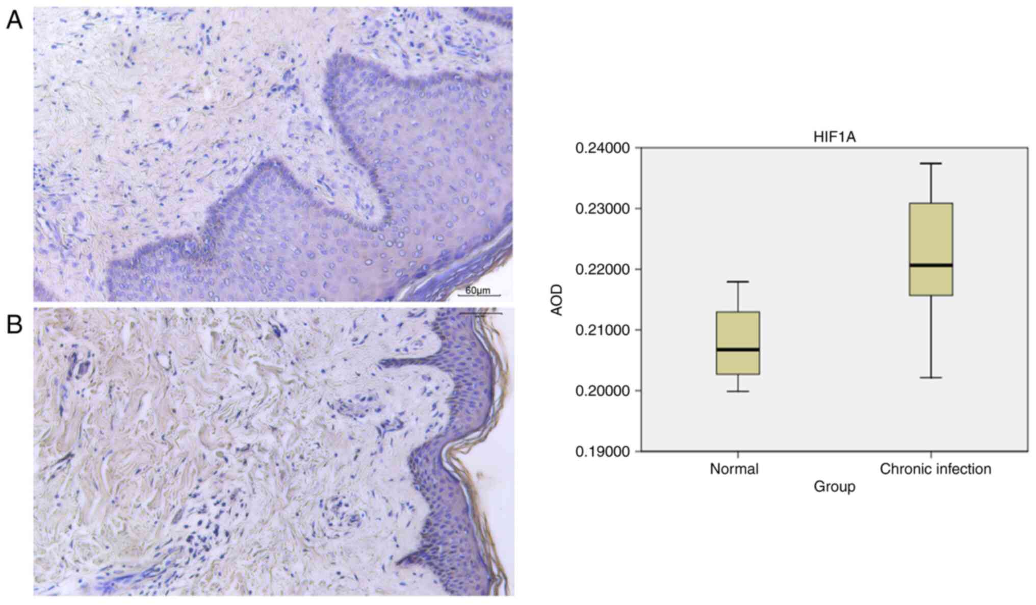
The objective of the present study was to perform RNA sequencing and immunohistochemical analysis on skin specimens obtained from healthy individuals and individuals afflicted with prolonged skin infections. Bioinformatics methodologies were used to scrutinize the RNA sequencing data with the intention of pinpointing distinctive gene signatures associated with chronic skin infections. Skin tissue samples were collected from 11 individuals (4 subjects healthy and 7 patients with chronic skin infections) at the Affiliated Hospital of Southwest Medical University (Luzhou, China). The iDEP tool identified differentially expressed genes (DEGs) with log2 (fold change) ≥2 and q‑value ≤0.01. Functional enrichment analysis using Gene Ontology and KEGG databases via the oebiotech online tool was then performed to determine the biological functions and pathways related to these DEGs. A protein‑protein interaction network of DEGs identified HIF1A as a potential key gene. Subsequent immunohistochemistry analyses were performed on the samples to assess any variations in HIF1A expression. A total of 900 DEGs, 365 upregulated and 535 downregulated, were observed between the normal and chronic infection groups. The identified DEGs were found to serve a role in various biological processes, including ‘hypoxia adaptation’, ‘angiogenesis’, ‘cell adhesion’ and ‘regulation of positive cell migration’. Additionally, these genes were revealed to be involved in the ‘TGF‑β’, ‘PI3K‑Akt’ and ‘IL‑17’ signaling pathways. HIF1A and nine other genes were identified as central nodes in the PPI network. HIF1A expression was higher in chronically infected skin samples than in healthy samples, indicating its potential as a novel research target.
View Figures

Figure 1

Figure 2

Figure 3

Figure 4

Figure 5

Figure 6

Figure 7

Figure 8

Figure 9

View References

1 

Jull AB, Cullum N, Dumville JC, Westby MJ, Deshpande S and Walker N: Honey as a topical treatment for wounds. Cochrane Database Syst Rev. 2015(CD005083)2015.PubMed/NCBI View Article : Google Scholar

