Spandidos Publications Logo
  • About
    • About Spandidos
    • Aims and Scopes
    • Abstracting and Indexing
    • Editorial Policies
    • Reprints and Permissions
    • Job Opportunities
    • Terms and Conditions
    • Contact
  • Journals
    • All Journals
    • Oncology Letters
      • Oncology Letters
      • Information for Authors
      • Editorial Policies
      • Editorial Board
      • Aims and Scope
      • Abstracting and Indexing
      • Bibliographic Information
      • Archive
    • International Journal of Oncology
      • International Journal of Oncology
      • Information for Authors
      • Editorial Policies
      • Editorial Board
      • Aims and Scope
      • Abstracting and Indexing
      • Bibliographic Information
      • Archive
    • Molecular and Clinical Oncology
      • Molecular and Clinical Oncology
      • Information for Authors
      • Editorial Policies
      • Editorial Board
      • Aims and Scope
      • Abstracting and Indexing
      • Bibliographic Information
      • Archive
    • Experimental and Therapeutic Medicine
      • Experimental and Therapeutic Medicine
      • Information for Authors
      • Editorial Policies
      • Editorial Board
      • Aims and Scope
      • Abstracting and Indexing
      • Bibliographic Information
      • Archive
    • International Journal of Molecular Medicine
      • International Journal of Molecular Medicine
      • Information for Authors
      • Editorial Policies
      • Editorial Board
      • Aims and Scope
      • Abstracting and Indexing
      • Bibliographic Information
      • Archive
    • Biomedical Reports
      • Biomedical Reports
      • Information for Authors
      • Editorial Policies
      • Editorial Board
      • Aims and Scope
      • Abstracting and Indexing
      • Bibliographic Information
      • Archive
    • Oncology Reports
      • Oncology Reports
      • Information for Authors
      • Editorial Policies
      • Editorial Board
      • Aims and Scope
      • Abstracting and Indexing
      • Bibliographic Information
      • Archive
    • Molecular Medicine Reports
      • Molecular Medicine Reports
      • Information for Authors
      • Editorial Policies
      • Editorial Board
      • Aims and Scope
      • Abstracting and Indexing
      • Bibliographic Information
      • Archive
    • World Academy of Sciences Journal
      • World Academy of Sciences Journal
      • Information for Authors
      • Editorial Policies
      • Editorial Board
      • Aims and Scope
      • Abstracting and Indexing
      • Bibliographic Information
      • Archive
    • International Journal of Functional Nutrition
      • International Journal of Functional Nutrition
      • Information for Authors
      • Editorial Policies
      • Editorial Board
      • Aims and Scope
      • Abstracting and Indexing
      • Bibliographic Information
      • Archive
    • International Journal of Epigenetics
      • International Journal of Epigenetics
      • Information for Authors
      • Editorial Policies
      • Editorial Board
      • Aims and Scope
      • Abstracting and Indexing
      • Bibliographic Information
      • Archive
    • Medicine International
      • Medicine International
      • Information for Authors
      • Editorial Policies
      • Editorial Board
      • Aims and Scope
      • Abstracting and Indexing
      • Bibliographic Information
      • Archive
  • Articles
  • Information
    • Information for Authors
    • Information for Reviewers
    • Information for Librarians
    • Information for Advertisers
    • Conferences
  • Language Editing
Spandidos Publications Logo
  • About
    • About Spandidos
    • Aims and Scopes
    • Abstracting and Indexing
    • Editorial Policies
    • Reprints and Permissions
    • Job Opportunities
    • Terms and Conditions
    • Contact
  • Journals
    • All Journals
    • Biomedical Reports
      • Information for Authors
      • Editorial Policies
      • Editorial Board
      • Aims and Scope
      • Abstracting and Indexing
      • Bibliographic Information
      • Archive
    • Experimental and Therapeutic Medicine
      • Information for Authors
      • Editorial Policies
      • Editorial Board
      • Aims and Scope
      • Abstracting and Indexing
      • Bibliographic Information
      • Archive
    • International Journal of Epigenetics
      • Information for Authors
      • Editorial Policies
      • Editorial Board
      • Aims and Scope
      • Abstracting and Indexing
      • Bibliographic Information
      • Archive
    • International Journal of Functional Nutrition
      • Information for Authors
      • Editorial Policies
      • Editorial Board
      • Aims and Scope
      • Abstracting and Indexing
      • Bibliographic Information
      • Archive
    • International Journal of Molecular Medicine
      • Information for Authors
      • Editorial Policies
      • Editorial Board
      • Aims and Scope
      • Abstracting and Indexing
      • Bibliographic Information
      • Archive
    • International Journal of Oncology
      • Information for Authors
      • Editorial Policies
      • Editorial Board
      • Aims and Scope
      • Abstracting and Indexing
      • Bibliographic Information
      • Archive
    • Medicine International
      • Information for Authors
      • Editorial Policies
      • Editorial Board
      • Aims and Scope
      • Abstracting and Indexing
      • Bibliographic Information
      • Archive
    • Molecular and Clinical Oncology
      • Information for Authors
      • Editorial Policies
      • Editorial Board
      • Aims and Scope
      • Abstracting and Indexing
      • Bibliographic Information
      • Archive
    • Molecular Medicine Reports
      • Information for Authors
      • Editorial Policies
      • Editorial Board
      • Aims and Scope
      • Abstracting and Indexing
      • Bibliographic Information
      • Archive
    • Oncology Letters
      • Information for Authors
      • Editorial Policies
      • Editorial Board
      • Aims and Scope
      • Abstracting and Indexing
      • Bibliographic Information
      • Archive
    • Oncology Reports
      • Information for Authors
      • Editorial Policies
      • Editorial Board
      • Aims and Scope
      • Abstracting and Indexing
      • Bibliographic Information
      • Archive
    • World Academy of Sciences Journal
      • Information for Authors
      • Editorial Policies
      • Editorial Board
      • Aims and Scope
      • Abstracting and Indexing
      • Bibliographic Information
      • Archive
  • Articles
  • Information
    • For Authors
    • For Reviewers
    • For Librarians
    • For Advertisers
    • Conferences
  • Language Editing
Login Register Submit
  • This site uses cookies
  • You can change your cookie settings at any time by following the instructions in our Cookie Policy. To find out more, you may read our Privacy Policy.

