International Journal of Molecular Medicine is an international journal devoted to molecular mechanisms of human disease.
International Journal of Oncology is an international journal devoted to oncology research and cancer treatment.
Covers molecular medicine topics such as pharmacology, pathology, genetics, neuroscience, infectious diseases, molecular cardiology, and molecular surgery.
Oncology Reports is an international journal devoted to fundamental and applied research in Oncology.
Experimental and Therapeutic Medicine is an international journal devoted to laboratory and clinical medicine.
Oncology Letters is an international journal devoted to Experimental and Clinical Oncology.
Explores a wide range of biological and medical fields, including pharmacology, genetics, microbiology, neuroscience, and molecular cardiology.
International journal addressing all aspects of oncology research, from tumorigenesis and oncogenes to chemotherapy and metastasis.
Multidisciplinary open-access journal spanning biochemistry, genetics, neuroscience, environmental health, and synthetic biology.
Open-access journal combining biochemistry, pharmacology, immunology, and genetics to advance health through functional nutrition.
Publishes open-access research on using epigenetics to advance understanding and treatment of human disease.
An International Open Access Journal Devoted to General Medicine.
Introduction
Types of Sweet’s syndrome
Medications associated with Sweet’s syndrome
Clinical features
Differential diagnosis and diagnostic work up
Treatment
Conclusions
Sweet’s syndrome was originally described by Robert Douglas Sweet in 1964 as an ‘acute febrile neutrophilic dermatosis’. Dr Sweet described the cardinal features of a distinctive and severe illness in eight female patients during the 15-year period from 1949 to 1964 with a similar constellation of findings: fever, leukocytosis, tender erythematous skin plaques and nodules (1). When biopsied, these painful skin lesions revealed dense, neutrophilic dermal infiltrate into the upper or papillary dermis.
It is now understood that some cases of Sweet’s syndrome are not limited to the skin and various extracutaneous manifestations of Sweet’s syndrome have been described (2). Dr Sweet himself preferred the disease be called as Gomm-Button disease in honor of the first two patients afflicted with the condition in Dr Sweet’s practice (1). With time, however, the eponymic ‘Sweet’s syndrome’ has taken hold to describe this condition which may also be referred to by Dr Sweet’s original descriptive ‘acute febrile neutrophilic dermatosis’.
It is imperative the oncologist not miss the sentinel nature of this skin lesion, as Sweet’s syndrome can alert the physician to the diagnosis of cancer or the recurrence of malignancy. In this report, we will discuss pathophysiology, diagnosis and challenges in the treatment associated with malignancy-associated Sweet’s syndrome.
There are three main clinical settings in which Sweet’s syndrome has been described: classical or idiopathic Sweet’s syndrome, malignancy-associated Sweet’s syndrome and drug-induced Sweet’s syndrome (2).
The classical Sweet’s syndrome is described by a constellation of clinical symptoms, physical features and pathologic findings which include fever, leukocytosis, tender erythematous skin lesions (papules, nodules and plaques) and a diffuse infiltrate consisting predominantly of mature neutrophils typically located in the upper dermis. The symptoms and clinical manifestations typically respond promptly after initiation of systemic corticosteroid therapy (1,2). The syndrome predominately affects women over men at a 4:1 ratio and most commonly presents between 30–60 years of age (2). In idiopathic Sweet’s syndrome recurrence occurs in 1/3 of patients (2).
Formal diagnostic criteria for classical Sweet’s syndrome were introduced by Su and Liu in 1986 (3). They were modified by von den Driesch in 1994 (4). Major criteria include rapid onset of characteristic tender skin lesions and erythematous plaques and nodules with typical histopathologic features: dense neutrophil infiltration without leukocytoclastic vasculitis. The minor criteria are fever (>38°C), prior upper gastrointestinal infection or immunization, the presence of hematologic or solid neoplasia, inflammatory disorders, or pregnancy and excellent response to corticosteroids or potassium iodide. Abnormal laboratory findings include erythrocyte sedimentation rate >20 mm/h, white blood cell count >8×109/l, neutrophils >70% and high C-reactive protein. The diagnosis relies on the presence of at least 3 of these factors. The presence of both major criteria (1 and 2) and two of the four minor criteria confirms the diagnosis of classical Sweet’s syndrome (Table I).
Malignancy-associated Sweet’s syndrome has equal incidence in men and women (3). In 1993, a review was published from 15 studies of patients with Sweet’s syndrome (each containing between 10 and 48 individuals). This study found that ∼ 21% of patients newly diagnosed with Sweet’s syndrome were subsequently diagnosed or already diagnosed with either a hematologic (15%) or solid cancer (6%) (5).
