Spandidos Publications Logo
  • About
    • About Spandidos
    • Aims and Scopes
    • Abstracting and Indexing
    • Editorial Policies
    • Reprints and Permissions
    • Job Opportunities
    • Terms and Conditions
    • Contact
  • Journals
    • All Journals
    • Oncology Letters
      • Oncology Letters
      • Information for Authors
      • Editorial Policies
      • Editorial Board
      • Aims and Scope
      • Abstracting and Indexing
      • Bibliographic Information
      • Archive
    • International Journal of Oncology
      • International Journal of Oncology
      • Information for Authors
      • Editorial Policies
      • Editorial Board
      • Aims and Scope
      • Abstracting and Indexing
      • Bibliographic Information
      • Archive
    • Molecular and Clinical Oncology
      • Molecular and Clinical Oncology
      • Information for Authors
      • Editorial Policies
      • Editorial Board
      • Aims and Scope
      • Abstracting and Indexing
      • Bibliographic Information
      • Archive
    • Experimental and Therapeutic Medicine
      • Experimental and Therapeutic Medicine
      • Information for Authors
      • Editorial Policies
      • Editorial Board
      • Aims and Scope
      • Abstracting and Indexing
      • Bibliographic Information
      • Archive
    • International Journal of Molecular Medicine
      • International Journal of Molecular Medicine
      • Information for Authors
      • Editorial Policies
      • Editorial Board
      • Aims and Scope
      • Abstracting and Indexing
      • Bibliographic Information
      • Archive
    • Biomedical Reports
      • Biomedical Reports
      • Information for Authors
      • Editorial Policies
      • Editorial Board
      • Aims and Scope
      • Abstracting and Indexing
      • Bibliographic Information
      • Archive
    • Oncology Reports
      • Oncology Reports
      • Information for Authors
      • Editorial Policies
      • Editorial Board
      • Aims and Scope
      • Abstracting and Indexing
      • Bibliographic Information
      • Archive
    • Molecular Medicine Reports
      • Molecular Medicine Reports
      • Information for Authors
      • Editorial Policies
      • Editorial Board
      • Aims and Scope
      • Abstracting and Indexing
      • Bibliographic Information
      • Archive
    • World Academy of Sciences Journal
      • World Academy of Sciences Journal
      • Information for Authors
      • Editorial Policies
      • Editorial Board
      • Aims and Scope
      • Abstracting and Indexing
      • Bibliographic Information
      • Archive
    • International Journal of Functional Nutrition
      • International Journal of Functional Nutrition
      • Information for Authors
      • Editorial Policies
      • Editorial Board
      • Aims and Scope
      • Abstracting and Indexing
      • Bibliographic Information
      • Archive
    • International Journal of Epigenetics
      • International Journal of Epigenetics
      • Information for Authors
      • Editorial Policies
      • Editorial Board
      • Aims and Scope
      • Abstracting and Indexing
      • Bibliographic Information
      • Archive
    • Medicine International
      • Medicine International
      • Information for Authors
      • Editorial Policies
      • Editorial Board
      • Aims and Scope
      • Abstracting and Indexing
      • Bibliographic Information
      • Archive
  • Articles
  • Information
    • Information for Authors
    • Information for Reviewers
    • Information for Librarians
    • Information for Advertisers
    • Conferences
  • Language Editing
Spandidos Publications Logo
  • About
    • About Spandidos
    • Aims and Scopes
    • Abstracting and Indexing
    • Editorial Policies
    • Reprints and Permissions
    • Job Opportunities
    • Terms and Conditions
    • Contact
  • Journals
    • All Journals
    • Biomedical Reports
      • Information for Authors
      • Editorial Policies
      • Editorial Board
      • Aims and Scope
      • Abstracting and Indexing
      • Bibliographic Information
      • Archive
    • Experimental and Therapeutic Medicine
      • Information for Authors
      • Editorial Policies
      • Editorial Board
      • Aims and Scope
      • Abstracting and Indexing
      • Bibliographic Information
      • Archive
    • International Journal of Epigenetics
      • Information for Authors
      • Editorial Policies
      • Editorial Board
      • Aims and Scope
      • Abstracting and Indexing
      • Bibliographic Information
      • Archive
    • International Journal of Functional Nutrition
      • Information for Authors
      • Editorial Policies
      • Editorial Board
      • Aims and Scope
      • Abstracting and Indexing
      • Bibliographic Information
      • Archive
    • International Journal of Molecular Medicine
      • Information for Authors
      • Editorial Policies
      • Editorial Board
      • Aims and Scope
      • Abstracting and Indexing
      • Bibliographic Information
      • Archive
    • International Journal of Oncology
      • Information for Authors
      • Editorial Policies
      • Editorial Board
      • Aims and Scope
      • Abstracting and Indexing
      • Bibliographic Information
      • Archive
    • Medicine International
      • Information for Authors
      • Editorial Policies
      • Editorial Board
      • Aims and Scope
      • Abstracting and Indexing
      • Bibliographic Information
      • Archive
    • Molecular and Clinical Oncology
      • Information for Authors
      • Editorial Policies
      • Editorial Board
      • Aims and Scope
      • Abstracting and Indexing
      • Bibliographic Information
      • Archive
    • Molecular Medicine Reports
      • Information for Authors
      • Editorial Policies
      • Editorial Board
      • Aims and Scope
      • Abstracting and Indexing
      • Bibliographic Information
      • Archive
    • Oncology Letters
      • Information for Authors
      • Editorial Policies
      • Editorial Board
      • Aims and Scope
      • Abstracting and Indexing
      • Bibliographic Information
      • Archive
    • Oncology Reports
      • Information for Authors
      • Editorial Policies
      • Editorial Board
      • Aims and Scope
      • Abstracting and Indexing
      • Bibliographic Information
      • Archive
    • World Academy of Sciences Journal
      • Information for Authors
      • Editorial Policies
      • Editorial Board
      • Aims and Scope
      • Abstracting and Indexing
      • Bibliographic Information
      • Archive
  • Articles
  • Information
    • For Authors
    • For Reviewers
    • For Librarians
    • For Advertisers
    • Conferences
  • Language Editing
Login Register Submit
  • This site uses cookies
  • You can change your cookie settings at any time by following the instructions in our Cookie Policy. To find out more, you may read our Privacy Policy.