    I agree
Search articles by DOI, keyword, author or affiliation
Search
Advanced Search
presentation
International Journal of Molecular Medicine
Join Editorial Board Propose a Special Issue
Print ISSN: 1107-3756 Online ISSN: 1791-244X
Journal Cover
September 2012 Volume 30 Issue 3

Full Size Image

Sign up for eToc alerts
Recommend to Library

Journals

International Journal of Molecular Medicine

International Journal of Molecular Medicine

International Journal of Molecular Medicine is an international journal devoted to molecular mechanisms of human disease.

International Journal of Oncology

International Journal of Oncology

International Journal of Oncology is an international journal devoted to oncology research and cancer treatment.

Molecular Medicine Reports

Molecular Medicine Reports

Covers molecular medicine topics such as pharmacology, pathology, genetics, neuroscience, infectious diseases, molecular cardiology, and molecular surgery.

Oncology Reports

Oncology Reports

Oncology Reports is an international journal devoted to fundamental and applied research in Oncology.

Experimental and Therapeutic Medicine

Experimental and Therapeutic Medicine

Experimental and Therapeutic Medicine is an international journal devoted to laboratory and clinical medicine.

Oncology Letters

Oncology Letters

Oncology Letters is an international journal devoted to Experimental and Clinical Oncology.

Biomedical Reports

Biomedical Reports

Explores a wide range of biological and medical fields, including pharmacology, genetics, microbiology, neuroscience, and molecular cardiology.

Molecular and Clinical Oncology

Molecular and Clinical Oncology

International journal addressing all aspects of oncology research, from tumorigenesis and oncogenes to chemotherapy and metastasis.

World Academy of Sciences Journal

World Academy of Sciences Journal

Multidisciplinary open-access journal spanning biochemistry, genetics, neuroscience, environmental health, and synthetic biology.

International Journal of Functional Nutrition

International Journal of Functional Nutrition

Open-access journal combining biochemistry, pharmacology, immunology, and genetics to advance health through functional nutrition.

International Journal of Epigenetics

International Journal of Epigenetics

Publishes open-access research on using epigenetics to advance understanding and treatment of human disease.

Medicine International

Medicine International

An International Open Access Journal Devoted to General Medicine.

Journal Cover
September 2012 Volume 30 Issue 3

Full Size Image

Sign up for eToc alerts
Recommend to Library

  • Article
  • Citations
    • Cite This Article
    • Download Citation
    • Create Citation Alert
    • Remove Citation Alert
    • Cited By
  • Similar Articles
    • Related Articles (in Spandidos Publications)
    • Similar Articles (Google Scholar)
    • Similar Articles (PubMed)
  • Download PDF
  • Download XML
  • View XML
Article Open Access

Establishment of immortalized Schwann cells derived from rat embryo dorsal root ganglia

  • Authors:
    • Huajun Jiang
    • Wei Qu
    • Feng Han
    • Dazhuang Liu
    • Weiguo Zhang
  • View Affiliations / Copyright

    Affiliations: Department of Orthopaedics, First Affiliated Hospital of Dalian Medical University, Dalian 116011, P.R. China
    Copyright: © Jiang et al. This is an open access article distributed under the terms of Creative Commons Attribution License [CC BY_NC 3.0].
  • Pages: 480-486
    |
    Published online on: June 6, 2012
       https://doi.org/10.3892/ijmm.2012.1016
  • Expand metrics +
Metrics: Total Views: 0 (Spandidos Publications: | PMC Statistics: )
Metrics: Total PDF Downloads: 0 (Spandidos Publications: | PMC Statistics: )
Cited By (CrossRef): 0 citations Loading Articles...