2 

Wen Q, Liu D, Wang X, Zhang Y, Fang S, Qiu X and Chen Q: A systematic review of ozone therapy for treating chronically refractory wounds and ulcers. Int Wound J. 19:853–870. 2022.PubMed/NCBI View Article : Google Scholar

3 

Wenger RH, Stiehl DP and Camenisch G: Integration of oxygen signaling at the consensus HRE. Sci STKE. 2005(re12)2005.PubMed/NCBI View Article : Google Scholar

4 

Semenza GL: Oxygen-dependent regulation of mitochondrial respiration by hypoxia-inducible factor 1. Biochem J. 405:1–9. 2007.PubMed/NCBI View Article : Google Scholar

5 

Iyer NV, Kotch LE, Agani F, Leung SW, Laughner E, Wenger RH, Gassmann M, Gearhart JD, Lawler AM, Yu AY and Semenza GL: Cellular and developmental control of O2 homeostasis by hypoxia-inducible factor 1 alpha. Genes Dev. 12:149–162. 1998.PubMed/NCBI View Article : Google Scholar

6 

Hrdlickova R, Toloue M and Tian B: RNA-Seq methods for transcriptome analysis. Wiley Interdiscip Rev RNA. 8(10.1002/wrna.1364)2017.PubMed/NCBI View Article : Google Scholar

7 

Shi H, Zhou Y, Jia E, Pan M, Bai Y and Ge Q: Bias in RNA-seq library preparation: Current challenges and solutions. Biomed Res Int. 2021(6647597)2021.PubMed/NCBI View Article : Google Scholar

8 

Andrews TS, Kiselev VY, McCarthy D and Hemberg M: Tutorial: Guidelines for the computational analysis of single-cell RNA sequencing data. Nat Protoc. 16:1–9. 2021.PubMed/NCBI View Article : Google Scholar

9 

Lafzi A, Moutinho C, Picelli S and Heyn H: Tutorial: Guidelines for the experimental design of single-cell RNA sequencing studies. Nat Protoc. 13:2742–2757. 2018.PubMed/NCBI View Article : Google Scholar

10 

Ge SX, Son EW and Yao R: iDEP: An integrated web application for differential expression and pathway analysis of RNA-Seq data. BMC Bioinformatics. 19(534)2018.PubMed/NCBI View Article : Google Scholar

11 

Robinson MD, McCarthy DJ and Smyth GK: edgeR: A Bioconductor package for differential expression analysis of digital gene expression data. Bioinformatics. 26:139–140. 2010.PubMed/NCBI View Article : Google Scholar

12 

Love MI, Huber W and Anders S: Moderated estimation of fold change and dispersion for RNA-seq data with DESeq2. Genome Biol. 15(550)2014.PubMed/NCBI View Article : Google Scholar

13 

Ge SX, Jung D and Yao R: ShinyGO: A graphical gene-set enrichment tool for animals and plants. Bioinformatics. 36:2628–2629. 2020.PubMed/NCBI View Article : Google Scholar

14 

Ge X: iDEP Web application for RNA-Seq data analysis. Methods Mol Biol. 2284:417–443. 2021.PubMed/NCBI View Article : Google Scholar

15 

Szklarczyk D, Gable AL, Nastou KC, Lyon D, Kirsch R, Pyysalo S, Doncheva NT, Legeay M, Fang T, Bork P, et al: Correction to ‘The STRING database in 2021: Customizable protein-protein networks, and functional characterization of user-uploaded gene/measurement sets’. Nucleic Acids Res. 49(10800)2021.PubMed/NCBI View Article : Google Scholar

16 

Martin P: Wound healing-aiming for perfect skin regeneration. Science. 276:75–81. 1997.PubMed/NCBI View Article : Google Scholar

17 

Tandara AA and Mustoe TA: Oxygen in wound healing-more than a nutrient. World J Surg. 28:294–300. 2004.PubMed/NCBI View Article : Google Scholar

18 

Fong GH: Mechanisms of adaptive angiogenesis to tissue hypoxia. Angiogenesis. 11:121–140. 2008.PubMed/NCBI View Article : Google Scholar

