Spandidos Publications Logo
  • About
    • About Spandidos
    • Aims and Scopes
    • Abstracting and Indexing
    • Editorial Policies
    • Reprints and Permissions
    • Job Opportunities
    • Terms and Conditions
    • Contact
  • Journals
    • All Journals
    • Oncology Letters
      • Oncology Letters
      • Information for Authors
      • Editorial Policies
      • Editorial Board
      • Aims and Scope
      • Abstracting and Indexing
      • Bibliographic Information
      • Archive
    • International Journal of Oncology
      • International Journal of Oncology
      • Information for Authors
      • Editorial Policies
      • Editorial Board
      • Aims and Scope
      • Abstracting and Indexing
      • Bibliographic Information
      • Archive
    • Molecular and Clinical Oncology
      • Molecular and Clinical Oncology
      • Information for Authors
      • Editorial Policies
      • Editorial Board
      • Aims and Scope
      • Abstracting and Indexing
      • Bibliographic Information
      • Archive
    • Experimental and Therapeutic Medicine
      • Experimental and Therapeutic Medicine
      • Information for Authors
      • Editorial Policies
      • Editorial Board
      • Aims and Scope
      • Abstracting and Indexing
      • Bibliographic Information
      • Archive
    • International Journal of Molecular Medicine
      • International Journal of Molecular Medicine
      • Information for Authors
      • Editorial Policies
      • Editorial Board
      • Aims and Scope
      • Abstracting and Indexing
      • Bibliographic Information
      • Archive
    • Biomedical Reports
      • Biomedical Reports
      • Information for Authors
      • Editorial Policies
      • Editorial Board
      • Aims and Scope
      • Abstracting and Indexing
      • Bibliographic Information
      • Archive
    • Oncology Reports
      • Oncology Reports
      • Information for Authors
      • Editorial Policies
      • Editorial Board
      • Aims and Scope
      • Abstracting and Indexing
      • Bibliographic Information
      • Archive
    • Molecular Medicine Reports
      • Molecular Medicine Reports
      • Information for Authors
      • Editorial Policies
      • Editorial Board
      • Aims and Scope
      • Abstracting and Indexing
      • Bibliographic Information
      • Archive
    • World Academy of Sciences Journal
      • World Academy of Sciences Journal
      • Information for Authors
      • Editorial Policies
      • Editorial Board
      • Aims and Scope
      • Abstracting and Indexing
      • Bibliographic Information
      • Archive
    • International Journal of Functional Nutrition
      • International Journal of Functional Nutrition
      • Information for Authors
      • Editorial Policies
      • Editorial Board
      • Aims and Scope
      • Abstracting and Indexing
      • Bibliographic Information
      • Archive
    • International Journal of Epigenetics
      • International Journal of Epigenetics
      • Information for Authors
      • Editorial Policies
      • Editorial Board
      • Aims and Scope
      • Abstracting and Indexing
      • Bibliographic Information
      • Archive
    • Medicine International
      • Medicine International
      • Information for Authors
      • Editorial Policies
      • Editorial Board
      • Aims and Scope
      • Abstracting and Indexing
      • Bibliographic Information
      • Archive
  • Articles
  • Information
    • Information for Authors
    • Information for Reviewers
    • Information for Librarians
    • Information for Advertisers
    • Conferences
  • Language Editing
Spandidos Publications Logo
  • About
    • About Spandidos
    • Aims and Scopes
    • Abstracting and Indexing
    • Editorial Policies
    • Reprints and Permissions
    • Job Opportunities
    • Terms and Conditions
    • Contact
  • Journals
    • All Journals
    • Biomedical Reports
      • Information for Authors
      • Editorial Policies
      • Editorial Board
      • Aims and Scope
      • Abstracting and Indexing
      • Bibliographic Information
      • Archive
    • Experimental and Therapeutic Medicine
      • Information for Authors
      • Editorial Policies
      • Editorial Board
      • Aims and Scope
      • Abstracting and Indexing
      • Bibliographic Information
      • Archive
    • International Journal of Epigenetics
      • Information for Authors
      • Editorial Policies
      • Editorial Board
      • Aims and Scope
      • Abstracting and Indexing
      • Bibliographic Information
      • Archive
    • International Journal of Functional Nutrition
      • Information for Authors
      • Editorial Policies
      • Editorial Board
      • Aims and Scope
      • Abstracting and Indexing
      • Bibliographic Information
      • Archive
    • International Journal of Molecular Medicine
      • Information for Authors
      • Editorial Policies
      • Editorial Board
      • Aims and Scope
      • Abstracting and Indexing
      • Bibliographic Information
      • Archive
    • International Journal of Oncology
      • Information for Authors
      • Editorial Policies
      • Editorial Board
      • Aims and Scope
      • Abstracting and Indexing
      • Bibliographic Information
      • Archive
    • Medicine International
      • Information for Authors
      • Editorial Policies
      • Editorial Board
      • Aims and Scope
      • Abstracting and Indexing
      • Bibliographic Information
      • Archive
    • Molecular and Clinical Oncology
      • Information for Authors
      • Editorial Policies
      • Editorial Board
      • Aims and Scope
      • Abstracting and Indexing
      • Bibliographic Information
      • Archive
    • Molecular Medicine Reports
      • Information for Authors
      • Editorial Policies
      • Editorial Board
      • Aims and Scope
      • Abstracting and Indexing
      • Bibliographic Information
      • Archive
    • Oncology Letters
      • Information for Authors
      • Editorial Policies
      • Editorial Board
      • Aims and Scope
      • Abstracting and Indexing
      • Bibliographic Information
      • Archive
    • Oncology Reports
      • Information for Authors
      • Editorial Policies
      • Editorial Board
      • Aims and Scope
      • Abstracting and Indexing
      • Bibliographic Information
      • Archive
    • World Academy of Sciences Journal
      • Information for Authors
      • Editorial Policies
      • Editorial Board
      • Aims and Scope
      • Abstracting and Indexing
      • Bibliographic Information
      • Archive
  • Articles
  • Information
    • For Authors
    • For Reviewers
    • For Librarians
    • For Advertisers
    • Conferences
  • Language Editing
Login Register Submit
  • This site uses cookies
  • You can change your cookie settings at any time by following the instructions in our Cookie Policy. To find out more, you may read our Privacy Policy.