This article is mentioned in:



Abstract

Schwann cells (SCs) play an important role in the development, function and regeneration of peripheral nerves. They can enhance both peripheral and central nerve regeneration by providing a supportive environment for neurite outgrowth through the release of neurotrophic factors. However, use of primary SCs for in vitro models is limited because these cells are difficult to prepare and maintain in high yield and purity under common cell culture conditions. Human telomerase reverse transcriptase (hTERT) expression induces immortalization of various cell types without substantial alterations of their phenotypes. Therefore, in this study we transfected SCs with hTERT to establish a reliable cell source and observed the effect of hTERT on SCs. In order to accomplish this, SCs were isolated from rat embryo dorsal root ganglions, transfected with hTERT at early passage (passage 3). SCs passage 4, 8, 12 and 30 after transfection (hTERT-SCs) were used for immunocytochemistry, RT-PCR and western blotting. Results showed that all the early (passage 4) and late (passage 30) passage hTERT-SCs expressed hTERT mRNA and gained full telomerase activity. The transfection did not alter the mRNA expression of senescence-associated genes, such as p53 and p16. The expression of BDNF (brain-derived neurotrophic factor) was significantly decreased as cell passage increased, compared to the untransfected control. On the other hand, the expression of NGF (nerve growth factor ) was elevated at early passages (passages 4 and 8) and decreased at late passages (12 and 30). These data indicate that the use of specific immortalization techniques can establish SC lines that retain characteristics of typical primary SCs, and different mechanisms responsible for regulating NGF and BDNF expression. This is the first report regarding the immortalization of SCs derived from rat embryo dorsal root ganglions. These cells are useful in studies investigating the cellular mechanisms and regenerative processes of SCs.

Introduction

Schwann cells (SCs), the principal supporting cells of the peripheral nervous system, play a key role in peripheral nerve regeneration. Autologous nerve grafting or biodegradable conduits are the gold standard for peripheral nerve repair (1). Use of primary somatic SCs for peripheral nerve repair is limited because these cells are difficult to prepare and maintain in high yield and purity under common cell culture conditions.

Transfection of an exogenous hTERT, encoding the catalytic subunit of human telomerase, can be used to prevent telomere shortening, overcome telomere-controlled senescence, and immortalize primary somatic cells. Most importantly, hTERT alone can immortalize cells without causing cancer-associated changes or altering phenotypic properties. Ectopic hTERT expression induces immortalization of adult canine SCs (2) and primary human fetal SCs (3) without substantial alterations of their phenotypes. Moreover, the nerve regeneration process is also regulated by neurotrophic factors (NTFs) synthesized directly or indirectly by SCs. Therefore, it is essential to evaluate the secretion of NTFs after SCs are exposed to an exogenous hTERT. However, there is limited reports on the relationship between the secretion of NTFs and the transfection of hTERT.

In this study, we describe how the induction of the hTERT gene allowed us to establish immortalized SCs derived from rat embryo dorsal root ganglions. Additionally, we evaluated whether these cell lines have SCs properties, and examined the function of the secretion of NTFs (BDNF and NGF).

Materials and methods

Cell culture

A total of 30 healthy Sprague-Dawley female rats were obtained by the Animal Experimental Center of Dalian Medical University (License No. SCXK(Liao)2006-0002). Dorsal root ganglions (DRG) from rat embryos were isolated under a microscope. Non-nervous tissue was gently stripped under a dissecting microscope, and the nerve segments were stored in ice-cold Dulbecco’s modified Eagle’s medium (DMEM) containing 1% penicillin/streptomycin. Briefly, dissected dorsal root ganglions were digested with 0.3% collagenase type I solution (Sigma, USA) and 0.25% trypsin (Sigma). After blocking the enzymatic digestion with DMEM containing 10% fetal bovine serum (Gibco, USA), cells were centrifuged and subsequently mechanically dissociated. At ∼75% confluence after plating, cells were purified with 2 cycles of cytosine arabinoside (10 mM) to eliminate fibroblasts and neurons (4). Finally, the media was changed with melanocyte growth medium (Cascade Biologics, Portland, OR) to which 2 μM forskolin (Sigma), 10 ng/ml FGF-2 (Sigma) and 5 μg/ml bovine pituitary extract (Sigma) were added in order to prevent fibroblast proliferation (5). All cultures were maintained at 37°C in a humidified atmosphere of 5% CO2. The growth medium was renewed every 2–3 days. SCs were subcultured to the next passage when reaching 80–90% confluence.

Transfection of the hTERT gene

When SCs (passage 3) reached 90% confluence, transfection was performed. SCs were transfected with pCI-neo-hTERT plasmid (Yrbio, China) using Lipofectamine™2000 (Invitrogen, USA) according to the manufacturer’s instructions. After selection with 400 μg/ml G418 (Sigma), the resistant clones were picked and expanded under standard conditions with 100 μg/ml G418. The growth medium was a melanocyte growth medium containing 2 μM forskolin (Sigma), 10 ng/ml FGF-2 and 5 μg/ml bovine pituitary extract. SCs were subcultured to the next passage when which on reaching 80–90% confluence.

Indirect immunofluorescence staining

For immunocytochemistry, hTERT-SCs (passage 30) cultured on coverslips were fixed with 4% paraformaldehyde (PFA) in PBS for 10 min and then permeabilized with 0.05% Triton X-100 for 10 min. Non-specific sites were blocked with 5% goat serum for 1 h. Then, the cells were incubated with primary antibodies for 12 h at 4°C. The following primary antibodies were used rabbit anti-S100β (Boster, Wuhan, China), mouse anti-p75 (Boster), mouse antiglial fibrillary acidic protein (anti-GFAP, Boster) all at 1:100 dilution. Blocking solution without a primary antibody was added for 12 h at 4°C as a control. Antibody binding was detected by using fluorescently labeled secondary antibodies (Vector Laboratories, Burlingame, CA) at 1:200 dilution and cell nuclei were counterstained with 4′,6-diamidino-2-phenylindole dihydrochloride (DAPI,1:1000). The coverslips were then washed three times in PBS (5 min each), and finally, the cells were mounted in antifade solution (6). Labeled cells were examined with fluorescence microscopy. The images were digitally recorded and processed using Image-Pro Plus.

