Spandidos Publications Logo
  • About
    • About Spandidos
    • Aims and Scopes
    • Abstracting and Indexing
    • Editorial Policies
    • Reprints and Permissions
    • Job Opportunities
    • Terms and Conditions
    • Contact
  • Journals
    • All Journals
    • Oncology Letters
      • Oncology Letters
      • Information for Authors
      • Editorial Policies
      • Editorial Board
      • Aims and Scope
      • Abstracting and Indexing
      • Bibliographic Information
      • Archive
    • International Journal of Oncology
      • International Journal of Oncology
      • Information for Authors
      • Editorial Policies
      • Editorial Board
      • Aims and Scope
      • Abstracting and Indexing
      • Bibliographic Information
      • Archive
    • Molecular and Clinical Oncology
      • Molecular and Clinical Oncology
      • Information for Authors
      • Editorial Policies
      • Editorial Board
      • Aims and Scope
      • Abstracting and Indexing
      • Bibliographic Information
      • Archive
    • Experimental and Therapeutic Medicine
      • Experimental and Therapeutic Medicine
      • Information for Authors
      • Editorial Policies
      • Editorial Board
      • Aims and Scope
      • Abstracting and Indexing
      • Bibliographic Information
      • Archive
    • International Journal of Molecular Medicine
      • International Journal of Molecular Medicine
      • Information for Authors
      • Editorial Policies
      • Editorial Board
      • Aims and Scope
      • Abstracting and Indexing
      • Bibliographic Information
      • Archive
    • Biomedical Reports
      • Biomedical Reports
      • Information for Authors
      • Editorial Policies
      • Editorial Board
      • Aims and Scope
      • Abstracting and Indexing
      • Bibliographic Information
      • Archive
    • Oncology Reports
      • Oncology Reports
      • Information for Authors
      • Editorial Policies
      • Editorial Board
      • Aims and Scope
      • Abstracting and Indexing
      • Bibliographic Information
      • Archive
    • Molecular Medicine Reports
      • Molecular Medicine Reports
      • Information for Authors
      • Editorial Policies
      • Editorial Board
      • Aims and Scope
      • Abstracting and Indexing
      • Bibliographic Information
      • Archive
    • World Academy of Sciences Journal
      • World Academy of Sciences Journal
      • Information for Authors
      • Editorial Policies
      • Editorial Board
      • Aims and Scope
      • Abstracting and Indexing
      • Bibliographic Information
      • Archive
    • International Journal of Functional Nutrition
      • International Journal of Functional Nutrition
      • Information for Authors
      • Editorial Policies
      • Editorial Board
      • Aims and Scope
      • Abstracting and Indexing
      • Bibliographic Information
      • Archive
    • International Journal of Epigenetics
      • International Journal of Epigenetics
      • Information for Authors
      • Editorial Policies
      • Editorial Board
      • Aims and Scope
      • Abstracting and Indexing
      • Bibliographic Information
      • Archive
    • Medicine International
      • Medicine International
      • Information for Authors
      • Editorial Policies
      • Editorial Board
      • Aims and Scope
      • Abstracting and Indexing
      • Bibliographic Information
      • Archive
  • Articles
  • Information
    • Information for Authors
    • Information for Reviewers
    • Information for Librarians
    • Information for Advertisers
    • Conferences
  • Language Editing
Spandidos Publications Logo
  • About
    • About Spandidos
    • Aims and Scopes
    • Abstracting and Indexing
    • Editorial Policies
    • Reprints and Permissions
    • Job Opportunities
    • Terms and Conditions
    • Contact
  • Journals
    • All Journals
    • Biomedical Reports
      • Information for Authors
      • Editorial Policies
      • Editorial Board
      • Aims and Scope
      • Abstracting and Indexing
      • Bibliographic Information
      • Archive
    • Experimental and Therapeutic Medicine
      • Information for Authors
      • Editorial Policies
      • Editorial Board
      • Aims and Scope
      • Abstracting and Indexing
      • Bibliographic Information
      • Archive
    • International Journal of Epigenetics
      • Information for Authors
      • Editorial Policies
      • Editorial Board
      • Aims and Scope
      • Abstracting and Indexing
      • Bibliographic Information
      • Archive
    • International Journal of Functional Nutrition
      • Information for Authors
      • Editorial Policies
      • Editorial Board
      • Aims and Scope
      • Abstracting and Indexing
      • Bibliographic Information
      • Archive
    • International Journal of Molecular Medicine
      • Information for Authors
      • Editorial Policies
      • Editorial Board
      • Aims and Scope
      • Abstracting and Indexing
      • Bibliographic Information
      • Archive
    • International Journal of Oncology
      • Information for Authors
      • Editorial Policies
      • Editorial Board
      • Aims and Scope
      • Abstracting and Indexing
      • Bibliographic Information
      • Archive
    • Medicine International
      • Information for Authors
      • Editorial Policies
      • Editorial Board
      • Aims and Scope
      • Abstracting and Indexing
      • Bibliographic Information
      • Archive
    • Molecular and Clinical Oncology
      • Information for Authors
      • Editorial Policies
      • Editorial Board
      • Aims and Scope
      • Abstracting and Indexing
      • Bibliographic Information
      • Archive
    • Molecular Medicine Reports
      • Information for Authors
      • Editorial Policies
      • Editorial Board
      • Aims and Scope
      • Abstracting and Indexing
      • Bibliographic Information
      • Archive
    • Oncology Letters
      • Information for Authors
      • Editorial Policies
      • Editorial Board
      • Aims and Scope
      • Abstracting and Indexing
      • Bibliographic Information
      • Archive
    • Oncology Reports
      • Information for Authors
      • Editorial Policies
      • Editorial Board
      • Aims and Scope
      • Abstracting and Indexing
      • Bibliographic Information
      • Archive
    • World Academy of Sciences Journal
      • Information for Authors
      • Editorial Policies
      • Editorial Board
      • Aims and Scope
      • Abstracting and Indexing
      • Bibliographic Information
      • Archive
  • Articles
  • Information
    • For Authors
    • For Reviewers
    • For Librarians
    • For Advertisers
    • Conferences
  • Language Editing
Login Register Submit
  • This site uses cookies
  • You can change your cookie settings at any time by following the instructions in our Cookie Policy. To find out more, you may read our Privacy Policy.

    I agree
Search articles by DOI, keyword, author or affiliation
Search
Advanced Search
presentation
International Journal of Oncology
Join Editorial Board Propose a Special Issue
Print ISSN: 1019-6439 Online ISSN: 1791-2423
Journal Cover
November 2013 Volume 43 Issue 5

Full Size Image

Cover Legend PDF

Sign up for eToc alerts
Recommend to Library

Journals

International Journal of Molecular Medicine

International Journal of Molecular Medicine

International Journal of Molecular Medicine is an international journal devoted to molecular mechanisms of human disease.

International Journal of Oncology

International Journal of Oncology

International Journal of Oncology is an international journal devoted to oncology research and cancer treatment.

Molecular Medicine Reports

Molecular Medicine Reports

Covers molecular medicine topics such as pharmacology, pathology, genetics, neuroscience, infectious diseases, molecular cardiology, and molecular surgery.

Oncology Reports

Oncology Reports

Oncology Reports is an international journal devoted to fundamental and applied research in Oncology.

