Spandidos Publications Logo
  • About
    • About Spandidos
    • Aims and Scopes
    • Abstracting and Indexing
    • Editorial Policies
    • Reprints and Permissions
    • Job Opportunities
    • Terms and Conditions
    • Contact
  • Journals
    • All Journals
    • Oncology Letters
      • Oncology Letters
      • Information for Authors
      • Editorial Policies
      • Editorial Board
      • Aims and Scope
      • Abstracting and Indexing
      • Bibliographic Information
      • Archive
    • International Journal of Oncology
      • International Journal of Oncology
      • Information for Authors
      • Editorial Policies
      • Editorial Board
      • Aims and Scope
      • Abstracting and Indexing
      • Bibliographic Information
      • Archive
    • Molecular and Clinical Oncology
      • Molecular and Clinical Oncology
      • Information for Authors
      • Editorial Policies
      • Editorial Board
      • Aims and Scope
      • Abstracting and Indexing
      • Bibliographic Information
      • Archive
    • Experimental and Therapeutic Medicine
      • Experimental and Therapeutic Medicine
      • Information for Authors
      • Editorial Policies
      • Editorial Board
      • Aims and Scope
      • Abstracting and Indexing
      • Bibliographic Information
      • Archive
    • International Journal of Molecular Medicine
      • International Journal of Molecular Medicine
      • Information for Authors
      • Editorial Policies
      • Editorial Board
      • Aims and Scope
      • Abstracting and Indexing
      • Bibliographic Information
      • Archive
    • Biomedical Reports
      • Biomedical Reports
      • Information for Authors
      • Editorial Policies
      • Editorial Board
      • Aims and Scope
      • Abstracting and Indexing
      • Bibliographic Information
      • Archive
    • Oncology Reports
      • Oncology Reports
      • Information for Authors
      • Editorial Policies
      • Editorial Board
      • Aims and Scope
      • Abstracting and Indexing
      • Bibliographic Information
      • Archive
    • Molecular Medicine Reports
      • Molecular Medicine Reports
      • Information for Authors
      • Editorial Policies
      • Editorial Board
      • Aims and Scope
      • Abstracting and Indexing
      • Bibliographic Information
      • Archive
    • World Academy of Sciences Journal
      • World Academy of Sciences Journal
      • Information for Authors
      • Editorial Policies
      • Editorial Board
      • Aims and Scope
      • Abstracting and Indexing
      • Bibliographic Information
      • Archive
    • International Journal of Functional Nutrition
      • International Journal of Functional Nutrition
      • Information for Authors
      • Editorial Policies
      • Editorial Board
      • Aims and Scope
      • Abstracting and Indexing
      • Bibliographic Information
      • Archive
    • International Journal of Epigenetics
      • International Journal of Epigenetics
      • Information for Authors
      • Editorial Policies
      • Editorial Board
      • Aims and Scope
      • Abstracting and Indexing
      • Bibliographic Information
      • Archive
    • Medicine International
      • Medicine International
      • Information for Authors
      • Editorial Policies
      • Editorial Board
      • Aims and Scope
      • Abstracting and Indexing
      • Bibliographic Information
      • Archive
  • Articles
  • Information
    • Information for Authors
    • Information for Reviewers
    • Information for Librarians
    • Information for Advertisers
    • Conferences
  • Language Editing
Spandidos Publications Logo
  • About
    • About Spandidos
    • Aims and Scopes
    • Abstracting and Indexing
    • Editorial Policies
    • Reprints and Permissions
    • Job Opportunities
    • Terms and Conditions
    • Contact
  • Journals
    • All Journals
    • Biomedical Reports
      • Information for Authors
      • Editorial Policies
      • Editorial Board
      • Aims and Scope
      • Abstracting and Indexing
      • Bibliographic Information
      • Archive
    • Experimental and Therapeutic Medicine
      • Information for Authors
      • Editorial Policies
      • Editorial Board
      • Aims and Scope
      • Abstracting and Indexing
      • Bibliographic Information
      • Archive
    • International Journal of Epigenetics
      • Information for Authors
      • Editorial Policies
      • Editorial Board
      • Aims and Scope
      • Abstracting and Indexing
      • Bibliographic Information
      • Archive
    • International Journal of Functional Nutrition
      • Information for Authors
      • Editorial Policies
      • Editorial Board
      • Aims and Scope
      • Abstracting and Indexing
      • Bibliographic Information
      • Archive
    • International Journal of Molecular Medicine
      • Information for Authors
      • Editorial Policies
      • Editorial Board
      • Aims and Scope
      • Abstracting and Indexing
      • Bibliographic Information
      • Archive
    • International Journal of Oncology
      • Information for Authors
      • Editorial Policies
      • Editorial Board
      • Aims and Scope
      • Abstracting and Indexing
      • Bibliographic Information
      • Archive
    • Medicine International
      • Information for Authors
      • Editorial Policies
      • Editorial Board
      • Aims and Scope
      • Abstracting and Indexing
      • Bibliographic Information
      • Archive
    • Molecular and Clinical Oncology
      • Information for Authors
      • Editorial Policies
      • Editorial Board
      • Aims and Scope
      • Abstracting and Indexing
      • Bibliographic Information
      • Archive
    • Molecular Medicine Reports
      • Information for Authors
      • Editorial Policies
      • Editorial Board
      • Aims and Scope
      • Abstracting and Indexing
      • Bibliographic Information
      • Archive
    • Oncology Letters
      • Information for Authors
      • Editorial Policies
      • Editorial Board
      • Aims and Scope
      • Abstracting and Indexing
      • Bibliographic Information
      • Archive
    • Oncology Reports
      • Information for Authors
      • Editorial Policies
      • Editorial Board
      • Aims and Scope
      • Abstracting and Indexing
      • Bibliographic Information
      • Archive
    • World Academy of Sciences Journal
      • Information for Authors
      • Editorial Policies
      • Editorial Board
      • Aims and Scope
      • Abstracting and Indexing
      • Bibliographic Information
      • Archive
  • Articles
  • Information
    • For Authors
    • For Reviewers
    • For Librarians
    • For Advertisers
    • Conferences
  • Language Editing
Login Register Submit
  • This site uses cookies
  • You can change your cookie settings at any time by following the instructions in our Cookie Policy. To find out more, you may read our Privacy Policy.

