Spandidos Publications Logo
  • About
    • About Spandidos
    • Aims and Scopes
    • Abstracting and Indexing
    • Editorial Policies
    • Reprints and Permissions
    • Job Opportunities
    • Terms and Conditions
    • Contact
  • Journals
    • All Journals
    • Oncology Letters
      • Oncology Letters
      • Information for Authors
      • Editorial Policies
      • Editorial Board
      • Aims and Scope
      • Abstracting and Indexing
      • Bibliographic Information
      • Archive
    • International Journal of Oncology
      • International Journal of Oncology
      • Information for Authors
      • Editorial Policies
      • Editorial Board
      • Aims and Scope
      • Abstracting and Indexing
      • Bibliographic Information
      • Archive
    • Molecular and Clinical Oncology
      • Molecular and Clinical Oncology
      • Information for Authors
      • Editorial Policies
      • Editorial Board
      • Aims and Scope
      • Abstracting and Indexing
      • Bibliographic Information
      • Archive
    • Experimental and Therapeutic Medicine
      • Experimental and Therapeutic Medicine
      • Information for Authors
      • Editorial Policies
      • Editorial Board
      • Aims and Scope
      • Abstracting and Indexing
      • Bibliographic Information
      • Archive
    • International Journal of Molecular Medicine
      • International Journal of Molecular Medicine
      • Information for Authors
      • Editorial Policies
      • Editorial Board
      • Aims and Scope
      • Abstracting and Indexing
      • Bibliographic Information
      • Archive
    • Biomedical Reports
      • Biomedical Reports
      • Information for Authors
      • Editorial Policies
      • Editorial Board
      • Aims and Scope
      • Abstracting and Indexing
      • Bibliographic Information
      • Archive
    • Oncology Reports
      • Oncology Reports
      • Information for Authors
      • Editorial Policies
      • Editorial Board
      • Aims and Scope
      • Abstracting and Indexing
      • Bibliographic Information
      • Archive
    • Molecular Medicine Reports
      • Molecular Medicine Reports
      • Information for Authors
      • Editorial Policies
      • Editorial Board
      • Aims and Scope
      • Abstracting and Indexing
      • Bibliographic Information
      • Archive
    • World Academy of Sciences Journal
      • World Academy of Sciences Journal
      • Information for Authors
      • Editorial Policies
      • Editorial Board
      • Aims and Scope
      • Abstracting and Indexing
      • Bibliographic Information
      • Archive
    • International Journal of Functional Nutrition
      • International Journal of Functional Nutrition
      • Information for Authors
      • Editorial Policies
      • Editorial Board
      • Aims and Scope
      • Abstracting and Indexing
      • Bibliographic Information
      • Archive
    • International Journal of Epigenetics
      • International Journal of Epigenetics
      • Information for Authors
      • Editorial Policies
      • Editorial Board
      • Aims and Scope
      • Abstracting and Indexing
      • Bibliographic Information
      • Archive
    • Medicine International
      • Medicine International
      • Information for Authors
      • Editorial Policies
      • Editorial Board
      • Aims and Scope
      • Abstracting and Indexing
      • Bibliographic Information
      • Archive
  • Articles
  • Information
    • Information for Authors
    • Information for Reviewers
    • Information for Librarians
    • Information for Advertisers
    • Conferences
  • Language Editing
Spandidos Publications Logo
  • About
    • About Spandidos
    • Aims and Scopes
    • Abstracting and Indexing
    • Editorial Policies
    • Reprints and Permissions
    • Job Opportunities
    • Terms and Conditions
    • Contact
  • Journals
    • All Journals
    • Biomedical Reports
      • Information for Authors
      • Editorial Policies
      • Editorial Board
      • Aims and Scope
      • Abstracting and Indexing
      • Bibliographic Information
      • Archive
    • Experimental and Therapeutic Medicine
      • Information for Authors
      • Editorial Policies
      • Editorial Board
      • Aims and Scope
      • Abstracting and Indexing
      • Bibliographic Information
      • Archive
    • International Journal of Epigenetics
      • Information for Authors
      • Editorial Policies
      • Editorial Board
      • Aims and Scope
      • Abstracting and Indexing
      • Bibliographic Information
      • Archive
    • International Journal of Functional Nutrition
      • Information for Authors
      • Editorial Policies
      • Editorial Board
      • Aims and Scope
      • Abstracting and Indexing
      • Bibliographic Information
      • Archive
    • International Journal of Molecular Medicine
      • Information for Authors
      • Editorial Policies
      • Editorial Board
      • Aims and Scope
      • Abstracting and Indexing
      • Bibliographic Information
      • Archive
    • International Journal of Oncology
      • Information for Authors
      • Editorial Policies
      • Editorial Board
      • Aims and Scope
      • Abstracting and Indexing
      • Bibliographic Information
      • Archive
    • Medicine International
      • Information for Authors
      • Editorial Policies
      • Editorial Board
      • Aims and Scope
      • Abstracting and Indexing
      • Bibliographic Information
      • Archive
    • Molecular and Clinical Oncology
      • Information for Authors
      • Editorial Policies
      • Editorial Board
      • Aims and Scope
      • Abstracting and Indexing
      • Bibliographic Information
      • Archive
    • Molecular Medicine Reports
      • Information for Authors
      • Editorial Policies
      • Editorial Board
      • Aims and Scope
      • Abstracting and Indexing
      • Bibliographic Information
      • Archive
    • Oncology Letters
      • Information for Authors
      • Editorial Policies
      • Editorial Board
      • Aims and Scope
      • Abstracting and Indexing
      • Bibliographic Information
      • Archive
    • Oncology Reports
      • Information for Authors
      • Editorial Policies
      • Editorial Board
      • Aims and Scope
      • Abstracting and Indexing
      • Bibliographic Information
      • Archive
    • World Academy of Sciences Journal
      • Information for Authors
      • Editorial Policies
      • Editorial Board
      • Aims and Scope
      • Abstracting and Indexing
      • Bibliographic Information
      • Archive
  • Articles
  • Information
    • For Authors
    • For Reviewers
    • For Librarians
    • For Advertisers
    • Conferences
  • Language Editing
Login Register Submit
  • This site uses cookies
  • You can change your cookie settings at any time by following the instructions in our Cookie Policy. To find out more, you may read our Privacy Policy.

    I agree
Search articles by DOI, keyword, author or affiliation
Search
Advanced Search
presentation
International Journal of Oncology
Join Editorial Board Propose a Special Issue
Print ISSN: 1019-6439 Online ISSN: 1791-2423
Journal Cover
June-2014 Volume 44 Issue 6

Full Size Image

Cover Legend PDF

Sign up for eToc alerts
Recommend to Library

Journals

International Journal of Molecular Medicine

International Journal of Molecular Medicine

International Journal of Molecular Medicine is an international journal devoted to molecular mechanisms of human disease.