Experimental and Therapeutic Medicine

Experimental and Therapeutic Medicine

Experimental and Therapeutic Medicine is an international journal devoted to laboratory and clinical medicine.

Oncology Letters

Oncology Letters

Oncology Letters is an international journal devoted to Experimental and Clinical Oncology.

Biomedical Reports

Biomedical Reports

Explores a wide range of biological and medical fields, including pharmacology, genetics, microbiology, neuroscience, and molecular cardiology.

Molecular and Clinical Oncology

Molecular and Clinical Oncology

International journal addressing all aspects of oncology research, from tumorigenesis and oncogenes to chemotherapy and metastasis.

World Academy of Sciences Journal

World Academy of Sciences Journal

Multidisciplinary open-access journal spanning biochemistry, genetics, neuroscience, environmental health, and synthetic biology.

International Journal of Functional Nutrition

International Journal of Functional Nutrition

Open-access journal combining biochemistry, pharmacology, immunology, and genetics to advance health through functional nutrition.

International Journal of Epigenetics

International Journal of Epigenetics

Publishes open-access research on using epigenetics to advance understanding and treatment of human disease.

Medicine International

Medicine International

An International Open Access Journal Devoted to General Medicine.

Journal Cover
November 2013 Volume 43 Issue 5

Full Size Image

Cover Legend PDF

Sign up for eToc alerts
Recommend to Library

  • Article
  • Citations
    • Cite This Article
    • Download Citation
    • Create Citation Alert
    • Remove Citation Alert
    • Cited By
  • Similar Articles
    • Related Articles (in Spandidos Publications)
    • Similar Articles (Google Scholar)
    • Similar Articles (PubMed)
  • Download PDF
  • Download XML
  • View XML
Article

EBV-LMP1-targeted DNAzyme induces DNA damage and causes cell cycle arrest in LMP1-positive nasopharyngeal carcinoma cells

  • Authors:
    • Xiaoqian Ma
    • Zhijie Xu
    • Lifang Yang
    • Lanbo Xiao
    • Min Tang
    • Jingchen Lu
    • San Xu
    • Yiping Tang
    • Xinxian Wen
    • Xingming Deng
    • Lunquan Sun
    • Ya Cao
  • View Affiliations / Copyright

    Affiliations: Cancer Research Institute, Xiangya School of Medicine, Central South University, Changsha, Hunan 410078, P.R. China, Department of Radiation Oncology, Emory University School of Medicine and Winship Cancer Institute of Emory University, Atlanta, GA 30322, USA, Center for Molecular Medicine, Xiangya Hospital, Central South University, Changsha, Hunan 410078, P.R. China
  • Pages: 1541-1548
    |
    Published online on: September 13, 2013
       https://doi.org/10.3892/ijo.2013.2098
  • Expand metrics +
Metrics: Total Views: 0 (Spandidos Publications: | PMC Statistics: )
Metrics: Total PDF Downloads: 0 (Spandidos Publications: | PMC Statistics: )
Cited By (CrossRef): 0 citations Loading Articles...

This article is mentioned in:



Abstract

This study aimed to determine the molecular mechanisms underlying the effect of the LMP1-targeted DNAzyme 1 (DZ1) on cell cycle progression in nasopharyngeal carcinoma (NPC) cells. We showed that the active DZ1 inhibited the expression of latent membrane protein 1 (LMP1) and induced a G1 phase arrest. In addition, this cell cycle deregulation was shown to be accompanied by upregulation of the DNA damage marker γ-H2AX, downregulation of the DNA damage response factor p-p53-Ser15 and cell proliferation inhibition. To investigate what affected the cell cycle progression, we examined the expression of two checkpoint-related cyclins and cyclin-dependent kinases (CDKs). We found a decrease of cyclin D1 and cyclin E protein levels at 24 h from the DZ1 treatment. Moreover, we observed inhibition of CDK4 activity and decreased cyclin D1 expression in the complexes immunoprecipitated with CDK4 antibody. We also found a reduction in cdc2 phosphorylation at Thr161 which partially stands for the cdc2 kinase activity in DZ1-treated CNE1-LMP1 cells, although the downregulation of LMP1 expression had no effect on the cyclin B1 and cdc2 expression. Further, we analyzed changes in cdc2 kinase activity induced by DZ1 and found that the downregulation of the LMP1 expression resulted in a 5-fold reduction in cdc2 kinase activity in CNE1-LMP1. The data suggest that the downregulation of the LMP1 expression by DZ1 was able to induce DNA damage, which then further inhibited the cell proliferation and resulted in malfunction of cell cycle checkpoints that led to G1 phase arrest and the decrease in number of cells in G2/M phase.

Introduction

Epstein-Barr virus (EBV) is a human γ herpesvirus commonly carried in the majority of the human population. It is implicated in a variety of human malignancies that include Burkitt's lymphoma, nasopharyngeal carcinoma, Hodgkin's lymphoma, nasal T cell lymphoma, and immunoblastic lymphomas in post-transplant and AIDS patients. EBV-encoded LMP1 is the only one implicated in cell immortalization and transformation. It is required for B-cell immortalization, together with the EBNA2, EBNA3a and EBNA3c genes (1–4). In addition, LMP1 has been shown to induce the transformation of certain established rodent fibroblast cell lines, including Rat-1 and BALB/c 3T3 (5–7). Furthermore, LMP1 induces the tumorigenicity of epithelial cell lines in severe combined immunodeficient mice (8,9).

As a 60 kDa integral membrane protein, LMP1 functions as a constitutively active tumor necrosis factor receptor (TNFR) and, in certain instances, can substitute for CD40 in vivo, providing both growth and differentiation responses in B lymphocytes (10). LMP1 also contributes to multiple aspects of NPC development through activating a number of signaling pathways including nuclear factor NF-κB, activator protein-1 (AP-1), Janus kinase/signal transducer and activator of transcription (JAK/STAT) (11–14). Activation of NF-κB or AP-1 by LMP1 has been linked to the upregulation of some cellular proteins and inhibition of apoptosis. LMP1 has clear oncogenic properties in multiple cell backgrounds and in transgenic mice. In NPCs, LMP1 expression is heterogeneous and associated with metastasis (15), supported by studies in epithelial cultures showing LMP1 induced changes in cell morphology, adhesion, cell motility and exo-proteolytic activity (16). Like many classical oncogenes, the growth promoting properties of LMP1 appear to be cell-type specific. Whereas LMP1 expression promotes growth and proliferation in rodent fibroblasts and certain human epithelial cell lines such as C33A and HONE1, its expression in RHEK-1, SVK and Hep-G2 cells is associated with growth inhibition and, under certain circumstances, cytostasis or apoptosis (17).