    I agree
Search articles by DOI, keyword, author or affiliation
Search
Advanced Search
presentation
International Journal of Molecular Medicine
Join Editorial Board Propose a Special Issue
Print ISSN: 1107-3756 Online ISSN: 1791-244X
Journal Cover
July-2014 Volume 34 Issue 1

Full Size Image

Sign up for eToc alerts
Recommend to Library

Journals

International Journal of Molecular Medicine

International Journal of Molecular Medicine

International Journal of Molecular Medicine is an international journal devoted to molecular mechanisms of human disease.

International Journal of Oncology

International Journal of Oncology

International Journal of Oncology is an international journal devoted to oncology research and cancer treatment.

Molecular Medicine Reports

Molecular Medicine Reports

Covers molecular medicine topics such as pharmacology, pathology, genetics, neuroscience, infectious diseases, molecular cardiology, and molecular surgery.

Oncology Reports

Oncology Reports

Oncology Reports is an international journal devoted to fundamental and applied research in Oncology.

Experimental and Therapeutic Medicine

Experimental and Therapeutic Medicine

Experimental and Therapeutic Medicine is an international journal devoted to laboratory and clinical medicine.

Oncology Letters

Oncology Letters

Oncology Letters is an international journal devoted to Experimental and Clinical Oncology.

Biomedical Reports

Biomedical Reports

Explores a wide range of biological and medical fields, including pharmacology, genetics, microbiology, neuroscience, and molecular cardiology.

Molecular and Clinical Oncology

Molecular and Clinical Oncology

International journal addressing all aspects of oncology research, from tumorigenesis and oncogenes to chemotherapy and metastasis.

World Academy of Sciences Journal

World Academy of Sciences Journal

Multidisciplinary open-access journal spanning biochemistry, genetics, neuroscience, environmental health, and synthetic biology.

International Journal of Functional Nutrition

International Journal of Functional Nutrition

Open-access journal combining biochemistry, pharmacology, immunology, and genetics to advance health through functional nutrition.