    I agree
Search articles by DOI, keyword, author or affiliation
Search
Advanced Search
presentation
Molecular and Clinical Oncology
Join Editorial Board Propose a Special Issue
Print ISSN: 2049-9450 Online ISSN: 2049-9469
Journal Cover
May-2020 Volume 12 Issue 5

Full Size Image

Sign up for eToc alerts
Recommend to Library

Journals

International Journal of Molecular Medicine

International Journal of Molecular Medicine

International Journal of Molecular Medicine is an international journal devoted to molecular mechanisms of human disease.

International Journal of Oncology

International Journal of Oncology

International Journal of Oncology is an international journal devoted to oncology research and cancer treatment.

Molecular Medicine Reports

Molecular Medicine Reports

Covers molecular medicine topics such as pharmacology, pathology, genetics, neuroscience, infectious diseases, molecular cardiology, and molecular surgery.

Oncology Reports

Oncology Reports

Oncology Reports is an international journal devoted to fundamental and applied research in Oncology.

Experimental and Therapeutic Medicine

Experimental and Therapeutic Medicine

Experimental and Therapeutic Medicine is an international journal devoted to laboratory and clinical medicine.

Oncology Letters

Oncology Letters

Oncology Letters is an international journal devoted to Experimental and Clinical Oncology.

Biomedical Reports

Biomedical Reports

Explores a wide range of biological and medical fields, including pharmacology, genetics, microbiology, neuroscience, and molecular cardiology.

Molecular and Clinical Oncology

Molecular and Clinical Oncology

International journal addressing all aspects of oncology research, from tumorigenesis and oncogenes to chemotherapy and metastasis.

World Academy of Sciences Journal

World Academy of Sciences Journal

Multidisciplinary open-access journal spanning biochemistry, genetics, neuroscience, environmental health, and synthetic biology.

International Journal of Functional Nutrition

International Journal of Functional Nutrition

Open-access journal combining biochemistry, pharmacology, immunology, and genetics to advance health through functional nutrition.

International Journal of Epigenetics

International Journal of Epigenetics

Publishes open-access research on using epigenetics to advance understanding and treatment of human disease.

Medicine International

Medicine International

An International Open Access Journal Devoted to General Medicine.

Journal Cover
May-2020 Volume 12 Issue 5

Full Size Image

Sign up for eToc alerts
Recommend to Library

  • Article
  • Citations
    • Cite This Article
    • Download Citation
    • Create Citation Alert
    • Remove Citation Alert
    • Cited By
  • Similar Articles
    • Related Articles (in Spandidos Publications)
    • Similar Articles (Google Scholar)
    • Similar Articles (PubMed)
  • Download PDF
  • Download XML
  • View XML

  • Supplementary Files
    • Supplementary_Data.pdf
Article Open Access

Keratin 36, a specific marker of tongue filiform papillae, is downregulated in squamous cell carcinoma of the mobile tongue