Interference with LMP1 function eliminates tumorigenic potential. Recently there have been some reports that the RNA interference against LMP1 exhibited anti-proliferative and anti-metastasis effects in the LMP1 expressing NPCs (18,19). Downregulation of the LMP1 expression has been shown to induce apoptosis, and sensitize the EBV-positive cells to cytotoxic agents (20,21). Although the biological effects of inhibition of LMP1 expression has been well demonstrated, its cell biological basis is yet to be elucidated. In a previous study we demonstrated that the ‘10–23’ DNAzymes specifically targeting the LMP1 mRNA significantly downregulated the expression of LMP1 in the nasopharyngeal carcinoma cell line CNE1-LMP1 which led to sensitization of LMP1 positive cells to radiation (22). In this study we found that after DNAzyme 1 treatment the CNE1-LMP1 cells accumulated in G1 phase and the percentage of cells in G2/M phase was decreased. This cell cycle change was accompanied by γ-H2AX, a DNA damage marker, increased and the phospharylation of p53 decreased. However, the mechanisms of the cell cycle arrest caused by down regulation of LMP1 are unclear. In the present study, we attempt to examine the expression feature of the molecules associated with the cell cycle control in G1/S and G2/M checkpoints, following the silencing of the LMP1 expression by the LMP1-targeted DNAzyme 1. We show that both checkpoints contributed to the G1 phase arrest and cells in G2/M phase decreased induced by the downregulation of LMP1. Our results thus suggest that LMP1 is an important regulator of the cell cycle in LMP1-positive NPC cells.

Materials and methods

Cell culture

CNE1 is an LMP1 negative, low differentiated nasopharyngeal squamous carcinoma cell line. CNE1-LMP1 is a cell line transfected with EBV-LMP1 (23) and shown to have accelerated cell proliferation (24). The cells were cultured in RPMI-1640 medium supplemented with 10% fetal bovine serum (FBS, Gibco), 100 IU/ml penicillin, 100 mg/ml streptomycin, and 2 mM/l L-glutamine in a humidified atmosphere of 5% CO2 at 37°C.

DNAzyme transfection of CNE1-LMP1 or CNE1 cells

Briefly, the ‘10–23’ model was adopted by incorporating 9 bp arms at each side of the catalytic motif. To increase stability of DNAzymes in cells, two phosphorothioate linkages were introduced to both ends of the arms. A DNAzyme oligonucleotide control (ODN) was a scrambled sequence that consists of the same nucleotide composition. To transfect cells with DNAzymes, tetra (4-methyridyl) porphyrine (TMP) was used to facilitate the cellular uptake of the catalytic oligonucleotides (25). Prior to transfection, cells were seeded in 6-well plates overnight. The DNAzymes/TMP mixtures were made at a charge ratio (C/R) of 1 with 2 μM DNAzyme oligonucleotides as described (26). The mixtures were incubated for 15 min at room temperature to form the transfection complex. After the cells were rinsed twice with PBS, the transfection mixture was added to the cells and incubated at 37°C for 4 h in 5% CO2, followed by the addition of complete medium to the wells and further incubation for the indicated time.

Cell cycle distribution analysis

Flow cytometry analysis of PI-stained cells was performed to study the effect of the active DNAzyme on the cellular cycle. Cells (1×106) were cultured with or without 2 μM of DNAzyme and collected 24 h later. Treated and untreated cells were then washed with ice-cold PBS and suspended in 75% ethanol at −20°C overnight. Fixed cells were centrifuged and washed with PBS twice. Before flow cytometry analysis, cells were stained with 50 μg/ml of propidium iodide and 0.1% of RNase A in 400 μl PBS in a light-proof tube at 25°C for 30 min. Stained cells were assayed on FACSort (Becton-Dickinson) and the cell cycle parameters and the percentage of apoptotic cells (sub-G1 peak) were determined using the CellQuest software program (Becton-Dickinson).

Western blot analysis

Cells grown in 6-well plates were cultured without or with DNAzymes. Cells were harvested at different time points, washed with ice-cold PBS and lysed in the lysis buffer (10 mM Tris-HCl, pH 8.0, 1 mM EDTA, 2% SDS, 5 mM DTT, 10 mM PMSF, proteinase inhibitor mix) for 30 min on ice. The lysate was centrifuged for 15 min at 13,000 rpm in a microfuge at 4°C. After protein quantification by the BCA Assay Reagent (Pierce Chemical, Inc), 50 μg of the total proteins from the treated or untreated cells were mixed with the sample buffer and boiled for 5 min. The samples were then resolved on a 10% polyacrylamide SDS gel and transferred onto a nitrocellulose membrane by electroblotting. The membrane was incubated in blocking buffer (TBS containing 5% skimed milk and 0.1% Tween-20) for 2 h, followed by incubation with primary antibody diluted in the same buffer (1:1,000). The membrane was washed in TBS containing 0.1% Tween-20 and further incubated with a secondary antibody that could be detected using a peroxidase-conjugated anti-IgG at 1:10,000. Protein expression were determined using a supersignal chemiluminescence system (ECL, Pierce) followed by exposure to autoradiographic film. The antibodies used in the study include LMP1 (Dako), mouse monoclonal anti-β-actin (Sigma), mouse monoclonal anti-α-tublin (Santa Cruz), rabbit anti-phosphoserine (Zymed), rabbit polyclonal anti-cdc2 p34 (Santa Cruz), rabbit polyclonal anti-phospho-Thr161-cdc2 and rabbit polyclonal anti-phospho-Tyr15-cdc2 (Cell Signaling), mouse monoclonal anti-cyclin B1 (Santa Cruz), p-p53 (Ser15) (1:500, Santa Cruz), and γ-H2AX (1:1,000, Millipore). Secondary antibodies were horseradish peroxidase (HRP)-conjugated rabbit anti-mouse IgG (Santa Cruz), HRP-conjugated goat anti-rabbit IgG (Santa Cruz).

Immunofluorescent analysis

CNE1 and CNE1-LMP1 cell lines were seeded on Millicell EZ slides (Millipore), and subjected to the following treatments: untreated, DNAzyme- or control ODN-treated for 24 h. Cells were fixed in ice cold methanol for 10 min and washed with PBS, then blocked with 5% donkey serum/PBS for 1 h. The cells were subsequently incubated with the mouse anti-γ-H2AX (1:450, Millipore) overnight. Followed by washing with PBS for 15 min, AlexaFluor 488-conjugated goat anti-mouse secondary antibodies (1:1,000, Molecular Probes, Eugene, OR) were used. All samples were mounted in Prolong Gold antifade reagent with DAPI (Molecular Probes) and fluorescence images were captured using Leica DMI3000 B (Leica, Germany).

Immunoprecipitation kinase assay

The cyclin D1-CDK4 kinase assay was performed as described with modifications (27). Cells were transfected with LMP1-specific DNAzyme 1 or control ODN 24 h after the transfection, cells were washed twice with ice-cold PBS and harvested with a kinase buffer [25 mM Tris-HCl (pH 7.5), 5 mM glycero-phosphate, 2 mM DTT, 0.1 mM Na3VO4, 10 mM MgCl2, and 1 mM PMSF]. Protein content was determined using the BCA assay. Cyclin D1 was immunoprecipitated from 600 μg of the cell extract using an anti-cyclin D1 monoclonal antibody diluted at 1:100 overnight. A total of 20 μl of protein A/G PLUS-Agarose (Santa Cruz) was added, incubated at 4°C, and then washed at 4°C four times with ice-cold kinase buffer. Immunoprecipitated cyclin D1 was incubated with 1 μg Rb-C fusion protein (Cell Signaling) and 200 μM ATP in a kinase buffer at 30°C for 30 min. Phosphorylation of Rb-C fusion protein was detected by western blot analysis with anti-phospho-Rb (Ser780) polyclonal antibodies.