Sweet’s syndrome can be the cutaneous sign of either an undiagnosed malignancy or the first sign of a cancer recurrence (6). Approximately 85% of reported cases of malignancy-associated Sweet’s syndrome had underlying hemopoietic neoplasia, most commonly acute myeloblastic leukemia. Other hematological malignancies include myeloproliferative neoplasms, diffuse large B-cell lymphoma, Hodgkin’s lymphoma, myelodysplastic syndrome and myelofibrosis. The most common solid malignancies reported with Sweet’s syndrome are carcinomas of the genitourinary organs, breast and gastrointestinal tract, most frequently adenocarcinomas (57%) (5–9). More recently, the incidence is said to be increasing due to the awareness of the disease by physicians and also due to the frequent use of growth factors (6).
Malignancy-associated Sweet’s syndrome was initially included as a subset of classical Sweet’s syndrome. Therefore, several researchers and clinicians consider it appropriate to distinguish malignancy-associated Sweet’s syndrome from the classical form of this disease (2). The distinct features for malignancy-associated Sweet’s syndrome are: a) equal frequency in males and females, b) lack of precedent upper respiratory tract infection, c) association with newly diagnosed or relapsed cancer.
The diagnosis of Sweet’s syndrome has a temporal association with the discovery or relapse of cancer (4). That is, the finding of Sweet’s syndrome is often the sentinel sign of recurrence in previously diagnosed malignancy or in the diagnosis of new malignancy (5,10–14).
Extracutaneous manifestations have been reported to be present in 50% of patients affected with malignancy-associated Sweet’s syndrome (7). These extracutaneous manifestations of Sweet’s syndrome in patients with malignancy are more likely to be present in hematologic malignancy compared to solid malignancy (5,6). These include periorbital mass stimulating periorbital cellulitis (15), pyoderma gangrenosum (16), sudden massive swelling of the tongue in acute myeloid leukemia (17) and erythematous tender plaques and inflammatory changes in post-mastectomy lymphedemous areas which may simulate infection (2,18).
The pathogenesis of Sweet’s syndrome remains to be definitively determined. Circulating autoantibodies, cytokines, dermal dendrocytes, human leukocyte antigen serotypes, immune complexes, paraneoplastic phenomena and leukotactic mechanisms, may contribute to the pathogenesis of Sweet’s syndrome (2,6,19).
Fever and peripheral leukocytosis in the majority of patients point toward a possible infectious process. This hypothesis is supported by the observation that the manifestations of Sweet’s syndrome improve with systemic antibiotics in some patients with dermatosis-associated culture-confirmed and serology-confirmed Yersinia enterolitica intestinal infections (2,20).
Another hypothesis is that Sweet’s syndrome represents a hypersensitivity reaction to an antigen that is introduced into the body by either a bacterial, viral or neoplastic process. This hypothesis is supported by the typical response to corticosteroids as a means of treatment of Sweet’s syndrome (6).
The most frequently proposed hypothesis for the pathogenesis of Sweet’s syndrome in malignancy is the overproduction and inappropriate regulation of inflammatory cytokines such as IL-1, IL-3, IL-6, IL-8, granulocyte colony stimulating factor (G-CSF) and granulocyte macrophage colony stimulating factor (GM-CSF) (6). This theory is supported by cases in which Sweet’s syndrome patients had received G-CSF/GM-CSF, interferon-γ and ATRA with subsequent development of Sweet’s syndrome (6–8,21). Some cases have also reported high levels of G-CSF, IL 4, IL 6 and interferon-γ in solid and hematological malignancies (6,22–28).
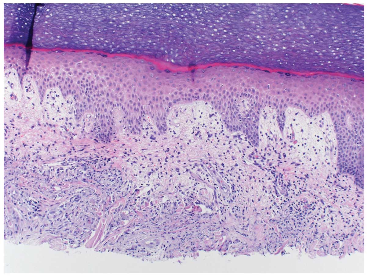
The skin lesions of Sweet’s syndrome exhibit a diffusely distributed inflammatory infiltrate of mature neutrophils and fragmentation of neutrophil nuclei. This process is referred as karyorrhexis or leukocytoclasia. The epidermis appears normal and there is classically no evidence of primary leucocytoclastic vasculitis such as fibrin deposition or neutrophils within vessel walls (6). Fig. 1 describes a 60-year-old breast cancer patient who developed Sweet’s syndrome a week after receiving the growth factor pegfilgrastim.
Although neutrophilic inflammation is typically restricted to within the dermis, neutrophils have been observed within the overlying epidermis (as either neutrophilic spongiotic vesicles or subcorneal pustules) and within the underlying adipose tissue (referred to as subcutaneous Sweet’s syndrome) (2). Similar changes have been described in bones, intestines, liver, aorta, lungs and muscles of patients with Sweet’s syndrome (6,15,22–27).
Only a small number of patients with Sweet’s syndrome can also present with skin lesions concurrently demonstrating leukemia cutis. In leukemia cutis, the dermal infiltrate consists not only of mature polymorphonuclear cells (Sweet’s syndrome) but also leukemic blasts (leukemia cutis). Acute myelocytic leukemia and acute promyelocytic leukemia are the most frequent hematological malignancies associated with concurrent leukemia cutis (6,22). A variant of Sweet’s syndrome with cellular infiltrate, characterized by an abundance of histiocytoid monocytic cells with intense myeloperoxidase reactivity indicating a myeloid origin and permitting classification as immature neutrophilic granulocytes. These infiltrates must be distinguished from specific leukemic infiltrates (29).