  • Authors:
    • Veronika Brychtova
    • Philip J. Coates
    • Vaclav Hrabal
    • Linda Boldrup
    • Pavel Fabian
    • Borivoj Vojtesek
    • Nicola Sgaramella
    • Karin Nylander
  • View Affiliations / Copyright

    Affiliations: Regional Centre for Applied Molecular Oncology, Masaryk Memorial Cancer Institute, CZ‑656 53 Brno, Czech Republic, Department of Medical Biosciences, Umea University, SE‑901 85 Umea, Sweden, Department of Pathology, Masaryk Memorial Cancer Institute, CZ‑656 53 Brno, Czech Republic
    Copyright: © Brychtova et al. This is an open access article distributed under the terms of Creative Commons Attribution License.
  • Pages: 421-428
    |
    Published online on: February 26, 2020
       https://doi.org/10.3892/mco.2020.2005
  • Expand metrics +
Metrics: Total Views: 0 (Spandidos Publications: | PMC Statistics: )
Metrics: Total PDF Downloads: 0 (Spandidos Publications: | PMC Statistics: )
Cited By (CrossRef): 0 citations Loading Articles...

This article is mentioned in:



Abstract

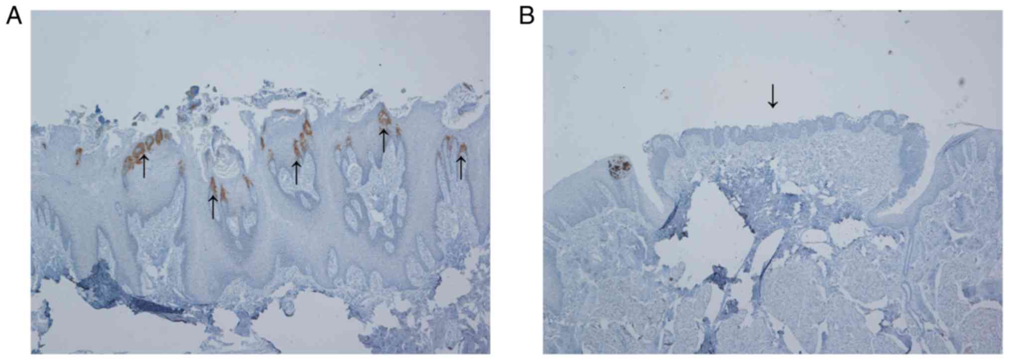
Human keratin 36 (K36) is a member of the hair keratin family and is a marker of hair cortex differentiation. The human KRT36 gene is located on the long arm of chromosome 17 and belongs to the cluster of structurally unrelated acidic hair keratins. Recently, it has been reported that KRT36 mRNA is specifically expressed in normal tongue epithelium and downregulated in squamous cell carcinomas of the mobile tongue. Furthermore, KRT36 levels have been reported to be downregulated in clinically normal mobile tongue tissue that is adjacent to tumours, suggesting it could be a marker of pre‑neoplastic changes. However, the exact role and the potential role of K36 in tongue tumour formation remains unclear. The aim of the present study was to investigate expression of K36 in a series of squamous cell carcinomas of the mobile tongue, normal mobile tongue and a small panel of other human tissues (normal tissue from the appendix, cervix, hair, lip, mamilla, nail, oesophagus, skin, thymus and vagina) and selected cancer tissue (cervical cancer, melanoma and basal cell carcinoma). Affinity purified polyclonal antibodies against K36 were generated and used for immunohistochemical analysis. The results revealed that in the normal tongue, K36 was detected specifically in the filiform papillae of the dorsal surface of the tongue. Additionally, none of the tongue cancer tissue samples were K36‑positive. Immunostaining also revealed that K36 was expressed in nail beds, Hassal's corpuscles in the thymus and the hair cortex. However, K36 was not expressed in the squamous epithelia of the skin, cervix and oesophagus, and the squamous cells of cervical carcinomas, basal cell carcinoma or melanoma. The present data indicated that K36 may be inactivated in tumours of the tongue. However, whether this is part of the tumoural process or if it is an effect of the tumour itself remains to be elucidated.
View Figures

Figure 1

Figure 2

Figure 3

Figure 4

View References

1 

Ramms L, Fabris G, Windoffer R, Schwarz N, Springer R, Zhou C, Lazar J, Stiefel S, Hersch N, Schnakenberg U, et al: Keratins as the main component for the mechanical integrity of keratinocytes. Proc Natl Acad Sci USA. 110:18513–18518. 2013.PubMed/NCBI View Article : Google Scholar