cdc2 Kinase Activity Assay

The cdc2 kinase activity assay was carried out according to the instruction in the MESACUP Cdc2 Kinase Assay Kit. Cells were lysed in a sample buffer (50 mM Tris-HCl, pH 7.5, 0.5 M NaCl, 5 mM EDTA, 2 mM EGTA, 0.01% Brij35, 1 mM PMSF, 0.05 mg/ml leupeptin, 50 mM β-glycerophosphate, 1 mM Na-orthovanadate). After sonication, cell extracts were separated. The amount of 600 μg cell extracts were incubated with HCK-gel suspension (MBL, Code no. 5236) on ice for 1 h. Followed by centrifugation, the pellets were separated and used for an enzyme source. Reaction reagents added into the HCK-gel pellets included 10 × cdc2 reaction buffer, biotinylated MV peptide, ATP and distilled water. Following incubation for 30 min with the sample buffer as a control, the phosphorylation reaction was terminated to permit the cdc2 kinase activity to be measured. The reaction mixture was transferred to a microwell strip coated with monoclonal antibody (4A4), incubated at 25°C for 60 min, and washed with the washing solution. Peroxidase (POD)-conjugated streptavidin was added and incubated, and then the mixture was washed once again. POD substrate solution was added and incubated for 3 to 5 min. Stop solution was then added, and the optical density (OD) of each well was read at 490 nm with a microplate reader.

Co-immunoprecipitation analysis (Co-IP)

CDK4 was pulled down by anti-CDK4 antibody, and then precipitated by binding with protein A Sepharose CL-4B beads (Pharmacia, USA). Anti-cyclin D1 antibody was used as the primary antibody to detect the levels of cyclin D1. A co-immunoprecipitation (Co-IP)/ western blot assay was performed to analyze the interaction of CDK4 with cyclin D1. The cell extract was prepared for immunoprecipitation or Co-IP/western blot analysis. The harvested cells were lysed in IP lysis buffer (50 mM Tris-HCl, 150 mM NaCl, 10% Nonidet P-40, 1 mM EDTA, 10% glycerol, 10 mM NaF, 1 mM Na3 VO4, 1 mM DTT, 1 mM PMSF, and phosphatase inhibitor cocktail). The supernatant was mixed with protein A Sepharose CL-4B beads, incubated for 2 h, centrifuged for 2 min at 2,000 rpm for pre-clearing and incubated overnight with CDK4 antibody and protein A Sepharose CL-4B beads, followed by centrifugation for 2 min at 12,000 rpm. The immunoprecipitates were collected, washed five times, and finally subjected to western blot analysis.

Co-IP was used to analyze protein interaction with a special antibody linked to protein A Sepharose CL-4B beads (Pharmacia). Immunoprecipitates were separated for western blot analysis.

MTS analysis

MTS assays were performed to assess the effect of DNAzymes on cell proliferation. Briefly, 200 μl of logarithmically growing cells were plated on a 96-well plate and LMP1-targeted-DNAzyme 1 or control ODN were transfected as described above. Then cells were incubated at 37°C and 100 μl of sterile MTS dye (30156802, Promega) were added to each well at different time points. The plates were further incubation at 37°C for 4 h. After that, spectrometric absorbance at the wavelength of 570 nm was measured on a microplate reader (Bio-Tek Inc). The background absorbance of medium in the absence of cells was subtracted. All samples were assayed in triplicate, and the mean for two experiments was used to calculate cell proliferation rate expressed as percentage of control.

Statistical analyses

All data were shown as mean ± standard deviation. The difference between 2 groups of data was examined by Student's t-test. The statistical difference at p<0.05 was considered as significantly and p<0.01 as very significant.

Results

EBV-LMP1-targeted DNAzyme 1 inhibits the expression of EBV-LMP1 and affects the cell cycle distribution in CNE1-LMP1 cells

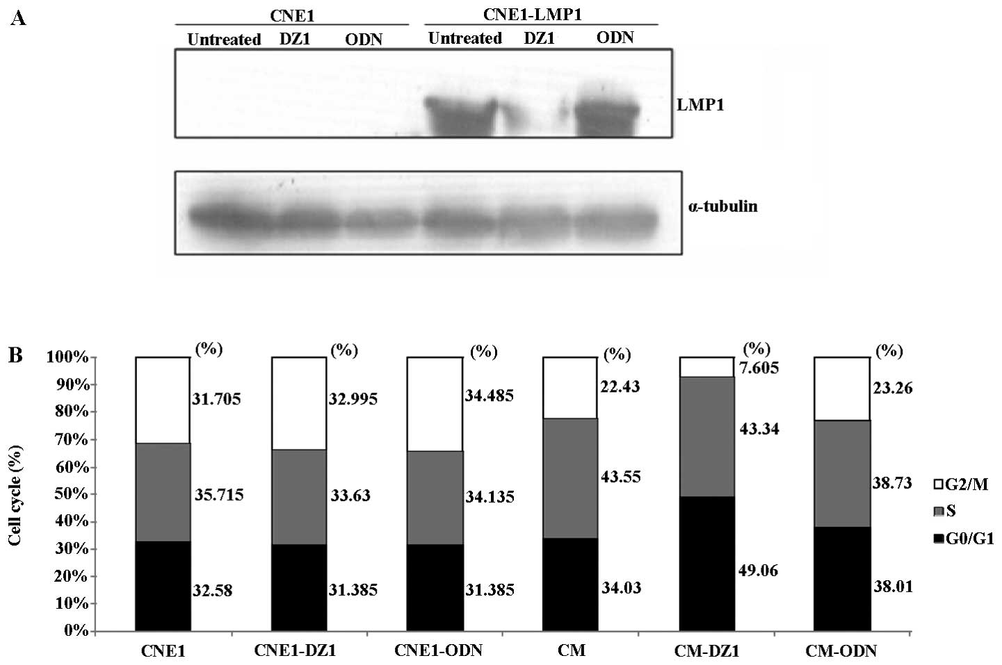
In order to determine if the DNAzyme 1 could affect the target gene expression, we used a cationic porphyrin TMP, as a transfection reagent, for transfecting DNAzyme oligonucleotides into CNE1-LMP1 cells. DZ1 (2 μM) was transfected into both CNE1-LMP1 cells and CNE1 cells (as a negative target control). The effect on the LMP1 expression at the protein level was assayed using western blot analysis. As shown in Fig. 1A, DZ1 significantly inhibited the LMP1 protein expression in CNE1-LMP1 cells, while the control ODN had no effect on the LMP1 expression.

Figure 1.

DZ1 inhibition of LMP1 protein expression in CNE1-LMP1 changing the cell cycle distribution (A) LMP1 was downregulated by DZ1. (B) G1 phase arrest caused by LMP1-targeted DNAzyme 1 in CNE1-LMP1 cells but not in CNE1 cells.

Since LMP1 can promote cell growth and accelerate cell cycle progression, we next examined the effect of down-regulation of LMP1 on cell cycle. DZ1 was transfected into CNE1-LMP1 and CNE1 cells after overnight serum starvation and the cell cycle distribution was assessed by flow cytometry, it was shown that DZ1 significantly increased the percentage of cells in G1 phase (49.06±3.12) compared to the untreated (33.83±4.96) or control ODN (38.01±2.18) in LMP1-positive cells. This increase in the G1 phase was coupled with a significant decrease in the percentage of cells in G2/M phase (7.61±3.84 of DZ1 treated LMP1-positive cells vs 22.43±1.41 of untreated or 23.26±1.85 of control ODN treated LMP1-positive cells) after 24 h of transfection. Whereas, such an effect was not observed on the cell cycle of LMP1-negative tumor cell (CNE1) (Fig. 1B). These data confirmed that DZ1 could down-regulate the LMP1 expression, resulting in G1 phase arrest of CNE1-LMP1 cells and a decreased cell number in G2/M phase.