International Journal of Oncology

International Journal of Oncology

International Journal of Oncology is an international journal devoted to oncology research and cancer treatment.

Molecular Medicine Reports

Molecular Medicine Reports

Covers molecular medicine topics such as pharmacology, pathology, genetics, neuroscience, infectious diseases, molecular cardiology, and molecular surgery.

Oncology Reports

Oncology Reports

Oncology Reports is an international journal devoted to fundamental and applied research in Oncology.

Experimental and Therapeutic Medicine

Experimental and Therapeutic Medicine

Experimental and Therapeutic Medicine is an international journal devoted to laboratory and clinical medicine.

Oncology Letters

Oncology Letters

Oncology Letters is an international journal devoted to Experimental and Clinical Oncology.

Biomedical Reports

Biomedical Reports

Explores a wide range of biological and medical fields, including pharmacology, genetics, microbiology, neuroscience, and molecular cardiology.

Molecular and Clinical Oncology

Molecular and Clinical Oncology

International journal addressing all aspects of oncology research, from tumorigenesis and oncogenes to chemotherapy and metastasis.

World Academy of Sciences Journal

World Academy of Sciences Journal

Multidisciplinary open-access journal spanning biochemistry, genetics, neuroscience, environmental health, and synthetic biology.

International Journal of Functional Nutrition

International Journal of Functional Nutrition

Open-access journal combining biochemistry, pharmacology, immunology, and genetics to advance health through functional nutrition.

International Journal of Epigenetics

International Journal of Epigenetics

Publishes open-access research on using epigenetics to advance understanding and treatment of human disease.

Medicine International

Medicine International

An International Open Access Journal Devoted to General Medicine.

Journal Cover
June-2014 Volume 44 Issue 6

Full Size Image

Cover Legend PDF

Sign up for eToc alerts
Recommend to Library

  • Article
  • Citations
    • Cite This Article
    • Download Citation
    • Create Citation Alert
    • Remove Citation Alert
    • Cited By
  • Similar Articles
    • Related Articles (in Spandidos Publications)
    • Similar Articles (Google Scholar)
    • Similar Articles (PubMed)
  • Download PDF
  • Download XML
  • View XML
Article

In vitro and in vivo effects of a nutrient mixture on breast cancer progression

  • Authors:
    • M. W. Roomi
    • T. Kalinovsky
    • N. M. Roomi
    • J. Cha
    • M. Rath
    • A. Niedzwiecki
  • View Affiliations / Copyright

    Affiliations: Dr. Rath Research Institute, Santa Clara, CA 95050, USA
  • Pages: 1933-1944
    |
    Published online on: April 10, 2014
       https://doi.org/10.3892/ijo.2014.2379
  • Expand metrics +
Metrics: Total Views: 0 (Spandidos Publications: | PMC Statistics: )
Metrics: Total PDF Downloads: 0 (Spandidos Publications: | PMC Statistics: )
Cited By (CrossRef): 0 citations Loading Articles...

This article is mentioned in:


Abstract

Long-term survival of patients with breast cancer remains poor, due to metastasis and recurrence. We investigated the effects of a novel nutrient mixture (NM) containing ascorbic acid, lysine, proline and green tea extract in vitro and in vivo on 4T1 murine breast cancer, a representative model for metastatic breast cancer. After one week of isolation, 5-6-week-old female Balb/C mice were inoculated with 5x105 4T1 cells into the mammary pad and randomly divided into two groups; the control group was fed a regular diet and the NM group a regular diet supplemented with 0.5% NM. After four weeks, the mice were sacrificed and their tumors, lungs, livers, kidneys, hearts and spleens were excised and processed for histology. Dimensions (length and width) of tumors were measured using a digital caliper, and the tumor burden was calculated using the following formula: 0.5 x length x width. We also tested the effect of NM in vitro on 4T1 cells, measuring cell proliferation by MTT assay, MMP secretion by zymography, invasion through Matrigel, migration by scratch test and morphology by H&E staining. NM inhibited tumor weight and burden of 4T1 tumors by 50% (p=0.02) and 53.4% (p≤0.0001), respectively. Lung metastasis was profoundly inhibited by NM supplementation: mean number of colonies was reduced by 87% (p<0.0001) and mean weight of lungs by 60% (p=0.0001) compared to control mice. Metastasis to liver, spleen, kidney and heart was significantly reduced with NM supplementation. In vitro, NM exhibited 50% toxicity over the control at 250 and 500 µg/ml concentrations. Zymography demonstrated MMP-2 and MMP-9 secretion which was inhibited by NM in a dose-dependent manner, with virtual total inhibition of both at 1,000 µg/ml. Migration by scratch test and invasion through Matrigel were inhibited in a dose-dependent manner with total block of invasion at 250 and of migration at 1,000 µg/ml. These results suggest that NM has therapeutic potential in the treatment of breast cancer.

Introduction

Breast cancer, the most prevalent cancer in women worldwide and the leading cause of cancer death in women, was projected to claim the lives of ∼39,620 women in the USA in 2013 (1). Though treatable in early stages, once metastasis has occurred, the survival rate is drastically reduced to a median of 2–3 years and treatment focuses on palliative care (2).

Critical events in tumor cell invasion include cell attachment, proteolytic degradation of the extracellular matrix (ECM) and migration through the disrupted matrix (3). Rath and Pauling (4) proposed that nutrients such as lysine and ascorbic acid could act as natural inhibitors of ECM degradation, inhibiting MMP activity and strengthening the connective tissue surrounding cancer cells, and thus potentially modulating tumor growth and expansion. We have developed strategies to inhibit cancer development and its spread using naturally occurring nutrients such as lysine, proline, ascorbic acid and green tea extract (NM). This nutrient mixture has exhibited synergistic anticancer activity in vivo and in vitro in a number of cancer cell lines through inhibition of cancer cell growth, MMP secretion, invasion, metastasis and angiogenesis (5).

A major problem in studying metastasis has been the lack of suitable models that faithfully represent the metastatic process as it occurs in vivo. While some human xenograft models can approximate primary tumor growth in mice, replication of tumor metastasis is more problematic (6–8). Generally, human tumor cells metastasize poorly in mice and metastases are associated with unexpected characteristics. In contrast, murine tumor cell models often metastasize more effectively and display metastatic characteristics more similar to those observed in cancer patients (9). Since microenvironments and tumor-host interactions play important roles in tumor cell behavior, this is not surprising. When introduced orthoptopically, 4T1 is capable of metastasis to several organs affected in breast cancer, including lungs, liver and brain as well as bone.