In drug-induced Sweet’s syndrome, there is nearly always a temporal relationship between medication administration and symptom development. In 1996, Walker and Cohen described the diagnostic criteria for drug-induced Sweet’s syndrome (21). All five features should be present to diagnose drug-induced Sweet’s syndrome (Table II).
The most commonly reported drug causing Sweet’s syndrome is granulocyte-colony stimulating factor. Other medications that are frequently associated with Sweet’s syndrome include bortezomib, hypomethylating agents (azacitidine, decatibine), imatinib, lenalidomide and all-trans retinoic acid. Table III describes the most commonly reported anticancer agents with Sweet’s syndrome (26,31–46).
G-CSF is the most commonly associated agent with drug-induced Sweet’s syndrome. G-CSF is known to induce stem cell proliferation, differentiation of neutrophils and neutrophil survival. G-CSF is thus responsible for neutrophil skin accumulation and seems to show a dose-dependent effect in provoking Sweet’s syndrome (31). Several cases have reported G-CSF-associated Sweet’s syndrome (23,31,32). The majority of these patients were successfully treated with corticosteroids. These patients usually responded successfully to 40 mg prednisone daily. An interesting case series examined twelve patients, five with active Sweet’s syndrome and seven without active Sweet’s syndrome. They found significantly higher levels of G-CSF with active Sweet’s syndrome than those with inactive Sweet’s syndrome (26). This suggests that both exogenous and endogenous G-CSF is associated with this syndrome.
Bortezomib (Velcade®) is the first of the new class of medications called proteasome inhibitors. Bortezomib appears to act directly on important intracellular processes, such as the nuclear factor κB (NF-κB) pathway, to cause cell death. Indirectly, it inhibits growth and survival by acting on the bone environment. A case has been reported of two patients who developed Sweet’s syndrome who received bortezomib (34). Both patients responded to corticosteroids. Another case report suggests that Sweet’s syndrome induced by bortezomib may not necessarily require cessation of bortezomib since administration of corticosteroids prevents its recurrence (35).
The hypomethylating agents azacitdine and decitibine are approved for the treatment of patients with myelodysplastic syndrome (MDS). Azacitidine is thought to induce antineoplastic activity via inhibition of DNA methyltransferase at low doses causing hypomethylation of DNA and at high dose incorporated into both DNA and RNA chains. Decitabine functions in a similar manner to azacitidine, although decitabine can only be incorporated into DNA strands while azacitidine can be incorporated into both DNA and RNA chains.
In 2009, azacitidine associated dense, hemorrhagic, neutrophilic dermatitis with massive subepidermal and intraepidermal edema, consistent with a diagnosis of Sweet’s syndrome was published in a series of myelodysplastic patients (36). Interestingly, the amount of neutrophilic involvement of the skin was quantitatively less than previously reported, possibly because of the neutropenic state of the patients. All patients initially responded to corticosteroids. However, one patient on decitibine who did not respond to high-dose corticosteroids died with recurrent Sweet’s syndrome. This patient’s course was complicated by a superimposed acinobacter pneumonia and sepsis. Therefore, it is important that this syndrome should be noted in the differential and treated early and aggressively in the course of treatment with these nucleoside hypomethylating agents. Two other cases have been reported of Sweet’s syndrome developing in patients on azacitidine (37). In both cases, azacitidine was stopped and patients were successfully treated with corticosteroids and antibiotics. After resolution of symptoms, one patient was treated with decitibine and the other patient was successfully rechallenged with azacitidine for MDS management.
Imatinib, a tyrosine kinase inhibitor, is used in treating chronic myelogenous leukemia (CML), gastrointestinal stromal tumors and some other diseases. Skin toxicities are a well recognized side effect of imatinib treatment. The skin toxicities include Stevens-Johnson syndrome, acute generalized exanthematous pustulosis, photosensitivity, hypopigmentation and Sweet syndrome (38).
Liu et al(39) have reported cell infiltration of the skin in a chronic-phase CML patient who was at the time in molecular remission and was taking imatinib mesylate. The patient was treated by her dermatologist with topical steroids and oral prednisone with gradual resolution of the skin rash. Imatinib was held starting 4 weeks after the skin rash erupted and discontinued for a total of 6 weeks. Imatinib was restarted at 300 mg daily due to positivity for bcr/abl by PCR, although cytogenetics and FISH studies remained normal with no further recurrence of Sweet’s syndrome (39).
Another case report demonstrates Sweet’s syndrome after imatinib in a 53-year-old African American woman with CML. A skin biopsy specimen showed neutrophilic dermatosis with epidermal sparing consistent with Sweet’s syndrome. Therapy with prednisone at 40 mg/d led to complete resolution (40).