19 

Cash TP, Pan Y and Simon MC: Reactive oxygen species and cellular oxygen sensing. Free Radic Biol Med. 43:1219–1225. 2007.PubMed/NCBI View Article : Google Scholar

20 

Pawar KB, Desai S, Bhonde RR, Bhole RP and Deshmukh AA: Wound with diabetes: Present scenario and future. Curr Diabetes Rev. 17:136–142. 2021.PubMed/NCBI View Article : Google Scholar

21 

Salazar JJ, Ennis WJ and Koh TJ: Diabetes medications: Impact on inflammation and wound healing. J Diabetes Complications. 30:746–752. 2016.PubMed/NCBI View Article : Google Scholar

22 

Thangarajah H, Yao D, Chang EI, Shi Y, Jazayeri L, Vial IN, Galiano RD, Du XL, Grogan R, Galvez MG, et al: The molecular basis for impaired hypoxia-induced VEGF expression in diabetic tissues. Proc Natl Acad Sci USA. 106:13505–13510. 2009.PubMed/NCBI View Article : Google Scholar

23 

Wang X, Li R and Zhao H: Enhancing angiogenesis: Innovative drug delivery systems to facilitate diabetic wound healing. Biomed Pharmacother. 170(116035)2024.PubMed/NCBI View Article : Google Scholar

24 

Fridoni M, Kouhkheil R, Abdollhifar MA, Amini A, Ghatrehsamani M, Ghoreishi SK, Chien S, Bayat S and Bayat M: Improvement in infected wound healing in type 1 diabetic rat by the synergistic effect of photobiomodulation therapy and conditioned medium. J Cell Biochem. 120:9906–9916. 2019.PubMed/NCBI View Article : Google Scholar

25 

Guo J, Hu Z, Yan F, Lei S, Li T, Li X, Xu C, Sun B, Pan C and Chen L: Angelica dahurica promoted angiogenesis and accelerated wound healing in db/db mice via the HIF-1α/PDGF-β signaling pathway. Free Radic Biol Med. 160:447–457. 2020.PubMed/NCBI View Article : Google Scholar

26 

Jiang W, Zhang J, Zhang X, Fan C and Huang J: VAP-PLGA microspheres (VAP-PLGA) promote adipose-derived stem cells (ADSCs)-induced wound healing in chronic skin ulcers in mice via PI3K/Akt/HIF-1α pathway. Bioengineered. 12:10264–10284. 2021.PubMed/NCBI View Article : Google Scholar

27 

Liu W, Yuan Y and Liu D: Extracellular vesicles from adipose-derived stem cells promote diabetic wound healing via the PI3K-AKT-mTOR-HIF-1α signaling pathway. Tissue Eng Regen Med. 18:1035–1044. 2021.PubMed/NCBI View Article : Google Scholar

28 

Veith AP, Henderson K, Spencer A, Sligar AD and Baker AB: Therapeutic strategies for enhancing angiogenesis in wound healing. Adv Drug Deliv Rev. 146:97–125. 2019.PubMed/NCBI View Article : Google Scholar

29 

Aoki M and Fujishita T: Oncogenic roles of the PI3K/AKT/mTOR axis. Curr Top Microbiol Immunol. 407:153–189. 2017.PubMed/NCBI View Article : Google Scholar

30 

Han J, Huang C, Jiang J and Jiang D: Activation of autophagy during farnesyl pyrophosphate synthase inhibition is mediated through PI3K/AKT/mTOR signaling. J Int Med Res. 48(300060519875371)2020.PubMed/NCBI View Article : Google Scholar

31 

Rai SN, Dilnashin H, Birla H, Singh SS, Zahra W, Rathore AS, Singh BK and Singh SP: The role of PI3K/Akt and ERK in neurodegenerative disorders. Neurotox Res. 35:775–795. 2019.PubMed/NCBI View Article : Google Scholar

32 

Zubair M and Ahmad J: Role of growth factors and cytokines in diabetic foot ulcer healing: A detailed review. Rev Endocr Metab Disord. 20:207–217. 2019.PubMed/NCBI View Article : Google Scholar