    I agree
Search articles by DOI, keyword, author or affiliation
Search
Advanced Search
presentation
International Journal of Functional Nutrition
Join Editorial Board Propose a Special Issue
Print ISSN: 2634-7989 Online ISSN: 2634-7237
Journal Cover
November-December 2020 Volume 1 Issue 2

Full Size Image

Sign up for eToc alerts
Recommend to Library

Journals

International Journal of Molecular Medicine

International Journal of Molecular Medicine

International Journal of Molecular Medicine is an international journal devoted to molecular mechanisms of human disease.

International Journal of Oncology

International Journal of Oncology

International Journal of Oncology is an international journal devoted to oncology research and cancer treatment.

Molecular Medicine Reports

Molecular Medicine Reports

Covers molecular medicine topics such as pharmacology, pathology, genetics, neuroscience, infectious diseases, molecular cardiology, and molecular surgery.

Oncology Reports

Oncology Reports

Oncology Reports is an international journal devoted to fundamental and applied research in Oncology.

Experimental and Therapeutic Medicine

Experimental and Therapeutic Medicine

Experimental and Therapeutic Medicine is an international journal devoted to laboratory and clinical medicine.

Oncology Letters

Oncology Letters

Oncology Letters is an international journal devoted to Experimental and Clinical Oncology.

Biomedical Reports

Biomedical Reports

Explores a wide range of biological and medical fields, including pharmacology, genetics, microbiology, neuroscience, and molecular cardiology.

Molecular and Clinical Oncology

Molecular and Clinical Oncology

International journal addressing all aspects of oncology research, from tumorigenesis and oncogenes to chemotherapy and metastasis.

World Academy of Sciences Journal

World Academy of Sciences Journal

Multidisciplinary open-access journal spanning biochemistry, genetics, neuroscience, environmental health, and synthetic biology.