Detection of telomerase activity

hTERT-SCs of passages 4, 8, 12, and 30 and SCs of passage 3 were extracts corresponding to 104 cells, and the telomerase activity was evaluated in these clones using the TRAP assay according to the manufacturer’s instructions as previously suggested (7). PCR reaction products were separated on 12.5% non-denaturing acrylamide gels. After fixation [0.5 M NaCl, 50% ethanol, and 40 mM sodium acetate (pH 4.2)], the gels were directly exposed to an X-ray film with an intensifying screen.

Reverse transcriptase polymerase chain reaction (RT-PCR)

hTERT-SCs (5×104/ml) of passages 4, 8, 12, and 30 and SCs (5×104/ml) of passage 3 were trypsinized and seeded onto 6-well plates. When cells reached 90% confluence, RT-PCR was performed. Total RNA was harvested using Trizol reagent (Invitrogen). Total RNA (200 ng) was reverse transcribed for 45 min at 60°C, after which a two-step PCR amplification was performed, according to the manufacturer’s instructions. mRNA from cDNA samples was amplified with specific primer pairs for β-actin, hTERT, NGF-β, BDNF, p16, and p53. The primer sequences and the PCR conditions are depicted in Table I. Expression of hTERT, p53 and p16 in hTERT-SCs were examined at passage 4 and 30; HT-29 (HeLa, ATCC:CCL-218) were used as positive controls. The secretion of NTFs (BDNF and NGF) were examined at hTERT-SCs of passages 4, 8, 12 and 30, and untransfected SCs of passage 3 were used as control cells. β-actin expression was detected as the internal control. Amplification products were separated by 2.0% agarose gel electrophoresis and visualized by ethidium bromide staining. After the gels were scanned, the relative intensity of the bands was determined by using the LabWorks 4.6 gel imaging and analysis software (UVP, Inc.). The experiments were repeated three times.

Table I.

Primers used for RT-PCR.

Table I.

Primers used for RT-PCR.

PrimerForward primerReverse primerTaAmplicon length (bp)
hTERT 5′-TGTACTTTGTCAAGGTGGATGTG-3′ 5′-GTACGGCTGGAGGTCTGTCAAG-3′68°C200
p16 5′-CTTCCTGGACACGCTGGT-3′ 5′-CGAGGTACCGTGCGACAT-3′60°C125
p53 5′-GTTTCCGTCTGGGCTTCT-3′ 5′-CCTCAGGCGGCTCATAG-3′55°C351
NGF-β 5′-GGCCACTCTGAGGTGCATAG-3′ 5′-CATGGGCCTGGAAGTCTAAA-3′56°C349
BDNF 5′-AAACCATAAGGACGCGGACT-3′ 5′-GATTGGGTAGTTCGGCATTG-3′56°C393
β-actin 5′-TCTACGAGGGCTATGCTCTCC-3′ 5′-GGATGCCACAGGATTCCATAC-3′55°C320
Western blotting

To confirm the results from the secretions of NTFs (BDNF and NGF), we detected the secretions of NTFs (BDNF and NGF) at SCs of passages 4, 8, 12 and 30 after transfection respectively using western blot analysis; untransfected SCs of passage 3 were used as control cells. SCs were washed with PBS and lysed with a lysis buffer (1% Triton X-100, 150 mM NaCl, 10 mM Tris, pH 7.4, 1 mM EDTA, 1 mM EGTA, pH 8.0, 0.2 mM Na3VO4, 0.2 mM PMSF, 0.5% Nonidet P-40) and incubated on ice for 30 min. The cell lysates were then clarified by centrifugation at 9,000 x g for 10 min at 4°C and the supernatant was saved for protein analysis and western blotting. Total protein concentration was determined by using a commercially available kit based on the bicinchoninic acid (BCA) method. Total protein lysates (80 μg) were separated by 10% SDS-PAGE mini-gel. Samples were transferred electrophoretically to nitrocellulose membranes. The membrane was blocked with 5% nonfat dry milk in Tris buffered saline with Tween-20 (TTBS), washed with TTBS and incubated overnight with anti-active NTFs (BDNF and NGF) (1:500) and β-actin antibody (1:2000, Sigma). After washing in TTBS, the bound antibody was detected through the use of avidin-conjugated horseradish peroxidase (1:500, Sigma). Color reaction was obtained using NBT/BCIP. The membranes were scanned and analyzed using the LabWorks 4.6 software. The experiments were repeated three times.

Statistical analysis

Results are expressed as mean ± SEM (standard error of mean) of three independent experiments. One-way ANOVA followed by the Newman Keuls multiple comparison test was used to compare control and treated groups, with P<0.05 indicating significant differences.

Results

Transfection of SCs, expression of hTERT, p53 and p16

After the second purification procedure, the primary SCs cultured within 2 weeks reached 90% confluence (Fig. 1A). Cells at early passage (passage 3) were transfected with the CI-neohTERT plasmid construct expressing the catalytic subunit of the hTERT and a selection of positive clones was conducted in G418 (100 μg/ml) containing medium. Over 100 G418-resistant clones were isolated from each experiment. However, the doubling time of hTERT-SCs was not significantly modified after transfection (Fig. 1B).