EBV-LMP1-targeted DNAzyme 1 induces DNA damage in CNE1-LMP1 cells and inhibits cell proliferation

Since DNA damage is an early event of cell cycle arrest, we examined whether DZ1 could induce DNA damage in CNE1-LMP1 cells through inhibiting LMP1. As shown in Fig. 2A, the expression level of γ-H2AX, a marker of DNA damage, was significantly increased by DZ1 in CNE1-LMP1 cells compared with the untreated or control ODN treated cells. This result was also confirmed by immunofluorescence (Fig. 2B). When LMP1 was inhibited, the γ-H2AX level was highly induced in CNE1-LMP1 cells.

Figure 2.

LMP1-targeted DZ1 decreased p-p53 (Ser15), increased γ-H2AX and inhibited cells proliferation in the CNE1-LMP1 cell lines. CNE1 and CNE1-LMP1 cells were transfected with DZ1 or control ODN (2 μM) for 24 h and then harvested. (A) Total cell lysate was analyzed by western blotting using antibodies targeting p-p53 and γ-H2AX. β-actin was used for the loading control. (B) Immunofluorescent staining revealed that CNE1-LMP1 but not CNE1 transfected with LMP1-targeted DZ1 had significantly increased γ-H2AX foci. (C) MTS showed that DZ1 inhibited LMP1-positive cell proliferation from 24 to 72 h.

It is known that p53 is required to promote the DNA damage induced response. One key event for p53-mediated DNA damage response is phosphorylation of serine 15 (Ser15) in human p53 (28). To evaluate whether the LMP1-targeted DNAzyme mediated the DNA damage response, we examined the level of p-p53 (Ser15) by western blot analysis. It was shown that the phosphorylation of Ser15 was downregulated in DZ1-treated CNE1-LMP1 cells (Fig. 2A).

To explore whether the LMP1-targeted DNAzyme 1 could affect cell proliferation, MTS was performed. The results showed that CNE1-LMP1 cells grew faster than CNE1 cells. However, when CNE1-LMP1 is transfected with DZ1, they have a significant slower growth rate than the cells transfected with negative control or untreated cells from 24 to 72 h (Fig. 2C).

EBV-LMP1-targeted DNAzyme 1 affects the expression of the genes that regulate G1/S progression in CNE1-LMP1 cells

Cells entering the proliferation phase go first through the G1/S checkpoint, which is mainly regulated by CDK4 and cyclin D1 and other CDKs and cyclins. We transfected the DZ1 to the CNE1-LMP1 and CNE1 cells, and examined the expression of the G1/S checkpoint-related genes. It was found that DZ1 markedly decreased the expression of CDK4 and cyclin D1, as well as CDK2 and cyclin E. These changes were not found in the LMP1 negative CNE1 cells (Fig. 3). The results suggested that DZ1 specifically inhibited the LMP1 expression resulting in the downregulation of the expression of the G1/S checkpoint related cyclins and CDKs.

Figure 3.

Effect of DZ1 on G1/S cell cycle regulators in CNE1 and CNE1-LMP1 cells. CNE1 and CNE1-LMP1 cells grown in 6-well plates were transfected with DZ1 or control ODN (2 μM) for 24 h. Total cell lysates were analyzed by western blotting using specific antibodies, respectively.

It is necessary for CDKs and cyclins to interact directly to function in the cell cycle control. Western blot analysis demonstrated that inhibition of LMP1 expression led to downregulation of cyclin D1 and CDK4. To investigate if the effect was due to a weaker interaction between CDK4 and cyclin D1, Co-IP analysis was used to assay such an interaction. CDK4 was pulled down by excess anti-CDK4 antibody, a co-immunoprecipitation (Co-IP) assay performed to analyze cyclin D1. Analysis of total cell lysates showed that the DZ1-mediated inhibition of LMP1 resulted in a decrease of the level of CDK4 and also the associated cyclin D1, which suggested a decrease of the interaction between cyclin D1 and CDK4 (Fig. 4A).

Figure 4.

LMP1-targeted DNAzyme 1 mediated effect on CDK4/cyclin D1-pRb-E2F1 signaling pathways in CNE1-LMP1. (A) Analysis of the association between CDK4 and cyclin D1 in CNE1-LMP1 cells. Cell lysates from DZ1 or control ODN transfected CNE1-LMP1 cells and untreated cells were immunoprecipitated with an anti-CDK4 antibody. Lysates were immunoblotted with the corresponding antibodies as marked. (B) DZ1 suppression of the activation of the cyclin D1-CDK4 complex in CNE1-LMP1 cells. CNE1 and CNE1-LMP1 cells grown in 6-well plates were transfected with DNAzymes or control ODN (2 μM) for 24 h. Cells were harvested with a kinase buffer. The immunoprecipitated kinase assay for cyclin D1-CDK4 was performed as described in Materials and methods. Phosphorylation of Rb-C fusion protein was detected by western blot analysis. NC, the negative control without immunoprecipitated cyclin D1. (C) Effect of the DNAzyme on pRb-E2F pathway in CNE1 and CNE1-LMP1 cells. CNE1 and CNE1-LMP1 cells grown in 6-well plates were transfected with DZ1 or control ODN (2 μM) for 24 h. Total cell lysates were analyzed by western blotting using specific antibodies, respectively.

pRb is a key regulator in the transition from G1 to S and its activity is modulated by cyclin D-CDK complexes. In pRb, the Ser780 site is specifically phosphorylated by the cyclin D/CDK4 complex both in vivo and in vitro (29). Having shown that the downregulation of LMP1 expression by DZ1 lessened the CDK4/cyclin D1 complex, we next examined if the activity of the CDK4/cyclin D1 complex was affected in the context of pRb phosphorylation. Using the Immunoprecipitation Kinase Assay, it was shown that the downregulation of the LMP1 expression by DZ1 led to a significant reduction of the phosphorylation of Ser780 in pRb (Fig. 4B). The result indicated that the LMP1-specific DNAzyme 1 could slow down the G1 to S transition through the suppression of activation of cyclin D1-CDK4.

The CDK4/cyclin D1 complex phosphorylates pRb that transcriptionally activates some important transcriptional factors such as E2Fs, which promotes the expression of the downstream proteins such as cyclin A. Entry into S phase is controlled, in part, by the level of active E2F (30). To explore whether LMP1 could regulate the pRb signaling pathway, we investigated the change of phosphorylation status of pRb induced by LMP1-specific DNAzyme 1 and the level of the pRb-regulated E2F. As shown in Fig. 4C, DZ1 mediated suppression of LMP1 could markedly decrease the level of phosphorylated pRb, while total pRb level remained unchanged. This decreased level of pRb phosphorylation directly impacted on the E2F1 expression.