International Journal of Functional Nutrition

International Journal of Functional Nutrition

Open-access journal combining biochemistry, pharmacology, immunology, and genetics to advance health through functional nutrition.

International Journal of Epigenetics

International Journal of Epigenetics

Publishes open-access research on using epigenetics to advance understanding and treatment of human disease.

Medicine International

Medicine International

An International Open Access Journal Devoted to General Medicine.

Journal Cover
November-December 2020 Volume 1 Issue 2

Full Size Image

Sign up for eToc alerts
Recommend to Library

  • Article
  • Citations
    • Cite This Article
    • Download Citation
    • Create Citation Alert
    • Remove Citation Alert
    • Cited By
  • Similar Articles
    • Related Articles (in Spandidos Publications)
    • Similar Articles (Google Scholar)
    • Similar Articles (PubMed)
  • Download PDF
  • Download XML
  • View XML
Article Open Access

Dietary effect of mead acid on DMBA‑induced breast cancer in female Sprague‑Dawley rats

  • Authors:
    • Yuichi Kinoshita
    • Masahiro Yoshioka
    • Yuko Emoto
    • Takashi  Yuri
    • Michiko Yuki
    • Chihiro  Koyama
    • Akiko Takenouchi
    • Kei  Hamazaki
    • Airo Tsubura
    • Katsuhiko Yoshizawa
  • View Affiliations / Copyright

    Affiliations: Division of Central Laboratory of Medicine and Pathology, Wakayama Medical University Hospital, Wakayama 641‑8510, Japan, Department of Nutrition, Koshien University, Takarazuka, Hyogo 665‑0006, Japan, Ethics Review Center, Kansai Medical University, Hirakata, Osaka 573‑1010, Japan, Department of Pathology, Hyogo College of Medicine, Nishinomiya, Hyogo 663‑8501, Japan, Department of Innovative Food Sciences, School of Food Sciences and Nutrition, Mukogawa Women's University, Nishinomiya, Hyogo 663‑8558, Japan, Department of Public Health, Faculty of Medicine, University of Toyama, Toyama 930‑0194, Japan, Department of Pathology, Osaka Prefectural Saiseikai Izuo Hospital, Osaka 551‑0032, Japan
    Copyright: © Kinoshita et al. This is an open access article distributed under the terms of Creative Commons Attribution License.
  • Article Number: 7
    |
    Published online on: September 2, 2020
       https://doi.org/10.3892/ijfn.2020.7
  • Expand metrics +
Metrics: Total Views: 0 (Spandidos Publications: | PMC Statistics: )
Metrics: Total PDF Downloads: 0 (Spandidos Publications: | PMC Statistics: )
Cited By (CrossRef): 0 citations Loading Articles...

This article is mentioned in:



Abstract

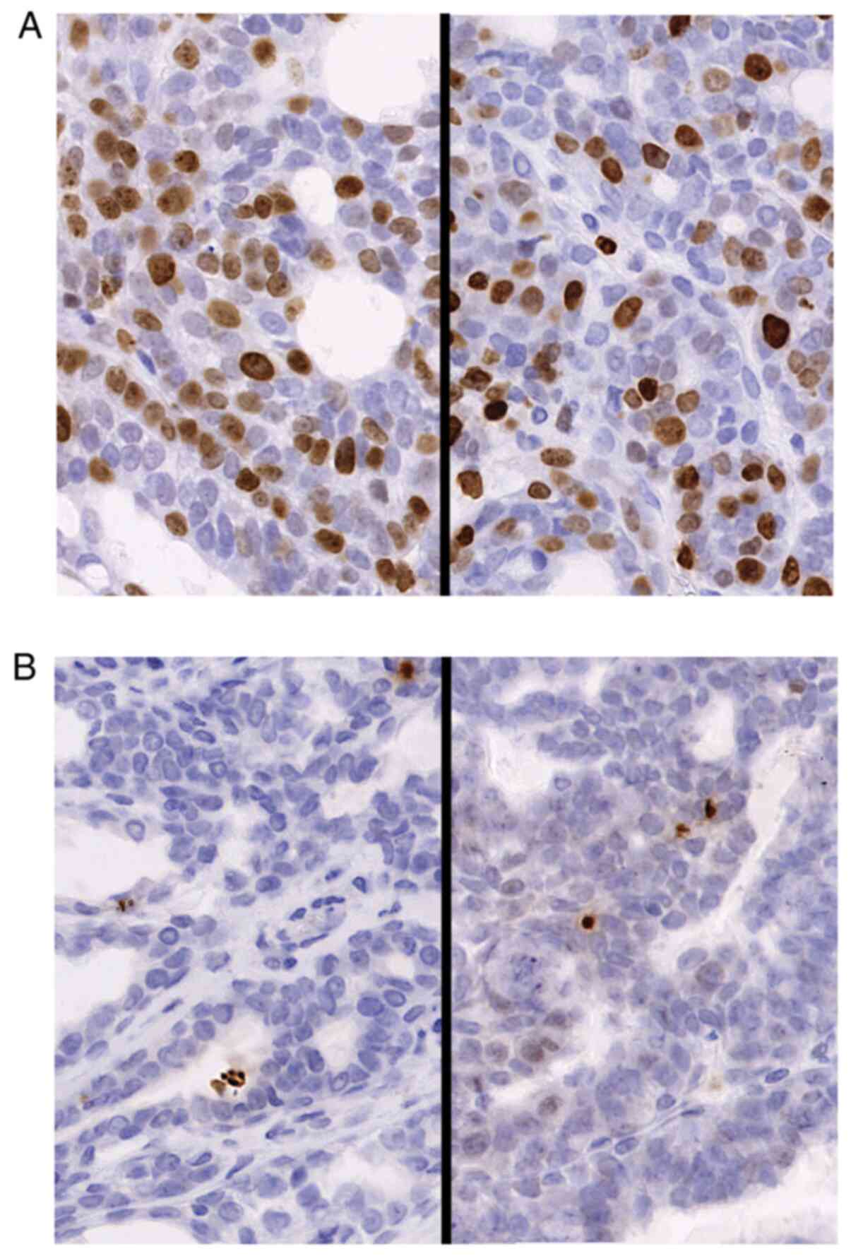
In the present study, the dietary effects of mead acid (MA; 5,8,11‑eicosatrienoic acid) on 7,12‑dimethylbenz[a]anthracene (DMBA)‑induced breast cancer in female Sprague‑Dawley rats were examined. The 2.4 and 4.8% MA diets were commenced when the rats were 6 weeks of age. DMBA was administered by a single oral ingestion when the rats were 7 weeks of age, and the rats were maintained on the respective diets until 19 weeks of age. Tumor weight, histopathology, cell kinetics, and the fatty acid composition in breast tissue and serum were examined. In the control (CTR) group, the DMBA‑exposed rats were fed a basal diet (0% MA). The results revealed that there were no significant differences in tumor incidence, cell kinetics and in the N‑6/N‑3 ratio in breast tissue between the groups. Only the N‑6/N‑3 ratio of fatty acid composition in serum was significantly decreased in the 2.4% MA diet group. In previous studies, the 2.4% MA diet was shown to suppress N‑methyl‑N‑nitrosourea‑induced luminal A mammary cancer by decreasing cancer cell proliferation. The findings of the present study differ from those of previous studies with different breast cancer models. To further clarify the effects of MA against breast carcinogenesis, further investigations with different experimental breast cancer models are recommended.
View Figures

Figure 1

Figure 2

Figure 3

Figure 4

Figure 5

Figure 6

View References

1 

Colditz G and Chia KS: Invasive breast carcinoma: Introduction and general features. In: World Health Organization, Pathology & Genetics. Tumours of the Breast. Lakhani SR, Ellis IO, Schnitt ST, Tan PH and van de Vijver MC (eds). IARC Press, Lyon, pp14-31, 2012.

2 

Adami HO, Signorello LB and Trichopulos D: Towards an understanding of breast cancer etiology. Semin Cancer Biol. 8:225–262. 1998.PubMed/NCBI View Article : Google Scholar

3 

Freedman LS, Kipnis V, Schatzkin A and Potischman N: Methods of epidemiology: Evaluating the fat-breast cancer hypothesis-comparing dietary instruments and other developments. Cancer. 14:69–74. 2002.