International Journal of Epigenetics

International Journal of Epigenetics

Publishes open-access research on using epigenetics to advance understanding and treatment of human disease.

Medicine International

Medicine International

An International Open Access Journal Devoted to General Medicine.

Journal Cover
July-2014 Volume 34 Issue 1

Full Size Image

Sign up for eToc alerts
Recommend to Library

  • Article
  • Citations
    • Cite This Article
    • Download Citation
    • Create Citation Alert
    • Remove Citation Alert
    • Cited By
  • Similar Articles
    • Related Articles (in Spandidos Publications)
    • Similar Articles (Google Scholar)
    • Similar Articles (PubMed)
  • Download PDF
  • Download XML
  • View XML
Article Open Access

Efficient myoblast expansion for regenerative medicine use

  • Authors:
    • Danuta Jarocha
    • Klaudia Stangel-Wojcikiewicz
    • Antoni Basta
    • Marcin Majka
  • View Affiliations / Copyright

    Affiliations: Department of Transplantation, Polish-American Institute of Pediatrics, Jagiellonian University School of Medicine, 30‑663 Cracow, Poland, Department of Gynecology and Oncology, Jagiellonian University School of Medicine, 31-501 Cracow, Poland
    Copyright: © Jarocha et al. This is an open access article distributed under the terms of Creative Commons Attribution License [CC BY_NC 3.0].
  • Pages: 83-91
    |
    Published online on: April 30, 2014
       https://doi.org/10.3892/ijmm.2014.1763
  • Expand metrics +
Metrics: Total Views: 0 (Spandidos Publications: | PMC Statistics: )
Metrics: Total PDF Downloads: 0 (Spandidos Publications: | PMC Statistics: )
Cited By (CrossRef): 0 citations Loading Articles...

This article is mentioned in:



Abstract

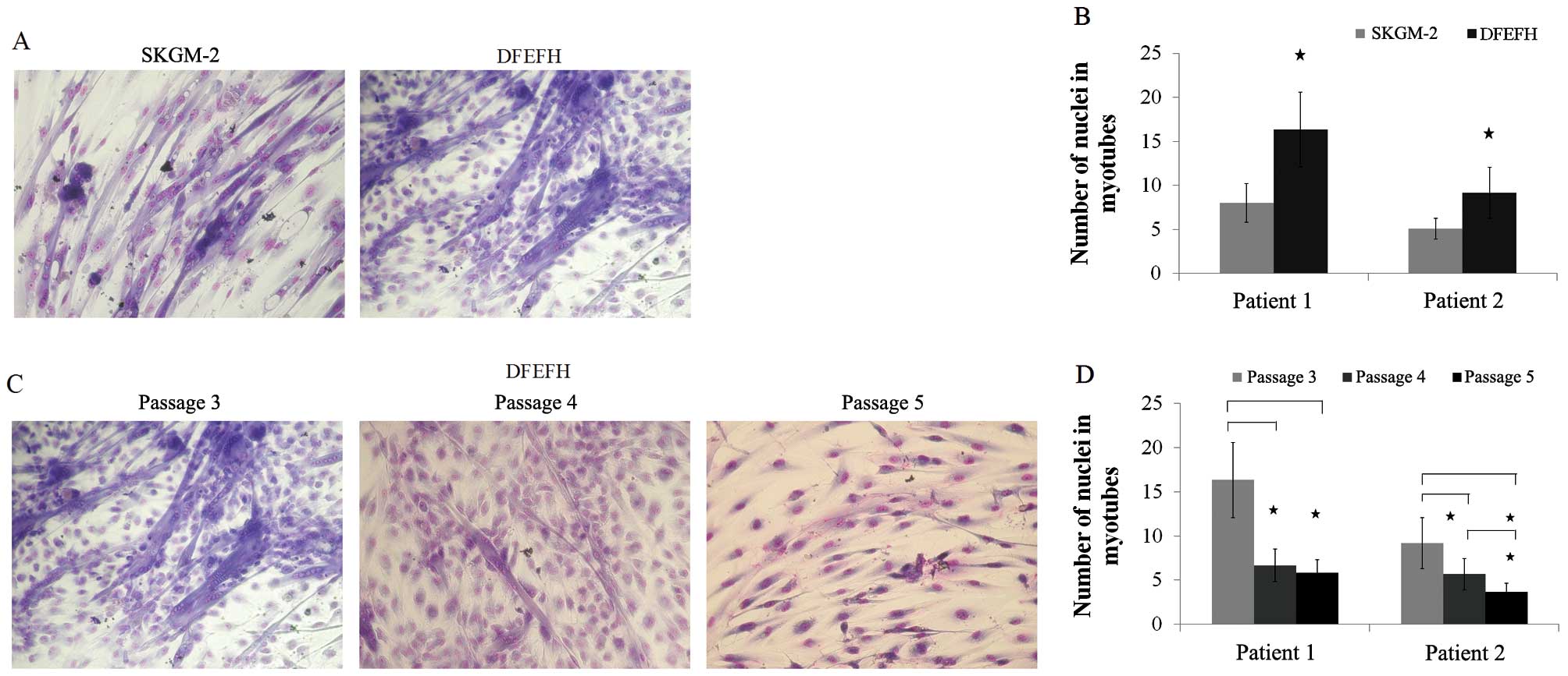
Cellular therapy using expanded autologous myoblasts is a treatment modality for a variety of diseases. In the present study, we compared the commercial skeletal muscle cell growth medium-2 (SKGM-2) with a medium designed by our group for the expansion of skeletal myoblasts. The use of an in-house medium [DMEM/F12 medium supplemented with EGF, bFGF, HGF, insulin and dexamethasone (DFEFH)] resulted in a greater number of myoblast colonies (>50%) and a 3-, 4- and 9‑fold higher proliferation rate, eventually resulting in a 3-, 7- and 87-fold greater number of cells at the 1st, 2nd and 3rd passage, respectively, compared with the cells grown in SKGM-2 medium. The average CD56 expression level was higher in the myoblasts cultured in DFEFH than in those culturd in SKGM-2 medium. At the 3rd passage, lower expression levels of myostatin and considerably higher expression levels of myogenin were observed in the cells that were grown in DFEFH medium. The results of our study indicated that myoblasts cultured in both medium types displayed fusogenic potential at the 3rd passage. Furthermore, it was shown that cells cultured in DFEFH medium created myotubes with a considerably higher number of nuclei. Additionally, we observed that the fusion potential of the cells markedly decreased with the subsequent passages and that the morphology of the myoblasts differed between the 2 cultured media. Our data demonstrate that culture in the DFEFH medium leads to an approximately 90‑fold greater number of myoblasts, with improved morphology and greater fusion potential, compared with culture in the commercial SKGM-2 medium.
View Figures

Figure 1

Figure 2

Figure 3

Figure 4

View References

1 

Peters K, Kaufman M, Dmochowski R, et al: 1340 Autologous muscle derived cell therapy for the treatment of female stress urinary incontinence: A multi-center experience. J Urol. 185:e535–e536. 2011. View Article : Google Scholar

2 

Baj A, Bettaccini AA, Casalone R, et al: Culture of skeletal myoblasts from human donors aged over 40 years: dynamics of cell growth and expression of differentiation markers. J Transl Med. 12:1–10. 2005.PubMed/NCBI

3 

Pagani FD, DerSimonian H, Zawadzka A, et al: Autologous skeletal myoblasts transplanted to ischemia-damaged myocardium in humans. J Am Coll Cardiol. 41:879–888. 2003. View Article : Google Scholar : PubMed/NCBI

4 

Bischoff R: A satellite cell mitogen from crushed adult muscle. Dev Biol. 115:140–147. 1986. View Article : Google Scholar : PubMed/NCBI

5 

Clarke MS, Khakee R and McNeil PL: Loss of cytoplasmic basic fibroblast growth factor from physiologically wounded myofibers of normal and dystrophic muscle. J Cell Sci. 106:121–133. 1993.PubMed/NCBI

6 

Allen RE, Sheehan SM, Taylor RG, et al: Hepatocyte growth factor activates quiescent skeletal muscle satellite cells in vitro. J Cell Physiol. 165:307–312. 1995. View Article : Google Scholar : PubMed/NCBI