In this study, our main objective was to determine the effect of dietary supplementation with NM on the development of tumors and metastasis to other organs challenging mice with breast cancer 4T1 cells into the mammary pad. The 4T1 mammary carcinoma model was chosen as it has several characteristics that make it a suitable experimental animal model for human mammary cancer growth and metastasis (10,11). The tumor cells are easily transplanted into the mammary gland so that the primary tumor grows in the anatomically correct site and, as in human breast cancer, 4T1 metastatic disease develops spontaneously from the primary tumor. In addition, metastatic spread of 4T1 metastases to other organs and the draining lymph nodes is similar to that of human mammary cancer (10). In addition, we studied the effect of NM on 4T1 cells in vitro evaluating viability, MMP secretion, migration and invasion.

Materials and methods

Cancer cell line and culture

Murine breast cancer cell line 4T1 was obtained from ATCC (American Type Culture Collection, Rockville, MD, USA). 4T1 cells were maintained in DMEM, supplemented with 10% fetal bovine serum, 100 U/ml penicillin and 100 μg/ml streptomycin. The media and sera used were obtained from ATCC, and antibiotics (penicillin and streptomycin) were from Gibco BRL (Long Island, NY, USA).

Composition of the nutrient mixture

The nutrient mixture (NM) was composed of the following in the ratio indicated: vitamin C (as ascorbic acid and as Mg, Ca and palmitate ascorbate) 700 mg; L-lysine 1,000 mg; L-proline 750 mg; L-arginine 500 mg; N-acetyl cysteine 200 mg; standardized green tea extract [derived from green tea leaves, was obtained from US Pharma Lab; the certificate of analysis indicated the following characteristics: total polyphenol 80%, catechins 60%, epigallocatechin gallate (EGCG) 35% and caffeine 1.0%]; 1,000 mg; selenium 30 μg; copper 2 mg; manganese 1 mg.

In vivo studies
Animals

Female Balb/C mice, approximately five weeks of age on arrival, were purchased from Simonsen Laboratories (Gilroy, CA, USA) and maintained in microisolator cages under pathogen-free conditions on a 12-h light/12-h dark schedule for a week. All procedures were performed according to humane and customary care and use of experimental animals and followed a protocol approved by internal institutional animal safety review committee.

Experimental design

After housing for a week, the mice (n=14) were inoculated with 5×105 4T1 cells in 0.2 ml PBS and 0.1 ml Matrigel (BD Bioscience, Bedford, MA, USA) into the mammary pad. After injection, the mice were randomly divided into two groups and maintained for four weeks on the following diets; the control group mice were fed regular Purina mouse chow and the NM group the regular diet supplemented with 0.5% NM (w/w). During the study, the mice consumed, on the average, 4 g of their respective diets per day. Thus, the supplemented mice received ∼20 mg of NM per day. After four weeks, the mice were sacrificed and their tumors, lungs, livers, kidneys, hearts and spleens were excised and processed for histology. Dimensions (length and width) of tumors were measured using a digital caliper, and the tumor burden was calculated using the following formula: 0.5 × length × width. Mean weight of mice at initiation of study and termination of study did not differ significantly between the groups.

Histology

Tissue samples were fixed in 10% buffered formalin and sent to IDEXX Reference Laboratories for processing, blocking, sectioning and staining with hematoxylin and eosin (H&E). Tumors and organs from mice were evaluated using a standard light microscope.

In vitro studies
Cell culture

Murine breast 4T1 cells were grown in DMEM, supplemented with 10% fetal bovine serum, penicillin (100 U/ml) and streptomycin (100 mg/ml) in 24-well tissue culture plates (Costar, Cambridge, MA, USA). Cells were incubated with 1 ml of media at 37°C in a tissue culture incubator equilibrated with 95% air and 5% CO2. At near confluence, the cells were treated with the nutrient mixture, dissolved in media and tested at 0, 10, 50, 100, 500 and 1,000 μg/ml in triplicate at each dose. Phorbol 12-myristate 13-acetate (PMA), 100 ng/ml, was added to cells to induce MMP-9 secretion. The plates were then returned to the incubator.

MTT assay

Cell viability was evaluated by MTT assay, a colorimetric assay based on the ability of viable cells to reduce a soluble yellow tetrazolium salt [3-(4,5-dimethylthiazol-2-yl) 2,5-diphenyl tetrazolium bromide] (MTT) to a blue formazan crystal by mitochondrial succinate dehydrogenase activity of viable cells. This test is a good index of mitochondrial activity and thus of cell viability. After 24-h incubation, the cells were washed with phosphate-buffered saline (PBS) and 500 μl of MTT (Sigma no. M-2128) 0.5 mg/ml in media was added to each well. After MTT addition (0.5 mg/ml) the plates were covered and returned to the 37°C incubator for 2 h, the optimal time for formazan product formation. Following incubation, the supernatant was carefully removed from the wells, the formazan product was dissolved in 1 ml DMSO and absorbance was measured at 570 nm in Bio Spec 1601, Shimadzu spectrometer. The OD570 of the DMSO solution in each well was considered to be proportional to the number of cells. The OD570 of the control (treatment without supplement) was considered 100%.

Gelatinase zymography

Gelatinase zymography was performed in 10% Novex Pre-Cast SDS polyacrylamide gel (Invitrogen Corp.) in the presence of 0.1% gelatin under non-reducing conditions. Culture media (20 μl) were mixed with sample buffer and loaded for SDS-PAGE with tris glycine SDS buffer, as suggested by the manufacturer (Novex). Samples were not boiled before electrophoresis. Following electrophoresis the gels were washed twice in 2.5% Triton X-100 for 30 min at room temperature to remove SDS. The gels were then incubated at 37°C overnight in substrate buffer containing 50 mM Tris-HCl and 10 mM CaCl2 at pH 8.0 and stained with 0.5% Coomassie Blue R250 in 50% methanol and 10% glacial acetic acid for 30 min and destained. Upon renaturation of the enzyme, the gelatinases digested the gelatin in the gel, producing clear bands against an intensely stained background. Protein standards were run concurrently and approximate molecular weights were determined by plotting the relative mobilities of known proteins.

Migration: scratch test

To study cell migration, a 2-mm wide single uninterrupted scratch was made from top to bottom of culture plates of cancer cells grown to confluence. Culture plates were washed with PBS and incubated with NM in medium and tested at 0, 50, 100, 250, 500 and 1,000 μg/ml in triplicate at each dose for 24 h. Cells were washed with PBS, fixed and stained with H&E and photomicrographs were taken.