Figure 1.

Phase-contrast photomicrographs of cultured cells. (A) Population of SCs after purification. (B) Population of hTERT-SCs after selection with 400 μg/ml G418. Bars, 50 μm.

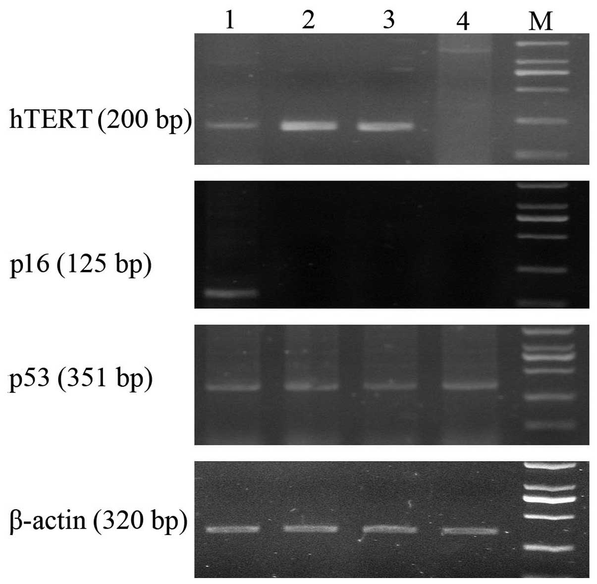
All the early (passage 4) and late (passage 30) passages hTERT-SCs expressed hTERT mRNA. hTERT-SCs expressed p53 but lacked p16 as demonstrated by RT-PCR. In addition, p53 and p16 expression was not altered in early and late passages hTERT-SCs compared to their non-transfected counterparts as demonstrated by RT-PCR (Fig. 2).

Figure 2.

RT-PCR analysis of hTERT expression and p53, p16 expression in SCs. Lane 1, HT-29 cells served as positive controls for hTERT and p53/p16, respectively. Lane 2, hTERT-SCs at early passage (passage 4). Lane 3, hTERT-SCs at late passage (passage 30). Lane 4, SCs before transfection. M, marker. β-actin was used as a cDNA qualitative control. All hTERT-SCs were positive for hTERT independent of the passage level. All hTERT-SCs expressed p53 but lacked p16.

Telomerase activity

hTERT-SCs were expanded from each passage (passages 4, 8, 12 and 30) and the telomerase activity was detected in these clones using the TRAP assay. Telomerase activity was detected in all hTERT-SCs passages and these cells displayed full telomerase activity (Fig. 3). This activity was absent in control clones (parental non-transfected cells).

Figure 3.

hTERT expression confers telomerase activity to hTERT-SCs. Clones were analyzed for telomerase activity by the TRAP assay. Lanes 1-4, clones isolated from hTERT-SCs of passages 4, 8, 12 and 30, respectively. Lanes 5-7, parental non-transfected cells. Lane 8, negative PCR control. Lane 9, DNA marker.

Immunostaining

By immunostaining, hTERT-SCs at passage 30 still showed a positive staining for GFAP, p75 and S100β. The staining was evident in the cell body and along the processes. These cells demonstrated typical bipolar or tripolar morphology in vitro, brightly stained for p75 (Fig. 4A), GFAP (Fig. 4B) and S100β (Fig. 4C), and had oval nuclei (Fig. 4D).

Figure 4.

Immunostaining for p75, GFAP, S-100 antibodies. Staining was evident in the cell body and along the processes. hTERT-SCs in vitro demonstrated typical bipolar or tripolar morphology and were stained brightly. (A) p75, (B) GFAP, and (C) S-100 staining. (D) Cell nuclei were counterstained by DAPI. Bars, 50 μm.

NGF and BDNF mRNA expression detected by RT-PCR

We studied the effect of hTERT on the biological activities of SCs by examining NGF and BDNF mRNA through the expression RT-PCR. A semi-quantitative RT-PCR was adopted to analyze the expression of NGF and BDNF mRNA (Fig. 5). The relative density of a 349 bp product of the NGF gene, a 393 bp product of the BDNF gene respectively and a 320 bp product of the internal control β-actin was calculated after separation by 1% agarose gel electrophoresis. Results showed that the expression of the BDNF gene in the transfected SCs was dramatically decreased as cell passage increased, compared to the untransfected control, while the expression of NGF was elevated at early passages (4 and 8) and decreased at late passages (12 and 30). The alteration of gene expression of NGF (Fig. 5B) and BDNF (Fig. 5C) in the transfected SCs was passage-dependent.

Figure 5.

RT-PCR analysis of NGF and BDNF. (A) Lane 1, untransfected control cells. Lanes 2–5, hTERT-SCs of passages 4, 8, 12 and 30, respectively. M, marker. The relative density of (B) NGF and (C) BDNF mRNA vs. β-actin mRNA respectively(*P<0.05,**P<0.01). Lane 1, untransfected control cells. Lanes 2–5, hTERT-SCs of passages 4, 8, 12 and 30, respectively. M, marker.