2 

Schweizer J, Bowden PE, Coulombe PA, Langbein L, Lane EB, Magin TM, Maltais L, Omary MB, Parry DA, Rogers MA and Wright MW: New consensus nomenclature for mammalian keratins. J Cell Biol. 174:169–174. 2006.PubMed/NCBI View Article : Google Scholar

3 

Toivola DM, Strnad P, Habtezion A and Omary MB: Intermediate filaments take the heat as stress proteins. Trends Cell Biol. 20:79–91. 2010.PubMed/NCBI View Article : Google Scholar

4 

Dhouailly D, Xu C, Manabe M, Schermer A and Sun TT: Expression of hair-related keratins in a soft epithelium: Subpopulations of human and mouse dorsal tongue keratinocytes express keratin markers for hair-, skin- and esophageal-types of differentiation. Exp Cell Res. 181:141–158. 1989.PubMed/NCBI View Article : Google Scholar

5 

Heid HW, Moll I and Franke WW: Patterns of expression of trichocytic and epithelial cytokeratins in mammalian tissues II. Concomitant and mutually exclusive synthesis of trichocytic and epithelial cytokeratins in diverse human and bovine tissues (hair follicle, nail bed and matrix, lingual papilla, thymic reticulum). Differentiation. 37:215–230. 1988.PubMed/NCBI View Article : Google Scholar

6 

Manabe M, Lim HW, Winzer M and Loomis CA: Architectural organization of filiform papillae in normal and black hairy tongue epithelium: Dissection of differentiation pathways in a complex human epithelium according to their patterns of keratin expression. Arch Dermatol. 135:177–181. 1999.PubMed/NCBI View Article : Google Scholar

7 

Rogers MA, Winter H, Langbein L, Bleiler R and Schweizer J: The human type I keratin gene family: Characterization of new hair follicle specific members and evaluation of the chromosome 17q21.2 gene domain. Differentiation. 72:527–540. 2004.PubMed/NCBI View Article : Google Scholar

8 

Tobiasch E, Winter H and Schweizer J: Structural features and sites of expression of a new murine 65 and 48 kD hair-related keratin pair, associated with a special type of parakeratotic epithelial differentiation. Differentiation. 50:163–178. 1992.PubMed/NCBI View Article : Google Scholar

9 

Langbein L, Rogers MA, Winter H, Praetzel S, Beckhaus U, Rackwitz HR and Schweizer J: The catalog of human hair keratins I. Expression of the nine type I members in the hair follicle. J Biol Chem. 274:19874–19884. 1999.PubMed/NCBI View Article : Google Scholar

10 

Langbein L, Rogers MA, Winter H, Praetzel S and Schweizer J: The catalog of human hair keratins II. Expression of the six type II members in the hair follicle and the combined catalog of human type I and II keratins. J Biol Chem. 276:35123–35132. 2001.PubMed/NCBI View Article : Google Scholar

11 

Ng JH, Iyer NG, Tan MH and Edgren G: Changing epidemiology of oral squamous cell carcinoma of the tongue: A global study. Head Neck. 39:297–304. 2017.PubMed/NCBI View Article : Google Scholar

12 

Boldrup L, Coates PJ, Laurell G and Nylander K: Differences in p63 expression in SCCHN tumours of different sub-sites within the oral cavity. Oral Oncol. 47:861–865. 2011.PubMed/NCBI View Article : Google Scholar

13 

Boldrup L, Coates PJ, Wahlgren M, Laurell G and Nylander K: Sub-site based alterations in miR-21, miR-125b, and miR-203 in squamous cell carcinoma of the oral cavity and correlation to important target proteins. J Carcinog. 11(18)2012.PubMed/NCBI View Article : Google Scholar

14 

Braakhuis BJ, Tabor MP, Kummer JA, Leemans CR and Brakenhoff RH: A genetic explanation of Slaughter's concept of field cancerization: Evidence and clinical implications. Cancer Res. 63:1727–1730. 2003.PubMed/NCBI

15 

Boldrup L, Gu X, Coates PJ, Norberg-Spaak L, Fahraeus R, Laurell G, Wilms T and Nylander K: Gene expression changes in tumor free tongue tissue adjacent to tongue squamous cell carcinoma. Oncotarget. 8:19389–19402. 2017.PubMed/NCBI View Article : Google Scholar

16 

Boldrup L, Coates PJ, Laurell G, Wilms T, Fahraeus R and Nylander K: Downregulation of miRNA-424: A sign of field cancerisation in clinically normal tongue adjacent to squamous cell carcinoma. Br J Cancer. 112:1760–1765. 2015.PubMed/NCBI View Article : Google Scholar