Matrigel invasion

Invasion studies were conducted using Matrigel (Becton-Dickinson) inserts in 24-well plates. Suspended in medium, 4T1 cells were supplemented with nutrients, as specified in the design of the experiment, and seeded on the insert in the well. Thus both the medium on the insert and in the well contained the same supplements. The plates with the inserts were then incubated in a culture incubator equilibrated with 95% air and 5% CO2 for 24 h. After incubation, the media from the wells were withdrawn. The cells on the upper surface of the inserts were gently scrubbed away with cotton swabs. The cells that had penetrated the Matrigel membrane and migrated onto the lower surface of the Matrigel were stained with hematoxylin and eosin and visually counted under a microscope.

Morphology

Morphology of cells cultured for 24 h in test concentrations of NM were evaluated by H&E staining and observed and photographed by microscopy.

Statistical analysis

The results are expressed as means ± SD, as indicated in the results, for the groups. Data was analyzed by independent sample ‘t’-test.

Results

In vivo studies
Tumor weight and burden

NM strongly inhibited tumor growth and burden of 4T1 tumors in female Balb/C mice. Mean tumor weight was inhibited by 50% (p=0.02) with NM 0.5% dietary supplementation, as shown in Fig. 1A and tumor burden was inhibited by 53.4% (p≤0.0001), as shown in Fig. 1B. Mean tumor weight of supplemented mice was 0.91±0.43 g and that of mice on the control diet 1.83±0.81 g. Mean tumor burden of supplemented mice was 140±48 cm2 and that of mice on the control diet 300±45 cm2. Images of mice and gross tumors from groups are shown in Fig. 2.

Figure 1.

Effect of NM 0.5% supplementation on 4T1 tumor growth in Balb/C mice. (A) Mean tumor weight; (B) mean tumor burden (the asterisk indicates significance of p<0.05 with respect to control).

Figure 2.

(A) Gross tumor images of control and NM 0.5% group tumors; (B) mice from control group; (C) mice from NM 0.5% group.

Tumor histopathology

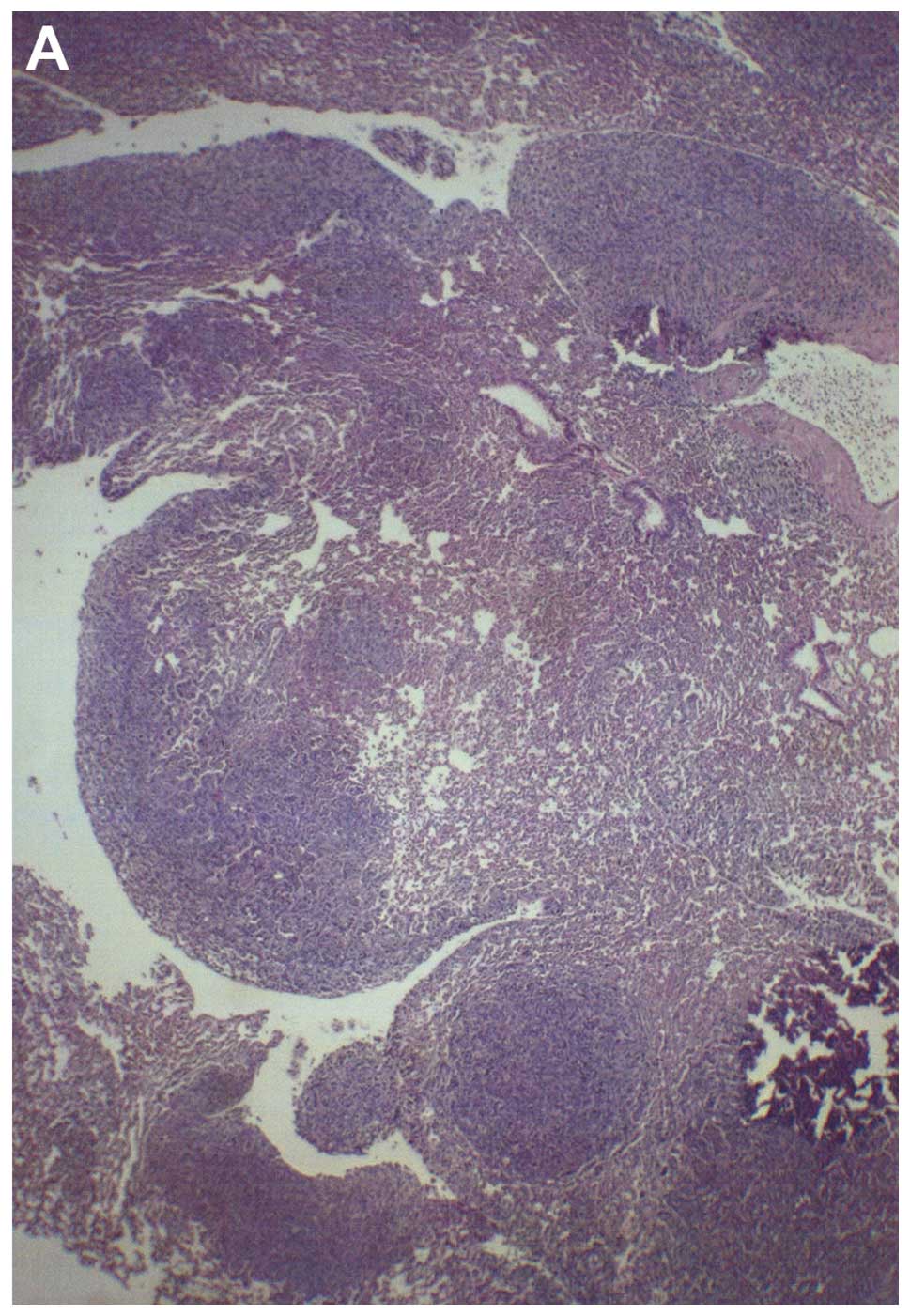
Histologically, both groups demonstrated irregularly round subcutaneous tumors with large central areas of tumor necrosis involving 70% of the tumor mass in the control mice and 50–70% in the supplemented mice. Viable, peripheral tumor tissue consisted of sheaths of small irregularly-round to spindle-shaped cells with poorly defined cytoplasm and often vesiculated nuclei. Mitotic figures averaged 1–2 per high-power field (Fig. 3).

Figure 3.

Tumor histopathology. (A) Control tumor, ×40; (B) control tumor, ×200; (C) NM 0.5% tumor, ×40; (D) NM 0.5% tumor, ×200.