Lenalidomide (Revlimid) is an amino-substituted variant of thalidomide that is an immunomodulatory drug. One patient developed tender vesicles and bullae on the hands 6 days after starting treatment with lenalidomide for agnogenic myeloid metaplasia. Biopsy revealed dense superficial inflammatory dermal neutrophilia. Lenalidomide treatment was discontinued and the patient was started on prednisone therapy (40 mg/d), which was gradually tapered over 3 to 4 weeks. The lesions resolved with no recurrence in 6 months of follow-up (41).
Another interesting presentation of Sweet’s syndrome was reported with high-dose lenalidomide presenting as multiple plum-colored, tender ulcerated and crusted nodules predominantly located on the legs with fewer lesions on the elbows, lower aspect of back and buttocks. The patient was given the diagnosis of a neutrophilic dermatosis, lenalidomide was discontinued and prednisone (60 mg/d) was started with substantial clinical improvement within 24 h of initiation of therapy (42). This case suggests the possibility of an immune-complex mediated process, favoring gravitationally-dependent sites for Sweet’s syndrome with propensity of higher dose of lenalidomide (25 mg/d).
Another patient is reported with Sweet’s syndrome in chronic lymphocytic leukemia who was treated with lenalidomide. The patient responded successfully to prednisone therapy (43). In a recently published study, the severity of lenalidomide-associated tumor flare reactions in CLL patients correlated directly with in vitro lenalidmide-induced upregulation of CD80 on CLL cells and CD69 expression on T cells (T-cell activation) and inversely with treatment-induced changes in T-cell numbers. A striking increase in the levels of IL-6 and TNF-α was seen in the patient with the most severe reaction, suggesting ‘immune-activation’ as the most likely culprit (43,44).
ATRA has been used in the treatment of acute promyeolocytic leukemia. A review of fourteen case reports of ATRA-associated Sweet’s syndrome showed the median time for development of Sweet’s syndrome is 18 days of ATRA therapy (6–34 days). Four patients continued with the ATRA therapy without interruption, 13 patients were treated with steroids and 12 responded to treatment. One patient improved without any treatment (45). A possible explanation of the mechanism of ATRA-associated Sweet’s syndrome involves alteration of certain functional properties of mature neutrophils, modifying the migratory capabilities of these cells (45). The occurrence of Sweet’s syndrome in some patients on granulocyte colony-stimulating factor (G-CSF) and its increased production by acute promyelocytic leukemia cells in the presence of ATRA suggest that G-CSF may be involved in the pathogenesis of these syndromes (21,46).
Fever is the most common complaint in patients with Sweet’s syndrome. The fever can occasionally precede the skin lesions by days or even weeks (2). Notably, 75–90% of patients with classical or idiopathic Sweet’s syndrome report prior upper respiratory infection preceding the presentation of Sweet’s syndrome itself. However, only ∼20% of patients with malignancy-associated Sweet’s syndrome will report preceding upper respiratory infection (2).
The skin lesions in Sweet’s syndrome are painful, erythematous and papular or nodular. The lesions may coalesce and progress to form plaques over a period of days to weeks. These skin lesions are seen in nearly half of patients with malignancy-associated Sweet’s syndrome and 36% of patients with drug-induced Sweet’s syndrome (5).
Unique characteristics have been observed in the skin lesions seen in malignancy-associated Sweet’s syndrome, sometimes as bullous, ulcerated lesions, with morphologic features of pyoderma gangrenosum (41,47). Cutaneous pathergy, for instance, in post mastectomy lymphedema has also been observed to incite Sweet’s syndrome skin lesions (18).
Manifestations of Sweet’s syndrome have also occurred in the ears, eyes, central nervous system, mouth, bone, muscle, heart, lung, liver, intestines, kidneys and hematologic system (6). Lungs are the most common extracutaneous site. Symptoms include mild dyspnea to acute respiratory distress syndrome and imaging demonstrates diffuse ground-glass opacities or consolidation. Bronchoscopy shows erythematous pustules with ulcerations in the tracheobronchial tree. Bronchoalveolar lavage is characterized by neutrophilic predominance with negative cultures (48).
Anemia has been reported in 82–83% of patients with malignancy-associated Sweet’s syndrome and is found in 100% of patients with drug-induced Sweet’s syndrome but is an exceedingly infrequent finding in patients with idiopathic or classical Sweet’s syndrome (5). Additionally, abnormal platelet count is infrequently found in idiopathic or classical Sweet’s syndrome but has been reported to be present in 68% of patients with hematologic malignancy and Sweet’s syndrome (4). Abnormal platelet counts have been reported in half of patients with drug-induced Sweet’s syndrome and Sweet’s syndrome with solid malignancy (5). Peripheral leukocytosis is frequently observed in Sweet’s syndrome, however, this is not always the case. Some of the patients with malignancy-associated Sweet’s syndrome may have neutropenia as described above (36).