4 

Senzaki H, Tsubura A and Takada H: Effect of eicosapentaenoic acid on the suppression of growth and metastasis of human breast cancer cells in vivo and in vitro. World Rev Nutr Diet. 88:117–125. 2001.PubMed/NCBI View Article : Google Scholar

5 

Yamamoto D, Kiyozuka Y, Adachi Y, Takada H, Hiroki K and Tsubura A: Synergistic action of apoptosis induced by eicosapentaenoic acid and TNP-470 on human breast cancer cells. Breast Cancer Res Treat. 55:149–169. 1999.PubMed/NCBI View Article : Google Scholar

6 

VanderSluis L, Mazurak VC, Damaraju S and Field CJ: Determination of relative efficacy of eicosapentaenoic acid and docosahexaenoic acid for anti-cancer effects in human breast cancer models. Int J Mol Sci. 18(2607)2017.PubMed/NCBI View Article : Google Scholar

7 

Senzaki H, Iwamoto S, Ogura E, Kiyozuka Y, Arita S, Kurebayashi J, Takada H, Hiroki K and Tubura A: Dietary effects of fatty acids on growth and metastasis of KPL-1 human breast cancer cells in vivo and in vitro. Anticancer Res. 18:1621–1627. 1998.PubMed/NCBI

8 

Chung NW, Wu CT, Chen DR, Yeh CY and Lin C: Hight levels of arachidonic acid and peroxisome proliferator-activated receptor-alpha in breast cancer tissues and associated with promoting cancer cell proliferation. J Nutr Biochem. 24:274–281. 2013.PubMed/NCBI View Article : Google Scholar

9 

Mead JF and Slaton WH Jr: Metabolism of essential fatty acids. III. Isolation of 5,8,11-eicosatrienoic acid from fat-deficient rats. J Biol Chem. 219:705–709. 1956.PubMed/NCBI

10 

Fulco AJ and Mead JF: Metabolism of essential fatty acids VIII. Origin of 5,8,11-eicosatrienoic acid in the fat-deficient rat. J Biol Chem. 234:1411–1416. 1959.PubMed/NCBI

11 

Ichi I, Kono N, Arita Y, Haga S, Arisawa K, Yamano M, Nagase M, Fujiwara Y and Arai H: Identification of genes and pathways involved in the synthesis of Mead acid (20:3 n-9), an indicator of essential fatty acid deficiency. Biochim Biophys Acta. 1841:204–213. 2014.PubMed/NCBI View Article : Google Scholar

12 

Kinoshita Y, Yoshizawa K, Hamazaki K, Emoto Y, Yuri T, Yuki M, Shikata N, Kawashima H and Tsubura A: Mead acid inhibits the growth of KPL-1 human breast cancer cells in vitro and in vivo. Oncol Rep. 32:1385–1394. 2014.PubMed/NCBI View Article : Google Scholar

13 

Kinoshita Y, Yoshizawa K, Hamazaki K, Emoto Y, Yuri T, Yuki M, Kawashima H, Shikata N and Tsubura A: Dietary effects of mead acid on N-methyl-N-nitrosourea-induced mammary cancers in female Sprague-Dawly rats. Biomed Rep. 4:33–39. 2016.PubMed/NCBI View Article : Google Scholar

14 

Heyd VL and Eynard AR: Effects of eicosatrienoic acid (20:3 n-9, Mead's acid) on some premalignant-related properties of three human cancer cell lines. Prostaglandins Other Lipid Mediat. 71:177–188. 2003.PubMed/NCBI View Article : Google Scholar

15 

Tsubura A, Izuno Y, Shoji T, Kusunose N and Morii S: Influence of strain and sex on the local development of mammary tumors induced by direct application of DMBA powder to rat mammary glands. Acta Pathol Jpn. 40:9–13. 1990.PubMed/NCBI View Article : Google Scholar

16 

Sakuradani E, Kameda N, Hirano Y, Nishihara M, Kawsashima H, Akimoto K, Higashiyama K, Ogawa J and Shimizu S: Production of 5,8,11-eicosatrienoic acid by a delta5 and delta6 desaturation activity-enhanced mutant derived from a delta12 desaturation activity-defective mutant of Mortierella alpine 1S-4. Appl Microbiol Biotecnol. 60:281–287. 2002.PubMed/NCBI View Article : Google Scholar