NGF and BDNF protein expression detected by western blotting

To detect the protein expression level of BDNF and NGF in the transfected SCs, western blotting was employed (Fig. 6). Results revealed that the expression level of BDNF BDNF gene in the transfected SCs was dramatically decreased as cell passage increased, compared to the untransfected control, while the expression level of NGF was elevated at early passages (4 and 8) and decreased at late passages (12 and 30). In Fig. 6, western blot analysis further confirmed that the alteration of gene expression of NGF (Fig. 6B) and BDNF (Fig. 6C) in the transfected SCs was passage-dependent.

Figure 6.

Western blot analysis of NGF and BDNF. Lane 1, untransfected control cells. Lanes 2–5, hTERT-SCs of passage 4, 8, 12 and 30 respectively. The relative density of (B) NGF and (C) BDNF mRNA vs. β-actin mRNA respectively(*P<0.05,**P<0.01). Lane 1, untransfected control cells. Lanes 2–5, hTERT-SCs of passages 4, 8, 12 and 30 respectively. M, marker.

Discussion

Schwann cells (SCs) are neural crest derivatives that ensheathe and myelinate axons of peripheral nerves. They wrap individually around the shaft of peripheral axons, forming myelin sheaths along segments of the axon. SCs play an important role in the development, function and regeneration of peripheral nerves. They can enhance both peripheral and central nerve regeneration by providing a supportive environment for neurite outgrowth through the release of neurotrophic factors (8–10) and cellular matrix protein (11,12). In addition, SCs promote axonal regeneration and remyelination following transplantation into the lesioned nervous system (13,14). Compared to the use of a conduit alone, artificial nerve grafts containing SCs is a promising method for peripheral nerve repair (15). However, for the application of SCs in tissue engineering or for clinical use, the production of a large number of viable SCs is necessary. Expansion and maintenance of SCs in culture have been difficult, due to the low division rate and potential overgrowth of fibroblasts over time (16–18).

We have demonstrated how the transfer of an exogenous hTERT, encoding the catalytic subunit of human telomerase, can be used to prevent telomere shortening, overcome telomere-controlled senescence, and immortalize primary somatic cells. The introduction of the hTERT gene into primary somatic cells results in telomere length elongation and in the extension of the in vitro replicative lifespan of primary somatic cells, then increase cellular proliferation. The major advantage of using hTERT exclusively to immortalize primary somatic cells is that the enzyme telomerase can immortalize without causing cancer-associated changes or altering phenotypic properties (19–21). Adult canine Schwann cells SCs (2) and primary human fetal SCs (3) have been immortalized by hTERT or/and SV40 large T antigen.

In the present study, we used human telomerase reverse transcriptase (hTERT) transfection of postnatal SD rats Schwann cells derived from DRG to establish a stable source for cell transplantation. The morphological phenotypes of transfected SCs were not altered. All the early (passage 4) and late (passage 30) passage hTERT-SCs expressed hTERT mRNA and gained full telomerase activity. This may indicate that SCs were successfully transfected. By immunostaining, the hTERT-SCs at passage 30 still showed a positive staining for S100β, p75, and GFAP without altering phenotypic properties. This indicates that the transfected SCs retained the properties of a primary SCs yet they were easy to grow and propagate. In addition, p53 and p16 expression was not altered in early and late passage transfected SCs compared to their non-transfected counterparts. This may indicate that rat SCs undergo senescence through a telomere-dependent pathway similar to human cells as previously described (22,23).

Many studies introduced hTERT at a time when telomeres had reached a critical length and hTERT expression enhanced cellular proliferation (24–27). One important feature of SCs as a promising cell type for transplantation is their ability to produce a variety of trophic factors that are growth-promotive (28). It was demonstrated that SCs expressed NGF (29), and BDNF (30), and NT-3 (31). Among these factors, members of the neurotrophin family play particular roles. However, little is known about the effects of hTERT treatment on the secretion of SCs.

Based on our results hTERT increased the mRNA level of NGF at early passage, whereas an adverse effect occurred on the mRNA levels and protein secretion of BDNF in SCs at early passages (4 and 8). These results indicated that hTERT is able to enhance the biological activities of SCs through different effects on NGF and BDNF, and hTERT induced different mechanisms responsible for regulating NGF and BDNF expression. This study is similar to the effect of Hypoxia/Reoxygenation on SCs (32), which demonstrated that the time-course and spatial pattern of both expression are distinctly different. After transfection, early cell passages that increased NGF may be correlated with protecting SCs, and stimulating SCs retrodifferentiation and proliferation. However, the function of BDNF, such as inducing SCs and expression of myeline proteins, is not similar to NGF (33). SCs exposed to hTERT, upregulated NGF to meet an urgent requirement of protecting SCs, and downregulated BDNF, a non-urgent requirement. A decrease in BDNF and subsequent decrease in NGF may be correlated with either hTERT-SCs secretion decrease or the decrease in the number of cells.

Conventional methods for extending cellular lifespan almost invariably alter the phenotypic properties of cells, thereby reducing the value of the immortalized cells. However, the levels of BDNF were decreased at all passages and those of only NGF at late passages (12 and 30), demonstrating that telomerase can stimulate the proliferation and secretion of SCs at early passages, but does not lead to their immortalization. This study also demonstrates that the ability of proliferation and secretion of hTERT-SCs will decrease when they reach a specific point in time.