EBV-LMP1-targeted DNAzyme 1 does not affect expression of cdc2, but downregulates levels of phosphorylation of cdc2 on Thr161 and cdc2 kinase activity

Cdc2 is a critical regulator during the G2 phase progression. Its activation depends on the Thr161 phosphorylation and dephosphorylation of the Thr14 and Tyr15 (31,32). Thus, the status of Thr161 phosphorylation of cdc2 partially reflects cdc2 kinase activity. To further examine whether the G2/M checkpoint could contribute to the decrease of the number of cells in G2/M phase, cdc2 kinase assay was performed.

The results showed that the level of phosphorylation of the Thr161 was decreased and the dephosphorylation of Tyr15 was increased in DZ1 treated CNE1-LMP1 cells, whereas ODN had no effect (Fig. 5A). There was no difference in the level of cdc2 and cyclin B1 expression in CNE1-LMP1 cells with or without DZ1 treatment. ELISA results demonstrated that cdc2 kinase activity in untreated CNE1-LMP1 cells was nearly 5-fold higher than that in the cells treated with DZ1. Together the LMP1-specific DNAzyme 1 significantly suppressed the LMP1 expression and attenuated cdc2 kinase activity (Fig. 5B).

Figure 5.

DZ1 suppression of the cdc2 kinase activity in CNE1-LMP1 cells. (A) Western blot analysis of G2/M cell cycle regulators cyclin B1 and cdc2 in CNE1-LMP1 cells. (B) ELISA assay of cdc2 kinase activity of CNE1, and CNE1-LMP1 cells (n=3).

Discussion

LMP1, as a key oncogenic protein in NPC, plays important roles in several signal transduction pathways that are involved in cell proliferation, oncogenesis and apoptosis (33,34). There are some reports showing that the silencing of EBV-LMP1 by siRNA slowed the cell cycle progression and enhance chemosensitivity (35). Here we show that EBV-LMP1 may through two cell cycle checkpoints, regulate the cell cycle distribution affecting the DNA damage response. This was evidenced by the present data showing that the LMP1-targeted DNAzyme 1 induced cell accumulation in G1 phase and decreased the number of cells in G2/M phase. H2AX is one of several genes coding for histone H2A. H2AX becomes phosphorylated on Ser139, then called γ-H2AX, as a reaction on DNA double-strand breaks (DSB). The modification can happen in the response to ionizing radiation. As a sensitive target for looking at DSBs in cells, γ-H2AX is considered as a DNA damage marker. We found that the DNA damage marker γ-H2AX was significantly increased by DZ1 in CNE1-LMP1 cells shown by western blot and immunofluorescent analyses. The DNA damage response factor p-p53 was downregulated by DZ1 and the proliferation of LMP1-positive cells was also inhibited by DZ1. Taken together silencing of EBV-LMP1 induced DNA damage and caused cell cycle arrest in LMP1 positive cells.

Cell cycle change is sometimes controlled by the cycling checkpoints. We found downregulation of LMP1 could inhibit expression of cyclin D1 and CDK4 as well as cyclin E and CDK2; suppress cyclin D1 and CDK4 interaction and the activity of the complex; and decrease the Rb protein phosphorylation at Ser780 site. E2F1 is an important regulator of cell entry to S phase (36). Our results showed the DZ1 could suppress the Rb/E2F1 pathway and markedly downregulate the expression of E2F1. In addition, the DZ1-mediated suppression of LMP1 could markedly decrease the cdc2 kinase activity. Taken together, our data suggested that the G1 phase arrest caused by the LMP1 targeted DNAzyme 1 is likely through the G1/S and G2/M checkpoints.

In NPC cells, it has been shown that LMP1 impacted on cell proliferation and growth at three levels: stimulation of quiescent cells to re-enter the cell cycle, acceleration of cycling cells through the G1 phase and increase of cycling cells in the G2/M phases (37,38). In our previous study we demonstrated that LMP1 expression could enhance phosphorylation of p105-Rb to upregulate E2F1 expression and increase E2F1 ability to transactivate the downstream signal molecules through inhibiting p16INK4A expression. In the present study, we provided further evidence showing that LMP1 plays critical roles in controlling the cell cycle. First, downregulation of the expression of LMP1 could decrease the expression of the G1/S related molecules and disrupt their interactions and activities, which consequentially suppressed the pRb-E2F pathway leading to cell cycle arrest through the restriction point in G1 phase. Second, downregulation of LMP1 could inhibit the cdc2 kinase activity, which led to cell cycle arrest through the restriction point in G2 phase. Therefore, LMP1 could be a central regulator in oncogenesis of EBV-positive cancers, which further support the notion that LMP1 could potentially be an important therapeutic target for NPC.

It has been well established that different types of cells underwent apoptosis from different cell cycle stages under different stimulus (39,40). For example, in HeLa cells, UV caused apoptosis from G1 phase, while the camptothecin (CPT) induced apoptosis from S phase. Several other previously reported cancer-preventive agents seem to act in a manner similar to LMP1-targeted DNAzyme 1. For example, dactylone and inositol hexaphosphate were reported to decrease CDK4 and cyclin D1 protein levels and also showed an inhibitory effect on Rb phosphorylation at Ser780, Ser807 and Ser811, causing G1 arrest and apoptotic death of human prostate carcinoma LNCaP cells (41). In a previous study, we reported that the LMP1 targeted DNAzymes in combination with radiation could enhance radiosensitivity to NPC both in vitro and in vivo (22,42). Thus, the G1 phase arrest induced by DNAzyme accompanied by DNA damage may cause the NPC cells to enter apoptosis.

In conclusion, LMP1 plays an important role in onco genesis of the EBV-positive cancers. We presented data suggesting that downregulation of EBV-LMP1 by DNAzyme 1 induced DNA damage leading to G1 phase arrest. Our data imply that the G1 phase arrest caused by the LMP1 targeted DNAzyme 1 is likely through the G1/S and G2/M checkpoints. The biological significance of G1 phase arrest could relate to the sensitization of the EBV-positive cancer cells to either radiotherapy or chemotherapy. Thus, targeting LMP1 by DNAzyme might present a novel strategy to sensitize the EBV-LMP1-positive cells to improve the current treatment efficacy.

Acknowledgements

This study was supported by the National Natural Science Foundation of China (30930101, 81072220 and 81201171), the National Basic Research Program of China (2009CB521801 and 2011CB504300), and the Fundamental Research Funds for the Central Universities.

References

1. 

Ponce RA, Gelzleichter T, Haggerty HG, et al: Immunomodulation and lymphoma in humans. J Immunotoxicol. Jun 7–2013.(Epub ahead of print).

2. 

Ghosh SK, Perrine SP, Williams RM and Faller DV: Histone deacetylase inhibitors are potent inducers of gene expression in latent EBV and sensitize lymphoma cells to nucleoside antiviral agents. Blood. 119:1008–1017. 2012. View Article : Google Scholar

3. 

Brocqueville G, Ndour PA, Ouk TS, et al: LMP1-induced cell death may contribute to the emergency of its oncogenic property. PLoS One. 8:e607432013. View Article : Google Scholar : PubMed/NCBI

4. 

Smuk G, Illes A, Keresztes K, et al: Pheno- and genotypic features of Epstein-Barr virus associated B-cell lymphoproliferations in peripheral T-cell lymphomas. Pathol Oncol Res. 16:377–383. 2010. View Article : Google Scholar : PubMed/NCBI

5. 