Sweet’s syndrome is characterized by neutrophilic dermatosis or neutrophilic panniculitis, therefore any conditions that present similarly histologically need to be considered in the differential diagnosis of the disease (2,49). As described earlier, leukemia cutis is a condition that can occur either separately or concurrently with Sweet’s syndrome. The primary means of differentiation is that the dermal infiltrate associated with leukemia cutis will consist of neoplastic immature leukocytes in contrast to the mature neutrophils seen in Sweet’s syndrome (2,49). Chloromas also have some overlap with leukemia cutis. Occasionally, hematological malignancy can predispose individuals to infection which include abscess formation, cellulitis and panniculitis thus producing challenges in diagnosis of Sweet’s syndrome (50). Behcet’s disease and pyoderma gangrenosum can both be confused with Sweet’s syndrome due to histological findings and an association with hematological neoplasias (7). Other etiologies that are commonly confused with Sweet’s syndrome include leukocytoclastic vasculitis, periarteritis nodosa and granuloma faciale (3). Several other disorders of neutrophilic dermatosis including bowel (intestinal) bypass syndrome, erythema elevatum diutinum, halogenoderma, neutrophilic eccrine hidradenitis and rheumatoid neutrophilic dermatitis should be considered (49).
A lesional skin biopsy for routine histopathologic evaluation is a useful procedure to confirm a clinically suspected diagnosis of Sweet’s syndrome. It may also be prudent to submit lesional tissue for bacterial, fungal, mycobacterial and possibly viral cultures (2).
The treatment of choice in malignancy-associated Sweet’s syndrome is treatment of the underlying malignancy, which can result in complete resolution of the individual’s Sweet’s syndrome (2). However, patients usually require the course of systemic corticosteroids 1 mg/kg for 3–4 weeks. Surgical intervention have also occasionally promoted resolution of Sweet’s syndrome when the dermatosis is associated with solid tumors (2).
There are no specific guidelines for the treatment of malignancy-associated Sweet’s syndrome, therefore hematologists and oncologists treat Sweet’s syndrome same as classical Sweet’s syndrome. Sweet’s syndrome caused by anticancer agents sometimes involves withdrawal or temporary discontinuation of anticancer agents, use of systemic corticosteroids, and/or rechallenge with either the same anticancer agents or different agents.
Systemic corticosteroids are the mainstay of therapy for Sweet’s syndrome. Prednisone, at a dosage of 1 mg/kg/day (usually ranging from 30 to 60 mg/day), may be given as a single morning dose. After a clinical response is observed, prednisone can be lowered by 10 mg/day within a period of 4–6 weeks. However, some patients may require 2 to 3 months of treatment or intravenous therapy (2). Intravenous pulse administration of methylprednisolone sodium succinate (≤1000 mg/day) over one or more hours, daily for 3–5 days, may be utilized for patients whose condition is refractory to other therapies (51). The dose is followed by tapering oral dose of corticosteroid or another immunosuppressant agent (2,50). The use of systemic corticosteroids should prompt evaluation of every patient for possible prophylactic proton-pump inhibitor therapy.
Localized manifestations of Sweet’s syndrome may be treated with high-potency topical corticosteroids including intra-lesional corticosteroids (such as triamcinolone acetonide at a dose ranging from 3 to 10 mg/ml) as a single injection or as multiple sequential treatments if necessary (49). However, potential exacerbation of the lesions through pathergy should be considered before initiating intralesional therapy (50). Also, high-potency topical corticosteroids (such as clobetasol propionate 0.05% in either a cream, ointment, gel or foam vehicle) can be applied to the Sweet’s syndrome skin lesions (49,50).
Other treatments include potassium iodide which is more affective in vasculitis and hypothyroidism-associated Sweet’s syndrome (51). Potassium iodide has been used (53) in solid malignancy-associated Sweet’s syndrome with response. Patients who are treated with potassium iodide have improved within 48 h and cutaneous lesions clear within one week in most cases (52). In some cases the drug was withdrawn after only 2 weeks and no recurrence was seen (53,54). Potassium iodide can be administered orally as 300 mg enteric-coated tablets, 3 times each day (for a daily dose of 900 mg). However, severe vasculitis is a concern after potassium iodide administration (55).
Several larger studies have shown colchicine at a dose of 0.5 mg three times each day is an effective agent for the successful management of patients with Sweet’s syndrome (55,56). One report presented twenty patients with Sweet’s syndrome of whom 90% responded to colchicine therapy from 10 to 21 days (56).
Dapsone and cyclosporine can be given in combination with or without steroids in patients that do not respond to first line therapy (54). The oral dose of cyclosporine ranges from 2 to 10 mg/kg/day. Rapid response within one week is usually recorded with cyclosporine. However, tapering is difficult in some cases. Therefore, patients who receive cyclosporine 10 mg/kg/day, should be tapered by 2 mg/kg/day every 2 days and discontinued on day 21 (57). Dapsone has been used in combination with oral steroids. The initial oral dose of dapsone ranges from 100 to 200 mg per day (55).