Metastasis to lungs

Mice supplemented with NM 0.5% showed profoundly reduced number of colonies in the lungs as contrasted to the lungs of control mice. Mean number of colonies in the lungs of supplemented mice (9±8.4) were 13% (p<0.0001) of the mean number of colonies in the lungs of control mice (69±15.6), as shown in Fig. 4A. Furthermore, mean weight of lungs of supplemented mice (0.24±0.05 g) were 40.7% (p=0.0001) of the mean weight of lungs of control mice (0.59±0.16 g), as shown in Fig. 4B. Images of gross lungs from groups are shown in Fig. 5.

Figure 4.

Lung metastasis. (A) Mean number of colonies in lungs of control and NM 0.5% group; (B) comparative weights of lungs in control and NM 0.5% group (the asterisk indicates significance of p=0.0001 with respect to control).

Figure 5.

Gross lung images of mice on control and NM supplemented diets.

Lung histopathology

Multiple metastases were observed in the lungs of control mice in contrast to few, small metastatic lesions in lungs of NM supplemented mice. Neoplastic cells were large, irregularly round, with prominent large, irregularly round nuclei and scant cytoplasm (Fig. 6).

Figure 6.

Lung histopathology. (A) Lung control, ×40; (B) lung NM 0.5%, ×100.

Mean weights of livers, kidneys, spleens and hearts

No significant differences were found between control and NM supplemented mean organ weights, as shown in Fig. 7.

Figure 7.

Mean weights of livers, kidneys, spleens and hearts in control and NM groups.

Metastasis to liver

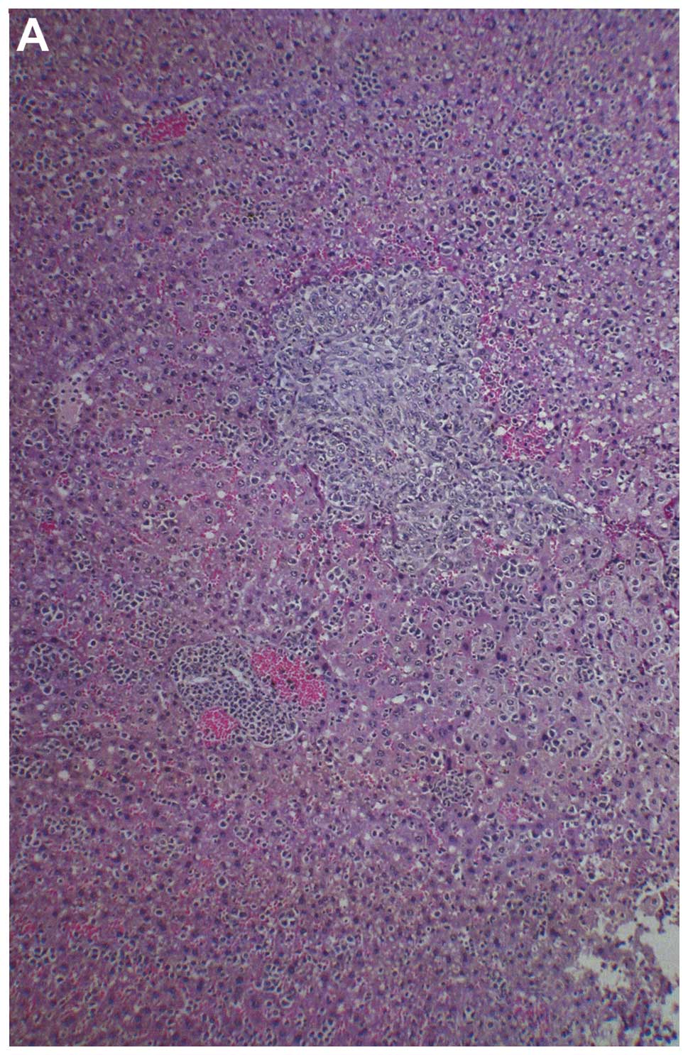
Two of three liver sections examined from control group livers showed 2–3 small, metastatic lesions associated with severe, perivascular and sinusoidal neutrophilic infiltration. The third section had no evidence of metastasis or severe neutrophilic infiltration, but did have multifocal areas of severe, acute liver necrosis. All four sections of liver examined in NM 0.5% fed mice, showed no definite metastatic lesions. Many vessels were severely cuffed with neutrophils. A few questionable cells presented in sinusoids, but these most likely were myeloid in origin. Gross images of control livers are shown in Fig. 8 and histopathology of livers from control and supplemented mice is shown in Fig. 9.

Figure 8.

Gross images of control group livers.

Figure 9.

Histopathology of livers. (A) Liver control, ×100; (B) liver NM 0.5%, ×100.

Metastasis to kidney

Three partial kidney sections of control mice presented subscapsular, metastatic lesions and one section areas of acute infarction. Of three sections of NM kidney examined, no metastases or specific changes were noted. Gross images of control kidneys are shown in Fig. 10 and histopathology of kidneys from control and supplemented mice is shown in Fig. 11.

Figure 10.

Gross images of control group kidneys.

Figure 11.

Histopathology of kidneys. (A) Kidney control, ×100; (B) kidney NM 0.5%, ×100.

Metastasis to heart

Among the control group heart sections examined, four of five showed myocardial metastatic lesions, one large and three smaller metastases. In the NM heart sections examined, two of four sections each had a metastatic lesion near the base of the heart. Gross images of hearts from both groups are shown in Fig. 12 and histopathology of hearts from control and supplemented mice is shown in Fig. 13.

Figure 12.

Gross images of hearts.

Figure 13.

Histopathology of hearts. (A) Control heart, ×40; (B) NM 0.5% heart, ×40.

Metastasis to spleen

Of the three sections of control group spleens examined, all showed severe, extramedullary hematopoiesis and 2–3 small metastases. Sections of NM spleen showed severe, extramedullary hematopoietic activity and a small, metastatic lesion in one section. Gross images of control spleens are shown in Fig. 14 and histopathology of spleens from control and supplemented mice is shown in Fig. 15.

Figure 14.

Gross images of control spleen.

Figure 15.

Histopathology of spleen. (A) Control spleen, ×100; (B) NM spleen, ×100.

In vitro
Cell proliferation: MTT assay

NM exhibited dose-dependent inhibition of 4T1 cell growth with 50% (p<0.0001) antiproliferative effect at 250 and 500 μg/ml and 60% (p<0.0001) at 1,000 μg/ml compared to control, as shown in Fig. 16.

Figure 16.

Effect of NM on 4T1 cell proliferation - MTT 24-h assay (the asterisk indicates significance of p<0.0001 with respect to control).