Diduk SV, Smirnova KV, Pavlish OA and Gurtsevitch VE: Functionally significant mutations in the Epstein-Barr virus LMP1 gene and their role in activation of cell signaling pathways. Biochemistry (Mosc). 73:1134–1139. 2008. View Article : Google Scholar : PubMed/NCBI

6. 

Everly DN Jr, Mainou BA and Raab-Traub N: The ID proteins contribute to the growth of rodent fibroblasts during LMP1-mediated transformation. Virology. 376:258–269. 2008. View Article : Google Scholar : PubMed/NCBI

7. 

Wu ZZ, Chow KP, Kuo TC, Chang YS and Chao CC: Latent membrane protein 1 of Epstein-Barr virus sensitizes cancer cells to cisplatin by enhancing NF-kappaB p50 homodimer formation and downregulating NAPA expression. Biochem Pharmacol. 82:1860–1872. 2011. View Article : Google Scholar : PubMed/NCBI

8. 

Lu JH, Tang YL, Yu HB, et al: Epstein-Barr virus facilitates the malignant potential of immortalized epithelial cells: from latent genome to viral production and maintenance. Lab Invest. 90:196–209. 2010. View Article : Google Scholar : PubMed/NCBI

9. 

Gan R, Xie X, He J, et al: Gene analysis of Epstein-Barr virus-associated lymphomas in Hu-Pbl/SCID chimeras. Tumori. 96:465–472. 2010.PubMed/NCBI

10. 

Arcipowski KM and Bishop GA: TRAF binding is required for a distinct subset of in vivo B cell functions of the oncoprotein LMP1. J Immunol. 189:5165–5170. 2012. View Article : Google Scholar : PubMed/NCBI

11. 

Yoshizaki T, Kondo S, Wakisaka N, et al: Pathogenic role of Epstein-Barr virus latent membrane protein-1 in the development of nasopharyngeal carcinoma. Cancer Lett. 337:1–7. 2013. View Article : Google Scholar : PubMed/NCBI

12. 

Zheng H, Li LL, Hu DS, Deng XY and Cao Y: Role of Epstein-Barr virus encoded latent membrane protein 1 in the carcinogenesis of nasopharyngeal carcinoma. Cell Mol Immunol. 4:185–196. 2007.PubMed/NCBI

13. 

Tao YG, Tan YN, Liu YP, et al: Epstein-Barr virus latent membrane protein 1 modulates epidermal growth factor receptor promoter activity in a nuclear factor kappa B-dependent manner. Cell Signal. 16:781–790. 2004. View Article : Google Scholar

14. 

Wang Z, Luo F, Li L, et al: STAT3 activation induced by Epstein-Barr virus latent membrane protein1 causes vascular endothelial growth factor expression and cellular invasiveness via JAK3 And ERK signaling. Eur J Cancer. 46:2996–3006. 2010. View Article : Google Scholar

15. 

Horikawa T, Yang J, Kondo S, et al: Twist and epithelial-mesenchymal transition are induced by the EBV oncoprotein latent membrane protein 1 and are associated with metastatic nasopharyngeal carcinoma. Cancer Res. 67:1970–1978. 2007. View Article : Google Scholar

16. 

Dawson CW, Laverick L, Morris MA, Tramoutanis G and Young LS: Epstein-Barr virus-encoded LMP1 regulates epithelial cell motility and invasion via the ERK-MAPK pathway. J Virol. 82:3654–3664. 2008. View Article : Google Scholar : PubMed/NCBI

17. 

Sheu LF, Chen A, Wei YH, et al: Epstein-Barr virus LMP1 modulates the malignant potential of gastric carcinoma cells involving apoptosis. Am J Pathol. 152:63–74. 1998.PubMed/NCBI

18. 

Li G, Li XP, Peng Y, Liu X and Li XH: Effect of inhibition of EBV-encoded latent membrane protein-1 by small interfering RNA on EBV-positive nasopharyngeal carcinoma cell growth. Di Yi Jun Yi Da Xue Xue Bao. 24:241–246. 2004.PubMed/NCBI

19. 

Li XP, Li G, Peng Y, Kung HF and Lin MC: Suppression of Epstein-Barr virus-encoded latent membrane protein-1 by RNA interference inhibits the metastatic potential of nasopharyngeal carcinoma cells. Biochem Biophys Res Commun. 315:212–218. 2004. View Article : Google Scholar

20. 

Ndour PA, Brocqueville G, Ouk TS, et al: Inhibition of latent membrane protein 1 impairs the growth and tumorigenesis of latency II Epstein-Barr virus-transformed T cells. J Virol. 86:3934–3943. 2012. View Article : Google Scholar : PubMed/NCBI

21. 

Yang L, Lu Z, Ma X, Cao Y and Sun LQ: A therapeutic approach to nasopharyngeal carcinomas by DNAzymes targeting EBV LMP-1 gene. Molecules. 15:6127–6139. 2010. View Article : Google Scholar : PubMed/NCBI

22. 

Lu ZX, Ma XQ, Yang LF, et al: DNAzymes targeted to EBV-encoded latent membrane protein-1 induce apoptosis and enhance radiosensitivity in nasopharyngeal carcinoma. Cancer Lett. 265:226–238. 2008. View Article : Google Scholar : PubMed/NCBI

23. 

Glaser R, Zhang HY, Yao KT, et al: Two epithelial tumor cell lines (HNE-1 and HONE-1) latently infected with Epstein-Barr virus that were derived from nasopharyngeal carcinomas. Proc Natl Acad Sci USA. 86:9524–9528. 1989. View Article : Google Scholar : PubMed/NCBI

24. 

Zhao Y, Tao YG, Luo FJ, Tang FQ, Tang M and Cao Y: Interference effect of epigallocatechin-3-gallate on targets of nuclear factor kappaB signal transduction pathways activated by EB virus encoded latent membrane protein 1. Int J Biochem Cell Biol. 36:1473–1481. 2004.

25. 

Benimetskaya L, Takle GB, Vilenchik M, Lebedeva I, Miller P and Stein CA: Cationic porphyrins: novel delivery vehicles for antisense oligodeoxynucleotides. Nucleic Acids Res. 26:5310–5317. 1998. View Article : Google Scholar : PubMed/NCBI

26. 

Lu ZX, Ye M, Yan GR, et al: Effect of EBV LMP1 targeted DNAzymes on cell proliferation and apoptosis. Cancer Gene Ther. 12:647–654. 2005. View Article : Google Scholar : PubMed/NCBI

27. 

Sugimoto M, Martin N, Wilks DP, et al: Activation of cyclin D1-kinase in murine fibroblasts lacking both p21(Cip1) and p27(Kip1). Oncogene. 21:8067–8074. 2002. View Article : Google Scholar : PubMed/NCBI

28. 

Ling S and Lin WC: EDD inhibits ATM-mediated phosphorylation of p53. J Biol Chem. 286:14972–14982. 2011. View Article : Google Scholar : PubMed/NCBI

29. 

Kitagawa M, Higashi H, Jung HK, et al: The consensus motif for phosphorylation by cyclin D1-Cdk4 is different from that for phosphorylation by cyclin A/E-Cdk2. EMBO J. 15:7060–7069. 1996.PubMed/NCBI

30. 