7 

Tatsumi R, Anderson JE, Nevoret CJ, et al: HGF/SF is present in normal adult skeletal muscle and is capable of activating satellite cells. Dev Biol. 194:114–128. 1998. View Article : Google Scholar

8 

Johnson SE and Allen RE: Activation of skeletal muscle satellite cells and the role of fibroblast growth factor receptors. Exp Cell Res. 219:449–453. 1995. View Article : Google Scholar : PubMed/NCBI

9 

Rao SS and Kohtz S: Positive and negative regulation of d-type cyclin expression in skeletal myoblasts by basic Fibroblasts growth factor and Transforming growth Factor beta. J Biol Chem. 270:4093–4100. 1995. View Article : Google Scholar : PubMed/NCBI

10 

Sheehan SM and Allen RE: Skeletal muscle satellite cell proliferation in response to members of the fibroblast growth factor family and hepatocyte growth factor. J Cell Physiol. 181:499–506. 1999. View Article : Google Scholar : PubMed/NCBI

11 

Clegg CH, Linkhart TA, Olwin BB, et al: Growth factor control of skeletal muscle differentiation: commitment to terminal differentiation occurs in G1 phase and is repressed by fibroblast growth factor. J Cell Biol. 105:949–956. 1987. View Article : Google Scholar

12 

McGeachie JK and Grounds MD: Retarded myogenic cell replication in regenerating skeletal muscles of old mice: an autoradiographic study in young and old BALBc and SJL/J mice. Cell Tissue Res. 280:277–282. 1995. View Article : Google Scholar : PubMed/NCBI

13 

Bischoff R: Proliferation of muscle satellite cells on intact myofibers in culture. Dev Biol. 115:129–139. 1986. View Article : Google Scholar : PubMed/NCBI

14 

Allen RE, Dodson MV and Luiten LS: Regulation of skeletal muscle satellite cell proliferation by bovine pituitary fibroblast growth factor. Exp Cell Res. 152:154–160. 1984. View Article : Google Scholar : PubMed/NCBI

15 

Roe JA, Baba AS, Harper JM, et al: Effects of growth factors and gut regulatory peptides on nutrient uptake in ovine muscle cell cultures. Comp Biochem Physiol A Physiol. 110:107–114. 1995. View Article : Google Scholar : PubMed/NCBI

16 

Alessandri G, Pagano S, Bez A, et al: Isolation and culture of human muscle-derived stem cells able to differentiate into myogenic and neurogenic cell lineages. Lancet. 364:1872–1883. 2004. View Article : Google Scholar : PubMed/NCBI

17 

Boudreault P, Tremblay JP, Pépin MF, et al: Scale-up of a myoblast culture process. J Biotechnol. 91:63–74. 2001. View Article : Google Scholar : PubMed/NCBI

18 

Editor S, Mcinnes RR, La S, et al: The molecular regulation of myogenesis. Clin Genet. 16:16–25. 2000.

19 

Kitzmann M, Carnac G, Vandromme M, et al: The muscle regulatory factors MyoD and myf-5 undergo distinct cell cycle-specific expression in muscle cells. J Cell Biol. 142:1447–1459. 1998. View Article : Google Scholar : PubMed/NCBI

20 

Cooper RN, Tajbakhsh S, Mouly V, et al: In vivo satellite cell activation via Myf5 and MyoD in regenerating mouse skeletal muscle. J Cell Sci. 112:2895–2901. 1999.PubMed/NCBI

21 

Hasty P, Bradley A, Morris JH, et al: Muscle deficiency and neonatal death in mice with a targeted mutation in the myogenin gene. Nature. 364:501–506. 1993. View Article : Google Scholar : PubMed/NCBI

22 

Rawls A, Valdez MR, Zhang W, et al: Overlapping functions of the myogenic bHLH genes MRF4 and MyoD revealed in double mutant mice. Development. 125:2349–2358. 1998.PubMed/NCBI

23 

McPherron AC, Lawler AM and Lee SJ: Regulation of skeletal muscle mass in mice by a new TGF-beta superfamily member. Nature. 387:83–90. 1997. View Article : Google Scholar : PubMed/NCBI