Other second line stand-alone agents are indomethacin 150 mg orally for 7 days followed by 100 mg orally for 14 days have been shown with good response (58). Clofazimine has been used in patients who failed treatment with methylprednisolone for chronic or relapsing Sweet’s syndrome with ‘almost complete remission’ in six patients. Clofazimine was dosed daily as 200 mg for 4 weeks followed by 4 additional weeks at 100 mg per day (4).
Other systemic drugs in isolated case reports have also been shown to be effective for the treatment of Sweet’s syndrome include chlorambucil and cyclophosphosphamide, antimetabolites, immunoglobulins, interferon-α, tumor necrosis factor and the anti-angiogenic agents infliximab and thalidomide (2).
In this report we have reviewed pathophysiology, diagnosis, manifestations for malignancy-associated Sweet’s syndrome, various new anticancer agents associated with Sweet’s syndrome and experiences in the management of this rare syndrome.
Unfortunately, little is known about pathogenesis of Sweet’s syndrome. The syndrome may occur as a paraneoplastic manifestation for a cancer or may be the first sign of malignancy. Reappearance of lesions may herald relapse in patients with malignancy-associated Sweet’s syndrome. In some cases, anticancer agents cause Sweet’s syndrome for unclear pathogenesis and unknown significance.
As the story of Sweet’s syndrome pathogenesis continues to be unraveled, we may begin to learn risk factors that predispose to this disease and better understand how to manage it.
Due to lack of our understanding of pathophysiology of Sweet’s syndrome and in the absence of evidence based literature, many physicians regardless of the underlying disease associated with this entity, have successfully used corticosteroids in these patients. The duration of remission is variable between recurrent episodes of the dermatosis. Occasionally, patients require broad spectrum antibiotics if skin lesions are secondarily infected.
We believe that malignancy-associated Sweet’s syndrome and anticancer medications-associated Sweet’s syndrome behave differently. However, when patients are receiving antineoplastic agents, it is difficult to define underlying cause of Sweet’s syndrome and its true significance. Future studies should focus on understanding the pathophysiology of this disease and its association with new anticancer drugs along with risk factors so that prompt treatment without interruption of cancer management can be instituted.
We would like to thank Dr Jeff North for providing the figure of Sweet’s syndrome in a patient treated at our institution.
|
Sweet RD: An acute febrile neutrophilic dermatosis. Br J Dermatol. 76:349–356. 1964. View Article : Google Scholar : PubMed/NCBI | |
|
Cohen PR: Sweet’s syndrome: a comprehensive review of an acute febrile neutrophilic dermatosis. Orphanet J Rare Dis. 2:342007. | |
|
Su WPD and Liu H-NH: Diagnostic criteria for Sweet’s syndrome. Cutis. 37:167–174. 1986. | |
|
von den Driesch P: Sweet’s syndrome (acute febrile neutrophilic dermatosis). J Am Acad Dermatol. 31:535–556. 1994. | |
|
Cohen PR and Kurzrock R: Sweet’s syndrome and cancer. Clin Dermatol. 11:149–157. 1993. | |
|
Paydas S: Sweet’s syndrome: a revisit for hematologists and oncologists. Crit Rev Oncol Hematol. Oct 6–2012.(Epub ahead of print). View Article : Google Scholar | |
|
Cohen PR, Talpaz M and Kurzrock R: Malignancy-associated Sweet’s syndrome: review of the world literature. J Clin Oncol. 6:1887–1897. 1988. | |
|
Haverstock C, Libecco JF, Sadeghi P, et al: Tender erythematous plaques in a woman with acute myelogenous leukemia. Arch Dermatol. 142:235–240. 2006. View Article : Google Scholar : PubMed/NCBI | |
|
Disel U, Paydas S, Yavuz S, et al: Bilateral ear Sweet’s syndrome in a case with relapse acute myeloblastic leukemia. Leuk Res. 30:3642006. | |
|
Cohen PR: Cutaneous paraneoplastic syndromes. Am Fam Physician. 50:1273–1282. 1994.PubMed/NCBI | |
|
Kurzrock R and Cohen PR: Mucocutaneous paraneoplastic manifestations of hematologic malignancies. Am J Med. 99:207–216. 1995. View Article : Google Scholar : PubMed/NCBI | |
|
Kurzrock R and Cohen PR: Cutaneous paraneoplastic syndromes in solid tumors. Am J Med. 99:662–671. 1995. View Article : Google Scholar : PubMed/NCBI | |