33 

Zhu Y, Wang Y, Jia Y, Xu J and Chai Y: Roxadustat promotes angiogenesis through HIF-1α/VEGF/VEGFR2 signaling and accelerates cutaneous wound healing in diabetic rats. Wound Repair Regen. 27:324–334. 2019.PubMed/NCBI View Article : Google Scholar

34 

Hart PH and Norval M: Ultraviolet radiation-induced immunosuppression and its relevance for skin carcinogenesis. Photochem Photobiol Sci. 17:1872–1884. 2018.PubMed/NCBI View Article : Google Scholar

35 

Amin KN, Umapathy D, Anandharaj A, Ravichandran J, Sasikumar CS, Chandra SKR, Kesavan R and Mohanram RK: miR-23c regulates wound healing by targeting stromal cell-derived factor-1α (SDF-1α/CXCL12) among patients with diabetic foot ulcer. Microvas Res. 127(103924)2020.PubMed/NCBI View Article : Google Scholar

36 

Wang Y, Zhu J, Chen J, Xu R, Groth T, Wan H and Zhou G: The signaling pathways induced by exosomes in promoting diabetic wound healing: A mini-review. Curr Issues Mol Biol. 44:4960–4976. 2022.PubMed/NCBI View Article : Google Scholar

Related Articles

  • Abstract
  • View
  • Download
  • Twitter
Copy and paste a formatted citation
Spandidos Publications style
Cao H, Xiong W, Zeng M, Hu L, Xu Y, Zhong W and Hu Y: Identification of potential characteristic genes in chronic skin infections through RNA sequencing and immunohistochemical analysis. Exp Ther Med 28: 432, 2024.
APA
Cao, H., Xiong, W., Zeng, M., Hu, L., Xu, Y., Zhong, W., & Hu, Y. (2024). Identification of potential characteristic genes in chronic skin infections through RNA sequencing and immunohistochemical analysis. Experimental and Therapeutic Medicine, 28, 432. https://doi.org/10.3892/etm.2024.12721
MLA
Cao, H., Xiong, W., Zeng, M., Hu, L., Xu, Y., Zhong, W., Hu, Y."Identification of potential characteristic genes in chronic skin infections through RNA sequencing and immunohistochemical analysis". Experimental and Therapeutic Medicine 28.6 (2024): 432.
Chicago
Cao, H., Xiong, W., Zeng, M., Hu, L., Xu, Y., Zhong, W., Hu, Y."Identification of potential characteristic genes in chronic skin infections through RNA sequencing and immunohistochemical analysis". Experimental and Therapeutic Medicine 28, no. 6 (2024): 432. https://doi.org/10.3892/etm.2024.12721
Copy and paste a formatted citation
x
Spandidos Publications style
Cao H, Xiong W, Zeng M, Hu L, Xu Y, Zhong W and Hu Y: Identification of potential characteristic genes in chronic skin infections through RNA sequencing and immunohistochemical analysis. Exp Ther Med 28: 432, 2024.
APA
Cao, H., Xiong, W., Zeng, M., Hu, L., Xu, Y., Zhong, W., & Hu, Y. (2024). Identification of potential characteristic genes in chronic skin infections through RNA sequencing and immunohistochemical analysis. Experimental and Therapeutic Medicine, 28, 432. https://doi.org/10.3892/etm.2024.12721
MLA
Cao, H., Xiong, W., Zeng, M., Hu, L., Xu, Y., Zhong, W., Hu, Y."Identification of potential characteristic genes in chronic skin infections through RNA sequencing and immunohistochemical analysis". Experimental and Therapeutic Medicine 28.6 (2024): 432.
Chicago
Cao, H., Xiong, W., Zeng, M., Hu, L., Xu, Y., Zhong, W., Hu, Y."Identification of potential characteristic genes in chronic skin infections through RNA sequencing and immunohistochemical analysis". Experimental and Therapeutic Medicine 28, no. 6 (2024): 432. https://doi.org/10.3892/etm.2024.12721
Follow us
  • Twitter
  • LinkedIn
  • Facebook
About
  • Spandidos Publications
  • Careers
  • Cookie Policy
  • Privacy Policy
How can we help?
  • Help
  • Live Chat
  • Contact
  • Email to our Support Team