In summary, we successfully transfected SCs with hTERT and observed that these cells displayed full telomerase activity. Differences in the expression of p53 and p16 prior to and after transfection were not detected. However hTERT alone is not always sufficient to immortalize primary somatic cells. This method can extend the lifespan of the cells without causing cancer-associated changes or alter phenotypic properties.

Acknowledgements

This study was supported by the National Natural Science Foundation of China, no. 30973060.

References

1. 

SE MackinnonAL DellonA study of nerve regeneration across synthetic (Maxon) and biologic (collagen) nerve conduits for nerve gaps up to 5 cm in the primateJ Reconstr Microsurg6117121199010.1055/s-2007-10068102352218

2. 

S TechangamsuwanR KreutzerM KreutzerI ImbschweilerK RohnK WewetzerW BaumgärtnerTransfection of adult canine Schwann cells and olfactory ensheathing cells at early and late passage with human TERT differentially affects growth factor responsiveness and in vitro growthJ Neurosci Methods176112120200910.1016/j.jneumeth.2008.08.030

3. 

HC LehmannW ChenR MiS WangY LiuM RaoA HökeHuman Schwann cells retain essential phenotype characteristics after immortalizationStem Cells Dev21423431201210.1089/scd.2010.0513

4. 

Y WeiJ ZhouZ ZhengA WangQ AoY GongX ZhangAn improved method for isolating Schwann cells from postnatal rat sciatic nervesCell Tissue Res337361369200910.1007/s00441-009-0836-419639342

5. 

A NiapourF KaramaliK KarbalaieA KianiM MardaniMH Nasr-EsfahaniH BaharvandNovel method to obtain highly enriched cultures of adult rat Schwann cellsBiotechnol Lett32781786201010.1007/s10529-010-0230-z20213527

6. 

T KomiyamaY NakaoY ToyamaH AsouCA VacantiMP VacantiA novel technique to isolate adult Schwann cells for an artificial nerve conduitJ Neurosci Methods122195200200310.1016/S0165-0270(02)00320-512573478

7. 

WE WrightJW ShayMA PiatyszekModifications of a telomeric repeat amplification protocol (TRAP) result in increased reliability, linearity and sensitivityNucleic Acids Res2337943795199510.1093/nar/23.18.3794

8. 

JW FawcettRJ KeynesPeripheral nerve regenerationAnnu Rev Neurosci134360199010.1146/annurev.neuro.13.1.43

9. 

MR FeneleyJW FawcettRJ KeynesThe role of Schwann cells in the regeneration of peripheral nerve axons through muscle basal lamina graftsExp Neurol114275285199110.1016/0014-4886(91)90153-41748202

10. 

K HaastertJ GrosskreutzM JaeckelC LadererJ BuflerC GrotheP ClausRat embryonic motoneurons in long-term co-culture with Schwann cells - a system to investigate motoneuron diseases on a cellular level in vitroJ Neurosci Methods142275284200510.1016/j.jneumeth.2004.09.003

11. 

K RothblumRC StahlDJ CareyConstitutive release of alpha4 type V collagen N-terminal domain by Schwann cells and binding to cell surface and extracellular matrix heparan sulfate proteoglycansJ Biol Chem2795128251288200410.1074/jbc.M408837200

12. 

Y ShibuyaA MizoguchiM TakeichiK ShimadaC IdeLocalization of N-cadherin in the normal and regenerating nerve fibers of the chicken peripheral nervous systemNeuroscience67253261199510.1016/0306-4522(95)00015-B7477906

13. 

A Baron-Van EvercoorenV Avellana-AdalidF LachapelleR LiblauSchwann cell transplantation and myelin repair of the CNSMult Scler315716119979291173

14. 

YY ChenD McDonaldC ChengB MagnowskiJ DurandDW ZochodneAxon and Schwann cell partnership during nerve regrowthJ Neuropathol Exp Neurol64613622200510.1097/01.jnen.0000171650.94341.4616042313

15. 

A MosahebiB WoodwardM WibergR MartinG TerenghiRetroviral labeling of Schwann cells: in vitro characterization and in vivo transplantation to improve peripheral nerve regenerationGlia34817200110.1002/glia.103511284015

16. 

JL RutkowskiCJ KirkMA LernerGI TennekoonPurification and expansion of human Schwann cells in vitroNat Med18083199510.1038/nm0195-807584959

17. 

TK MorrisseyN KleitmanRP BungeHuman Schwann cells in vitro. II. Myelination of sensory axons following extensive purification and heregulin-induced expansionJ Neurobiol28190201199510.1002/neu.480280206

18. 

TK MorrisseyRP BungeN KleitmanHuman Schwann cells in vitro. I Failure to differentiate and support neuronal health under co-culture conditions that promote full function of rodent cellsJ Neurobiol28171189199510.1002/neu.480280205

19. 

XR JiangG JimenezE ChangM FrolkisB KuslerM SageM BeecheAG BodnarGM WahlTD TlstyCP ChiuTelomerase expression in human somatic cells does not induce changes associated with a transformed phenotypeNat Genet21111114199910.1038/50569916802

20. 

CP MoralesSE HoltM OuelletteKJ KaurY YanKS WilsonMA WhiteWE WrightJW ShayAbsence of cancer-associated changes in human fibroblasts immortalized with telomeraseNat Genet21115118199910.1038/50639916803

21. 