24 

McCroskery S, Thomas M, Maxwell L, et al: Myostatin negatively regulates satellite cell activation and self-renewal. The J Cell Biol. 162:1135–1147. 2003. View Article : Google Scholar : PubMed/NCBI

25 

Thomas M, Langley B, Berry C, et al: Myostatin, a negative regulator of muscle growth, functions by inhibiting myoblast proliferation. The J Biol Chem. 275:40235–40243. 2000. View Article : Google Scholar : PubMed/NCBI

26 

Langley B, Thomas M, Bishop A, et al: Myostatin inhibits myoblast differentiation by down-regulating MyoD expression. The J Biol Chem. 277:49831–49840. 2002. View Article : Google Scholar : PubMed/NCBI

27 

Rios R, Carneiro I, Arce CM, et al: Myostatin is an inhibitor of myogenic differentiation. Am J Physiol Cell Physiol. 282:993–999. 2002. View Article : Google Scholar

28 

Pette D and Staron RS: Myosin isoforms, muscle fiber types, and transitions. Microsc Res Tech. 50:500–509. 2000. View Article : Google Scholar : PubMed/NCBI

29 

Chowdhury SR, Muneyuki Y, Takezawa Y, et al: Growth and differentiation potentials in confluent state of culture of human skeletal muscle myoblasts. J Biosci Bioeng. 109:310–313. 2010. View Article : Google Scholar : PubMed/NCBI

30 

Ham RG, St Clair JA, Webster C, et al: Improved media for normal human muscle satellite cells: serum-free clonal growth and enhanced growth with low serum. In Vitro Cell Dev Biol. 24:833–844. 1988. View Article : Google Scholar : PubMed/NCBI

31 

Stern-Straeter J, Bran G, Riedel F, et al: Characterization of human myoblast cultures for tissue engineering. Int J Mol Med. 21:49–56. 2008.

32 

Sheehan SM, Tatsumi R, Temm-Grove CJ, et al: HGF is an autocrine growth factor for skeletal muscle satellite cells in vitro. Muscle Nerve. 23:239–245. 2000. View Article : Google Scholar : PubMed/NCBI

33 

Yanagiuchi A, Miyake H, Nomi M, et al: Modulation of the microenvironment by growth factors regulates the in vivo growth of skeletal myoblasts. BJU Int. 103:1569–1573. 2009. View Article : Google Scholar : PubMed/NCBI

34 

Kühl U, Ocalan M, Timpl R, et al: Role of laminin and fibronectin in selecting myogenic versus fibrogenic cells from skeletal muscle cells in vitro. Dev Biol. 117:628–635. 1986.PubMed/NCBI

35 

Ocalan M, Goodman SL, Kühl U, et al: Laminin alters cell shape and stimulates motility and proliferation of murine skeletal myoblasts. Dev Biol. 125:158–167. 1988. View Article : Google Scholar : PubMed/NCBI

36 

Eberli D, Soker S, Atala A, et al: Optimization of human skeletal muscle precursor cell culture and myofiber formation in vitro. Methods. 47:98–103. 2009. View Article : Google Scholar : PubMed/NCBI

37 

Martin SD, Collier FM, Kirkland MA, et al: Enhanced proliferation of human skeletal muscle precursor cells derived from elderly donors cultured in estimated physiological (5%) oxygen. Cytotechnology. 61:93–107. 2009.PubMed/NCBI

38 

Blau HM, Chiu C-P and Webster C: Cytoplasmic activation of human nuclear genes in stable heterocaryons. Cell. 32:1171–1180. 1983. View Article : Google Scholar : PubMed/NCBI

39 

Kino-Oka M, Chowdhury SR, Muneyuki Y, et al: Automating the expansion process of human skeletal muscle myoblasts with suppression of myotube formation. Tissue Eng Part C Methods. 15:717–728. 2009. View Article : Google Scholar : PubMed/NCBI

40 

Nehlin JO, Just M, Rustan AC, et al: Human myotubes from myoblast cultures undergoing senescence exhibit defects in glucose and lipid metabolism. Biogerontology. 12:349–365. 2011. View Article : Google Scholar : PubMed/NCBI

41 

Herschorn S, Carr L, Birch C, et al: Autologous muscle-derived cells as therapy for stress urinary incotinence: a randomized, blinded trial. Neurourol Urodyn. 29:3072010.