17 

Leemans CR, Braakhuis BJ and Brakenhoff RH: The molecular biology of head and neck cancer. Nat Rev Cancer. 11:9–22. 2011.PubMed/NCBI View Article : Google Scholar

18 

Lochhead P, Chan AT, Nishihara R, Fuchs CS, Beck AH, Giovannucci E and Ogino S: Etiologic field effect: Reappraisal of the field effect concept in cancer predisposition and progression. Mod Pathol. 28:14–29. 2015.PubMed/NCBI View Article : Google Scholar

19 

Saeed AI, Sharov V, White J, Li J, Liang W, Bhagabati N, Braisted J, Klapa M, Currier T, Thiagarajan M, et al: TM4: A free, open-source system for microarray data management and analysis. Biotechniques. 34:374–378. 2003.PubMed/NCBI View Article : Google Scholar

20 

Ponten F, Jirstrom K and Uhlen M: The human protein Atlas - A tool for pathology. J Pathol. 216:387–393. 2008.PubMed/NCBI View Article : Google Scholar

21 

Shezen E, Okon E, Ben-Hur H and Abramsky O: Cytokeratin expression in human thymus: Immunohistochemical mapping. Cell Tissue Res. 279:221–231. 1995.PubMed/NCBI View Article : Google Scholar

Related Articles

  • Abstract
  • View
  • Download
  • Twitter
Copy and paste a formatted citation
Spandidos Publications style
Brychtova V, Coates PJ, Hrabal V, Boldrup L, Fabian P, Vojtesek B, Sgaramella N and Nylander K: Keratin 36, a specific marker of tongue filiform papillae, is downregulated in squamous cell carcinoma of the mobile tongue. Mol Clin Oncol 12: 421-428, 2020.
APA
Brychtova, V., Coates, P.J., Hrabal, V., Boldrup, L., Fabian, P., Vojtesek, B. ... Nylander, K. (2020). Keratin 36, a specific marker of tongue filiform papillae, is downregulated in squamous cell carcinoma of the mobile tongue. Molecular and Clinical Oncology, 12, 421-428. https://doi.org/10.3892/mco.2020.2005
MLA
Brychtova, V., Coates, P. J., Hrabal, V., Boldrup, L., Fabian, P., Vojtesek, B., Sgaramella, N., Nylander, K."Keratin 36, a specific marker of tongue filiform papillae, is downregulated in squamous cell carcinoma of the mobile tongue". Molecular and Clinical Oncology 12.5 (2020): 421-428.
Chicago
Brychtova, V., Coates, P. J., Hrabal, V., Boldrup, L., Fabian, P., Vojtesek, B., Sgaramella, N., Nylander, K."Keratin 36, a specific marker of tongue filiform papillae, is downregulated in squamous cell carcinoma of the mobile tongue". Molecular and Clinical Oncology 12, no. 5 (2020): 421-428. https://doi.org/10.3892/mco.2020.2005
Copy and paste a formatted citation
x
Spandidos Publications style
Brychtova V, Coates PJ, Hrabal V, Boldrup L, Fabian P, Vojtesek B, Sgaramella N and Nylander K: Keratin 36, a specific marker of tongue filiform papillae, is downregulated in squamous cell carcinoma of the mobile tongue. Mol Clin Oncol 12: 421-428, 2020.
APA
Brychtova, V., Coates, P.J., Hrabal, V., Boldrup, L., Fabian, P., Vojtesek, B. ... Nylander, K. (2020). Keratin 36, a specific marker of tongue filiform papillae, is downregulated in squamous cell carcinoma of the mobile tongue. Molecular and Clinical Oncology, 12, 421-428. https://doi.org/10.3892/mco.2020.2005
MLA
Brychtova, V., Coates, P. J., Hrabal, V., Boldrup, L., Fabian, P., Vojtesek, B., Sgaramella, N., Nylander, K."Keratin 36, a specific marker of tongue filiform papillae, is downregulated in squamous cell carcinoma of the mobile tongue". Molecular and Clinical Oncology 12.5 (2020): 421-428.
Chicago
Brychtova, V., Coates, P. J., Hrabal, V., Boldrup, L., Fabian, P., Vojtesek, B., Sgaramella, N., Nylander, K."Keratin 36, a specific marker of tongue filiform papillae, is downregulated in squamous cell carcinoma of the mobile tongue". Molecular and Clinical Oncology 12, no. 5 (2020): 421-428. https://doi.org/10.3892/mco.2020.2005
Follow us
  • Twitter
  • LinkedIn
  • Facebook
About
  • Spandidos Publications
  • Careers
  • Cookie Policy
  • Privacy Policy
How can we help?
  • Help
  • Live Chat
  • Contact
  • Email to our Support Team