17 

Kawamura I, Mizota T, Kondo N, Shimomura K and Kohsaka M: Antitumor effects of droloxifene, a new antiestrogen drug, against 7,12-dimethylbenz (a) anthracence-induced mammary tumor in rats. Japan J Pharmacol. 57:215–224. 1991.PubMed/NCBI View Article : Google Scholar

18 

Kanematsu S, Yoshida K, Uehara N, Miki H, Sasaki T, Kuro M, Lai YC, Kimura A, Yuri T and Tsubura A: Sulforaphane inhibits the growth of KPL-1 human breast cancer cells in vitro and suppress the growth and metastasis of orthotopically transplanted KPL-1 cells in female athymic mice. Oncol Rep. 26:603–608. 2011.PubMed/NCBI View Article : Google Scholar

19 

Rodon CE, Weyemi U, Parekh PR, Huang D, Burrell AS and Bonner WH: γH2A.X and other histone post-translational modifications in the clinic. Biochim Biophys Acta. 1819:743–756. 2012.PubMed/NCBI View Article : Google Scholar

20 

Bligh EG and Dyer WJ: A rapid method of total lipid extraction and purification. Can J Biochem Physiol. 3:911–917. 1959.PubMed/NCBI View Article : Google Scholar

21 

Bruzzi P, Green SB, Byar DP, Brinton LA and Schairer C: Estimating the population attributable risk for multiple risk factors using case-control data. Am J Epidemiol. 122:904–914. 1985.PubMed/NCBI View Article : Google Scholar

22 

Lo JJ, Park YM, Sinha R and Sandler DP: Association between meet consumption and risk of breast cancer: Findings from the Sister Study. Int J Cancer. 146:2156–2165. 2020.PubMed/NCBI View Article : Google Scholar

23 

Fiolet T, Srour B, Sellem L, Kesse-Guyot E, Allès B, Mèjean C, Deschasaux M, Fassier P, Latino-Martel P, Beslay M, et al: Consumption of ultra-processed foods and cancer risk: Results from NutriNet-Sanè prospective cohort. BMJ. 360(k322)2018.PubMed/NCBI View Article : Google Scholar

24 

Chen P, Hu P, Xie D, Wang F and Wang H: Meta-analysis of vitamin D, calcium and the prevention of breast cancer. Breast Cancer Res Treat. 121:469–477. 2010.PubMed/NCBI View Article : Google Scholar

25 

Moorehead RA: Rodent models assessing mammary tumor prevention by soy or soy isofravones. Genes (Basel). 10(566)2019.PubMed/NCBI View Article : Google Scholar

26 

Hamazaki T, Nagasawa Y, Hamazaki K and Itomura M: Inhibitory effect of 5,8,11-eicosatorienoic acid on angiogenesis. Prostaglandins Leukot Essent Fatty Acids. 86:221–224. 2012.PubMed/NCBI View Article : Google Scholar

27 

Eynard AR, Jiang WG and Mansel RE: Eicosatrienoic acid (20:3 n-9) inhibits the expression of E-cadherin and desmoglein in human squamous cell carcinoma in vitro. Prostaglandins Leukot Essent Fatty Acids. 59:371–377. 1998.PubMed/NCBI View Article : Google Scholar

28 

Tsubura A, Yoshizawa K and Sasaki T: Methylnitrosourea. In Waxler P (Ed.), Encyclopedia of Toxicology, 3rd edition. Elsevier Inc., Academic press vol. 3, pp. 321-323, 2014.