MM OuelletteLD McDanielWE WrightJW ShayRA SchultzThe establishment of telomerase-immortalized cell lines representing human chromosome instability syndromesHum Mol Genet9403411200010.1093/hmg/9.3.40310655550

22. 

DJ ArgyleL NasirTelomerase: a potential diagnostic and therapeutic tool in canine oncologyVet Pathol4017200310.1354/vp.40-1-112627707

23. 

L NasirTelomeres and telomerase: Biological and clinical importance in dogsVet J175155163200810.1016/j.tvjl.2007.01.02417398127

24. 

V GorbunovaA SeluanovOM Pereira-SmithEvidence that high telomerase activity may induce a senescent-like growth arrest in human fibroblastsJ Biol Chem27876927698200310.1074/jbc.M21294420012496279

25. 

LL SmithHA CollerJM RobertsTelomerase modulates expression of growth-controlling genes and enhances cell proliferationNat Cell Biol5474479200310.1038/ncb98512717449

26. 

JI YoungJM SedivyJR SmithTelomerase expression in normal human fibroblasts stabilizes DNA 5-methylcytosine transferase IJ Biol Chem2781990419908200310.1074/jbc.M30168520012665523

27. 

X JinJS LeeS KwakSY LeeJE JungTK KimC XuZ HongZ LiSM KimEstablishment and characterization of three immortal bovine muscular epithelial cell linesMol Cells212933200616511344

28. 

M OudegaXM XuSchwann cell transplantation for repair of the adult spinal cordJ Neurotrauma23453467200610.1089/neu.2006.23.45316629629

29. 

R HeumannS KorschingC BandtlowH ThoenenChanges of nerve growth factor synthesis in nonneuronal cells in response to sciatic nerve transectionJ Cell Biol10416231631198710.1083/jcb.104.6.16233034917

30. 

A AchesonPA BarkerRF AldersonFD MillerRA MurphyDetection of brain-derived neurotrophic factor-like activity in fibroblasts and Schwann cells: inhibition by antibodies to NGFNeuron7265275199110.1016/0896-6273(91)90265-21873030

31. 

N OffenhauserR Böhm-MatthaeiP TsoulfasL ParadaM MeyerDevelopmental regulation of full-length trkC in the rat sciatic nerveEur J Neurosci7917925199510.1111/j.1460-9568.1995.tb01079.x7613627

32. 

H ZhuF LiWJ YuWJ WangL LiLD WanY LeWL DingEffect of hypoxia/reoxygenation on cell viability and expression and secretion of neurotrophic factors (NTFs) in primary cultured schwann cellsAnat Rec (Hoboken)293865870201010.1002/ar.2110520186961

33. 

N OkaT KawasakiK MizutaniH SugiyamaI AkiguchiHypoxia-inducible factor 1alpha may be a marker for vasculitic neuropathyNeuropathology27509515200710.1111/j.1440-1789.2007.00817.x18021370

Related Articles

  • Abstract
  • View
  • Download
  • Twitter
Copy and paste a formatted citation
Spandidos Publications style
Jiang H, Qu W, Han F, Liu D and Zhang W: Establishment of immortalized Schwann cells derived from rat embryo dorsal root ganglia. Int J Mol Med 30: 480-486, 2012.
APA
Jiang, H., Qu, W., Han, F., Liu, D., & Zhang, W. (2012). Establishment of immortalized Schwann cells derived from rat embryo dorsal root ganglia. International Journal of Molecular Medicine, 30, 480-486. https://doi.org/10.3892/ijmm.2012.1016
MLA
Jiang, H., Qu, W., Han, F., Liu, D., Zhang, W."Establishment of immortalized Schwann cells derived from rat embryo dorsal root ganglia". International Journal of Molecular Medicine 30.3 (2012): 480-486.
Chicago
Jiang, H., Qu, W., Han, F., Liu, D., Zhang, W."Establishment of immortalized Schwann cells derived from rat embryo dorsal root ganglia". International Journal of Molecular Medicine 30, no. 3 (2012): 480-486. https://doi.org/10.3892/ijmm.2012.1016
Copy and paste a formatted citation
x
Spandidos Publications style
Jiang H, Qu W, Han F, Liu D and Zhang W: Establishment of immortalized Schwann cells derived from rat embryo dorsal root ganglia. Int J Mol Med 30: 480-486, 2012.
APA
Jiang, H., Qu, W., Han, F., Liu, D., & Zhang, W. (2012). Establishment of immortalized Schwann cells derived from rat embryo dorsal root ganglia. International Journal of Molecular Medicine, 30, 480-486. https://doi.org/10.3892/ijmm.2012.1016
MLA
Jiang, H., Qu, W., Han, F., Liu, D., Zhang, W."Establishment of immortalized Schwann cells derived from rat embryo dorsal root ganglia". International Journal of Molecular Medicine 30.3 (2012): 480-486.
Chicago
Jiang, H., Qu, W., Han, F., Liu, D., Zhang, W."Establishment of immortalized Schwann cells derived from rat embryo dorsal root ganglia". International Journal of Molecular Medicine 30, no. 3 (2012): 480-486. https://doi.org/10.3892/ijmm.2012.1016
Follow us
  • Twitter
  • LinkedIn
  • Facebook
About
  • Spandidos Publications
  • Careers
  • Cookie Policy
  • Privacy Policy
How can we help?
  • Help
  • Live Chat
  • Contact
  • Email to our Support Team