Gelatinase zymography

Zymography demonstrated MMP-2 and MMP-9 secretion by untreated and PMA-treated 4T1 cells. NM inhibited secretion of both MMPs in a dose-dependent manner with virtual total inhibition of both at 1,000 μg/ml, as shown in Fig. 17.

Figure 17.

Effect of NM on MMP-2 and MMP-9 secretion by 4T1 cells: gelatinase zymography. (A) Untreated 4T1 cells; (B) PMA-treated 4T1 cells.

Migration: scratch test

NM reduced breast cancer 4T1 cell migration in a dose-dependent manner, with total inhibition at 1,000 μg/ml, as shown in Fig. 18.

Figure 18.

Effect of NM on 4T1 cell migration: scratch test. (A) Pre-scratch; (B) control 24 h; (C) NM 50 μg/ml 24 h; (D) NM 100 μg/ml 24 h; (E) NM 250 μg/ml 24 h; (F) NM 500 μg/ml 24 h; (G) NM 1,000 μg/ml 24 h.

Matrigel invasion

NM significantly inhibited 4T1 invasion through Matrigel in a dose-dependent manner, with total block at 250 μg/ml, as shown in Fig. 19.

Figure 19.

Effect of NM on 4T1 cell invasion through Matrigel; photomicrographs. (A) Control; (B) NM 50 μg/ml; (C) NM 100 μg/ml; (D) NM 250 μg/ml.

Morphology: H&E staining

H&E staining showed no morphological changes even at higher concentrations of NM, as shown in Fig. 20.

Figure 20.

Effect of NM on 4T1 cell morphology: H&E staining. (A) Control; (B) NM 50 μg/ml; (C) NM 100 μg/ml; (D) NM 250 μg/ml; (E) NM 500 μg/ml; (F) NM 1,000 μg/ml.

Discussion

The results of the in vivo study of murine 4T1 cells injected into the mammary pads of Balb/C mice demonstrated significant suppression of tumor growth (50% reduction in tumor weight and 53% in tumor burden) with NM dietary supplementation. Lung metastasis was profoundly inhibited by NM supplementation: mean number of colonies was reduced by 87% and mean weight of lungs by 60% compared to control mice. Metastasis to liver, spleen, kidney and heart was significantly reduced with NM supplementation. The results from the in vitro studies support the in vivo findings. In vitro, NM inhibited cell proliferation by 50% at 250 and 500 μg/ml concentrations compared to the control. Zymography demonstrated MMP-2 and MMP-9 secretion which was inhibited by NM in a dose-dependent manner, with virtual total inhibition of both at 1,000 μg/ml. Migration by scratch test and invasion through Matrigel were inhibited dose-dependently with total block of invasion at 250 and of migration at 1,000 μg/ml.

Tao et al reported that metastasis of 4T1 tumors was associated with extensive necrosis and inflammation within the primary tumor and hematopoiesis in several mouse organs including spleen and liver (10). In our study, both groups demonstrated irregularly round subcutaneous tumors with large central areas of tumor necrosis involving 70% of the tumor mass in the control mice and 50–70% in the supplemented mice. As discussed earlier, we observed multiple metastases in the lungs of control mice in contrast to few small metastatic lesions in lungs of NM supplemented mice. Splenic metastasis showed severe, extramedullary hematopoiesis and 2–3 small metastases in the spleen sections of control mice and a small metastatic lesion and extramedullary hematopoietic activity in the sections of supplemented mice. Liver metastasis in our study showed several small metastatic lesions associated with severe, perivascular and sinusoidal neutrophilic infiltration in the control sections and absence of metastatic lesions but presence of neutrophils in supplemented sections.

Bonfil et al reported that the distribution of necrosis within a primary tumor was responsible in part for the development of metastases (12), and that tumor necrosis was an important source of gelatinase/type IV collagenase, mainly in its 92-kDa form, and thus played a major role in tumor invasion (13). In a previous study, we found that among gulo KO mice injected with mammary 4T1 cells, those mice deprived of ascorbate developed large tumors with dark cores, showing more necrosis, and poorly defined borders, while gulo KO mice supplemented with ascorbate hosted smaller tumors with smaller, lighter cores, less necrosis and enhanced collagen encapsulation, signifying less metastatic potential (14).

High MMP-2 and MMP-9 levels have been found to correlate with aggressiveness of cancers, as exemplified by breast cancer (15,16). Our present in vitro study showed dose-dependent inhibition of MMP-2 and MMP-9 secretion, cell migration and cell invasion through Matrigel with treatment of 4T1 cells with NM.

A causal relationship between inflammation and 4T1 metastasis was proposed by Connolly et al based on observation of an inhibitory effect of the COX-2 inhibitor sC-236 on metastasis of 4T1 after primary tumor excision (17). Inflammation has been noted to have a positive effect on metastasis in several systems (18,19). The NM has been shown to have an inhibitory effect on inflammatory mediators as COX-2 in prior studies (5,20,21).

Optimal ECM structure depends upon adequate supplies of ascorbic acid and the amino acids lysine and proline to ensure proper synthesis and hydroxylation of collagen fibers. In addition, lysine contributes to ECM stability as a natural inhibitor of plasmin-induced proteolysis (4,22). Manganese and copper are also essential for collagen formation. There is considerable documentation of the potency of green tea extract in modulating cancer cell growth, metastasis, angiogenesis, and other aspects of cancer progression (23–27). N-acetyl cysteine and selenium have demonstrated inhibition of tumor cell MMP-9 and invasive activities, as well as migration of endothelial cells through ECM (28–30). Ascorbic acid demonstrates cytotoxic and antimetastatic actions on malignant cell lines (14,31–35) and cancer patients have been found to have low levels of ascorbic acid (36,37). Low levels of arginine, a precursor of nitric oxide (NO), can limit the production of NO, which has been shown to predominantly act as an inducer of apoptosis (38).

In conclusion, the results of the in vivo study of murine 4T1 cells injected into the mammary pads of Balb/C mice confirmed the validity of this model to study breast cancer metastasis since metastasis was observed in lung, liver, spleen, kidney and heart, as in human breast cancer. The present study also demonstrated significant suppression of tumor growth and metastasis to all of these organs with NM dietary supplementation, which indicates NM inhibition of metastasis is based on targeting common parameters as MMPs and the collagen barrier. Furthermore, the in vivo results were supported by in vitro findings of NM suppression of cell proliferation, secretion of MMP-2 and MMP-9, migration and Matrigel invasion by 4T1 cells. These results suggest that NM has therapeutic potential in treatment of breast cancer.

Acknowledgements

The tissues were processed by IDEXX Reference Laboratories Inc. and consulting pathologist Dr Alexander DePaoli, provided the histology slides and analysis. The research was funded by Dr Rath Health Foundation (Santa Clara, CA, USA), a non-profit organization.