|
Cohen PR: Cutaneous manifestations of internal malignancy. Section V, Dermatology. Current Practice of Medicine. Callen JP and Bone RC: Current Medicine, Philadelphia, PA, Inc; 2(V): pp. 19.1–19.3. 1996 | |
|
Cohen PR and Kurzrock R: Paraneoplastic syndromes of the skin. Current Diagnosis 9. Conn RB, Borer WZ and Snyder JW: W.B. Saunders Co; Philadelphia, PA: pp. 1199–1206. 1997 | |
|
Morgan KW, Callen JP and Kentucky L: Sweet’s syndrome in acute myelogenous leukemia presenting as periorbital cellulitis with an infiltrate of leukemic cells. J Am Acad Dermatol. 45:590–595. 2001. | |
|
Caughman W, Stern R and Haynes H: Neutrophilic dermatosis of myeloproliferative disorders: atypical forms of pyoderma gangrenosum and Sweet’s syndrome associated with myeloproliferative disorders. J Am Acad Dermatol. 9:751–758. 1983.PubMed/NCBI | |
|
Bamelis M, Boyden B, Sente F, et al: Sweet’s syndrome and acute myelogenous leukemia in a patient who presented with a sudden massive swelling of the tongue. Dermatology. 190:335–337. 1995. | |
|
García-Río I, Pérez-Gala S, Aragüés M, et al: Sweet’s syndrome on the area of postmastectomy lymphoedema. J Eur Acad Dermatol Venereol. 20:401–405. 2006. | |
|
Matta M and Kurban AK: Sweet’s syndrome: systemic association. Cutis. 12:561–565. 1973. | |
|
Elsner P, Hartmann AA and Lechner W: Sweet’s syndrome associated with Yersinia enterocolitica infection. Dermatologica. 173:85–89. 1986. | |
|
Arun B, Berberian B, Azumi N, et al: Sweet’s syndrome during treatment with all-trans retinoic acid in a patient with acute promyelocytic leukemia. Leuk Lymphoma. 31:613–615. 1998. | |
|
Paydas S, Sahin B and Zorludemir S: Sweet’s syndrome accompanying leukaemia: seven cases and review of the literature. Leuk Res. 24:83–86. 2000. | |
|
Arbetter KR, Hubbard KW, Markovic SN, et al: Case of granulocytic colony-stimulating factor-induced Sweet’s syndrome. Am J Hematol. 61:126–129. 1999.PubMed/NCBI | |
|
Giasuddin AS, El-Orfi AH, Ziu MM and El-Barnawi NY: Sweet’s syndrome: is the pathogenesis mediated by helper T cell type 1 cytokines. J Am Acad Dermatol. 39:940–943. 1998. | |
|
Tuerlinckx D, Bodart E, Despontin K, et al: Sweet’s syndrome with arthritis in a 8-month-old boy. J Rheumatol. 26:440–442. 1999. | |
|
Kawakami T, Ohashi S, Kawa Y, et al: Elevated serum granulocyte colony-stimulating factor levels in patients with active phase of Sweet syndrome and patients with active Behcet disease: implication in neutrophil apoptosis dysfunction. Arch Dermatol. 140:570–574. 2004. View Article : Google Scholar | |
|
Oiso N, Watanabe K and Kawada A: Granulocyte colony-stimulating factor-induced Sweet syndrome in a healthy donor. Br J Haematol. 135:1482006. View Article : Google Scholar : PubMed/NCBI | |
|
Shinojima Y, Toma Y and Terui T: Sweet syndrome associated with intrahepatic cholangiocarcinoma producing granulocyte colony-stimulating factor. Br J Haematol. 154:1103–1104. 2006. | |
|
Requena L, Kutzner H, Plamedo G, et al: Histiocytoid Sweet syndrome: a dermal infiltration of immature neutrophilic granulocytes. Arch Dermatol. 141:834–842. 2005. View Article : Google Scholar : PubMed/NCBI | |
|
Walker DC and Cohen PR: Trimethoprim-sulfamethoxazole associated acute febrile neutrophilic dermatosis: case report and review of drug-induced Sweet’s syndrome. J Am Acad Dermatol. 34:918–923. 1996.PubMed/NCBI | |
|
Cohen PR and Kurzrock R: Sweet’s syndrome. A neutrophilic dermatosis classically associated with acute onset and fever. Clin Dermatol. 18:265–282. 2000. | |
|
Bidyasar S, Montoya M, Suleman K, et al: Sweet syndrome associated with granulocyte colony-stimulating factor. J Clin Oncol. 26:4355–4356. 2008. View Article : Google Scholar : PubMed/NCBI | |
|
Llamas-Velasco M, García-Martín P, Sánchez-Pérez J, et al: Sweet’s syndrome with subcutaneous involvement associated with pegfilgrastim treatment: first reported case. J Cutan Pathol. 40:46–49. 2013. | |
|
Van Regenmortel N, Van de Voorde K, De Raeve H, et al: Bortezomib-induced Sweet’s syndrome. Haematologica. 90:ECR432005. | |
|
Tanguy-Schmidt A, Avenel-Audran M, Croué A, et al: Bortezomib-induced acute neutrophilic dermatosis. Ann Dermatol Venereol. 136:443–446. 2009. View Article : Google Scholar | |