42 

Zammit P: Kinetics of myoblast proliferation show that resident satellite cells are competent to fully regenerate skeletal muscle fibers. Exp Cell Res 2002. 281:39–49. 2002. View Article : Google Scholar : PubMed/NCBI

43 

Liu H-Z, Li Q, Yang X-Y, et al: Expression of basic fibroblast growth factor results in the decrease of myostatin mRNA in murine C2C12 myoblasts. Acta Biochim Biophys Sin (Shanghai). 38:697–703. 2006. View Article : Google Scholar : PubMed/NCBI

44 

Zhu X, Topouzis S, Liang L-F, et al: Myostatin signaling through Smad2, Smad3 and Smad4 is regulated by the inhibitory Smad7 by a negative feedback mechanism. Cytokine. 26:262–272. 2004. View Article : Google Scholar : PubMed/NCBI

45 

Forbes D, Jackman M, Bishop A, et al: Myostatin auto-regulates its expression by feedback loop through Smad7 dependent mechanism. J Cell Physiol. 206:264–272. 2006. View Article : Google Scholar : PubMed/NCBI

46 

Cornelison DD and Wold BJ: Single-cell analysis of regulatory gene expression in quiescent and activated mouse skeletal muscle satellite cells. Dev Biol. 191:270–283. 1997. View Article : Google Scholar : PubMed/NCBI

47 

Bentzinger CF, Wang YX and Rudnicki M: Building muscle: molecular regulation of myogenesis. Cold Spring Harb Perspect Biol. 4:1–16. 2012. View Article : Google Scholar : PubMed/NCBI

Related Articles

  • Abstract
  • View
  • Download
  • Twitter
Copy and paste a formatted citation
Spandidos Publications style
Jarocha D, Stangel-Wojcikiewicz K, Basta A and Majka M: Efficient myoblast expansion for regenerative medicine use. Int J Mol Med 34: 83-91, 2014.
APA
Jarocha, D., Stangel-Wojcikiewicz, K., Basta, A., & Majka, M. (2014). Efficient myoblast expansion for regenerative medicine use. International Journal of Molecular Medicine, 34, 83-91. https://doi.org/10.3892/ijmm.2014.1763
MLA
Jarocha, D., Stangel-Wojcikiewicz, K., Basta, A., Majka, M."Efficient myoblast expansion for regenerative medicine use". International Journal of Molecular Medicine 34.1 (2014): 83-91.
Chicago
Jarocha, D., Stangel-Wojcikiewicz, K., Basta, A., Majka, M."Efficient myoblast expansion for regenerative medicine use". International Journal of Molecular Medicine 34, no. 1 (2014): 83-91. https://doi.org/10.3892/ijmm.2014.1763
Copy and paste a formatted citation
x
Spandidos Publications style
Jarocha D, Stangel-Wojcikiewicz K, Basta A and Majka M: Efficient myoblast expansion for regenerative medicine use. Int J Mol Med 34: 83-91, 2014.
APA
Jarocha, D., Stangel-Wojcikiewicz, K., Basta, A., & Majka, M. (2014). Efficient myoblast expansion for regenerative medicine use. International Journal of Molecular Medicine, 34, 83-91. https://doi.org/10.3892/ijmm.2014.1763
MLA
Jarocha, D., Stangel-Wojcikiewicz, K., Basta, A., Majka, M."Efficient myoblast expansion for regenerative medicine use". International Journal of Molecular Medicine 34.1 (2014): 83-91.
Chicago
Jarocha, D., Stangel-Wojcikiewicz, K., Basta, A., Majka, M."Efficient myoblast expansion for regenerative medicine use". International Journal of Molecular Medicine 34, no. 1 (2014): 83-91. https://doi.org/10.3892/ijmm.2014.1763
Follow us
  • Twitter
  • LinkedIn
  • Facebook
About
  • Spandidos Publications
  • Careers
  • Cookie Policy
  • Privacy Policy
How can we help?
  • Help
  • Live Chat
  • Contact
  • Email to our Support Team