References

1. 

American Cancer Society: Breast cancer: what are the key statistics about breast cancer? http://www.cancer.org/cancer/breastcancer/detailedguide/breast-cancer-key-statistics). Accessed 10/9/13. Last Medical Review: 09/11/2013. Last Revised: 10/01/2013.

2. 

Ali SM, Harvey HA and Lipton A: Metastatic breast cancer: overview of treatment. Clin Orthop. 414(Suppl): 132–137. 2003. View Article : Google Scholar

3. 

Fidler IJ: Molecular biology of cancer: invasion and metastasis. Cancer: Principles and Practice of Oncology. 5th edition. De Vita VT, Hellman S and Rosenberg SA: Lippincott-Raven; Philadelphia, PA: pp. 135–152. 1997

4. 

Rath M and Pauling L: Plasmin-induced proteolysis and the role of apoprotein(a), lysine and synthetic analogs. Orthomolecular Med. 7:17–23. 1992.

5. 

Niedzwiecki A, Roomi MW, Kalinovsky T and Rath M: Micronutrient synergy - a new tool in effective control of metastasis and other key mechanisms of cancer. Cancer Metastasis Rev. 29:529–543. 2010. View Article : Google Scholar : PubMed/NCBI

6. 

Bibby MC: Orthotopic models of cancer for preclinical drug evaluation: advantages and disadvantages. Eur J Cancer. 40:852–857. 2004. View Article : Google Scholar : PubMed/NCBI

7. 

Eccles SA, Box G, Court W, Sandle J and Dean CJ: Preclinical models for the evaluation of targeted therapies of metastatic disease. Cell Biophys. 24–25:279–291. 1994.

8. 

Hoffman RM: Orthotopic metastatic mouse models for anti-cancer drug discovery and evaluation: a bridge to the clinic. Invest New Drugs. 17:343–359. 1999. View Article : Google Scholar : PubMed/NCBI

9. 

Vernon E, Bakewell SJ and Chodash LA: Deciphering the molecular basis of breast cancer metastasis with mouse models. Rev Endocr Metab Disord. 8:199–213. 2007. View Article : Google Scholar : PubMed/NCBI

10. 

Tao K, Fang M, Aloy J and Sahagian GG: Imagable 4T1 model for the study of late stage breast cancer. BMC Cancer. 8:2282008. View Article : Google Scholar : PubMed/NCBI

11. 

Aslakson CJ and Miller FR: Selective events in the metastatic process defined by analysis of the sequential dissemination of subpopulations of a mouse mammary tumor. Cancer Res. 52:1399–1405. 1992.PubMed/NCBI

12. 

Bonfil RD, Bustuabad OD, Ruggiero RA, Meiss RP and Pasqualini CD: Tumor necrosis can facilitate the appearance of metastases. Clin Exp Metastasis. 6:121–129. 1988. View Article : Google Scholar : PubMed/NCBI

13. 

Bonfil RD, Medina PA, Gómez DE, Farías E, Lazarowski A, Lucero Gritti MF, Meiss RP and Bustuabad OD: Expression of gelatinase/type IV collagenase in tumor necrosis correlates with cell detachment and tumor invasion. Clin Exp Metastasis. 10:211–220. 1992. View Article : Google Scholar : PubMed/NCBI

14. 

Cha J, Roomi MW, Ivanov V, Kalinovsky T, Niedzwiecki A and Rath M: Ascorbate supplementation inhibits growth and metastasis of B16FO melanoma and 4T1 breast cancer cells in vitamin C deficient mice. Int J Oncol. 42:55–64. 2013.PubMed/NCBI

15. 

Bachmeier BE, Nerlich AG, Lichtinghagen R and Sommerhoff CP: Matrix metalloproteinases (MMPs) in breast cancer cell lines of different tumorigenicity. Anticancer Res. 6A:3821–3828. 2001.PubMed/NCBI

16. 

Pellikainen JM, Ropponen KM, Kataja VV, Kellokoski JK, Eskelinen MJ and Kosma VM: Expression of matrix metalloproteinase (MMP)-2 and MMP-9 in breast cancer with a special reference to activator protein-2, HER-2, and prognosis. Clin Cancer Res. 10:7621–7628. 2004. View Article : Google Scholar : PubMed/NCBI

17. 

Connolly EM, Harmey JH, O'Grady T, Foley D, Roche-Nagle G, Kay E and Bouchier-Hayes DJ: Cyclo-oxygenase inhibition reduces tumour growth and metastasis in an orthotopic model of breast cancer. Br J Cancer. 87:231–237. 2002. View Article : Google Scholar : PubMed/NCBI

18. 

Denardo DG, Johansson M and Coussans LM: Immune cells as mediators of solid tumor metastasis. Cancer Metastasis Rev. 27:11–18. 2008. View Article : Google Scholar : PubMed/NCBI

19. 

van Kempen LC, de Visser KE and Coussens LM: Inflammation, proteases and cancer. Eur J Cancer. 42:728–734. 2006.PubMed/NCBI

20. 

Roomi MW, Kalinovsky T, Roomi NW, Rath M and Niedzwiecki A: Inhibition of growth and expression of inflammation mediators in human leukemic cell line. Exp Oncol. 35:180–186. 2013.PubMed/NCBI

21. 

Roomi MW, Kalinovsky T, Niedzwiecki A and Rath M: Pleiotropic effects of a micronutrient mixture on critical parameters of bladder cancer. Bladder Cancer Etymology, Diagnosis and Treatments. Nilsson WE: Nova Science Publishers, Inc.; New York: 2009

22. 

Sun Z, Chen YH, Wang P, Zhang J, Gurewich V, Zhang P and Liu JN: The blockage of high-affinity lysine binding sites of plasminogen by EACA significantly inhibits prourokinase-induced plasminogen activation. Biochem Biophys Acta. 1596:182–192. 2002.PubMed/NCBI

23. 

Valcic S, Timmermann BN, Alberts DS, Wachter GA, Krutzsch M, Wymer J and Guillen JM: Inhibitory effect of six green tea catechins and caffeine on the growth of four selected human tumor cell lines. Anticancer Drugs. 7:461–468. 1996. View Article : Google Scholar : PubMed/NCBI

24. 

Mukhtar H and Ahmed N: Tea polyphenols: prevention of cancer and optimizing health. Am J Clin Nutr. 71:S1698–S1702. 2000.PubMed/NCBI

25. 

Yang GY, Liao J, Kim K, Yurtow EJ and Yang CS: Inhibition of growth and induction of apoptosis in human cancer cell lines by tea polyphenols. Carcinogenesis. 19:611–616. 1998. View Article : Google Scholar : PubMed/NCBI

26. 