Hansen U, Owens L and Saxena UH: Transcription factors LSF and E2Fs: tandem cyclists driving G0 to S? Cell Cycle. 8:2146–2151. 2009. View Article : Google Scholar : PubMed/NCBI

31. 

Zhang XH, Zou ZQ, Xu CW, Shen YZ and Li D: Myricetin induces G2/M phase arrest in HepG2 cells by inhibiting the activity of the cyclin B/Cdc2 complex. Mol Med Rep. 4:273–277. 2011.PubMed/NCBI

32. 

Tan M, Jing T, Lan KH, et al: Phosphorylation on tyrosine-15 of p34(Cdc2) by ErbB2 inhibits p34(Cdc2) activation and is involved in resistance to taxol-induced apoptosis. Mol Cell. 9:993–1004. 2002. View Article : Google Scholar : PubMed/NCBI

33. 

Dawson CW, Port RJ and Young LS: The role of the EBV-encoded latent membrane proteins LMP1 and LMP2 in the pathogenesis of nasopharyngeal carcinoma (NPC). Semin Cancer Biol. 22:144–153. 2012. View Article : Google Scholar : PubMed/NCBI

34. 

Tulalamba W and Janvilisri T: Nasopharyngeal carcinoma signaling pathway: an update on molecular biomarkers. Int J Cell Biol. 2012:5946812012. View Article : Google Scholar : PubMed/NCBI

35. 

Mei YP, Zhou JM, Wang Y, et al: Silencing of LMP1 induces cell cycle arrest and enhances chemosensitivity through inhibition of AKT signaling pathway in EBV-positive nasopharyngeal carcinoma cells. Cell Cycle. 6:1379–1385. 2007. View Article : Google Scholar

36. 

Korotayev K, Chaussepied M and Ginsberg D: ERK activation is regulated by E2F1 and is essential for E2F1-induced S phase entry. Cell Signal. 20:1221–1226. 2008. View Article : Google Scholar : PubMed/NCBI

37. 

Deng L, Yang J, Zhao XR, et al: Cells in G2/M phase increased in human nasopharyngeal carcinoma cell line by EBV-LMP1 through activation of NF-kappaB and AP-1. Cell Res. 13:187–194. 2003. View Article : Google Scholar : PubMed/NCBI

38. 

Zhao XR, Gu HH, Weng XX, Yi W, Deng XY and Cao Y: The primary study on expression and function of D-type cyclins in nasopharyngeal carcinoma cell lines. Sheng Wu Hua Xue Yu Sheng Wu Wu Li Xue Bao (Shanghai). 32:192–196. 2000.PubMed/NCBI

39. 

Liu DX and Greene LA: Neuronal apoptosis at the G1/S cell cycle checkpoint. Cell Tissue Res. 305:217–228. 2001. View Article : Google Scholar : PubMed/NCBI

40. 

Tao D, Wu J, Feng Y, Qin J, Hu J and Gong J: New method for the analysis of cell cycle-specific apoptosis. Cytometry A. 57:70–74. 2004. View Article : Google Scholar : PubMed/NCBI

41. 

Agarwal C, Dhanalakshmi S, Singh RP and Agarwal R: Inositol hexaphosphate inhibits growth and induces G1 arrest and apoptotic death of androgen-dependent human prostate carcinoma LNCaP cells. Neoplasia. 6:646–659. 2004. View Article : Google Scholar

42. 

Ma X, Yang L, Xiao L, et al: Down-regulation of EBV-LMP1 radio-sensitizes nasal pharyngeal carcinoma cells via NF-kappaB regulated ATM expression. PLoS One. 6:e246472011. View Article : Google Scholar : PubMed/NCBI

Related Articles

  • Abstract
  • View
  • Download
  • Twitter
Copy and paste a formatted citation
Spandidos Publications style
Ma X, Xu Z, Yang L, Xiao L, Tang M, Lu J, Xu S, Tang Y, Wen X, Deng X, Deng X, et al: EBV-LMP1-targeted DNAzyme induces DNA damage and causes cell cycle arrest in LMP1-positive nasopharyngeal carcinoma cells. Int J Oncol 43: 1541-1548, 2013.
APA
Ma, X., Xu, Z., Yang, L., Xiao, L., Tang, M., Lu, J. ... Cao, Y. (2013). EBV-LMP1-targeted DNAzyme induces DNA damage and causes cell cycle arrest in LMP1-positive nasopharyngeal carcinoma cells. International Journal of Oncology, 43, 1541-1548. https://doi.org/10.3892/ijo.2013.2098
MLA
Ma, X., Xu, Z., Yang, L., Xiao, L., Tang, M., Lu, J., Xu, S., Tang, Y., Wen, X., Deng, X., Sun, L., Cao, Y."EBV-LMP1-targeted DNAzyme induces DNA damage and causes cell cycle arrest in LMP1-positive nasopharyngeal carcinoma cells". International Journal of Oncology 43.5 (2013): 1541-1548.
Chicago
Ma, X., Xu, Z., Yang, L., Xiao, L., Tang, M., Lu, J., Xu, S., Tang, Y., Wen, X., Deng, X., Sun, L., Cao, Y."EBV-LMP1-targeted DNAzyme induces DNA damage and causes cell cycle arrest in LMP1-positive nasopharyngeal carcinoma cells". International Journal of Oncology 43, no. 5 (2013): 1541-1548. https://doi.org/10.3892/ijo.2013.2098
Copy and paste a formatted citation
x
Spandidos Publications style
Ma X, Xu Z, Yang L, Xiao L, Tang M, Lu J, Xu S, Tang Y, Wen X, Deng X, Deng X, et al: EBV-LMP1-targeted DNAzyme induces DNA damage and causes cell cycle arrest in LMP1-positive nasopharyngeal carcinoma cells. Int J Oncol 43: 1541-1548, 2013.
APA
Ma, X., Xu, Z., Yang, L., Xiao, L., Tang, M., Lu, J. ... Cao, Y. (2013). EBV-LMP1-targeted DNAzyme induces DNA damage and causes cell cycle arrest in LMP1-positive nasopharyngeal carcinoma cells. International Journal of Oncology, 43, 1541-1548. https://doi.org/10.3892/ijo.2013.2098
MLA
Ma, X., Xu, Z., Yang, L., Xiao, L., Tang, M., Lu, J., Xu, S., Tang, Y., Wen, X., Deng, X., Sun, L., Cao, Y."EBV-LMP1-targeted DNAzyme induces DNA damage and causes cell cycle arrest in LMP1-positive nasopharyngeal carcinoma cells". International Journal of Oncology 43.5 (2013): 1541-1548.
Chicago
Ma, X., Xu, Z., Yang, L., Xiao, L., Tang, M., Lu, J., Xu, S., Tang, Y., Wen, X., Deng, X., Sun, L., Cao, Y."EBV-LMP1-targeted DNAzyme induces DNA damage and causes cell cycle arrest in LMP1-positive nasopharyngeal carcinoma cells". International Journal of Oncology 43, no. 5 (2013): 1541-1548. https://doi.org/10.3892/ijo.2013.2098
Follow us
  • Twitter
  • LinkedIn
  • Facebook
About
  • Spandidos Publications
  • Careers
  • Cookie Policy
  • Privacy Policy
How can we help?
  • Help
  • Live Chat
  • Contact
  • Email to our Support Team