29 

Watabe T, Ishizuka T, Isobe M and Ozawa N: A 7-hydoroxymethyl sulfate ester as an active metabolite of 7, 12-dimethyl[alpha]anthracene. Science. 215:403–405. 1982.PubMed/NCBI View Article : Google Scholar

30 

Lee HJ, Lee YJ, Kang CM, Bae S, Jeoung D, Jang JJ, Lee SS, Cho CK and Lee YS: Differential gene signatures in rat mammary tumors induced by DMBA and those induced by tractionated gamma radiation. Radiat Res. 170:579–590. 2008.PubMed/NCBI View Article : Google Scholar

31 

Okuyama H, Kobayashi T and Watanabe S: Dietary fatty acids-the N-6/N-3 balance and chronic elderly diseases. Excess the linoleic acid and relative N-3 deficiency syndrome seen in Japan. Prog Lipid Res. 35:409–457. 1996.PubMed/NCBI View Article : Google Scholar

Related Articles

  • Abstract
  • View
  • Download
Copy and paste a formatted citation
Spandidos Publications style
Kinoshita Y, Yoshioka M, Emoto Y, Yuri T, Yuki M, Koyama C, Takenouchi A, Hamazaki K, Tsubura A, Yoshizawa K, Yoshizawa K, et al: Dietary effect of mead acid on DMBA‑induced breast cancer in female Sprague‑Dawley rats. Int J Funct Nutr 1: 7, 2020.
APA
Kinoshita, Y., Yoshioka, M., Emoto, Y., Yuri, T., Yuki, M., Koyama, C. ... Yoshizawa, K. (2020). Dietary effect of mead acid on DMBA‑induced breast cancer in female Sprague‑Dawley rats. International Journal of Functional Nutrition, 1, 7. https://doi.org/10.3892/ijfn.2020.7
MLA
Kinoshita, Y., Yoshioka, M., Emoto, Y., Yuri, T., Yuki, M., Koyama, C., Takenouchi, A., Hamazaki, K., Tsubura, A., Yoshizawa, K."Dietary effect of mead acid on DMBA‑induced breast cancer in female Sprague‑Dawley rats". International Journal of Functional Nutrition 1.2 (2020): 7.
Chicago
Kinoshita, Y., Yoshioka, M., Emoto, Y., Yuri, T., Yuki, M., Koyama, C., Takenouchi, A., Hamazaki, K., Tsubura, A., Yoshizawa, K."Dietary effect of mead acid on DMBA‑induced breast cancer in female Sprague‑Dawley rats". International Journal of Functional Nutrition 1, no. 2 (2020): 7. https://doi.org/10.3892/ijfn.2020.7
Copy and paste a formatted citation
x
Spandidos Publications style
Kinoshita Y, Yoshioka M, Emoto Y, Yuri T, Yuki M, Koyama C, Takenouchi A, Hamazaki K, Tsubura A, Yoshizawa K, Yoshizawa K, et al: Dietary effect of mead acid on DMBA‑induced breast cancer in female Sprague‑Dawley rats. Int J Funct Nutr 1: 7, 2020.
APA
Kinoshita, Y., Yoshioka, M., Emoto, Y., Yuri, T., Yuki, M., Koyama, C. ... Yoshizawa, K. (2020). Dietary effect of mead acid on DMBA‑induced breast cancer in female Sprague‑Dawley rats. International Journal of Functional Nutrition, 1, 7. https://doi.org/10.3892/ijfn.2020.7
MLA
Kinoshita, Y., Yoshioka, M., Emoto, Y., Yuri, T., Yuki, M., Koyama, C., Takenouchi, A., Hamazaki, K., Tsubura, A., Yoshizawa, K."Dietary effect of mead acid on DMBA‑induced breast cancer in female Sprague‑Dawley rats". International Journal of Functional Nutrition 1.2 (2020): 7.
Chicago
Kinoshita, Y., Yoshioka, M., Emoto, Y., Yuri, T., Yuki, M., Koyama, C., Takenouchi, A., Hamazaki, K., Tsubura, A., Yoshizawa, K."Dietary effect of mead acid on DMBA‑induced breast cancer in female Sprague‑Dawley rats". International Journal of Functional Nutrition 1, no. 2 (2020): 7. https://doi.org/10.3892/ijfn.2020.7
Follow us
  • Twitter
  • LinkedIn
  • Facebook
About
  • Spandidos Publications
  • Careers
  • Cookie Policy
  • Privacy Policy
How can we help?
  • Help
  • Live Chat
  • Contact
  • Email to our Support Team