|
Alencar C, Abramowitz M, Parekh S, et al: Atypical presentations of Sweet’s syndrome in patients with MDS/AML receiving combinations of hypomethylating agents with histone deacetylase inhibitors. Am J Hematol. 84:688–689. 2009. | |
|
Trickett HB, Cumpston A and Craig M: Azacitidine-associated Sweet’s syndrome. Am J Health Syst Pharm. 69:869–871. 2012.PubMed/NCBI | |
|
Deininger MW, O’Brien SG, Ford JM, et al: Practical management of patients with chronic myeloid leukemia receiving imatinib. J Clin Oncol. 21:1637–1647. 2003. View Article : Google Scholar : PubMed/NCBI | |
|
Liu D, Seiter K, Mathews T, et al: Sweet’s syndrome with CML cell infiltration of the skin in a patient with chronic-phase CML while taking Imatinib Mesylate. Leuk Res. 28(Suppl 1): S61–S63. 2004. | |
|
Ayirookuzhi SJ, Ma L, Ramshesh P, et al: Imatinib-induced Sweet syndrome in a patient with chronic myeloid leukemia. Arch Dermatol. 141:368–370. 2005. View Article : Google Scholar : PubMed/NCBI | |
|
Hoverson AR, Davis MD, Weenig RH, et al: Neutrophilic dermatosis (Sweet syndrome) of the hands associated with lenalidomide. Arch Dermatol. 142:1070–1071. 2006. View Article : Google Scholar : PubMed/NCBI | |
|
Thieu KP, Rosenbach M, Xu X, et al: Neutrophilic dermatosis complicating lenalidomide therapy. J Am Acad Dermatol. 61:709–710. 2009. View Article : Google Scholar | |
|
Tageja N, Giorgadze T and Zonder J: Dermatological complications following initiation of lenalidomide in a patient with chronic lymphocytic leukaemia. Intern Med J. 41:286–288. 2011. View Article : Google Scholar | |
|
Aue G, Njuguna N, Tian X, et al: Lenalidomide induced upregulation of CD80 on tumor cells correlates with T-cell activation, the rapid onset of a cytokine release syndrome and leukemic cell clearance in chronic lymphocytic leukemia. Haematologica. 94:1266–1273. 2009. View Article : Google Scholar | |
|
Yan ZS, Li DP, Jiang EL, et al: Development of Sweet syndrome in an acute promyelocyte leukemia patient during treatment with all-trans retinoic acid - case report and literature review. Zhonghua Xue Ye Xue Za Zhi. 28:462–465. 2007.PubMed/NCBI | |
|
Dubois C, Schlageter MH, de Gentile A, et al: Modulation of IL-8, IL-1 beta, and G-CSF secretion by all-trans retinoic acid in acute promyelocytic leukemia. Leukemia. 8:1750–1757. 1994.PubMed/NCBI | |
|
Bielsa S, Baradad M, Marti RM, et al: Sweet’s syndrome with bullous lesions. Actas Dermosifiliogr. 96:315–316. 2005. | |
|
Shugarman IL, Schmit JM, Sbicca JA, et al: Easily missed extracutaenous manifestation of malignancy associated Sweet’s syndrome: systemic inflammatory response syndrome. J Clin Oncol. 29:e702–705. 2011.PubMed/NCBI | |
|
Cohen PR: Neutrophilic dermatoses: a review of current treatment options. Am J Clin Dermatol. 10:301–312. 2009. View Article : Google Scholar : PubMed/NCBI | |
|
Cohen PR and Kurzrock R: Sweet’s syndrome: a review of current treatment options. Am J Clin Dermatol. 3:117–131. 2002. | |
|
Spillman DH, Carabajal MG, Errecaborde MS, et al: Acute febrile neutrophilic dermatosis (Sweet’s syndrome). In: Book of Abstracts. 18th World Congress of Dermatology. Dermatology Progress and Perspectives; June 12–18; New York City. abs. 147. 1992 | |
|
Cohen PR, Holder WR, Tucker SB, Kono S and Kurzrock R: Sweet syndrome in patients with solid tumors. Cancer. 72:2723–2731. 1993. View Article : Google Scholar : PubMed/NCBI | |
|
Horio T, Imamura S, Danno K, et al: Treatment of acute neutrophilic dermatosis (Sweet’s syndrome) with potassium iodide. Dermatologica. 160:341–347. 1980. | |
|
Burrall B: Sweet’s syndrome (acute febrile neutrophilic dermatosis). Dermatol Online J. 5:81999. | |
|
Bourke JF, Keohane S, Long CC, et al: Sweet’s syndrome and malignancy in the U.K. Br J Dermatol. 137:609–613. 1997. | |
|
Maillard H, Leclech C, Peria P, et al: Colchicine for Sweet’s syndrome. A study of 20 cases. Br J Dermatol. 140:565–566. 1999. | |
|
von den Driesch P, Steffan C, Zobe A, et al: Sweet’s syndrome-therapy with cyclosporin. Clin Exp Dermatol. 19:274–277. 1994. | |
|
Jeanfils S, Joly P, Young P, et al: Indomethacin treatment of eighteen patients with Sweet’s syndrome. J Am Acad Dermatol. 36:436–439. 1997.PubMed/NCBI |