Taniguchi S, Fujiki H, Kobayashi H, Go H, Miyado K, Sadano H and Shimikawa R: Effect of (−) epigallocatechin gallate, the main constituent of green tea, on lung metastasis with mouse B16 melanoma cell lines. Cancer Lett. 65:51–54. 1992.

27. 

Hara Y: Green tea: Health Benefits and Applications. Marcel Dekker; New York, Basel: 2001, View Article : Google Scholar

28. 

Kawakami S, Kageyama Y, Fujii Y, Kihara K and Oshima H: Inhibitory effects of N-acetyl cysteine on invasion and MMP 9 production of T24 human bladder cancer cells. Anticancer Res. 21:213–219. 2001.PubMed/NCBI

29. 

Morini M, Cai T, Aluigi MG, Noonan DM, Masiello L, De Floro S, D’Agostinin F, Albini A and Fassima G: The role of the thiol N-acetyl cysteine in the prevention of tumor invasion and angiogenesis. Int J Biol Markers. 14:268–271. 1999.PubMed/NCBI

30. 

Yoon SO, Kim MM and Chung AS: Inhibitory effects of selenite on invasion of HT 1080 tumor cells. J Biol Chem. 276:20085–20092. 2001. View Article : Google Scholar : PubMed/NCBI

31. 

Naidu KA, Karl RC and Coppola D: Antiproliferative and proapoptotic effect of ascorbyl stearate in human pancreatic cancer cells: association with decreased expression of insulin-like growth factor 1 receptor. Dig Dis Sci. 48:230–237. 2003. View Article : Google Scholar : PubMed/NCBI

32. 

Anthony HM and Schorah CJ: Severe hypovitaminosis C in lung-cancer patients: the utilization of vitamin C in surgical repair and lymphocyte-related host resistance. Br J Cancer. 46:354–367. 1982. View Article : Google Scholar : PubMed/NCBI

33. 

Maramag C, Menon M, Balaji KC, Reddy PG and Laxmanan S: Effect of vitamin C on prostate cancer cells in vitro: effect on cell number, viability and DNA synthesis. Prostate. 32:188–195. 1997. View Article : Google Scholar : PubMed/NCBI

34. 

Koh WS, Lee SJ, Lee H, Park C, Park MH, Kim WS, Yoon SS, Park K, Hong SI, Chung MH and Park CH: Differential effects and transport kinetics of ascorbate derivatives in leukemic cell lines. Anticancer Res. 8:2487–2493. 1998.PubMed/NCBI

35. 

Chen Q, Espey MG, Krishna MC, Mitchell JB, Corpe CP, Buettner GR, Shacter E and Levine M: Pharmacologic ascorbic acid concentrations selectively kill cancer cells: Action as a pro-drug to deliver hydrogen peroxide to tissues. Proc Natl Acad Sci USA. 102:13604–13609. 2005. View Article : Google Scholar : PubMed/NCBI

36. 

Nunez C, Ortiz de Apodaca Y and Ruiz A: Ascorbic acid in the plasma and blood cells of women with breast cancer. The effect of consumption of food with an elevated content of this vitamin. Nutr Hosp. 10:368–372. 1995.PubMed/NCBI

37. 

Kurbacher CM, Wagner U, Kolster B, Andreotti PE, Krebs D and Bruckner HW: Ascorbic acid (vitamin C) improves the antineoplastic activity of doxorubicin, cisplatin and paclitaxel in human breast carcinoma cells in vitro. Cancer Lett. 103:183–189. 1996. View Article : Google Scholar : PubMed/NCBI

38. 

Cooke JP and Dzau VJ: Nitric oxide synthase: role in the genesis of vascular disease. Annu Rev Med. 48:489–509. 1997. View Article : Google Scholar : PubMed/NCBI

Related Articles

  • Abstract
  • View
  • Download
  • Twitter
Copy and paste a formatted citation
Spandidos Publications style
Roomi MW, Kalinovsky T, Roomi NM, Cha J, Rath M and Niedzwiecki A: In vitro and in vivo effects of a nutrient mixture on breast cancer progression. Int J Oncol 44: 1933-1944, 2014.
APA
Roomi, M.W., Kalinovsky, T., Roomi, N.M., Cha, J., Rath, M., & Niedzwiecki, A. (2014). In vitro and in vivo effects of a nutrient mixture on breast cancer progression. International Journal of Oncology, 44, 1933-1944. https://doi.org/10.3892/ijo.2014.2379
MLA
Roomi, M. W., Kalinovsky, T., Roomi, N. M., Cha, J., Rath, M., Niedzwiecki, A."In vitro and in vivo effects of a nutrient mixture on breast cancer progression". International Journal of Oncology 44.6 (2014): 1933-1944.
Chicago
Roomi, M. W., Kalinovsky, T., Roomi, N. M., Cha, J., Rath, M., Niedzwiecki, A."In vitro and in vivo effects of a nutrient mixture on breast cancer progression". International Journal of Oncology 44, no. 6 (2014): 1933-1944. https://doi.org/10.3892/ijo.2014.2379
Copy and paste a formatted citation
x
Spandidos Publications style
Roomi MW, Kalinovsky T, Roomi NM, Cha J, Rath M and Niedzwiecki A: In vitro and in vivo effects of a nutrient mixture on breast cancer progression. Int J Oncol 44: 1933-1944, 2014.
APA
Roomi, M.W., Kalinovsky, T., Roomi, N.M., Cha, J., Rath, M., & Niedzwiecki, A. (2014). In vitro and in vivo effects of a nutrient mixture on breast cancer progression. International Journal of Oncology, 44, 1933-1944. https://doi.org/10.3892/ijo.2014.2379
MLA
Roomi, M. W., Kalinovsky, T., Roomi, N. M., Cha, J., Rath, M., Niedzwiecki, A."In vitro and in vivo effects of a nutrient mixture on breast cancer progression". International Journal of Oncology 44.6 (2014): 1933-1944.
Chicago
Roomi, M. W., Kalinovsky, T., Roomi, N. M., Cha, J., Rath, M., Niedzwiecki, A."In vitro and in vivo effects of a nutrient mixture on breast cancer progression". International Journal of Oncology 44, no. 6 (2014): 1933-1944. https://doi.org/10.3892/ijo.2014.2379
Follow us
  • Twitter
  • LinkedIn
  • Facebook
About
  • Spandidos Publications
  • Careers
  • Cookie Policy
  • Privacy Policy
How can we help?
  • Help
  • Live Chat
  • Contact
  • Email to our Support Team